Послеоперационный гнойный трахеобронхит. Бронхоскопия при послеоперационном ателектазе
Добавил пользователь Алексей Ф. Обновлено: 07.01.2026
Компьютерная томография – это вид рентгенологического обследования, который позволяет получить трехмерное изображение исследуемого органа. В процессе используется ионизирующее излучение заданной частоты.
Специальное оборудование – томограф – делает послойные снимки, которые затем превращаются в 3D-изображение. Он состоит из движущегося стола, кольца и датчиков. Чаще всего используются томографы закрытого типа.
КТ – это безболезненный метод исследования, который не требует механического воздействия (не делаются разрезы, не вводятся эндоскопические аппараты).
Что такое бронхоскопия
Бронхоскопия – это альтернатива КТ при исследовании бронхов и легких. Такой тип обследования предполагает введение в дыхательные пути эндоскопа. Он оснащен камерой, устройством для впрыскивания лекарства и забора биопсического материала. При данной процедуре может использоваться наркоз.
Получаемое в процессе обследования изображение сразу же передается на монитор, при помощи которого врач наблюдает за ходом процедуры. Благодаря этому можно увидеть цветовую гамму стенок бронхов, что бывает важно при постановке диагноза некоторых заболеваний.
Как проходят бронхоскопия и КТ
Во время проведения компьютерной томографии совершаются следующие действия:
- Пациента укладывают на специальный стол и фиксируют его ремнями (конечности) и подушками (голову), чтобы избежать движения во время процедуры.
- Затем его задвигают внутрь аппарата
- При помощи подвижных датчиков происходит сканирование необходимых органов в разных плоскостях
- Спустя 30-60 минут аппарат отключают, а пациент может встать и получить результаты анализа в виде 3D-снимков
Механизм бронхоскопии отличается. При этом исследовании проводятся такие манипуляции:
- Пациента размещают на кушетке и, при необходимости, могут ввести местный наркоз, чтобы избежать болезненности
- Бронхоскоп (вид эндоскопа) вводят в дыхательные пути
- Камера передает изображение на монитор
- Если необходимо, врач проводит впрыскивание лекарства в очаги заболевания или забор тканей на анализ
- Через час или два прибор вынимают, и пациент получает запись операции
Показания и противопоказания КТ и бронхоскопии
Оба исследования позволяют определить наличие следующих проблем:
- Нарушения дыхания
- Кровоотделение из легких или дыхательных путей
- Пневмония
- Скопление жидкости или гноя в легких
- Определение причин возникновения астмы
- Вероятность наличия новообразования или полипов
- Наличие инородного тела
Также они используются для контроля состояния органов дыхания перед или после операции.
При схожести исследуемых областей из-за различного характера данных типов анализа противопоказания к ним различаются. Но именно благодаря этому бронхоскопия становится альтернативой КТ.
Противопоказаниями к проведению компьютерной томографии являются:
- Беременность – ввиду влияния рентгеновского излучения на развитие плода и вероятность возникновения патологий
- Чрезмерный вес – у томографов есть ограничения на массу и размеры тела пациента
- Клаустрофобия – такие пациенты не смогут выдержать процедуру в трубе томографа, но в данном случае можно использовать аппарат открытого типа
Противопоказания к процедуре в случае необходимости использования контраста:
- Аллергия на йод и его соединения – так как контрастное вещество содержит его большое количество
- Ряд болезней почек и печени, сахарный диабет – из-за того, что контраст будет выводиться из организма слишком медленно, может наступить отравление
С осторожностью и по строгим показаниям применяют КТ для обследования кормящих матерей и детей до 14 лет.
Бронхоскопию же нельзя проводить в следующих случаях:
- Если у пациента астма или ряд иных дыхательных заболеваний
- Сердечно-сосудистые недуги
- Наличие дыхательной недостаточности
- Гортань или трахея чрезмерно сужены
- Возраст до 14 лет
- У больного зафиксированы нарушения психики
- Аллергия на препараты для наркоза, без которых процедуру нельзя проводить
- Если пациент ослаблен серьезным заболеванием
Данный вид обследования может проводиться с местным наркозом, так как пациент должен быть неподвижен. В противном случае может произойти спазм гортани, могут повредиться ткани органов, и сама процедура болезненна и дискомфортна для больного.
Бронхоскопия или КТ – что лучше?
В каждом конкретном случае решать, применение какого метода наиболее оптимально, должен врач.
