Радикулярная киста. Хронический перикоронит
Добавил пользователь Евгений Кузнецов Обновлено: 23.11.2025
Ретенция нижних третьих моляров выявляется более чем у половины населения. Увеличение болезней прорезывания, в частности, ретенции и полуретенции «зубов мудрости» подтверждено литературными данными: 1971 – 23% (Morris and Jerman), 1988 – 72% (Hugoson A. с соавт.), 2006 – 84% (Albert J. Haddad). Закономерно возрастает число осложнений прорезывания — кист и опухолей. Так, например, парадентальные кисты развиваются в 2,1% — 25% случаев (Шейнберг В.М., 1955; Colgan C.M., 2002).
Увеличение числа показаний к операции удаления этих зубов связано не только с большим количеством развивающихся осложнений, обусловленных аномалиями развития и затрудненным прорезыванием, но и с широким использованием высокоинформативных методов лучевой диагностики и комплексным подходом к ведению пациентов с зубо-челюстными аномалиями при ортодонтическом лечении.
Среди основных показаний к удалению нижнего третьего моляра выделяют значительное количество причин, основными из которых являются: хронический воспалительный процесс (перикоронит или периостит), абсцессы и флегмоны, обширные кариозные дефекты, фолликулярная, парадентальная или радикулярная кисты, ретенция и дистопия, хроническая травма щеки при прикусывании моляром.
Удаление ретенированных нижних третьих моляров относится к оперативным вмешательствам определенной степени сложности. Для экстракции зубов 38 и 48 предложен ряд методик, включающих формирование и отслоение слизисто-надкостничного лоскута, трепанацию наружной кортикальной пластинки и удаление участков кости, нависающей над коронкой зуба, фрагментацию зуба и его извлечение.
Лунка ретенированных 38 и 48 зубов, как правило, занимает больший объем, чем располагающийся в альвеолярный дуге зуб. Формирующийся костный дефект имеет параметры, включающие не только саму лунку, но и дефект кости, созданный хирургом в процессе удаления при формировании оперативного доступа к зубу. Размеры послеоперационного дефекта могут значительно увеличиться в тех клинических случаях, где имеются кисты челюстей: парадентальная, радикулярная или фолликулярная. На его восстановление требуется более длительный срок.
В процессе удаления вывихивание ретенированного моляра из лунки производится элеватором. В качестве точки «опоры» щечки элеватора используется костная перегородка между вторым и третьим молярами, что приводит к ее частичной утрате.
В некоторых клинических случаях перегородка отсутствует изначально как следствие мезиального наклона коронки или горизонтального положения нижних зубов мудрости.
За дистальной стенкой лунки вторых нижних моляров и в лунке удаленного зуба формируется карман, в котором происходит зазержка пищи в послеоперационном периоде, что приводит к развитию воспаления и замедлению заживления.
Одним из способов профилактики такого пародонтального кармана, развития воспалительных осложнений и оптимизации восстановления костной ткани челюстей является использование остеопластических материалов.
С целью стимуляции восстановления костной ткани и замещения костных дефектов после хирургического вмешательства рекомендуется применение остеопластических материалов различного происхождения и степени обработки.
К ним относят лиофилизированные, формалинизированные, деминерализованные, депротеинизированные препараты кости и хряща, а также брефоматериалы, препараты крови, коллагеновые материалы, аутотрансплантаты, биопластмассы и тканевые трансплантаты.
Перспективным методом местной коррекции метаболических процессов в кости является применение гидроксиапатита (ГАП), оказывающего специфическое остеотропное действие.
С целью повышения эффективности операции удаления ретенированных нижних третьих моляров, а также для профилактики воспалительных осложнений после удаления зуба, нами в алгоритм лечебно-профилактических мероприятий было включено заполнение послеоперационного дефекта костной ткани сочетанием биокомпозиционных материалов «Остеоматрикс», «Биоимплант-ГАП» по методике Д.А. Саващука, предложенной для консервации лунки перед дентальной имплантацией (ООО «Конектбиофарм», Москва).
Протокол операции
Для создания рационального оперативного доступа при удалении ретинированного третьего моляра и адекватной фиксации мембраны разрез производили по вершине альвеолярного отростка над третьим моляром, продолжали вдоль шейки второго моляра и заканчивали на его вестибулярной поверхности вертикальным рассечением слизистой оболочки до уровня переходной складки (рис. 1) .
Рис. 1. Линия разреза при формировании вестибулярного лоскута.
После извлечения зуба (рис. 2) и обработки лунки (кюретаж) проводили укладку остеопластического материала. Первым в лунку помещался Остеоматрикс, остеоиндуктивный материал, ремоделирующийся в кость. Его выкладывали слоями без утрамбовывания. Поверх Остеоматрикса укладывался остеокондуктивный материал Биоимплант-ГАП, который при дальнейшем заживлении уплотнялся и играл роль своеобразной «сыпучей мембраны», защищающей Остеоматрикс от прорастания эпителия слизистой оболочки (рис. 3).
Рис. 2. Экстракция зуба (направление выведения из лунки).
Рис. 3. Последовательность заполнения лунки.
Полученный двойной «сэндвич» покрывали коллагеновой биодеградируемой мембраной Биоматрикс, предварительно отмоделировав её таким образом, чтобы края перекрывались слизистой во время ушивания. Кромке мембраны, располагающейся на уровне шейки коронки 37 или 47 зубов придавали с помощью ножниц вид «бахромы» для более плотного и идеального прилегания зубу, что предотвращает «высыпание» Биоимпланта- ГАП (рис. 4) .
Рис. 4. Схема установки мембраны Биоматрикс.
При глухом ушивании раны над лункой нижнего зуба мудрости существует риск развития послеоперационной гематомы, поэтому большинство хирургов стоматологов предпочитают дренировать рану с помощью выпускника из перчаточной резины. При использовании любого костнопластического материала требуется «плотное» наложение швов для профилактики попадания инфекции и изоляции раны от содержимого полости рта. Присутствие кальция в костной крошке придает ей гемостатический эффект, но эти факторы не могут гарантировать отсутствие гематомы, особенно если она является следствием кровотечения из слизистой оболочки отслоенного лоскута. Наиболее удобным местом для установки дренажной полоски является край раны на уровне переходной складки преддверия полости рта ниже края установленной на лунку мембраны Биоматрикс. Использование дренажа позволяет осуществить профилактику послеоперационной гематомы, не влияя на аугментат.
Для заполнения лунки нижнего моляра достаточно стандартной упаковки чипсов Остеоматрикса 0,5 см3, крошки Биоимплант ГАП 0,5 см3 и резорбируемой мембраны Биоматрикс 15х20мм. В качестве клинического примера приводим выдержки из истории болезни пациентки А., 23 лет. Диагноз: [K01.0] Ретенция зубов 48, 38 (рис. 5, 6) .
Удаление зубов 48, 38 проводили с разницей в две недели.
Рис. 5. Ортопантомограмма пациентки А., 23 г.
Рис. 6. Вид ретенированного зуба 4.8 в полости рта.
Удаление проводилось под инфильтрационной и проводниковой анестезиями (рис. 7) .
Рис. 7. Проведение инфильтрационной анестезии.
После чего выполнялся Г-образный разрез в области 47- 48 зуба (рис. 8 а, б) .
Рис. 8 а. Проведения разреза со щечной поверхности.
Рис. 8 б. Проведения разреза по вершине альвеолярного отростка.
На следующем этапе для увеличения обзора операционного поля и доступа к коронке ретенированного зуба отслаивался слизисто-надкостничного лоскут и обнажалась коронка зуба 48 (рис. 9) .
Рис. 9 а. Отслаивание лоскута со стороны щеки.
Рис. 9 б. Отслаивание лоскута со стороны языка.
Для полного обнажения коронки зуба 48 проводили трепанацию наружной кортикальной пластинки (рис. 10 а) . После выполнения всех подготовительных этапов приступали к удалению зуба 48 прямым элеватором (рис. 10 б) .
Рис. 10 а. Трепанация кости над коронкой зуба 48.
Рис. 10 б. Вывихивание зуба элеватором.
Проводилось извлечение зуба из лунки вместе с оболочкой парадентальной кисты.
Рис. 11 а. Извлеченный зуб.
Рис. 11 б. Лунка зуба после удаления.
Затем в лунку укладывался костнопластический остеоиндуктивный материал в виде чипс размером 1,0-2,0 мм «Остеоматрикс» 0,5 см3 (рис. 12) .
Рис. 12 а. Заполнением лунки зуба 38 Остеоматриксом.
Рис. 12 б. Упаковка препарата.
Поверх укладывался костнопластический остеокондуктивный материал — крошка «Биоимплант-ГАП» размером 0,5-1,0 мм, объем 0,5 см3 (рис. 13) .
Рис. 13. Крошка «Биоимплант-ГАП», уложенная поверх Остеоматрикса.
Далее костный материал перекрывался биодеградируемой мембраной «Биоматрикс» 15х20 мм и слизисто-надкостничный лоскут возвращался на место (рис. 14) .
Рис. 14 а. Вид мембраны до установки.
Рис. 14 б. Вид мембраны после установки.
После чего края раны сопоставлялись и проводилось наложение швов и установка дренажа (рис. 15) .
Рис. 15 а. Рана после наложения швов.
Рис. 15 б. Рана после установки дренажа из перчаточной резины.
Зуб 38 удаляли спустя две недели по аналогичной методике.
Заключительным этапом проводили контрольную рентгенограмму непосредственно после удаления зуба и через три месяца (рис. 16, 17) .
Рис. 16 а. Ортопантомограммы после удаления зуба 48.
Рис. 16 б. Ортопантомограммы после удаления зуба 38.
Послеоперационный период протекал без осложнений. На контрольной рентгенограмме можно проследить восполнение дефекта костной ткани в области дистальной поверхности нижних вторых моляров и отсутствие пародонтального кармана после удаления нижних третьих моляров.
Таким образом, использование костнопластических материалов «Остеоматрикс» и «Биоимплант-ГАП» в сочетании с биодеградируемой мембраной «Биоматрикс» позволяет ускорить заживление лунки зуба после удаления ретенированных третьих моляров, избежать расхождения краев раны с последующей задержкой пищи и образованием пародонтального кармана после полного заживления лунки. Послойная укладка остеоиндуктивного препарата «Остеоматрикс», остеокондуктивного «Биоимплант-ГАП» и мембраны «Биоматрикс» предотвращает высыпание костной крошки и прорастание эпителия в поверхностные слои аугментата за счет образования плотного поверхностного слоя.
Дмитрий Алексеевич Саващук, врач хирург-стоматолог «РМО» («Конектбиофарм»)
Ирина Ивановна Бородулина, д. м. н., профессор кафедры челюстно-лицевой хирургии и хирургической стоматологии ФГБВОУ ВО ««Военно-медицинская академия им. С.М. Кирова» Министерства обороны Российской Федерации
Андрей Андреевич Жевлаков, аспирант кафедры челюстно-лицевой хирургии и хирургической стоматологии ФГБВОУ ВО ««Военно-медицинская академия им. С.М. Кирова» Министерства обороны Российской Федерации
Replace the defect: the use of osteoplastic materials after the removal of the third molars
Аннотация. Удаление ретенированных нижних третьих моляров относится к оперативным вмешательствам определенной степени сложности. Формирующийся костный дефект имеет параметры, включающие не только саму лунку, но и дефект кости, созданный хирургом в процессе удаления при формировании оперативного доступа к зубу. С целью стимуляции восстановления костной ткани и замещения костных дефектов после хирургического вмешательства рекомендуется применение остеопластических материалов различного происхождения и степени обработки.
Annotation. Removal of the retarded lower third molars refers to surgical interventions of a certain degree of complexity. The emerging bone defect has parameters that include not only the hole itself, but also the bone defect created by the surgeon in the process of removal during the formation of operative access to the tooth. In order to stimulate the restoration of bone tissue and replacement of bone defects after surgery, the use of osteoplastic materials of different origin and degree of treatment is recommended.
Ключевые слова: Третий моляр; зуб мудрости; ретенированные моляры; остеопластические материалы; костный дефект.
Перикоронит
Мы перезвоним – для Вас звонок бесплатный! Напишите свои имя и номер телефона, чтобы мы могли связаться с Вами.
Будем рады помочь Вам!

Перикоронарит, или перикоронит, — это воспалительное заболевание, которое распространяется на ткани вокруг прорезывающегося зуба. Механизм развития воспаления состоит в том, что зуб при прорезывании преодолевает массу препятствий: костную ткань, надкостницу, мягкие ткани. При трудном и длительном прорезывании над зубом формируется своеобразный капюшон, под который попадают болезнетворные бактерии и остатки пищи. В результате развивается воспалительный процесс.
Причины появления перикоронарита
По мере прорезывания зуб упирается в слизистую оболочку. Он не всегда сразу преодолевает этот барьер. Оставаться под десной зуб может от 4 недель до 6 месяцев и более, постепенно приподнимая и травмируя десну. Это приводит к тому, что десна перестает защищать ткани от попадания болезнетворных бактерий и мелких частиц пищи, они легко проникают под нее и провоцируют воспалительную реакцию.
Невозможность провести гигиену под капюшоном — основной механизм перикоронита. Но повысить риски воспаления или усугубить ситуацию могут и другие факторы:
- анатомические особенности строения костной ткани и десны — утолщенная надкостница или десна, нехватка места в челюсти;
- нарушения правил гигиены полости рта — бактериям в таком случае проще начать активно размножаться;
- травмирование — повреждение тканей пародонта твердыми частицами пищи, чрезмерно щеткой щетиной во время чистки;
- хронические заболевания полости рта — эрозии и язвы, стоматит, гингивит, кариес, пульпит, периодонтит, в том числе возле прорезывающегося зуба;
- дистопированный или ретинированный зуб, прорезывание под наклоном, невозможность полного прорезывания.
Чаще перикоронарит наблюдается в области прорезывающихся восьмерок или зубов мудрости. Это связано с тем, что они появляются уже во взрослом возрасте, тогда, когда зубной ряд сформирован, а челюсть перестала расти. В конце зубного ряда попросту не остается места для крупного зуба, в связи с чем восьмерка растет под наклоном или частично скрывается десной. Если зуб мудрости начинает прорезываться до 20 лет, обычно процесс протекает легко. В старшем возрасте процесс чаще осложняется перикоронаритом.
Симптомы перикоронарита
Перикоронарит зуба начинается с болезненности в области десны, усиливающейся при надавливании. Обычно заметить неприятные ощущения удается при жевании или чистке зубов. участок десны становится отечным и красным, впоследствии изо рта появляется неприятный запах.
При отсутствии своевременной врачебной помощи присоединяются и другие проявления:
- распространение болей, отдающих в ухо, висок;
- затруднения глотания, боли в горле;
- затруднения речи;
- ограничение открытия рта из-за отека окологлоточной области;
- увеличение лимфоузлов;
- субфебрильная температура;
- отечность щеки со стороны воспаления.
Человек испытывает трудности в пережевывании пищи, может страдать от общего ухудшения самочувствия, головной боли.
Симптомы могут стихнуть через некоторое время — это значит, что заболевание перешло в хроническую стадию. Могут возникнуть и гнойные осложнения, и в случае, если в десне открывается ход для выведения гнойного содержимого, то острая боль уходит. Однако воспалительный процесс при этом сохраняется.
Виды и формы заболевания
Выделяют острый и хронический перикоронарит. Острый, в свою очередь, классифицируется на следующие виды:
- Катаральный. Болезнь начинается с отека и красноты десны, болезненности, зуда. Это наиболее простая форма заболевания.
- Язвенный. Характеризуется образованием изъязвлений, покрытых белым налетом, на слизистой оболочке десны, некротизацией тканей по краям язвы.
- Гнойный. В области воспаления выделяется серозное, впоследствии гнойное содержимое. Характеризуется пульсирующей болью, общей интоксикацией организма, неприятным запахом изо рта.
Хронический перикоронарит — это следствие недолеченного острого периода. При нем симптомы становятся не столь выраженными, но продолжает образовываться серозное или гнойное содержимое. Может приводить к формированию патологического хода, через который содержимое выводится в полость рта. Хронический перикоронарит характеризуется периодическими обострениями, спровоцировать их может движение зуба и другие неблагоприятные факторы, общее снижение защитных сил организма.
При хронической форме нередко наблюдается лимфаденит. Слизистая оболочка даже при отсутствии неприятных симптомов отечна, имеет красноватый оттенок. Несмотря на отсутствие серьезных затруднений при речи, жевании, открывании рта важно получить помощь стоматолога, поскольку риск развития осложнений достаточно высок, а самостоятельно заболевание может не пройти.
Диагностика перикоронарита
Проявления острого перикоронита могут напоминать пульпит и периодонтит. Но отличить эти заболевания друг от друга под силу даже неподготовленному человеку. Так, при остром пульпите пульсирующая боль не мешает открытию рта, а десна часто остается спокойной, без отека и красноты.
При периодонтите отечность и краснота десны — частые симптомы. Но периодонтит развивается под полностью прорезавшимся зубом и чаще всего является следствием запущенного кариеса. При перикоронарите же зуб прорезался не полностью.
Поставить точный диагноз может врач-стоматолог. Обязательной является рентгенография — прицельный снимок поможет точно оценить состояние тканей, положение прорезывающегося зуба в челюсти, степень распространения воспалительного процесса, а также исключить заболевания с похожими симптомами.
Что будет, если не лечить перикоронарит
Важно понимать, что перикоронарит не пройдет самостоятельно. Даже в случае, если спустя 4−5 дней симптомы утихнут, это не значит, что воспалительный процесс закончился. Время от времени заболевание будет переходить в стадию обострения и доставлять немало неудобств. К тому же перикоронит может вызвать серьезные осложнения.
- Периостит, или флюс, а также остеомиелит. Распространение воспалительного процесса на надкостницу и костную ткань может объясняться снижением местных и общих защитных сил и другими факторами. Такие осложнения потребуют серьезного врачебного вмешательства.
- Подвижность соседних зубов.
- Флегмона, абсцесс, лимфаденит.
- Образование свищевого хода, кист. Появление язвенного стоматита.
- Поражение близлежащих тканей, отиты, фарингиты и другие воспалительные осложнения в области лор-органов.
- Сепсис.
Поэтому лечение перикоронарита является обязательным вне зависимости от того, в области какого зуба распространилось воспаление. Отсутствие своевременной врачебной помощи может привести к воспалительным последствиям и даже потере здоровых соседних зубов.
Хирургические методы лечения
Лечение перикоронарита практически всегда хирургическое. И если говорить о молярах и премолярах, стоматологи выбирают тактику иссечения десневого капюшона. А вот лечение в области восьмерок почти всегда выполняется путем удаления зубов мудрости, и дальше мы объясним почему.
Иссечение десневого капюшона открывает доступ растущему зубу, эта мера позволяет не только удалить лишние воспаленные ткани и тщательно промыть область, но и помочь зубу прорезаться окончательно и занять правильное место в зубном ряду. У этого метода существует несколько условий или показаний:
- целостность коронки и корневой системы прорезывающегося зуба;
- правильное расположение зуба в костной ткани челюсти;
- наличие достаточного места для полного прорезывания зуба в ряду.
То есть, такой подход используется во всех случаях, когда единственным препятствием к нормальному прорезыванию зуба выступает десна. Если же единица зубного ряда не слишком здорова, например, наблюдается кариес, нарушена целостность коронки или есть заболевания корневой системы, то решение принимается индивидуально. При целесообразности сохранения зуба врач также проведет вмешательство, а также примет меры по устранению патологии.
Ретинированные и дистопированные зубы, а также ситуации, при которых полное прорезывание зуба неизбежно повлечет за собой нарушения прикуса или смещение соседних зубов, — это показания к хирургическому лечению другого плана. Врач может предложить удаление зуба, а в случаях заболевания над «восьмеркой» это почти всегда единственный вариант решения проблемы.
Дело в том, что зубы мудрости не несут функциональной нагрузки, очень часто прорезываются под наклоном, мешают соседним зубам и повышают риск осложнений, в том числе дефектов прикуса. Поэтому целесообразным считается удаление «восьмерки» и дальнейшие мероприятия по устранению воспаления в мягких тканях.
Исключение составляют лишь случаи, когда «восьмерка» потенциально может быть использована в качестве опоры для протеза или иметь значение при планируемом ортодонтическом лечении.
В целом показаниями к удалению и капюшона, и зуба выступают следующие случаи и особенности:
- иссечение капюшона уже проведено ранее, но воспаление не прошло и/или усилилось, нет эффекта от проведенного лечения;
- зубу недостаточно места в зубном ряду;
- ретинированный, дистопированный зуб, сохранение которого ставит под угрозу здоровье соседних зубов и полости рта;
- десневой капюшон нарастает над прорезывающимся зубом повторно (это происходит редко);
- зуб поражен кариесом/разрушен, его лечение и сохранение нецелесообразны.
Поскольку требуется удаление еще не до конца прорезавшегося зуба, процедура считается сложным удалением. Чаще всего она требует предварительного рассечения десны и извлечения зуба из тканей, расположенных глубоко. Поэтому во многих случаях потребуется наложение швов на десну, что ускорит заживление тканей.
Хирургическое лечение перикоронарита проводится под местной анестезией, поэтому процедура не доставит неприятных ощущений. Обязательным этапом является промывание слизистой антисептическими растворами.
Удаление нависающих над зубом тканей может проводиться обычными инструментами или лазером.
Лазерное лечение
Иссечение капюшона с помощью лазера позволяет получить лучшие результаты. К основным преимуществам относят:
- меньший риск воспалительных осложнений, в том числе вторичного инфицирования раны;
- коагулирующее действие лазера — отсутствие вероятности кровотечения;
- короткий восстановительный период;
- уменьшение болевого синдрома после вмешательства;
- отсутствие необходимости дополнительно обрабатывать области вмешательства турундами и антисептиками.
Противопоказаний у лазерного вмешательства немного, одними из них являются онкологические заболевания.
Медикаментозное лечение
В подавляющем большинстве случаев медикаментозное лечение проводится лишь в качестве дополнения к основному — операции. Врач может назначить ряд средств для устранения неприятных симптомов, ускорения заживления, профилактики осложнений. С их помощью удается достичь выздоровления уже через 7–10 дней.
Одним из основных методов медикаментозного лечения является применение антисептических растворов. В тяжелых случаях потребуется применение антибактериальных препаратов внутрь, как правило, это необходимо при гнойных осложнениях, упорно протекающем лимфадените и др.
Среди местных средств особое значение имеют мази и гели, обладающие успокаивающим, противозудным, регенерирующим действием. Многокомпонентные средства позволяют одновременно уничтожить патогенную микрофлору и ускорить заживление, избавить от неприятных ощущений в восстановительном периоде.
Симптоматическим лечением выступают обезболивающие препараты, они также обладают жаропонижающим эффектом.
Важно понимать, что лечение перикоронарита только медикаментами, вероятнее всего, не приведет к нужному результату. Но при этом применение антисептиков и антибиотиков может замаскировать симптомы болезни, в то время как не устранена ее причина. Стертая картина заболевания может вызвать затруднения при диагностике, а отсутствие острых симптомов — стать поводом, чтобы не посещать стоматологию.
В результате вероятность развития осложнений хронического перикоронарита возрастает. Поэтому необходимо обратиться к специалисту при появлении первых же признаков и получить квалифицированную помощь.
Лечением перикоронарита занимаются стоматологи-хирурги клиник «СТОМА». Мы готовы оказать квалифицированную помощь в случаях любой сложности. Современное оснащение и профессионализм врачей — залог оказания качественных стоматологических услуг. Записаться на прием вы можете по указанному телефону или с помощью специальной формы на сайте.
Лечение кисты зуба. Киста на зубе лечение или удаление

Среди гнойно-воспалительных заболеваний челюстно-лицевой области кистозные новообразования занимают особое место ввиду частой распространенности – на подобных проблем приходится 80-85% всех опухолевых образований челюстей. Многие из них не проявляют себя явными признаками, и обнаруживаются только после рентгенологического обследования у стоматолога. При этом многих интересует вопрос: киста зуба нужно ли удалять зуб, на который можно ответить так - многое зависит от запущенности конкретного случая.
Возможности терапевтического лечения кисты зуба без удаления ограничены, что вынуждает пациентов обращаться за хирургической помощью, которая должна быть оказана своевременно. Какова же природа этой патологии и что предлагает современная стоматология для успешного решения проблемы?
Что такое киста зуба
Киста зуба – это патологическое образование воспалительного характера, которое образуется в зоне зубных корней в виде округлой полости.
Плотная оболочка отграничивает кисту от близлежащих тканей, чтобы внутреннее содержимое (экссудат, токсины, погибшие клетки) не излилось наружу. По сути, это защитная реакция организма для предотвращения дальнейшего инфицирования челюстных структур.
Размеры новообразования могут варьировать от 2-3 миллиметров до нескольких сантиметров. По мере роста кисты в ее полости накапливаются болезнетворные микробы и их продукты жизнедеятельности, угнетающие местный иммунитет. Когда компенсаторные механизмы исчерпывают себя, хроническое воспаление дает о себе знать первыми симптомами, выраженность которых зависит от вида и локализации.
Какие бывают кисты
Разработано несколько классификаций зубных кист в зависимости от причин появления, размеров и локализации новообразования.
- Радикулярная – формируется на верхушке корня вследствие проникновения инфекции из зубных каналов;
- Киста прорезывания – обычно диагностируется у детей во время смены прикуса;
- Ретромолярная – появляется на фоне осложненного прорезывания зуба мудрости;
- Фолликулярная – возникает при воспалении зачатка непрорезавшегося зуба;
- Первичная – формируется из тканей фолликула при аномалиях развития зуба; Резидуальная – пусковым фактором служит удаление зуба.
- Киста переднего зуба;
- Верхнечелюстная киста;
- Киста зуба мудрости.
- Гранулема – менее 0.5 см;
- Кистогранулема – 0.5-0.8 см;
- Истинная киста – больше 0.8 см.
Очертания кистозной капсулы четко визуализируются на рентгенограмме, в отличие от границ гранулемы, которые определяются менее отчетливо.
Причины появления
- Пульпит и периодонтит с распространением инфекции за пределы корня;
- Травматические повреждения зуба (вывих, перелом, трещина корня);
- Инфицирование пульповой камеры во время стоматологического лечения;
- Хронические ЛОР-заболевания (особенно гайморит, ринит);
- Воспалительный процесс под протезной конструкцией;
- Затруднения при прорезывании «восьмерок»;
- Иммунодефицитные состояния (например, при химиотерапии или тяжелых системных нарушениях при сахарном диабете, ВИЧ-инфекции).
К обострению заболевания приводят переохлаждение, простуды, резкая смена климата.
Клиническая картина

Ранние стадии кисты протекают преимущественно бессимптомно – ее невозможно заметить самостоятельно «на глаз». Обычно патология диагностируется при лечении совершенно других зубов, когда врач получает результаты рентгенографии.
- Боли ноющего характера, усиливающиеся при жевании пораженной стороной челюсти;
- Болевой синдром плохо купируется обычными обезболивающими препаратами;
- Появление отечности вокруг причинного зуба, покраснение десны;
- Формирование свищевого хода (канала, из которого выделяется гной);
- Асимметрия лица при отеке мягких тканей ЧЛО;
- Головные боли, отдающие в глаз и висок;
- Слизисто-гнойные выделения из носа (при верхнечелюстной кисте);
- Повышение температуры при обострении заболевания.
Причинный зуб отзывается резкой болью при постукивании, имеет большую полость или закрыт коронкой. При значительном скоплении гноя на поздних стадиях к отеку присоединяется подвижность зуба, пациент жалуется на распирающие ощущения в челюсти и значительное ухудшение общего состояния.
Возможные последствия
Сформировавшаяся киста на корне при отсутствии лечения продолжает свой рост, разрушая костную ткань с образованием в челюсти очага инфекции. В запущенных случаях зуб приходится удалять целиком, но это не единственное осложнение заболевания.
- Абсцесс челюсти в результате гнойного воспаления новообразования;
- Переломы челюсти вследствие ее истончения;
- Остеомиелит челюсти из-за гнойного расплавления костной ткани;
- Флегмона мягких тканей челюстно-лицевой-области;
- Воспаление регионарных лимфоузлов;
- Хронический гайморит из-за инфицирования верхнечелюстной пазухи;
- Потеря причинного зуба и близлежащих зубов, попавших в зону воспаления.
В тяжелых случаях, когда диагностируется острое разлитое воспаление с тенденцией к быстрому распространению (например, при глубоких флегмонах), осложнения приобретают серьезный характер и могут стать причиной жизнеугрожающих состояний.
При малейшем подозрении на кистозное образование следует пройти обследование у стоматолога, который назначит квалифицированное лечение и поможет избежать возможных осложнений!
Способы лечения кисты зуба в СПб в «Факторе Улыбки»
Залогом успешного лечения зубных кист является давность их выявления – чем раньше выявлено заболевание, тем легче его лечить. Основная сложность состоит не только в снятии воспаления, хирургу предстоит решать также другую задачу.
При большом новообразовании значительный участок челюстной кости замещается соединительными клетками, челюсть становится хрупкой. Большой дефект нужно восполнять остеопластическим материалом, иначе возрастает риск перелома. Именно поэтому специалисты «Фактора Улыбки» рекомендуют не откладывать лечение кисты на корне зуба, предлагая современные методы с качественным обезболиванием при проведении всех манипуляций. Возможно лечение кисты зуба лазером.
Безоперационный метод
Консервативное лечение кисты зуба без удаления применимо лишь для небольших кистогранулем. Врач тщательно очищает зубные каналы, оставляет внутри лекарственный препарат для стимуляции образования новой костной ткани, закрывает зуб временной пломбой. Также назначаются антибактериальные и общеукрепляющие средства.
Через несколько недель состояние околозубных тканей оценивается при помощи рентгеновского исследования – при положительной динамике разрежение костной ткани уменьшится, а впоследствии киста рассосется с образованием молодых остеоцитов. Данный метод показывает наилучшие результаты у молодых пациентов, что обусловлено более быстрой регенерацией тканей, чем у лиц среднего и пожилого возраста. По окончании лечения требуется регулярный рентген-контроль для оценки состояния зуба и кости челюсти.
Удаление кисты зуба
Хирургическое удаление патологического образования считается самым эффективным способом лечения заболевания. Зубосохраняющие операции позволяют избежать удаления всего зуба, который продолжает выполнять свои функции, а в будущем может стать полноценной опорой для протезирования.
- Цистэктомия – новообразование удаляется через небольшой разрез в десне с иссечением верхушки корня без удаления зуба. Предварительно врач удаляет «нерв», снимает воспаление, пломбирует корневые каналы. Способ подходит для кист небольших и средних размеров.
- Цистотомия – новообразование удаляется не полностью из-за риска образования в челюсти значительного дефекта. Врач создает доступ через десну, делает «окошко» в костной ткани и удаляет только переднюю стенку кисты с оттоком его содержимого. Способ применяется при кистах больших размеров.
Вмешательство проходит под местной анестезией, занимает около 40-50 минут.
Как лечить кисту народными средствами
Народная медицина изобилует рецептами для облегчения состояния при стоматологических заболеваниях, предлагая большой арсенал полезных советов. Однако следует помнить, что «зеленая аптека» призвана улучшить состояние до того, как пациент получит квалифицированную помощь. Домашние манипуляции не оказывают влияния непосредственно на очаг инфекции, поэтому не могут считаться полноценной заменой лечению стоматологом.
- Масляные компрессы из смеси гвоздичного, эвкалиптового, кунжутного и миндального масел. Ватный диск, пропитанный данной смесью, нужно приложить к десне и оставить на 10-15 минут, затем прополоскать полость рта теплой водой.
- Полоскания отварами или настоями трав. Необходимо настоять цветки ромашки, календулы, шалфея, тысячелистника в кипятке. Как только раствор примет комнатную температуру, полоскать рот по 2-3 минуты 3-4 в день.
- Настойка прополиса. Развести 1 ч.л. настойки в стакане кипяченой воды. Дополнительно не подслащивать! Полоскать рот 3-4 раза в день, оставляя состав на пораженной стороне челюсти до минуты.
Важно! Лечение в домашних условиях без участия хирурга-стоматолога опасно возникновением серьезных осложнений и допустимо лишь на этапе ожидания квалифицированной медицинской помощи!
Профилактические меры
Универсального способа профилактики новообразований не существует, но при соблюдении ряда правил можно значительно снизить риски возникновения кисты и избежать нежелательных последствий.
- Желательно раз в полгода посещать клинику для профилактического осмотра;
- Не отказываться от прицельной и обзорной рентгенографии при подозрении на кисту;
- Вовремя лечить кариес, не допуская перехода воспалительного процесса на корневые каналы;
- При обнаружении пульпита или периодонтита не затягивать с лечением;
- Регулярно проходить осмотр у ЛОР-врача при склонности к частым гайморитам;
- Тщательно следить за гигиеной ротовой полости, используя подходящие средства;
- Контролировать течение хронических заболеваний, особенно сахарного диабета;
- Сразу обращаться к хирургу-стоматологу при травмах челюстно-лицевой области.
Если киста уже диагностирована, следует помнить – самостоятельно она не рассосется, требуется комплексное лечение в условиях стоматологической клиники. Врачи «Фактора Улыбки» владеют современными методиками лечения кисты зуба, которые позволят избавиться от новообразования максимально безболезненно, сохранив при этом зуб как функциональную единицу.
Классификация МКБ-10 для стоматологии и ЧЛХ

К12.00 — рецидивирующие (малые) афты, афтозный стоматит, язвенное поражение, афты Микулича, малые афты, рецидивирующие афтозные язвы.
К12.01 — рецидивирующий слизисто–некротический периаденит, рубцующийся афтозный стоматит, большие афты, афты Саттона
К12.02 — герпетиформный стоматит (герпетиформная сыпь)
К12.03 — афты Бернара
К12.04 — травматическое изъязвление, связанное с ношением зубного протеза
К12.08 — другие уточнённые рецидивирующие афты полости рта
К12.09 — рецидивирующие афты полости рта неуточненные
К12.1 — другие формы стоматита
К12.10 — стоматит артефициальный
К12.11 — географический стоматит
К12.12 — стоматит, связанный с ношением зубного протеза
B37.03 — кандидозный стоматит, связанный с ношением зубного протеза
К12.13 — папиллярная гиперплазия неба
К12.14 — контактный стоматит, стоматит «ватного валика»
К12.18 — другие уточнённые формы стоматита
К12.19 — стоматит неуточненный
К12.2 — флегмона и абсцесс области рта
J36 — перитонзилярный абсцесс
К13 — другие болезни губ и слизистой оболочки полости рта
К13.0 — болезни губ
L56.8Х — актинический хейлит
Е 53.0 — арибофлавиноз
К13.00 — ангулярный хейлит, трещина спайки губ (заеда)
B37.0 — заеда вследствие кандидоза
Е 53.0 — заеда в следствии недостаточности рибофлавина
К13.01 — хейлит гранулярный апостематозный
К13.02 — хейлит эксфолиативный
К13 03 — хейлит БДУ
К13.08 — другие уточнённые болезни губ
К13.09 — болезнь губ неуточненная
К13.1 — прикусывание щеки и губ
К13.2 — лейкоплакия и другие изменения эпителия полости рта, включая язык
B37.02 — кандидозная лейкоплакия
B07. Х 2 — очаговая эпителиальная гиперплазия
К13.20 — лейкоплакия идиопатическая
К12.21 — лейкоплакия, связанная с употреблением табака
К13.24 — никотиновый лейкокератоз неба
К13.24 — небо курильщика
К13.28 — другие изменения эпителия
К13.29 — неуточненные изменения эпителия
К13.3 — волосатая лейкоплакия
К13.4 — гранулема и гранулемоподобные поражения СОПР
К13.40 — пиогенная гранулема
К13.41 — эозинофильная гранулема СОПР
D76.00 — эозинофильная гранулема кости
К13.42 — веррукозная ксантома
К13.5 — подслизистый фиброз полости рта
К13.6 — гиперплазия СОПР вследствие раздражения
К06.23 — гиперплазия, связанная с ношением съёмного протеза
К13.7 — другие и неуточненные поражения СОПР
К13.70 — избыточная меланиновая пигментация, меланоплакия, меланоз курильщика
К13.71 — свищ полости рта
T81.8 — ороантральный свищ
К13.72 — добровольная татуировка
К13.73 — очаговый муциноз полости рта
К13.78 — другие уточнённые поражения СОПР, белая линия
К13.79 — поражения СОПР неуточненные
К14 — болезни языка
К14.00 — абсцесс языка
К14.01 — травматическое изъязвление языка
К14.08 — другие уточнённые глосситы
К14.09 — глоссит неуточненный
К14.1 — географический язык, эксфолиативный глоссит
К14.2 — срединный ромбовидный глоссит
К14.3 — гипертрофия сосочков языка
К14.30 — обложенный язык
К14.31 — «волосатый» язык
К14.38 — волосатый язык вследствие приёма антибиотиков
К14.32 — гипертрофия листовидных сосочков
К14.38 — другая уточнённая гипертрофия сосочков языка
К14.39 — гипертрофия сосочков неуточненная
К14.4 — атрофия сосочков языка
К14.40 — вызванная привычками очищать язык
К14.41 — вызванная системными нарушениями
К14.42 — атрофический глоссит
К14.48 — другая уточнённая атрофия сосочков языка
К14.49 — атрофия сосочков языка неуточненная
К14.5 — складчатый, морщинистый, бороздчатый, расщеплённый язык
К14.60 — глоссопироз (жжение в языке)
К14.61 — глоссодиния (боль в языке)
R43 — нарушение вкусовой чувствительности
К14.68 — другая уточнённая глоссодиния
К14.69 — глоссодиния неуточненная
К14.8 — другие болезни языка
К14.80 — зубчатый язык (язык с отпечатками зубов)
К14.81 — гипертрофия языка
К14.82 — атрофия языка
К14.88 — другие уточнённые болезни языка
К14.9 — болезнь языка неуточненная
К50 — болезнь Крона (региональный энтерит) проявления в полости рта
L02 — абсцесс кожи, фурункул и карбункул
К12.2Х — флегмона рта
L03.2 — флегмона лица
L04 — острый лимфаденит
I88.1 — хронический лимфаденит
L08 — другие местные инфекции кожи и подкожной клетчатки
L10.0Х — пузырчатка обыкновенная, проявления в полости рта
L10.1 — пузырчатка вегетирующая
L10.2 — пузырчатка листовидная
L10.5 — пузырчатка вызванная лекарственными средствами
L13 — другие буллезные изменения
L23 — аллергический контактный дерматит
L40.0 — псориаз обыкновенный
L42 — питириаз розовый
L43 — лишай красный плоский
L43.1 — лишай красный плоский буллезный
L43.8 — другой красный плоский лишай
L43.80 — проявления КПЛ папулезные в полости рта
L43.81 — проявления КПЛ ретикулярные в полости рта
L43.82 — проявления КПЛ атрофические и эрозивные в полости рта
L43.83 — проявления КПЛ (типичные бляшки) в полости рта
L43.88 — проявления КПЛ уточнённые в полости рта
L43.89 — проявления КПЛ неуточненные в полости рта
L51 — эритема многоформная
L51.0 — небуллезная эритема многоформная
L51.1 — буллезная эритема многоформная
L51.9 — эритема многоформная неуточненная
L81 — другие нарушения пигментации
L82 — себорейный кератоз
L83 — акантоз негроидный
L90 — атрофические поражения кожи
L91.0 — келоидный рубец
L92.2 — гранулема лица (эозинофильная гранулема кожи)
L92.3 — гранулема кожи и подкожной клетчатки, вызванная инородным телом
L93 — красная волчанка
L93.0 — дискоидная красная волчанка
L94.0 — локализованная склеродермия
L98.0 — пиогенная гранулема
Инфекционные артропатии
M00 — пиогенный артрит
M02 — реактивные артропатии
M00.3Х — болезнь Рейтера ВНЧС
Воспалительные полиартропатии
M05 — серопозитивный ревматоидный артрит
M08 — юношеский (ювенальный) артрит
M12.5Х — травматическая артропатия ВНЧС
M13 — другие артриты
M13.9 — артрит неуточненный
Артрозы
M19.0Х — первичный артроз ВНЧС
M35.0Х — синдром сухости (синдром Шегрена) проявление в полости рта
M79.2Х — невралгия и неврит неуточненные головы и шеи
M79.5 — остаточное инородное тело в мягких тканях
M80.VХ — остеопороз с патологическим переломом челюстей
M84.0Х — плохое срастание перелома головы и шеи
M84.1Х — несрастание перелома (псевдоартроз) головы и шеи
M84.2Х — замедленное сращение перелома головы и шеи
M88 — болезнь Педжета
O26.8 — другие уточнённые состояния, связанные с беременностью
O26.80 — гингивит, связанный с беременностью
O26.81 — гранулема, связанная с беременностью
O26.88 — другие уточнённые проявления в полости рта
O26.89 — проявления в полости рта неуточненные
Врождённые аномалии
Q35-Q37 — расщелина губы и неба
Q75 — врождённые аномалии скуловых и лицевых костей
Q21.3Х — тетрада Фалло проявления в полости рта
Q38.31 — раздвоение языка
Q38.32 — врождённая спайка языка
Q38.33 — врождённая фиссура языка
Q38.34 — врождённая гипертрофия языка
Q38.36 — гипоплазия языка
Q38.40 — отсутствие слюнной железы или протока
Q38.42 — врождённый свищ слюнной железы
Q38.51 — высокое небо
Q90 — синдром Дауна
R06.5 — дыхание через рот (храп)
R19.6 — неприятный запах изо рта (зловонное дыхание)
R20.0 — анестезия кожи
R20.1 — гипестезия кожи
R20.2 — парастезия кожи
R23.0Х — цианоз проявления в полости рта
R23.2 — гиперемия (чрезмерное покраснение)
R23.3 — спонтанные экхимозы (перехии)
R43 — нарушения обоняния и вкусовой чувствительности
R47.0 — дисфазия и афазия
Травма
S00 — поверхностная травма головы
S00.0 — поверхностная травма волосистой части головы
S00.1 — ушиб века и подглазничной области (синяк в области глаза)
S00.2 — другие поверхностные травмы века и окологлазничной области
S00.3 — поверхностная травма носа
S00.4 — поверхностная травма уха
S00.50 — поверхностная травма внутренней поверхности щеки
S00.51 — поверхностная травма других областей рта (включая язык)
S00.52 — поверхностная травма губы
S00.59 — поверхностная травма губы и полости рта неуточненная
S00.7 — множественные поверхностные травмы головы
S01 — открытая рана головы
S01.0 — открытая рана волосистой части головы
S01.1 — открытая рана века и окологлазничной области
S01.2 — открытая рана носа
S01.3 — открытая рана уха
S01.4 — открытая рана щеки и височно–нижнечелюстной области
S01.5 — открытая рана зубы и полости рта
S02.0 — перелом свода черепа
S02.1 — перелом основания черепа
S02.2 — перелом костей носа
S02.3 — перелом дна глазницы
S02.40 — перелом альвеолярного отростка верхней челюсти
S02.41 — перелом скуловой кости (дуги)
S02.42 — перелом верхней челюсти
S02.47 — множественные переломы скуловой кости и верхней челюсти
S02.5 — перелом зуба
S02.50 — перлом только эмали зуба (откол эмали)
S02.51 — перелом коронки зуба без повреждения пульпы
S02.52 — перелом коронки зуба без повреждения пульпы
S02.53 — перелом корня зуба
S02.54 — перелом коронки и корня зуба
S02.57 — множественные переломы зубов
S02.59 — перелом зуба неуточненный
S02.6 — перелом нижней челюсти
S02.60 — перелом альвеолярного отростка
S02.61 — перелом тела нижней челюсти
S02.62 — перелом мыщелкового отростка
S02 63 — перелом венечного отростка
S02.64 — перелом ветви
S02.65 — перелом симфиза
S02.66 — перелом угла
S02.67 — множественные переломы нижней челюсти
S02.69 — перелом нижней челюсти неуточненной локализации
S02.7 — множественные переломы костей черепа и лицевых костей
S02.9 — перелом неуточненной части костей черепа и лицевых костей
S03 — вывих, растяжение и перенапряжение суставов с связок головы
S03.0 — вывих челюсти
S03.1 — вывих хрящевой перегородки носа
S03.2 — вывих зуба
S03.20 — люксация зуба
S03.21 — интрузия или экструзия зуба
S03.22 — вывих зуба (экзартикуляция)
S03.4 — растяжение и перенапряжение сустава (связок) челюсти
S04 — травма черепных нервов
S04.3 — травма тройничного нерва
S04.5 — травма лицевого нерва
S04.8 — травма других черепных нервов
S04.9 — травма черепного нерва неуточненного
S07.0 — размозжение лица
S09.1 — травма мышц и сухожилий головы
S10 — поверхностная травма шеи
S11 — открытая травма шеи
T18.0 — инородное тело во рту
T20 — термические и химические ожоги головы и шеи
T28.0 — термический ожог рта и глотки
T28.5 — химический ожог рта и глотки
T33 — поверхностное отморожение
T41 — отравление анестезирующими средствами
T49.7 — отравление стоматологическими препаратами, применяемые местно
T51 — токсическое действие алкоголя
T57.0 — токсическое действие мышьяка и его соединений
T78.3 — ангионевротический отёк (гигантская крапивница, отёк Квинке)
T78.4 — аллергия неуточненная
T88 — шок вызванный анестезией
T81.0 — кровотечение и гематома, осложняющие процедуру, неквалифицированную
T81.2 — случайный прокол или разрыв при выполнении процедуры (случайная перфорация)
T81.3 — расхождение краёв операционной раны,
T81.4 — инфекция, связанная с процедурой, не классифицированная в других рубриках
T81.8 — процедуры эмфизема (подкожная) вследствие процедуры
T84.7 — инфекция и воспалительная реакция обусловленные внутренними ортопедическими протезными устройствами, имплантатами трансплантатами
Y60 — случайный порез, укол. перфорация или кровотечение при выполнении хирургической и терапевтической процедур
Y60.0 — при проведении хирургической операции
Y61 — случайное оставление инородного тела в организме при выполнении хирургической и терапевтической процедур
Y61.0 — при проведении хирургической операции
При интактных (здоровых) зубах ставится код:
Z01.2 — стоматологическое обследование
При кровотечении из лунки после удаления зуба ставятся диагнозы:
R58 — Кровотечение, не классифицированное в других рубриках
K08.1 — потеря зубов вследствие несчастного случая, удаления или локализованного пародонтита
При удаление молочного зуба из-за физиологической резорбции корня ставится диагноз:
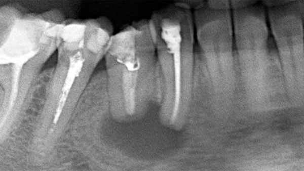
Радикулярная киста

Радикулярной кистой называется полостное образование у верхушки зубного корня. Изнутри оно выстелено эпителиальной тканью и наполнено кистозной жидкостью. Самая распространенная причина появления радикулярной кисты – хроническое периапикальное воспаление. Заболевание часто протекает бессимптомно и обнаруживается только во время стоматологического осмотра или рентгенографии ближайших зубов.
Причины возникновения радикулярной кисты
Развитие радикулярной кисты в большинстве случаев вызвано инфекционно-воспалительным процессом. Организм формирует кистозное образование, чтобы изолировать очаг инфекции. Воспалительный процесс начинается по причине:
- застарелого невылеченного кариеса;
- пульпита;
- гранулематозного периодонтита (через время гранулемы преобразуются в кисты);
- травмы зуба или челюсти;
- перенесенного инфекционного заболевания (ангины, отита, гайморита);
- сниженного иммунитета;
- неправильного прикуса;
- осложнений при прорезывании зубов мудрости.
Симптомы
У заболевания нет ярко выраженных симптомов. Незначительные признаки, которые иногда наблюдаются, пациенты приписывают другим патологиям и оставляют без внимания. Стоматолог при осмотре полости рта может заподозрить кисту, когда обнаружит потемневший зуб или кариес в запущенной форме. Если провести зондирование корневых каналов, на кисту укажут желтоватые жидкие выделения и отсутствие болезненных ощущений во время манипуляции.
Образования могут достигать 5 см в диаметре. При значительных габаритах радикулярной кисты происходит смещение зубов, при пальпации в области поражения ощущается податливость и «пергаментный хруст».
Киста развивается бессимптомно до тех пор, пока не происходит ее нагноение. Его сопровождает боль, локализованная вокруг одного зуба, слабость, повышенная температура.
Иногда инфекция распространяется на внутреннее ухо и носовые пазухи, вызывая острый воспалительный процесс. Крупная киста может деформировать стенки гайморовой пазухи, вызвать атрофию губчатого вещества кости и гайморит.
Диагностика
Часто кисту находят, когда начинают лечить соседние зубы. Радикулярное кистозное образование хорошо просматривается на рентгеновском снимке – это тень округлой формы с четкой границей, прилегающая к верхушке или стенке корня.
Для уточнения диагноза делается электроодонтометрия. Чтобы уточнить характер новообразования назначают пункцию толстой иглой. Для проверки масштабов и распространения дополнительно понадобится рентгенография придаточных пазух носа, иногда контрастная рентгенография и компьютерная томография кости верхней челюсти.
Лечение
Радикулярная киста лечится посредством хирургического вмешательства – цистотомии или цистэктомии.
Цистотомия применяется в случае крупной кисты, которая затрагивает корни нескольких соседних зубов и разрушает стенки гайморовой пазухи. Операция предполагает вычищение полости кисты через небольшое отверстие, проделанное со стороны полости рта, носа или придаточной пазухи. По завершении хирург дезинфицирует полость и вкладывает туда тампон с йодоформом. Спустя неделю тампон заменяют новым, так продолжается до тех пор, пока врач не убедится, что воспалительный процесс прекратился.
Цистэктомия – это удаление кисты, через отделение фиброзной оболочки образования от окружающих тканей. Операция завершается тампонадой полости или сближением краев слизистой оболочки, которые были повреждены. Цистэктомию делают при небольших размерах кисты.
Послеоперационное восстановление пройдет успешно, если пациент будет серьезно относиться к предписаниям по гигиене полости рта: пользоваться антисептическими ополаскивающими средствами, аккуратно чистить зубы. В случае повышения температуры тела, а также при интенсивных и длительных болевых ощущениях нужно немедленно обратиться к врачу.
2019 © Хорошая стоматология — сеть стоматологических клиник.
Стоматологические услуги около м. Верхние Лихоборы, м. Митино, м. Тушинская, м. Речной вокзал, м. Отрадное, м. Щелковская
Данная страница носит информационно-справочный характер и не является публичной офертой.
Читайте также:
