Течение тромбоза синуса. Отек при синустромбозе
Добавил пользователь Евгений Кузнецов Обновлено: 23.11.2025
Роль расстройства венозного кровообращения в происхождении и течении сосудистых заболеваний головного мозга длительное время недооценивалось. Это объясняется имевшимися ранее трудностями прижизненной оценки церебральной венозной гемодинамики при использовании традиционных методов регистрации венозного кровотока в сосудах головного мозга, а также недостаточным вниманием со стороны исследователей данному разделу ангиологии.
Появление современных методов нейровизуализации, в частности МРТ диагностики, значительно облегчило выявление подобных заболеваний.
Рассмотрим несколько примеров патологических процессов, выявляемых методом МРТ диагностики с применением МР-венографии.
ТРОМБОЗ ВЕН И СИНУСОВ МОЗГА
Причиной развития тромбоза вен и синусов твердой мозговой оболочки могут быть септические поражения, травмы, сдавление синуса опухолью, системные поражения соединительной ткани.
Кроме того синус-тромбозы могут развиваться по причине тромбофлебита конечностей или воспалительных очагов в организме (в послеродовом периоде, после аборта, при инфекционных заболеваниях, а также заболеваниях ушей и придаточных пазух носа).
С учетом возраста пациента, степени развития коллатерального кровообращения, а также локализации патологического процесса, клинические проявления венозных тромбозов достаточно вариабельны и неспецифичны.
Выделить типичные клинические проявления синус-тромбоза весьма сложно, но наиболее частыми начальными симптомами являются следующие:
1. головная боль
2. отек диска зрительного нерва (признак внутричерепной гипертензии)
3. фокальный неврологический дефицит
4. нарушения сознания (появляются в случае поражения вещества головного мозга в виде прогрессирующего отека, развивающегося инфаркта или кровоизлияния).
В случае поражения синусов общемозговые симптомы зависят от величины и скорости нарастания тромбоза.
Очаговые симптомы развиваются при вовлечении в процесс вещества головного мозга, т.е. при развитии коркового венозного инфаркта. Появляются корковый моторный дефицит, корковые симптомы и припадки, соответственно локализации пораженного синуса.
При возникновении клинической картины тромбоза вен и синусов головного мозга на МРТ в большей части случаев обнаруживается признаки обширных зон ишемии и геморрагии. Однако в некоторых случаях при стандартных методах нейровизуализации выявить изменения в паренхиме мозга не удается.
Методом выбора в подобных случаях является магнитно-резонансная томография (МРТ) головного мозга с применением МР-венографии.

Тромбоз правого поперечного синуса – гипоинтенсивные участки по Т2 (внутриклеточный дезоксигемоглобин).
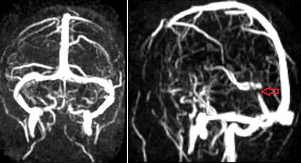
Для подтверждения тромбоза венозного синуса и определения точной локализации и протяженности тромба необходимо проведение МР-венографии.

МР-венография – отсутствие визуализации кровотока в правом поперечном синусе и яремной вене.

МРТ головного мозга: справа (зеленая стрелка) на Т2-взвешенном изображении отмечается имеющийся в норме феномен «пустоты потока» от правого сигмовидного синуса и яремной Вены. Слева (оранжевая стрелка) отмечается аномально высокий сигнал, в результате, вероятнее, тромбоза. Для подтверждения синус-тромбоза и окончательного определения локализации и протяженности тромбоза необходимо проведение МР-венографии.

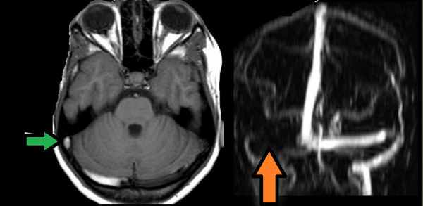
МР-венография: тромбоз левого поперечного синуса. Отмечается потеря МР-сигнала от левого поперечного синуса.
Наличие визуализации синуса на «сырых» данных или же МРТ головного мозга подтверждает тромбоз синуса и исключает его гипоплазию.

МР-венография: тромбоз правого поперечного синуса. Отмечается потеря МР-сигнала от правого поперечного синуса.
Наличие визуализации синуса на «сырых» данных или же МРТ головного мозга подтверждает тромбоз синуса и исключает его гипо- и аплазию.

Тромбоз правого поперечного синуса. Отсутствие феномена «пустоты потока» от правого поперечного синуса на МРТ головного мозга. Отсутствие визуализации правого поперечного синуса на МР-венографии.
Как указывалось выше, в случаях возникновения клинической картины церебрального венозного тромбоза по ходу вен и синусов на МРТ головного мозга в части случаев обнаруживается зона ишемии и геморрагии.

МРТ головного мозга: отмечается сочетание вазогенного (оранжевая стрелка), цитотоксического отека и кровоизлияния (зеленая стрелка). Данная МР-картина, а также расположение патологической зоны в проекции височной доли, заставляет задуматься о геморрагическом венозном НМК вследствие тромбоза вены Лаббе. Для подтверждения необходимо проведение МР-венографии или МРТ с контрастным усилением.
СТЕНОЗЫ, УЧАСТКИ ПАТОЛОГИЧЕСКОГО РАСШИРЕНИЯ И ГИПОПЛАЗИЯ ВЕНОЗНЫХ СТРУКТУР ГОЛОВНОГО МОЗГА

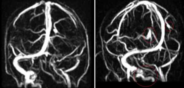
МРА-картина выраженной асимметрии венозной сети с преобладанием и нерезкой дилатацией вен правой гемисферы (поперечного, сигмовидного синусов и яремной вены справа); гипоплазии левого поперечного и сигмовидного синуса. Единичные участки (2) локального расширения вен в парасагиттальных отделах левой гемисферы, большой вены мозга. Асимметричная, расширенная и выражено извитая венозная структура экстракраниальных отделов справа.

МРА признаки незначительной дилатации верхнего сагиттального синуса, локального снижения кровотока и сужения просвета дистальных отделов прямого синуса; асимметрии просвета поперечных, сигмовидных синусов и внутренних яремных вен.
СОСУДИСТЫЕ МАЛЬФОРМАЦИИ
1. Венозная мальформация (венозная ангиома).
Встречается относительно часто и не является истинной мальформацией, в большей степени представляет собой вариант строения венозного оттока.
Течение обычно бессимптомное. Редко бывают судороги.

Венозная мальформация. Схема. Определяются мелкие расширенные венулы в виде «зонтика», «головы медузы», дренирующиеся в крупную транскортикальную вену, которая, в свою очередь впадает в верхний сагиттальный синус.

а) Т1 с внутривенным контрастированием. Стрелки показывают расширенные вены глубокого белого вещества, дренирующиеся в расширенную транскортикальную вену;
б) МР-венография с контрастированием показывает венозную дисплазию, дренирующуюся в расширенную внутреннюю мозговую вену. Венозная мальформация.
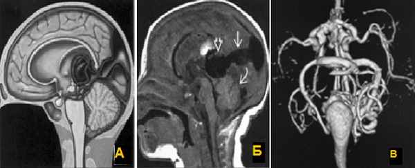
2. Мальформация большой вены мозга (вены Галена).
Центрально расположенная АВМ, дренирующаяся в вену Галена, с формированием ее варикозного расширения. У новорожденных могут возникать явления сердечной недостаточности за счет большого объема шунтового кровотока.

а) Мальформация (варикозное расширение) вены Галена, схема.
б)Т1-sag определяется расширенная вена Галена (открытая стрелка), дренирующаяся (стрелка) в сагиттальный синус;
в) МР-объемная реконструкция.
Диагностика и лечение
Тромбоз кавернозных синусов (ТКС) — это клинический диагноз, и результаты лабораторных исследований редко бывают специфичными. У большинства больных наблюдается полиморфно-ядерный лейкоцитоз, часто отмеченный сдвигом в сторону незрелых форм. При исследовании спинномозговой жидкости выявляются воспалительные изменения. Результаты посева крови в целом положительны для провоцирующего организма.
Одно из исследований Мисра и др. показало, что определение уровня Д-димера может быть информативно для пациентов с подозрением на венозный тромбоз кортикального синуса.
Функциональные исследования
Исторически сложилось так, что для визуализации тромбоза кавернозных синусов использовался ряд методов, включая рентгенографию синусов, каротидную ангиографию и орбитальную венографию. В современной практике, компьютерная томография (КТ) или магнитно-резонансная томография (МРТ) с контрастом является методом выбора, чтобы подтвердить диагноз ТКС и отличить его от возможных диагнозов, таких как орбитальная флегмона, которые могут иметь аналогичную клиническую картину. В литературе предлагается использовать как КТ, так и МРТ, в частности диффузионно-взвешенную МРТ. Сначала проводится КТ (поскольку этот метод обычно быстрее и доступнее), а затем МРТ, особенно если результат КТ не является достаточным.
МРТ с МР-венограмой (МРВ) — это предпочтительный выбор функционального исследования, поскольку МРВ покажет отсутствие кровотока в пораженном кавернозном синусе.
На КТ без контраста тромбоз кавернозного синуса можно увидеть, как участок повышенной плотности. Введение внутривенного контраста может выявить дефекты наполнения в кавернозной пазухе, а также утолщение верхней глазной вены. Тем не менее, результаты КТ могут быть неясными, и отрицательная КТ не может надежно исключить ТКС, когда клиническая настороженность велика.
Каротидная ангиография может продемонстрировать сужение или непроходимость межкавернозного сегмента сонной артерии. МРТ и КТ также могут показать это сужение и / или непроходимость сонной артерии.
Люмбальная пункция может помочь дифференцировать ТКС от более локализованных процессов (например, синусита, орбитальной флегмоны). Люмбальная пункция выявляет повышенный цитоз примерно в 75% случаев.
Лечение
Основой терапии тромбоза кавернозных синусов является ранняя и агрессивная антибиотикотерапия. Хотя Staphylococcus aureus — наиболее частый возбудитель, охват обширного спектра для грамположительных, грамотрицательных, и анаэробных организмов должен быть учтен до получения анализов посева.
Эмпирическая антибактериальная терапия должна включить пенициллиназ-устойчивый пенициллин в сочетании цефалоспорином третьего или четвертого поколения. Если подозревается одонтогенная инфекция или другая анаэробная инфекция, то анаэробный спектр должен также быть добавлен.
Лечение антибиотиками рекомендуются в течение, как минимум, 3–4 недель.
Существуют разногласия по поводу использования антикоагулянтов при тромбозе кавернозных синусов. Из-за редкости этого синдрома не было проведено никаких проспективных исследований по использованию антикоагулянтов для ТКС. Некоторые ретроспективные исследования, обзор Кокрейна двух исследований с участием 79 пациентов показали снижение смертности на фоне назначения антикоагулянтов, поэтому, антикоагулянтная терапия должна быть рассмотрена с целью предотвращения дальнейшего нарастания тромбирования и уменьшения вероятности септической эмболии. Одно исследование показало, что низкомолекулярный гепарин превосходит по эффективности в данном случае нефракционированный гепарин. Гепарин противопоказан при наличии внутримозгового кровоизлияния или гемморагических диатезах.
Местно введенные тромболитики также были использованы в лечении ТКС. Однако применение тромболитиков следует считать экспериментальным и использовать только в тяжелых рефрактерных случаях.
Глюкокортикостероиды могут способствовать уменьшению воспаления и отека, и их следует рассматривать в качестве вспомогательной терапии. Их следует вводить после применения антибиотиков. Когда ТКС приводит к недостаточности гипофиза, однако, считается, что кортикостероиды предотвращают острую надпочечную недостаточность. Дексаметазон или гидрокортизон должны быть рассмотрены.
Операция на кавернозном синусе технически сложна и никогда не была показана. Первичный источник инфекции следует санировать, если это возможно (например синусит, или абсцесс на лице).
Профилактика тромбоза кавернозного синуса
Пациенты должны быть информированы о том, что фурункулы или абсцессы (прыщи) в центральной части лица не должны быть подвержены физическому воздействию без предварительной антибиотической обработки.
Осложнения могут включать следующее:
- менингит;
- септические эмболы;
- слепота;
- паралич черепных нервов;
- сепсис и шок.
Прогноз
Уровень смертности достигает 30%; большинство выживших страдают от осложнений.
Тромбоз кавернозного синуса
Тромбоз кавернозного синуса – это очень редкое заболевание, преимущественно протекает как септический тромбоз кавернозного синуса. Обычно причиной развития являются фурункулы преддверия носа или бактериальный синусит. Клиническими проявлениями являются экзофтальм, офтальмоплегия, потеря зрения, отек диска зрительного нерва и лихорадка. Диагноз подтверждается с помощью КТ или МРТ. Лечение производится антибиотиками. Осложнения часты, а прогноз осторожный.
Этиология тромбоза кавернозного синуса
Кавернозные синусы представляют собой образования, расположенные в основании черепа, их роль заключается в дренировании крови от лицевых вен. Тромбоз кавернозного синуса – крайне редкое осложнение инфекционных заболеваний челюстно-лицевой области, чаще всего фурункулов преддверия носа (50%), сфеноидального или этмоидального синусита Синусит Синусит – это воспаление слизистой оболочки околоносовых пазух, которое вызывается вирусами, бактериями, грибами или провоцируется аллергическими процессами. К симптомам синусита относятся заложенность. Прочитайте дополнительные сведения Staphylococcus aureus (70%) и бактерии родов Streptococcus. В случае инфицирования одной из придаточных пазух носа или зубной инфекции более распространенным источником являются анаэробы.
Патофизиология тромбоза кавернозного синуса
К кавернозному синусу прилежат 3-я, 4-я и 6-я пара черепных нервов, а также глазничная и верхнечелюстная ветвь 5-го черепного нерва, поэтому они часто вовлекаются в патологический процесс при тромбозе кавернозного синуса. Осложнения тромбоза кавернозного синуса включают в себя менингоэнцефалит, абсцесс головного мозга Абсцесс головного мозга Абсцесс головного мозга представляет собой локальное скопление гноя в веществе мозга. Клиническая картина может включать в себя головную боль, вялость, лихорадку и очаговую неврологическую симптоматику. Прочитайте дополнительные сведения , слепоту Острая потеря зрения Потеря зрения считается острой, если она развивается в срок от нескольких минут до двух дней. Она может быть одно- или двусторонней, выражаться в частичном или полном выпадении полей зрения. Прочитайте дополнительные сведения и гипофизарную недостаточность Дефицит отдельных гормонов гипофиза Дефицит отдельных гормонов гипофиза может представлять собой раннюю стадию развития пангипопитуитаризма. У пациентов необходимо искать признаки недостаточности других гипофизарных гормонов и. Прочитайте дополнительные сведения .
Симптомы и признаки тромбоза кавернозного синуса
Начальными симптомами тромбоза кавернозного синуса являются сильные головные или лицевые боли, которые возникают обычно только с одной стороны и локализуются в заглазничной и лобной областях. Также характерна высокая лихорадка. Позднее развивается офтальмоплегия (как правило, обусловленная вовлечением 6-й пары черепных нервов на начальном этапе), экзофтальм и отек век, эти проявления часто отмечаются с двух сторон. Также может снижаться или полностью исчезать чувствительность кожи лица. Признаками распространения на центральную нервную систему (ЦНС) являются нарушение сознания, дезориентация, судороги и очаговая неврологическая симптоматика. У пациентов с тромбозом кавернозного синуса могут наблюдаться анизокория или мидриаз (дисфункция 3-й пары черепных нервов), отек диска зрительного нерва Застойный диск зрительного нерва Застойный диск зрительного нерва характеризуется его отеком вследствие повышенного внутричерепного давления. Отек диска зрительного нерва в результате причин, не связанных с повышением внутричерепного. Прочитайте дополнительные сведенияДиагностика тромбоза кавернозного синуса
Из-за своей редкости диагноз тромбоза кавернозного синуса часто вызывает затруднения. Его следует подозревать у всех пациентов с признаками глазничной флегмоны Пресептальный и орбитальный целлюлиты Пресептальная (периорбитальная) флегмона – это инфицирование века и близлежащей кожи кпереди от глазничной перегородки. Орбитальная флегмона – это инфицирование мягких тканей орбиты за глазничной. Прочитайте дополнительные сведенияПрогноз при тромбозе кавернозного синуса
Смертность в эру антибиотиков составляет приблизительно 15–20%. Более того, у 40% пациентов развиваются серьезные, а, некоторых случаях и необратимые осложнения (например, офтальмоплегия, слепота, постинсультные нарушения, гипофизарная недостаточность).
Лечение тромбоза кавернозного синуса
Внутривенное введение высоких доз антибиотиков
Начальная антибиотикотерапия пациентов с тромбозом кавернозного синуса включает нафциллин или оксациллин в дозировке 1-2 г 1 раз каждые 4-6 часов в комбинации с цефалоспорином 3-го поколения (например, цефтриаксон 1 г каждые 12 часов). В районах, где преобладают метициллин-резистентные штаммы S. aureus, внутривенное введение ванкомицина в дозировке 1 г 1 раз каждые 12 часов следует заменить нафциллином или оксациллином. Если у пациента имеется сопутствующий синусит или зубная инфекция, то следует добавить к терапии препарат против анаэробной флоры (например, метронидазол 500 мг каждые 8 часов).
При наличии предшествующего сфеноидального синусита Лечение Синусит – это воспаление слизистой оболочки околоносовых пазух, которое вызывается вирусами, бактериями, грибами или провоцируется аллергическими процессами. К симптомам синусита относятся заложенность. Прочитайте дополнительные сведенияДополнительная терапия тромбоза кавернозного синуса при поражении черепных нервов может включать в себя кортикостероиды (например, дексометазон 10 мг 1 раз внутривенно или перорально каждые 6 часов), антикоагуляционная терапия в большинстве случаев противопоказана, поскольку ответ на антибиотики, как правило, адекватен, и риск развития осложнений превышает возможную пользу от подобного лечения.
Дополнительная информация
Ниже следует англоязычный ресурс, который может быть информативным. Обратите внимание, что The manual не несет ответственности за содержание этого ресурса.
Plewa MC, Tadi P, Gupta M: Cavernous sinus thrombosis. StatPearls Publishing, Treasure Island, 2020.
Авторское право © 2022 Merck & Co., Inc., Rahway, NJ, США и ее аффилированные лица. Все права сохранены.
Как определить первые симптомы тромбоза

Перемещаясь вместе с кровотоком по сосудам, тромб рано или поздно вызывает их закупорку.
Фото Pixabay.
В лечении тромбоза крайне важно вовремя заметить первые довольно ярко выраженные симптомы и обратиться за помощью врачей.
Тромбоз – опасное заболевание, при котором в сосудах появляются сгустки крови (тромбы). Они могут замедлить или вовсе остановить кровоток. Последнее – особенно опасно. Из-за недостатка питания в области, где появился тромб, может начаться некроз тканей или органов. А ведь перекрытый тромбом сосуд может быть очень крупным.
Существуют самые разные причины образования тромбов, от травм сосудистых стенок до повышенной свёртываемости крови. В группу риска развития тромбоза входят люди старше 65 лет, имеющие вредные привычки, ожирение и ведущие малоподвижный образ жизни.
Даже долгий авиаперелёт может стать причиной тромбоэмболии (закупорки кровеносного сосуда тромбом).
Также тромбоз является достаточно редким, но тем не менее опасным побочным эффектом вакцины компании AstraZeneca.
Отметим, что после внимательного изучения возможных рисков, Европейское агентство лекарственных средств (EMA) заключило, что польза от вакцинации превышает потенциальный вред.
Среди 20 миллионов получивших вакцину AstraZeneca всего у 79 пациентов развился тромбоз, однако в результате от этого скончались 19 человек. Важно, делая выбор в пользу вакцинации, учитывать этот риск и понимать, какие симптомы говорят о срочной необходимости обратиться за медицинской помощью.

Во-первых, большинство тромбов, вызванных вакциной AstraZeneca, появились в венах головного мозга пациентов. Медицинский диагноз такого состояния называется "тромбоз венозных синусов головного мозга". Такой тип тромбоза может привести к инсульту, судорогам, потере чувствительности частей тела и впоследствии к смерти.
Во-вторых, уже известно, что большинство тромбов было обнаружено у женщин моложе 60 лет в течение двух недель после вакцинации.
Поэтому Комитет Великобритании по вакцинам и иммунизации предостерегает людей моложе 30 лет от вакцинации препаратом AstraZeneca. Если только они уже не получили первую дозу.
Общие рекомендации ВОЗ для людей, получивших вакцину AstraZeneca, заключаются в контроле собственного состояния.
Если пациент будет отмечать затруднённое дыхание, сильный отёк конечностей, боль в груди или продолжительную боль в животе, головную боль и затуманивание зрения, ему рекомендуется немедленно обратиться к врачу.
Побочные эффекты вроде боли и отёка в месте укола, а также лёгкие болезненные ощущения в друг частях тела считаются нормальными в первые несколько дней после вакцинации, также отмечают медики.
Если обнаружить тромб рано, можно легко избежать осложнений тромбоза. Обычно это состояние лечится препаратами от свёртывания крови (антикоагулянтами).
Тут стоит отметить, что принимать препараты, снижающие вязкость крови (например, аспирин), без консультации с лечащим врачом нельзя. Эти препараты могут вызвать язвенную болезнь желудка или спровоцировать не менее опасные для организма кровотечения.
Больше важных медицинских новостей вы найдёте в разделе "Медицина" на медиаплатформе "Смотрим".
Тромбоз кавернозного синуса. Симптомы, причины, диагностика и лечение тромбоза кавернозного синуса.
Тромбоз кавернозного синуса – очень редкое, но и очень опасное для жизни состояние, которое может быть и у взрослых, и у детей.
При тромбозе кавернозного синуса сгусток крови блокирует вену, которая проходит через полое пространство под мозгом и за глазницами. По этим венам кровь от области лица возвращается обратно в сердце.
Причиной тромбоза кавернозного синуса обычно становится инфекция. Но и другие факторы могут оказать влияние на развитие этой проблемы. Тромбоз кавернозного синуса – серьезное заболевание, которое приводит к летальному исходу в 30-50% случаев.
Причиной тромбоза кавернозного синуса обычно становится инфекция, которая распространяется за пределы лица, придаточных пазух носа или зубов. Реже это заболевание связано с инфекциями ушей или глаз.
Чтобы сдержать инфекцию, иммунная система организма создает сгусток крови, предотвращающий распространение бактерий или других патогенных организмов. Такой сгусток увеличивает давление внутри мозга. А повышенное давление, в свою очередь, может привести к повреждению мозга и в конечном итоге – к летальному исходу.
2. Симптомы заболевания
Признаками тромбоза кавернозного синуса могут быть:
- Сильная головная боль;
- Отек, покраснение или раздражение вокруг одного или обоих глаз;
- Опущение век;
- Неспособность двигать глазами;
- Высокая температура;
- Боль или онемение вокруг лица или глаз;
- Усталость;
- Потеря зрения или двоение в глазах;
- Судороги.
3. Диагностика тромбоза кавернозного синуса
Компьютерная томография и МРТ помогают врачам обнаружить тромбоз кавернозного синуса. А анализы крови или спинномозговой жидкости проводятся для выявления признаков инфекции. Этих мер наряду с оценкой симптомов болезни обычно бывает достаточно для диагностики тромбоза кавернозного синуса.
4. Лечение болезни
Врачи обычно лечат тромбоз кавернозного синуса при помощи антибиотиков, вводимых внутривенно. Кортикостероидные препараты могут применяться для уменьшения опухоли, а разжижающие кровь препараты – для борьбы с образованием тромбов.
Если организм пациента не отвечает на такое лечение в течение 24 часов, как правило, нужна хирургическая операция. Синус дренируется хирургическим путем.
Заболевания Жалобы и симптомыЕсли вы обнаружили у себя подобные симптомы, возможно, это сигнал заболевания, поэтому рекомендуем проконсультироваться с нашим специалистом.
Диагностика- МРТ головного мозга
- МРТ позвоночника
- Рентгенография
- Консультация врача нейрохирурга, профессор - 10000 р.
- МРТ головного мозга на базе ЛПУ-партнера - от 6000 р.
- МРТ позвоночника на базе ЛПУ-партнера - от 6000 р.
Мы стараемся оперативно обновлять данные по ценам, но, во избежание недоразумений, просьба уточнять цены в клинике.
Данный прайс-лист не является офертой. Медицинские услуги предоставляются на основании договора.
Читайте также:
