Порокарцинома. Эккринная порокарцинома.
Добавил пользователь Евгений Кузнецов Обновлено: 27.01.2026
Эккринная порокарцинома возникает у больных от 12 до 92 лет (средний возраст 68 лет). Почти в 50% она встречается на нижних конечностях (голенях, стопах, бедрах), относительно часто на волосистой части головы и лице, редко — на подошвах и ладонях.
Симптомы и протекание заболевания
Клинически начальным признаком эккринной поромы является папула. В дальнейшем клиническая картина зависит от особенностей возникновения опухоли и продолжительности ее существования. Эпидермотропные злокачественные эккринные поромы in situ имеют веррукознуто или чешуйчатую поверхность и на ранней стадии развития напоминают доброкачественный кератоз, диагноз трудно установить до тех пор, пока больной не обратится с более выраженной симптоматикой, в частности, при появлении на этом фоне узловатых сгруппированных элементов. Озлокачествление первоначально доброкачественной эккринной поромы может сопровождаться внезапным и быстрым ростом опухоли, изъязвлением, кровоточивостью, зудом, болью. Новообразование в этом случае приобретает сходство с пиогенной гранулемой, база лиомой или плоскоклеточным раком кожи. Пигментный вариант злокачественной эккринной поромы напоминает меланому. Чем больше размер опухоли, тем выше вероятность ее метастатического распространения.
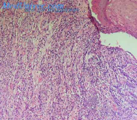
Гистологическое строение эккринной поромы. Внутриэпидермальная злокачественная порома in situ состоит из гнезд маленьких базалоидных клеток с примесью более крупных атипичных клеток с полиморфными ядрами и атипичными митозами, расположенных в толще эпидермиса. Возможна также диффузная инфильтрирация эпидермиса единичными атипичными клетками, имитирующая экстрамаммарную болезнь Педжета.
Инфильтрирующая форма злокачественной эккринной поромы состоит из внутридермальных комплексов мелких базалоидных клеток, вероятно, оставшихся от поромы, соседствующих с комплексами более крупных атипичных клеток. Абортивные протоки потовых эккринных желез в виде маленьких расщелин располагаются в пределах дермаль-ных узелков, наряду с хорошо развитыми ту-булярными структурами.
Для злокачественной эккринной поромы характерна акантотическая трабекулярная эпидермальная пролиферация, с наличием гнезд светлых опухолевых клеток. Опухолевые клетки обычно полигональные, с эозинофильной цитоплазмой и круглыми или овальными ядрами, содержащими мелкие нук-леолы. Часто выявляются фокусы плоскоклеточной метаплазии с формированием «роговых жемчужин», микронекрозы, дистрофическая кальцификация. Митозы и анапластичес-кие клетки редки.
Цитоплазма клеток эккринной поромы содержит гликоген и поэтому ШИК-позитивна и диастазорезистентна. Опухолевые клетки окрашиваются позитивно на амилофосфорилазу и сук-цинатдегидрогеназу, что потвержцает наличие структур эккринного происхождения. В мембранах опухолевых клеток Р2- микроглобулин отсутствует, но окрашивание с использованием антител против Leu-Ml и изо-антигенов групп крови А, В, О (I группа) обычно позитивно.
При иммуногистохимическом исследовании опухолевые структуры эккринной поромы дают положительную реакцию на раковоэмбриональный антиген, антиген эпителиальных мембран и цитокератины. Опухолевые клетки, выстилающие расщелины и протоки, S-100-негативны, тогда как миоэпителиальные клетки железистой части опухоли часто S-100-позитивны.
Клиническое течение злокачественных эккринных пором сопровождается рецидивированием и метастазированием. Местные рецидивы обычно отмечаются при локализации опухоли на стопе (24%), голени (16%), бедре (8%). Срок их возникновения — от 4 мес. до 10 лет после хирургического удаления опухоли. Местные рецидивы в 75% случаев сопровождаются регионарным метастазированием.
Общий уровень регионарных метастазов эккринной поромы составляет 20%. Регионарные метастазы чаще встречаются при локализации новообразования на голени, стопе, гениталиях и туловище и в 68% случаев приводят к смерти больного. Отдаленные метастазы поражают легкие, забрюшинное пространство, молочную железу, печень, средостение, мочевой пузырь, брюшину и яичники. У 83% больных с метастазами развиваются вторичные эпидермотроп-ные проявления, возникающие из внутридер-мальных опухолевых очагов или пораженных лимфатических узлов.
Порокарцинома. Эккринная порокарцинома.
Порокарцинома. Эккринная порокарцинома.
Эккринная порокарцинома (син.: эпидермотропная эккринная карцинома, злокачественная эккринная порома, poroepilhelioma, malignant hidroacanthoma simplex) — редкая опухоль, развивающаяся из клеток внутриэпидермальной части протока эккринной потовой железы. В то же время злокачественная эккринная порома — наиболее частая разновидность рака эккринных потовых желез. От 30 до 50% случаев новообразований развивается на фоне доброкачественных эккринных пором.
Злокачественная эккринная порома in situ, или злокачественная гидроакантома simplex, является опухолью, ограниченной эпидермисом, и имеет относительно доброкачественное клиническое течение. Опухолевые клетки длительно существующих злокачественных внутриэпидермальных пором мигрируют из эпидермальной части эккрин-ного протока в дерму, инфильтрируя соседние волосяные фолликулы, другие глуб-жележащие структуры, инвазируют лимфатические и кровеносные сосуды, периневральные пространства.
Злокачественная эккринная порома является дермальной опухолью протока эккринной железы с наличием внутридермального компонента или без него.
Эккринная порокарцинома возникает у больных от 12 до 92 лет (средний возраст 68 лет). Почти в 50% она встречается на нижних конечностях (голенях, стопах, бедрах), относительно часто на волосистой части головы и лице, редко — на подошвах и ладонях.
Клинически начальным признаком эккринной поромы является папула. В дальнейшем клиническая картина зависит от особенностей возникновения опухоли и продолжительности ее существования. Эпидермотропные злокачественные эккринные поромы in situ имеют веррукознуто или чешуйчатую поверхность и на ранней стадии развития напоминают доброкачественный кератоз, диагноз трудно установить до тех пор, пока больной не обратится с более выраженной симптоматикой, в частности, при появлении на этом фоне узловатых сгруппированных элементов. Озлокачествление первоначально доброкачественной эккринной поромы может сопровождаться внезапным и быстрым ростом опухоли, изъязвлением, кровоточивостью, зудом, болью. Новообразование в этом случае приобретает сходство с пиогенной гранулемой, база лиомой или плоскоклеточным раком кожи. Пигментный вариант злокачественной эккринной поромы напоминает меланому. Чем больше размер опухоли, тем выше вероятность ее метастатического распространения.

Гистологическое строение эккринной поромы. Внутриэпидермальная злокачественная порома in situ состоит из гнезд маленьких базалоидных клеток с примесью более крупных атипичных клеток с полиморфными ядрами и атипичными митозами, расположенных в толще эпидермиса. Возможна также диффузная инфильтрирация эпидермиса единичными атипичными клетками, имитирующая экстрамаммарную болезнь Педжета.
Инфильтрирующая форма злокачественной эккринной поромы состоит из внутридермальных комплексов мелких базалоидных клеток, вероятно, оставшихся от поромы, соседствующих с комплексами более крупных атипичных клеток. Абортивные протоки потовых эккринных желез в виде маленьких расщелин располагаются в пределах дермаль-ных узелков, наряду с хорошо развитыми ту-булярными структурами.
Для злокачественной эккринной поромы характерна акантотическая трабекулярная эпидермальная пролиферация, с наличием гнезд светлых опухолевых клеток. Опухолевые клетки обычно полигональные, с эозинофильной цитоплазмой и круглыми или овальными ядрами, содержащими мелкие нук-леолы. Часто выявляются фокусы плоскоклеточной метаплазии с формированием «роговых жемчужин», микронекрозы, дистрофическая кальцификация. Митозы и анапластичес-кие клетки редки.
Цитоплазма клеток эккринной поромы содержит гликоген и поэтому ШИК-позитивна и диастазорезистентна. Опухолевые клетки окрашиваются позитивно на амилофосфорилазу и сук-цинатдегидрогеназу, что потвержцает наличие структур эккринного происхождения. В мембранах опухолевых клеток Р2- микроглобулин отсутствует, но окрашивание с использованием антител против Leu-Ml и изо-антигенов групп крови А, В, О (I группа) обычно позитивно.
При иммуногистохимическом исследовании опухолевые структуры эккринной поромы дают положительную реакцию на раковоэмбриональный антиген, антиген эпителиальных мембран и цитокератины. Опухолевые клетки, выстилающие расщелины и протоки, S-100-негативны, тогда как миоэпителиальные клетки железистой части опухоли часто S-100-позитивны.
Клиническое течение злокачественных эккринных пором сопровождается рецидивированием и метастазированием. Местные рецидивы обычно отмечаются при локализации опухоли на стопе (24%), голени (16%), бедре (8%). Срок их возникновения — от 4 мес. до 10 лет после хирургического удаления опухоли. Местные рецидивы в 75% случаев сопровождаются регионарным метастазированием.
Общий уровень регионарных метастазов эккринной поромы составляет 20%. Регионарные метастазы чаще встречаются при локализации новообразования на голени, стопе, гениталиях и туловище и в 68% случаев приводят к смерти больного. Отдаленные метастазы поражают легкие, забрюшинное пространство, молочную железу, печень, средостение, мочевой пузырь, брюшину и яичники. У 83% больных с метастазами развиваются вторичные эпидермотроп-ные проявления, возникающие из внутридер-мальных опухолевых очагов или пораженных лимфатических узлов.
Диагноз эккринной поромы устанавливается на основании клинических данных и результатов гистологического исследования.
Дифференциальный диагноз эккринной поромы проводится с себорейным кератозом, трихоэпителиомой, бородавкой, базалиомой, плоскоклеточным раком кожи, амеланотической меланомой. При малигнизации эккринной поромы следует учитывать наличие участков акантолиза, атипичных фигур митоза, трабекулярной инвазии подкожной ткани, фрагментированных опухолевых гнезд и островков, возникновения внут-рисосудистьгх опухолевых комплексов.
Отдаленное лимфогенное и гематогенное распространение эккринной поромы наблюдается при наличии регионарных метастазов. Однако при доминировании в опухоли агрессивного эпидер-мотропного клеточного клона широкая метастатическая диссеминация может отмечаться в самом начале заболевания. Такой феномен диссеминированного метастатического эпидермотропного распространения довольно редок и отмечается, в частности, также при панцирном раке груди и экстрамаммарной болезни Педжета. При педжетоидном распространении заболевание клинически проявляется множественными рассеянными веррукозными или покрытыми корками очагами, представленными папулами или бляшками, возникающими на отечной (лимфедема) конечности. Отек развивается как следствие вовлечения в патологический процесс лимфатических узлов. Лечение первичной злокачественной экк-ринной поромы проводится путем иссечения опухоли в широких пределах или операции по Моху. Оперативное лечение приводит к излечению 85% локализованных опухолей, не имеющих признаков эпидермотропизма. Рецидивы первичных опухолей в 75% случаев ассоциируются с регионарными метастазами. При рецидивных порокарциномах или опухолях с эпидермотропизмом в первичной опухоли наилучший способ удаления — это операция по Моху с микроскопическим контролем краев. При регионарных метастазах применяется регионарная лимфаденэктомия. Однако только 17% больных с регионарными метастазами излечиваются после лимфаденэктомии, у остальные 83% больных развиваются отдаленные метастазы. При лечении метастазов химиотерапия флуороурацилом (5-фтору-рацил), доминатом кальция (лейковорином), цисплатином, цитарабином оказались неэффективна, но 13-цисретиноевая кислота привела к усыханию и некрозу опухоли. Частичная ремиссия была достигнута при использовании поверхностного рентгеновского облучения, аргонового лазера, облучения электронным пучком.
Информация на сайте подлежит консультации лечащим врачом и не заменяет очной консультации с ним.
См. подробнее в пользовательском соглашении.
ПАТОМОРФОЛОГИЧЕСКАЯ ХАРАКТЕРИСТИКА ЭККРИННОЙ ПОРОКАРЦИНОМЫ Текст научной статьи по специальности «Клиническая медицина»
Похожие темы научных работ по клинической медицине , автор научной работы — Мнихович М. В., Безуглова Т. В., Романов А. В., Снегур С. В., Павлова Ю. Г.
Текст научной работы на тему «ПАТОМОРФОЛОГИЧЕСКАЯ ХАРАКТЕРИСТИКА ЭККРИННОЙ ПОРОКАРЦИНОМЫ»
КРЫМСКИЙ ЖУРНАЛ ЭКСПЕРИМЕНТАЛЬНОЙ И КЛИНИЧЕСКОЙ МЕДИЦИНЫ
ПАТОМОРФОЛОГИЧЕСКАЯ ХАРАКТЕРИСТИКА ЭККРИННОЙ ПОРОКАРЦИНОМЫ
Мнихович М. В.1, Безуглова Т. В.1,Романов А. В.2, Снегур С. В.4, Павлова Ю. Г.45,
Камаль Халави Скафи3, Кущ Д. С.2, Балаянц В. А.2
'ФГБНУ «НИИ морфологии человека», Москва 2РНИМУ им. Н.И. Пирогова Минздрава России, Москва 3Медицинский центр Клалит, Иерусалим, Израиль 4Рязанская Областная Клиническая Больница
5Рязанский Государственный Медицинский Университет им. И. П. Павлова
Введение. Эккринная порокарцинома (ЭП) -это редкий тип рака кожи (от 0,005 до 0,01%), который образуется из потовых желез. Эта опухоль является злокачественным аналогом поро-мы (Bonadio J. et al., 2006).
Диагностика порокариномы трудна, потому что, во-первых, эти опухоли невероятно редки, и, во-вторых, у них много общих структур с другими опухолями, из-за которых можно ошибочно диагностировать такие опухоли как: экринная порома, базально-клеточный рак, плоскоклеточный рак, злокачественная меланома и др.(Abdulwahid M. et al; Wick M.R. et al., 1985; Spiro R H. et al., 1978).
Эккринная порокарцинома возникает у больных от 12 до 92 лет (средний возраст 68 лет). Почти в 50% она встречается на нижних конечностях (голенях, стопах, бедрах), относительно часто на волосистой части головы и лице, редко — на подошвах и ладонях. Клинически начальным признаком эккринной поромы является папула. В дальнейшем клиническая картина зависит от особенностей возникновения опухоли и продолжительности ее существования. Эпидер-мотропные злокачественные эккринные поро-мы in situ имеют веррукозную или чешуйчатую поверхность и на ранней стадии развития напоминают доброкачественный кератоз, диагноз трудно установить до тех пор, пока у больного не будет выражена симптоматика, в частности, появления на этом фоне узловатых сгруппированных элементов. Малигнизация первоначально доброкачественной эккринной поромы может сопровождаться внезапным и быстрым ростом опухоли, изъязвлением, зудом, болью, кровотечением из опухоли. Новообразование в этом случае приобретает сходство с пиогенной гранулемой или плоскоклеточным раком кожи. Пигментный вариант злокачественной эккрин-
ной поромы напоминает меланому. Чем больше размер опухоли, тем выше вероятность ее метастатического распространения.
Цель работы: Патоморфологическая оценка операционного материала кожи, иссечённой по поводу порокарциномы, с помощью соответствующих современных методик прижизненной морфологической диагностики.
Материал и методы: Данные по послеоперационной биопсии кожи и методам IHC, полученные у 39-летнего пациента (1980 г.р.) с диагнозом порокариномы кожи правой руки после удаления опухоли в 2012 г. и 2 рецидивами в 2016 г. (с последующими 7 курсов РСТ (Ци-сплатин, Паклитаксел) и 2017 (с последующими 2 курсами РСТ (Доксорубицин, Цисплатин, Ластет)). Проведено гистологическое и иммуно-гистохимическое исследование операционного материала кожи.
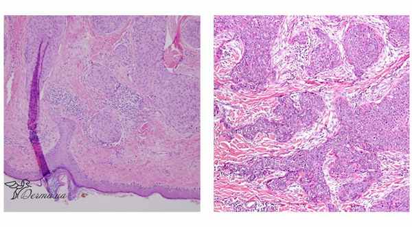
Результаты: При микроскопии отмечается удлиненный эпидермис, состоящий из связанных кластеров атипичных эпителиальных опухолевых пороидных клеток, солидных агрегатов опухолевых клеток и дуктальных структур, а также кистозных агрегатов из эпителиальных клеток. Заметные митотические фигуры и часто наблюдаются атипичные митозы.
При ИГХ исследовании отмечается диффуз-но-положительное цитоплазматическое окрашивание на панцитокератин, CK6 и CK7. Выраженная цитоплазматическая экспрессия CEA и EMA наблюдалась в протоковых и кистозных структурах.
Выводы. Эккринная порокаринома - редкая опухоль. Этот случай расширяет наше понимание природы, физиологии и патологии этой опухоли. Настоящее исследование дает надежду на своевременную и адекватную диагностику этих опухолей с последующим лечением.
Эккринная порокарцинома

Эккринная порокарцинома — это редкий тип рака кожи с участием потовых желез. Потовые железы присутствуют в коже, с наибольшей плотностью — на ладонях, подошвах, лице и коже головы.
Содержание
Что такое эккринная порокарцинома?
Эккринная порокарцинома, как правило, представляет собой медленно растущую опухоль, которая часто наблюдается у людей старше 60 лет и встречается в равной степени у мужчин и женщин. Эккринная порокарцинома изредка может распространяться на внутренние органы.
Что вызывает эккринную порокарциному?
Причина появления эккринной порокарциномы неизвестна. В отличие от некоторых других видов рака кожи, ее появление не связано с воздействием солнца.
Является ли эккринная порокарцинома наследственной?
Нет. В настоящее время нет никаких доказательств наследственного характера эккринной порокарциномы.
Каковы симптомы эккринной порокарциномы?
Эккринная порокарцинома часто не вызывает симптомов, но иногда может возникнуть кровотечение, зуд или болезненность.
Как выглядит эккринная порокарцинома?
Эккринная порокарцинома обычно выглядит как розовый выпуклый, узелок или комок кожи, который имеет влажную и блестящую поверхность. Эккринная порокарцинома чаще всего встречается на ногах, но также может возникать на других участках тела, голове и шее.
Как диагностируется эккринная порокарцинома?
Эккринная порокарцинома является редким раком и поэтому иногда ее трудно диагностировать. Диагноз обычно делается с помощью биопсии кожи пораженного участка, где берут небольшой образец ткани, чтобы его можно было исследовать под микроскопом. Патологоанатом, который исследует образец, будет искать характерные черты эккринной порокарциномы.
Можно ли излечить эккринную порокарциному?
Частота излечения составляет 70-80%, если эккринная порокарцинома диагностирована на ранней стадии и удалена хирургическим путем.
Как лечить эккринную порокарциному?
Лечение обычно проводится хирургическим удалением под местной анестезией. Некоторые пациенты могут быть направлены на микрографическую операцию Мооса, которая является узкоспециализированным хирургическим методом для удаления рака кожи. У 20% пациентов, у которых опухоль распространилась на другие органы, будут рассмотрены такие методы лечения, как лучевая терапия и химиотерапия.
Что я могу сделать для профилактики эккринной порокарциномы?
Регулярно проверяйте свою кожу на предмет появления розового комка с блестящей и влажной поверхностью, особенно на ногах. Обратитесь к своему лечащему врачу, если вы заметите изменения в характере образований, которые есть у вас в течение длительного времени. Примеры изменений включают кровотечение, изъязвление или быстрый рост поражения кожи.
Порокарцинома
Порокарцинома – редкая злокачественная дермальная опухоль, происходящая из клеток протоков эккринных потовых желез. Может возникать на неизмененной коже или развиваться на фоне экринной поромы. Чаще всего поражаются нижние конечности, реже встречаются порокарциномы туловища, лица и волосистой части головы, еще реже страдают верхние конечности. Представляет собой узел на широком основании. На поверхности узла могут выявляться участки изъязвления. Порокарцинома характеризуется относительно доброкачественным течением. На поздних стадиях может давать лимфогенные и гематогенные метастазы. Диагностируется на основании гистологического исследования. Лечение оперативное.
Общие сведения
Порокарцинома (злокачественная эккринная порома, эпидермотропная эккринная карцинома) – очень редкое злокачественное новообразование и, вместе с тем, самая распространенная разновидность онкологического поражения эккринных потовых желез. В 30-50% случаев образуется в результате малигнизации доброкачественной эккринной поромы. В литературе описаны случаи порокарциномы, диагностированной в возрасте от 12 до 92 лет. Опухоль чаще поражает пожилых пациентов, средний возраст появления симптомов заболевания составляет 67-68 лет. Мужчины и женщины страдают одинаково часто.
В 45% случае порокарцинома обнаруживается в области нижних конечностей. В 20% случаев страдает кожа туловища, в 15% - кожа лица и волосистой части головы, в 10% - кожа верхних конечностей. При расположении на нижних конечностях порокарцинома чаще всего выявляется в области подошв, при локализации на верхних конечностях – в области ладоней. Регионарные метастазы выявляются у 20-30% больных с впервые поставленным диагнозом и у 75% пациентов с локальными рецидивами. Возможно отдаленное метастазирование. На ранних стадиях течение порокарциномы относительно доброкачественное, при появлении вторичных очагов отмечается существенное ухудшение прогноза. Лечение проводят специалисты в области онкологии и дерматологии.
Причины порокарциномы
Причины развития порокарциномы достоверно не выяснены. Установлено, что опухоль нередко возникает в результате озлокачествления эккриновых пором. Существуют данные о развитии новообразований на фоне сального невуса, актинического кератоза, саркоидоза, экстрамаммарной формы болезни Педжета, хронического лимфолейкоза, пернициозной анемии и болезни Ходжкина. Специалисты отмечают, что порокарцинома может возникать после травматических повреждений или получения высокой дозы рентгеновского излучения. Возможны ассоциации неоплазии с онкологическими заболеваниями внутренних органов.
Макроскопически порокарцинома представляет собой экзофитно растущий узел на широком основании. При микроскопии новообразования в толще эпидермиса выявляются гнезда мелких базалоидных клеток с включениями более крупных клеток с признаками атипии или чередующиеся гнезда базалоидных клеток и структуры, состоящие из атипичных клеток. Атипичные клетки порокарциномы имеют полиморфные гиперхромные ядра. Иногда одиночные крупные клетки диффузно располагаются в неизмененном эпидермисе, из-за чего гистологическая картина порокарциномы может напоминать болезнь Педжета.
В скоплениях атипичных клеток могут просматриваться протокообразные структуры, участки некроза, небольшие полости и «роговые жемчужины». Вокруг клеточных скоплений видны признаки инфильтрации. При длительном существовании порокарциномы атипичные клетки могут проникать в дерму, близлежащие волосяные фолликулы, периневральные пространства, стенки кровеносных и лимфатических сосудов. При проведении иммуногистохимического исследования определяется положительная реакция с альфа-лактатальбуминовым антигеном, антигеном эпителиальных мембран и карциноэмбриональным антигеном.
Симптомы и диагностика порокарциномы
Вначале на поверхности кожи в области поражения образуется папула. В последующем папула трансформируется в плотноэластический или мягкий узел, возвышающийся над поверхностью кожи. Большинство порокарцином располагаются на широком основании, реже выявляются узлы на ножке. Некоторые новообразования имеют дольчатое строение. Цвет порокарциномы варьирует от розоватого до темно-красного или красно-коричневого. Размер обычно не превышает 1-2 см. Поверхность неоплазии ровная, иногда обнаруживаются признаки папилломатоза или незначительного гиперкератоза. У некоторых больных отмечается выраженная пигментация опухоли.
На начальных стадиях порокарцинома безболезненна. При прогрессировании возможны изъязвление, повышенная кровоточивость, зуд и боли в области новообразования. Вероятность метастазирования коррелирует с размером порокарциномы, крупные узлы метастазируют чаще мелких. При лимфогенном метастазировании наблюдается увеличение лимфатических узлов, при гематогенных метастазах клиническая картина заболевания дополняется признаками нарушения функций соответствующих органов. Вторичные очаги порокарциномы могут выявляться в легких, печени, молочных железах, яичниках, мочевом пузыре, средостении, брюшине и ретроперитонеальном пространстве. На поздних стадиях болезни отмечаются астенизация, потеря веса, гипертермия и другие общие признаки онкологического заболевания.
Диагноз порокарциномы дерматоонколог выставляет на основании клинической симптоматики, данных гистологического и иммуногистологического исследования. Дифференциальную диагностику порокарциномы осуществляют с бородавкой, себорейным кератозом, трихоэпителиомой, амеланотической меланомой, плоскоклеточным раком кожи и базалиомой. Для выявления лимфогенных метастазов проводят УЗИ регионарных лимфоузлов. Для обнаружения гематогенных вторичных очагов порокарциномы назначают рентгенографию грудной клетки, УЗИ органов брюшной полости и забрюшинного пространства, УЗИ органов малого таза, МРТ печени и другие исследования.
Лечение и прогноз при порокарциноме
Лечение данной патологии оперативное. Порокарциному иссекают вместе с окружающими неизмененными тканями, материал передают в лабораторию для срочного интраоперационного гистологического исследования. При выявлении атипичных клеток в зоне разреза объем хирургического вмешательства увеличивают. При образовании дефекта после удаления порокарциномы выполняют кожную пластику.
Прогноз при порокарциноме определяется размером и локализацией опухоли. Согласно исследованиям, метастазирование наблюдается при диаметре неоплазии более 2,8 см. Новообразования в области стопы рецидивируют в 24% случаев, на голени – в 16% случаев, на бедре – в 8% случаев. Рецидивы порокарциномы могут возникать в сроки от 4 месяцев до 10 лет с момента иссечения первичного очага. В 75% случаев при рецидиве выявляются лимфогенные метастазы. Лимфогенное метастазирование (как при впервые диагностированных неоплазиях, так и при рецидивных процессах) в 68% случаев заканчивается летальным исходом. При порокарциномах диаметром менее 1 см ни одного смертельных исходов не зафиксировано.
Читайте также:
