Стадии туберкулеза. Классификация стадий туберкулеза.
Добавил пользователь Евгений Кузнецов Обновлено: 23.11.2025
Информацию из данного раздела нельзя использовать для самодиагностики и самолечения. В случае боли или иного обострения заболевания диагностические исследования должен назначать только лечащий врач. Для постановки диагноза и правильного назначения лечения следует обращаться к Вашему лечащему врачу.
Туберкулез легких: причины появления, симптомы, диагностика и способы лечения.
Определение
Туберкулез – инфекционное заболевание, передающееся воздушно-капельным путем. Его возбудителем является бактерия Mycobacterium tuberculosis. Заразиться может каждый, но особенно восприимчивы к туберкулезу дети ввиду недостаточно сформированного иммунитета.
Заболевание излечимо, но лечение занимает длительное время. Огромное значение имеет ранняя диагностика туберкулеза - чем скорее он будет выявлен, тем меньше осложнений вызовет.
Причины появления туберкулеза
Туберкулез передается воздушно-капельным и воздушно-пылевым путями. Микобактерии находятся в мельчайших каплях, которые больной туберкулезом выделяет при разговоре, кашле, чихании и т.д.
Количество людей, инфицированных бактериями туберкулеза, составляет примерно 25–30%. Но заболевает только каждый десятый из них.
Выделяет микобактерии не каждый больной туберкулезом, а только тот, у кого происходит распад легочной ткани и бактериовыделение (в просторечии – открытая форма туберкулеза). Получить дозу микобактерий можно, даже не контактируя непосредственно с больным человеком, так как они способны оседать на частичках пыли и оставаться на ней при благоприятных условиях до 18 дней.
Дети чрезвычайно восприимчивы к инфекциям, а отсутствие прививок приводит к тому, что, встретив туберкулезную палочку, организм не распознает ее как чужеродный агент и не выделяет антитела для борьбы с инфекцией, а вместо этого дает бактериям возможность беспрепятственно проникнуть в легкие.
Среди взрослого населения в группу риска по заражению туберкулезом входят:
- пожилые люди,
- лица, страдающие хроническими заболеваниями (такими, как сахарный диабет, аутоиммунные заболевания),
- люди с онкологическими заболеваниями,
- люди, принимающие иммуносупрессивные препараты,
- пациенты, перенесшие тяжелые операции,
- курильщики.
- Первичный туберкулезный комплекс. Возникает при первичном заражении туберкулезом и встречается, как правило, среди детей. Протекает без выраженных симптомов, рентгенологически напоминает пневмонию, поэтому диагностика затруднена, не заразен. Небольшой очаг в большинстве случаев закрывается капсулой, и болезнь дальше не развивается.
- Туберкулез внутригрудных лимфатических узлов. Характеризуется распространением туберкулезных очагов в обоих легких и поражением лимфоузлов.
- Диссеминированный туберкулез легких. По всей поверхности легких образуются крошечные воспалительные бугорки. Может быть острым или хроническим, протекает тяжело (с лихорадкой, интоксикацией) и волнообразно.
- Очаговый туберкулез легких. В легком образуется от одного до нескольких воспалительных очагов не более 1 см в диаметре. Может протекать бессимптомно или с невысокой температурой, недомоганием.
- Инфильтративный туберкулез легких. Является одним из осложнений очагового туберкулеза. Протекает тяжело, с длительной лихорадкой, потерей веса, кашлем, может наблюдаться кровохарканье.
- Казеозная пневмония. Тяжелая форма легочного туберкулеза, развивается остро, с тяжелой интоксикацией, лихорадкой. Характеризуется массивным воспалением и затем распадом легочной ткани с образованием полостей в легком. Чаще всего возникает у больных с ослабленным иммунитетом.
- Туберкулема легких. В ткани легкого образуется инкапсулированный очаг более 1 см в диаметре, внутри которого происходит распад легочной ткани.
- Кавернозный туберкулез легких. Тяжелая форма туберкулеза, при которой происходит деструкция легочной ткани и образуются большие каверны (полости) в легком. Возникает как осложнение других форм туберкулеза.
- Фиброзно-кавернозный туберкулез легких. Является завершающим этапом кавернозного туберкулеза, когда окончательно формируется полость в легком.
- Цирротический туберкулез легких. Последняя стадия туберкулеза легких, характеризуется замещением легочной ткани на рубцовую. Встречается в 0,1-8% случаев, в основном у нелеченых или неправильно леченых пациентов. Для формирования данной формы требуются годы болезни.
- Туберкулезный плеврит. Воспалительный процесс поражает оболочку легких – плевру. Может развиться как осложнение туберкулеза легких или как самостоятельное заболевание, особенно у молодых людей.
- Туберкулез бронхов, трахеи, верхних дыхательных путей.
- Туберкулез органов дыхания, комбинированный с профессиональными пылевыми заболеваниями легких.
- с выделением микобактерий туберкулеза (МБТ+);
- без выделения микобактерий туберкулеза (МБТ–).
- Выраженная слабость, утомляемость, хроническая усталость.
- Бессонница, ночные кошмары.
- Снижение аппетита и потеря массы тела.
- Ночная потливость (она может быть настолько сильной, что больному приходится менять постельное белье).
- Повышение температуры тела, в основном до субфебрильных значений, то есть не выше 37,5°С. Температура держится постоянно и сопровождается ознобом.
- Кашель. Сначала больных беспокоит сухой кашель, но по мере прогрессирования заболевания появляется мокрота.
- Кровохарканье. Характерно для более поздних стадий туберкулеза.
- Боль в грудной клетке. Возникающая при кашле боль свидетельствует о вовлечении плевры в патологический процесс.
- Сильная одышка.
- Клинический анализ крови с развернутой лейкоцитарной формулой (с целью выявления воспалительного процесса).
Синонимы: Общий анализ крови, ОАК. Full blood count, FBC, Complete blood count (CBC) with differential white blood cell count (CBC with diff), Hemogram. Краткое описание исследования Клинический анализ крови: общий.
Синонимы: Общий белок сыворотки крови; Общий сывороточный белок. Total Protein; Serum Тotal Protein; Total Serum Protein; TProt; ТР. Краткая характеристика определяемого вещества Общий бе�.
Тест предназначен для скрининговой оценки состава и количественного соотношения фракций белка сыворотки крови методом электрофореза. Синонимы: Электрофорез �.
С-реактивный белок – белок острой фазы, чувствительный индикатор повреждения тканей при воспалении, некрозе, травме. Синонимы: Анализ крови на СРБ; С-реактивн�.
Аланинаминотрансфераза − внутриклеточный фермент, участвующий в метаболизме аминокислот. Тест используют в диагностике поражений печени, сердечной и скелетн�.
Синонимы: Глутамино-щавелевоуксусная трансаминаза; Глутамат-оксалоацетат-трансаминаза сыворотки крови (СГОТ); L-аспартат 2-оксоглутарат аминотрансфераза; ГЩТ. As.
Синонимы: Анализ крови на ЛДГ; Лактатдегидрогеназа; L-лактат; НАД+Оксидоредуктаза; Дегидрогеназа молочной кислоты. Lactate dehydrogenase, Total; Lactic dehydrogenase; LDH; LD. Кра.
Синонимы: Анализ крови на креатинин; Сывороточный креатинин; Креатинин сыворотки, оценка СКФ. Сreat; Сre; Blood Creatinine; Serum Creatinine; Serum Creat. Краткая характеристика определя�.
Синонимы: Анализ крови на электролиты; Электролиты в сыворотке крови. Electrolyte Panel; Serum electrolyte test; Sodium, Potassium, Chloride; Na/K/Cl. Краткая характеристика определяемых �.
Общий кальций – основной компонент костной ткани и важнейший биогенный элемент, обладающий важными структурными, метаболическими и регуляторными функциями в .
Определение ДНК возбудителей туберкулеза: комплекса микобактерий: M. tuberculosis, M. bovis, M. bovis BCG, M. microti, M. africanum в мокроте, смывах с бронхов, лаважной жидкости методом полим.
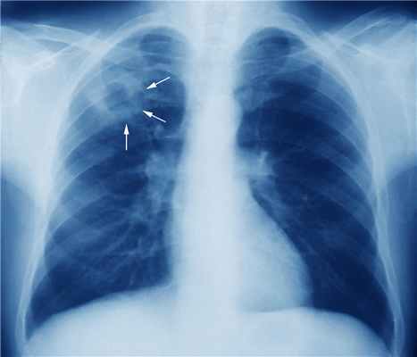
Рентгенологическое исследование структуры легких с целью диагностики различных патологий.
Исследование, позволяющее получить данные о состоянии органов грудной клетки и средостения.
Диагностический тест с постановкой внутрикожной пробы для всех возрастных групп с целью диагностики туберкулезной инфекции.
Синонимы: Анализ крови на туберкулез; Квантифероновый тест. TB-Feron IGRA; Quantiferon test QuantiFeron-TB - immunodiagnosis of tuberculosis infection. Краткое описание исследования «Квант�.
Лечение туберкулеза легких
Успех лечения во многом зависит от ранней диагностики заболевания. Терапия туберкулеза длительная и составляет от 4 месяцев до нескольких лет.
Самостоятельное прекращение приема лекарств, пропуск или уменьшение дозировки могут вызвать резистентность, то есть устойчивость микобактерий к антибиотикам.
Во время лечения необходимо отказаться от курения и употребления алкоголя.
Терапия туберкулеза подразумевает комбинацию нескольких антибактериальных препаратов. В основном все лекарства принимают в таблетированной форме, однако в начале заболевания или при тяжелом течении требуется их внутривенное введение.
Лечение туберкулеза осуществляется как дома, так и в специализированном стационаре. Госпитализация показана при первичном обнаружении туберкулеза, для лечения тяжелых форм туберкулеза и для хирургического лечения туберкулеза легких.
Во время терапии туберкулеза очень важно полноценно питаться, получая с пищей необходимое количество калорий, витаминов и питательных веществ.
Калорийность пищи должна быть на 10% выше, чем при обычном образе жизни. Молочные продукты, нежирное мясо, рыба, орехи богаты белком, который необходим для укрепления иммунитета. Обязательно нужно включать в меню овощи, зелень, цельнозерновые продукты. Следует избегать фастфуда, жирной, копченой пищи, сахара и сладких газированных напитков.
К неспецифическим осложнениям, характерным для многих легочных заболеваний, врачи относят кровохарканье, легочное кровотечение, спонтанный пневмоторакс. Спонтанный пневмоторакс – это попадание воздуха в плевральную полость вследствие повреждения ткани легкого. Наличие воздуха в плевральной полости сдавливает легкие и мешает нормальному процессу дыхания. Описаны случаи, когда к пневмотораксу приводит образование бронхоплевральных свищей.

К редким, но грозным осложнениям относятся: ателектаз (спадение части легкого, которая перестает участвовать в газообмене и процессе дыхания), абсцесс легкого (образование гнойника в ткани легкого), амилоидоз внутренних органов (в результате длительного воспалительного процесса происходит нарушение белкового обмена, в органах начинает откладываться белок-амилоид, вследствие чего нарушается их нормальная работа), хроническая легочная недостаточность.
К специфическим осложнениям, характерным для туберкулеза легких, относятся: туберкулез бронхов, трахеи, гортани, корня языка; туберкулезный плеврит; туберкулезная эмпиема – скопление гноя в плевральной полости.
Профилактика туберкулеза легких
К специфической профилактике относится вакцинация.
Вакцину вводят внутрикожно, после чего формируется местный туберкулезный процесс, неопасный для общего здоровья. Впоследствии организм вырабатывает специфический иммунитет против микобактерий. Это значит, что привитой ребенок с хорошим поствакцинальным иммунитетом при встрече с микобактериями либо не инфицируется, либо переносит инфекцию в легкой форме.
Иммунитет, приобретенный после прививки БЦЖ, сохраняется в среднем 5 лет. Повторные вакцинации проводят в 7 и 14 лет.
Профилактика туберкулеза у взрослых включает ежегодную диспансеризацию с выполнением флюорографии легких.
- Карачунский М.А. Дифференциальная диагностика туберкулеза легких // Пульмонология и аллергология. – Т.1. – 2005. С. 6–9.
- Клинические рекомендации «Туберкулез у взрослых. Разраб.: Российское Общество Фтизиатров, Ассоциация фтизиатров. – 2022.
- Клинические рекомендации «Туберкулез у детей. Разраб.: Российское Общество Фтизиатров. – 2020.
Информацию из данного раздела нельзя использовать для самодиагностики и самолечения. В случае боли или иного обострения заболевания диагностические исследования должен назначать только лечащий врач. Для постановки диагноза и правильного назначения лечения следует обращаться к Вашему лечащему врачу.
Туберкулез: стадии, симптомы, диагностика, лечение

Туберкулез – это инфекционное заболевание, которое вызывается микобактериями туберкулезного комплекса (M. tuberculosis, M. bovis BCG, M. bovis, M. caprae, M. pinnipedii, M. canetti, M. microti, M. africanum).
По данным ВОЗ, одна треть населения земного шара заражена микобактерией. В 80% случаев заражение происходит в детском возрасте. У 20% населения – активная форма туберкулеза.
Причины туберкулеза
Основным возбудителем туберкулеза является Mycobacterium tuberculosis (палочка Коха, МБТ).
Микобактерии, попадая в окружающую среду, могут длительно сохранять свою жизнеспособность (в высушенной мокроте – несколько недель, в почве – до 6 месяцев, в воде – больше года, на предметах, окружающих больного, – больше 3 месяцев). Они устойчивы к воздействию кислот, щелочей, спирта, неустойчивы – к кипячению и воздействию прямых солнечных лучей.
Для уничтожения МБТ, по сравнению с другими микроорганизмами, требуются более высокие концентрации дезинфицирующих растворов и более продолжительное время воздействия.
Туберкулез передается воздушно-капельным путем – через органы дыхания, реже – через органы пищеварения, кожу. Источник инфекции – пациенты с открытой формой туберкулеза.
Классификация
Существует несколько разделов классификации.
- туберкулез легких;
- внелегочный туберкулез: суставов и костей, нервной системы, периферических лимфатических узлов, кожи, органов половой системы, мочевыделительной системы, органов брюшной полости, органов зрения и других органов);
- генерализованный туберкулез.
- с выделением бактерий;
- без выделения бактерий.
- с сохранением чувствительности к МБТ;
- с монорезистентностью (к одному препарату);
- с полирезистентностью (к 2 препаратам, но не к изониазиду и рифампицину одновременно);
- с множественной лекарственной устойчивостью (к изониазиду и рифампицину);
- с широкой лекарственной устойчивостью (к изониазиду, рифампицину, одному из фторхинолонов и к одному из инъекционных противотуберкулезных препаратов);
- с тотальной устойчивостью.
Механизм развития заболевания
- Первичное инфицирование.
- Латентное течение.
- Активная форма.
Если у человека сильный иммунный ответ, то заболевание переходит во вторую стадию – латентное течение. На данном этапе воспаление проходит, очаг повреждения рассасывается, кальцинируется. Но возбудитель может длительное время оставаться в организме и активироваться при неблагоприятных условиях. В таком случае заболевание переходит в третью стадию.
При наличии факторов риска и ослабленного иммунитета первая стадия сразу переходит в третью.
- неудовлетворительные условия проживания;
- недостаточное и неполноценное питание;
- прямой контакт с больным МБТ+;
- тесный контакт с инфицированными людьми, например, в местах лишения свободы;
- наличие ВИЧ;
- употребление алкоголя, наркотиков, курение;
- состояния после пересадки органов;
- прохождение гемодиализа, иммуносупрессивной терапии;
- сопутствующие заболевания, ослабляющие иммунную систему (сахарный диабет).
Симптомы активного туберкулеза
В самом начале признаки туберкулеза могут отсутствовать. И только с течением времени симптоматика нарастает.
- повышение температуры тела до 37-37,2 °C;
- повышенное ночное потоотделение;
- кровохарканье;
- потеря в весе более чем на 5 кг за последние 12 месяцев;
- кашель более 2-х недель;
- боли в грудной клетке или других органах, усиливающиеся в ночное время;
- общая слабость;
- одышка при незначительной физической нагрузке.
- при туберкулезе позвоночника постепенно нарастают боль и слабость в спине, особенно ночью, развивается слабость мышц, изменяется походка, искривляется позвоночник;
- при туберкулезе костей и суставов дискомфорт в пораженной области постепенно перерастает в постоянную боль, усиливающуюся ночью, затрудняются движения в суставах;
- при локализации процесса в органах мочевой системы пациенты жалуются на частые и болезненные мочеиспускания, кровь в моче, хроническую боль внизу живота;
- при поражении нервной системы возникают парезы, параличи, головная боль, другие проявления очаговой симптоматики.
Диагностика туберкулеза
Диагностика проводится в два этапа: постановка диагноза и определение чувствительности к химиопрепаратам.
- сбор жалоб, анамнеза болезни (истории развития заболевания);
- осмотр пациента;
- лучевую диагностику (рентгенография, КТ, МРТ, УЗИ);
- лабораторные методы исследования (общий анализ крови и мочи, определение группы крови и резус-фактора, анализы для выявления ВИЧ-инфекции, сифилиса, гепатита В);
- иммунологические методы (проба Манту, «Диаскинтест», IGRA-тесты);
- бактериоскопические и бактериологические методы (микроскопия мазка, посевы на питательную среду);
- инструментальные и хирургические методы;
- консультации специалистов.
Врачом индивидуально определяется план всех диагностических мероприятий.
Лечение туберкулеза
Лечение направлено на ликвидацию клинических проявлений, прекращение бактериовыделения, нормализацию рентгенологической картины, восстановление трудоспособности.
- соблюдение режима дня;
- особенности питания;
- медикаментозное лечение (противотуберкулезные, патогенетические, симптоматические препараты);
- физиотерапию.
- коллапсотерапия (сжатие легкого, для уменьшения бактериовыделения);
- хирургическое лечение.
- при острой вспышке процесса, казеозной пневмонии, кровохаркании, спонтанном пневмотораксе, остром плеврите – режим полного покоя (постоянное нахождение в кровати);
- при нормализации температуры тела, затухании патологического процесса – режим относительного покоя (самостоятельное перемещение по палате, прогулки в саду);
- при улучшении самочувствия – тренировочный режим (более длительные прогулки, выполнение умеренных физических упражнений, привлечение к труду).
- увеличение суточной калорийности на 30%;
- повышенное содержание белков, полиненасыщенных жирных кислот;
- применение диетических добавок, витаминов;
- использование белкового питания при низкой массе.
Медикаментозное лечение
Медикаментозное лечение назначается с учетом лекарственной чувствительности микобактерий.
Химиопрепараты подразделяют на несколько групп: препараты первого, второго и третьего ряда.
Первый ряд применяется при туберкулезе с полной чувствительностью МБТ (изониазид, рифампицин, пиразинамид, этионамид, циклосерин/теризидон, аминосалициловая кислота).
Второй ряд используют в качестве резерва, при отсутствии чувствительности МБТ к каким-либо препаратам первого ряда.
Третий ряд препаратов не является противотуберкулезным, но допускается для терапии туберкулеза.
Схемы лечения могут включать 6 и более препаратов. Длительность терапии – от полугода до 2 лет.
- беспрерывный прием лекарств;
- подбор необходимой дозы действующего вещества;
- достаточная длительность терапии;
- прием всех препаратов, входящих в схему лечения;
- качественная терапия побочных действий препаратов.
Профилактика туберкулеза
Профилактикой туберкулеза является раннее выявление лиц с латентной инфекцией, которые не имеют клинических, рентгенологических признаков активного процесса.
В России для профилактики туберкулеза у детей от 1 до 7 лет проводят пробу Манту. Туберкулин внутрикожно вводят во внутреннюю поверхность предплечья. Результаты оценивают по наличию покраснения и инфильтрата, их размеров (замеры делают перпендикулярно продольной оси предплечья).
У детей от 7 до 18 лет ежегодно проводят пробы с «Диаскинтестом».
Профилактика туберкулеза у взрослых проводится только в группах риска.
Современными иммунологическими тестами для определения латентного инфицирования являются IGRA-тесты. Механизм их действия основан на продукции гамма-интерферона клетками организма, инфицированного микобактериями.
При положительных иммунных тестах, отсутствии активной формы туберкулеза проводят превентивное лечение рифампицином или изониазидом от 3 до 9 месяцев.
Лечение туберкулеза требует немало усилий и терпения. Но данное заболевание излечимо.
Прививка от туберкулеза
БЦЖ – это единственная вакцина, которая препятствует появлению туберкулезного менингита и диссеминированного туберкулеза у детей. Она не предотвращает развитие первичного инфицирования и активации латентной формы.
В России вакцинация против туберкулеза введена в календарь прививок. Первая доза вакцины вводится на 3-7-й день от рождения. Вторая ревакцинация – в 7 лет.
Вакцина БЦЖ представляет собой живой ослабленный штамм, он не способен вызвать патологические изменения в теле человека. Делается в наружную область плеча. После введения развивается местная реакция воспаления, небольшое изъязвление, через 2 месяца остается линейный рубчик. Переносится с минимальными осложнениями. Иммунитет сохраняется около 10-20 лет.
Вакцина противопоказана беременным, при прохождении иммуносупрессивной терапии (химиотерапии, рентгеновского облучения, приема кортикостероидов).
Туберкулез (ТБ)

Туберкулез (ТБ) является хронической прогрессирующей микобактериальной инфекцией, часто имеющей латентный период после начального инфицирования. Чаще всего ТБ поражает легкие. Симптомы включают в себя кашель, повышение температуры, потерю веса и недомогание. Диагностика чаще всего проводится по результатам анализа мокроты и бактериальных посевов, и, все чаще, благодаря применению диагностических молекулярных экспресс-тестов. Лечение проводят антибактериальными лекарственными средствами в течение, по крайней мере, 6 мес.
Микобактерии являются небольшими, медленно растущими аэробными бациллами. Они отличаются сложной, богатой липидами клеточной оболочкой, обусловливающей их кислотостойкость (т.е. устойчивость к обесцвечиванию кислотой после окрашивания карбол-фуксином) и их относительную устойчивость к окрашиванию по Граму. Наиболее распространенная микобактериальная инфекция – туберкулез; другие включают проказу Проказа Лепра – хроническая инфекция, обычно вызываемая кислотоустойчивой бациллой Mycobacterium leprae, которая обладает уникальным тропизмом к периферическим нервам, коже и слизистым оболочкам. Прочитайте дополнительные сведения Mycobacterium avium.
Туберкулез является ведущей инфекционной причиной заболеваемости и смертности среди взрослых во всем мире; болезнь является причиной смерти приблизительно 1,7 миллиона человек в 2016 году, преимущественно в странах с низким и средним уровнем дохода. ВИЧ/СПИД – наиболее важный предрасполагающий фактор к инфицированию туберкулезом и смертности в некоторых регионах мира, где распространены обе инфекции.
Этиология туберкулеза
К туберкулезу правильно относить только болезнь, вызванную Mycobacterium tuberculosis (для которой люди являются основным резервуаром). Аналогичная болезнь иногда развивается в результате инфицирования тесно связанных микобактерий, а именно M. bovis, M. africanum, и M. microti, которые вместе с M. tuberculosis известны как комплекс Mycobacterium tuberculosis.
Заражение туберкулезом происходит, как правило, воздушно-капельным путем через частицы (каплеобразные ядра), содержащие M. tuberculosis. Они передаются прежде всего при кашле, пении и других дыхательных движениях людьми, которые больны активным туберкулезом легких или гортани и в чьей слюне содержится значительное количество возбудителя (достаточное, как правило, чтобы получить положительный мазок). Люди с легочными полостными кавернами являются особо заразными из-за большого количества бактерий, содержащихся в каверне.
Контагиозность пациентов с нелечённой активной формой туберкулеза легких широко варьируется. Некоторые штаммы M. tuberculosis являются более заразными, и пациенты с положительными результатами бактериоскопии мазков мокроты являются более заразными, чем имеющие положительные результаты только бактериального посева. Пациенты с кавернами (которые тесно связаны с микобактериальной нагрузкой в мокроте) являются более заразными, чем не имеющие их.
Также важную роль играют факторы окружающей среды. Таким образом, люди, живущие в бедности или в специальных учреждениях, находятся в условиях особого риска. Передача инфекции возрастает при частом или длительном контакте с не вылеченными пациентами, которые рассеивают большие количества туберкулезных палочек в переполненных, закрытых, плохо проветриваемых помещениях. Практикующие врачи, у которых есть тесный контакт с активными случаями, также являются группой повышенного риска.
Таким образом, оценки контагиозности широко варьируют; некоторые исследования показывают, что только 1 из 3 пациентов с невылеченным туберкулезом легких инфицирует кого-либо при тесном контакте. Однако по оценкам ВОЗ каждый невылеченный пациент может заразить от 10 до 15 человек в год. Тем не менее, у большинства инфицированных лиц активное заболевание не развивается.
Контагиозность быстро уменьшается сразу после начала эффективного лечения. Возбудители становятся менее заразными, даже при условии их сохранности в мокроте, а интенсивность кашля уменьшается. Исследования бытовых контактов показывают, что контагиозность пациентов прекращается в течение 2 недель после начала эффективного лечения.
Намного реже заражение происходит при аэрозолизации организмов после промывания инфицированных ран, работе в микобактериологических лабораториях или в секционных залах.
Туберкулёз миндалин, лимфатических узлов, органов брюшной полости, костей и суставов ранее вызывало употреблением в пищу молока или молочных продуктов (например, сыра), загрязненных M. bovis, но этот путь передачи был в значительной степени ликвидирован в развитых странах путем убоя коров, имеющих положительный результат теста на кожную туберкулиновую пробу, и пастеризацией молока. Туберкулез, вызываемый M. bovis, все еще встречается в развивающихся странах и у иммигрантов из развивающихся стран, где бычий туберкулез является эндемичным (например, некоторые латиноамериканские страны). Растущая популярность сыра из непастеризованного молока вызывает новые проблемы, особенно, если сыры прибывают из стран, имеющих проблемы с бычьим туберкулезом (например, Мексика, Великобритания).
Эпидемиология туберкулеза
Около четверти населения всего мира инфицированы (на основе результатов исследований кожных туберкулиновых проб). Из всех инфицированных, вероятно, только у 15 миллионов в данный момент времени диагностируется активная форма заболевания.
Уровни инфицированности (для туберкулеза, поддающегося лечению лекарствами) и смертности уменьшаются. Количество новых случаев снизилось на 1,5% в период между 2014 и 2015 гг., увеличивая тенденцию, которая отмечается в течение нескольких лет. Эти тенденции, скорее всего, частично связаны со всемирными усилиями по борьбе с туберкулезом, которые предоставили большему количеству людей доступ к лекарственным средствам против туберколеза и ВИЧ-инфекции.
Всплеск заболеваемости туберкулезом произошел в отдельных частях США и других развитых странах между 1985 и 1992 г.; это было связано с несколькими факторами, включая параллельное инфицирование ВИЧ, бездомность, ухудшенную инфраструктуру здравоохранения и появление мультирезистентного туберкулеза (MDR-TB). Несмотря на то, что контроль в США осуществляется эффективной системой здравоохранения и установленными мерами по инфекционному контролю в закрытых учреждениях, проблема мультирезистентного туберкулеза, включая туберкулез с широкой лекарственной устойчивостью (ШЛУ-TБ), является актуальной во всем мире. Эта ситуация усиливается нехваткой ресурсов, в том числе систем диагностики и доставки лекарственных средств.
В большинстве стран мира туберкулез с лекарственной устойчивостью не может быть быстро диагностирован и своевременно вылечен с использованием эффективных схем, в том числе с надлежащим контролем побочных эффектов лекарственных средств 2-ой линии. Эта ситуация приводит к продолжающейся контагиозности, низкому уровню излечения и формированию усиленной резистентности возбудителей. При лечении очень стойкого к препаратам туберкулеза эффективность терапии еще ниже, а смертность, напротив, значительна, особенно у пациентов, инфицированных ВИЧ, даже если они получают лечение антиретровирусными препаратами. Эффективное лечение и контроль нежелательных реакций, работа с населением, а также социальная поддержка привели к более благоприятным эпидемиологическим тенденциям снижения туберкулеза с лекарственной устойчивостью в некоторых областях (например, Перу, Томская область России). Индия и Китай только начинают реализовывать общенациональные программы по лечению МЛУ-ТБ, и заболеваемость МЛУ-ТБ в будущем может в значительной степени зависеть от успеха или неудачи этих программ.
Ссылки на эпидемиологию
1. WHO: Global Tuberculosis Report 2017: Executive Summary. По состоянию на 05.04.2018.
2. WHO: Tuberculosis Fact Sheet, 2017. По состоянию на 05.04.2018.
Патофизиология туберкулеза
Туберкулез может протекать в трех стадиях:
Туберкулезные палочки M. tuberculosis изначально вызывают первичную инфекцию, которая редко приводит к острому заболеванию. Большинство (приблизительно 95%) первичных инфекций являются бессимптомными и сопровождаются скрытой (латентной) фазой. В некоторых случаях латентные инфекции впоследствии проявляются клиническими признаками и симптомами заболевания.
Инфекция обычно не передается в начальной стадии и никогда не является контагиозной в латентном периоде.
Первичное инфицирование
Инфицирование происходит, когда вдыхаемые частицы достаточно малы и могут преодолеть защитные барьеры верхних дыхательных путей, осесть глубоко в легких, как правило, в субплевральном воздушном пространстве средних или нижних долей. Капельки большего размера склонны осаждаться в верхних отделах дыхательных путей и, как правило, не приводят к заболеванию. Заражение, как правило, начинается с одного капельного ядра, которое обычно несет несколько возбудителей. Теоретически, достаточно только одного организма, чтобы вызвать инфекцию у восприимчивых людей, но менее восприимчивым людям может потребоваться для развитие инфекции многократный контакт.
Для развития инфекции бациллы M. tuberculosis должны поглотиться альвеолярными макрофагами. Туберкулезные палочки, которые не обезврежены макрофагами, фактически воспроизводятся в них, в конечном счете убивая макрофага хозяина (с помощью лимфоцитов CD8); клетки, вызывающие воспаление, привлекаются в такую область, вызывая очаговый пневмонит, срастающийся в характерную туберкулезную гранулему, которая определяется гистологическими методами.
В первые недели инфекции некоторые зараженные макрофаги мигрируют к расположенным рядом лимфоузлам (воротные, средостенные), где они получают доступ к кровотоку. Возбудители могут распространиться через кровь к любой части тела, особенно апикально-задней части легких, эпифизу длинных костей, почкам, телу позвонков и мягким мозговым оболочкам. Гематогенная диссеминация менее вероятна у пациентов с частичным иммунитетом, являющимся результатов вакцинации или предварительного естественного инфицирования M. tuberculosis или микобактериями в окружающей среде.
В большинстве случаев после первичной инфекции развивается латентная инфекция. Примерно в 95% случаев, приблизительно через 3 недели активного роста микобактерий, иммунная система начинает подавлять размножение бацилл еще до того, как появляются клинические симптомы и признаки. Очаги с бациллами в легких или других органах преобразуются в эпителиоидные клеточные гранулемы, имеющие казеозные и некротические центры. Туберкулезные палочки могут выживать в этом материале в течение многих лет; баланс между резистентностью хозяина и вирулентностью микроба определяет, пройдет ли инфекция в конечном счете без лечения, останется скрытой или станет активной. Инфекционные очаги могут оставить фиброзно-очаговые шрамы на вершинах одного или обоих легких (очаги Симона, которые, как правило, являются результатом гематогенного посева с другого инфицированного участка) или небольших областей консолидации (очаги Гона). Очаг Гона с вовлечением лимфатических узлов является комплексом Гона, который при условии кальцинирования называют комплексом Ранке. Туберкулиновый кожный тест Кожные пробы Туберкулез (ТБ) является хронической прогрессирующей микобактериальной инфекцией, часто имеющей латентный период после начального инфицирования. Чаще всего ТБ поражает легкие. Симптомы включают. Прочитайте дополнительные сведенияГораздо реже первичное поражение быстро прогрессирует, вызывая острую болезнь с пневмонией (иногда кавернозной), плевральным выпотом и явным увеличением лимфоузлов в области средостения или корня легких (у детей это может привести к сдавлению бронхов). Небольшие плевральные выпоты являются преимущественно лимфоцитарными, как правило, содержат немного микобактерий и очищаются в течение нескольких недель. Такое развитие событий более характерно для маленьких детей и недавно зараженных или повторно зараженных пациентов с ослабленным иммунитетом.
Внелегочный туберкулез Внелегочный туберкулез (ТБ) Внелегочный туберкулез обычно является следствием гематогенного распространения возбудителя. Иногда инфекция передается непосредственно от смежного органа. Симптоматика меняется в зависимости. Прочитайте дополнительные сведенияАктивная болезнь
У здоровых людей, инфицированных туберкулезом, на протяжении жизни вероятность риска перехода заболевания в активную форму составляет приблизительно 5–10%, хотя этот процент значительно меняется в зависимости от возраста и других факторов риска.
У 50–80% заразившихся лиц туберкулез активно развивается в течение первых 2 лет, хотя он также может проявиться и через несколько десятилетий.
Любой орган, первоначально инфицированный возбудителем, может стать источником реактивации инфекции, но чаще всего она начинается в верхушках легких, по-видимому, из-за благоприятных для микроба условий, таких как высокое давление кислорода. Очаги Гона и пораженные прикертневые лимфоузлы гораздо реже становятся местами такой реактивации.
Условия, разрушающие клеточный иммунитет (что очень важно для защиты от туберкулеза), значительно облегчают реактивацию. Таким образом, среди пациентов, которые имеют ко-инфекцию ВИЧ Инфекция, вызванная вирусом иммунодефицита человека (ВИЧ) Инфекция вирусом иммунодефицита человека (ВИЧ) вызывается одним из 2 похожих ретровирусов (ВИЧ-1 и ВИЧ-2), которые разрушают CD4+ лимфоциты и ослабляют клеточный иммунитет, увеличивая риск оппортунистических. Прочитайте дополнительные сведенияДругие условия, способствующие реактивации, но в меньшей степени, чем ВИЧ-инфекция, включают
Симптомы и лечение туберкулеза

Оформите заявку на сайте, мы свяжемся с вами в ближайшее время и ответим на все интересующие вопросы.
Туберкулез – инфекционное заболевание, которое возникает из-за попадания в организм человека палочек Коха. Заболевание опасно тем, что поражает органы дыхательной системы. Реже подвержены туберкулезу кости, кожа, лимфатическая, мочеполовая, нервная, лимфатическая система, а также другие органы и системы.
Иммунная система (естественная защита организма от инфекций и заболеваний) большинства здоровых людей убивает бактерии, и симптомы не появляются. Иногда иммунная система не может убить бактерии, но способна сдерживать их распространение в организме. В этом случае не наблюдается развитие симптомов, но бактерии сохраняются в организме. Это называется латентной (скрытой) формой туберкулеза.
Способы передачи инфекции
Воздушно-капельным – через чиханье, кашель больного с открытой формой болезни, причем даже высыхая, палочка сохраняет свою патогенность.
Алиментарным – через пищеварительный тракт. Инфекция попадает в организм из-за плохой гигиены рук или плохо вымытых и необработанных продуктов питания.
Контактным – инфекция попадает внутрь человека через конъюнктиву глаз, при поцелуях, половом контакте, через контакт загрязненных предметов с кровью человека, использование чужих предметов гигиены.
Виды туберкулеза
Открытая форма – болезнь явно выражена, бактерии легко обнаруживаются в мокроте, каловых массах. Сам больной представляет опасность для окружающих, так как инфекция передается воздушно-капельным путем. Микробактерии можно обнаружить в мокроте, моче, каловых массах.
Закрытая форма – не является опасной для окружающих. Характеризуется сложностью выявления инфекции в мокроте. Чаще всего встречается туберкулез легких, но эта инфекция может также поражать кости, суставы, мочеполовую систему, кишечник, брюшину, мозговые оболочки, ЦНС, периферические лимфоузлы, кожу
Первые симптомы туберкулёза

На ранних стадиях заболевание протекает практически бессимптомно. По мере его развития состояние больного ухудшается, однако специфическая симптоматика не наблюдается. Появляется повышенная усталость, слабость, резкое снижение веса без видимых на то причин, температура 37-38 °С, не спадающая продолжительное время, ночная потливость. У детей заболевание прогрессирует быстрее, чем у взрослых.
Легочную форму туберкулеза сопровождает кашель. Сначала лёгкий, со временем начинает прогрессировать. Если кашель продолжается более трех недель, нужно немедленно обратиться за медицинской помощью. Кашель вначале сухой, приступообразный, особенно ночью и утром. Позже начинает выделяться желто-зеленая мокрота, а на стадии каверн наблюдается кровохаркание.
При форме туберкулёза, которая поражает головной мозг и его оболочки помимо симптомов общей интоксикации наблюдаются расстройства сна, головные боли, интенсивность которых постепенно усиливается.
Кто входит в группу риска по возможности развития туберкулёза?
Люди с такими заболеваниями, как ВИЧ.
Люди с ослабленным иммунитетом, наличие сахарного диабета.
Детский или пожилой возраст – имеют более слабую иммунную систему.
Люди, проживающие в неблагоприятных условиях.
Люди, живущие в регионах, где уровень заболеваемости туберкулёзом выше среднего.
Как диагностируется туберкулёз?

Для диагностики заболевания нужно обратиться для начала на консультацию к лечащему терапевту, который при подозрении на туберкулёз направил на прием к фтизиатру (специалисту по туберкулёзу) для дальнейшей диагностики и лечения. Диагностика будет зависеть от типа заболевания.
Диагностика лёгочной формы туберкулёза
Требуется сделать рентгеновский снимок грудной клетки, который позволяет получить изображение лёгких. При лёгочной форме туберкулеза на снимке должны быть видны изменения во внешнем виде легких, например, образование рубцов.
Для подтверждения диагноза берут образцы слизи и мокроты для анализа под микроскопом на наличие бактерий туберкулеза.
Обследование при внелегочном туберкулёзе
биопсия — из пораженного участка берется образец ткани для исследования на наличие туберкулеза
Обследование при латентном туберкулёзе
Для профилактики заболевания каждый человек обязан минимум 1 раз в два года проходить флюорографию и делать рентген лёгких.
Как лечить туберкулёз?

Лечение патологии зависит от её вида, но чаще всего назначается курс антибиотиков. Туберкулёз – опасное заболевание, которое требует немедленного лечения. Это позволяет человеку вернуться к своему привычному образу жизни.
Антибактериальная терапия направлена на подавление размножения возбудителя туберкулеза.
Лечение проходит в 2 фазы: на первой применяют сразу несколько препаратов, чтобы уменьшить популяцию микробактерий, вторая фаза – поддерживающая терапия. Антибиотики останавливают размножение бактерий и выделение их в окружающую среду, воспалительный процесс.
После приема таких сильнодействующих лекарств человеку нужна дополнительная поддерживающая терапия, которая укрепит организм и снизит токсический эффект. Для этого назначается прием иммуностимуляторов (восстанавливают работу печени), сорбентов (выводят токсичные продукты распада химиопрепаратов) и витаминных комплексов.
После приема препаратов в течение двух недель большинство людей уже не заразны и чувствуют себя гораздо лучше. Однако очень важно продолжать принимать лекарства согласно указаниям врача и полностью пройти курс лечения антибиотиками.
Другие способы лечения туберкулеза
Хирургическое лечение
Цель терапии – ликвидация туберкулезных очагов в легких при неэффективном лечении, устранение последствий легочного туберкулеза, ликвидация поражений органов. Все это необходимо для профилактики повторного появления заболевания и для исключения появления осложнений.
Показаниями к оперативному вмешательству могут быть любые формы туберкулеза органов дыхания, особенно в случае развития осложнений, которые угрожают жизни человека.
Химиотерапия
применяется при оптимальной комбинации противотуберкулезных препаратов, направленных на ликвидацию микобактерий и на подавление их размножения. Длительность такого лечения может доходить до года – всё зависит от формы и стадии развития патологии.
Если рано прекратить химиотерапию, то может возникнуть обострение или осложнения туберкулеза. Поэтому важно следовать всем рекомендациям врача. А врач со своей стороны должен составить подробный план лечения и корректировать на протяжении всей терапии.
Пациент, которому показана химиотерапия, как способ лечения туберкулёза, должен быть готов к негативным последствиям такого агрессивного способа. Часто возникают побочные эффекты на действие лекарственных препаратов. Наблюдается 2 вида побочных реакций: токсическая и аллергическая. Также может возникнуть дисбактериоз.
Врач может назначить амбулаторное лечения в том случае, если заболевание выявлено на ранней стадии и полностью отсутствует заражения для окружающих. При этом нужно регулярно посещать лечащего врача и проходить диагностику. Чаще всего, пациента переводят на амбулаторное лечение после наблюдения в стационаре и прохождения обширного курса терапии в тубдиспансере. В это время пациент уже не заразен.
Где пройти диагностику и лечение туберкулёза?
Как лечить туберкулёз любого типа знают в медицинском центре «Медюнион». Мы занимаемся лечением заболевания в Красноярске. Мы не рекомендует заниматься самолечением. За помощью опытного врача обращайтесь в нашу медицинскую поликлинику.
Запишитесь сегодня на удобное для вас время, и уже завтра пройдите обследование. Мощное оборудование для проведения КТ, МРТ и УЗИ, опытные врачи, которые при необходимости проведут первичный осмотр на дому, ждут вас в «Медюнион».
В медицинской клинике «Медюнион» вы сможете:
получить консультацию опытного узкого специалиста без очереди и ожидания
пройти диагностику на современном оборудовании международного класса
вызвать на дом узкопрофильного специалиста при необходимости
воспользоваться услугой забора биоматериалов на дому
Записаться вы можете одним из удобных для вас способов:
Закажите обратный звонок, указав ваше имя и номер телефона. Наши менеджеры перезвонят вам в течение 15 минут и ответят на интересующие вас вопросы.
Туберкулез

С появлением антибиотиков человеку удалось взять под контроль такое распространенное и опасное инфекционное заболевание, как туберкулез (старое название – чахотка). Тем не менее оно продолжает оставаться в списке глобальных угроз человечеству и в XXI веке.
В России каждый год регистрируется все меньше новых случаев болезни, и уровень смертности от нее продолжает снижаться. Однако ситуация все еще сложная. ВОЗ сообщает, что за 2018 год в РФ заболели туберкулезом 79 тысяч, а умерли – 10 тысяч человек. Мало того, инфекция бросает новый вызов человечеству: появились особые формы заболевания, стойкие к существующим лекарствам. В России число таких случаев достигает 9 %. По этому показателю она занимает третье место в мире после Индии и Китая. Необходимое лечение в стране получают 99 % всех больных туберкулезом, однако полностью излечиваются только 69 %. Сложная ситуация наблюдается также в Азербайджане, Беларуси, Казахстане, Кыргызстане, Молдове, Таджикистане, Узбекистане, Украине.
Что такое туберкулез, возбудитель болезни
- Туберкулезом называют хроническое инфекционное бактериальное заболевание, вызванное возбудителем Mycobacterium tuberculosis complex (в народе более известном как палочка Коха).
- Впервые этот микроорганизм выделил немецкий ученый Роберт Кох в 1882 году, но сам недуг известен очень давно. Следы микобактерий туберкулеза исследователи находили даже в останках древнеегипетских мумий.
- Эти микроорганизмы отличаются высокой жизнестойкостью в окружающей среде. Во влажном и темном месте при температуре 23 °C они могут сохраняться до 7 лет, в темном и сухом – до 10–12 месяцев, в сухом и светлом – около 2 месяцев.
- В воде палочка живет до 5 месяцев, в почве – до 6 месяцев, в сыром молоке – до 2 недель, в сыре и масле – около года, на страницах книг – около 3 месяцев. Однако эти бактерии погибают при воздействии веществ, содержащих хлор, третичных аминов, перекиси водорода, а также при облучении ультрафиолетом. Они могут принимать малоопасные L-формы, которые присутствуют в организме человека, но не вызывают острого процесса.
Стадии заболевания
Существует три стадии развития туберкулеза:
- первичная;
- латентная;
- активная.
Также различают открытую и закрытую формы. В первом случае болезнь явно выражена, бактерии легко обнаруживаются в мокроте, каловых массах, а сам больной представляет опасность для окружающих в плане инфицирования. Закрытая форма неопасна для окружающих. Чаще всего встречается туберкулез легких, но эта инфекция может также поражать кости, суставы, мочеполовую систему, кишечник, брюшину, мозговые оболочки, ЦНС, периферические лимфоузлы, кожу (золотуха).
Первичное инфицирование
Заражение происходит, когда бактериям удается пройти сквозь защитные барьеры и проникнуть глубоко в легкие. Если верхние дыхательные пути здоровые и работают правильно, им удается задержать и вывести со слизью большую часть палочек Коха и других опасных бактерий. В теории для инфицирования людей со слабым иммунитетом достаточно одной палочки, но для более стойких организмов все же требуется многоразовый контакт.
Далее бактерии поглощаются альвеолярными макрофагами. Необезвреженные возбудители начинают воспроизводиться, возникает локальное воспаление в области проникновения инфекции. Через ближайшие лимфоузлы зараженные макрофаги попадают в кровь, проникая в другие органы. Но если у человека сформирован хотя бы частичный иммунитет, распространение через кровоток маловероятно.
Латентная инфекция
Через три недели активного роста бактерий примерно в 95 % случаев, иммунная система подавляет их рост и размножение. Тогда очаги с микробами в пораженных органах превращаются в эпителиоидные гранулемы. В них туберкулезные палочки могут жить много лет, человек при этом чувствует себя вполне здоровым, клинических проявлений болезни также не наблюдается. Если иммунитет достаточно сильный, инфекция так и остается в неактивной форме. Считается, что у почти одной трети населения мира присутствует латентный туберкулез, но эти люди не представляют угрозу для окружающих, потому что не выделяют бактерии. Однако сбои в работе иммунной системы могут привести к обострению процесса. Бывает, что первичное поражение начинает прогрессировать сразу. В группе риска – маленькие дети и лица с очень слабым иммунитетом.
Активная стадия
Туберкулез у взрослых людей переходит в активную фазу в течение двух лет с момента заражения, но нередко он проявляется и через десятилетия. Этому способствует снижение клеточного иммунитета. Больше всего в этой связи уязвимы люди с ВИЧ инфекцией, не получающие антиретровирусной терапии. Также в группе риска находится еще ряд пациентов:
- с сахарным диабетом;
- с раком головы и шеи;
- с болезнями почек, которым назначен диализ;
- перенесшие операцию по резекции желудка;
- принимающие препараты, которые подавляют иммунную систему (после трансплантации органов).
Фактором риска также считается курение и недостаточное питание, поэтому эта инфекция нередко встречается у лиц, ведущих асоциальный образ жизни. При отсутствии лечения ткани поврежденного болезнью органа распадаются, образуются множественные каверны (изолированные полости в легких).
- туберкулема;
- латентный;
- очаговый (ограниченный);
- милиарный;
- инфильтративный;
- диссеминированный;
- кавернозный;
- фиброзно-кавернозный;
- цирротический;
- казеозная пневмония.
Как передается туберкулез
Главным источником инфекции являются люди с болезнью в открытой форме. Пути передачи возбудителя:
- воздушно-капельный – при чихании и кашле бактерии оказываются в воздухе, который вдыхают здоровые люди. Кроме того, микроорганизмы оседают в пыли и долго там сохраняются;
- алиментарный – через употребление в пищу зараженных продуктов – молока, яиц и проч. Однако в этом случае требуется большее количество бактерий в сравнении с воздушно-капельным путем;
- контактный – при прямом соприкосновении поврежденной кожи со здоровой или через конъюнктиву глаза, но подобное отмечается редко;
- в период внутриутробного развития от матери – плод инфицируется через плаценту, но это также происходит нечасто.
Симптомы, клинические проявления
На ранних стадиях туберкулез протекает практически бессимптомно. По мере его развития состояние больного ухудшается, однако специфическая симптоматика не наблюдается. Клинические признаки – повышенная усталость, слабость, резкое снижение веса без видимых на то причин, температура 37-38 °С, не спадающая продолжительное время, ночная потливость. Лицо становится бледным, а на щеках появляется румянец. У детей туберкулез прогрессирует намного быстрее, чем у взрослых, в силу неразвитой иммунной системы.
Легочную форму туберкулеза сопровождает кашель. Вначале он несильный, но со временем его интенсивность возрастает. Если он продолжается больше трех недель, следует немедленно обратиться к врачу. Кашель вначале сухой, приступообразный, особенно ночью и утром. Позже начинает выделяться желто-зеленая мокрота, а на стадии каверн наблюдается кровохаркание.
При туберкулезе мозговых оболочек и головного мозга к симптомам общей интоксикации добавляются расстройства сна, головные боли, интенсивность которых постепенно усиливается. Затем проявляется ригидность затылочных мышц, симптомы Кернига и Брудзинского, неврологические расстройства.
Симптоматика туберкулеза органов пищеварения схожа с другими болезнями этого отдела: диспепсия, боль в животе, позже – кровь в кале. Поражение костей и суставов проявляет себя так же, как и артриты, почек – имеет симптомы нефрита: боль в спине, кровь в моче. При туберкулезе кожи наблюдаются плотные узелки под эпидермисом, которые увеличиваются и прорываются с выделением творожистой массы.
Диагностика туберкулеза
Из-за того, что болезнь на начальных стадиях не проявляет себя, особое внимание уделяют профилактическим обследованиям. Для этого взрослые каждый год проходят флюорографию грудной клетки, а детям делают пробу Манту (туберкулиновую) или диаскинтест, направленные на выявление степени инфицированности организма туберкулезной палочкой и реактивность тканей. Есть также альтернативные исследования крови: T-SPOT тест и квантиферон-тест. Рентгенография позволяет выявить инфекцию не только в легких, а и в других органах. В случае необходимости проводят КТ.
Но окончательный диагноз ставят по итогам исследования биологических сред. Делают посев мокроты, промывных вод бронхов и желудка, а также масс, отделяемых от кожи. В отдельных случаях выполняют бронхоскопию с биопсией, а также биопсию лимфоузлов.
Лечение туберкулеза, прогнозы
- Своевременно выявленный туберкулез поддается лечению антибиотиками. Обычно назначают 4-5 препаратов, которые следует принимать строго по назначенной врачом схеме.
- Есть медикаменты первого ряда, наиболее эффективные, и лекарства второго ряда, резервные. При подозрении на болезнь врачи могут назначить 1-2 препарата для профилактики.
- Обычно положительных результатов добиваются за полгода активного лечения. За этот период очаги инфекции заживают, исчезают симптомы, болезнь переходит в закрытую форму.
- Больных с открытой формой помещают в туберкулезный диспансер. Там до прекращения выделения бактерий ими занимаются врачи-фтизиатры. Но полное исцеление занимает около года, а порой на это требуется и больше времени.
- Помимо медикаментозного лечения больным рекомендуется делать дыхательную гимнастику, укреплять иммунитет, проходить физиотерапию.
- Важно полноценно питаться, включать в рацион мясо, фрукты, овощи, кисломолочные продукты, исключить алкоголь и табак.
- В период выздоровления рекомендуется продолжить лечение в специализированных санаториях.
- В отдельных случаях показано хирургическое вмешательство. Этот метод чаще всего применяется при кавернозной форме туберкулеза легких, когда врачам приходится удалять сильно пораженную часть органа.
При своевременной диагностике и правильной терапии болезнь излечима. Но на пораженных участках могут оставаться рубцы и инкапсулированные очаги, в которых бактерии пребывают в неактивном состоянии. При снижении иммунитета возможен рецидив, поэтому все пациенты должны находиться на диспансерном учете и регулярно обследоваться. При этом туберкулиновая проба будет давать положительный результат даже после полного излечения.
При отсутствии терапии смертность от туберкулеза составляет 50 %.
Туберкулез при беременности
Беременность может активировать дремавший в организме возбудитель туберкулеза, при этом чаще всего заболевание протекает более остро. Применяемые сегодня для лечения туберкулеза антибиотики в принципе не вызывают отклонений в развитии плода, однако принимать их на ранних сроках все равно не рекомендуется. Врачам, лечащим туберкулез, приходится подбирать щадящую терапию. Течение беременности осложняется туберкулезной интоксикацией, поэтому ребенок нередко рождается с малым весом и раньше срока. Если болезнь проявляется на ранних сроках беременности впервые, и мать ранее не получала лечения, младенец появляется на свет с врожденным туберкулезом. Кормление грудью разрешается, если у матери болезнь находится в неактивной стадии. Планирование беременности целесообразно не раньше, чем через 2-3 года после выздоровления.
Резистентный туберкулез
Для терапии туберкулеза применяют антибактериальные препараты. Но микобактерии обладают свойством быстро мутировать и образовывать множество генотипов с устойчивостью к некоторым медикаментам. Поэтому пациентам назначают одновременно несколько разных лекарственных средств.
Различают первично-резистентный и вторично-резистентный туберкулез. Первый возникает, когда устойчивый к антибиотикам штамм находят у больных, ранее вообще не принимавших специфические средства. Второй проявляется у пациентов, либо прервавших терапию самостоятельно, либо проходящих неправильно спланированный курс лечения.
Микобактерии могут быть нечувствительными к одному лекарственному средству, но случается и полирезистентный туберкулез, при котором штамм устойчив сразу к нескольким препаратам. ВОЗ сообщат, что 490 тыс. больных туберкулезом в мире имеют форму с множественной медикаментозной устойчивостью.
Для предотвращения развития резистентности больным назначают не меньше двух препаратов, а на первом этапе – даже четырех. Важно также полностью завершить назначенный курс лечения, ни в коем случае не пропускать прием лекарств.
Профилактика
Профилактика туберкулеза начинается еще в грудном возрасте. На 4-й день жизни ребенка ему делают прививку БЦЖ, представляющую собой ослабленный штамм микобактерий. Поскольку возбудители очень активны в отношении детей, очень важно выработать иммунитет как можно раньше. Для недоношенных младенцев разработан более слабый вариант вакцины – БЦЖ-М. В норме в месте укола появляется бугорок, а потом пузырек с желтоватой жидкостью, который позже лопается и покрывается коркой. Вакцина не защищает от туберкулеза полностью, однако позволяет избежать внелегочной инфекции у детей.
Важно также вести здоровый образ жизни, хорошо питаться, не курить, регулярно проходить обследования. Туберкулезом может заболеть любой человек, даже из вполне благополучных слоев общества. Запускают механизм развития болезни сбои в работе иммунной системы.
Читайте также:
