Биохимия начального кариеса. Кариозный процесс
Добавил пользователь Владимир З. Обновлено: 13.12.2025
Начальный кариес - это процесс деминерализации поверхностного слоя зубных тканей, который характеризуется изменением цвета эмали при отсутствии кариозной полости. Основной симптом - появление на эмали практически безболезненного белого или коричневого пятна, представляющего эстетический дефект. Диагностика проводится путем клинического осмотра, сбора анамнеза и жалоб, зондирования, витального окрашивания и электроодонтометрии. Лечение осуществляется с помощью реминерализующей терапии, глубокого фторирования, пломбирования, герметизации фиссур, физиотерапии.
МКБ-10

Общие сведения
Начальный кариес называют стадией пятна, что характеризует основной симптом патологического процесса. Пятно - это первая фаза кариозного поражения, за которой следует поверхностный кариес. Патология являет собой прогрессирующий процесс деминерализации, размягчения и разрушения зубной эмали инфекционного генеза. Заболеванию подвержены люди разного возраста, пола и этнической принадлежности. Кариес в стадии пятна чаще поражает детские молочные зубы, локализуется преимущественно на пришеечных поверхностях зубов, но может возникать в фиссурах, слепых ямках и на апроксимальных поверхностях.

Причины начального кариеса
В возникновении заболевания играет роль множество этиологических факторов. Основной причиной возникновения кариеса принято считать наличие кариесогенных микрорганизмов, которые ферментируют углеводы и вырабатывают кислоты, разрушающие поверхностный слой эмали. Выделяют общие и местные факторы, которые способствуют патологическому процессу:
- Низкий уровень гигиены полости рта. При недостаточном гигиеническом уходе на зубах скапливается мягкий и твердый налет, образуется бляшка, зубной камень. Зубные отложения содержат патогенные микроорганизмы, углеводы, остатки пищи, клетки эпителия, лейкоциты. Усугубляют неблагоприятную ситуацию нарушение pH и состава слюны, аномалии прикуса.
- Неправильное питание. Употребление большого количество углеводов, а именно - длительное пребывание их в полости рта, сопровождается интенсивным кариозным поражением. Немаловажной причиной болезни считается дефицит белка и витаминов в рационе. Множественный кариес наблюдается при недостатке фтора в питьевой воде.
- Внешние воздействия. Доказано, что ионизирующая радиация крайне негативно влияет на зубные ткани. Через 6-8 месяцев после лучевой терапии возникают множественные белые очаги поражения в пришеечных участках. Радиация вызывает снижение выделения слюны и создает благоприятные условия для кариесообразования.
- Наследственность. Наличие у человека неблагоприятного генетического фона делает его уязвимым к заболеванию. Это обусловлено особенностями строения эмали и дентина, а также химического состава твердых тканей зубов. У таких лиц при наличии местных факторов кариес развивается чаще и интенсивнее.
- Общие заболевания организма. Некоторые патологии (сахарный диабет, гипотиреоз, ревматизм, СПИД, болезни ЖКТ, рахит) снижают защитные свойства слюны, что способствует кариозному процессу. Существует мнение, что при воздействии сильного стресса на иммунную систему человека наблюдаются поражения зубов.
Патогенез
Пусковым механизмом развития начальной стадии болезни является наличие кариесогенной ситуации во рту. В зубном налете создаются подходящие условия для размножения микроорганизмов, которые синтезируют углеводы и образуют кислоты. В результате этого кислотная среда на поверхности зуба возрастает в десятки раз, происходит растворение кристаллов гидрокисиапатитов и деминерализация. При исследовании с помощью электронной микроскопии острая форма патологического процесса на разрезе имеет вид треугольника, а хроническая - трапеции. Широкое основание очага располагается на поверхности эмали. На стадии пятна отсутствует деструкция органической матрицы. Начальный кариес состоит из четырех зон, которые направлены к дентиноэмалевому соединению.
Первая зона - поверхностная, имеет толщину 20 микрон, характеризуется растворением пелликулы. При этом структура ткани сохранена, но имеет повышенную проницаемость. Подповерхностную зону называют «телом» поражения, в ней выражена деминерализация, количество минеральных микроэлементов уменьшено на 20%. Третья зона - гипоминерализации, в ней наблюдаются изменения структуры микропризм, несколько снижена микротвердость. Зона гиперминерализации характеризуется прозрачностью и располагается со стороны дентина. Она выражена при хроническом протекании процесса.
Классификация
Клиницисты выделяют фиссурный, апроксимальный и пришеечный кариес в виде пятна. По интенсивности поражения кариес бывает единичным (на 1 зубе), множественным (на нескольких зубах) и системным (поражает большинство зубов). По последовательности возникновения различают первичный и вторичный (рецидивирующий) начальный кариес. По клиническому течению выделяют следующие формы заболевания:
- Прогрессирующая. Характеризуется образованием белых и светло-желтых пятен на зубах, которые вызывают оскомину и дискомфорт. Начальный кариозный процесс протекает остро, зачастую вовремя не диагностируется. Стадия пятна существует небольшой период времени, через 2-3 недели переходит в поверхностный кариес.
- Интермиттирующая. Отличается появлением коричневых очагов на эмали без нарушения ее структуры. Изменения не вызывают неприятных ощущений, поэтому их могут принять за пигментацию. Заболевание характеризуется хроническим протеканием - более 2-3 месяцев.
- Приостановившаяся. При данной форме наблюдается темно-коричневое или черное образование. Заболеванию предшествует белое пятно, которое благодаря иммунитету полости рта не переходит в следующую стадию кариозного процесса, а пигментируется. Патология развивается длительно (3-4 месяца) и может существовать годами.
Симптомы начального кариеса
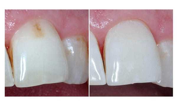
Клиническая симптоматика мало выражена, характеризуется образованием на зубе пятна круглой или овальной формы. Очаг деминерализации гладкий, может иметь разный оттенок от бело-желтого до темно-коричневого. Сначала появляется светлое пятнышко, безболезненное или несколько болезненное в зависимости от индивидуальной чувствительности. Во время употребления кислой и сладкой пищи отмечается чувство оскомины, дискомфорт. Через несколько месяцев очаговая деминерализация переходит в поверхностный кариес или насыщается пигментами полости рта и приобретает коричневый цвет. Как будет развиваться начальный процесс, зависит от кариесогенной ситуации, наличия общих и местных факторов болезни. Темный очаг поражения полностью безболезненный, пациенты жалуются на наличие эстетического дефекта.
Осложнения
При отсутствии своевременного лечения стадия пятна переходит в поверхностную стадию кариеса. Дальнейшее прогрессирование характеризуется разрушением зубных тканей и образованием полости. Происходит распространение микроорганизмов в более глубокие слои зуба. При расположении очага деминерализации между зубами возникает травмирование мягких тканей краями кариозной полости, что проявляется локализованным гингивитом. Самыми неприятными осложнениями являются пульпит (воспаление нерва) и периодонтит (воспаление периодонтальных тканей, окружающих корень). Вследствие этих заболеваний рано или поздно происходит потеря зубов.
Диагностика
Начальный кариес диагностируют с помощью основных и дополнительных методов исследования. Дифференциальную диагностику патологии стоматолог-терапевт осуществляет с гипоплазией, пятнистой формой флюороза, поверхностным кариесом. При этом учитывается время появления кариеса, локализация, динамика развития, результаты окрашивания. Для выявления заболевания применяют следующие методы:
- Осмотр и зондирование. Во время клинического осмотра врач оценивает локализацию, размер, цвет очага поражения. После просушивания зуба струей воздуха определяется четко ограниченное пятно с тусклой эмалью матового белого оттенка или пигментированный коричневый очаг. При зондировании наблюдается плотная гладкая и безболезненная эмаль.
- ЭОД. Для проверки зуба на витальность проводится электроодонтодиагностка - оценка состояния нервных элементов в пульпе. Результаты электроодонтометрии находятся в диапазоне 2-6 мкА, что соответствует живому зубу. ЭОД проводится для дифференциации со средним и глубоким кариесом, периодонтитом, пульпитом.
- Витальное окрашивание. Метод информативен для дифференциальной диагностики кариеса от гипоплазии и флюороза. При нанесении 2% метиленового синего на очаг поражения возникает синий оттенок тканей кариозного участка, при других патологиях ткани остаются без изменений. Чем сильнее окрашивается пятно, тем интенсивнее процесс деминерализации.
- Люминесцентный метод. Применяется для выявления патологии на апроксимальных (контактных) поверхностях зубов. При наличии пятна возникает тень в области разрушения тканей во время просвечивания. По размеру тени можно судить о степени кариозного процесса. При ультрафиолетовом излучении здоровые ткани люминесцируют, а в области кариозного очага люминесценция гасится.
Лечение начального кариеса
Терапия кариеса в стадии пятна включает комплекс мероприятий. Пациентам проводится профессиональная чистка, санация органов полости рта. Лечение зависит от формы протекания (острая или хроническая) и от локализации кариеса (на гладкой поверхности или в фиссурах). В современной стоматологии начальный кариозный процесс устраняют с помощью следующих методов:
- Реминерализующая терапия. Основной способ лечения острых форм болезни, который основан на восстановлении очагов деминерализации. Это осуществляется путем курса аппликаций на зуб лекарственных веществ - 3% ремодента, 10% раствора глюконата кальция, 2% раствора фторида натрия, различных фтористых лаков.
- Глубокое фторирование. Метод применяют, если реминерализация не принесла желаемых результатов. Лечение предполагает нанесение на очаги раствора магниево-фтористого силиката и гидроокиси меди-кальция. При этом образуются кристаллы фтористого силиката, которые на протяжении длительного периода (более года) выделяют фтор и укрепляют зуб.
- Инвазивная герметизация. Если начальный кариес локализируется в области фиссур, то независимо от формы патологии показана герметизация. Лечение предполагает расширение естественных борозд зуба бором небольшого размера и заполнение их специальным герметиком. При широких и открытых фиссурах этап расширения не проводят.
- Пломбирование. Коричневое пятно невозможно устранить с помощью терапевтических методов, так как в деминерализованный участок эмали проникли пигменты и красители. При небольшом размере очага поражения проводят сошлифовывание, при значительном размере - препарирование и пломбирование дефекта. Эмаль удаляют алмазным бором, обрабатывают антисептиком и пломбируют.
- Лечение без сверления - Icon. Современный способ лечения первой стадии кариеса. Основан на инфильтрации пораженных тканей специальным материалом, который отличается текучестью и проникает в пористую эмаль. При этом нейтрализуются кариесогенные микробы, и процесс разрушения тканей останавливается.
- Физиотерапевтические процедуры. Электрофорез лекарственных веществ проводят для терапии меловидного пятна. С помощью постоянного тока в подповерхностный слой эмали вводят микроэлементы, тем самым восстанавливая ее структуру. Для процедуры используется глюконат кальция и фторид натрия.
Прогноз и профилактика
При своевременной терапии прогноз патологии благоприятный. Чтобы заболевание не прогрессировало, начальную стадию кариеса необходимо лечить. Хроническая форма может длительно существовать в пределах эмали и не вызывать осложнений. Острая форма распространяется на подлежащие ткани, вызывает разрушение зуба и грозит осложнениями. Специфическая профилактика состоит в тщательном гигиеническом уходе за зубами, использовании фторсодержащих зубных паст, профилактическом запечатывании фиссур, посещении стоматолога 2 раза в год, проведении профессиональной гигиены. К общим профилактическим мерам относится соблюдение правильного рационального питания, лечение заболеваний организма, повышение иммунитета.
1. Кариес зубов. Этиология, патогенез, эпидемиология, классификация: учеб.-метод. пособие/ П. А. Леус - 2007.
Кариес зубов
Кариес зубов - процесс деминерализации и разрушения твердых тканей зуба с образованием полостного дефекта. Характеризуется появлением на эмали пигментного пятна желтовато-коричневого цвета, неприятного запаха изо рта, реакцией зуба на кислую, сладкую, холодную или горячую пищу, ноющей болью. При развитии глубокого кариеса возможно образование кист, присоединение пульпита, а затем и периодонтита. Запущенный кариес может привести к потере зуба. Наличие несанированных кариозных полостей повышает риск развития острых и хронических заболеваний организма.

Кариес зубов - это разрушительный процесс дистрофического или инфекционного характера, протекающий в кости или надкостнице и заканчивающийся полным или частичным разрушением зуба. Кариозная болезнь является самым распространенным заболеванием среди взрослого населения. По данным ВОЗ заболеваемость кариесом зубов в разных странах и среди разного контингента колеблется от 80% до 98%. В последние два десятилетия отмечается тенденция роста заболеваемости среди детей, особенно в экономически развитых странах и уже к 6-7 годам у 80-90% детей наблюдается кариес разной глубины.
Причины кариеса
Кариес зубов не является самостоятельным заболеванием, и важным патогенетическим звеном в его развитии выступают патологические состояния организма в целом. Так, снижение общего и местного иммунитета, патологии желудочно-кишечного тракта и погрешности в диете способствуют развитию кариеса.
На сегодняшний день теорий о возникновении кариеса около четырехсот, но большая их часть основана на том, что из-за нарушения гигиены полости рта на эмали появляется зубной налет, который и приводит к развитию кариозной болезни. Налет появляется из-за неправильной и нерегулярной чистки зубов, особенно в труднодоступных для чистки местах и в местах, откуда он не удаляется естественным путем во время жевания (боковые поверхности зубов, углубления жевательных поверхностей). Зубной налет прочно связывается с поверхностью зуба и является средой обитания для бактерий, большую часть из которых составляют стрептококковая флора. Минеральные соли, которые содержатся в слюне, способствуют уплотнению налета. Такие образования из зубного налета и минеральных солей называют зубной бляшкой.
Бактерии, обитающие в зубной бляшке, продуцируют молочную кислоту, которая деминерализует зубную эмаль. Деминерализация зубной эмали - это первый этап кариозного процесса. Полисахарид декстран, который продуцируется стрептококками из сахарозы, способствует процессу деминерализации, именно поэтому развитие кариеса связывают с употреблением в пищу большого количества простых углеводов.
Активность микроорганизмов в зубной бляшке и процесса деминерализации зависит от индивидуальных особенностей организма. У большинства людей резистентность к кариесогенным бактериям выражена слабо, тогда как у людей с хорошим состоянием иммунной системы и при отсутствии сопутствующих заболеваний резистентность достаточно высока. У лиц, которые имеют иммунодефицитные состояния, кариес развивается более активно. А у детей с экссудативным диатезом и рахитом кариозная болезнь диагностируется в 2 раза чаще.
При изменении состава слюны, когда в ней нарушается соотношение минеральных солей и снижаются ее естественные антибактериальные свойства, увеличивается риск развития кариеса. Соматические заболевания и погрешности в диете с дефицитом минералов, особенно в период формирования зубов, существенно снижают резистентность. Наследственные патологии эмали (аплазия или гипоплазия эмали) и экстремальные воздействия на организм в сочетании с другими факторами повышают вероятность возникновения кариозной болезни.
Проживание в промышленных районах, неблагоприятные экологические условия и неполноценность питьевой воды снижают общие защитные функции организма, что может стать важным патогенетическим звеном в появлении кариеса. Липкие остатки углеводистой пищи и отклонения биохимического состава твердых тканей зуба являются основными местными факторами, которые способствуют развитию кариозного процесса. Состояние зубочелюстной системы в период закладки, развития прорезывания и формирования зубов имеет большое значение в дальнейшем состоянии зубочелюстной системы.
Симптомы кариеса
В зависимости от глубины поражения твердых тканей зуба выделяют 4 формы кариеса.
- На стадии кариозного пятна происходит помутнение эмали зуба. Видимых разрушений твердых тканей зуба нет, инструментальное обследование зондом малоинформативно, так как на этом этапе еще нет признаков изменения структуры твердых тканей зуба. Иногда возможен регресс пятна, причины этого явления не выяснены, однако стоматологи связывают самовыздоровление с активизацией иммунной системы.
- Вторая форма кариеса - это поверхностный кариес. На поверхности зуба появляется темная пигментация, во время инструментального осмотра в зоне пигментации выявляется размягчение эмали. Иногда уже на стадии поверхностного кариеса в разрушительный процесс вовлекаются все слои зубной эмали. Но обычно дефект ограничен и не выходит за пределы эмали. Кариозное поражение выглядит как грязно-серое или коричневое пятно с шероховатым дном.
- При среднем кариесе поражаются ткани эмали и дентина.
- При глубоком кариесе происходит полное поражение всех тканей зуба, вплоть до полного разрушения зуба. Субъективные ощущения зависят от глубины поражения и остроты течения кариеса. Обычно пациенты жалуются на острую боль при попадании на пораженную поверхность или в кариозную полость кислой, сладкой или холодной пищи. При устранении раздражающего фактора острая зубная боль затихает, как правило, самопроизвольных болей при кариесе не бывает.
При остром течении кариеса одновременно поражается ряд зубов, пораженные ткани грязно-серого цвета, размягчены, очаг разрушения имеет неправильные очертания, его края подрыты, болевой синдром выражен ярче. Острейшее течение кариеса характеризуется поражением почти всех зубов, при этом в каждом зубе имеется несколько очагов кариозного поражения.
Хроническое течение кариозной болезни характеризуется пигментацией пораженных участков, их уплотнением и сглаженностью краев. Поражены отдельные зубы, обычно процесс имеет вялотекущее течение. При отсутствии лечения кариес осложняется пульпитом и периодонтитом, что является основной причиной разрушения зубов и их последующего удаления.
Диагностируют кариес во время визуального и инструментального осмотров стоматолога. Субъективные ощущения пациента позволяют судить о глубине процесса, но не являются основными диагностическими критериями. В процессе диагностики проводится прицельная рентгенография зуба, электроодонтометрия.
Лечение кариеса
Основным принципом лечения кариеса является удаление пораженных тканей и восстановление зуба пломбировочными материалами. Во время санации кариозной полости удаляются все пораженные ткани. Полость тщательно дезинфицируется, иногда для этого устанавливают временные пломбы, под которыми находятся дезинфицирующие средства. Чем лучше произведена дезинфекция кариозной полости, тем прочнее будет держаться пломба. Качественное укрепление ослабленных тканей зависит как от качественного удаления кариозного очага и его дезинфекции, так и от того, на каком этапе развития кариозной болезни начато лечение.
Классическое препарирование кариозного очага происходит с помощью бормашины, однако сегодня имеется альтернативный вариант - лазерное препарирование. Процедура отличается безболезненностью, бесшумностью и качеством подготовки полости зуба к дальнейшему пломбированию.
Лечение поверхностного кариеса возможно несколькими способами. Распространенным методом является препарирование зуба и последующее пломбирование кариозной полости. Обязательным условием для этого метода лечения является создание полости в пределах дентина, но при создании мелкой полости условий для создания двухслойной пломбы из изолирующей прокладки и собственно пломбы не достаточно. Эти факторы учитываются при пломбировании кариозных полостей на жевательных и контактных поверхностях премоляров и моляров.
Другая методика заключается в применении новых композиционных материалов с высокими агдезивными свойствами, что позволят пломбировать поверхностный кариес без глубокого препарирования тканей зуба. Третий метод заключается в сошлифовывании кариозного участка с последующей реминерализацией. Реминерализацию эмали проводят с помощью аппликаций или электрофореза с 1% раствором фторида натрия (глубокое фторирование зубов) либо с помощью других разрешенных реминерализующих препаратов. При среднем кариесе возможен только метод препарирования твердых тканей зуба с последующим пломбированием кариозной полости.
Лечение глубокого кариеса сопряжено с определенными сложностями, так как восстановление почти полностью разрушенного зуба требует от врача не только профессионализма, но и выбора методики. Иногда при глубоком кариесе пульпа зуба покрыта слоем неповрежденного дентина, в некоторых случаях врач вынужден оставлять в кариозной полости пигментированный и размягченный дентин. Такие случаи глубокого кариеса требуют наложения лечебной прокладки на дно кариозной полости (чаще всего используется кальцемин-паста). Эта прокладка оказывает противовоспалительное действие и стимулирует дентиногенез. То есть пломба при глубоких кариозных поражениях состоит из трех слоев: лечебная прокладка, изолирующая фосфатноцементная прокладка и постоянный пломбировочный материал, чаще всего это амальгама.
Выбор пломбировочного материала основан на групповой принадлежности зубов. Для того, чтобы в результате пломбирования восстановить анатомические формы передних зубов - резцов и клыков, к пломбе предъявляются требования, как по прочности, так и по эстетичности. Для пломбирования этих групп зубов материал выбирается в соответствии с цветом зубов пациента, что позволяют силикатные цементы и композиционные материалы.
Обязательно соблюдение технологического процесса при приготовлении пломбировочного материала, потому как использование хороших компонентов при несоблюдении технологии приготовления материала и при несоблюдении техники установки пломбы существенно снижает ее долговечность.
Подготовка кариозной полости к пломбированию заключается в тщательном удалении дентинных опилок с помощью струи воды или воздуха. Далее полость дезинфицируют и высушивают, потому как даже незначительные следы влаги существенно ухудшают прилипаемость цементов, светополимеров и композитных пломб.
После затвердевания пломбы ее шлифуют и полируют, удалив перед этим излишние выступы. Чем лучше отшлифована поверхность пломбы, тем меньше на ее поверхности задерживаются микроорганизмы и остатки пищи. Однородность наружного слоя снижает вероятность коррозии пломбы и предотвращает ее быстрое разрушение. Лечение даже хронического и запущенного кариеса с помощью пломбирования позволяет восстановить целостность поверхности зуба, предотвратить пульпит и полное разрушение зубов.
Профилактика
Профилактикой кариеса является борьба с мягким зубным налетом, что включает использование качественных зубных паст и зубных щеток, использование зубной нити, регулярное прохождение процедуры профессиональной гигиены полости рта. Если зубная эмаль ослаблена, то для ее укрепления показана флюоризация зубов с помощью фторсодержащих препаратов: паст, растворов и лаков. Сбалансированное питание с высоким содержанием твердой пищи и низким содержанием простых углеводов предотвращает размножение микроорганизмов в полости рта. В районах, где качество питьевой воды низкое, рекомендуется употреблять воду из других регионов.
Кариес корня зуба ( Кариес цемента )
Кариес корня зуба ― патологический деструктивный процесс, характеризующийся разрушением твердых тканей внутрикостной (корневой) части зуба. Заболевание может протекать совершенно бессимптомно либо проявляться как косметический дефект, провоцировать боли в ходе приема пищи, чистки зубов. Кариозное поражение корня можно заподозрить уже на этапе осмотра ротовой полости и подтвердить с помощью термических проб, инструментальной диагностики (дентальной рентгенографии, ЭОД). Основные способы лечения ― пломбирование кариозного очага, реминерализующая терапия.

Кариес зубов распространен на всех континентах и затрагивает любые слои населения, заболеваемость им практически тотальная ‒ 80-98%. Распространенность кариеса корня (кариеса цемента) коррелирует с возрастом и составляет от 4% у пациентов до 30 лет до 35-50% в группе старше 65 лет. Поражение чаще выявляется у лиц с нарушенным зубодесневым прикреплением ‒ пациентов, страдающих заболеваниями пародонта, и пожилых людей с возрастной атрофией костной ткани. Особенно агрессивное течение наблюдается у тех, кто получает облучение области головы и шеи. Кариес цемента способен возникнуть на любом зубе, но чаще им поражаются моляры.
Причины
Современные исследователи выделяют три основных условия, провоцирующих появление кариозного очага в области корня зуба ‒ заболевание развивается только в случае их комплексного одновременного воздействия. То есть, ни одна из этих причин самостоятельно (в отсутствии двух остальных) не способна индуцировать начало патологического процесса:
- Кариесогенная микрофлора. Среди разного рода микроорганизмов, колонизирующих ротовую полость, доминируют бактерии. Некоторые из них, например, стрептококки Mutans, актиномицеты и определенные виды лактобацилл, продуцируют из углеводов, поступающих с пищей, органические кислоты, которые вызывают деминерализацию цемента. Это приводит к повышению его проницаемости, появлению кариозного очага.
- Употребление простыхуглеводов. Наибольшей кариесогенностью обладает сахароза, главным источником которой является сахар-рафинад. Бактерии расщепляют ее, синтезируя кислоту и глюкан - вещество, участвующее в образовании налета. Опасны и другие углеводы: к примеру, фруктоза и крахмал. Для начала продуцирования органических кислот углеводам нужно несколько задержаться на поверхности цемента, чтобы бактериальные клетки успели их абсорбировать.
- Снижение кариесрезистентности. Это ухудшение сопротивляемости тканей зуба и организма в целом к возникновению кариозного процесса. К подобному состоянию могут привести многие причины: уменьшение содержания кальция в структуре твердых корневых тканей, недостаточное слюноотделение, вредные привычки и т.д. Происходит снижение прочности цемента и дентина, нарушается процесс естественной очистки зубной поверхности слюной.
Вероятность развития заболевания повышается в присутствии предрасполагающих факторов. Риск кариозного поражения корневой зоны увеличивается у людей старше 60 лет, когда в силу возраста происходит атрофия костной ткани и обнажение зубных корней. Корневому кариесу часто подвергаются лица с пародонтитом, пародонтозом, рецессией десны, при которых наблюдается нарушение зубодесневого прикрепления. Опасность возрастает из-за несоблюдения гигиены ротовой полости, снижения местного иммунитета слизистой оболочки.
При употреблении пищевых продуктов с содержанием сахарозы или других кариесогенных углеводов микрофлора зубного налета ферментирует эти вещества, образуя органические кислоты: пировиноградную, молочную, муравьиную и т. п. Это приводит к нарушению кислотно-щелочного равновесия на поверхности зуба, в частности, в пришеечной зоне. Если корень обнажен, покрывающий его цемент подвергается воздействию кислот, которые за счет градиента концентраций проникают в него и диссоциируют, вызывая деминерализацию.
В дальнейшем патология может прогрессировать и поражать дентин, обусловливая появление кариозной полости. Она обычно заполняется остатками еды, микроорганизмами, элементами ротовой жидкости и разрушенных зубных тканей. Дентин, выстилающий стенки дефекта, деминерализуется, инфицируется, его более глубокие слои склерозируются, постепенно переходя в интактную ткань.
В центральной части корня зуба расположен корневой канал с сосудами и нервами. Он окружен дентином, который снаружи покрыт цементом. Обе эти ткани, состоящие из минеральных солей и органических соединений в разных соотношениях, могут подвергаться кариозному процессу. В зависимости от глубины поражения в терапевтической стоматологии выделяют три формы кариеса корня:
- Начальная. Характеризуется частичным разрушением цемента, но граница с дентином сохраняется. При этом на поверхности корня может появиться коричневое или темное пятно.
- Поверхностная. Цементно-дентинное соединение разрушается, формируется неглубокий дефект коричневого цвета, окруженный верхним слоем дентина. Глубина полости не превышает 0,5 миллиметра.
- Глубокая. Эта форма отличается распространением процесса на глубину более 0,5 миллиметра. Кариозная полость отделена от пульпарной камеры лишь тонким слоем дентина.
Симптомы кариеса корня
Процесс способен протекать бессимптомно, особенно на начальной стадии, но может провоцировать боли во время чистки зубной щеткой, приема кислой, соленой или сладкой пищи, которые быстро проходят после устранения раздражителя. Иногда неприятные ощущения вызывают горячие или холодные продукты питания. Если патологический очаг в виде локального потемнения цемента расположен на губной поверхности передних зубов, больной предъявляет жалобы на неудовлетворительную эстетику. Порой пятно практически сливается с поверхностью корня либо скрывается под зубным налетом или камнем.
Когда кариозный процесс достигает цементно-дентинного соединения, проникая в поверхностные слои дентина, полость становится глубже, заполняется погибшими тканями, в ней застревает пища или зубная нить. Кратковременная боль также индуцируется химическими, температурными и механическими факторами, но может вовсе отсутствовать. Если кариес поражает слои дентина, граничащие с полостью зуба, боль чаще возникает во время приема горячей или холодной пищи. В остальном симптоматика глубокой формы кариеса схожа с таковой на его предыдущих стадиях.
Если не предпринимать попытки лечения кариеса корня, процесс может достигнуть полости зуба и спровоцировать пульпит. При этом болевые ощущения бывают столь невыносимыми, что поход к врачу становится невозможным больше откладывать. Если перетерпеть пульпитную боль, то она может самостоятельно исчезнуть, что свидетельствует о хронизации процесса. В дальнейшем инфекция с высокой вероятностью спровоцирует воспаление соединительнотканной связки зуба ― периодонтит, а это в случае несвоевременного обращения за врачебной помощью чревато деструкцией подлежащей кости и потерей зуба.
Наличие кариеса корня зуба выявляет стоматолог-терапевт. Постановка диагноза осуществляется поэтапно на первом клиническом приеме. Процесс осмотра направлен на выяснение жалоб пациента: наличия боли, ее характера и сопровождающих обстоятельств. Дополнительно выполняются различные тесты и исследования:
- Зондирование зуба. Исследование зубных рядов проводится с помощью стоматологического зеркала и острого зонда. При обследовании быстропрогрессирующего кариозного поражения отмечается его мягкая или «кожистая» консистенция и неровные, острые края. Поверхность патологического очага на стадии ремиссии обычно блестящая, гладкая, твердая с ровными, плотными краями.
- Температурные пробы. Чтобы отличить глубокий кариес корня зуба от пульпита, используют холодную воду и разогретый воск. При этом обращают внимание на длительность боли: если неприятные ощущения исчезают сразу или быстро после устранения раздражающего агента, как правило, диагностируют кариозное поражение.
- Электроодонтометрия. С помощью специального прибора определяют состояние пульпы зуба в зависимости от ее реакции на электрический ток определенной силы. В случае кариеса корня чувствительность зубной ткани к силе тока находится в диапазоне 2-6 мкА (иногда больше), при пульпите ― примерно 20-90 мкА. Показатели свыше 100 мкА вызывают подозрение на гибель пульпы и развитие периодонтита.
- Рентгенологическое исследование. Пациенту выполняется внутриротовой прицельный снимок одного или двух-трех больных зубов. На нем хорошо визуализируются размеры и глубина очага, что позволяет оценить целостность границы между дентином и цементом. Особое внимание уделяется расстоянию от дна кариозной полости до пульпарной камеры.
Лечение кариеса корня зуба
Схема лечения разрабатывается, исходя из стадии и скорости кариозного процесса, количества пораженных зубов. При этом обязательно учитывается состояние всей ротовой полости (слизистой оболочки, прикуса) и наличие у пациента сопутствующей патологии. Основные современные методики, используемые для устранения корневого кариеса, включают в себя:
- Реминерализующую терапию. Этот способ в качестве единственного метода лечения подходит только для начальной стадии заболевания. Цемент зуба подвергается воздействию местных или общих препаратов с высоким содержанием кальция и фтора, которые устраняют или стабилизируют очаг деминерализации. Ремотерапия как вспомогательный метод также показана при быстропрогрессирующем кариесе, когда патологический процесс за короткий промежуток времени поражает большое количество зубов.
- Препарирование и пломбирование. Если цементно-дентинная граница повреждена, кариозный очаг под местной анестезией поэтапно раскрывается, обрабатывается борами. Затем сформированная полость заполняется пломбой. В современных лечебных учреждениях наиболее распространены пломбировочные материалы на основе полимеров - светоотверждаемые композиты.
Прогноз правильно пролеченного кариеса корня зуба можно считать благоприятным. Однако вокруг запломбированной полости часто возникает вторичный кариозный процесс, появление которого зависит от состояния здоровья пациента, его подхода к осуществлению гигиены полости рта. В настоящее время ведутся разработки и клинические испытания новых пломбировочных материалов, которые способны навсегда предупредить рецидив заболевания.
Чтобы запломбированные и интактные зубы долгие годы оставались здоровыми, нужно регулярно пользоваться зубной нитью, два раза в день после первого и последнего приема пищи чистить зубы щеткой с пастой. В течение дня после еды (особенно кондитерских продуктов, сладких фруктов) рекомендуется полоскать рот щелочной минеральной водой. Также на протяжении 5-10 минут после еды до 3-5 раз в сутки можно пользоваться жевательной резинкой без фруктовых отдушек, если отсутствуют противопоказания.
Глубокий кариес: симптомы и методы лечения

Глубокий кариес - это патологический процесс, который вызывает обширное разрушение тканей зуба при участии микроорганизмов. При таком кариесе поражаются глубокие слои дентина (ткань зуба под эмалью) вплоть до корневого канала, в котором находятся нервы и сосуды.
Глубокий кариес зубов является крайней стадией кариозного процесса, ему предшествуют начальный, поверхностный и средний кариесы. Глубокий кариес необходимо вовремя пролечить, иначе он прогрессирует до пульпита и периодонтита - это заболевания, затрагивающие корень зуба.

Глубокий кариес делится на 2 типа:
- Первичный - возникает после среднего кариеса в зубах, которые ранее не подвергались лечению.
- Вторичный - образуется под пломбами в связи с возникновением пространства между пломбировочным материалом и зубом из-за дефектов, сколов реставраций.
Причины появления глубокого кариеса
- Прогрессирование среднего кариеса. Кариес - это последовательный процесс, который идет по принципу усугубления предшествующих форм. Глубокий кариес не развивается одномоментно, до него заболевание проходит все стадии: начальный кариес, поверхностный кариес и средний кариес.
- Кислотообразующие бактерии. В возникновении любого кариеса одним из главных звеньев является патогенная микрофлора, вызывающая деструкцию тканей зуба.
- Чрезмерное потребление углеводов. Пленка, которая образуется на поверхности зубов после того, как человек поел пищу, богатую быстрыми углеводами - самая благодатная почва для размножения кариесогенных бактерий. К быстрым углеводам относятся: конфеты, сахар, молочный шоколад, мороженое, мучные изделия, сладкие газированные напитки, фаст-фуд, многие алкогольные напитки, макароны из мягких сортов пшеницы и т.д.
- Плохая гигиена полости рта. Качественная ежедневная чистка зубов на протяжении 2-3 минут - главное условие здоровья зубов. Не нужно пренебрегать дополнительными средствами гигиены: флоссом, ирригатором, ополаскивателем. А вот от использования зубочисток лучше воздержаться - они травмируют десну.
- Дефекты, сколы пломб. Если по какой-то причине произошел скол пломбы, то сразу необходимо посетить врача-стоматолога для восстановления целостности реставрации, иначе микроорганизмы начнут скапливаться в образовавшемся пространстве между пломбой и зубом. Это запустит новый кариозный процесс, так называемый «вторичный кариес».
Симптомы глубокого кариеса зубов
Иногда даже при наличии глубоких полостей пациенты не предъявляют никаких жалоб, но для глубокого кариеса существует характерная симптоматика, которая встречается чаще всего:
- Болевые ощущения от различных раздражителей. При попадании в кариозную полость сладкой, кислой, соленой пищи, холодной или горячей воды и еды может наблюдаться резкая кратковременная боль, которая быстро проходит после устранения раздражающего фактора.
- Наличие глубокой полости, заполненной размягченными тканями. При глубоком кариесе зубов происходит разрушение твердых тканей зуба, они размягчаются и становятся пигментированными (от бежевого до темно-коричневого цвета).
- Наличие пломбы с дефектом. Если кариес возник вторично, то на зубе уже имеется пломба, однако при этом зуб все равно реагирует на химические, термические, механические раздражители.
- Застревание пищи между зубами. Если глубокий кариес локализуется между двумя зубами, то там постоянно застревает пища, кровоточит десна, появляется ноющая болезненность.
- Неприятный запах изо рта. В ряде случаев в глубокой кариозной полости могут скапливаться пищевые остатки, которые невозможно вычистить, это вызывает неприятный запах изо рта.

Диагностика глубокого кариеса зубов
- Сбор жалоб. В первую очередь, врач-стоматолог опрашивает, какие неудобства присутствуют у вас на данный момент: боль, застревание пищи, кровоточивость десен, наличие полости на передних или задних зубах.
- Осмотр. Визуальный осмотр помогает определить наличие или отсутствие патологии.
- Зондирование. Зонд - стоматологический инструмент с острым кончиком. Он позволяет определить мягкость тканей, здоровые ткани не могут быть податливыми. При зондировании дна полости может определяться чувствительность, что тоже важно при постановке диагноза.
- Рентгенодиагностика. На рентгене врач определит наличие или отсутствие патологии в области корней зуба. При кариесе никаких изменений в области корней нет. Наличие патологических изменений в области корней свидетельствует о периодонтите - воспалении связочного аппарата зуба.
- Термодиагностика. При воздействии на зуб холодным воздухом наблюдается быстропроходящая болезненная реакция.
Последствия глубокого кариеса зубов
Существуют два заболевания, которые относятся к осложненным формам кариеса:
Начальный и поверхностный кариес: симптомы и методы лечения

В стоматологической практике принято выделять 4 формы кариеса зубов:
Начальный и поверхностный кариес относятся к ранним формам кариеса.
Начальный кариес зубов или кариес в стадии пятна - это первая стадия кариозного процесса на зубах. Характеризуется наличием белых и темных пятен на эмали, под которыми происходит нарушение структуры твердых тканей. Эта форма может приостановиться при правильном уходе за пораженным зубом.
Поверхностный кариес зубов - это промежуточная форма между начальным и средним кариесом. При поверхностном кариесе происходит нарушение целостности эмали, то есть, образование маленькой полости в пределах верхних слоев зуба.

Причины возникновения начального кариеса и поверхностного кариеса зубов
- Кислотообразующие бактерии. Ключевую роль в появлении начальных форм кариеса играют патогенные микроорганизмы (микробы), которые образуют кислоты. Органические кислоты вызывают нарушение проницаемости эмали, из зуба вымываются полезные минералы (прежде всего, кальций, фтор, фосфор), из-за этого зуб становится более хрупким.
- Плохая гигиена полости рта. Для того чтобы бактерии смогли расти и размножаться, на поверхности зуба после приема пищи должны остаться углеводистые остатки, которые служат субстратом для прикрепления микробов. Необходимо чистить зубы 2 раза в день 2-3 минуты и пользоваться флоссом или ирригатором, чтобы удалять с поверхности зубов пищевые остатки.
- Наследственные факторы. Генетика играет немаловажную роль в появлении начального кариеса зубов. Зубы закладываются во время беременности матери, поэтому характер питания, общее состояние организма будущей матери влияют на здоровье зубов ребенка.
- Несбалансированное питание. Преобладание в рационе питания сладкого, мучного, газированных напитков, фаст-фуда способствует развитию ранних форм кариеса.
Если вовремя посещать стоматолога, то есть, не реже 1 раза в полгода, то это значительно снизит риски возникновения и развития начального и поверхностного кариеса на зубах.

Симптомы начального кариеса зубов
Пациенты зачастую не предъявляют никаких жалоб, потому что начальный и поверхностный кариес затрагивают только эмаль зуба, а она маловосприимчива к различным раздражителям.
Как выглядит начальный кариес?
При начальной стадии кариеса на зубе образуются пятна: от матовых белых до темно-коричневых цветов. В таких случаях пациент может предъявлять жалобы на эстетику.
Как выглядит поверхностный кариес?
При поверхностном кариесе на зубе появляется малозаметная неглубокая полость с шероховатыми краями. Основной жалобой при поверхностном кариесе может быть чувство оскомины при попадании сладкой, кислой, соленой пищи.
Диагностика ранних форм кариеса
Врач-стоматолог проводит различные пробы для того, чтобы определить наличие патологии.
- Визуальный осмотр. Любой профессиональный осмотр начинается с визуального оценивания всех поверхностей зуба.
- Зондирование. Специалист проводит инструментом с острым концом - зондом, по наружной части зуба, выявляя шероховатости, неровности, кариозные полости. При начальном кариесе поверхность зуба гладкая, а при поверхностном кариесе определяются небольшие полости (сколы) эмали.
- Высушивание зуба. Стоматолог обдувает воздухом зуб для того чтобы удалить влагу с поверхности и увидеть очаги деминерализации: участки с пониженной плотностью эмали.
- Окрашивание специальными красителями. В стоматологической практике для выявления кариеса можно использовать кариес-индикаторы - красители, которыми проводят окрашивание зубной поверхности. Впитывание красителя свидетельствует о том, что там развивается кариозный процесс.
- Рентгенодиагностика. На рентгеновском прицельном снимке специалист может увидеть ранние формы кариеса.
Лечение начального и поверхностного кариеса
Как лечить начальный кариес?
Начальный кариес в стадии белого пятна считается обратимой формой кариеса. Лечение заключается в насыщении зуба полезными минералами. Процесс насыщения эмали зуба необходимыми веществами называется реминерализацией. Реминерализация может быть 2 видов:
- Эндогенная - когда минералы поступают в эмаль зуба вместе с водой, питанием, витаминными комплексами, то есть, «изнутри» организма.
- Экзогенная - когда макро- и микроэлементы поступают в зуб «снаружи», то есть, при нанесении специальных паст, растворов, гелей.
Основные элементы, укрепляющие эмаль зубов - это кальций, фтор, фосфор.
Для реминерализации зубов рекомендуется составить диету, богатую молочными продуктами, морепродуктами, белковой пищей, овощами, злаками, бобовыми, зеленью.
Важным пунктом является прием витаминных и минеральных комплексов, но только после консультации специалиста. Самостоятельно назначать себе прием витаминов не рекомендуется.
Для того, чтобы подействовали пасты, лаки, растворы, содержащие важные минералы, перед курсом необходимо провести профессиональную гигиену полости рта. Стоматолог удалит все зубные отложения (камни, налет) с поверхности зуба, и вещества смогут впитаться в зубные ткани.
На консультации врач-стоматолог составит индивидуальный план лечения, расскажет о том, какими средствами необходимо пользоваться в вашем случае.
Как лечить поверхностный кариес?
Несмотря на то, что полость при поверхностном кариесе считается неглубокой, без вмешательства специалиста процесс не сможет приостановиться, будет усугубляться и может привести к неприятным осложнениям. Лечение поверхностного кариеса проходит в несколько этапов за одно посещение:
- Анестезия. Обезболивание зуба необходимо для того, чтобы пациент не чувствовал неприятные ощущения во время лечения.
- Изоляция зуба от полости рта. Этот этап подразумевает наложение на зуб специального резинового платка (коффердама, раббердама) для того, чтобы изолировать зуб от слюны, а полость рта от рабочих растворов.
- Использование микроскопа. Оптическое увеличение позволит не задеть здоровые ткани во время лечения и проследить за качественным выполнением всех этапов.
- Удаление кариозных тканей. Для того, чтобы инфекция не распространялась вглубь и не провоцировала развитие более серьезных форм кариеса, необходимо тщательно очистить зуб от пораженных тканей. Для этого стоматолог использует стоматологические наконечники, в том числе, с воздушно-водяным охлаждением.
- Моделирование реставрации (пломбы). Отсутствующие ткани замещаются композитными светоотверждаемыми материалами, которые имитируют плотность, цвет, блеск здоровых зубов.
- Полирование реставрации. С помощью артикуляционной бумаги (копирки) врач корректирует высоту реставрации, затем полировочными инструментами и пастами проводит окончательное сглаживание всей поверхности пломбы.
В клинике «Дана» стоимость лечение поверхностного кариеса с использованием микроскопа и импортных материалов - 2500 рублей.
Что будет, если не лечить начальный и поверхностный кариес зубов?
Большинство стоматологических заболеваний характеризуются быстрым прогрессированием. Из начального кариеса развивается поверхностный, из поверхностного - средний, из среднего - глубокий. После глубокого кариеса в процесс вовлекается нерв зуба, начинается пульпит, а затем - периодонтит зуба, когда воспаление выходит за верхушку корня, то есть, образуется гранулема или киста корня зуба.
Своевременное лечение на ранних этапах заболевания предотвращает развитие серьезных осложнений, поэтому не откладывайте посещение стоматолога при появлении каких-либо симптомов, характерных для начального и поверхностного кариеса.
Читайте также:
- Случай субконъюнктивального разрыва склеры правого глазного яблока с тотальной гифемой и гемофтальмом
- Неврологические осложнения рака. Ведение больных с метастазами в паренхиму мозга.
- Имплантация зубов, пародонтоз
- Желтуха при лептоспирозе. Пример поражения печени при лептоспирозе
- Экономические стимулы больных шизофренией. Примеры экономических стимулов к труду
