Саркома жевательного пространства - лучевая диагностика
Добавил пользователь Евгений Кузнецов Обновлено: 30.01.2026
Понятие «саркомы мягких тканей» объединяет большое количество новообразований, различных по клиническим и морфологическим признакам. В связи с небольшим числом случаев заболеваний, разнообразием гистологических вариантов и локализацией сарком мягких тканей, определяющих биологическое поведение, клиническое течение и особенности лечения, все пациенты с данным заболеванием должны концентрироваться в отделении, занимающимся лечением сарком.
Что такое саркомы?
Саркомы мягких тканей – это злокачественные новообразования, которые возникают из мягких тканей. Они объединяются в одну группу ввиду сходства их гистопатологических характеристик и клинических проявлений, а также течения опухолевого процесса. Часто рецидивируют с ранним появлением гематогенных метастазов.
Статистика
0,2–2,6% — занимают в структуре онкозаболеваний злокачественные опухоли мягких тканей.
Локализация, % от всех случаев
Конечности — до 60%, в том числе руки — 46%, 13% – ноги.
Голова и шея — 5-10%
Забрюшинное пространство – 13-25%.
Классификация
Выделяют опухоли и опухолеподобные образования следующих тканей и структур:
- фиброзной
- жировой
- мышечной
- лимфоидной
- синовиальной
- мезотелия
- кровеносных сосудов
- плюрипотентной мезенхимы
- эмбриональных структур.
Кроме этого рассматривают опухоли экстрагонадного зародышевого происхождения, опухоли неясного гистогенеза и неопухолевые или сомнительные опухолевые поражения.
Этиология и патогенез
Причины появления сарком мягких тканей не выявлены. Факторы, повышающие риск развития этой патологии:
- Болезнь Педжета (деформирующий остоз);
- Болезнь Рекленгхаузена (нейрофиброматоз);
- Синдром Гарднера (диффузный полипоз толстой кишки);
- Синдром Вернера (множественный эндокринный аденомтаоз);
- Прием анаболических стероидов.
Клиническое течение злокачественных опухолей мягких тканей характеризуется вариабельностью.
К общим признакам сарком мягких тканей относят частые местные рецидивы. Почему саркомы часто рецидивируют? Это объясняют следующими причинами:
- Отсутствие истинной капсулы;
- Склонность к инфильтративному росту;
- Мультицентричный рост.
Клинические симптомы сарком мягких тканей
Симптомы зависят от локализации опухоли. Чаще всего больные обращаются к врачу, обнаружив у себя безболезненную опухоль.
Выраженный болевой синдром наблюдается при поражении надкостницы и кортикального слоя кости, а также при сдавлении опухолью нервных стволов. Присоединение неврологической симптоматики и сосудистых расстройств возможно при сдавлении или прорастании опухолью магистральных сосудов и нервов.
Диагностика сарком мягких тканей
Диагностические исследования включают в себя:
— Осмотр опытного специалиста, врача-онколога; На фото можно увидеть, как выглядит саркома мягких тканей:





— Рентгенологическое исследование. Позволяет визуализировать тень опухоли, деформацию прилежащих к опухоли фасциальных перемычек, выявить изменения в костях;
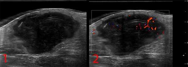
— УЗИ опухолей мягких тканей. Это метод диагностики как первичного очага, так и поражения региональных зон. Позволяет определить границы опухоли, связь с окружающими органами, структуру опухоли;

Рисунок №1. Саркома мягких тканей бедра. УЗ-картина в серошкальном и сосудистом режимах визуализации
— КТ первичной опухоли, органов грудной клетки и брюшной полости;
— МРТ первичной опухоли

Рисунок №2. Саркома мягких тканей верхней трети левого бедра
— Морфологическая верификация (пункционная биопсия, трепан-биопсия) является самым важным методом диагностики.
После получения результатов осмотра, лабораторной и инструментальной диагностики врач-онколог определяет тактику ведения пациента, согласно современным рекомендациям.
Общие принципы лечения сарком мягких тканей
Лечение сарком мягких тканей должно быть многокомпонентным. Для определения тактики лечения пациента собирается консилиум врачей.
Основной метод:
Дополнительные методы:
Предоперационная лучевая терапия в комбинации с хирургическим лечением позволяет снизить количество рецидивов за счет снижения злокачественного потенциала опухоли и уменьшение ее объема.
Применяется интраоперационная лучевая терапия, т.е. облучение опухоли во время операции с целью подавления субклинических очагов и наращивания лучевой дозы.
В комбинации с хирургическим лечением также применяется химиотерапия. Была отмечена тенденция к улучшению показателей выживаемости, однако данный метод не считается стандартом в лечении сарком мягких тканей.
Лечение после операции
Послеоперационная лучевая терапия выполняется с целью предупреждения развития рецидивов и диссеминирования заболевания.
Химиотерапия является основным методом лечения диссеминированного процесса при мягкотканых саркомах.
Саркома мягких тканей — прогноз выживаемости
Прогностические факторы тесно связаны со стадией болезни, радикализмом операции и морфологическим типом опухоли.
Процент выживаемости при саркомах мягких тканей зависит от размера опухоли, глубины поражения, степени злокачественности. Также очень важен такой фактор, как ответ опухоли на специальное лечение.


Авторская публикация:
ГАФТОН ИВАН ГЕОРГИЕВИЧ
врач-онколог
НИИ онкологии им Н.Н. Петрова
Что вам необходимо сделать
Если вы хотите узнать побольше о бесплатных возможностях ФБГУ НМИЦ онкологии им. Н.Н. Петрова Минздрава России, получить очную или заочную консультацию по диагностике и лечению, записаться на приём, ознакомьтесь с информацией на официальном сайте.
Если вы хотите общаться с нами через социальные сети, обратите внимание на аккаунты в ВКонтакте и Одноклассники.
Если вам понравилась статья:
- оставьте комментарий ниже;
- поделитесь в социальных сетях через удобные кнопки:
Публикации по теме:
Методами терапии детей и подростков с мягкотканными саркомами и редкими опухолями мягких тканей являются операция ?, лучевая терапия ?, химиотерапия ?, либо комбинация этих видов лечения.
Набор методов лечения в том или ином случае зависит от анамнеза пациента и его особенностей, тактика лечения определяется лечащим врачом или консилиумом и является индивидуальной.
Саркома жевательного пространства - лучевая диагностика
Хондросаркома жевательного пространства - лучевая диагностика
а) Терминология:
• Хондросаркома (ХС) жевательного пространства (ЖП)
б) Визуализация:
• Мягкотканное новообразование жевательного пространства, в нижней челюсти или возле нее, накапливает контраст и характеризуется различной степенью кальцификации
• Чаще всего возникает в области моляров и тела нижней челюсти
• Может распространяться вниз из вышележащих отделов, например, основания черепа или височно-нижнечелюстного сустава
• КТ в костном окне:
о Образование пониженной плотности ± участки отложения кальция
о Отложения кальция в виде колец и полуколец: низкая степень злокачественности
о Неоднородные отложения кальция или его отсутствие: высокая степень злокачественности
• МРТ:
о Опухоли высокой степени злокачественности интенсивнее накапливают контраст на Т1ВИ с контрастированием
о Неоднородное накопление контраста (на периферии)
о Прорастание в костные ткани лучше оценивать на Т1ВИ без контрастирования
о На Т2 ВИ интенсивность сигнала обычно высокая:
- Экстраоссальные хондросаркомы обычно имеют сигнал промежуточной интенсивности
- Для эксраоссальных хондросарком также характерны участки потери сигнала
(Слева) При МРТ Т1ВИ в аксиальной проекции определяется объемное образование с сигналом промежуточной интенсивности, которое деформирует жевательное пространство и смещает кпереди заднюю стенку левой верхнечелюстной пазухи. Во всех последовательностях видны небольшие участки низкой интенсивности сигнала, которые представляют собой кальцификаты.
(Справа) МРТ Т2ВИ в аксиальной проекции, этот же пациент. Новообразование имеет гиперинтенсивный сигнал, характерный для опухолей хрящевой ткани. (Слева) МРТ Т1ВИ с КУ, аксиальная проекция, этот же пациент. Образование имеет неоднородную структуру и интенсивно накапливает гадолиний.
(Справа) КТ с КУ в аксиальной проекции, костное окно, этот же пациент. Определяется крупное новообразование, в толще которого «рассеяны» кальцификаты, образующие кольца и арки. Это типичные хрящевые кальцификаты. Наличие кальцификатов обычно говорит о низкой степени злокачественности опухоли.
в) Дифференциальная диагностика:
• Инфекционные процессы жевательного пространства
• Синовиальный хондроматоз височно-нижнечелюстного сустава
• Одонтома
• Оссифицирующая фиброма нижней челюсти
• Фиброзная дисплазия нижней челюсти
• Остеосаркома нижней челюсти
г) Диагностическая памятка:
• В жевательном пространстве инфекционные заболевания встречаются гораздо чаще, чем саркомы:
о При отсутствии отложений Са++ в первую очередь следует думать об инфекционном процессе
• Всех больных с объемным образованием жевательного пространства следует отслеживать до полного разрешения процесса, чтобы убедиться в том, что образование не является саркомой
а) Терминология:
1. Синонимы:
• Саркома жевательного пространства (СаЖП)
• Другие саркомы: рабдомиосаркома, лейомиосаркома, саркома Юинга, синовиальная саркома, липосаркома, фибросаркома
2. Определение:
• СаЖП: злокачественная опухоль мягких тканей (жировой, мышечной, нервной; суставов, кровеносных сосудов, глубоких слоев кожи) в жевательном пространстве (ЖП) надподъязычной области шеи
б) Визуализация:
1. Общая характеристика:
• Лучший диагностический критерий:
о Агрессивная, плохо отграниченная опухоль ЖП с деструкцией кости и инвазией соседних фасциальных пластинок/про-странств
• Локализация:
о ЖП; часто распространяется за пределы ЖП
• Размер:
о Часто большой (> 4 см) несмотря на поверхностное расположение ЖП
• Морфология:
о Расплывчатые ± бугристые контуры

(Слева) На аксиальной КТ с КУ в жевательном пространстве справа визуализируется злокачественная фиброзная гистиоцитома нижней челюсти в виде минимально контрастирующегося солидного объемного образования, разрушающего ветвь и тело нижней челюсти. Жевательное пространство является известным местом возникновения сарком глубоких областей ли ца.
(Справа) На аксиальной КТ с КУ у этого же пациента визуализируется опухоль в жевательном пространстве справа, приводящая к обширной деструкции нижней челюсти. Обратите внимание на асимметрию лица на стороне поражения.
2. КТ при саркоме жевательного пространства:
• КТ с КУ:
о Вариабельная картина контрастирования:
- Обычно неоднородное
• КТ в костном окне:
о Инвазивная опухоль в ЖП с деструкцией нижней челюсти, скуловой дуги или крыловидной пластинки
о В любой саркоме может наблюдаться продукция костной ткани или обызвествление:
- Преимущественно в остеосаркоме, хондросаркоме, синовиальной саркоме, саркоме Юинга
• КЛКТ:
о Метод аналогичен КТ в костном окне; ниже разрешающая способность для мягких тканей
о Иногда единственным признаком является воздействие на окружающую костную ткань (напр., периостальная реакция)
3. МРТ при саркоме жевательного пространства:
• Т1 ВИ:
о Изо- или гиперинтенсивный сигнал (часто неоднородный) относительно нормальных мышц
о Замещение нормального жирового сигнала при поражении нижней челюсти
• Т2 ВИ:
о Неоднородный гиперинтенсивный сигнал относительно мышц
• STIR:
о Неоднородный гиперинтенсивный сигнал по сравнению с мышцами
• Т1 ВИ С+:
о Типичное неравномерное контрастное усиление
4. Сцинтиграфия:
• Остеосцинтиграфия:
о Вспомогательный метод: остеосцинтиграфия с Тс-99m
• ПЭТ:
о Накопление F18 ФДГ
о Играет роль в планировании биопсии, прогнозировании степени злокачественности опухоли, оценке ответа на терапию
5. Рекомендации по визуализации:
• Лучший метод визуализации:
о Тонкосрезовая КТ в костном окне в сочетании с MPT (Т1 ВИ С+):
- МРТ для оценки мягких тканей, возможной инвазии нижней челюсти, периневрального распространения опухоли вдоль ЧМН V3
- КТ в костном окне для оценки матрикса саркомы ± деструктивных изменений костей

(Слева) На аксиальной МРТ (Т1 ВИ C+) в жевательном пространстве визуализируется лейомиосаркома высокой степени злокачественности, неравномерно накапливающая контраст и поражающая нижнюю челюсть. Большинство типов сарком жевательного пространства сложно дифференцировать в отсутствие костного или хондроидного матрикса.
(Справа) На корональной МРТ (Т1 ВИ С+ FS) у этого же пациента визуализируется контрастирующаяся опухоль с интракраниальным распространением через овальное отверстие а и поражением кавернозного синуса.
в) Дифференциальная диагностика саркомы жевательного пространства:
1. Венозная мальформация жевательного пространства:
• Многокамерное объемное образование с вероятными участками «выпадения» сигнала и кальцинатами (флеболитами)
2. Абсцесс жевательного пространства:
• Скопление жидкости в ЖП, окруженное контрастирующимся ободком ± остеомиелит нижней челюсти
3. Остеомиелит нижней челюсти:
• Деструкция кости без формирования остеоида
• Может обнаруживаться секвестрация
• Возможна линейная периостальная реакция
4. Инвазивный плоскоклеточный рак:
• Плоскоклеточный рак (ПКР) небной миндалины:
о Опухоль небной миндалины с инвазией подлежащего ЖП
• ПКР позадимолярного треугольника:
о Опухоль небной миндалины с инвазией ЖП
5. Периневральная опухоль ЧМН V3 в жевательном пространстве:
• ПКР кожи подбородка, первичный ПКР полости рта или ротоглотки
• Злокачественная опухоль, распространяющаяся вдоль ЧМН V3 в ЖП
6. Метастазы в нижней челюсти:
• Агрессивные деструктивные изменения костей
• Отсутствие периостальной реакции или кальцинатов в опухоли

(Слева) На аксиальной МРТ (Т1ВИ) в жевательном пространстве визуализируется саркома Юинга в виде огромного объемного образования с гиперинтенсивным относительно мышц сигналом. Ветвь нижней челюсти разрушена, на этом изображении виден лишь ее мелкий фрагмент. Полоска окологлоточного жира смещена кнутри.
(Справа) На аксиальной МРТ (Т2ВИ FS) у этого же пациента определяется неоднородный сигнал крайне высокой интенсивности в опухоли. Хорошо различимый заглоточный лимфоузел слева является случайной находкой.
г) Патология:
1. Общая характеристика:
• Этиология:
о Ионизирующее излучение (ЛТ), преимущественно по поводу других опухолей:
- Обусловливает - Среднее время между ЛТ и выявлением саркомы - 10 лет
о Наследственность:
- Синдром Гарднера: риск десмоидных опухолей (фибросаркомы низкой степени злокачественности) в брюшной полости
- Синдром Ли-Фраумени: повышенный риск развития мягкотканных и костных сарком
- Ретинобластома (врожденная форма): повышенный риск развития сарком мягких тканей и костей
о Повреждение лимфоузла:
- Лимфангиосаркомы редко обнаруживаются после лимфодиссекции или в поле облучения
• Генетика:
о В мягкотканной саркоме часто встречаются мутации ДНК
2. Стадирование, градации, классификация саркомы жевательного пространства:
• Гистологическая градация:
о G1: микроскопически нормальная ткань (медленный рост)
о G2: ткань, микроскопически напоминающая нормальную (несколько более быстрый рост)
о G3: ткань, микроскопически лишь слегка напоминающая нормальную (более быстрый рост)
о G4: микроскопически патологическая ткань (наиболее быстрый рост)
• Стадия Т:
о T1: опухоль о T2: опухоль >5 см:
- а: поверхностная опухоль
- b: глубокая опухоль
• Анатомические стадии/прогностические группы АОКР:
о Стадия IA: G1—2, T1(а или b), N0, M0
о Стадия IB: G1-2, T2a, N0, M0
о Стадия IIA: G1-2, T2b, N0, M0
о Стадия IIB: G3-4, T1 (a или b), N0, M0
о Стадия IIC: G3-4, T2a, N0, M0
о Стадия III: G3-4, T2b, N0, M0
о Стадия IVA: любая G, любая Т, N1, M0
о Стадия IVB: любая G, любая Т, любая N, M1
3. Макроскопические и хирургические особенности:
• Патоморфологические изменения зависят от типа саркомы
• Неоднородная опухоль с оссифицированным (желтовато-белым, твердым) или неоссифицированным (мягким, цвета загара, с очагами кровоизлияний ± некроз) компонентом
• Периостальная реакция: пластинки вновь сформированной кости на периферии опухоли
4. Микроскопия:
• Опухоли низкой степени злокачественности:
о Малое количество фигур митоза, минимальная клеточная атипия (если присутствует), относительно неинфильтративная картина роста
• Опухоли высокой степени злокачественности:
о Выраженная клеточная атипия, гиперхроматизм, плеоморфизм ядер, инфильтративная картина роста
д) Клинические особенности:
1. Проявления:
• Типичные признаки/симптомы:
о Увеличивающееся мягкотканное объемное образование в области нижней челюсти, нарастание боли
о Другие признаки/симптомы:
- Дефицит ЧМН (онемение, паралич жевательной мышцы) часто сопровождает поражение основания черепа
2. Демография:
• Возраст:
о Средний возраст: 35 лет
• Пол:
о М:Ж = 2:1
• Эпидемиология:
о 8000 новых случаев в год (в США)
3. Течение и прогноз:
• Стадия I: пятилетняя выживаемость: 99%; рецидив: 20%
• Стадия II: пятилетняя выживаемость: 80%; рецидив: 35%
• Стадия III: пятилетняя выживаемость: 50%; рецидив: 65%
• Стадия IVB: пятилетняя выживаемость: 10%
4. Лечение:
• При планировании лечения важно учитывать локализацию саркомы, ее патоморфологию и стадию TNM:
о Обычно рекомендуется мультимодальный подход
• Стадия I: хирургическое удаление; в сочетании с ЛТ в случае наличия опухоли в крае резектата:
о ЛТ может использоваться как основной метод при нерезекта-бельных опухолях (например, в случае обрастания жизненно важных структур)
• Стадия II: хирургическое лечение (эксцизия) с захватом 2 см здоровых тканей от края опухоли:
о Часто в сочетании с пред- и послеоперационной ЛТ, реже с химиотерапией
• Стадия III: оперативное лечение и ЛТ, часто в сочетании с химиотерапией, для снижения уровня рецидивов
• Стадия IV: оперативное лечение и ЛТ, хирургическое удаление метастазов
• Исследуются экспериментальные методы лечения, такие как иммунотерапия интерлейкином-2
• В нетипичных случаях используется адъювантная химиотерапия
• При рецидивирующей рабдомиосаркоме применяется радиочастотная абляция
е) Диагностическая памятка:
1. Следует учесть:
• В отсутствие известной злокачественной опухоли (системной; головы и шеи) или симптомов сепсиса (абсцесс ЖП) наличие объемного образования в ЖП позволяет заподозрить саркому
• Деструкция нижней челюсти ± периневральное распространение опухоли по ходу ЧМН V3 к основанию черепа: подозрительные лучевые признаки саркомы
2. Советы по интерпретации изображений:
• КТ или МРТ при подозрении на злокачественную опухоль в ЖП:
о Тщательно исследуйте нижний альвеолярный канал, подбородочное отверстие, овальное отверстие, и другие отделы ЧМН V3 на предмет периневрального распространения опухоли
Деньгина Наталья Владимировна
Заведующая радиологическим отделением ГУЗ «Областной клинический онкологический диспансер», директор Центра лучевой терапии «R-Spei», член правления RUSSCO, главный редактор Газеты RUSSCO и сайта RosOncoWeb, кандидат медицинских наук, Ульяновск
Весьма гетерогенная группа опухолей мезенхимального происхождения – саркомы – в настоящее время насчитывает около 50 различных гистологических подтипов, которые традиционно подразделяются на две обширные группы: мягкотканные саркомы и остеосаркомы. Встречаются они относительно редко, в пределах 1% от всех злокачественных новообразований у взрослых. По этой причине число крупных рандомизированных исследований по данной проблеме невелико, периоды времени, необходимые для набора пациентов и получения отдаленных результатов, весьма продолжительны, а потому любое исследование, способное продемонстрировать оптимальные пути лечения больных с подобной патологией, воистину на вес золота.
Стандартом лечения взрослых пациентов всегда был и остается хирургический метод, причем только радикальная, зачастую калечащая операция позволяет добиться минимального риска локального рецидива (по данным разных авторов, 0-18%). Органосохраняющее оперативное лечение, подразумевающее максимальное удаление опухоли с хорошим запасом (1 см и более) в пределах здоровых тканей, способствует сохранению качества жизни больного, но риск локального рецидива без дополнительного лечения в этом случае значительно выше (25-60%). Зачастую в силу определенных анатомических особенностей локализации опухоли полное и радикальное удаление ее без пожертвования критическими структурами (нервными стволами, крупными кровеносными сосудами и т.д.) оказывается невозможным. Если в зоне резекции остается некий микроскопический либо видимый объем опухоли или изначально на момент диагностики опухоль оказывается нерезектабельной, это подразумевает крайне высокий риск локального рецидива (42-93%). В этих ситуациях речь наверняка пойдет о проведении лучевой терапии с целью улучшения результатов локального контроля.
В настоящее время основными показаниями к проведению послеоперационной лучевой терапии при саркомах мягких тканей являются следующие:
- Все случаи глубокого расположения опухолей
- Все опухоли высокой степени злокачественности
- Опухоли умеренной степени злокачественности размером более 5 см
- Опухоли низкой степени злокачественности при:
- позитивном или близком крае резекции (
- локальных рецидивах после широкого иссечения,
- «неудобной» локализации опухоли, подразумевающей, что повторное иссечение невозможно.
В научной литературе статей, посвященных роли лучевой терапии в лечении сарком, немного. Многие поколения представителей этой специальности воспитаны на постулате о высокой радиорезистентности сарком. Тем не менее, метод использовался достаточно регулярно, особенно на этапе адъювантного лечения. Более того, отдельные данные об эффективности действия ионизирующего излучения на очаги сарком, в том числе и метастатические, известны еще с 60-х годов прошлого века.
К началу нового века наиболее популярная тактика ведения больных с резектабельными мягкотканными саркомами высокой степени злокачественности заключалась в органосохраняющем оперативном лечении с последующей лучевой терапией. Согласно результатам систематизированного обзора литературы 2003 года (всего 39 научных исследований, включая 5 рандомизированных, 6 проспективных и 25 ретроспективных анализов, более 4,5 тысяч больных), комбинированный подход позволил достичь 85-90% локального контроля за 5 лет и практически 70% пятилетней выживаемости [1]. По сравнению с результатами более радикального хирургического лечения, включающего ампутацию конечности, эти показатели оказались как минимум сравнимы, а то и более предпочтительны [2].
Наиболее спорным остается вопрос о целесообразности предоперационного облучения первичных опухолей, скажем, с целью уменьшения опухолевого объема в случае нерезектабельных опухолей, или когда резекция ведет к значительным анатомо-функциональным потерям. Попытки облучать изначально операбельные саркомы с предоперационной целью долгое время даже не предпринимались, хотя предоперационное облучение теоретически и практически имеет ряд преимуществ.
- В случае сарком меньшие объемы тканей включаются в поле облучения по сравнению с адъювантной лучевой терапией (только первичная опухоль; нет необходимости облучать весь рубец, участки гематом и экхимозов, как это принято на послеоперационном этапе).
- Предоперационное облучение способно стимулировать инкапсуляцию опухоли, облегчая тем самым последующую резекцию по причине отграничения от окружающих, в том числе и жизненно важных, структур.
- Облучая первичную опухоль, проще избежать переоблучения участка кожи и подкожной клетчатки над очагом, а следовательно, снизить риск отека, отдаленных фиброзов и т.д.
- Дозы облучения на предоперационном этапе, как правило, ниже, поскольку фракция оксигенированных клеток больше до оперативного вмешательства.
- При определенной чувствительности опухоли есть вероятность уменьшения ее размеров и, следовательно, ограничения объемов резекции.
Несмотря на известные минусы предоперационного облучения (отсрочивание операции, худшее заживление послеоперационного рубца, недостаточная информация об опухоли и ее распространенности до хирургического вмешательства), подобный подход ряду исследователей представлялся весьма логичным, хотя их оказалось не так много. До сих пор единственным рандомизированным исследованием, сравнившим результаты пред- и послеоперационной лучевой терапии мягкотканных сарком, причем основной целью было определение частоты осложнений со стороны раны за 4 месяца, остается исследование O’Sallivan, опубликованное в журнале Lancet в 2002 году. Как и ожидалось, процент ранних осложнений со стороны раны оказался действительно выше после предоперационного облучения (35% против 17%, р=0.01), но при этом поздние лучевые осложнения в виде лучевого фиброза, тугоподвижности суставов, отека, столь негативно влияющие на качество жизни пациентов, встречались в полтора раза чаще после адъювантного курса лучевой терапии. Находкой исследования явилось пусть небольшое, но увеличение общей выживаемости в случае применения неоадъювантного подхода к облучению [3].
Один из крупнейших анализов, пусть и ретроспективный, впервые был представлен на конгрессе ASTRO в ноябре 2009 года и впоследствии опубликован в «Красном журнале» ASTRO в 2011 году. Sampath и соавторы на основании сведений американской Национальной Онкологической базы данных провели анализ результатов лечения 821 больного мягкотканной саркомой, которые получали лучевую терапию на пред- или послеоперационном этапе за солидный промежуток времени – с 1984 по 2005 гг. [4]. Мультивариантный анализ в отношении общей выживаемости показал, что последовательность облучения и операции является весьма значительным параметром: предоперационная лучевая терапия ассоциирована с лучшими показателями общей выживаемости по сравнению с послеоперационной (HR 0.76, 95% ДИ 0.6-0.95, p<0.05). Показатели раково-специфической выживаемости также отличались в пользу неоадъювантного облучения: 79% против 74%, p<0.05; кроме того, было отмечено снижение риска локальных рецидивов и отдаленных метастазов. Авторы сделали вывод, что полученные результаты должны явиться стимулом к проведению новых, причем проспективных, исследований с включением даже большего числа больных.
Одна из недавних ретроспективных публикаций по сравнению результатов предоперационного облучения с послеоперационным относится к сентябрю 2015 года. Bishop и соавторы [5] оценили частоту развития поздних осложнений у 121 больного с ретроперитонеальными саркомами, получивших 50 Гр до операции либо 55 Гр адъювантно, и показали, что 5% риск осложнений за 10 лет связан в основном именно с послеоперационным облучением (p<0.001) в дозах свыше 60 Гр (p<0.001).
Наконец, мета-анализ 5 исследований по сравнению результатов предоперационной и послеоперационной лучевой терапии при изначально резектабельных саркомах мягких тканей у 1098 больных продемонстрировал следующие важные выводы [6]:
- риск локального рецидива ниже в группе предоперационного облучения (HR=0.6),
- средняя выживаемость выше в этой же группе (76% против 67%),
- отсрочивание оперативного лечения по причине предоперационной лучевой терапии не увеличивает риск метастазирования и не влияет на общую выживаемость.
Результаты очередного, причем крупнейшего по количеству больных, анализа были опубликованы в июле 2016 года в журнале The Lancet Oncology [7]. Его авторы сконцентрировались на оценке роли периоперационной (пред- или послеоперационной) лучевой терапии в лечении больных с ретроперитонеальными саркомами, составляющими, согласно статистике, около 15% всех мягкотканных сарком. Всего 9068 больных были разделены на 3 группы: 563 получали предоперационное облучение, 2215 – послеоперационное, а 6290 пациентам лучевая терапия не проводилась. Сравнение полученных результатов производилось между группами лучевой терапии и группой хирургического лечения. Явные преимущества в отношении медианы общей выживаемости оказались у пациентов, прошедших лучевую терапию, как более традиционную адъювантную (HR 0.78, ДИ 0.71–0.85; p<0.0001), так и – особенно – значительно реже используемую предоперационную (HR 0.70, 95% ДИ 0.59–0.82; p<0.0001). Медиана выживаемости в группе неоадъювантного облучения составила 110 месяцев в сравнении с 66 месяцами в группе чисто хирургического лечения, а в группах «адъювантная лучевая терапия – операция» соотношение оказалось следующим: 89 месяцев против 64.
В настоящее время ожидаются результаты продолжающегося рандомизированного исследования EORTC (62092-22092; NCT01344018) по сравнению эффективности предоперационного облучения с только хирургическим лечением при ретроперитонеальных саркомах, но доступны они будут не ранее 2020 года. Вероятно, совместные данные этих крупных работ позволят еще раз оценить возможности именно предоперационной лучевой терапии в комбинированном и комплексном лечении данной категории больных.
Рак полости рта
Злокачественное новообразование представляет собой длительно незаживающую язву эпителиального слоя слизистой оболочки рта и ретромолярной области.
Анатомическое строение
Полость рта – это начальный отдел пищеварительного тракта, в котором пережевывается пища, вырабатывается слюна для переваривания пищи. Он задействован в процессе дыхания, глотания, артикуляции и речи.
В состав ротовой полости входит:
- преддверие (губы, передняя сторона зубов, внутренняя поверхность щек);
- десны;
- дно, на котором лежит язык;
- две трети языка;
- зубы;
- позадимолярный треугольник – пространство на нижней челюсти позади третьего моляра;
- твердое и мягкое небо.

Рак полости рта подразделяется на три вида:
- папиллярный. Узелок в слизистой оболочке увеличивается в размере и свисает в полость рта. Новообразование медленно прогрессирует;
- инфильтративный. Уплотнение на розоватой слизистой отличается белесым цветом, четкими контурами и формой, истончением оболочки вокруг. При пальпации со стороны щеки чувствуется плотный инфильтрат. Опухоль склона к быстрому росту. Больной жалуется на невыносимую боль;

- язвенный. Наиболее распространенная форма заболевания. Язвочки на слизистой не заживают, разрастаются, а кайма вокруг них краснеет. Контур рваный, а его края кровоточат.

Метастазы опухоли появляются быстро. Злокачественные клетки прорастают в подбородочные, подчелюстные, глубокие яремные лимфатические узлы. На этот процесс влияет толщина и глубина опухоли. Так, при углублении новообразования на 4-5 мм метастазы возникают в 98% случаев. На Т1-стадии онкологии метастазирование выявляется в половине случаев, а при достижении Т4-стадии отдаленное распространение раковых клеток наблюдается в 85% случаев.
Классификация TNM

Причины возникновения
Распространенность рака полости рта растет и на сегодняшний день диагностируется у 2% больных среди общего числа заболевших. Начиная с 2009 года, заболеваемость выросла на 25%, при этом в основном выявляется плоскоклеточный рак и только в единичных случаях – аденокарцинома.
Большинство очагов онкологии наблюдается на языке. Чуть меньше злокачественных образований на дне полости рта. Рак мягкого и твердого неба, десен и щек выявляется в 20% случаев. Гораздо реже диагностируется поражение альвеол нижней челюсти – 4%, дужек неба, ретромолярной области и преддверия – 3%.
Исходя из практики, онкологии полости рта больше подвержены мужчины, чем женщины. Это связано с вредными привычками, например, злоупотребление сигаретами или разжевывание тонизирующих смесей усиливает выработку слюны, которая вымывает полезные элементы со слизистой. В группу риска входят больные ВПЧ, пожилые люди, работники вредных производств, больные красным плоским лишаем, люди, у которых систематически травмируется слизистая рта пломбой, протезом, металлическими предметами.
Симптомы
Идентифицировать злокачественную язву от обычного стоматита во рту можно по отеку и припухлости щек, болезненности и постоянному дискомфорту даже в состоянии покоя. Насторожить должно длительное незаживление раны и ее кровоточивость.
По мере развития заболевания признаки усиливаются:
На поздней стадии рака выпадают зубы, стремительно снижается масса тела.
Диагностика
На первичной консультации врач осматривает полость рта, рассматривает язвы, эрозии, повреждения слизистой, а затем берет мазок для исследования. Для подтверждения воспалительного процесса больной направляется на общий и биохимический анализ крови.
Диагноз подтверждается по результатам обследования:

- при подозрении на метастазы проводится аспирационная биопсия тонкой иглой лимфатических узлов под подбородком, под челюстью и в верхней трети шеи;

- позитронно-эмиссионная томография. Показывает глубину залегания опухоли, а также ранние метастазы;
- остеосцинтиграфия. Исследуются кости скелета для поиска перемещенных раковых клеток;

- КТ костей лица с контрастом. Снимки показывают прорастание опухоли в шейные сосуды, челюсть или основание черепа.
Лечение
Выбор тактики лечения зависит от стадии и распространенности новообразования. При быстром разрастании опухоли методы терапии комбинируются.
Операция
Принцип хирургического вмешательства врач определяет после определения стадии опухоли и ее распространения. Если раковые клетки проникли в надкостницу и окружающие ткани, проводится клиновидная, плоскостная или сагиттальная резекция челюсти. Если при обследовании выявлено прорастание раковых клеток напрямую в кость или дефект замечен уже во время операции, осуществляется сегментарная резекция нижней челюсти. Врач на месте оценивает поражение и определяет толщину иссекаемого слоя.
Следующий этап операции – это частичное или полное иссечение шейных лимфатических узлов для предотвращения метастазов при условии толщины опухоли более 4 мм или расположении очага опухоли в дне полости рта или на языке. Если новообразование расположено на срединной линии, то шейные лимфатические узлы иссекаются с двух сторон. Операция завершается одномоментным замещением поврежденных тканей.
После удаления опухоль отправляется на гистологическое исследование. Оценивается ее размер, толщина, глубина, края. На дальнейшее лечение влияет прорастание клеток за границы капсулы удаленного лимфатического узла, расхождение раковых клеток на соседние органы.
Лучевая терапия
Облучение после операции назначается при диагностировании Т3, Т4, N2, Т3 стадий болезни не позже чем через шесть недель после удаления опухоли. Необходимость в лучевой терапии возрастает при периневральной инвазии в лимфатических сосудах. Суммарная очаговая доза за все сеансы – 60 гр, а разовая очаговая доза за один сеанс – 2 гр. При выявлении метастазов на шее СОД повышается до 66 гр, а при отсутствии риска метастазирования СОД уменьшается до 50 гр.
В качестве основного лечения лучевая терапия используется в суммарной очаговой дозе 60-70 гр. Процедура проводится пять дней в неделю, при этом она комбинируется с химиотерапией. Каждые три недели вводится 100 мг цисплатина.
Химиотерапия
Противоопухолевые препараты назначаются перед хирургическим вмешательством или одновременно с лучевой терапией для уменьшения размера новообразования. Иногда терапия назначается одновременно с операцией.
Лечение предполагает использование схемы 5-фторацила вкупе с цисплатином или иные средства – карбоплатин, метотрексат, блеомицин. Они вызывают ряд побочных явлений, например, рвоту или тошноту, выпадение волос, снижение аппетита, повышение кровоточивости. Симптомы исчезают после прохождения курса лечения, но после приема цисплатина иногда фиксируется стойкое нарушение слуха.
Прогноз рака полости рта зависит от стадии, на которой выявлена болезнь. Если лечение начато на нулевой стадии, то болезнь купируется. Стоит отметить, что курение провоцирует рецидив или перерождение опухоли, поэтому может потребоваться повторная операция или облучение. Оперирование на первой стадии повышает выживаемость до 80-85%, а комбинация лучевой терапии с операцией на второй стадии на 60-80%. Уже на последующих стадиях развития рака выживаемость не более 50%, при этом применяются все три метода лечения одновременно.
Диспансерное наблюдение
Поскольку опухоль может рецидивировать и дать метастазы, после пройденного курса лечения больной встает на учет в онкодиспансер. Первый год следует посещать врача каждый месяц, второй год профилактический осмотр проводится каждые 4-6 месяцев, а далее раз в год или при каких-либо недомоганиях. Осмотр предполагает прохождение обследования – УЗИ и контрастное МРТ мягких тканей шеи, ПЭТ, остеосцинтиграфию. Обязательна консультация отоларинголога, стоматолога и онколога. Доктор может сократить срок диспансеризации при высоком риске рецидива.
Список литературы по теме:
- Ганцев Ш.Х. онкология – М, 2012 г – С.204-205.
- Головин Д. И. Ошибки и трудности диагностики опухолей, Д.: Медицина. Ленингр. отд-ние, 2015г. 305 с.
- Избранные лекции по клинической онкологии/Под ред. В.И. Чиссова, С.Л. Дарьяловой. – М., 2010г.
- Матякин Е.Г., Алферов В.С. Химиотерапия опухолей головы и шеи // Мат. 2й Рос. онкол. конф. «Современные тенденции развития лекарственной терапии опухолей» 8–10 декабря 2016 г. – М., 256с.
- Опухоли головы и шеи: рук/ А.И. Пачес.- 5-е изд., доп. И перераб.-М.: Практическая медицина , 2013. -478 с.
- Шайн А.А. Онкология. М – 2014г. 365 с.
- Энциклопедия клинической онкологии/Под ред. М.И. Давыдова. – М.,2014г. –С.140-179.
- Битюцкий П. Г., Кицманюк З.Д., Трофимов Е. И. Диагностика и лечение рака слизистой оболочки полости рта // Медицинские консультации. — 2014. — № 1. — С. 23—27.
- Бяхов М. Ю. Варианты комбинированного и комплексного лечения местнораспространенного рака слизистой оболочки полости рта и ротоглотки: Дис. д-ра мед. наук. — М., 2013.


Авторская публикация:
Ландо Е. И.
Ординатор отделения опухолей головы и шеи
НМИЦ онкологии им Н.Н. Петрова

Под научной редакцией:
Раджабова З.А.
Заведующий отделением опухолей головы и шеи
НМИЦ онкологии им. Н.Н. Петрова,
врач-онколог, научный сотрудник, кандидат медицинских наук, доцент
Читайте также:
