Шинирование зубов. Депульпация зубов при парадонтозе.
Добавил пользователь Евгений Кузнецов Обновлено: 13.12.2025
Шинирование зубов. Депульпация зубов при парадонтозе.
Что касается вопроса, какие зубы включаются в шину, то, определив степень подвижности зубов, врач должен оставить во рту только зубы с патологической подвижностью первой и второй степеней. Некоторые авторы, переоценивающие значение шин, придерживаются мысли о более щадящих способах подготовки полости рта к протезированию и возможно большем сохранении остаточного зубного ряда и включают в шину зубы, даже пораженные пародонтозом третьей степени.
Между тем такая мнимощадящая терапия приносит только вред, а не пользу. Во-первых, зуб с патологической подвижностью третьей степени доводит до минимума срок службы шины, ибо эти зубы через полгода, максимум год, становятся столь подвижными, что сами выпадают, а это вызывает необходимость переделки всей шины. Во-вторых, зубы при пародонтозе с подвижностью третьей степени могут служить причиной воспаления соседних участков альевеолярного отростка; в-третьих, зуб, пораженный пародонтозом третьей степени, является опасным инфекционным очагом в полости рта, а иногда фактором интоксикации всего организма.
Ввиду всего изложенного зубы, пораженные пародонтозом третьей степени, в особенности при экссудативной форме заболевания, подлежат удалению. Не включаются в шину, а подлежат удалению также следующие зубы, пораженные пародонтозом: жевательные зубы, выдвинувшиеся из альвеолы (феномен Попова) вследствие отсутствия антагонистов, и жевательные зубы с обнаженной бифуркацией корней, в особенности если они болезненны.
Депульпация зубов. Важным вопросом в лечении пародонтоза является вопрос о депульпации зубов, пораженных пародонтозом. Известно, что по этому вопросу существуют разные точки зрения. Одни авторы (П. П. Львов, Д. А. Энтин, И. О. Новик, Н. Н. Несмеянов, Порт Эйлер) считают, что благодаря депульпации зубов создаются сдвиги в кровоснабжении тканей пародонтоза, благоприятные для ликвидации пародонтоза.
Они ссылаются на то, что гангренозные и депульпированные зубы редко поражаются пародонтозом. Другие (Руа) полагают, что депульпация зубов имеет не лечебное значение, а профилактическое, а поэтому они считают целесообразным умерщвление пульпы в зубах, еще не пораженных пародонтозом, но могущих стать пародонтозными вследствие поражения пародонтозом других участков зубной системы; депульпирование зубов, уже заболевших пародонтозом, они они считают неэффективным.

Третьи авторы (И. Г. Лукомский, А. А. Анищенко и др.) находят, что депульпирование зубов не имеет ни профилактического, ни лечебного значения и поэтому считают нецелесообразной депульпацию зубов при пародонтозе.
Мы присоединяемся к третьей точке зрения, особенно учитывая недостатки, которыми страдает метод депульпации. Депульпация зубов является весьма трудоемкой работой для врача и не всегда возможна вследствие морфологических особенностей зубов, в частности фронтальных нижних зубов. Нередко она ведет к гибели интактных зубов в результате возникновения воспалительных явлений в области периапикальных тканей и, наконец, связана с образованием потенциальных инфекционных очагов в полости рта больного (мертвые зубы), и без того неблагополучной с гигиенической точки зрения («угрожаема» по ротовому сепсису).
Таким образом, депульпация, как правило, не показана при шинировании зубов.
Деление шин
Шины делятся нами по следующим признакам: 1) способ передачи жевательного давления; 2) материал, из которого их готовят; 3) конструкция; 4) характер соединения с протезом; 5) протяженность.
По способу передачи жевательного давления шины подразделяются на шины, полностью перекрывающие окклюзионные (режущие или жевательные) поверхности, перекрывающие эти поверхности частично и совсем не перекрывающие их. В случае применения шин, полностью перекрывающих окклюзионные поверхности, все жевательное давление падает на шины и воспринимается подвижными зубами через шины; при применении шин, не полностью перекрывающих окклюзионные поверхности, часть давления падает на шины и часть — на открытые окклюзионные поверхности подвижных зубов.
Как известно, нагрузка зуба состоит из горизонтальных и вертикальных компонентов. При диастемах между подвижными зубами, что характерно для клиники пародонтоза, зубы имеют большую амплитуду движения. В случае соединения их шиной в блок в единое функциональное целое почти полностью снимаются патологические движения в горизонтальном направлении. Что касается вертикальных компонентов нагрузки, то шина, перекрывающая окклюзионные поверхности опорных и подвижных зубов, полностью перемещается только в пределах физиологической подвижности, свойственной опорным зубам.
По конструкции шины подразделяются на съемные и несъемные, а несъемные делятся на кольцевые, полукольцевые, колпачковые, коронковые, капповые, полукоронковые, вкладковые, штифтовые с депульпацией и штифтовые без депульпации зубов. Благодаря этому шинированные подвижные зубы имеют минимальную подвижность в вертикальном направлении. Такая функция пораженных пародонтозом зубов создает физиологические условия для их существования и снимает с них перегрузку.
Если шина не перекрывает окклюзионную поверхность или покрывает лишь часть ее (режущего края), то подвижный зуб подвергается жевательному давлению не только совместно с шиной, но и отдельно — без шины. Это приводит к тому, что подвижные зубы вскоре после шинирования расцементировываются и выскальзывают из-под шины. Таким образом, более целесообразны шины, перекрывающие целиком (а не частично) режущие или жевательные поверхности зубов.
В качестве материала для шин используются пластмассы и различные металлы. Современные пластмассовые шины непрочны, они требуют значительной препаровки коронок подвижных зубов, наносящей большую травму тканям зуба, и показаны лишь в редких случаях. Как правило, должны применяться металлические шины.
По конструкции шины подразделяются на съемные и несъемные, а несъемные делятся на кольцевые, полукольцевые, колпачковые, коронковые, капповые, полукоронковые, вкладковые, штифтовые с депульпацией и штифтовые без депульпации зубов.
Информация на сайте подлежит консультации лечащим врачом и не заменяет очной консультации с ним.
См. подробнее в пользовательском соглашении.
Шинирование зубов

Шинирование зубов — это процедура, которая позволяет зафиксировать положение расшатавшихся зубных единиц, а также равномерно распределить на них жевательную нагрузку. За период ношения конструкции процесс расшатывания зубов прекращается, а ткани пародонта регенерируют и восстанавливают свои опорные свойства. Таким образом зубы укрепляются в лунках, и их подвижность устраняется полностью.
Если вы заметили, что ваши зубы стали расшатываться – не медлите. Чтобы избежать их выпадения нужно начать терапию как можно скорее. В нашей клинике для изготовления шинирующих конструкций используются современные качественные материалы, что позволяет достичь нужного результата без дискомфорта при их ношении.
Выбрать услугу
Показания к проведению процедуры шинирования
Показаний к процедуре может быть несколько, но наиболее востребовано шинирование при пародонтите.
Справка! Пародонтит – воспалительное заболевание тканей пародонта (тканей, которые окружают зуб и служат ему опорой). Для пародонтита характерно бессимптомное течение, что является причиной позднего обращения к врачу, когда мягкая и костная ткань уже основательно разрушена и зубу попросту не за что держаться.
При поздних стадиях пародонтита поддесенная часть зуба обнажается на ¼ и более. В этом случае необходимо срочно лечить пародонтит и провести шинирование подвижных зубов.
Также шинирование зубов выполняется в таких случаях:
- При веерообразном расхождении зубов. При этом дефекте необходимо их «стянуть» и равномерно распределить жевательную нагрузку.
- Для стабилизации зубного ряда после процедур по исправлению прикуса.
- При неправильно расположении одного из зубов, если на него приходится повышенная нагрузка.
- При травмах. С помощью шины закрепляют зубы после ушибов и переломов челюсти.
Конструкции для выполнения шинирования разнообразны и различаются в зависимости от решаемой задачи и долгосрочности терапии.
Виды шинирования зубов
Зубы соединяются в единый блок с помощью жесткой скрепляющей конструкции – шины, которая может быть как стационарной, так и съемной. Любая шина должна отвечать следующим требованиям:
- не травмировать мягкие ткани;
- не затруднять гигиену ротовой полости;
- быть гипоаллергенной;
- не вызывать затруднений с приемом пищи;
- не нарушать дикцию;
- быть устойчивой к механическим нагрузкам.

Важно, чтобы при шинировании в зону охвата конструкции попало больше здоровых зубов – это разгрузит больные зубы и даст им «отдохнуть». Если подвижен весь зубной ряд, процедура шинирования будет менее эффективна.
Так как шина дает возможность распределить жевательную нагрузку, чем больше единиц зубного ряда в ней будет задействовано, тем эффективнее будет терапия. Наиболее эффективно шинирование передних зубов. При установке шины на молярах и премолярах (по бокам), шинирование зубов выполняют симметрично с обеих сторон, а затем соединяют мостиком. Это необходимо для дополнительного укрепления, так как линейная конструкция значительно менее устойчива, чем арочная.
По длительности ношения шины делятся на 3 типа:
- Временные – до 3 месяцев;
- Долговременные – от 3 мес до 1 года;
- Постоянные – дольше 1 года.
Вид шины и длительность ее использования зависит от задачи, которую эта система решает на данном этапе.
Например, шинирование зубов при пародонтите производится в рамках терапии этого заболевания. А это значит, что состояние зубного ряда может измениться, как в лучшую, так и в худшую сторону. Например, потеря одного или нескольких зубов при пародонтите – не редкость. После этого необходимо менять форму конструкции с учетом недостающих единиц. Поэтому в период проведения интенсивного лечения обычно используют временные шины.
Временные конструкции должны:
- быть не слишком дорогими;
- не мешать докторам проводить медицинские манипуляции;
- подлежать модификации в процессе лечения.
Постоянные шины нужны в качестве поддерживающей терапии.
К ним добавляются требования эстетики и высокой износостойкости. Однако заболевания пародонта характерны рецидивами, поэтому даже при использовании постоянной конструкции желательно иметь возможность ее модификации.
Долговременные системы – своего рода компромисс между временной и постоянной шиной. Их устанавливают в случае, если ремиссия достигнута, но есть сомнения в ее стойкости. Шинирование зубов может выполняться:
- нитями;
- съемными протезами;
- коронками;
- вкладками.
Временное и долговременное шинирование выполняется обычно нитями, а постоянное — при помощи протезов.
Этапы шинирования и материалы
Какой из методов будет применен и какие материалы выбраны, решает врач, в зависимости от индивидуальных особенностей пациента и плана терапии. При шинировании нитями активно используется стекловолокно, полиэтилен, арамидное волокно. Структура всех нитей схожа – это плетение из волокон толщиной от 3 до 5 мкм. Однако их химический состав различен, и поэтому отличаются свойства.
- Стекловолокно биологически инертно и имеет неорганическую природу. Его выпускают в виде лент и полых жгутиков. Жгутики обычно используют при проведении манипуляций на жевательных зубах.
- Полиэтилен – биосовместимое вещество органического происхождения. Активируется с помощью плазменной обработки, что позволяет ему лучше впитывать композитный материал, а значит, надежно крепиться на зубах.
- Арамид – полиамидное волокно обладающее сверхпрочностью и износостойкостью. По прочностным характеристикам арамид не уступает стали. Он биоинертен, стоек по отношению к грибкам и бактериям, отлично держит форму.
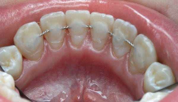
Шинирование подвижных зубов стекловолокном

Рассмотрим методику выполнения процедуры с помощью стекловолоконной нити. При шинировании нитями из других материалов она практически такая же, и отличается лишь небольшими нюансами.
Шинирование зубов стекловолокном проводится в несколько этапов:
- Перед установкой конструкции зубы очищаются от налета, а их поверхность полируется. Этот этап очень важен, так как именно скопление бактерий в зубных отложениях вызывает пародонтит.
- Зубную ткань протравливают, и создают при помощи бора горизонтальную бороздку вдоль зубов, которые подлежат шинированию. Ширина и высота выемки около 2 мм. Перед этим пациенту делают укол местного анестетика.
- В бороздку укладывается лента из стекловолокна, а сверху наносится композитный материал. Под воздействием света галогенной лампы композит отвердевает.
- Поверхность шлифуется.
Таким образом получают балочную конструкцию, которая надежно устраняет подвижность зубов, обладает отличной эстетикой, не влияет на дикцию и не мешает ухаживать за полостью рта.
Шинирование стекловолоконной лентой на данный момент относится к наиболее востребованным способам проведения этой процедуры.
Вантовое шинирование зубов
При этом способе применяют арамидную нить. Это материал повышенной прочности, что дает возможность выполнять вантовое шинирование зубов не только для временного, но и для долговременного использования.
Справка. Слово арамид означает «ароматический полиамид». Сложно переплетенная структура волокон дает уникальные прочностные, износостойкие и термоустойчивые свойства ткани. Изделия из арамида используются в производстве спецодежды для полиции, армии, пожарных. Кевлар – торговая марка, под которой выпускают пуленепробиваемые каски и бронежилеты из арамида.
Этот вид шинирования схож со стекловолоконным по способу выполнения – на зубах выполняют горизонтальный пропил, на который накладывается арамидная лента. Затем она закрывается пломбировочным композитным материалом. Этот метод может быть применен и при зубном протезировании – протез надежно крепится арамидной нитью между здоровыми зубами.
Шинирующий бюгельный протез
Так как заболевания пародонта, в большинстве случаев, сопровождаются дефектами коронки (видимой части зуба) и потерей зубов, возникает необходимость в протезах с шинирующим свойством. Бюгельная конструкция может не только фиксировать больные зубы, но и замещать уже утраченные – то есть, быть по сути шиной-протезом.
Бюгельный протез – съемная конструкция, которая состоит из каркаса, который удерживается в челюсти при помощи замков или кламмеров. Каркас представляет собой дугу (бюгель) из звеньев в виде когтевидных отростков или кламмеров. Крепится бюгель к здоровым зубам, на которые надеваются коронки.
Этапы изготовления конструкции:
- Снимаются мерки зубного ряда и обрабатываются опорные единицы.
- Выполняется слепок челюстей пациента и создается их модель из гипса.
- Отливается база с каркасом для коронок.
- Производится ряд примерок и коррекции.
- Протез устанавливается и окончательно регулируется.
У метода есть недостатки – это высокая цена, довольно низкая эстетика бюгеля с кламмерными креплениями, необходимость пациенту иметь не менее 4-х опорных зубов (иначе конструкция не сможет быть установлена).
Шинирование вкладками и коронками
Шина из вкладок – это металлическая дуга, устанавливаемая на специально подготовленном режущем крае. Крепится конструкция на коронках или штифтах, которые ставятся на опорные зубы. Изготовление такой конструкции достаточно сложно технически. Зубы под коронку требуют препарирования. Выполняется такой вид шинирования обычно на передних зубах.
Спаянные между собой металлические или безметаллические коронки также могут служить шиной. Однако под них необходимо препарирование зубов – чаще всего, это нецелесообразно с медицинской точки зрения. Эстетически выполненные коронки из металлокерамики, фарфора или циркония дороги – и это уже бывает неоправданно со стороны материальной.
Виды возможных осложнений
При стекловолоконном и вантовом шинировании возможны такие неприятные последствия:
- Повреждение пульпы из-за высверливания слишком глубокой полосы под шину. Это приводит к развитию пульпита – воспаления нерва, и требует депульпации зуба и пломбировки каналов.
- Аллергические реакции на материал.
- Уменьшение толщины эмали после профессиональной чистки и протравливания зубной ткани. В этом случае развивается чувствительность к холодному и горячему.
- При недостаточности чистки перед процедурой на зубах могут остаться бактерии. Начав размножаться под шиной, они приводят к развитию кариеса и пульпита. Это требует снятия шины и пролечивания зубов.
- Воспалительные процессы слизистой около зоны шинирования.
Противопоказания
Противопоказаний для выполнения процедуры немного. Абсолютным противопоказанием является аллергия на используемые материалы. Относительными – повышенная чувствительность зубов, сильное воспаление десен, гнойные процессы внутри десневых карманов. Эти факторы подлежат устранению перед шинированием. При плохой гигиене ротовой полости установка шины может оказаться просто бесполезной.
Шинирование зубов цена
Стоимость процедуры зависит от выбранной техники и материалов. Дешевле всего обойдется использование стальных коронок. Стабилизация передних зубов стекловолоконной лентой стоит дороже, шинирование моляров и премоляров – дешевле.
Самая дорогая конструкция – бюгельный протез. Зачастую непосредственно перед шинированием пациенту необходимо пройти дополнительное лечение, например, при повышенной чувствительности зубов, реминерализацию. Это тоже может существенно повлиять на стоимость всей процедуры.
Окончательная цена шинирования зубов может быть озвучена врачом только после утверждения плана лечения.
Шинирование зубов при пародонтите

Шинирование зубов – это один из методов лечения пародонтита, целью которого – укрепить подвижные зубы. Добиться этого можно двумя путями:
— при помощи связывания группы зубов стекловолокном,
— при помощи зубных протезов.
Для чего нужно шинирование подвижных зубов?
При пародонтите средней и тяжелой степени подвижность зубов становится одним из основных симптомов заболевания. Обычно подвижность зубов начинается при атрофии костной ткани более 1/4 длины корня зуба. Поэтому существует прямая связь между величиной атрофии кости и степенью подвижности зубов.
Обнажение шеек передних зубов – это один из визуальных признаков атрофии костной ткани. На рентгенограмме в этом случае мы можем увидеть убыль кости. В норме костная ткань должна доходить практически до шейки зуба. В тот момент, когда при пародонтите возникает подвижность зубов – скорость разрушения (атрофии) костной ткани многократно ускоряется. В свою очередь, разрушение костной ткани вокруг зуба приводит к еще большей подвижности зубов. По сути (при отсутствии лечения) процесс приобретает неконтролируемый характер с постоянным прогрессированием симптомов воспаления, в том числе и подвижности зубов.
Со временем, под воздействием жевательной нагрузки подвижные зубы начинают постепенно менять свое положение, наклоняться в разные стороны, а также веерообразно расходиться. Вот чтобы все это предотвратить и необходимо шинирование зубов.
Рассмотрим каждый из этих методов.
1. Шинирование подвижных зубов стекловолокном.
Шинирование передних нижних зубов.
Если шинируются передние нижние зубы, то в этом случае на внутренней поверхности, например, 4-х, 5- ти или 6-ти нижних передних зубов сначала делается горизонтальная борозда высотой 1,5-2 мм и глубиной 2 мм. Потом в эту бороздку укладывается цельная стекловолоконная лента. После чего, борозда (вместе с находящейся в ней стекловолоконной лентой) заливается светоотверждаемым композитом.
Конечно, у этого метода есть противопоказания, поэтому нужна консультация стоматолога- пародонтолога. Количество зубов, которое берется в шину, будет зависеть от состояния всей группы передних зубов. Кроме наиболее подвижных зубов в шину обязательно должны браться неподвижные зубы (обычно это клыки). Это позволит разгрузить подвижные резцы, т.к. благодаря жесткой шине клыки будут забирать на себя большую часть жевательного давления.
Шинирование передних верхних зубов.
Шинирование передних верхних зубов применяется при подвижности зубов, при угрозе или уже при наличии веерообразного расхождения зубов. В этом случае в зубах также высверливается борозда высотой 1,5-2 мм и глубиной 2 мм. Однако чаще всего борозда высверливается на передней поверхности верхних зубов, после чего в нее укладывается стекловолоконная лента и закрывается фотополимерным пломбировочным материалом.
Обратите внимание, что при помощи пломбировочного материала можно сделать так, что широкие межзубные промежутки будут ликвидированы. Количество зубов, которое будет браться в шину – будет зависеть от клинической картины.
Шинирование боковых зубов.
Если шинируется боковая группа зубов, то бороздка под стекловолоконную ленту высверливается не на внутренней, а на жевательной поверхности нескольких зубов. В борозду точно также укладывается стекловолоконная лента и заливается световым композитом.
В результате чего достигается эффект от шинирования. При отсвечивании фотополимерной лампой стекловолоконной ленты – она превращается в очень твердую балку, надежно прикрепленную к зубам. Зубы (при помощи такой балки) сцеплены все вместе и, как правило, совершенно неподвижны.
Стекловолоконная балка на зубах (шина) позволяет также перераспределить жевательную нагрузку между зубами. Даже накусывая на один зуб – нагрузка будет равномерно распределяться по всем зубам, входящим в шину. Это очень важно, т.к. при пародонтите зубы не только подвижны, но и слегка расходясь – теряют контакт друг с другом.
Результат потери контакта между зубами – каждый зуб несет максимум нагрузки и не способен распределять нагрузку между соседними зубами через такие контакты. В этих условиях костная ткань атрофируется значительно быстрее. Шинирование зубов в таких условиях – значительно увеличит срок службы таких зубов и остановит (или замедлит) атрофию кости.
2. Шинирование подвижных зубов коронками.
В этом случае зубы сначала депульпируются (пломбируются корневые каналы) и потом обтачиваются под коронки. После чего на них уже фиксируют «спаянные» друг с другом коронки, например, из металлокерамики. Этот вариант шинирования имеет значительно больший срок службы и надежность, чем шинирование стекловолокном. Однако его стоимость выше, причем, значительно.
3. Шинирование зубов бюгельными протезами.
Большой плюс таких протезов в том, что они позволяют не только шинировать подвижные зубы, но и одновременно восстановить отсутствующие зубы. Более подробно об этом типе протезов вы можете узнать на приеме у врача ортопеда.

Статью подготовила: Заведующий отделением: врач-стоматолог-терапевт Логиновских Татьяна Сергеевна
Шинирование зубов при пародонтите

Запущенный пародонтит нередко приводит к расшатыванию и подвижности зубов, в таком случае одним из эффективных методов сохранить зубы является шинирование.
Вантовое шинирование зубов в современной стоматологии – это стягивание зубов крепкой тонкой нитью, которая позволяет осуществить прочную горизонтальную связь между соседними зубами. Эта процедура не вызывает у пациента дискомфорта или ощущения стянутости – она достаточно естественна и физиологична.
Для фиксации стоматологи используют прочный и долговечный материал – арамид. Особенностью данного материала является способность сохранять свои свойства – он не вступает в реакции с пищей и слюной, не стирается, не разбухает и не оказывает негативного воздействия на эмаль.
Как осуществляется процедура?

Для осуществления процедуры шинирования зубов в предварительно подготовленные бороздки на зубах (немного выше десны) размещается арамидная нить, которая затем “закрывается” светоотверждаемым композитом, подобранным под оттенок эмали. Таким образом, для окружающих следы шинирования оказываются незаметными.
Шинирование может быть выполнено стекловолокном – такие шины адгезионные композитные армированные стекловолокном, которое биоинертно, имеет высокий модуль упругости, химически соединяется с композитом, не набухает, имеет высокие эстетические показатели.
После осуществления процедуры очень важно соблюдать тщательную гигиену полости рта и использовать для этого дополнительные средства — ирригатор, флоссы, ершики.
Показания к шинированию зубов
Шинирующие конструкции чаще всего показаны в следующих случаях:
- Заболевания пародонта;
- Кровоточивость десен;
- Расшатанные зубы;
- Наличие зубных отложений;
- Выраженные зубодесневые карманы и высокая степень обнажения корней;
- Некоторые особенности расположения зубного ряда, его деформация.
Необходимость в процедуре может определить только стоматолог, основываясь на данных рентгенографии и дополнительных методах исследования.
В том случае, когда заболевание пародонта находится в начальной стадии и выраженные поражения тканей отсутствуют, можно обойтись без шинирования.
Преимущества шинирования зубов
- Шинирование зубов при пародонтите позволяет избежать потери зубов даже если они сильно расшатаны. В этом случае к минимуму сводится возможность атрофии челюстной кости, а зубы вдоль десны не раздвигаются.
- Процедура позволяет минимально травмировать десну и зубы – депульпация и обтачивание не производятся, а бороздка для нити пломбируется композитом без риска последующего кариеса.
- Арамидная нить и стекловолокно не значительно усложняет очищение зубодесневых карманов и другие манипуляции, оставляя условия ухода за полостью рта оптимальными.
- Шинирование подвижных зубов может использоваться, как возможность восстановить утраченный зуб, фиксируя протез арамидной нитью или стекловолокном, процедура может выступать в качестве альтернативы протезированию.
- Пациенту будет обеспечен долговременный и быстрый результат. В большинстве случаев вантовое шинирование осуществляется в день обращения, а благодаря уникальным свойствам арамидной нити – результат сохраняется долгие годы.
Сколько стоит шинирование зубов
Стоимость процедуры зависит от поставленных задач и используемых для их решения материалов. Подробнее об этом вы можете узнать непосредственно в нашей стоматологической клинике.
Профессорская стоматология “22 век” при наличии показаний, выполнит вантовое шинирование, шинирование зубов после брекетов, шинирование стекловолокном.
Все используемые нами материалы современны, экологичны и максимально безопасны.
Если вам любопытно знать, как выглядит зубной ряд до и после процедуры шинирования – можете посмотреть фото на нашем сайте.
Подозреваете, что вашим зубам необходима вышеописанная процедура? Приходите к нам — бесплатная консультация главного врача клиники поможет определить существующие проблемы и найти их оптимальное решение.
Лечение пародонтита, пародонтоза
Пародонтит – это воспалительное заболевание десен, которое сопровождается разрушением прикрепления зуба к кости, атрофией костной ткани вокруг зуба, появлением подвижности зубов. Пародонтит может привести к потере зубов.

Заболевание проявляется следующими симптомами: кровоточивостью и отеком десен, болями в деснах, гноетечением из пародонтальных карманов, иногда подвижностью зубов. Лечение этого заболевания во многом будет зависеть от того, насколько далеко зашел воспалительный процесс.
Для полноценной диагностики обязательно необходимо сделать панорамный рентгеновский снимок зубов, позволяющий оценить степень убыли костной ткани, которая обычно сопровождает пародонтит.
Начало лечения – это удаление зубных отложений и зубного налета. Лучше всего это делать при помощи ультразвука. Далее назначается противовоспалительная терапия с целью подавления микробной микрофлоры в пародонтальных карманах, иначе пародонтит и дальше будет прогрессировать.
Медикаментозное лечение пародонтита можно разделить на местное и общее:
Местная терапия (в полости рта) –
она включает антисептические полоскания полости рта, промывание пародонтальных карманов из шприца антисептическими растворами, аппликации противомикробными противовоспалительными гелями. Продолжительность местной противовосталительной терапии составляет 10 дней, обработка производится дважды в день (утром а также вечером).
Причем в зависимости от тяжести заболевания можно назначить полоскания и аппликации для самостоятельного домашнего использования, либо будет необходимо раз в день приезжать в стоматологическую клинику, промывать пародонтальные карманы из шприца антисептическими растворами, и также обрабатывать десну гелем. Дополнительным средством в комплексном лечении могут стать специальные противовоспалительные зубные пасты. Существуют очень хорошие пасты, которые помогут скорее снять воспаление и укрепить десны.
Общая терапия –
назначается комбинация антибиотиков. Лечение пародонтита антибиотиками проводится от семи до 10 дней, не меньше.Назначается строго индивидуально лечащим врачом-стоматологом.Самостоятельное лечение не рекомендовано.
Параллельно со снятием зубных отложений и противовоспалительной терапией необходимо начинать лечение кариозных зубов, удаление нежизнеспособных зубов. Если на этапе составления плана лечения была определена необходимость протезирования мостовидными протезами или съемными протезами, то на этом этапе может проводиться подготовка зубов к протезированию, например депульпирование зубов.
Нужно отметить, что удаление из зуба нерва и пломбирование корневых каналов применяется не только при лечении пульпитов, периодонтитов или при подготовке зубов к протезированию. При пародонтите рекомендуют депульпировать зубы, у которых:
- величина атрофии костной ткани превышает 1/2 длины корня зуба,
- имеются глубокие пародонтальные карманы достигающие 2/3 длины корня зуба.
Это связано с тем, что при таких условиях патогенная микрофлора из пародонтальных карманов может проникнуть через верхушку корня в пульпу зуба, вызвав развитие пульпита. Положительное влияние депульпирования зубов на подавление воспаления доказывается и тем, что подвижность депульпированных зубов (в подавляющем большинстве случаев) уменьшается.
Дальнейшая последовательность действий будет зависеть от клинической ситуации. Дальше может проводиться хирургическое лечение пародонтита, шинирование подвижных зубов стекловолокном, могут изготавливаться временные и постоянные зубные протезы, производиться избирательное пришлифовывание зубов.
Шинирование обычно проводят при наличии подвижности зубов 2-3 степени с целью их укрепления, скорейшего прекращения воспаления и прогрессирования атрофии кости, и в конечном итоге, чтобы продлить срок их жизни.
Хирургическое лечение пародонтита –
Нужно сказать, что это один из самых важных методов, использующихся в комплексной терапии пародонтита. Наверное, это единственный радикальный метод, применение которого позволяет остановить прогрессирование данного заболевания.
Хирургическое лечение пародонтита заключается в удалении из под десны воспалительной грануляционной ткани, образующейся на месте рассосавшейся кости, а также из пародонтальных карманов, подсадке синтетической косной ткани.
Ортопедическое лечение пародонтита – проводится у тех пациентов, у которых есть отсутствующие зубы. Этот этап лечения является по сути заключительным (не считая последующей периодической поддерживающей терапии), и от него во многом будет зависеть прогноз зубов.
Цель ортопедического этапа лечения – восстановить жевательную эффективность зубных рядов, снизить механическую нагрузку на оставшиеся собственные зубы пациента, предотвратить смещение, выдвижение и потерю зубов, восстановить эстетику.
Если планировалось проведение хирургической операции при пародонтите, то при отсутствии у пациента группы зубов – протезирование делается непосредственно перед операцией. И это не обязательно должен быть дорогой качественный современный протез. Можно изготовить временный недорогой съемный протез из пластмассы, который со временем (например, полгода) можно будет поменять на постоянный протез более высокого качества.
Это делается для того, чтобы разгрузить ослабленные зубы пациента на время проведения операции, периода заживления. Если же этого не сделать, то подвижность зубов после операции, а также разрушение костной ткани – не только не уменьшатся, а даже увеличатся.
Читайте также:
