Этапы и техника удаления опухоли мягких тканей
Добавил пользователь Евгений Кузнецов Обновлено: 05.01.2026
Саркомами называют опухоли, которые развиваются из клеток предшественниц соединительной ткани — мезодермы. Как и рак, они представляют собой злокачественные новообразования, но с той разницей, что источником раковой опухоли является эпителий, выстилающий внутренние органы и тело человека. Поэтому эти опухоли имеют привязку к конкретному органу, например, рак предстательной железы, рак молочной железы и др. Саркомы же развиваются из соединительной ткани и могут возникнуть в любом органе, где есть такие клетки, то есть фактически везде.
Виды сарком мягких тканей
Саркома мягких тканей — это собирательный термин, который объединяет большое количество злокачественных опухолей, среди которых наиболее часто встречаются следующие:
- — опухоль из гладкомышечных клеток.
- Рабдомиосаркома — опухоль из поперечно-полосатой мускулатуры.
- Липосаркома — злокачественная опухоль из жировой ткани.
- Ангиосаркома — злокачественное новообразование, произрастающее из ткани кровеносных сосудов.
- Фибросаркома — опухоль из фиброзной ткани.
Также саркомы мягких тканей принято разделять по степени злокачественности. Низкозлокачественные новообразования редко метастазируют, но склонны к упорному рецидивированию. Высокозлокачественные опухоли склонны давать метастазы гематогенным путем (с током крови), лимфатические узлы поражаются реже.

Стадии развития
Стадия саркомы мягких тканей определяется степенью злокачественности опухоли, ее размером и наличием метастазов.
- К 1 А стадии относят новообразования низкой степени злокачественности, размером менее 5 см, без метастазов в регионарных лимфатических узлы и отдаленных органах.
- 1 В стадия — опухоли низкой степени злокачественности, более 5 см без метастазов.
- 2А стадия — новообразования средней степени злокачественности, менее 5 см без метастазов.
- 2В стадия — новообразования средней степени злокачественности, более 5 см в наибольшем измерении, без метастазов.
- 3А стадия — саркомы высокой степени злокачественности, менее 5 см без поражения лимфатических узлов и внутренних органов.
- 3В стадия — саркомы высокой степени злокачественности, более 5 см без метастазов.
- 4 стадия — саркома любой степени злокачественности, любого размера при наличии поражения лимфатических узлов или метастазов во внутренних органах.

Факторы риска
В большинстве случаев, саркомы мягких тканей развиваются спонтанно, т. е. без видимых причин. Однако есть определенные обстоятельства, которые увеличивают вероятность развития данного заболевания:
- Воздействие химических канцерогенов, в частности гербицидов, хрорфенолов.
- Генетическая предрасположенность — нейрофиброматоз, синдром Ли-Фраумени, синдром Гарднера.
- Воздействие ионизирующего излучения, например, прохождение лучевой терапии.
- Иммунодефицитные состояния — иммуносупрессия после трансплантации органов, прохождение химиотерапии, СПИД.
- Некоторые виды сарком мягких тканей могут развиваться на фоне лимфостаза конечности.
Симптомы саркомы мягких тканей
На начальных этапах, саркома мягких тканей проявляется как безболезненная опухоль, которая медленно увеличивается в размерах. Может иметь капсулу, которая, впрочем, не мешает метастазированию. Также опухоль может иметь инфильтративный рост, в этом случае определить ее края проблематично.
При дальнейшем росте, симптоматика будет зависеть от локализации опухоли. Например, при саркомах матки будут кровотечения, при поверхностной локализации опухоль вызывает отечность и боли, при этом нарушается функция пораженного органа, например, руки или ноги.
Диагностика саркомы мягких тканей
В рамках диагностики саркомы мягких тканей проводится физикальное обследование, используются методы медицинской визуализации с последующим проведением биопсии и морфологического исследования полученного материала.
Обязательно проводится КТ или МРТ пораженной области. Во-первых, исследование помогает обнаружить опухоль, а во-вторых проконтролировать радикальность излечения.
Для постановки диагноза обязательно проводится морфологическое исследование фрагмента опухоли. Чтобы его получить, выполняют трепанбиопсию с помощью специальной толстой иглы под контролем УЗИ, или инцизионную биопсию, которая подразумевает хирургическое иссечение фрагмента новообразования. В ряде случаев, для уточнения типа саркомы необходимо более детальное исследование, тогда проводят иммуногистохимические и молекулярно-генетические анализы.
Для того чтобы установить степень распространения опухоли, проводят КТ грудной клетки, брюшной полости, а также ультразвуковое исследование лимфатических узлов.
Лечение саркомы мягких тканей
Выбор метода лечения саркомы определяется степенью ее злокачественности, местом расположения и наличием метастазов. Для лечения низкозлокачественных опухолей, лечение преимущественно хирургическое, в остальных случаях используются комбинированные методы, включающие облучение и химиотерапию.
Хирургическое лечение
При хирургическом лечении сарком используются следующие виды операций:
- Широкая местная резекция. Таким способом удаляются низкозлокачественные небольшие новообразования, располагающиеся в коже и подкожной клетчатке.
- Широкое иссечение. При таком вмешательстве саркома удаляется в пределах анатомической зоны, отступая от края новообразования не менее чем на 4-6 см.
- Радикальная органосохраняющая операция. При таком объеме вмешательства удаляется опухоль совместно с мышечными фасциями и неизмененными мышцами, которые отсекаются в месте их прикрепления. При вовлечении в процесс кровеносных сосудов, нервных стволов и костей, производят их резекцию с одномоментной пластикой кожным или кожно-мышечным лоскутом.
- Ампутации или экзартикуляции — удаление конечности или ее вычленение по линии суставной щели. Такие вмешательства проводятся при обширных местно-распространенных высокозлокачественных процессах с вовлечением магистральных кровеносных и нервных стволов на большом протяжении, а также костных структур и мышц.
Во время операции обязательно проводится интраоперационное срочное гистологическое исследование. При наличии злокачественных клеток в краях отсечения и при потенциальной возможности радикального удаления опухоли, выполняют реоперацию.
Лучевая терапия
Лучевая терапия применяется в рамках комбинированного лечения в предоперационном и/или послеоперационном этапе. В первом случае преследуется цель — уменьшение размера саркомы и создание условий для проведения радикального вмешательства. Во втором — уничтожение оставшихся злокачественных клеток. Чтобы воздействие на опухоль было равномерным, используются многопольные методики облучения.

Предоперационная лучевая терапия
При предоперационной ЛТ, границы полей облучения (ПО) должны выходить за размеры ткани опухоли минимум на 3-4 см. Если опухоль имеет большие размеры, производят облучение в пределах 10 см от ее края до достижения суммарной очаговой дозы 45-50Гр. Затем ПО сокращают до размеров новообразования.
Если опухоль располагается на конечности, есть вероятность развития остеолучевого некроза, мышечных контрактур и отеков. Чтобы этого избежать, рекомендуется облучать не более 2/3 окружности конечности, если это возможно. Минимальная толщина необлучаемых тканей в зоне предплечья составляет 2 см, на бедре 4 см, и на голени — 3 см.
Послеоперационная лучевая терапия
Послеоперационная лучевая терапия показана в следующих случаях:
- Высокая степень злокачественности саркомы по данным гистологического исследования.
- Нерадикально проведенная операция — наличие злокачественных клеток в краях отсечения при невозможности проведения реоперации.
- Вскрытие капсулы саркомы во время хирургического вмешательства.
Послеоперационную ЛТ начинают выполнять не позднее, чем через 4 недели после окончания хирургического лечения.
Если предоперацинная ЛТ не выполнялась, поля облучения включают в себя следующие области:
- Ложе опухоли.
- Ткани, которые располагаются на расстоянии 2 см от удаленной опухоли.
- Послеоперационный рубец.
Облучение проводят в суммарной очаговой дозе 60 Гр. Если была проведена нерадикальная операция, дозу увеличивают до 70 Гр. В аналогичном режиме проводят лучевую терапию при невозможности оперативного лечения.

Химиотерапия
Химиотерапия широко используется для лечения высокозлокачественных сарком мягких тканей. Как и при лучевой терапии, ее могут назначать на дооперационном и/или послеоперационном этапе. Неоадъювантная (предоперационная) ХТ призвана воздействовать на очаг опухоли, уничтожать микрометастазы и создать условия для органосохраняющего хирургического лечения. С этой целью проводят 2-3 курса химиотерапии с перерывом в 3-4 недели.
Послеоперационная ХТ может проводиться для уничтожения микрометастазов или уже визуализируемых метастазов. С этой целью выполняют 3-4 курса лечения. При химиотерапевтическом лечении сарком применяют различные комбинации следующих препаратов:
- Доксорубицин.
- Этопозид.
- Винкристин.
- Ифосфамид.
- Дакарбазин.
- Цисплатин и др.
Схема химиотерапии будет определяться морфологическим вариантом опухоли и ее чувствительностью к ранее проводимому лечению.
Прогноз выживаемости при саркоме мягких тканей
Прогноз выживаемости зависит от многих факторов:
- Степень злокачественности саркомы. Наиболее благоприятное течение у низкозлокачественных сарком без метастазов во внутренних органах и лимфоузлах.
- Размеры опухоли.
- Возможность проведения радикального лечения.
- Возраст больного. Наиболее благоприятные прогнозы у детей. У них полного выздоровления удается достичь в 60% случаев. Наименее благоприятные прогнозы у людей старше 60 лет.
При своевременном лечении начальных стадий низкозлокачественных сарком мягких тканей, удается достичь 5-летней выживаемости у половины больных. При 4 стадии процесса, этот показатель не превышает 10%.
Эффективных методов профилактики саркомы мягких тканей нет. Общие рекомендации являются стандартными — отказ от вредных привычек, ведение здорового образа жизни.
Саркомы мягких тканей
Термином "саркомы мягких тканей" обозначают группу злокачественных опухолей, возникающих во внескелетных мягких и соединительных тканях. Подобные опухоли объединяются в одну группу ввиду сходства их гистопатологических характеристик и клинических проявлений, а также течения опухолевого процесса.
Злокачественные опухоли мягких тканей составляют 0,2-2,6% в общей структуре злокачественных новообразований человека. Почти все злокачественные опухоли мягких тканей являются саркомами, которые составляют 0,7% всех злокачественных опухолей человека. В Республике Казахстан абсолютное число вновь выявленных заболеваний в 1993 г. составило 235, в 2002 г. - 192.
Чаще всего эти опухоли отмечаются в возрасте 20-50 лет. У детей в структуре онкологической заболеваемости саркомы составляют 10-11%. Преимущественная локализация сарком мягких тканей - конечности (до 60%), причем примерно 46% - нижние конечности и около 13% - верхние. На туловище эти опухоли локализуются в 15-20% случаев, на голове и шее - в 5-10%. На забрюшинное пространство приходится 13-25%.
Протокол «Саркомы мягких тканей».
Пользователи протокола: рай.онколог, врач-онколог поликлиники диспансера, врач-онколог стационара диспансера.
Не имеем финансовую или другую заинтересованность в теме обсуждаемого документа. Не имели в последние 4 года отношения к продаже, производству или распространению препаратов, оборудования и т.п.

Автоматизация клиники: быстро и недорого!
- Подключено 300 клиник из 4 стран
- 800 RUB / 4500 KZT / 27 BYN - 1 рабочее место в месяц

Автоматизация клиники: быстро и недорого!
- Подключено 300 клиник из 4 стран
- 1 место - 800 RUB / 4500 KZT / 27 BYN в месяц
Мне интересно! Свяжитесь со мной
Классификация
Согласно с морфологическими кодами ICD-O по системе TNM классифицируются следующие гистологические типы опухолей:
Гистологические типы опухолей, не включаемые в классификацию TNM: ангиосаркома, саркома Капоши, дерматофибросаркома, фиброматоз (десмоидная опухоль), саркома исходящая из твердой мозговой оболочки, головного мозга, полых или паренхиматозных органов (за исключением саркомы молочной железы).
Регионарными лимфатическими узлами являются узлы, соответствующие локализации первичной опухоли. Поражение регионарных лимфатических узлов наблюдается редко и в случае, когда их состояние невозможно определить клинически или патологоанатомически, они классифицируются как N0 вместо NX или pNX.
Правила классификации. Должно быть гистологическое подтверждение диагноза, позволяющее определить гистологический тип опухоли и степень злокачественности.
* поверхностная опухоль локализуется исключительно выше поверхностной фасции без инвазии в фасцию; глубокая опухоль локализуется либо исключительно ниже поверхностной фасции или поверхностно по отношению к фасции, но с инвазией или прорастанием через нее. Саркомы забрюшинного пространства, средостения и таза классифицируют как глубокие опухоли
R2 - макроскопическая остаточная опухоль.
Резюме
С аркома мягких тканей
Диагностика
Диагностические критерии (описание достоверных признаков заболевания в зависимости от степени тяжести процесса)
Жалобы: появление и постепенный рост опухолевого образования мягких тканей. Появление и нарастание болевого синдрома. Нарушение движений в конечности.
Физикальное обследование: наличие опухоли мягких тканей. Пальпаторно болезненность. Видимое нарушение функции конечности.
Показания для консультации онколога: наличие опухолевого образования мягких тканей. Наличие рентгенологических (УЗИ, КТ) данных опухолевого поражения мягких тканей.
- биохимический анализ крови (общий белок, креатинин, мочевина, билирубин, трансаминазы, щелочная фосфатаза, ионы - Na, K, Ca, Cl, глюкоза);
- морфологическая верификация заболевания с установлением гистологического типа и степени дифференцировки опухоли (трепано- или открытая биопсия):
- при небольших или глубокозалегающих опухолях трепанобиопсию выполняют под ультрасонографическим или рентгенографическим контролем;
- при ножевой биопсии разрез не должен затруднять последующий выбор варианта оперативного вмешательства;
- цитологическое исследование (не заменяет гистологической верификации диагноза):
- мазков-отпечатков материала, взятого с помощью ножевой или трепанобиопсии;
- ультразвуковое исследование органов брюшной полости;
- артериография (выполняется при локализации опухоли в области прохождения крупных магистральных сосудов);
Дифференциальный диагноз
| № | Доброкачественные опухоли костей / агрессивное течение | Злокачественные опухоли костей |
| 1. | Фиброма | Фибросаркома |
| 2. | Липома | Липосаркома |
| 3. | Нейрофиброматоз | Рабдомиосаркома |
| 4. | Гемангиома | Злокачественная мезенхимома |
| 5. | Злокачественная гистиоцитома |
Лечение
Цель лечения: удаление опухоли, профилактика отдаленного метастазирования и пораженных лимфоузлов (при их наличии).
Хирургический метод в качестве самостоятельного вида используется при лечении первичных высокодифференцированных опухолей (Т1а) при условии возможности выполнения радикального хирургического вмешательства. В остальных случаях лечение комбинированное или комплексное, ведущим и решающим компонентом которого является хирургическое удаление опухоли.
Лечебная программа строится с учетом гистологической степени злокачественности, распространения процесса, размеров и локализации опухоли.
- оперативные вмешательства по поводу сарком мягких тканей выполняются под наркозом или проводниковой анестезией (при наличии противопоказаний к наркозу);
- границы резекции тканей отмечаются металлическими скобками (для планирования послеоперационной лучевой терапии и при нерадикальном удалении опухоли).
Простое иссечение - используется исключительно в качестве этапа морфологической диагностики злокачественных опухолей.
Широкое иссечение. При этой операции опухоль удаляют в пределах анатомической зоны, в едином блоке с псевдокапсулой и отступя от видимого края опухоли на 4-6 см и более. Широкая местная резекция применяется при опухолях низкой степени злокачественности, поверхностных, располагающихся выше поверхностной фасции, в коже, подкожной клетчатке (небольшие фибросаркомы, липосаркомы, десмоиды, дерматофибросаркомы). Эту операцию не выполняют при саркомах высокой степени злокачественности.
Радикальная операция. Эта операция предпринимается при глубоко располагающихся саркомах высокой степени злокачественности. Она предусматривает удаление опухоли и окружающих ее нормальных тканей с включением в единый блок фасций и неизмененных окружающих мышц, которые удаляются полностью с отсечением у места прикрепления. При необходимости производят резекцию сосудов, нервов, костей, прибегая одномоментно к соответствующим реконструктивным пластическим операциям на сосудах, нервах, костях, суставах.
Органосохраняющие и функционально-щадящие хирургические вмешательства при местно-распространенных злокачественных опухолях мягких тканей конечностей выполняются исключительно в рамках комбинированного и комплексного лечения. Контроль радикальности оперативного вмешательства осуществляют путем срочного интраоперационного гистологического исследования краев отсечения опухоли от нормальных тканей.
Ампутации и экзартикуляции. Ампутация и экзартикуляция конечности показаны в случаях, когда выполнение радикальной сберегающей операции не представляется возможным из-за массивного поражения (вовлечение в опухолевый процесс суставов, костей, магистральных сосудов и нервов на большом протяжении) и/или при неэффективности курсов неоадъювантного лечения.
Лучевая терапия используется в рамках комбинированного и комплексного лечения. Применяется лучевая терапия с использованием глубокофокусной R-терапии, электронного пучка или Υ-терапии, как правило, в виде предоперационного или послеоперационного курса в СОД 50-70 Гр в режиме классического фракционирования. Выбор источника облучения и энергии электронного пучка определяется локализацией и глубиной залегания опухоли.
Для равномерного подведения дозы облучения ко всей заинтересованной зоне применяются многопольные методики облучения с использованием приспособлений для формирования оптимальных дозных полей. Границы полей облучения должны превышать размеры опухоли на 3-4 см. При больших размерах опухоли и/или высокой степени злокачественности поле облучения должно включать до 10 см тканей проксимальнее и дистальнее границ опухоли. В этом случае после достижения СОД 45-50 Гр поле облучения сокращается до размеров опухоли.
При опухолях, локализующихся на конечностях, для снижения вероятности развития лучевого остеонекроза используются дополнительные косые поля, выходящие за пределы облучаемых тканей. В идеальном случае с целью уменьшения выраженности фиброза, контрактуры мышц и отека, следует исключить из поля облучения до 1/3 окружности конечности. Минимальная ширина необлучаемых тканей должна составлять: на предплечье 2 см, на голени 3 см, на бедре 4 см.
Послеоперационная лучевая терапия проводится при получении гистологического заключения о высокой степени злокачественности и мультицентрическом росте опухоли (если не проводилась предоперационная лучевая терапия), а также при условно радикальном или нерадикальном удалении опухоли. Начало проведения лучевой терапии не позднее 4-х недель после выполнения оперативного вмешательства.
Если предоперационная лучевая терапия не проводилась, в зону облучения включают ложе удаленной опухоли (границы отмечаются танталовыми скрепками во время операции), окружающие ткани с отступом от краев отсечения на 2 см и послеоперационный рубец (СОД 60 Гр). При наличии остаточной опухоли, которая должна быть маркирована титановыми скрепками во время операции, эта зона дополнительно локально облучается до СОД не менее 70 Гр.
В послеоперационном периоде возможно дополнительное использование брахитерапии в ложе опухоли. При самостоятельной брахитерапии рекомендуемая СОД 45 Гр, которая подводится в течение 4-6 дней.
При нерезектабельности опухоли проводится лучевая терапия по радикальной программе в СОД 70 Гр в режиме классического фракционирования.
1. IА стадия (T1а,Т1b N0, NX M0 - низкая степень злокачественности): широкое иссечение опухоли в пределах анатомической зоны.
2. IB стадия (T2a, Т2b N0, NX M0 - низкая степень злокачественности): хирургическое удаление опухоли (T2a широкое иссечение, Т2b радикальная операция) + курс послеоперационной лучевой терапии (необходимость определяется результатами окончательного гистологического исследования);
3. При местно-распространенной опухоли, когда невозможно выполнить на первом этапе радикальное хирургическое лечение, проводится курс предоперационной лучевой терапии.
4. С целью повышения эффективности неоадъювантного лечения при планировании органосохраняющего оперативного вмешательства в систему лечения включают методы регионарной химиотерапии (внутриартериальное введение химиопрепаратов).
5. При образовании обширного раневого дефекта после хирургического удаления опухоли, который невозможно устранить сведением краев раны, выполняется один из видов первичной пластики:
- пластика перемещенными островковыми лоскутами на сосудистых ножках, аутотрансплантация комплексов тканей с использованием микрохирургической техники.
6. При невозможности выполнения органосохраняющего лечения, обусловленной местной распространенностью опухолевого процесса и неэффективностью неоадъювантного лечения, проводится ампутация конечности.
- при образовании обширного раневого дефекта после хирургического удаления опухоли, который невозможно устранить сведением краев раны, выполняется один из видов первичной пластики.
- пред- или послеоперационная лучевая терапия (предпочтение следует отдавать проведению лучевой терапии в условиях локальной СВЧ-гипертермии) + хирургическое удаление опухоли (T2a широкое иссечение, Т2b радикальная сохранная операция) + 3-4 курса адъювантной полихимиотерапии;
- с целью повышения эффективности неоадъювантного лечения при планировании органосохраняющего оперативного вмешательства, в систему лечения включают методы регионарной химиотерапии (в/венное или внутриартериальное введение химиопрепаратов);
- при образовании обширного раневого дефекта, который невозможно устранить сведением краев раны, выполняется один из видов первичной пластики;
- при невозможности выполнения органосохраняющего лечения в связи с местной распространенностью опухоли и отсутствием клинического эффекта после проведения неоадъювантного лечения проводится ампутация конечности.
- комплексное лечение проводится по принципам лечения сарком мягких тканей I-III стадий с учетом степени дифференцировки опухоли и местного распространения опухолевого процесса;
- хирургический компонент предусматривает, кроме вмешательства на первичном очаге (органосохраняющая или органоуносящая операция), типичную регионарную лимфодиссекцию, которая выполняется одномоментно с операцией на первичной опухоли (одноблочно или поэтапно) либо в отсроченном порядке (в зависимости от зоны поражения и общего состояния больного).
- проводится паллиативное и симптоматическое лечение по индивидуальным программам с включением полихимиотерапии и/или лучевой терапии;
- хирургические вмешательства выполняются с целью уменьшения опухолевой массы или по санитарным показаниям (ампутация конечности).
1. Метотрексат - 7-12 г/м 2 в/в с фолинатом кальция либо фолинатом натрия. 4 курса с интервалом 2 нед.
Саркома мягких тканей
Саркома мягких тканей - это группа редких злокачественных новообразований мезодермального происхождения, которые развиваются из жировой клетчатки, мышечной и фиброзной ткани, оболочек периферических нервов. Клинические проявления опухоли включают локальное уплотнение, болевой синдром и нарушение функции органа на поздних стадиях заболевания. Для диагностики применяются методы визуализации (УЗИ, КТ, МРТ), гистологическая верификация, лабораторные исследования. Комплексное лечение саркомы требует проведения радикальных хирургических вмешательств, лучевой терапии, полихимиотерапии и таргетной терапии.
МКБ-10



Общие сведения
Хотя мягкие ткани занимают 50% веса тела, распространенность сарком невелика. В мире они составляют 1-2,5% от всех видов злокачественных опухолей у взрослых, до 15% - у детей. В России ежегодно диагностируется более 10 тыс. новых эпизодов болезни, что составляет 1% от всей онкопатологии или 30 случаев на 1 млн. населения. Несмотря на постоянное развитие онкологии, терапия сарком мягких тканей (СМТ) остается недостаточно эффективной. Большую актуальность имеет разработка таргетных препаратов и иммунотерапии для повышения результативности и радикализма лечения.

Причины
Точные этиологические факторы развития саркомы пока не установлены. В научной онкологии ведутся диспуты по поводу роли химических канцерогенов (инсектициды, гербициды, хлористый винил) и неблагоприятного радиационного фона. Среди предрасполагающих факторов называют генетические болезни: нейрофиброматоз, синдромы Гарднера и Ли-Фраумени. Некоторые авторы к причинам СМТ причисляют хроническую лимфедему.
Патогенез
Развитие саркомы подчиняется классическим законам патофизиологии опухолевого роста. Клетки новообразования отличаются утратой верхнего лимита Хайфлика и отсутствием контактного торможения, что обуславливает их неконтролируемые циклы деления. Опухолевая ткань имеет метаболический и энергетический атипизм, высокую способность к анаэробному гликолизу и развитию в условиях гипоксии.
Для сарком характерна интенсивная васкуляризация. Процессы ангиогенеза играют решающую роль в развитии и метастазировании опухолей, определяют их агрессивный инвазивный рост. Образование сосудов контролируется VEGF - фактором роста эндотелия, который признан важнейшим промоутером ангиогенеза. Он активизируется на фоне клеточной гипоксии, связывается со специфическими рецепторами и вызывает пролиферацию эндотелиальных клеток.
Самые распространенные гистологические подтипы сарком мягких тканей включают злокачественные фиброзные гистиоцитомы (28%), липосаркомы (15%), лейомиосаркомы (12%) и неклассифицируемые саркомы (11%). Реже встречаются рабдомиосаркомы (5-6%), фибросаркомы (3%). В практической онкологии широко используется клиническая классификация TNM, согласно которой существует 4 стадии заболевания:
- Iстадия. Характеризуется размером первичной опухоли до 5 см, низким уровнем злокачественности клеток, отсутствием регионарных и отдаленных метастазов.
- IIстадия. Устанавливается при любом размере поверхностной опухоли или глубоком новообразовании диаметром менее 5 см. Любые признаки метастазирования отсутствуют.
- IIIстадия. Определяется при появлении метастазов в регионарных лимфатических узлах либо при диаметре глубокой опухоли свыше 5 см без признаков метастазирования.
- IVстадия. Регистрируется при образовании метастазов саркомы в регионарных лимфоузлах или любых других органах тела.

К типичным локализациям новообразования относят нижние конечности и висцеральные органы (по 26%), в 23% случаев опухоли располагаются ретроперитонеально или интраабдоминально. Около 12% СМТ расположены на верхних конечностях, 8% - на грудной клетке, не более 5% - в области головы и шеи. Клиническая картина сарком мягких тканей разнообразна, определяется их размерами, локализацией, стадией болезни и степенью злокачественности клеток.
При локализации опухоли в поверхностных мягких тканях пациенты самостоятельно обнаруживают новообразование, которое постепенно разрастается, приобретает плотную структуру. Некоторые больные ошибочно принимают симптомы за признак травмы и не обращаются к врачу. Позже в пораженном отделе тела возникают боли, онемение, покалывание. При крупных образованиях человек испытывает неудобства при ходьбе, ношении одежды.
При длительном существовании новообразования его поверхность изъязвляется, кровоточит, нагнаивается. Опухоль малоподвижна, при ее ощупывании удается определить участки размягчения (распада). В тяжелых случаях пораженная конечность теряет свою функциональность. При саркомах брюшной и грудной полости основным признаком выступают боли, которые имитируют заболевания соответствующих органов.
Осложнения
Саркомы склонны к бурному росту и быстрому метастазированию. При поздней диагностике образования в 100% случаев присутствует поражение близлежащих лимфатических узлов. В отдаленное метастазирование в основном вовлекаются легкие. Независимо от локализации СМТ у больных развивается клинический синдром раковой интоксикации, осложняющийся иммунной недостаточностью, нарушениями функций внутренних органов.
Ведущую проблему при СМТ составляет отложенное начало лечения опухоли, которое сопряжено с худшим прогнозом выживаемости. Несвоевременная диагностика обусловлена как поздней обращаемостью пациентов, так и отсутствием онкологической настороженности у терапевтов и специалистов вторичного звена (гастроэнтерологов, пульмонологов, ортопедов-травматологов).
Обследование при подозрении на саркому мягких тканей требует проведения расширенного комплекса инструментальных и специализированных лабораторных методов. Диагностика выполняется под руководством врача-онколога в специализированном отделении. План исследований различается с учетом локализации новообразования, однако базовая программа при всех видах СМТ включает следующие методы:
- УЗИ мягких тканей. Методика эффективна для обнаружения поверхностно расположенных новообразований в любой части тела. Благодаря неинвазивности и безопасности сонография назначается на первом этапе постановки диагноза пациентам с подозрительными образованиями.
- Рентгеновская визуализация.КТ брюшной полости, легких, головного мозга и других органов определяет висцеральное расположение первичной опухоли или ее метастазов. Широко применяется КТ мягких тканей нижних и верхних конечностей.
- Магнитно-резонансная томография.МРТ более информативна при визуализации мягких тканей и внутренних органов, поэтому рекомендуется в рамках уточняющей диагностики.
- Сцинтиграфия костей. Исследование назначается всем пациентам с подозрением на метастатическое поражение скелета. Результаты сцинтиграфии необходимы для быстрого обнаружения вторичных костных опухолей любой локализации.
- Гистологический анализ. При морфологическом исследовании материала аспирационной биопсии или образца резецированной опухоли определяют ее морфологические характеристики: степень злокачественности, тип мутировавших клеток, наличие иммунологических маркеров.
- Лабораторная диагностика. Для оценки общего состояния здоровья онкологического пациента применяются клинический и биохимический анализы крови, коагулограмма. Обязательно проводят измерение уровня онкомаркеров.
Дифференциальная диагностика
Основные трудности при постановке диагноза возникают при дифференцировке доброкачественных и злокачественных образований мягких тканей. Клинико-инструментальные данные имеют ограниченную ценность, поэтому подтвердить СМТ удается только гистологическим исследованием. Опухоль также необходимо отличать от:

Консервативная терапия
Предоперационная лучевая терапия и химиотерапия используются для уменьшения размеров новообразования, расширения возможностей оперативного вмешательства и уменьшения риска интраоперационного метастазирования. При определении дозы облучения руководствуются международными протоколами с учетом клинической ситуации у конкретного пациента. Единые стратегии лечения пока не разработаны.
Адъювантная химиотерапия используется как ведущий метод лечения распространенных форм саркомы мягких тканей, когда нет возможности провести радикальную операцию. Для повышения эффективности применяются комбинированные режимы AI, GemTax, MAID и другие. В группе пациентов старше 65 лет методом выбора признана монотерапия препаратами антрациклинового ряда.
Оперативное вмешательство - основной этап радикального лечения поверхностно расположенных сарком. Чаще всего к помощи хирургов прибегают при локализации опухоли на конечностях, где удается ее полностью резецировать с адекватным косметическим результатом. Преимущество отдается органосохраняющим операциям, которые проводятся в 10% случаев. Ампутации и экзартикуляции выполняются при отсутствии менее травматичных альтернатив.
При СМТ по возможности соблюдается принцип радикальности вмешательства, который предполагает одномоментное удаление образования в мышечно-фасциальном футляре. Такой вариант имеет наилучший отдаленный прогноз выживаемости. Пациентам с терминальными стадиями саркомы рекомендованы нерадикальные и паллиативные операции, направленные на улучшение качества жизни.
Экспериментальное лечение
При саркомах мягких тканей применяется таргетная терапия ингибиторами ангиогенеза. Лечение проводится моноклональными антителами, которые угнетают биологическую активность VEGF, уменьшают васкуляризацию опухоли и препятствуют ее инвазивному росту. Анти-VEGF терапия снижает сосудистую проницаемость и внутриопухолевое давление, что делает новообразование более чувствительным к классической химиотерапии.
Прогноз и профилактика
Для контроля состояния здоровья и предупреждения рецидивов пациентам показано динамическое наблюдение после окончания комбинированного лечения. В течение 2-х лет посещения врача планируются каждые 3 месяца, затем переходят на осмотры раз в полгода на протяжении еще 3-х лет. Обследование включает опрос, сдачу комплекса анализов, УЗИ послеоперационного рубца и КТ органов грудной клетки.
Уровень 5-летней выживаемости пациентов с саркомой, выявленной на I стадии, составляет 60%. При запоздалой диагностике показатели успешности терапии снижаются до 10%. Прогностически неблагоприятными признаны размеры СМТ 5 см и более, возраст пациента старше 60 лет, высокая степень злокачественности. Первичная профилактика включает неспецифические меры: отказ от вредных привычек, употребление антиканцерогенных веществ, регулярные чек-апы здоровья.
2. Практические рекомендации по лекарственному лечению сарком мягких тканей/ А.А. Феденко, А.Ю. Бохян, В.А. Горбунова, А.Н. Махсон, В.В. Тепляков// RUSSCO. Версия 2017.
3. Таргетная терапия в лечении сарком мягких тканей/ А.А. Феденко//Практическая онкология. - 2013. - №2.
4. Современные подходы к лечению сарком мягких тканей/ М.Д. Алиев// Практическая онкология. - 2004. - №4.
Саркома
Саркома - это разнородная группа злокачественных новообразований, развивающихся из клеток соединительной ткани в результате мутаций. Разновидностей соединительной ткани много, поэтому и классификация сарком весьма обширна. Они бывают костными и мягкотканными - из жировой ткани, хрящей, связок, сухожилий, мышц и др. Эти злокачественные опухоли чаще всего имеют агрессивное течение и склонны к рецидивированию даже после проведения радикального лечения.
Саркома - это злокачественная опухоль, но не рак. Термином «рак» называют только новообразования из эпителиальных тканей: кожи, слизистых оболочек, желез и пр.
Саркома мягких тканей - это редкая патология. В России заболеваемость в 2018 году составила 1,75 на 100 000 человек. Чаще всего эти новообразования поражают нижние конечности, на долю данной локализации приходится около 40% случаев. Саркомы внутренних органов встречаются редко и локализуются они в почках, сердце, матке и простате. Отдельно рассматривается саркома груди, при которой средний возраст больных составляет около 50 лет.
Классификация сарком мягких тканей
Саркомы классифицируются в зависимости от того, из каких тканей они произрастают:
- Субстратом миосаркомы является мышечная ткань. В зависимости от того, поражена гладкая мускулатура или поперечно полосатая, выделяют лейомиосаркомы и рабдомиосаркому.
- Липосаркома произрастает из жировой ткани.
- Фибросаркома из фиброзной.
- Ангиосаркома — из тканей стенки кровеносных сосудов.
Этиология и патогенез сарком мягких тканей
В большинстве случаев саркома возникает спонтанно, без видимых причин. Однако существуют некоторые факторы, которые могут увеличивать вероятность развития этого заболевания:
- Длительный контакт с химическими канцерогенами, в частности с гербицидами, хлорфенолами и другими.
- Некоторые наследственные заболевания, которые могут трансформироваться в саркомы — нейрофиброматоз 1 типа, синдром Гарднера.
- Воздействие высоких доз ионизирующего излучения, в частности, проведение лучевой терапии по поводу другого злокачественного заболевания. Радиоиндуцированные саркомы могут возникнуть даже через 30 лет после облучения, но средний срок до их появления — 10 лет.
- Снижение иммунитета. Речь не о длительном насморке или кашле, а о настоящей иммунодепрессии, например, при СПИДЕ, необходимости иммуносупрессивной терапии после трансплантации органов или в результате химиотерапии. Кроме того, проведение химиотерапии в детском возрасте является фактором риска развития саркомы мягких тканей у взрослых.
- Длительный лимфостаз и лимфедема.
Процесс развития саркомы начинается с появления мутаций в генетическом аппарате здоровых клеток. В норме клетки-носители таких мутаций вовремя распознаются клетками иммунной системы и уничтожаются. Но в случае развития злокачественного новообразования эти процессы в силу разных причин не срабатывают, и такая клетка начинает давать потомство. Причем делится она бесконтрольно, и за короткий срок опухоль существенно наращивает свои массу и объём. Опухоль прорастает в соседние ткани и органы, а также в кровеносные сосуды. Это дает возможность образования метастазов, возникающих в связи с распространением клеток опухоли по организму с током крови.
Саркомы мягких тканей часто имеют инфильтративный рост и прорастают в окружающие ткани. В таком случае определить ее края не представляется возможным. У некоторых опухолей может быть капсула, которая, впрочем, не мешает ей метастазировать.

Клинические симптомы саркомы мягких тканей
При поверхностном расположении саркомы на начальных этапах имеют вид припухлости. Она безболезненна и постепенно растет, в некоторых случаях достигая огромных размеров. Общее состояние пациента долгое время остается нормальным. Поэтому если человек нащупывает у себя какую-либо опухоль в мягких тканях, особенно если она длительное время не проходит, а тем более увеличивается в размерах, необходимо немедленно обратиться к врачу.
Дальнейшие симптомы будут зависеть от локализации саркомы. Если это внутренние органы, например, матка, то здесь отмечаются кровотечения и боль внизу живота. При ее расположении в области конечностей может быть отек, локальное покраснение кожи и боль при движении, а также деформация внешнего вида конечности. Множественные метастазы саркомы в лёгких со временем могут приводить к развитию дыхательной недостаточности, метастазы в головной мозг - к появлению очаговой и общемозговой неврологической симптоматики.
Диагностика саркомы
Диагностика саркомы предполагает комплексное обследование, которое направлено на обнаружение опухоли, верификацию диагноза и определение стадии заболевания. Первый этап - это обнаружение опухоли. Для этого проводится внешний осмотр и используются методы медицинской визуализации — УЗИ, КТ, МРТ. Эти методы не только позволяют обнаружить опухоль как таковую, но и определить ее взаимоотношение с окружающими тканями, например, есть ли распространение на соседние органы, вовлечены ли в процесс кровеносные сосуды и т. д.
Верификация саркомы проводится путем ее морфологического исследования под микроскопом. Для этого берется материал опухоли, удаленной во время операции, если ее размер менее 2 см. В остальных случаях либо же проводится специальная процедура - биопсия, во время которой из новообразования с помощью специального инструмента забирается столбик ткани. В ряде случаев требуется не только морфологическое исследование, но и более детальное изучение опухоли, например, исследуется наличие определенных генетических поломок или ее рецепторный статус. Такие данные могут помощь при выборе тактики лечения.

И наконец, для определения степени распространения саркомы проводится все та же медицинская визуализация, с помощью которой определяется наличие отдаленных метастазов. Здесь могут использоваться различные специфические тесты (ПЭТ-КТ, сцинтиграфия), которые позволяют обнаружить даже небольшие метастазы, невидимые с помощью обычных методов исследования.
Общие принципы лечения сарком мягких тканей
Выбор тактики лечения сарком определяется следующими параметрами:
- Локализация опухоли.
- Степень ее злокачественности.
- Степень ее распространения.
При низкозлокачественных опухолях достаточно их хирургического удаления, при высокозлокачественных саркомах необходимо комплексное воздействие, которое помимо удаления еще включает лучевую терапию и/или противоопухолевую лекарственную терапию. Это позволит отдалить время развития рецидива и уничтожить отдаленные метастазы.

Что касается рецидивов, то реже рецидивируют саркомы мягких тканей нижних конечностей, а чаще всего — забрюшинные опухоли. Если хирургически удалить саркому нельзя, используют химиотерапию, лучевую терапию или химиолучевое лечение.
При хирургическом лечении сарком мягких тканей конечностей проводятся органосохраняющие операции, во время которых опухоль иссекается с учетом принципов футлярности и зональности. Края резекции (отсечения) исследуются под микроскопом, и, если там обнаруживают злокачественные клетки, проводятся либо повторное иссечение опухоли (краёв резекции), либо послеоперационная лучевая терапия. Если опухоль располагается в глубоких тканях кистей и стоп, органосохраняющее лечение часто бывает невозможным, и тогда выполняется ампутация.
Лучевая терапия проводится в предоперационном и/или послеоперационном периоде. Перед операцией облучение назначают со следующими целями:
- Уменьшение злокачественного потенциала саркомы.
- Уменьшение объема опухоли.
- Снижения интенсивности воспаления и перифокального отека вокруг опухоли.
- Уменьшение риска развития рецидива и - опосредованно - отдаленных метастазов.
- Создание условий для проведения радикальных операций, перевод саркомы из неоперабельного состояния в операбельное.
- Создание условий для более четкого ограничения саркомы от окружающих тканей.
Послеоперационная лучевая терапия при радикальном удалении опухоли направлена на уничтожение злокачественных клеток, гипотетически оставшихся в краях раны, в том числе после нерадикально выполненной операции. Тем самым лучевая терапия снижает вероятность развития местного рецидива и отдаленных метастазов.
Химиотерапия используется при лечении нерезектабельных новообразований, совместно с лучевой терапией, для перевода саркомы в резектабельное состояние. При лечении диссеминированных форм химиотерапия (или другие варианты лекарственной противоопухолевой терапии, в зависимости от типа опухоли или наличия ряда генетических факторов) является основным методом.
При возникновении рецидива операбельные саркомы подвергают хирургическому удалению, а неоперабельные новообразования лечат с помощью химиотерапии, таргетной терапии или иммунотерапии.
Прогноз течения заболеваемости зависит от гистологической формы и степени злокачественности саркомы, чувствительности её к лечению, ее расположения и распространённости, возраста и общего состояния пациента на момент диагностики заболевания. Наиболее благоприятно протекают низкозлокачественные саркомы у сохранных пациентов. У них 5-летней выживаемости удается достичь в 50% случаев, а вот при высокозлокачественных опухолях этот показатель не превышает 10%. Необходимо отметить, что в силу своей редкости саркомы должны предпочтительно лечиться в медицинских центрах с большим опытом работы с пациентами именно с такими злокачественными новообразованиями - как в плане их диагностики, так и их лечения.
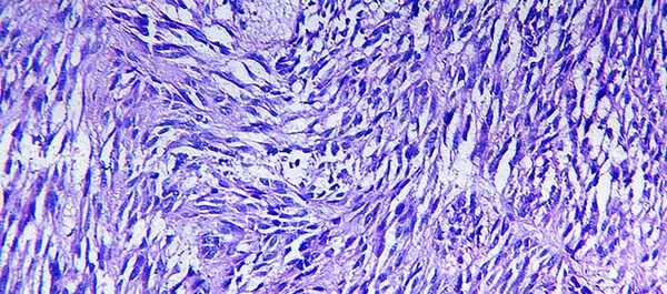
Лейомиосаркома мягких тканей
Лейомиосаркома — это злокачественная опухоль, которая развивается из клеток гладкомышечной ткани. Это очень редкая нозология, на ее долю приходится около 10-20% всех видов сарком мягких тканей.
К мягким тканям относят все ткани внескелетного и неэпителиального происхождения — мышечная, нервная, синовиальная, жировая и др.
В большинстве случаев саркомы мягких тканей локализуются в области конечностей, на их долю приходится около 60% случаев заболевания, в 30% случаев опухоль располагается на туловище, и в 10% — в области головы и шеи.
Лейомиосаркомы имеют склонность к многократным и упорным рецидивам (по некоторым данным, у 60% больных развиваются местные рецидивы), а также характеризуются агрессивным течением. Такие особенности объясняются несколькими причинами:
- Мультицентрический и инвазивный рост новообразования.
- Образование псевдокапсулы опухоли, которая не имеет четких границ, что серьезно затрудняет выполнение радикального хирургического лечения.
- Раннее метастазирование, которое осуществляется гематогенным и лимфогенным путем.
- Помимо гематогенного и лимфогенного метастазирования, опухоль может распространяться по межмышечным и периневральным пространствам.
Причины возникновения лейомиосаркомы
Причины развития лейомиосаркомы неизвестны. В большинстве случаев она развивается как первичная опухоль, без видимых причин. Также есть данные об индуцирующем влиянии ионизирующего излучения. Например, были описаны случаи образования опухоли после лучевой терапии по поводу лечения рака другой локализации. К другим факторам риска относят:
- Принадлежность к негроидной расе.
- Наличие RB-мутации у пациентов, страдающих ретинобластомой.
- Возраст старше 50 лет.
- Воздействие химических канцерогенов.
- Иммунодефицитные состояния.
Стадии и классификация лейомиосаркомы
С 2013 года ВОЗ рекомендует использовать систему классификации FNCLCC, которая позволяет определить степень злокачественности лейомиосаркомы по следующим признакам:
- Степень дифференцировки клеток.
- Количество клеток, находящихся в процессе деления (количество митозов).
- Процент некротизированной ткани.
Согласно этой классификации, лейомиосаркомы мягких тканей разделяют на опухоли низкой и высокой степени злокачественности.

С морфологической точки зрения, выделяют следующие виды лейомиосарком:
- Веретеноклеточная.
- Плейоморфная.
- Эпителиоидная.
- Миксоидная.
- Воспалительная.
Для более полной диагностики гистотипа лейомиосаркомы и определения тактики дальнейшего лечения, проводят иммуногистохимическое и молекулярно-генетические исследование фрагмента опухолевой ткани.
Стадирование
Стадия лейомиосаркомы будет определяться в зависимости от степени злокачественности опухоли, ее размеров и наличия метастазов.
- 1 стадия — лейомиосаркомы низкой степени злокачественности, без метастазов.
- 2 стадия — высокозлокачественная лейомиосаркома размером менее 5 см, либо более 5 см, но при их поверхностном расположении.
- 3 стадия — высокозлокачественные лейомиосаркомы размером более 5 см, либо все опухоли с наличием метастазов в регионарных лимфоузлах.
- 4 стадия — лейомиосаркомы любого размера и степени злокачественности при наличии отдаленных метастазов.
- Лейомиосаркома матки. Проявляется узловыми образованиями в тканях тела матки, при их близком расположении к эндометрию возможны ациклические кровотечения. Чаще возникает у женщин в пре- и менопаузе.
- Лейомиосаркома вульвы. Характеризуется возникновением быстрорастущего узла в толще ткани наружных половых органов. В основном страдают женщины репродуктивного возраста.
- Лейомиосаркома мошонки. Первыми симптомами является наличие уплотнений в тканях мошонки. Они безболезненные и подвижные. По мере роста опухоли присоединяются болезненные ощущения, кожа над опухолью изъязвляется и начинает кровоточить.
- Лейомиосаркома кожи — развивается из мышц потовых желез и мышц, приподнимающих волос. Имеет вид синюшной, красноватой или желтоватой бляшки, поверхность которой может изъязвляться и кровоточить.
- Лейомиосаркомы органов ЖКТ. Заболевание проявляется диспепсическими явлениями (тошнота, вздутие живота, потеря аппетита), снижение веса, боли в животе. Могут быть признаки кишечной непроходимости и желудочно-кишечные кровотечения.
- Лейомиосаркомы мочевого пузыря. К первым симптомам относят нарушение мочеиспускания и появление в моче примесей крови. По мере прогрессирования процесса присоединяются болевые ощущения, а кровотечения становятся настолько интенсивными, что кровяные сгустки могут обтурировать уретру, приводя к задержке мочи.
- Лейомиосаркомы забрюшинного пространства. Проявляются болевым синдромом, который развивается на фоне сдавления различных тканей, в том числе спинномозговых корешков. Также могут быть признаки ишемии органов и конечностей из-за прорастания саркомы в сосуды.
Симптомы
Основными симптомами лейомисаркомы мягких тканей является припухлость, отечность и образование пальпируемого уплотнения в зоне поражения. Оно может иметь четкие границы и псевдокапсулу, которая, впрочем, не защищает от возникновения метастазов. Если капсулы нет, говорят об инфильтративном процессе, в этом случае определить четкие границы новообразования очень сложно.

Вначале опухоль безболезненна, но она быстро увеличивается в размерах, что приводит к нарастанию симптоматики:
- Нарушение функции пораженного сегмента конечности.
- Образование язв.
- Кровоточивость.
- Нарастание болевого синдрома.
- Отечность.
Общее состояние при саркомах мягких тканей долгое время может оставаться удовлетворительным, даже при больших размерах новообразования.
Метастазирование
Лейомиосаркома высокой степени злокачественности склонна к раннему гематогенному метастазированию, из-за чего опухолевые клетки с током крови рассеиваются по всему организму. Чаще всего поражаются легкие, кости и печень. Лимфогенный путь используется несколько реже.
Лейомиосаркомы низкой степени злокачественности не обладают такими агрессивными метастатическими способностями, но они склонны к упорным рецидивам, даже после радикально проведенного лечения.
Также лейомиосаркомы могут распространяться по межмышечным и периневральным пространствам, отсеиваясь далеко за пределы первичного очага.
Поверхностно расположенные опухоли можно обнаружить с помощью осмотра или пальпациию. Для выявления глубоко расположенных новообразований используют методы медицинской визуализации.
Для подтверждения диагноза необходимо морфологическое исследование с проведением иммуногистохимических и молекулярно-генетических исследований. С этой целью проводят инцизионную или толстоигольную биопсию.
После подтверждения морфологического диагноза проводят дополнительное обследование для установки стадии заболевания (поиска метастазов). С этой целью назначается УЗИ, КТ и/или МРТ. Необходимость дополнительных методов диагностики определяется индивидуально для каждого пациента.

Основным методом лечения лейомиосаркомы является радикальная хирургическая операция. При низкозлокачественных опухолях без метастазов этого бывает достаточно, но при более неблагоприятных прогнозах проводят комбинированное воздействие с помощью облучения и химиотерапии.
Золотым стандартом лечения лейомиосаркомы является радикальное иссечение опухоли в пределах визуально неизмененных тканей. Раньше это были обширные калечащие операции, которые предполагали ампутации конечностей и внутренних органов. Сегодня с развитием хирургических технологий, предпочтение отдается органосохраняющему лечению. Используются следующие техники вмешательства:
- Широкая резекция. Опухоль иссекается в пределах 5 см незатронутых тканей. Такая техника применяется при лечении кожной лейомиосаркомы и поверхностно расположенных опухолях.
- Широкое иссечение. Опухоль удаляется в пределах тканей одной анатомической зоны с отступом от ее края не менее чем на 4-6 см.
- Футлярно-фасциальное иссечение. Опухоль удаляется в едином мышечно-фасциальном футляре. При этом производят полное удаление вовлеченной мышцы с рассечением места ее прикрепления. Если в процесс вовлекаются нервы и кровеносные сосуды, их также подвергают резекции.
- Ампутации и экзартикуляции — производится полное удаление конечности или ее резекция по линии сустава. Такие вмешательства показаны при высокозлокачественных новообразованиях, которые затронули крупные кровеносные сосуды, мышцы и костные структуры.
После того как лейомиосаркома будет удалена, необходимо ее исследовать на предмет определения наличия злокачественных клеток в краях отсечения. При положительном результате объем вмешательства расширяют или проводят повторные радикальные операции. С целью маркировки полей облучения при проведении последующей лучевой терапии, в ложе удаленной опухоли оставляют специальные клипсы.
Лучевая терапия занимает большое место в лечении лейомиосарком высокой степени злокачественности. Ее проводят в неоадъювантном (дооперационном) и адъювантном (послеоперационном) режимах.
Неоадъювантная ЛТ преследует следующие цели:
- Уменьшение объема опухоли и, как следствие, уменьшение объема хирургической операции.
- Перевод новообразования из неоперабельного в операбельное состояние.
- Снижение риска интраоперационной трансплантации опухоли.
В рамках неоадъювантной ЛТ поле облучения должно захватывать опухоль и рядом расположенные ткани в пределах 3-4 см. Если опухоль сильно большая, зону облучение расширяют до 10 см от ее края. При облучении в области конечностей рекомендуется выстраивать поле облучения таким образом, чтобы оно распространялось не более чем на 2/3 ее окружности. Это снижает риски постлучевых осложнений, например, контрактур, отеков, некрозов.
Однако такой режим лечения имеет и недостатки:
- Задерживается проведение операции из-за потенциальных проблем с ранозаживлением.
- Могут быть проблемы с морфологическим типированием.
- Сложности с определением стадии заболевания и, соответственно, проведение лечения в недостаточном объеме.
В клинической практике чаще используется послеоперационная (адъювантная) лучевая терапия. Она проводится в следующих случаях:
- Лечение высокозлокачественной лейомиосаркомы.
- Повреждение капсулы опухоли в время операции.
- Нерадикальность операции — в краях резекции обнаруживаются злокачественные клетки и нет возможности проведения повторного хирургического вмешательства для достижения радикальности.

Начало адъювантной ЛТ должно быть не позже, чем через 4 недели после операции. Поля облучения должны включать следующие зоны:
- Ложе опухоли.
- Послеоперационный рубец.
- 2 см рядом расположенных тканей.
Суммарная очаговая доза должна составлять 60 Гр, при нерадикальном вмешательстве ее увеличивают до 70 Гр.
Химиотерапия назначается в следующих случаях:
- Есть данные о наличии метастазов.
- Нерезектабельные опухоли.
- Отказ пациента от хирургического лечения (в этих случаях показана химиолучевая терапия).
- Лечение высокозлокачественных опухолей.
Химиотерапия может проводиться на дооперационном и в послеоперационном периоде. В первом случае показано проведение 2-3 курсов ХТ с перерывом в 3-4 недели. Послеоперационная химиотерапия, как правило, проводится в объеме 3-4 курсов. В рамках терапии первой линии используются схемы, содержащие доксорубицин. В качестве терапии второй линии применяют комбинацию гемцитабина с доцетакселом.
Восстановление
Период восстановления будет определяться обширностью хирургического вмешательства. После калечащих операций, в частности после ампутаций и экзартикуляций требуется протезирование и серьезная реабилитация.
Прогноз
Рецидив
Лейомиосаркомы склонны к упорным местным рецидивам, частота которых достигает 60%. В этих случаях показаны повторные операции и проведение лучевой терапии в радикальных режимах. Если операция невозможна, или пациент отказывается от нее, назначается химиолучевая терапия.
Пересаживают ли органы, пораженные саркомой?
Трансплантация органов онкологическим пациентам до сих пор остается дискутабельным вопросом. В настоящее время такие операции проводятся крайне редко.
При лечении лейомиосаркомы часто приходится делать обширные операции, которые требуют последующей реконструкции и восстановления функции утраченного органа, в том числе и после ампутации конечностей. Такие технологии постоянно совершенствуются, что позволяет провести полноценную реабилитацию и вернуть человека к активной жизни.
Лейомиосаркома при иммунодефицитах
Иммунодефицитные состояния являются одним из факторов риска развития лейомиосаркомы. Риски выше у детей.
Лейомиосаркома может развиваться на фоне активной ВИЧ-инфекции, иммунодепрессивной терапии после трансплантации органов, а также после химиотерапевтического лечения рака другой локализации.
Лейомиосаркома у беременных и пожилых
Беременность не оказывает влияния на течение лейомиосаркомы, но ограничивает возможность полноценного лечения (лучевая терапия, химиотерапия). Поэтому при постановке диагноза, в индивидуальном порядке рассматривается вопрос прерывания беременности.
Что касается возраста, то есть данные, свидетельствующие о том, что лейомиосаркома у пациентов старше 60 лет протекает более злокачественно. У них ниже общая и безрецидивная выживаемость, а также выше вероятность местных рецидивов.
Читайте также:
- Введение в лучевую диагностику основания черепа: лучевая анатомия, методы исследования
- Механизм возврата резидентных белков эндоплазматического ретикулума (ЭПР)
- Морфофункциональные системы клетки. Покровная система клетки
- Принципы контроля и лечения боли у неизлечимых больных раком
- Комбинирование аспирина и NO-доноров при гестозе. Антиоксиданты для профилактики гестоза
