Принципы цветовой допплерографии
Добавил пользователь Евгений Кузнецов Обновлено: 29.01.2026
В последние годы возможности ультразвукового оборудования по визуализации потока (движущихся жидких сред) существенно расширились. Комплексы цветного представления теперь являются неотъемлемой частью большинства сканеров, а такие режимы, как Тканевый (TDI) или Энергетический Допплер (Power) обеспечивают новые возможности для визуализации исследуемых объектов на основе оборудования самых различных классов. При такой универсальности Допплеровских режимов на из основе неизбежно возникают методики для решения более требовательных задач и выполнения гораздо более точных измерений, например при исследовании кровообращения матери и развивающегося плода. Тем не менее, чтобы избежать неправильной интерпретации результатов, специалистам по ультразвуковой диагностике необходимо знать обо всех факторах, которые могут повлиять на допплеровский сигнал, будь то цветное изображение потока или допплероваская сонограмма.
Грамотное, компетентное применение методов ультразвуковой допплерографии подразумевает понимание трех ключевых аспектов:
- Возможности и технические ограничения допплерографии;
- Различные параметры, от которых зависит визуализация в допплеровских режимах
- Физиологические основы и особенности кровотока в артериях и венах.
Далее будет описано, как эти аспекты способствуют повышению качества визуализации в допплерографии. В тексте также приводятся базовые рекомендации по повышению качества визуализации в различных режимах представления движущихся сред.
Основные принципы допплерографии
Ультразвуковое изображение, как в цветном допплеровском картировании, так и в спектральном допплеровском режиме, получают на основе измерений скорости и направления движения различных частиц. Чтобы зафиксировать движение крови или других сред, ультразвуковые сканеры передают в ткани серию импульсов.
Возвращающиеся к датчику сигналы от неподвижного субстрата существенно не отличаются друг от друга в пределах одной серии импульсов.
Сигналы, отраженные от движущихся частиц (как правило - это клетки крови) система получает с незначительной разницей во времени для каждого импульса по сравнению с предыдущим в пределах серии (рисунок 1). Эта разница может быть рассчитана непосредственно как временной, или чаще фазовый сдвиг, на основе которого в дальнейшем получают “допплеровскую частоту” (рисунок 2). Эти данные обрабатываются для получения цветного изображения кровотока или доплеровской сонограммы.

Рисунок 1: Измерение скорости ультразвука. На схеме показана частица S, движущаяся со скоростью V под углом Ɵ к ультразвуковому лучу. Скорость может быть рассчитана по разнице во времени между передачей и приемом первого (t1) и второго (t2) лучей, вызванной перемещением частицы в области распространения луча.

Рисунок 2: Принцип допплерографии основан на измерении скорости движения частиц в области распространения луча по изменению Допплеровского фазового сдвига получаемого сигнала. Результирующая Допплеровская частота fd может быть использована для измерения скорости V, если известен угол Ɵ между УЗ лучем и потоком.
Как видно из рисунков 1 и 2, для возникновения фазового сдвига необходимо движение в направлении распространения луча; если поток движется перпендикулярно, относительное смещение частиц зафиксировать будет невозможно. Возвращаясь к математическому представлению процесса напомним, что Cos 90 и 270 равен 0, поэтому, при размещении датчика перпендикулярно к кровотоку мы не получим какого-либо отличного от 0 значения допплеровской частоты.
Амплитуда допплеровского сигнала зависит от нескольких аспектов:
- Скорость кровотока: с увеличением скорости кровотока V повыщается и допплеровская частота fd.
- Частота ультразвука: Более высокая частота позволяет получить большую допплеровскую частоту. Как и в B-режиме, более низкая частота имеет большую проникающую способность.
- Выбор частоты - это определение баланса между более высокой чувствительности к потоку или лучшей проникающей способностью;
- Угол инсонации (“облучения” звуком) влияет на допплеровскую частоту. Она повышается по мере выравнивания ультразвукового луча относительно направления потока (угол Ɵ между лучом и направлением потока становится меньше). Это имеет огромное значение при использовании допплерографии. Принцип схематически изображен на рисунке 3.

Рисунок 3:Влияние угла допплера на вид сонограммы. (А) Чем больше направление УЗ луча соответствует потоку, тем выше допплеровская частота. На диаграмме луч (А) совмещен с кровотоком в большей степени, чем (B), при обработке его отражения мы получаем допплеровский сигнал с более высокой частотой. Угол между УЗ-лучем и направлением кровотока (С) близок к 90°, из-за чего допплеровский сигнал очень слаб. Кровоток на диаграмме (D) движется в противоположном относительно луча направлении, следовательно, амплитуда сигнала имеет отрицательное значение.
Все виды допплеровского ультразвукового оборудования используют фильтры чтобы исключить из итоговой диаграммы большие амплитуды низкочастотных допплеровских сигналов, получаемых при движении тканей, например, при движении стенок сосудов. Рабочая частота фильтра в большинстве случаев может быть изменена/задана пользователем (через панель Preset-настроек или при оптимизации изображения с помощью регуляторов суб-панелей), например, для исключения из сонограммы сигналов ниже 50, 100 или 200 Гц. Этот частотный фильтр ограничивает минимальные регистрируемые скорости движения субстрата (взвеси, кровотока).
Непрерывный (постоянный) Допплер CW (Continious Wave) и Импульсный Допплер PW (Pulsed Wave)
Как следует из названия, сканер при работе в Непрерывном Допплеровском режиме использует непрерывную (одновременную) передачу и прием ультразвука. Система формирует допплеровский сдвиг фаз на основе сигналов, получаемых от всех сосудов на пути ультразвукового луча (до тех пор, пока луч не будет достаточно ослаблен из-за глубины проникновения). В режиме непрерывного допплера невозможно определить конкретное местоположение точек со значениями скорости (т.е. невозможно построить градиент скоростей). Следовательно, данный режим не может быть использован для получения цветного двумерного изображения. В настоящий момент широкое распространение получили относительно недорогие системы допплерографии (УЗИ сканеры, укомплектованные соответствующими платами и пакетами прикладных программ), которые с помощью датчиков, предназначенных для подобных исследований выводят допплеровскую развертку, не используя двумерные изображения В-режима. Непрерывный допплер также используется в кардиологии (при исследовании взрослых пациентов) для измерения высоких скоростей кровотока в аорте.


Допплерография в целом и акушерские ультразвуковые исследования в частности также использует режим Импульсного Допплера, который позволяет проводить измерения глубины (или диапазона) участка потока. Кроме того, границы контрольного объема (или измерительных ворот) могут быть изменены. Импульсно-волновой допплероский режим используется как для построения доплеровских сонограмм, так и для формирования цветных изображений на основе двумерного представления B-режима.
Искажение
Ключевой недостаток импульсной допплерографии - физические ограничения процесса. Импульсы передаются на определенной частоте дискретизации (частота повторения импульсов), максимально допустимая допплеровская частота ƒd, поддающаяся измерению, равна половине частоты дискретизации. Если скорость кровотока и угол между лучем и направлением движения жидкости измеряются совокупно для получения ƒd Допплеровской частоты больше половины частоты дискретизации, могут появиться искажения доплеровского сигнала. Аналогичный эффект наблюдается в видеозаписях, где из-за низкой частоты смены кадров fps визуализация движения колес искажается, вследствие чего складывается впечатление, что колеса движутся в обратном направлении.

Рисунок 4: Искажения цветного доплеровского изображения и цветовые артефакты. На цветном изображении присутствуют области с искажениями кровотока (отмечены желтыми стрелками).

Рисунок 5: Снижение усиления по цвету и повышение частоты повторения импульсов.

Рисунок 6 (a, b): Пример наложения спектров и коррекция изображения. (a) Искаженная осциллограмма с резким прерыванием систолического пика и его отображением ниже базового уровня. (b) Чистая сонограмма без искажения. Для коррекции: увеличена частота дискретизации и скорректирована базовая линия.
Частота повторения импульсов ограничена диапазоном контрольного объема. Временной интервал между импульсами дискретизации должен быть достаточным для получения обратного пути импульса: от датчика к движущимся частицам и обратно. Если второй импульс отправлен до получения “ответа”, датчик физически не распознает различий между отраженными сигналами первого и второго импульсов, в следствие чего и возникает неоднозначность (искажение изображения).
При увеличении глубины исследования увеличивается и время импульса (временной интервал между отправкой сигнала и получением ответа), соответственно, снижается частота повторения импульсов. В результате максимальная Допплеровская частота ƒd понижается с глубиной.


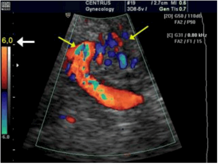
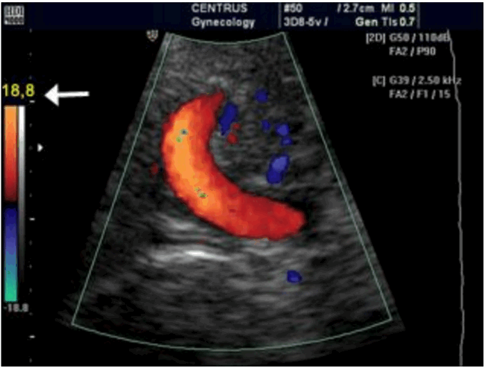
Рисунок 7 (a, b): Цветное допплеровское картирование: влияние частоты повторения импульсов или масштаба цветовой шкалы. а. Установленная низкая частота повторения импульсов, то есть неверный масштаб (отмечен желтой стрелкой). На изображении присутствуют искажения и посторонний шум в пределах контрольного объема пупочной артерии и вены. b. Частота повторения импульсов установлена корректно - масштаб шкалы верный. Цветное изображение показывает артерии и вены четко и без артефактов.
Добрый день! Скажите, пожалуйста, можете ли помочь с настройкой картинки в режимах Допплера на этом аппарате. В последнее время заметили сильную разницу в картинке на нашем аппарате и новых (в использовании примерно год). Заранее спасибо!
Добрый день, Михаил Викторович.
Действительно, необходимо настраивать аппарат УЗИ каждые пол года, так как настройки могут сбиться. Наша компания оказывает данный вид услуг.
Принципы цветовой допплерографии
Принципы цветовой допплерографии
Цветовая допплерография - это импульсноволновой режим допплеровского исследования, при котором на двумерное изображение сердца или сосуда одновременно накладывается большое количество маленьких контрольных объемов, которые распределены по всему двумерному изображению среза сердца или сосуда. Таким образом, в реальном масштабе времени отображается пространственное распределение различных по направлению и величине скоростей потока крови, кодируемых цветом.
а) Аутокорреляция. В силу необходимости одновременного анализа сигналов из множества контрольных объемов расчет скоростей основан на ином принципе, чем при спектральной допплерографии: вместо быстрого преобразования Фурье (FFT) используется аутокорреляция. В этом случае, в отличие от спектральной допплерографии, высчитывается только среднее смещение частот в одном контрольном объеме. Крайне упрощенно это можно описать так: полученный импульс одной из линий сканирования подвергается сравнению («корреляции») с непосредственно предшествовавшим ему импульсом.
Если отраженный импульс имеет смещение по фазе по сравнению с предыдущим сигналом, то это означает, что движущийся объект переместился в промежутке между этими двумя импульсами. Смещение по фазе можно представить в виде смещения частот, что, в свою очередь, позволяет определить скорость движения объекта. Эта операция одновременно производится для многих линий сканирования и различных глубин измерения.
б) Кодировка цветом. Для наглядности в этом режиме различные скорости отображаются не в цифровом виде, а разными цветами. При этом скоростям, вектор которых направлен в сторону датчика, соответствуют красно-желтые тона, а скоростям, направленным в сторону от датчика, - сине-голубые. Как и импульсно-волновая допплерография, цветовое допплеровское исследование из-за феномена Найквиста также не может однозначно определять высокие скорости кровотока.
В зависимости от прибора высокоскоростные компоненты (как, например, в турбулентном потоке) изображаются в виде светлого мозаичного узора или как бирюзовая примесь к основному рисунку.
в) Частота кадра. Обычно максимальная скорость движения крови при недостаточности клапана, выраженном стенозе или дефекте межжелудочковой перегородки в несколько раз превышает скорость Найквиста. Частота кадра для цветовой допплерографии ниже, чем для обычного двумерного эхоизображения. Она обратно пропорциональна ширине цветового сектора и его глубине, а также точности и разрешению при измерении скоростей (т.е. числу импульсов, участвующих в аутокорреляции). Увеличение одного из этих параметров (например, ширины сектора цветовой допплерографии) приводит к снижению частоты кадра или снижению одного из других параметров.
г) Величина струи и скорость потока. По многим причинам двумерная ширина потока при цветовой допплерографии («величина струи») клинически лишь слабо коррелирует с реальным потоком крови (в мл/с). Наряду с эксцентриситетом, трехмерностью, адгерентностью стенок, факторами обработки изображения, усилением, частотой повторения импульсов и другими факторами, это связано с тем физическим обстоятельством, что величина струи пропорциональна сумме импульсов частичек жидкости, участвующей в потоке.
- импульс - это произведение массы и скорости,
- масса струи зависит от потока (в мл/с) и
- поток можно представить как произведение площади его сечения на среднюю линейную скорость, то получается, что величина струи пропорциональна квадрату линейной скорости, а величина потока (Q, в мл/с) - прямо пропорциональна линейной скорости движения жидкости v (Q — А • V, где А - площадь поперечного сечения). Это объясняет исключительную зависимость величины струи от разницы давлений по обе стороны сужения. Для того чтобы in vitro удвоить величину струи, следует удвоить градиент давления, а скорость - увеличить в четыре раза. Так, например, величина струи митральной регургитации сильно зависит от уровня систолического давления.
Допплер-ультразвуковое исследование
Допплерография – это современный высокоинформативный метод ультразвуковой диагностики заболеваний сосудов, основанный на использовании эффекта Доплера. Целью УЗДГ является определение объема и скорости кровотока, а так же наличия препятствий для него.
Из истории метода
Изменение (или сдвиг) частоты и длины звуковых и ультразвуковых волн, отражающихся от подвижных объектов относительно неподвижного регистратора, называется эффектом Доплера. Сдвиг частоты прямо пропорционален скорости движущихся объектов. Движение, направленное в сторону датчика, проявляется увеличением частоты, движение от датчика – снижением. Явление было названо в честь австрийского ученого-физика К. Доплера (К.Doppler), впервые описавшего его в 1842 г.
В медицинской диагностике эффект Доплера применяется с ультразвуковым и с лазерным излучением, но более широкое распространение получили ультразвуковые методы.
- в 1966 г разработаны допплеровские системы с выделением направления,
- в 1967 – импульсные системы,
- 1971 г – допплеровская визуализация,
- 1974 г – дуплексные системы эхо-импульсного типа,
- 1979-82 – цветовое допплеровское картирование (ЦДК или CFM) в режиме реального времени,
- 1994 г – допплеровская тканевая визуализация (энергетический допплер).
Суть метода допплерографии
Допплерография – это метод УЗИ диагностики, основанный на эффекте Доплера: изменение частоты УЗ-волн, отраженных от движущихся эритроцитов. Допплеровский сдвиг частоты позволяет судить о скорости и направлении кровотока. В результате передачи серии ультразвуковых импульсов в ткани на экране монитора получают график, демонстрирующий изменение скорости кровотока с течением времени на заданной глубине (допплеровский спектр или частотный спектр эхо-сигналов, поступающих от кровотока).
Такой спектральный (или импульсный) режим позволяет на основе оценки кровотока вычислить ряд важных параметров. Метод УЗ-допплерографии (или «слепой допплер») позволяет оценить лишь одну функцию – проходимость сосуда, на основе графика кровотока. Поскольку отсутствует визуализация сосудов, нельзя уточнить причину выявленного нарушения его проходимости.
Моно режим УЗДГ считается устаревшим. Это был первый этап развития УЗ-допплерографии, когда исследователю приходилось на глаз выставлять глубину сканирования в предполагаемом местонахождении сосуда. Графический спектр кровотока получался в слепую, без визуального подтверждения, откуда он получен.
Усовершенствованный и более информативный метод – дуплексное ультразвуковое сканирования (УЗДС). Современный УЗИ-сканер выполняет одновременно две функции (дуплекс):
- анатомическое исследование сосудов,
- качественное и количественное исследование кровотока.
УЗДС дает информацию о состоянии сосуда и окружающих тканей в В-режиме (серый спектр) и позволяет оценить гемодинамические явления с использованием эффекта Доплера.
Дуплексное сканирование отображает сосуд в двух плоскостях – вдоль и поперек. Двухмерная визуализация сосудов позволяет оценивать их проходимость и причины ее нарушения (стеноз, наличие тромбов и бляшек, извитость хода, аномалии развития), а так же скорость и направление кровотока.
Технологический режим, при котором дуплексное сканирование проходит с использованием цветного допплеровского картирования, называется триплексным сканированием. Цветовой режим дает информацию о качественном состоянии кровотока, его характере (равномерный или турбулентный, с множественными завихрениями), а спектральный режим – количественную, или информацию о скорости кровотока.
Цветовой режим дает более точную оценку проходимости сосудов. Исследуется состояние как венозных, так и артериальных сосудов. Красный цвет на мониторе показывает кровоток, направленный в сторону датчика, синий – направление кровотока от датчика.
В режиме триплексного сканирования способен работать любой стационарный сканер среднего или экспертного класса, произведенный ведущими мировыми фирмами в течение последних 10 лет.
Преимущество метода
УЗ-допплерография, позволяющая проводить наблюдения в режиме реального времени, является неинвазивным и безопасным методом исследования параметров циркуляции крови и состояния сосудов. Преимущество УЗДГ в том, что он позволяет получить результат безболезненно и без побочных эффектов для пациента, без лучевой нагрузки и практически без прямых противопоказаний. Его можно применять и у детей.
Допплерография исследует так же скорость сокращения сердечной мышцы и движения сердечных клапанов. В отличие от ангиографии, метод УЗДГ совершенно безвреден, поскольку не нуждается во введении контрастных веществ.
Преимущества допплерографии особенно очевидны в акушерской практике. Метод позволяет изучать состояние кровотока плода, маточных артерий и пуповины, а так же регистрировать ЧСС плода.
Дуплексное сканирование широко используется в сосудистой хирургии.
Метод способствует ранней диагностике заболеваний и предупреждению развития осложнений. Может выполняться повторно неоднократно, что может быть необходимо для оценки динамики заболевания на фоне терапии.
ЦВЕТОВОЕ ДОППЛЕРОВСКОЕ КАРТИРОВАНИЕ
· В сравнении с визуализацией в режиме серой шкалы, использование цветовой допплерографии повышает мощность излучения. Разрешающая способность цветовой допплерографии повышается с уменьшением размера “цветового окна” (color box). Необходимо внимательно относится к показателям MI и TI в виду того, что их значения меняются в зависимости от величины и глубины расположения “цветового окна”.
· Увеличение размера “цветового окна” так же ведет к увеличению времени обработки сигнала и как следствие уменьшению частоты повторения кадров (frame rate). “Окно” должно быть по возможности как можно меньше и включать в себя только исследуемую область/зону интереса.
· Скоростная шкала или частота повторения импульсов должны быть настроены так, чтобы отображать реальную цветовую скорость исследуемого сосуда. Когда используются высокие значения PRF, сосуды с низкими скоростями кровотока не будут отображаться на экране. Когда используется слишком низкие значения PRF, появляется aliasing-артефакт, который проявляется несоответствующим цветовым кодированием скоростей, создавая впечатление двунаправленного потока.
· Как и для визуализации в режиме серой шкалы, разрешение и глубина сканирования цветовой допплерографии зависят от частоты ультразвука. Для оптимизации сигналов частота цветового допплеровского режима должна быть соответствующе отрегулирована.
· Усиление (Gain) должно быть отрегулировано таким образом, чтобы предотвратить появление шума и артефактов, которые проявляются появлением беспорядочных цветовых сигналов на фоне экрана.
· Необходимо настроить частотный фильтр для устранения шума, исходящего из исследуемой зоны.
· Угол инсонации значительно влияет на изображение в режиме цветовой допплерографии; он должен быть настроен путем оптимизации положения ультразвукового датчика в соответствии с положением кровеносного сосуда или исследуемой области. Энергетическая и направленная энергетическая допплерография
· Применимы все аналогичные основополагающие принципы, как и для направленной цветовой допплерографии.
· Угол инсонации имеет меньшее влияние на получение сигналов при энергетической допплерографии; тем не менее при использовании этого режима следует осуществлять те же методы оптимизации изображения, что и для направленной цветовой допплерографии.
· Aliasing-артефакт не наблюдается при использовании энергетической допплерония PRF могут привести к появлению шума и артефактов.
· Усиление (Gain) должно быть уменьшено для предотвращения усиления шума (проявляется как однотонное окрашивание фона изображения).
КАКАЯ МЕТОДИКА ДОЛЖНА ИСПОЛЬЗОВАТЬСЯ ДЛЯ ОЦЕНКИ ДОППЛЕРОВСКИХ КРИВЫХ СКОРОСТЕЙ КРОВОТОКА В МАТОЧНОЙ АРТЕРИИ?
Используя ЦДК в режиме реального времени, маточная артерия легко обнаруживается в области соединении шейки и тела матки. Измерение допплеровских скоростей кровотока обычно проводится в этой позиции трансабдоминально (2, 3) или трансвагинально (3–5). Принимая во внимание, что абсолютные значения скоростей кровотока не имеют принципиального клинического значения, обычно проводится полуколичественная оценка КСК.
Измерения следует проводить отдельно для правой и левой маточной артерии, кроме того необходимо отмечать наличие дикротической выемки (notching) на КСК.
Оценка маточных артерий в первом триместре. (Рис. 1)
Рис. 1. Кривая скорости кровотока в маточной артерии, полученная трансабдоминальным доступом в первом триместре беременности.
1. Трансабдоминальная метод
· Трансабдоминально выводится срединно-сагиттальная плоскость сечения матки и визуализируется ход цервикального канала. Предпочтительно, чтобы мочевой пузырь матери был пустым.
· Датчик смещается латерально до момента, когда начинает визуализироваться сосудистое сплетение в парацервикальной области.
· Включается режим цветовой допплерографии и маточная артерия визуализируется в области ее поворота в краниальном направлении, где она начинает подъем к телу матки.
· Измерения проводятся в сегменте перед началом разветвления маточной артерии на аркуатные артерии.
· Этот же процесс повторяется на противоположной стороне.
2. Трансвагинальный метод
· Трансвагинально датчик располагается в переднем своде влагалища. Далее используется аналогичная методика, описанная для трансабдоминального доступа. Датчик смещается латерально до визуализации парацервикального сосудистого сплетения, и перечисленные выше шаги повторяются в той же последовательности, что и для трансабдоминального метода.
· Необходимо проявлять внимание, чтобы правильно дифференцировать маточные артерии с шеечно-вагинальными (которые имеют цефало-каудальное направление) или с аркуатными артериями. Для маточных артерий будут типичны скорости выше 50 см/с, что может быть использовано для их отличия от аркуатных артерий.
Оценка маточных артерий во втором триместре (Рис. 2)
Рис. 2. Кривые скоростей кровотока в маточной артерии, полученные трансабдоминальным доступом во втором триместре беременности. Нормальный (а) и патологический (б) спектр; обратите внимание на наличие дикротической выемки (стрелка) на спектре КСК (б).
1.Трансабдоминальный метод
· Трансабдоминально датчик располагается продольно в нижнем латеральном квадранте живота с наклоном в медиальном направлении. Для обнаружения маточной артерии, которая визуализируется в месте пересечения с наружной подвздошной артерией, используется режим цветовой допплерографии.
· Контрольный объем импульсноволнового допплера располагается по ходу кровотока маточной артерии на 1 см ниже точки пересечения двух сосудов. В тех редких случаях, когда маточная артерия разветвляется до момента пересечения с наружной подвздошной артерией, контрольный объем должен быть установлен на сегмент до места ее бифуркации.
· Этот же процесс повторяется для маточной артерии на противоположной стороне.
· С увеличением срока беременности матка обычно совершает ротацию вправо. Потому, левая маточная артерия будет определяться не так латерально как правая.
2. Трансвагинальный метод
· Женщина должна опорожнить мочевой пузырь и находится в позиции дорсальной литотомии. Датчик должен располагаться в латеральном своде влагалища, маточная артерия определяется при помощи цветовой допплерографии на уровне внутреннего зева латеральнее шейки матки.
· Этот же процесс повторяется для маточной артерии с противоположной стороны. Необходимо помнить, что нормативные значения допплеровских индексов в маточных артериях зависят от метода измерения, потому для трансабдоминального (3) и трансвагинального (5) доступа должны использоваться соответствующие нормативы. При этом методика сканирования должна быть аналогична той, которая была использована при получении данных нормативных значений.
Примечание. У женщин с врожденными аномалиями развития матки, оценка допплеровских индексов в маточных артериях и их интерпретация не являются надежным методом, так как все исследования проводились на женщинах с (предполагаемой) нормальной анатомией.
КАКАЯ МЕТОДИКА ДОЛЖНА ИСПОЛЬЗОВАТЬСЯ ДЛЯ ОЦЕНКИ ДОППЛЕРОВСКИХ КРИВЫХ СКОРОСТЕЙ КРОВОТОКА В АРТЕРИИ ПУПОВИНЫ?
Существует значительная разница показателей допплерографии, измеренных на плодном конце, в свободной петле и на плацентарном конце пуповины (6). Наивысшее сопротивление отмечается на плодном конце, и таким образом нулевой/реверсный конечный диастолический кровоток скорее всего будет сначала обнаружен в этом месте. В литературе опубликованы нормативные значения допплеровских индексов, оцененные в этом месте артерии пуповины (7, 8).
Ради простоты и постоянства показателей, измерения следует проводить на уровне свободной петли пуповины. Однако в случаях многоплодной беременности, и/или для сравнения повторных измерений в динамике, регистрация кровотоков в “фиксированых местах”, например, в области плодного конца, плацентарного конца или интраабдоминального сегмента может быть более надежной.
Рис. 3. Приемлемая (а) и неприемлемая (б) регистрация кривых скоростей кровотока в артерии пуповины. На изображении (б) спектр кровотока очень мелкий и скорость горизонтальной развертки слишком медленная.
Рис. 4. Спектр кривых скоростей кровотока в артерии пуповины, полученный у одного и того же плода с интервалом в 4 мин демонстрирующий: (а) нормальный кровоток и (б) кажущийся очень низкий диастолический кровоток и отсутствие сигналов от кровотока вблизи базовой линии, в результате использования неадекватной настройки частотного фильтра (который установлен на слишком высоком уровне).
В зависимости от того, где была выполнена оценка кровотока, необходимо использовать соответствующие нормативные значения. На рис. 3 показана приемлемая и неприемлемая регистрация кривых скоростей кровотока. Рис. 4 демонстрирует влияние частотного фильтра на вид КСК.
Примечание. 1) В случаях многоплодной беременности, оценка кровотока в артерии пуповины может быть затруднена, в виду сложности определения, какому именно плоду принадлежит конкретная петля пуповины. В этих случаях лучше проводить оценку кровотока непосредственно дистальнее места прикрепления пуповины к передней брюшной стенке плода.
Однако, показатели сосудистого сопротивления в этой области будут выше, чем на уровне свободной петли или плацентарного конца, потому необходимо использовать соответствующие нормативные значения. 2) В случае наличия только двух сосудов в пуповине, в любом сроке беременности, диаметр единственной артерии пуповины будет больше, чем при наличии 2-х артерий, и соответственно сосудистое сопротивление будет ниже (9).
КАКАЯ МЕТОДИКА ДОЛЖНА ИСПОЛЬЗОВАТЬСЯ ДЛЯ ОЦЕНКИ ДОППЛЕРОВСКИХ КРИВЫХ СКОРОСТЕЙ КРОВОТОКА В СРЕДНЕЙ МОЗГОВОЙ АРТЕРИИ?
· Следует вывести поперечное сечение головки плода на уровне таламусов и крыльев крыловидной кости и выполнить увеличение изображения.
· Для визуализации Виллизиевого круга и проксимальной части средней мозговой артерии следует использовать режим ЦДК (рис. 5).
· Контрольный объем импульсноволнового допплера должен быть установлен в проксимальной трети МСА в непосредственной близости от места ее отхождения от внутренней сонной артерии (10) поскольку систолическая скорость снижается по мере увеличения расстояния от места отхождения этого сосуда.
· Угол между ультразвуковым лучом и направлением кровотока должен поддерживаться как можно более близким к 0° (рис. 6).
· Необходимо следить, чтобы на головку плода не оказывалось излишнего давления.
· Следует провести одномоментную регистрацию не менее 3, но не более 10 последовательный сердечных циклов КСК. Наивысшая точка подъема кривой соответствует пиковой систолической скорости PSV (см/с).
· Измерение PSV может быть выполнено вручную с использованием каллиперов или с помощью автоматической трассировки. Последняя дает достоверно более низкие средние значения по сравнению первым методом (использование каллиперов), но зато наиболее приближенные к опубликованным средним значениям, используемым в клинической практике (11). ПИ обычно вычисляется с использованием автоматической трассировки, однако очерчивание вручную так же приемлемо.
· Для интерпретации результатов должны использоваться соответствующие нормативы. Методика измерения должна быть аналогичной той, которая использовалась для получения нормативных значений.
Рис. 5. Цветовое допплеровское картирование Виллизиевого круга.
Рис. 6. Приемлемая регистрация кривых скоростей кровотока в средней мозговой артерии. Обратите внимание на угол инсонации близкий к 0°.
КАКАЯ МЕТОДИКА ДОЛЖНА ИСПОЛЬЗОВАТЬСЯ ДЛЯ ОЦЕНКИ ДОППЛЕРОВСКИХ КРИВЫХ СКОРОСТЕЙ КРОВОТОКА В ВЕНАХ ПЛОДА?
ВЕНОЗНЫЙ ПРОТОК (РИС. 7 И 8)
· Венозный проток (ВП) соединяет интраабдоминальный сегмент пупочной вены с верхней частью нижней полой вены непосредственно под диафрагмой. Этот сосуд можно визуализировать в режиме серой шкалы (2D) в срединно-сагиттальном сечении тела плода или в косом поперечном сечении верхней части живота (12).
· В узком устье венозного протока ЦДК демонстрирует высокоскоростной поток, что помогает идентифицировать этот сосуд и определяет стандартное место для расположения контрольного объема при выполнении допплеровских измерений (13).
· Допплеровские измерения могут быть получены наилучшим образом при сканировании в сагиттальном сечении в направлении от передне-нижней части живота плода, поскольку в этом случае можно легко контролировать положение контрольного объема в перешейке. Сагиттальный доступ через грудную клетку так же может использоваться, но требует больших навыков от оператора. Косое сечение обеспечивает приемлемый доступ из переднего или заднего положения, позволяя получить адекватные по виду КСК, но с меньшими возможностями контроля угла инсонации и абсолютных скоростей.
· В ранние сроки беременности и при патологии беременности особое внимание надо уделить выбору адекватно небольшого размера контрольного объема импульсноволнового допплера, чтобы добиться четкой регистрации низкоскоростных потоков в фазу систолы предсердий.
· На протяжении второго и третьего триместров беременности регистрируются относительно высокие скорости кровотока от 55 до 90 см/с (15), но в ранние сроки беременности эти значения обычно бывают ниже.
КАКИЕ ПОКАЗАТЕЛИ ИСПОЛЬЗОВАТЬ?
Систолодиастолическое отношение, РИ и ПИ являются тремя общепринятыми показателями для описания кривых скоростей артериального кровотока. Все три показателя тесно взаимосвязаны. ПИ демонстрирует линейную зависимость с сосудистым сопротивлением в отличие от С/Д и РИ, для которых характерна параболическая зависимость с ростом сосудистого сопротивления (16).
Кроме того, ПИ не теряет смысл в случае нулевых или отрицательных значений диастолического кровотока. ПИ является наиболее часто используемым индексом в современной клинической практике.
По аналогии, по данным современной литературы пульсационный индекс для вен (PIV) является наиболее широко используемым показателем для оценки кривых скоростей венозного кровотока (17). В некоторых ситуациях использование абсолютных значений скоростей может быть более предпочтительным, чем полуколичественных показателей индексов.
Поперечные профили набережных и береговой полосы: На городских территориях берегоукрепление проектируют с учетом технических и экономических требований, но особое значение придают эстетическим.
Опора деревянной одностоечной и способы укрепление угловых опор: Опоры ВЛ - конструкции, предназначенные для поддерживания проводов на необходимой высоте над землей, водой.

Организация стока поверхностных вод: Наибольшее количество влаги на земном шаре испаряется с поверхности морей и океанов (88‰).
© cyberpedia.su 2017-2020 - Не является автором материалов. Исключительное право сохранено за автором текста.
Если вы не хотите, чтобы данный материал был у нас на сайте, перейдите по ссылке: Нарушение авторских прав. Мы поможем в написании вашей работы!
Ультразвуковая допплерография сосудов
Клиники Санкт-Петербурга, где оказывается данная услуга для взрослых (176)
Клиники Санкт-Петербурга, где оказывается данная услуга для детей (68)
Специалисты, оказывающие данную услугу (1)
Ультразвуковая допплерография – один из ультразвуковых методов обследования организма, основанный на эффекте Доплера, открытом автором еще в 1842 году.
Принцип работы приборов для ультразвуковой допплерографии
Суть эффекта Доплера - от движущихся объектов ультразвуковые волны отражаются со сдвигом частоты, который пропорционален скорости движения исследуемого объекта, при этом, если движение направлено в сторону датчика, то частота увеличивается, если от датчика – уменьшается.
Хотя методика позволяет получать информацию о движении любых жидких сред, в современной медицине допплерография применяется в первую очередь для исследования сосудистого русла и кровотока в нем. Современные аппараты ультразвуковой диагностики для регистрации эффекта Доплера используют передатчик, посылающий ультразвуковые волны в направлении исследуемого сосуда, и приемник, фиксирующий изменение частоты полученного ультразвукового сигнала, при отражении его от движущихся частиц крови (прежде всего, от эритроцитов). Полученные данные позволяют получить основные характеристики кровотока в исследуемом сосуде: скорость и направление движения крови, объем кровяной массы, движущейся с определенными скоростями. Исходя из этих характеристик, можно сделать определенные выводы о нарушении кровотока, состоянии сосудистой стенки, наличии атеросклеротического стеноза или закупорке сосудов тромбами и т.д.
Классификация методов ультразвуковой допплерографии
Существует несколько основных методов допплерографии:
Спектральная допплерография (ПСД) используется для оценки кровотока в относительно крупных сосудах и камерах сердца (эхокардиография). Полученные при ПСД данные похожи на кардиограмму или картинку на экране осциллографа, и представляют собой график скорости кровотока за определенное время (по вертикальной оси отражается скорость, а по горизонтальной – время). При этом сигналы, отображающиеся выше горизонтальной оси, идут от потока крови, направленного к датчику, ниже этой оси – от датчика. Непрерывная ПСД регистрирует движение крови на всю глубину проникновения ультразвуковой волны, а импульсная позволяет фиксировать только кровоток на заданном расстоянии от датчика.
Энергетическая допплерография (ЭД), в отличие от ПСД, позволяет отображать кровоток во всех сосудах на исследуемом участке тела, в том числе мелких сосудах с очень небольшой скоростью течения крови. Но при этом ЭД не позволяет оценить направление, характер и скорость движения крови. Поэтому ЭД в основном применяется для оценки васкуляризации (достаточности кровоснабжения) внутренних органов и отдельных участков мягких тканей. Полученные при ЭД данные выводятся на монитор прибора в виде цветного изображения исследуемого органа либо участка мягких тканей, при этом оттенки цвета (как правило, от темно-оранжевого к желтому) несут информацию об интенсивности эхосигнала, и, соответственно, качестве кровоснабжения.
Современные ультразвуковые аппараты позволяют легко комбинировать вышеперечисленные методы.
Изолированная ультразвуковая допплерография в настоящее время используется редко. Чаще применяется так называемое дуплексное сканирование (ультразвуковая дуплексная допплерография), представляющая собой сочетание допплеровского ультразвукового сканирования (в ПСД либо ЭД режиме) с традиционным ультразвуковым исследованием. Традиционный режим УЗИ, так называемый B-режим, даёт информацию в виде двухмерных черно-белых изображений анатомических структур в масштабе реального времени. Его применение при допплерографии позволяет более точно локализовать исследуемый сосуд, и получить информацию о строении его стенки, величине просвета и т.д.
Остальные варианты допплерографии сосудов принципиальных отличий от описанных выше не несут, и являются дополнениями, основанными на компьютерной обработке полученных при исследовании данных:
Цветовое картирование позволяет вывести информацию о характеристиках кровотока в более удобном для интерпретации виде – когда на мониторе прибора в зависимости от направления тока крови, его изображение окрашивается красным или синим цветом, оттенки которого зависят от скорости течения крови.
Триплексным сканированием часто называют дуплексную допплерометрию с цветовым картированием.
Наконец, трехмерная допплерография позволяет с помощью компьютерного моделирования построить трехмерное изображение исследуемого органа или сосуда, и в реальном времени отслеживать кровоток в нем (с цветным картированием). Для построения трехмерной модели необходима серия изображений объекта исследования под разными углами в ручном режиме, что несет за собой основной недостаток метода – большая вероятность геометрических искажений из-за неравномерного перемещения датчика вручную.
Ультразвуковая допплерография активно применяется во многих областях медицины: сосудистой хирургии и флебологии, кардиологии и кардиохирургии, нейрохирургии и т.д. С более подробной информацией об исследованиях, основанных на принципе ультразвуковой допплерографии, можно ознакомиться в других статьях раздела (ссылки приведены ниже).
Читайте также:
