Альтернативы применению коронок на зубах: отбеливание, реставрация
Добавил пользователь Владимир З. Обновлено: 22.11.2025

При незначительных сколах и повреждениях лучшим решением будет поставить пломбу, а если зуб разрушен более чем наполовину, оптимальным вариантом станет установка вкладки, которая поможет восстановить форму и функциональность зуба. На сегодняшний день в стоматологии применяется несколько видов подобных изделий, однако самой современной и эстетичной считается керамическая вкладка на зуб.
Содержание статьи
- Что такое керамическая вкладка для зуба и чем она отличается от пломб и культевых вкладок?
- Показания и противопоказания к установке керамической вкладки
- Сравнение керамики с другими материалами
- Восстановление зуба вкладкой: этапы установки
- Керамическая вкладка на зуб: плюсы и минусы
- Уход и возможные осложнения
- Цена на керамические вкладки на зубы
Что такое керамическая вкладка для зуба и чем она отличается от пломб и культевых вкладок?
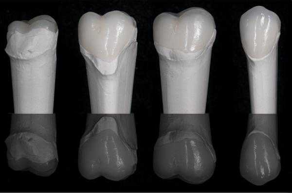
Керамические вкладки на зубы — это микропротезы, которые изготавливаются на основании индивидуальных слепков в лаборатории. С помощью керамической вкладки восстанавливается поврежденный участок зуба, то есть готовое изделие может быть самой различной формы. Многие называют зубные вкладки альтернативой классическим пломбам (керамическая вкладка вместо пломбы или наоборот), однако это не совсем так. Это изделия, представляющие определенные направления в стоматологии (пломба — терапевтическое, вкладка — ортопедическое). Выбор между пломбой и вкладкой приходится делать довольно редко, поскольку оба решения предназначены для определенных показаний и практически не конкурируют между собой.
Еще бóльшая путаница возникла с классическими восстановительными и культевыми вкладками. Несмотря на то что оба вида вкладок изготавливаются в лаборатории и являются ортопедическими изделиями, их предназначение совершенно разное. Культевые (или штифтовые) вкладки ставятся под коронку: их основание прочно фиксируется в корневых каналах, а культя имитирует внешнюю часть зуба и является опорой для будущей коронки. Классическая вкладка — самостоятельный протез, который не требуется дополнительных элементов. Сегодня в Сети можно найти достаточное количество материалов, в которых описываются особенности зубных вкладок и их отличия от других микропротезов, однако многие пациенты не всегда правильно формулируют поисковый запрос. Словосочетания «зубная вставка» или «керамическая вставка в зуб» являются не совсем верными с точки зрения терминологии. Правильнее будет говорить «восстановительные цельнокерамические вкладки».
Керамические вкладки и коронки в проверенных клиниках в Москве


Показания и противопоказания к установке керамической вкладки
- Зуб разрушен в результате травм или болезней на 20—30 процентов
- Высокая стираемость эмали
- На зубах-антагонистах уже установлена вкладка или коронка
- Вкладка используется в качестве крепления для адгезивного протеза
- Если зуб разрушен более чем наполовину или сохранилось менее двух стенок
- Вкладка редко ставится при серьезных повреждениях резцов и клыков
- Не рекомендуется устанавливать на молочные зубы и зубы мудрости
Сравнение керамики с другими материалами

Керамика — далеко не единственный материал, из которого производятся вкладки. Они могут изготавливаться из различных сплавов металлов (в том числе и драгоценных) или из комбинации металла и керамики, однако только керамические или циркониевые вкладки считаются лучшими с точки зрения эстетики и надежности. К примеру, металлокерамическая вкладка на зуб уступает цельной керамике в надежности, а большинство металлических сплавов не являются биоинертными. Исключение составляют золотые вкладки. Золото не вызывает аллергии, а благодаря пластичности материала удается хорошо «подогнать» вкладку и исключить возникновение микрозазоров.
Есть нюансы, касающиеся и самой керамики. Еще 30—40 лет назад стоматологическая промышленность не располагала технологиями производства, которые позволяли бы производить надежные цельнокерамические вкладки. Несмотря на то что керамика является безопасным и эстетичным материалом, она достаточно хрупкая и плохо подходит для жевательных зубов, а ведь именно боковые зубы чаще всего восстанавливаются с помощью вкладок. Именно поэтому для производства вкладок используется специальная высокопрочная керамика, изготовленная методом литьевого прессования под высоким давлением. Еще один способ —методика CAD/CAM. Это полностью автоматизированный процесс. Врач использует оборудование и программное обеспечение, позволяющее загружать индивидуальные данные пациента в специальный фрезерный модуль, который выпиливает изделия из блоков диоксида циркония. Наиболее известные технологии на данный момент — CEREC и e.max: такие вкладки считаются самыми надежными и эстетичными и применяются в лучших клиниках по всему миру.
Восстановление зуба вкладкой: этапы установки
- Первичная консультация. Выявление показаний и противопоказаний к установке керамической вкладки.
- Предварительное лечение (при необходимости). Прежде чем устанавливать микропротез, необходимо вылечить стоматологические заболевания. Часто речь идет о глубоком кариесе, пульпите и периодонтите.
- Подготовка полости под вкладку. Зуб препарируется с помощью бормашины. Удаляются кариозные ткани, отколовшиеся фрагменты зуба, старые пломбы и т. д. После этого стоматолог проводит финальную обработку и шлифовку.
- Снятие слепков. Снятие слепков может проводиться вручную с помощью специальных слепочных масс или с применением внутриротового сканера — передовой технологии, благодаря которой врач получает цифровой слепок и может работать с ним в специальной программе на этапе моделирования.
- Изготовление вкладки. Производство керамической вкладки проводится двумя способами — методикой литьевого прессования или по технологии CAD/CAM. Во втором случае изготовление вкладки происходит быстрее, а сам процесс является полностью автоматизированным. Однако применение CAD/CAM технологий требует наличия очень дорого оборудования.
- Примерка и фиксация фарфоровой вкладки в зуб.
Керамическая вкладка на зуб: плюсы и минусы

- Хорошая функциональность. Вкладка не только точно копирует форму зуба, но и позволяет полностью восстановить жевательную функцию
- Отличная эстетика. Керамика является лучшим материалом для эстетического протезирования
- Безопасность. Керамика —биоинертный материал, не вызывающий аллергии
- Керамические вкладки не окрашиваются и не тускнеют со временем
- Длительный срок службы. Если вы выбираете вкладку для зубов вместо пломбы, то можете рассчитывать, что она прослужит не менее 10 лет
- Могут применятся не во всех случаях (см. противопоказания)
- Достаточно высокая цена
- Иногда установка коронки в перспективе будет более надежным решением
Уход и возможные осложнения

На весь период изготовления керамической вкладки полость зуба заполняется временной пломбой, поэтому пациент должен быть достаточно осторожным, иначе есть риск выпадения пломбы и повреждения зуба, который без протеза становится очень уязвимым. После того как вкладка была установлена, врач обычно советует исключить употребление в пищу твердых продуктов хотя бы на пару дней, а также не сжимать челюсть слишком сильно. Никакого особого ухода за вкладками не требуется — достаточно проводить ежедневную качественную гигиену и регулярно совершать профилактические визиты к врачу. Часто пациентов волнуют возможные осложнения, связанные с установкой керамической вкладки. Если лечение проводил квалифицированный специалист и были использованы качественные материалы и хорошее оборудование, поводов для опасений быть не должно. Чаще всего осложнения возникают из-за ошибок на этапе планирования и изготовления вкладки.
- Недолеченные стоматологические заболевания, которые развиваются уже под вкладкой.
- Игнорирование противопоказаний к установке микропротеза.
- Неправильный подбор цвета.
- Ошибки при расчетах и изготовлении протеза. Из-за этого чаще всего возникают микрозазоры.
Цена на керамические вкладки на зубы
Вкладки всегда стоили дороже, чем пломбы. Для изделий из керамики это особенно актуально, поскольку производство керамических протезов является технологически сложным и требует наличия дорогого оборудования. За высокое качество всегда приходится платить. Цена керамической вкладки на зуб начинается от 15 000 рублей и может доходить до 25 000—30 000 рублей за изделия с каркасом из диоксида циркония, изготовленными по технологии CAD/CAM. Не стоит забывать и о дополнительных факторах, влияющих на итоговую стоимость: уровень и месторасположение клиники, квалификация лечащего врача и особенности конкретного клинического случая. Важно понимать, что лечение стоматологических заболеваний перед установкой вкладки всегда оплачивается отдельно, и на это нужно закладывать дополнительную сумму.
Реставрация по типу Vonlay: консервативная эстетическая альтернатива коронкам
В современной реставрационной стоматологии врачи имеют несколько возможностей для улучшения параметров формы, цвета и положения зубов, которые обеспечиваются не только характеристиками используемых материалов, но и методами изготовления конструкций. При этом практикующий врач в качестве вариантов лечения может обратиться к винирам, вкладкам по типу-onlay, а также к комбинированным конструкциям "vonlay", которые объединяют в себе первые два варианта лечения и описаны в представленном случае.

Виниры
Виниры являются одним из вариантов, обеспечивающим эстетическую коррекцию дефекта зуба: будь то внутренняя или внешняя дисколорация, окклюзионная коррекция, перелом коронки, травма или признаки патологического стирания. В зависимости от объёма и сложности дефекта препарирование под винир может быть более или менее инвазивным: иногда оно предусматривает препарирование всего зуба под так называемый полный винир или трехчетвертную конструкцию, но чаще всего область препарирования ограничивается лицевой поверхностью, так как виниры редко устанавливают за областью премоляров.
Будучи в использовании уже 35 лет, виниры прошли путь от довольно хрупких конструкций с высоким риском перелома до значительно более надежного варианта лечения. Первые поколения виниров изготавливали из материалов, которые были клинически неприемлемыми, в том числе и с использованием макронаполненных композитов, метилметакрилата и подобных облицовочных систем. В 1975 году был разработан протокол бондинга керамики, после чего полевошпатовый фарфор стал материалом выбора в клинической практике врачей. К 1983 году врачи обнаружили преимущества адгезии керамики к протравленной эмали, что позже стало золотым стандартом, обеспечивающим силу и клиническую долговечность сцепления.
Сегодняшние виниры изготавливаются из керамических материалов по типу лейцит-полевого шпата и лития дисиликата или же из композитов, состоящих из очень мелких частиц, по типу микро- и наногибридов. При этому композитный винир может быть изготовлен прямым или непрямым методом, зависимо от конкретных клинических показаний. Прямой метод предусматривает изготовление виниров путем наслоения композитов и их светоотверждения. А при изготовлении реставраций непрямым методом (путем теплового прессования) можно добиться исключительных характеристик конструкции, как, например, износостойкости, аналогичной эмали, резистентности к стиранию, отличной маргинальной адаптации, хороших апроксимальных контактов, эстетики и прочности, адекватной для задней группы зубов.
Керамика приобрела популярность благодаря достижениям материаловедения. Не все облицовочные керамические системы показаны для абсолютно всех клинических ситуаций, но литий-дисиликат, учитывая его механические и оптические характеристики, наиболее часто используется для получения высокопрочных и эстетических результатов. Прозрачность материала отвечает повышенным эстетическим требованиям, которые в принципе и являются той причиной, по которой виниры изготавливают именно из керамики. Данные конструкции также можно отфрезеровать посредством CAD / CAM-технологий из моноблока или из спрессованной заготовки. Фрезерованные виниры показаны для использования в участках, где действие окклюзионных сил не очень высоко, поскольку они являются более хрупкими, чем их прессованные аналоги (360 МПа против 400 МПа соответственно). Кроме того, последние даже можно использовать в области жевательной группы зубов. Но независимо от метода изготовления, все керамические виниры обеспечивают точность посадки, низкий риск маргинальной дисколорации, небольшой процент клинической неудачи и оптимальный эстетический вид. Единственный недостаток состоит в том, что в некоторых случаях они могут провоцировать стирание зубов-антагонистов.
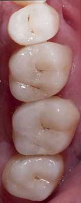
Вкладки типа onlay
Еще одним вариантом лечения являются вкладки типа onlay, которые используются при значительном разрушении тканей зуба. Оnlay вкладки также используются при замене старых реставраций, дефектных пломб из амальгамы и золота, металлокерамических конструкций. Как и в случае с винирами, степень инвазивности препарирования зависит в значительной степени от сложности дефекта зуба. Вкладки onlay использовались еще с конца 1800-х годов. Первично они изготавливались из золота, керамики или композитных материалов. Золото в качестве основного материала использовалось вплоть до конца 1980-х, когда после стремительного роста цен на благородные металлы золотые реставрации стали попросту экономически невыгодными. Такая былая популярность золота при изготовлении onlay конструкций была аргументирована легкостью при манипуляциях с данным металлом, свойствами его превосходной маргинальной адаптации и клинической долговечностью. Недостатки золота - его цена и несоответствие цвету зуба, что сегодня является важным эстетическим недостатком.
Композиты также могут использоваться при изготовлении onlay вкладок, хотя в определенное время они для этого были противопоказаны. Композиты первого поколения не отличались достаточными механическими свойствами и нужной износостойкостью, чтобы быть пригодными для изготовления подобного типа конструкций. Они демонстрировали быстрые темпы стирания материала, нарушение маргинального прилегания, полимеризационную усадку и недостаточную силу сцепления. Новые поколения композитов, отражая прогресс материаловедения, характеризируются уже более высоким соотношением наполнитель-матрица, что значительно улучшает их механические характеристики. Возможность оптимизации дизайна препарирования, а также технология изготовления позволили добиться улучшенного маргинального прилегания, повышенного уровня адгезии и эстетического вида данных конструкций.
Керамические onlay-вкладки также можно изготавливать посредством CAD / CAM-фрезерования или теплового прессования. Керамики, изготовленные из полевого шпата, стеклонаполненной слюды, лейцита или же литий-дисиликата - все они обеспечивают довольно высокий клинический успех современных безметалловых конструкций. Улучшения керамики помогают добиться консервативного препарирования под onlay вкладки, а прозрачность материала обеспечивает повышение эстетических характеристик. Также для них характерны отличный уровень краевой адаптации, возможность создания адекватных апроксимальных контактов, минимальные показатели износа и низкий риск перелома и при этом они не провоцируют стирание зубов-антагонистов.
Комбинированный подход
Традиционно, если пациент нуждается в реставрации задней группы зубов, врач прибегает к изготовлению полных коронок. Но популярность тенденции "минимально инвазивной стоматологии" предусматривает максимальное сохранение структуры зуба, что по своей сути означает отход от процедур изготовления полных коронок, препарирование под которые требует удаления также здоровых структур эмали и дентина. При этом не следует идти на компромисс, и менее инвазивные варианты лечения должны демонстрировать не меньшую эффективность, чем полные коронки. Комбинированный подход предусматривает использование винира на лицевой стороне и вкладки типа onlay на окклюзионной поверхности. При первоначальной презентации метода около 20 лет назад использовали полевошпатную керамику, что, по мнению Goldstein, ограничило широкую популярность подобных конструкций по причине опасений перелома в области жевательных зубов.
С учетом появления новых высокопрочных материалов по типу литий дисиликата, технологий по типу CAD / CAM и теплового прессования у стоматологов появилась возможность предложить пациенту высокоэстетический и в то же время высокопрочный вариант лечения. Подобные реставрации будут не только имитировать естественные ткани зуба, но могут выдерживать значительные окклюзионные нагрузки в области жевательной группы зубов. В результате эти реставрационные материалы можно использовать при имплементации инновационных микроинвазивных способов лечения, которые пользуются все большим спросом у пациентов.
Представленный ниже клинический случай демонстрирует, как vonlays могут быть использованы в качестве альтернативы полным коронкам для восстановления поврежденных задних зубов.
Клинический случай
Пациент обратился за помощью с несколькими основными жалобами, главной из которых являлась эстетическая дилемма: ему не нравился цвет, размер и форма зубов (фото 1). При этом он также желал по возможности закрыть диастему между 10 и 11 зубами. Он также был обеспокоен «объемом» собственной улыбки и хотел расширить форму зубной дуги так, чтобы улыбка казалась более полной. Во время стоматологического осмотра было установлено, что пациент имел умеренную степень стирания режущих и окклюзионных поверхностей, легкую генерализированную форму рецессии с локализированной умеренной рецессией в области первых моляров верхней челюсти. Большинство боковых зубов имели амальгамные реставрации небольших и средних размеров с признаками вторичного кариеса. На 18 и 29 присутствовали металлокерамические конструкции. Все передние зубы верхней челюсти и несколько передних зубов нижней челюсти имели композитные пломбы в интерпроксимальных зонах, которые со временем изменили свой цвет.
Фото 1. Вид зубов пациента перед вмешательством.

Дизайн восковой репродукции был адаптирован к желаемой новой форме зубов с учетом пожеланий пациента путем использования Adobe Photoshop Smile Design (фото 2).
План лечения состоял в том, чтобы немного открыть или даже восстановить вертикальные параметры прикуса ввиду нескольких причин:
- восстановления недостающей из-за стирания высоты зубов;
- избежания локализованного увеличения прикуса и эффекта чрезмерного перекрытия;
- создания оптимальных условий для минимизации количества удаленной структуры зуба при препарировании под реставрации и восстановлении эстетики.
Из восковой репродукции были сформированы матрицы для создания функционально-эстетического прототипа из специального инъекционного композитного материала (Reveal, BISCO Inc.) с новыми параметрами формы и цвета зубов, а также увеличенным вертикальным размером (фото 3). Повышение вертикальных параметров прикуса помогло добиться формирования дополнительного межокклюзионного пространства в области задних зубов для восстановительных целей. Пациент носил прототип в течение 3 месяцев, чтобы определиться с подходящим эстетическим видом и оптимальным функциональным состоянием до того, как произойдут необратимые изменения структуры зубов. С помощью данного метода также возможен сегментарный алгоритм лечения: а именно поэтапное восстановление отдельных участков.
Фото 2. Изготовление восковой репродукции, которую позже зафиксируют в центральном положении.

Фото 3. Функционально-эстетический прототип изготовлен с использованием матрицы и композита.

Фото 4-7. Окклюзионный вид до реставрации, удаление прототипа, признаков кариеса и старых реставраций, заполнение поднутрений и запечатывание дентина.






Оттиски можно делать обычным или цифровым методом, после чего из бис-акрилового материала изготавливают временные конструкции по стандартному протоколу. Важно отметить, что нужно использовать изолятор, чтобы бис-акриловый материал не присоединился к обработанной поверхности дентина. Небольшой участок дентина в центре зуба можно оставить обнаженным, чтобы обеспечить точечную связь временных конструкций с тканями зуба.
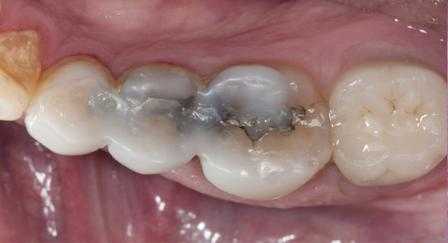
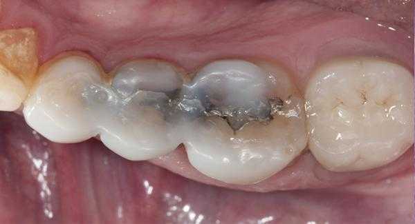
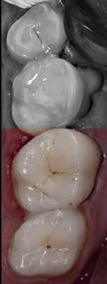
После этого в лаборатории были изготовлены vonlays (фото 10-14). Для этого авторы статьи обычно используют e.max в области моляров, ведь успехи подобного подхода уже хорошо задокументированы, но иногда можно использовать и полевошпатную керамику, особенно в случаях с достаточным количеством эмали, или когда премоляры лечат параллельно с установкой виниров на фронтальных зубах. Авторы по-прежнему предпочитают использовать протокол тотального протравливания с бондом 4-го поколения, хотя перспективы «универсальных» адгезивов и результаты, полученные в ходе их исследований, тоже не могут не радовать. На фото 15-29 продемонстрировано восстановление дуги верхней челюсти с использованием виниров во фронтальной области и керамических vonlays-конструкций на жевательной группе зубов.
Фото 10-13. В ходе работы были использованы модель Геллера и рефракторные штампики.




Фото 14. Вид vonlays (Vita Vm13).

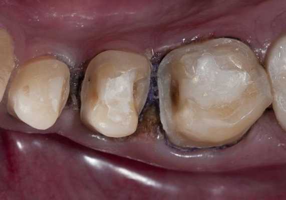
Фото 15-21. Последовательность клинических процедур: вид до вмешательства, вид прототипа, удаление прототипа, дефектных амальгамных пломб и остальных реставраций, нанесение кариес-маркера, запечатывание дентина и заполнение поднутрений, установка окончательных реставраций.







Фото 22-25. Фиксацию проводили из дистальных сегментов в направлении к фронтальным.




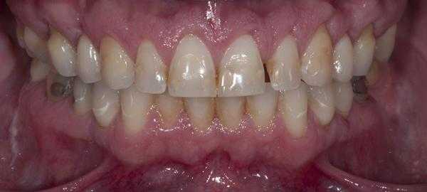
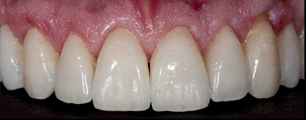
Фото 26. Вид после вмешательства.

Фото 27. Фронтальный вид после вмешательства.



Выводы
В современной стоматологии материалы и техники изготовления конструкций дошли до той точки, когда даже в области задней группы зубов возможно восстановить дефекты с помощью минимально инвазивных реставраций. И клинически, и с точки зрения лабораторного изготовления, высокоэстетические и высокопрочные реставрации становятся все более экономически эффективными, при этом также следует учесть и отменную быстроту их изготовления. Vonlay являются хорошим примером того, как стоматология прогрессивно использует достижения современной науки в конкретных клинических ситуациях, обеспечивая при этом максимально функциональные и эстетические результаты посредством микроинвазивного подхода.
Авторы: Edward A. McLaren, DDS, MDC; Johan Figueira, DDS; Ronald E. Goldstein, DDS
Реставрационное отбеливание зубов

Не так давно в эстетической стоматологии появился новый вид придания белизны улыбке — реставрационное отбеливание зубов, также называемое ламинированием. Этот метод является отличной альтернативой в тех случаях, когда традиционное отбеливание (домашнее, лазерное, кислородное) не справляется, а более серьезные меры пациенту по ряду причин не подходят.
- Эффект реставрационного отбеливания зубов
- Показания к применению реставрационного отбеливания зубов
- Методы реставрационного отбеливания зубов
- Фото ДО и ПОСЛЕ реставрационного отбеливания
- Минусы и плюсы методики
- 5 этапов реставрационного отбеливания
- Другие методики отбеливания с помощью реставраций
- Уход после реставрационного отбеливания
- Сколько стоит процедура?
Эффект реставрационного отбеливания зубов
Цель данного вида отбеливания — придать зубам белизну, защитить от негативного внешнего воздействия, в том числе от скопления бактерий, снизить чувствительность и устранить небольшие дефекты. Суть процедуры заключается в следующем: к вестибулярной (передней) поверхности зубов крепятся тонкие пластинки из очень плотного материала, изготовленные в лабораторных условиях и повторяющие форму зубной коронки. Такие пластинки по прочности не уступают природной эмали и практически незаметны.
Показания к применению реставрационного отбеливания зубов
- Наличие темных пятен на эмали, следы серебряных пломб
- Флюороз
- «Тетрациклиновые зубы»
- Незначительные повреждения в коронковой части зуба
- Небольшие щели
Реставрационное отбеливание зубов представляет собой косметическую процедуру и направлено в первую очередь на устранение эстетических дефектов. При более серьезных заболеваниях или более значительных дефектах следует обратиться к другим реставрационным методикам, обсудив все возможные варианты со своим лечащим врачом.
Методы реставрационного отбеливания зубов
Существуют два основных способа реставрационного отбеливания зубов. Первый — это прямой, при котором процедура выполняется врачом сразу на эмали без предварительного изготовления пластинок, композитный материал в таком случае накладывается тончайшим слоем. Второй — непрямой, когда выполняется установка тонких (до 0,3 миллиметра) пластин — люминиров, которые могут быть выбраны из предложенных шаблонов либо изготовлены в лаборатории по индивидуальным слепкам. В последнем случае цена реставрационного отбеливания зубов будет выше.
Фото ДО и ПОСЛЕ реставрационного отбеливания

Минусы и плюсы методики
У процедуры реставрационного отбеливания зубов есть ряд серьезных преимуществ, отличающих ее от других методов отбеливания и реставрации зубов, но есть и недостатки.
- Возможность точно определиться с итоговым оттенком и степенью белизны эмали, в отличие от традиционных вариантов отбеливания.
- Отсутствие механического и химического воздействия на природную эмаль зубов.
- Возможность с легкостью скорректировать цвет зубов на любом этапе процедуры.
- Отсутствие ущерба для эмали в случае, если пациент захочет вернуть зубы к их исходному состоянию.
- Абсолютная безболезненность процедуры и быстрый результат.
- Цена реставрационного отбеливания зубов значительно ниже, чем у других видов реставрации.
- Необходимость раз в полгода посещать стоматолога для коррекции и шлифовки пластин.
- Процедура подойдет лишь тем, у кого зубная эмаль не имеет серьезных повреждений.
- Реставрация проводится только на передней поверхности зубов, расположенных в зоне улыбки, все остальные поверхности останутся без изменений. Это связано с большой жевательной нагрузкой, которая приходится на боковые зубы и может послужить причиной того, что накладки отклеятся при первом же приеме пищи.
Реставрационное отбеливание зубов исключает механическое воздействие на эмаль, чем отличается от реставрации с использованием виниров и коронок.

5 этапов реставрационного отбеливания
Процедура реставрационного отбеливания зубов состоит из следующих этапов:
1. Зубы очищаются от налета и зубного камня, удаляется кариес, а также при необходимости производится замена старых пломб.
2. Поверхность зубов тщательно полируется и покрывается антибактериальным составом.
3. Пациент выбирает цвет накладок, воспользовавшись специальной шкалой оттенков.
4. Пластинки фиксируются на передней поверхности зубов при помощи клея, содержащего терапевтические компоненты, снижающие чувствительность и помогающие предотвратить скопление бактерий.
5. Накладки полируют и создают микрорельеф для придания им абсолютного сходства с эмалью зубов.
Другие методики отбеливания с помощью реставраций
Уход после реставрационного отбеливания
Особенности ухода за полостью рта после проведения реставрационного отбеливания зубов достаточно простые: следует регулярно проводить процедуры гигиены с использованием зубной щетки, пасты и зубной нити. Зубные микропротезы подвержены окрашиванию гораздо меньше, чем эмаль, тем не менее, чтобы сохранить белизну улыбки как можно дольше, следует сократить употребление красящих продуктов и напитков, таких как кофе, чай, вино и шоколад. Кроме того, необходимо следить за нагрузкой, то есть использовать передние зубы для перекусывания нитей, грызть карандаши и кусать слишком твердую пищу, конечно же, не следует. При должном уходе и регулярном посещении стоматолога пациент сможет надолго сохранить ослепительную улыбку.
Сколько стоит процедура?
Данную услугу в Москве предоставляет множество клиник, при этом цены на реставрационное отбеливание варьируются от 2500 до 12 000 рублей за один зуб — в зависимости от вида установки (прямая/непрямая), используемых материалов, выбора микропротезов (шаблонные заготовки или люминиры, изготовленные по индивидуальным слепкам) и уровня клиники. Точную стоимость вам поможет подсчитать ваш лечащий врач. В среднем такая процедура обойдется в 2 — 3 раза дешевле, чем установка виниров.
Реставрация зубов

Времена обычных пломб, которые были легко заметны невооруженным глазом из-за неестественной формы и отличающегося от остальных зубов цвета, давно прошли. На смену привычному пломбированию пришла реставрация зубов. Название методики говорит само за себя. Стоматолог, как настоящий художник-реставратор, восстанавливает утраченную зубную поверхность, возвращая ей первоначальный внешний вид. Но, в отличие от художественных произведений и предметов искусства, зубы могут быть не только восстановлены, но одновременно и скорректированы. При помощи данной технологии стоматолог может изменить форму, цвет и длину зуба, но это будет уже не самая обычная реставрация. Итак, обо всем по порядку.

- Что такое реставрация зубов?
- Методы реставрации зубов
- Композитная реставрация зубов
- Художественная реставрация зубов
- Реставрация кривых зубов
- Противопоказания к проведению
- Прочность реставрации зубов и рекомендации по уходу
- Сколько стоит реставрация?
Что такое реставрация зубов?
Под словом "реставрация", как правило, понимается целый ряд процедур эстетической стоматологии, задача которых восстановить или скорректировать форму и цвет зубов. Основное показание к эстетической реставрации передних зубов - это щербинки между зубами, небольшие сколы и микротрещины эмали, а также изменения формы зубов в результате недобросовестного лечения пульпита и других заболеваний в прошлом. Самый распространенный тип процедуры - это прямая реставрация зубов композитными материалами, в частности наращивание зубов. C ее помощью довольно эффективно устраняют сколы передних зубов и щели между зубами в зоне улыбки.
Непрямая реставрация зубов подразумевает под собой виниринг, протезирование при помощи зубных вкладок, керамических коронок и полукоронок. Но в целом, когда речь идет о реставрации, все-таки подразумевается именно коррекция зубов композитными материалами.
Методы реставрации зубов
Прямой метод - нанесение светоотверждаемого композитного материала. Врач формирует слой, засвечивает его УФ-лампой, и так пока полностью не восстановит форму зуба. Богатая палитра позволяет подобрать оттенок композита под естественный тон зубов. В конце проводится шлифовка. Реставрация прослужит до 5-7 лет.
Непрямой метод - это использование виниров или коронок для жевательных зубов. Их делают в зуботехнической лаборатории из керамических масс и металлических или циркониевых каркасов. Срок службы - 10-15 лет.
Композитная реставрация зубов
Даже самая обычная пломба должна быть красивой. Поэтому прямая композитная реставрация зубов в стоматологии все чаще становится альтернативой привычному пломбированию и активно используется как завершающий этап в лечении кариеса. Подобная методика должна проводиться в специально оборудованных стоматологических кабинетах специалистами, имеющими определенную квалификацию, и с применением высокоэстетичных светоотверждаемых композитных материалов. Все это повышает не только качество стоматологического лечения, но и его стоимость (цены на реставрацию зубов в Москве могут варьироваться от 1 500 рублей до 50 000 рублей за зуб). Но как обычному пациенту понять, чем реставрация зубов композитным материалом отличается от традиционной пломбы, и стоит ли за это переплачивать?
Основное отличие композитной реставрации зубов от обычного пломбирования состоит в конечном результате. Отреставрированный зуб становится идентичен по цвету своему естественному аналогу. Его естественная форма восстанавливается с учетом всех анатомических особенностей. Если композитная реставрация передних зубов проведена качественно, пациент не сможет определить на ощупь языком наличие пломбы и не будет испытывать ощущений чего-то инородного в полости рта при смыкании челюстей. Последний аспект имеет первостепенное значение для нормальной функции височно-нижнечелюстного сустава, что важно для здоровья не только полости рта, но и всего организма в целом.
Фото до и после реставрации передних зубов композитами

Художественная реставрация зубов
В отличие от простой реставрации, художественная, или косметическая, прямая реставрация зубов в стоматологии решает исключительно задачи эстетики. Неправильная форма, недостаточная длина или размер зуба могут быть исправлены с помощью данной методики. Зубные сколы и различные дефекты, полученные в результате травм, также относятся к проблемам, которые может решить художественная реставрация зубов. Помимо этого, с помощью реставрационного отбеливания можно скорректировать зубы, неэстетичный цвет которых не поддается изменению посредством стандартных методик. Щербинки между зубами тоже являются наиболее распространенными проблемами, которые решает художественная реставрация передних зубов.
Описываемая технология является эксклюзивной высокозатратной услугой, которая предлагается далеко не во всех стоматологических клиниках Москвы. Для такой тонкой работы от стоматолога требуется не просто умение, а настоящий талант. Он должен обладать техникой многослойного наложения различных материалов для достижения эффекта прозрачности. Художественная реставрация зубов отчасти является альтернативой непрямой реставрации зубов, которая проводится при помощи вкладок, коронок и реставрации винирами или установки люминиров, но только при определенных показаниях.
Реставрация кривых зубов
Как известно, искривленное положение зубов - это показание к ортодонтическому лечению, к ношению брекетов или других конструкций, провоцирующих смещение зубов в нужную сторону. Однако в некоторых случаях при незначительных, но все же заметных искривлениях, возможна художественная реставрация кривых зубов. Она помогает избавиться от недостатков улыбки, избежав стресса от длительного лечения, предполагающего ношение брекетов. Особенно актуальна реставрация фронтальных зубов, имеющих искревления.
Противопоказания к проведению
Конечно, художественная и композитная реставрация зубов имеет свои противопоказания. К абсолютным относятся аллергическая реакция на пломбировочные материалы, серьезные заболевания десен, обширный кариес, наличие у пациента стимулятора сердечного ритма, а также невозможность изоляции кариозной полости или зуба от влаги. Нельзя также реставрировать молочные зубы и постоянные зубы, в которых не завершились процессы минерализации и формирования корней. А вот на относительных противопоказаниях следует остановиться подробнее, поэтому давайте рассмотрим каждое из них.
- Значительное разрушение твердых тканей зуба. Если зуб разрушен более чем на 1/3, это является серьезным противопоказанием. Даже если врач решает делать процедуру, в этом случае он обязан предупредить пациента о ненадежности конструкции и возможных дальнейших осложнениях.
Разрушение твердых тканей зуба уходит под десну. Как и в предыдущем случае, эффективность применения реставрации зубов композитными материалами сомнительна. Адгезивные материалы, используемые при восстановлении, не могут обеспечить 100% надежного и долговечного прилегания композита к корню зуба в поддесневой области. Поэтому в подобных ситуациях следует отдать предпочтение зубным коронкам.
Металлокерамические и металлические коронки на зубах-антагонистах. Керамика и металл превосходят композитные материалы по прочности и устойчивости к изнашиванию. Поэтому, если на зубах-антагонистах имеются металлокерамические или металлические ортопедические конструкции, они будут провоцировать повышенный износ реставраций и даже их разрушение при жевании или откусывании.
Отсутствие зубов в боковых отделах. В условиях отсутствия жевательных зубов не может быть проведена реставрация фронтальных зубов, или передних зубов, так как вся нагрузка будет приходиться именно на них. В результате перегрузок реставрации в зоне улыбки будут преждевременно разрушаться и быстро изнашиваться. Поэтому, прежде чем восстанавливать передние зубы, хорошо бы решить проблемы в боковых отделах.
Стираемость зубов и нарушения прикуса. Любое нарушение прикуса ведет к неправильному распределению жевательной нагрузки на зубы и может провоцировать их повышенную стираемость зубов. Очевидно, что в такой ситуации в приоритете должно быть ортодонтическое лечение, а уже потом восстановление при помощи художественной реставрации зубов.
Бруксизм. При бруксизме, или непроизвольном скрипе зубами, следует отдать предпочтение более надежным ортопедическим конструкциям, например, коронкам. Сильное сжатие челюстей, особенно у мужчин, может вызвать преждевременное разрушение композитных реставраций, даже если используется непрямая реставрация зубов.
Фото до и после реставрации зубов винирами

Прочность реставрации зубов и рекомендации по уходу
После проведения процедуры в течение двух часов пациенту рекомендуется не принимать пищу и в целом воздержаться от твердых, требующих интенсивного разжевывания продуктов на протяжении суток. Цветостойкость реставраций в первые 24 часа оставляет желать лучшего, поэтому не следует употреблятькрепкий чай, кофе, цветные напитки и ягоды, женщинам красить губы яркой губной помадой. Отреставрированные зубы требуют неукоснительного соблюдения правил гигиены полости рта. При недостаточном уходе быстро появляется краевая пигментация (также появляется при курении), теряется блеск, повышается риск возникновения кариеса.
Качество прямой художественной или композитной реставрации зубов можно оценить по следующим критериям:
- Соответствие анатомической форме восстанавливаемого зуба
- Отсутствие тактильно определяемой границы между искусственными и естественными тканями зуба
- Здоровое состояние десны в области проведенного восстановления
- Отсутствие белой или серой линии по краю реставрационного материала
- Отсутствие постоперативной чувствительности
- Соответствие цвета отреставрированной поверхности естественному оттенку зуба
- Наличие поверхностного блеска
- Отсутствие пор и белых линий в толще реставрации
Сколько стоит реставрация?
Как уже упоминалось выше, художественная реставрация зубов - это довольно затратный процесс, предполагающий использования дорогостоящих материалов, а также требующий от врача-стоматолога значительной подготовки, поэтому стоимость реставрации зубов бывает весьма немаленькой. Так, сколько стоит реставрация зубов? Средняя цена реставрации переднего зуба в Москве составляет от 1 500 рублей в стоматологиях эконом-класса до 50 000 рублей в VIP-клиниках премиум-класса.
Реставрация зубов - это искусство. Даже опытный врач может оказаться не способным к такой кропотливой работе. Тщательнее выбирайте клинику и доктора, изучите информацию про нужный вам вид реставрационной работы и не бойтесь задавать вопросы. Помните, что улыбка - это ваша визитная карточка, заботьтесь о зубах и чаще улыбайтесь!
Композитная реставрация зубов - это восстановление эстетики и функциональности при помощи пломбировочных материалов. Композиты позволяют не только вернуть зубу способность пережевывать пищу, но и сохранить эстетику, сделать восстановленный зуб неотличимым от естественного. Композитную реставрацию еще называют эстетической или художественной, особенно если восстанавливаются передние зубы.

Показания к композитной реставрации
- Скол или трещина в результате травмы, например, удара.
- Разрушение зуба кариесом. В некотором смысле даже обычная установка пломбы является композитной реставрацией, хотя чаще этот термин используется, когда зуб сильно разрушен и нужно вернуть ему прежнюю форму.
- Незначительное искривление передних зубов. При помощи композита можно закрыть щели между зубами и замаскировать другие дефекты.
- Пожелтение или потемнение эмали, которое не устраняется чисткой и отбеливанием. Например, можно закрыть композитом тетрациклиновые зубы, которые возникают из-за приема антибиотиков тетрациклиновой группы матерью во время беременности.

Противопоказания к композитной реставрации
- Аллергия на анестезию — для обточки зуба перед реставрацией нужно ставить обезболивающий укол.
- Аллергия на пломбировочные материалы — встречается очень редко, так как композиты гипоаллергенны.
- Сильное воспаление десен, склонность к кровоточивости — сначала нужно устранить заболевание.
- Ночной скрежет зубами (бруксизм) — пломба быстро сотрется или сломается.
- Первый и третий триместр беременности — в это время лучше не вмешиваться в организм матери, чтобы не допустить выкидыша или преждевременных родов.
- Слишком сильно разрушение зуба — пломбу просто негде будет закрепить, да и высокую нагрузку большое количество композита не выдержит.
- Полное отсутствие зуба. Из композита можно сделать адгезинвый мост, но это уже другой вид восстановления, поэтому именно композитная реставрация в этом случае невозможна.

Какие пломбы используются для композитной реставрации
Существуют различные разновидности композита, но для эстетических реставраций обычно используются следующие зарубежные материалы:
- Filtek (США) — нанокомпозит, подходящий для реставрации передних и жевательных зубов. Отличается высокой прочностью, но меньше эстетикой, так что обычно используется для зубов вне зоны улыбки.
- Venus (Германия) — популярный светоотверждаемый композит, позволяет создать одновременно прочные и эстетичные реставрации. Устойчив к жевательным нагрузкам.
- Enamel Plus (Италия) — обладает способностью со временем адаптироваться к натуральному цвету зубов. Очень пластичный, имеет огромную палитру оттенков, так что создать с его помощью эстетичную реставрацию очень просто.

Все эти композиты прямые, то есть новый зуб создается прямо во рту пациента. Существуют еще непрямые композиты — зуб из них лепится по слепку и запекается в печах. Такие конструкции получаются более прочными, но изготавливать их сложнее и дольше. Из непрямых композитов обычно делают вкладки или накладки для передних зубов — композитные виниры. Также из них изготавливают адгезивные мосты. Такие материалы используются реже, так как для непрямой реставрации лучше взять более прочную керамику или металлокерамику.
Виды композитной реставрации
Обычная пломба — тоже композитная реставрация, так как она восстанавливает форму зуба. Но обычно под эстетической реставрацией имеют ввиду:
- Формирование пломбы при достаточно серьезном и заметном разрушении зуба. Например, восстановление скола на переднем зубе или жевательных выступов на заднем.
- Создание специальных композитных виниров — накладок, которые перекрывают зубы спереди и полностью маскируют сколы, трещины и потемнение эмали.
- Вкладки — крупные конструкции, заменяющие большую часть жевательного зуба. Изготавливаются непрямым методом.
Достоинства и недостатки композитной реставрации
Плюсы:
- Поставить композитную реставрацию можно меньше, чем за час, не нужно снимать слепки и ждать протеза.
- Стоимость пломбы ниже, чем любого протеза.
- Обтачивать зуб под пломбу нужно минимально, здоровые ткани почти не повреждаются, удалять пульпу не нужно.
- Иногда реставрацию можно провести без анестезии, так что процедура доступна и людям с аллергией на анестетики.
- Поставить композитную реставрацию можно и ребенку —в то время, как протезы вредны для детских зубов и формирования прикуса.
Минусы:
- Со временем реставрация теряет блеск и темнеет под действием пищевых красителей. Особенно это неприятной на передних зубах. Чтобы сохранять эстетику, придется менять пломбу раз в 2-3 года.
- Композит более хрупкий, чем живые зубы или керамика, он легко может сломаться от обычной жевательной нагрузкой. Поэтому даже если вас не беспокоит эстетика, реставрация вряд ли прослужит дольше пяти лет.
- При серьезном разрушении зуба поставить пломбу нельзя.
- Даже свежеустановленная пломба по эстетике уступает цельной керамике, иногда ее можно заметить.
Из этого следует вывод — реставрации более уместны на жевательных зубах, и то лишь в качестве временного решения. В будущем их лучше заменить на вкладку или коронку, либо хотя бы обновить, для сохранения прочности.
Как проводится композитная реставрация зуба
Композитная реставрация хороша тем, что к ней обычно не нужно готовиться — после скола или разрушения можно сразу прийти к стоматологу и уйти уже со здоровым зубом. Конечно, если цель реставрации — восстановление эстетики, то можно провести чистку зубов от камня и налета, чтобы лучше подобрать цвет композита. Но это не обязательно.
Первый этап фотополимерной реконструкции — это местное обезболивание. Оно нужно, если будут стачиваться ткани зуба. Если сточить нужно мало, а болевой порог у пациента высокий, можно обойтись и без анестезии.
После этого бормашиной врач высверливает ткани, пораженные кариесом (если зуб больной), убирает старую пломбу (если она есть) или просто немного стачивает эмаль, чтобы создать ровный край для фиксации пломбы.
Затем зуб изолируется от слюны. Это делается для того, чтобы во время работы влага не попала на пломбу и не помешала ее затвердеванию. Раньше для этого использовали ватные шарики, но они слишком ненадежные, так что сейчас применяется коффердам — латексный платок с отверстиями для зубов. Надежная изоляция от влаги позволит пломбе прослужить дольше — она не разрушится и не выпадет.
Затем начинается непосредственно реставрация. Стоматолог послойно наносит композитный материал разного цвета и прозрачности, чтобы сымитировать естественную зубную эмаль. Материалу придается форма зуба, затем он засвечивается специальной лампой.
Если восстанавливают жевательный зуб, то весь композит могут нанести за один раз — беспокоиться об эстетике вне зоны улыбки не нужно.
В конце пломба окончательно обтачивается, полируется и шлифуется, благодаря чему ее поверхность приобретает естественный блеск, гладкость и идеальную форму.
Вся процедура редко длится дольше часа.

Композитная реставрация на штифте
Если зуб разрушен более, чем на 50%, то композит легко может отломиться, причем вместе с ним трещину даст коронка или даже корень зуба. В этом случае для укрепления композитной реставрации используются штифты — специальные прочные конструкции, которые фиксируются в зубе и служат опорой для композита.
Раньше штифты делали из металла, но они повреждали зубы и просвечивали через пломбу, что нарушало эстетику. Сейчас применяются современные стекловолоконные штифты белого цвета, оптимального оттенка и эластичности. Они укрепляют реставрацию, не вредят зубам, незаметны и легко удаляются в случае необходимости.
К сожалению, штифты не идеальны — соединение тканей зуба и штифта может нарушиться, и тогда сломается вся реставрация. Из-за этого сейчас к штифтам прибегают реже, стараясь при сильном разрушении зуба устанавливать вкладки, виниры и коронки.
Читайте также:
- Синдром Хальбрехта (Halbrecht)
- Хирургические и нехирургические методы лечения тугоухости и шума в ушах
- Дифференциальный диагноз поясничной боли. Диагностический подход при поясничной боли.
- Синдром Шейерманна (Scheuermann)
- Первичная киста глазницы конъюнктивального происхождения: признаки, гистология, лечение, прогноз