Когда назначают компьютерную томографию:
- Если организм пациента ослаблен, или он страдает сложными проблемами с дыханием
- В случае противопоказаний к бронхоскопии, когда нельзя применять наркоз, поскольку он оказывает серьезное влияние на организм
- Когда необходимо детальное изображение исследуемого органа в 3D, а также нужна не инвазивность и безболезненность
Если нужно диагностировать наличие рака дыхательных органов, чаще всего используется виртуальная бронхоскопия или МРТ бронхов. От стандартного КТ оно отличается типом используемого излучения (электромагнитные волны) и другим представлением итогового изображения.
Послеоперационный гнойный трахеобронхит. Бронхоскопия при послеоперационном ателектазе
Послеоперационный гнойный трахеобронхит. Бронхоскопия при послеоперационном ателектазе
Для разрешения гнойного трахеобронхита, как осложнения после пневмонэктомии, возможно использовать бронхоскопический метод. Бронхоскпия позволяет произвести тщательную аспирацию гноя из трахеи и бронхов, осуществить промывание их раствором соды (4%) и ввести непосредственно в очаг поражения антибиотики с учетом чувствительности выделенной микрофлоры.
Бронхоскопическое лечение обтурационных ателектазов, которое мы считаем обязательным и наиболее эффективным, позволило нам определить в ряде случаев особые причины обтурационного ателектаза. Широкое использование аппаратов механического ушивания легочной ткани (УКЛ-40, УКЛ-60) провело к тому, что нередко скрепочный шов накладывается не по анатомическим границам легочных сегментов.

Это может привести к повреждению крупных сосудистых стволов с последующим внутрилегочным кровотечением и развитием обтурационного ателектаза части или всего легкого. Кровяные сгустки обтурируют просветы мелких и крупных бронхов. Возможность образования послеоперационного ателектаза легкого за счет внутрилегочного кровотечения при использовании аппаратного шва вполне реальна. Среди 127 больных с ателектазами и гиповентиляцией мы наблюдали подобную этиологию обтурационного ателектаза у 5 больных,, что составляет 3,9% и 1,6% от операций, выполненных с помощью аппарата УКЛ.
Бронхоскопия позволяет при этом определить причину ателектаза, провести тщательную аспирацию сгустков (нередко с механическим их удалением) и восстановить проходимость бронхов с разрешением ателектаза.
Ушивание долевого бронха при лобэктомии скрепочным, швом довольно нередко влечет за собой повреждение хрящевых пластинок. Поломанный хрящ или его части при бронхоскопии четко определяются в культе резецированного бронха в виде выступающих пластин хряща, лишенного слизистой оболочки. Размер этих искусственно созданных экхондром колеблется от нескольких миллиметров до одного сантиметра.
Обломки хрящевых пластинок, выступающих из культи долевого бронха, могут механически перекрывать просвет остающихся бронхов и таким образом способствовать образованию обтурационного ателектаза. Такое осложнение мы наблюдали бронхоскопически у 3 больных (2,9%) после верхней лобэктомии слева. Положение усугубляется еще и тем, что травматический отек культи бронха способствует нарушению дренажной функции оставшихся бронхов. Для разрешения обтурационного ателектаза такого происхождения показано выкусывание кусачками травматизированного хряща, его осколков и восстановление проходимости бронхов.
Информация на сайте подлежит консультации лечащим врачом и не заменяет очной консультации с ним.
См. подробнее в пользовательском соглашении.
Стенозы трахеи и бронхов
Информацию из данного раздела нельзя использовать для самодиагностики и самолечения. В случае боли или иного обострения заболевания диагностические исследования должен назначать только лечащий врач. Для постановки диагноза и правильного назначения лечения следует обращаться к Вашему лечащему врачу.
Стенозы трахеи и бронхов: причины появления, симптомы, диагностика и способы лечения.
Определение
Стенозы трахеи и бронхов – это сужения просвета трахеи и/или бронхов в результате замещения нормальных структур стенки грубой рубцовой тканью, приводящие к разрушению хрящевых колец и нарушению их каркасной функции.

Число больных со стенозами трахеи и бронхов в мире постоянно увеличивается. Это связано с возрастающим количеством интубаций трахеи для проведения искусственной вентиляции легких при выполнении сложных оперативных вмешательств или для лечения тяжелых расстройств дыхания в отделениях интенсивной терапии.
Механическое повреждение слизистой оболочки трахеи интубационной трубкой, продолжительное сдавливание кровоснабжающих ее сосудов приводят к воспалительным процессам в стенке с последующим формированием соединительной ткани.
Хрящевая основа каркаса стенок трахеи утрачивает свою функцию, развивается сужение просвета дыхательного пути. Меняется топографо-анатомические взаимоотношение рядом расположенных органов и тканей, что негативно сказывается на процессах кровообращения и дыхания.
К сужению трахеи и бронхов могут приводить некоторые заболевания. Одним из них является амилоидоз – редкое системное заболевание, при котором происходит межклеточное отложение гомогенных белковых масс во всех без исключения органах и тканях организма. Накопление амилоида в проксимальном (внегрудном) отделе трахеи вызывает клинику стеноза верхних дыхательных путей различной степени выраженности, что часто требует оперативного расширения просвета или наложения трахеостомы.
Гранулематоз Вегенера – еще одно редкое системное заболевание неизвестной этиологии, которое характеризуется гранулематозно-некротическим системным васкулитом, вовлечением верхних и нижних дыхательных путей, легких, почек. Развиваются язвенно-некротические изменения слизистой глотки, гортани, трахеи. Оперативное лечение при гранулематозе Вегенера проводят по жизненным показаниям, так как послеоперационные раны при открытых хирургических вмешательствах могут заживать очень долго.
Остеохондропластическая трахеобронхопатия чаще поражает среднюю и нижнюю трети трахеи и бронхов. Причина возникновения остеохондропластической трахеобронхопатии остается неясной (врожденное происхождение, хронический бронхит, специфический воспалительный процесс (туберкулез, сифилис) и др.). В подслизистом слое трахеи и бронхов между кольцами трахеи появляются разрастания губчатой кости и/или хряща. Трахея и крупные бронхи превращаются в жесткие ригидные трубки, приближаясь по плотности к костной ткани. Плотные белесоватые бугорки по ходу хрящевых колец могут свисать в просвет трахеи и бронхов по типу сталактитов. Просвет трахеи сужается и деформируется.
Туберкулез трахеи и бронхов чаще всего является осложнением туберкулеза легких и лишь в очень редких случаях - самостоятельным заболеванием. Процесс начинается с образования инфильтрата в слизистой оболочке. Рубцевание в крупных бронхах приводит к их сужению и может стать причиной возникновения ателектаза (спадения ткани легкого).
Врожденными причинами стеноза трахеи и/или бронхов могут быть аномалия развития стенки трахеи и/или бронхов; двойная дуга аорты, сдавливающая просвет трахеи.
Причинами трахеобронхиальных стенозов могут стать трансплантация одного или двух легких, комплекса «легкие–сердце»; закрытые и открытые повреждения; ожоги дыхательных путей; хронические инфекционные воспалительные процессы трахеи и крупных бронхов; злокачественные опухоли легких, пищевода и средостения.
К редким причинам относят болезнь Крона, рецидивирующий полихондрит, саркоидоз, фиброзирующий медиастенит, гастроэзофагеальный рефлюкс.
Классификация заболевания
По причине возникновения:
- врожденные стенозы;
- приобретенные стенозы:
- посттрахеостомический,
- постинтубационный,
- посттравматический,
- идиопатический.
По протяженности поражения:
1-я степень - ограниченный стеноз (менее 15% всей длины трахеи);
2-я степень - стеноз средней протяженности (от 15% до 30%);
3-я степень - протяженный стеноз (от 30% до 60%);
4-я степень – распространенный стеноз (более 60%).Симптомы стеноза трахеи и бронхов
Основным клиническим проявлением трахеобронхиальных стенозов является затруднение дыхания - от одышки при физической нагрузке до стридора (свистящего шумного дыхания, обусловленного турбулентным воздушным потоком в дыхательных путях) в покое.У пациентов могут наблюдаться кашель, кровохарканье, нарушение глотания. Дисфония проявляется гнусавостью, осиплостью, охриплостью голоса. Больные указывают на перенесенную ранее травму, оперативное вмешательство на органах шеи, длительное нахождение на ИВЛ.
Диагностика стеноза трахеи и бронхов
Для оценки выраженности нарушений проходимости дыхательных путей и динамики развития процесса применяют различные методы исследования:- спирография - метод исследования функции внешнего дыхания, включающий измерение объемных и скоростных показателей дыхания;
- спирография с фармацевтическими пробами - измерение легочного объема на фоне воздействия специальных фармакологических препаратов для диагностики патологии органов дыхания;
- пневмотахометрия - метод исследования скорости воздушного потока через бронхи и трахею при форсированном выдохе и вдохе с изображением их в графическом виде;
- общая плетизмография - метод прямого измерения величины бронхиального сопротивления при спокойном дыхании. Метод основан на синхронном измерении скорости воздушного потока (пневмотахограммы) и колебаний давления в герметичной кабине, куда помещается пациент;
- обзорный рентген органов грудной клетки в прямой и боковой проекциях с целью оценки состояния легких и средостения, локализации и степени сужения трахеи, наличия трахеомаляции (размягчения опорных хрящей трахеи);
Рентгенологическое исследование структуры легких с целью диагностики различных патологий.
Бронхоскопия. Что это? Как проходит исследование?
Бронхоскопия (синоним БС, ФБС (где Ф-фибро, ВБС (где В-видео), трахеобронхоскопия) - эндоскопический метод исследования трахеи и бронхов (нижних дыхательных путей), а так же верхних дыхательных путей (полости носа, носоглотки, гортаноглотки, ротоглотки, гортани).
Бронхоскоп представляет из себя тонкую гибкую трубку, со сложным внутренним строением, с камерой на конце.
Бронхоскоп вводится через носовые ходы в гортань, далее в трахею и бронхи, с целью их осмотра.
![]()
![]()
![]()
Как проходит исследование?
На отделении эндоскопии СПБ НИИФ бронхоскопию выполняют под местной анестезией (10%-ый Лидокаин-спрей и 2%-ый Лидокаин во время проведения исследования) или под внутривенным наркозом. Пациент находится в сидячем или полу-сидячем положении. Процедура длится несколько минут, ее длительность зависит от патологии, выявляемой в процессе исследования.
Бронхоскопия – безболезненное исследование, не вызывающее трудностей у абсолютного большинства пациентов.
Когда необходимо приходить на бронхоскопию?
Чаще всего показаниями к проведению бронхоскопии являются:
- выявленные на рентгенограмме, компьютерной томографии (КТ) или магнито-резонансной томографии (МРТ) патологические изменения в легких или средостении (хроническое неспецефическое воспаление легких, наличие полости распада/кисты легкого, интерстициальные и диссеминированные изменения в легких, периферические и центральные новообразования, лимфаденопатия средостения неясной этиологии, подозрение на туберкулез легких)
- признаки стеноза трахеи и бронхов, ателектаза легкого
- длительный кашель неясной этиологии
- кровохарканье
- подозрение на наличие инородного тела трахеи и бронхов
- пред/послеоперационный осмотр в торакальной хирургии
- экссудативный плеврит неясной этиологии
- пневмония не поддающаяся лечению
- рак пищевода
- подозрения на повреждение дыхательных путей
Как подготовиться к бронхоскопии?
Для подготовки к исследованию необходимо не есть и не пить за 4 часа до его начала. Кроме того, следует:
1) Принять все лекарства, которые вы постоянно принимаете, по обычной схеме. Это относится и к терапии артериального давления, и к ингаляциям для лечения бронхиальной астмы, и к инсулину для лечения сахарного диабета и т.д.⠀
- При утреннем приеме таблеток их следует запить небольшим количеством воды (1-2 глотка), минимум за 1,5-2 часа до исследования.⠀
- При необходимости введения инсулина короткого действия: либо запись на самое ранее время, либо на более позднее, чтобы прошло 3-4 часа после приема пищи.⠀
- Ингаляции применяются в любом случае и никак отрицательно не повлияют на исследование.
2) Взять с собой необходимые медицинские документы. В этот список входят: ⠀
- Направление от врача (при наличии), где должен быть указан диагноз и цель исследования.
- Rg- или МСКТ-снимки или заключение рентгенолога. Ведь без точного понимания локализации патологии невозможно прицельно собрать материал (например промывные воды бронхов) на анализ.
- Заключения предыдущих исследований, для сравнения динамики заболевания.
- Выписки из стационарного лечения в больницах, особенно при проведении операций на легких или при наличии онкологических заболеваний.
3) При наличии тяжелый сопутствующий заболеваний пройти осмотр, и при необходимости, дополнительное обследование (ЭКГ, ФВД и т.д.) у соответствующего специалиста (при тяжелой астме – у пульмонолга; при тяжелой сердечной недостаточности – у кардиолога и т.д.), для выявления возможных противопоказаний к исследованию.
Отделение эндоскопии СПб НИИФ оснащено современной аппаратурой, позволяющей оценить изображение в HD-качестве, а также использовать дополнительные способы усиления изображения (I-SCAN).
![]()
![]()
На отделении выполняется весь спектр диагностических (смывы из бронхов, бронхо-альвеолярный лаваж, биопсию тканей гортани, трахеи и бронхов; трансбронхиальную биопсию легких под рентген-контролем и т.д) и лечебных бронхоскопий (удаление инородных тел гортани, трахеи и бронхов; фотодинамическое лечение центральных опухолей трахеи и бронхов; бужирование стенозов трахеи и т.д.)
Так же мы можем, при необходимости, записать исследование на электронный носитель.
Эндоскопическое оборудование, на нашем отделении, проходит специальную машинную обработку и хранится в шкафах в асептических условиях.
Ателектаз легкого
Ателектаз легкого – безвоздушность легочной ткани, обусловленная спадением альвеол на ограниченном участке (в сегменте, доле) или во всем легком. При этом пораженная легочная ткань исключается из газообмена, что может сопровождаться признаками дыхательной недостаточности: одышкой, болью в грудной клетке, цианотичным оттенком кожных покровов. Наличие ателектаза устанавливается по данным аускультации, рентгенографии и КТ легкого. Для расправления легкого может назначаться лечебная бронхоскопия, ЛФК, массаж грудной клетки, противовоспалительная терапия. В ряде случаев требуется хирургическое удаление ателектазированного участка.
МКБ-10
Общие сведения
Ателектаз легкого (греч. "ateles" - неполный + "ektasis" - растяжение) – это неполное расправление или тотальное спадение легочной ткани, приводящее к уменьшению дыхательной поверхности и нарушению альвеолярной вентиляции. Если спадение альвеол вызвано компрессией легочной ткани извне, то в этом случае обычно используется термин «коллапс легкого». В спавшемся участке легочной ткани создаются благоприятные предпосылки для развития инфекционного воспаления, бронхоэктазов, фиброза, что диктует необходимость применения активной тактики в отношении данной патологии. В пульмонологии ателектазом легкого могут осложняться самые различные заболевания и повреждения легких; среди них на долю послеоперационных ателектазов приходится 10-15%.
Причины
Ателектаз легкого развивается в результате ограничения или невозможности поступления воздуха в альвеолы, что может быть обусловлено целым рядом причин. Врожденный ателектаз у новорожденных наиболее часто возникает в связи с аспирацией мекония, околоплодных вод, слизи и т. д. Первичные ателектазы легкого характерны для недоношенных детей, у которых снижено образование или отсутствует сурфактант - антиателектический фактор, синтезируемый пневмоцитами. Реже причинами врожденных ателектазов становятся пороки развития легкого, внутричерепные родовые травмы, вызывающие угнетение дыхательного центра.
В этиологии приобретенных ателектазов легкого наибольшее значение принадлежит следующим факторам: закупорке просвета бронха, компрессии легкого извне, рефлекторным механизмам и аллергическим реакциям. Обтурационный ателектаз может возникать в результате попадания в бронх инородного тела, скопления в его просвете большого количества вязкого секрета, эндобронхиального роста опухоли. При этом величина ателектазированного участка прямо пропорциональна калибру обтурированного бронха.
Непосредственными причинами компрессионного ателектаза легкого, могут выступать любые объемные образования грудной полости, оказывающие давление на легочную ткань: аневризма аорты, опухоли средостения и плевры, увеличенные лимфоузлы при саркоидозе, лимфогранулематозе и туберкулезе и пр. Однако наиболее частыми причинами коллапса легкого становятся массивный экссудативный плеврит, пневмоторакс, гемоторакс, гемопневмоторакс, пиоторакс, хилоторакс. Послеоперационные ателектазы нередко развиваются после хирургических вмешательств на легких и бронхах. Как правило, они обусловлены повышением бронхиальной секреции и снижением дренажной функции бронхов (плохим откашливанием мокроты) на фоне перенесенной операционной травмы.
Дистензионные ателектазы легких вызваны нарушением растяжения легочной ткани нижних легочных сегментов вследствие ограничения дыхательной подвижности диафрагмы либо угнетения дыхательного центра. Участки гипопневматоза могут развиваться у лежачих больных, при заболеваниях, сопровождающихся рефлекторным ограничением вдоха (асците, перитоните, плеврите и пр.), отравлении барбитуратами и другими лекарственными средствами, параличе диафрагмы. В ряде случаев ателектаз легкого может возникнуть как следствие бронхоспазма и отека слизистой оболочки бронха при заболеваниях аллергической природы (астмоидном бронхите, бронхиальной астме и др.).
Патогенез
В первые часы в ателектазированном участке легкого отмечается вазодилатация и венозное полнокровие, приводящие к транссудации отечной жидкости в альвеолы. Происходит снижение активности ферментов эпителия альвеол и бронхов и протекающих с их участием окислительно-восстановительных реакций. Спадение легкого и нарастание отрицательного давления в плевральной полости вызывают смещение органов средостения в пораженную сторону. При выраженных нарушениях крово- и лимфообращения возможно развитие отека легких. Через 2-3 суток в очаге ателектаза развиваются признаки воспаления, прогрессирующие в ателектатическую пневмонию. При невозможности расправления легкого в течение длительного времени на месте ателектаза начинаются склеротические изменения с исходом в пневмосклероз, ретенционные кисты бронхов, деформирующий бронхит и бронхоэктазы.
Классификация
По происхождению ателектаз легкого может быть первичным (врожденным) и вторичным (приобретенным). Под первичным ателектазом понимают состояние, когда у новорожденного ребенка по какой-либо причине не происходит расправления легкого. В случае приобретенного ателектаза отмечается спадение легочной ткани, ранее уже участвовавшей в акте дыхания. Данные состояния необходимо отличать от внутриутробного ателектаза (безвоздушного состояния легких, наблюдаемого у плода) и физиологического ателектаза (гиповентиляции, имеющей место у некоторых здоровых людей и представляющей собой функциональный резерв легочной ткани). Оба этих состояния не являются истинным ателектазом легкого.
В зависимости от объема «выключенной» из дыхания легочной ткани ателектазы делятся на ацинозные, дольковые, сегментарные, долевые и тотальные. Они могут быть одно- и двусторонними – последние крайне опасны и могут привести к гибели больного. С учетом этиопатогенетических факторов ателектазы легких подразделяются на:
- обструктивные (обтурационные, резорбционные) – связанные с механическим нарушением проходимости трахеобронхиального дерева
- компрессионные (коллапс легкого) – вызванные сдавлением легочной ткани снаружи скоплением в плевральной полости воздуха, экссудата, крови, гноя
- контракционные – вызванные сдавлением альвеол в субплевральных отделах легких фиброзной тканью
- ацинарные – связанные с дефицитом сурфактанта; встречаются у новорожденных и взрослых при респираторном дистресс-синдроме.
Кроме этого, можно встретить деление ателектазов легких на рефлекторные и послеоперационные, развивающиеся остро и постепенно, неосложненные и осложненные, преходящие и стойкие. В развитии ателектаза легкого условно выделяют три периода: 1- спадение альвеол и бронхиол; 2 – явления полнокровия, транссудации и локального отека легочной ткани; 3 – замещение функциональной ткани соединительной, формирование пневмосклероза.
Симптомы ателектаза легкого
Яркость клинической картины ателектаза легкого зависит от скорости спадения и объема нефункционирующей легочной ткани. Одиночный сегментарный ателектаз, микроателектазы, среднедолевой синдром нередко протекают бессимптомно. Наиболее выраженной симптоматикой отличается остро развившийся ателектаз доли или целого легкого. При этом возникает внезапная боль в соответствующей половине грудной клетки, пароксизмальная одышка, сухой кашель, цианоз, артериальная гипотония, тахикардия. Резкое нарастание дыхательной недостаточности может стать причиной летального исхода.
Осмотр больного выявляет уменьшение дыхательной экскурсии грудной клетки и отставание пораженной половины при дыхании. Над очагом ателектаза определяется укороченный или тупой перкуторный звук, дыхание не прослушивается или резко ослаблено. При постепенном выключении легочной ткани из вентиляции симптомы выражены в меньшей степени. Однако в последующем в зоне гипопневматоза может развиться ателектатическая пневмония. Повышение температуры тела, появление кашля с мокротой, нарастание симптомов интоксикации свидетельствует о присоединении воспалительных изменений. В этом случае ателектаз легкого может осложниться развитием абсцедирующей пневмонии или даже абсцесса легкого.
Диагностика
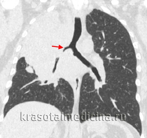
Основу инструментальной диагностики ателектаза легкого составляют рентгенологические исследования, прежде всего, рентгенография легких в прямой и боковой проекциях. Для рентгенологической картины ателектаза характерно гомогенное затенение соответствующего легочного поля, смещение средостения в сторону ателектаза (при коллапсе легкого - в здоровую сторону), высокое положение купола диафрагмы на пораженной стороне, повышенная воздушность противоположного легкого. При рентгеноскопии легких на вдохе органы средостения смещаются в сторону спавшегося легкого, на выдохе и при кашле – в сторону здорового легкого. В сомнительных случаях данные рентгенографии уточняются с помощью КТ легких.
![КТ органов грудной клетки. Ателектаз верхней доли правого легкого, обусловленный злокачественной опухолью правого верхнедолевого бронха]()
КТ органов грудной клетки. Ателектаз верхней доли правого легкого, обусловленный злокачественной опухолью правого верхнедолевого бронха
Для выяснения причин обструктивного ателектаза легкого информативна бронхоскопия. При длительно существующем ателектазе, для оценки степени поражения производятся бронхография и ангиопульмонография. Рентгеноконтрастное исследование бронхиального дерева выявляет уменьшение участка ателектазированного легкого и деформацию бронхов. По данным АПГ можно судить о состоянии легочной паренхимы и глубине ее поражения. Исследование газового состава крови выявляет значительное снижение парциального давления кислорода. В рамках дифференциальной диагностики исключаются агенезия и гипоплазия легкого, междолевой плеврит, релаксация диафрагмы, диафрагмальная грыжа, киста легкого, опухоли средостения, крупозная пневмония, цирроз легкого, гемоторакс и др.
Лечение ателектаза легкого
Выявление ателектаза легкого требует от врача (неонатолога, пульмонолога, торакального хирурга, травматолога) деятельной, активной тактики. Новорожденным с первичным ателектазом легкого в первые минуты жизни производится отсасывание содержимого дыхательных путей резиновым катетером, при необходимости - интубация трахеи и расправление легкого.
При обтурационном ателектазе, вызванном инородным телом бронха, для его извлечения необходимо проведение лечебно-диагностической бронхоскопии. Эндоскопическая санация бронхиального дерева (бронхоальвеолярный лаваж) необходима в том случае, если спадение легкого вызвано скоплением трудно откашливаемого секрета. С целью устранения послеоперационных ателектазов легкого показано проведение трахеальной аспирации, перкуторного массажа грудной клетки, дыхательной гимнастики, постурального дренажа, ингаляций с бронхолитическими и ферментными препаратами. При ателектазах легких любой этиологии необходимо назначение превентивной противовоспалительной терапии.
При коллапсе легкого, обусловленном наличием в плевральной полости воздуха, экссудата, крови и другого патологического содержимого, показано срочное проведение торакоцентеза или дренирования плевральной полости. В случае длительного существования ателектаза, невозможности расправления легкого консервативными методами, формирования бронхоэктазов ставится вопрос о резекции пораженного участка легкого.
Прогноз и профилактика
Успешность расправления легкого напрямую зависит от причины ателектаза и сроков начала лечения. При полном устранении причины в первые 2-3 суток прогноз в отношении полного морфологического восстановления участка легкого благоприятный. При более поздних сроках расправления легкого нельзя исключить развития вторичных изменений в спавшемся участке. Массивные или стремительно развившиеся ателектазы могут привести к смерти. Для профилактики ателектаза легкого важны недопущение аспирации инородных тел и желудочного содержимого, своевременное устранение причин внешнего сдавления легочной ткани, поддержание проходимости дыхательных путей. В послеоперационном периоде показана ранняя активизация больных, адекватное обезболивание, занятия ЛФК, активное откашливание бронхиального секрета, при необходимости – санация трахеобронхиального дерева.
1. Основные клинические синдромы при заболеваниях органов дыхания: Методическое пособие/ Павленко В.В. – 2008.
3. Восстановительная хирургия внутригрудных дыхательных путей: Практическое пособие/ Сачек М.Г., Аничкин В.В. – 1982.
Читайте также:






