Лечение макроглобулинемии Вальденстрема - прогноз
Добавил пользователь Евгений Кузнецов Обновлено: 28.11.2025
Под термином «макроглобулинемия» объединены клинические состояния с наличием моноклонального макроглобулина, который продуцируется В-лимфоидными элементами, ответственными в норме за синтез М-глобулина
Макроглобулинемия Вальденстрема встречается в 10 раз реже, чем множественная миелома, чаще у мужчин. Возраст больных от 30 до 90 лет, средний возраст около 60 лет.
Что провоцирует / Причины Макроглобулинемии Вальденстрема:
Подобно миеломной болезни, она несколько чаще встречается у мужчин, а заболеваемость растет с возрастом (половина больных старше 64 лет). У некоторых больных IgM взаимодействует с миелин-ассоциированным гликопротеидом. Этот гликопротеид утрачивается при демиелинизирующих заболеваниях периферической нервной системы, подобно хорошо изученному основному (ударение на втором слоге) белку миелина у больных рассеянным склерозом (не исключено, что потеря миелин- ассоциированного гликопротеида начинается раньше и более значительна, чем потеря основного (ударение на втором слоге) белка).
В некоторых случаях развитию макроглобулинемии Вальденстрема предшествует нейропатия.
Есть предположение, что болезнь начинается с вирусной инфекции, которая приводит к образованию антител, перекрестно реагирующих с компонентами здоровых тканей. Как и при миеломной болезни, поражается костный мозг, однако остеолиза и гиперкальциемии нет. Уровень парапротеина в сыворотке тоже превышает 30 г/л, но из-за больших размеров молекулы IgM не проникают через клубочки, а легкие цепи экскретируются с мочой только у 20% больных. Поэтому почки при макроглобулинемии Вальденстрема страдают редко. У 80% больных легкие цепи имеют изотип каппа.
Генетическая предрасположенность к макроглобулинемии Вальденстрема подтверждается случаями семейной макроглобулинемии, иммуноглобулиновых аномалий у некоторых родственников больных макроглобулинемией. Обсуждается роль воспалительных процессов и неоплазм в развитии макроглобулинемии.
Патогенез (что происходит?) во время Макроглобулинемии Вальденстрема:
Макроглобулинемия Вальденстрема встречается изолированно и в сочетании со злокачественными лимфомами, неопластическими процессами, некоторыми инфекционными и воспалительными заболеваниями, а также как стабильная серологическая аномалия при отсутствии признаков злокачественного или другого заболевания (так называемая доброкачественная моноклональная гаммапатия).
Симптомы Макроглобулинемии Вальденстрема:
Задолго до появления выраженных клинических симптомов больные отмечают недомогание, слабость, похудание, нередко у них повышена СОЭ. По мере препрессирования заболевания развиваются гепато- и спленомегалия, увеличиваются лимфатические узлы. В патологический процесс вовлекаются легкие, почки, центральная нервная система, стенка кишечника; костные боли не являются доминирующим симптомом, диффузный остеопороз чаще служит отражением возраста больных. Может развиваться мочекислая нефропатия и окклюзия гломерулярных капилляров. Амилоидоз первоначально обнаруживается в печени и селезенке, описана амилоидная артропатия.
Иммунодефицитный синдром клинически проявляется повышенной наклонностью больных к инфекционным заболеваниям.
Синдром, обусловленный повышенной вязкостью сыворотки крови, наблюдающийся у 1/3 больных, характеризуется церебропатией, ретинопатией и кровоточивостью.
Геморрагический синдром в виде носовых, десневых, кишечных кровотечений и петехий на коже является следствием повышенной концентрации макроглобулина, который покрывает поверхность тромбоцитов, изменяя активность 3-го фактора тромбоцитов, а также результатом образования комплексов между макроглобулином и VIII фактором свертывания.
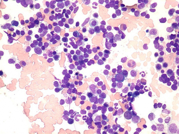
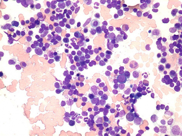
В стадии прогрессирования заболевания развивается анемия, у некоторых больных наблюдается нейтропения, панцитопения. В гемограмме у части больных увеличивается процент лимфоцитов. В 50% случаев выявляется тромбоцитопения. Может наблюдаться гиперурикемия. Лимфоцитоз в пунктатах костного мозга отмечается у 90% больных. Основной клеточный субстрат болезни представлен малыми лимфоцитами, имеющими узкую зону цитоплазмы, чаще базофильной.
Гистологическая картина костного мозга и лимфатических узлов характеризуется диффузной или узловатой пролиферацией лимфоидных клеток и наличием белковых, PAS-положительных флоккулятов в цитоплазме клеток, межклеточных пространствах, пропитыванием белковыми массами стромы и стенок сосудов.
Одним из первых лабораторных признаков белковых нарушений является увеличение скорости оседания эритроцитов и образование «монетных столбиков».
При электрофорезе белков сыворотки крови выявляется гомогенный пик (М-градиент) с электрофоретической подвижностью в зоне бета или гамма. Диагноз подтверждается иммуноэлектрофорезом, при котором устанавливается IgM-природа парапротеина. Макроглобулин содержит н или ламбда легкие цепи. Ультра центрифугирование обнаруживает гомогенный IgM с константой седиментации 19S. IgM составляет от 20 до 70% общего белка плазмы.
Моноклональный IgM выявляют иммунофлюоресцентными методами в цитоплазме продуцирующих клеток и на поверхности большей части лимфоидных элементов. Мочевой протеин Бенс-Джонса выявляется 1/3 больных и идентифицируется как легкие цепи М-компонента.
Диагностика Макроглобулинемии Вальденстрема:
Макроглобулинемия диагностируется на основании характерных аномалий сывороточных протеинов и типичных изменений крови и костного мозга.
Если не увеличены лимфатические узлы, печень, селезенка или нет характерной картины костного мозга и концентрация макроглобулина в крови с годами не увеличивается, можно думать о доброкачественной моноклональной гаммапатии. Поскольку симптоматическая макроглобулинемия иногда встречается при различных опухолях и воспалительных заболеваниях, необходимы тщательные диагностические поиски с целью их исключения.
Лечение Макроглобулинемии Вальденстрема:
На ранних стадиях макроглобулинемии Вальденстрема при отсутствии признаков прогрессирования заболевания больным необходимо лишь диспансерное наблюдение гематолога. При увеличении лимфатических узлов, развитии синдрома повышенной вязкости крови назначают цитостатическую терапию. Применяют хлорбутин (аналог лейкерана), мельфалан, циклофосфан. В результате лечения у большинства больных наблюдается уменьшение размеров лимфоузлов, печени и селезенки, снижение уровня М-компонента, содержания макроглобулина и вязкости сыворотки, улучшение показателей гемоглобина.
Чаще используют хлорбутин по 6-8 мг ежедневно в течение 2-4 нед, при назначении более высоких доз (10-12 мг в день) возможно развитие необратимой костномозговой аплазии. Поддерживающие дозы препарата (2-6 мг) назначают ежедневно или через день. Лечение проводят под систематическим контролем показателей крови и продолжают неопределенно долго, так как после отмены препарата быстро развивается рецидив, трудно контролируемый лекарственной терапией. У некоторых больных с помощью хлорбутина поддерживается состояние компенсации в течение многих лет.
Противоопухолевым эффектом при макроглобулинемии Вальденстрема обладает циклофосфан в суточных дозах 50-200 мг (ежедневно). Препарат назначается преимущественно больным со значительным увеличением лимфатических узлов, печени, селезенки, опухолевыми образованиями в области костей: циклофостерапию циклофосфаном можно сочетать с местным лучевым лечением.
При макроглобулинемии Вальденстрема одним из клинических проявлений опухолевой прогрессии могут быть опухолевые разрастания в лимфоидной ткани (с интра- и экстранодальной локализацией) и вне лимфоидных органов (в коже, подкожной клетчатке, костях, легких и т. д.). В этих случаях назначают полихимио- или лучевую терапию в соответствии с принципами лечения лимфосарком.
При развитии цитопении и/ или кровоточивости цитостатическую терапию сочетают с периодическими курсами глюкокортикоидных гормонов в дозах, соответствующих 40-60 мг преднизолона с постепенным их уменьшением.
Важная роль в системе лечения синдрома повышенной вязкости крови принадлежит интенсивному плазмаферезу, который проводят 2-3 раза в неделю, удаляя за одну процедуру от 1200 до 2000 и более мл плазмы (всего осуществляется не менее 10 процедур). При оптимальном режиме процедуры удаленный объем плазмы замещается равным объемом трансфузионных сред (альбумином, свежезамороженной донорской плазмой, реополиглюкином). На фоне синдрома повышенной вязкости крови, протекающего с выраженными геморрагиями, может возникнуть глубокая анемия, требующая трансфузии эритроцитной массы. Цитостатическая и глюкокортикоидная терапия в период проведения плазмаферезов продолжается. Показания к применению плаэмаферезов могут возникнуть также при криоглобулинемии.
Профилактика Макроглобулинемии Вальденстрема:
К каким докторам следует обращаться если у Вас Макроглобулинемия Вальденстрема:
Вас что-то беспокоит? Вы хотите узнать более детальную информацию о Макроглобулинемии Вальденстрема, ее причинах, симптомах, методах лечения и профилактики, ходе течения болезни и соблюдении диеты после нее? Или же Вам необходим осмотр? Вы можете записаться на прием к доктору .
Макроглобулинемия Вальденстрема
Макроглобулинемия Вальденстрема представляет собой В-клеточную лимфоплазмоцитарную лимфому, при которой преимущественно поражается костный мозг, и происходит секреция моноклонального иммуноглобулина М (далее Ig M). Это очень редкая патология и встречается приблизительно с частотой 2-5 случаев на один миллион человек в год. В основном страдают люди старше 60 лет.
Причины возникновения заболевания
Причины возникновения макроглобулинемии Вальдестрема неизвестны. Предполагается влияние нескольких факторов:
- Генетическая природа.
- Нарушение Т-клеточного иммунитета.
- Влияние ионизирующего излучения.
- Влияние вирусов — вирус простого герпеса, ВИЧ, вирус гепатита С.
- Наличие в анамнезе моноклональной гаммапатии неясного генеза.
Классификация болезни и ее диагностика
Специфической классификации макроглобулинемии Вальденстрема нет. Само заболевание характеризуется наличием В-клеточной опухоли (лимфоплазмоцитарной лимфомы). Ее субстратом являются лимфоидные клетки, имеющие плазмоцитарную дифференцировку, или плазматические клетки. Морофологически и иммунофенотипически эти клетки идентичны В-клеточной лимфоме маргинальной зоны. Главным отличием является секреция моноклонального IgM и поражение костного мозга диффузного, нодулярного или интерстициального характера.
При постановке диагноза также имеет значение клиническая картина — слабо выраженная лимфаденопатия на фоне поражения костного мозга и повышенного уровня IgM.
При подозрении на заболевание, пациент проходит комплексное обследование, включающее:
- Сбор анамнеза, особое внимание обращается на наличие подобных заболеваний в семье, а также наличие моноклональной гаммапатии неясного генеза.
- Физикальный осмотр. Проводится обязательная пальпация всех доступных лимфатических коллекторов, а также селезенки и печени. Осматривается полость рта и миндалины.
- Проводятся лабораторные исследования. Помимо рутинных анализов, выполняют определение концентрации В2-микроглобулина, электрофорез сыворотки крови и мочи для определения М-градиента, а также определяют уровень иммуноглобулинов в крови.
- Используются методы медицинской визуализации. С помощью УЗИ обследуют все возможные группы лимфатических узлов. С помощью рентгена определяют состояние костей, проводят КТ органов брюшной полости и забрюшинного пространства.
- Обязательно проводится аспирация и трепанбиопсия костного мозга с последующим гистологическим, иммуногистохимическим и иммунофенотипическим исследованием.
- По показаниям выполняют исследование на криоглобулины, вязкость крови и осмотр глазного дна.
Симптомы макроглобулинемии
Обычно жалобы носят неспецифический характер:
- Общая слабость.
- Головные боли.
- Эпизоды нарушения сознания.
- Дерматологические проблемы — дерматиты, папулы.
- Повышенная кровоточивость слизистых.
- Нарушение чувствительности в кистях рук и стоп.
- Акроцианоз.
- Диарея.
- Увеличение лимфатических узлов.
Лечение макроглобулинемии Вальденстрема
Пациентам с тлеющей (вялотекущей) формой макроглобулинемии рекомендуется подождать с началом терапии, поскольку его возможности ограничены и есть вероятность получить устойчивость к химиотерапии еще до прогрессирования заболевания.
Показанием к началу терапии являются следующие признаки:
- Упорные лихорадки, снижение веса и ночная потливость.
- Увеличение лимфоузлов более 5 см.
- Синдром гипервязкости крови.
- Увеличение размеров внутренних органов, при котором имеются клинические проявления.
- Периферическая нейропатия.
- Нарушение работы костного мозга, при котором проявляются пенические синдромы — гемоглобин ниже 100г/л, тромбоциты ниже 100*10 9 /л.
- Почечная недостаточность, амилоидоз.
- Повышение уровня Ig M выше 50 г/л.
Лечение первичных больных
Для лечения первичных больных могут применяться несколько схем. Выбор осуществляется на основании клинической картины:
- При наличии синдрома гипервязкости крови, больших лимфоузлов и инфильтрации внутренних органов, необходима быстрая редукция опухоли, поэтому предпочтение отдается протоколам с циклофосфамидом.
- При гипервязкости крови назначают бортезомиб-содержащие протоколы, например, BDR.
- При цитопеническом синдроме лечение проводят по протоколу RDC.
- Также используются схемы R-CHOP, R-CVP и R-CP.
Все эти протоколы содержат в своем составе ритуксимаб, обладающий иммунологической активностью против CD20, который экспрессируется на поверхности лимфомных клеток. Он может использоваться и в монорежимах при благоприятном прогнозе. Однако необходимо учитывать, что он может вызвать резкое повышение уровня IgM. Поэтому всем больным с высокой парапротеинемией (более 50 г/л), криоглобулинемией и синдромом гипервязкости крови до начала химиотерапии проводят плазмоферез, чтобы снизить уровень Ig M. Обычно назначают 2-3 сеанса до снижения исходного уровня на 30-60%.

Поддерживающая терапия
Необходимость в поддерживающей терапии продолжает обсуждаться. Единого мнения по этому вопросу нет. В отдельных крупных медицинских центрах, специализирующихся на лечении лимфом, проводят поддерживающую терапию ритуксимабом. С одной стороны, он позволяет улучшить результаты лечения, увеличить время до прогрессии заболевания и увеличить общую продолжительность жизни. С другой стороны, высока вероятность развития тяжелых инфекционных осложнений, которые могут стоить пациенту жизни. Данное направление продолжает изучаться в проспективных исследованиях, и по его результатам будет принято решение.
Лечение рецидивов
При выборе протокола лечения рецидивов во внимание принимаются следующие факторы:
- Результаты лечения терапией первой линии.
- Длительность ремиссии.
- Общее состояние пациента и его возраст.
- Наличие сопутствующей патологии.
- Наличие осложнений при терапии первой линии.
Если рецидив развился спустя год и более после достижения ремиссии, возможно применение предыдущей схемы лечения. Если лимфома имела рефрактерное течение, или рецидив развился менее, чем через год после достижения ремиссии, применяется другая, более сильная схема терапии первой линии.
Кроме того, высокой эффективностью при рецидивах обладают схемы, включающие флударабин или бортезомиб. Для пациентов с множественными рецидивами должен рассматриваться вопрос о проведении высокодозной полихимиотерапии с трансплантацией гемопоэтических стволовых клеток.
Осложнения заболевания
Периферическая нейропатия
Это осложнение встречается у 10-20% больных макроглобулинемией Вальдестрема. Обусловлена она токсическим действием Ig M на миелоассоциированный гликопротеин. Для лечение рекомендуется применять плазмаферез и схемы лечения, включающие ритуксимаб.
Синдром гипервязкости крови
Синдром гипервязкости крови сопровождается спонтанными кровотечениями, нарушением зрения и сознания, вплоть до комы. В рамках лечения применяется плазмаферез. Когда уровень IgM снизится на 30-60%, следует немедленно начинать химиотерапию, поскольку его уровень может вернуться к исходному состоянию.
Трансформация в другие виды лимфомы
Как и все виды индолентных вялотекущих лимфом, макроглобулинемия Вальденстрема может трансформироваться в более агрессивные варианты заболевания.
Прогноз макроглобулинемии Вальдестрема
В среднем пятилетний рубеж переживает от 87 до 36% больных макроглобулинемией Вальдестрема. Все зависит от наличия следующих неблагоприятных факторов:
- Возраст старше 65 лет.
- Уровень гемоглобина менее 115 мг/дл.
- Снижение уровня тромбоцитов ниже 100×10 9 /л.
- Уровень IgM более 70 г/л.
- Уровень В2-микроглобулина выше 3 мг/л.
Следует отметить, что с помощью этих признаков можно прогнозировать течение заболевания, но они не оказывают влияния на выбор тактики лечения.
Профилактика макроглобулинемии
Специфических методов профилактики макроглобулинемии Вальденстрема нет, поскольку неизвестны причины развития патологии. В процессе лечения и после достижения ремиссии пациенты должны находиться под регулярным наблюдением врача онкогематолога. При этом необходимо каждые три месяца проводить анализы для определения уровня М-протеина и иммуноглобулинов. С такой же периодичностью проводят УЗИ органов брюшной полости и забрюшинного пространства, а также лимфатических узлов. Раз в год выполняют рентген грудной клетки, рентген костей проводят по показаниям.
В «Евроонко» лечением макроглобулинемии Вальденстрема занимаются опытные врачи с использованием современных протоколов лечения. В сложных случаях решение принимается коллегиально консилиумом специалистов с учетом индивидуальных особенностей конкретного клинического случая.
Макроглобулинемия Вальденстрема – это B-клеточная лимфоплазмоцитарная лимфома, при которой в кровь секретируется большое количество моноклонального иммуноглобулина М (IgM). Клиническая картина крайне разнообразна, включает кожный зуд, синдром гипервязкости крови, гиперпластический синдром. Решающим в диагностике макроглобулинемии является обнаружение моноклонального IgM в плазме и гистологическое исследование пунктата костного мозга. Для лечения используются моноклональные антитела, комбинации цитостатических препаратов, глюкокортикостероиды, сеансы плазмафереза.
МКБ-10



Общие сведения
Макроглобулинемия Вальденстрема (макроглобулинемический ретикулез, лимфоплазмоцитарный лейкоз) – злокачественное гематологическое заболевание из группы моноклональных гаммапатий с преимущественным поражением костного мозга, имеющее относительно благоприятный прогноз. Впервые было описано в 1944 году шведским врачом Яном Вальденстремом. Патология распространена повсеместно, частота встречаемости колеблется от 2 до 5 случаев на 1 000 000 человек. Средний возраст дебюта – около 65 лет. Преимущественно страдают мужчины, соотношение с женщинами составляет 2:1.

Причины
Точная причина возникновения макроглобулинемии Вальденстрема до сих пор неизвестна. Предполагается роль дефекта Т-клеточной супрессорной функции, влияние химических мутагенов и радиационного воздействия. Все больше обсуждается этиологическое значение хронической персистенции вирусов гепатита С и ВИЧ. Однако ни одна теория пока не подтверждена убедительными доказательствами.
Примерно у половины пациентов обнаружены хромосомные аномалии – делеция длинного плеча 6 хромосомы (del6q21 или del6q25). Люди с этой мутацией имеют более тяжелый прогноз. У 90% больных выявляется соматическая мутация фактора миелоидной дифференцировки (MYD 88L265P). Случаи заболевания внутри одной семьи расцениваются как дополнительное доказательство генетической предрасположенности к макроглобулинемии.
В настоящее время наиболее существенным фактором риска развития макроглобулинемии Вальденстрема считается наличие в анамнезе IgM-моноклональной гаммапатии неуточненного генеза (МГНЗ с секрецией парапротеина М). По данным многочисленных исследований, у таких людей вероятность возникновения МВ в 46 раз выше, чем в общей популяции.
Патогенез
По неизвестным причинам происходит активация онкогенов, приводящая к опухолевой пролиферации лимфоцитов и плазматических клеток, гиперпродукции иммуноглобулина М. Присутствие большого количества парапротеина М негативно сказывается на гемореологических свойствах крови – нарушается микроциркуляция в различных органах, стенки мелких сосудов разрываются.
В костном мозге опухолевые клетки разрастаются и постепенно замещают нормальные ростки кроветворения – возникает цитопения. Инфильтрация лимфо- и плазмоцитами ретикулоэндотелиальной системы приводит к гепатоспленомегалии и генерализованной лимфаденопатии. В сосудах дермы и синовиальных оболочках откладываются иммунные комплексы и амилоид.
Классификация
Заболевание отличается разнообразием морфологических и клинических вариантов. В современной практике используется одна классификация макроглобулинемии Вальденстрема – классификация клиники Мэйо, которая включает:
- Доброкачественную моноклональную гаммапатию с секрецией IgM.
- Тлеющую (бессимптомную) форму.
- Симптоматическую форму.
Первые две разновидности являются доклинической стадией патологии, требуют наблюдения гематолога в динамике. Вмешательство и специфическое лечение необходимы лишь при симптоматической форме болезни.
Симптомы макроглобулинемии Вальденстрема
Общие симптомы
Заболевание начинается постепенно, может долго протекать бессимптомно. В течение нескольких месяцев, а иногда и лет пациент испытывает общую слабость, повышенную утомляемость. Затем присоединяются кожный зуд и незначительная ноющая боль в суставах. Через некоторое время появляются В-симптомы (признаки опухолевой интоксикации, специфические для лимфопролиферативных патологий) – лихорадка, ночная потливость, похудание.
Вследствие анемии кожные покровы и слизистые приобретают бледный оттенок, возникает тахикардия, отмечаются ноющие боли в сердце. Из-за увеличения печени и селезенки пациент чувствует тяжесть в правом и левом подреберье. У 5-10% больных развивается периферическая сенсорная нейропатия, проявляющаяся парестезиями (ощущением покалывания, жжения, ползания мурашек) нижних конечностей.
Синдром повышенной вязкости (СПВ)
Одним из наиболее типичных проявлений макроглобулинемии Вальденстрема, зачастую определяющим прогноз, считается СПВ крови. Синдром выявляется у 50% больных, обусловлен присутствием в сыворотке большого количества моноклонального иммуноглобулина M, имеющего высокую молекулярную массу. К самым частым признакам СПВ относится кровоточивость, причиной которой является замедление кровотока в микроциркуляторном русле и разрыв мелких сосудов.
Наиболее характерны носовые, десневые и прямокишечные кровотечения. На травмируемых участках тела легко образуются гематомы. Возможны петехиальные кровоизлияния на коже. Вследствие недостаточного кровоснабжения головного мозга присоединяются неврологические симптомы – больные испытывают головную боль, головокружения, неустойчивость при ходьбе. Постепенно ухудшаются зрение и слух, развивается когнитивная дисфункция.
Сильно страдает периферическое кровообращение. Типично возникновение синдрома (феномена) Рейно – спазма сосудов кистей рук, проявляющегося такими симптомами, как боль в пальцах и последовательное изменение цвета кожи (бледность, цианоз, гиперемия). Признаками СПВ также считаются акроцианоз и трофические язвы на коже нижних конечностей.

Осложнения
Макроглобулинемия Вальденстрёма характеризуется большим количеством неблагоприятных последствий. Самые грозные осложнения, определяющие прогноз, – парапротеинемическая кома и кровоизлияние в головной мозг. Возможен инфаркт миокарда, ишемический инсульт. Трофические язвы могут привести к ишемической гангрене дистальных отделов нижних конечностей.
Немалую долю (около 50%) составляют инфекционные осложнения (туберкулез, пневмония, менингит), обусловленные синдромом недостаточности антител. У 5% больных развивается криоглобулинемический васкулит с поражением кожи, центральной и периферической нервной системы, почек. У пациентов с макроглобулинемией повышен риск возникновения базалиомы (15%).
Диагностика
Больных МВ курирует врач-гематолог. При опросе уточняют, страдал ли этой болезнью кто-либо из близких родственников пациента. Во время общего осмотра обращают внимание на увеличение лимфатических узлов, печени, селезенки при пальпации. Специалист назначает дополнительное обследование, включающее:
- Лабораторные исследования. Общий анализ крови показывает снижение уровня, гемоглобина и эритроцитов, а иногда тромбоцитов и лейкоцитов, резкое повышение СОЭ (до 100 мм/час). В биохимическом анализе крови обнаруживается увеличение содержания общего белка за счет фракции гамма-глобулинов.
- Визуализационные методики. При проведении УЗИ органов брюшной полости выявляется увеличение селезенки, печени, внутрибрюшных лимфатических узлов. У некоторых пациентов на рентгенограмме плоских костей (грудина, череп) можно увидеть множественные остеолитические дефекты как при миеломной болезни.
- Офтальмоскопия. Осмотр глазного дна считается обязательной процедурой при наличии симптомов СПВ, производится для диагностики макроглобулинемической ретинопатии. Ее признаки – выраженная гиперемия вен сетчатки, сочетающаяся с их локальным сужением, кровоизлияния, микроаневризмы.
- Обнаружение аномального белка. При электрофорезе белков сыворотки отмечается высокий уровень М-градиента. В плазме выявляется повышенная концентрация иммуноглобулина М (макроглобулинемия).
- Исследование костного мозга. В трепанобиоптате или стернальном пунктате определяется лимфоплазмоцитарная инфильтрация, фиброз стромы. Иммуногистохимический анализ или иммунофенотипирование показывают экспрессию PIgM и опухолевые маркеры (CD19, CD20, CD22).
С учетом особенностей клинической картины (В-симптомы, синдром гипервязкости, сенсорная нейропатия) макроглобулинемию Вальденстрема необходимо дифференцировать с другими моноклональными гаммапатиями, в первую очередь – с множественной миеломой. Иногда избыточная секреция моноклонального белка (парапротеина М) наблюдается при хроническом лимфолейкозе.

Консервативное лечение
Госпитализации в гематологическое отделение и проведению специфического лечения подлежат только пациенты с симптоматической формой заболевания. Для выбора лечебной тактики (высокодозовая или низкодозовая химиотерапия, комбинированная терапия и пр.) ориентируются на превалирующие в клинике симптомы и факторы неблагоприятного прогноза (возраст более 65 лет, уровень гемоглобина менее 110*10^12/л и тромбоцитов менее 100*10^9/л, высокий уровень IgM). Основные направления лечения:
- Плазмаферез. Применяется для удаления избытка IgM из организма пациента. На фоне лечения достаточно быстро регрессируют кровоточивость, энцефалопатия и сенсорная нейропатия. Кроме того, плазмаферез показан для элиминации из системного кровотока криоглобулинов и холодовых агглютининов.
- Цитостатическая терапия. Для уменьшения опухолевой пролиферации используются различные схемы химиотерапии, включающей комбинации из алкилирующих препаратов (хлорамбуцил), аналогов нуклеозидов (флударабин) и моноклональных антител (ритуксимаб). При неэффективности перечисленных средств применяют талидомид, бортезомиб.
- Сопроводительная терапия. Лечение химиотерапевтическими препаратами ассоциировано с определенными осложнениями – рвотой, тромбозами, синдромом лизиса опухоли. Поэтому параллельно с химиотерапией пациенту назначают противорвотные средства (ондансетрон), антикоагулянты (гепарин), ингибиторы ксантиноксидазы (аллопуринол).
- Симптоматическая терапия. При выраженных явлениях криоглобулинемического васкулита, синдрома Рейно или развитии гемолиза прибегают к введению глюкокортикостероидов (метилпреднизолон). При развитии железодефицитной анемии используют пероральные препараты железа.
Хирургическое лечение
Пациентам среднего возраста (40-55 лет) с низкими факторами неблагоприятного прогноза в качестве выбора предлагается аутологичная трансплантация гемопоэтических стволовых клеток в сочетании с высокодозной химиотерапией. Аллогенная трансплантация костного мозга рассматривается как «терапия отчаяния» при неэффективности других способов лечения.
Экспериментальное лечение
При рефрактерных формах и частых рецидивах болезни применяются новые лекарственные препараты. К ним относятся ингибиторы протеасом PR-171 (карфилзомиб), ингибиторы протеинкиназы С (энзастаурин), антагонисты рецепторов VEGF (пазопаниб). Имеются данные об успешном использовании анти-CD52-моноклональных антител (алемтузумаб) в терапии МВ.
Прогноз и профилактика
Несмотря на широкий спектр осложнений, при своевременной диагностике и грамотном лечении патология имеет благоприятный прогноз. Медиана выживаемости составляет 7-10 лет. Основными причинами смерти являются последствия гипервискозного синдрома (парапротеинемическая кома, геморрагический инсульт, инфаркт миокарда) и инфекционные осложнения.
Из-за неопределенности этиологического фактора эффективных методов первичной профилактики МВ не существует. Больные с доброкачественной моноклональной гаммапатией и тлеющей формой макроглобулинемии подлежат постоянному наблюдению у гематолога. Пациентам, находящимся в ремиссии, каждые 3 месяца выполняется иммунохимическое исследование сыворотки и мочи.
1. Макроглобулинемия Вальденстрема/ Балакирева Т.В., Андреева Н.Е.// Клиническая онкогематология. Фундаментальные исследования и клиническая практика – 2009 – Т.2, №2.
2. Клинические рекомендации по диагностике и лечению макроглобулинемии Вальденстрема/ коллектив авторов под руководством академика Савченко В.Г., профессора Поддубной И В. - 2014.
3. Waldenstrom’s Macrogobylinemia/Lymphoplasmacytic Lymphoma/ NCCN Clinical Practice Guidelines in Oncology (NCCN Guidelines). Version 2 – 2016.
4. Ibrutinib in Previously Treated Waldenstrom’s Macroglobulinemia/ Treon SP, Tripsas S, Meid K, et al.// N Engl J Med. – 2015 - №40.
Макроглобулинемия Вальденстрема, или лимфоплазмоцитарная лимфома – это неконтролируемый рост измененных плазматических клеток, которые необходимы для борьбы с микробами. Он приводит к поражению костного мозга и нарушению работы системы кроветворения.
Отсутствие достаточного количества нормальных клеток крови вызывает слабость, постоянную усталость, нехватку воздуха, внутренние кровотечения, проблемы с сердцем, почками и другие тяжелые осложнения.
Средний возраст выявления заболевания составляет 70 лет, но оно может возникнуть и в 20.
Как развивается болезнь Вальденстрема?
Для того, чтобы разобраться в сути заболевания, необходимо понять принцип работы лимфатической системы. В ней циркулирует лимфа – межклеточная жидкость, омывающая все клетки тела, доставляющая в нее необходимые вещества и забирающая отходы. Она состоит из сосудов и лимфоидной ткани:
- Лимфатических узлов – органов размером с горошину, задерживающих и обезвреживающих опасные для организма вещества.
- Костного мозга – мягкой внутренней части некоторых частей, в которой образуются новые клетки крови.
- Вилочковой железы или тимуса, расположенного за верхней частью грудины перед сердцем, где происходит созревание клеток иммунной системы.
- Селезенки, находящейся в левой части живота рядом с желудком. Данный орган производит защищающие от инфекций лимфоциты, хранит здоровые клетки крови и фильтрует кровь.
- Миндалин и аденоидов в горле, задерживающих вдыхаемые и проглатываемые микроорганизмы.
- Кроме того, в небольших количествах ее скопления содержатся во всех системах организма, включая пищеварительную и дыхательную.
Основными клетками лимфоидной ткани являются:
- В-лимфоциты. При взаимодействии с инфекцией превращаются в плазматические клетки, вырабатывающие антитела, или иммуноглобулины – белки, которые помогают организму атаковать и уничтожать болезнетворные микроорганизмы, такие как бактерии и вирусы.
- Т-лимфоциты – повышают или замедляют активность иммунитета и разрушают микробы.
Макроглобулинемия Вальденстрема – это одна из разновидностей неходжкинской лимфомы. Она развивается в В-лимфоцитах, которые становятся лимфоплазмоцитоидными клетками, то есть приобретают черты как плазматических клеток, так и лимфоцитов. Они производят большое количество антител Антитела – это белки, которые помогают организму атаковать и уничтожать болезнетворные микроорганизмы, такие как бактерии. определенного типа – макроглобулинов, иммуноглобулинов М, IgM или просто М-белков. Их накопление в организме приводит к развитию таких симптомов заболевания, как обильные кровотечения, нарушения зрения и проблемы с нервной системой.
Измененные клетки растут в основном в костном мозге, где вытесняют ткани, создающие здоровые клетки крови. В результате такого замещения в организме понижается уровень переносящих кислород эритроцитов, противостоящих инфекциям лейкоцитов и останавливающих кровотечения тромбоцитов. Со временем у человека развиваются усталость и слабость, его организм не может бороться с микробами, а на теле появляются кровоподтеки и синяки. Кроме того, неправильные лимфоциты способны развиваться в таких органах, как печень и селезенка, вызывая боль в животе и отеки – скопление жидкости.

Причины развития макроглобулинемии Вальденстрема
Точные причины всех случаев заболевания врачам до сих пор не понятны. На сегодняшний момент науке известны только факторы, которые могут увеличить вероятность его развития. К ним относят:
- Моноклональную гаммапатию неясного генеза – болезнь плазматических клеток, которая приводит к появлению в крови измененных белков. Данное состояние не вызывает проблем со здоровьем, но каждый год примерно у 1-2% его обладателей возникают серьезные нарушение, такие как лимфома или множественная миелома.
- Риск развития макроглобулинемии Вальденстрема повышается с возрастом – она редко встречается у людей моложе 50 лет.
- Пол:мужчины страдают от нее чаще, чем женщины. Причина такой статистики научному сообществу не понятна.
- Определенную роль играют и наследственные мутации, или изменение генов – примерно у 1 из 5 пациентов есть близкий родственник с подобным диагнозом, заболеванием В-лимфоцитов, лимфомой или лейкозом.
- Часть исследований показала, что на вероятность появления макроглобулинемии влияет и хронический гепатит С – воспалительное поражение печени, вызываемое вирусом.
- Некоторые типы аутоиммунных нарушений, связанных с неправильной работой иммунитета, такие как синдром Шегрена – повреждение соединительной ткани и желез, включая слезные и слюнные.
Данные факторы повышают вероятность развития болезни Вальденстрема, но врачам до сих пор не понятно, как именно это работает, поскольку даже сочетание нескольких из них не обязательно превращает человека в пациента онколога.
На сегодняшний день ученым известно, как изменения генов в нормальных лимфоцитах могут привести к их превращению в клетки лимфомы, множественной миеломы, или выработке большого количества М-белков, вызывающих симптомы макроглобулинемии. Некоторые из них – онкогены, контролируют рост и образование новых клеток, а супрессоры опухолей замедляют их деление и вызывают гибель по окончанию нормального жизненного цикла. При активации первых из них и «выключении» вторых, клетки бесконтрольно размножаются и не умирают в положенное время.
Часть таких нарушений наследуется от родителей, но в большинстве случаев они возникают в течение жизни, в том числе без видимой причины.
Недавние исследования показали, что примерно у 9 из 10 пациентов есть ошибки в гене MYD88, который помогает клеткам иммунной системы передавать друг другу сигналы и выживать.

Симптомы и признаки макроглобулинемии Вальденстрема
Нередко на момент выявления заболевание не вызывает никаких проблем со здоровьем и обнаруживается только при изучении результатов анализов крови. Как правило, со временем его проявления все же дают о себе знать. Часть из них похожи на признаки других типов неходжкинских лимфом:
- Слабость – один из наиболее распространенных симптомов. Она может быть вызвана анемией – нехваткой переносящих кислород из легких в ткани эритроцитов. Это происходит при замещении нормальных кроветворных клеток в костном мозге на неправильные, не способные выполнять свои функции. Кроме того, некоторые люди чувствуют упадок сил при сгущении крови из-за накопления в ней измененного М-белка.
- Потеря аппетита.
- У части пациентов развивается нейропатия – повреждение нервов, атакованных аномальными антителами – белками, которые необходимы для защиты организма от болезнетворных микроорганизмов. В таких случаях у человека появляются онемение или болезненные ощущения бегающих мурашек в стопах и ногах.
- Так называемые «В-симптомы»: лихорадка, или повышение температуры, сильная ночная потливость и заметная внезапная потеря веса.
Другие проявления болезни связаны с избытком IgM, или М-белка, вырабатываемого измененными лимфоцитами:
- Синдром повышенной вязкости – сгущение крови, затрудняющее ее перемещение по сосудам. Данное состояние приводит к нарушению кровообращения в головном мозге и развитию нарушений, похожих на признаки инсульта Инсульт – это нарушение кровоснабжения головного мозга. . Они могут включать в себя внезапную слабость либо онемение руки или ноги, потерю равновесия, речи, координации движений и сознания. К сожалению, стандартные кроверазжижающие препараты в данной ситуации не помогают.
- Амилоидоз– повреждение тканей и отказ органов, таких как сердце и почки, из-за накопления в них частиц IgM.
- Появление криоглобулинов – М-белка, сгущающего кровь только в более холодных частях тела, таких как кончик носа, уши, пальцы рук и ног. Их образование вызывает боль и другие неприятные симптомы в данных областях при воздействии на них низких температур.
К менее распространенным признакам макроглобулинемии Вальденстрема относятся:
- Увеличение лимфатических узлов – маленьких органов размером с горошину, задачей которых является задержание и обезвреживание опасных веществ. Они выглядят как шишки или припухлости диаметром 2,5-5см под кожей вокруг шеи, в паху или подмышках.
- Вздутие живота. Увеличенные печень и селезенка давят на желудок, из-за чего человек ощущает сытость даже после приема небольшого количества пищи.
- Избыток измененных антител Антитела – это белки, которые помогают организму атаковать и уничтожать болезнетворные микроорганизмы, такие как бактерии. травмирует сосуды и вызывает кровотечения из носа, десен и других структур.
- Высокие уровни М-белка повреждают почки, в результате чего в крови остается слишком много солей, воды и различных продуктов жизнедеятельности организма. Это приводит к развитию слабости, затруднению дыхания и накоплению жидкости в тканях.
- Скопление IgM повреждает сердце, изнашивает его и не позволяет ему нормально перекачивать кровь. В результате чего пациент страдает от постоянной усталости, кашля, одышки – ощущения нехватки воздуха, быстрого увеличения веса, учащенного сердцебиения, а также отеков стоп и ног.
- Избыток макроглобулинов Макроглобулинемия Вальденстрема развивается в В-лимфоцитах. Они производят большое количество антител определенного типа – макроглобулинов, иммуноглобулинов М, IgM или просто М-белков. Их накопление в организме приводит к развитию таких симптомов заболевания, как обильные кровотечения, нарушения зрения и проблемы с нервной системой. замедляет нормальную выработку антител и усложняет борьбу организма с инфекциями.
- Слишком густая кровь травмирует сосуды глаз и ухудшает зрение.
- Воздействие низких температур на людей, у которых есть криоглобулины, уменьшает приток крови к кончику носа, ушей, пальцев рук и ног, и вызывает боль, зуд, посинение или появление язв.
- Накопление М-белка в кишечнике вызывает диарею, ухудшение всасывания витаминов и кровотечения в пищеварительном тракте.

Диагностика макроглобулинемии Вальденстрема
Заболевание часто обнаруживается при обращении к врачу из-за появления симптомов или плохого самочувствия, либо случайно по данным обследования, никак не связанного с проявлениями макроглобулинемии.
Диагностика начинается с опроса о имеющихся нарушениях, сроке их появления, возможных факторах риска и семейных проблемах со здоровьем. Затем специалист назначает ряд исследований.
Лабораторные тесты – анализы крови, необходимые для:
- Подсчета количества переносящих кислород эритроцитов, противостоящих инфекциям лейкоцитов и останавливающих кровотечения тромбоцитов.
- Оценки уровней различных антител для выявления их избытка или нехватки.
- Определения вязкости.
- Измерения криокрита, или количества криоглобулинов – М-белка, сгущающего кровь только в более холодных частях тела, таких как кончик носа, уши, пальцы рук и ног.
- Выявления холодовых агглютининов – белков, которые атакуют и убивают переносящие кислород эритроциты, накапливаются и блокируют сосуды.
- Обнаружения бета-2-микроглобулина – белка, вырабатываемого измененными макроглобулинемией клетками. Присутствие этого вещества в организме не вызывает никаких проблем со здоровьем. Измерение его уровня используется для определения прогнозов – чем он выше, тем хуже перспективы пациента.
Биопсия, или изъятие небольшого количества пораженных тканей – единственный способ, позволяющий безошибочно ставить точный диагноз.
Образцы костного мозга получают с помощью иглы или специального инструмента. Материалы из лимфатических узлов забирают при прокалывании либо в ходе операции по их удалению.
Ткани передаются в лабораторию, где специалисты изучают свойства клеток, из которых они состоят.
Рентгенография грудной клетки – назначается для выявления в ней увеличенных лимфатических узлов.
КТ, компьютерная томография – создание множества рентгеновских снимков, объединяемых в одно подробное черно-белое изображение. Используется для обнаружения поврежденных лимфоузлов или других органов грудной клетки, брюшной полости и таза. Кроме того, под контролем КТ в подозрительную область вводятся иглы для биопсии или другой инструмент.
МРТ, магнитно-резонансная томография – как правило, у пациентов с макроглобулинемией назначается для оценки состояния головного и спинного мозга.
УЗИ – безопасное для организма исследование, которое назначается для осмотра лимфоузлов и поисков увеличенных органов, таких как печень, селезенка и почки, а также направления иглы забора образцов тканей.
ПЭТ, позитронно-эмиссионная томография – выявление любых, даже самых маленьких очагов скопления измененных клеток в любых областях тела.
Полную диагностику макроглобулинемии Вальденстрема можно пройти в онкологическом центре «Лапино-2».
Наши специалисты выполняют любые исследования, берут необходимые анализы и проводят лечение по современным мировым стандартам и протоколам.
Стадии макроглобулинемии Вальденстрема
Перспективы пациентов, тяжесть состояния и выбор лечения для большинства онкологических заболеваний определяется по стадии – количеству пострадавших тканей. Для макроглобулинемии данная тактика не применяется, поскольку стратегия борьбы с ней зависит не от распространенности измененных клеток по телу.
Вместо обычного стадирования здесь используется Международная прогностическая система оценки, которая учитывает другие факторы:
- Возраст более 65 лет;
- Менее 11,5 г/дл в крови гемоглобина – белка, который переносит по телу железо, удерживающее необходимый для работы всех клеток кислород.
- 100 000 мкл или меньше тромбоцитов, останавливающих кровотечения.
- Более 3 мг/л бета-2-микроглобулина – белка, присутствующего на поверхности почти всех клеток организма. Его содержание в крови при воспалении, миеломе, лимфоме и других заболеваниях повышается.
- Более 7 г/дл моноклонального IgM – измененных белков, которые производятся клетками макроглобулинемии Вальденстрема.
Каждый из этих факторов, за исключением возраста, оценивается в 1 балл. Затем они суммируются для получения оценки, которая предполагает разделение пациентов на 3 группы:
- Низкий риск: люди 65 лет и моложе, получившие не более 1 балла.
- Средний риск: от 65 лет с 2 и менее баллами, либо до 65 лет с 2 баллами.
- Высокий риск: любой возраст и не менее 3 баллов.

Тактика борьбы с заболеванием подбирается индивидуально для каждого пациента. Она зависит от возраста человека, общего состояния здоровья, его принадлежности к определенной группе риска и наличия других тяжелых нарушений.
Лечение может включать в себя несколько методов.
Химиотерапия – уничтожение измененных клеток специальными препаратами, которые принимаются внутрь либо вводятся в вену, мышцу или под кожу. Они попадают в кровоток, распространяются по всему телу и работают во всех его частях. «Химия» проводится циклами, за каждым из которых следует период отдыха, за время которого организм восстанавливается от действия лекарств.
Таргетная терапия – средства, которые работают только против определенных особенностей, содержащихся исключительно в измененных клетках. Они блокируют белки, которые помогают неправильным клеткам расти, делиться и выживать.
Иммунотерапия – препараты, помогающие собственной иммунной системе человека противостоять заболеванию.
Моноклональные антитела, такие как Ритуксимаб – это искусственно созданная версия природных белков, вырабатываемых иммунитетом для борьбы с инфекциями. Они присоединяются к особому белку на поверхности клеток лимфоцитарной лимфомы и убивают их.
Если в организме человека образуется слишком много измененного белка IgM, кровь становится очень густой. Для ее разжижения назначается плазмаферез – отделение плазмы, или жидкой части крови, от ее клеток. В результате чего опасные компоненты изымаются, а клетки крови смешиваются с солевым раствором и плазмой донора и возвращаются пациенту.
Процедура безболезненна и быстро снижает уровень IgM, но при отсутствии лечения их количество снова растет. Как правило, вмешательство подходит людям, которые ждут начала действия химиотерапии или других препаратов. Кроме того, его можно проводить в том случае, если прочие способы борьбы с макроглобулинемией не работают.
В некоторых ситуациях могут помочь высокие дозы «химии». Они довольно эффективны, но их применение вызывает тяжелые побочные эффекты, такие как повреждение костного мозга, развитие кровотечений и инфекций. Для снижения вероятности их появления врачи применяют трансплантацию, или пересадку стволовых клеток, из которых формируются новые нормальные клетки крови. Специалисты получают необходимое количество материала от подходящего донора или у самого пациента, проводят химиотерапию и возвращают его обратно. Данный метод обычно назначается молодым людям, которым не подходят другие варианты лечения.
Лучевая терапия – уничтожение измененных клеток при помощи радиации. Как правило, облучение используется для уменьшения увеличенных селезенки и лимфатических узлов.
Специалисты центра «Лапино-2» проводят любое лечение макроглобулинемии Вальденстрема.
Мы предлагаем каждому пациенту максимальный комфорт и индивидуальный подход – любые исследования и терапия выполняются на территории клиники без очередей, по решению консилиума врачей различных специальностей.
В нашем центре применяются все современные методики борьбы с онкологическими заболеваниями и исключительно оригинальные препараты, дающие предсказуемый результат.
Записаться на прием или консультацию в «Лапино-2» можно как по телефону, так и онлайн.
Выживаемость и прогнозы при макроглобулинемии Вальденстрема
Перспективы каждого человека индивидуальны. Они зависят от множества факторов, таких как количество баллов по Международной прогностической системе, возраст, общее состояние здоровья, наличие других тяжелых заболеваний и реакция организма на лечение.
Для их оценки врачи используют 2 специальных показателя.
«Пятилетняя выживаемость» – процент пациентов, оставшихся в живых на протяжении 5 или более лет с момента постановки диагноза. Для различных групп риска он выглядит следующим образом:
- низкий – 87%;
- средний – 68%;
- высокий – 36%.
Еще один способ оценки – это средняя выживаемость, или промежуток времени с момента начала лечения, в течение которого одна половина пациентов жива, а вторая – скончалась:
Макроглобулинемия Вальденстрема входит в группу заболеваний, объединенных под названием «глобулинемий». Термин подразумевает патологические состояния, вызванные измененными белками крови (глобулинами).
Рассматриваемую болезнь относят к опухолям костного мозга. Потому что она вызывается чрезмерной выработкой В-лимфоцитов, продуцирующих М-иммуноглобулины. Аномальный белок накапливается в крови больного, повышает вязкость, создает благоприятные условия для тромбообразования в сосудах.
В МКБ-10 болезнь учитывается в группе злокачественных новообразований с кодом C88.0.
Вероятные причины и провоцирующие факторы
Конкретная причина заболевания не установлена. Наибольшее число сторонников имеет вирусно-генетическая теория происхождения. Она считает, что особые вирусы (из 15 типов) при внедрении в организм человека способны не просто снизить иммунитет, а качественно нарушить полноценную иммунную защитную реакцию. Проникая внутрь клеток-предшественников в костном мозге, они вызывают резкое усиление их деления.
Наследственность, возможно, является предрасполагающим фактором. В некоторых семьях выявлены нарушенные структуры хромосом, отвечающих за кроветворение. Эта информация способна передаваться последующим поколениям.
Факторами, провоцирующими заболевание, считают следующие.
Физическое воздействие на костный мозг:
- ионизирующей радиацией при аварийных ситуациях, передозировке лучевой диагностики;
- рентгеновскими лучами, если при работе с аппаратом нарушаются правила использования и уборки помещения.
Химические вещества — на «вредных» производствах они попадают в организм через кожу, при вдыхании паров. Сюда относятся:
- лаки;
- анилиновые красители;
- соли тяжелых металлов;
- ядохимикаты;
- лекарственные препараты (антибиотики, соли золота).
Биологическими факторами являются:
- вирусные инфекции;
- микобактерия туберкулеза;
- возбудители кишечных инфекций;
- реакция на воздействие общества и другого человека (стрессы, хирургические операции).
Пока не доказана роль злокачественных новообразований и хронических воспалительных процессов в возникновении макроглобулинемии Вальденстрема, но число и результаты исследований не позволяют отрицательно относиться к этим причинам.

Схемы построения молекул макроглобулинов, при болезни Вальденстрема появляется IgM-вариант
Патогенетическая картина заболевания
Согласно ведущей теории, начало болезни инициируется проникновением вируса в клетки. В ответ организм производит антитела (IgM комплексы), которые реагируют не только на поврежденные, но и на собственные здоровые ткани (аутоиммунный механизм).
Начальный этап похож на миеломную болезнь, однако разрушения костной ткани с повышением уровня кальция в крови не происходит. Костный мозг усиливает синтез иммунных клеток, которые, в свою очередь, повышают продукцию макроглобулинов.
Это белковые молекулы больших размеров, поэтому они не проникают через почечный барьер. У 1/5 части больных обнаружены сравнительно мелкие «легкие» цепочки белков. Они свободно выделяются с мочой.
Другая последовательность развития макроглобулинемии Вальденстрема связана с нейропатией. Происходит потеря гликопротеида в миелиновой оболочке периферических нервов за счет воздействия на него аутоантител. Тогда заболевание сходно по течению с рассеянным склерозом.
Повышение концентрации в крови макроглобулина вызывает:
- рост вязкости, соответственно, снижение скорости кровотока в мелких артериях и капиллярах;
- макроглобулин покрывает поверхность клеток-тромбоцитов, снижает активность факторов свертываемости.
Это объясняет наличие при заболевании одновременно кровоточивости и склонности к тромбозам.
Макроглобулинемия Вальденстрема возможна в вариантах:
- как изолированное заболевание;
- в сочетании со злокачественными опухолями из лимфатической ткани, инфекционными заболеваниями, хроническими воспалительными процессами;
- в качестве стабильной серологическая аномалия без признаков какой-либо болезни (доброкачественное течение).
Небольшое количество IgM имеет сыворотка больных с неходжкинской лимфомой (5 % случаев В-клеточной формы), заболевание именуется макроглобулинемической лимфомой. Выявляется у пациентов с хроническим лимфолейкозом.
Клиническое течение
Симптомы макроглобулинемии Вальденстрема можно выделить в группу общих и отдельных синдромов.
Среди общих симптомов наблюдаются:
- утомляемость, слабость;
- повышенная потливость;
- суставные боли;
- умеренная длительная лихорадка в пределах 37,0-37,5˚;
- похудение.
Синдромы называют по основным патологическим изменениям.
Повышение вязкости крови — встречается почти в 70% случаев. Включает симптомы:
- разную степень утраты сознания, от легкой заторможенности да комы;
- головные боли;
- временную потерю слуха с самостоятельным восстановлением;
- ограниченную подвижность в руках и ногах;
- ретинопатию сетчатки с потерей зрения.
Геморрагический синдром — с него может начинаться болезнь или служить основным клиническим проявлением. Симптомы:
- кровоточивость десен;
- носовые и маточные кровотечения;
- длительное незаживление ран с просачиванием крови сквозь повязки;
- петехиальная сыпь на коже;
- кишечные кровотечения;
- кровоизлияния в сетчатую оболочку глаз.
Синдром гиперплазии органов и тканей, в которые попадают опухолевые клетки — имеют 50% пациентов, включает:
- жалобы на тяжесть и тупые распирающие боли в подреберье справа и слева — связаны с увеличением печени и селезенки;
- увеличенные лимфоузлы, которые становятся плотными на ощупь, спаяны с окружающими тканями.
Синдром параамилоидоза внутренних органов — излишки макроглобулина откладываются в суставах, мышце сердца, легочной ткани, почках, стенке кишечника, в головном мозге. Это нарушает функционирование и вызывает:
- боли и снижение подвижности в суставах;
- аритмии (чувство сердцебиения, перебоев);
- возможно нарушение движений в языке, сложности с речью, увеличение органа;
- проявления дыхательной и почечной недостаточности.

Синдром демиелинизации нервных волокон — выражается в болях по всему телу, появлении участков онемения кожи
Синдром иммунодефицита — характеризуется повышенной чувствительностью пациентов к инфекции, частым заражением и тяжелым течением острых заболеваний.
Описаны случаи бессимптомного течения заболевания.
На приеме врач должен выяснить:
- точные симптомы заболевания;
- как давно они появились;
- имеется ли связь с провоцирующими факторами (контакт с вредными веществами, хроническим воспалительным процессом);
- какие лекарственные препараты принимал пациент в последнее время;
- наследственную предрасположенность.
Особое внимание уделяется выяснению информации о ранее диагностированных опухолях разных органов, перенесенных операциях.
При осмотре о патологии могут говорить:
- слишком сильная потливость;
- увеличение лимфоузлов;
- кровоизлияния в разных участках на фоне бледной кожи;
- увеличение печеночной тупости, пальпация края печени и селезенки;
- тахиаритмии;
- снижение артериального давления.
Выявленное неблагополучие потребует полной лабораторной и инструментальной диагностики, консультации невролога, гематолога.
Изменение лабораторных показателей
Лабораторные исследования играют весьма значимую роль в правильной постановке диагноза. Для макроглобулинемии Вальденстрема характерны:
- лимфоцитоз (у 90% заболевших) на фоне общего снижения количества кровяных клеток (панцитопении);
- наиболее часто определяется тромбоцитопения (в половине случаев);
- анемия со снижением эритроцитов и гемоглобина при нормальном цветном показателе наблюдается при прогрессирующем течении болезни;
- начальным признаком считается рост СОЭ и построение групп эритроцитов в «монетные столбики».
Исследование биохимических тестов показывает повышенное содержание:
- кальция;
- креатинина — как остаточного продуктов переработки белков;
- солей мочевой кислоты — показывает на усиленный распад клеточных ядерных структур.
Изучение общего белка крови и его отдельных фракций проводится с помощью методики электрофореза: под воздействием электрического тока белки разделяются на составляющие части.

Таким способом выявляют преобладание и резкий рост макроглобулинов (прибор показывает пик или М-градиент)
Для подтверждения природы белка проводится иммуноэлектрофорез, который устанавливает связь с ростом иммунных комплексов (IgM). А при ультрацентрифугировании обнаруживают процентное соотношение IgM в общем белке плазмы. У пациентов оно колеблется от 20 до 70%.
Метод иммунофлюоресценции позволяет увидеть комплексы IgM внутри и на поверхности лимфоцитов.
В анализах мочи возможны изменения, указывающие на присоединение инфекции (повышенное содержание лейкоцитов, микроорганизмы). Появление макроглобулинов в моче невозможно, поскольку почечная мембрана не пропускает крупные молекулы. У 1/3 пациентов обнаруживают небольшое количество мелких белковых цепей (протеин Бенс-Джонса).
Дифференциальную диагностику проводят с миеломной болезнью и лимфолейкозом. Главный отличительный признак — отсутствие при этих заболеваниях паранормального белка в крови.
Дополнительные исследования
Дополнительные инструментальные исследования необходимы для выявления степени поражения внутренних органов и сосудов аномальным белком.
- Проверка состояния глазного дна показывает поражение сосудов в виде расширения и повышенной извитости вен.
- Ультразвуковое исследование позволяет диагностировать увеличенную печень и селезенку, очаги кровоизлияний в них, измененную структуру.
- Рентгенография костного скелета помогает выявить локализацию опухолевого роста, проводится для дифференциальной диагностики с миеломной болезнью.
- Компьютерная томография более точно, чем рентгеновское исследование, устанавливает глубину и размеры опухолевого процесса. Подобные результаты получают также методом магниторезонансной томографии.
- На электрокардиографии (ЭКГ) подтверждаются признаки токсического действия продуктов распада макроглобулинов на миокард или стадия амилоидоза в виде тахикардии, участков миокардиодистрофии и ишемии, реже — нарушенного ритма.
При макроглобулинемии Вальденстрема категорически противопоказаны методики, связанные с контрастирующими веществами. Эти препараты чаще всего содержат йод. Он способен соединяться с макроглобулинами и образовывать нерастворимый комплекс, повреждающий почки. Последствия введения препарата для почечной ткани необратимы.

1 мл препарата содержит 250 мг йода
Что показывает гистологическая картина?
При пункции лимфоузлов и костного мозга подтверждается избыточное продуцирование лимфоцитов, клетки выглядят уменьшенными по размерам, чаще по характеру окраски с базофильной цитоплазмой.
- стенки сосудов и оболочки внутренних органов пропитываются белковыми массами;
- угнетенное кроветворение;
- исследование кожи и слизистых (полости рта, кишечника) показывает отложение макроглобулина.
Признаки доброкачественного течения
Доброкачественное течение заболевания определяется, если у пациента:
- нет увеличения лимфоузлов, печени, селезенки;
- содержание макроглобулина в крови остается на низком уровне и длительно не меняется;
- отсутствует характерная картина костного мозга.
В таких случаях следует предположить симптоматическую макроглобулинемию и искать другое заболевание, способствующее появлению необычного белка. Чаще всего это хронические воспаления, опухоли.
Лечение
При легком течении заболевания без признаков прогрессирования и поражения органов лечение не проводят, пациент находится под наблюдением врача-гематолога и терапевта. Рекомендуется лечебная физкультура, индивидуально подбирается возможная физическая нагрузка.
Если появились увеличенные лимфатические узлы, печень, селезенка, а в крови развивается повышенная вязкость и склонность к тромбозам и кровотечениям, применяют:
- цитостатики (Хлорбутин, Мельфалан, Лейкеран, Циклофосфан) — дозировка тщательно регулируется в зависимости от ответной реакции организма, определяемой по контрольным анализам крови и костного мозга, длительность лечения заранее определить невозможно;
- сочетание Циклофосфана с местной лучевой терапией, при этом дозы и курсы лечения не отличаются от назначений при лимфосаркоме;
- при цитопении и кровоточивости к назначениям добавляют глюкокортикоидные гормональные препараты с постепенным снижением их дозировки;
- антибиотики назначают курсом при подозрении на присоединение инфекции;
- плазмаферез проводится курсами по 10 процедур (2–3 в неделю);
- эритроцитарная масса переливается только при тяжелой анемии (уровне гемоглобина ниже 70 г/л, мозговой коме).

Процедура плазмафереза позволяет удалить и заменить раствором Альбумина, Реополиглюкина, замороженной донорской плазмы до 2 л крови
Кроме плазмафереза, используются другие экстракорпоральные методики очищения крови (гемодиализ, гемосорбция). Они позволяют задержать отложение парапротеинов во внутренних органах, стабилизировать течение заболевания.
Такой метод, как трансплантация костного мозга, при макроглобулинемии Вальденстрема применяется редко. Учитывается, что пациенты — люди пожилого возраста. У них подобная операция часто вызывает осложнения.
Осложнения и прогноз
Осложненными состояниями при макроглобулинемии Вальденстрема считаются:
- присоединение инфекции (системы дыхания, кишечника, почек), тяжелое течение вирусных заболеваний;
- признаки анемии (головокружение, тошнота, нарастающая слабость);
- повышенная кровоточивость, которая приводит к маточным, кишечным кровотечениям;
- парапротеинемическая кома — развивается вследствие тромбоза сосудов головного мозга белковыми соединениями, проявляется потерей сознания, отсутствием реакции на раздражающие факторы, очаговой неврологической симптоматикой.
Даже при поддерживающем лечении прогноз для жизни пациента при прогрессирующем течении заболевания пока остается неблагоприятным: длительность выживания больных не более 7–10 лет после обнаружения заболевания.
Выявление симптомов макроглобулинемии в пожилом возрасте не должно расхолаживать пациента и родственников по поводу лечения. Поддерживающая терапия позволяет уменьшить страдание больного, продлить жизнь.
Читайте также:
