Ангиография, УЗИ при эректильной дисфункции
Добавил пользователь Евгений Кузнецов Обновлено: 01.12.2025
Для проведения УЗИ мошонки используют датчик используют для исследования поверхностно расположенных органов. Посредством УЗИ можно определять размеры исследуемого органа с точностью до миллиметра, что позволяет обнаруживать даже незначительные изменения и диагностировать патологию на ранней стадии ее развития.
Отдельным видом ультразвукового исследования является допплерография, или доплер УЗИ сосудов. Ее назначают для детального изучения кровообращения органа. Она позволяет определить скорость и объем кровотока в артериях и венах, увидеть тромбы в них, обнаружить сужение сосудов. Допплерографию назначают пациентам для диагностики варикозного расширения сосудов мошонки (варикоцеле).
Протокол УЗИ органов мошонки должен дать информацию о:
- параметры яичек
- размеры и контуры их придатков
- наличие свободной жидкости в мошонке
- толщину стенок органа
- наличие или отсутствие варикозный трансформированных вен мошонки и их диаметры
У яичек овальная форма, одно из них обычно чуть больше другого. Как правило, левое опущено немного ниже правого. Для мужчин считается нормальным размеры яичек, не превышающие 4-5 см в длину, 3 см в ширину, 2 см в толщину. Считается допустимым незначительное отклонение одного из параметров.
Подготовка и проведение исследования
Не требуется специальной подготовки, кроме соблюдения гигиены половых органов. Чтобы не испытывать дискомфорт после УЗИ мошонки, мужчинам рекомендуют сбривать волосы в области паха. Гель, который используют для УЗИ, остается на коже и волосах , одежда может промокнуть.
Занимает исследование около 15-20 минут
Когда пациент имеет варикоцеле справа, или когда варикоцеле возникло внезапно, наблюдается постоянно, даже в горизонтальном положении, или при неэффективности оперативного лечения -требуется обязательное более глубокое исследование. В этих случаях, необходимо проведение УЗИ брюшной полости, компьютерной томографии, ангиографии, чтобы исключить стеноз почечной вены или её сдавление опухолью или фиброзными спайками .
Заболеваемость МКБ в Российской Федерации (2005-2016 гг) Скрининг РПЖ: современное представление и организация Первично-множественный рак переходноклеточного эпителия Андрогенный скрининг у мужчин старше 50 лет
Роль стволовых клеток в лечении недержания мочи Перкутанная нефролитотрипсия при инфицированной моче Протезирование яичка в детском и подростковом возрасте: результаты мультицентрового исследования Преждевременная эякуляция - современное состояние проблемы
Альтернативные методы лечения локализованного рака предстательной железы Частичное удвоение уретры: парауретральный ход Сравнительный обзор одноразовых гибких уретеронефроскопов
Распространенность симптомов нарушения функции нижних мочевых путей у мужчин по результатам популяционного исследования Модель пациент-центрированной системы организации медицинской помощи.
Прогнозирование развития эректильной дисфункции и сердечно-сосудистых заболеваний Прогностические факторы выживаемости больных при раке предстательной железы
Рекомендации по лечению рака предстательной железы с помощью высокомощностной внутритканевой лучевой терапии (брахитерапии). Экспертное совещание
Радиоизотопная лимфосцинтиграфия при РПЖ Метаболические факторы риска и формирование мочевых камней Ампутация мочеточника при выполнении контактной уретеролитотрипсии
Принципы «Медицины 4П» в организации медицинской помощи на примере урологических заболеваний Изменения электролитного состава мочи под действием гипохлорита натрия. Возможность уменьшения риска рецидива нефролитиаза
Предварительные результаты многоцентрового исследования РПЖ Анализ оказания специализированной медицинской помощи пациентам с макрогематурией, почечной коликой.
Медицинская помощь пациентам с острой задержкой мочеиспускания Прогностическое значение истинного кастрационного уровня тестостерона..
Предикторы гиподиагностики рака мочевого пузыря Сохранение фертильности у больных опухолями яичек Цитокиновый статус больных с хроническим циститом
Современная демографическая ситуация в России Определение мутаций генов FGFR3 и PIK3CA в ДНК из осадка мочи у больных раком мочевого пузыря
Нейроэндокринная дифференцировка при раке предстательной железы Роль вирусов в канцерогенезе рака мочевого пузыр..
Клинико-экономическая оценка скрининга РПЖ Комбинация РСАЗ TMPRSS2-ERG в диагностике РПЖ: первый опыт Рекомендации по лечению РПЖ методом низкодозной .
Роль дистанционного образования в повышении уровня специалистов первичного звена здравоохранения. Сравнительный анализ онкологических результатов ..
Организация работы по улучшению клинических и экономических результатов медицинской помощи при раке предстательной железы Сравнение результатов открытой, лапароскопической и робот-ассистированной нефрэктомии при раке почки Сравнительный анализ функциональных результатов позадилонной ..
Медико-экономические аспекты комплексной этапной стандартизированной программы диагностики и лечения доброкачественной гиперплазии предстательной железы
Уронефрологическая заболеваемость и смертность в РФ за 2002-2012 Андрогены и ишемия в патогенезе ДГПЖ РСА3: первые результаты
Стандартизированная программа диагностики и лечения ДГПЖ Хромограмма-А сыворотки крови при заболеваниях предстательной . Задержанная эякуляция
Заболеваемость МКБ в Иркутской области HIFU-терапия местного рецидива рака. Внепростатические источники простатического.
Программа "Урология" в Воронежской области Анализ уронефрологической заболеваемости Ожирение и мочекаменная болезнь
Клинико-экономический анализ оперативного лечения РПЖ Брахитерапия РПЖ: постимплантная дозиметрия и зависимость. Моделирование канцерогенеза предстательной железы
Урологическая заболеваемость в Нижегородской области Стресс, метаболический синдром и хроническая болезнь почек TVT - 10 лет в России
Программа «Урология» - модернизация здравоохранения Ишемия мочевого пузыря как причина его дисфункции . Современные тенденции в эпидемиологии, диагностике .
Урологическая заболеваемость в РФ в 2005-2010 годах Трансуретральная энуклеация предстательной железы (TUEB) Влияние стандартизации методов определения ПСА на .
Инвалидность вследствие заболеваний мочеполовой системы в РA Стандартизация терминов, методов получения и представления . Эректильная дисфункция у пациентов с .
Уронефрологическая заболеваемость детей в Российской Федерации Структура урологических заболеваний в популяции . Стандартизированный подход к ведению больных с МКБ
Урологическая заболеваемость в РФ в 2002-2009 годах Сравнительный анализ клинических и экономических. Клинико-статистическая классификация андрологических .
Оперативное лечение рака предстательной железы Влияние фетальных костномозговых мезенхимальных . Патогенное минералообразование в почках .
Анализ некоторых аспектов обеспечения заместительной . Российская система последипломного образования Образовательная программа подготовки резидентов
Уронефрологическая заболеваемость детей в РФ Первые результаты целевой программы диагностики . Оценка мужского репродуктивного здоровья молодежи .
Анализ уронефрологической заболеваемости в РФ Объем выборки для популяционного изучения общей . Морфологические изменения в ткани предстательной .
Николай Алексеевич Лопаткин - основатель НИИ урологии Фундаментальные исследования в НИИ урологии 30 лет НИИ Урологии
Главное меню
Современные возможности визуализации рака предстательной железы при комплексном обследовании
Новая парадигма лечения рака предстательной железы (РПЖ) заключается в том, что нужно обязательно получить опухолевые клетки; знать количество и точную локализацию этих клеток; определить самый агрессивный фокус опухоли. Американцы называют РПЖ «русской рулеткой», и они во многом правы. В 70% случаев РПЖ не агрессивен. И только 30% новообразований опасны для пациента, причем наиболее опасен, как правило, один фокус, который приводит к прогрессированию, метастазированию заболевания, и в итоге - к гибели пациента.
Американцы ожидают в 2011 г. около 200 000 новых случаев РПЖ, который в США вышел на второе место по заболеваемости после рака легкого. Предполагается, что до 30% пациентов умрут от этого заболевания. У каждого седьмого мужчины потенциально можно найти раковые клетки в предстательной железе.
Известно, что 90% успеха лечения любого заболевания - точная диагностика. Сегодня широко обсуждаются диагностические возможности и методы магнитно-резонансной томографии (МРТ) при РПЖ. Идет поиск ответа на вопрос: является ли МРТ методом выбора при диагностике РПЖ? Многие считают, что это так. Что касается роли компьютерной томографии (КТ) и позитронно эмиссионной томографии (ПЭТ), или ПЭТ/КТ, то их значение пока еще определяется.
Обзор современных методов визуализации РПЖ
Трансректальное ультразвуковое исследование (ТРУ ЗИ)
В США и многих европейских клиниках считают, что роль ТРУЗИ сводится к навигации для правильного выполнения биопсии предстательной железы (рисунок 1).

Рисунок 1. Диагностическая информативность трузи в В-режиме при РПЖ
Однако, новые УЗ-технологии опровергают это мнение. Выполнение УЗИ также дает информацию о центральной, периферической части железы и о капсуле. УЗИ с допплеровским картированием, особенно при использовании эхоконтрастных средств, позволяет улучшить визуализацию и распространенность РПЖ (рисунки 2, 3).

| • симметричность васкуляризации • распределение сосудов • зоны деформации сосудистого рисунка • типы сосудистых рисунков железы при различных заболеваниях |
Рисунок 2. Возможности 3d-ангиографии при исследовании сосудов предстательной железы
![]() | ![]() | ![]() |
Рисунок 3. Эхоконтрастное ультразвуковое исследование при РПЖ
Соноэластография
Американские исследователи подчеркивают приоритетное значение этой технологии в ультразвуковой диагностике РПЖ. Метод основан на определении не только ультразвуковых характеристик, но и эластичности ткани предстательной железы (рисунок 4).

Рисунок 4. Эластография: мультифокальный РПЖ
Известно, что злокачественные клетки расположены очень плотно, а эластичность опухоли резко снижена. Это и определяет уролог при пальцевом исследовании предстательной железы. Однако, каменистая плотность свидетельствует, как правило, о распространенном процессе. На ранних стадиях - пальпаторно определить уплотнение в железе невозможно. Ультразвуковой аппарат с функцией эластографии, помимо получения изображений в режиме серой шкалы, позволяет осуществлять цветовое картирование зон с различной эластичностью: обычная ткань окрашивается зеленым цветом, а ткань, подозрительная на неопроцесс - синим. При использовании эндоскопического датчика можно определить инвазию опухоли в капсулу предстательной железы.
Гистосканнинг (histoscanning)
В настоящее время в мире только около 50 клиник владеют прибором для гистосканнинга. В России это оборудование поступило в наш медицинский центр и в Научно-исследовательский институт урологии. Это совершенно новая технология, совмещающая анализ классических ультразвуковых изображений, полученных в режиме серой шкалы в сопоставлении с компьютерной библиотекой ультразвуковых исследований пациентов с гистологически подтвержденным раком предстательной железы и другими ее заболеваниями. На большом материале, выполненном в разных клиниках Европы, сделано более 12 000 патоморфологических и ультразвуковых сопоставлений, которые дали уникальный материал для электронной экспертной системы. Однако эта перспективная технология нуждается в широком изучении.
Магнитно-резонансная томография (МРТ ) и УЗИ
МРТ сегодня рассматривается как базовый метод диагностики РПЖ. На Т1 и Т2 взвешенных изображениях в предстательной железе очень хорошо видны опухолевые фокусы. Совершенно новые возможности дает метод диффузно взвешенных МРТ-изображений. Известно, что злокачественные клетки содержат очень мало воды и имеют низкий коэффициент диффузии. Поэтому они хорошо выделяются на фоне здоровых клеток, в которых содержится большое количество воды. Благодаря этому, диффузно-взвешенные изображения позволяют хорошо визуализировать злокачественных новообразований предстательной железы (рисунок 5).

Рисунок 5. Магнитно-резонансная томография на 3Т МР томографе с эндоректальной катушкой
Магнитно-резонансная томография с динамическим контрастированием
Метод позволяет определить подозрительные участки с наличием опухолевых клеток по скорости накопления в них контрастного препарата. Для методики характерен очень высокий пик накопления в участках опухоли за счет высокой ее васкуляризации и неоангиогенеза. В норме накопление парамагнетика происходит в течение 60 секунд. При РПЖ этот показатель снижается до 20-30 секунд (рисунок 7).

Рисунок 7. МРТ с динамическим контрастированием
Магнитно-резонансная спектроскопия
Известно, что злокачественные клетки имеют очень низкий метаболизм цитрата, но высокое содержание холина и креатина. Поэтому показатель соотношения холин-креатин/цитрат может способствовать диагностике рака. МР-спектроскопия уже давно существует на рынке, и последние работы говорят о том, что ее действительно можно использовать как дополнительный метод в диагностике РПЖ (рисунок 6).

Рисунок 6. МР-спектроскопия при РПЖ
Перспективы диагностики РПЖ
На Европейском радиологическом конгрессе в марте 2011 г. были прочитаны блестящие доклады профессорами из нескольких зарубежных клиник по проблеме диагностики РПЖ. Профессор Баренс представил технологию мульти-параметрической МР-томографии, в которой в совокупности используются данные Т2-взвешенных, диффузно-взвешенных изображений, и МР с контрастированием, но в условиях параметрического сканирования (рисунок 8).

Рисунок 8. Мультипараметрическая МР-томография при РПЖ
Окраска в красный цвет зон на МР-томограммах свидетельствует об очень быстром накоплении контрастного вещества в участке, подозрительном на РПЖ. Все полученные данные синтезируются в одно изображение предстательной железы.
Заключение
Тема диагностики РПЖ очень социальна, но ее важность осознана обществом не до конца. В настоящее время нет единственного эффективного метода диагностики РПЖ. Существующие методы используются на разных этапах - первичной или уточняющей диагностики. При этом выбор метода - это всегда компромисс, а наилучший результат наблюдается при объединении возможностей известных методов.
Многое возможно сделать уже сегодня. Это - методологически правильно организованный скрининг, использование самых современных ультразвуковых методов, таких как эластография, гистосканнинг, а также возможности инновационных МРТ-технологий. Перспективным является создание междисциплинарных рабочих групп для изучения новых технологий и их внедрения в повседневную практику.
Ключевые слова: рак предстательной железы, гистосканирование, МРТ, эластография.
Keywords: prostate cancer, histoscanning, MRI, elastography.
Эректильная дисфункция
![]()
С каждым годом увеличивается количество пациентов с эректильной дисфункцией среди лиц молодого возраста. В числе основных причин этой патологии существенную роль играет нарушение кровотока в сосудах полового члена, обусловленное как органическими, так и функциональными факторами. Появление новых поколений ультразвуковых приборов, датчиков, работающих в широком частотном диапазоне, развитие различных видов доплеровских методик позволили усовершенствовать исследование полового члена и его сосудов. Визуализация мельчайших структур полового члена и его сосудов с помощью высокочастотных линейных датчиков не представляет труда. Знание нормальной анатомии полового члена, особенностей его кровоснабжения делает этот метод успешным.
Половой член состоит из тела, головки и основания. В теле различают два кавернозных и одно губчатое тело. Белочная оболочка - это соединительнотканный покров, обеспечивающий структурную основу полового члена. Кровоснабжение осуществляется ветвями внутренней срамной артерии. В половом члене выделяют главные артерии: кавернозные и дорсальные. Также имеется дорсальная вена, по которой осуществляется отток крови.

С физиологической точки зрения процесс эрекции начинается с активации парасимпатической нервной системы, включая крестцовые нервы 2, 3, 4.
Для нормальной эректильной функции необходимы следующие условия:
- нормальное психологическое состояние;
- нормальный гормональный баланс;
- сохранение иннервации полового члена;
- нормальное состояние кавернозной ткани;
- адекватный артериальный приток крови;
- нормальное функционирование клапанов вен.


При ультразвуковой диагностике проводится оценка структуры кавернозных и спонгиозных тел, белочных оболочек, проверяется состояние кавернозных, дорсальных артерий и дорсальных вен. Доплерографическая оценка сосудов полового члена проводится под медикаментозной нагрузкой.
К артериальной недостаточности полового члена приводят разные патологические процессы, такие как врожденные аномалии развития артериального русла, травматические поражения артерий, атеросклероз и др.
Сосудистые нарушения при артериальной недостаточности сводятся к снижению притока артериальной крови к половому члену в целом и к его кавернозным телам в частности. У пациентов с артериальной эректильной дисфункцией пиковая систолическая скорость кровотока в покое не превышает 12 см/с. Наличие мощной заместительной (коллатеральной) сети между артериями различного калибра позволяет в ряде случаев врожденных аномалий избежать развития эректильной дисфункции.
Отсутствие кровотока на одной стороне при эрекции может свидетельствовать об отсутствии кавернозной артерии. В таких случаях одностороннее отстутствие кавернозной артерии без адекватного шунта может приводить к артериогенной эректильной дисфункции полового члена.

Для определения артериальной дисфункции используют медикаментозную пробу. Отсутствие или недостаточное увеличение диаметра сосудов свидетельствует о нейрогенном нарушении регуляции кровотока или о потере эластичности стенок артерий. Низкая величина скорости крововтока - менее 25 см/с после приема вазоактивного препарата является одним из показателей артериальной эректильной дисфункции . При цветном доплеровском исследовании значительная асимметрия кровотока в спиральных артериях также является признаком эректильной дисфункции.
Нарушения венооттока при эрекции могут быть обусловлены недостаточным расслаблением гладких мышц синусов кавернозных тел, структурными изменениями, возникающими в пещеристом теле и ведущими к уменьшению эластичности кавернозной ткани. К нарушениям могут приводить различные изменения на уровне венозных сплетений и глубоких вен полового члена. Генетические особенности строения венозной системы полового члена также могут приводить к развитию венозной недостаточности. Проведение различных функциональных проб помогает диагностировать венозную эректильную дисфункцию. При дистальной компрессии усиление обратного кровотока в глубокой дорсальной вене в ригидной (твердой) фазе указывает на венозную недостаточность.
Таким образом все это свидетельствует о больших возможностях ультразвукового исследования и доплерографии полового члена.
Эректильная дисфункция и импотенция

Эректильная дисфункция у мужчин или импотенция проявляется невозможностью осуществить половой акт из-за плохого наполнения полового члена кровью. Симптомом эректильной дисфункции является состояние, когда по различным причинам половой член не может достигнуть необходимой упругости для введения его в половые пути партнёра, либо его напряжение прекращается раньше, что не позволяет успешно завершить половой акт. Нарушением способности к половому акту из-за сниженной эрекции страдают свыше 150 миллионов мужчин в мире, полная невозможность совершить половой акт называется импотенцией. У мужчин старше 40 лет проблема эректильной дисфункции и импотенция встречается в несколько раз чаще, чем у более молодых людей и влияет на качество жизни.
Лечение импотенции может быть успешным при использовании современных методов восстановления сосудов и коррекции психологических нарушений и образа жизни мужчины. Важно понимать, что поражения сосудов не самая частая причина импотенции, тогда как более 80% случаев полового бессилия объясняются психологическими проблемами. Факторами риска являются ожирение, сахарный диабет и хронические интоксикации алкоголем и никотином. Знания об импотенции мужчины чаще черпают из статей в бульварных журналах, стесняясь своевременно обратиться за помощью, заняться своим здоровьем и избавиться от вредных привычек.
Уникальный метод лечения венозной эректильной дисфункции
Лечение эректильной дисфункции и импотенции у мужчин требует комплексного подхода и детальной диагностики. Инновационный сосудистый центр не совсем обычная частная клиника сосудистой хирургии. Мы - сообщество прогрессивных врачей, стремящихся внедрить новейшие методы диагностики и лечения сосудистых заболеваний. Большой опыт восстановительных сосудистых операций помог нам приобрести необходимые компетенции для лечения импотенции у мужчин. Мы можем провести полноценную диагностику артериальной и венозной патологии, выполнить восстановление кровотока по внутренним подвздошным артериям и устранить препятствия для венозного оттока по глубоким венам, уменьшить венозную утечку во время эрекции с помощью эмболизации соответствующих вен.
Уникальная технология одновременной кавернозографии и операции на некомпетентных венах при веногенной эректильной дисфункции позволяет точно устранить проблему в рамках одной эндоваскулярной операции. Подробнее
Причины и направления лечения эректильной дисфункции
- Психологическая форма эректильной дисфункции у мужчин
Это самая частая форма нарушений потенции, которая чаще встречается у молодых мужчин. Первым специалистом, к которому мужчине нужно обратиться должен быть психолог или сексопатолог. Беседа с психологом и психотерапевтом позволяет избавиться от комплексов полового неудачника при позитивном настрое на выздоровление у пациента. Заподозрить психологическую форму импотенции возможно при тщательном опросе пациента, выяснении его сексуального анамнеза, анализа симптомов и факторов риска. Окончательный вывод можно сделать после специального обследования, включающего лабораторные и аппаратные методы. Исключив стресс, сосудистые и неврологические заболевания, пациенту нужно только настроиться на выздоровление и получить психологическую помощь. Врач редкой специальности — сексопатолог поможет выявить психологические сложности мешающие достигнуть гармонии в половой жизни и дифференцировать различные формы эректильной дисфункции. Трудно представить, но обсуждение проблем в сексуальной сфере и проработка различных аспектов психологии взаимоотношений приводит к восстановлению половой жизни у абсолютного большинства пациентов. В нашем центре психолог проводит тестирование для выявления степени тревожности у пациентов с импотенцией и дифференцирует психогенные нарушения от органических поражений.
Важной причиной возникновения импотенции является поражение периферических нервов, которое возникает при различных метаболических заболеваниях. Чаще всего это сахарный диабет. Полинейропатия при диабете снижает чувствительность кожи полового члена, что уменьшает нейростимуляцию процесса возникновения эрекции и её поддержания во время полового акта. Обычная сосудистая терапия при импотенции на фоне сахарного диабета не действует. Различные седативные препараты, адреноблокаторы и другие препараты от давления также могут снижать потенцию у мужчин. Банальный остеохондроз поясничного отдела позвоночника может приводить к нарушению иннервации половых органов и развитию импотенции. Хроническая алкогольная или наркотическая интоксикация вызывают поражения нервной системы, снижение или полное отсутствие либидо и импотенцию. Болезни и травмы спинного мозга способствуют прерыванию нервных импульсов, запускающих процесс эрекции и являются одной из многих причин нейрогенной импотенции.
Главную роль в механизме развития сосудистых половых расстройств играет приток артериальной крови через систему внутренних подвздошных артерий. Перед половым актом и во время него количество крови в половом члене увеличивается в 10 раз, а давление в артериях возрастает до 300 мм.рт.ст. У пациентов с атеросклеротическими поражениями подвздошных артерий теряется возможность увеличения притока крови. На этом факте устанавливается диагноз васкулогенной импотенции. С точки зрения лечения, эти нарушения самая благоприятная для восстановления форма эректильной дисфункции. Методы эндоваскулярной сосудистой хирургии позволяют улучшить проходимость подвздошных артерий, устранить расстройства кровообращения и решить проблему эректильной дисфункции.
Венозный отток из полового члена во время эрекции блокируется мышцами промежности, сжимающими член у основания. Это способствует переполнению пещеристых тел кровью и проявляется поддержанием хорошей эрекции. Утечка крови из члена при плохой функции этого механизма или при вторичном варикозе вен на фоне тазовой гипертензии приводит к ослаблению эрекции во время полового акта. Лечение нарушений потенции подразумевает устранение сосудистых причин и психологическую коррекцию. Различные виды сосудистых заболеваний приводят к различным видам эректильной дисфункции. Так при поражении магистральных артерий таза эрекция возникает медленно, но если возникает, то полная, что позволяет благополучно завершить половой акт. При поражении мелких сосудов полового члена эрекция возникает, но часто не достигает стадии пригодной для введения члена в половые пути. Этот вид нарушения кровообращения сложнее поддаётся лечению.
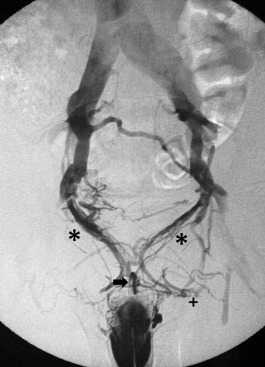
Кавернозография

Динамическая кавернозография - это диагностический тест, направленный на изучение причин веногенной эректильной дисфункции, и проводится при исключении других причин слабой потенции у молодых пациентов. Венозная утечка из эрегированного полового члена может развиться по разным причинам. Чаще всего это врождённое состояние или следствие тазовой венозной гипертензии (варикоцеле). При веногенной импотенции эрекция возникает, но она нестойкая, что не позволяет завершить половой акт. После выявления причин эректильной слабости у доктора появляется объект лечебного воздействия - несостоятельная вена, которую можно закрыть и улучшить эрекцию.
Преимущества исследования в Инновационном сосудистом центре
В нашей клинике имеется всё необходимое оборудование для проведения ангиографических исследований. Это современный ангиографический комплекс Phillips, набор манометров и автоматических инъекторов. Команда наших специалистов владеет всеми современными методами диагностики и лечения сосудистых заболеваний. Каждый год мы успешно оперируем не менее 50 пациентов с тазовой флебогипертензией. Технология и показания к проведению кавернозографии отработана до мелочей и даёт высокую диагностическую ценность, а цены на кавернозографию доступнее для наших пациентов. Профессиональный подход и внедрение новых технологий для решения серьёзных проблем являются визитной карточкой Инновационного сосудистого центра.
![Кавернозография - венозные утечки из эрегированного члена]()
Как проводится кавернозография
Обследование проводится в кабинете цифровой субтракционной ангиографии. Во время исследования пациент находится в положении лёжа на спине. С целью обезболивания проводится проводниковая анестезия с введением у основания полового члена 10 мл 2% лидокаина. Затем основание пениса передавливается тонким резиновым жгутом.
Для стимуляции эрекции вводится 2 мл (в дозе 10 мкг простагландина Е1) вазапростана в пещеристое тело по боковой поверхности очень тонкой иголочкой. Затем напротив этой иглы пунктируется такой же иглой другое пещеристое тело и к игле, через удлинитель присоединяется специальный манометр. После этого проводится дополнительная пункция иглой для забора крови (21G) в средней части правого кавернозного тела и игла соединяется с инфузионным насосом для введения контраста.. Важно отметить, что игла должна хорошо фиксироваться на половом члене.
![Патологический венозный дренаж из члена]()
Ход исследования
В процессе подготовки к выполнению кавернозографии сначала проводится измерение давления в пещеристых телах. В расслабленный пенис через инъекционный насос вводится 60 мл физиологического раствора + 20 мл контрастного препарата со скоростью 0,4 мл / с. Через 10 минут наступает эрекция полового члена. С целью визуализации заполнения кавернозных тел с боковых и прямых проекций после введения контраста выполняются рентгеновские снимки. При достижении интракавернозного давления в 150 мм.рт.ст. нагнетание раствора уменьшали до 0,1 мл в секунду для поддержания хорошей эрекции. При снижении артериального давления в пещеристых телах выполняли кавернозографию на фоне увеличения скорости инфузии.
Такой метод имитировал естественную эрекцию, а её ослабление в процессе исследования позволяло выявить наличие различных патологических венозных сбросов. Такая кавернозография даёт достаточно информации о венозных утечках, однако существует риск развития приапизма, а контрастирование дорсальной вены полового органа позволит определить эти утечки без необходимости интракавернозных инъекций. Однако прямая кавернозография необходима для выявления изменений органической структуры пениса при болезни Пейрони и разрывов в кавернозных телах.
Динамическая компьютерная томография (МСКТ) полового члена с контрастом по своей диагностической ценности сопоставима с кавернозографией, однако не показывает динамику движения венозной крови в половом члене во время эрекции. Выявление во время компьютерной кавернозографии патологических утечек в зоне ствола и ножек полового члена позволяет планировать лечебное вмешательство. Хорошая анатомическая визуализация при МСКТ способствует выявлению другой патологии пениса, оценить артериальный приток во время эрекции. Проблемой МСКТ исследования является невозможность записать динамику движения контраста по органным сосудам и динамику нарушений венозного оттока.
![Дорсальная флебография вен полового члена]()
Особенности исследования в нашей клинике
Для того чтобы получить объективные данные о состоянии венозного оттока из полового члена, с возможностью одномоментной коррекции патологической утечки мы разработали технологию флебографии глубоких вен полового члена во время эрекции. Техника заключается во введении через ангиографический катетер без пункции кавернозных тел вазоактивного препарата (алпростадила или папаверина). После возникновения эрекции проводится пункция глубокой дорсальной вены пениса под УЗИ контролем.
Установив в просвет ангиографический катетер, мы вводим контрастное вещество в вену и наблюдаем за патологическими утечками. При выявлении утечки мы можем сразу выполнить её эмболизацию спиралью, чем устраняем проблему. Такой прицельный метод обладает максимальной эффективностью и безопасностью для пациента. Результат пациенты отмечают уже через неделю после вмешательства.
После диагностики
После динамической кавернозографии необходимо наблюдение в клинике не меньше суток. В зависимости от процедуры может быть рекомендовано отдыхать в постели в течение определённого периода времени. Доктор проанализирует полученные результаты и напишет своё заключение по результатам теста.
Пациенты должны пить большое количество жидкости, чтобы вывести контрастный раствор из организма с мочой. Область в месте введения катетера возможно будет побаливать в течение нескольких дней. Если вы заметите отёк, покраснение, боль или повышение температуры, сообщите об этом врачу. В большинстве случаев пациент может возобновить обычные действия на следующий день.
Возможные осложнения
Они встречаются относительно редко, не более 1% исследованных пациентов. Самым опасным осложнением после стимуляции эрекции является приапизм. Это состояние характеризуется полным блокированием венозного оттока из эрегированного пениса в течение нескольких часов с развитием тромбоза пещеристых тел и требует неотложной медицинской помощи. Подобное состояние может закончиться необратимым фиброзом члена.
Доктору необходимо осматривать больного каждые полчаса после исследования, чтобы своевременно заметить осложнения и принять меры. При подозрении на приапизм необходимо наладить внутривенную инфузию антикоагулянтных препаратов (гепарина). Важным методом лечения является пункция кавернозных тел с последующим промыванием их гепаринизированным раствором добавлением адреналина. Своевременное применение этих методов позволяет купировать приапизм у большинства пациентов.
Воспаление кавернозных тел - осложнение связанное с введением различных веществ в пенис. В условиях стерильной рентгеноперационной комнаты такое осложнение встречается крайне редко и только у ослабленных другими заболеваниями пациентов.
Кавернозография остаётся самым эффективным методом диагностики веногенной эректильной дисфункции и позволяет разработать вмешательство для восстановления полноценной эрекции.
Читайте также:
- Лабораторная диагностика неотложных состояний. Стратегия лечения неотложных состояний.
- Топография средостения. Верхнее средостение. Нижнее средостение. Переднее средостение. Среднее средостение. Заднее средостение.
- Случай особенного дебюта и течения антисинтетазного синдрома у больной дерматомиозитом
- Мотивационное поведение. Влияние на систему мотивационного поведения
- Этапы и техника операции при разрыве малоберцовой связки






