Диагностика недифференцированной плеоморфной саркомы грудной клетки на рентгене, КТ, МРТ
Добавил пользователь Евгений Кузнецов Обновлено: 13.12.2025
Информацию из данного раздела нельзя использовать для самодиагностики и самолечения. В случае боли или иного обострения заболевания диагностические исследования должен назначать только лечащий врач. Для постановки диагноза и правильного назначения лечения следует обращаться к Вашему лечащему врачу.
Для корректной оценки результатов ваших анализов в динамике предпочтительно делать исследования в одной и той же лаборатории, так как в разных лабораториях для выполнения одноименных анализов могут применяться разные методы исследования и единицы измерения.
Саркома: причины появления, симптомы, диагностика и способы лечения.
Определение
Саркома — это злокачественная (раковая) опухоль, которая развивается в разных типах соединительной ткани. Различают несколько видов опухолей: остеогенную саркому (костная ткань), хондросаркому (хрящевая ткань), миосаркому (мышцы), липосаркому (жировая ткань), синовиальную (процесс затрагивает суставы, чаще страдают колени), фибросаркому (часто поражаются молочные железы), а также ангиосаркому (опухоли сосудистых стенок). Зачастую эти опухолевые процессы характеризуются быстрым ростом, частыми рецидивами и отдаленным метастазированием.
Причины возникновения саркомы
Точные причины развития саркомы мягких тканей точно не известны, но на развитие опухолевого процесса могут влиять следующие факторы:
Стадирование саркомы мягких тканей основано на размере образования, его расположении в отношении поверхностной фасции и степени злокачественности.
Саркомы низкой степени злокачественности сопряжены с низким (менее 5%) риском метастазирования (распространения на другие участки организма). Для саркомы высокой степени злокачественности характерен высокий риск метастазирования, чаще всего в легкие. Поражение близлежащих (регионарных) лимфоузлов встречается редко (5-10%).
Классификация заболевания
По происхождению:
- опухоль, растущая из костной ткани: остеосаркома, хондросаркома, саркома Юинга;
- опухоль, растущая из мягких тканей: липосаркома, лимфосаркома, фибросаркома, саркома Капоши.
- липосаркома, которая выглядит как жировая ткань;
- лейомиосаркома, которая выглядит как гладкие мышцы:
- матки,
- стенки пищеварительного тракта,
- стенки кровеносных сосудов;
При правильном и своевременном лечении при саркомах 5-летняя выживаемость составляет в среднем до 75%.
Симптомы саркомы
Начальными симптомами онкопроцесса становятся увеличение лимфатических узлов, выраженная слабость и быстрая утомляемость даже после отдыха.
Признаки и симптомы саркомы зависят от местонахождения опухоли. Некоторые симптомы саркомы:- боль в месте формирования опухоли;
- тошнота, рвота;
- выраженная слабость, быстрая утомляемость, упадок сил;
- потеря аппетита и снижение веса;
- опухоль (бугорок, «шишка») визуально определяется над поверхностью кожи;
- деформация костей, позвоночника;
- увеличение групп лимфатических узлов;
- полиорганная недостаточность - ухудшение функционирования всех органов и систем наблюдается при метастазировании опухоли;
- патологические переломы - характерный признак саркомы Юинга;
- цианозные (синюшные) пятна, бляшки или узлы - типичные проявления саркомы Капоши.
Если саркома растет в соединительной ткани внутренних органов, забрюшинного пространства, то манифестируют другие симптомы. Их характер зависит от места развития опухоли и ее размера, а также от проникновения в здоровые окружающие ткани. Так, например, при лейомиосаркоме матки могут быть кровотечения или длительные и болезненные менструации, а если саркома развивается в кишечнике, первым признаком может стать кишечная непроходимость (сначала частичная, потом полная).
Диагностика саркомы
Основополагающим диагностическим исследованием саркомы, на основании которого определяется тактика лечения и прогноз, является гистологическое исследование биопсийного материала и иммуногистохимическое исследование, дополненные молекулярными методами. Биопсия должна быть выполнена до начала комплексного лечения. В настоящее время широко используются два типа биопсий: игольная (тонкоигольная аспирация) и открытая биопсия.
Взятие биоматериала оплачивается отдельно. Согласно требованиям п. 17 Правил проведения патолого-анатомических исследований, утв. Приказом Минздрава Росс.
Согласно требованиям п. 17 Правил проведения патолого-анатомических исследований, утв. Приказом Минздрава России от 24.03.2016 № 179н, в целях уточнения диагноза.
Неспецифическая лабораторная диагностика включает:
Метод определения Определение физико-химических параметров выполняется на автоматическом анализаторе методом «сухой химии». Аппаратная микроскоп.
Синонимы: Общий анализ крови, ОАК. Full blood count, FBC, Complete blood count (CBC) with differential white blood cell count (CBC with diff), Hemogram. Краткое описание исследования Клинический анализ крови: общий.
Синонимы: Общий белок сыворотки крови; Общий сывороточный белок. Total Protein; Serum Тotal Protein; Total Serum Protein; TProt; ТР. Краткая характеристика определяемого вещества Общий бе�.
Синонимы: Общий билирубин крови; Общий билирубин сыворотки. Totalbilirubin; TBIL. Краткая характеристика определяемого вещества Билирубин общий Билирубин - пигмент �.
Синонимы: Диамид угольной кислоты; Карбамид; Мочевина в крови; Азот мочевины. Urea nitrogen; Urea; Blood Urea Nitrogen (BUN); Urea; Plasma Urea. Краткая характеристика аналита Мочевина Моче�.
Синонимы: Анализ крови на креатинин; Сывороточный креатинин; Креатинин сыворотки, оценка СКФ. Сreat; Сre; Blood Creatinine; Serum Creatinine; Serum Creat. Краткая характеристика определя�.
Синонимы: Глутамино-щавелевоуксусная трансаминаза; Глутамат-оксалоацетат-трансаминаза сыворотки крови (СГОТ); L-аспартат 2-оксоглутарат аминотрансфераза; ГЩТ. As.
Аланинаминотрансфераза − внутриклеточный фермент, участвующий в метаболизме аминокислот. Тест используют в диагностике поражений печени, сердечной и скелетн�.
Синонимы: Анализ крови на ЛДГ; Лактатдегидрогеназа; L-лактат; НАД+Оксидоредуктаза; Дегидрогеназа молочной кислоты. Lactate dehydrogenase, Total; Lactic dehydrogenase; LDH; LD. Кра.
Синонимы: Анализ крови на щелочную фосфатазу; Фосфатаза щёлочная. ALK PHOS; ALKP; ALPase; Alk Phos. Краткое описание определяемого вещества Щелочная фосфатаза Щелочная фо�.
Синонимы: Анализ крови на электролиты; Электролиты в сыворотке крови. Electrolyte Panel; Serum electrolyte test; Sodium, Potassium, Chloride; Na/K/Cl. Краткая характеристика определяемых �.
Общий кальций - основной компонент костной ткани и важнейший биогенный элемент, обладающий важными структурными, метаболическими и регуляторными функциями в .
Другие инструментальные методы:
- рентгенография костей скелета, суставов ;
- ультразвуковое исследование пораженной области:
- предстательной железы ,
- сосудов ,
- мочевыделительной системы ,
- щитовидной железы ,
- молочных желез,
Лечение саркомы
Долгое время единственным способом лечения больных с саркомами являлся хирургический метод, который остается наиболее часто применяемым и сегодня. Методами выбора являются радикальные операции (удаление опухоли с захватом здоровой ткани), резекция (удаление только опухоли) с последующей лучевой терапией или комплексное лечение с химиотерапией и лучевой терапией перед резекцией опухоли. Также существуют методики, подразумевающие проведение операций гамма- или киберножами.
Лучевая или химиотерапия перед операцией используются для сокращения размеров опухоли и увеличения возможности радикальной органосохраняющей резекции. После операции возможно продолжение лучевой терапии.
Широкие органосохраняющие резекции с пред- и/или послеоперационной химиотерапией показывают удовлетворительные отдаленные результаты при саркомах конечностей с высокой степенью злокачественности. При таких же саркомах туловища, области головы и шеи хирургический метод вместе с лучевой или химиотерапией также дают хороший локальный контроль заболевания.
Лечение забрюшинных сарком более сложное, т.к. радикальное удаление опухолей бывает затруднено, а возможность лучевой терапии с адекватной дозой облучения ограничена.
У больных с IV стадией процесса хирургический метод может быть также использован в случае операбельных легочных метастазов. Если удаление первичной опухоли при этом возможно, то в ряде случаев оперативное удаление метастазов обеспечивает длительную безрецидивную выживаемость и даже излечение. Чаще всего это наблюдается при изолированных легочных метастазах, когда их удаление возможно при отсутствии плеврального выпота и метастазов в лимфатические узлы средостения, а также при отсутствии противопоказаний для операции на грудной клетке.
Химиотерапия саркомы мягких тканей в последние годы претерпевает значительные изменения: меняются подходы к выбору лекарственных комбинаций в зависимости от вида саркомы, появляются новые лекарства, приобретает клинические перспективы таргетная терапия.
Выбор препаратов для химиотерапии индивидуален и основан на виде саркомы, ее расположении и степени злокачественности, а также от состояния больного.
Химиотерапия необходима при поражении костей (остеосаркоме).
![Остеосаркома.jpg]()
Таргетные препараты направлены на поражение или связывание определенных молекулярных мишеней в опухолевых клетках, не затрагивая при этом здоровые ткани. Эффективность и безопасность применения этой группы лекарств при разных онкологических заболеваниях постоянно изучаются. В результате расширяются возможности их назначения как самостоятельно, так и в комбинации с препаратами стандартной химиотерапии.
Правильно подобранная терапия даже в запущенных случаях может продлить жизнь, улучшить общее состояние и качество жизни пациента.
Рекомендуются следующие реабилитационные мероприятия:
- экзопротезирование для пациентов, перенесших калечащие операции;
- курсы ранней и отсроченной реабилитации для пациентов после органосохраняющего лечения.
Саркомы мягких тканей могут достигать больших размеров, давить на здоровые ткани и вызывать боль.
При распространении саркомы на другие органы нарушаются функции пораженного органа (например, при распространении саркомы в легкие развивается одышка).
Неблагоприятные факторы, влияющие на исход лечения:
- присоединение инфекции;
- наличие патологического перелома;
- развитие анемии, тромбоцитопенического синдрома, которые требуют трансфузии компонентов крови;
- удлинение интервалов между введением химиопрепаратов;
- редукция доз химиопрепаратов;
- несоблюдение пациентом рекомендаций в ходе лечения и при динамическом наблюдении.
Профилактика саркомы
Поскольку до сих пор не выяснены точные причины развития саркомы, профилактических мероприятий не существует. Профилактика по большей части касается пациентов, прошедших лечение саркомы. Она заключается в наблюдении у специалиста после окончания этапа комбинированного лечения: динамическое наблюдение проводится каждые 3 месяца в течение первых 2 лет, далее - раз в 6 месяцев до 5 лет. Обязательными процедурами являются: КТ грудной клетки, УЗИ области послеоперационного рубца.
- Клинические рекомендации «Саркомы мягких тканей» (взрослые). Разраб.: Ассоциация онкологов России, Восточно-Европейская группа по изучению сарком, Российское общество клинической онкологии. - 2020.
- Бенберин В.В., Байзаков Б.Т., Шаназаров Н.А., Зинченко С.В. Саркомы мягких тканей - современный взгляд на проблему // Вестник Авиценны. - 2019;21(2):291-7.
- Громова Е.Г., Бирюкова Л.С., Джумабаева Б.Т., Курмуков И.А. Практические рекомендации по коррекции нефротоксичности противоопухолевых препаратов // Злокачественные опухоли: Практические рекомендации RUSSCO №3s2, 2017 (Т. 7). - С. 540-552.
- Клинические рекомендации «Саркомы мягких тканей» (дети). Разраб.: Национальное общество детских гематологов. - 2020.
Диагностика недифференцированной саркомы с помощью МРТ и КТ
Что необходимо знать о недифференцированной саркоме
- Средний возраст на момент установления диагноза плеоморфная саркома - 45 лет.
- Синонимы: плеоморфная саркома, круглоклеточная саркома, веретеноклеточная саркома
- Недифференцированная (веретеноклеточная) саркома составляет менее 24% всех сарком сердца
- Специфические гистологические маркеры отсутствуют
- Участки кровоизлияний и некроза
- Предрасположенность к развитию в ЛП
- Недифференцированная (веретеноклеточная) саркома может исходить из перикарда
- Может инфильтрировать сосуды сердца и другие расположенные рядом структуры
- Иногда на поверхности опухоли формируются тромбы.
Какой метод диагностики саркомы выбрать: МРТ, КТ, ЭХО-КГ, ангиографию
Методы выбора
Что покажет рентген грудной клетки
- Часто норма
- Может демонстрировать образование, смещающее наружную границу сердца
- Ограниченное увеличение тени сердца или кардиомегалия
- Изменения рисунка легочных сосудов
- Недифференцированная (веретеноклеточная) саркома может вызывать изолированное появление неспецифических признаков (зависит от расположения опухоли и гемодинамических эффектов)
- СН
- Признаки венозного застоя
- Выпот в плевральную полость и полость перикарда.
Для чего проводят УЗИ сердца при плеоморфной саркоме
- Гиперэхогенное образование в области ЛП
- Нечеткий край
- Точная локализация (чреспищеводная ЭХО-КГ)
- Возможно нарушение функции сердца (особенно функции митрального клапана)
- Выпот в полость перикарда.
Информативна ли МСКТ сердца
- Образование демонстрирует гетерогенную структуру контрастного усиления
- Обычно наблюдаются участки кровоизлияний и некроза
- Тромбы при обструкции сосудов (легочные вены, полые вены).
В каких случаях проводят МРТ сердца при круглоклеточной саркоме
- Функциональные и морфологические признаки плеоморфной саркомы, как при ЭХО-КГ и КТ
- Гетерогенные характеристики сигнала
- Очаги высокой Т1-взвешенной интенсивности сигнала (кровоизлияние) и Т2-взвешенной интенсивности сигнала
- МР-исследование обеспечивает оптимальную оценку перикарда.
Клинические проявления
Типичные симптомы плеоморфной саркомы:
- Потеря веса
- Одышка
- Боли в грудной клетке
- СН и венозный застой в легких.
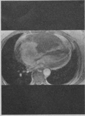
![Снимки МРТ и КТ. Недифференцированная саркома]()
Недифференцированная саркома ПЖу женщины 63 лет. ЭКГ-триггерная последовательность GE в конце диастолы демонстрирует распространенное образование в ПЖ, инфильтрирующеетрикуспидальный клапан.
![Снимки МРТ и КТ. Недифференцированная саркома]()
Тот же пациент. ЭКГ-триггерная последовательность GЕ в концедиастолы демонстрирует субтотальную окклюзиюпросвета ПЖ саркомой (звездочка).
Методы лечения плеоморфной саркомы
- Хирургическая резекция недифференцированной (веретеноклеточной) саркомы увеличивает частоту выживаемости
- В редких случаях пересадка сердца рассматривается как последний метод лечения круглоклеточной саркомы.
Течение и прогноз
- Прогноз недифференцированной (веретеноклеточной) саркомы очень неблагоприятный
- Часто возникают локальные рецидивы
- Продолжительность жизни 3-12 мес.
Что хотел бы знать лечащий врач?
- Выпот в плевральную полость
- Точная локализация и взаимосвязь с окружающими структурами (инфильтрация)
- Нарушение функции сердца
- Наличие тромбов.
Какие патологии имеют симптомы, схожие с вкретеноклеточной саркомой
Миксома
- Часто гиперинтенсивная на Т2-взвешенном и постконтрастном МР-исследовании
- Опухоль на ножке
- Не инфильтрирует окружающие структуры
Другие образования
- Другие злокачественные опухоли сердца, такие как ангиосаркома и рабдомиосаркома
Что такое недифференцированная плеоморфная саркома
Недифференцированная плеоморфная саркома - это редкий тип рака, который в основном развивается в мягких тканях организма. Мягкие ткани соединяют, поддерживают и окружают другие структуры тела. Недифференцированная плеоморфная саркома обычно поражает конечности. Реже заболевание может развиться в области за органами брюшной полости (ретроперитонеум). Рак называется плеоморфным, потому что раковые клетки имеют разную форму и размеры. Лечение зависит от локализации рака и часто включает в себя хирургическое, лучевое и медикаментозное лечение. Ранее недифференцированную плеоморфную саркому называли злокачественной волокнистозной гистиоцитомой.
Симптомы недифференцированные плеоморфной саркомы
Симптомы недифференцированные плеоморфной саркомы зависят от локализации развития раковой опухоли, и чаще всего они включат в себя следующие проявления:
- Растущее новообразование или сильный отек
- При разрастании опухоли появляются боль, покалывание и онемение
- Отек пораженной конечности, если опухоль поражает руки или ноги
- Если опухоль развивается в брюшной полости, то может возникнуть боль, потеря аппетита и запор
- Лихорадка
- Потеря веса.
Причины появления недифференцированной плеоморфной саркомы
Неясно, что вызывает недифференцированную плеоморфную саркому. Исследования подтверждают, что заболевание начинает развиваться из-за аномальных мутаций в ДНК, которые приводят к неконтролируемому делению клеток, образованию опухолей и их распространению на близлежащие здоровые ткани. Со временем раковые клетки могут метастазировать на легкие и кости.
Факторы риска
Факторы, которые могут увеличить риск развития недифференцированной плеоморфной саркомы:
- Старение. Этот рак, как правило, встречается у пациентов старше 50 лет
- Предыдущая лучевая терапия. Редко этот рак может развиться в области тела, которая ранее подвергалась лучевой терапии.
Диагностика недифференцированной плеоморфной саркомы
Диагностика недифференцированной плеоморфной саркомы обычно начинается с обзора симптомов и физического осмотра. Данное заболевание часто диагностируется после исключения других видов рака. Диагностические обследования включают:
КТ и МРТ при саркоидозе легких - что покажет
![]()
КТ органов грудной клетки, МРТ легких являются аппаратными методами диагностики саркоидоза легких. Исходя из первичных симптомов, истории болезни, противопоказаний и диагностических целей, врач пульмонолог назначает необходимые способы обследования. В большинстве случаев, КТ органов грудной клетки выбирается как первичный метод диагностики. Если результаты исследования носят тревожный или неясный характер, дополнительно назначается МРТ легких.
Что такое саркоидоз
Саркоидоз - редкое иммунное заболевание, при котором в органах тела развиваются небольшие гранулемы. Этим заболеванием обычно поражаются легкие и кожа. Патология может диагностироваться у людей любого возраста, но обычно начинается у взрослых в возрасте от 20 до 40 лет. Болезнь поражает людей любого этнического происхождения, но чаще встречается у женщин, чем у мужчин.
Симптомы саркоидоза зависят от того, какие органы поражены, но обычно включают:
- нежные красные шишки на коже
- сбивчивое дыхание
- постоянный кашель.
Для многих больных с саркоидозом симптомы часто улучшаются без лечения в течение нескольких месяцев или лет. Однако у некоторых людей симптомы развиваются постепенно и со временем ухудшаются, вплоть до серьезного поражения тканей. Это состояние известно как хронический саркоидоз. Заболевание не заразно, поэтому оно не может передаваться от человека к человеку. В настоящее время нет лекарства от саркоидоза, и терапия нацелена на снижение симптоматики.
Симптомы острого и хронического саркоидоза
Невозможно предсказать, как саркоидоз повлияет на человека, так как это состояние может повлиять на любой орган, и симптомы широко варьируются в зависимости от того, какие органы поражены. У большинства больных признаки развиваются внезапно, но обычно состояние проходят в течение нескольких месяцев или лет. Такая форма заболевания известна как острый саркоидоз. У некоторых людей вообще нет никаких симптомов, и заболевание диагностируется после КТ или рентгена, проведенного по другой причине. Иногда пациенты обнаруживают, что их симптомы развиваются постепенно и со временем ухудшаются, вплоть до серьезного поражения функции, когда в органе может образовываться большое количество гранулем. Такая форма заболевания известна как хронический саркоидоз. Саркоидоз чаще всего поражает легкие, кожу и / или лимфатические узлы.
Симптомы саркоидоза легких
Легкие поражены примерно у 90% людей с саркоидозом. Такая форма заболевания известна как легочный саркоидоз. Основные симптомы - одышка и постоянный сухой кашель. Некоторые люди с легочным саркоидозом испытывают боль и дискомфорт в груди.
Симптомы саркоидоза кожи
Кожа также поражена у многих больных с саркоидозом, что может вызвать появление болезненных красных шишек или пятен на коже (особенно на голенях), а также сыпь на верхней части тела.
Прочие симптомы саркоидоза
- болезненные и опухшие железы на лице, шее, подмышках или в паху
- усталость и общее недомогание
- болезненные суставы
- красные или воспаленные глаза
- нарушение сердечного ритма
- заложенный нос
- боль в костях
- камни в почках
- головная боль.
Причины саркоидоза
Иммунная система организма обычно борется с инфекциями, высвобождая лейкоциты в кровь, чтобы изолировать и уничтожить микробы. Это приводит к воспалению тканей тела в пораженной области. Считается, что саркоидоз происходит из-за того, что иммунная система перешла в режим «перегрузки», когда организм начинает атаковать свои собственные ткани и органы. Возникающее в результате воспаление вызывает развитие гранулем. Есть много похожих аутоиммунных состояний, таких как ревматоидный артрит и системная волчанка, которые вызваны атакой организма на собственные ткани. Ученым пока неизвестно, почему иммунная система дает такие сбои, но считается, что какой-то фактор окружающей среды вызывает заболевание у людей, которые уже генетически предрасположены к нему.
Диагностика саркоидоза на МРТ и КТ
Для диагностики саркоидоза может быть проведен ряд различных тестов, в зависимости от того, какие органы поражены. Если симптомы предполагают, что у пациента легочный саркоидоз, врач назначит сделать рентген грудной клетки или КТ легких, чтобы искать признаки этого состояния. В некоторых случаях врачам потребуются данные эндоскопии легких с биопсией, когда небольшой образец легочной ткани может быть взят во время эндоскопического исследования через горло, чтобы его можно было изучить под микроскопом. Если врачи считают, что у пациента саркоидоз, поражающий другие органы, такие как кожа, сердце или глаза, обычно проводят УЗИ, МРТ или КТ обследование этих областей.
Разница между МРТ и КТ
Компьютерная томография и магнитно-резонансная томография используются для получения изображений органов и тканей в трехмерной проекции. Разница в томографии заключается в том, что при МРТ используются радиоволны, а при КТ - рентгеновские лучи для получения изображения. Хотя оба томографических метода имеют высокую информативность, есть диагностические различия, которые могут сделать каждый из них более подходящим вариантом в зависимости от обстоятельств.
КТ-сканирование более быстрая форма диагностики, чем магнитно-резонансная томография, и обычно используется для экстренного обследования. При использовании как КТ, так и МРТ существуют определенные риски. Они зависят от типа визуализации, а также от способа ее проведения. К рискам КТ относятся: вред для внутриутробного ребенка при беременности и доза радиации. Риски МРТ включают реакции на металлические импланты в теле из-за сильного магнитного поля, громкий шум от аппарата, повышенная, клаустрофобические риски.
Если врачу нужны более детальные изображения мягких тканей, связок или органов высоким состоянием воды, обычно назначается магнитно-резонансная томография. Если необходимо получить хорошие изображение костных структур и полых органов, обычно рекомендуется компьютерная томография.
Как лечится саркоидоз
Большинство людей с саркоидозом не нуждаются в лечении, так как состояние часто проходит самостоятельно в течение нескольких месяцев или лет. Простые изменения образа жизни и безрецептурные обезболивающие (парацетамол или ибупрофен) часто - все, что нужно для контроля боли при любых обострениях. Врачи будут следить за состоянием пациента, чтобы проверить, становится ли оно лучше или хуже без лечения. Это можно сделать с помощью рентгена, дыхательных тестов и анализов крови.
Если рекомендовано лечение, обычно используются стероидные таблетки, которые помогает облегчить симптомы и предотвратить повреждение пораженных органов за счет уменьшения воспаления и предотвращения рубцевания. Однако стероидные таблетки могут вызывать неприятные побочные эффекты, такие как увеличение веса и перепады настроения, если принимать их в высоких дозах. Другие побочные эффекты, такие как ослабление костей, также могут развиться при длительном приеме стероидов. Поэтому они используются только при необходимости, и пациенту могут дать высокую дозу стероидов на короткий период времени, а затем перейти на более низкую дозу в последующие месяцы или годы. В некоторых случаях прием добавок кальция или витамина D может помочь снизить риск остеопороза, вызванного длительным приемом стероидных препаратов. Однако принимать их следует только по рекомендации врача. Некоторые люди с саркоидозом могут иметь повышенный риск развития осложнений, включая камни в почках, при приеме стероидных лекарств.
Иногда для лечения саркоидоза могут использоваться иммунодепрессантом, которые улучшаютсимптомы за счет снижения активности иммунной системы.
Перспективы
Симптомы саркоидоза могут приходить и уходить, и их обычно можно лечить с помощью безрецептурных обезболивающих, чтобы они не влияли на повседневную жизнь. Большинство людей с этим заболеванием обнаруживают, что их симптомы исчезли в течение нескольких лет после постановки диагноза.
Диагностика острой обструкции левого атриовентрикулярного отверстия недифференцированной плеоморфной саркомой
![]()
1. Название клинического случая:
Случай острой обструкции левого атриовентрикулярного отверстия недифференцированной плеоморфной саркомой.
2. Используемое оборудование:
Эхокардиограф экспертного класса Acuson Sequoia 512 (Siemens, Германия), компьютерный томограф Aquilion 64 (Toshiba, Япония), однофотонный эмиссионный компьютерный томограф E. Cam («Siemens», Германия).
3. Новизна (значимость) клинического случая:
Опухолевое поражение сердца представляет собой малоизученную область клинической медицины, что объясняется редкостью данной патологии, чрезвычайным полиморфизмом клинической картины и сложностями прижизненной диагностики. Первичные злокачественные новообразования сердца (ЗОС) являются патологией, возникающей крайне редко (0,0017-0,33%). Распределение пациентов по полу примерно равное, а средний возраст манифестации опухоли находится в пределах 17-67 лет. Наиболее частой разновидностью является саркома. В связи с трудностью ранней диагностики ЗОС у 50-80% пациентов к моменту выявления новообразования уже имеются регионарные или отдаленные метастазы, что значительно ухудшает их состояние и прогноз хирургического лечения.
4. Где диагностировано:
Кафедра и клиника военно-морской терапии, кафедра и клиника нейрохирургии, первая кафедра и клиника хирургии (усовершенствования врачей), кафедра и клиника рентгенологии и радиологии с курсом ультразвуковой диагностики Военно-медицинской академии им. С.М. Кирова.
5. Краткая информация о пациенте:
Мужчина, 38 лет. До конца 2015 года считал себя здоровым человеком, хронических заболеваний по результатам ежегодных углубленных медицинских осмотров не имел. От занятий по физической подготовке не освобождался, отмечал хорошую переносимость нагрузок. Эпизодов потери сознания, склонности к головокружению, ощущений перебоев в работе сердца и приступов сердцебиения не отмечалось. С начала 2016 года стала беспокоить постоянная умеренная боль в поясничном отделе позвоночника, усиливающаяся при физической нагрузке и продолжительной работе стоя. В ноябре 2016 г. отметил резкое усиление болей в пояснице. По данным КТ поясничного позвоночника выявлен патологический перелом тела L4 позвонка. В связи с подозрением на вторичный характер изменений L4 позвонка пациент был госпитализирован в клинику нейрохирургии Военно-медицинскую академию им. С.М. Кирова для установления окончательного диагноза и определения дальнейшей тактики лечения.
6. Краткое описание хода обследования:
Обследование было направленно на выявление первичного опухолевого очага и распространенности онкологического процесса. При поступлении специфические жалобы (кардиалгии, ощущение аритмии, головокружения, одышка, неустойчивость АД) отсутствовали. Гемодинамика была стабильная. В связи с подозрением на вторичный характер изменений L4 была выполнена остеосцинтиграфия с 99mTc-пирфотехом, подтвердившая высокую вероятность вторичного опухолевого поражения костей скелета (рис. 1). Вечером 27.11.2016 г. произошло резкое ухудшение состояние в виде быстрого нарастания явлений острой сердечной (левожелудочковой) и дыхательной недостаточности. Пациент был переведён на вспомогательную вентиляцию лёгких и инотропную поддержку сердечной деятельности. По данным выполненных по cito трансторакальной эхокардиографии (рис. 2) и КТ-ангиографии (рис. 3) органов грудной клетки было выявлено объёмное образование левого предсердия, практически полностью заполняющее собой его полость и обтурирующее левое атриовентрикулярное отверстие. По неотложным показаниям в первой клинике хирургии (усовершенствования врачей) ВМедА в условиях искусственного кровообращения было выполнено удаление новообразования левого предсердия (рис. 4). В послеоперационном периоде явления острой сердечной и дыхательной недостаточности регрессировали. При гистологическом исследовании удалённого новообразования левого предсердия были выявлены признаки злокачественной мезенхимальной опухоли. Иммуногистохимическое исследование фрагмента опухоли позволило установить окончательный диагноз - «Недифференцированная плеоморфная саркома левого предсердия с прорастанием в межпредсердную перегородку и правое предсердие. Метастатическое поражение костей скелета: Th12-S2 позвонков, левой подвздошной кости, правой плечевой, лобковой, бедренной, большеберцовой костей».
В послеоперационном периоде явления острой сердечной и дыхательной недостаточности регрессировали. При гистологическом исследовании удалённого новообразования левого предсердия были выявлены признаки злокачественной мезенхимальной опухоли. Иммуногистохимическое исследование фрагмента опухоли позволило установить окончательный диагноз: «Недифференцированная плеоморфная саркома левого предсердия с прорастанием в межпредсердную перегородку и правое предсердие. Метастатическое поражение костей скелета: Th12-S2 позвонков, левой подвздошной кости, правой плечевой, лобковой, бедренной, большеберцовой костей».
За описание случая острой обструкции левого атриовентрикулярного отверстия недифференцированной плеоморфной саркомой по итогам отбора, Конкурсная комиссия, сформированная Правлением Санкт-Петербургского общества терапевтов им. С.П. Боткина, приняла решение о присуждении первого места клиническому ординатору кафедры военно-морской терапии Военно-медицинской академии имени С.М. Кирова Пропастиной М.В. награждении её дипломом лауреата первой степени конкурса молодых терапевтов Санкт-Петербурга.
Рис. 1. Результаты остеосцинтиграфии скелета с 99mTc-пирфотехом. Были выявлены зоны повышенного накопления препарата в проекции правого плечевого сустава (свыше 90%), в проекции лобковой кости слева (свыше 65%), в проекции нижней трети диафиза левой бедренной кости (свыше 35%), в проекции нижней трети правой голени (свыше до 97%). Зоны повышенного накопления препарата указаны стрелкой. Рис. 2. Трансторакальная эхокардиография (четырёхкамерная верхушечная позиция). В левом предсердии определяется объёмное образование, занимающее почти всю его полость (A, B) и пролабирующее в левый желудочек в диастолу с обструкцией атриовентрикулярного отверстия (C, D). Рис. 3. КТ-ангиография органов грудной клетки (фронтальная проекция).
Рис. 4. Удаление в условиях искусственного кровообращения новообразования левого предсердия (слева) и части удалённой опухоли (справа).Читайте также:
- Торможение и возбуждение ядер мозжечка. Физиология сигнальной системы мозжечка
- Анатомия: Сегментарное строение легких. Сегменты легкого
- УЗИ, МРТ при диабетической эмбриопатии у плода
- Местное действие алкилирующих соединений. Общерезорбтивное действие алкилирующих соединений
- Аудиограммы при сифилитических поражениях органа слуха. Костная проводимость при сифилисе внутреннего уха





