Диагностика синдрома задней обратимой энцефалопатии (СЗОЭ) по КТ, МРТ
Добавил пользователь Евгений Кузнецов Обновлено: 11.12.2025
Наблюдается три морфологических варианта отложения амилоида в головном мозге:
- церебральная амилоидная ангиопатия (наиболее часто)
- амилоидома (нечасто)
- воспалительная церебральная амилоидная ангиопатия: ангиит, обусловленный отложением бета-амилоида (БАА) с диффузными воспалительными изменениями белого вещества (очень редко).
Эпидемиология
- Гендерная принадлежность отсутствует.
- ЦАА составляет 1 % всех инсультов и является причиной до 15-20% всех первичных ВЧК у пациентов старше 60 лет.
- Частота ЦАА у пожилых пациентов составляет ~ 20-40%-у пожилых пациентов без клинических проявлений (выявляемые при аутопсии) и у 90%-пациентов с болезнью Альцгеймера. Часто встречается при синдроме Дауна.
Демография
- Возраст обычно пожилой при спорадических формах (старше 60 лет). Воспалительные формы ЦАА встречаются у лиц более молодого возраста.
Классификация амилоидоза по ВОЗ:
- Первичный системный амилоидоз
- Вторичный амилоидоз
- Наследственный системный амилоидоз
- Системный гемодиализный амилоидоз
- При медуллярном раке щитовидной железы
- При сахарном диабете 2 типа

Патология
ЦАА обусловлена накоплением агрегированного р-амилоида в сосудах мелкого калибра
Амилоидоз = редкое системное заболевание, вызванное внеклеточным отложением р-амилоида
В 10-20% наблюдается локализованная форма с поражением структур ЦНС
Может иметь первичный/идиопатический генез
Может иметь вторичный генез (при диализе, медуллярном раке щитовидной железы, сахарном диабете 2 типа)
Макроскопические особенности:
- Долевое кровоизлияние
- Множественные мелкие кортикальные кровоизлияния

Микроскопические особенности:
- Интерстициальное, сосудистое/периваскулярное отложения аморфного белка
- Яблочно-зеленое двулучепреломление при окрашивании Конго красным при наблюдении в поляризованном свете
- Три компонента
- - Фибриллярный белковый компонент (определяет тип амилоидоза)
- - Сывороточный амилоид Р
- - Заряженные гликозаминогликаны (характерны для всех типов амилоидоза)
Генетика
Спорадический характер (амилоид типа р)
- Аллель АРОЕ*Е4 связана с развитием ЦСА-ассоциированных кровоизлиянии
- Пациенты пожилого возраста, ± болезнь Альцгеймера.
Наследственные внутримозговые кровоизлияния с амилоидозом.
- Аутосомно-доминантный тип наследования
- Белок-предшественник амилоида кодируется геном АРР, локализующимся в 21 хромосоме
- Выделяют голландский, британский, фламандский, итальянскии и другие типы
- Более тяжелое и более раннее начало, чем при спорадической форме
Клинические проявления
Острые: инсультоподобные клинические проявления при спонтанном долевом внутричерепном кровоизлиянии.
Хронические: деменция (ЦДЛ)
- ЦАА распространена у пожилых пациентов, страдающих деменцией.
- - 2/3 имеют нормальное артериальное давление, 1/3 имеют артериальную гипертензию
- - 40% с подострой деменцией/явными признаками болезни Альцгеймера (часто наблюдается перекрытие состояний)
Бостонские критерии для постановки ЦАА:
- Достоверная ЦАА, подтвержденная патоморфологическим исследованием мозга:
- лобарное корковое или корковосубкортикальное кровоизлияние;
- тяжелая церебральная амилоидная ангиопатия;
- отсутствие других диагностически значимых повреждений.
- Вероятная ЦАА, которая подтверждена морфологическим исследованием фрагментов мозга (удаленное лобарное кровоизлияние, биоптаты коры головного мозга) и клиническими данными:
- лобарное, корковое или корковосубкортикальное кровоизлияние;
- наличие в биоптатах мозга изменений, характерных для ЦАА;
- отсутствие других диагностически значимых повреждений.
- Вероятная ЦАА, подтвержденная клиническими и нейровизуализационными данными:
- множественные лобарные, корковые или корково-субкортикальные кровоизлияния;
- возраст больных 55 лет и старше;
- отсутствие других причин кровоизлияний (прием антикоагулянтов с МНО>3, травма, опухоль головного мозга, мальформации, васкулиты, коагулопатии и др.).
- Возможная ЦАА, подтвержденная клиническими и нейровизуализационными данными:
- единичное лобарное, корковое или корково-субкортикальное кровоизлияние;
- возраст 55 лет и старше;
- отсутствие других причин кровоизлияний.
Радиологические находки:
Пациенты, страдающие деменцией и имеющие нормальное артериальное давление
- Лобарное кровоизлияние различной давности
- Мультифокальные кортикальные/субкортикальный микрокровоизлияния в виде «черных точек» при МРТ на Т2* или SWI.
Локализация
Кора/субкортикальное белое вещество (переход между серым и белым веществом).
При аутопсии наиболее часто выявляется поражение теменных + затылочных долей, по данным диагностической визуализации-лобные + височные
Менее частая локализация патологических изменений - ствол головного мозга, глубокие ядра, мозжечок, гиппокамп.
Размеры
Для острого долевого кровоизлияния более характерны крупные размеры
Гипоинтенсивные очаги на Т2* характеризуют хронические микрокровоизлияния (не специфичные для ЦАА)
- Микро- и макрокровоизлияния могут представлять собой отличительные признаки ЦАА САА.
Морфология:
Острые гематомы имеют крупные размеры, часто неправильную форму в зависимости от скорости оседания эритроцитов
Задняя обратимая энцефалопатия (синдром)
Синдром задней обратимой энцефалопатии (англ. сокращенно - PRES) - это нейротоксическое состояние возникающее вторично в ответ на неспособность системы задней циркуляции реагировать на острые изменения артериального давления. Гиперперфузия ведет к нарушению гемато-энцефалического барьера, приводя в итоге к развитию вазогенного отека, без инфаркта, чаще в теменно-затылочной области.
Терминология
Синдром задней обратимой энцефалопатии так же известен под терминами острая гипертензивная энцефалопатия или задняя обратимая лейкоэнцефалопатия. Термин является неточным, поскольку при данном синдроме изменения могут распространяться за пределы задних отделов мозга. Кроме того, хотя в большинстве случаев при адекватном лечении большинство изменений полностью регрессирует, у некоторых пациентов состояние может прогрессировать приводя к постоянному повреждению паренхимы головного мозга с остаточным неврологическим дефицитом. Необходимо отличать данное состояние от хронической гипертензионной (гипертонической) энцефалопатии, также известной как гипертензивная микроангиопатия, которая приводит к микрокровоизлияниям в базальные ганглии, мост и мозжечок.
Клиническая картина
Клинические проявления включают головную боль, судороги, энцефалопатию и нарушения зрения.
К развитию данного синдрома могут предрасполагать различные клинические состояния. Хотя механизм изучен не до конца, считается что изменения связаны с нарушением целостности гемато-энцефалического барьера. Основные теории:
- повышенное артериальное давление ведет к нарушению саморегуляции, гиперперфузии, повреждению эндотелия и развитию вазогенного отека
- эндотелиальная дисфункция ведет к вазоконстрикции, гипоперфузии, развитию ишемии головного мозга с последующим формированием вазогенного отека
Однако у 25% пациентов артериальное давление не повышено или не достигает верхней границы системы саморегуляции (150-160 мм рт. ст.).
Этиология
- выраженная гипертензия
- послеродовая
- эклампсия/преэклампсия
- острый гломерулонефрит
- цисплатин
- интерферон
- эритропоэтин
- такролимус
- циклоспорин
- азатиоприн
- L-аспаргиназа
Диагностика
В большинстве случаев синдром задней обратимой энцефалопатии проявляется вазогенным отеком в теменных и затылочных долях (наблюдается в ~98% случаев), что возможно связано с нарушением в системе задней циркуляции. Отек обычно симметричный. Несмотря на термин “задняя”, отек может локализоваться не только в задних отделах, но обычно ограничен сосудистым бассейном, например лобным, нижневисочным, мозжечковым и стволовым сосудистым бассейном [2]. Отек распространяется как кору так и подкорковые зоны. Основные виды (паттерны отека головного мозга):
- распространение на всю гемисферу в пределах бассейна (дословно зоны водораздела)
- вовлечение верхних лобных извилин
- преобладание в теменно-затылочных областях [2]
Проявления встречающиеся менее чем в 5% случаев синдрома задней обратимой энцефалопатии включают: ограниченный односторонний отек, центральный отек (отек ствола мозга или базальных ганглиев без вовлечения коры и подкоркового белого вещества).
Инфаркты паренхимы и кровоизлияния сочетанные с синдром задней обратимой энцефалопатии встречаются в 10-25% и 15% случаев. Наличие контрастного усиления, не зависимо от типа, не изменяет прогноз.
Компьютерная томография
Затронутые области имеют пониженную, относительно неизмененной паренхимы, плотность.
Синдром Гийена — Барре
Синдром Гийена — Барре (СГБ, острый полирадикулоневрит) — острая аутоиммунная воспалительная полирадикулоневропатия, проявляющаяся вялыми парезами, нарушениями чувствительности, вегетативными расстройствами.
История и этимология.
Эпидемиология.
Демография:
- Наиболее часто встречается в детском и молодом возрасте.
- Частота встречаемости составляет 0,6-2,73 случая на 100 тыс. человек в год. Заболевание регистрируется во всех возрастных, популяционных и социально-экономических группах. В западных странах Синдром Гийена — Барре является наиболее частой причиной параличей.
Этиология.
Воспалительное (аутоиммунное или вирусное) демиелинизируюицее заболевание. В 70% случаев СГБ имеется предшествующее заболеванию событие или «триггер». Обычно таким триггером является вирусная инфекция, но триггером может быть инфекция, вызванная Campylobacter jejuni. У 1/З пациентов обнаруживаются антитела к ганглиозидам оболочек нервов, которые отличаются перекрестной реактивностью клипополисахаридам C.jejuni. Инфекция, вызванная C.jejuni, сопровождается формированием антител к ганглиозидам GM1 и GD1a, развитием аксональной нейропатии и более выраженными функциональными нарушениями. В редких случаях триггером может стать вакцинация (против гриппа и других заболеваний). Связь заболевания с перенесенным оперативным вмешательством или системными заболеваниями отмечается гораздо реже.
Генетика
- Заболевания может стать дебютом генетического или наследственного заболевания
- Мутация в локусе 17р12
- Описана связь между антигенами системы HLA и некоторыми подтипами синдрома Гийена-Барре (возможно, таким антигеном является HLA DR2)
Патология.
Патогенез заболевания опосредован как клеточными, так и гуморальными механизмами. Заболевание относят к группе подострых воспалительных демиелинизирующих полирадикулонейропатий (ПВДП), которые относят к предшественникам хронической воспалительной демиелинизирующей полирадикулопатии (ХВДП). Обе патологии характеризуются медленным развитием, длительным течением, периодами обострения, менее выраженным поражением черепных нервов
- Фокальная сегментарная демиелинизация
- Периваскулярные и эндоневральные лимфоцитарные/моноцитарные (макрофаги) инфильтраты
- Аксональная дегенерация в сочетании с сегментарной демиелинизациеи в тяжелых случаях
- Патогенетическим фактором являются антиганглиозидные антитела. Повреждение нервов возникает вторично на фоне активации системы комплемента или дисфункции мембранных молекул, например, вольтаж-зависимых натриевых и кальциевых каналов.
Клинические проявления.
Наиболее распространенные симптомы/признаки
- Классическая картина «восходящего паралича». Распространение процесса на ствол мозга может приводить к поражению черепных нервов. В тяжелых случаях возможен паралич диафрагмы, что требует искусственной вентиляции легких.
Другие симптомы/признаки
- Нарушения чувствительности также встречаются достаточно часто, однако протекают менее тяжело. Онемение, парестезии. Вслед за парестезиями дистальных отделов конечностей быстро прогрессирует «восходящий паралич». Нередко он двусторонний и симметричный
Вегетативные нарушения
- Часты поражения черепных нервов. В 50% случаев наблюдается поражение лицевого нерва. В 10-20% случаев-офтальмопарез. Связь СГБ с синдромом задней обратимой энцефалопатии (СЗОЭ) обусловлена нарушениями ауторегуляции.
Задняя реверсивная энцефалопатия
Термин «cиндром задней обратимой энцефалопатии» — ЗОЭ (Posterior reversible encephalopathy syndrome — PRES) был введен в клиническую практику J. Hinchey и соавт. в 1996 г. Речь идет об уникальном синдроме, характеризующемся обратимой лейкоэнцефалопатией при отсутствии существенной деструкции белого вещества. Заметим, что для описания рассматриваемого синдрома используются также термины «гипертензивная энцефалопатия», «синдром обратимого заднего церебрального отека» и «задняя обратимая лейкоэнцефалопатия».
Данный синдром - это нейротоксическое поражение головного мозга, как следствие пропотевания крови с вазогенным оттекам, обычно, в сосудах задней мозговой артерии. Патологию не путать с инфарктом, хотя факторы риска схожи, повышенное давление.
Клиника
Данные пациенты с головными болями, припадками, и зрительными расстройствами.
2 типа развития патологии.
1) Повышение внутричерепного давления, как следствие потеря перфузии и формирования вазогенного оттека.
2) Дисфункция эндотелия - вазоконстрикция и снижение перфузии, как следствие локальная ишемия и оттек.1) выше 150 гипертензия
2) после родов
-эклампсия/преэклампсия
-острый гломерулонефрит
-гемолитико-уремический синдром (Гус)
3) тромбоцитопеническая пурпура.
4) системная красная волчанка (СКВ)
5) токсичность препарата
цисплатин
интерферон
эритропоэтин
такролимус
циклоспорин
азатиоприн
6) костный мозг или трансплантация стволовых клеток
7) сепсис.Радиологические находки
В 95% случаев отек теменной или затылочной области (зоны кровообращения задней мозговой артерии). Отек чаще симметричный. Несмотря, что синдром называется задняя реверсивная лейкоэнцефалопатия, локализация может быть в лобной, нижней височной области, мозжечке и стволе мозга.
Поражение как коркового, так подкорковое.Паренхиматозные кровоизлияния и инфаркты связаны с этим синдромом соответственно в 10-25% и 15% случаях.
3 наиболее частые локализации
1) теменно-затылочное доминирование
2) верхняя лобная борозда
3) водораздельные зоныТакже нечастые локализации односторонние или центральные:
ствол мозга и базальные ганглии.Поражение проявляется в виде очагов гиподенсных.
Церебральные микрокровоизлияния: паттерны визуализации, интерпретация и актуальность
С появлением методов МРТ, которые чрезвычайно чувствительны к парамагнитным продуктам крови, таких как T2*-градиентного эхо (GRE) и взвешенных по магнитной восприимчивости последовательностей (SWI), церебральные микрокровоизлияния (CMBs) были обнаружены у все возрастающего числа пациентов. CMBs определяются как небольшие, округлые, однородные, гипоинтенсивные очаги на T2*-GRE или SWI.
CMBs очень часто встречаются у пожилого населения и их распространенность увеличивается с возрастом. Клиническая значимость остается неоднозначной. Мы ретроспективно изучили МРТ головного мозга 1200 пациентов из системы PACS. Аксиальные T2, T1 и SWI изображения сравнивались, а затем были соотнесены с клиническими проявлениями и окончательным диагнозом пациента. Встречаемость CMBs была самой высокой у пациентов с предшествующей историей травмы и внутримозговым кровоизлиянием. На втором и третьем местах пациенты с предшествующей историей инсульта/гипертонической энцефалопатии и нейродегенеративными заболеваниями, такими как амилоидная ангиопатия, болезнь Альцгеймера. Другие причины, обнаруженные в нашем исследовании, включают CADASIL, CARASIL, CMBs из-за сердечной патологии (эндокардит, миксома и протезированный сердечный клапан), болезнь Фабри, васкулит, постРТ, болезнь Мойа-Мойа, PRES и заболевания крови.
Мы вкратце обсудим физику последовательности SWI и ее роль в обнаружении мозговых микрокровоизлияний. Мы даем алгоритмический подход к оценке и картированию CMBs с вниманием к их клинической значимости.Перевод презентации "Cerebral Microbleeds: Imaging Patterns, Interpretation and Relevance"
Перевод на русский: Симанов В.А.
Принципы SWI
Изображения взвешенные по восприимчивости (SWI) представляет собой 3D, flow-compensated, radiofrequency spoiled gradient-recalled echo последовательность, которая использует различия восприимчивости между тканями. Для выявления этих различий SWI сочетают магнитудные и фазовые изображения (рис. 1).
Магнитная восприимчивость является естественным свойством тканей, которое отражает магнитный ответ вещества на внешнее магнитное поле. Различия восприимчивости между веществами приводят к локальной неоднородности магнитного поля, и, как следствие, более быстрой Т2*-релаксации, что приводит к потере сигнала на МР-последовательностях, чувствительных к T2*-эффектам.
T2*-GRE последовательность очень чувствительна к эффекту восприимчивости и значительно превосходит Т2-взвешенные спин-эхо последовательности в обнаружении продуктов крови. Степень "blooming-эффекта" зависима от параметров МРТ. В частности, последовательности с более длинным временем эхо обнаруживают больше микрокровоизлияний (и делают их больше), чем с более коротким. Это связано с увеличением дефазировки локального МР-сигнала.
Электроны и парамагнитные эффекты
SWI очень чувствительны к кровоизлияниям, кальцию, отложениям железа, медленной венозной крови, и, таким образом, более совершенны, по сравнению с Т2*GRE последовательностями. Потеря сигнала на SWI прямо пропорциональна количеству неспаренных электронов, присутствующих в ткани ( рис. 2 ).
- Визуализация мозговых вен зависит от парамагнитных свойств дезоксигемоглобина, в котором атом железа содержит четыре неспаренных электрона.
- В подострой стадии кровоизлияния, SWI использует парамагнитные свойства метгемоглобина. Атом железа в состоянии окисления содержит пять неспаренных электронов.
- В старых геморрагических поражениях, Т2* деградация сигнала, видимая на SWI, обусловлена суперпарамагнитными свойствами гемосидерина, который содержит большое количество неспаренных электронов.
- Кальций, является диамагнетиком, лишенным неспаренных электронов, что вызывает фазовый сдвиг. Фазовые изображения чувствительны к изменениям в магнитном поле, вызванным различными компонентами в тканях.
![]()
Кальцификация vs отложения железа на SWI
SWI открывает окно возможностей для обнаружения отложений кальция и железа в тканях головного мозга с использованием фазовых изображений, из - за локальных эффектов восприимчивости тканей. Кальций диамагнитен и лишен неспаренных электронов, но порождает слабую локальную неоднородность поля, которая ведет к фазовым изменениям. Фазовый сдвиг, индуцированный кальцием, показывает отрицательную фазу (в left-handed МР-системах), таким образом, кальций гипоинтенсивен на фазовых изображениях ( рис. 3 ).
Точно так же, SWI с использованием отфильтрованных фазовых изображений может обнаружить негемовые отложения железа в головном мозге, преимущественно в виде ферритина и трансферрина. Парамагнитное негемовое железо показывает положительный сдвиг фазы (positive phase shift) и, таким образом, выглядит гиперинтенсивным на фазовых изображениях.![]()
Рис. 1: Этапы формирования изображения SWI. На первой стадии обработки, фазовые изображения (Pha) подвергаются фильтрации, чтобы свести к минимуму фоновую нежелательную восприимчивость. Затем отфильтрованные фазовые изображения используются для генерирования фазовой маски. Фазовая маска затем умножается с исходными данными магнитуды (Mag), чтобы получить SWI-магнитудные изображения (SWI). Этот шаг усиливает эффекты восприимчивости. На конечной стадии обработки, несколько магнитудных изображений SWI объединяются, чтобы создать толстые mIP-изображения (minimum intensity pixel) для дальнейшего усиления эффектов восприимчивости (обычно ≥4 изображений SWI объединяются, чтобы получить одно mIP-изображение).
![]()
Рис. 2 Потеря сигнала на SWI прямо пропорциональна количеству неспаренных электронов, присутствующих в ткани.
![]()
Рис. 3 На SWI-отфильтрованных фазовых изображениях, карбонат кальция имеет фазу противоположного знака (opposite-sign) по сравнению с гемосидерином.
Дифференциальный диагноз церебральных микрокровоизлияний
- Спорадическая болезнь мелких церебральных сосудов: Гипертоническая артериопатия
Пациенты с микрокровоизлияними были значительно старше и имели более высокую частоту гипертензии. Также наблюдалась сильная корреляция между гиперинтенсивными изменениями в белом веществе и количеством микрокровоизлияний. Гипертония является установленной причиной болезни мелких сосудов и обширные гиперинтенсивные изменения в белом веществе, как сообщалось, представляют собой связанные с микроангиопатией повреждения тканей. Эти микрокровоизлияния наиболее часто расположены в чечевицеобразных ядрах, таламусах и кортикально-субкортикальных областях, где обычно наблюдаются симптоматические гематомы ( рис. 4 )
- Спорадическая болезнь мелких церебральных сосудов: Церебральная амилоидная ангиопатия
Церебральная амилоидная ангиопатия (САА) характеризуется наличием гомогенных эозинофильных отложений в кортикальных и менингеальных сосудах, что приводит к люминальным стенозам и фибриноидному некрозу. Это делает сосуды хрупкими и увеличивает тенденцию к кровотечению. Церебральная амилоидная ангиопатия не имеет корреляции с гипертонией, сахарным диабетом или атеросклерозом. При визуализации может быть представлена поверхностными лобарными гематомами, обычно с субкортикальным или субарахноидальным распространением. Фокальное или пятнистое / сливное поражение белого вещества (70%), и/или негеморрагическая диффузная энцефалопатия. GRE и T2 могут показать мультифокальные мелкие темные включения ( рис. 5 ).
Отложения железа встречаются при болезни Паркинсона, болезни Хантингтона, болезни Альцгеймера, рассеянном склерозе, амиотрофическом боковом склерозе и пантотенаткиназа-ассоциированной нейродегенерации. Возможность измерения количества негемового железа в головном мозге способствует лучшему пониманию прогрессирования заболевания, а также может помочь в прогнозировании результатов лечения. Лобарные кровоизлияния описаны в более чем 20% (в диапазоне от 15 до 32%) пациентов со спорадической болезнью Альцгеймера. В противоположность этому, церебральные кровоизлияния значительно менее распространены при других причинах деменции, таких как лобно-височная деменция, кортикобазальная дегенерация, деменция с тельцами Леви и прогрессирующий супрануклеарный паралич. Их распределение предполагает, что лобарные кровоизлияния при болезни Альцгеймера отражают лежащую в основе церебральную амилоидную ангиопатию.
- Наследственные нарушения мозгового кровообращения: CADASIL
Церебральная аутосомно-доминантная артериопатия с субкортикальными инфарктами и лейкоэнцефалопатией (CADASIL) представляет собой наследственное заболевание, являющееся результатом мутации в гене Notch3, расположенном на хромосоме 19q12. Как правило, это пациенты с прогрессирующим снижением когнитивных функций, мигренью с аурой, нарушением настроения и малыми инфарктами. Проявления на МРТ включают в себя изменения белого вещества на Т2-взвешенных изображениях, лакунарные инфаркты на T1-взвешенных изображениях и церебральные микрокровоизлияния. Изменения белого вещества в перивентрикулярном распределении с характерным вовлечением передних отделов височных долей, мозолистого тела и наружной капсулы ( рис. 6 ). Лакунарные инфаркты обычно наблюдаются в капсулостриарной области, таламусах и мосте. Церебральные микрокровоизлияния, также как лакунарные инфаркты и атрофия мозга, связаны со снижением когнитивных функций.
- Церебральные микрокровоизлияния, связанные с заболеваниями сердца
Различные кардиологические состояния могут выступать в качестве основного источника эмболии, которая может проявляться в виде ТИА, ишемии или кровотечения в головном мозге. Частые состояния, которые могут привести к микрокровоизлияниям, включают инфекционный эндокардит, предсердную миксому и протезированные клапаны. Церебральные микрокровоизлияния не являются редкостью у пациентов с приобретенным инфекционным эндокардитом (57% в группе с эндокардитом, по сравнению с лишь 15% в контрольной группе) ( рис. 7 ). Кровоизлияния, как правило, происходили в корковых бороздах, что можно объяснить тем фактом, что некоторые из поражений, могли быть грибковыми аневризмами.
- Церебральные микрокровоизлияния, связанные с гематологическими заболеваниями
Различные гематологические заболевания могут увеличить риск ишемического инсульта или внутримозгового кровоизлияния. Это может быть вызвано нарушениями в показателях крови, повреждением стенки сосуда или их комбинацией. Внутричерепные кровоизлияния часто встречаются при лейкемии и тромбоцитопении, из - за истощения фактора коагуляции или вследствие бластной фазы заболевания. Осложнения ЦНС происходят у 2-4% пациентов с лейкемией/месяц. (Рис. 8 ). Вовлечение ЦНС при лейкемии может быть прямым - в результате опухолевого поражения нервной ткани, инфильтрации нервной ткани опухолевыми клетками или внешней компрессии нервной ткани внемозговой опухолевой массой, непосредственного вовлечения кровеносных сосудов, что приводит к их окклюзии и ишемии, или косвенным - из - за инфекции, лекарственной и радиационно-индуцированной нейротоксичности и электролитных нарушений.
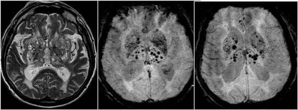
PRES - нейротоксическое состояние, связанное с широким диапазоном условий, чаще с гипертензией, эклампсией или использованием циклоспорина после трансплантации органов. Клиника обычно представлена комбинацией головной боли, изменения психического состояния, потери зрения и судорог. На МРТ - симметричные области гиперинтенсивного сигнала на FLAIR, чаще всего в теменных и затылочных долях, отражающие вазогенный отек (Рис. 9 ). Раньше считалось, что кровоизлияния - нетипичное проявление PRES, однако, при использовании SWI они встречаются у 17-58% пациентов. Предполагается, что церебральные микрокровоизлияния, в контексте PRES, связаны с дисфункцией эндотелиальных клеток.
- Почечная недостаточность и микрокровоизлияния
Точная причина церебральных микрокровоизлияний в случаях с почечной недостаточностью не определена. Однако, увеличение частоты микрокровоизлияний было описано у пациентов с хронической почечной недостаточностью, поддерживаемой на гемодиализе. Cho и др. провели ретроспективный анализ 152 пациентов с острым ишемическим инсультом, в исследованиях которых были GRE-изображения. Они обнаружили сильную связь между нарушением функции почек и наличием микрокровоизлияний. Ryu и др. обнаружили связь хронической болезни почек без диабета с церебральными микрокровоизлияниями, но не у больных с сахарным диабетом.
Церебральные микрокровоизлияния в контексте черепно-мозговой травмы являются проявлением диффузного аксонального повреждения, возникающего после ротационного ускорения и торможения мозга. Травматические микрокровоизлияния обычно можно отличить от кровоизлияний вследствие спорадической болезни мелких сосудов, с помощью анамнеза и других особенностей визуализации травмы головного мозга. Распределение травматических микрокровоизлияний, как правило, происходит на границе серого и белого вещества, особенно в лобной и височной долях, и в мозолистом теле (рис. 10 ).
Кавернозные мальформации являются четко очерченными узлами кластеров расширенных эндотелиальных сосудов с отсутствием нервной ткани между ними. Типичный внешний вид - ободок гемосидерина с ядром, имеющим смешанную интенсивность сигнала (обусловлена кровоизлияниями с различной давностью), с характерным внешним видом "попкорна". Мелкие (тип IV) каверномы проявляются как точечные гипоинтенсивные поражения на Т2*-GRE и могут быть неотличимы от церебральных микрокровоизлияний ( рис. 11 ). Большинство каверном, как полагают, врожденного происхождения, и имеют частоту до 0,5%. Сообщалось о радиационно-индуцированных каверномах и капиллярных телеангиоэктазиях, возникающих, как предполагается, из - за гиалинизации и фибриноидного некроза мелких артериол. Они также ответственны за минерализирующую микроангиопатию с дистрофической кальцификацией и обычно наблюдаются у детей, получавших химио- и лучевую терапию. Каверномам требуется больше времени, чтобы развиться после лучевой терапии, с латентным периодом в диапазоне от 1 до 26 лет.
![]()
Рис.4 Пациент с гипертонической артериопатией с классическим глубоким церебральным распределением микрокровоизлияний.
Читайте также:
- Синдром Меллера-Барлоу (Moeller-Barlow)
- Особые формы гастрита: эозинофильный, гранулематозный, лимфоцитарный
- Заднее фасциальное ложе голени. Мышцы голени. Ахиллово ( Achilles ) сухожилие. Голеноподколенный канал. Отверстия голеноподколенного канала.
- Опорно-двигательная система клетки. Промежуточные филаменты клетки.
- Надъядерные причины нарушения вергенции глаз





