Внутрикостная гемангиома - лучевая диагностика
Добавил пользователь Евгений Кузнецов Обновлено: 29.01.2026
1. Лучевая диагностика опухолей опорно – двигательного аппарата
2. Опухоли опорно – двигательного аппарата
Опухоли костей по гистогенезу и
морфологическому строению являются
наиболее сложными и наименее изученными
разделами клинической онкологии.
Обладая многотканевой структурой
(собственно костная, хрящевая,
кроветворная, ретикулярная, сосудистая,
нервная, жировая ткани), кость потенциально
может дать различные по своему
гистологическому происхождению опухоли.
3. Рабочая классификация
Приведена классификация института онкологии
им.Н.Н.Петрова
Первичные опухоли
а) доброкачественные (остеома, остеохондрома,
хондрома, оссеоидная остеома, хондробластома,
гигантоклеточная опухоль, фиброма, гемангиома);
б) злокачественные (остеосаркома, параоссальная
саркома, хондросаркома, фибросаркома, саркома
Юинга, ретикулосаркома, гемангиоэндотелиома,
миелома, хордома, адамантинома).
Вторичные опухоли:
а) метастазы раковых и саркоматозных опухолей в
кости;
б) опухоли, прорастающие в кости из окружающих
мягких тканей.
4. Правила классификации опухолей костей
Классификация применима для всех
первичных злокачественных опухолей костей
за исключением злокачественной лимфомы,
множественной миеломы, юкстакортикальной
остеосаркомы и юкстакортикальной
хондросаркомы.
Должно быть гистологическое подтверждение
диагноза, позволяющее определить
морфологический тип опухоли и степень
злокачественности.
5. Система TNM
Система ТNМ принята для описания анатомического
распространения поражения, и основана на 3
компонентах:
Т – распространение первичной опухоли;
N – отсутствие или наличие метастазов в
регионарных лимфатических узлах и степень их
поражения;
М – наличие или отсутствие отдаленнык
метастазов.
К этим трем компонентам добавляются цифры,
указывающие распространенность
злокачественного процесса:
ТО, Т1, Т2, ТЗ, Т4NО, N1, N2, NЗМО, М1
Эффективность системы заключается в
“краткости обозначения” степени распространения
злокачественной опухоли.
6. Правила классификации опухолей костей
Т клиническая классификация
Т первичная опухоль
ТХ
– недостаточно данных для оценки
первичной опухоли
Т0 – первичная опухоль не определяется
Т1 – опухоль не выходит за пределы
кортикального слоя
Т2 – опухоль выходит за пределы
кортикального слоя
7. Правила классификации опухолей костей (продолжение)
рТ патогистологическая классификация
Требования к определению категории рТ
соответствуют требованиям к определению
категории Т.
Группировка по стадиям
Стадия 1АG 1,2Т1N0М0
Стадия 1БG 1,2Т2N0М0
Стадия 2АG 3,4Т1N0М0
Стадия 2БG 3,4Т2N0М0
Стадия 3не определяется
Стадия 4Алюбая Gлюбая ТN1М0
Стадия 4Блюбая Gлюбая Тлюбая ХМ1
8. Дифференциальная диагностика опухолей
Возраст
Доброкачественные
Злокачественные
Прочие
0-5 лет
Eosinophilic Granuloma [onion skin
periosteal Rxn]
(Unicameral bone cyst- rare)
laeukaemia
Metastatic Neuroblastoma
Osteomyelitis
healing/ stress
fracture
6-18
Unicameral Bone Cyst, Aneurysmal
Bone Cyst, Nonossifying
Fibroma, Eosinophilic
Granuloma, Enchondroma,
Chondroblastoma,
Chondromyxoidfibroma,
Osteoblastoma
Ewings Sarcoma
Osteosarcoma
Osteomyelitis
Fibrous
Dysplasi
a
Osteofibrous
Dysplasi
a
19-40
Giant Cell Tumour
Eosinophilic granuloma
Более 40
Ewings Sarcoma
Metastases (lung, breast,
prostate, renal, thyroid,
colon), Multiple Myeloma
, Lymphoma,
Osteosarcoma (Pagets).
Chondrosarcoma.
Fibrosarcoma/ Malignant
Fibrous. Histiocytoma
Hyperparathyro
idism
Osteomyelitis
Paget's
9. Локализация процесса в кости
Выдающемуся
советскому
рентгенологу
С.А.Рейнбергу
приписывают
выражение “Скажите
мне где это, и я скажу
что это”.
На схеме (Madewell, et
al 1981) показана
излюбленная
локализация
патологических
образований.
10. Разграничение добро и злокачественных процессов
Приведена рентгеновская картина типичных
представителей доброкачественных и
злокачественных опухолей – хондромы и
остеогенной саркомы
11. Опухолевые заболевания и доброкачественные опухоли.
Для доброкачественных опухолей и
опухолеподобных заболеваний характерны
такие общие рентгенологические признаки:
Четкие контуры, ободок склероза, часто
вздутие кости, отсутствие периостальной
реакции и мягкотканного компонента,
медленный рост при динамическом
наблюдении, солитарный характер
поражения.
12. Доброкачественные опухоли
Остеома.
Хондрома.
Остеохондрома.
Остеоидная остеома.
Хондробластома.
Гигантоклеточная опухоль.
Фиброма.
Гемангиома.
13. Остеома
Различают:
1.
2.
3.
компактную,
губчатую,
смешанную.
На широкой ножке.
На узкой ножке.
Частота до – 10 -15
% всех опухолей
скелета.
Поражаемый
возраст - 10-25 лет.
Излюбленная
локализация –
придаточные пазухи
носа.
Приведен снимок
компактной остеомы
лобной пазухи.
14. Остеома
Одиночные и
множественные
небольшие костные
компактные островки
эностозы – довольно
частая находка.
Если нет динамики и
клинических
проявлений – это
расценивается как
норма.
15. Хондрома
Частота - 7 ,2 % всех костных опухолей, или
41,9% всех доброкачественных опухолей.
Излюбленная локализация - ребра, лопатка,
таз, кисти рук, бедренная кость и др.
Поражаемый возраст - 10-50 лет.
Процесс может развиваться в центре кости энхондрома, или носить краевой характер экхондрома.
В старших возрастных группах малигнизация
достигает 90%.
16. Особая примета
Главный признак – участок деструкции кости
с четким контуром.
Вздутие кости (энхондрома)
Хрящевая ткань рентгеновские лучи не
задерживает, поэтому участок прозрачный.
Локализация – рядом с зоной роста
Особая примета хондромы – наличие
мелкоточечных обызвествлений в массе
опухоли
В части наблюдений крапчатости не бывает
17. Энхондрома
18. Энхондрома
19. Энхондрома
20. Хондроматоз
Когда хондромы
множественные и
картина типичная –
трудностей в
диагностике не
возникает
Сочетание
экхондром и
энхондром
21. Хондроматоз
22. Остеохондрома
Сочетает картину двух состояний
отеомы и хондромы, дает причудливые
комбинации этих элементов
Растёт вместе со скелетом, прекращает
рост при закрытии всех зон роста
23. Остеохондрома
24. Остеохондрома
25. Остеохондрома
26. Остеохондрома
27. Множественные экзостозы
Множественные остеохондромы –
множественные костно – хрящевые
экзостозы – это общее генетическое
заболевание скелета
Передаётся по наследству
28. Множественные экзостозы
29. Множественные экзостозы
30. Множественные экзостозы
31. Множественные экзостозы
32. Болезнь Олье
На остеохондрому и
фиброзную
остеодистрофию
похоже ещё одно
заболевание –
дисхондроплазия
При ней хрящевая
ткань врастает в
кость по ходу
питающих артерий
33. Обызвествление костного мозга
Похоже на энхондрому
обызвествления
костного мозга
Обызвествления
обычно множественные
В анамнезе – некроз
костного мозга,
например при
кессонной болезни у
водолазов
34. Обызвествление костного мозга
35. Остеоид-остеома
Частота - 4 - 10%
Поражаемый возраст 20-30 лет.
Излюбленная
локализация большеберцовая и
малоберцовая кости,
задние элементы
позвонков.
Клиника – интенсивные
ночные боли.
36. Остеоид-остеома
37. Особая примета
Главный рентгеновский признак –
мелкий (диаметром несколько мм)
участок деструкции, который окружен
выраженным склеротическим
процессом.
На жаргонном языке её называют –
«пуговкой»
38. Остеоид-остеома б/б кости
39. Остеоид-остеома головки бедра
40. Остеоид-остеома
41. Остеоид-остеома
42. Неостеогенная (неоссифицирующая) фиброма
Пораженный участок
располагается
эксцентрически.
Возникает из костного
мозга.
Локализуется она
обычно в верхней или
нижней трети длинных
трубчатых костей.
43. Неостеогенная (неоссифицирующая) фиброма
44. Фиброзный корковый дефект
45. Фиброзный корковый дефект
46. Фиброзный корковый дефект
47. Фиброзный корковый дефект
48. Фиброзный корковый дефект
49. Фиброзный корковый дефект
50. Фиброзный корковый дефект
51. Фиброзный корковый дефект
52. “Остатки” фиброзного дефекта
53. Юкстакортикальная фиброма
54. Оссифицирующая фиброма
55. Хондромиксоидная фиброма
Рентгенологически
определяется зона потери
физиологической структуры
кости с ограниченной
костной атрофией. Местами
определяется
трабекулярность, которая
очерчивает границы
патологической ткани.
Кортикальный слои иногда
прерывается и тогда
возможна периостальная
реакция. Опухоль может
быть принята за фиброзную
дисплазию, костную кисту
или энхондрому
56. Хондромиксоидная фиброма
57. Аневризмальная костная киста
Киста возникает у детей
Заболевание поражает
метафизарные отделы
трубчатых костей и
задние отделы
позвоночника.
Истончает стенки.
Деструктивный процесс
прогрессирует без
признаков
репаративной
регенерации
58. Аневризмальная костная киста
59. Аневризмальная костная киста
60. Аневризмальная костная киста
61. Аневризмальная костная киста
Томограмма.
Аневризмальная
костная киста тела
поясничного
позвонка с
переходом на
поперечный
отросток.
62. Аневризмальная костная киста
63. Аневризмальная костная киста
64. Аневризмальная костная киста
65. Аневризмальная костная киста
66. Аневризмальная костная киста
67. Аневризмальная костная киста
68. Аневризмальная костная киста
69. Аневризмальная костная киста
70. Фиброзная дисплазия
71. Фиброксантома
72. Хондробластома
Доброкачественная опухоль из
хондробластов.
Поражает эпифизы.
1% от всех костных первичных
опухолей.
Мужчины / женщины – 2:1 - 3:1
Почти 90% опухолей у пациентов в
возрасте 5 - 25 лет.
73. Хондробластома
74. Хондробластома
75. Хондробластома
76. Хондробластома
77. Хондробластома
78. Остеобластома
Менее 1% от первичных
костных опухолей.
Возраст 10 – 35 лет, 80%
моложе 30 лет.
40 - 50% -позвоночник.
Хорошо отграничена, часто с
мелкими включениями
извести.
Диаметр 2-10 см.
Периост не страдает,
мягкотканного компонента
нет.
Агрессивна локально, но не
метастазирует
79. Остеобластома
80. Остеобластома
81. Остеобластокластома (гигантоклеточная опухоль)
Частота - 7,6% опухолей скелета и 44,2 %
всех доброкачественных опухолей.
Поражаемый возраст - 10 - 40 лет.
Частота у мужчин и женщин примерно
одинаковая.
Формы: литическая и ячеистая.
Излюбленная локализация - метафизы
плечевой кости, большеберцовой кости,
бедра (нижний метафиз), позвонки.
Главное условие – рядом должна быть
закрытая зона роста.
82. Остеобластокластома
83. Остеобластокластома (ОБК, гигантоклеточная опухоль)
84. Остеобластокластома
85. Остеобластокластома
86. Остеобластокластома
87. Остеобластокластома
88. Остеобластокластома
89. Гемангиома
Частота - 0,8% всех
опухолей скелета или
4,7%
доброкачественных
опухолей.
Излюбленная
локализация позвоночник, трубчатые
и губчатые кости.
Поражаемый возраст любой.
90. Гемангиома
91. Гемангиоматоз
92. Гемангиома позвонка
93. Гемангиома позвонка
Имеет почти
патогномоничную
картину – вертикальную
ячеистость тела.
На следующем слайде
– комплексное лучевое
исследование, включая
прямое
контрастирование
гемангиомы
(интраветебральная
флебография)
94. Гемангиома позвонка
95. Гемангиоматоз черепа
Такая редкая
нетипичная
картина может
быть принята за
метастатическое
поражение
костей свода
черепа или
миелому.
Гемангиома позвоночника

Гемангиома позвоночника является доброкачественной опухолью, которая развивается в теле позвонка, при этом в мозговом веществе происходит избыточная пролиферация кровеносных сосудов. Эта опухоль, как правило, развивается в нижне - грудном или верхне-поясничном отделах позвоночника. Как правило, гемангиома бывает в одном позвонке. Гемангиома позвонков встречается достаточно часто и отмечается почти у 10% процентов населения. Чаще всего гемангиома обнаруживается случайно и протекает она бессимптомно. Гемангиома чаще встречается у взрослых и редко у детей. Эти образования, как правило, считаются венозными мальформациями тел позвонков.
Причины
Точные причины этого заболевания неизвестны, но было отмечено, что генетическая предрасположенность может быть определяющим фактором. Было проведено много исследований для того, чтобы понять, что может быть точной причиной возникновения гемангиом. Некоторые исследования указывают на возможность локальной тканевой гипоксии, в то время как другие утверждают, что большую роль оказывает повышенное количество эстрогена, циркулирующего после рождения (возможно, поэтому гемангиомы в 3-5 раз чаще встречаются у женщин, чем у мужчин).
Как уже отмечалось, эта опухоль часто протекает бессимптомно. Патологоанатомические исследования показали, что гемангиомы встречаются в 10-12 % случаев и никак себя не проявляли в течение жизни. Тем не менее, некоторые люди могут испытывать боль. Вероятной причиной этой боли является большой размер гемангиомы, которая может включать все тело позвонка. Также может быть коллапс и снижение высоты позвонка, если опухоль большого размера и это тоже может быть источником боли. Возможен также выраженный коллапс позвонка, и в таких случаях происходит компрессия близлежащих нервных структур, что клинически будет проявляться болью, онемением или слабостью в конечностях, нарушением функции мочевого пузыря или кишечника.
Иногда гемангиома может выпирать за пределы позвонка и это будет причиной болевых проявлений. Кроме того, большая гемангиома может привести к компрессионному перелому позвонка при физической нагрузке из-за истонченной стенки, что может быть причиной кровоизлияния или кровотечения. Болевой синдром при наличии гемангиомы может появиться у беременных из-за увеличенной нагрузки на позвонки.
Симптомы
Первичная доброкачественная опухоль чаще всего встречается в грудном и поясничном отделах позвоночника. Так что, в зависимости от локализации гемангиомы будет и соответствующая симптоматика. Этот тип опухоли обычно поражает тело позвонка, но может захватывать и окружающие мышцы. Это наиболее часто бывает у пациентов в возрасте от 30 до 50 лет, что необходимо иметь ввиду. Гемангиома это вид опухоли, которая имеет очень мало симптомов. На самом деле, эта опухоль обнаруживается при исследовании отдела позвоночника в связи с другим заболеванием. Симптомы гемангиомы не специфичны и зависят от локализации размера и агрессивности опухоли. Пациенты, у которых есть симптомы, как правило, в возрасте старше сорока лет. В таких случаях у пациентов могут отмечаться небольшие переломы позвонков. Если есть выбухание опухоли в спинномозговой канал то это может привести к компрессии нервов, что, в свою очередь, может привести к боли, онемению или нарушению в функции органа, который иннервируется компримированным нервом. Такая же симптоматика может быть при больших опухолях или сосудистых аномалиях с вовлечением всего тела позвонка. Диагностика гемангиомы осуществляется в основном с помощью МРТ. Рентгенография же позволяет увидеть характерный сотовый характер повреждения позвонка и возможно снижение высоты позвонка.
Лечение
Варианты лечения варьируют в диапазоне от наблюдения с помощью МРТ до хирургической резекции. Выбор метода лечения зависит от тяжести симптомов и неврологической симптоматики.
Как только гемангиома обнаружена, эти пациенты должны проходить регулярные обследования, чтобы диагностировать наличие компрессионных переломов, неврологических дисфункций, или распространение в мягкие ткани. Если боль и другие симптомы возникают в связи с кровоизлиянием или по другой причине, лечение будет зависеть от степени кровотечения и тяжести неврологических симптомов. Размер и расположение гемангиомы также будут определять метод лечения.
Эмболизация является одним из наиболее доступных методов лечения. При этой процедуре, крошечный катетер вводится в полость гемангиомы и заливается специальный пенообразующий раствор, такой как поливиниловый спирт. Этот материал попадает в кровоточащее место и происходит остановка кровотечения за счет образования эмбола.
Наиболее распространенным методом лечения гемангиом является лучевая терапия, при которой используется мощное рентгеновское излучение, которое уничтожает клетки опухоли. Исследования показали, что высокие дозы лучевой терапии позволяют не только остановить рост опухоли, но и значительно снизить болевые проявления.
При компрессии спинного мозга сопровождающейся болями нарушением моторных функций может потребоваться хирургическое удаление гемангиомы. В случаях, когда выполняется частичное удаление опухоли, лучевая терапия необходима в качестве дополнительного лечения. Хирургическое лечение также чаще применяется у детей из-за вредного воздействия радиоактивного излучения на растущий организм.
Наличие боли в позвоночнике при гемангиоме и неврологические симптомы являются признаками того, что лечение необходимо, Если симптомы нарастают быстро, то рекомендуется оперативное лечение. Однако если симптомы развиваются медленно, лучевая терапия или эмболизация считаются лучшими вариантами.
Ранняя диагностика и лечение гемангиом позвоночника с симптоматикой является необходимым для предупреждения стойкой и необратимого неврологического дефицита. Различные варианты лечения, такие как хирургическая декомпрессия, эндоваскулярная эмболизация, лучевая терапия и введение чистого спирта или метилметакрилата, или любое сочетание этих методов, должно быть адаптировано к конкретному пациенту. Транспедикулярная чрескожная инъекция чистого спирта под контролем КТ для лечения симптоматических гемангиом позвоночника является новым, простым, безопасным и эффективным методом для быстрого уменьшения компрессии и деваскуляризации гемангиомы. Необходимо дальнейшее наблюдение за пациентом, которое позволит оценить эффективность процедуры и обнаружить возможные осложнения или рецидивы.
Использование материалов допускается при указании активной гиперссылки на постоянную страницу статьи.
Гемангиомы в костях что это такое?

Довольно часто гемангиомы становятся случайной находкой при магнитно-резонансной томографии (МРТ) или спиральной компьютерной томографии (СКТ) позвоночника, костей черепа при исследовании головного мозга, в костях суставов, да и практически в любой кости человеческого организма. Что же такое гемангиома? Как проявляется гемангиома? Как диагностировать гемангиому? Чем лечить гемангиому?
Гемангиома
Чаще всего встречается у людей среднего и пожилого возраста (30-65 лет). Статистически чаще диагностируется у женщин. Различают гемангиому, которая происходит из сосудов красного костного мозга и гемангиоматоз – нарушение развития сосудов костей, кожи, внутренних органов (чаще всего печень). Гемангиомы обнаруживаются чаще всего в позвонках и в черепе, в остальных отделах сравнительно редкая находка.
Как проявляется гемангиома
Все зависит от локализации. Если она локализуется в позвонках (их телах) позвонков, то может быть причиной компрессионного патологического перелома позвонка, что сопровождается увеличением угла кифоза позвоночника (патологический изгиб), болью различной интенсивности (в зависимости от степени перелома). Похожие симптомы могут возникать и без перелома позвонка, если гемангиома развилась в дужке позвонка.
Внутрикостная гемангиома черепа может сопровождаться головной болью, которая обуславливается постоянным раздражением мозговых оболочек. Иногда можно нащупать на черепе небольшую довольно плотную выпуклость – в этом случае безотлагательно посетите специалиста и пройдите назначенную диагностику. В АЦМД-Медокс успешно диагностируются гемангиомы любой локализации при помощи МРТ и СКТ.
Что происходит при росте гемангиомы
В кости соответственно костно-мозговых полостей развивается кавернозная гемангиома. Она состоит из полостей, которые заполнены кровью. Часть расположенных в гемангиоме костных балок рассасывается, а часть наоборот – уплотняется и составляет «каркас» гемангиомы.
Диагностика гемангиомы
При помощи рентгена: довольно слабо. Диагностированию поддаются в основном уже крупные гемангиомы или те, которые деформируют внешний контур кости.
При помощи спиральной компьютерной томографии (СКТ): диагностирует в большинстве случаев. На срезах хорошо видна опухоль, ее «сетчатая» структура, хорошо различаются утолщенные костные балки, уплотнение кости по контуру гемангиомы.
При помощи магнитно-резонансной томографии (МРТ): в наиболее часто встречаемых случаях. На МРТ-сканах гемангиома, как и многие другие сосудистые структуры, дает отличный от костного МР-сигнал. Интенсивность сигнала зависит от скорости кровотока в самой гемангиоме.
Если гемангиома привела к компрессионному перелому тела позвонка, то установить диагноз уже совсем не сложно. При помощи СКТ и МРТ после компрессионного перелома пораженного гемангиомой тела позвонка можно выявить небольшую гематому, которая деформирует соседние структуры и даже спинной мозг.
Лечение гемангиомы
Все зависит от локализации. Для лечения гемангиом применяется лучевая терапия или хирургическое вмешательство, но в большинстве случае при неосложненной гемангиоме – ее наблюдают. К активным действиям обращаются только в случае ее резкого роста, малигнизации (превращение в злокачественную опухоль) или при угрозе перелома кости.
Менингиома: причины, диагностика и лечение
Менингиома — доброкачественная опухоль головного мозга и позвоночника, развивается из паутинной оболочки, окружающей нервные структуры. Составляет четвертую часть всех первичных новообразований мозга. Достаточно редко встречаются ее злокачественные формы — по разным данным 10-15% от всех выявленных случаев.
менингиома
Менингиома — доброкачественная опухоль головного мозга и позвоночника, развивается из паутинной оболочки, окружающей нервные структуры. Составляет четвертую часть всех первичных новообразований мозга. Достаточно редко встречаются ее злокачественные формы — по разным данным 10-15% от всех выявленных случаев.
Чаще всего менингиома является единичной опухолью, значительно реже диагностируют множественные опухоли, растущие из разных очагов и располагающиеся в разных зонах спинного или головного мозга.
Факторы риска
Точные причины развития опухоли неизвестны. Существуют факторы риска, которые могут привести к заболеванию:
- Возраст старше 40 лет. Чаще всего опухоль в головном или спинном мозге появляется в возрасте от 40 до 70 лет.
- Женский пол. Риск развития заболевания у женщин в 3 раза выше, что связано с влиянием на рост менингиомы женских половых гормонов. Однако у мужчин чаще встречаются злокачественные варианты опухоли.
- Ионизирующее излучение в высоких дозах, которое способствует возникновению различных внутричерепных опухолей. По последним исследованиям рост может спровоцировать и низкодозовое облучение.
- Генетические заболевания. Например, нейрофиброматоз 2 типа.
- Черепно-мозговые травмы или травмы позвоночника.
Симптомы менингиомы
Менингиома головного мозга и позвоночника, как и большинство доброкачественных опухолей, отличается медленным ростом и иногда протекает без выраженных симптомов. Бывает так, что опухоль становится случайной находкой во время МРТ или КТ головы.
Несмотря на доброкачественность, образование нарушает работу головного мозга.
Ее проявления разделяют на общемозговые, вызванные повышением внутричерепного давления, а также местные, возникающие при давлении опухоли на различные анатомические структуры головного или спинного мозга.
Среди общемозговых симптомов часто встречаются следующие:
- Головная боль, которая постепенно становится сильнее, обостряется ночью.
- Нарушение зрения, в частности двоение и потеря его остроты.
- Тошнота и рвота.
- Нарушение памяти, изменение психики.
- Эпилептические припадки.
- Слабость в руках или ногах, чаще с одной стороны.
- Головокружения, нарушения координации.
Основные признаки при различных локализациях опухоли:
- Односторонняя или двусторонняя слепота — при поражении бугорка турецкого седла.
- Нарушение обоняния и нарушения психики — при риноольфакторной форме.
- Слабость в ногах и нарушение мочеиспускания — симптом парасагитальной опухоли парацентральных локализаций.
- Глазодвигательные нарушения и двоение в глазах — при поражении крыла основной кости.
- Один глаз выпирает наружу (экзофтальм) — при новообразовании орбиты глаза.
- Нарушения речи и слуха — при локализации в височной доле.
- Слабость в руках и ногах — при опухоли в области большого затылочного отверстия.
Из-за многообразия симптомов часто возникают затруднения с постановкой диагноза. У пожилых пациентов проявления опухоли иногда связывают с возрастными изменениями мозга.
Классификация менингиом
В подавляющем большинстве случаев менингиома представляет собой доброкачественную опухоль, однако, возможны и злокачественные варианты.
Согласно действующей классификации ВОЗ, существует три типа менингиом:
- Grade-1 — 1-я степень злокачественности, составляет 94,5 % от всех случаев. Это доброкачественные, медленно растущие образования, не поражающие окружающие ткани. Характеризуются благоприятным прогнозом и низкой частотой рецидивов.
- Grade-2 — 2-я степень злокачественности, 4,7 % случаев. Характеризуются более агрессивным и быстрым ростом, высокой частотой рецидивирования и менее благоприятным прогнозом.
- Grade-3 — 3-я степень злокачественности, 1% случаев. Злокачественные новообразования с неблагоприятным прогнозом, высокой частотой рецидивирования, быстро растущие и вовлекающие окружающие ткани мозга в процесс.
Методика лечения опухолей головного и спинного мозга, а также прогноз выживаемости зависят от степени злокачественности, расположения и размера.
Диагностика менингиомы
Диагноз ставится по данным КТ, МРТ или ПЭТ/КТ. МРТ с контрастом считается наиболее информативным методом для обнаружения доброкачественных менингиом позвоночника и головного мозга. Оно позволяет увидеть взаимоотношение опухоли с окружающими тканями и оценить состояние сосудов. КТ выявляет до 90% опухолей, показывает изменения костей и кальцинаты в новообразовании.
ПЭТ/КТ применяют для обнаружения злокачественных форм, обследование помогает оценить скорость обмена веществ в опухоли, а значит определить вероятность ее злокачественного перерождения.
Нужна дополнительная информация по ПЭТ КТ диагностике? Получите бесплатную консультацию наших специалистов
Лечение менингиомы
Существует несколько методов лечения заболевания:
- хирургическое удаление менингиомы — оперативное лечение позволяет удалить опухоль, но может быть травматичным для пациента. Исход операции зависит от близости новообразования к жизненно важным структурам головного мозга. При доброкачественных формах, как правило, удается добиться полного излечения.
- классическая лучевая терапия — малоэффективна для лечения опухоли. При ее использовании могут повреждаться соседние участки головного мозга и спинной мозг при новообразованиях позвоночника. Иногда используется совместно с хирургическим удалением, чтобы разрушить очаги в неоперабельных зонах или снизить риск рецидива.
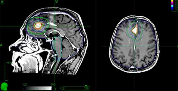
- лучевая терапия на установке Кибер-Нож — современный и малотравматичный метод лечения образований размером до 3.5-4 см. На опухоль воздействуют направленным потоком ионизирующего излучения. Окружающие ткани при этом практически не повреждаются.

Лечение менингиомы. Этапы подготовки мишени для облучения на системе "Кибер-нож”
Кибер-Нож позволяет удалить опухоль без боли и повреждения важных структур мозга. Процедура проводится в амбулаторных условиях без госпитализации пациента, после терапии пациент сразу может ехать домой. В ПЭТ-центре план лечения составляется врачами радиологом и онкологом, что позволяет выбрать наиболее эффективную тактику для конкретного пациента.
Лечение на Кибер-Ноже в Уфе доступно не только для жителей региона, но и для иногородних и иностранных пациентов — для них разработаны специальные программы.
Остались вопросы по лечению на Кибер-ноже? Вы можете получить бесплатную консультацию наших специалистов.
Последствия и прогноз
В случае, когда у пациента была выявлена доброкачественная менингиома без прорастания в окружающие ткани, ее удаление часто означает полное выздоровление. Выживаемость пациентов в течение 5 лет составляет около 70-90%.
Однако даже доброкачественные образования могут рецидивировать в 3% случаях. Атипичные — рецидивируют в 38% случаях, злокачественные — в 78%. Тяжесть последствий зависит от размеров, расположения и злокачественности опухолевого очага.
ДОБРОКАЧЕСТВЕННЫЕ ОПУХОЛИ КОСТЕЙ. ОБЗОР ЛИТЕРАТУРЫ
Представлен обзор литературы, посвященный вопросам классификации, эпидемиологии, клинической картины, локализации, диагностики и лечения наиболее часто встречающихся доброкачественных опухолей скелета. Доброкачественные опухоли опорно-двигательной системы - важнейшее направление в клинической онкологии. Актуальность рассматриваемой проблемы обусловлена, прежде всего, весьма молодым и, как следствие, наиболее социально значимым контингентом больных, страдающих данной патологией. Возраст более 70% пациентов с опухолями костей и мягких тканей - до 30 лет, 30% из них - это дети до 15 лет. При этом в структуре онкологических заболеваний костные опухоли составляют 1-4%. Диагностика и выбор оптимальной лечебной тактики данных новообразований возможны лишь при условии мультидисциплинарного подхода.
Ключевые слова
Полный текст
В конце ХХ века оформилась самостоятельная наука - онкоортопедия, вобравшая в себя последние достижения травматологии, ортопедии, онкологии, общей и сосудистой хирургии, неврологии и нейрохирургии [1, 16]. Данное направление начало формироваться в 60-х годах XX века на стыке уже сложившихся хирургии, ортопедии и бурно развивающейся химиотерапии. Успехи химиотерапии позволили выполнять органосохраняющие операции больным с первичными и метастатическими опухолями костей. Весомый вклад в становление дисциплины внесли такие выдающиеся ученые, как В. Енекинг, Д. Юинг, Д. Коли, М. Кампаначи, В. Винкельман, Р. Коц и др. [2, 14]. Родоначальниками онкоортопедии в России стали академик М.В. Волков, профессор С.Т. Зацепин, профессор Н.Е. Махсон, академик Н.Н. Блохин, академик Н.Н. Трапезников, академик Ю.Н. Соловьев, профессор В.Д. Чаклин и др. [3, 32]. Термин «онкоортопедия» в России стал применяться благодаря академику РАН профессору М.Д. Алиеву - основоположнику внедрения инновационных высокотехнологичных методов лечения костной патологии, давших возможность значительно расширить объем ортопедической помощи онкологическим больным. Видимый прогресс в лечении опухолей костей стал возможным благодаря объединению таких специалистов, как ортопед, хирург, анестезиолог, морфолог, химиотерапевт, лучевой терапевт и радиолог. Главным условием оперативного лечения является соблюдение принципа онкологической радикальности при достижении высокого функционального результата [16]. Цель исследования: обобщение и структурирование материалов о клинике, диагностике и лечении наиболее часто встречающихся доброкачественных новообразований костей. Опухоль - это вид нерегулируемой клеточно-тканевой пролиферации. Опухоли опорно-двигательной системы - один из труднейших в диагностическом и лечебном аспектах направлений клинической онкологии. Костные опухоли значительно хуже изучены, чем иные новообразования. Данный факт объясняется трудностью диагностики, недостаточной онкологической настороженностью в рамках костной патологии [21, 33, 36]. К опухолям костей и мягких тканей относятся все неэпителиальные опухоли, исключение составляют новообразования из ретикулоэндотелиальной ткани. Возраст большинства больных (до 72%) с опухолями костей и мягких тканей - до 30 лет, при этом 30% приходится на детей до 15 лет. Наиболее часто костные опухоли поражают конечности. В среднем частота опухолей костей составляет 3 на 100000 населения в возрасте до 15 лет. В возрасте 30-50 лет этот показатель снижается до 0,2 на 100000 населения, затем к 60 годам снова возрастает. Как правило, первичными опухолями костей страдают люди молодого и среднего возраста. Прослеживается тенденция к преобладанию метастатических поражений костей в старших возрастных группах с их соотношением к первичным опухолям 10:1. В общей структуре опухолевых заболеваний костные новообразования составляют 1-4%. Доброкачественные опухоли наиболее часто поражают длинные трубчатые кости и кости таза [6, 10]. В настоящее время предпочтительным считается использование международной классификации первичных опухолей скелета, утвержденной в 1998 г. остановимся подробнее на классификации доброкачественных опухолей костей. Международная классификация первичных доброкачественных опухолей скелета [16] I. Костеобразующие опухоли: остеома, остеоид-остеома и остеокластома (доброкачественная остеобластокластома). II. Хрящеобразующие опухоли: хондрома, остеохондрома, хондробластома (эпифизарная хондробластома), хондромиксоидная фиброма. III. Гигантоклеточная опухоль (остеокластома). IV. Сосудистые опухоли: гемангиома, лимфангиома, гломусная опухоль (гломангиома). V. Другие соединительные опухоли: доброкачественная фиброзная гистиоцитома, липома. VI. Прочие опухоли: нейролемомма и нейрофиброма. VII. Опухолеподобные поражения: солитарная киста (простая или однокамерная), аневризмальная костная киста, юкста-артикулярная костная киста (внутрикостный ганглион), метафизарный фиброзный дефект (неоссифицирующая фиброма), эозинофильная гранулема (солитарная), «оссифирующий миозит», «бурая опухоль» гиперпаратиреоидизма, внутрикостная эпидермальная киста, гигантоклеточная (репаративная) гранулема кистей и стоп. Рассмотрим подробнее наиболее часто встречающиеся доброкачественные новообразования мягких тканей, костей и суставных хрящей. Остеомы - самые зрелые и дифференцированные среди доброкачественных опухолей костной ткани. Остеома составляет 9,5% от всех костных опухолей. Выделяют следующие виды остеом: 1) губчатая остеома; 2) остеома из губчатого или коркового вещества, с заполненными костным мозгом полостями; 3) остеома из компактного костного вещества. Для компактной остеомы характерно поражение плоских костей (кости черепа). Остальные виды, как правило, локализуются на длинных трубчатых костях, предпочтительно на бедренной и плечевой. Для остеомы свойствен одиночный характер [18, 29]. В основном остеомы отличаются благоприятным течением. Важным клиническим признаком наличия опухоли является боль, возникающая вследствие компрессии нервного ствола или сосудистого пучка. Как правило, клинические проявления зависят от роста и распространения опухоли на соседние структуры [8]. При физикальном обследовании остеома определяется в виде твердого несмещаемого образования, покрытого неизмененной кожей. Рентгенологически обнаруживается однородное полушарие, по структуре немного плотнее нормальной костной ткани [7]. При гистологическом исследовании отмечается нарушение костной архитектоники, сужение сосудистых каналов, практически полное отсутствие каналов остеонов [9, 41]. Лечение данных опухолей исключительно хирургическое. Показаниями к оперативному вмешательству могут быть как эстетические нарушения, так и клинические симптомы, вызываемые сдавлением соседствующих с опухолью анатомических структур. Производится хирургическая нивелировка пораженного участка [4]. Остеоид-остеома является истинно доброкачественной опухолью. Ее частота составляет 3-10% от всех случаев первичных доброкачественных новообразований скелета. В основном данный вид опухоли встречается у молодых людей в возрасте до 25 лет. После 40 лет остеоид-остеомы наблюдаются крайне редко. Чаще всего локализуются на диафизах трубчатых костей (бедренная, большеберцовая, плечевая кость), реже - в локтевой, пяточной и таранной костях. В костях черепа, грудины, ключице, фалангах пальцев остеоид-остеома не развивается [24, 35]. Случаев озлокачествления данного новообразования не наблюдается. Клинически опухоль проявляется ноющими болями, усиливающимися по мере роста и развития новообразования, также возможно нарушение походки, ограничение движений в суставах, наличие припухлости [38]. Рентгенологическая картина является патогномоничной для данного вида опухоли: на фоне асимметрично диффузно утолщенного кортикального слоя определяется полость до 1,0 см в диаметре с плотным ядром внутри - “нидус”. На современном этапе одним из самых информативных диагностических методов является компьютерная томография [7, 20]. Гистологическим признаком остеоид-остеомы является наличие очага костной резорбции с тканью, содержащей значительное количество остеобластов и остеокластов [9, 24, 35]. Оперативное вмешательство является единственным методом лечения данного вида опухоли. При этом оптимальной считается резекция кости с единовременным удалением очага опухоли и окружающей его зоны склероза. После радикального удаления остеоид-остеомы происходит полное выздоровление [11, 38]. Доброкачественная остеобластома («гигантская остеоид-остеома», остеогенная фиброма, доброкачественная остеобластокластома). Заболеваемость данной нозологической формой колеблется около 1 % от общей заболеваемости доброкачественными новообразованиями скелета. Как правило, поражает позвоночник (50-60 % случаев), преимущественно отростки позвонка с переходом на тело. Опухолевому процессу также подвергаются диафизы длинных трубчатых костей [15, 16]. Прогноз благоприятный. Клинически опухоль проявляется постоянными ноющими болями в проекции очага поражения. Кожный покров обычной окраски, не изменен. При локализации опухоли в позвоночнике возможно присоединение неврологической симптоматики на стороне поражения. При осмотре может быть выявлено локальное одностороннее напряжение паравертебральных мышц, асимметрия треугольников талии и лопаток, что может потребовать дифференциальной диагностики со сколиозом данного отдела позвоночника. При локализации доброкачественной остеобластомы в длинных трубчатых костях определяется атрофия, снижение мышечной силы на стороне поражения. При околосуставной локализации часто определяются признаки синовита, тугоподвижности в смежных сегментах [28]. На рентгенограммах визуализируется умеренное склерозирование кости с очагом остеолизиса неправильной формы до 20 мм в диаметре. При прогрессировании заболевания процесс склерозирования начинает преобладать. Периост остается интактным [8]. При гистологическом исследовании операционного материала определяются многочисленные мелкие взаимосвязанные остеоидные костные балки, частично оссифицированные и хорошо васкуляризированные. Отмечается присутствие остеобластов [41]. Лечение доброкачественной остеобластокластомы хирургическое. Оперативное вмешательство преследует цель краевой резекции пораженного участка [6]. Хондрома - это доброкачественная опухоль, характеризующаяся образованием хорошо дифференцированной хрящевой ткани, нередко с очагами обызвествления и окостенения. Это самая часто встречающаяся доброкачественная костная опухоль - до 38% от всех опухолей скелета. Возрастная группа - от 20 до 40 лет [12, 13]. Выделяют следующие виды: 1) энхондрома; 2) экхондрома; 3) периостальная или юкстокортикальная. Энхондрома встречается чаще других, располагается внутри костномозгового канала, не выходя за границы кортикального слоя кости. Экхондромы локализуются в наружном отделе кости, а периостальная хондрома плотно прилежит к надкостнице, располагаясь вне кости. Чаще других поражаются короткие трубчатые кости стопы и кисти [37]. Данная опухоль обладает потенциалом к озлокачествлению (до 32% наблюдений), трансформируясь в хондросаркому. Также существует риск возникновения патологического перелома при выраженной деструкции кости. Клиническое течение бессимптомное, часто определяется как случайная находка при рентгенографии после травмы [22]. На рентгенограммах визуализируется деформированная и «вздутая» кость, определяется нарушение толщины кортикального слоя и наличие негомогенного опухолевого очага [7, 40]. При гистологическом исследовании энхондромы определяются клетки гиалинового хряща дольчатого строения. Вокруг долек локализуется нормальный костный матрикс. Отмечаются некротические участки [9, 13]. Лечение хирургическое, прогноз благоприятный. Оперативное вмешательство преследует цель краевой резекции пораженного участка с пластикой дефекта ауто- или аллотрансплантатом [22, 37]. Остеохондрома (костно-хрящевой экзостоз, экзостоз) - опухолеподобное поражение кости, представляющее собой вырост костной ткани, покрытый хрящевой оболочкой. Чаще всего выявляется у лиц молодого возраста от 10 до 25 лет. Отмечена корреляция возникновения остеохондромы с воздействием ионизирующего излучения. Типичной локализацией являются метафизарные отделы длинных трубчатых костей, также встречаются в позвоночнике, костях таза и стоп. Исключение составляют кости лица [34]. Данная опухоль обладает потенциалом к озлокачествлению. Вероятность составляет 1-2 % случаев. Клиническое течение - бессимптомное, часто экзостоз определяется как случайная находка при рентгенографии. Болевой синдром в проекции образования проявляется лишь при формировании слизистой сумки, выстланной синовиальной оболочкой, просвет которой заполнен хрящевыми тельцами [16]. При рентгенографии визуализируется образование костной плотности чаще на «ножке», реже на широком основании [19]. При гистологическом исследовании определяется хрящевая «шапочка» с фиброзной тканью надкостницы переходящая в подлежащий неизмененный гиалиновый хрящ [9, 41]. Лечение остеохондромы хирургическое. Прогноз благоприятный. Оперативное вмешательство преследует цель краевой резекции пораженного участка [34]. Хондробластома (эпифизарная хондробластома, опухоль Кодмана) - доброкачественная опухоль, характеризующаяся эксцентричным остеолитическим поражением эпифизов длинных трубчатых костей. Частота встречаемости данного новообразования составляет около 1% среди всех доброкачественных новообразований скелета. Преимущественно данная опухоль диагностируется у людей второго-третьего десятилетия жизни [25, 26]. У 1 % случаев хондробластом выявлена тенденция к озлокачествлению и агрессивной остеолитической активности. Клинические проявления - умеренная боль, нарастающая после физической нагрузки прилежащего сустава. Может отмечаться некоторое ограничение объема движений, незначительная припухлость в проекции поражённой кости. Степень проявлений напрямую зависит от близости к суставу и степени деструкции костной ткани [16, 18]. При анализе рентгенограмм отмечается отграниченный зоной склероза негомогенный (мелкие обызвествления и трабекулярность) очаг остеодеструкции с участками краевого некроза, деформированный, истонченный кортикальный слой кости [11, 21]. При гистологическом исследовании определяются незрелые округлые хрящевые клетки со светлым крупным ядром, среди них встречаются гигантские остеокластоподобные клетки, в матриксе - элементы обызвествления [9, 25]. Лечение хирургическое - экскохлеация опухоли с ауто- или гомопластикой дефекта [5, 26]. Хондромиксоидная фиброма - это доброкачественная хрящеобразующая опухоль. Встречается относительно редко и составляет до 0,5% от всех случаев костных новообразований. Как правило, локализуется в метадиафизарных отделах длинных трубчатых костей, преимущественно в проксимальном отделе большеберцовой кости (60%) [23, 27]. Прогноз благоприятный. В 10-15 % встречается продолженный рост, который требует повторного вмешательства. Клинические проявления определяются близостью новообразования к близлежащему суставу. Распространены жалобы на боль, локальную отечность, ограничение объема движений. При осмотре иногда выявляется локальная мышечная гипотрофия [27]. Рентгенологически определяется однородный деструктивный очаг неправильной округлой формы с ячеистой структурой и фестончатыми краями остеосклероза [9, 23]. Метод лечения преимущественно хирургический и состоит в широком иссечении патологического очага и кюретаже костной полости [16]. Гигантоклеточная опухоль (остеокластома, остеобластокластома) - опухоль, происходящая из мезенхимальных клеток. Излюбленной локализацией новообразования являются метаэпифизарные зоны длинных трубчатых костей (до 75% случаев остеокластом), с преимущественным поражением проксимального отдела большеберцовой кости или дистального отдела бедренной кости [17]. Остеокластому подразделяют на доброкачественные формы (10-15%), первично-злокачественные (30-40%) и малигнизированные формы (вторично-злокачественные). Частота встречаемости колеблется от 5 до 11%. Пик заболеваемости приходится на третье десятилетие жизни. Женский пол поражается чаще [30]. Гигантоклеточная опухоль характеризуется длительным медленным ростом. Нарушение функции сустава определяется объемом и близостью опухоли к суставной щели. Болевой синдром прогрессирует с ростом новообразования [20, 31]. При рентгенологическом исследовании гигантоклеточной опухоли выявляется литический компонент, опухоль истончает и разрушает кортикальный слой. Очаг деструкции нечетко очерчен в эпифизе (эпиметафизе) с постепенным распространением на метадиафиз [7, 31]. Гистологическое строение опухоли имеет схожие черты с аневризматической костной кистой. Отмечается выраженная периостальная реакция, визуализируемая в виде обызвествленного ободка («яичной скорлупы»). Патогномоничным признаком является наличие большого количества диффузно расположенных гигантских клеток. Также характерной особенностью гигантоклеточных опухолей является большое количество митозов [9, 30]. Лечение предпочтительно проводить хирургическое. Оптимальным объемом вмешательства является резекция пораженного участка с максимальным сохранением конечности. При отсутствии возможности хирургического лечения гигантоклеточных опухолей используют лучевую терапию, которая способствует уменьшению опухоли в размере и склерозированию очага. Однако отмечается высокий риск рецидивирования гигантоклеточной опухоли после проведенной лучевой терапии - 60% [4, 5, 17]. Неоссифицирующая фиброма (метафизарный фиброзный дефект) - это не истинная опухоль, а кортикальный дефект кости, сформировавшийся в результате оставшегося участка ростковой зоны. В основном наблюдается у детей старшего возраста и подростков до 20 лет. Наиболее часто неоссифицирующая фиброма локализуется в метафизах костей нижних конечностей. В большинстве случаев активная симптоматика отсутствует, лишь изредка возможно возникновение ноющих болей в кости [10, 39]. На рентгенограммах отмечается краевой дефект участка кости с фестончатыми контурами, ограниченным замыкающей пластинкой. Лечение неоссифицирующей фибромы обычно не требуется. Возможно наступление спонтанного излечения за счет закрытия ростковых зон. Ортопедические вмешательства необходимы лишь в случае выраженного истончения кости или ее перелома [19, 39]. Заключение Доброкачественные опухоли мягких тканей, костей и суставных хрящей представляют собой обширную группу новообразований со специфической клинической, рентгенологической и гистологической картиной. Распознавание костных опухолей является весьма трудной задачей в онкоортопедии. Безусловно, в значительной степени облегчает данную задачу рентгенологический метод - базовый в дифференциальной диагностике опухолей с другой патологией, общедоступный в учреждениях здравоохранения. Для верификации диагноза также невозможно обойтись без гистологического исследования, на его основании выставляется окончательный диагноз. Основным методом лечения доброкачественных опухолей мягких тканей, костей и суставных хрящей по-прежнему является хирургический. Несмотря на это, регистрируются случаи послеоперационных рецидивов, также велик риск малигнизации некоторых видов новообразований. Все вышеперечисленное свидетельствует о том, что до конца нерешенными остаются вопросы о достоверной диагностике данных новообразований и оптимальной лечебной тактике при опухолевом процессе мягких тканей, костей и суставных хрящей.
Читайте также:
