Акт жевания при дистальном прикусе. Динамометрия у детей
Добавил пользователь Евгений Кузнецов Обновлено: 02.11.2025
Миогимнастика - это один из профилактических и лечебных методов при нарушениях развития зубочелюстной системы. По словам специалистов, метод получил в ортодонтии широкое распространение не только в качестве самостоятельного процесса, но и в сочетании с прочими методами лечения и профилактики аномальных случаев развития зубочелюстной системы. Миогимнастика используется для коррекции дефектного прикуса в детской стоматологии.
Что называют миогимнастикой
Миогимнастика в области ортодонтии - это результативный метод коррекции и профилактики аномалий развития зубочелюстной системы при помощи лечебной физической культуры. Специалистами был разработан комплекс особых упражнений для восстановления функций мышц в ротовой полости, которыми окружен каждый из зубных рядов.
Перед началом лечебных манипуляций необходимо провести оценку функционального состояния челюстей и зубов пациента, например, при помощи жевательной пробы по И. С. Рубинову.
Лечебный принцип миогимнастики состоит в тренировке мышц, способствующей их правильному функционированию. Существуют следующие области применения лечебной гимнастики:
- До начала ортодонтического лечения
- В сочетании с ортодонтическим лечением аномалий прикуса
- В качестве самостоятельного лечения
- После окончания лечения для предупреждения повторного появления недуга и закрепления результата
Помните, что использовать упражнения миогимнастики без консультации специалиста не рекомендуется, так как при разных причинах развития зубочелюстных аномалий необходимо применять различные комплексы упражнений. Только доктор может назначать подходящий комплекс миогимнастики с целью устранения каждого конкретного дефекта.
Тренировка и разминка круговой мышцы рта особенно важна при наличии межгубного зияния и ротового дыхания.

Эффективность миогимнастики
Эффективность лечебной гимнастики зависит от регулярности и качества выполнения пациентом комплекса упражнений, а также от степени выраженности зубочелюстной аномалии. При помощи упражнений можно добиться прекрасных результатов у детей в возрасте 4-7 лет с молочным прикусом, так как им достаточно легко объяснить, какое именно действие от них требуется.
В качестве самостоятельного лечебного метода миогимнастика позволяет добиться положительных результатов при наличии аномальных изменений верхних резцов.
Правила проведения миогимнастики
К выполнению упражнений специалисты предъявляют следующие правила и требования:
- Необходимость следить за интенсивностью мышечных сокращений - она должна находиться в физиологических пределах
- Достижение максимальной амплитуды мышечных сокращений
- Постепенность наращивания длительности и скорости мышечных сокращений
- Необходимость повторов мышечных сокращений при выполнении упражнений до возникновения чувства несильной усталости
- Необходимость небольших пауз между последовательными мышечными сокращениями
Упражнения миогимнастики могут выполняться с применением специальных аппаратов.
Комплекс упражнений миогимнастики
Специалисты создали немало упражнений и методик для устранения зубочелюстных дефектов.
Миогимнастика при глубоком прикусе
- Упражнение выполняется в положении стоя. Следует поднять подбородок вверх и завести руки по направлению назад. В данном положении необходимо максимально выдвигать вперед нижнюю челюсть, после чего вернуться в изначальное положение. Повтор упражнения - трижды в день по 10-15 раз
- Вышеуказанное упражнение через месяц необходимо усложнить. При выдвигании нижней челюсти следует передние нижние зубы выталкивать перед передними верхними зубами
- Упражнение по И. С. Рубинову, сводящееся к дозированному проведению гимнастики, например, открывание-закрывание рта, нижнюю челюсть выдвигать при этом не нужно. Подобные упражнения должны длиться от 3 до 5 минут, повтор подходов - 5 раз в день
Миогимнастика при открытом прикусе
Здесь применяются приемы для тренировки поднимающих нижнюю челюсть мышц:
- Выполняется сжимание-разжимание челюстей. Контролировать силу сжатия зубов и мышечных сокращений можно при помощи пальцев, которые необходимо прижимать около коренных зубов к щекам, надавливая на жевательные мышцы. Данное упражнение выполняется до появления ощущения утомления жевательных мышц
- Вышеуказанное упражнение необходимо усложнить, дополнив сопротивлением. Это достигается таким образом: нужно блокировать возможность поднятия нижней челюсти при помощи среднего и указательного пальца на правой руке, которые следует расположить на передних нижних зубах;
- Следует надеть резиновую трубку на карандаш и прикусывать его нижней челюстью
Миогимнастика при недоразвитии круговой мышцы рта
Тренировка и разминка круговой мышцы рта особенно важна при наличии межгубного зияния и ротового дыхания. Лечебные упражнения способствуют правильному развитию контуров рта и удлинению верхней губы. Успешные занятия миогимнастикой для мышечной тренировки, по словам специалистов, устраняют вероятность развития наклона резцов верхней челюсти.
Упражнения для коррекции губного смыкания и восстановления работы круговой мышцы рта
- Губы необходимо вытянуть вперед, как при задувании свечи, затем следует растянуть их, как при широкой улыбке. Далее губы следует снова вытянуть вперед, пытаясь одновременно что-либо говорить. Удерживаем губы в данном положении до полуминуты
- Нужно сильно сжать губы, набрать носом воздух, затем максимально раздуть щеки. Следует давить на них при помощи кулаков для выхода воздуха, не разжимая губ
- Губы сжать, набрать воздух под нижнюю губу, далее - и под верхнюю губу
- Взять полосу из плотного картона и положить между губами. Плотно сжимая ее, удерживать ее от 30 до 50 минут. Для новичков лучше начинать с одной минуты удерживания картона губами, постепенно наращивая длительность упражнения
- В уголках рта расположить мизинцы и слегка растягивать рот, после чего сомкнуть губы
- Валики из ваты средних размеров расположить за верхней и нижней губой с боков от уздечки, сомкнуть губы. В таком положении необходимо произносить звуки м, б и п
- Необходимо дуть на предметы, перемещающиеся в пространстве, например, на мыльный пузырь, перо или ватный кусочек. Эффективно для тренировки круговой мышцы рта
Миогимнастика при наличии мезиального прикуса
- Запрокинув голову назад, необходимо закрывать и открывать рот. При закрытии рта необходимо дотрагиваться до задней части твердого неба с помощью кончика языка
- Совершать подтягивание нижней губы под передние зубы верхней челюсти
- С помощью кончика языка выполнять надавливания на небные поверхности передних верхних зубов до появления ощущения утомления, в течение 3-5 минут
Миогимнастика при косом прикусе
В случае, когда косой прикус вызван смещением нижней челюсти в сторону, специалисты используют следующее упражнение: следует максимально открыть рот и переместить нижнюю челюсть в сторону неправильного зубного смыкания. Далее без смены положения необходимо поднять нижнюю челюсть до смыкания с верхней челюстью. Удерживать данное положение около 5 секунд, после чего опустить челюсть.
Миогимнастика для мышц языка
Специалисты перечисляют следующие упражнения для проведения коррекции смыкания губ:
- «Накажем непослушный язычок»: вытянутый язык следует разместить на нижней губе, а верхней губой нужно словно шлепнуть по нему в попытке быстрого смыкания губ
- «Часики»: плотно сжать губы и выполнять круговые движения языком под нижней и верхней губой по очереди
- «Отбойный молоток»: расположить язык около неба, рот широко раскрыт. Необходимо стараться сомкнуть губы, в момент смыкания издавать звук, напоминающий молоток
- «Красим потолок»: представить, что язык является кистью для покраски, а небо - это потолок. Выполняем «покраску» неба тщательно, не пропуская никаких его зон
Миогимнастика после подрезания уздечки языка
- Необходимо облизывать губы языком, двигаясь в направлении от уголков рта и пытаясь дотянуться языком сначала до подбородка, а после - до кончика носа
- «Пересчет» зубов при помощи языка с внутренней и наружной стороны
- «Всадник»: выполнять прищелкивания языком с широко открытым ртом
- Упираться в каждую из щек по отдельности кончиком языка
- Данный комплекс упражнений специалисты рекомендуют выполнять около 10 раз в день
Миогимнастика для мышц передней части языка
Подобный комплекс упражнений применяется специалистами при инфантильном глотании:
- Удерживать язык столбиком
- Нарезать резинку от пипетки тонкими кольцами, которые следует накладывать на кончик языка. Далее язык поднимать к альвеолам. Прижимая колечко из резины к ним. Сглотнуть без размыкания губ и закрытия рта. Следите за тем, чтобы избежать соскальзывания кольца. После каждого глотательного движения необходимо проверять наличие во рту колечка. Повтор глотаний за раз - до 12, в первый день глотаем 5-6 раз, во второй - 2 раза
- При сжатых зубах прижать язык с кольцом из резины к альвеолам и удерживать его до 5 минут. Постепенно время удерживания увеличивается до 15 минут
Помните, что использовать упражнения миогимнастики без консультации специалиста не рекомендуется, так как при разных причинах развития зубочелюстных аномалий необходимо применять различные комплексы упражнений.
Мезиальный прикус
Мезиальный прикус - аномалия окклюзии, характеризующаяся выдвижением вперед нижнего зубного ряда по отношению к верхнему при сомкнутом положении челюстей. Внешними проявлениями мезиального прикуса служат массивный, выступающий подбородок, вогнутый профиль лица, западающая верхняя губа; ротовые признаки включают мезиальную окклюзию моляров и клыков, прямую или обратную резцовую окклюзию; функциональные изменения - нарушения жевания и речи. Диагностике мезиального прикуса помогают данные антропометрических измерений, телерентгенографии, ортопантомографии, анализа диагностических моделей, рентгенографии ВНЧС. Коррекция мезиального прикуса включает миофункциональную гимнастику, массаж альвеолярного отростка, ортодонтическое лечение.
Общие сведения
Мезиальный прикус - разновидность неправильного прикуса, обусловленная сдвигом нижней челюсти вперед по отношению к верхней. Наряду с дистальным прикусом (прогнатией), мезиальная окклюзия зубных рядов относится к аномалиям прикуса в сагиттальном направлении. Распространенность мезиального прикуса в популяции колеблется от 1 до 12%. В числе прочих зубочелюстных аномалий удельный вес мезиального прикуса составляет 2-6%. В стоматологии мезиальный прикус также обозначается понятиями «III класс смыкания по Энглю», «прогения», «прогенический прикус», «нижняя прогнатия», «антериальный прикус» и др. Мезиальный прикус может сочетаться с открытым и перекрестным прикусом.
Причины мезиального прикуса
Мезиальный прикус формируется под влиянием генетических, врожденных и приобретенных факторов. Генетические формы мезиального прикуса связаны с наследственными особенностями строения лицевого черепа и регистрируются в 20-40% случаев аномалии. В период антенатального онтогенеза к мезиальному прикусу могут привести заболевания беременной, родовые травмы новорожденного, гипоплазия межчелюстной кости и др. В числе факторов, способствующих формированию мезиального прикуса, большую роль играют сопутствующие аномалии зубов и полости рта: сверхкомплектные зубы на нижней челюсти, частичная и множественная адентия в области верхней челюсти, микродентия верхних зубов или микродентия нижних зубов, короткая уздечка языка, макроглоссия.
Среди причинно значимых постнатальных факторов следует отметить искусственное вскармливание ребенка, заболевания раннего возраста (рахит), ротовое дыхание вследствие ЛОР-патологии (искривления носовой перегородки, гипертрофии небных миндалин) и др. Отдельную группу причин составляют различные поведенческие факторы, способствующие возникновению мезиального прикуса: сосание верхней губы, пальцев и различных предметов; сон с опущенной на грудь головой; привычка подкладывать кулак или кисть руки под подбородок в положении сидя. К развитию мезиального прикуса могут приводить нарушения в сроках и последовательности прорезывания зубов, а именно - ретенция верхних зубов и раннее прорезывание зубов нижней челюсти.
Недоразвитию верхней челюсти и формированию мезиального прикуса в отдельных случаях может способствовать остеомиелит челюстей, последствия коррекции нёбной расщелины, опухоли челюстей, акромегалия.
Классификация мезиального прикуса
С учетом размеров и положения челюстей выделяют следующие виды мезиального прикуса:
1. Мезиальный прикус, обусловленный нижней макрогнатией:
- при нормальных размерах верхней челюсти
- при недоразвитии или дистальном положении верхней челюсти
2. Мезиальный прикус, обусловленный нижней прогнатией:
- при увеличении базального отдела нижней челюсти
- при увеличении подбородочного отдела нижней челюсти
3. Мезиальный прикус, обусловленный верхней микрогнатией.
4. Мезиальный прикус, обусловленный верхней ретрогнатией.
5. Мезиальный прикус, обусловленный сочетанием:
- верхней микрогнатии и нижней макрогнатии;
- верхней ретрогнатии и нижней прогнатии;
- верхней микрогнатии и нижней прогнатии;
- верхней ретрогнатии и нижней макрогнатии.
Первый и второй варианты мезиального прикуса в ортодонтии расцениваются как истинная прогения; третий и четвертый вариант - как ложная прогения, при которых нижняя челюсть имеет нормальные размеры, а мезиальный прикус обусловлен недоразвитием верхней челюсти или ее ретропозицией.
С учетом нарушения окклюзии в сагиттальном направлении и величины и нижнечелюстного угла выделяют три степени мезиального прикуса:
- I степень - сагиттальная щель между передними зубами до 2 мм; нарушение соотношения между первыми молярами в сагиттальном направлении до 5 мм; нижнечелюстной угол до 131°.
- II степень - сагиттальная щель между передними зубами до 10 мм; нарушение соотношения между первыми молярами в сагиттальном направлении до 10 мм; нижнечелюстной угол до 133°.
- III степень - сагиттальная щель между передними зубами больше 10 мм; нарушение соотношения между первыми молярами в сагиттальном направлении 11-18 мм; нижнечелюстной угол до 145°.
Также различают зубоальвеолярную и гнатическую форму мезиального прикуса: в первом случае возможно произвольное смещение нижней челюсти назад до достижения правильной окклюзии боковых зубов; при второй форме смещение невыполнимо.
Симптомы мезиального прикуса
При мезиальном прикусе может отмечаться сочетание тех или иных лицевых и внутриротовых признаков, а также обусловленных ими различных функциональных нарушений. Внешне мезиальный прикус проявляется выдвижением подбородка и нижней губы вперед, западением верхней губы, нередко - зиянием ротовой щели. При этом средняя треть лица в профиль выглядит запавшей, вогнутой. В целом выражение лица пациента с мезиальным прикусом характеризуется как «сердитое».
Внутриротовые признаки мезиального прикуса характеризуются обратным резцовым перекрытием или прямой окклюзией зубов в переднем отделе; наличием мезиальной ступеньки при смыкании жевательных зубов. Возможен оральный наклон зубов на нижней челюсти, образование диастем и трем, наличие дистопированных зубов. Скученное положение зубов на нижней челюсти может обусловливать отложение зубного камня, развитие гингивита и пришеечного кариеса.
Функциональные нарушения при мезиальном прикусе могут включать дефекты речи (межзубный сигматизм - разновидность механической дислалии), затруднения откусывания и пережевывания пищи, дисфункцию ВНЧС. Неправильное распределение жевательной нагрузки в области передних зубов сопровождается перегрузкой тканей пародонта, развитием пародонтоза и ранней потерей зубов. Мезиальный прикус может препятствовать проведению протезирования и дентальной имплантации.
Диагностика
Для распознавания мезиального прикуса, правильной оценки его вида и степени необходима консультация ортодонта. Обследование пациента начинается с осмотра лица в фас и профиль, снятия антропометрических показателей, визуальной оценки окклюзии в полости рта, проведения функциональной пробы, позволяющей отличить истинную прогению от ложной.
Степень выраженности мезиального прикуса оценивается по результатам определения прикуса с помощью прикусных валиков, изучения диагностических моделей, ортопантомографиии, телерентгенографии в боковой проекции, рентгенографии и томографии ВНЧС. Для выявления функциональных нарушений производится электромиография жевательных и височных мышц; консультация логопеда и отоларинголога.
Лечение мезиального прикуса
В дошкольном возрасте, когда челюсти ребенка находятся в процессе роста, для коррекции мезиального прикуса назначается миофункциональная гимнастика и массаж альвеолярного отростка верхней челюсти; при необходимости проводится пластика уздечки языка. Для отучения ребенка от вредных оральных привычек рекомендуется использование вестибулярных пластинок. Ортодонтическое лечение на данном этапе по показаниям может проводиться с помощью аппарата Брюкля, каппы Бынина. Существует мнение, что наилучшие результаты лечения мезиального прикуса в период молочного и раннего сменного прикуса достигаются в случае использования лицевой маски.
В период сменного прикуса лечение мезиальной окклюзии проводится с использованием активаторов Андрезена-Гойпля, Кламмта, Френкеля, аппаратов Вундерера или Персина. С установлением постоянного прикуса для коррекции аномальной окклюзии применяется несъемная ортодонтическая техника - брекет-системы. Одновременно с ортодонтическим этапом проводятся логопедические занятия по коррекции дислалии.
Протетическое лечение мезиального прикуса может включать избирательное пришлифовывание зубов, съемное или несъемное протезирование для нормализации окклюзионных контактов. Иногда при чрезмерном развитии нижней челюсти возникает необходимость предварительного хирургического лечения - удаления зубов, остеотомии ветви нижней челюсти.
Прогноз и профилактика
Наилучшие результаты коррекции мезиального прикуса достигаются при начале лечения в период молочного или сменного прикуса. Несмотря на все сложности, коррекция эстетических и функциональных нарушений возможна даже во взрослом возрасте. Однако в этом случае увеличиваются сроки лечения, нередко требуется поэтапное лечение с участием стоматологов-хирургов, ортодонтов, ортопедов.
Важную роль с точки зрения профилактики мезиального прикуса играет нормальное течение беременности и родов, грудное вскармливание, отучение ребенка от вредных привычек, правильное положение во время сна. Необходимо своевременное лечение заболеваний, замедляющих или нарушающих рост челюстных костей, коррекция аномалий отдельных зубов.
Миогимнастика при дистальном прикусе
По словам специалистов, дистальный прикус встречается почти у 50 % пациентов, обратившихся к ортодонту. Эффективным методом профилактики и лечения такой аномалии считается специальный комплекс упражнений — миогимнастика.

Дистальный прикус — зубочелюстная патология, при которой наблюдается выраженная неразвитость нижней челюсти при развитой верхней. Пациент вынужден обрабатывать пищу боковыми зубами, что создает массу неудобств и способствует образованию кариеса и других заболеваний ротовой полости. Миогимнастика при дистальном прикусе направлена на развитие нижней челюсти.
Что такое миогимнастика
Особенности миогимнастики
Во время проведения миогимнастики необходимо следовать важным правилам:
- сокращение жевательных мышц выполняйте с максимальной нагрузкой, но в пределах нормы
- постепенно увеличивайте продолжительность и скорость сокращений
- каждое упражнение повторяйте несколько раз
- чередуйте упражнения с паузами той же продолжительности, что и выполненное упражнение
Миогимнастика для взрослых
- с возрастом ухудшается состояние зубов и десен
- развиваются различные заболевания полости рта
- увеличивается количество поврежденных и пломбированных зубов
- появляются сопутствующие хронические заболевания
Вследствие этих и других причин, миогимнастика для взрослых пациентов выступает в качестве сопутствующего метода наряду с аппаратным, а в некоторых случаях и хирургическим лечением.
Миогимнастика для детей
Миогимнастика наиболее эффективна при исправлении дентального прикуса у детей в возрасте от 4 до 12 лет. У таких пациентов коррекция различных нарушений проходит быстро и результативно. Специалисты разработали комплекс специальных упражнений, которые тренируют жевательные мышцы и позволяют безболезненно устранить дефекты прикуса. Вот некоторые из них:
- нижнюю челюсть выдвинуть вперед до смыкания режущих краев нижних зубов с верхними, а затем переместить обратно
- нижнюю челюсть выдвинуть так, чтобы нижние передние зубы размещались впереди верхних
- вытянуть губы в трубочку, как для свиста, а затем растянуть мизинцами, как при широкой улыбке
- не смыкая губ, установить указательные пальцы около углов рта, затем постараться плотно сомкнуть губы, преодолевая сопротивление;
- надуть щеки, сомкнуть губы и кончиками пальцев ритмично поколачивать по щекам
Конечно, в целом комплекс лечебных упражнений более разнообразен. Но прежде чем начать подобные «тренировки», следует проконсультироваться у врача: любая патология прикуса имеет свои особенности, которые необходимо учитывать при выборе конкретных упражнений. Помочь в этом может только квалифицированный специалист.
Мнение эксперта
Эффективность миогимнастики зависит от регулярности занятий и того, насколько качественно выполняются упражнения. То есть необходимо делать это осознанно и ответственно, не ради галочки. Мышечные сокращения должны осуществляться в рамках физиологических пределов, но с максимально возможной нагрузкой. Сокращения должны повторяться до появления легкой усталости (но при этом не забывайте о паузах, которые необходимо делать между упражнениями). Миотерапия, в частности миогимнастика, должна назначаться специалистом-ортодонтом, причем хороший врач не только подберет для вас индивидуальный комплекс упражнений, показанный при данной аномалии прикуса и способствующий его исправлению, но и проконтролирует, насколько правильно вы их выполняете. Именно в этом - залог успеха!
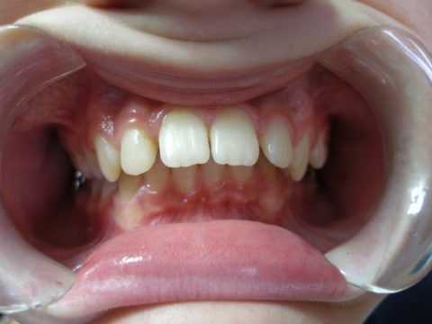
Акт жевания при дистальном прикусе. Динамометрия у детей
отделение функциональной диагностики ФГБУ «Центральный научно-исследовательский институт стоматологии и челюстно-лицевой хирургии» Минздрава России, Москва, Россия
ФГБУ «Центральный научно-исследовательский институт стоматологии и челюстно-лицевой хирургии» Минздрава России, Москва, Россия
Центральный научно-исследовательский институт Минздрава РФ, Москва
Отделение функциональной диагностики ФГБУ "ЦНИИС и ЧЛХ" Минздрава России;
НИИ нормальной физиологии им. П.К. Анохина РАМН;
Исследовательский центр МЕРА, Москва
Взаимосвязь между биоэлектрической активностью мышц челюстно-лицевой области, постуральным статусом и функцией жевания у пациентов с дистальной окклюзией в период смены зубов
Журнал: Стоматология. 2013;92(4): 57‑61
Кречина Е.К., Погабало И.В., Верзилова М.В., Марков Н.М. Взаимосвязь между биоэлектрической активностью мышц челюстно-лицевой области, постуральным статусом и функцией жевания у пациентов с дистальной окклюзией в период смены зубов. Стоматология. 2013;92(4):57‑61.
Krechina EK, Pogabalo IV, Verzilova MV, Markov NM. Correlation of bioelectric activity of maxillofacial muscles with postural status and chewing function in patients with disocclusion. Stomatologiya. 2013;92(4):57‑61. (In Russ.).
Изучена взаимозависимость между состоянием мышц челюстно-лицевой области (ЧЛО), их функционированием и постуральным статусом у пациентов с дистальной окклюзией. Выявлено участие грудиноключично-сосцевидных мышц в стабилизации тела в пространстве, а также взаимное влияние постуральных мышц и мышц ЧЛО. Кроме того, определено нарушение функционирования зубочелюстной системы путем расчета индекса симметричности жевания при дистальной окклюзии.
Наиболее раннее выявление функциональных аномалий челюстно-лицевой области (ЧЛО) и постуральных нарушений у детей приводит к более эффективному устранению причинных факторов, вызывающих аномалии окклюзии [2, 5, 10]. Поэтому, кроме стандартных методик обследования пациентов с патологией прикуса, включающих в себя антропометрическое измерение гипсовых моделей, расчет телерентгенограмм (ТРГ), профилометрию, проводятся дополнительные диагностические мероприятия по оценке биоэлектрической активности собственно жевательных мышц (ЖМ), височных мышц, оцениваются постуральный статус пациентов с помощью стабилометрических платформ, а также связь постуральных нарушений с челюстно-лицевыми структурами путем электромиографии (ЭМГ) шейных мышц, в том числе — грудиноключично-сосцевидных (ГКС) [1, 3, 7, 8].
Использование интегральных стандартизированных показателей ЭМГ-обследования ЖМ позволяет достоверно определить положение «окклюзионного массоинерционного центра» для каждого пациента любого возраста [4]. По полученным данным можно прогнозировать функциональные и морфологические изменения ЧЛО [6]. Изучение функционального состояния ЖМ и жевательной эффективности с помощью прибора BTS TMJoint (Италия) является актуальным, так как в литературе такие данные отсутствуют. В рамках комплексной диагностики метод стабилометрии выделяется как один из наиболее простых в применении, неинвазивный и экономически доступный, поэтому представляется логичным применение ЭМГ и стабилометрии в комплексной диагностике аномалий окклюзии для выявления нарушений.
Цель исследования — оценка функционального состояния ЖМ и постурального статуса у пациентов с дистальной окклюзией и определение взаимосвязи между степенью выраженности нарушения биоэлектрической активности собственно ЖМ, височных и ГКС мышц, симметричностью жевания и показателями стабилометрии.
Материал и методы
Согласно целям исследования, определяли функциональное состояние ЖМ у 21 пациента 6—10 лет, которые были распределены на 2 группы: 1-я — пациенты с дистальной окклюзией (11 человек), 2-я (контрольная) — пациенты с физиологической окклюзией (10 человек). Данная возрастная категория была выбрана, так как именно в этот период отмечается активный рост скелета, в том числе — и лицевого, что позволяет наиболее эффективно воздействовать как на формирование челюстных костей, так и на рост и развитие скелета в целом в зависимости от результатов комплексной диагностики.
В целях ортодонтической диагностики измеряли гипсовые модели, производили профилометрию и расчет ТРГ головы в боковой проекции. Для определения биоэлектрической активности собственно ЖМ, височных и ГКС мышц выполняли поверхностную ЭМГ с помощью прибора BTS TMJoint (Италия). Стандартизация показателей проводилась с применением пробы с максимальным сжатием в течение 5 с зубов на ватных валиках толщиной 10 мм, установленных между вторым премоляром и первым моляром. Затем проводилось исследование при максимальном произвольном сжатии зубов в центральной окклюзии в течение 5 с и определялись следующие показатели: POC TA — показатель симметричности работы височных мышц (%); POC ЖМ — показатель симметричности работы собственно ЖМ (%); POC ГКС — показатель симметричности работы ГКС (%); BAR — показатель расположения окклюзионного массоинерционного центра в сагиттальном направлении (%); TORS-показатель расположения окклюзионного массоинерционного центра в трансверсальном направлении (%); SMI — показатель симметричности жевания (%). Для определения симметричности жевания ЭМГ-активность регистрировалась при одностороннем жевании (справа и слева) жевательной резинки без сахара. Кроме того, оценивали постуральный статус пациентов путем определения площади (S) статокинезиограммы (мм2) и длины пути (L) — статокинезиограммы (мм) при установке пациента на стабилометрической платформе «ST-150» (Россия) в европейской стойке.
Для оценки степени связи между показателями проводили корреляционный анализ путем подсчета коэффициента Пирсона. Расчеты выполнялись в стандартных программах Statistica 6.0 и Microsoft Excel.
Результаты и обсуждение
При определении биоэлектрической активности жевательной мускулатуры у пациентов с физиологической окклюзией показатели симметричности работы собственно ЖМ (POC ЖМ=82,95±0,06), височных мышц (РОС ТА=89,61±0,39), а также показатели расположения окклюзионного массоинерционного центра (BAR=91,93± 0,53; TORS=91,21±0,05) находятся в пределах нормальных значений: POC≥83%; BAR≥90%; TORS≥90% (табл. 1). У пациентов с дистальной окклюзией показатели симметричности работы собственно ЖМ (РОС ЖМ=81,47± 3,12) и височных мышц (РОС ТА=80,11±4,01), а также показатели расположения окклюзионного массоинерционного центра (BAR=75,76±5,56; TORS=87,05±2,93) были ниже нормы. Полученные данные подтверждают выявленные ранее взаимосвязи аномалии окклюзии и активности жевательной мускулатуры [4].
Более близкими к нормальным значениям (SMI≥90%) были показатели симметричности жевания у пациентов с физиологической окклюзией (SMI=85,56±2,69), чем у пациентов с дистальной окклюзией (SMI=68,57±6,39).
Показатели симметричности работы ГКС мышц у пациентов с физиологической окклюзией (РОС ГКС=83,67± 0,42) и с дистальной окклюзией (РОС ГКС=83,76±1,10) находились в границах нормальных значений. Так как критерием исключения из выборки были выраженные постурологические нарушения, а симметричность активности ГКС мышц косвенно отражает постуральные изменения [11], данный результат был предсказуем. Однако показатели длины и площади статокинезиограммы у пациентов с физиологической окклюзией (L=243,67±48,37; S=228,07±80,03) характеризовали более стабильное положение тела в пространстве, чем показатели пациентов с дистальной окклюзией (L=395±45,98; S=368±47,75).

Корреляционный анализ показателей биоэлектрической активности ЖМ и ГКС мышц и стабилометрическое исследование пациентов с физиологической окклюзией выявили очень высокую степень корреляции показателей симметричности биоэлектрической активности собственно ЖМ и височных мышц (Кп=0,93), что говорит о согласованной работе мышц при сжатии зубных рядов и играет немаловажную роль в формировании физиологической окклюзии (табл. 2). Определены также очень высокие корреляционные взаимосвязи биоэлектрической активности ГКС мышц как с показателями статокинезиограммы — Кп(POC ГКС/L)=0,95; Кп(POC ГКС/S)=0,99, так и с показателями, характеризующими положение окклюзионного массоинерционного центра (очень высокая обратная связь; Кп= -0,95). Эти данные могут свидетельствовать о важной роли ГКС мышц в формировании взаимосвязи между зубочелюстной системой (ЗЧС) и постуральным статусом человека, что согласуется с данными зарубежных исследований [11].
Показатели длины и площади статокинезиограммы связаны между собой очень высокой прямой корреляционной связью (Кп=0,96), благодаря чему можно судить о высокой степени стабильности и координированности работы мускулатуры, участвующей в поддержании позы пациентов с физиологической окклюзией.
Следует также отметить очень высокую обратную взаимосвязь между показателями длины и площади статокинезиограммы и положением окклюзионного массоинерционного центра в сагиттальном направлении: Кп(L/BAR)= -0,99; Кп(S/BAR)= -0,96. Высокая корреляционная связь отмечается и между длиной статокинезиограммы и положением окклюзионного массоинерционного центра в трансверсальном направлении (Кп=0,73). Приведенные данные подтверждают предположение об участии нижней челюсти в поддержании баланса тела в пространстве и большой роли постурального равновесия в поддержании стабильной окклюзии [9].

О значении окклюзии и постурального статуса в функциональном состоянии ЗЧС при нормальном ее развитии свидетельствует и высокая корреляция между длиной статокинезиограммы и симметричностью жевания (Кп=0,70), а также очень высокая степень корреляции между характеристиками положения окклюзионного массоинерционного центра и симметричности жевания (Кп=0,99). Полученные данные характеризуют взаимосвязь окклюзии, постурального статуса, функционального состояния ЗЧС и согласованность их работы у пациентов с физиологической окклюзией (рис. 1). Рисунок 1. Дифференциальная мышечная активность собственно ЖМ (ось X) и височных (ось Y) мышц справа и слева при нормальной нейромышечной активности.

У пациентов с дистальной окклюзией отмечается очень высокая корреляционная связь между показателями симметричности работы височных мышц и горизонтального смещения нижней челюсти по трансверзали (Кп=0,99) (табл. 3). С показателями, характеризующими расположение окклюзионного массоинерционного центра в сагиттальной плоскости, наблюдалась средняя корреляционная связь (Кп=0,59). Симметричность работы собственно ЖМ с положением окклюзионного массоинерционного центра связана лишь слабой корреляционной зависимостью (Кп=0,23). Полученные данные могут свидетельствовать о преобладающей роли височных мышц в формировании аномалии окклюзии.
Среди полученных корреляционных связей следует отметить взаимосвязь показателей положения окклюзионного массоинерционного центра в сагиттальном и трансверсальном направлениях. Эта корреляционная зависимость — средней силы (Кп=0,66), что говорит об определенном дисбалансе окклюзии при аномалиях в сагиттальном направлении.
Параметр, характеризующий площадь статокинезиограммы, связан с показателем симметричности биоэлектрической активности ГКС мышц обратной корреляционной связью средней силы (Кп= -0,68), что подтверждает определенную взаимозависимость при дистальной окклюзии постурального статуса пациентов и состояния мышц шеи.

Не отмечалось статистически значимых влияний на функцию жевания со стороны каких-либо из изученных показателей, что может быть связано с более широким спектром характеристик ЗЧС, которые приводят к тем или иным нарушениям симметричности жевания у пациентов с дистальной окклюзией (рис. 2). Рисунок 2. Дифференциальная мышечная активность собственно ЖМ (ось X) и височных (ось Y) мышц справа и слева при патологической нейромышечной активности.
Таким образом, исследование показало, что пациенты с физиологической окклюзией отличаются от пациентов с дистальной окклюзией более согласованной работой мускулатуры ЧЛО и более стабильным положением тела в пространстве. Высокие корреляционные связи между показателями симметричности биоэлектрической активности ЖМ и ГКС мышц, симметричности жевания и показателями статокинезиограммы у пациентов с физиологической окклюзией указывают на взаимосвязь функционального состояния ЗЧС, постурального статуса и окклюзии. При дистальной окклюзии выявлена разбалансированность изученных параметров с наибольшим участием височных мышц в формировании аномалии окклюзии, а также с вовлечением в этот процесс ГКС мышц при возникновении нарушений постурального статуса.
В связи с вышеизложенным можно рекомендовать использование поверхностной ЭМГ височных, собственно ЖМ и ГКС мышц, а также стабилометрию в качестве методов комплексной диагностики дистальной окклюзии в период смены зубов для составления наиболее точного плана лечения, включающего в себя при необходимости, кроме классического аппаратурного ортодонтического лечения, постурологическое и миофункциональное.
Дистальный прикус: причины, особенности патологии, способы устранения и возможные осложнения

Аномалии смыкания челюстей возникают по разным причинам. Зачастую глубокий дистальный прикус, проявляющийся сильным перекрытием верхней челюстью нижней, формируется на фоне чрезмерного развития верхней или недоразвития нижней челюсти. Лечением такой патологии занимается ортодонт, используя для коррекции различные аппараты.
Причины
Провоцировать патологию могут факторы, полученные по родительской линии или напрямую влияющие в процессе становления организма. Чем раньше начинается патогенное воздействие, тем больше вероятность развития нарушений в смыкании челюстей разного характера.
К основным факторам, вызывающим дистальную окклюзию относят:
| От родителей и их родственников | Воздействующие после рождения |
| Наследственность | Нехватка фтора и кальция |
| Травма во время родов | Повреждения в области зубов и челюстей механического характера |
| Длительное и неправильное применение соски в бутылке | |
| Потеря временных зубов раньше срока | |
| Вредные привычки в детском возрасте | |
| Преобладающее питание мягкой пищей: не формируется нагрузка для развития жевательного аппарата | |
| Нарушение осанки | |
| Частые заболевания респираторной системы, ЛОР-органов: приводит к преобладанию ротового типа дыхания над носовым |

Систематически проявляющиеся заболевания в верхнем отделе респираторного тракта, уха, горла и носа провоцируют изменения образа дыхания, что в последующем отражается на особенностях формирования челюстей.
На фоне таких причин происходит недоразвитие нижней челюсти или рост будет соответствовать норме. Верхняя челюсть может расти по срокам или ускоренно.
Особенности патологии
Основные внешне определяемые признаки дистального прикуса:
- выпуклое лицо в профиль;
- значительно выдвинутая верхняя челюсть, при одновременном сильно сдвинутом назад подбородке;
- невозможность сомкнуть губы в состоянии покоя;
- губа верхней челюсти зачастую оттопырена и не закрывает зубы, нижняя располагается позади верхних резцов.
У больного могут отмечаться расстройства в выполнении функций жевания, глотания и артикуляции. Внешние признаки патологии могут быть одинаковы при разных формах дистальной окклюзии.
Лицевые признаки дизокклюзии вызывают эстетическую неудовлетворенность. В полости рта больные отмечают в основном только глубокое перекрытие зубами верхней челюсти нижней.
Более детальное сравнение смыкания челюстей проводится в полости рта врачом при помощи осмотра зубов, зубных рядов и выполнения ряда инструментальных обследований. Ротовые признаки дистального прикуса обуславливают развитие функциональных расстройств.

Диагностика
Врач выявляет патологию после выполнения ряда обследований:
- анализ профиля лица;
- осмотр полости рта;
- дополнительные методы: телерентгенография, радиовизиография, КТ ВНЧС: оценка положения сустава, жевательных мышц и челюстей по отношению к друг другу.
При оценке ротовых признаков обязательно учитываются:
- размер челюстей;
- форма зубоальвеолярных дуг;
- расположение челюстей в разных плоскостях;
- наличие аномалий зубов и их групп.
Выделяют основные 4 аномалии на основании классификации Бетельмана:
- недоразвитие нижней челюсти при нормальном в верхнем отделе;
- ускоренный рост верней при нормальной нижней;
- усиление развития верхней и недоразвитие нижней;
- прогнатия в переднем отделе верхней челюсти.
Классифицирование дистального прикуса на основании морфологических изменений по Ф.Я. Хорошилкиной:
- гнатическая;
- зубоальвеолярная;
- сочетанная форма.
Зубоальвеолярная форма дистального прикуса возникает при неправильном положении передней группы зубов и нарушениях в форме дуг челюстей и проявляется следующими признаками:
- Разной длиной зубной дуги и базиса челюсти;
- Первые моляры смыкаются по I классу Энгля: медиально-щечный бугор верхней челюсти расположен в межбугорковой фиссуре одноименного нижнего зуба.
При дистальном глубоком прикусе изменения регистрируются сразу в двух плоскостях: вертикальной и сагиттальной. Вертикальной характерно наличие перекрытия в переднем отделе верхними резцами нижних более 1/3 высоты коронки. В сагиттальной плоскости оценивается резкое выдвижение верхней челюсти по отношению к нижней.
По этиологическому фактору дистальную окклюзию подразделяют на:
- скелетную: вызвана патологией челюстей, опорно-двигательного аппарата и другими причинами;
- стоматологическую: в основе развития лежат нарушения в зубах.
Способы устранения
Лечение дистального прикуса проводится в любом из возрастов. Однако существует закономерность: чем раньше будет начато вмешательство, тем больше вероятность успешной коррекции дизокклюзии.
В детской практике
В первую очередь необходимо устранить причину, спровоцировавшую патологию. В ряде случаев требуется пройти консультацию у других специалистов: оториноларинголог, логопед.
Желательно начинать исправление прикуса в период молочного и сменного прикусов, поскольку кость челюсти легко поддается коррекции в данном возрасте. С этой целью применяют ортодонтические пластинки съемного типа, направленные на стимулирование роста нижней челюсти, с одновременным сдерживанием развития на верхней.

У детей постарше помимо пластинок применяют также специальные аппараты для лечения дистального прикуса:

Изготавливают данные устройства на заводах из силикона. Каждый из видов имеет несколько размеров.
Инструкция применения каждого из них зависит от типа патологии, возраста, наличия сопутствующих осложнений. За счет использования таких конструкций происходят изменения в положении зубов, укрепляются мышцы ротовой полости.
У взрослых
Коррекция выполняется только с применением брекет-систем. Цена несъемной части зависит от количества исправляемых единиц, используемых материалов (металл, керамика), способов фиксации.
За счет создания напряжения в зубоальвеолярном отростке (путем изменения расположения дуги и закреплении в замочках) происходит перемещение и фиксация зубов в необходимом направлении. При необходимости перед установкой брекетов удаляют 1-2 зуба, чаще вторые премоляры.

Дополнительно у взрослых совместно с основной системой могут быть применены:
За счет сочетанного воздействия происходит передвижение нижней челюсти кпереди и одновременно исправляется дизокклюзия в вертикальной плоскости. Гимнастика рта направлена на укрепление круговой мышцы и жевательных.
Особенности выполнения упражнений:
- Выдвижение нижней челюсти вперед до ощущения сопротивления.
- Фиксирование в новом положении не менее 10 секунд.
- Возвращение в исходную позицию.
- Количество повторений в сутки в пределах 10 и более.
Если устранить дистальное смыкание несъемными конструкциями не удается, то прибегают к оперативному вмешательству. Для профилактики развития рецидива после лечения обязательно устанавливают аппараты для ретенции.

Обязательным после выполнения ортодонтического вмешательства является сохранение полученного результата.
В среднем период лечения брекетами составляет 3-4 года. На закрепление результатов вмешательства в каждом случае требуется индивидуальное время, минимум 1 год.
К чему может привести патология
Исправление нарушений требует длительного времени. Большинство людей могут предъявлять претензии только к внешнему виду лица и не задумываться, что требуется устранение дистального прикуса.
Обратите внимание! В перспективе ортодонтическая патология грозит возникновением ухудшений в местном и общем состоянии.
Осложнения, которые могут проявиться при отсутствии вмешательства:
- неравномерное распределение жевательной нагрузки;
- увеличение поражения задних зубов кариесом;
- нарушение глотания;
- развитие патологий тканей пародонта;
- нарушения в структурном и функциональном плане височно-нижнечелюстного сустава (ВНЧС), проявляющиеся болью при открытии и закрытии рта;
- сложность в проведении имплантации зубов;
- поддерживаются и усугубляются патологии респираторной систем и ЛОР-органов.

Лечение глубокого дистального прикуса проводится врачом ортодонтом на основании полученных данных клинического и дополнительного обследований. Для устранения применяют различные аппараты, в соответствии с возрастом.
Чем раньше будет начато лечение, тем скорее устраняется нарушение в смыкании челюстей и предупреждаются возможные осложнения, об этом говорит и видео в этой статье.
Читайте также:
- Диагностика эпидуральной классической гематомы по КТ, МРТ
- Дискория и корэктопия. Анизокория у ребенка
- Артериальная гипертензия в популяционных группах. Распространенность гипертензии среди американцев
- Женские половые гормоны в норме. Гормональная активность яичников
- Тромбоз мозговых вен у детей. Тромбоз мозгового синуса у ребенка
