Прогрессирующая дисплазия тазобедренного сустава
Добавил пользователь Евгений Кузнецов Обновлено: 13.12.2025
Прогрессирующая дисплазия тазобедренного сустава (ранее – врожденный вывих бедра) является аномалией развития тазобедренного сустава.
Прогрессирующая дисплазия тазобедренного сустава приводит к подвывиху или вывиху; может быть односторонней или двусторонней. К факторам повышенного риска относятся:
наличие других деформаций (например, кривошея Врожденная кривошея Аномалии шеи и спины могут быть вызваны повреждением мягких тканей или костей либо аномалиями позвоночника. (См.также Введение во врожденные черепно-лицевые и скелетно-мышечные расстройства. Прочитайте дополнительные сведения , врожденная деформация стопы Эквиноварусная деформация стопы (косолапость) и другие аномалии стоп Эквиноварусная косолапость характеризуется сгибанием подошвы, наклоном пятки внутрь (от средней линии ноги) и приведением переднего отдела стопы (медиальное отклонение от вертикальной оси ноги). Прочитайте дополнительные сведенияположительный семейный анамнез (особенно для девочек);
Врождённая дисплазия тазобедренного сустава представляется результатом слабости связок вокруг сустава или внутриутробного положения плода. Асимметричные складки кожи в области бедра и паха весьма распространены, но подобные складки также возникают у младенцев без врождённой дисплазии тазобедренного сустава. Если дисплазия тазобедренного сустава остается незамеченной и не лечится, больная нога со временем становится короче, появляется боль в тазобедренном суставе. Абдукция бедра часто может быть нарушена из-за спазма аддуктора.
Всем новорожденным проводят физикальный осмотр. Поскольку физикальное обследование имеет ограниченную чувствительность, младенцам группы повышенного риска и младенцам с аномалиями, выявленными во время физикального обследования, как правило, следует провести визуализирующие исследования.
Обычно используются два скрининговых теста:
Тест Ортолани: обнаруживает скольжение бедра назад в вертлужную впадину
Тест Барлоу: обнаруживает скольжение бедра из вертлужной впадины
Каждое бедро обследуют отдельно. Оба маневра начинают, положив ребенка на спину и согнув бедра и колени под углом 90° (ноги свисают с кровати).
Чтобы провести тест Ортолани, бедренную кость обследуемого бедра отводят (т.е., колено перемещают от средней линии в положение лягушачьих ног) и осторожно тянут вперед. Нестабильность выявляется пальпаторно, иногда слышен глухой звук от головки бедренной кости, движущейся по заднему краю вертлужной впадины и перемещающейся в полости.
Далее при тесте Барлоу бедро возвращается в исходное положение, а затем слегка приводится (т.е., колено прокручивается по всему телу) и подталкивается сзади. Глухой звук указывает, что головка бедренной кости выходит из вертлужной впадины.
Кроме того, разница в высоте колена, когда ребенок супинирован с согнутыми бедрами, коленями и положением ступней на столе для обследования больного ( Признак Галеацци Признак Галеацци —см. рисунок), предполагает дисплазию, особенно одностороннюю. Несколько позже (например, в возрасте 3–4 месяцев) подвывих или вывих выявляются при обнаружении невозможности полностью отвести бедра, когда бедра и колени согнуты; отведению мешает приводящий спазм, который часто присутствует, даже если бедра на самом деле не вывихнуты, во время осмотра. Обычно выявляют слабые доброкачественные щелчки. Хотя щелчки обычно исчезают в течение 1–2 месяцев, их нужно регулярно проверять. Поскольку двусторонние дисплазии может быть трудно обнаружить при рождении, в течение первого года жизни рекомендуется проведение периодических оценок на наличие ограничения отведения бедра.
Дисплазия тазобедренного сустава у ребенка
Признаки дисплазии тазобедренных суставов у новорожденных
Моей дочке еще в роддоме поставили диагноз дисплазия тазобедренных суставов. Что является причиной заболевания?
В группу риска попадают дети, у родителей которых была или есть дисплазия либо коксартроз тазобедренных суставов. Другие факторы — ребенок лежал в тазовом предлежании, это был крупный плод, у малыша была деформация стоп, у мамы был сильный токсикоз во время беременности или патологические реакции на плод (особенно до 8−12 недели беременности), гормональные нарушения в момент беременности.
У девочек дисплазия тазобедренных суставов встречается в 4−5 раз чаще, чем у мальчиков. Вывих бедра нередко бывает у маловесных деток с весом менее 2500 г. К рискам возникновения дисплазии относят и нервно-мышечную недостаточность периартикулярных тканей (всех мышц и межмышечных соединительно-тканных образований вокруг сустава).
Моей малышке прописали ортопедическое лечение на самых ранних месяцах. Грех мучить такое маленькое существо. Неужели нельзя начать лечение позже?
До года дисплазию тазобедренных суставов не считают за болезнь. Но это состояние обязательно требует корректировки и при соблюдении лечения достаточно легко уходит до года. После года без адекватного лечения дисплазия прогрессирует с ростом ребенка и ведет к серьезным нарушениям сустава. Поэтому в течение первых трёх месяцев малышам обязательно делают УЗИ тазобедренных суставов. А после трёх месяцев либо в спорных случаях назначают рентген для более точной диагностики.
Положительный эффект лечения дисплазии зависит как от методов, так и от сроков лечения. Раннее лечение — один из основных принципов. Практически все виды лечения (широкое пеленание, специальные подушки и укладки, физиотерапия) направлены на удержание в определенной позе суставов и обеспечение определенной функции в движении. Массаж и специальная лечебная гимнастика делаются обязательно как в момент лечения, так и во время реабилитации и после снятия специальных повязок.
Смотрю на соседских деток и малышей в поликлиниках. Кажется, что сейчас дисплазию стали выявлять гораздо чаще.
Это не так. Просто раньше врачи выделяли дисплазию в отдельное заболевание и различали подвывих, вывих, предвывих сустава. Сегодня все их объединили в единую форму — дисплазию тазобедренного сустава, то есть врожденную неполноценность сустава, которая проявляется из-за его неправильного развития. Давайте разберёмся в каждом состоянии в отдельности.
- Предвывих — недоразвитие тазобедренного сустава без смещения головки бедренной кости относительно вертлужной впадины (то место, куда входит бедренная кость — суставная впадина).
- Подвывих — недоразвитие тазобедренного сустава с частичным смещением головки бедренной кости относительно вертлужной впадины.
- Вывих (или истинная дисплазия) — недоразвитие тазобедренного сустава с полным смещением головки бедренной кости относительно суставной впадины.
- Отдельно стоит сказать о ядрах окостенения. Достаточно часто недоразвитие ядер бедренного сустава сочетается с врожденным вывихом бедра. Но это далеко не одно и то же и может быть в отдельности друг от друга. Анатомически тазобедренный сустав начинает развиваться примерно с середины беременности. Ядра окостенения находятся в области головки бедренной кости. К рождению основная часть тазобедренных суставов состоит из хряща. Развиваясь, зоны окостенения появляются постепенно. Видимыми на рентгене они становятся приблизительно к 4−6 месяцам жизни, к 5−6 годам эти зоны увеличиваются примерно в 10 раз (если этого не происходит, то требуется обязательное лечение, так как является уже серьёзной патологией развития), а завершают своё развитие к 20 годам. Недоразвитие ядер окостенения играет, конечно, важную роль в дисплазии тазобедренных суставов, что мешает полноценному развитию сустава.
Неонатолог в роддоме сложил ножки ребенка, согнул, развел. И тут же сказал: «дисплазия». Что он увидел, чего не вижу я, каждый день возясь с ребенком?
На самом деле, вы сами можете заметить проблему:
- одна ножка короче другой;
- дополнительная складка на бедре;
- асимметрия ягодичных складок и ягодиц (это относительный признак, сам по себе далеко не всегда говорит о наличии дисплазии);
- ограничение отведения бёдер (но тем не менее обязательно нужно УЗИ, так как ограничение в отведении может быть вызвано и мышечным гипертонусом);
- в момент сгибания ножек в коленных и тазобедренных суставов возникает щелчок (он определяется врачом и имеет особую значимость в первый месяц жизни).
Но даже если вы обнаружили все признаки — это не обязательно дисплазия. И наоборот: если вы не нашли ни одного признака — надо показываться врачу, ведь процесс может быть двусторонним, а значит выявить его непрофессионалу очень сложно.
Может ли мама сама вылечить дисплазию? Научите, как правильно делать массаж.
Массаж играет достаточно важную роль, но надо не просто делать движение, а понимать, как анатомически расположены все структуры сустава, каковы сила давления и угол поворота в момент движения. Поэтому доверьтесь в этом деле профессионалам. С помощью лечебного массажа специалист укрепляет мышцы тазобедренного сустава и формирует правильные движения в нем, полностью восстанавливая его объём. И не торопите малыша в развитии. Всякому двигательному навыку — свое время. Для первых шагов ребенок с дисплазией должен созреть.
Если у Вас остались вопросы, Вы можете задать их врачу-педиатру или ортопеду онлайн в приложении Доктис.
Дисплазия тазобедренного сустава
Дисплазия тазобедренного сустава— это не только деформация бедра, но и нарушения оссификации в детском возрасте. Таким образом данное заболевание относится к наиболее часто встречающимся патологиям костной системы новорожденных.
Сначала заболевание проходит безболезненно. Однако со временем боль усиливается, что может иметь серьёзные последствия: боль в паху, преждевременный износ (коксартроз), вывих головки бедра из суставной впадины. Запущенная стадия болезни может привести к ограниченной подвижности нижних конечностей.

При ходьбе, беге и прямой походке бедро подвергается большим нагрузкам. Костными фрагментами, покрытыми хрящевой поверхностью (синий), являются вертлужная впадина (Acetabulum) и головка бедренной кости (Caput femoris). Все движения в происходят поэтому без боли. Общая суставная капсула окружает эти элементы бедра и способствует его стабилизации.© Gelenk-Klinik
Что такое дисплазия тазобедренного сустава?
При дисплазии тазобедренного сустава наблюдаются повреждения суставной впадины (Acetabulum). Данный фрагмент бедра недостаточно покрывает сферическую головку бедренной кости, а бедренная кость в свою очередь непрочно закрепляется и не центрируется в суставе. При чрезмерных нагрузках существует вероятность вывиха.
В 60% случаев дисплазия появляется на левом бедре, а в 20% случаев данному заболеванию подвержен правый сустав. Согласно научным исследованиям, младенцы женского пола страдают данной патологией от 2 до 6 раз чаще, чем мальчики.
Симптомы дисплазии тазобедренного сустава
Симптомы дисплазии тазобедренного сустава у взрослых:
- боли в околопаховой области, зависящие от степени нагрузок
- боковая боль в бедре
- боли в ноге во время ходьбы и прямого положения тела
- нарушения походки (хромота, "шарканье") , в спине или в голеностопном суставе
Как дисплазия тазобедренного сустава может вызвать артроз?
Невовремя начатое лечение уже является причиной болей в паху и области бедра у подростков. Причиной этого является статическая перегрузка нестабильного, травмированного бедра всей массой тела. По этой же причине повреждается край вертлужной впадины и хрящевой слой.
В тяжёлых случаях пациенту требуется эндопротезирование уже в 40 лет.

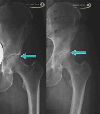
Слева: Рентген здорового бедра у взрослого. Стрелой отмечена суставная щель между крышей вертлужной впадины (Acetabulum) и головкой бедренной кости (Caput femoris). Справа: Рентген тазобедренного сустава, изменённого вследствие артроза, неравномерные высветления указывают на дегенеративные изменения. © Gelenk-Klinik
Долгие годы тазобедренный сустав компенсирует искривление так, что боль почти не чувствуется. Подвижность пострадавших может быть несколько ограничена, а завязывать шнурки с каждым годом становится все труднее. Несмотря на это может появиться и неспецифическая боль в лодыже или в колене, которая не имеет конкретной причины и часто не может быть вызвана чрезмерным давлением.

Слева: неправильное положение тазовых костей и следующее из этого сколиотическое положение позвоночника. Причиной может быть дисплазия. © Koterka Studio, Adobe Stock
Для специалистов Геленк Клиники дифференциальная диагностика различных сопутствующих заболеваний детской дисплазии является не простой задачей. Возможно, разная длина ног стала причиной неправильного положения тазовых костей, что негативно сказалось на статике всего тела.
Для того чтобы выровнять данную асимметрию, позвоночник принимает сколиотическое положение, что в свою очередь может привести к боли в спине, головным болям, а также неприятным ощущениям в области шеи и нижних конечностях. Кроме того, могут появиться болезненные ощущения в пятках и голеностопе.
Эндопротезирование при прогрессирующем артрозе

При поверхностном эндопротезировании McMinn эндопротез покрывает головку бедра, поражённую артрозом. Протез для замены поверхности сустава является более костесохраняющим и щадящим, чем тотальный эндопротез. © digitale-fotografien, Adobe Stock
На прогрессирующей стадии износа, спровоцированной артрозом и вслучае безуспешности консервативного лечения ортопеды Геленк Клиники в Германии обсуждают с пациентом необходимость эндопротезирования.
В зависимости от степени артроза пациенту предлагают частичное эндопротезирование, либо рассматривают вариант тотального эндопротезирования. Если вертлужная впадина не повреждена, но травмирована головка бедренной кости врачи прибегают к поверхностной замене. Вслучае деформации двух элементов имеет смысл операция по тотальному эндопротезированию.
Причины дисплазии тазобедренного сустава у взрослых и детей
На развитие дисплазии влияют генетические, механические и гормональные факторы. Также заболевание могут спровоцировать воздействия окружающей среды. Таким образом дисплазия бедра является мультифакториальным заболеванием.
Факторы риска врожденной дисплазии:
- нехватка места в матке
- ягодичное предлежание плода
- женский пол
- генетическая предрасположенность
- дополнительные неврологические либо мышечные заболевания, нарушения обмена веществ, хромосомные аномалии
У взрослых вывих бедра как тяжёлая форма дисплазии может быть вызван падением с большой высоты либо столкновением с движущимся впереди автомобилем. Из-за высокой энергии удара, может произойти частичный или полный вывих тазобедренного сустава.
Диагностика: как проходит обследование в Геленк Клинике?
Кроме УЗИ тазобедренного сустав по Графу, которое проводится для диагностики дисплазии у детей, в Геленк Клинике проводится ряд визуализационных обследований для взрослых и подростков.
Для подтверждения диагноза взрослых пациентов направляют на рентген таза. Для оценки результатов врачу необходимо ответить на следующие вопросы:
- Перекрывает ли вертлужная впадина головку бедра в нужном объёме?
- Каково положение головки бедренной кости?
Лечение дисплазии тазобедренного сустава
Боль в тазобедренном суставе у взрослых может возникнуть по разным причинам:
- деформация шейки бедра
- защемление сустава вследствие импинджмента бедра
- искривлённое положение вертлужной впадины
В лечении этого дефекта врач использует проверенные, коррекционные методики. Деформации вертлужной впадины и шейки бедра вызывают у пациентов сильную боль в паху, если при определённых движениях бедренная кость ударяется о крышу вертлужной впадины. Такую патологию в медицинских кругах называют бедренно-вертлужный импинджмент или синдром бедренно-вертлужного соударения. Цель лечения заключается в предотвращении износа тазобедренного сустава.
На начальной стадии артроза хирурги проводят тройную остеотомию таза по Тённису. При наличии других деформаций бедренной кости проводят комбинированное хирургическое лечение.
Как долго можно находиться на больничном после операции?

После операции физиотерапевты помогают пациенту ориентироваться в повседневной жизни. Они учатся обращаться с подлокотными костылями и подниматься по лестнице. © Gelenk-Klinik
Срок пребывания в Геленк Клиники большинства пациентов составляет от 10 до 12 дней.
Во время стационарного лечения физиотерапевты показывают какие упражнения для укрепления мышц разрешается выполнять уже на 2 день после операции. Через несколько дней упражнения с костылями и поднятие по лестнице подготавливает пациента к выписке.
В течение 6-ти недель после вмешательства не разрешается сгибать бедро более чем на 60 градусов. Таким образом в этот период запрещается сидеть. Начиная с 7 недели пациент может сгибать бедро на 90 градусов. Во время всех 12-ти недель после операции запрещены также какие-либо нагрузки на бедро. Лишь спустя 3-4 месяца можно возобновить офисную работу либо сидеть за компьютером.
Специалистом по лечению дисплазии тазобедренного сустава в Геленк Клинике является опытный хирург д-р Мартин Ринио. Доктор Ринио и весь коллектив Геленк Клиники ответят на все интересующие Вас вопросы и обеспечат Вам высококлассное лечение в Германии.
Дисплазия тазобедренного сустава
Дисплазия тазобедренного сустава – нарушение развития при котором крыша вертлужной впадины короче, из-за которого головка бедренной кости занимает неправильное положение в вертлужной впадине, что приводит к неправильному функционированию бедра и его недоразвитости. Если не выявить и не лечить вовремя это врожденное отклонение, оно может привести к следующим последствиям:
- нарушение осанки, сколиоз;
- деформация (подвывих) второго сустава;
- развитие остеохондроза в раннем возрасте;
- искаженное положение таза.
Нормальный сустав Дисплазия сустава Тяжелая дисплазия сустава
Причины дисплазии
Возникновению врожденных нарушений в анатомии опорно-двигательного аппарата могут способствовать следующие факторы:
- генетические отклонения;
- гормональные сбои у женщины во время беременности;
- тазовое предлежание плода, маловодие, крупный плод – это приводит к ограничению движений в тазобедренных суставах у ребенка, и они формируются неправильно;
- гинекологические заболевания матери, которые мешают передвижению плода в утробе;
- часто – небольшой вес новорожденного (менее 2500 г).
Чаще всего отклонение одного или обоих тазобедренных суставов выявляют еще у новорожденного, на первом году жизни ребенка, причем более всего этой патологии подвержены девочки.
Дисплазия тазобедренного сустава у детей
Самую простую диагностику дисплазии может провести сама мама ребенка. О наличии отклонения сигнализируют следующие симптомы:
- щелчок при сгибании ножек в коленах и бедрах;
- ассиметричные складки на бедрах;
- при отведении ножки головка бедра скользит во впадину с толчком;
- разная длина ножек;
- согнутые коленные суставы отличаются по высоте;
- при сгибании ножек в коленях и разведении в сторону колени не касаются стола.
При выявлении этих признаков следует как можно быстрее показать малыша ортопеду. Для диагностики специалисты проводят визуальный осмотр и собирают анамнез, делают УЗИ и рентгеновские снимки. Первоначальный диагноз ставят еще в роддоме в течение первого месяца жизни ребенка, затем осматривают примерно раз в три месяца. Если имел место токсикоз во время беременности или другие осложняющие факторы, осмотры проводятся чаще.

Дисплазия тазобедренных суставов у подростков
Бывает так, что нарушения в работе тазобедренных суставов не выявляются в раннем детстве и потому остаются без лечения. Симптомы отклонения могут не проявляться вплоть до подростковой поры.
В этом возрасте целью лечения является снятие боли в суставе на как можно более длительное время. Сначала проводятся обследование: осмотр, рентгеновские снимки, исследование с помощью компьютерной томографии и МРТ. Затем принимается решение о методах лечения – с применением ЛФК, медикаментов либо хирургически. Оперативно можно восстановить нормальную анатомию сустава, а также предотвратить или замедлить прогрессирование остеоартрита.
Дисплазия тазобедренных суставов у взрослых
При отсутствии своевременного обнаружения дисплазии и лечения она может стать причиной серьезных двигательных нарушений и инвалидности. Так, дисплазия может прогрессировать в диспластический коксартроз.Он развивается в основном с 25 по 55 лет, и причиной его являются гормональные изменения при беременности и после родов, недостаток движений вследствие прекращения тренировок, наличие вредных привычек, травма тазобедренного сустава. Это заболевание быстро прогрессирует и протекает с неприятными ощущениями в суставах, ограниченностью движений, особенно вращательных.
Профилактика заключается в регулярных физических нагрузках без инерционного компонента (бега, прыжков, тяжелой атлетики), а также в укреплении мышц, которые фиксируют тазобедренный сустав – ягодичных, мышц спины и брюшного пресса. Этому способствуют такие занятия, как плавание, лыжные прогулки, ЛФК.

Лечение дисплазии тазобедренного сустава
Специалист может назначить нехирургическое лечение при средней тяжести дисплазии. В него входят:
- ортопедическое пособие
- здоровый образ жизни;
- лечебная гимнастика (ЛФК);
- похудение (при избыточной массе тела);
- лекарственная терапия противовоспалительными препаратами, введение кортикостероидов.
Все это происходит при тщательном и регулярном наблюдении лечащего врача. Необходимая частота посещений – раз в полгода / год. Так специалист сможет оценить, прогрессирует ли заболевание, и скорректировать лечение.
При более тяжелом состоянии тазобедренного сустава прибегают к операционному вмешательству. Чаще всего операция проходит в форме остеотомии, когда кости придают более правильную форму и анатомически верно ориентируют суставные поверхности относительно друг друга.
Лечение дисплазии тазобедренного сустава
Под термином дисплазия тазобедренного сустава подразумевают врождённое нарушение анатомических структур этого сустава, обусловленное его неправильным развитием в процессе пре- и постнатального онтогенеза, которое в конечном итоге приводит к подвывих) или вывиху головки бедренной кости.
В настоящее время как отечественные ортопеды, так и ортопеды Западной Европы и США используют собирательный термин - developmental dysplasia of the hip (развивающаяся или прогрессирующая дисплазия тазобедренного сустава), понимая под этим не только вывих, но и предвывих и подвывих в тазобедренном суставе. Дисплазия тазобедренного сустава приводит к раннему деформирующему артрозу, как в самом суставе, так и в смежных суставах пораженной и противоположной конечности и позвоночника, что приводит к значительной потере качества жизни человека. Поэтому проблема лечения дисплазии тазобедренного сустава имеет как выраженное медицинское, так и социальное значение.
Известно, что в диспластичном тазобедренном суставе обычно происходит нарушение роста проксимального отдела бедренной кости с поражением наружного участка ростковой пластинки бедренной головки, которое приводит к тому, что зона роста ориентирована не на вертлужную впадину, а расположена горизонтально. Такое расположение зоны роста головки бедренной кости приводит к формированию её вальгусной деформации.
Традиционные современные методы хирургического лечения прогрессирующей дисплазии тазобедренного сустава, применяемые во всем мире, в т.ч. и в Республике Беларусь, направлены на изменение анатомии тазобедренного сустава и его биомеханики с целью улучшения покрытия головки бедра вертлужной впадиной и её центрации во впадине. Лечение осуществляется путем одномоментных или этапных корригирующих остеотомий (пересечения костей) бедренного, тазового компонента тазобедренного сустава или их сочетаний с фиксацией пересекаемых костей специальными металлическими пластинами и винтами. Данные методы лечения начали широко применяться с середины прошлого века. Они технически сложны, травматичны, дорогостоящи. После их проведения требуется несколько месяцев для сращения пересеченных костей, и, в зависимости от технологии, пациенту может быть показан на этот период длительный постельный режим, гипсовая фиксация или ходьба с костылями без нагрузки на оперированную конечность в сочетании с курсами реабилитации. Кроме того данные вмешательства не гарантируют, что в процессе дальнейшего роста ребенка повторно не разовьется дисплазия, так как нарушения функции ростковой пластинки головки бедра остаются не устраненными.
Если механическим путем замедлить или остановить рост внутреннего участка головки бедренной кости, то в процессе роста ребенка постепенно произойдет варизация бедренной кости и нормализация соотношений в тазобедренном суставе, либо данное вмешательство приведет к остановке прогрессирования дисплазии тазобедренного сустава. Такое локальное воздействие на зону роста можно произвести канюлированным винтом, проведенным под интраоперационным рентгенологическим контролем по спице-направителю через шейку бедренной кости в головку.
Метод позволяет применять индивидуализированный подход к лечению пациентов с прогрессирующей дисплазией тазобедренного сустава, сократить время хирургической операции и длительность стационарного лечения при данной патологии, снизить количество послеоперационных осложнений у таких пациентов и повысить качество их жизни.
Читайте также:
