Депрессия сегмента ST сердца. Ишемический подъем ST на ЭКГ
Добавил пользователь Евгений Кузнецов Обновлено: 28.01.2026
Депрессия сегмента ST — это специфический показатель, который может проявляться в результатах электрокардиограммы (ЭКГ) человека. Депрессию сегмента ST связывают с такими состояниями как гипокалиемия и ишемия миокарда. Некоторые лекарственные препараты также могут вызывать депрессию сегмента ST, например, наперстянка . Если врач заподозрит заболевания сердца, то может назначить ЭКГ. Этот диагностический метод измеряет электрическую активность сердца и помогает диагностировать большое количество состояний, в том числе:
- ишемическую болезнь сердца
- утолщение стенок сердца
- аритмию
- сердечную недостаточность
- сердечный приступ
Депрессия сегмента ST на ЭКГ
Результаты ЭКГ отображаются в виде графика всплесков и спадов. Точки на этом графике представляют различные зубцы электрической активности. Существуют три зубца, которые составляют этот график. Эти три зубца являются :
Зубец Р : отражает электрическую активность, проходящую через предсердия — две верхние камеры сердца.
Комплекс QRS : отражает электрическую активность, проходящую через сердце к желудочкам. Это две нижние камеры сердца.
Зубец Т: отражает электрическую активность, участвующую в реполяризации желудочков сердца — электрическую «перезагрузку» сердца, когда оно готовится к следующему сердечному циклу.
Сегмент ST соответствует области, видимой в конце комплекса QRS и начале T-волны.
В статье 2021 года отмечается, что если сегмент ST выглядит аномально низким и находится ниже нормального уровня, то считается, что у человека депрессия сегмента ST. Депрессия сегмента ST связана с целым рядом заболеваний, поэтому причины могут быть различны. Таким образом, сегмент ST представляет собой период в сердечном цикле, когда мышечный слой сердца поддерживает сокращение, чтобы вытеснить кровь из желудочков.
Депрессия сегмента ST — причины
Существует целый ряд факторов, которые могут вызвать у человека депрессию сегмента ST в результатах ЭКГ. Состояния, которые связаны с депрессией сегмента ST, включают :
- Ишемия миокарда: термин, обозначающий дисбаланс снабжения сердца кислородом. Зачастую происходит, когда что-то препятствует притоку крови к сердечной мышце. Это может быть связано с частичной или полной закупоркой коронарной артерии и может привести к сердечному приступу.
- Гипокалиемия: состояние, которое возникает, когда организм человека выводит слишком много калия. Гипокалиемия может привести к тому, что у человека не будет достаточного количества калия в крови. Низкий уровень калия может вызвать ряд симптомов, включая мышечную слабость, вплоть до паралича.
- Блокада левой ветви пучка Гиса: состояние, при котором электрические импульсы к левому желудочку сердца становятся медленнее. Это может затруднить сердцу эффективную перекачку крови .
Депрессия сегмента ST также связана с приемом лекарственных средств под названием digitalis. Человек может использовать наперстянку для лечения определенных заболеваний сердца, таких как сердечная недостаточность и аритмия.
Депрессия сегмента ST — лечение
Лечение гипокалиемии
Гипокалиемия — это скорее симптом другого расстройства, чем болезнь сама по себе. Чтобы увеличить уровень калия в организме человека, врач будет лечить основное заболевание, вызывающее гипокалиемию. Доктор может посоветовать включать больше калия в свой рацион или принимать добавки с калием. В тяжелых случаях вводят хлорид калия перорально или внутривенно.
Лечение ишемической болезни сердца
Наиболее эффективным методом лечения ишемии миокарда является применение бета-адреноблокаторов. Эти препараты снимают нагрузку на сердце , замедляя сердцебиение человека. Препараты делают это, блокируя действие определенных гормонов в нервной системе.
Бета-адреноблокаторы могут уменьшить количество и продолжительность ишемических эпизодов у людей с ишемией миокарда. Пациенту также могут назначить:
- блокаторы кальциевых каналов
- аспирин
- статины
Лечение блокады ветвей левого пучка Гиса
Прогноз
Если у человека депрессия сегмента ST, его прогноз будет зависеть от того, что вызывает эти изменения в ЭКГ. Если причиной является гипокалиемия, то это может быть результатом одного из многих состояний. Некоторые состояния, приводящие к гипокалиемии, легко поддаются лечению, а другие могут быть более серьезными.
Если у человека ишемия миокарда, то могут помочь бета-адреноблокаторы. Если диагноз поставлен как можно раньше и своевременно назначено правильное лечение,то прогноз относительно благоприятный. Также снизить риск опасных осложнений, таких как инсульт и сердечные приступы, можно несколькими способами. К ним относятся :
- соблюдение здоровой сбалансированной диеты и отказ от продуктов с высоким содержанием насыщенных жиров
- поддержание здорового веса
- регулярные физические упражнения
- отказ от курения
Заключение
ЭКГ — это диагностический метод, который врачи используют для анализа электрических импульсов в сердце человека. Депрессия сегмента ST — это специфический показатель, который может проявляться в результатах ЭКГ. Это происходит, когда сегмент ST располагается аномально низко и находится ниже базовой линии.
Депрессия сегмента ST может возникнуть вследствие определенных состояний, включая гипокалиемию, ишемию миокарда и блокаду левой ветви пучка Гиса. Использование препарата наперстянки также может вызвать этот специфический результат ЭКГ. Человек может лечить основное заболевание, которое вызывает у него депрессию сегмента ST.
Человек с депрессией сегмента ST может внести некоторые изменения в образ жизни, чтобы улучшить здоровье своего сердца. Это может включать в себя здоровое питание, регулярные физические упражнения, отказ от курения и поддержание умеренного веса.
Причины и клиническое значение ЭКГ-феномена депрессии сегмента ST
Актуальность дифференциальной диагностики причин депрессии сегмента ST на электрокардиограмме (ЭКГ) обусловлена высокой частотой патологических состояний, лежащих в ее основе, трудностью диагностики и существенными различиями в терапевтической тактике и прогнозе заболеваний. Оценка ЭКГ-феномена, заключающегося в депрессии сегмента ST, носит комплексный характер и включает анализ не только особенностей изменения ST и других компонентов ЭКГ, но и клинической картины заболевания. В большинстве случаев детальный анализ ЭКГ является достаточным для дифференциации основных синдромов, приводящих к снижению сегмента ST. Изменение ST может быть вариантом нормальной ЭКГ, отражать некоронарогенные изменения миокарда и служить причиной острой коронарной патологии, требующей неотложной терапии. Таким образом, и терапевтическая тактика в отношении больных с депрессией сегмента ST разная
Полный текст
Актуальность дифференциальной диагностики причин депрессии сегмента ST на электрокардиограмме (ЭКГ) обусловлена высокой частотой патологических состояний, лежащих в ее основе, трудностью диагностики и существенными различиями в терапевтической тактике и прогнозе заболеваний. Оценка ЭКГ-феномена, заключающегося в депрессии сегмента ST, носит комплексный характер и включает анализ не только особенностей изменения ST и других компонентов ЭКГ, но и клинической картины заболевания. В большинстве случаев детальный анализ ЭКГ является достаточным для дифференциации основных синдромов, приводящих к снижению сегмента ST. Изменение ST может быть вариантом нормальной ЭКГ, отражать некоронарогенные изменения миокарда и служить причиной острой коронарной патологии, требующей неотложной терапии. Таким образом, и терапевтическая тактика в отношении больных с депрессией сегмента ST разная (см. таблицу). Сегмент ST - это отрезок кривой ЭКГ между концом комплекса QRS и началом зубца T, который соответствует периоду сердечного цикла, когда оба желудочка полностью охвачены возбуждением. Начинается сегмент ST в точке J (ST-соединение). На кардиограмме точка J может быть определена по изменению в наклоне вертикальной кривой окончания комплекса QRS и перехода ее в горизонтальное положение - начальную часть сегмента ST. Заканчивается сегмент ST переходом в зубец T. Продолжительность сегмента ST изменяется в зависимости от частоты сердечного ритма (чем выше частота сердечных сокращений, тем короче сегмент ST). Точную длительность сегмента ST измерить проблематично, но это не оказывает существенного значения при расшифровке ЭКГ. В норме сегмент ST расположен на изолинии. Но нормой считаются и варианты, когда сегмент ST располагается на 2-3 мм выше изолинии (такой подъем обычно сочетается с высоким положительным зубцом T), чаще всего регистрируемые в грудных отведениях V2, V3. Но такой выраженный подъем сегмента ST является патологическим, если он имеет горизонтальную незакругленную форму, обращен выпуклостью кверху или амплитуда зубца T незначительно (1 мм) превышает подъем сегмента ST. В норме снижение сегмента ST не должно превышать 0,5 мм. В редких случаях в III стандартном отведении у здоровых людей может наблюдаться снижение сегмента ST более чем на 0,5 мм, если последующий зубец T низкой амплитуды или отрицательный. На рис. 1 представлены разные варианты расположения сегмента ST. Норма и позиционные изменения ЭКГ Допустима депрессия сегмента ST вогнутой формы до 0,5 мм, в грудных отведениях V5-V6 и в отведениях от конечностей до 2-3 мм. Позиционные изменения желудочкового комплекса иногда имитируют на ЭКГ признаки инфаркта миокарда нижней стенки левого желудочка (ЛЖ). Позиционные изменения отличаются от инфаркта миокарда отсутствием характерной для него динамики сегмента SТ и зубца Т, а также уменьшением глубины зубца Q при регистрации ЭКГ на высоте вдоха или выдоха (рис. 2). ЭКГ при коронарной недостаточности Изменения на ЭКГ при острой коронарной недостаточности подразделяются на признаки ишемии (колебания зубца Т), повреждения (смещение сегмента ST) и некроза миокарда (формирование патологического зубца Q и регресс зубца R). Их отображение на ЭКГ зависит от локализации патологического очага в стенках желудочков сердца и расположения по отношению к нему активного электрода ЭКГ. Прямые патологические признаки регистрируются в тех отведениях, в которых активный электрод направлен к очагу поражения. В отведениях, где активный электрод обращен к миокарду противоположной очагу поражения стенки, изменения на ЭКГ будут иметь обратную направленность (реципрокные изменения). Основными признаками повреждения миокарда являются изменения сегмента ST. При повреждении во 2-й фазе реполяризации возникает разность потенциалов между патологическим очагом и здоровым миокардом. Ток повреждения направлен к патологическому очагу и вызывает смещение сегмента ST относительно изоэлектрической линии (рис. 3). При локализации участка повреждения во внутренних субэндокардиальных слоях в прямых отведениях регистрируется смещение сегмента ST ниже изоэлектрической линии. Смещение сегмента ST может быть горизонтальным, косовосходящим, вогнутым и косонисходящим. Наиболее диагностически значимой считают горизонтальную и косонисходящую депрессию сегмента ST, менее значимой - вогнутую и косовосходящую. Реципрокные изменения при субэндокардиальном повреждении обычно не выражены. При локализации патологического очага в субэпикардиальных слоях направление к нему тока повреждения приводит к подъему сегмента ST над изоэлектрической линией. Реципрокные изменения проявляются депрессией сегмента ST. Аналогичные признаки наблюдаются на ЭКГ при трансмуральном повреждении, которое встречается значительно чаще изолированного субэпикардиального (рис. 4). ЭКГ при синдроме напряжения миокарда ЛЖ (стрейн-синдром) Это ЭКГ-понятие, включающее в себя депрессию сегмента ST, переходящую в отрицательный несимметричный зубец Т, описанное Rykert и Hepburn в 1935 г. как признак гипертрофии ЛЖ (ГЛЖ); часто встречается при артериальной гипертензии, аортальном стенозе, митральной недостаточности. Пересмотр этой концепции, предпринятый в 1981 г. C.Веасh и соавт., позволил предположить, что изменения реполяризации при ГЛЖ без признаков поражения коронарных артерий могут отличаться от подобных изменений при коронарной болезни сердца по нескольким признакам. Во-первых, по снижению точки J, во-вторых, по асимметрии зубца Т с быстрым возвратом к базовой линии, в-третьих, по положительному конечному отклонению зубца Т и, наконец, в-четвертых, - отрицательному зубцу Т в V6, который больше 0,3 mV и больше, чем зубец Т в V4. Однако в клинической практике такая дифференциация признаков синдрома напряжения миокарда ЛЖ вследствие его гипертрофии от изменений ST-T при коронарной болезни сердца чаще всего невозможна. Среди причин стрейн-синдрома выделяют уменьшение коронарного резерва, нарушения функции эндотелия коронарных сосудов, повышение внутриполостного давления, изменения направления токов в период восстановления трансмембранного потенциала. ГЛЖ встречается при артериальной гипертензии, аортальных пороках сердца, при недостаточности митрального клапана, кардиосклерозе, при врожденных пороках сердца (рис. 5). При митральной недостаточности на ЭКГ регистрируются признаки гипертрофии, дилатации и перегрузки левых отделов сердца вследствие повышения объема проходящей через них крови (рис. 6). Наиболее патогномоничными для аортального стеноза сердца являются гипертрофия и выраженная систолическая перегрузка ЛЖ, что находит отражение на ЭКГ. 1. Признаки ГЛЖ с вторичными изменениями миокарда в виде формирования косонисходящей депрессии ST и отрицательных ассиметричных зубцов Т в I, aVL, V4-V6. 2. Часто определяется блокада левой ножки (ЛН) пучка Гиса (рис. 7). ЭКГ при гипертрофической кардиомиопатии Изменения ЭКГ, как правило, определяются у всех пациентов с гипертрофической кардиомиопатией (ГКМП), однако имеют низкую специфичность и не являются определяющими в постановке диагноза. Обычно на ЭКГ имеют место симптомы гипертрофии разных отделов сердца (ЛЖ, межжелудочковой перегородки, левого предсердия, реже - правого желудочка - ПЖ). ЭКГ-картина будет неодинаковой при разных формах заболевания (ассиметрической септальной, концентрической и верхушечной).ЭКГ-признаки: 1. Увеличение амплитуды зубцов R. 2. Появление патологических зубцов Q в отведениях I, aVL, V5, V6, реже - II, III, aVF, которые отражают прохождение электрического импульса по гипертрофированной межжелудочковой перегородке. 3. ЭКГ-признаки выраженной ГЛЖ с вторичными изменениями его миокарда (косонисходящая депрессия ST и асимметричный отрицательный зубец Т в отведениях I, aVL, V5, V6). При апикальной форме заболевания отрицательные зубцы Т могут регистрироваться во всех грудных отведениях. 4. Нарушения ритма и проводимости (наиболее часто - блокады ветвей ЛН пучка Гиса и желудочковые аритмии). 5. Более редкими при ГКМП являются ЭКГ-признаки увеличения левого предсердия (Р-mitrale) и ПЖ (рис. 8). ЭКГ при перикардите Наиболее характерным ЭКГ-признаком перикардита является конкордантное (однонаправленное с максимальным зубцом комплексa QRS) смещение сегмента ST в большинстве отведений. Данные изменения являются отражением повреждения прилежащего к перикарду субэпикардиального миокарда. В ЭКГ-картине перикардита выделяют ряд стадий (рис. 9): 1. Конкордантное смещение ST (элевация ST в тех отведениях, где максимальный зубец желудочкового комплекса направлен вверх - I, II, aVL, aVF, V3-V6, и депрессия ST в отведениях, где максимальный зубец в QRS направлен вниз - aVR, V1, V2, иногда aVL), переходящее в положительный зубец Т. 2. Сегмент ST приближается к изолинии, зубец Т сглаживается. 3. Зубец Т становится отрицательным в большинстве отведений (кроме aVR, где он становится положительным). 4. Нормализация ЭКГ (сглаженные или слабоотрицательные зубцы Т могут сохраняться длительно). Иногда при перикардите наблюдается вовлечение в воспалительный процесс миокарда предсердий, что отражается на ЭКГ в виде смещения сегмента PQ (в большинстве отведений - депрессия PQ), появления суправентрикулярных аритмий. При экссудативном перикардите с большим количеством выпота на ЭКГ, как правило, отмечается снижение вольтажа всех зубцов в большинстве отведений. ЭКГ при миокардите Изменения ЭКГ при миокардите являются малоспецифичными и проявляются в основном изменениями сегмента ST и зубца Т: депрессия ST, сглаженный, двухфазный или отрицательный зубец Т (в отведениях, отражающих локализацию воспалительного процесса). Также характерными являются синусовая тахикардия, снижение вольтажа QRS (при диффузном поражении) и появление разнообразных нарушений ритма и проводимости - внутрипредсердной блокады, блокад ножек пучка Гиса, АВ-блокад разной степени. Кроме того, иногда при миокардите могут регистрироваться псевдоинфарктные изменения ЭКГ в виде появления патологических зубцов Q или регресса зубцов R в правых грудных отведениях. Наличие патологических Q и блокады ЛН пучка Гиса является предиктором неблагоприятного исхода заболевания. Степень поражения сердечной мышцы при миокардитах не всегда коррелирует с изменениями ЭКГ (рис. 10). ЭКГ при легочном сердце (хроническое и острое легочное сердце) Причины, приводящие к формированию хронического легочного сердца, подразделяют на 3 основные группы: 1. Торакодиафрагмальные (травмы и деформация грудной клетки, патология диафрагмы). 2. Васкулярные (первичная легочная гипертензия, тромбоэмболия мелких ветвей легочной артерии, компрессия легочной артерии и др.). 3. Бронхолегочные (хроническая обструктивная болезнь легких, бронхиальная астма, туберкулез и др.). ЭКГ-картина при хроническом легочном сердце отражает увеличение и перегрузку правых отделов сердца: 1. Отклонение электрической оси сердца (ЭОС) вправо (кроме того, возможен поворот сердца верхушкой назад - ось типа SI-SII-SIII либо поворот сердца ПЖ вперед - ось типа SI-QIII). 2. Сдвиг переходной зоны грудных отведений влево. 3. Увеличение амплитуды зубца Р в отведениях II, III, aVF - формирование Р-pulmonale, а также формирование отрицательного зубца Р в отведении aVL. 4. Блокада ПН пучка Гиса. 5. Блокада задней ветви ЛН пучка Гиса. 6. Признаки гипертрофии ПЖ: RV1>SV1, R в отведении V1>7 мм, соотношение RV6/SV6≤2, зубец S с V1 по V6. 7. Снижение сегмента ST и отрицательные зубцы Т в правых отведениях - II, III, aVF, V1-V3 как признаки гипоксии и перегрузки правых отделов сердца (рис. 11). При остром легочном сердце на ЭКГ регистрируются в течение короткого времени возникшие признаки перегрузки правых отделов сердца (возникает при астматическом статусе, отеке легких, пневмотораксе, наиболее частая причина - тромбоэмболия в бассейне легочной артерии). К наиболее характерным ЭКГ-признакам относят: 1. SI-QIII - формирование глубокого зубца S в отведении I и глубокого (патологического по амплитуде, но, как правило, не уширенного) зубца Q в отведении III. 2. Иногда отмечается элевация сегмента ST, переходящая в положительный зубец T (монофазная кривая), в правых отведениях - III, aVF, V1, V2, в сочетании с депрессией сегмента ST в отведениях I, aVL, V5, V6. В дальнейшем возможно формирование отрицательных зубцов Т в отведениях III, aVF, V1, V2. Первые два ЭКГ-признака иногда объединяют в один, так называемый признак Мак-Джина-Уайта - QIII-TIII-SI. 3. Отклонение ЭОС вправо, иногда формирование электрической оси типа SI-SII-SIII. 4. Формирование высокого остроконечного зубца Р (Р-pulmonale) в отведениях II, III, aVF. 5. Блокада ПН пучка Гиса. 6. Блокада задней ветви ЛН пучка Гиса. 7. Увеличение амплитуды зубца R в отведениях II, III, aVF. 8. Остро возникшие признаки гипертрофии ПЖ: RV1>SV1, R в отведении V1>7 мм, соотношение RV6/SV6≤2, зубец S с V1 по V6, смещение переходной зоны влево. 9. Внезапное появление наджелудочковых нарушений ритма сердца (рис. 12). При тромбоэмболии в системе легочной артерии указанные изменения ЭКГ регистрируются приблизительно у 40% больных, в остальных случаях ЭКГ-картина бывает малоспецифичной либо (около 20% случаев) изменения не выявляются вообще. ЭКГ при блокаде ножек пучка Гиса Нарушения проведения по ЛН и ПН пучка Гиса приводят к расширению комплекса QRS (рис. 13, 14). При блокаде ПН комплекс QRS приобретает вид rSR' в отведениях III, aVF, V1-V2 и qRS в отведении V6. Блокада ЛН комплекса QRS приобретает вид QS в отведении V1 и R в отведении I, aVL, V5-V6. Блокада ножек пучка Гиса имеет разные причины. В отсутствие органических поражений сердца чаще встречается блокада ПН пучка Гиса. Она также наблюдается при врожденных (например, дефект межпредсердной перегородки) и приобретенных заболеваниях сердца (приобретенные пороки сердца, ишемическая болезнь сердца). Блокада ЛН пучка Гиса имеет четыре основные причины - это ишемическая болезнь сердца, длительная артериальная гипертензия, тяжелый аортальный порок, дилатационная КМП. Похожие изменения (с предшествующим комплексу QRS артефактом стимуляции) наблюдаются при электрокардиостимуляции (ЭКС) ПЖ из-за относительной задержки в возбуждении ЛЖ (рис. 15, 16). Блокады ножек пучка Гиса, в том числе на фоне ЭКС, сопровождаются не только нарушениями деполяризации, но и вторичными нарушениями реполяризации: изменение распространения волны деполяризации влечет за собой изменение последовательности реполяризации. Зубцы Т становятся дискордантными комплексу QRS. Блокада ЛН пучка Гиса - нарушение проводимости в основном стволе ЛН пучка Гиса до его разделения на две ветви либо одновременное поражение двух ветвей ЛН пучка Гиса. Возбуждение обычным путем распространяется на ПЖ и окольным, с опозданием, на ЛЖ (см. рис. 13). Блокада ПН пучка Гиса - нарушение проводимости по ПН пучка Гиса, в результате которого возбуждение обычным путем распространяется на ЛЖ и окольным, с опозданием, на ПЖ (см. рис. 14). На ЭКГ регистрируется уширенный, деформированный комплекс QRS (больше 0,1 с), который в отведениях V1-V2, III, aVF имеет вид rsR’, RSR’, RsR’, rR’ (преобладает зубец R в комплексе QRS). В зависимости от ширины комплекса QRS блокада ПН пучка Гиса бывает полной и неполной (неполная блокада ПН пучка Гиса: 0,1 с
Изменения на ЭКГ при ишемической болезни сердца (вводный обзор)
Ишемическая болезнь сердца (ИБС) по определению ВОЗ представляет собой дисфункцию, связанную с уменьшением снабжения миокарда артериальной кровью. При этом возникает дисбаланс между потребностью сердца в кислороде и недостаточным поступлением кислорода из-за сниженного кровоснабжения. Нарушение кровоснабжения миокарда при ИБС связано с патологией коронарных артерий.
В данном разделе в обзорном виде рассмотрены изменения, которые регистрируются на кардиограмме, при разных вариантах ИБС. Более подробно каждый вариант рассмотрен в других разделах.
Основными признаками ишемии на ЭКГ являются изменения сегмента ST и зубца T. При развитии инфаркта, а также постинфарктного кардиосклероза на кардиограмме может появиться патологический зубец Q.
Изменения сегмента ST
В норме сегмент ST расположен на изолинии или около нее.
Оценки допустимых отклонений ST немного расходятся в разных исследованиях. Также могут быть разными подходы к измерению отклонения ST.
Патологическим считаются следующие смещения сегмента ST.
- Снижение (депрессия) ST на 0,5 мм и больше в V2-V3 и на 1 мм и больше в остальных отведениях.
- Повышение (элевация) ST
- на 2 мм и больше в V2-V3 и на 1 мм и больше в остальных отведениях у мужчин (у мужчин моложе 40 лет допустимо повышение ST в V2-V3до 2,5 мм).
- на 1,5 мм и больше в V2-V3 и на 1 мм и больше в остальных отведениях у женщин
Если в двух или более, чем в двух, соседних отведениях сегмент ST отклоняется от изолинии больше указанных величин, то это является патологией.
Отклонение ST обычно измеряют в точке J (место перехода комплекса QRS в сегмент ST), а также в точке ST60 (на расстоянии 0,06 с от точки J) и в точке ST80 (на расстоянии 0,08 с от точки J).
При измерении отклонения ST в точке J сравнение проводят с уровнем интервала PR в точке перехода PR в комплекс QRS. Это показано на схеме 1.
Схема 1. Точка J и точка PR перехода
![]()
ЭКГ 1. Фрагмент кардиограммы со смещением сегмента ST
Измерение смещения сегмента ST не в точке J, а на расстоянии 0,08 с, т.е. на расстоянии 2 мм от точки J может быть альтернативным подходом. Это особенно актуально, когда имеет место исходное смещение интервала PR и сегмента ST из-за волны реполяризации предсердий.
Волна реполяризации предсердий (обозначается Ta), наслаивается на комплекс QRS и, как правило, не видна на ЭКГ. Однако в некоторых случаях волна Ta становится заметной и смещает интервал PR, QRS и начальный участок ST.
Иллюстрация феномена предсердной реполяризации, которая смещает интервал PR, QRS и начальный участок ST на схеме 2. Здесь красным пунктиром показана волна Ta.
Схема 2. Волна реполяризации предсердий Ta
![]()
Считается, что волна реполяризации предсердий по длительности не превышает 0,08 с после окончания комплекса QRS. В связи с этим измерение смещения ST в ряде случаев проводят на расстоянии 0,08 с от точки J. Точку на расстоянии 0,08 с (2 мм) от точки J называют точкой I или ST80. Когда смещение оценивают в точке ST80, то сравнение проводят с интервалом TP (между зубцом T и зубцом P), а не с интервалом PR.
ЭКГ 2. Смещение ST, вызванное выраженной волной предсердной реполяризации
![ЭКГ с волной предсердной реполяризации.]()
Впрочем, в случае на ЭКГ 2 и без этой корректировки не было данных за ишемию, т.к. форма сегмента ST косовосходящая. Для ишемии характерна косонисходящая или горизонтальная депрессия ST. Морфологическая оценка изменений сегмента ST более важна, чем оценка смещения по той или иной методике.
Смещение сегмента ST выше или ниже обычного положения может быть при разных вариантах ИБС, а также при другой патологии сердца (например, при блокадах проводящих путей желудочков, при гипертрофии желудочков, при тахикардии и в других случаях).
Разные авторы и разные руководства предлагают различные способы измерения уровня ST, но все сходятся в том, что оценка морфологического паттерна позволяет сделать более точное заключение. Поэтому для того чтобы понять, с чем связано отклонение ST в каждом конкретном случае, надо знать морфологические варианты смещения ST.
Снижение сегмента ST при ИБС
Посмотрите на схему 3 с примерами депрессии сегмента ST. Признаком ишемии может быть горизонтальная или косонисходящая депрессия ST. Косовосходящая депрессия ST не является признаком ишемии.
Схема 3. Варианты депрессии ST
![]()
Депрессия сегмента ST может быть при стабильной стенокардии напряжения, при нестабильной стенокардии и при инфаркте без подъема сегмента ST.
- При субэндокардиальной ишемии косонисходящая или горизонтальная депрессия, как правило, регистрируется во многих отведениях: в I, II, V4-V6, а также в других отведениях. Пример такой ишемии приведен на ЭКГ 3.
- Депрессия ST, связанная с субэндокардильной ишемией, как правило, сочетается с элевацией ST более 1 мм в отведении aVR. Элевация ST в aVR является реципрокной (зеркальной) по отношению к диффузной депрессии в грудных отведения. Кроме того, элевация ST в aVR может указывать на окклюзию главного ствола левой коронарной артерии (left main coronary artery - LMCA). Пример элевации ST в aVR в сочетании с депрессией ST во многих отведениях также есть на ЭКГ 3.
- Если число отведений, в которых есть депрессия ST, ограничено одной областью (например, только в нижних отведениях), это может быть связано с реципрокными (зеркальными) изменениями, по отношению к элевации ST при инфаркте миокарда. Пример на ЭКГ 4.
ЭКГ 3. Снижение сегмента ST при субэндокардиальной ишемии миокарда
![Ишемия миокарда на ЭКГ.]()
Повышение сегмента ST при ИБС
Повышение сегмента ST связано с трансмуральной или субэпикардиальной ишемией.
Посмотрите на схему 4, где приведены два типичных варианта элевации ST: вогнутая и выпуклая. Для ИБС характерна выпуклая элевация.
Схема 4. Вогнутая и выпуклая элевация ST
![]()
При ИБС элевация сегмента ST может быть при инфаркте с подъемом ST, при стенокардии Принцметала, а также при постинфарктной аневризме желудочка.
ЭКГ 4. Повышение сегмента ST при инфаркте миокарда
![Подъем сегмента ST при инфаркте на ЭКГ.]()
Изменения зубца T при ИБС
При ИБС зубец T может быть изменен в двух ситуациях.
Посмотрите на ЭКГ 5 с примером ишемии и инвертированными зубцами T.
ЭКГ 5. Отрицательные зубцы T при ишемии миокарда
![Отрицательные зубцы T при ишемии миокарда на ЭКГ.]()
Отрицательные T указывают на ишемию, если выполняются следующие условия.
Кроме того, следует помнить, что инвертированный T в отведениях III, aVR, V1 является вариантом нормы.
На ЭКГ 6 приведен другой пример изменения зубца T при ИБС: высокий коронарный T в острейшую фазу инфаркт миокарда с подъемом ST. Это начальный и очень короткий период инфаркта, поэтому далеко не всегда удается зарегистрировать его на ЭКГ.
ЭКГ 6. Высокий положительный T в острейшую фазу инфаркта миокарда
Патологический зубец Q при ИБС
Патологический зубец Q при ИБС указывает на появление зоны некроза при остром инфаркте миокарда или на постинфарктный кардиосклероз при ранее перенесенном инфаркте.
Признаки нормального зубца Q:
Признаки патологического зубца Q:
- Зубец Q, имеющий ширину более 1 мм, считается патологическим.
- Зубец Q, имеющий глубину более 2 мм (кроме отведений III и aVR), считается патологическим.
- Зубец Q, имеющий амплитуду более 25% от амплитуды следующего за ним комплекса QRS, считается патологическим.
- Любой зубец Q в отведениях V1-V3 считается патологическим.
Посмотрите на пример патологического Q на ЭКГ 7.
ЭКГ 7. Патологический зубец Q в грудных отведениях
ЭКГ 8. Аневризма передней стенки
![Аневризма передней стенки левого желудочка на ЭКГ.]()
Основные изменения на ЭКГ, связанные с ИБС:
- Нисходящая или горизонтальная депрессия сегмента ST в двух и более соседних отведениях указывает на субэндокардиальную ишемию.
- Отрицательный зубец T в двух и более соседних отведениях (кроме отведений III, aVR, V1) указывает на ишемию.
- Выпуклая элевация сегмента ST в двух и более соседних отведениях указывает на трансмуральную ишемию или на инфаркт.
- Патологический зубец Q указывает на наличие зоны некроза при развитии инфаркта или на кардиосклероз после ранее перенесенного инфаркта.
- Патологический Q в сочетании с остаточной элевацией сегмента ST, сохраняющиеся длительное время, указывают на наличие постинфарктной аневризмы.
- Элевация сегмента ST в отведении aVR более 1 мм в сочетании с депрессией ST в грудных отведениях указывает на сужение главного ствола левой коронарной артерии.
Данные организации. ИП Бабкин Константин Владимирович. ОГРНИП 318774600379247. ИНН 772633657143.
Депрессия сегмента ST сердца. Ишемический подъем ST на ЭКГ
ММА имени И.М. Сеченова
К линическими проявлениями ишемической болезни сердца являются стабильная стенокардия, безболевая ишемия миокарда, нестабильная стенокардия, инфаркт миокарда, сердечная недостаточность и внезапная смерть. На протяжении многих лет нестабильная стенокардия рассматривалась, как самостоятельный синдром, занимающий промежуточное положение между хронической стабильной стенокардией и острым инфарктом миокарда. Однако в последние годы было показано, что нестабильная стенокардия и инфаркт миокарда, несмотря на различия в их клинических проявлениях, являются следствиями одного и того же патофизиологического процесса, а именно разрыва или эрозии атеросклеротической бляшки в сочетании с присоединяющимся тромбозом и эмболизацией более дистально расположенных участков сосудистого русла. В связи с этим нестабильная стенокардия и развивающийся инфаркт миокарда в настоящее время объединены термином острый коронарный синдром (ОКС).
Острый коронарный синдром - предварительный диагноз, позволяющий врачу определить неотложные лечебные и организационные мероприятия. Соответственно, огромное значение имеет разработка клинических критериев, позволяющих врачу принимать своевременные решения и выбирать оптимальное лечение, в основе которого лежат оценка риска развития осложнений и целевой подход к назначению инвазивных вмешательств. В ходе создания таких критериев все острые коронарные синдромы были разделены на сопровождающиеся и не сопровождающиеся стойким подъемом сегмента ST. В настоящее время оптимальные лечебные мероприятия, эффективность которых основана на результатах хорошо спланированных рандомизированных клинических испытаний, уже во многом разработаны. Так, при остром коронарном синдроме со стойким подъемом сегмента ST (или впервые возникшей полной блокадой левой ножки пучка Гиса), отражающим острую тотальную окклюзию одной или нескольких коронарных артерий, целью лечения является быстрое, полное и стойкое восстановление просвета коронарной артерии при помощи тромболизиса (если он не противопоказан) или первичной коронарной ангиопластики (если она технически выполнима). Эффективность указанных лечебных мероприятий доказана в целом ряде исследований.
При остром коронарном синдроме без подъема сегмента ST речь идет о пациентах с болями в грудной клетке и изменениями на ЭКГ, свидетельствующими об острой ишемии (но не обязательно о некрозе) миокарда. У таких больных часто обнаруживаются стойкая или преходящая депрессия сегмента ST, а также инверсия, уплощение или «псевдонормализация» зубцов Т. Кроме того, изменения ЭКГ при остром коронарном синдроме без подъема сегмента ST могут быть неспецифическими или вовсе отсутствовать. Наконец, в указанную категорию больных могут быть включены и некоторые пациенты с указанными выше изменениями на электрокардиограмме, но без субъективных симптомов (т.е. случаи безболевой «немой» ишемии и даже инфаркта миокарда).
В отличие от ситуаций со стойким подъемом сегмента ST существовавшие ранее предложения по тактике лечения при остром коронарном синдроме без подъема сегмента ST носили менее четкий характер. Лишь в 2000 году были опубликованы рекомендации Рабочей группы Европейского кардиологического общества по лечению острого коронарного синдрома без подъема сегмента ST. В скором времени соответствующие рекомендации будут выработаны и для врачей России.
В настоящей статье рассматривается лишь ведение больных с подозрением на острый коронарный синдром, у которых отсутствует стойкий подъем сегмента ST. При этом основное внимание уделено непосредственно диагностике и выбору терапевтической тактики.
Но предварительно считаем необходимым сделать два замечания:
- Во-первых, изложенные ниже рекомендации основаны на результатах целого ряда клинических исследований. Однако эти испытания выполнялись на специально отобранных группах пациентов и, соответственно, отражают далеко не все состояния, встречающиеся в клинической практике.
- Во-вторых, следует учитывать, что кардиология быстро развивается. Соответственно, настоящие рекомендации должны регулярно пересматриваться по мере накопления результатов новых клинических испытаний.
Уровень А: Заключения основаны на данных, которые были получены в нескольких рандомизированных клинических исследованиях или метаанализах.
Уровень В: Заключения основаны на данных, которые были получены в единичных рандомизированных испытаниях или в нерандомизированных исследованиях.
Уровень С. Заключения основаны на согласованном мнении экспертов.
В дальнейшем изложении после каждого пункта будет указан уровень его обоснованности.
Тактика ведения больных с острым коронарным синдромом
Первичная оценка состояния больного
Первичная оценка состояния пациента с жалобами на боль в грудной клетке или другими симптомами, позволяющими заподозрить ОКС, включает в себя:
1. Тщательный сбор анамнеза. Классические характеристики ангинозных болей, равно как и типичные варианты обострения ИБС (затяжная [> 20 минут] ангинозная боль в покое, впервые возникшая тяжелая [не ниже III ФК по классификации Canadian Cardiovascular Society (CCS)] стенокардия, недавнее утяжеление стабильной стенокардии не менее чем до III ФК по CCS) хорошо известны. Однако следует отметить, что ОКС может проявляться и атипичными симптомами, в числе которых боли в грудной клетке в покое, боли в эпигастрии, внезапно возникшая диспепсия, колющие боли в груди, «плевральные» боли, а также усиление одышки. Причем частота указанных манифестаций ОКС достаточно велика. Так, по данным Multicenter Chest Pain Study (Lee T. с соавт., 1985), острая ишемия миокарда была диагностирована у 22% пациентов с острыми и колющими болями в грудной клетке, а также у 13% больных с болями, характерными для поражения плевры, и у 7% больных, у которых болевые ощущения полностью воспроизводились при пальпации. Особенно часто атипичные проявления ОКС наблюдаются у пациентов молодого (25-40 лет) и старческого (более 75 лет) возраста, а также у женщин и больных сахарным диабетом.
2. Физикальное обследование. Результаты осмотра и пальпации грудной клетки, данные аускультации сердца, а также показатели частоты сердечных сокращений и артериального давления обычно находятся в пределах нормы. Целью физикального обследования является в первую очередь исключение внесердечных причин боли в грудной клетке (плеврит, пневмоторакс, миозит, воспалительные заболевания костно-мышечного аппарата, травмы грудной клетки и др.). Кроме того, при физикальном обследовании следует выявлять заболевания сердца, не связанные с поражением коронарных артерий (перикардит, пороки сердца), а также оценить стабильность гемодинамики и тяжесть недостаточности кровообращения.
Наиболее надежными электрокардиографическими признаками ОКС являются динамика сегмента ST и изменения зубца Т. Вероятность наличия ОКС наиболее велика, если соответствующая клиническая картина сочетается с депрессией сегмента ST глубиной более 1 мм в двух или более смежных отведениях. Несколько менее специфичным признаком ОКС является инверсия зубца Т, амплитуда которого превышает 1 мм, в отведениях с преобладающим зубцом R. Глубокие негативные симметричные зубцы Т в передних грудных отведениях часто свидетельствуют о выраженном проксимальном стенозе передней нисходящей ветви левой коронарной артерии. Наконец, наименее информативны неглубокая (менее 1 мм) депрессия сегмента ST и незначительная инверсия зубца Т.
Следует помнить о том, что полностью нормальная ЭКГ у больных с характерными симптомами не исключает диагноз ОКС.
Таким образом, у больных с подозрением на ОКС следует зарегистрировать ЭКГ в покое и начать длительное многоканальное мониторирование сегмента ST. Если мониторирование по каким-либо причинам невыполнимо, то необходима частая регистрация ЭКГ (уровень обоснованности: С).
Госпитализация
Больные с подозрением на ОКС без подъема сегмента ST должны быть немедленно госпитализированы в специализированные отделения неотложной кардиологии/отделения интенсивной терапии и кардиореанимации (уровень обоснованности: С).
Исследование биохимических маркеров повреждения миокарда
«Традиционные» сердечные ферменты, а именно креатинфосфокиназа (КФК) и ее изофермент МВ КФК менее специфичны (в частности, возможны ложноположительные результаты при травме скелетных мышц). Кроме того, имеет место значительное перекрывание между нормальными и патологическими сывороточными концентрациями указанных ферментов. Наиболее специфичными и надежными маркерами некроза миокарда являются кардиальные тропонины Т и I. Следует определять концентрацию тропонинов Т и I через 6-12 часов после поступления в стационар, а также после каждого эпизода интенсивной боли в грудной клетке.
Если у больного с подозрением на ОКС без подъема сегмента ST имеет место повышенный уровень тропонина Т и/или тропонина I, то такое состояние следует расценивать, как инфаркт миокарда, и проводить соответствующее медикаментозное и/или инвазивное лечение.
Следует также учитывать, что после некроза сердечной мышцы повышение концентрации различных маркеров в сыворотке крови происходит неодновременно. Так, наиболее ранним маркером некроза миокарда является миоглобин, а концентрации МВ КФК и тропонина увеличиваются несколько позже. Кроме того, тропонины остаются повышенными в течение одной-двух недель, что затрудняет диагностику повторного некроза миокарда у больных, недавно перенесших инфаркт миокарда.
Соответственно, при подозрении на ОКС тропонины T и I должны быть определены в момент поступления в стационар и повторно измерены через 6-12 часов наблюдения, а также после каждого болевого приступа. Миоглобин и/или МВ КФК следует определять при недавнем (менее шести часов) появлении симптомов и у пациентов, недавно (менее двух недель назад) перенесших инфаркт миокарда (уровень обоснованности: С).
Начальная терапия больных с подозрением на ОКС без подъема сегмента ST
При ОКС без подъема сегмента ST в качестве начальной терапии следует назначить:
1. Ацетилсалициловую кислоту (уровень обоснованности: А);
2. Гепарин натрия и низкомолекулярные гепарины (уровень обоснованности: А и В);
3. b-блокаторы (уровень обоснованности: В);
4. При сохраняющихся или рецидивирующих болях в грудной клетке - нитраты внутрь или внутривенно (уровень обоснованности: С);
5. При наличии противопоказаний или непереносимости b-блокаторов - антагонисты кальция (уровень обоснованности: В и С).
Динамическое наблюдение
В течение первых 8-12 часов необходимо тщательно наблюдать за состоянием больного. Предметом особого внимания должны быть:
- Рецидивирующие боли в грудной клетке. Во время каждого болевого приступа необходимо регистрировать ЭКГ, а после него повторно исследовать уровень тропонинов в сыворотке крови. Весьма целесообразно непрерывное многоканальное мониторирование ЭКГ для выявления признаков ишемии миокарда, а также нарушений сердечного ритма.
- Признаки гемодинамической нестабильности (артериальная гипотензия, застойные хрипы в легких и др.)
Пациенты с острым коронарным синдромом представляют собой весьма разнородную группу больных, которые различаются по распространенности и/или тяжести атеросклеротического поражения коронарных артерий, а также по степени «тромботического» риска (т.е. риска развития инфаркта миокарда в ближайшие часы/дни). Основные факторы риска представлены в таблице 1.
Пациенты с острым коронарным синдромом представляют собой весьма разнородную группу больных, которые различаются по распространенности и/или тяжести атеросклеротического поражения коронарных артерий, а также по степени «тромботического» риска (т.е. риска развития инфаркта миокарда в ближайшие часы/дни). Основные факторы риска представлены в таблице 1.
На основании данных динамического наблюдения, ЭКГ и биохимических исследований каждый пациент должен быть отнесен к одной из двух указанных ниже категорий.
1. Пациенты с высоким риском развития инфаркта миокарда или смерти
К этой категории относятся больные, у которых имели место:
- повторные эпизоды ишемии миокарда (либо повторяющиеся боли в грудной клетке, либо динамика сегмента ST, в особенности депрессия или преходящие подъемы сегмента ST);
- повышение концентрации тропонина Т и/или тропонина I в крови;
- эпизоды гемодинамической нестабильности в периоде наблюдения;
- жизнеопасные нарушения сердечного ритма (повторные пароксизмы желудочковой тахикардии, фибрилляция желудочков);
- возникновение ОКС без подъема сегмента ST в раннем постинфарктном периоде.
2. Пациенты с низким риском развития инфаркта миокарда или смерти
К этой категории относятся больные, у которых за время динамического наблюдения:
- не повторялись боли в грудной клетке;
- не отмечалось повышение уровня тропонинов или иных биохимических маркеров некроза миокарда;
- отсутствовали депрессии или подъемы сегмента ST на фоне инвертированных зубцов Т, уплощенных зубцов Т или нормальной ЭКГ.
Дифференцированная терапия в зависимости от риска развития инфаркта миокарда или смерти
Для больных с высоким риском указанных событий может быть рекомендована следующая лечебная тактика:
1. Введение блокаторов IIb/IIIa рецепторов: абциксимаб, тирофибан или эптифибатид (уровень обоснованности: А).
2. При невозможности использования блокаторов IIb/IIIa рецепторов - внутривенное введение гепарина натрия по схеме (табл. 2) или низкомолекулярных гепаринов (уровень обоснованности: В).
В современной практике широко используются следующие низкомолекулярные гепарины: адрепарин, дальтепарин, надропарин, тинзапарин и эноксапарин. В качестве примера остановимся подробнее на надропарине. Надропарин - низкомолекулярный гепарин, полученный из стандартного гепарина методом деполимеризации. Препарат характеризуется выраженной активностью в отношении фактора Xа и слабой активностью в отношении фактора IIа. Анти-Xа активность надропарина более выражена, чем его влияние на АЧТВ, что отличает его от гепарина натрия. Для лечения ОКС надропарин вводят п/к 2 раза в сутки в комбинации с ацетилсалициловой кислотой (до 325 мг/сут). Начальную дозу определяют из расчета 86 ЕД/кг, и ее следует вводить в/в болюсно. Затем подкожно вводят такую же дозу. Продолжительность дальнейшего лечения - 6 дней, в дозах, определяемых в зависимости от массы тела (табл. 3).
3. У больных с жизнеопасными нарушениями сердечного ритма, гемодинамической нестабильностью, развитием ОКС вскоре после инфаркта миокарда и/или наличием в анамнезе АКШ следует как можно быстрее выполнить коронароангиографию (КАГ). В процессе подготовки к КАГ следует продолжать введение гепарина. При наличии атеросклеротического повреждения, позволяющего провести реваскуляризацию, вид вмешательства выбирают с учетом особенностей повреждения и его протяженности. Принципы выбора процедуры реваскуляризации при ОКС аналогичны общим рекомендациям для данного вида лечения. Если выбрана чрескожная транслюминальная коронарная ангиопластика (ЧТКА) с установкой стента или без него, то ее можно произвести немедленно после ангиографии. В этом случае введение блокаторов IIb/IIIa рецепторов следует продолжать в течение 12 часов (для абциксимаба) или 24 часов (для тирофибана и эптифибатида). Уровень обоснованности: А.
У больных с низким риском развития инфаркта миокарда или смерти может быть рекомендована следующая тактика:
1. Прием внутрь ацетилсалициловой кислоты, b-блокаторов, возможно - нитратов и/или антагонистов кальция (уровень обоснованности: В и С).
2. Отмена низкомолекулярных гепаринов в том случае, если за время динамического наблюдения отсутствовали изменения на ЭКГ и не повышался уровень тропонина (уровень обоснованности: С).
3. Нагрузочная проба для подтверждения или установления диагноза ИБС и оценки риска неблагоприятных событий. Больным с выраженной ишемией во время стандартного нагрузочного теста (велоэргометрия или тредмил) следует выполнить КАГ с последующей реваскуляризацией. При неинформативности стандартных тестов могут быть полезны стресс-эхокардиография или нагрузочная перфузионная сцинтиграфия миокарда.
Ведение больных ОКС без подъема сегмента ST после выписки из стационара
1. Введение низкомолекулярных гепаринов в том случае, если имеют место повторные эпизоды ишемии миокарда и невозможно выполнить реваскуляризацию (уровень обоснованности: С).
2. Прием b-блокаторов (уровень обоснованности: А).
3. Широкое воздействие на факторы риска. В первую очередь - прекращение курения и нормализация липидного профиля (уровень обоснованности: А).
4. Прием ингибиторов АПФ (уровень обоснованности: А).
В настоящее время многие лечебные учреждения в России не располагают возможностями проведения вышеупомянутых диагностических и лечебных мероприятий (определение уровня тропонинов T и I, миоглобина; экстренная коронароангиография, использование блокаторов IIb/IIIa рецепторов и др.). Можно ожидать, однако, все более широкого их включения в медицинскую практику в нашей стране уже в ближайшем будущем.
Применение нитратов при нестабильной стенокардии основывается на патофизиологических предпосылках и клиническом опыте. Данные контролируемых исследований, указывающие на оптимальные дозировки и длительность их применения, отсутствуют.
Современный алгоритм диагностики ИБС: варианты нагрузочного тестирования.
Ранняя диагностика ИБС по-прежнему является одной из наиболее актуальных проблем практической кардиологии, поскольку именно первичная профилактика осложнений приводит к снижению сердечно-сосудистой смертности и случаев нефатальных осложнений. На сегодняшний день «золотым стандартом» диагностики ИБС по-прежнему остается коронароангиография. Это исследование является инвазивным и сопряжено со всеми возможными рисками инвазивных осложнений.
Априорно высокая претестовая вероятность стенозирующего коронарного атеросклероза у мужчин старше 40 лет при наличии типичных ангинозных болей показана в одной из известных таблиц Diamod GA еще в 1979
Рисунок 1. Претестовая вероятность ИБС у мужчин и женщин в зависимости от возраста и клинических проявлений (Diamond GA, 1979)
![ibs1.jpg]()
По сути мужчина старше 40 лет с факторами риска ИБС (гиперхолестеринемия, артериальная гипертензия, отягощенный семейный анамнез) может быть направлен на коронароангиографию для исключения стенозирующего коронарного атеросклероза без предварительного проведения нагрузочного теста. Однако эта таблица становится практически бесполезной при наличии у пациента с множественными факторами риска ИБС немой ишемии миокарда.
Алгоритм диагностики ИБС с использованием визуализирующих методик.
Использование так называемых «визуализирующих методик» позволяет решить вопрос о необходимости проведения коронароангиографии, то есть позволяет учесть такие качества скринингового ЭКГ-теста, как чувствительность, специфичность и воспроизводимость.
В самом начале этого алгоритма
Рисунок 2. Алгоритм диагностики ИБС
![ibs2.jpg]()
в зависимости от клинических проявлений ИБС мы имеем возможность выбора одного из трех вариантов нагрузочного теста:
- нагрузочный тредмил-тест;
- велоэргометрия;
- спироэргометрия.
Нагрузочный тредмил-тест по сути является универсальным скрининговым исследованием и подходит для любого пациента, независимо от возраста и физических возможностей, так как ходьба - наиболее физиологический вид физической активности.
В отличие от этого варианта стресс-системы,велоэргометр занимает гораздо меньше места, но не пригоден для тестирования пожилых людей с выраженной патологией суставов.
В том случае, когда мы подозреваем одышку как эквивалент стенокардии, мы используем особый метод скринингового стресс-теста - спироэргометрию.
К визуализирующим методикам относят три варианта инструментальной диагностики, которые при сомнительном результате нагрузочного теста могут быть доводом в пользу проведения коронароангиографии:
- мультиспиральная компьютерная томография коронарных артерий с контрастированием;
- перфузионная сцинтиграфия миокарда с нагрузкой;
- стресс-эхокардиография миокарда (с нагрузочной стресс-системой или с использованием добутамина).
Стоит вернуться к вопросу о том, какую динамику ЭКГ на сегодняшний день принято считать достоверным критерием ишемии миокарда, а какие электрокардиографические изменения могут косвенно свидетельствовать в пользу значимого стенозирующего коронарного атеросклероза.
В соответствии с критериями Darrow M, 2000
Рисунок 3. Наиболее специфичные ЭКГ-критерии ишемии миокарда
![ibs3.jpg]()
и современными пересмотрами, представленными в различных рекомендациях, наиболее достоверными критериями ишемии миокарда в настоящее время являются следующие ЭКГ-критерии:
- горизонтальная депрессия сегмента ST не менее 1 мм;
- косонисходящая депрессия сегмента ST не менее 1 мм;
- медленная косовосходящая депрессия сегмента ST не менее 1.5 мм;
- элевация сегмента ST.
Следует также отметить, что в связи с низкой специфичностью депрессии сегмента ST у женщин диагностически значимой является значение депрессии 2 мм. Сомнительный результат нагрузочного теста у женщин нередко можно увидеть в виде заключения «проба сомнительная (“женский” ложноположительный тест? немая ишемия миокарда?)». На сегодняшний день можно также видеть обсуждения о высокой чувствительности и не столь высокой специфичности медленной косовосхоящей депрессии сегмента ST cо спорами относительно достаточности ее значения 1.5 мм.
Использование визуализирующих методик возможно в ситуации, когда получен отрицательный результат нагрузочного теста, однако имеющиеся клинические данные и особенности анамнеза позволяют усомниться в высокой воспроизводимости и высокой чувствительности теста у данного больного. Особенностями нагрузочного тестирования, которые должны насторожить лечащего врача в вопросе достаточной воспроизводимости теста могут быть следующие результаты нагрузочного теста при нормальной динамике сегмента ST:
- снижение АД на пике нагрузки и в восстановительном периоде или выраженный симпатико-астенический тип реакции на нагрузку;
- индукция желудочковых нарушений сердечного ритма на пике нагрузки или в восстановительном периоде (стресс-индуцированные желудочковые нарушения сердечного ритма), особенно в сочетании с низкой толерантностью к физической нагрузке.
Возможности спироэргометрии как скринингового стресс-теста у пациентов с ИБС.
Для пациентов, предъявляющих жалобу на одышку, которая может быть расценена как эквивалент стенокардии, наиболее оптимальным вариантом скринингового нагрузочного теста является спироэргометрия. Это исследование является одномоментной оценкой функционального состояния сердечно-сосудистой системы, дыхательной системы и клеточного метаболизма. Полученные параметры позволяют оценить степень и место нарушений, а также определить прогноз дальнейшего течения имеющейся патологии.
По сути данный инструментальный метод исследования позволяет провести дифференциальный диагноз одышки по значению пикового потребления кислорода (VO2 peak) и является «золотым стандартом» оценки толерантности к физической нагрузке
Рисунок 4. Спироэргометрия
![ibs4.jpg]()
На самом деле, помимо скринингового исследования этот инструментальный метод является диагностическим методом с широким спектром возможностей
Рисунок 5. Показания к эргоспирометрии
![ibs5.jpg]()
который позволяет его использовать в различных областях медицины. В частности, такой показатель, как пиковое потребление кислорода (VO2 peak), позволяет уточнить риск периоперационных осложнений
Рисунок 6. Прогностическое значение пикового потребления кислорода (VO2 peak).
![ibs6.jpg]()
При этом методика позволяет достоверно оценить тяжесть хронической сердечной недостаточности у пациентов с ИБС
Рисунок 7. Тяжесть хронической сердечной недостаточности у пациентов с ИБС.
![ibs7.jpg]()
На сегодняшний день считается доказанным, что увеличение переносимости нагрузок на 1% приводит к снижению сердечно-сосудистой смертности на 2%, а VO2 peak является независимым предиктором смертности.
Используя систематические индивидуальные физические тренировки, врач-реабилитолог достигает «перехода» пациентов из класса в класс.
Вероятно, в практике любого врача-кардиолога имеются истории, демонстрирующие значимость визуализирующих методик в диагностическом алгоритме некоторых пациентов.
Показательной является история пациента К., 53 лет, который обратился в клинику кардиологии УКБ №1 в октябре 2016 года в связи с регистрацией парной желудочковой экстрасистолии на ЭКГ покоя. Из анамнеза было известно, что с 1996 года в анализе липидного спектра крови регистрировалась гиперхолестеринемия 9-12 ммоль/л. От приема статинов пациент отказывался. Ежедневно посещал фитнесс-клуб, и лишь при активном расспросе отмечал появление одышки в течение последнего года при длительной интенсивной ходьбе. Обращал также на себя внимание отягощенный семейный анамнез (у отца пациента имеется мультифокальный атеросклероз, клинически - немая ишемия миокарда).
Рисунок 8. Результаты холтеровского мониторирования пациента К., 53 лет (одиночная и парная желудочковая экстрасистолия).
![ibs8.jpg]()
Перед проведением нагрузочного тредмил-теста обращала на себя внимание частая одиночная мономорфная желудочковая экстрасистолия с резким учащением на пике нагрузки
Рисунок 9. Стресс-индуцированная мономорфная желудочковая экстрасистолия у пациента К. во время нагрузочного тредмил-теста.
![ibs9.jpg]()
Рисунок 10. Ишемическая динамика сегмента ST у пациента К., 53 лет. А - ЭКГ на пике нагрузки; Б - появление косонисходящей депрессии сегмента ST в восстановительном периоде.
![ibs10a.jpg]()
![ibs10b.jpg]()
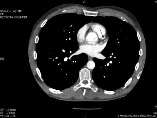
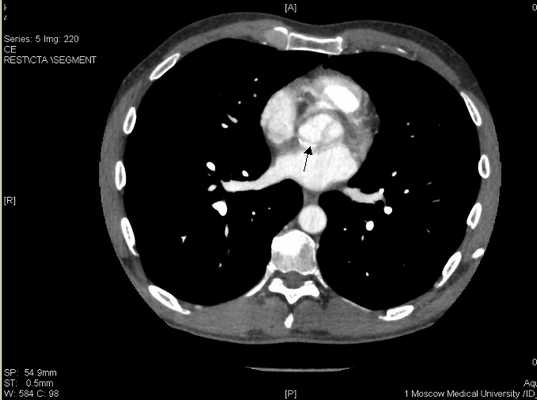
Поскольку от предложенной коронароангиографии пациент вновь отказался, была проведена мультиспиральная компьютерная томография коронарных артерий с контрастированием, которая продемонстрировала протяженный стеноз передней межжелудочковой артерии и окклюзию правой коронарной артерии
Рисунок 11. Стенозирующий атеросклероз коронарных артерий у больного К., 53 лет.
ПМЖВ в проксимальном сегменте имеет кальцинированную протяженную бляшку со стенозированием 50-75% (Указано стрелкой
![ibs11.jpg]()
ПКА в проксимальном сегменте окклюзирована (указано стрелкой), дистальный отдел и ЗМЖВ заполняются контрастным веществом.
![ibs11b.jpg]()
Предложенный случай демонстрирует полное соответствие скринингового тредмил-теста и результатов одной из визуализирующих методик, однако в практической кардиологии нередко имеются случаи рассогласования результатов этих методов исследования.
Довольно показательным в этом смысле является случай пациентки М., 63 лет, которая обратилась в клинику кардиологии УКБ №1 ПМГМУ им. И.М. Сеченова по поводу давящих болей в области сердца, возникающих при подъёме в гору в течение последних 6 месяцев. В анамнезе также обращал на себя внимание затяжной эпизод давящих болей в области сердца, возникший около 2 месяцев назад. При стационарном обследовании была выявлена умеренная гиперхолестеринемия (6.8 ммоль/л), лоцирована уплотненная аорта при проведении трансторакальной эхокардиографии. С учетом эпизода затяжных болей в области сердца пациентке была проведена перфузионная сцинтиграфия миокарда с нагрузкой, где выявлен дефект перфузии боковой стенки в покое с переходом на заднюю стенку при нагрузке
Рисунок 12. Результаты перфузионной сцинтиграфии пациентки М., 63 лет: дефект перфузии боковой стенки в покое с переходом на заднюю стенку при нагрузке.
![ibs12.jpg]()
Также демонстративным является случай пациента Л., 54 лет, госпитализированного в стационар в декабре 2016 года с жалобами на давящий дискомфорт в области сердца, возникающий при ходьбе на 200 м с августа 2016 года и усилившийся в холодную погоду в декабре. При проведении трансторакальной эхокардиографии и нагрузочного тредмил-теста значимой патологии выявлено не было. Однако, с учетом наличия множественных факторов риска (мужской пол, возраст старше 40 лет, курение, гиперхолестеринемия 9 ммоль/л, отягощенный семейный анамнез, артериальная гипертензия) пациенту была проведена коронароангиография. Выявлен 90% стеноз передней межжелудочковой артерии (ПМЖА) и 70% стеноз диагональной артерии (ДА). После проведения стентирования ПМЖА на фоне терапии бисопрололом 5 мг/сут, клопидогрелем 75 мг/сут и аторвастатином 20 мг/сут в январе при ходьбе в холодную погоду пациент отметил возобновление болей в области сердца. Проведена перфузионная сцинтиграфия миокарда с нагрузкой
Рисунок 13. Результаты перфузионной сцинтиграфии миокарда пациента Л., 54 лет: стресс-индуцированный передне-боковой дефект перфузии на пике нагрузки при отсутствии значимой динамики сегмента ST.
![ibs13.jpg]()
где выявлены симптомы стресс-индуцированной ишемии миокарда. После стентирования 70% стеноза ДА была получена положительная динамика контрольной перфузионной сцинтиграфии миокарда. Пациент также отметил полное отсутствие болей при ходьбе.
Довольно типичной является история пациента Д, 62 лет, который обратился на амбулаторную консультацию с жалобами на боли в икроножных мышцах при ходьбе. При проведении дуплексного сканирования артерий ног были выявлены множественные значимые стенозы артерий нижних конечностей, что позволяло расценить жалобы как проявление облитерирующего атеросклероза артерий нижних конечностей. У такого пациента, безусловно, было необходимо исключение гемодинамически значимого стенозирующего атеросклероза коронарных артерий и немой ишемии миокарда, однако при попытке проведения тредмил-теста проба была неинформативной: боли в ногах возникли при достижении 60% возрастной нормы. При проведении трансторакальной эхокардиографии была выявлена гипокинезия нижней стенки левого желудочка.
Для решения вопроса о мультифокальности и необходимости проведения коронароангиографии пациенту был проведен добутаминовый тест как вариант стресс-эхокардиографии. Появление двухфазной реакции сократимости (двухфазный добутаминовый ответ) для этого пациента позволило бы не только решить вопрос необходимости проведения коронароангиографии, но и оценить необходимость реваскуляризации миокарда.
Как известно, подтверждением наличия жизнеспособного миокарда является увеличение сократимости сегментов с исходной сниженной сократимостью в ответ на введение низких (5-10 мкг/кг/мин) доз добутамина с последующим ухудшением сократимости в тех же сегментах на фоне введения высоких (20 мкг/кг/мин) доз.
У пациента Д. проба была положительной: как видно из представленной иллюстрации
Рисунок 14. Положительный результат добутаминового теста у пациента Д., 62 лет
![ibs14.jpg]()
имеется сужение полости левого желудочка с последующим ее расширением, что является признаком последовательного улучшения, а затем ухудшения сократимости. При проведении коронароангиографии у пациента было выявлено гемодинамически значимое многососудистое поражение коронарных артерий, а в дальнейшем успешно проведено аорто-коронарное шунтирование.
Таким образом, на сегодняшний день можно сказать, что неинвазивная диагностика ИБС представляет собой отлаженный, но не всегда очевидный алгоритм. Чаще всего мы используем визуализирующие методики диагностики ИБС (перфузионную сцинтиграфию миокарда с нагрузкой, стресс-эхокардиографию, мультиспиральную компьютерную томографию) при сомнительном результате скринингового нагрузочного теста или при невозможности его проведения (пациенты с облитерирующим атеросклерозом артерий нижних конечностей). Однако отсутствие типичной ишемической динамики сегмента ST у пациента с несколькими факторами риска ИБС оправданно позволяет использовать визуализирующие методики диагностики, несмотря на отрицательный результат первичного теста, поскольку именно клинический статус пациента в сочетании с данными его анамнеза позволяют определить единственно верный для каждого конкретного пациента алгоритм диагностики.
Читайте также:
- Продукция слезы и размеры роговицы в норме
- Термография глаз. Техника и подготовка к термографии
- Факторы стимулирующие рост клетки и аутокринный цикл
- Связь клиники хронического гастрита с синтезом кортикостероидов
- Активация комплемента по альтернативному пути. Альтернативный путь активации комплемента.

























