Рентгенограмма, КТ, МРТ при переломовывихе сустава Лисфранка
Добавил пользователь Владимир З. Обновлено: 10.01.2026
Переломовывихи данной локализации составляют 1,9% от общего количества травматических вывихов конечностей и 29,7% от числа травматических вывихов стопы. В клинической практике эти повреждения встречаются довольно часто, однако вследствие недостаточно правильной диагностики их иногда относят к числу редких. В большинстве случаев вывихи в суставе Лисфранка сопровождаются переломами плюсневых костей. При вывихах плюсневые кости могут сместиться в латеральную или медиальную, подошвенную или тыльную сторону либо наблюдаются дивергирующие вывихи, при которых происходит расхождение плюсневых костей и в латеральную, и в медиальную сторону (расходящиеся вывихи). Смещение к подошве и внутрь встречается исключительно редко. Латеральные и тыльные вывихи отмечаются чаще, причем среди них следует выделить полные и неполные вывихи. Полные вывихи всех пяти плюсневых костей, или общие вывихи, встречаются приблизительно в 2 раза реже, чем неполные, или частичные.
Принята следующая классификация переломовывихов в суставе Лисфранка:
- По характеру и локализации сопутствующих повреждений:
- чистые вывихи плюсневых костей (полные, неполные);
- переломовывихи плюсневых костей (открытые, закрытые, полные, неполные);
- множественные повреждения стопы, в том числе перело-мовывихи плюсневых костей (открытые, закрытые, полные, неполные).
- наружные,
- тыльно-наружные,
- внутренние,
- подошвенные,
- дивергирующие,
- комбинированные (смещение плюсневых костей более чем в двух разных направлениях).
Что провоцирует / Причины Переломовывиха в суставе Лисфранка:
Причинами возникновения переломовывихов в плюсне - предплюсневом сочленении чаще всего являются уличные, дорожно-транспортные, промышленные, спортивные травмы. Механизмы переломовывихов могут быть самыми разнообразными в деталях, но обычно наблюдается прямое воздействие большой силы (падение тяжестина стопу, переезд колесами, падение с лошади с одновременным прижатием стопы навалившейся лошадью). Реже переломовывихи возникают в результате непрямой травмы при падении с высоты на передний отдел подвернувшейся стопы.
Патогенез (что происходит?) во время Переломовывиха в суставе Лисфранка:
Особенностями анатомического строения (отсутствие связки между основаниями I и II плюсневых костей) обусловлена возможность возникновения дивергирующих вывихов. Такие вывихи наблюдаются обычно после падения на ограниченный в размерах закругленный выступ, действие силы которого "расклинивает" плюсневые кости. Особенностями анатомического строения (залегание II плюсневой кости в нише, образованной клиновидными костями) сустава Лисфранка объясняется перелом основания II плюсневой кости при медиальных вывихах и смещении этой кости кнутри. При латеральном смещении плюсневых костей, ввиду того что высота наружной стенки ниши, в которой залегает II плюсневая кость, значительно меньше высоты внутренней стенки, чаще возникает вывих без повреждения II плюсневой кости. Большинство травматологов механизм переломовывихов в суставе Лисфранка связывают с комбинированным воздействием на передний отдел стопы и сжимающей и скручивающей сил в нескольких направлениях.
Вывихи и переломовывихи в суставе Лисфранка чаще встречаются у лиц мужского пола, что объясняется характером выполняемой ими на производстве физической работы.
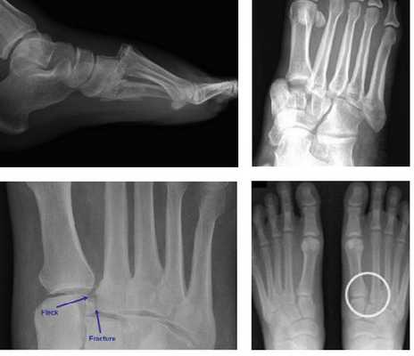
Точный диагноз вывихов и переломовывихов костей, образующих сустав Лисфранка, можно поставить лишь на основании рентгенограмм, выполненных в типичных (профильная и фасная) проекциях и в косой (положение пронации стопы под углом 45°) проекции. С помощью рентгенограмм получают достоверные данные о типе вывиха (тыльно-наружные, дивергирующие и др.), степени смещения плюсневых костей (полные и неполные вывихи), локализации перелома (плюсневые, предплюсневые кости) и характере смещения отломков.
Симптомы Переломовывиха в суставе Лисфранка:
Клиническая картина переломовывихов характеризуется сильными локальными болями. Пальпация, пассивные ротационные движения, незначительное сдавление переднего отдела стопы вызывают резкую болезненность на уровне сустава Лисфранка. При осмотре определяется характерная для разных типов переломовывихов деформация стопы. Так, латеральный и медиальный типы вывиха сопровождаются смещением переднего отдела стопы кнаружи или кнутри; тыльный вывих плюсневых костей проявляется на тыле стопы штыкообразной деформацией, дивергирующий переломовывих - расширением переднего отдела стопы.
Если отек слабо выражен, то при латеральных вывихах плюсневых костей в результате смещения кнаружи основания I плюсневой кости на внутреннем крае стопы определяется костный выступ, образованный I клиновидной костью, а кпереди от выступа отмечается западение. На наружном крае стопы выступает сместившееся кнаружи основание V плюсневой кости, кзади от которого определяется западение.
При медиальных вывихах плюсневых костей сместившееся кнутри основание I плюсневой кости определяется на внутреннм крае стопы в виде костного выступа, кзади от которого заметно углубление. На наружном крае выступает кубовидная кость. В случае дивергирующих вывихов с внутренней стороны определяется костный выступ, образованный смещенным основанием I плюсневой кости, с наружной стороны - выступ, образованный основанием V плюсневой кости.
У больных с подошвенным вывихом плюсневых костей на тылестопы имеется характерный костный выступ за счет проксимального ряда костей, образующих сустав Лисфранка, а на месте бывшего расположения плюсневых костей определяется западение в виде борозды. При тыльных вывихах плюсневых костей на тыле стопы определяется костный валик (или бугор при изолированном вывихе I плюсневой кости), проксимальнее которого имеется или глубокая борозда, или небольшая ямка. В результате натяжения сухожилий разгибателей пальцы стопы обычно находятся в положении разгибания.
Клинически в большинстве случаев наблюдается нарушение сводов стопы. При боковых типах смещения передний отдел стопы, как правило, расширен, при подошвенных и особенно тыльных типах вывихов плюсневых костей - укорочен (до 2,5 см).
Лечение Переломовывиха в суставе Лисфранка:
Вправление переломовывихов в суставе Лисфранка производят под внутрикостной анестезией или общим обезболиванием. Закрытая репозиция удается в основном при простых формах переломовыви-хов, при которых отсутствует значительное смещение плюсневых костей.
При ручном вправлении тягой по длине за пальцы и передний отдел стопы с противотягои за голеностопный сустав устраняют смещение переднего отдела стопы по длине. Для создания достаточной силы тяги можно производить вытяжение с помощью скобы, в которой закреплена спица, проведенная поперечно через шейки плюсневых костей. Следующим этапом ручного вправления является устранение бокового смещения. Для этого одновременно с вытяжением переднего отдела стопы вдоль ее оси производят давление в противоположную смещению вывихнутых плюсневых костей сторону. Успешное вправление вывиха плюсневых костей обычно сопровождается ясно слышимым щелчком и устранением видимой деформации.
Основным моментом вправления тыльно-наружного вывиха является постепенное вытяжение переднего отдела стопы вдоль ее оси с одновременным отведением и подошвенным сгибанием стопы и последующим приведением и разгибанием. Несколько иная методика вправления изолированных вывихов плюсневых костей, в основном I и, реже, V. Тягой по длине за один из указанных пальцев с противотягои за голеностопный сустав устраняют смещение плюсневых костей по длине; одновременно производят давление в противоположную смещению вывихнутых плюсневых костей сторону. При отсутствии или неполном устранении вывиха оснований плюсневых костей попытку ручного вправления вывиха в суставе Лисфранка повторяют.
Успех консервативного вправления вывиха свидетельствует об отсутствии интерпозиции мягких тканей между суставными поверхностями костей, участвующих в образовании сустава Лисфранка. Благодаря этому можно осуществить полное анатомическое вправление вывиха и восстановить нормальную конгруэнтность сустава. Однако не всегда удается устранить вывих в суставе Лисфранка закрытым способом. Вправление заканчивается неудачей чаще всего при сложных переломовывихах, особенно при комбинированных и дивергирующих с множественными переломами плюсневых костей и большим смещением их. В таких случаях применяют метод чрес-костного остеосинтеза аппаратом Илизарова в сочетании со скелетным вытяжением за дистальные фаланги пальцев с помощью специальных скоб, изготовленных из тонких металлических спиц.
Вправление расходящегося переломовывиха в суставе Лисфранка производят в 3 этапа. На I этапе вправляют I плюсневую кость и I клиновидную, которые смещаются обычно кнутри, кзади и к тылу, путем тяги за I палец по длине с противотягой за голеностопный сустав. Вправленные кости фиксируют металлической спицей Киршнера, которую проводят с внутренней стороны от основания I плюсневой кости под углом 35-40° по направлению к головке таранной кости (эта спица должна пройти через I плюсневую, I клиновидную, ладьевидную кости и головку таранной кости).
На II этапе вправляют остальные четыре плюсневые кости, обычно вывихнутые кнаружи и к тылу; вправление осуществляют путем тяги за II, III, IV, V пальцы по длине с противотягой за голеностопный сустав. Этим устраняют смещение по длине. Затем из этого же разреза проводят однозубый крючок к основанию II плюсневой кости и осуществляют тягу в сторону, противоположную смещению вывихнутых костей, с одновременным давлением кнутри на наружную сторону стопы. Указанным приемом полностью устраняют наружно-тыльное смещение плюсневых костей. Кости II, III, IV и V плюсневые у основания плотно соединены между собой связками, поэтому вправление происходит единым блоком.
На III этапе кости фиксируют спицей Киршнера, которую проводят через основание V плюсневой кости под углом 50-70° по направлению к широкой части основания V плюсневой кости, III клиновидной и через весь поперечник ладьевидной кости и выводят через кожу. Спицы (первая и вторая) должны перекрещиваться. Третью спицу проводят с наружной стороны параллельно второй под таким же углом, но дистальнее. Она проходит через диафиз V, основания IV, III, II плюсневых костей, через I клиновидную кость и выходит наружу. Таким образом, вместо поврежденного ключа Лисфранка создают замок, который препятствует смещению вправленных плюсневых костей.
При необходимости направление спиц изменяют, а число их увеличивают.
К каким докторам следует обращаться если у Вас Переломовывихи в суставе Лисфранка:
Вас что-то беспокоит? Вы хотите узнать более детальную информацию о Переломовывиха в суставе Лисфранка, ее причинах, симптомах, методах лечения и профилактики, ходе течения болезни и соблюдении диеты после нее? Или же Вам необходим осмотр? Вы можете записаться на прием к доктору .
Рентгенограмма, КТ, МРТ при переломовывихе сустава Лисфранка
Признаки переломовывиха сустава Лисфранка
а) Терминология:
• Переломовывих предплюсне-плюсневых суставовб) Визуализация:
• Рентгенография в передне-задней проекции: смещение плюсневых костей относительно клиновидных костей
• Нормальное расположение данных костей при рентгенографии в передне-задней проекции:
о 1-я плюсневая кость должна располагаться по центру медиальной клиновидной кости
о Медиальный край 2-й плюсневой кости должен находиться на одной линии с медиальным краем промежуточной клиновидной кости
о Латеральный край 3-й плюсневой кости должен находиться на одной линии с латеральным краем латеральной клиновидной кости
о Шиловидный отросток 5-й плюсневой кости должен выходить за латеральный контур кубовидной кости
• Часто выявляются переломы плюсневых костей, клиновидных костей и кубовидной кости
• Рентгенография в боковой проекции: смещение оснований плюсневых костей в тыльную, реже - в подошвенную сторону(Слева) При рентгенографии среднего отдела стопы в передне-задней проекции определяется травма сустава Лисфранка без повреждения 1 -го предплюсне-плюсневого сустава. Следует отметить наличие вывихов 2-го, 3-го, 4-го и 5-го предплюсне-плюсневых суставов и множественных отрывных переломов. Кроме того, выявляется переломовывих медиального ладьевидно-клиновидного сустава.
(Справа) При рентгенографии среднего отдела стопы в передне-задней проекции определяется односторонний вывих сустава Лисфранка: все пять плюсневых костей смещены латерально. Основание пятой плюсневой кости смещено почти до уровня пяточно-кубовидного сустава. Выявляется множество костных фрагментов. (Слева) При рентгенографии среднего отдела стопы в задне передней проекции определяется дивергентный переломовывих сустава Лисфранка: 1-я плюсневая кость смещена медиально, 2-я и 3-я плюсневые кости-латерально. Кроме того, в основании 5-й плюсневой кости выявляются два поперечных перелома.
(Справа) При рентгенографии среднего отдела стопы в передне-задней проекции визуализируется редкий продольный переломовывих сустава Лисфранка. Наблюдается отделение 1-й плюсневой и клиновидной костей от оставшейся части сустава Лисфранка. Также выявляется вколоченный перелом ладьевидной кости.в) Дифференциальная диагностика:
• Повреждение связки Лисфранка:
о Изолированная травма связки без повреждения всего предплюсне-плюсневого сустава
о Низкоэнергетическая травма (например, спортивная или при соскальзывании с бордюра)
• Вывих сустава Шопара
• Нейрогенная артропатия (сустав Шарко)
• Перелом плюсневых костей без дестабилизации суставаг) Патология:
• В большинстве случаев возникает в результате дорожно-транспортного происшествия или производственной травмы
• Классифицируют как односторонний или дивергентный:
о Односторонний: латеральное смещение всех плюсневых костей
о Дивергентный: 1 -я плюсневая кость смещена медиально, 2-5 плюсневые кости-латерально
о Частичный: вывих некоторых предплюсне-плюсневых суставов
о Продольный: медиальное смещение 1-й плюсневой кости и предплюсне-плюсневого сустава относительно оставшейся части сустава ЛисфранкаСустав Лисфранка
Повреждения в суставе Лисфранка, представленные предплюсне-плюсневыми вывихами и переломовывихами, довольно редкий вид травмы (около 0,2 % от повреждений скелета), более распространены среди мужчин в возрасте 20-30 лет. Ведущей частью повреждения является разрыв капсульно-связочного комплекса между внутренней клиновидной костью и основанием второй плюсневой кости. Повреждения могут варьировать от небольшого подвывиха во втором предплюсне-плюсневом суставе до полного вывиха всего переднего отдела стопы.
Механизм повреждения сустава Лисфранка.
Наиболее частыми причинами повреждений сустава Лисфранка являются ДТП, падения с высоты, и спортивная травма. Наиболее частым механизмом является осевая нагрузка через согнутую в подошвенном направлении стопу и опосредованные ротационные силы.
![]()
Другим возможным механизмом может стать плантарная гиперфлексия или прямая травма (например педалью автомобиля) с подошвенной стороны.
![]()
При этом травмирующая сила распределяется в направлении сгибания\приведения\осевой компрессии, что приводит к смещению оснований плюсневых костей в тыльную и наружную сторону. Если травмирующая сила достаточно велика, она приводит к переломам плюсневых и клиновидных костей.
Анатомия повреждения сустава Лисфранка.
Выделяют такие анатомические структуры как связка Лисфранка, сустав Лисфранка и суставной комплекс Лисфранка. Суставной комплекс Лисфранка состоит из предплюсне-плюсневых суставов, межплюсневых суставов, межпредплюсневых суставов.
Наиболее важным моментом в понимании повреждений сустава Лисфранка является осознание критической роли связки Лисфранка в стабилизации не только второго предплюсне-плюсневого сустава но и поддержке всего подошвенного свода. Связка Лисфранка состоит из трёх пучков и связывает медиальную клиновидную кость с основанием второй плюсневой кости. Связка Лисфранка препятствует избыточной пронации и абдукции стопы.
![]()
В образовании суставного комплекса Лисфранка также участвуют подошвенные предплюсне-плюсневые связки, тыльные предплюсне-плюсневые связки, межпредплюсневые связки.
За счёт большого количества связок и особенностей строения суставов, суставной комплекс Лисфранка является крайне стабильным с небольшой амплитудой движений.
Существует множество клинических и рентгенологических классификаций повреждений сустава Лисфранка, однако ни одна из них не является подспорьем в выборе тактики лечения и мало влияет на прогноз. По этой причине они не будут освещаться в данной статье.
Диагностика повреждений сустава Лисфранка.
Диагностика повреждений сустава Лисфранка сложная задача, которая требует от ортопедического хирурга высокого уровня квалификации и настороженности. До 25 % случаев пропускается при первичном обращении пациента.
Симптомами повреждения сустава Лисфранка являются боль в области переднего и среднего отделов стопы, усиливающаяся при осевой нагрузке. При осмотре определяется кровоподтёк, чаще по подошвенной поверхности, в проекции сустава Лисфранка.
![]()
При значительном смещении может быть заметна грубая деформация. Отёк диффузно распространяется по всей стопе. Боль при пальпации в проекции связки Лисфранка.
Для полноценной клинической диагностики переломовывиха в суставе Лисфранка нельзя обойтись без оценки степени нестабильности. Для проведения данных тестов необходима адекватная анестезия. Для выполнения теста захватите 2-5-ую плюсневые кости пальцами одной руки, пальцами другой пальпируйте область сустава Лисфранка с тыльной стороны. При смещении плюсневых костей (второй плюсневой кости) к тылу определяется соответственно тыльная нестабильность, если возможно смещение кнутри или кнаружи, это является признаком тотальной нестабильности и является показанием к оперативному лечению.
Для инструментальной диагностики используются рентгенограммы с\без нагрузки в сравнении со здоровой стороной, при их малой информативности рекомендовано выполнение стресс-рентгенограмм, аналогично приведёному выше тесту на нестабильность.
При рентгенографии все снимки выполняются в сравнении со здоровой стопой. Существует несколько основных рентгенологических признаков повреждения сустава Лисфранка. 1. Отсутствие параллельности медиального края основания 2-й плюсневой и медиального края медиальной клиновидной кости 2. Расширение между основаниями 1 и 2 плюсневых костей 3. Наличие костного фрагмента в области основания 2-1 плюсневой кости 4. Тыльный подвывих на боковой проекции 5. Разрыв линии предплюсне-плюсневого сочленения.
![]()
![]()
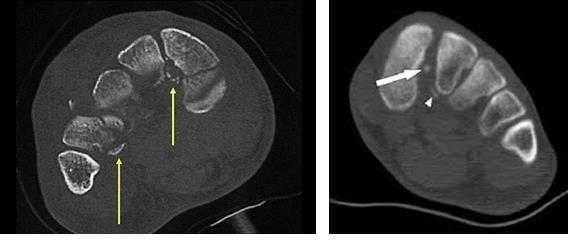
В сложных с диагностической точки зрения случаях целесообразно использование КТ и МРТ.
![]()
Классификация повреждений сустава Лисфранка.
Первыми кто предложил классификацию повреждений сустава Лисфранка стали Quenu & Kuss в далёком 1909 году. Они разделили вывихи и переломо-вывихи в суставе Лисфранка на 3 основные группы в зависимости от направления смещения переднего отдела стопы, в 1 группу вошли гомолатеральные вывихи, в которых происходит смещение 2-3-4-5 плюсневых костей кнаружи, во 2 группу вошли медиальные вывихи, при которых 1-2 плюсневые кости смещаются кнутри, а в 3-ю группу вошли дивергирующие вывихи, при которых 1-й луч смещается кнутри а 2-3-4-5 кнаружи.
![вывих в суставе лисфранка]()
Классификацию повреждений сустава Лисфранка Quenu & Kuss была творчески переработана и изменена в соответсвии с накопившимися знаниями Hardcastle & Myerson в 1999 году. Учитывая требования международной ассоциации остеосинтеза переломовывихи в суставе Лисфранка были разделены на 3 группы А,В,С в зависимости от тяжести. В группу А вошли медиальный и латеральный подвывихи, в группу В соответсвенно медиальный и латеральный вывихи, а в группу С наиболее тяжёлые дивергирующие повреждения.
![вывих в суставе лисфранка классификация]()
Вышеуказанные классификации относятся к переломовывихам, и вывихам в суставе Лисфранка, тяжёлым повреждениям, чаще встречающимся при высокоэнергетической травме, сопровождаемые значительным риском осложнений. Но во второй половине, особенно в конце XX века, в связи со значимым увеличением количества людей занимающихся спортом, возросла и частота низкоэнергетических повреждений сустава Лисфранка. В связи с чем Nunley & Vertullo в 2002 году предложили классификацию изолированных повреждений связки Лисфранка. Чаще всего они возникают при занятиях спортом и других низкоэнергетических травмах, и затрагивают только среднюю колонну стопы – 2-3 предплюсне-плюсневые суставы. Диагностика этих повреждений крайне сложна, так как рентгенологические признаки выявляются только при выполнении рентгенограмм с нагрузкой. Тем не менее это важная ортопедическая задача, так как повреждения 2-3 ст если оставить их не леченными часто приводят в последующем к хроническим болям в стопе и значительному ограничению уровня физической активности.
![разрыв связки лисфранка]()
Лечение повреждений сустава Лисфранка.
Консервативное лечение применяется в случаях изолированного связочного повреждения (нет переломов по КТ), при изолированной тыльной нестабильности. При множественной сопутствующей патологии, низкой мобильности, выраженных нейро-трофических расстройствах нижних конечностей также возможно консервативное лечение.
В остальных случаях рекомендовано оперативное лечение. При подозрении на повреждение Лисфранка всегда надо обращать пристальное внимание на состояние мягких тканей стопы, так как в ряде случаев происходит формирование компартмент-синдрома. При подозрении компартмент синдрома необходимо измерить внутрифутлярное давление, и если оно превышает 30 мм водного столба, выполнить фасциотомию. Это позволит избежать массивного повреждения мягких тканей.
![]()
Экстренная операция показана только в случаях компартмент синдрома, открытых повреждений, неустраняемом вывихе. В остальных случаях желательно произвести репозицию, временную иммобилизацию в гипсе, или аппарате наружной фиксации, а затем провести оперативное лечение после спадения отёка.
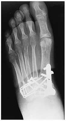
При смещении более 2 мм, нестабильности при функциональных тестах – рекомендовано открытое устранение вывиха с жёсткой фиксацией винтами или пластинами. Используются один или два продольных доступа в 1 и 2 межплюсневых промежутках. После обнажения первого предплюсне-плюсневого сустава первым этапом устраняется межклиновидная нестабильность, вторым этапом устраняется предплюсне-плюсневая нестабильность. В послеоперационном периоде сразу начинается разработка активного объёма движений. Нагрузку на стопу начинают постепенно, с тем чтобы полностью её восстановить к 6-8 неделе. Удаление спиц Киршнера производится через 6-8 недель, компрессирующих винтов через 3-6 месяцев. Возвращение к полной физической активности не ранее 9-12 месяцев после операции.
![сустав лисфранка]()
Открытое вправление вывиха, трансартикулярная фиксация 1-2-3 предплюсне-плюсневых суставов винтами.
![]()
Даже при изолированном связочном повреждении со значительной нестабильностью рекомендуется артродез 1-2-3 предплюсне-плюсневых суставов. Данный вид лечения характеризуется меньшим количеством осложнений (таких как посттравматический артроз и миграция металлофиксаторов) чем открытая репозиция с внутренней фиксацией. После операции рекомендуется ношение циркулярной гипсовой иммобилизации 6 недель, ходьба без нагрузки. Постепенное увеличение осевой нагрузки с 6 по 12 неделю.
![]()
При прогрессивном коллапсе сводов стопы, хронической нестабильности, прогрессивном наружном смещении переднего отдела стопы рекомендуется артродез всего суставного комплекса Лисфранка. Существует много вариантов выполнения данного вмешательства, с использованием спиц, винтов, скоб и пластин, в зависимости от оснащённости операционной и предпочтений хирурга. После операции потребуется 6 недель гипсовой иммобилизации, полную нагрузку можно давать не ранее 10 недели.
![]()
Несращение при выполнении артродеза в суставе Лисфранка встречается крайне редко, но может потребовать ревизионного вмешательства с использованием костно-пластических материалов.
В ряде случаев целесообразно применить смесь хирургических техник. Если рассматривать весь сустав Лисфранка разбив на внутренний, центральный и наружный отделы, то его внутренний (1) и латеральный (4-5) отделы подвижны, хотя и с малой амплитудой, а центральный (2-3) практически не подвижен. По этой причине в хирургической практике часто используется неполный артродез, то есть выполняют артродез 2-3 предплюсне-плюсневых суставов а 1,4,5 временно фиксируют спицами.
![вывих стопы]()
Это позволяет сохранить нормальную биомеханику стопы и предотвратить раннее развитие артроза в смежных суставах которое характерно для полного артродеза.
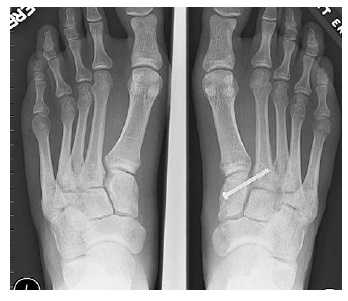
Отдельно стоит разобрать тему разрыва связки Лисфранка с изолированной нестабильностью 2 предплюсне-плюсневого сустава. Частота данного повреждения значительно выросла за последние 50 лет в связи с популяризацией спорта. Также крайне высота частота отсроченной постановки диагноза. При этой патологии пациента беспокоит боль по тыльной поверхности 1-2-3 предплюсне-плюсневых суставов при физической нагрузке. Часто при осмотре удаётся обнаружить деформацию в данной области. Если осмотр производится отсрочено через несколько недель или месяцев после травмы то клинически определить нестабильность уже не удастся, однако на рентгенограммах с нагрузкой будет виден диастаз между медиальной клиновидной костью и основанием 2 плюсневой кости.
В случаях этого повреждения показано оперативное лечение, открытое устранение подвывиха основания 2 плюсневой кости с фиксацией винтом. Устранение подвывиха производится из доступа в 1 межплюсневом промежутке, рубцовая ткань и остатки связки могут интерпонировать сустав, тогда потребуется их удалить. После вправления производится предварительная фиксация спицей и рентгенологический контроль.
Затем устанавливается винт соединяющий основание 2 плюсневой кости и медиальную клиновидную кость.
![как лечить вывих стопы]()
После операции следует 6-12 недельный период иммобилизации в жёстком ортезе без осевой нагрузки на ногу. Затем нагрузка постепенно увеличивается до полной в течение 4-6 недель.
Данный метод оперативного лечения эффективен в течение первых 6-8 месяцев после травмы. В случае если с момента травмы прошло больше времени целесообразно выполнение артродеза.
Удаление винта производится через 6-12 месяцев после операции. В случае формирования болезненного посттравматического артрита 2 предплюсне-плюсневого сустава также показано выполнение его артродеза.
Ниже приведу пример лечения пациента с затарелым вывихом в суставе Лисфранка, которое проходило в стенах нашего отделения.
Пациенты с переломо-вывихами в суставе Лисфранка часто оказываются в ситуации, когда никто из врачей не хочет за них браться. Так случилось и с пациентом Ж. 64 лет, который получил травму ещё в 2001 году, но оперировать его отказались. Боль и деформация прогрессировали, и на протяжении последних 10 лет пациент уже не мог пройти больше 800 метров. Постоянное ношение ортопедических стелек не давало облегчения симптомов.
![вывих в суставе Лисфранка]()
После осмотра в отделении ортопедии №2 ГКБ №13 принято решение о проведении операции – открытому устранению вывиха, артродезе 1-2-3 плюсне-клиновидных суставов, 1 межклиновидного сустава при помощи винтов и пластины, трансартикулярной фиксации спицами 4-5 плюсне-клиновидных суставов.
![вывих в суставе Лисфранка операция]()
Первым этапом выполняется удаление костно-хрящевых экзостозов и рубцовых тканей из области всего сустава Лисфранка. После этого дистальный отдел стопы приобретает мобильность, достаточную для восстановления нормальной анатомии. Остатки суставного хряща полностью удаляются с 1-2-3 плюсне-клиновидных суставов, 1 межклиновидного сустава при помощи долота, осцилляторной пилы, кусачек Люэра, острой ложки Фолькмана. Для репозиции используются костные цапки.
![переломовывих в суставе Лисфранка операция]()
Вершиной, ключом, блокирующим клином – в общем главной частью сустава Лисфранка является 2 плюсне-клиновидный сустав. По этой причине мы предпочитаем начинать фиксацию именно с него. Для артродеза используем винты с направленной в разные стороны резьбой FT Arthrex диаметром 4 мм. Они позволяют создать мощную межфрагментарную компрессию, а за счёт глубокой резьбы очень надёжно фиксируются в кости.
![винты для артродеза сустава лисфранка]()
После восстановления 2 луча выполняем артродез межклиновидного сустава и 1 плюсне-клиновидного сустава. Учитывая что основная нагрузка ложится на 1 луч, дополнительно стабилизируем его при помощи пластины.
![артродез сустава лисфранка]()
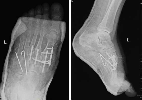
![вывих в суставе лисфранка рентген]()
В стационаре пациент находится первые 2 суток после операции. Это необходимо для купирования болевого синдрома, и контроля послеоперационной раны. На 3 сутки пациент выписывается домой в гипсовой лонгетной повязке, на костылях. На ногу наступать нельзя до 6 недль после операции. Послеоперационные швы снимаются через 2 недели, лонгетная повязка при этом может быть заменена на циркулярный обычный или пластиковый гипс или ортез.
![гипс после операции на суставе лисфранка]()
В итоге через 3 месяца мы получаем стабильную, безболезненную, опороспособную конечность. Через 6 месяцев можно начать спортивные нагрузки.
![]()
Никифоров Дмитрий Александрович
Хирургия стопы и голеностопного сустава, коррекция деформаций конечностей, эндопротезирование суставов, артроскопическая хирургия, спортивная травма.Рентгенограмма, КТ, МРТ при повреждении связки Лисфранка
а) Определение:
• Изолированная травма связки Лисфранка без повреждения всего предплюсне-плюсневого суставаб) Визуализация:
1. Общая характеристика:
• Лучший диагностический критерий:
о Латеральное смещение основания 2-й плюсневой кости относительно промежуточной клиновидной кости:
- Может выявляться лишь при исследовании стопы с нагрузкой
- Результаты рентгенографии даже при исследовании с нагрузкой могут оказаться ложноотрицательными
• Локализация:
о Между медиальной клиновидной костью и основанием 2-й плюсневой кости2. Рекомендации по визуализации:
• Лучший метод визуализации:
о МРТ
• Рекомендации по выбору протокола:
о Аксиальный срез следует выстраивать по оси 2-й плюсневой кости
о Коронарный срез должен быть перпендикулярен оси 2-й плюсневой кости
о На сагиттальном срезе состояние связки Лисфранка оценивают реже:
- Позволяет обнаружить сопутствующие повреждения капсулы сустава
о Средний отдел стопы должен располагаться в центре поля зрения
о Во многих случаях исследование стопы лучше выполнять в положении пациента лежа на животе(Слева) При МРТ по длинной оси плюсневых костей на Т1ВИ определяется неизмененный межкостный пучок связки Лисфранка, натянутый между латеральным краем медиальной клиновидной кости и медиальным краем 2-й плюсневой кости. Следует отметить, что 2-й предплюсне-плюсневый сустав сдвинут относительно 1-го и 3-го предплюсне-плюсневых суставов, в результате чего образуется соединение по типу «шип-паз», способствующее стабилизации сустава.
(Справа) У другого пациента при МРТ по длинной оси плюсневых костей на том же уровне на ППВИ в режиме FS визуализируется разрыв межкостного пучка связки Лисфранка. (Слева) При МРТ по короткой оси плюсневых костей на Т2ВИ в режиме FS различимы три пучка связки Лисфранка: тыльный, межкостный и подошвенный. Следует отметить, что межкостный пучок напоминает канат, поскольку в его структуре выявляется множество волокон, а тыльный и подошвенный пучки выглядят в виде тонкой ленты.
(Справа) При МРТ по короткой оси плюсневых костей на Т2ВИ в режиме FS визуализируется разрыв тыльного, межкостного и подошвенного пучков связки Лисфранка. Коронарная плоскость позволяет оценить выраженность повреждения связки. (Слева) При рентгенографии среднего отдела стопы в передне-задней проекции определяется неизмененный 2-й плюсневый сустав. Медиальный край 2-й плюсневой кош находится на одной линии с медиальным краем промежуточной клиновидной кости. Даже небольшое смещение данных костей относительно друг друга свидетельствует о повреждении связки Лисфранка.
(Справа) Пациент, который подвернул ногу, сбегая вниз по лестнице. При рентгенографии среднего отдела стопы в передне-задней проекции визуализируется латеральный подвывих основания 2-й плюсневой кости, указывающий на повреждение связки Лисфранка. При хирургическом вмешательстве была обнаружена выраженная нестабильность сустава.3. Рентгенография при повреждении связки Лисфранка:
• Чувствительность рентгенографии повышается при исследовании стопы с нагрузкой (в положении пациента стоя или при наружной ротации стопы)
• Латеральное или дорсальное смещение основания 2-й плюсневой кости относительно промежуточной клиновидной кости
• Увеличение расстояния между 1-й и 2-й плюсневыми костями:
о Признак сильно зависит от того, в каком положении находится стопа (пронация или супинация), и потому не является достоверным
• Отрывной перелом медиального края основания 2-й плюсневой кости:
о В данной области находится точка прикрепления связки Лисфранка
• Уплощение продольного свода стопы:
о Выявляется лишь на уровне предплюсне-плюсневого сустава
• Изменение расстояния между клиновидными костями не является чувствительным признаком повреждения связки Лисфранка:
о Сильно зависит от того, в каком положении находится стопа (пронация или супинация)4. КТ при повреждении связки Лисфранка:
• Поскольку при КТ исследование с нагрузкой не проводят, смещение плюсневой кости может визуализироваться хуже, чем при рентгенографии5. МРТ при повреждении связки Лисфранка:
• Признаки повреждения связки визуализируются в аксиальной и коронарной плоскостях:
о Позволяет легко различить три пучка связки Лисфранка
о Подошвенный и тыльный пучки тонкие и напоминают ленту
о Межкостный пучок имеет большую толщину и характеризуется наличием различимых волокон
• Часто в медиальной клиновидной или 2-й плюсневой кости обнаруживают отек костного мозгав) Дифференциальная диагностика повреждения связки Лисфранка:
1. Вывих сустава Лисфранка:
• Более тяжелая травма сустава, при которой наблюдается повреждение суставных поверхностей предплюсне-плюсневых суставов
• При углубленном исследовании диагноз может измениться с изолированного повреждения связки Лисфранка на истинный вывих сустава Лисфранка2. Нейрогенная артропатия:
• Во многих случаях, вероятно, начинается с нераспознанного повреждения связки Лисфранка:
о Приводит к возникновению нестабильности сустава и дальнейшей его травматизации3. Перелом основания 2-й плюсневой кости:
• Поперченный перелом дистальнее связки Лисфранка также может приводить к возникновению нестабильности сустава(Слева) При рентгенографии среднего отдела стопы в боковой проекции визуализируется неизмененный предплюсне-плюсневый сустав. Тени оснований 1 -й и 2-й плюсневых костей накладываются друг на друга, однако остаются различимыми, поскольку 1 -я плюсневая кость намного толще, а 2-я плюсневая кость выходит за ее проксимальный контур. Дорсальный край 2-й плюсневой кости располагается на одной линии с краем промежуточной клиновидной кости.
(Справа) При рентгенографии среднего отдела стопы определяется подвывих, обусловленный повреждением связки Лисфранка. Основание 2-й плюсневой кости находится всего на 2 мм дорсальнее промежуточной клиновидной кости, однако это уже позволяет судить о повреждении связки Лисфранка. (Слева) При рентгенографии среднего отдела стопы в передне-задней проекции определяется неизмененный предплюсне-плюсневый сустав. Однако результаты исследования оказались ложноотрицательными. По причине наличия болевого синдрома пациенту была выполнена МРТ, при которой было обнаружено повреждение связки Лисфранка.
(Справа) При МРТ по длинной оси плюсневых костей на ППВИ в режиме FS визуализируется разрыв межкостного пучка связки Лисфранка. Несмотря на то что подвывих предплюсне-плюсневого сустава является специфичным для повреждения связки Лисфранка, следует помнить о том, что достаточно часто при рентгенографии получают ложноотрицательный результат. (Слева) У этого же пациента при МРТ по длинной оси плюсневых костей на ППВИ в режиме FS определяется разрыв тыльного пучка связки Лисфранка.
(Справа) У этого же пациента при МРТ по короткой оси плюсневых костей на Т2ВИ в режиме FS визуализируется разрыв тыльного и межкостного пучков связки Лисфранка. Подошвенный пучок растянут, однако целостность его сохранена. При осмотре с анестезией была обнаружена нестабильность 2-го предплюсне-плюсневого сустава.г) Патология:
1. Общая характеристика:
• Этиология:
о Подошвенное сгибание среднего отдела стопы:
- Пациент упал с лестницы либо упал, споткнувшись о какой-либо предмет2. Классификация:
• Повреждение трех пучков связки, идущих от тыла стопы к ее подошвенной поверхности3. Краткие анатомические сведения:
• Связка Лисфранка: основной стабилизатор предплюсне-плюсневого сустава:
о Натянута между медиальной клиновидной костью и основанием 2-й плюсневой кости
о Три пучка: тыльный, межкостный (наиболее важный) и подошвенныйд) Клинические особенности:
1. Проявления:
• Типичные признаки/симптомы:
о Тупые боли в среднем отделе стопы
о Отек в области 2-го предплюсне-плюсневого сустава2. Течение и прогноз:
• При разрыве двух пучков возникает нестабильность 2-го предплюсне-плюсневого сустава
• Результат повреждения: формирование плоскостопия и остеоартроза предплюсне-плюсневого суставае) Диагностическая памятка. Советы по интерпретации изображений:
• О повреждении связки свидетельствует даже небольшое латеральное смещение 2-й плюсневой кости относительно промежуточной клиновидной костиа) Синоним:
• Переломовывих предплюсне-плюсневых суставов1. Рентгенография переломовывиха сустава Лисфранка:
• В передне-задней проекции выявляется смещение плюсневых костей относительно клиновидных костей:
о Нормальное расположение данных костей при рентгенографии в передне-задней проекции с нагрузкой:
- 1-я плюсневая кость должна располагаться по центру медиальной клиновидной кости
- Медиальный край 2-й плюсневой кости должен находиться на одной линии с медиальным краем промежуточной клиновидной кости
- Латеральный край 3-й плюсневой кости должен находиться на одной линии с латеральным краем латеральной клиновидной кости
- Медиальный край 4-й плюсневой кости должен находиться на одной линии с медиальным краем кубовидной кости
- Шиловидный отросток 5-й плюсневой кости должен выходить за латеральный контур кубовидной кости, при этом суставные поверхности должны оставаться конгруэнтными
• В боковой проекции выявляется смещение оснований плюсневых костей в тыльную, реже - в подошвенную сторону:
о Дорсальный край 1-2 плюсневых костей должен располагаться на одной линии с краем соответствующих клиновидных костей
о В боковой проекции отличить друг от друга 3-5 предплюсне-плюсневые суставы достаточно трудно(Слева) На рисунке тыльной поверхности стопы изображен односторонний переломовывих сустава Лисфранка. Показаны латеральное смещение 1-5 плюсневых костей, поперечный перелом основания 2-й плюсневой кости и разрыв связки Лисфранка.
(Справа) На рисунке тыльной поверхности стопы изображен частичный переломовывих сустава Лисфранка. Первая плюсневая кость расположена правильно, в то время как 2-5 плюсневые кости смещены латерально. Связка Лисфранка разорвана. (Слева) При рентгенографии среднего отдела стопы в боковой проекции определяются вывихи 1-5 предплюсне-плюсневых суставов, ладьевидно-клиновидного сустава и сустава Шопара, возникшие у мотоциклиста в результате дорожно-транспортного происшествия. Кроме того, выявляется множество мелких костных фрагментов.
(Справа) У этого же пациента при рентгенографии среднего отдела стопы в передне-задней проекции лучше видны переломы плюсневых костей и деформация сустава Шопара. В этой проекции суставные поверхности 1-го предплюсне-плюсневого сустава выглядят конгруэнтными, однако наличие в боковой проекции расширения дорсальною отдела суставной щели свидетельствует о нестабильности сустава. (Слева) При рентгенографии среднею отдела стопы в передне-задней проекции определяется изолированный переломовывих 1-го предплюсне-плюсневого сустава: косой перелом основания 1-й плюсневой кости и ее подвывих. Кроме тою, выявляется перелом медиальной клиновидной кости. Этот переломовывих можно отнести к продольному типу.
(Справа) При рентгенографии среднего отдела стопы в передне-задней проекции, как может показаться на первый взгляд, визуализируется изолированный отрывной перелом основания 2-й плюсневой кош в области прикрепления к ней связки Лисфранка. Однако костный фрагмент смещен больше, чем бывает в таких случаях, вследствие чего для оценки связочною аппарата была выполнена МРТ.2. КТ при переломовывихе сустава Лисфранка:
• Позволяет обнаружить переломы, не выявленные при рентгенографии3. МРТ при переломовывихе сустава Лисфранка:
• Тщательно оценить данную травму при МРТ достаточно трудно, поскольку образовавшиеся костные фрагменты видны плохо4. Рекомендации по визуализации:
• Лучший метод визуализации:
о При первичной диагностике выполняется рентгенография:
- Расположение костей лучше всего оценивать при исследовании пациента в положении стоя
о КТ позволяет оценить тяжесть травмы
• Рекомендации по выбору протокола
о Аксиальные срезы должны проходить параллельно оси плюсневых костей
о В сагиттальной плоскости визуализируется смещение костей в тыльную сторону
о В коронарной плоскости лучше всего видны переломы клиновидных костейв) Дифференциальная диагностика переломовывиха сустава Лисфранка:
1. Повреждение связки Лисфранка:
• Изолированная травма связки без повреждения всего предплюсне-плюсневого сустава
• Низкоэнергетическая травма (например, спортивная или при соскальзывании с бордюра)
• Латеральное смещение 2-й плюсневой кости относительно промежуточной клиновидной кости2. Перелом плюсневых костей:
• При переломе оснований плюсневых костей сустав Лисфранка часто остается интактным
• Следует обращать внимание на точки прикрепления связки Лисфранка к костям3. Вывих сустава Шопара:
• Вывихи таранно-ладьевидного и пяточно-кубовидного суставов
• Клинически проявляются сходной деформацией стопы4. Нейрогенная артропатия (сустав Шарко):
• Часто поражаются предплюсне-плюсневые суставы
• При рентгенографии выявляются деформация суставов, переломы суставных поверхностей с отделением костных фрагментов, вывихи(Слева) При рентгенографии стопы в боковой проекции определяется необычное для вывиха сустава Лисфранка смещение в подошвенную сторону 1-й и 2-й плюсневых костей. Травма была получена при полете на буксируемом парашюте.
(Справа) У этого же пациента при рентгенографии стопы в передне-задней проекции визуализируется одностороннее смещение оснований плюсневых костей. Наблюдаются переломы медиальной клиновидной кости и оснований 2-й и 3-й плюсневых костей. (Слева) При рентгенографии среднего отдела стопы в передне-задней проекции определяется изолированный медиальный вывих 5-й плюсневой кош. В норме шиловидный отросток 5-й плюсневой кости выступает латеральнее края кубовидной кош. Остальные предплюсне-плюсневые суставы выглядят интактными, что и было подтверждено при КТ.
(Справа) При КТ в сагиттальной плоскости визуализируется вывих 5-й плюсневой кости в сторону подошвы. Необычная травма была получена при езде на велосипеде. (Слева) При рентгенографии среднего отдела стопы в передне-задней проекции определяется односторонний вывих сустава Лисфранка: 1-5 плюсневые кости смещены латерально, переломы не выявляются.
(Справа) Этому же пациенту были выполнены открытая репозиция и внутренний остеосинтез. При рентгенографии среднего отдела стопы в передне-задней проекции видно, что для обеспечения стабильности суставов требуется фиксация множества костей. Следует отметить наличие винта, который выполняет функцию поврежденной связки Лисфранка.1. Общая характеристика:
• Этиология:
о В большинстве случаев возникает в результате дорожно-транспортного происшествия или производственной травмы
о Стопа в положении подошвенного сгибания + сила, направленная продольно (как при травме стопы, застрявшей в стремени)
о Непосредственный удар
• Сопутствующие патологические изменения:
о Переломы костей предплюсны (в 50-90% случаев)
о Переломы оснований плюсневых костей, особенно 2-й
о Вывих сустава Шопара или ладьевидно-клиновидного сустава2. Классификация переломовывиха сустава Лисфранка:
• Односторонний: латеральное смещение всех плюсневых костей
• Дивергентный: 1-я плюсневая кость смещена медиально, 2-5 плюсневые кости-латерально
• Частичный: вывих некоторых предплюсне-плюсневых суставов
• Изолированный: вывих одного предплюсне-плюсневого сустава
• Продольный: медиальное смещение 1 -й плюсневой кости и предплюсне-плюсневого сустава относительно оставшейся части сустава Лисфранка3. Краткие анатомические сведения:
• Основания 2-5 плюсневых костей соединены между собой поперечными связками:
о Особенности соединения данных костей обусловливают смещение 2-5 плюсневых костей единым блоком
о Между 1-й и 2-й плюсневыми костями поперечных связок нет
• 1-ю и 2-ю плюсневые кости стабилизирует связка Лисфранка:
о Соединяет латеральную поверхность медиальной клиновидной связки и медиальный край основания 2-й плюсневой кости
• Основание 2-й плюсневой кости располагается проксимальнее оснований 1 -й и 3-й плюсневых костей:
о Вследствие этого при повреждении сустава Лисфранка перелом чаще всего локализуется в основании 2-й плюсневой костид) Клинические особенности. Проявления:
• Клинический профиль:
о Высокоэнергетическая травма:
- При езде на мотоцикле, квадроцикле, лошади, а также с непристегнутым ремнем безопасности в автомобилее) Диагностическая памятка. Рекомендации по отчетности:
• Следует описывать, в какую сторону происходит вывих костей и смещение крупных отломков
• Описание расположения мельчайших костных фрагментов может занять слишком много времениж) Список использованной литературы:
1. Oak NR et al: Longitudinal Lisfranc injury. J Surg Orthop Adv. 23(4):233-6, 2014
2. Siddiqui NA et al: Evaluation of the tarsometatarsal joint using conventional radiography, CT, and MR imaging. Radiographics. 34(2):514-31, 2014
3. Eleftheriou Kl et al: Lisfranc injuries: an update. Knee Surg Sports Traumatol Arthrosc. 21(6):1434-46, 2013
4. Levitt BA et al: Diabetic lisfranc fracture-dislocations and charcot neuroarthropathy. Clin Podiatr Med Surg. 30(2):257-63, 2013Читайте также:
- Примеры эпителиомы (аденомы) пигментного эпителия сетчатки симулирующей меланоцитому
- Лейкодистрофия с кальцификацией базальных ганглиев и лимфоцитозом спинномозговой жидкости (синдром Айкарди-Гутиереса)
- Положения ортодонтического перемещения зубов. Закономерности перемещения зубов
- Диагностика синдрома Стерджа-Вебера на МРТ, КТ
- Легочные вены. Бронхиальные артерии, безымянные вены и верхняя полая вена

























