Формирование артерий плода. Развитие артериального круга - Вилизиева круга
Добавил пользователь Евгений Кузнецов Обновлено: 28.01.2026
Правая дуга аорты у плода является врожденным пороком сердца, который может возникать изолированно или сочетаться с другими, порой тяжелыми, пороками. В любом, случае, при формировании правой дуги возникают нарушения нормального развития сердца плода.
Аорта является крупнейшим сосудом в организме человека, функцией которого является продвижение крови от сердца к другим артериальным стволам, вплоть до артерий и капилляров всего организма.
Филогенетически развитие аорты претерпевает сложные изменения в процессе эволюции. Так, формирование аорты как целостного сосуда, происходит только у позвоночных животных, в частности, у рыб (двухкамерное сердце), амфибий (двухкамерное сердце с неполной перегородкой), рептилий (трехкамерное сердце), птиц и млекопитающих (четырехкамерное сердце). Тем не менее, у всех позвоночных имеется аорта, в которую происходит отток артериальной крови, смешанной с венозной, или полностью артериальной крови.
В процессе индивидуального развития эмбриона (онтогенеза) формирование аорты претерпевает столь же сложные изменения, как и само сердце. Начиная с первых двух недель развития эмбриона, происходит усиленное сближение артериального ствола и венозного синуса, расположенных в шейной части эмбриона, впоследствии мигрировавших медиальнее, в сторону будущей грудной полости. Артериальный ствол дает начало не только двум желудочкам впоследствии, но и шести жаберным (артериальным) дугам (по шесть с каждой стороны), которые по мере развития, в течение 3-4-х недель, формируются следующим образом:
- первая и вторая аортальные дуги редуцированы,
- третья дуга дает начало внутренним сонным артериям, питающим головной мозг,
- четвертая дуга дает начало дуге аорты и так называемой «правой» части,
- пятая дуга редуцируется,
- шестая дуга дает начало легочному стволу и артериальному (Боталлову) протоку.

Полностью четырехкамерным, с четким разделением сердечных сосудов на аорту и легочной ствол, сердце становится к шестой неделе развития. У эмбриона сроком 6 недель имеется полностью сформированное, сокращающееся сердце с крупными сосудами.

После формирования аорты и других внутренних органов, топография сосуда выглядит следующим образом. В норме левая дуга аорты начинается от луковицы аорты в ее восходящей части, которая, в свою очередь, берет начало от левого желудочка. То есть, восходящая часть аорты переходит в дугу приблизительно на уровне второго ребра слева, а дуга огибает левый главный бронх, направляясь кзади и влево. Самая верхняя часть дуги аорты проецируется на яремную вырезку прямо над верхней частью грудины. Дуга аорты направляется книзу вплоть до четвёртого ребра, располагаясь левее позвоночника, а затем переходит в нисходящую часть аорты.
В том случае, когда дуга аорты «поворачивает» не в левую сторону, а в правую, из-за сбоя в закладке сосудов человека из жаберных дуг эмбриона, говорят о правосторонней дуге аорты. При этом дуга аорты перекидывается через правый главный бронх, а не через левый, как должно быть в норме.

Почему возникает порок?
Любой порок развития формируется у плода в том случае, если на женщину во время беременности оказывают влияние негативные факторы окружающей среды - табакокурение, алкоголизм, наркомания, экология и неблагоприятный радиационный фон. Однако, немаловажную роль в развитии сердца у ребенка играют генетические (наследственные) факторы, а также имеющиеся хронические заболевания у матери или перенесенный инфекционные заболевания, особенно на ранних сроках беременности (грипп, герпетическая инфекция, ветрянка, краснуха, корь, токсоплазмоз и многие другие).
Но, в любом случае, при влиянии каких-либо из этих факторов на женщину на ранних сроках беременности нарушаются нормальные, сформированные в ходе эволюции, процессы онтогенеза (индивидуального развития) сердца и аорты.
Так, в частности, особенно уязвимым для сердца плода является срок беременности приблизительно 2-6 недель, так как именно в это время происходит формирование аорты.
Классификация правосторонней дуги аорты

вариант правой дуги аорты с образованием сосудистого кольца
В зависимости от анатомии аномалии протока, выделяют:
- Правую дугу аорты без образования сосудистого кольца, когда артериальная связка (заросший артериальный, или Боталлов, проток, как и должно быть в норме после родов) располагается позади пищевода и трахеи,
- Правую дугу аорты с образованием сосудистого кольца, кода артериальная связка, или открытый артериальный проток, располагаются слева трахеи и пищевода, как бы окружая их.
- Также как отдельную сходную форму выделяют двойную дугу аорты - в таком случае сосудистое кольцо образуется не соединительной связкой, а притоком сосуда.
Рисунок: разнообразие вариантов нетипичного строения дуги аорты

В зависимости от того, были ли повреждены еще какие-либо структуры сердца при его формировании, выделяют следующие типы порока:
- Изолированный тип порока, без других аномалий развития (в таком случае если правосторонняя аорта не сочетается с характерным в ряде случаев для неё синдромом Ди Джорджи - прогноз максимально благоприятен);
- В сочетании с декстрапозицией (зеркальным, правым расположением сердца и магистральных сосудов, в том числе и аорты), (что также обычно не опасно),
- В сочетании с более серьезным пороком сердца - в частности тетрадой Фалло (декстрапозицией аорты, дефектом межжелудочковой перегородки, стенозом легочного ствола, гипертрофией правого желудочка).
Тетрада Фалло, сочетающаяся с правой дугой - неблагоприятный вариант развития
Как распознать порок?
Диагностика порока не представляет собой затруднений еще в период вынашивания плода. Особенно это касается тех случаев, когда правая дуга аорты сочетается с другими, более тяжелыми аномалиями развития сердца. Тем не менее, для подтверждения диагноза, беременную женщину неоднократно обследуют, в том числе и на ультразвуковых аппаратах экспертного класса, собирают консилиум из врачей генетиков, кардиологов и кардиохирургов с принятием решения о прогнозах и возможности родоразрешения в условиях специализированного перинатального центра. Это обусловлено тем, что при некоторых видах пороков, сочетающихся с правой дугой аорты, новорожденному ребенку может потребоваться операция на сердце сразу же после родоразрешения.

Относительно клинических проявлений правой дуги аорты, следует упомянуть о том, что изолированный порок может никак себя не проявлять, лишь иногда сопровождаясь частой навязчивой икотой у ребенка. В случае сочетания с тетрадой Фалло, которая сопровождает порок в ряде случаев, клинические проявления ярко выражены и проявляются в первые сутки после родов, такие, как нарастающая легочно-сердечная недостаточность с выраженным цианозом (посинение кожи) у младенца. Именно поэтому тетраду Фалло относят к «синим» порокам сердца.
На каком скрининге видно порок у беременных?
Установить диагноз правосторонней дуги аорты можно уже на первом скрининге, то есть в 12-13 недель беременности. Более точные сведения о состоянии сердца плода возможно получить на втором и на третьем скрининговых ультразвуковых исследованиях (20 и 30 недель беременности).
Дополнительно уточнить отсутствие связи формирования правосторонней аорты с тяжелыми генетическими мутациями может анализ ДНК плода. В таком случае обычно проводится забор материала ворсин хориона или амниотической жидкости через прокол. В первую очередь исключается синдром Ди Джорджи.
Лечение
В том случае, если правая дуга аорты является изолированной, и не сопровождается какими-либо клиническими проявлениями после рождения ребенка, порок оперативного лечения не требует. Достаточно лишь ежемесячного осмотра у детского кардиолога с регулярным (раз в полгода - раз в год) проведением УЗИ сердца.
При сочетании с другими пороками развития сердца тип оперативного вмешательства выбирается исходя из типа пороков. Так, при тетраде Фалло показана операция на первом году жизни ребенка, проводящаяся поэтапно. На первом этапе осуществляют паллиативное (вспомогательное) наложение шунтов между аортой и легочным стволом для улучшения притока крови в малый круг кровообращения. На втором этапе осуществляется операция на открытом сердце с применением аппарата искусственного кровообращения (АИК) с целью устранения стеноза легочного ствола.
Кроме хирургического, со вспомогательной целью назначаются кардиотропные препараты, способные замедлить прогрессирование хронической сердечной недостаточности (ингибиторы АПФ, мочегонные и др).
Прогноз
Прогноз при изолированной правосторонней дуге аорты благоприятен, так как в большинстве случаев даже не требуется хирургического вмешательства. Так что в целом можно сказать, что изолированная правая дуга аорты не опасна для жизни ребенка.
При сочетанных типах дело обстоит гораздо сложнее, так как прогноз определяется видом сопутствующего порока сердца. Например, при тетраде Фалло прогноз без лечения крайне неблагоприятен, непрооперированные дети с таким заболеванием обычно погибают на первом году жизни. После хирургического вмешательства продолжительность и качество жизни возрастают, а прогноз становится более благоприятным.
Формирование сосудов головного мозга и артериального круга большого мозга во внутриутробном периоде
В филогенезе, при переходе от жаберного круга кровообращения к лёгочному, у человека происходит ангиогенез, в процессе которого закладываются жаберные артерии, преобразующиеся в артерии малого и большого кругов кровообращения.
В начале эмбригенеза, на 3 неделе внутриутробного развития, закладывается артериальный ствол. Он выходит из сердца и даёт начало двум вентральным аортам. Правая и левая вентральные аорты образуют жаберные артерии, отходящие от артериального мешка в краниальном направлении до уровня глотки. Далее они направляются в каудальном направлении и располагаются по бокам от хорды в виде дорсальных аорт.
У эмбрионов позвоночных образуются шесть пар дуг аорты (жаберных артерий): в начале имеется только одна пара дуг аорты, находящаяся в тканях мандибулярной дуги (I висцеральная дуга), а позднее образуются еще пять пар дуг аорты, лежащих в зоне каждой из висцеральных дуг, расположенных каудальнее от мандибулярной.
У месячных человеческих эмбрионов первые три дуги аорты хорошо сформированы и, когда эмбрионы достигают 6-ти недельного возраста, начинает появляться четвертая, а пятая дуга аорты всегда рудиментарна и часто отсутствует. Первая и вторая дуги аорты дегенерируют. Исчезновение третьей, четвертой и шестой дуг в качестве крупных сосудов происходит не сразу и не полностью - они оставляют после себя сплетение мелких сосудов.
По всей дорсальной аорте через равные интервалы появляются небольшие ветви, растущие в дорсальном направлении по обеим сторонам нервной трубки. Так как эти сосуды формируются между соседними сомитами, их называют дорсальными межсегментарными артериями. Большинство ветвей дорсальной аорты образуются либо из этих сосудов, либо из ряда других сегментарно расположенных ветвей, растущих в вентральном направлении, а также из сосудов, которые идут в латеральном направлении.
В области головы дорсальные межсегментарные артерии дают ряд анастомозов, из которых образуются позвоночные артерии. Краниально от уровня шеи позвоночные артерии растут к средней линии и, соединяясь друг с другом, образуют срединный сосуд, расположенный вентрально от V мозгового пузыря. Это основная артерия. Вентрально от краниального изгиба нервной трубки, внутренние сонные артерии анастомозируют с основной артерией, образуя артериальный круг, названный виллизиевым в честь английского доктора Томаса Уиллиса. Виллизиев круг компенсирует нарушение кровообращения мозга при поражении тех или иных артерий. Нормально развитый («счастливый») артериальный круг большого мозга встречается лишь в 25-50% случаев.
Ключевые слова
ангиогенез, сосуды головного мозга, внутриутробный период, артериальный круг большого мозга, виллизиев круг
Развитие Виллизиева круга

Виллизиев круг — система церебральных артерий, расположенных в области основания головного мозга. Она компенсирует дефицит кровотока с помощью дополнительных сосудистых бассейнов. Патологическое развитие виллизиева круга может стать причиной формирования заболеваний. Рассмотрим основные методы диагностики патологий.
Рассказывает специалист ЦМРТ
Дата публикации: 01 Июля 2022 года
Дата проверки: 11 Июля 2022 года
Содержание статьи
Причины неправильного развития виллизиева круга
Нормальное формирование этой сосудистой системы считается редкостью и выявляется примерно у четверти пациентов. Точные причины этого явления не были открыты, однако врачи предполагают, что аномалии в первую очередь обусловлены наследственными факторами. У пациента могут выявить нарушение строения сразу нескольких сосудистых бассейнов головного мозга.
Дополнительные факторы риска:
- нарушение внутриутробного развития
- внешние и внутренние негативные воздействия на организм беременной женщин
- наличие аномалии у родителей ребенка
Неправильный тип строения церебральных артерий — повышенный фактор риска аневризмы или острого нарушения мозгового кровообращения.
Симптомы патологий виллизиева круга
В подавляющем большинстве случаев аномалия развития этой анатомической структуры не проявляется какими-либо симптомами. У взрослого или ребенка может быть скрытая предрасположенность к заболеваниям, не обуславливающая клинически значимых изменений.
Симптомы, на которые следует обратить внимание:
- нарушение зрения
- расширение зрачков
- сильные головные боли
- одностороннее или двустороннее нарушение движений
- утрата полей зрения
Перечисленные признаки могут означать появление опасных осложнений патологии, при которых требуется незамедлительная врачебная помощь.
Варианты развития виллизиева круга
Согласно современной медицинской классификации, патология виллизиева круга может характеризоваться следующими вариантами развития:
- гипоплазия одной или двух задних соединительных артерий
- полное отсутствие одной задней соединительной артерии
- гипоплазия соединительной ткани в области передней соединительной артерии
- утрата участка передней соединительной артерии
Замкнутый или незамкнутый (разомкнутый) виллизиев круг — естественные варианты формирования анатомической структуры. Они лишь повышают вероятность появления церебральных сосудистых патологий.
Как диагностировать
Выявить заболевание по внешним признакам или симптомам удается редко. В большинстве случаев это случайная находка по результатам визуального обследования. Нередко неправильное строение артерий обнаруживают у перенесших инсульт или аневризму больных.
МР-ангиография. Врач получает детализированные изображения сосудов головного мозга без применения рентгеновского излучения.
КТ-ангиография. После внутривенного введения контрастных веществ выполняется сканирование с получением трехмерной модели анатомической структуры.
УЗИ-допплерография. Эта методика дает возможность осмотреть орган в режиме реального времени с минимальными ограничениями.
Опытные рентгенологи в клиниках ЦМРТ ставят диагноз по результатам МРТ. Во время консультации специалист объяснит, что такое развитие виллизиева круга.
Виллизиев круг: анатомия, варианты развития, патология
Виллизиев круг в мозговой сосудистой системе был описан более трехсот лет назад английским врачом Т. Уиллисом. Строение этого артериального кольца играет большое значение в условиях неблагополучия, когда определенные отделы нервной ткани испытывают недостаточный приток артериальной крови по причине закупорки или стеноза артерий. В норме даже при аномально развитых сосудах этого круга человек не ощущает имеющихся особенностей ввиду полноценности функционирования других артерий.
Норма строения Виллизиева круга определена, но далеко не каждый может ей похвастаться. По некоторым данным, классическое артериальное кольцо развито лишь половины людей, другие исследователи называют цифру всего в 25% людей, а все остальные имеют те или иные аномалии ветвления сосудов. Это, однако, не означает, что те, у кого артериальный круг развит своеобразно, будут иметь какие-либо негативные симптомы или нарушения, но все же проявления нарушенного кровотока могут периодически давать о себе знать мигренями, сосудистой энцефалопатией, а то и вовсе манифестировать острыми нарушениями мозгового кровообращения.
Вариантов развития Виллизиева круга масса. Это может быть утроение (трифуркация), аплазия, гипоплазия, полное отсутствие каких-либо артериальных элементов. В зависимости от типа ветвления артерий определяют его клиническое значение и прогноз.
Для определения анатомии Виллизиева круга применяются неинвазивные и инвазивные диагностические процедуры, они проводятся по показаниям при конкретных жалобах больного. В иных ситуациях аномалии обнаруживается случайно при обследовании по поводу другой патологии.
Строение Виллизиева круга
Классический Виллизиев круг образуют:
- Начальные отделы передних мозговых артерий (ПМА);
- Передняя соединительная артерия (ПСА);
- Задние мозговые артерии (ЗМА);
- Задние соединительные артерии (ЗСА);
- Надклиновидная часть внутренней сонной артерии (ВСА).
Перечисленные сосуды формируют подобие семиугольника. ВСА приносят кровь к мозгу из общих сонных и на основании мозга отдают ПМА, которые сообщаются друг с другом посредством ПСА. Задние мозговые артерии начинаются от основной, образующейся путем объединения двух позвоночных. Между ВСА и ЗМА есть связь — задние соединительные сосуды, в зависимости от диаметра получающие питание либо из системы внутренней сонной, либо из базилярной артерии.

строение Виллизиева круга
Таким образом, образуется кольцо, связывающее два артериальных потока — из бассейна внутренней сонной и базилярной артерий, разные части которого могут взять на себя функцию обеспечения питанием тех частей мозга, которые испытывают недостаток крови при закупорке или сужении других составляющих мозговой сети.
Виллизиев круг находится в подпаутинном пространстве основания головного мозга, окружая своими составными элементами зрительную хиазму и образования среднего мозга, позади находится Варолиев мост, на поверхности которого расположена базилярная артерия.
Наибольшим постоянством в строении отличаются передние мозговые и сонные артерии, задние мозговые и соединительные ветви очень вариабельны в своей анатомии и особенностях ветвления. Однако изменения со стороны передней части Виллизиева круга носят большее клиническое значение вследствие более выраженной симптоматики и худшего прогноза.
Передняя мозговая артерия, как правило, хорошо сформирована и в норме ее просвет достигает полутора — двух с половиной миллиметров. ПСА такого же размера и длиной около сантиметра. Просвет левой внутренней сонной артерии в норме больше правой на 0,5-1 мм. Средняя мозговая артерия тоже имеет некоторую асимметричность в размерах: слева она толще, чем справа.
Видео: строение Виллизиева круга
Роль Виллизиева круга
Виллизиев круг — это механизм защиты, компенсации нарушенного кровообращения, предусмотренный природой для обеспечения кровью мозга при поражении конкретных артерий. Если происходит обструкция, разрыв, сдавление, имеется врожденное недоразвитие ветвей артериального русла, то сосуды противоположной стороны возьмут на себя функцию кровоснабжения, доставляя кровь по коллатералям — соединительным артериям.
Учитывая функциональное значение артериальной сети основания мозга, становится понятным, почему эти артерии так важны. Речь идет не только о серьезных заболеваниях вроде инсульта или аневризмы. Виллизиев круг помогает максимально обеспечить мозг кровью при функциональных расстройствах (спазм), некоторых вариантах строения артерий, когда сосудистое кольцо все еще остается замкнутым, но диаметр отдельных сосудов не позволяет доставить необходимое количество крови.
Роль Виллизиева круга резко возрастает при полной окклюзии какой-либо из артерий. Тогда и прогноз, и скорость нарастания симптоматики, и объем очага повреждения нервной ткани будут зависеть от того, как сформировано это кольцо и насколько оно способно перенаправлять кровь в те участки мозга, которые недополучают питания. Понятно, что правильно сформированная сосудистая система справится с этой задачей лучше, чем та, где есть аномалии развития сосудов или даже полное отсутствие конкретных ветвей.
Вариантная анатомия артерий основания мозга
Типов строения Виллизиева круга множество. Они зависят от того, как происходил процесс формирования сосудов еще во внутриутробном периоде, а предугадать этот процесс невозможно.
Среди наиболее частых аномалий артерий мозга указывают: аплазию, гипоплазию отдельных ветвей, трифуркацию, слияние двух артерий в один ствол и некоторые другие разновидности. У части людей имеет место сочетание разных сосудистых аномалий.

Наиболее распространенным вариантом развития Виллизиева круга считается задняя трифуркация ВСА, на долю которой приходится почти пятая часть всех аномалий артериального кольца. При таком типе строения от ВСА начинаются сразу три мозговые артерии — передняя, средняя и задняя, а ЗМА будет продолжением задней соединительной ветви.
Подобное строение характерно для кровеносной системы мозга плода на сроке 16 недель беременности, но позже размеры сосудов меняются, задняя соединительная уменьшается, а остальные ветви значительно увеличиваются. Если такого преобразования сосудов не происходит, то впоследствии ребенок рождается с задней трифуркацией.
Другим частым вариантом строения Виллизиева круга считается аплазия ЗСА, возникающая при разных неблагоприятных внешних условиях и генетических отклонениях во время эмбриогенеза. При отсутствии этой артерии Виллизиев круг не замыкается с той стороны, где ее нет, то есть взаимосвязь между системой внутренней сонной артерии и базилярным бассейном отсутствует.
Отсутствие ПСА тоже диагностируется, но значительно реже, нежели задней. При этом типе строения артериального кольца нет взаимосвязи между ветвями сонных артерий, поэтому невозможно при необходимости «перебросить» кровь из сосудов левой половины направо.
Аплазия передней соединительной артерии не дает шанса осуществить кровоток в пораженной части мозга путем доставки крови из противоположной сосудистой сети, поскольку сонные артерии разобщены. При не сформированной ЗСА нет взаимосвязи между передней и задней частями Виллизиева круга, анастомозы не функционируют. Такой тип ветвления артериальной системы представляется неблагоприятным в плане возможной декомпенсации нарушений кровотока.
К редким формам строения Виллизиева круга относят:
- Срединную артерию мозолистого тела;
- Объединение передних мозговых артерий в один общий ствол или пристеночный их ход, когда они соприкасаются тесно между собой;
- Передняя трифуркация внутренней сонной артерии (от одной сонной отходят сразу две передние мозговые);
- Расщепленная, двойная передняя соединительная артерия;
- Двустороннее отсутствие ЗСА;
- Трифуркация сонных артерий с двух сторон.
Неклассические типы Виллизиева круга более характерны для его передней части, но поскольку большее клиническое значение носят пороки заднего отдела ввиду худшего прогноза, то и диагностируются они чаще. Выводы специалистов свидетельствуют, что абсолютное большинство больных с нарушениями кровотока в мозге имеют те или иные аномалии Виллизиева круга, а это указывает на его огромное значение в обеспечении мозга кровью при патологии.
Аномалии ветвления сосудов и разомкнутость Виллизиева круга делают его неспособным выполнять роль анастомоза в критических ситуациях — при гипертоническом кризе, тромбообразовании, спазме, атеросклерозе. Кроме этого, некоторые типы ветвления предполагают большие участки некроза нервной ткани при несостоятельности кровообращения. К примеру, передняя трифуркация означает, что большинство отделов гемисферы получают кровь из ветвей всего лишь одной артерии, поэтому при ее поражении масштаб некроза или кровоизлияния будет значительным.
Когда артерии основания мозга развиты классически, между ними присутствуют все необходимые соединительные ветви и калибр каждого сосуда в пределах нормальных значений, говорят, что Виллизиев круг замкнут. Это — норма, говорящая о том, что анастомоз состоятелен, и при патологии кровоток будет максимально скомпенсирован.
полностью разомкнутый ВК
Незамкнутый Виллизиев круг считают серьезной аномалией, предрасполагающей к различного рода нарушениям мозгового кровообращения. Выделяют разомкнутость передней части артериального кольца, возникающую при аплазии ПСА или передней трифуркации сонной артерии, и незамкнутость Виллизиева круга по причине аномалий задней части сосудистого русла — аплазия задних соединительных, базилярной артерии, задняя трифуркация ВСА.
Если соединительные ветви отсутствуют совсем, говорят о полной разомкнутости Виллизиева круга, а когда артерии сохранены, но стенозированы, гипоплазированы, то разомкнутость считают неполной.
Признаки и диагностика аномалий Виллизиева круга
Клинические признаки аномалий ветвления сосудов Виллизиева круга возникает тогда, когда кровоток по коллатералям в силу разных причин становится недостаточен. К примеру, в артериях образовались жировые бляшки, появился тромб или мигрировал эмбол из левой половины сердца, произошел разрыв аневризмы. Здоровый человек не ощущает неклассического ветвления сосудов, поскольку его мозг не испытывает потребности в обходных путях кровотока.

развитие инсульта/нарушений, связанных с недостаточным кровоснабжением участка мозга
Симптомы затрудненного кровотока могут быть самыми разными. Если речь не идет об инсульте, то пациенты жалуются на головокружения, головные боли, снижение интеллектуальных способностей, памяти, внимания. Нередки и проблемы психологического плана — часто аномальному ветвлению сосудов сопутствуют неврозы, панические атаки, эмоциональная лабильность его обладателей.
Характерным проявлением неклассического развития Виллизиевого круга считают мигрень. Вопросу взаимосвязи строения артерий мозга с мигренью посвящено много наблюдений, которые указывают, что большинство пациентов с мигренью имеют те или иные аномалии. Особенно часто при мигрени диагностируются отклонения в строении заднего отдела артериальной системы. При разомкнутости Виллизиева круга, гипоплазии или аплазии задних соединительных артерий, задней трифуркации недополучают кровь те участки мозга, которые ответственны за зрение, поэтому интенсивной головной боли предшествует зрительная аура в форме вспышек, зигзагов и др.
Снижение кровотока по сосудам артериального кольца мозга может провоцировать периодические головные боли и расстройства, подобные дисциркуляторной энцефалопатии — апатия или раздражительность, снижение работоспособности, быстрая утомляемость и т. д. Обычно такое заключение можно встретить в результатах МР-ангиографий и говорит оно о гипоплазии тех или иных сосудов.
При аплазии артериальных стволов, когда некоторых сосудов нет вообще, при исследовании фиксируют отсутствие кровотока. Например, аплазия задних соединительных артерий будет сопровождаться отсутствием кровотока по ним соответственно. Такая аплазия тоже может протекать бессимптомно, но тогда, когда по главным артериям проходит достаточное количество крови. При атеросклерозе или спазме артерий признаки недостаточности кровоснабжения мозга не заставят себя ждать.

% распределения случаев аневризм по артериям мозга
Если на фоне аномального строения артерий основания мозга произойдет острое расстройство кровообращения, то в клинике будут явные симптомы инсульта — парезы и параличи, нарушения речи, патологические рефлексы, нарушение сознания вплоть до комы.
Отдельно стоит упомянуть об аневризмах — расширениях сосудов мозга. По статистике, именно в артериях Виллизиева круга их встречается наибольшее число. Аневризма артерий этой области чревата разрывом и массивным субарахноидальным кровоизлиянием с клиникой инсульта, комой и грубыми неврологическими проявлениями.
Аневризма — это самостоятельная патология, а не вариант индивидуального ветвления сосудов, но она значительно чаще сопровождает неклассические типы Виллизиева круга.
Диагноз той или иной аномалии развития Виллизиева круга можно установить только с привлечением современных инструментальных методов обследования. Возможности в диагностике дали шанс специалистам проанализировать характер распространенности вариантов в строении сосудов мозга и их разновидности, но еще относительно недавно выводы можно было делать в основном по результатам вскрытий умерших больных.
Разработка методик ультразвуковой допплерографии и магнитнорезонансной томографии позволили сделать исследование характера строения Виллизиева круга общедоступным и безопасным мероприятием. К основным способам диагностики вариантов сосудистой системы мозга относят:
- Рентгеноконтрастную ангиографию — один из наиболее информативных методов, но имеет противопоказания, связанные с необходимостью контрастирования (патология печени, почек, аллергия на контраст и др.);
- Транскраниальную допплерографию — процедура безопасна, доступна по цене, требует наличия аппаратов с допплеровским датчиком, которые есть во многих медицинских учреждениях;
- МР-ангиографию — проводится на магнитном томографе, имеет противопоказания, существенный недостаток — дороговизна.
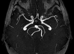
Виллизиев круг на диагностическом снимке
Селективная ангиография сосудов мозга относится к инвазивным процедурам, когда в бедренную артерию вводится катетер, продвигающийся к интересующей зоне церебральных артерий. При достижении необходимой области подается контрастное вещество. Метод применяется чаще всего в ходе оперативного лечения (стентирование, ангиопластика).
Вместо селективной ангиографии может быть применена КТ-ангиография, когда внутривенно вводится контрастное вещество, а затем делаются снимки головы в разных проекциях и срезах. Впоследствии можно воссоздать трехмерное изображение сосудистых структур мозга.
Транскраниальная допплерография позволяет определить характер кровотока в сосудах мозга (снижен, отсутствует), но данных относительно анатомического строения она артерий дает недостаточно. Важным преимуществом ее считают практически полное отсутствие противопоказаний и дешевизну.
МР-ангиография — один из наиболее дорогостоящих, но, вместе с тем, и довольно информативный способ диагностики строения Виллизиева круга. Она проводится в магнитном томографе и противопоказания к ней такие же, как для обычной МРТ (высокая степень ожирения, клаустрофобия, наличие в организме металлических имплантов, проводящих магнитное поле).
МР-картина показывает строение сосудов Виллизиева круга, наличие или отсутствие соединений между ними, аплазию или гипоплазию артерий. При оценке результата специалист может определить диаметр каждой артерии и особенности ее ветвления.
Видео: пример МР-ангиографии мозга
(Виллизиев круг замкнут; определяется извитой S-образный ход интракраниального отдела левой позвоночной артерии; С-образный ход основной артерии; в остальном, в сегментах ВСА и парных артерий кольца основания мозга данных за наличие гемодинамически значимых стенозов, патологических извитостей не получено).
Как видно, каждый из методов имеет и преимущества, и недостатки, поэтому для получения точных выводов касательно артерий мозга их сочетают. Комплексный подход позволяет определить и анатомию сосудов, и характер и направление кровотока по ним, что очень важно в оценке степени риска сосудистых катастроф и возможного прогноза.
Многие люди, у которых обнаружили какой-либо вариант строения Виллизиева круга, сразу же интересуются способами лечения. Поскольку отклонения в ветвлении сосудов не считают самостоятельным заболеванием, то и лечение как таковое не требуется. Более того, в отсутствие клиники недостаточности кровотока оно не имеет и смысла.
В случаях, когда есть конкретные жалобы (мигрени, снижение умственной трудоспособности и т. д.), нужно обращаться за помощью к неврологу, который назначит сосудистые средства (ноотропил, фезам, актовегин), препараты для улучшения метаболизма в мозге (милдронат, витамины группы В), при необходимости — седативные, транквилизаторы, антидепрессанты, в случае мигрени — анальгетики, противовоспалительные, специфические противомигренозные средства (кеторол, ибупрофен, парацетамол, аскофен, препараты группы триптанов).
Оперативное лечение показано при тяжелом нарушении циркуляции крови с прогрессированием сосудистой энцефалопатии, диагностированной аневризме, иногда — после перенесенного инсульта. Оно состоит в стентировании, клипировании или выключении из кровотока аневризмы, баллонной ангиопластике при сужениях артерий.
Виллизиев круг — важная система сосудистых мостов

Названый так в честь открывшего его исследователя, виллизиев круг является яркой иллюстрацией понятия «анастомоз».
Поскольку речь идёт о системе коммуникаций, питающих глюкозой и кислородом весь мозг, то о важности существования данного сосудистого образования говорить не приходится - она очевидна.
Многообразие вариантов виллизиева круга создаётся наличием различных способов соединения этих главных магистралей артериального кровоснабжения.
Общие сведения о базальном кровообращении, его сосудистой структуре и её функциях
Виллизиев круг является самым началом всей кровеносной сети, поднимающейся от основания головного мозга вверх как по его поверхности, так и в недрах, чтобы далее, бесконечно ветвясь, достигнуть каждой отдельной клетки в его тканях и структурах.
Замкнутая в кольцо артериальная система позволяет осуществлять свою основную функцию (бесперебойное снабжение мозга кровью) как нельзя более успешно, ибо при появлении перебоев с питанием из одного сосуда происходит автоматическое переключение на кровоснабжение из другого.
А возникнуть перебои питания могут по причинам появления в одной из артериальных ветвей:
- спазма;
- сужения просвета другой этиологии (вследствие образования холестериновых отложений, тромба, утолщения стенки от образования рубца, ввиду пережатия извне);
- аневризматической деформации просвета;
- атрофии или запустения (спадения с заращением просвета - облитерацией).
Либо это может быть последствие гипоплазии (врождённого недоразвития), сказавшегося в критический момент.
О строении этой части кровеносной системы
Существует множество вариантов построения артериального кольца основания мозга, но обязательными его компонентами являются артерии:
- передняя мозговая (её начальный фрагмент);
- задняя мозговая (на её начальном отрезке);
- соединительные (передняя и задние);
- внутренняя сонная (надклиновидный её фрагмент).

Основными сосудистыми магистралями являются 2 сонных и 2 позвоночных артерии (по одной с каждой стороны тела). Сонные входят в полость черепа посредством сонного канала, проходящего в пирамиде височной кости и открывающегося на её верхушке, позвоночные - миновав большое затылочное отверстие.
Кровоснабжение создается промежуточными «мостиками», имеющими индивидуальные особенности: они могут напрочь отсутствовать, находиться в состоянии аплазии, гипоплазии либо быть утроенными (наличие трёх элементов вместо двух, или феномен трифуркации).
В классически-симметричном варианте позвоночные артерии, сливаясь, образуют одну мощную базилярную (основную), проходящую вдоль варолиева моста и дающую ветви для питания мозжечка и продолговатого мозга. Кпереди она разделяется на 2 задних соединительных (правую и левую), на этом же уровне создавая также 2 задних мозговых.
На уровне её впадения во внутреннюю сонную с обеих сторон от анастомоза в дистальном направлении ответвляются центральные мозговые артерии (левая и правая). Ответвления обеих внутренних сонных смыкаются впереди, образуя полукружие, от которого вперёд отходят 2 параллельно пролегающих передних мозговых артерии. Соединяющая же их сзади одиночная передняя соединительная перемычка является частью дуги, образованной слиянием ответвлений внутренних сонных артерий.
Варианты развития и формирования
Мнения учёных насчёт частоты встречаемости классического варианта сильно отличаются друг от друга: по одним данным это 50%, по другим - 25, по третьим - и того меньше. В зависимости от способа ветвления сосудов, определившегося особенностями внутриутробного развития, как наличие, так и степень развития некоторых сегментов системы будет отличаться от канонической.
Возможными вариантами отсутствия являются случаи, когда не имеется артерий:
- базилярной;
- всех соединительных;
- соединительной передней;
- соединительных задних (одной или обеих);
- соединительной передней и одной из соединительных задних.
Случаи передней либо задней трифуркации также могут быть представлены вариациями отхождения артерий:
- задней мозговой от внутренней сонной (отдельный вариант - с одновременным отсутствием передней соединительной);
- обеих передних мозговых от одной из внутренних сонных.
Возможно также существование:
- гипоплазии одной из задних мозговых;
- неполного удвоения передней мозговой ветви.
Наиболее частой встречаемостью отличается наличие задней трифуркации внутренней сонной магистрали (с началом от неё сразу трёх мозговых артерий: задней, передней и средней), а задняя мозговая при этом отходит от задней соединительной. Такая аномалия, возникнув у 16-недельного плода, может сохраниться либо подвергнуться постепенному преобразованию в полноценно замкнутый круг.
При аплазии передней сообщающей ветви возникает разобщённость между сонными артериями, а при несформированности задней соединяющей задний и передний сегменты виллизиева круга практически не связаны друг с другом.
К более редким находкам при исследовании относят случаи:
- наличия срединного ствола мозолистого тела;
- слияние в один ствол обеих передних мозговых артерий либо их пристеночное соприкосновение друг с другом;
- передней трифуркации (с отхождением обеих передних мозговых от одной и той же сонной);
- наличия двусторонней трифуркации сонных магистралей;
- отсутствия обеих задних сообщающих ветвей;
- наличия удвоенной передней соединяющей артерии.
Патологическое строение артериального базилярного круга
Сосуды передней половины (сонные и передние мозговые) отличаются наибольшей стабильностью развития, анатомии же задних мозговых и соединяющих присуща большая вариабельность ветвления.
Однако отклонения в строении передней половины имеют гораздо большее значение ввиду значительной выраженности клинических симптомов и большей серьёзности прогноза. Помимо идеального (замкнутого) существуют варианты базилярного круга разомкнутого:
Признаки аномалий строения
Аномалии в строении сосудов могут не проявлять себя годами, до достижения возраста, когда изменения становятся устойчивыми, а уровень мозгового кровообращения - нестабильным, но могут появиться уже в молодые годы.
К наиболее постоянным относится появление:
- головных болей;
- головокружения;
- снижения внимания, памяти (в выраженных случаях - интеллектуальных возможностей).
Наиболее характерным симптомом патологии виллизиева круга служат приступы мигрени. Наиболее подвержены ей лица с разомкнутостью круга либо аномалиями развития задней половины системы:
- задней трифуркацией;
- гипо- либо аплазией задних сообщающих ветвей.

Ввиду ишемии зон мозга, отвечающих за зрение, наступлению приступа предшествует возникновение зрительной ауры (ярких зигзагов, вспышек и искр в глазах).
Другими симптомами недостаточности кровоснабжения служат признаки ДЭП (дисциркуляторной энцефалопатии) с расстройством как в эмоционально-волевой, так и в чисто физической сфере - от необоснованной слабости до снижения трудоспособности.
Пиком расстройства функций при аномальном строении базального круга является развитие инсульта с развитием параличей и парезов, чувствительными и двигательными нарушениями, в тяжёлых случаях - с наступлением комы.
Возникновение и развитие аневризмы также способно не проявлять себя десятками лет и часто является случайной находкой при исследовании сосудов головного мозга.
О причинах патологий
Отклонения в развитии структур виллизиева круга возникают, как правило, во время внутриутробного развития, течение которого может быть вызвано злоупотреблениями со стороны беременной матери:
- её курением;
- употреблением ей алкоголя или наркотиков;
- передозировкой снотворных и седативных средств;
- самовольным приёмом препаратов, не предписанных врачом.
На течении беременности может сказаться хронический либо острый стресс высокой интенсивности, вирусная инфекция и аналогичное.
- атеросклероз;
- тромбоз;
- жировая либо воздушная эмболия при ранении крупных артерий острыми краями костей при их переломе, либо иные острые и хронические поводы.
Диагностика аномалий
В распознавании артериальной патологии основания мозга недостаточно визуального (неврологического и офтальмологического) осмотра.
Посему прибегают к инструментальному исследованию сосудов методами:
- ультразвуковой допплерографии;
- МРТ (магнитно-резонансной томографии);
- рентгеноконтрастной ангиографии;
- транскраниальной допплерографии;
- магнитнорезонансной ангиографии;
- селективной ангиографии.
О лечении при дисфункциях

Оно назначается и проводится при наличии документально подтверждённой патологии, сопровождаемой жалобами пациента и наличием клинической картины того или иного синдрома.
В зависимости от преобладания проявлений производится консервативное лечение средствами:
- общесосудистыми (спазмолитиками, седативными);
- транквилизаторами;
- антидепрессантами;
- противовоспалительными и аналгетическими (категории Ибупрофена и Кеторола).
Случаи мигрени заслуживают отдельного изучения и дифференциации от схожих состояний, после чего назначается адекватная диагнозу терапия.
При неэффективности медикаментозного лечения либо наступлении острой патологии применяется микрохирургическое лечение с использованием методик:
- стентирования;
- клипирования;
- баллонной ангиопластики.
О профилактике состояний, вызванных патологией виллизиева круга
Она заключается в соблюдении беременной рекомендаций по ассортименту, дозировке, кратности приёма медикаментов, использовании исключительно прописанных врачом препаратов. Необходимо максимально обезопасить себя от поражения вирусной инфекцией, всячески избегать стрессовых ситуаций (к этому призываются также члены семьи и сослуживцы беременной).
К профилактике же угрожающих жизни острых сосудистых состояний должно привести ведение максимально активного образа жизни с целью предотвращения проблем с сосудами, а при их появлении - необходимо активное сотрудничество с лечащим врачом с безоговорочным исполнением его предписаний.
Читайте также:
