Синдром острого легочного сердца. ЭКГ при остром легочном сердце
Добавил пользователь Евгений Кузнецов Обновлено: 09.01.2026
Признаки ТЭЛА (тромбоэмболии легочной артерии, острого легочного сердца) на ЭКГ
• ТЭЛА вызывает острую перегрузку правого сердца, которая, однако, не обусловлена первичной патологией сердца.
• Для острой ТЭЛА характерен синдром МакГинна-Уайта, при котором отмечается сочетание SI-QIII и депрессия сегмента ST в отведении V1 с подъемом сегмента ST и отрицательной терминальной частью зубца Т в отведении III, причем в отведении III регистрируется большой зубец Q.
• К другим изменениям, выявляемым на ЭКГ при ТЭЛА, относятся неполная или полная блокада ПНПГ, высокий зубец R в отведении V1 и глубокий отрицательный зубец Т в грудных отведениях.
• Серьезные нарушения ритма, например, групповые желудочковые экстрасистолы или желудочковая тахикардия, регистрируются в тяжелых случаях, обычно в терминальной стадии.
При ТЭЛА возникает внезапная перегрузка правых отделов сердца (острое легочное сердце), которая, однако, не связана с первичным заболеванием сердца, например поражением клапанов. Наиболее частой причиной ТЭЛА бывает тромбоз глубоких вен, например в послеоперационном периоде, после тяжелых родов, а также передозировка диуретиков.
ЭКГ-изменения характерны для ТЭЛА и имеют диагностическое значение при своевременной регистрации ЭКГ. Поскольку ТЭЛА при фульминантной форме представляет непосредственную угрозу жизни больного и без лечения обычно приводит к смерти, к изменениям ЭКГ следует отнестись очень внимательно.

На ЭКГ, регистрируемой сразу после появления клинической картины острой ТЭЛА, отмечается так называемой синдром МакГинна-Уайта. Это важный признак острой ТЭЛА. Для него характерно сочетание SI-QIII, которое соответствует повороту электрической оси сердца кзади. В отведении I при этом регистрируется глубокий зубец S, а в отведении III - большой (т.е. глубокий и уширенный) зубец Q.
Кроме того, для ТЭЛА характерны также следующие важные изменения. В отведении I, помимо глубокого зубца S, регистрируется депрессия сегмента ST. При блокаде ПНПГ, когда в отведении I также регистрируется глубокий зубец S, такая депрессия ST не наблюдается. В то же время в отведении III, наряду с большим зубцом Q, регистрируются подъем сегмента ST, отрицательная терминальная часть зубца Т.
Большой зубец Q может стать причиной ошибочной диагностики ИМ задней стенки. В отведении aVL изменения ЭКГ часто бывают такими же, как в отведении I. Описанные изменения известны как синдром МакГинна-Уайта. Cиндром МакГинна-Уайта является характерной особенностью острой ТЭЛА. Однако его выявляют не всегда, так как он обычно бывает преходящим и уже через несколько часов может исчезнуть.
При острой ТЭЛА возможны также другие изолированные изменения: неполная или полная блокада ПНПГ, признаки гипертрофии правого желудочка (ПЖ) (например, высокий зубец R или R' в отведении V1), позднее появляются также остроконечный отрицательный зубец Т с депрессией сегмента ST в отведениях V1-V4, иногда даже в отведении V6.
Известны также случаи, когда, несмотря на то, что диагноз ТЭЛА не вызывал сомнений, на ЭКГ внезапно появлялись признаки, соответствующие правому типу, правопредсердный зубец Р, иногда синусовая тахикардия без соответствующих изменений. Эти изменения быстро исчезают при улучшении клинического состояния больного.
Серьезные нарушения ритма сердца, такие как групповые желудочковые экстрасистолы и желудочковая тахикардия или фибрилляция желудочков, часто появляются в терминальной стадии фульминантной ТЭЛА.
Особенности ЭКГ при ТЭЛА:
• Сочетание SI-QIII, подъем сегмента ST и большой зубец Q в отведении I
• Блокада правой ножки пучка Гиса (ПНПГ)
• Признаки гипертрофии ПЖ
• Отрицательный зубец Т в отведениях V1-V4
• Нарушения ритма сердца (синусовая тахикардия)

Острая ТЭЛА.
Синусовая тахикардия с частотой сокращений желудочков 150 ударов в минуту.
Сочетание SI-QIII, депрессия сегмента ST в отведении I, большой зубец Q и подъем сегмента ST и отрицательная терминальная часть зубца Т в отведении III представляют собой синдром МакГинна-Уайта.
Инфаркта миокарда (ИМ) задней стенки нет.
Учебное видео ЭКГ при миокардите, перикардите и ТЭЛА
Редактор: Искандер Милевски. Дата обновления публикации: 18.3.2021
Тромбоэмболия легочной артерии ( ТЭЛА )
Тромбоэмболия легочной артерии – окклюзия легочной артерии или ее ветвей тромботическими массами, приводящая к жизнеугрожающим нарушениям легочной и системной гемодинамики. Классическими признаками ТЭЛА служат боли за грудиной, удушье, цианоз лица и шеи, коллапс, тахикардия. Для подтверждения диагноза тромбоэмболии легочной артерии и дифференциальной диагностики с другими схожими по симптоматике состояниями проводится ЭКГ, рентгенография легких, ЭхоКГ, сцинтиграфия легких, ангиопульмонография. Лечение ТЭЛА предполагает проведение тромболитической и инфузионной терапии, ингаляций кислорода; при неэффективности – тромбоэмболэктомии из легочной артерии.
МКБ-10


Общие сведения
Тромбоэмболия легочной артерии (ТЭЛА) — внезапная закупорка ветвей или ствола легочной артерии тромбом (эмболом), образовавшимся в правом желудочке или предсердии сердца, венозном русле большого круга кровообращения и принесенным с током крови. В результате ТЭЛА прекращается кровоснабжение легочной ткани. Развитие ТЭЛА происходит часто стремительно и может привести к гибели больного.
От ТЭЛА умирает 0,1% населения земного шара ежегодно. Около 90% больным, умершим от ТЭЛА, во время не был установлен правильный диагноз, и не было проведено необходимое лечение. Среди причин смерти населения от сердечно-сосудистой заболеваний ТЭЛА стоит на третьем месте после ИБС и инсульта. ТЭЛА может приводить к летальному исходу при некардиологической патологии, возникая после операций, полученных травм, родов. При своевременном оптимальном лечении ТЭЛА наблюдается высокий показатель снижения уровня смертности до 2 – 8%.

Причины ТЭЛА
Наиболее частыми причинами развития ТЭЛА служат:
- тромбоз глубоких вен (ТГВ) голени (в 70 – 90% случаев), часто сопровождающийся тромбофлебитом. Может иметь место тромбоз одновременно глубоких и поверхностных вен голени
- тромбоз нижней полой вены и ее притоков
- сердечно-сосудистые заболевания, предрасполагающие к появлению тромбов и эмболий в легочной артерии (ИБС, активная фаза ревматизма с наличием митрального стеноза и мерцательной аритмии, гипертоническая болезнь, инфекционный эндокардит, кардиомиопатии и неревматические миокардиты)
- септический генерализованный процесс
- онкологические заболевания (чаще рак поджелудочной железы, желудка, легких)
- тромбофилия (повышенное внутрисосудистое тромбообразование при нарушении системы регуляции гемостаза)
- антифосфолипидный синдром — образование антител к фосфолипидам тромбоцитов, клеток эндотелия и нервной ткани (аутоиммунные реакции); проявляется повышенной склонностью к тромбозам различных локализаций.
Факторы риска
Факторы риска тромбозов вен и ТЭЛА - это:
- длительное состояние обездвиженности (постельный режим, частые и продолжительные авиаперелеты, поездки, парез конечностей), хроническая сердечно-сосудистая и дыхательная недостаточность, сопровождаются замедлением тока крови и венозным застоем.
- прием большого количества диуретиков (массовая потеря воды приводит к дегидратации, повышению гематокрита и вязкости крови);
- злокачественные новообразования - некоторые виды гемобластозов, истинная полицитемия (большое содержание в крови эритроцитов и тромбоцитов приводит к их гиперагрегации и образованию тромбов);
- длительный прием некоторых лекарственных препаратов (оральные контрацептивы, заместительная гормональная терапия) повышает свертываемость крови;
- варикозная болезнь (при варикозном расширении вен нижних конечностей создаются условия для застоя венозной крови и образования тромбов);
- нарушения обмена веществ, гемостаза (гиперлипидпротеинемия, ожирение, сахарный диабет, тромбофилия);
- хирургические операции и внутрисосудистые инвазивные процедуры (например, центральный катетер в крупной вене);
- артериальная гипертензия, застойная сердечная недостаточность, инсульты, инфаркты;
- травмы спинного мозга, переломы крупных костей;
- химиотерапия;
- беременность, роды, послеродовый период;
- курение, пожилой возраст и др.
Классификация
В зависимости от локализации тромбоэмболического процесса различают следующие варианты ТЭЛА:
- массивная (тромб локализуется в главном стволе или основных ветвях легочной артерии)
- эмболия сегментарных или долевых ветвей легочной артерии
- эмболия мелких ветвей легочной артерии (чаще двусторонняя)
В зависимости от объема отключенного артериального кровотока при ТЭЛА выделяют формы:
- малую (поражены менее 25% легочных сосудов) - сопровождается одышкой, правый желудочек функционирует нормально
- субмассивную (субмаксимальную - объем пораженных сосудов легких от 30 до 50%), при которой у пациента отмечается одышка, нормальное артериальное давление, правожелудочковая недостаточность мало выражена
- массивную (объем отключенного легочного кровотока более 50%) - наблюдается потеря сознания, гипотония, тахикардия, кардиогенный шок, легочная гипертензия, острая правожелудочковая недостаточность
- смертельную (объем отключенного кровотока в легких более 75%).
ТЭЛА может протекать в тяжелой, среднетяжелой или легкой форме.
Клиническое течение ТЭЛА может быть:
- острейшим (молниеносным), когда наблюдается моментальная и полная закупорка тромбом главного ствола или обеих основных ветвей легочной артерии. Развивается острая дыхательная недостаточность, остановка дыхания, коллапс, фибрилляция желудочков. Летальный исход наступает за несколько минут, инфаркт легких не успевает развиться.
- острым, при котором отмечается быстро нарастающая обтурация основных ветвей легочной артерии и части долевых или сегментарных. Начинается внезапно, бурно прогрессирует, развиваются симптомы дыхательной, сердечной и церебральной недостаточности. Продолжается максимально 3 – 5 дней, осложняется развитием инфаркта легких.
- подострым (затяжным) с тромбозом крупных и средних ветвей легочной артерии и развитием множественных инфарктов легких. Продолжается несколько недель, медленно прогрессирует, сопровождаясь нарастанием дыхательной и правожелудочковой недостаточности. Могут возникать повторные тромбоэмболии с обострением симптомов, при которых нередко наступает смертельный исход.
- хроническим (рецидивирующим), сопровождающимся рецидивирующими тромбозами долевых, сегментарных ветвей легочной артерии. Проявляется повторными инфарктами легких или повторными плевритами (чаще двусторонними), а также постепенно нарастающей гипертензией малого круга кровообращения и развитием правожелудочковой недостаточности. Часто развивается в послеоперационном периоде, на фоне уже имеющихся онкологических заболеваний, сердечно-сосудистых патологий.
Симптомы ТЭЛА
Симптоматика ТЭЛА зависит от количества и размера тромбированных легочных артерий, скорости развития тромбоэмболии, степени возникших нарушений кровоснабжения легочной ткани, исходного состояния пациента. При ТЭЛА наблюдается широкий диапазон клинических состояний: от практически бессимптомного течения до внезапной смерти.
Клинические проявления ТЭЛА неспецифические, они могут наблюдаться при других легочных и сердечно-сосудистых заболеваниях, их главным отличием служит резкое, внезапное начало при отсутствии других видимых причин данного состояния (сердечно-сосудистой недостаточности, инфаркта миокарда, пневмонии и др.). Для ТЭЛА в классическом варианте характерен ряд синдромов:
1. Сердечно – сосудистый:
- острая сосудистая недостаточность. Отмечается падение артериального давления (коллапс, циркуляторный шок), тахикардия. Частота сердечных сокращений может достигать более 100 уд. в минуту.
- острая коронарная недостаточность (у 15-25% больных). Проявляется внезапными сильными болями за грудиной различного характера, продолжительностью от нескольких минут до нескольких часов, мерцательной аритмией, экстрасистолией.
- острое легочное сердце. Обусловлено массивной или субмассивной ТЭЛА; проявляется тахикардией, набуханием (пульсацией) шейных вен, положительным венным пульсом. Отеки при остром легочном сердце не развиваются.
- острая цереброваскулярная недостаточность. Возникают общемозговые или очаговые нарушения, церебральная гипоксия, при тяжелой форме - отек мозга, мозговые кровоизлияния. Проявляется головокружением, шумом в ушах, глубоким обмороком с судорогами, рвотой, брадикардией или коматозным состоянием. Могут наблюдаться психомоторное возбуждение, гемипарезы, полиневриты, менингиальные симптомы.
2. Легочно-плевральный:
- острая дыхательная недостаточность проявляется одышкой (от ощущения нехватки воздуха до очень выраженных проявлений). Число дыханий более 30-40 в минуту, отмечается цианоз, кожные покровы пепельно-серые, бледные.
- умеренный бронхоспастический синдром сопровождается сухими свистящими хрипами.
- инфаркт легкого, инфарктная пневмония развивается на 1 – 3 сутки после ТЭЛА. Появляются жалобы на одышку, кашель, боли в грудной клетке со стороны поражения, усиливающиеся при дыхании; кровохарканье, повышение температуры тела. Становятся слышны мелкопузырчатые влажные хрипы, шум трения плевры. У пациентов с тяжелой сердечной недостаточностью наблюдаются значительные выпоты в плевральную полость.
3. Лихорадочный синдром - субфебрильная, фебрильная температура тела. Связан с воспалительными процессами в легких и плевре. Длительность лихорадки составляет от 2 до 12 дней.
4. Абдоминальный синдром обусловлен острым, болезненным набуханием печени (в сочетании с парезом кишечника, раздражением брюшины, икотой). Проявляется острой болью в правом подреберье, отрыжкой, рвотой.
5. Иммунологический синдром (пульмонит, рецидивирующий плеврит, уртикароподобная сыпь на коже, эозинофилия, появление в крови циркулирующих иммунных комплексов) развивается на 2-3 неделе заболевания.
Осложнения
Острая ТЭЛА может служить причиной остановки сердца и внезапной смерти. При срабатывании компенсаторных механизмов пациент сразу не погибает, но при отсутствии лечения очень быстро прогрессируют вторичные гемодинамические нарушения. Имеющиеся у пациента кардиоваскулярные заболевания значительно снижают компенсаторные возможности сердечно-сосудистой системы и ухудшают прогноз.
Диагностика
В диагностике ТЭЛА главная задача – установить местонахождение тромбов в легочных сосудах, оценить степень поражения и выраженность нарушений гемодинамики, выявить источник тромбоэмболии для предупреждения рецидивов.
Сложность диагностики ТЭЛА диктует необходимость нахождения таких пациентов в специально оборудованных сосудистых отделениях, владеющих максимально широкими возможностями для проведения специальных исследований и лечения. Всем пациентам с подозрением на ТЭЛА проводят следующие обследования:
- тщательный сбор анамнеза, оценку факторов риска ТГВ/ТЭЛА и клинической симптоматики
- общий и биохимический анализы крови, мочи, исследование газового состава крови, коагулограмму и исследование Д-димера в плазме крови (метод диагностики венозных тромбов)
- ЭКГ в динамике (для исключения инфаркта миокарда, перикардита, сердечной недостаточности)
- рентгенографию легких (для исключения пневмоторакса, первичной пневмонии, опухолей, переломов ребер, плеврита)
- эхокардиографию (для выявления повышенного давления в легочной артерии, перегрузок правых отделов сердца, тромбов в полостях сердца)
- сцинтиграфию легких (нарушение перфузии крови через легочную ткань говорит об уменьшении или отсутствии кровотока вследствие ТЭЛА)
- ангиопульмонографию (для точного определения локализации и размеров тромба)
- УЗДГ вен нижних конечностей, контрастную флебографию (для выявления источника тромбоэмболии)

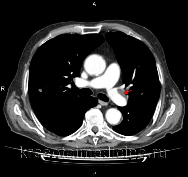
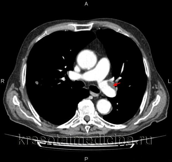
КТ-ангиография легочных артерий. Протяженный пристеночный тромб в просвете основного ствола левой легочной артерии
Лечение ТЭЛА
Пациентов с тромбоэмболией помещают в реанимационное отделение. В неотложном состоянии пациенту проводятся реанимационные мероприятия в полном объеме. Дальнейшее лечение ТЭЛА направлено на нормализацию легочного кровообращения, профилактику хронической легочной гипертензии.
С целью предупреждения рецидивов ТЭЛА необходимо соблюдение строгого постельного режима. Для поддержания оксигенации проводится постоянная ингаляция кислорода. Осуществляется массивная инфузионная терапия для снижения вязкости крови и поддержания АД.
В раннем периоде показано назначение тромболитической терапии с целью максимально быстрого растворения тромба и восстановления кровотока в легочной артерии. В дальнейшем для предупреждения рецидивов ТЭЛА проводится гепаринотерапия. При явлениях инфаркт-пневмонии назначается антибактериальная терапия.
В случаях развития массивной ТЭЛА и неэффективности тромболизиса сосудистыми хирургами проводится хирургическая тромбоэмболэктомия (удаление тромба). Как альтернативу эмболэктомии используют катетерную фрагментацию тромбоэмбола. При рецидивирующих ТЭЛА практикуется постановка специального фильтра в ветви легочной артерии, нижнюю полую вену.
Прогноз и профилактика
При раннем оказании полного объема помощи пациентам прогноз для жизни благоприятный. При выраженных сердечно-сосудистых и дыхательных нарушениях на фоне обширной ТЭЛА летальность превышает 30%. Половина рецидивов ТЭЛА развивается у пациентов, не получавших антикоагулянты. Своевременная, правильно проведенная антикоагулянтная терапия вдвое снижает риск рецидивов ТЭЛА. Для предупреждения тромбоэмболии необходимы ранняя диагностика и лечение тромбофлебита, назначение непрямых антикоагулянтов пациентам из групп риска.
Синдром острого легочного сердца. ЭКГ при остром легочном сердце
Признаки хронического легочного сердца на ЭКГ
• При хроническом легочном сердце речь идет о постепенном развитии гипертрофии ПЖ, обусловленной хроническим заболеванием легких, например эмфиземой.
• К электрокардиографическим признакам хронического легочного сердца относятся: правый тип ЭКГ, высокий зубец R в отведении V1 и глубокий зубец S в отведении V6. Возможен также правопредсердный зубец Р.
Под хроническим легочным сердцем понимают медленно прогрессирующую гипертрофию ПЖ, причиной которой часто бывает заболевание легких, например эмфизема, фиброз или туберкулез. Как и при острой ТЭЛА, при хроническом легочном сердце следует исключить первичное заболевание сердца, например поражение клапанов.
К электрокардиографическим проявлениям хронического легочного сердца относятся признаки гипертрофии миокарда, о которых говорилось в статьях, посвященных гипертрофии правого предсердия (ПП) и правого желудочка (ПЖ).

У взрослых, особенно у пожилых, обычно отмечается левый тип ЭКГ. Поэтому изменение ЭКГ, соответствующее правому типу, должно привлечь внимание врача. Часто отмечаются также признаки поворота электрической оси сердца в сагиттальной плоскости (SI—QIII-тип или SI—SII-SIII-тип). В таких случаях следует исключить хроническое легочное сердце.
Помимо указанных особенностей, при выраженной картине хронического легочного сердца регистрируются высокий зубец R или R' (>0,7 мВ) в правых грудных отведениях, например в отведении V1, глубокий зубец S в левых грудных отведениях, например V5 и V6. Отношение амплитуды зубцов R/S в отведении V1 часто превышает 1.
Кроме того, отмечается изолированный правопредсердный зубец Р (часто в сочетании с вышеописанными изменениями или синусовой тахикардией). В таких случаях следует заподозрить гипертрофию правого желудочка (ПЖ).
Особенности ЭКГ при хроническом легочном сердце:
• Правый тип ЭКГ, поворот в сагиттальной плоскости
• Признаки гипертрофии ПЖ (например, высокий зубец R в отведениях V1 и aVR, глубокий зубец S в отведении V6)

Гипертрофия правого желудочка (ПЖ) при хроническом легочном сердце.
Синусовая тахикардия (ЧСС 95 ударов в минуту). Правый тип ЭКГ, депрессия сегмента ST и отрицательный зубец Т во II и III отведениях.
Комплекс QRS не уширен, но в отведении V1 расщеплен (комплекс QRS в отведении V1 имеет вид rsR', что является признаком неполной блокады ПГ, III тип).
Зубец R' высокий (гипертрофия ПЖ). Глубокий зубец S в отведении V6. Депрессия сегмента ST и отрицательный зубец Т в отведениях V2-V6.
Информация на сайте подлежит консультации лечащим врачом и не заменяет очной консультации с ним.
См. подробнее в пользовательском соглашении.
Легочное сердце
Легочное сердце – патология правых отделов сердца, характеризующаяся увеличением (гипертрофией) и расширением (дилатацией) правого предсердия и желудочка, а также недостаточностью кровообращения, развивающейся вследствие гипертензии малого круга кровообращения. Формированию легочного сердца способствуют патологические процессы бронхолегочной системы, сосудов легких, грудной клетки. К клиническим проявлениям острого легочного сердца относятся одышка, загрудинные боли, наростание кожного цианоза и тахикардии, психомоторное возбуждение, гепатомегалия. Обследование выявляет увеличение границ сердца вправо, ритм галопа, патологическую пульсацию, признаки перегрузки правых отделов сердца на ЭКГ. Дополнительно проводят рентгенографию органов грудной клетки, УЗИ сердца, исследование ФВД, анализ газового состава крови.

Легочное сердце – патология правых отделов сердца, характеризующаяся увеличением (гипертрофией) и расширением (дилатацией) правого предсердия и желудочка, а также недостаточностью кровообращения, развивающейся вследствие гипертензии малого круга кровообращения. Формированию легочного сердца способствуют патологические процессы бронхолегочной системы, сосудов легких, грудной клетки.
Острая форма легочного сердца развивается быстро, за несколько минут, часов или дней; хроническая – на протяжении нескольких месяцев или лет. Почти у 3% больных хроническими бронхолегочными заболеваниями постепенно развивается легочное сердце. Легочное сердце значительно отягощает течение кардиопатологий, занимая 4-е место среди причин летальности при сердечно-сосудистых заболеваниях.
Причины развития легочного сердца
Бронхолегочная форма легочного сердца развивается при первичных поражениях бронхов и легких в результате хронического обструктивного бронхита, бронхиальной астмы, бронхиолита, эмфиземы легких, диффузного пневмосклероза различного генеза, поликистоза легких, бронхоэктазов, туберкулеза, саркоидоза, пневмокониоза, синдрома Хаммена - Рича и др. Эту форму могут вызывать около 70 бронхолегочных заболеваний, способствующих формированию легочного сердца в 80% случаев.
Возникновению торакодиафрагмальной формы легочного сердца способствуют первичные поражения грудной клетки, диафрагмы, ограничение их подвижности, значительно нарушающие вентиляцию и гемодинамику в легких. В их число входят заболевания, деформирующие грудную клетку (кифосколиозы, болезнь Бехтерева и др.), нервно-мышечные болезни (полиомиелит), патологии плевры, диафрагмы (после торакопластики, при пневмосклерозе, парезе диафрагмы, синдроме Пиквика при ожирении и т. п.).
Васкулярная форма легочного сердца развивается при первичных поражениях легочных сосудов: первичной легочной гипертензии, легочных васкулитах, тромбоэмболии ветвей легочной артерии (ТЭЛА), сдавлении легочного ствола аневризмой аорты, атеросклерозе легочной артерии, опухолями средостения.
Основными причинами острого легочного сердца являются массивная ТЭЛА, тяжелые приступы бронхиальной астмы, клапанный пневмоторакс, острая пневмония. Легочное сердце подострого течения развивается при повторных ТЭЛА, раковом лимфангоите легких, в случаях хронической гиповентиляции, связанных с полиомиелитом, ботулизмом, миастенией.
Механизм развития легочного сердца
Ведущее значение в развитии легочного сердца имеет артериальная легочная гипертензия. На начальной стадии она также связана с рефлекторным увеличением сердечного выброса в ответ на усиление дыхательной функции и возникающую при дыхательной недостаточности гипоксию тканей. При васкулярной форме легочного сердца сопротивление кровотоку в артериях малого круга кровообращения увеличивается в основном за счет органического сужения просвета легочных сосудов при закупорке их эмболами (в случае тромбоэмболии), при воспалительной или опухолевой инфильтрации стенок, заращении их просвета (в случае системных васкулитов). При бронхолегочной и торакодиафрагмальной формах легочного сердца сужение просвета легочных сосудов происходит за счет их микротромбоза, заращения соединительной тканью или сдавления в зонах воспаления, опухолевого процесса или склерозирования, а также при ослаблении способности легких к растяжению и спадении сосудов в измененных сегментах легких. Но в большинстве случаев ведущую роль играют функциональные механизмы развития легочной артериальной гипертензии, которые связаны с нарушениями дыхательной функции, вентиляции легких и гипоксией.
Артериальная гипертензия малого круга кровообращения приводит к перегрузке правых отделов сердца. По мере развития заболевания происходит сдвиг кислотно-щелочного равновесия, который первоначально может быть компенсированным, но в дальнейшем может произойти декомпенсация нарушений. При легочном сердце наблюдается увеличение размеров правого желудочка и гипертрофия мышечной оболочки крупных сосудов малого круга кровообращения, сужения их просвета с дальнейшим склерозированием. Мелкие сосуды нередко поражаются множественными тромбами. Постепенно в сердечной мышце развивается дистрофия и некротические процессы.
Классификация легочного сердца
По скорости нарастания клинических проявлений различают несколько вариантов течения легочного сердца: острое (развивается за несколько часов или дней), подострое (развивается на протяжении недель и месяцев) и хроническое (возникает постепенно, в течение ряда месяцев или лет на фоне длительной дыхательной недостаточности).
Процесс формирования хронического легочного сердца проходит следующие стадии:
- доклиническую – проявляется транзиторной пульмонарной гипертензией и признаками напряженной работы правого желудочка; выявляются только при инструментальном исследовании;
- компенсированную – характеризуется гипертрофией правого желудочка и стабильной пульмонарной гипертензией без явлений недостаточности кровообращения;
- декомпенсированную (сердечно-легочная недостаточность) - появляются симптомы недостаточности правого желудочка.
Выделяют три этиологические формы легочного сердца: бронхолегочную, торакодиафрагмальную и васкулярную.
По признаку компенсации хроническое легочное сердце может быть компенсированным или декомпенсированным.
Симптомы легочного сердца
Клиническая картина легочного сердца характеризуется развитием явлений сердечной недостаточности на фоне легочной гипертензии. Развитие острого легочного сердца характеризуется появлением внезапной боли за грудиной, резкой одышки; снижением артериального давления, вплоть до развития коллапса, синюшностью кожных покровов, набуханием шейных вен, нарастающей тахикардией; прогрессирующим увеличением печени с болями в правом подреберье, психомоторным возбуждением. Характерны усиленные патологические пульсации (прекардиальная и эпигастральная), расширение границы сердца вправо, ритм галопа в зоне мечевидного отростка, ЭКГ- признаки перегрузки правого предсердия.
При массивной ТЭЛА за несколько минут развивается шоковое состояние, отек легких. Нередко присоединяется острая коронарная недостаточность, сопровождающаяся нарушением ритма, болевым синдромом. В 30-35 % случаев наблюдается внезапная смерть. Подострое легочное сердце проявляется внезапными умеренными болевыми ощущениями, одышкой и тахикардией, непродолжительным обмороком, кровохарканьем, признаками плевропневмонии.
В фазе компенсации хронического легочного сердца наблюдается симптоматика основного заболевания с постепенными проявлениями гиперфункции, а затем и гипертрофии правых отделов сердца, которые обычно неярко выражены. У некоторых пациентов отмечается пульсация в верхней части живота, вызванная увеличением правого желудочка.
В стадии декомпенсации развивается правожелудочковая недостаточность. Основным проявлением служит одышка, усиливающаяся при физической нагрузке, вдыхании холодного воздуха, в лежачем положении. Появляются боли в области сердца, синюшность (теплый и холодный цианоз), учащенное сердцебиение, набухание шейных вен, сохраняющееся на вдохе, увеличение печени, периферические отеки, устойчивые к лечению.
При обследовании сердца выявляется глухость сердечных тонов. Артериальное давление в норме или понижено, артериальная гипертония характерна для застойной сердечной недостаточности. Более выраженными симптомы легочного сердца становятся при обострении воспалительного процесса в легких. В поздней стадии усиливаются отеки, прогрессирует увеличение печени (гепатомегалия), появляются неврологические нарушения (головокружение, головные боли, апатия, сонливость) снижается диурез.
Диагностика легочного сердца
Диагностическими критериями легочного сердца считают наличие заболеваний - причинных факторов легочного сердца, легочной гипертензии, увеличения и расширения правого желудочка, правожелудочковой сердечной недостаточности. Таким пациентам необходима консультация пульмонолога и кардиолога. При осмотре пациента обращают внимание на признаки нарушения дыхания, синюшность кожи, боли в области сердца и т. д. На ЭКГ определяются прямые и косвенные признаки гипертрофии правого желудочка.
По данным рентгенографии легких наблюдается одностороннее увеличение тени корня легкого, его повышенная прозрачность, высокое стояние купола диафрагмы со стороны поражения, выбухание ствола легочной артерии, увеличение правых отделов сердца. С помощью спирометрии устанавливается тип и степень дыхательной недостаточности.
На эхокардиографии определяется гипертрофия правых отделов сердца, легочная гипертензия. Для диагностики ТЭЛА проводится легочная ангиография. При проведении радиоизотопного метода исследования системы кровообращения исследуется изменение сердечного выброса, скорость кровотока, объем циркулирующей крови, венозное давление.
Лечение легочного сердца
Основные лечебные мероприятия при легочном сердце направлены на активную терапию основного заболевания (пневмоторакса, ТЭЛА, бронхиальная астма и т. д.). Симптоматическое воздействие включает применение бронхолитиков, муколитических средств, дыхательных аналептиков, оксигенотерапии. Декомпенсированное течение легочного сердца на фоне бронхиальной обструкции требует постоянного приема глюкокортикоидов (преднизолона и др.).
С целью коррекции артериальной гипертензии у пациентов с хроническим легочным сердцем возможно применение эуфиллина (внутривенно, внутрь, ректально), на ранних этапах - нифедипина, при декомпенсированном течении - нитратов ( изосорбида динитрата, нитроглицерина) под контролем газового состава крови из-за опасности усиления гипоксемии.
При явлениях сердечной недостаточности показано назначение сердечных гликозидов и мочегонных средств с соблюдением предосторожности ввиду высокой токсичности действия гликозидов на миокард, особенно в условиях гипоксии и гипокалиемии. Коррекция гипокалиемии проводится препаратами калия (аспарагинатом или хлоридом калия). Из диуретиков предпочтение отдается калийсберегающим препаратам ( триамтерену, спиронолактону и др.).
В случаях выраженного эритроцитоза проводят кровопускания по 200-250 мл крови с последующим внутривенным введением инфузионных растворов низкой вязкости (реополиглюкина и др.). В терапию пациентов с легочным сердцем целесообразно включать применение простагландинов мощных эндогенных вазодилататоров, дополнительно обладающих цитопротективным, антипролиферативным, антиагрегационным действиями.
Важное место в терапии легочного сердца отводится антагонистам рецепторов эндотелина (бозентану). Эндотелин является мощным вазоконстриктором эндотелиального происхождения, уровень которого повышается при различных формах легочного сердца. При развитии ацидоза проводят внутривенную инфузию раствора гидрокарбоната натрия.
При явлениях недостаточности кровообращения по правожелудочковому типу назначаются калийсберегающие диуретики (триамтерен, спиронолактон и др.), при левожелудочковой недостаточности применяются сердечные гликозиды (коргликон внутривенно). С целью улучшения метаболизма сердечной мышцы при легочном сердце рекомендуется назначение мельдония внутрь, а также оротата либо аспарагината калия. В комплексной терапии легочного сердца используется дыхательная гимнастика, ЛФК, массаж, гипербарическая оксигенация.
Прогноз и профилактика легочного сердца
В случаях развития декомпенсации легочного сердца прогноз для трудоспособности, качества и продолжительности жизни неудовлетворительный. Обычно трудоспособность у пациентов с легочным сердцем страдает уже на ранних этапах заболевания, что диктует необходимость рационального трудоустройства и решения вопроса о присвоении группы инвалидности. Раннее начало комплексной терапии позволяет значительно улучшить трудовой прогноз и увеличить продолжительность жизни.
Для профилактики легочного сердца требуется предупреждение, своевременное и эффективное лечение приводящих к нему заболеваний. В первую очередь, это касается хронических бронхолегочных процессов, необходимости предупреждения их обострений и развития дыхательной недостаточности. Для профилактики процессов декомпенсации легочного сердца рекомендуется придерживаться умеренной физической активности.
1. Легочное сердце: вопросы диагностики и лечения. Методические рекомендации/ Усачева Е.В., Чернакова В.А., Мажбич С.М., Овсянников Н.В. – 2008.
2. Легочное сердце: клиника, диагностика, лечение. Методические рекомендации/ Шапорова Н.Л., Жданов В.Ф., Батагов С.Я. и др. – 2007.
4. Внутренние болезни в 2-х томах: учебник/ Под ред. Н.А. Мухина, В.С. Моисеева, А.И. Мартынова - 2010.
Острая левожелудочковая недостаточность
Острая левожелудочковая недостаточность – это клинический синдром, который характеризуется резким снижением сердечного выброса и застоем в малом круге кровообращения. Заболевание возникает при инфаркте миокарда и прочих неотложных состояниях в кардиологии, других соматических патологиях, отравлении кардиотоксическими веществами. Клинически проявляется отеком легких и кардиогенным шоком. Для диагностики используют ЭКГ и ЭхоКГ, рентгенографию грудной клетки, инвазивную коронарографию и лабораторные анализы. Лечение сердечной недостаточности включает оксигенотерапию и медикаментозную поддержку, хирургические методы назначаются по показаниям.


Острая сердечная недостаточность (ОСН) – основная причина госпитализации и смертности пациентов с кардиоваскулярными патологиями во всем мире. Заболевание отличается тяжелым течением, быстрой декомпенсацией и нарастающими полиорганными расстройствами, что требует от врачей неотложной комплексной, мультидисциплинарной помощи. Левожелудочковая ОСН представляет серьезную проблему для экономики здравоохранения: затраты на ее лечение составляют около 2% всех расходов на медицину.
Причины
Острая недостаточность левого желудочка возникает как декомпенсированный вариант ХСН, а также у больных без предшествующих заболеваний сердца. У людей пожилого возраста главной причиной ОСН является ишемическая болезнь сердца, которая вызывает до 60-70% всех случаев критических расстройств кровообращения. Среди этиологических факторов заболевания также выделяют следующие:
- Невоспалительные болезни сердца. У пациентов молодого и среднего возраста многие случаи острой левожелудочковой недостаточности связаны с дилатационной кардиомиопатией, нарушениями ритма (фибрилляция, желудочковая тахикардия), пороками сердца.
- Экстренные состояния. Причиной острых расстройств кровообращения выступают тампонада сердца, разрыв аневризмы аорты, тромбоэмболия легочной артерии. Левожелудочковая недостаточность считается типичным проявлением осложненной формы гипертензивного криза.
- Миокардиты. При тяжелом воспалении миокарда резко снижается его сократительная способность и падает сердечный выброс, что является пусковым фактором ОСН. Миокардит чаще имеет инфекционно-аллергический характер, изредка его вызывают токсические, аутоиммунные факторы.
- Внесердечные причины. Нарушения в малом круге провоцируются фоновыми заболеваниями: расстройствами церебрального кровотока, бронхиальной астмой, почечной недостаточностью. ОСН может возникать при тяжелом наркотическом или алкогольном опьянении.
- Синдромы высокого выброса. Неадекватная работа сердечной мышцы наблюдается при диссеминированных инфекциях и септицемии, тиреотоксическом кризе, анемии. Изредка пусковым фактором заболевания выступает шунтирование крови.
- Кардиотоксические вещества. Внезапное нарушение деятельности сердца наблюдается при отравлении фосфорорганическими соединениями (ФОС), инсектицидами. Из лекарственных средств к развитию ОСН приводят передозировки сердечных гликозидов, альфа2-стимуляторов.
Патогенез
Ключевую роль в формировании клинического синдрома играет неспособность миокарда левого желудочка обеспечить нормальный сердечный выброс. Такие нарушения вызваны как необратимыми некрозами мышечной ткани, так и потенциально обратимыми процессами функционального оглушения, гибернации («спящего состояния») миокарда. Состояние сопровождается нормальным или усиленным венозным возвратом.
При острой левожелудочковой недостаточности образуется порочный круг гемодинамических нарушений. Он начинается со снижения сократительной способности сердца, что усиливает его диастолическую дисфункцию и вызывает сужение периферических сосудов. Одновременно происходит депонирование крови в малом круге, задержка жидкости и ионов натрия, что усугубляет отек легких.

По фазе нарушения сердечной деятельности левожелудочковая недостаточность бывает систолической (кардиогенный шок), когда наблюдается низкое кровенаполнение в большом круге, и диастолической (отек легких), для которой типичен застой в венах малого круга. В современной кардиологии для определения прогноза и тактики лечения применяется классификация «клинической тяжести», которая включает 4 класса:
- КлассI – «теплые и сухие» пациенты. Низкий сердечный выброс при нормальном кровоснабжении периферических тканей и отсутствии застоя в малом круге.
- КлассII – «теплые и влажные». ОСН с депонированием крови в венозном русле легких и отсутствии симптомов периферической гипоперфузии.
- КлассIII – «холодные и сухие». Расстройства артериального кровоснабжения в покровных тканях без симптоматики легочного застоя.
- КлассIV – «холодные и влажные». Самый тяжелый вариант острой левожелудочковой недостаточности, при котором гипоперфузия тканей сочетается с признаками отека легких.
Для постановки диагноза в кардиологической практике также используют классификацию Killip T. (1967), согласно которой ОСН делится на 4 стадии по тяжести клинических проявлений. При оценке состояния пациентов по методу Forrester JS. учитывается систолический индекс (СИ) менее 2,2 л за минуту на 1 м 2 площади тела и повышение давления заклинивания в легочной артерии (ДЗЛА) более 18 мм рт. ст.
Симптомы левожелудочковой недостаточности
Клиника заболевания складывается из отдельных синдромов и зависит от варианта ОСН. Признаками застойных явлений в малом круге служат сильная одышка и слышимые на расстоянии дыхательные хрипы, которые сохраняются в покое. Чтобы облегчить состояние, больные садятся и упираются на руки (ортопноэ), однако удушье присутствует даже в таком положении. При кашле и дыхании изо рта появляется пенистая розоватая мокрота.
Нарушения периферического кровоснабжения проявляются сильной слабостью, головокружением, предобморочными состояниями. Кожа становится бледной с сероватым оттенком, дистальные отделы конечностей и носогубный треугольник приобретают цианотичный окрас. У больного определяется нитевидный пульс, резко снижается артериальное давление, уменьшается объем мочеиспусканий.
Если левожелудочковая недостаточность возникает вследствие острого коронарного синдрома, человека беспокоят сильнейшие боли за грудиной, которые иррадиируют в левую лопатку, шею и левую руку. Болевой синдром бывает настолько интенсивным, что пациент теряет сознание от шока. При тяжелой степени ОСН нарастает сердечно-легочная и полиорганная недостаточность, развивается сопор или кома.
Левожелудочковая недостаточность имеет высокие показатели летальности: госпитальная смертность в 30-дневном периоде составляет 8%, всего на протяжении 6 месяцев от тяжелых последствий умирают до 25% пациентов. Наибольшая летальность наблюдается при развитии отека легких: 12% и 40% соответственно. При инфаркте левого желудочка в течение 1 года погибают около 30% больных.
У 20% пациентов с острой СН развивается тяжелая дисфункция почек с уровнем СКФ менее 30 мл/мин/1,73 м 2 , у 71% наблюдается легкие или умеренные нарушения работы мочевыделительной системы. Прогностически неблагоприятным считается тромбоз искусственного сердечного клапана, который нередко завершается смертью пациента в первые часы после госпитализации.
Обследованием пациентов занимаются врачи отделения интенсивной терапии совместно с кардиологами. При оценке клинического состояния и физикальных проявлений удается определить степень тяжести острой левожелудочковой недостаточности. Дальнейшая диагностика проводится параллельно с мерами экстренной помощи, направленными на стабилизацию состояния больного. Используются следующие методы исследования:
- УЗИ сердца. С помощью ЭхоКГ выявляют снижение фракции выброса, нарушения структуры и функции клапанного аппарата сердца, признаки выпота в перикардиальной сумке. При допплерографии оценивают кровоток в полостях сердца и магистральных сосудах.
- Электрокардиограмма. По результатам ЭКГ определяют сердечный ритм и выявляют некоторые этиологические факторы ОСН: инфаркт миокарда, фибрилляцию, тахикардию.
- Коронарная ангиография. Инвазивный метод исследования с контрастированием нужен для обнаружения тромбов, ишемии и других нарушений коронарного кровотока. Чтобы уточнить диагноз, используется КТ-ангиография венечных артерий, крупных сосудов бронхолегочной системы.
- Рентгенография ОГК. Рентгеновские снимки показывают степень расширения и деформации контуров сердца, наличие застойных явлений в легких. Для более точного определения интерстициального типа отека легких применяется ультразвуковое исследование.
- Лабораторные анализы. В стандартный комплекс диагностики входят клинические анализы крови и мочи, биохимический анализ крови, коагулограмма. Для подтверждения кардиальной этиологии острой левожелудочковой недостаточности проводится измерение натрийуретического пептида, миокардиальных маркеров, острофазовых белков.
Дифференциальная диагностика
Кардиогенный отек легких необходимо отличать от сходных симптомов некардиогенного происхождения:
- при острых инфекциях дыхательных путей;
- отравлении аэрозолями;
- травме грудной клетки;
- пневмотораксе.
Клинические проявления ОСН дифференцируют с сердечно-легочными нарушениями при черепно-мозговой травме, электротравме, респираторном дистресс-синдромом взрослых при сепсисе.

Лечение острой левожелудочковой недостаточности
Консервативная терапия
Интенсивная терапия направлена на скорейшую стабилизацию гемодинамики и устранение симптоматики. Наилучшие отдаленные прогнозы наблюдаются при начале лечения в первые 2 часа от появления признаков ОСН. Помощь оказывают в интенсивной терапии с последующей транспортировкой больного в кардиологический стационар при улучшении состояния. Обязательно проводится расширенный кардиореспираторный мониторинг.
Ключевой задачей при острой левожелудочковой недостаточности является восстановление оксигенации тканей, чтобы остановить каскад патофизиологических процессов и полиорганных нарушений. При умеренной гипоксемии назначается оксигенотерапия через носовые канюли или лицевую маску. По показаниям применяют неинвазивную вентиляцию в режимах НПВД или CPAP, искусственную вентиляцию легких. Параллельно назначаются медикаменты следующих групп:
- Опиоидные анальгетики. Препараты купируют болевой синдром при инфаркте миокарда, способствуют расширению сосудов, подавляют одышку и стабилизируют состояние пациентов с отеком легких.
- Вазодилататоры. Для коррекции синдрома периферической гипоперфузии используются нитраты, которые дают быстрый клинический эффект. По отдельным показаниям применяются ингибиторы АПФ, но их роль еще недостаточно изучена.
- Диуретики. Медикаменты назначаются при застое жидкости в малом круге и отсутствии серьезной почечной дисфункции. Чаще всего используют петлевые диуретики, которые имеют дополнительное сосудорасширяющее действие, уменьшают сопротивление в легочных сосудах.
- Инотропные препараты. Препараты назначаются во всех случаях ухудшения периферического кровообращения. Классическими представителями этой группы считают допамин и добутамин, сердечные гликозиды. Реже применяются ингибиторы фосфодиэстеразы.
- Антикоагулянты. Лекарства назначаются всем пациентам с ОКС, аритмиями, ТЭЛА и другими состояниями с высоким риском повторного тромбоза. Препараты сочетаются с антиагрегантами для усиления эффекта.
Хирургическое лечение
Помощь кардиохирургов требуется пациентам, у которых невозможно достичь стойкого клинического улучшения консервативными методами. Хирургическое вмешательство проводится для экстренной реваскуляризации миокарда, реконструкции клапанного аппарата, лечения аневризмы аорты или ее расслоения. При тяжелых формах острой левожелудочковой недостаточности применяется механическая поддержка кровообращения (ВАКП, установка временных насосов).
Острая левожелудочковая недостаточность отличается серьезным прогнозом и при отсутствии неотложной помощи зачастую завершается смертью больного. Успешное проведение мероприятий интенсивной терапии должно сопровождаться длительным стационарным и амбулаторным лечением у кардиолога, чтобы устранить негативные последствия ОСН и контролировать болезни, ставшие ее причиной.
Меры профилактики сердечной недостаточности сводятся к предупреждению и ранней диагностике кардиоваскулярных заболеваний. Неспецифические советы включают активный образ жизни, ограничение жиров и алкоголя в рационе, избегание стрессовых факторов. Всем людям старше 40 лет рекомендуется ежегодный чек-ап здоровья с посещением терапевта (или кардиолога) и сдачей стандартного набора анализов.
2. Острые нарушения кровообращения. Методические рекомендации/ К.Г. Михневич, С.В. Курсов, Н.В. Лизогуб, С.Н. Скороплет. – 2011.
3. Кардиогенный шок – современное состояние проблемы/ С.А. Бойцов// Российский кардиологический журнал. – 2019. – №10.
4. Острая сердечная недостаточность: эпидемиология, факторы риска, прогноз, диагностика, лечение и профилактика/ Н.П. Митьковская// Неотложная кардиология и кардиоваскулярные риски. – 2017.
Читайте также:
- Резекция пищевода с интерпозицией ободочной кишки. Техника резекции пищевода.
- Калицивирусы. Особенности калицивирусов. Вирус Норволк.
- Реконструкция дефекта вращательной манжеты плечевого сустава трансплантатом
- Причины и диагностика буллезного мирингита
- Лучевая анатомия (КТ, МРТ анатомия) забрюшинного пространства
