Различия между ЭхоКГ и допплерографией. Целесообразность
Добавил пользователь Владимир З. Обновлено: 03.01.2026
Эходопплеркардиография — это инструментальный метод исследования сердца и кровеносных сосудов, при котором применяются ультразвуковые технологии.
Оформите заявку на услугу, мы свяжемся с вами в ближайшее время и ответим на все интересующие вопросы.
Эходопплеркардиография — это инструментальный метод исследования сердца и кровеносных сосудов, при котором применяются ультразвуковые технологии. Как и при «рутинных» (М-режимной и двухмерной) эхокардиографиях (ЭхоКГ), данная методика использует высокочастотные звуковые волны, чтобы создать изображение сердца. Но помимо этого, чтобы определить скорость и направление кровотока, она дополняется эффектом Допплера.
Эхокардиография с допплерометрией, допплеровская эхокардиография — другие названия этой процедуры.
Основные режимы визуализации, применяемые при УЗИ сердца
Ультразвуковое исследование сердца в основном используется для получения двухмерного изображения этого органа и близлежащих магистральных сосудов. А также с помощью этой методики можно оценить скорость и направление кровотока, что требует применение эффекта Допплера. В зависимости от того, как обрабатывается и отображается на мониторе эхо-сигнал, различают следующие режимы ЭхоКГ:
- Двухмерный (2D режим). На монитор выводится изображение сердца в разрезе (в двух измерениях). Данный способ является основным при визуализации этого органа, позволяет детально рассмотреть анатомические отклонения и аномальные движения миокарда, клапанов.
- М-режим (M-mode). Это «усеченный» вариант предыдущего, при котором используется для анализа только одномерное изображение. Основное внимание уделяется одной из линий 2D трассировки, что позволяет более детально исследовать движения створок клапанов и сердечной мышцы.



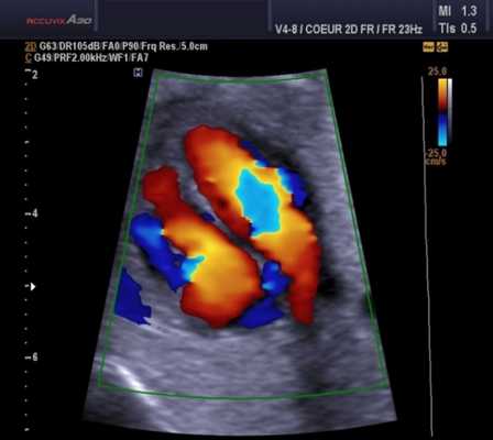
Для облегчения выявления турбулентного движения (завихрений) существует порог скорости, выше которого происходит изменение цвета (во многих аппаратах это зелены). «Мозаичный» узор на участке турбулентного потока позволяет легко установить регургитацию (смену направления движения), что помогает определить степень недостаточности клапанов.


Наличие режимов визуализации сердца не означают, что для каждого из них необходим отдельный УЗИ аппарат. Все современные ультразвуковые приборы для эхокардиографии способны воспроизвести данные режимы. Для этого врачу необходимо только «переключить тумблер» или поменять датчик.
Для получения “полной картины заболевания” обычно используется сочетание нескольких методов визуализации следующих структур:
- клапанов;
- четырех камер сердца;
- перегородок между ними;
- перикарда;
- внутрисердечных масс;
- миокарда.
Так, например, эхокардиография с допплерометрией и цветным допплеровским картированием (ЦДК), которая является сочетанием 2D и М-режимов с допплерометрией, очень полезна при оценке митрального стеноза. Первые два способа визуализации позволяют заподозрить кальцификацию клапана (аномальное движение его створок).
Допплерометрия демонстрирует при этой патологии повышенную скорость кровотока (признак сужения) и может быть использована для оценки «эффективной площади отверстия» (степени выраженности стеноза).

Эхокардиография наиболее полезна при диагностики следующих патологий:
- пороках сердца: при дисфункции клапана, для контроля за протезами;
- при нарушениях функции левого желудочка: используется для выяснения причины (постинфарктный кардиосклероз, кардиомиопатия и т. д.) и определения фракции выброса (ФВ);
- мерцательной аритмии — оценка структурной причины, риска тромбоэмболии и предполагаемого ответа на кардиоверсию;
- хронической сердечной недостаточности;
- кардиомиопатиях;
- инфекционном эндокардите: включает оценку поражения клапанов, а также степень тяжести гемодинамических нарушений;
- после ишемического инсульта головного мозга с целью определения возможной сердечной причины образования эмболов;
- перикардиальной патологии — наличия жидкости в околосердечной сумке; с помощью эхокардиографии (под ее контролем) можно безопасно удалить перикардиальную жидкость при тампонаде сердца;
- патологии грудного отдела аорты: аневризма, расслоение.
Информация, которая предоставляется с помощью ЭхоКГ, чрезвычайно полезна для врачей при диагностике различных состояний, связанных с сердечно-сосудистыми заболеваниями. Тем не менее, очень важно, чтобы «клиент» понимал, что существует множество «нюансов», которые влияют на правильную постановку диагноза, связанных с эхокардиографией.
Опыт врача, проводящего исследование, вид используемого оборудования — факторы, влияющие на точность диагностики. Неправильно проведенное ультразвуковое исследование, как правило, приводит к избыточному назначению ненужных тестов или даже хирургических вмешательств.
Преимущества и недостатки допплерометрии сердца
ЭхоКГ способна определить направление кровотока, измерить скорость движения крови и сердечной стенки, если она дополняется эффектом Доплера. Одним из недостатков эхокардиографии с допплеровским анализом является то, что для получения точных результатов ультразвуковой луч и поток крови должны быть максимально параллельны, что ограничивает возможность исследовать некоторые отделы сердца.
Измерение скоростных характеристик позволяет оценить:
Допплерэхокардиография позволяет измерить все вышеперечисленные параметры, которые очень важны при оценке детской сердечной патологии (врожденные пороки) без использования инвазивной процедуры — катетеризации сердца. Помимо этого, назначение эхокардиографии с допплеровским анализом ребенку не несет никакой угрозы по сравнению с компьютерной томографией, где используется рентгеновское излучение.
Как ЭхоКГ выполняется (совместно с допплерометрией)
Эхокардиография считается довольно простой медицинской процедурой, не требующей серьезной подготовки. Во время исследования пациента размещают на кушетке. Оператор держит в руке датчик (устройство, напоминающее компьютерную мышь), медленно его перемещает по коже грудной стенки исследуемого. Предварительно врач наносит на кожу специальный гель, чтобы облегчить передвижение датчика. В процессе исследования доктор может попросить перевернуться на тот или иной бок, задержать дыхание на несколько секунд. Процедура обычно длится от 30 до 60 минут.
Эхокардиографию иногда сочетают со стресс-тестом. Сначала выполняют ЭхоКГ в состоянии покоя, а затем повторяют ее во время физических упражнений. Это помогает определить функциональные изменения в сердечной мышце в период перенапряжения. Отклонения могут косвенно указывать на заболевания коронарных артерий.
Трансэзофагеальная ЭхоКГ — методика ультразвукового исследования, которая позволяет более детально просмотреть некоторые отделы сердца (которые плохо визуализируются при обычной, трансторакальной), а также часто используется для получения изображения во время операции на этом органе. Как правило, оно проводится под действием внутривенного наркоза. Тонкий зонд проводится по пищеводу до уровня расположения сердца.

На сегодняшний день эхокардиография с допплеровским анализом — это неотъемлемая составляющая полного ультразвукового исследования сердца, позволяющая поставить правильный диагноз.
Различия между ЭхоКГ и допплерографией. Целесообразность
Оценка гемодинамики, клапанных пороков сердца при эхокардиографии. Принципы
Как с помощью ЭхоКГ с допплерографией можно оценить параметры гемодинамики?
- Измерив выходной тракт ЛЖ и интеграл скорости по времени потока крови в этой области, вычисляют ударный объем и сердечный выброс ЛЖ.
- Проведя аналогичные измерения в области выходного тракта ПЖ, вычисляют ударный объем и сердечный выброс ПЖ.
- Измерив пиковый градиент давления потока трикуспидальной регургитации и оценив давление в ПП, вычисляют систолическое давление в легочной артерии.
- Измерение скоростей входящего митрального потока, времени его замедления, параметров кровотока в легочных венах и тканевая допплерография в области кольца митрального клапана позволяет достаточно точно оценить диастолическую функцию ЛЖ, включая давление наполнения ЛЖ.
- Измерив диаметр клапанных отверстий аортального и пульмонального клапанов и оценив интеграл скорости по времени соответствующих потоков крови, можно определить величину внутрисердечного шунта (Qp/Qs) и объемы регургитации.

- Определение градиента давления в области нативных клапанов или клапанных протезов, внутрисердечных шунтов позволяет оценить гемодинамическую значимость клапанного стеноза, регургитации и шунта соответственно.
- Оценка характера изменений трансклапанного кровотока по время фаз дыхания помогает при диагностике тампонады сердца и констриктивного перикардита.
Как используется ЭхоКГ для оценки клапанных пороков сердца?
- В двухмерном режиме можно детально визуализировать сам клапан, что позволяет определить наличие морфологических аномалий его структуры (кальциноз, пролабирование, патологическую подвижность, признаки ревматического поражения, эндокардита). На рисунке 6.1 показано ограничение подвижности стенозирован-ного митрального клапана у пациента.
- Цветовая допплерография позволяет провести полуколичественную оценку величины клапанной регургитации (легкая, средняя, тяжелая) на любом из клапанов сердца (митральном, аортальном, трикуспидальном или пульмональном).
- Импульсно-волновая допплерография позволяет точно локализовать клапанную аномалию (например, различить субаортальный стеноз от аортального и супрааортального), а также (с помощью уравнения непрерывности потока) провести количественную оценку объемов и фракций клапанной регургитации.
- Постоянно-волновая допплерография позволяет оценить гемодинамическую значимость стенотического поражения клапанов (таких как аортальный или митральный стеноз).
Редактор: Искандер Милевски. Дата обновления публикации: 18.3.2021
- Вернуться в оглавление раздела "Кардиология"
Информация на сайте подлежит консультации лечащим врачом и не заменяет очной консультации с ним.
См. подробнее в пользовательском соглашении.
В чем заключается сущность метода эхокардиографии? Для ЭхоКГ используются трансторакальные и пищеводные датчики, испускающие УЗ-волны, направленные к структурам сердца. Отражаясь от последних, УЗ-сигналы возвращаются назад и воспринимаются тем же датчиком, после чего компьютер с помощью специального алгоритма реконструирует на экране УЗ-аппарата изображения сердца. Время, затраченное на прохождение УЗ-луча от датчика до структуры сердца и обратно позволяет определить глубину залегания данной структуры относительно датчика, поскольку скорость распространения УЗ-сигнала в мягких тканях достаточно постоянна (1540 м/с). По амплитуде (интенсивности) возвращенного сигнала можно определить плотность и размер структуры, от которой произошло его отражение.
С помощью тех же или дополнительных датчиков выполняется допплеровское исследование, основанное на измерении частотного сдвига возвращенного сигнала, что позволяет определить скорость и направление движения потоков крови внутри сердца и крупных сосудов (например, через аортальный клапан) или самого миокарда (тканевая допплерография).
В чем заключаются различия между ЭхоКГ и допплерографией?
При ЭхоКГ исследуются изображения сердца, на которых яркость изображения исследуемой структуры отражает ее плотность, а положение на экране - локализацию в тканях по отношению к стенке грудной клетки. Двухмерная ЭхоКГ особенно полезна для изучения анатомических и морфологических особенностей сердца (например, наличия перикардиального выпота, аневризмы ЛЖ или патологии клапанного аппарата). В противоположность этому, при допплерографии оценивается движение крови внутри или вокруг сердца, что базируется на автоматизированном вычислении частотного сдвига (допплеровского сдвига) регистрируемого отраженного сигнала, происходящего в тот момент, когда УЗ-сигнал входит в контакт с двигающимися объектами (обычно такими объектами служат эритроциты). Известно три разновидности допплерографии:
- Импульсно-волновая допплерография, с помощью которой можно локализовать место ускорения потока крови. При этом, однако, даже небольшое увеличение скорости кровотока сопровождается появлением феномена разворота допплеровского частотного спектра (артефакт наложения, или алайсинг [aliasing]).
- Постоянно-волновая допплерография, не дающая возможности определить место ускорения кровотока, однако позволяющая правильно идентифицировать высокоскоростные потоки без появления феномена разворота допплеровского частотного спектра (алайсинга).
- Цветовая допплерография, при которой потоки, направленные в сторону датчика и от него, отображаются на экране различными цветами (в гамме соответственно от красного до синего). При этом зона ускорения кровотока представляется, по сути, количественным способом - путем отображения точек различного оттенка, что отражает наличие высокоскоростных потоков и феномена алайсинга.
Допплерография особенно полезна для оценки гемодинамической значимости структурных аномалий сердца (например, тяжести аортального стеноза, степени MP, скорости кровотока через ДМПЖ или тяжести легочной гипертензии).
В большинстве случаев ЭхоКГ назначается совместно с допплерографией (допплеровская ЭхоКГ), что позволяет в ходе одного исследования изучить как морфологию сердца, так и гемодинамическую значимость выявленных аномалий (например, при наличии шума митрального стеноза, когда с помощью двухмерной ЭхоКГ визуализируется малоподвижный, утолщенный и кальцинированный митральный клапан, а при допплерографии на основании анализа трансклапанной скорости кровотока и градиента давления определяется степень тяжести порока).

Целесообразность назначения эхокардиографии:
1. Список клинических ситуаций, в которых выполнение ЭхоКГ является целесообразным, включает в себя следующие обстоятельства (но не ограничивается ими):
- Наличие клинических симптомов, которые, возможно, связаны с патологией сердца (одышка, чувство нехватки воздуха, головокружение, синкопальные состояния, цереброваскулярные события и др.).
- Первичная оценка функции ЛЖ после острого ИМ.
- Наличие шумов сердца, заставляющих предположить наличие клапанного порока.
- Устойчивая желудочковая или суправентрикулярная тахикардия.
- Подозрение на легочную гипертензию.
- Острая боль в грудной клетке - при отсутствии убедительных изменений на ЭКГ и отклонений лабораторных показателей.
- Изменение клинического состояния пациента, страдающего известной патологией нативных клапанов или клапанных протезов.
2. Неоднозначные показания для ЭхоКГ:
- Поиск возможного источника эмболии у пациента, у которого ранее при трансторакальной ЭхоКГ и ЭКГ отклонений от нормы не обнаруживалось, а приступы мерцания или трепетания предсердий отсутствовали.
3. Ситуации, в которых ЭхоКГ не является целесообразной:
- Рутинный мониторинг течения известных заболеваний (таких как СН, незначительные клапанные пороки сердца, гипертоническое сердце, оперированные врожденные аномалии сердца) или рутинный мониторинг состояния клапанного протеза при стабильности клинического состояния пациента.
- Первичное обследование при подозрении на ТЭЛА. При невозможности проведения спиральной КТ при ТЭЛА необходимо оценить функциональное состояние ПЖ с помощью ЭхоКГ.
- Скрининговое обследование пациента с АГ на предмет наличия патологии сердца при отсутствии каких-либо клинических симптомов последней.
4. Ситуации, в которых целесообразно выполнение чреспищеводной ЭхоКГ в качестве первичного исследования без предшествующей трансторакальной ЭхоКГ:
- Обследование при подозрении на патологию аорты, включая ее расслоение.
- Необходимость контроля за ходом чрескожных вмешательств, включая аблацию и митральную вальвулопластику.
- Необходимость определения механизма регургитации и уточнения возможности восстановления целостности клапана.
- Диагностика или наблюдение за течением ИЭ у пациентов с высоким или средним риском его развития.
- Персистирующая лихорадка у пациента с имплантированным внутрисердечным устройством.
- Чреспищеводная ЭхоКГ не является необходимой первичной процедурой для диагностики тромбоза ЛП у пациентов с мерцанием предсердий, если уже принято решение о назначении антикоагулянтов.
Видео урок основы допплер-ЭхоКГ (допплерографии при эхокардиографии)
Эхокардиография с доплеровским анализом
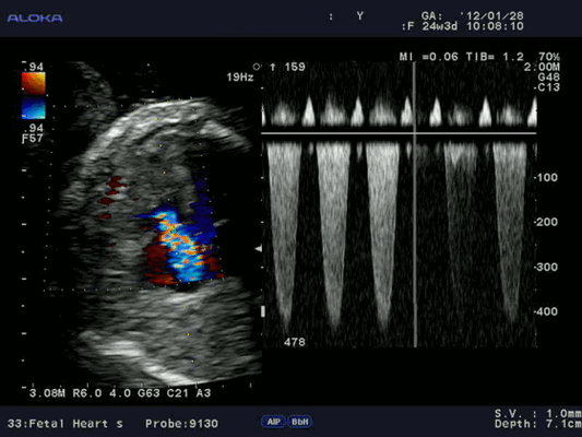
Для оценки турбулентности системы кровообращения, а также скорости тока крови потребуется эхокардиография с доплеровским анализом. На сегодняшний день метод считается наиболее востребованным исследованием в кардиологии, особенно для диагностирования сердечных патологий в детском возрасте. Какие существуют показания к проведению анализа? Какими преимуществами обладает исследование и как правильно к нему подготовиться?
Основная характеристика исследования
Эхокардиографию с доплеровским анализом считают наиболее эффективной методикой для определения расположения и работы различных сердечных структур в режиме реального времени.

Допплеровский принцип широко применяют в медицине для определения направленности кровотока в сосудах и структурах сердца
Основа метода заключается в вычислении соотношения скорости передвижения объекта по отношению к видоизмененной частоте отражаемого сигнала. При соприкосновении ультразвуковых волн с перемещающимися кровяными тельцами наблюдается преобразование частот, значимость которой является доплеровским сдвигом. Поскольку частота воспроизводства ультразвуковой волны постоянна, то изменение ее частоты указывает на направление и скорость тока крови. Как правило, он воссоздается эхо-прибором в виде слышимого сигнала, который доступен для восприятия человека.
Достоинства метода
Эхокг обладает высокой информативностью, поэтому её назначают мужчинам, женщинам в период беременности, и детям.
Анализ имеет множество преимуществ, среди которых:
- неинвазивная техника проведения диагностики;
- обработка большого количества информации в короткие сроки;
- точное воспроизведение результатов.
Информативное исследование имеет доступную ценовую политику, поэтому в случае необходимости его сможет пройти каждый.
Задачи диагностики
Оценить функционирование сердца невозможно без проведения диагностики его анатомических структур и показателей кровотока в магистральных сосудах. Именно с этой целью современное ультразвуковое оборудование, предназначенное для выполнения эхо кг, оснащено приборами с допплером и необходимым программным обеспечением. Благодаря этому, специалисты получают возможность проводить одновременную визуализацию сердечных структур и допплерографию.

Благодаря высокой информативности метода, можно выявить новообразования в структурах сердца на ранней стадии
Методика позволяет диагностировать следующие параметры деятельности органа:
- выявить патологические изменения в направлении тока крови;
- визуализировать пролапс митрального клапана;
- оценить параметры структурных элементов сердца;
- определить локализацию тромбов и аневризму аорты;
- диагностировать врожденные и приобретенные сердечные патологии.
Эхокардиография совместно с допплерографией позволяет специалистам провести оценку сердечной деятельности, а также выявить формирование патологических процессов на раннем этапе.
Показания к проведению исследования
Заболевания сердечно-сосудистой системы в большинстве случаев могут развиваться без каких-либо признаков. Для своевременной диагностики сердечных недугов рекомендовано походить эхокардиографию с допплером последующим посещением кардиолога для оценки результатов один раз в год.

Эхокардиограмму следует проходить людям, страдающим артериальной гипертензией, которая сопровождается частыми головокружениями и обмороками
В обязательном порядке диагностику следует проходить пациентам, у которых присутствуют следующая симптоматика:
- Посторонние шумы в сердце, сопровождаемые нарушениями ритма.
- Болезненность в области грудной клетки или сердца.
- Отечность нижних конечностей.
- Увеличение размеров печени.
- Острое или хроническое нарушение коронарного кровотока.
- Усиление сердцебиения.
- Одышка.
- Цианоз носогубного участка.
- Повышенная утомляемость, даже при незначительных усилиях.
Эхокардиографию назначают пройти ребенку, у которого в динамике наблюдается недостаточный набор массы тела.
Уздг необходимо пройти пациентам, которые перенесли оперативные вмешательства на область грудной клетки. Людям, страдающим от хронической головной боли также следует пройти процедуру. Поскольку характер головной боли может приобрести патологическое течение, когда часть тромба начинает мигрировать по сердечным отделам.
Используемые виды допплерографии
Современная ультразвуковая аппаратура позволяет осуществлять диагностику с допплерометрией в трех основных режимах:
Метод цветного картирования (ЦДК) – это очень эффективное исследование, позволяющие произвести оценку состояния не только сосудов, но и выявить локализацию тромбов, атеросклеротических бляшек, а также аневризму аорты. Интерпретация данных помогает определить специалисту характер новообразования и темп его развития.

Методика спектральной допплерографии объединяет в себе постоянный и импульсно-волновой режимы
На сегодняшний день наиболее широко применяемым исследованием при помощи допплера является тканевая методика. Данный метод оптимизирован для изучения не только направления кровотока, но и визуализации движений сердечных тканей. В ходе допплеровского анализа происходит окрашивание миокарда в различные цвета в соответствии со скоростью и направленностью кровяного потока. Технику применяют для выявления локализованных изменений в сократительной функции миокарда. Данные, получаемые в ходе анализа, регистрируются в виде графика, отображающего зависимость скорости от времени.
Алгоритм проведения процедуры
Эхокардиография с использованием допплера проводится как обычная ультразвуковая диагностика. Процедура не требует проведения специальных подготовительных мероприятий, за исключением отказа от пищи, алкоголя и курения за несколько часов до скрининга.

Процедура проведения эхокардиографии с допплерографией
Этапы проведения диагностики:
- Освободить область грудной клетки от одежды.
- Принять горизонтальное положение на левом боку, чтобы обеспечить максимальную визуализацию верхушки сердца.
- На область грудины наносить специальный гель, после чего подключают датчики.
- Датчики передают ультразвуковые волны по тканям организма пациента, затем они преобразовываются в электрический сигнал, обрабатываемый аппаратурой эхокардиограммы.
- Данные регистрируются на мониторе в виде четкого изображения.
- Интерпретация данных проводится после процедуры, однако в ходе исследования уже могут визуализироваться патологические изменения.
Оценка результатов
Данные, полученные в ходе процедуры, являются важным диагностическим критерием, поэтому их расшифровкой должен заниматься высококвалифицированный кардиолог. В первую очередь специалист проводит оценку сократительной способности миокарда, а затем определяет параметры, функциональное состояние левого и правого желудочков.

Параметры работы сердца и движения кровотока в норме
При оценке данных проведенного скрининга у ребенка необходимо учитывать площадь поверхности тела.
Эхокардиография с допплеровским анализом является высокоинформативной современной методикой для диагностирования различных заболеваний сердца. При помощи исследования определяется функциональная способность отдельных сердечных элементов, а также скорость и направленность кровотока. Все данные, полученные в ходе анализа, играют важную роль в постановке правильного диагноза, от них зависит дальнейшая тактика лечения пациента.
1. Эпидемиологические переходные периоды США. Период эпидемий и дефицита питания в США
2. Период дегенеративных и антропогенных заболеваний. Распространение сердечно-сосудистых заболеваний
3. Период поздних дегенеративных заболеваний. Снижение смертности от сердечно-сосудистых заболеваний
4. Период низкой физической активности и ожирения. Тенденции сердечно-сосудистых заболеваний
5. Заболеваемость в странах с высоким уровнем доходов. Смертность от сердечно-сосудистых заболеваний в Западной Европе
6. Заболеваемость в Японии. Сердечно-сосудистые заболевания в странах с низким и средним уровнями доходов
7. Сердечно-сосудистые заболевания в Восточной Европе. Эпидемиология сердечно-сосудистых заболеваний в Азии
8. Заболеваемость в Китае. Сердечно-сосудистые заболевания в Южной Азии и Индии
9. Заболеваемость в Африке. Сердечно-сосудистые заболевания в Африке
10. Заболеваемость в Латинской Америке. Сердечно-сосудистые заболевания на Ближнем Востоке
2. Факторы риска сердечно-сосудистых заболеваний. Курение как причина сердечно-сосудистых заболеваний
3. Влияние питания на развитие сердечно-сосудистых заболеваний. Значение физической активности в кардиологии
4. Уровни липидов при сердечно-сосудистых заболеваниях. Холестерин
5. Ожирение при сердечно-сосудистых заболеваниях. Избыточная масса тела и болезни сердца
6. Гипертензия как фактор риска ишемической болезни сердца. Распространенность артериальной гипертензии
7. Сахарный диабет как фактор риска сердечно-сосудистых заболеваний. Прогноз сердечно-сосудистых заболеваний
8. Стратегия снижения сердечно-сосудистых заболеваний. Смертность от сердечно-сосудистых заболеваний
9. Тенденции сердечно-сосудистых заболеваний в странах с низким доходом. Борьба с сердечно-сосудистыми заболеваниями в бедных странах
10. Проблема распространения сердечно-сосудистых заболеваний в бедных странах. Экономическая роль сердечно-сосудистых заболеваний
2. Влияние демографии населения на сердечно-сосудистые заболевания. Распространенность артериальной гипертензии
3. Распространенность сахарного диабета. Распространенность избыточной массы тела
4. Распространенность избыточного потребления натрия. Значение диеты в развитии сердечно-сосудистых заболеваний
5. Смертность от болезней сердца. Распространенность коронарной болезни сердца
6. Медицинская помощь при сердечно-сосудистых заболеваниях. Доступность медицины при болезнях сердца
7. Артериальная гипертензия в популяционных группах. Распространенность гипертензии среди американцев
8. Артериальная гипертензия среди афроамериканцев. Факторы риска развития артериальной гипертензии
9. Лечение артериальной гипертензии среди американцев. Влияние антигипертензивных препаратов на афроамериканцев
10. Распространенность ишемической болезни сердца. Эпидемиология инфаркта миокарда
1. Эпидемиология сердечной недостаточности. Причины сердечной недостаточности
2. Эффективность лечения сердечной недостаточности. Препараты для лечения сердечной недостаточности
3. Дифференцированный подход к лечению больных. Принципы терапия различных кардиологических больных
4. Экономика сердечно-сосудистых заболеваний. Социальная эффективность лечения болезней сердца
5. Медицинские расходы. Затраты на медицинское обеспечение
6. Экономический анализ лечения сердечно-сосудистых заболеваний. Экономика лечения острого коронарного синдрома
7. Экономика чрескожных коронарных вмешательств. Экономика антикоагулянтной и антитромботической терапии
8. Экономика коронарного шунтирования. Экономика стентирования коронарных артерий
9. Экономика имплантируемого кардиовертер-дефибриллятора. Экономика хронической сердечной недостаточности
10. Экономика профилактики заболеваний. Экономика вакцинации и приема аспирина
2. Клиническое решение врача. Ведение пациента в кардиологии
3. Диагностические гипотезы в кардиологии. Подходы к диагностике в кардиологии
4. Оценка диагностических тестов в кардиологии. Прогностическая ценность тестов в кардиологии
5. Теорема Bayes. Отношение правдоподобия диагностических тестов
6. Назначение диагностических тестов. Скринирующие тесты
7. Терапевтические решения. Уровни доказательств эффективности лекарств
8. Значение р в доказательствах. Риск и польза лечения
9. Стратификация риска. Риск-лечение
10. Согласие пациента на лечение. Разделение принятия решений с пациентом
2. Инновации в медицине для врача. Изменчивость медицинских публикаций
3. Качество медицинской помощи в кардиологии. Критерии качества медицинской помощи
4. Документы для анализа качества медицинской помощи. Ретроспективный анализ медицинской документации
5. Определение понятия качество медицинской помощи. Современные показатели качества медицинской помощи
6. Качество медицинской помощи в кардиологии. Кардиологическая медицинская помощь в США
7. Повышение качества медицинской помощи в кардиологии. Компьютеры в кардиологии
8. Лекарственная терапия в кардиологии. Риск и польза лекарств
9. Риск лекарственной терапии. Различные варианты действия лекарственных средств
10. Механизмы различного действия лекарств. Вариабельность фармакодинамики
1. Протеомика. Хроматография белков
2. Генетически модифицированные мыши в изучении сердечно-сосудистых заболеваний. Трансгенные мыши
3. Методы отключения гена. Условно нокаутные мыши
4. Изучение сердца на лабораторных мышах. Перенос генов - трансфекция генов
5. Векторы для переноса генов. Ретровирусы и аденовирусы в качестве векторов
6. Адено-ассоциированный вирус (AAV). Катионные липиды в качестве векторов
7. Изучение сердечно-сосудистых заболеваний на животных. Перенос генов в соматические клетки животных
8. Генная терапия сердечно-сосудистых заболеваний. Исследования генной терапии в кардиологии
9. Генетические факторы сердечно-сосудистых заболеваний. Наследственная предрасположенность в кардиологии
10. Аномалии хромосом человека. Анеуплоидия
Наследственные заболевания сердечно-сосудистой системы
Генетические болезни сердечно-сосудистой системы
2. Синдром Noonan. Причины и проявления синдрома Ноонан
3. Трисомия 21 - синдром Down. Синдром Turner
4. Опухоли сердца. Перспективы генетики сердечно-сосудистых заболеваний
5. Важность сбора анамнеза в кардиологии. Анамнез и план обследования сердечно-сосудистого больного
6. Сбор анамнеза у кардиологических больных. Клинические симптомы сердечно-сосудистых заболеваний
7. Физикальное обследование в кардиологии. Общий вид сердечно-сосудистого больного
8. Голова и шея кардиологического больного. Конечности при сердечно-сосудистых заболеваниях
9. Грудная клетка у кардиологического больного. Живот при сердечно-сосудистых заболеваниях
10. Давление в яремных венах. Венозное давление
Оценка давления, пульса и тонов сердца
2. Клиника тройного стеноза. Незаращение артериального протока
3. Сужение устья легочной артерии. Незаращение межпредсердной перегородки
4. Признаки незаращения межпредсердной перегородки. Незаращение межжелудочковой перегородки
5. Механизмы возбуждения клеток сердца. Электрокардиограмма
6. Hodgkin А о возбуждении кардиомиоцитов. Фазы возбуждения мышечных клеток
7. Синусовый узел сердца. Дипольная теория возбуждения сердца
8. Возбуждение АВ-соединения и желудочков. Зубцы ЭКГ при возбуждении желудочков
9. Угасание возбуждения желудочков. Векторкардиограмма
10. Двухполюсные отведения Einthoven'а. Однополюсные отведения ЭКГ
1. Малый круг кровообращения. Сосуды малого круга кровообращения
2. Артериолы легких. Прекапилляры и капилляры малого круга кровообращения
3. Легочные вены и бронхиальные артерии. Связь большого и малого круга кровообращения
4. Артерио-венозные анастомозы малого круга. Рефлексогенные зоны малого круга кровообращения
5. Развитие малого круга кровообращения. Онтогенез легочного кровообращения
6. Морфология артерий малого круга. Показатели гемодинамики в малом круге
7. Легочные вены и сопротивление легочных сосудов. Минутный объем малого круга кровообращения
8. Резервная емкость легочных сосудов. Дыхание и кровоток в легких
9. Врожденные пороки сердца плода. Легочный кровоток у плода
10. Малый круг кровообращения после рождения плода. Когда закрывается артериальный (боталлов) проток?
2. Гемодинамика при дефекте межжелудочковой перегородки. Виды ДМЖП
3. Объемная перегрузка левого желудочка. Фазы течения ДМЖП
4. Легочно-сосудистое сопротивление. Легочная гипертензия при дефекте межжелудочковой перегородки (ДМЖП)
5. Дефект межпредсердной перегородки (ДМПП). Гемодинамика при дефекте межпредсердной перегородки
6. Большой круг кровообращения при легочной гипертензии. Системное влияние легочной гипертензии
7. Склероз легочных сосудов. Компенсаторная гиперфункция сердца
8. Приобретенная легочная гипертензия. Патогенез при легочной гипертензии
9. Младенческая легочная гипертензия. Эмбрионально-гиперпластическая или склеротическая легочная гипертензия
10. Легочная гипертензия при дефекте межпредсердной перегородки (ДМПП). Эуфиллин и нитроглицерин при легочной гипертензии
2. Фармакология легочной гипертензии. Сосудорасширяющие средства при легочной гипертензии
3. Влияние нитроглицерина на малый круг кровообращения. Гемодинамика после приема нитроглицерина
4. Умеренная реакция легочных сосудов на препараты. Слабая реакция малого круга на гипотензивные препараты
5. Гистология легких при легочной гипертензии. Рефлекторный спазм легочных сосудов
6. Виды легочной гипертензии. Классификация легочной гипертензии
7. Классификация общелегочного сопротивления. Группы больных с легочной гипертензией
8. Сердечный цикл при легочной гипертензии. Методика исследования сердечного цикла
9. Пример исследования сердечного цикла. Сердечный цикл при ДМПП
10. Сердечный цикл при ДМЖП. Открытый артериальный проток и дефект перегородки сердца
Читайте также:
