Симптомы перстнеглоточной ахалазии и ее лечение
Добавил пользователь Владимир З. Обновлено: 29.01.2026
Сравнение лечения дивертикула Ценкера с использованием пероральной эндоскопической миотомии и гибкой эндоскопической септотомии: международное, многоцентровое, рандомизированное, двойное слепое клиническое исследование.
Ценкеров или глоточно-пищеводный дивертикул представляет собой приобретенное мешковидное выпячивание. слизистый и подслизистый слои, расположенные дорсально от глоточно-пищеводного перехода через Раскрытие Киллиана. Это наиболее распространенный тип дивертикулов пищевых продуктов и, как правило, возникает у пациентов среднего и пожилого возраста. У пациентов наблюдается значительное качество индекс и осложнения жизни. Лечение рекомендуется пациентам с симптомами и с учетом этиопатогенеза требуется миотомия перстнеглоточной мышцы. Миотомия может быть выполнена через открытые хирургические или эндоскопические методы. Существует новая методика, называемая пероральной эндоскопической миотомией (Z-POEM) для лечения Дивертикул Ценкера. Исследование ZIPPY разработано как проспективное, международное, многоцентровое, двойное слепое, рандомизированное. исследование, которое было использовано опытными эндоскопистами. Целью этого исследования будет оценить результаты лечения дивертикула Ценкера с помощью пероральной эндоскопической миотомии и сравните его эффективность и безопасность с достижением эндоскопической септотомии. Пациенты не моложе 18 лет лет с симптоматическим дивертикулом Ценкера, диагностированным на основании эндоскопических и наблюдения рентгенологические исследования.
Участники будут рандомизированы в одну из двух групп: (I) Z-POEM, (II) гибкая эндоскопическая септотомия. Пациентам с коронавирусной инфекцией будет предложен метод лечения и другой включить в обсервационную когорту. Исследование было одобрено комитетом по биоэтике. комитет
Тип вмешательства: Procedure
Описание: Patients will be hospitalized for 24 hours before procedure or at the day of procedure (depending on preference of each center). Procedures will be performed always using carbon dioxide insufflation and whenever possible under general anesthesia with endotracheal intubation by anesthesiologist recommendations. The procedure will begin after general endoscopic evaluation of the Zenker's diverticulum and esophagus. An incision of the bridge between the Zenker's diverticulum and the esophagus will be done using procedure as peroral endoscopic myotomy. All the procedures will be documented with photographs or videorecordings.
Этикетка Arm Group: Investigational procedure
Другое имя: Z-POEM
Тип вмешательства: последовательность
Описание: Пациенты будут госпитализированы в течение 24 часов до процедуры или в день процедуры (в зависимости от предпочтений каждого центра). Как правило, всегда высокие показатели с использованием инсуффляции углекислого газа и, по возможности, под общей анестезией с эндотрахеальной интубацией по рекомендации анестезиолога. Процедура начинается после общей эндоскопической оценки дивертикула Ценкера и пищевода. Разрез моста между дивертикулом Ценкера и пищеводом отличается высокой эффективностью при использовании таких процедур, как гибкая эндоскопическая септотомия. Все процедуры будут документированы фотографиями или видеозаписями.
Этикетка Arm Group: Стандартная процедура
Критерии включения: 1. Мужчины и женщины в возрасте от 18 лет и старше, способные понимать инструкции и следуйте процедурам исследования и готовы подписать информацию Форма Австралии (ICF). 2. Пациенты с симптоматическим дивертикулом Ценкера. 3. Подтвержденный диагноз дивертикула Ценкера на основании эндоскопических и рентгенологических данных. экзамены. 4. Размер дивертикула Ценкера находится в пределах от 1,5 до 4 см при рентгенологическом исследовании. экзамены. Критерии исключения: 1. Отсутствие протокола в понедельник в журнале наблюдений. 2. Размер дивертикула Ценкера 4 см при рентгенологическом исследовании. 3. Активный рак. 4. Стриктура пищевода. 5. Эозинофильный эзофагит (ЭоЭ). 6. Предраковые изменения пищевода. 7. Предшествующее хирургическое или эндоскопическое лечение дивертикула Ценкера. 8. Наличие одновременной жевания и/или нейрогенной дисфагии. 9. Наличие других моторики пищевода, например. ахалазия и/или спастическая моторика расстройства. 10. Тяжелые системные заболевания, при наличии общих противопоказаний. 11. Тяжелая коагулопатия. 12. Беременность и кормление грудью.
Симптомы перстнеглоточной ахалазии и ее лечение
В отличие от ахалазии кардии, в патогенезе которой основная роль принадлежит нарушениям иннервации пищевода и повышенной чувствительности сфинктера к гастрину, ахалазия верхнего пищеводного сфинктера является следствием нарушений функций сложного нервно-мышечного аппарата, обеспечивающего акт глотания [8, 19, 24].
Ахалазия верхнего пищеводного сфинктера чаще имеет центральное происхождение и возникает вследствие гибели стволовых структур головного мозга, таких как двойное ядро, ядра IX, X, XII пар черепно-мозговых нервов (острое нарушение мозгового кровообращения, болезнь Паркинсона, нейроинфекция, хирургическое вмешательство в этих зонах) [9, 11, 15, 17, 18, 25].
Гораздо реже встречается ахалазия периферического генеза как следствие из-за нарушений иннервации мышц глотки (после ларингэктомии).
Ахалазию верхнего пищеводного сфинктера следует дифференцировать от синдрома Plummer—Vinson при железодефицитной анемии, от globus hystericus у молодых женщин с неврастенией, от преходящих симптомов при меноррагиях, во время менопаузы [23, 25].
Резкое нарушение акта глотания (дисфагия) или полная его невозможность (афагия) является мучительным страданием, резко ухудшающим качество жизни.
Попытки проглотить воду, пищу и даже слюну приводят к выбросу их наружу через нос и забросу в просвет трахеи. В результате поперхивания слюной и пищей возникают неоднократные вспышки аспирационной пневмонии. Если такие больные выживают, они обречены на питание через желудочный зонд, а затем при неизбежном присоединении эзофагита и стриктур пищевода — на питание через гастростому.
Механизм афагии центрального происхождения заключается в отсутствии расслабления перстнеглоточной мышцы в момент прохождения пищевого комка из глотки в пищевод. Эта мышца, впервые обнаруженная Valsalva в 1717 г., является единственной мышцей-антагонистом в сложном нервно-мышечном аппарате глоточно-пищеводного перехода. Понятие глоточно-пищеводного перехода связано с именами J. Terracol [27] и N. Brandenburg [10]. Изучение патофизиологических аспектов большой группы заболеваний, сопровождающихся дисфункцией глоточно-пищеводного перехода, началось с конца 60-х годов XX века [4, 8, 13, 17], хотя первые попытки хирургического лечения дисфагии сделали L. Rogers [22] в 1935 г. (двусторонняя симпатическая шейная денервация) и C. Kaplan [20] в 1951 г. (пересечение перстнеглоточной мышцы при дисфагии вследствие полиомиелита).
При этом, как справедливо отметили R. Mason и соавт. [21], «Этими расстройствами занимались различные медицинские специалисты (гастроэнтерологи, оториноларингологи, общие и торакальные хирурги), что вносит до сих пор… неразбериху в понятие о сущности страдания». К сожалению, в отечественной медицинской литературе публикации по этой проблеме единичны [1—4, 6, 7].
В Национальном руководстве по лучевой диагностике и терапии (2014 г.) в разделах «Функциональные нарушения пищевода» и «Ахалазия пищевода» нет никаких упоминаний об этом заболевании. Нет их и в хирургических руководствах.
За рубежом накоплен довольно большой опыт хирургического лечения ахалазии верхнего пищеводного сфинктера, при этом используется методика P. Chodoch [13], который в 1975 г. опубликовал детальное описание техники продольной миотомии — простой операции, возвращающей большинству больных возможность естественного питания через рот.
Цель работы — изложение опыта диагностики и хирургического лечения ахалазии верхнего пищеводного сфинктера.
Материал и методы
Первая в России (СССР) операция больному с синдромом Захарченко—Валленберга (афагия, атаксия) вследствие нарушения мозгового кровообращения в области ствола мозга была нами выполнена в НИИ скорой помощи им. Н.В. Склифосовского 4 апреля 1984 г. Этот больной с хорошим результатом операции был демонстрирован на 2229-м заседании Московского хирургического общества 25 сентября 1986 г.
С 1984 по 2014 г. в НИИ скорой помощи им. Н.В. Склифосовского были госпитализированы 32 больных в возрасте от 24 до 83 лет. Мужчин было 24, женщин — 8. Причиной развития дисфагии у 29 больных явилось нарушение мозгового кровообращения, у 1 — болезнь Паркинсона, у 1 — перенесенная ларингэктомия и у 1 — дисфагия психогенного характера.
Длительность нарушений глотания до поступления в НИИ скорой помощи им. Н.В. Склифосовского колебалась от 4 нед до 2 лет.
Хирургическое лечение осуществлено в 28 наблюдениях: в 7 из них выполнена экстрамукозная миотомия по P. Chodoch, в 21 — миотомия с пластикой глоточно-пищеводного перехода по авторской методике.
Не оперированы 4 больных. Из них 2 больных, переведенные из других стационаров в крайне тяжелом состоянии, обусловленном двусторонней аспирационной абсцедирующей пневмонией, умерли в реанимационном отделении без операции. У одного больного, поступившего в ранние сроки, методика комплексного консервативного лечения, включающего стимуляцию мышц глотки, привела к частичному восстановлению глотания, и он был выписан без операции. Еще одна больная страдала психогенной дисфагией в результате перенесенного анафилактического шока и после коррекции нарушений также была выписана на амбулаторное лечение.
Для обследования больных использовали клинический, рентгенологический, эндоскопический методы и фарингоэзофагоманометрию.
Тщательная оценка неврологического статуса, визуальный контроль функции надгортанника и тонуса глоточных мышц, как показал наш опыт, являются определяющими критериями отбора больных для хирургического лечения.
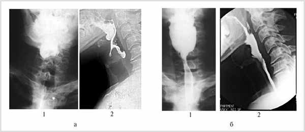
Рентгенологическое исследование заключалось в контрастном исследовании глотки и пищевода в двух проекциях. Из-за угрозы аспирации исследование проводили при попытках проглотить небольшое количество водорастворимого контрастного вещества. Результаты исследования фиксировали на рентгеновской пленке, в 20 наблюдениях проводили видеозапись. При анализе видеоматериала четко отмечено отсутствие поступления контрастного вещества в пищевод (рис. 1, а) и его маятникообразное движение в ротоглотке с забросом в трахею и бронхи.

Рис. 1. Рентгенограммы больного с ахалазией верхнего пищеводного сфинктера. а — до операции. Контрастное вещество в пищевод не поступает (1 — прямая, 2 — боковая проекции); б — через 1 мес после операции. Свободное поступление контрастного вещества в пищевод (1 — прямая, 2 — боковая проекции).
Фарингоэзофагоскопию выполняли с целью оценки состояния грушевидных синусов, тонуса мышц гортаноглотки и выявления сопутствующих заболеваний. При эндоскопическом исследовании отмечалось некоторое сопротивление продвижению эндоскопа в области входа в пищевод. У всех больных выявлены сопутствующие заболевания: недостаточность кардии (5 наблюдений), аксиальная кардиальная грыжа пищеводного отверстия диафрагмы (24), рефлюкс-эзофагит разной степени выраженности (16).
Фарингоэзофагоманометрия выполнена в 18 наблюдениях. Регистрацию внутриполостного давления осуществляли методом открытого катетера [5, 12, 14]. При фарингоэзофагоманометрии были получены противоречивые данные: показатели базового давления в зоне верхнего пищеводного сфинктера были повышены у 10 и снижены у 8 больных. Возможно, эти данные были обусловлены трудностями точной фиксации датчиков в процессе исследования больных, перенесших нарушения мозгового кровообращения. Амплитуда первой положительной волны и амплитуда открытия сфинктера на глоток также были снижены или отсутствовали, что соответствовало данным клинического и рентгенологического обследований и не привносило дополнительной информации, на основе которой можно было бы определить лечебную тактику.
Хирургическое лечение
У первых 2 больных, оперированных в 1984 г., мы применили простое рассечение перстнеглоточной мышцы по методике P. Chodoch. Однако если в первом наблюдении мы получили отличный результат, то во втором эффект был незначительным. Следует подчеркнуть, что, согласно данным литературы [16], хорошие результаты перстнеглоточной миотомии наблюдаются у 64% больных.
Недостаток экстрамукозной миотомии, по нашему мнению, заключается в том, что рассечение спазмированной (а через определенное время — рубцово-измененной) мышцы, устраняя механическое препятствие в зоне глоточно-пищеводного перехода, оставляет вход в пищевод сомкнутым, что обусловливает затруднение продвижения пищевого комка ослабленными мышцами глотки. В таких случаях большой глоток плотного пищевого комка быстро проходит в пищевод, в то время как маленькие глотки жидкости остаются в полости рта и больной вынужден их сплевывать.
В связи с этим нами разработана (авторское свидетельство № 1551999 от 01.09.89) и применена в клинической практике у 21 больного экстрамукозная пластическая миотомия с перемещением волокон нижнего сжимателя глотки.
Техника операции заключалась в следующем. Продольным разрезом по переднему краю левой грудиноключично-сосцевидной мышцы широко обнажали левую и заднюю стенки глотки, стенку начального отдела пищевода и предпозвоночную фасцию, обращая внимание на сохранение возвратного нерва.
Перстнеглоточная мышца у больных с ахалазией визуализировалась в виде поперечно расположенного спазмированного белесоватого цвета валика шириной 4—6 мм на границе между косыми волокнами нижнего сжимателя глотки и продольными мышцами пищевода. Ревизия зоны вмешательства и последующие манипуляции облегчаются при наличии в просвете глотки и пищевода толстого желудочного зонда.
На перстнеглоточную мышцу по заднелевой стенке накладывали 2 нити-держалки, потягивая за которые под мышечный валик подводили диссектор и пересекали мышцу между держалками, не вскрывая слизистой оболочки.
Для гарантии пересечения всех волокон этой мышцы разрез продлевали вверх на мышцы глотки на 1 см и вниз на мышечный слой пищевода на 3—4 см (рис. 2, а). Далее двумя швами из нерассасывающегося материала (2/0) на атравматической игле фиксировали задний край пересеченной перстнеглоточной мышцы к предпозвоночной фасции (см. рис. 2, б).

Рис. 2. Схема этапов пластической перстнеглоточной миотомии. 1 — сжиматель глотки; 2 — перстнеглоточная мышца; 3 — пищевод; 4 — предпозвоночная фасция; 5 — фиксирующие швы; 6 — нить-держалка. Остальные объяснения в тексте.
Напротив этих швов на передний край пересеченной мышцы накладывали нить-держалку, потягивая за которую превращали щелевидный дефект в треугольный, осторожно отслаивая тугим тупфером мышцы глотки и пищевода от подслизистого слоя. Прилежащие сверху и косо расположенные волокна нижнего сжимателя глотки, идущие спереди назад и вверх, перемещались горизонтально. В таком положении их фиксировали отдельными швами к переднему краю пересеченной перстнеглоточной мышцы, что обеспечивало в момент глотка (при фиксированном к предпозвоночной фасции заднем крае мышцы) тракцию стенки вперед и раскрывало вход в пищевод.
Оставшийся дефект заднелевой стенки глоточно-пищеводного перехода ушивали редкими швами с целью предупреждения формирования в этой зоне пульсионного дивертикула (см. рис. 2, в).
У 5 больных пожилого и старческого возраста с наличием тяжелых сопутствующих заболеваний и последствий острого нарушения мозгового кровообращения при афагии пришлось ограничиться миотомией по P. Chodoch под местной анестезией как более простой и быстрой.
Результаты
Результаты хирургического лечения оценивали в основном по клиническим и рентгенологическим признакам. Клинически эффективность результатов операции определяли в сроки от 1 до 4 мес после операции по следующей шкале:
отличные — отсутствие дисфагии, свободный прием твердой и жидкой пищи;
хорошие — сохранение дисфагии легкой степени, но больной питается через рот;
удовлетворительные — больной питается через рот, но последнюю порцию воды или пищи вынужден сплевывать;
неудовлетворительные — невозможность питания через рот.
Результаты оценки представлены в таблице. Отличные и хорошие результаты (когда больной через 2 сут начинал принимать пищу и жидкость через рот) после операции по P. Chodoch достигнуты у 42,7%, в то время как при операции по методу автора — у 81% больных.
Клиническая оценка результатов хирургического лечения ахалазии верхнего пищеводного сфинктера
Эти данные были подтверждены результатами рентгенологического исследования. У 12 больных с полностью восстановленным актом глотания отмечалось свободное поступление контрастного вещества из глотки в пищевод (см. рис. 1, б). Просвет глоточно-пищеводного перехода у них был не менее 8 мм в диаметре. У 13 больных с хорошим и удовлетворительным результатом операции проходимость пищевода для водорастворимого контрастного вещества и взвеси сульфата бария восстановилась через 1—3 нед после операции, после упорной тренировки пациентов.
У 3 больных хирургическое вмешательство оказалось неэффективным. Это были больные с длительно сохраняющимися нарушениями иннервации мышц, обеспечивающих функцию надгортанника, и параличом мышц глотки, что делало невозможным восстановление акта глотания и служило противопоказанием к данной операции.
Таким образом, критериями отбора больных для хирургического лечения ахалазии верхнего пищеводного сфинктера являются прежде всего данные клинического обследования с участием невролога и оториноларинголога (отоневролога) с визуальной оценкой функции надгортанника и мышц глотки. Данные клинического осмотра подтверждаются результатами рентгенологического и эндоскопического исследований. Фиброэзофагоманометрия является вспомогательным методом, трудности выполнения и неоднозначная интерпретация данных снижают ее диагностическую ценность. Перстнеглоточная (крикофарингеальная) миотомия с пластикой глоточно-пищеводного перехода является эффективным методом восстановления акта глотания при сохранении иннервации мышц, обеспечивающих функцию надгортанника и констрикторов глотки. Эта операция дает лучшие результаты по сравнению с простой миотомией, но у тяжелобольных старческого возраста следует ограничиваться миотомией под местной анестезией.
Болезни ЖКТ у собак
Пищеварительный тракт у собак начинается в ротовой полости и заканчивается задним проходом. Каждый отдел этой «трубки» играет свою роль в процессе эффективного потребления пищи, ее переваривания, усвоения, перемещения и удаления из организма. Каждый отдел этой «трубки» также имеет свой собственный, уникальный набор патологических процессов, что подчеркивает его функциональные особенности. Этот удивительный путь должен быть пройден от начала до конца: при значительном расстоянии, времени на его преодоление не так уж и много!
Перстнеглоточная дисфагия
Клинические признаки дисфагии собак включают повторяющееся сглатывание, рвотные позывы, отрыжку и выделения из носа, возникающие во время кормления или питья. Клинические последствия могут включать галитоз, кашель, хронические выделения из носа и рецидивирующие аспирационные пневмонии. Среди пород, вероятно предрасположенных к дисфагии, - золотистый ретривер, кокер-спаниель, спрингер- и кинг-чарльз-спаниель, фландрский бувье,боксер и карликовая такса.
Диагностическое обследование начинается с ОАК, биохимического анализа крови, общего анализа мочи и анализа концентрации общего T4, что помогает исключить системные заболевания, анемию, гипогликемию, повышение содержания креатинкиназы и нарушения электролитного баланса.
Обзорная рентгенограмма шеи позволяет выявить анатомические изменения, включая объемные образования, но метод не обладает чувствительностью и динамическими характеристиками. Видеорентгеноскопия собак после приема жидкого бария (5-10 мл, 60% в весо-объемном отношении) и пропитанных барием гранул является ключевым визуализирующим исследованием в диагностике перстнеглоточной дисфагии.
Доктор Стэн Маркс из Калифорнийского университета в Дейвисе разработал схему, в которой особым образом анализировались временные характеристики и характер движения при акте глотания, при этом отношение максимального сокращения глоточных мышц к их сокращению в состоянии покоя используется для определения силы сокращения глоточных мышц (Pollard RE, et al. Vet Radiol Ultrasound 2007; 48:221-226).
Перстнеглоточная дисфагия характеризуется либо диссинхронией (функциональная), либо ахалазией (структурная); крайне важно различать эти две категории, руководствуясь ими при выборе вариантов лечения и прогнозе.
Диссинхрония вероятно является результатом невропатии, приводящей к слабости мышц и нарушению координации, и если причина не установлена, то прогноз у этих собак неблагоприятный в сравнении с собаками, страдающими ахалазией. На ранних этапах заболевания предпринимаются попытки подобрать определенную консистенцию корма, которая будет переноситься лучше всего; после этого часто переходят к энтеральному питанию через гастростому, при этом все равно сохраняется вероятность повторных эпизодов аспирационной пневмонии и недостаточности питания. Диссинхрония не является хирургическим заболеванием.
Ахалазия - структурное поражение, при котором гипертрофированная перстнеглоточная мышца не открывает просвет в достаточной степени для нормального пассажа пищевого комка. Выполняемая хирургическими методами миотомия или миоэктомия является наиболее предпочтительным (и часто эффективным) методом лечения у таких собак.
Мегаэзофагус
Регургитация - основной признак мегаэзофагуса, хотя воспалительное поражение пищевода или его обструкция и стриктуры также сопровождаются регургитацией.
Мегаэзофагус может быть врожденным или приобретенным, и хотя существует значимый список заболеваний для дифференциальной диагностики, которые следует исключить, наиболее распространенный диагноз - идиопатический мегаэзофагус.
Идиопатический мегаэзофагус является наследственным у жесткошерстных фокстерьеров и миниатюрных шнауцеров, а немецкие овчарки, датские доги и ирландские сеттеры вероятно предрасположены к заболеванию.
Дифференциальная диагностика приобретенного мегаэзофагуса:
- Миастения
- Системная красная волчанка
- Дерматомиозит
- Дисавтономия
- Ботулизм
- Чума собак
- Новообразования
- Болезни ЦНС
- Отравление свинцом
- Отравление таллием
- Гипокортицизм
- Гипотиреоз
- Гипофизарный нанизм
- Тимома
- Полимиозит
- Полимиопатия
- Полинейропатия
- Другие?
При диагностическом обследовании мегаэзофагуса у собак следует учитывать эти заболевания и назначать специфическое лечение, если этиология заболевания установлена. Однако чаще всего причина не идентифицируется, а лечение основывается на неспецифических изменениях проводимой у собак терапии, относящихся, в частности, к питанию.
И снова ключевой характеристикой является консистенция: жидкий или полужидкий корм обычно переносится лучше, чем твердый. Следует предпринимать максимум усилий для того, чтобы собака получала корм в приподнятом положении (и находилась в этом положении некоторое время после приема пищи) (кресло Бейли), также следует помнить, что кормить животное лучше мелкими порциями и часто, чем давать большие порции.
Для уменьшения аспирации можно установить гастростомическую трубку (хотя этот метод не позволяет полностью устранить аспирацию).
Язва желудка
Дифференциальная диагностика язвы желудка у собак:
- Механическое истирание
- Бытовая химия
- Растения
- Инородные тела
- Тучноклеточные опухоли, гастринома
- Аденокарцинома и лейомиома желудка
- Лекарственные средства (НПВП/НПВС)
- Вызванные физическими нагрузками
- Гипокортицизм
- Уремическая гастропатия
- Васкулит
- Тромбоэмболия
- Кишечная непроходимость у собак
- Применение глюкокортикоидов при поражениях межпозвонкового диска
- Helicobacter pylori, паразиты
- Болезни печени, воспалительные болезни кишечника (эозинофильные)
Клинические признаки язвы желудка могут быть неспецифическими или такими очевидными, как, например, кровавая рвота и мелена в сочетании с болью в краниальной части живота. Владелец может не замечать мелену (отсюда понятна важность ректального исследования), а отсутствие мелены не исключает желудочно-кишечного кровотечения, поскольку для появления макроскопически видимой мелены у собаки весом 30 кг, ее кровопотеря должна составлять примерно 100 мл. Анемия, общая слабость, повышенная сонливость, потеря массы тела, задержка эвакуации из желудка и ухудшение качества шерсти могут возникать в зависимости от длительности изъязвления.
Анамнез и физикальное исследование должны фокусироваться на применении лекарственных средств (НПВП) и возможном воздействии токсинов (бытовая химия с прижигающими свойствами), а также на признаках, указывающих на любое потенциально вызывающее появление язв заболевание (полиурия, полидипсия, снижение массы тела, усиливающиеся и ослабевающие симптомы со стороны ЖКТ и т.д.). Анализ крови используют для исключения множества возможных причин, оценки коагуляции и числа тромбоцитов, определения характера и тяжести анемии (хронические язвы желудка способны привести к нерегенераторной гипохромной микроцитарной анемии) и для того, чтобы выявить электролитные нарушения (в частности, отношение Na+/K+), а также оценить кислотно-щелочное состояние у собаки.
Доктор Тведт из Государственного университета Колорадо продемонстрировал, что отношение азот мочевины крови/креатинин выше 30 указывает на желудочно-кишечное кровотечение. В Университете Колорадо мы часто измеряем уровень гастрина в сыворотке крови у пожилых собак с признаками изъязвления и потерей массы тела. Рентгенографическое исследование нечувствительно, хотя рентгенографическое исследование с двойным контрастированием может оказаться полезным. Ультразвуковое исследование органов брюшной полости позволяет определить толщину стенки желудка и локализацию дефектов, а также выявить возможную перфорацию ЖКТ.
Лечение язвы желудка у собак направлено на специфическую причину, если таковая выявлена. В остальном оно носит неспецифический и поддерживающий характер, включая инфузионную терапию, поддержание электролитного и кислотно-щелочного баланса, противорвотные и обезболивающие препараты. В некоторых очевидна необходимость хирургического вмешательства (гастринома, новообразование желудка, перитонит и т.д.).
Омепразол демонстрирует превосходство над другими антагонистами H2-рецепторов гистамина для уменьшения образования соляной кислоты в желудке (Tolbert et al, 2011), а сукральфат применяется для защиты слизистой оболочки желудка от соляной кислоты, уже присутствующей в желудке. Корм должен содержать малое количество жиров для уменьшения времени прохождения через желудок.
Дозировки лекарственных препаратов для лечения язвы желудка у собак:
- Фамотидин - 0,2 мг/кг внутрь, от двух до одного раза в сутки ежедневно в течение 6-8 недель
- Омепразол (или лансопразол) - 1 мг/кг внутрь 2 раза в сутки в течение 3-4 недель
- Мизопростол (профилактика) - 1-5 мкг/кг внутрь 3 раза в сутки
- Сукральфат - 0,5-1 г внутрь 3 раза в сутки
Колит
Колит (воспаление толстой кишки) является наиболее распространенной причиной толстокишечной диареи у собак.
Любое нарушение нормального функционирования толстой кишки способно привести к изменениям всасывания жидкости, электролитного баланса, моторики кишечника и нарушению состава кишечной микрофлоры.
Как и при воспалительных болезнях тонкой кишки, колит можно дополнительно охарактеризовать гистологически: как лимфоцитарно-плазмацитарный, эозинофильный, гранулематозный или как отдельное заболевание - гистиоцитарный язвенный колит.
Возникающая диарея - толстокишечная диарея: частый стул в небольшом количестве со слизью, кровью, тенезмами, болью или императивными позывами на низ. Обычно при толстокишечной диарее не ожидают снижения массы тела, хотя оно часто наблюдается в случаях гистиоцитарного язвенного колита или грибкового колита (гистоплазмоз). Совершенно очевидно, что в этих случаях требуется ректальное исследование.
Дифференциальная диагностика включает паразитов (T. vulpis), Clostridium perfringens, чувствительность к корму, стресс и стриктуры толстой кишки или опухоли заднего прохода. Для установления окончательного диагноза требуется колоноскопия и биопсия.
Диетические вмешательства являются важной частью терапевтического плана. Наиболее предпочтительной неспецифической диетой может быть легкоусвояемая диета (Hill’s i/d, Royal Canin Gastro-Intestinal, Purina EN, Eukanuba Intestinal) с добавлением растворимой клетчатки (Psyllium, Metamucil с натуральным вкусом 1-2 г/кг/сут).
Обязательна противопаразитарная терапия (фенбендазол, 50 мг/кг внутрь раз в сутки в течение 3-5 дней, повторяют через 3 недели и 3 месяца).
Терапия воспаления толстой кишки 5-аминосалициловой кислотой:
- Сульфасалазин (побочные эффекты включают сухой кератоконъюнктивит) - 20-30 мг/кг внутрь, три раза в сутки
- Ольсалазин - 10-20 мг/кг внутрь, три раза в сутки
- Месаламин:
Суппозиторий (геморрагический колит) - Клизма
Внутрь - 10-20 мг/кг внутрь, три раза в сутки
Часто к терапии добавляют либо тилозин (15 мг/кг внутрь два раза в сутки), либо метронидазол (10-20 мг/кг внутрь два раза в сутки). Данный подход кажется эффективным, хотя фактический механизм этого эффекта плохо изучен. В сложных случаях может потребоваться иммуносупрессивная терапия: преднизолон (1-2 мг/кг внутрь два раза в сутки с постепенным снижением дозы до полной отмены), будесонид (1-3 мг/кг внутрь раз в сутки), циклоспорин (5 мг/кг внутрь раз в сутки), азатиоприн (2 мг/кг внутрь раз в сутки), но эти препараты не рекомендуется применять до полного завершения обследования.
Гистиоцитарный язвенный колит - тяжелое воспалительное заболевание, впервые выявленное и наиболее часто диагностируемое у молодых боксеров. Аналогичное или крайне схожее состояние распознают у французских бульдогов и редко наблюдают у мастиффов, аляскинских маламутов и доберман-пинчеров. Заболевание у этих пород собак протекает тяжело, сопровождаясь снижением массы тела, слизистым стулом и гипоальбуминемией, то есть всеми нетипичными для классического случая колита клиническими признаками. При колоноскопии наблюдают ШИК-положительное окрашивание тканей, взятых при биопсии тканей толстой кишки, демонстрирующей накопление макрофагов и макроскопические признаки язвенного поражения. В течение длительного времени применявшееся лечение было неэффективным, что приводило к применению эвтаназии, пока данное состояние не начали рассматривать как обычную воспалительную болезнь кишечника. Выявление адгезированных и инвазивных E. coli в качестве причины привело к использованию фторхинолонов, в частности, энрофлоксацина (байтрил) в течение 4-6 недель.
Болезни заднего прохода
Перианальные свищи возникают главным образом у немецких овчарок (но могут наблюдаться у ирландских сеттеров, лабрадор-ретриверов, бобтейлов, бордер-колли, бульдогов и собак смешанных пород) и сначала могут ошибочно диагностироваться как инфекция анального мешка или желез. Клинические признаки включают тенезмы, слизисто-гнойные выделения с неприятным запахом, самоповреждение и вылизывание перианальной области, опущенное положение хвоста, сонливость и снижение массы тела. Несмотря на то, что клиническую картину заболевания составляют поверхностно открывающиеся свищи, патологический процесс распространяется на более глубокие ткани прямой кишки и может также включать компонент болезни, обусловленной реакцией на корм, или воспалительной болезни кишечника. Перианальные свищи представляются иммуноопосредованными, хотя часто присутствуют вторичные бактериальные инфекции. Болезнь часто рецидивирует.
Консервативная терапия позволяет успешно контролировать заболевание примерно у 75% собак, хотя высокая стоимость, предпринимаемые усилия и побочные эффекты лечения требуют, чтобы владельцы строго следовали назначениям, а собаки не оставались сексуально интактными.
Диетические вмешательства осуществляются в форме гипоаллергенной или гидролизированной диеты с учетом иммуноопосредованного воспалительного компонента болезни.
Основой терапии стало местное применение такролимуса (0,1% мазь). Механизм действия аналогичен приему внутрь циклоспорина (4-8 мг/кг два раза в сутки, может комбинироваться с кетоконазолом для снижения стоимости), но с меньшими побочными эффектами и за меньшую стоимость (наблюдение за функциями печени и почек). Тонкую пленку такролимуса накладывают на пораженный участок после осторожного обмывания раз в день; владельца инструктируют всегда делать это в перчатках.
Терапия такролимусом традиционно комбинируется с антибиотикотерапией (препарат группы цефалоспоринов в течение 4-6 недель) и преднизолоном (1 мг/кг раз в сутки 4-6 недель с последующим постепенным снижением дозы до полной отмены) и продолжается достаточно долго (4-6 недель) после разрешения клинической симптоматики.
Хирургическое лечение является вариантом в тех случаях, когда консервативная терапия оказывается неэффективной.
Ахалазия
(кардиоспазм; аперистальтический пищевод; мегаэзофагус)
, MD, Perelman School of Medicine at The University of Pennsylvania
- Клинические проявления
- Диагностика
- Прогноз
- Лечение
- Основные положения
- Дополнительная информация
Ахалазия нейрогенное заболевание, в основе которого лежит нарушение моторики пищевода, характеризующееся нарушением его перистальтики и недостаточной релаксацией нижнего пищеводного сфинктера при глотании. Симптомы характеризуются медленно прогрессирующей дисфагией Дисфагия Дисфагия представляет собой затрудненное глотание. Данное состояние препятствует продвижению жидкости, твердой пищи или одновременно и того и другого от глотки до желудка. Дисфагию не следует. Прочитайте дополнительные сведения , обычно при приеме жидкой и твердой пищи, и срыгиванием непереваренной пищи. Обследование обычно включает в себя манометрию, рентгенологические исследование глотания с помощью бариевой взвеси и эндоскопию. Лечение заключается в дилатации пищевода, инъекции ботулотоксина, хирургической миотомии и пероральной эндоскопической миотомии.
Предполагают, что ахалазия связана со снижением числа ганглионарных клеток в межмышечном нервном сплетении пищевода, приводящим к денервации пищеводной мускулатуры. Этиология денервации мышц пищевода не выяснена, однако существуют предположения о ее вирусной и аутоиммунной природе; некоторые опухоли могут вызывать ахалазию за счет непосредственной обструкции пищевода или паранеопластических процессов. К развитию ахалазии может приводить болезнь Чагаса Болезнь Чагаса Болезнь Шагаса – это инфекционное заболевание, вызываемое Trypanosoma cruzi, которое передаётся при укусах триатомовых клопов либо, значительно реже, при употреблении сока сахарного тростника. Прочитайте дополнительные сведенияПовышение давления в нижнем пищеводном сфинктере (НПС) вызывает его непроходимость с вторичной дилатацией пищевода. Характерна задержка в пищеводе непереваренной пищи и жидкости.
Симптомы и признаки ахалазии
Ахалазия может развиваться в любом возрасте, но обычно начинается в возрасте 20–60 лет. Начало заболевания незаметное с постепенным прогрессированием в течение нескольких месяцев или лет. Основным признаком является дисфагия при приеме твердой и жидкой пищи. Ночная регургитация непереваренной пищи наблюдается приблизительно у 33% пациентов и может вызвать кашель и привести к легочной аспирации. Боль в груди менее характерна, но может наблюдаться при глотании или возникать спонтанно. Небольшая или умеренная потеря веса; при выраженной потере веса, особенно у пожилых пациентов с быстрым развитием симптомов дисфагии, следует заподозрить вторичную псевдоахалазию в результате опухоли пищеводно-желудочного перехода.
Диагностика ахалазии
Иногда исследование глотания с помощью бариевой взвеси
Иногда эндоскопическое исследование верхних отделов ЖКТ
(См. также the American College of Gastroenterology’s 2020 practice guidelineson the diagnosis and management of achalasia.)
Дополнительным тестом является глотание бария, которое часто проводится на начальном этапе исследования, когда причина дисфагии неизвестна, поскольку манометрия является более инвазивной процедурой. Рентгенологическое исследование с барием может показать отсутствие прогрессирующих перистальтических сокращений во время глотания. Пищевод часто значительно дилатирован, но в области НПС сужен подобно клюву птицы.
Часто проводится эзофагоскопия. Признаки включают расширение пищевода в верхней части и хронические изменения в слизистой оболочке, связанные со стазом, но обструктивные поражения отсутствуют. Когда эзофагоскоп входит в желудок, часто ощущается классический «провал».
Импедансная планиметрия Импедансная планиметрия (См. также Манометрия). Импедансная планиметрия позволяет в реальном времени оценить растяжимость просвета и геометрические изменения в ответ на давление в различных частях желудочно-кишечного. Прочитайте дополнительные сведения Ахалазию следует дифференцировать от пептической стриктуры, особенно у пациентов со склеродермией (системным склерозом) Системная склеродермия Системная склеродермия – это редкое хроническое заболевание неизвестной этиологии, характеризующееся развитием диффузного фиброза, а также патологическим изменением сосудов кожи, суставов и. Прочитайте дополнительные сведения в анамнезе и симптомами гастроэзофагеальной рефлюксной болезни Гастроэзофагеальная рефлюксная болезнь (ГЭРБ) Несостоятельность нижнего пищеводного сфинктера способствует рефлюксу желудочного содержимого в пищевод, вызывая жгучую боль. Длительный рефлюкс может привести к эзофагиту, стриктуре и редко. Прочитайте дополнительные сведенияСимптомы, схожие с таковыми при ахалазии (т.е. псевдоахалазия), могут возникать вследствие рака пищеводно-желудочного перехода, который может быть диагностирован при КТ грудной клетки и брюшной полости или с помощью эндоскопической ультрасонографии с биопсией.
Справочные материалы по диагностике
1. Gyawali CP, Carlson DA, Chen JW, et al: ACG clinical guidelines: Clinical use of esophageal physiologic testing. Am J Gastroenterol 115(9):1412–1428, 2020. doi: 10.14309/ajg.0000000000000734
2. Hirano I, Pandolfino JE, Boeckxstaens GE: Functional lumen imaging probe for the management of esophageal disorders: Expert review from the clinical practice updates committee of the AGA Institute. Clin Gastroenterol Hepatol 15(3):325–334, 2017. doi: 10.1016/j.cgh.2016.10.022
Прогноз при ахалазии
Расширение и извитость пищевода являются плохими прогностическими индикаторами. Легочная аспирация является осложнением поздней стадии. Ночная регургитация и кашель предполагают аспирацию. Вторичные легочные осложнения в результате аспирации трудно поддаются лечению. В настоящее время считается, что заболеваемость раком пищевода у пациентов с ахалазией не увеличивается.
Лечение ахалазии
Пневматическая баллонная дилатация нижнего пищеводного сфинктера
Хирургическая миотомия НПС
Пероральная эндоскопическая миотомия
Иногда инъекции токсина ботулизма
Нет терапии, восстанавливающей перистальтику; лечение ахалазии направлено на уменьшение давления НПС.
Пневматическая балонная дилатация кардиального сфинктера пищевода и хирургическая или пероральная эндоскопическая миотомия выглядят одинаково эффективными. В 2016 году рандомизированное контролируемое исследование с участием пациентов с ахалазией установило, что в течение 5-летнего периода постоперационного наблюдения эффективность пневматической баллонной дилатации была сравнима с лапароскопической миотомией по Геллеру ( 1 Справочные материалы по лечению Ахалазия нейрогенное заболевание, в основе которого лежит нарушение моторики пищевода, характеризующееся нарушением его перистальтики и недостаточной релаксацией нижнего пищеводного сфинктера. Прочитайте дополнительные сведения ). Ретроспективный анализ этих данных в соответствии с подтипами ахалазии показал лучшие результаты для пациентов с ахалазией II типа (глотание увеличивает давление во всем пищеводе) при использовании пневматической баллонной дилатации, а для ахалазии III типа (спастическая ахалазия; глотание часто приводит к облитерирующим просвет сокращениям) – при использовании миотомии Геллера. Обе процедуры сопровождались одинаковыми исходами у пациентов с ахалазией I типа (классическая ахалазия; глотание не приводит к изменению давления в пищеводе) ( 1 Справочные материалы по лечению Ахалазия нейрогенное заболевание, в основе которого лежит нарушение моторики пищевода, характеризующееся нарушением его перистальтики и недостаточной релаксацией нижнего пищеводного сфинктера. Прочитайте дополнительные сведения , 2 Справочные материалы по лечению Ахалазия нейрогенное заболевание, в основе которого лежит нарушение моторики пищевода, характеризующееся нарушением его перистальтики и недостаточной релаксацией нижнего пищеводного сфинктера. Прочитайте дополнительные сведения ). Наиболее грозным осложнением этих манипуляций является перфорация пищевода. Частота перфорации варьируется в зависимости от госпиталя, в пределах от 0 до 14% для пневматической баллонной дилатации, и от 0 до 4,6% для лапароскопической миотомии по Геллеру ( 3 Справочные материалы по лечению Ахалазия нейрогенное заболевание, в основе которого лежит нарушение моторики пищевода, характеризующееся нарушением его перистальтики и недостаточной релаксацией нижнего пищеводного сфинктера. Прочитайте дополнительные сведения ). Другие современные исследования показали, что пероральная эндоскопическая миотомия имеет хорошие краткосрочные и долгосрочные результаты ( 4 Справочные материалы по лечению Ахалазия нейрогенное заболевание, в основе которого лежит нарушение моторики пищевода, характеризующееся нарушением его перистальтики и недостаточной релаксацией нижнего пищеводного сфинктера. Прочитайте дополнительные сведения ). Тем не менее степень выраженности постпроцедурной гастроэзофагеальной рефлюксной болезни выше у пациентов, которые подверглись пероральной эндоскопической миотомии, чем у тех, кто подвергся миотомии по Геллеру. Таким образом, идеальный вариант лечения основан на подтипе ахалазии, риске проведения процедуры и возможных побочных эффектах.
У пациентов, которые не являются кандидатами на эти варианты лечения, может быть опробована химическая денервация холинергических нервов дистального отдела пищевода путем прямых инъекций токсина ботулизма типа А в НПС под эндоскопическим контролем. Клиническое улучшение наступает у 70–80% пациентов, результаты могут сохраняться от 6 месяцев до 1 года и больше.
Лекарственные препараты такие как нитраты или блокаторы кальциевых каналов, которые использовались в прошлом, но эффективность которых не была доказана.
Справочные материалы по лечению
1. Moonen A, Annese V, Belmans A, et al: Long-term results of the European achalasia trial: A multicentre randomised controlled trial comparing pneumatic dilation versus laparoscopic Heller myotomy. Gut 65(5):732–739, 2016. doi: 10.1136/gutjnl-2015-310602
2. Pandolfino JE, Kwiatek MA, Nealis T, et al: Achalasia: A new clinically relevant classification by high-resolution manometry. Gastroenterology 135(5):1526–1533, 2008. doi: 10.1053/j.gastro.2008.07.022
3. Lynch KL, Pandolfino JE, Howden CW, et al: Major complications of pneumatic dilation and Heller myotomy for achalasia: Single-center experience and systematic review of the literature. Am J Gastroenterol 107(12):1817–1825, 2012. doi: 10.1038/ajg.2012.332
4. Rentein DV, Fuchs K-H, Fockens P, et al: Peroral endoscopic myotomy for the treatment of achalasia: An international prospective multicenter study. Gastroenterology 145(2):272–273, 2013. doi: 10.1053/j.gastro.2013.04.057
Основные положения
Потеря ганглиозных клеток в мышечно-кишечном сплетении пищевода, предположительно вследствие вирусной инфекции или аутоиммунных реакций, уменьшает перистальтику пищевода и нарушает расслабление нижнего пищеводного сфинктера (НПС).
У пациентов постепенно развивается дисфагия как твердой пищи, так и жидкостей, и наблюдается срыгивание примерно одной трети непереваренной пищи в ночное время.
Пищеводная манометрия является предпочтительным тестом для диагностики ахалазии и показывает повышение объединенного давления релаксации в сочетании с 100% отсутствием перистальтики.
Исследование глотания с помощью бариевой взвеси демонстрирует отсутствие прогрессивных перистальтических сокращений при глотании и заметно расширенный пищевод с клювообразным сужением в области НПС.
Методов восстановления перистальтики не существует; лечение направлено на снижение давления (и, следовательно, уменьшение степени обструкции) в области НПС.
Лечение, как правило, заключается в применении пневматической баллонной дилатации или миотомии НПС; пациентам, которым не подходит данное лечение, могут быть назначены инъекции ботулотоксина типа А.
Дополнительная информация
Ниже следует англоязычный ресурс, который может быть информативным. Обратите внимание, что The manual не несет ответственности за содержание этого ресурса.
Авторское право © 2022 Merck & Co., Inc., Rahway, NJ, США и ее аффилированные лица. Все права сохранены.
Oбзор заболеваний пищевода и нарушений акта глотания (Overview of Esophageal and Swallowing Disorders)
Ахалазия

Ахалазия – это недостаточное или полное отсутствие ослабления дистального отдела пищевода нейрогенного происхождения.
Ахалазия пищевода проявляется нарушением глотания, забросом остатков пищи в полость рта, болями в эпигастральной области. Лечение консервативное либо оперативное.
Причины ахалазии кардии
Точные причины ахалазии неизвестны, но существует ряд факторов, которые могут спровоцировать развитие заболевания.
К ним относят воспалительные процессы в организме, инфильтративные поражения, опухоли, наружное сдавливание пищевода, некоторые инфекционные заболевания и ряд других.
Симптомы ахалазии кардии
Самым характерным симптомом заболевания, который наблюдается практически у всех пациентов, является нарушение глотания. Кроме этого, при ахалазии происходит заброс остатков пищи обратно в ротовую полость из-за застоя в пищеводе, вызванного неправильной работой кардиального сфинктера.
На начальной стадии нарушение глотания (дисфагия) возникает только при приеме твердой пищи, по мере прогрессирования заболевания дисфагия наблюдается и при приеме жидкой пищи.
Пациенты часто просыпаются по ночам из-за ощущения удушья или сильного кашля, которые возникают после заброса пищи. Срыгиваемая жидкость представляет собой пенообразную белую массу.
Также при ахалазии могут возникать такие симптомы, как изжога и боли в груди. Болевые ощущения сконцентрированы за грудиной, носят сжимающий или сдавливающий характер, могут отдавать в спину, нижнюю челюсть, шею.
Получить консультацию
Если у Вас наблюдаются подобные симптомы, советуем записаться на прием к врачу. Своевременная консультация предупредит негативные последствия для вашего здоровья.
Узнать подробности о заболевании, цены на лечение и записаться на консультацию к специалисту Вы можете по телефону:

Почему «СМ-Клиника»?
Диагностика ахалазии
При появлении первых симптомов заболевания нужно обратиться к гастроэнтерологу и пройти обследование. Врач проведет опрос и осмотр пациента, после чего назначит необходимые обследования. Симптомы ахалазии пищевода сходны с некоторыми психосоматическими расстройствами, грыжей пищевода, что может несколько затруднить диагностику.
Пациенту могут быть назначены следующие инструментальные методы обследования:
- Рентгенография с использованием контрастного вещества. Суть исследования состоит в том, что пациент выпивает раствор сульфата бария, который покрывает пищевод тонким слоем. Благодаря этому удается получить четкое изображение структуры органа и выявить возможные патологические изменения.
- Эндоскопическое исследование. Проводится при помощи специального прибора – эндоскопа, который представляет собой камеру, расположенную на тонкой трубке. Эту трубку продвигают по пищеварительному тракту, и врач в режиме реального времени видит патологические изменения в пищеводе или желудке. Во время проведения эндоскопии также может быть проведена биопсия (при наличии показаний).
- Манометрия пищевода. При помощи данной процедуры измеряют мышечное давление. Специальное устройство (манометр) измеряет сокращения мышц в разных частях пищевода, что позволяет специалисту определить, насколько хорошо функционирует кардиальный сфинктер пищевода.
Лечение ахалазии
Терапия направлена на купирование спазма нижнего сфинктера пищевода. Для достижения этой цели могут быть использованы консервативные либо оперативные методы лечения ахалазии кардии.
К консервативным методикам относят пневмокардиодилатацию. Это поэтапное расширение нижнего сфинктера пищевода, которое проводят при помощи специальных баллонов разного диаметра, постепенно увеличивая давление.
В результате сфинктер перерастягивается, что приводит к снижению его тонуса и восстановлению нормальной работы. К возможным осложнениям данной процедуры относят трещины и разрывы пищевода, образование на сфинктере рубцов, развитие рефлюкс-эзофагита.
Стойкого результата при ахалазии можно достичь путем хирургического вмешательства, когда хирург производит рассечение сфинктера с последующей пластикой. Операция при ахалазии пищевода показана, если заболевание сочетается с грыжей пищеводного отверстия диафрагмы, раком желудка, дивертикулами и разрывами пищевода, а также если пневмокардиодилатация не дала нужного результата.
Медикаментозное лечение при ахалазии используют в качестве вспомогательного и назначают для продления периода ремиссии. С этой целью пациенту могут быть назначены транквилизаторы, спазмолитики, нитраты, антагонисты кальция, антидофаминергические препараты. В последние годы широкое распространение получила методика лечения ахалазии путем введения ботулотоксина.
Пациенту назначают специальную щадящую диету, рекомендуется исключить сильные физические нагрузки, избегать эмоционального перенапряжения.
Читайте также:
