Рентгенограмма, КТ при болезни Крона
Добавил пользователь Евгений Кузнецов Обновлено: 08.01.2026
таргетное исследование тонкой кишки – КТ-энтерография - это не инвазивная методика, легко выполнима и позволяет визуализировать помимо кишечной стенки и внекишечные структуры. Адекватная подготовка пациентов и соблюдения протокола заполнения кишечника контрастной средой - залог успеха исследования.
Сравнение позитивных и нейтральных оральных контрастов выявляет преимущество последних для диагностики патологии ЖКТ, а последние рекомендации советуют полностью отказаться от позитивного орального контрастирования у определенных групп пациентов.
Нейтральные контрастные среды:
- PEG(ПЭГ): препарат на основе полиэтилен гликоля, наиболее известные представители Фортранс, Klean Prep. Является лучшим нейтральным контрастом после Volumen.
- питьевая вода
- VOLUMEN: взвесь бария сульфата с сорбитолом в очень низкой концентрации. Имеет сертификат FDA
- В последнее время практически не используются: метил целлюлоза, вода с сорбитолом, лактулоза, ананасовый сок и молоко.
Собственный опыт применения нейтральных контрастных сред:
В нашей клинике нейтральное оральное контрастирование (питьевая вода) используется при рутинном исследовании органов брюшной полости с 2009г, позитивные контрасты используются редко и по определенным показаниям (в качестве позитивного контраста применяется вода с добавлением водорастворимого контраста, на 1 литр воды 10 мл водорастворимого контраста).
На базе 10-й городской клинической больницы создан Республиканский центр гастроэнтерологии (РЦГ) для оказания специализированной гастроэнтерологической помощи. РЦГ является клинической базой кафедры гастроэнтерологии и нутрициологии ГУО «БелМАПО».
На базе клиники функционирует 2 гастроэнтерологических отделения и консультативно-диагностический гастроэнтерологический кабинет. В связи с этим возникла необходимость внедрения в практику новых методик КТ (в частности КТ-энтерография с применением Фортранса) для прицельной визуализации тонкой кишки. За данный период времени нами было проведено 567 КТ исследований органов брюшной полости пациентам с подозрением на болезнь Крона с предварительной специальной подготовкой кишечника (КТ-энтерография). Нами совместно с сотрудниками кафедры (профессор Горгун Ю.В) были испробованы различные описанные в литературе методики подготовки тонкого и толстого кишечника для проведения КТ-энтерографии, свое повседневное применение нашли методики описанные ниже. Залогом успешного проведения исследования является четкое и последовательное соблюдение всех этапов подготовки кишечника.
Подготовка к КТ-энтерографии
ЕСЛИ ЗАПЛАНИРОВАНО ИССЛЕДОВАНИЕ ТОЛЬКО ТОНКОЙ КИШКИ
- Последний прием пищи - в 14 .00
- После этого разрешается пить прозрачные жидкости без газа (питьевая вода, минеральная вода без газов, некрепкий чай с сахаром или без и др.)
- На исследование пациент должен прийти за 1,5-2 часа до его начала. При себе иметь 1,5 литра воды и 1 пакетик Фортранса
- При наличии возможности за 1-1,5 часа до исследования пациент получает 1 таблетку либо 1 ректальную свечу бускопана.


ЕСЛИ ЗАПЛАНИРОВАНО ИССЛЕДОВАНИЕ ТОНКОЙ И ТОЛСТОЙ КИШКИ:
- Прием Фортранса следует начинать не раньше, чем через 2 часа после "легкого" обеда (куриный бульон, чай, сок), обычно в 16-18 часов. 1 пакетика ФОРТРАНСА растворяется в 1 литре питьевой воды комнатной температуры (газированную воду использовать нельзя). Если вес пациента меньше 80 кг, то надо растворить 3 пакетика Фортранса в 3 литрах воды. Если вес - больше 80 кг, то 4 пакетика в 4 литрах.
- Каждый литр получившегося раствора (всего 3-4 литра) принимается на протяжении 1-1,5 (всего 4-5 часов), по стакану каждые 15-20 минут, отдельными глотками (для улучшения вкуса можно запивать соком без мякоти).
- В день исследования:
- На исследование пациент должен прийти за 1,5-2 часа до его начала. При себе иметь 1,5 литра воды и 1 оставшийся пакетик Фортранса.
- При наличии возможности за 1-1,5 часа до исследования пациент получает 1 таблетку либо 1 ректальную свечу бускопана.
Противопоказания к КТ-энтерографии:
- абсолютным противопоказанием является острая декомпенсированная кишечная непроходимость и наличие аллергии на препараты ПЭГ
- относительным противопоказанием является очень тяжелое состояние пациентов, когда они не могут пить контрастную среду или наличие выраженной тошноты, рвоты
КТ-энтерография имеет значение в диагностике различных патологических изменений в тонкой кишке:
- воспалительных/гранулематозных заболеваний тонкой кишки (НЯК, болезни Крона, инфекционных заболеваниях тонкой кишки, заболевания соединительной ткани)
- опухолевых поражений тонкой кишки (лимфома, ГИСО, карциноид, рак тонкой кишки, метастазы)
- уровня и причины тонкокишечной непроходимости.
- уточнении причины и локализации желудочно-кишечного кровотечения у гемодинамически стабильного пациента
- целиакии
- ишемии тонкой кишки.
Болезнь Крона
- Болезнь Крона – это хроническое идиопатическое воспалительное заболевание, поражающее все слои стенки кишечника, а также все сегменты ЖКТ (тонкий кишечник поражается в 80% случаев; у 1/3 больных отмечается поражение дистальных отделов подвздошной кишки), часто сопровождающееся экстраинтестинальными проявлениями Этиология заболевания достоверно неизвестна.
- Заболевание имеет два возрастных пика: в 20-25 лет и в 50-70 лет
- Клиника: характерно острое или постепенное развитие симптомов заболевания: боль в брюшной полости и диарея, часто сопровождающиеся повышением температуры и снижением веса больного. Течение заболевания хроническое с наличием периодических обострений (активная фаза).
- Локализация поражения: могут поражаться любые отделы ЖКТ на всем протяжении от рта до ануса
- Изолированное поражение тонкой кишки определяется у 30%больных(преимущественно терминальный отдел тонкой кишки)
- Изолированное поражение толстой кишки определяется у 20-30%больных
- Cовместное поражение как тонкой так и толстой кишки определяется у 40-50% больных.
- Экстраинтестинальные проявления: артрит, холелитиаз, поражения глаз и кожи, у детей – задержка развития и др.
Диагностика:
- Диагноз болезни Крона базируется на совокупности клинических, лабораторных, гистологических и визуализационных данных. Одного метода исследования недостаточно для достоверной постановки диагноза.
- Лучевые методы исследования, в частности, КТ-энтерография позволяет достоверно выявлять болезнь Крона и оценивать вне кишечные проявления/осложнения этого заболевания. На данный момент, именно КТ энтерография является "золотым стандартом" диагностической визуализации при подозрении на болезни Крона, а также для контроля лечения
- Лучевые методы исследования:
1.помогают в постановке первичного диагноза (благодаря характерной картине и распространенности поражения); например вовлечение в процесс тонкой кишки помогает дифференцировать БК от НЯК.
2.помогают в выявлении осложнений БК (КН, синусные тракты, фистулы, абсцессы)
3.помогают дифференцировать острые воспалительные стриктуры от фиброзных стриктур, что может повлиять на выбор способа лечения (медикаментозное или хирургическое)
4.помогают в оценке активности процесса и динамики изменений на фоне лечения
КТ-признаки активности болезни Крона:
- повышенное накопление КВ слизистой оболочкой: важный критерий активности болезни Крона. Этот признак является наиболее чувствительным при активном процессе.
- утолщение кишечной стенки (толщина более 3 мм)
- расслоение кишечной стенки (mural stratification) подразумевают визуализацию отдельных слоев кишечной стенки, не видимых в норме. Отечная кишечная стенка имеет 3х слойный вид с повышенным накоплением КВ наружным (серозным) и внутренним (слизистым) слоями, между которыми расположен низкоплотный подслизистый слой. Однако этот признак не специфичен для БК и может определяться при других воспалительных процессах и даже иногда при ишемии кишечной стенки. Также надо иметь ввиду, что недостаточно растянутая петля тонкой кишки может имитировать повышенное накопление КВ и утолщение стенки, поэтому необходимо учитывать и другие критерии активности процесса видимые при КТ-энтерографии.
- подчеркнутость брыжеечных сосудов - «симптом расчески» Подчеркнутость и увеличение количества сосудов брыжейки вблизи воспаленной кишки. Этот признак является наиболее чувствительным при активном процессе
- тяжистого/ползучего характера уплотнение брыжеечного жира (stranding/creeping fat) В активную фазу также часто определяется уплотнение брыжеечного жира, вследствие трансмурального распространения воспалительного процесса через сезонную оболочку на клетчатку брыжейки тонкой кишки, а также вследствие в гиперемии сосудов брыжейки. Этот признак является наиболее чувствительным при активном процессе
- воспалительные (обратимые) стриктуры -Наличие участков сужения и расширения
- КТЭ также играет роль в выявлении реактивной лимфаденопатии в брыжейке рядом со стенозированными сегментами кишки, что также является важным критерием активности процесса.
КТ-признаки длительно текущей болезни Крона в неактивную фазу
- Жировые депозиты в подслизистом слое характерны для хронического воспалительного процесса и их необходимо дифференцировать с симптомом расслоения стенки кишки при активном процессе.
- Также подслизистый жир можно спутать с фиброзом подслизистого слоя (КТ не позволяет четко дифференцировать их друг с другом).
- pseudosacculation (псевдовыпячивания) кишечной стенки
- фиброзно-жировая пролиферация прилежащих отделов брыжейки кишки Считается, что фиброзно-жировая пролиферация в прилежащих отделах брыжейки кишки играет важную роль в поддержании воспалительного процесса, вследствие выработки в указанной зоне ФНО-альфа.
- фиброзные (необратимые) стриктуры КТ-энтерография имеет высокую чувствительность в выявлении кишечных стриктур - утолщение кишечной стенки с сужением просвета кишки . Важно дифференцировать воспалительные (обратимые) и фиброзные (необратимые) стриктуры, так как от этого зависит выбор тактики лечения (медикаментозное или хирургическое лечение).
Для обратимых стриктур, возникающих в активную фазу заболевания, характерно повышенное накопление КВ слизистой оболочкой, расслоение стенки, уплотнение брыжеечного жира ползучего характера и гиперемия брыжеечных сосудов.
Для необратимых стриктур, при длительно текущем заболевании с наличием трансмурального фиброза стенки, характерно пониженное накопление КВ стенкой кишки и отсутствие симптома расслоения стенки.
Выполнение видеокапсульной эндоскопии противопоказано при наличии воспалительных или фиброзных стриктур, диаметр просвета кишки при которых составляет менее 1см (при этом высок риск того, что капсула застрянет в просвете кишки и вызовет КН). Вероятность застревания капсулы у больных с БК и наличием стриктур тонкой кишки относительно высока (составляет 13%) . Для того, чтобы избежать это осложнение предварительно перед видеокапсульной эндоскопией должна быть выполнена КТЭ.
Рентгенограмма, КТ при болезни Крона
Лучевая диагностика болезни Крона
а) Терминология:
• Заболевание неизвестной этиологии, характеризующееся воспалением всех слоев стенки ЖКТ
б) Визуализация болезни Крона:
• КТ- и МР-энтерография вытеснили рентгеновские методы исследования с бариевым контрастом в диагностике болезни Крона у детей и взрослых:
о Поскольку эти методы исследования быстрее, более чувствительны и специфичны, не так зависят от оператора
о Позволяют оценить проявления заболевания вне кишечника
• Острая фаза (без рубцевания):
о Симптом «мишени» или «двойного гало»
о Гиперденсное внутреннее кольцо представляет собой слизистую оболочку, накапливающую контраст
о Среднее гиподенсное кольцо обусловлено подслизистым отеком
о Симптом «гребня» (переполненные кровью прямые сосуды)
о Пролиферация жировой ткани брыжейки в сочетании с лимфаденопатией
• Хроническая фаза (сопровождающаяся образованием рубцов):
о Стриктуры; возможно также расширение отделов тонкой кишки, расположенных проксимальнее места сужения
о Абсцессы, фистулы, свищевые ходы
• Для визуализации стриктур и фистул применимы «бариевая клизма» и энтероклизма
• Для оценки поражения толстой кишки больше подходит коло-носкопия, т. к. это исследование предоставляет возможность выполнения биопсии ободочной кишки и терминальных отделов подвздошной кишки
• В дополнение к лучевым методам диагностики может применяться капсульная эндоскопия:
о Значение исследования после отрицательных результатов КТ-и МР-энтерографии не доказано
(Слева) На сагиттальном срезе проиллюстрированы типичные признаки болезни Крона: сегментарное утолщение стенки тонкой кишки, гиперемия слизистой оболочки, воспаление всех слоев стенки в сочетании с глубокими язвами га, избыточное кровенаполнение брыжеечных сосудов, а также фиброзно-жировая пролиферация.
(Справа) На КТ, выполненной юноше 19 лет в острой фазе болезни Крона, определяется интенсивное контрастное усиление слизистой оболочки, утолщение стенки и сужение просвета терминальных отделов подвздошной кишки. (Слева) На КТ у этого же пациента определяется воспаление терминальных отделов подвздошной кишки, наряду с фиброзно-жировой пролиферацией брыжейки и перенаполнением кровью прямых сосудов.
(Справа) На рентгенограмме тонкой кишки с бариевым контрастом, выполненной этому же пациенту, определяется поражение терминальных отделов подвздошной кишки с наличием поперечных и продольных язв слизистой оболочки (придающих ей вид «булыжной мостовой»), а также сужение просвета кишки. Визуализируются как минимум два свищевых хода. Традиционные рентгеновские исследования с бариевым контрастом сохраняют свою ценность для оценки стриктур, фистул и свище.
в) Дифференциальная диагностика:
• Язвенный колит (ретроградный илеит)
• Мезаденит и энтерит
• Инфекционный илеит или колит
г) Патология:
• Трансмуральное воспаление, лимфоидные скопления, неказеозные гранулемы:
о Вызывают формирование стриктур, фистул, свищевых ходов
д) Клинические особенности:
• Для болезни Крона характерно чередование периодов обострения и ремиссии
Болезнь Крона: линейные язвы. Длинные линейные язвы (стрелки), параллельные линии прикрепления брыжейки. Поздняя стадия активного воспалительного подтипа болезни Крона у мальчика 14 лет. При рентгенографии в терминальном отделе подвздошной кишки выявлено классическое поражение в виде «булыжной мостовой». Признак «булыжной мостовой» возникает из-за множественных линейных изъязвлений (указатели) и полиповидных возвышений сохранной слизистой оболочки. Признак «булыжной мостовой» в тонкой кишке у 16-летнего пациента с болезнью Крона.
(а) В коронарной проекции на Т2-взвешенных томограммах тонкой кишки в режиме HASTE выявлены утолщение стенки (стрелки) и множественные псевдополипы (указатели).
(б) В режиме Т1 с контрастированием выявлены трансмуральное накопление контрастного вещества и множественные псевдополипы (указатели).
(в) При рентгенографии с пассажем бария у того же пациента установлено поражение в виде «булыжной мостовой». Псевдополип (указатель) в подвздошной кишке у мужчины 56 лет с длительно текущей болезнью Крона Болезнь Крона: асимметричное вовлечение стенки.
При рентгенографии тонкой кишки выявлено мультисегментарное поражение. Отмечены укорочение и выпрямление брыжеечного края сегмента кишки (указатели) с множественными псевдорасширениями на свободном крае.
Обнаружено широкое разделение петель кишки вследствие фиброзно-жировой пролиферации (звездочки). Болезнь Крона: псевдорасширения на свободном крае кишки. Выявлены выпрямление брыжеечного края (стрелки) подвздошной кишки, а также множественные псевдорасширения (указатели) свободного края. Болезнь Крона: тонкокишечно-тонкокишечный свищ.
(а) Пациент 33 лет с болезнью Крона. При рентгенографии после проведения энтероклизмы выявлены множественные подвздошно-подвздошные свищи (стрелки).
(б) При КТ-энтерографии в коронарной проекции у другого пациента выявлен свищевой ход (стрелка), заполненный нейтральным пероральным контрастным веществом. Вовлечение илеоцекальной области при болезни Крона, которое может имитировать туберкулез.
(а) Узловое утолщение складок слизистой оболочки в илеоцекальной области (указатели). Выявлены продольные язвы в терминальном отделе подвздошной кишки (стрелка), что характерно для болезни Крона.
(б) При колоноскопии отмечены бугристость слизистой оболочки илеоцекальной области (указатели) и непораженная слепая кишка. Активный воспалительный подтип болезни Крона. При КТ с контрастированием визуализирована стратификация стенки («симптом мишени») тонкой кишки (белые стрелки) и илеоцекальной области (черные стрелки).
Отмечена инфильтрация брыжеечной жировой клетчатки (указатели) вокруг пораженных петель кишки. Активный воспалительный подтип болезни Крона.
(а) Коронарная проекция, режим T1 с применением внутривенного контрастного вещества: выраженное накопление контраста слизистой оболочкой (указатели) терминального отдела подвздошной кишки и слепой кишки.
(б) Отмечена обильная васкуляризация брыжейки тонкой кишки («симптом гребня») (указатели).
(в) Аксиальная проекция, режим Т2 HASTE: утолщение стенки и гиперинтенсивность подслизистого слоя (указатели), обусловленные отеком.
(г) На диффузионно-взвешенном изображении (b = 800) активное воспаление сегмента кишки проявляется гиперинтенсивностью (указатели). Болезнь Крона: фибростенозирующий подтип. При проведении энтероклизмы пациенту 32 лет с установленной болезнью Крона визуализированы суженные сегменты и аневризматическое расширение в дистальном отделе подвздошной кишки (указатели), расположенное между двумя стенозированными участками (стрелки). Фибростенозирующий подтип болезни Крона, проявляющийся обструкцией кишечника.
При КТ в коронарной проекции визуализированы сегментарное сужение тонкой кишки (указатель) и престенотическое расширение кишки (звездочка).
Значительного отека подслизистого слоя или воспалительных изменений в брыжейке не выявлено. Фибростенозирующий подтип болезни Крона: данные КТ и патоморфологии.
(а) При КТ с контрастированием отмечено сегментарное сужение тонкой кишки (указатели), вызывающее частичную кишечную непроходимость. Выявлено престенотическое расширение кишки (звездочка).
(б) Резецированный образец суженного сегмента: изъязвление (стрелки) и фиброз стенки (указатели). Брыжеечный абсцесс у мужчины 27 лет с болезнью Крона. При КТ в коронарной проекции выявлена крупная полость абсцесса (указатели), содержащая пузырьки газа.
В прилежащих петлях тонкой кишки отмечен «симптом мишени» (стрелки). Абсцесс брюшной стенки у мужчины 47 лет с фистульно-перфорирующим подтипом болезни Крона.
При КТ в сагиттальной проекции в области передней стенки брюшной полости визуализирована полость абсцесса (стрелки), содержащая воздух.
Выявлен свищевой ход (указатель) между полостью абсцесса и прилежащей петлей тонкой кишки (звездочка). Перианальный свищ у пациента с болезнью Крона. При проведении бариевой клизмы выявлен перианальный свищ (указатель). Стрелка указывает на наружное отверстие. Фиброзно-жировая пролиферация брыжейки (звездочки) у женщины 32 лет с болезнью Крона. Выявлено разделение петель кишки. Карцинома Крона у женщины 34 лет.
(а) При КТ с контрастированием в подвздошной кишке выявлено инфильтративное образование (стрелки) с неровной поверхностью. Петля тонкой кишки, расположенная проксимальнее образования, характеризуется стратификацией стенки (симптом «мишени») (указатели).
(б) Фотография макропрепарата: язвенно-инфильтративное образование (стрелки) в подвздошной кишке. При проведении гистологического исследования установлена аденокарцинома. Отмечены гиперемия, зернистость и изъязвления слизистой оболочки прилежащей петли тонкой кишки (указатели), что было расценено как хроническая болезнь Крона в активной стадии.
Воспалительные заболевания тонкой кишки подразделяют на болезнь Крона и другие воспалительные заболевания. В узком смысле воспалительные заболевания кишечника относят к идиопатическому воспалительному заболеванию кишечника, которое имеет два основных фенотипа: болезнь Крона и язвенный колит. В то время как болезнь Крона может поражать любой отдел желудочно-кишечного тракта (ЖКТ), язвенный колит обычно ограничивается ободочной кишкой (см. главу 17). В связи с этим болезнь Крона — это основное воспалительное заболевание тонкой кишки. Однако существуют и другие воспалительные заболевания, поражающие тонкую кишку, такие как эозинофильный энтерит и реакция «трансплантат против хозяина» (РТПХ). В этой главе мы рассмотрим клинические характеристики, патофизиологию и типичные визуализационные проявления различных воспалительных заболеваний кишечника. Кроме того, мы также кратко рассмотрим преимущества и недостатки методов визуализации, которые используют в диагностике воспалительных заболеваний тонкой кишки.
а) Методы визуализации:
1. Рентгенография тонкой кишки с пассажем бария и бариевая энтероклизма. Рентгенография тонкой кишки с пассажем бария — традиционный метод диагностики заболеваний тонкой кишки, представляющий собой моноконтрастное исследование с использованием большого объема бария низкой плотности. Этот метод имеет несколько важных ограничений. Пассаж по тонкой кишке занимает длительное время, поэтому часто бывает, что ко времени исследования некоторые части петель тонкой кишки оказываются недостаточно растянутыми. Кроме того, данное исследование довольно продолжительно по времени. Бариевая энтероклизма — также традиционный метод диагностики заболеваний тонкой кишки. Производят установку назоеюнального катетера под рентгенологическим контролем, после чего контрастное вещество через катетер вводят непосредственно в тонкую кишку. Таким образом, достигают быстрого и полного растяжения петель тонкой кишки. Возможно проведение двойного контрастного исследования при помощи дополнительного введения метилцеллюлозы, что облегчает визуализацию перекрывающихся петель кишки. Однако зондирование при проведении бариевой энтероклизмы часто вызывает дискомфорт у пациентов (Herlinger, 2007).
2. КТ и КТ-энтерография. КТ (и особенно КТ-энтерография) играет важную роль в диагностике заболеваний тонкой кишки. Отличие КТ-энтерографии от стандартной КТ состоит в применении перорального контрастного вещества, а также в использовании метода тонких срезов. По сравнению с рентгенографией тонкой кишки с пассажем бария и энтероклизмой КТ имеет ряд преимуществ: она отображает всю толщу стенки кишечника и внекишечные структуры, а также позволяет визуализировать петли тонкой кишки, находящиеся в малом тазу, без эффекта наложения. Оценка всей толщи стенки кишки и состояния внекишечных образований у пациентов с воспалительными заболеваниями тонкой кишки весьма информативна для определения активности заболевания и наличия осложнений. Именно поэтому КТ-энтерография в значительной степени заменила традиционные методы диагностики воспалительных заболеваний тонкой кишки, включая рентгенографию с пассажем бария и бариевую энтероклизму. Однако необходима настороженность в отношении потенциальных рисков, связанных с ионизирующим облучением, особенно у пациентов молодого возраста (Paulsen et al., 2006; Masselli и Gualdi, 2013).
3. МР-энтерография. Поскольку болезнь Крона часто поражает людей молодого возраста, а из-за рецидивирующего течения заболевания пациенты нуждаются в неоднократном проведении исследования, необходим безопасный и неинвазивный метод визуализации, способный заменить КТ-энтерографию. За счет усовершенствования пространственной разрешающей способности, а также появления более быстрых импульсных последовательностей МРТ становится важным методом в диагностике желудочно-кишечных заболеваний. Таким образом, МР-энтерографию можно считать методом выбора для первичной оценки и дальнейшего ведения молодых пациентов с болезнью Крона. Кроме того, существует ряд современных методик, которые могут увеличивать точность МР-энтерографии: МР-энтерография с высоким разрешением, диффузионно-взвешенные изображения, МРТ с динамическим контрастированием и МР-оценка перистальтики. Однако метод МРТ продолжителен по времени, а качество МР-изображений варьирует в больших пределах, чем таковое при КТ (Leyendecker et al., 2009; Chalian et al., 2011; Yacoub и Oto, 2014).
б) Болезнь Крона. Болезнь Крона — идиопатическое рецидивирующее, захватывающее всю стенку органа воспалительное заболевание, вовлекающее весь ЖКТ от ротовой полости до ануса. Основное место поражения — тонкая кишка, вовлеченная в патологический процесс у 80% пациентов. Для болезни Крона типично прерывистое поражение различных частей ЖКТ, так называемое сегментарное поражение, а также развитие осложнений, таких как стриктуры, абсцессы и свищи. Дебют заболевания обычно приходится на возраст 15-30 лет. К клиническим проявлениям относят рецидивирующие боли в животе, диарею, лихорадку, клинические симптомы непроходимости, а также наличие крови или слизи (или и того, и другого) в кале. В связи с разнообразными и неспецифическими клиническими проявлениями, гетерогенностью состояния и разнообразным течением патологического процесса, а также присоединением осложнений, диагностика болезни Крона часто представляет сложность, как для клиницистов, так и для рентгенологов (Sahani и Samir, 2011; Baumgart и Sandborn, 2007).
1. Классификация болезни Крона, основанная на данных визуализации. Согласно радиологическим характеристикам, болезнь Крона можно подразделить на активный воспалительный, фибростенозирующий, фистульно-перфорирующий и репаративно-регенеративный подтипы (Maglinte et al., 2003).
Активный воспалительный подтип болезни Крона характеризуется воспалением с изъязвлениями, трансмуральным воспалением и утолщением стенки. На ранних стадиях визуализируют утолщенные вследствие отека и воспаления складки слизистой оболочки кишки. Кроме того, могут возникать афтоидные язвы — точечные поверхностные изолированные эрозии слизистой оболочки, окруженные небольшим венчиком отека. По мере трансмурального распространения патологического процесса может появляться отек подслизистого слоя. Афтоидные язвы могут расширяться и углубляться, приобретая вид «шипов розы», либо могут сливаться с прилежащими язвами, образуя линейные изъязвления. Длинные линейные язвы, расположенные параллельно прикреплению брыжейки,— типичные проявления болезни Крона. На поздних стадиях активного воспалительного подтипа обнаруживают глубокие продольные изъязвления и трещины. Островки сохранившейся слизистой оболочки, окруженные обширными язвами, имеют вид псевдополипов, а множественные полиповидные возвышения в свою очередь придают слизистой оболочке вид «булыжной мостовой». Активное воспаление ассоциировано с гиперемией слизистой оболочки, которую легко выявляют при помощи КТ или MFT с контрастированием.
При контрастно-усиленной КТ или МРТ визуализируют характерное проявление активного воспалительного процесса — стратификацию стенки, так называемый «симптом мишени»: слизистая оболочка с интенсивным сигналом окружена утолщенным подслизистым слоем с низкой интенсивностью сигнала вследствие отека, а также мышечным и серозным слоями с высокой интенсивностью сигнала. На Т2-взвешенных МР-томограммах отек подслизистого слоя может иметь гиперинтенсивный сигнал. Однако эти проявления неспецифичны и могут возникать при острых инфекциях и ишемии. Накопление контрастного вещества в брыжеечных лимфатических узлах, застой крови в vasa recta, указывающий на периэнтеральную гиперемию,— так называемый «симптом гребня», а также усиление сигнала от жировой клетчатки, окружающей пораженный сегмент кишки, позволяют с высокой вероятностью предполагать диагноз активного подтипа болезни Крона. Фиброзно-жировая пролиферация, или тяжистое уплотнение брыжеечной жировой клетчатки ползучего характера, которая может быть четко визуализирована при КТ или МРТ, также ассоциирована с воспалением кишечника. Она приводит к визуализационному феномену разделенных петель кишки.
Фибростенозирующий подтип характеризуется стенозом и обструкцией кишечника. Хроническое воспаление стенки кишки способствует развитию интрамурального фиброза, который приводит к образованию стриктур, в результате чего развивается кишечная непроходимость. Чаще всего обструкция возникает в терминальном отделе подвздошной кишки. При наличии стеноза необходимо отличить фиброзный стеноз от сужения просвета при активном воспалении, поскольку воспалительный стеноз можно лечить медикаментозно, в то время как обструкция кишки вследствие фиброзного стеноза подлежит хирургическому лечению. Кино-MPT может быть информативна при дифференциальной диагностике транзиторного коллапса кишки и постоянного стеноза. При фибростенозирующем подтипе на КТ- и МР-томограммах выявляют сегментарное сужение вовлеченной части кишки с соответствующим утолщением стенки и престенотическим расширением кишки. При КТ или МРТ в тонкой кишке можно визуализировать каловые массы. В отличие от воспалительного подтипа при фиброзных стриктурах отмечают минимальное и негомогенное накопление контрастного вещества, отсутствие отека подслизистого слоя и воспалительных изменений брыжейки. На Т1- и Т2-взвешенных МР-томограммах фиброзные стриктуры, как правило, гипоинтенсивны.
При фистульно-перфорирующем подтипе болезни Крона острое трансмуральное воспаление приводит к образованию свищей и перфорации. Глубокие язвы могут приводить к образованию свищевых ходов в прилежащие петли кишки или другие органы. При болезни Крона могут возникать тонкокишечно-тонкокишечный, тонкокишечно-ободочный, тонкокишечно-кожный и тонкокишечно-пузырный свищи, а наиболее часто встречаемый тип — перианальный свищ. Приблизительно у 30% пациентов с болезнью Крона свищи возникают в период дебюта заболевания или во время последующего наблюдения. Свищевые ходы могут заполняться пероральным контрастным веществом. При КТ и МРТ с контрастированием свищевые ходы обычно характеризуются интенсивным сигналом. Мультипланарная КТ- или МР-реконструкция информативна для визуализации сложных свищевых ходов и прилежащих петель кишки. При проведении МРТ в режимах HASTE (half-Fourier acquisition single-shot turbo spin-echo) и FISP (fast imaging with steady-state precession) крупные свищевые ходы имеют гиперинтенсивный сигнал вследствие их жидкого содержимого. При фистульно-перфорирующем подтипе болезни Крона возникают такие внекишечные осложнения, как абсцесс, воспаление брыжейки и вовлечение прилежащих петель кишки. Для диагностики этих осложнений информативны КТ и МРТ.
Регенеративно-репаративный подтип болезни Крона характеризуется атрофией слизистой оболочки, образованием регенеративных полипов и уменьшением диаметра просвета без признаков активного воспаления или обструкции,— так называемый «выгоревший сегмент» (Herlinger, 2007; Masselli и Gualdi, 2013; Sinha et al., 2011).
2. Карцинома Крона. Риск развития аденокарциномы у пациентов с длительно текущей болезнью Крона в 4-20 раз выше, чем в здоровой популяции. Аденокарцинома, осложняющая болезнь Крона, так называемая карцинома Крона, отличается от карциномы de novo, так как она обычно вовлекает терминальный отдел подвздошной кишки и чаще всего возникает у молодых людей. Проведение дифференциальной диагностики между карциномой Крона и фиброзной стриктурой при болезни Крона при клинической, радиологической и даже макроскопической патофизиологической оценке чаще всего затруднительно. Именно поэтому рак должен быть заподозрен в том случае, если стриктура и обструкция кишечника при болезни Крона не поддаются стандартной терапии (Sinha et al., 2011; Canavan et al., 2006).
1. КТ-энтерография и MP-энтерография играют важную роль в диагностике заболеваний тонкой кишки, особенно болезни Крона.
2. Болезнь Крона характеризуется трансмуральным воспалением стенки кишки, которое может приводить к образованию свищей и перфорации, а также прерывистым поражением ЖКТ.
3. К основным целям визуализационной диагностики при болезни Крона относят раннее выявление, определение протяженности и активности процесса, а также дифференциальную диагностику с другими причинами энтеритов и раком.
4. Большое значение имеет дифференциация фиброзного стеноза при болезни Крона от сужения просвета при активном воспалении, так как воспалительный стеноз можно лечить медикаментозное то время как обструкция кишечника вследствие фиброзного стеноза требует хирургического лечения. Стратификация стенки («симптом мишени») и застой крови в vasa recta («симптом гребня») — типичные проявления при активном воспалительном подтипе болезни Крона, выявляемые при КТ и МРТ.
5. Проведение дифференциальной диагностики между карциномой Крона и фиброзной стриктурой при болезни Крона часто бывает затруднительно.
Болезнь Крона - диагностика
Со времен первого описания болезни Крона в начале прошлого столетия существовало мнение, что оно имеет инфекционную этиологию, но это до сих пор не доказано. Есть определенная генетическая связь между некоторыми формами заболевания и мутацией гена CARD15. Функция CARD15 до настоящего времени окончательно не установлена, известно, что он модулирует реакцию клетки на бактерии. Вероятнее всего, что болезнь Крона — аномальная реакция генетически предрасположенного организма на нормальную микрофлору кишечника.
Несмотря на генетическую предрасположенность, болезнь Крона не имеет однозначной клинической картины. Ее классифицируют по анатомическому расположению, распространенности (диффузная или локализованная), характеру течения (фибростенозирующая, воспалительная, пенетрирующая), а также по потребности больного в хирургическом лечении. Большое значение имеет возраст пациента. У детей болезнь Крона может проявляться отставанием в развитии (иногда бывает единственным признаком).
При поражении тонкой кишки возникают боль в животе и диарея с небольшой примесью крови. Может наблюдаться выраженное нарушение всасывания, сопровождающееся железо-, фолат- или В12-дефицитной анемией, гипопротеинемическими отеками, утолщением концевых фаланг пальцев. Часто обнаруживают гипертермию и потерю массы тела. Воспалительный отек и фиброзные стриктуры могут вызвать непроходимость. Примерно у трети больных наблюдается поражение подвздошной кишки, у трети — ободочной кишки и еще у трети встречаются оба проявления, в 15—20% случаев от общего количества сопровождаясь поражением перианальной области.
При пальпации в правой подвздошной ямке определяется мягкое образование. Острое течение заболевания иногда напоминает острый аппендицит или иерсиниозный илеит.

а - болезнь Крона: утолщение концевых фаланг пальцев ног
б - болезнь Крона: афтозный стоматит
в - артропатия коленных суставов — выпот в супрапателлярной сумке
г - рентгенологический снимок коленного сустава пациента с болезнью Крона
Болезнь Крона ободочной кишки и аноректальной области рассмотрены в отдельных статьях (рекомендуем использовать форму поиска на сайте).
Течение болезни Крона непредсказуемое, со спонтанными ремиссиями и рецидивами. Внекишечные поражения: афтозный стоматит, узловатая эритема, гангренозная пиодермия, ирит, эписклерит связаны с активным течением заболевания. Не менее чем у одной трети больных есть неспецифическая артропатия, приблизительно у половины из них — истинный артрит с поражением небольшого количества крупных суставов в активную фазу болезни или большого количества мелких суставов вне зависимости от активности процесса.
Сакроилеит и анкилозирующий спондилит чаще связаны с язвенным колитом, хотя бывают и при болезни Крона. Свищи при болезни Крона возникают после хирургических вмешательств или спонтанно. В частности, тонкокишечно-кожный свищ чаще встречают в области послеоперационного рубца. Внутренний свищ включает любые комбинации тонкой и толстой кишки друг с другом, а также мочевым пузырем и влагалищем. Перианальный свищ рассмотрен в отдельной статье на сайте. Несмотря на то что в некоторых случаях бывает достаточно лечения азатиоприном или инфликсимабом, многие свищи требуют хирургического вмешательства.

Двусторонний сакроилеит при болезни Крона. Позвоночный столб без изменений, признаков анкилозирующего спондилита нет. Рентгенограмма таза.
При поражении подвздошной кишки уменьшение всасывания солей желчных кислот повышает литогенность желчи и предрасполагает к образованию холестериновых желчных камней. Невсосавшиеся жирные кислоты образуют в просвете кишки комплексы с кальцием, что приводит к увеличению всасывания оксалатов в толстой кишке и, в свою очередь, к образованию оксалатных камней в почках.
При болезни Крона тонкую кишку исследуют в основном рентгенологическим методом. В отдельных случаях его заменяют колоноскопией, позволяющей осматривать слизистую оболочку подвздошной кишки, и пероральной энтероскопией, которую стали применять недавно. С диагностическими целями начинают использовать капсульную эндоскопию, однако при этом всегда существует опасность, что капсула застрянет над стриктурой кишки, наличие которой не подозревали.
Патогномоничных рентгенологических признаков болезни Крона нет, изменения могут быть обусловлены другими воспалительными заболеваниями — туберкулезом кишечника, иерсиниозом. Диагноз устанавливают на основании сочетания рентгенологической картины с данными клинических, лабораторных и гистологических методов. При УЗИ диагностируют характерное утолщение кишечной стенки и изменение акустического ответа нормальных слоев, это позволяет обнаружить участки стеноза с предшествующей дилатаци-ей. Таким исследованием часто пренебрегают, несмотря на то, что оно дает ценную диагностическую информацию, и с его помощью можно выявить сопутствующие осложнения, такие, как абсцессы.

а - ирит при болезни Крона. Выраженная конъюнктивальная инфекция, гипопион.
б - терминальный илеит при болезни Крона. Илеоскопия при колоноскопии.
в - рецидив болезни Крона после резекции: поражена оставшаяся часть терминального отрезка подвздошной кишки.
г - язвы в тощей кишке при болезни Крона. Капсульная эндоскопия.
Метод компьютерной томографии в настоящее время быстро развивается и становится приоритетным при исследовании болезни Крона. Весьма вероятно, что скоро, благодаря возможности получать изображение тазовой области в разных плоскостях, видеть участки воспаления, отсутствию лучевой нагрузки на больного, МРТ при этом заболевании станет исследованием выбора. Тем не менее в большинстве случаев основным методом остается контрастное рентгенологическое исследование.

На рентгеновских снимках можно видеть незначительные изменения в кишечнике, вызванные болезнью Крона, или более явные, характерные для афтозных язв со стенозом, а также сильные изменения, имеющие на снимке вид «булыжной мостовой», картину обширных повреждений или характерную для осложненного заболевания. О болезни Крона свидетельствуют афтозные язвы, псевдодивертикулы, глубокие щелевидные язвы, чередование пораженных и непораженных участков кишки, ассиметричное поражение стенки кишки. Такие же изменения бывают при лучевом энтерите, но ему всегда предшествует абдоминальная радиотерапия (даже за много лет до возникновения энтерита).
Сочетание линейных изъязвлений с поперечными трещинами, подслизистым отеком и воспалением, формирующих картину «булыжной мостовой» с наличием стриктур и свищей, свидетельствует о болезни Крона. Изъязвление может быть ограничено несколькими поверхностными язвами среди нормальной слизистой оболочки или быть распространенным. Такие особенности наблюдают в тонкой, толстой кишке или в обеих. Поражение илеоцекального угла вызывает утолщение илеоцекального клапана с деформацией слепой кишки. Этому состоянию часто сопутствует терминальный илеит. С улучшением качества медицинской помощи классический «симптом шнурка» стал встречаться реже.

а - болезнь Крона. Отрезок подвздошной кишки сужен, стенка кишки немного утолщена (густая стрелка). Воспалительные тяжи (черная стрелка) в брыжейке тонкого кишечника. Компьютерная томография, аксиальное изображение на уровне пупка.
б - некоторое утолщение стенки двух кишечных петель (пустая стрелка). Воспалительные тяжи в брыжейке тонкого кишечника (длинная стрелка). Воспалительные тяжи в брыжейке напоминают гребень (короткая стрелка) и отражают сосудистые изменения и перилимфатическое воспаление. Компьютерная томография на уровне подвздошных гребней того же пациента, что и на рисунке (а).
в - увеличение кишечных ворсинок при болезни Крона. В дистальной части подвздошной кишки заметно пять узелков (указаны стрелкой), кишечные ворсинки увеличены из-за отека и воспалительной инфильтрации. Высокая бариевая клизма.
г - болезнь Крона терминального отрезка подвздошной кишки. Заметна длинная язва на брыжеечном крае кишки в виде тонкого углубления, заполненного барием (тонкие стрелки), окруженная отечной возвышенной рентгенопрозрачной слизистой оболочкой. Слизистая оболочка дистальной части терминального отрезка подвздошной кишки узловатая.
Илеоцекальный клапан сужен (толстая стрелка). Рентгеноконтрастное исследование с барием.
Рентгенологический метод исследования — основной для выбора хирургической тактики при абсцессах и свищах, наблюдаемых при болезни Крона. Проводят фистулографию с баллонной окклюзией свищевого хода. В зависимости от конкретного случая используют УЗИ, компьютерную томографию, магнитно-резонансное исследование, энтероскопию. Изолированное поражение пищевода, желудка и двенадцатиперстной кишки встречают крайне редко, чаще при этом в тощей кишке можно обнаружить патологические очаги, сходные с язвами верхних отделов ЖКТ, способные вызывать тяжелые осложнения.
Патологическая анатомия болезни Крона
При болезни Крона в процесс вовлекаются все слои кишечной стенки, просвет пораженных сегментов сужается, стенка кишки утолщается. В классическом варианте заболевания поражается участок на 10-20 см дистальнее подвздошной кишки. В пораженных областях наблюдаются множественные стриктуры разной длины, на слизистой оболочке — линейные изъязвления с подслизистым отеком, поднимающим непораженные участки слизистой оболочки (рентгенологическая картина «булыжной мостовой»). Макроскопически диагноз болезни Крона устанавливают при наличии чередования пораженных и непораженных участков кишки или наличия кишечных свищей.
Гистологическое исследование способствует обнаружению отдельных гранулем (по крайней мере в 50% случаев при условии достаточной площади резецированного участка) со щелевидными язвами, подслизистым фиброзом и трансмуральным воспалением. Помимо воспаления слизистой оболочки, отдельные скопления лимфоцитов проходят через стенку кишки и появляются в серозной оболочке в виде «воспалительных гранул». Макроскопическая картина — чередование пораженных и непораженных сегментов кишки; микроскопическая — очаговые изменения.

а - болезнь Крона, активная стадия. Микроскопическая картина узкой и глубокой щелевидной язвы подвздошной кишки. В зоне поражения заметна выраженная воспалительная реакция с образованием грануляционной ткани
б - болезнь Крона. Микроскопическая картина подслизистого слоя стенки подвздошной кишки. Скопление неказеозных гранулем окружено плотным инфильтратом из лимфоцитов
Неподверженные творожистому некрозу гранулемы можно обнаружить в любом месте кишечной стенки. Щелевидные язвы проникают до подслизистого слоя, а иногда и на всю толщину мышечного, чем можно объяснить формирование свищей. Однако наблюдается также и фиброзное сращение кишечных петель между собой. Стриктуры при болезни Крона возникают в результате подслизистого фиброза, удвоения и дезорганизации мышечной пластинки слизистой оболочки. Другие примеры приведены в главе 6. У больных с нормальными результатами ректороманоскопии при наличии рентгенологических признаков поражения тонкого кишечника и характерных результатов гистологического исследования прямой кишки с уверенностью диагностируют болезнь Крона.
Если при гистологическом исследовании обнаруживают гранулемы, то вероятность внекишечных проявлений выше среднего.
Редактор: Искандер Милевски. Дата обновления публикации: 18.3.2021
Рентгенограмма, КТ, МРТ, УЗИ при болезни Крона
а) Терминология:
1. Синонимы:
• Терминальный илеит, регионарный энтерит, илеоколит
2. Определение:
• Заболевание неизвестной этиологии, характеризующееся воспалением всех слоев стенки ЖКТ
б) Визуализация:
1. Общая характеристика:
• Лучший диагностический критерий:
о Дискретное сегментарное воспаление тонкой кишки, а также, возможно, толстой кишки, с интенсивным контрастным усилением слизистой оболочки, подслизистым отеком, повышенным кровенаполнением прямых сосудов:
- Обычно сочетается с наличием сгруппированных брыжеечных лимфоузлов
• Локализация:
о В любом отделе желудочно-кишечного тракта (от рта до ануса):
- Чаще всего поражаются терминальные отделы подвздошной кишки и проксимальные отделы толстой кишки
о Распределение:
- У 80% пациентов происходит поражение тонкой кишки
- У 50% имеет место илеоколит
- У 20% заболевание ограничено ободочной кишкой:
Только у 10% пациентов происходит поражение прямой кишки
• Морфология:
о Трансмуральное воспаление:
- Предрасполагает к возникновению стриктур, фистул, свищевых ходов, абсцессов
о Сегментарные, дискретные поражения
2. Рентгеноскопия при болезни Крона:
• Ранние изменения, обнаруживаемые при исследованиях с бариевой взвесью:
о Скопления бариевого контраста в центре, окруженные зоной отека, обусловливающие афтоидные язвы в виде «мишени» или «бычьего глаза»
о Сочетание продольно и поперечно ориентированных язв, что обусловливает симптом «булыжной мостовой»
о Глубокие щелевидные язвы
• Поздние изменения при рентгеновских исследованиях с бариевым контрастом:
о Чередование патологически измененных и не измененных участков кишечника
о Выпячивания в виде мешка со стороны противобрыжеечно-го края
о Поствоспалительные псевдополипы, отсутствие гаустр, интрамуральный абсцесс
о Симптом «струны»: резкое сужение просвета и стриктура подвздошной кишки
о Критериями заболевания являются свищевые ходы, трещины, фистулы
о Патологические изменения аноректальной области: язвы, трещины, абсцессы, геморрой, стеноз
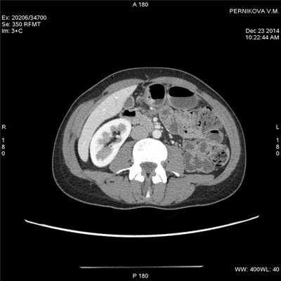
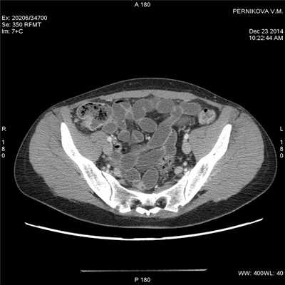
(Слева) На КТ, выполненной мужчине 37 лет с обострением хронической симптоматики (боль в животе и диарея), определяется растяжение некоторых сегментов проксимальных отделов тонкой кишки.
(Справа) На КТ у этого же пациента определяется большее количество растянутых петель тонкой кишки, слизистая оболочка которых интенсивно накапливает контраст на фоне подслизистого отека. Визуализируются также группы умеренно увеличенных лимфатических узлов брыжейки (Слева) На КТ у этого же пациента визуализируются два сегмента воспаленной тонкой кишки, разделенные неизмененными участками - классические «прерывистые» поражения при болезни Крона. Обратите внимание на полнокровные прямые сосуды, кровоснабжающие более дистальные отделы воспаленного кишечника.
(Справа) На КТ у этого же пациента визуализируются другие сегменты воспаленного кишечника с контрастным усилением слизистой оболочки, утолщением стенки и сужением просвета. (Слева) На реформатированной корональной КТ у этого же пациента визуализируются отдельные сегменты воспаленной кишки наряду с брыжеечной лимфаденопатией и выбухающими кровеносными сосудами.
(Справа) На корональной КТ у этого же пациента визуализируются воспаленные сегменты кишечника определяется также брыжеечная лимфаденопатия. Диагноз болезни Крона был подтвержден при колоноскопии и биопсии терминальных отделов подвздошной кишки.
3. КТ при болезни Крона:
• Острая фаза (без рубцевания):
о Утолщение и стратификация стенки отдельных сегментов тонкой кишки:
- Симптом «мишени» или «двойного гало»
- Гиперденсное (после введения контраста) внутреннее кольцо (слизистая оболочка)
- Гиподенсное среднее кольцо (подслизистый отек)
- Наружное кольцо мягкотканной плотности (мышечная пластинка и серозная оболочка)
о Симптом «гребня»: переполненные кровью прямые сосуды:
- Интенсивно кровоснабжающие воспаленные сегменты тонкой кишки
о Пролиферация брыжеечного жира и лимфаденопатия
- Лимфоузлы редко имеют размер больше одного сантиметра в диаметре
• Хроническая фаза (с образованием рубцов):
о Сужение просвета с возможной дилятацией проксимальных отделов тонкой кишки
о Отсутствие разделения стенки кишки на отдельные слои, нечеткость слизистой оболочки, подслизистой основы, мышечной пластинки:
- Также может иметь место альтернативный вариант: пролиферация подслизистой жировой ткани с сохранением стратификации
о Абсцессы, фистулы, свищевые ходы:
- Фистула соединяет две эпителизированные поверхности (например, один сегмент кишечника с другим; либо с мочевым пузырем, влагалищем, кожей)
- Свищевые ходы являются слепыми (соединяют, например, кишечник и абсцесс)
о Изменения со стороны брыжейки: абсцессы, фиброзно-жировая пролиферация, легкое увеличение лимфоузлов
о Заболевание перианальной области характеризуется возникновением фистул и свищевых ходов
4. МРТ при болезни Крона:
• МРТ с контролем дыхания, жироподавлением, использованием контраста на основе гадолиния позволяет обнаружить распространенность и выраженность воспаления:
о При остром воспалении определяется контрастное усиление слизистой оболочки, подслизистый отек, повышенное кровенаполнение прямых сосудов
• МРТ дает возможность оценки в реальном времени перистальтики сегментов кишки, которые подозрительны как патологически измененные
• МРТ является чувствительным методом, позволяющим обнаружить и охарактеризовать фистулы, свищевые ходы, абсцессы при перианальной локализации болезни Крона
• Диффузионно-взвешенная МРТ позволяет выявить активное воспаление даже без внутривенного контрастирования
5. УЗИ при болезни Крона:
• Серошкальное УЗИ:
о Трансректальная сонография:
- Утолщение стенки, абсцессы, фистулы
6. Другие методы диагностики:
• Для оценки толстой кишки лучше всего подходит колоноскопия:
о При колоноскопии часто имеется возможность осмотра и взятия биоптата из терминальных отделов подвздошной кишки
• Капсульная эндоскопия обычно используется в дополнение к методам лучевой диагностики:
о Значение исследования после отрицательных результатов КТ-и МР-энтерографии не доказано
о Противопоказана пациентам со стриктурами тонкой кишки
7. Рекомендации по визуализации:
• Лучший метод диагностики:
о КТ- или МР-энтерография (МПР):
- С растяжением кишечника водой, либо, возможно, нейтральным контрастным веществом (например VoLumen)
- С болюсным внутривенным введением контраста со скоростью 3-4 мл в секунду
- С использованием низкодозовых протоколов в случае КТ (например, итеративной реконструкции) с целью уменьшения лучевой нагрузки
о Бариевая клизма, энтероклизма:
- Могут использоваться для визуализации стриктур и фистул
о МРТ при поражении перианальной области и прямой кишки
(Слева) На корональной Т2 ВИ МР томограмме у пациентки, которой по поводу болезни Крона была выполнена резекция илеоцекальной области, и возник рецидив симптоматики, определяется утолщение стенки петель тонкой кишки, из которых была реконструирована терминальная часть подвздошной кишки, где часто возникает рецидив заболевания.
(Справа) На корональной Т1 взвешенной МР томограмме с сатурацией жира у этой же пациентки определяется выраженное контрастное усиление слизистой оболочки пораженных сегментов. Прилежащие отделы тонкой и ободочной кишки накапливают контраст не так интенсивно. (Слева) На КТ, выполненной женщине 52 лет, страдающей хроническим колитом, обусловленным болезнью Крона, недав -но осложнившейся рецидивной инфекцией мочевыделительной системы, определяется воспаление сигмовидной кишки, выраженное в значительной степени, а также воспалительные изменения брыжейки.
(Справа) На КТ у этой же пациентки визуализируются внепросветные скопления газа и жидкости, расположенные между ободочной кишкой, маткой и верхушкой мочевого пузыря. (Слева) На КТ у этой же пациентки определяется выраженное утолщение стенки мочевого пузыря наряду с наличием газа и дебриса в его просвете.
(Справа) На рентгенограмме, полученной при ретроградной цистографии (с введением контрастного вещества в мочевой пузырь), определяется утечка контраста в сигмовидную кишку через свищевой ход фистулы являются ключевой находкой, обусловленной трансмуральным воспалением при болезни Крона.
в) Дифференциальная диагностика болезни Крона:
1. Язвенный колит (ретроградный илеит):
• Поражение являются непрерывным и практически всегда затрагивает прямую кишку:
о Патологические изменения терминальных отделов подвздошной кишки имеют место менее чем в 25% случаев
• Обычно не происходит поражения всех слоев стенки кишки:
о Фистулы, абсцессы и стриктуры встречаются намного реже
• У 10-15% пациентов имеется «неявный» колит:
о Поскольку признаки болезни Крона и язвенного колита перекрываются
2. Мезаденит и энтерит:
• Распространенная причина боли в нижних отделах живота справа у детей и подростков
• Увеличение брыжеечных лимфоузлов, утолщение стенки подвздошной кишки
• Разрешается обычно самостоятельно в течение 2-4 дней
3. Инфекционный илеит или колит:
• Оппортунистические инфекции: микобактериальная, цитомегаловирусная инфекция (ЦМВ), криптоспоридиоз
• Заболевание, обусловленное микобактериями туберкулеза:
о Чаще всего поражается илеоцекальная область: трансмуральное воспаление, стеноз, формирование фистул
• Криптоспоридиоз:
о Чаще всего обусловливает энтерит у пациентов со СПИДом
о Утолщение складок и стенки кишки, увеличение количества жидкости в просвете
• ЦМВ:
о Терминальный илеит, неотличимый от болезни Крона
4. Лучевой энтерит:
• Возникает в результате лучевой терапии либо чрезмерного облучения области живота
• Обычно поражаются петли тонкой кишки в области таза, а также прямая кишка
• Происходит утолщение стенки кишки и сужение ее просвета
• Возможно образование стриктур, фистул, свищей, которые могут имитировать болезнь Крона
5. Лимфома:
• Чаще всего происходит поражение ЖКТ при неходжкинской лимфоме:
о Узловые, полиповидные образования инфильтративного характера
о Ограниченное инфильтративное поражение терминальных отделов подвздошной кишки:
- Аневризматическая дилатация просвета
- Утолщение стенки кишки, которая принимает вид «сосиски», с плотностью, соответствующей мягким тканям
о Брыжеечные и забрюшинные лимфоузлы большого размера (>1 см)
(Слева) На рентгенограмме, полученной при исследовании пассажа бариевой взвеси у женщины 24 лет с хронической болезнью Крона, визуализируются выраженные стриктуры тонкой кишки, фистулы и язвы с наличием сохранных участков.
(Справа) На рентгенограмме, выполненной во время исследования пассажа бариевой взвеси у пациента 37 лет с болезнью Крона, определяется симптом струны, выраженное сужение просвета терминальных отделов подвздошной кишки и восходящей ободочной кишки. Обратите внимание на свищевой ход и наличие непрямых признаков фиброзно-жировой пролиферации брыжейки, из-за чего терминальные отделы подвздошной кишки оказываются «отделенными» от других отделов кишечника. (Слева) На аксиальной КТ с контрастным усилением, выполненной женщине 48 лет, у которой в последнее время наблюдалось снижение веса, а также появилась диарея, определяется сегментарное утолщение стенки тонкой кишки из-за отложения большого количества жира в подслизистом слое, что указывает на хронический воспалительный процесс. Неэпителизированные фистулы соединяют один сегмент кишки с другими.
(Справа) На корональной КТ с контрастным усилением у этой же пациентки вновь определяются неэпителизированные фистулы между отдельными сегментами кишечника. (Слева) На корональной КТ с контрастным усилением, выполненной мужчине, страдающему болезнью Крона в хронической фазе, у которого внезапно появилась лихорадка и начал снижаться вес тела, определяется активное воспаление короткого сегмента тонкой кишки с наличием контрастного усиления слизистой оболочки и подслизистого отека.
(Справа) На КТ у этого же пациента визуализируется сегмент тонкой кишки в виде «сосиски», с утолщенной стенкой, имеющей мягкотканную плотность, что подозрительно на опухоль. После резекции подтвердилась лимфома тонкой кишки — редкое, но распознаваемое осложнение, возникающее при болезни Крона или вследствие приема стероидных гормонов и иммуномодуляторов.
г) Патология:
1. Общая характеристика:
• Этиология:
о Достоверно неизвестна; возможные этиологические факторы:
- Иммунные: антитела и клеточный иммунный ответ
- Пищевые, гормональные, сосудистые
- Экзогенные, инфекционные, психологические
• Генные изменения
о Семейная предрасположенность
о Часто у монозиготных близнецов и полусибсов
о Полигенное наследование признаков
• Ассоциированные патологические изменения:
о Артрит, желчекаменная болезнь, склерозирующий холангит, увеит, анкилозирующий спондилит, артериальный и венозный тромбоз
2. Макроскопические и хирургические особенности:
• Часто обнаруживаются «прерывистые» поражения
• Отек, воспаление, фиброз, сужение просвета
• Спайки, фистулы, трещины, стриктуры
3. Микроскопия:
• Воспаление всех слоев стенки, лимфоидные скопления, неказеозные гранулемы
д) Клинические особенности:
1. Проявления болезни Крона:
• Наиболее частые признаки/симптомы:
о Диарея, боль, мелена, снижение веса, лихорадка
о Мальабсорбция, трещины и фистулы в перианальной области
2. Демография:
• Возраст:
о 15-25 лет (небольшой пик наблюдается также в 50-80 лет)
• Этническая принадлежность:
о Чаще у европейцев и евреев
• Эпидемиология:
о В связи с курением заболеваемость увеличивается в четыре раза
3. Течение и прогноз:
• Осложнения: фистулы, свищевые ходы, токсический мегаколон, обструкция, перфорация
• Прогноз:
о Для болезни Крона характерно чередование периодов обострения симптоматики и ремиссий
о В 10-20% случаев после первого периода обострения характерно бессимптомное течение
о Более чем в 50% случаев в течение десяти лет после дебюта заболевания возникают стриктуры либо пенетрация (абсцессы, фистулы)
о Частота рецидивирования после оперативного лечения составляет 30-53% (преимущественно со стороны проксимальной части анастомоза)
• Заболевание само по себе и терапия предрасполагают к образованию лимфомы кишечника
4. Лечение болезни Крона:
• Эндоскопическая биопсия с целью установления диагноза
• Консервативная терапия:
о Стероидные гормоны, азатиоприн, мезаламин
о Биологические агенты и иммуномодуляторы, например, ингибиторы фактора некроза опухоли:
- Позволяют эффективно контролировать болезнь Крона, однако предрасполагают к возникновению оппортунистических инфекций
• Хирургическое лечение:
о Резекция патологически измененных отделов кишечника (со стриктурами, фистулами)
е) Диагностическая памятка. Следует учесть:
• Сопутствующие изменения (холангит, артрит)
Читайте также:
- Сонный гломус. Сонный клубочек. Внутренняя сонная артерия. Наружная сонная артерия. Топография наружной сонной артерии. Ветви наружной сонной артерии.
- Оборотная сторона тромболизиса. Влияние тромболизиса на смертность
- Локализация опухолей индуцированных радиацией. Особенности радиационного канцерогенеза
- Рентгенограмма, КТ, МРТ при лимфоме кости
- Диагностика токсического и метаболического поражения головного мозга
