Рентгенограмма, КТ, МРТ при остеоартрозе тазобедренного сустава
Добавил пользователь Владимир З. Обновлено: 25.01.2026
а) Терминология:
1. Аббревиатура:
• Остеоартроз (ОА)
2. Синоним:
• Дегенеративное заболевание суставов
3. Определение:
• Невоспалительное заболевание суставов, характеризующееся прогрессирующим разрушением хряща:
о Приводит к гипертрофическим костным изменениям
б) Визуализация:
1. Общая характеристика:
• Лучший диагностический критерий:
о Рентгенография: сужение суставного пространства в нагружаемой зоне, остеофиты, субхондральные кисты
о МРТ: дефекты или истончение хряща, повреждение вертлужной губы, субхондральные кисты
• Локализация:
о Нагружаемый (передневерхний) отдел сустава
(Слева) Рентгенография в ПЗ проекции: кольцевые остеофиты и рельефность калькара при ОА. Визуализируется сужение медиального отдела суставного пространства, а не верхнего, что, однако, также характерно для ОА.
(Справа) Рентгенография в ПЗ проекции: визуализируются более выраженные признаки ОА в левом тазобедренном суставе этого же пациента с крупным нижним краевым остеофитом и полной утратой хряща. Визуализируется верхненаружный подвывих головки бедренной кости относительно вертлужной впадины, а также рельефность калькара (медиального нагружаемого отдела шейки бедренной кости). (Слева) Рентгенография в ПЗ проекции: кольцевые остеофиты головки бедренной кости, истончение хряща и протрузия при ОА. При ОА протрузия развивается вплоть до 20% случаев.
(Справа) Рентгенография в ПЗ проекции: деформация по типу «зарубки» с полной деструкцией головки бедренной кости в. Такая деструкция часто развивается в течение нескольких недель и называется быстро прогрессирующим ОА тазобедренного сустава или остеоартрозом Постела. Отличительными признаками являются: прямой край шейки бедренной кости и быстрое развитие процесса. (Слева) КТ, передняя проекция, в режиме 3D реконструкции: дальнейшая деструкция вертлужной впадины и головки/шейки бедренной кости В у этого же пациента через три недели. Предполагается, что быстро прогрессирующий деструктивный ОА тазобедренного сустава развивается на фоне субхондрального патологического перелома, однако исходный перелом визуализируется редко. Необходимо исключить как септическое поражение тазобедренного сустава, так и нейроостеоартропатию Шарко.
(Справа) МРТ, корональнаяплоскость, режим STIR: относительно небольшое количество жидкости в разрушенном тазобедренном суставе В у этого же пациента. Данный признак в сочетании с анализом аспирата сустава позволяет исключить как септическое поражение тазобедренного сустава, так и остеоартропатию Шарко.
2. Рентгенография при остеоартрозе тазобедренного сустава:
• Нормальная плотность костной ткани
• Сужение суставного пространства (чувствительность 91%, специфичность 60%):
о Локально, в нагружаемом отделе сустава
• Костно-продуктивные изменения:
о Остеофитоз (чувствительность 89%, специфичность 90%):
- кольцевые остеофиты головки бедренной кости; наиболее крупные в нижневнутреннем отделе
- по краю вертлужной впадины
о Рельефность: калькар и латеральный отдел шейки бедренной кости (специфичность 92%)
• Субхондральные кисты:
о Наиболее выражена в вертлужной впадине (киста Эггера):
- Может служить ранним изолированным признаком; может имитировать опухоль
• Подвывих головки бедренной кости:
о В 80% - верхненаружный, в 20% медиальный (протрузия)
• Обращайте внимание на морфологические особенности, способствующие развитию ОА:
о Выступ в латеральном отделе головчато-шеечного перехода → «cam»-тип бедренно-вертлужного импиджмента (БВИ)
о Деформация по типу соха тадпа (болезнь Легга-Кальве-Пертеса [Legg—Calve—Perthes] или юношеский эпифизеолиз головки бедренной кости) → «pincer» тип БВИ
о Разрастание края вертлужной впадины → «pincer» тип БВИ о Ретроверзия вертлужной впадины (симптом перекреста) → «pincer» тип БВИ
о Болезнь Отто (незарощение Y- образного хряща) → протрузия → «pincer» тип БВИ
о Дисплазия тазобедренного сустава → часто смешанный «cam-pincer» тип БВИ:
- Обычно неполное покрытие головки бедренной кости снаружи или спереди
- Деформация шейки бедренной кости по типу coxa valga
• Признаки, часто ассоциирующиеся с БВИ и последующим ОА:
о Os acetabulum
о Вдавления в передненаружном отделе шейки бедренной кости
• Патологический перелом головки бедренной кости:
о Редко визуализируется при первичной рентгенографии
о Быстро прогрессирует в ОА
о Может прогрессировать в деструкцию собственно головки бедренной кости → деформация по типу «зарубки»
о Совокупность факторов, именуемая быстро прогрессирующим ОА
3. КТ при остеоартрозе тазобедренного сустава:
• КТ редко применяется для оценки тазобедренного сустава:
о В качестве этапа прицельного определения торсии может способствовать визуализации ретроверзии вертлужной впадины или шейки бедренной кости
о Для выявления свободных тел, разрывов вертлужной губы и повреждений хряща выполняется КТ-артрография
4. МРТ при остеоартрозе тазобедренного сустава:
• Режим Т1:
о Достаточно крупные остеофиты содержат костный мозг
о Сигнал низкой интенсивности: склероз, рельефное уплотнение шейки, субхондральные кисты
• Последовательности, чувствительные к жидкости:
о Отек костного мозга:
- Выраженность отека соотносится с интенсивностью боли в тазобедренном суставе, тяжестью рентгенографических проявлений ОА и количеством микропереломов субхондральной кости
о Дефекты хряща визуализируются, если они отграничены жидкостью:
- Хрящ в тазобедренном суставе тонкий, а капсула мощная, что делает оценку хряща более сложной, чем в коленном суставе
о Разрывы или дегенеративные изменения вертлужной губы
о Субхондральные или паралабральные кисты
• МР-артрография:
о Разрыв или отделение вертлужной губы
о Хрящ: фокальный дефект, диффузное истончение или расслоение
о Остеофиты
о Субхондральные или паралабральные кисты
о Морфологическая взаимосвязь с дисплазией тазобедренного сустава и БВИ
5. Рекомендации по визуализации:
• Лучший метод визуализации:
о Рентгенография выполняется при ОА от легкого до умеренного
о Для раннего обнаружения повреждений хряща или вертлужной губы выполняется МР-артрография
• Рекомендации по протоколу:
о МРТ или КТ артрография: тугой сустав ограничивает количество контрастного вещества, отграничивающего хрящ:
- Тракция во время инъекции способствует распространению контрастного вещества вокруг головки бедренной кости
- Рекомендуется тракция во время выполнения МРТ, что позволяет хорошо отграничить хрящ
о Последовательности в косой аксиальной проекции обладают наибольшей чувствительностью для выявления разрывов вертлужной губы; для визуализации малозаметных повреждений хряща требуются несколько последовательностей
(Слева) МР-артрография, корональная проекция, режим Т1 с подавлением сигнала от жира: типичные МРТ признаки ОА, включая диффузную неравномерность всей хрящевой поверхности. Остеофиты визуализируются по краю суставной поверхности. В структуре вертлужной губы визуализируется очаг дегенерации.
(Справа) МР-артрография, сагиттальная проекция, режим Т1 с подавлением сигнала от жира: значительное истончение хряща в нагружаемом отделе у того же пациента. Визуализируются субхондральные участки вертлужной впадины с измененным сигналом, а также отделившийся дегенеративно измененный участок. (Слева) МР-артрография, корональная проекция, режим Т1 с подавлением сигнала от жира: визуализируются типичные признаки ОА, хотя МР-артрография редко выполняется при этом заболевании. Хрящ наиболее истончен в нагружаемой зоне. Также визуализируется тяжелое повреждение вертлужной губы.
(Справа) МР-артрография, сагиттальная проекция, режим Т1 с подавлением сигнала от жира : крупные субхондральные кисты головки бедренной кости и вертлужной впадины у того же пациента. Как и при МРТ артрографии в корональной проекции, визуализируется полная утрата хряща. Вертлужная губа характеризуется морфологическими изменениями и патологическим сигналом. (Слева) МР-артрография, корональная проекция, режим Т1 с подавлением сигнала от жира: типичные признаки бедрено-вертлужного импиджмента с исходом в ОА. У этого молодого пациента визуализируется выпячивание в латеральном отделе шейки бедренной кости, а также дефект хряща и отделившаяся вертлужная губа.
(Справа) МР-артрография, сагиттальная проекция, режим Т1 с подавлением сигнала от жира: у этого же пациента отчетливо визуализируются две зоны утраты хряща, а также отделившаяся вертлужная губа. Рентгенография в этом случае позволяет визуализировать лишь выпячивание бедренной кости; до выполнения МРТ артрографии распространенность патологических изменений при раннем ОА оставалась неизвестной.
в) Дифференциальная диагностика остеоартроза тазобедренного сустава:
1. Остеонекроз:
• От ранней стадии остеонекроза до относительно поздней происходит уплощение головки бедренной кости без патологических изменений со стороны сустава
• Признаки ОА визуализируются на поздней стадии остеонекроза
2. Бедренно-вертлужный импиджмент:
• Импиджмент передненаружного отдела головчато-шеечного перехода («cam» импиджмент)
• Импиджмент передненаружного отдела вертлужной впадины («pincer» импиджмент)
• Должен быть выявлен морфологически, как фактор риска развития раннего ОА
3. Дисплазия тазобедренного сустава:
• Уплощенная снаружи и, возможно, спереди вертлужная впадина
• Должна быть выявлена морфологически, поскольку является фактором риска развития раннего ОА
4. Пирофосфатная артропатия:
• Отложения пирофосфата в хряще и вертлужной губе
• Дегенератинвые изменения в тазобедренном суставе с формированием остеофитов; визуализация эрозий затруднена; имитирует ОА
• Субхондральные кисты могут быть крупными
(Слева) Рентгенография в ПЗ проекции: возвышение в латеральном отделе головчато-шеечного перехода бедренной кости; установлена взаимосвязь такой деформации с «сат»-типом бедренно-вертлужного импиджмента (БВИ). Других признаков ОА не визуализируется.
(Справа) МР-артрография, корональная проекция, режим Т2 с подавлением сигнала от жира подтверждает типичный случай БВИ у этого же пациента. Визуализируется выпячивание, а также истончение хряща в верхнем отделе, которое является признаком раннего ОА. Разрывов или отделения вертлужной губы не визуализируется, однако характер сигнала свидетельствует о ее дегенерации. (Слева) МР-артрография, сагиттальная проекция: визуализируется кистозное образование, а также истончение хряща у этого же пациента. Визуализируется комбинированный разрыв вертлужной губы. Эти изменения являются признаками выраженного БВИ.
(Справа) МРТ, корональная проекция, режим Т2 с подавлением сигнала от жира: деформация по типу coxa magna. Поскольку вертлужная впадина имеет нормальную ширину, протрузия обусловлена болезнью Легга-Кальве-Пертеса. Результатом этого является нарушение артикуляции и вторичная гипертрофия вертлужной губы. Морфологические изменения привели к «сат»-типу БВИ. Визуализируется разрыв вертлужной губы. (Слева) МРТ, корональная проекция, режим Т1 с подавлением сигнала от жира: легкая дисплазия тазобедренного сустава (обратите внимание на изменение центрально-осевого угла) с разрывом и отделением вертлужной губы. Визуализируется неравномерность суставного хряща.
(Справа) МРТ, сагиттальная проекция, режим Т1 с подавлением сигнала от жира: определяется полнослойный разрыв вертлужной губы у того же пациен та. Визуализируется зона полнослойного повреждения хряща. В этой зоне визуализируется субхондральная киста. Не забывайте о взаимосвязи дисплазии тазобедренного сустава с разрывом вертлужной губы и ранним развитием ОА. Дисплазия может быть выражена незначительно.
г) Патология:
1. Общая характеристика:
• Этиология:
о Полного понимания патогенеза ОА не достигнуто; существуют различные факторы риска
о Микротравматизация хряща на фоне его возрастных биохимических изменений:
- ↓ жидкость, ↓ протеогликаны, ↓ количество хондроцитов:
Приводят к хрупкости или размягчению хряща, увеличивая риск образования фиссур, изъязвлений и расслоения
о Травма:
- Перелом вертлужной впадины или головки бедренной кости, обычно связанные с вывихом в тазобедренном суставе
- Неправильное распределение нагрузки вследствие травмы или на фоне дегенеративных изменений других суставов:
Разновеликость ног с перекосом таза
Сколиоз с перекосом таза
Артроз коленного сустава с нарушением соосности и относительным укорочением конечности
о Аномалии, возникающие в процессе роста:
- Болезнь Легга-Кальве-Пертеса (Legg—Calve—Perthes) (остеонекроз в детстве)
- Юношеский эпифизеолиз головки бедренной кости
о Аномалии строения:
- Дисплазия тазобедренного сустава:
Дисплазия вертлужной впадины
Ротационное нарушение соосности шейки бедренной кости
- Особенности строения при бедренно-вертлужном импид-жменте:
«Cam»-тип: возвышение в передненаружном отделе головчато-шеечного перехода
"Pincer"-тип; чрезмерное покрытие головки бедренной кости вертлужной впадиной
«Cam» и «Pincer» типы часто сочетаются
Каждый из типов обусловлен несколькими этиологическими факторами
о Врожденные аномалии развития:
- Эпифизарные аномалии, например спондилоэпифизарная дисплазия
о Низкий уровень эстрогенов ассоциируется с повышенным риском развития ОА
2. Генетика:
о Исследование близнецов и наследственности позволяет говорить о полигенной природе ОА
3. Макроскопические и хирургические особенности:
• Образование фиссур, вдавлений и изъязвлений хряща
• Реакция сопряженной кости
• Синовиальная оболочка: от нормальной до легкого воспаления
4. Микроскопия:
• Отек костного мозга, определяющийся при МРТ соотносится с некоторыми патогистологическими признаками:
о Субхондральный склероз
о Некроз костномозговой жировой ткани
о Субхондральные псевдокисты
о Фиброз костного мозга
о Микропереломы на различных стадиях заживления
о Нормальные элементы костного мозга
о При микроскопии визуализируется лишь небольшое количество костного мозга в состоянии истинного отека
д) Клинические особенности:
1. Проявления:
• Типичные признаки/симптомы:
о Боль при движениях, отсутствие боли в покое; боль может концентрироваться в паховой области
о Самопроходящая утренняя скованность
о Крепитация, ограничение движений о Отсутствие отека или местного повышения температуры
2. Демография:
• Возраст:
о Наиболее часто >65 лет
о Наблюдается у 80% людей старше 75 лет
• Пол:
о М > Ж, для тазобедренного сустава
• Эпидемиология:
о В США распространенность заболевания составляет 12%
о Фрамингемское исследование: симптоматический ОА наблюдается у 0,7-4,4% взрослых американцев
о В результате выполняется несколько сотен тысяч эндопротезирований ежегодно
3. Течение и прогноз:
• Может стабилизироваться на фоне консервативного лечения
• Может приводить к изнуряющему болевому синдрому и функциональным ограничениям
4. Лечение:
• Физиотерапия, НПВ
• На ранней стадии ОА при БВИ:
о Восстановление вертлужной губы, остеохондропластика
• На ранней стадии ОА при дисплазии тазобедренного сустава:
о Восстановление вертлужной губы, периацетабулярная остеотомия или деротирующая остеотомия шейки бедренной кости
• Эндопротезирование
е) Диагностическая памятка:
1. Следует учесть:
• При оценке ОА у молодых людей принимайте во внимание этиологические факторы, отличающие патологическое состояние от первичного ОА:
о БВИ или дисплазия тазобедренного сустава (могут быть слабовыражены)
о Спондилоартропатия, например анкилозирующий спондилит (оценивайте состояние крестцово-подвздошных суставов)
• Протрузия возникает в 20% случаев ОА тазобедренного сустава; не следует расценивать это проявление в качестве признака ревматоидного артрита
2. Советы по интерпретации изображений:
• При изменениях характерных для БВИ или дисплазии тазобедренного сустава оценивайте наличие как «cam», так и «pincer» механизма
ж) Список использованной литературы:
1. Xu L et al: The diagnostic performance of radiography for detection of osteoarthritis-associated features compared with MRI in hip joints with chronic pain. Skeletal Radiol. 42(10): 1421-8, 2013
2. Taljanovic MS et al: Bone marrow edema pattern in advanced hip osteoarthritis: quantitative assessment with magnetic resonance imaging and correlation with clinical examination, radiographic findings, and histopathology. Skeletal Radiol. 37(5):423-31, 2008
Рентгенограмма, КТ, МРТ при остеоартрозе тазобедренного сустава
Остеоартроз тазобедренного сустава - лучевая диагностика
а) Терминология:
• Невоспалительное заболевание суставов, характеризующееся прогрессирующим разрушением хряща:
о Приводит к гипертрофическим костным изменениям
(Слева) Рисунок: дефект хряща в нагружаемой зоне головки бедренной кости на ранней стадии остеоартроза (ОА) тазобедренного сустава. Плотность костной ткани нормальная и субхондральные кисты и остеофиты еще не сформировались. Вертлужная губа также не изменена.
(Справа) Рентгенография в ПЗ проекции: типичные признаки ОА. Визуализируется легкий верхненаружный подвывих и истончение хряща в верхненаружном отделе. Наряду с кольцевыми остеофитами визуализируется выраженная рельефность калькара (медиальный отдел шейки бедренной кости) и латерального отдела шейки бедренной кости. (Слева) Рентгенография в ПЗ проекции: признаки ОА, включая истончение хряща в верхнем нагружаемом отделе сустава, легкий верхненаружный подвывих головки бедренной кости, кольцевые остеофиты, ее окружающие и крупную субхондральную кисту вертлужной впадины.
(Справа) Рентгенография в ПЗ проекции, этот же пациент: менее выраженные изменения в левом тазобедренном суставе при неизмененном хряще. Визуализируется единичная небольшая субхондральная киста, которая настолько типична для ОА, что получила название кисты Эггера (Egger) и является ранним отличительным признаком заболевания.
б) Визуализация:
• Рентгенография:
о Нормальная плотность костной ткани
о Продуктивные костные изменения:
- Остеофиты
- Рельефность шейки бедренной кости (латерального отдела и калькара):
Наиболее специфичный признак при остеоартрозе (ОА) (92%)
о Формирование субхондральных кист (киста Эггера вертлужной впадины):
- Одиночная киста вертлужной впадины называется кистой Эггера:
Может имитировать опухоль
о Подвывих головки бедренной кости:
- 80% верхненаружный, 20% медиальный (протрузия)
о Часто ассоциируется с морфологическими изменениями у молодых людей
- Бедренно-вертлужный импиджмент (БВИ)
- Дисплазия тазобедренного сустава
• МРТ: отек костного мозга:
о Выраженность отека соотносится с интенсивностью боли в тазобедренном суставе, тяжестью рентгенографических проявлений ОА и микропереломами субхондральной кости
о Дефекты хряща визуализируются, если они отграничены жидкостью
о Хрящ в тазобедренном суставе тонкий, а капсула мощная, что делает оценку хряща более сложной, чем в коленном суставе
о Разрывы или дегенеративные изменения вертлужной губы
в) Диагностическая памятка:
• При оценке ОА у молодых людей учитывайте этиологические факторы, отличающие патологические изменения от первичного ОА:
о БВИ или дисплазия тазобедренного сустава (могут быть слабо выражены)
о Спондилоартропатия, например анкилозирующий спондилит (оценивайте состояние крестцово-подвздошных суставов)
• Протрузия случается в 20% случаев ОА тазобедренного сустава; не следует расценивать проявление ревматоидного артрита
Обследование больного при артрозе коленного сустава — гонартрозе
Какие обследования нужно пройти пациенту при артрозе коленного сустава — гонартрозе?
В наше время для уточнения диагноза гонартроза чаще всего прибегают к анализу крови, рентгенографии и магнитно-резонансной или компьютерной томографии.
Клинический анализ крови
Для этого анализа кровь берут из пальца. При артрозе клинический анализ крови, как правило, не показывает каких-либо специфических изменений. Лишь в некоторых случаях может отмечаться совсем незначительное повышение скорости оседания эритроцитов (СОЭ или РОЭ): до 20 мм.
Напротив, существенное повышение СОЭ (выше) в сочетании с ночными болями в суставе должно подтолкнуть нас к мысли о возможном ревматическом, воспалительном, происхождении этих болей.
Анализ крови на воспалительные показатели
При проведении этого анализа кровь берется из вены, и обязательно натощак. Такой анализ крови может оказать существенную помощь врачу в проведении дифференциальной диагностики поражений суставов: артроз или артрит?
Так, при ревматических болезнях (артритах) в крови существенно повышается уровень так называемых маркеров воспаления: С-реактивного белка, серомукоида, АЦЦП. При артрозе эти показатели, напротив, остаются в норме.
Правда, бывают случаи, когда отдельные виды артритов тоже не приводят к существенному изменению показателей. Но все же такой анализ, как правило, помогает произвести четкое разграничение между воспалительными и обменно-дистрофическими заболеваниями суставов (между артритом и артрозом).
Внимание! В тех случаях, когда мы обнаруживаем у пациента с артрозом «воспалительные» изменения в показателях крови, взятой из пальца или из вены, мы должны насторожиться — ведь артроз не вызывает никаких изменений в анализах.
И если показатели воспаления повышены, есть большая вероятность, что мы имеем дело не с артрозом, а с артритом. Тогда надо продолжить обследование пациента до окончательного подтверждения или опровержения диагноза.
Еще один показатель, на который нужно обратить внимание — уровень мочевой кислоты в крови. Если уровень мочевой кислоты повышен, это может говорить о том, что воспаление колена вызвано подагрическим артритом.
Рентгенография суставов
Рентгенография является самым распространенным и одним из важнейших методов диагностики артроза. В большинстве случаев даже стадия артроза устанавливается исключительно на основании рентгеновского снимка: ведь на рентгене достаточно хорошо видны изменения формы сустава и костные-деформации; заметно уплотнение костей под поврежденным хрящом и четко прорисовываются остеофиты («шипы»). Кроме того, по рентгеновскому снимку можно судить о ширине суставной щели, то есть о расстоянии между сочленяющимися костями.
Но у рентгеновского исследования есть серьезный минус: на рентгеновском снимке запечатлеваются только кости. А вот мягкие ткани сустава (хрящ, мениск, суставную капсулу и т. д.) на рентгене мы увидеть не сможем. Потому, используя только рентген, мы не сможем со стопроцентной точностью оценить степень повреждения суставного хряща, мениска и капсулы сустава.
К счастью, в последние годы все более широкое распространение получил метод магнитной томографии.
Магнитно-резонансная томография — МРТ
Для исследования используются, как ясно из названия, магнитные волны. Они способны отразить на получаемом снимке мельчайшие детали сустава. Метод магнитно-резонансной томографии очень точен: он помогает обнаружить самые ранние изменения хрящевой ткани (которые еще не видны на обычном рентгеновском снимке), а также позволяет увидеть повреждения менисков и связок колена.
Поэтому я часто рекомендую своим пациентам для уточнения диагноза провести, помимо рентгена, именно магнитно-резонансную томографию сустава.
Хотя здесь надо иметь в виду одно обстоятельство. Обычно, получив данные томографического обследования, врачи бывают настолько уверены в их непогрешимости, что не считают нужным перепроверять результаты исследований и проводить личный осмотр пациента. Это неправильно.
Во-первых, специалист отделения томографии, который проводит расшифровку снимков, тоже человек и может ошибаться. В частности, я неоднократно сталкивался с ситуациями, когда за артроз принимались обычные возрастные изменения или другие, схожие по картине с артрозом, заболевания. Так бывает очень часто.
Во-вторых, выявленный на томограмме артроз может быть не единственным заболеванием пациента. А основной причиной боли, даже при наличии артроза, может оказаться другое заболевание: например, артрит или повреждение мениска. И эти заболевания нужно будет лечить в первую очередь (параллельно с лечением артроза).
В общем, даже получив в руки «полный пакет» обследований пациента (рентгеновский снимок, анализы, томограмма), врач все равно должен сначала провести личный осмотр пациента и только потом назначать лечение.
Компьютерная томография — КТ
Помимо магнитно-резонансной томографии в некоторых больницах до сих пор пользуются компьютерной томографией. По сути, компьютерная томография — это максимально продвинутая версия рентгена: для компьютерной томографии используются все те же рентгеновские лучи, что и при обычном рентгенографическом исследовании. Разница лишь в том, что при компьютерной томографии томограф как бы «шинкует» сустав серией рентгеновских снимков, и в результате изображение получается более объемным и подробным, чем при рентгенографии. Но оно все равно на порядок уступает по информативности магнитно-резонансной томограмме. Потому КТ нужно использовать только в тех случаях, когда по каким-то причинам мы не можем провести пациенту магнитно-резонансную томографию (например, если у пациента стоит кардиостимулятор, водитель ритма, и магнитные волны могут нарушить его работу).
УЗИ суставов (ультразвуковое исследование)
Ультразвуковое исследование в последние годы стали активно использовать для диагностики заболеваний суставов. Ведь УЗИ, как и магнитно-резонансная томография, позволяет увидеть изменения мягких тканей сустава — например, с помощью ультразвука можно обнаружить истончение хрящевой ткани при артрозе или увеличение количества суставной жидкости при артрите; можно выявить повреждение менисков в колене, и т. д. Однако метод имеет существенный недостаток — он весьма субъективен, и полученные данные целиком зависят от квалификации специалиста, проводящего исследование.
Конечно, это не значит, что специалисты по УЗИ суставов постоянно ошибаются. Но если даже такой точный метод, как томография, оставляет место для разночтений в расшифровке полученных данных и разногласий в диагнозе, то данные ультразвукового исследования суставов вызывают вопросы особенно часто.
Поэтому я не склонен слепо доверять диагнозу, полученному на УЗИ суставов, и всегда перепроверяю такие заключения (путем личного осмотра пациента, а также с помощью рентгеновского исследования или с помощью магнитно-резонансной томографии).
Статья доктора Евдокименко© для книги «Боль в ногах», опубликована в 2004 году.
Отредактирована в 2011 г. Все права защищены.
2. Синонимы:
• Дегенеративное заболевание суставов
• Артропатия дугоотростчатых суставов
• Унковертебральный ОА
• Остеофитоз, деформирующий спондилез
3. Определения:
• Невоспалительная артропатия с прогрессирующим разрушением хряща, приводящая к гипертрофическим изменениям кости
• Для простоты обсуждения в этот раздел включены внесуставные аксиальные костные гипертрофические изменения:
о Деформирующий спондилез: формирование остеофитов переднего и боковых отделов тел позвонков, сопряженных с замыкательными пластинками, берущих начало в кортикальном слое кости
о Болезнь Бострупа: костные разрастания между остистыми отростками
1. Общая характеристика:
• Лучший диагностический критерий:
о Костная пролиферация тел позвонков, дугоотростчатых и унковертебральных суставов
о Обычно имеются сопутствующие дегенеративные изменения диска
• Локализация:
о Деформирующий спондилез: передние и боковые остеофиты тел позвонков
о Дугоотростчатые суставы
о Унковертебральные (апофизарные) суставы (заднебоковые отделы тел шейных позвонков)
о Болезнь Бострупа: чаще всего поясничный отдел позвоночника
• Размер:
о Размер костных образований варьирует от незначительного до крупного
• Морфология:
о Нормальное костеобразование; достаточно большое гипертрофическое костное образование содержит костный мозг
2. Рекомендации по визуализации:
• Лучший метод визуализации:
о Рентгенография позволяет установить правильный диагноз
о При МРТ оценивается выраженность стеноза позвоночного канала/фораминального стеноза
• Совет, касающийся протокола:
о МРТ в косой сагиттальной проекции эффективна для оценки фораминального стеноза

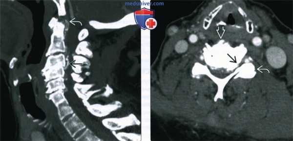
(Слева) КТ, сагиттальная проекция, с контрастным усилением: признаки многоуровневого спондилеза шейного отдела позвоночника с выраженным стенозом позвоночного канала. Визуализируется многоуровневое поражение дисков со склерозом замыкательных пластинок. Часто имеет место гипертрофия кости вокруг С1-С2. Обызвествление задней продольной связки способствует развитию стеноза.
(Справа) КТ, аксиальная проекция, с контрастным усилением: выраженный двухсторонний фораменальный стеноз с гипертрофией унковертебральных суставов у этого же пациента. Также визуализируются признаки деформирующего спондилеза и гипертрофия дугоотростчатых суставов.
3. Рентгенография при остеоартрозе осевого скелета:
• Нормальная плотность костной ткани
• Эбурнеация замыкательных пластинок тел позвонков
• Деформирующий спондилез (остеофитоз позвоночника):
о Костный вырост берет начало в кортикальном слое замыкательной пластинки тела позвонка, сопряженно диску
о Отсутствует связь с синовиальным суставом
о Обычно ассоциируется с уменьшением дискового пространства
• ОА унковертебральных (апофизарных) суставов:
о Суставы задненаружных отделов тела позвонка присутствуют только в шейном отделе позвоночника
о Костные разрастания визуализируются в трех проекциях:
- При рентгенографии в боковой проекции визуализируется костное разрастание с поперечной зоной просветления в проекции задней половины тела позвонка
- При рентгенографии в передне-задней проекции визуализируется верхнее костное разрастание у бокового края тела позвонка
- При рентгенографии в косой проекции визуализируется костное разрастание от тела к невральному отверстию
• ОА дугоотростчатых суставов:
о При рентгенографии в передне-задней и боковой проекциях визуализируется повышенная плотность фасеток
о При рентгенографии в косой цервикальной проекции визуализируется костное разрастание в невральное отверстие
• Гипертрофическое костеобразование вокруг зубовидного отростка и передней дуги атланта
• Обызвествление задней продольной связки
• Болезнь Бострупа:
о Грубое костеобразование вокруг остистых отростков
о Отростки гипертрофируются и утолщаются
о Может привести к формированию неоартроза и дополнительной сумки
• Крестцово-подвздошные суставы: как правило, два признака:
о Склероз по ходу кортикального слоя синовиальной части сустава
- Отсутствие эрозий или анкилоза
о Краевые остеофиты:
- Либо у основания крестцово-подвздошного сустава, либо у места переходя синовиальной части в несиновиальную (от 1/2 до 1/3 расстояния от вершины крестцово-подвздошного сустава)
- Визуализируется в качестве округлого уплотнения; иногда ошибочно расценивается в качестве костного островка или метастаза
4. КТ при остеоартрозе осевого скелета:
• Хорошо визуализируется гипертрофия кости во всех вышеописанных отделах
• Дополнительные признаки:
о Грыжевого выпячивания диска
о Стеноза позвоночного канала о Фораминального стеноза
о Гипертрофии желтой связки
• Болезнь Бострупа:
о Грубое костеобразование вокруг остистых отростков с эбурнеацией кости
о Формирование костных кист в остистых отростках
• Краевые остеофиты крестцово-подвздошного сустава: хорошо визуализируется переднее перекрытие
5. МРТ при остеоартрозе осевого скелета:
• Гипертрофия костной ткани:
о Мелкие остеофиты характеризуются сигналом низкой интенсивности в режиме Т1, а также в последовательностях, чувствительных к жидкости
о Крупные остеофиты содержат костный мозг, который характеризуется нормальным костномозговым сигналом на МР-томограммах
• Грыжевое выпячивание диска, разрывы фиброзного кольца
• Гипертрофия желтой связки (сигнал низкой интенсивности во всех последовательностях) один из факторов развития стеноза
• Синовиальные кисты, берущие начало в дугоотростчатых суставах, могут вызывать импиджмент/стеноз
• Оценка выраженности сужения позвоночного канала и фораминального сужения
• Болезнь Бострупа:
о Гипертрофированная кость, окружающая остистый отросток, характеризуется сигналом низкой интенсивности
о Кисты характеризуются сигналом высокой интенсивности в последовательностях, чувствительных к жидкости
о Гипертрофированная межостистая связка (характеризуется сигналом низкой интенсивности во всех последовательностях) может являться одним из факторов развития стеноза позвоночного канала

(Слева) МРТ, сагиттальная проекция, режим STIR: типичная межостистая дегенерация (болезнь Бострупа). Визуализируется кистозная дегенерация связки L4-L5 с округлыми зонами Т2 гиперинтенсивного сигнала в структуре гипертрофированной связки, характеризующейся сигналом низкой интенсивности.
(Справа) МРТ, аксиальная проекция, режим Т2: дегенеративные изменения сопряженных кортикальных краев заднего отдела остистого отростка у этого же пациента. Избыточная желтая связка и гипертрофия дугоотростчатых суставов способствуют развитию стеноза позвоночного канала.
в) Дифференциальная диагностика остеоартроза осевого скелета:
1. Анкилозирующий спондилит:
• Синдесмофиты отличаются по характеру от остеофитов
• Для анкилозирующего спондилита характерен остеопороз; при ОА отмечается нормальная плотность костной ткани
• Сакроилеит, эрозии и/или анкилоз
2. Диффузный идиопатический скелетный гиперостоз:
• Обызвествление передней продольной связки обычно визуально отличается от остеофитов
• Иногда костеобразование при диффузном идиопатическом скелетном гиперсотозе (ДИСГ) нельзя отличить от деформирующего спондилеза
• При ДИСП как правило, отсутствуют дегенеративные изменения межпозвонковых дисков
• При ДИСД как правило, отсутствуют признаки артроза дугоотростчатых суставов
3. Ретиноид-ассоциированный спондилез:
• Признаки спондилеза нельзя отличить от таковых при дегенеративном поражении позвоночника
• Более молодые пациенты; отсутствуют патологические изменения дисков или дугоотростчатых суставов
4. Спондилоартропатия при псориатическом или хроническом реактивном артрите:
• Массивная паравертебральная оссификация обычно берет начало на некотором расстоянии от области соединения диска и замыкательной пластинки
• Паравертебральная оссификация распространяется дальше от тела позвонка, по сравнению с большинством остеофитов
• При рентгенографии в передне-задней проекции признаки оссификации более выражены, в отличие от рентгенографии в боковой проекции
• Сакроилеит

(Слева) Рентгенография в ПЗ проекции: склеротическое «повреждение» на уровне верхней части правого крестцово-подвздошного сустава. Важно помнить, что ОА крестцово-подвздошных суставов может проявляться либо диффузным склерозом кортикального слоя, либо в виде округлых участков склероза в верхней или нижней части синовиальной порции сустава.
(Справа) КТ, аксиальная проекция, костный режим: у этого же пациента подтверждается наличие очага склероза, представленного типичным краевым остеофитом, перекрывающим крестцово-подвздошный сустав.
1. Общая характеристика:
• Этиология:
о Механическое воздействие:
- Травма
- Стрессовая/повторяющаяся травматизация
- Ожирение
- Аномалия строения или патология соединительной ткани:
Дисплазия
Синдром Марфана
Синдром Элерса-Данло
о Воспалительный артрит:
- Обычно неактивный ревматоидный артрит (в первую очередь с поражением шейного отдела позвоночника)
- Патологические изменения связок на фоне имевшегося ранее повреждения → неадекватная нагрузка на измененную кость
о Метаболические нарушения:
- Болезнь Вилсона
- Охроноз
- Гемохроматоз
о Биохимические изменения в стареющем хряще:
- Уменьшение содержания воды, уменьшение количества протеогликанов и коллагена, уменьшение количества хондроцитов → размягчение хряща и увеличение риска его повреждения в результате любого травматического воздействия
• Генетика:
о Полигенное проявление, на основании изучения близнецов и семей
о Генетическая предрасположенность у женщин с ОА дистальных межфаланговых суставов (до 65%)
• Сопутствующие изменения:
о Лабораторные показатели в норме
о Синовиальная жидкость без патологических изменений
2. Макроскопические и хирургические особенности:
• Релевантная анатомия:
о Шарпеевские волокна соединяют внешние волокна фиброзного кольца с кортикальным слоем тела позвонка
о В результате протрузии фиброзного кольца шарпеевские волокна в месте прикрепления к телу позвонка приподнимаются
о Остеофиты из места прикрепления шарпеевских волокон:
- Направлены горизонтально
- По мере роста приобретают вертикальную направленность
- В конечном итоге могут перекрывать дисковое пространство
• Макроскопические изменения:
о Образование фиссур, углублений и изъязвлений в хряще
о Реакция сопряженной кости (остеофиты, субхондральный склероз)
о Синовиальная жидкость нормальная, либо с признаками умеренного воспаления
1. Проявления:
• Типичные признаки/симптомы:
о Боль при нагрузке (отсутствие боли в покое)
о Утренняя скованность
о Крепитация
о Уменьшение объема движений
о Субхондральне кисты зубовидного отростка могут являться фактором, предрасполагающим к перелому в результате падения с небольшой скоростью
о Болезнь Бострупа всегда ассоциируется с другими дегенеративными изменениями позвоночника:
- Следует внимательно подходить к ее определению в качестве причины боли в спине
• Другие признаки/симптомы:
о Отсутствие отека/местного повышения температуры
о Отсутствие системных симптомов
2. Демография:
• Возраст:
о Как правило, старше 65 лет:
- Встречается у 80% людей старше 75 лет
• Пол:
о М• Эпидемиология:
о В США страдает 12% населения (20 миллионов человек)
3. Течение и прогноз:
• Может формироваться стеноз позвоночного канала и фораменальный стеноз
4. Лечение:
• Аналгетики для снижения интенсивности боли и сохранения функции
• Физиотерапия, снижение массы тела
• Введение кортикостероидов внутрь сустава
• Хирургическая декомпрессия при стенозе позвоночного канала или фораминальном стенозе
• Спондилодез при нестабильности
е) Список использованной литературы:
1. Raastad J et al: The association between lumbar spine radiographic features and low back pain: a systematic review and meta-analysis. Semin Arthritis Rheum. 44(5):571-85, 2015
2. Maataoui A et al: Association between facet joint osteoarthritis and the Oswestry Disability Index. World J Radiol. 6(11):881-5, 2014
Обследование больного при артрозе тазобедренного сустава — обследования при коксартрозе
Какие обследования обязательно нужно провести больному при артрозе тазобедренного сустава (при коксартрозе)?
В наше время для уточнения диагноза коксартроза чаще всего прибегают к клиническому и биохимическому анализам крови, рентгенографии и магнитно-резонансной или компьютерной томографии. Несколько реже пациенту назначают УЗИ (ультразвуковое исследование) суставов.
Клинический анализ крови. Для этого анализа кровь берется из пальца. При артрозе клинический анализ крови, как правило, не показывает каких-либо специфических изменений. Лишь в некоторых случаях может отмечаться совсем незначительное повышение скорости оседания эритроцитов (СОЭ или РОЭ): до 20 мм.
Напротив, существенное повышение СОЭ (выше) в сочетании с ночными болями в суставе должно подтолкнуть нас к мысли о ревматическом, воспалительном, происхождении этих болей. То есть, возможно, у пациента — артрит. Или болезнь Бехтерева.
Если у пациента к тому же повышено количество лейкоцитов, то это обстоятельство подтверждает наличие в организме какого-то инфекционно-воспалительного процесса, отразившегося в частности и на суставах.
Анализ на ревмопробы. При проведении этого анализа кровь берется из вены, и обязательно натощак. Анализ крови, взятой из вены, может оказать существенную помощь врачу в проведении дифференциальной диагностики поражений суставов: артроз или артрит?
Так, при ревматических болезнях (артритах) в крови существенно повышается уровень так называемых маркеров воспаления: С-реактивного белка, серомукоида, АЦЦП.
При артрозе эти показатели, напротив, остаются в норме.
Правда, бывают случаи, когда отдельные виды артритов тоже не приводят к существенному изменению воспалительных показателей. Но все же такой анализ, как правило, помогает произвести четкое разграничение между воспалительными и обменно-дистрофическими заболеваниями суставов (между артритом и артрозом).
Внимание! В тех случаях, когда мы обнаруживаем у пациента с артрозом «воспалительные» изменения в показателях крови, взятой из пальца или из вены, мы должны насторожиться — ведь артроз не вызывает никаких изменений в анализах. И если показатели воспаления повышены, есть большая вероятность, что мы имеем дело не с артрозом, а с артритом. Тогда надо продолжить обследование пациента до окончательного подтверждения или опровержения диагноза.
Рентгенография суставов. Рентгенография является самым распространенным и одним из важнейших методов диагностики коксартроза. В большинстве случаев даже стадия артроза устанавливается исключительно на основании рентгеновского снимка: ведь на рентгене достаточно хорошо видны изменения формы сустава и костные-деформации; заметно уплотнение костей под поврежденным хрящом и четко прорисовываются остеофиты («шипы»). Кроме того, по рентгеновскому снимку можно судить о ширине суставной щели, то есть о расстоянии между сочленяющимися костями.
Но у рентгеновского исследования есть серьезный минус: на рентгеновском снимке запечатлеваются только кости. А вот мягкие ткани сустава (хрящ, суставную капсулу и т. д.) на рентгене мы увидеть не сможем. Потому, используя только рентген, мы не сможем со стопроцентной точностью оценить степень повреждения суставного хряща и капсулы сустава. К счастью, в последние годы все более широкое распространение получил метод магнитной томографии.
Магнитно-резонансная томография (МРТ). Для исследования используются, как ясно из названия, магнитные волны. Они способны отразить на получаемом снимке мельчайшие детали сустава.
Метод магнитно-резонансной томографии очень точен: он позволяет обнаружить самые ранние изменения хрящевой ткани (которые еще не видны на обычном рентгеновском снимке), а также помогает увидеть первые признаки начавшегося асептического некроза (инфаркта сустава), когда он есть. Поэтому я часто рекомендую своим пациентам для уточнения диагноза провести, помимо рентгена, именно магнитно-резонансную томографию сустава.
Во-вторых, выявленный на томограмме коксартроз может быть не единственным заболеванием пациента. А основной причиной боли, даже при наличии коксартроза, может оказаться другое заболевание: например, грыжа межпозвонкового диска, которую нужно будет лечить параллельно с коксартрозом.
Компьютерная томография (КТ). Помимо магнитно-резонансной томографии в некоторых больницах до сих пор пользуются компьютерной томографией. По сути, компьютерная томография — это максимально продвинутая версия рентгена: для компьютерной томографии используются все те же рентгеновские лучи, что и при обычном рентгенографическом исследовании.
Разница лишь в том, что при компьютерной томографии томограф как бы «шинкует» сустав серией рентгеновских снимков, и в результате изображение получается более объемным и подробным, чем при рентгенографии. Но оно все равно на порядок уступает по информативности магнитно-резонансной томограмме. Потому КТ нужно использовать только в тех случаях, когда по каким-то причинам мы не можем провести пациенту магнитно-резонансную томографию (например, если у пациента стоит кардиостимулятор, водитель ритма, и магнитные волны могут нарушить его работу).
УЗИ суставов (ультразвуковое исследование). Ультразвуковое исследование в последние годы стали активно использовать для диагностики заболеваний суставов. Ведь УЗИ, как и магнитно-резонансная томография, позволяет увидеть изменения мягких тканей сустава — например, с помощью ультразвука можно обнаружить истончение хрящевой ткани при артрозе или увеличение количества суставной жидкости при артрите; можно выявить повреждение менисков в колене, и т. д. Однако метод имеет существенный недостаток — он весьма субъективен, и полученные данные целиком зависят от квалификации специалиста, проводящего исследование.
Статья доктора Евдокименко© для книги «Артроз», опубликована в 2003 году.
Отредактирована в 2011 году. Все права защищены.
Читайте также:
