Исследование активных движений в тазобедренном суставе
Добавил пользователь Евгений Кузнецов Обновлено: 28.01.2026
Подвывихом тазобедренного сустава называют патологию, при которой головка бедренной кости частично смещается из вертлужной впадины. Причиной является воздействие силового фактора. Подвывих может возникнуть в быту, на производстве, во время дорожно-транспортного происшествия.
Основные признаки этого нарушения — боли и нарушение функциональной активности тазобедренного сустава. Диагноз ставят клинически (по признакам), а подтверждают с помощью рентгенологического обследования.
Подвывих тазобедренного сустава лечат консервативно — вправляют головку бедренной кости обратно в вертлужную впадину. При необходимости сочленение на некоторое время иммобилизируют (обездвиживают) с помощью специальных фиксирующих эластических приспособлений.
Подвывих тазобедренного сустава диагностируется во всех возрастных категориях, но чаще — в возрасте от 30 до 45 лет (в силу более высокой, чем в другом возрасте, жизненной активности).
Как и при других травматических повреждениях различных сегментов опорно-двигательного аппарата, подвывих тазобедренного сустава чаще возникает у представителей мужского пола — в силу более частого задействования в профессиональных сферах, которые связаны с риском травматизма, а также из-за того, что мужчины намного чаще выясняют отношения силовыми методами.
На подвывих тазобедренного сустава приходится, по разным данным, от 5 до 7% всех диагностированных подвывихов любых сочленений.
Как и другие подвывихи, данное патологическое состояние здоровью и жизни не угрожает. Но в силу функциональных нарушений на определенное время резко ухудшается качество жизни пациента, поэтому важными является не только лечение, но и правильное проведение реабилитационных мероприятий.
Причины
Непосредственная причина возникновения описываемого нарушения — это воздействие на тазобедренный сустав травматического агента.
Данное сочленение относится к категории довольно стойких, так как оно защищено мощным мышечным массивом, поэтому для его повреждения следует приложить выраженную силу. Тот силовой фактор, который может вызвать полноценный вывих другого сустава либо его внутрисуставной перелом, у здоровых людей провоцирует «всего лишь» подвывих тазобедренного сустава.

Характер данного повреждения бывает бытовой, производственный (в том числе сельскохозяйственный), спортивный, криминальный. Также подвывих тазобедренного сустава может возникнуть во время:
- дорожно-транспортных происшествий;
- техногенных катастроф;
- природных катаклизм.
В быту подвывих тазобедренного сустава возникает, как правило, при крайней неосторожности и из-за нарушения элементарных правил техники безопасности. Человек может зацепиться или оступиться и банально упасть.
Нередки случаи, когда описываемое повреждение возникло, так как человек упал, поскольку потерял равновесие на фоне алкогольного опьянения либо при ухудшении самочувствия.
Основной, базовой причиной возникновения подвывиха тазобедренного сустава является падение человека на область сочленения — чаще всего с высоты:
- лестницы;
- стремянки;
- дерева;
- открытого окна;
- балкона
Механизм возникновения подвывиха тазобедренного сустава в производственных условиях напоминает таковой в быту, но повреждение возникает при несоблюдении техники безопасности самим работником предприятия, либо работодатель не обеспечил ее соблюдение. Это же касается и сферы сельского хозяйства.
В спорте подвывих тазобедренного устава может возникнуть из-за травматизации во время командных игр, а также у спортсменов, занимающихся активными видами спорта:
- конным;
- мотоциклетным;
- автомобильным
Основными механизмами возникновения подвывиха тазобедренного сустава в спорте являются падение на область сустава и сильный удар в эту локацию.
Подвывих тазобедренного сустава возникает как результат травмы при силовом выяснении отношений. В частности, это может быть нанесение ударов ногой либо твердым предметом во время избиения человека.
Подвывих тазобедренного сустава нередко диагностируют после массовых беспорядков — затеянных специально (это бунты, митинги, противостояние силовым структурам) либо возникших стихийно (столпотворение людей во время концертов и массовых спортивных мероприятий). В последнем случае распространенным является следующий механизм: при выходе зрителей из замкнутого пространства создается давка, наименее устойчивые падают под ноги другим людям, которые травмируют их непреднамеренно, топча ногами.
Подвывих тазобедренного сустава, возникший во время дорожно-транспортного происшествия, как правило, сопровождается другими повреждениями — иными словами, у человека возникает политравма. Нередко одновременно диагностируется подвывих тазобедренного и плечевого сустава с одной и той же стороны. При этом они могут сопровождаться травмированием грудной клетки и поясничного отдела (а именно почки).
Обратите внимание
Во время техногенных катастроф либо природных катаклизм подвывих тазобедренного сустава чаще всего возникает при попадании человека под обвалы.
В возникновении этого повреждения играет роль не только выраженность травмирующего агента, но также состояние связочного аппарата тазобедренного сустава и суставной капсулы. Их прочность может быть снижена из-за:
- врожденных нарушений;
- приобретенных заболеваний;
- ранее перенесенных травм.
Нарушения внутриутробного развития плода (в данном случае — структур, укрепляющих тазобедренный сустав) возникают из-за воздействия на организм беременной (а значит, и плода) ряда патогенных факторов — таких, как:
- физические;
- химические;
- хронические заболевания беременной;
- ее вредные привычки;
- эндокринные нарушения;
- экологические факторы.
Из физических факторов наибольшее значение имеют:
- радиоактивное облучение;
- механическое травмирование живота беременной;
- влияние слишком низких либо слишком высоких температур на женщину в период беременности.
Химические факторы — это химические соединения. Они могут:
- попадать в организм матери и плода;
- вырабатываться в тканях беременной женщины и далее поступать через общий кровоток в организм будущего ребенка.
Внешними химическими факторами являются соединения, которые используются в:
- промышленности (этан, бутан, хлорвинил, соли тяжелых металлов);
- сельском хозяйстве (нитраты, нитриты);
- быту (моющие и чистящие средства, лаки, краски, растворители);
- медицине (лекарственные средства, а также соединения, которые применяются с технической целью в медицине).
Также нарушение внутриутробного развития плода, вследствие чего наблюдается слабость связочного и капсульного аппарата, может возникать под влиянием химических агрессоров, которые появляются в тканях будущей матери на фоне какой-либо патологии. Это:
- токсины организмов;
- продукты патологических тканевых процессов.
В первом случае это:
- экзотоксины микрофлоры — ядовитые вещества, которые выделяются возбудителями в ткани;
- эндотоксины — внутреннее «наполнение» микроорганизмов;
- продукты их жизнедеятельности;
- остатки распада микробных тел.
Во втором случае это:
- гной;
- продукты распада некротических (омертвевших) тканей.
Нарушение внутриутробного развития плода, из-за которого развивается слабость связочного аппарата тазобедренного сустава, довольно часто наблюдается при различных хронических (особенно затяжных) заболеваниях матери. Это могут быть практически все затянувшиеся патологии — особенно со стороны жизненно важных систем (сердечно-сосудистой, дыхательной, пищеварительной и других). Так, риск развития нарушений повышается, если у будущей матери длительно наблюдаются ишемическая болезнь сердца (кислородное голодание сердечной мышцы из-за нарушения со стороны коронарных сосудов), бронхиальная астма (сужение просвета бронхов с возникающими впоследствии этого приступами удушья), гепатоз (невоспалительное поражение печени, которое носит дегенеративно-дистрофический характер) и многие другие.
Любые вредные привычки беременной могут привести к возникновению внутриутробных патологий будущего ребенка (в данном случае со стороны связочного аппарата и суставной капсулы тазобедренного сочленения).
Это значит, что у ребенка, рожденного женщиной, которая во время беременности курила, употребляла спиртные напитки и наркотические препараты, шансы нарушения развития связочного аппарата и суставной капсулы выше. В постнатальном периоде (после рождения на протяжении всей жизни) это способствует более быстрому возникновению подвывиха тазобедренного сустава.
Гормональные патологии будущей матери являются одной из причин нарушения внутриутробного развития плода — в данном случае, связочного аппарата. Чаще всего это:
- гипотиреоз — уменьшение количества гормонов щитовидной железы;
- гипертиреоз — увеличение их количества;
- сахарный диабет — нарушение углеводного обмена из-за дефицита гормона инсулина;
- дефицит глюкокортикостероидов — гормонов коры надпочечников.
Внутриутробное нарушение развития структур тазобедренного сустава отмечается при проживании беременной в экологически неблагоприятной местности и, как результат, вдыхании воздуха, загрязненного промышленными выбросами, а также употреблении в пищу загрязненных продуктов.
Приобретенные патологии могут привести к нарушению прочности соединительной ткани и, как результат, ослаблению связочного аппарата и суставной капсулы тазобедренного сочленения. Из-за этого его подвывих может возникнуть даже при несущественном травматическом воздействии. Такими патологиями являются заболевания сосудистой ткани (часто — аутоиммунные, то есть, те, при которых организм реагирует на соединительную ткань как на чужеродный агент), гормональные патологии, а также ранее перенесенные повреждения тазобедренного сочленения.

Тазобедренный сустав укрепляют довольно мощные связки — толстые и крепкие. Их волокна могут располагаться на поверхности суставной капсулы или же буквально «прорастать» в нее. Это связка головки бедра, подвздошно-бедренная, лобково-бедренная связка и седалищно-бедренная связка.
Само же сочленение сформировано гладкой головкой бедренной кости, которая в норме свободно вращается в такой же гладкой вертлужной впадине («чаше», сформированной подвздошной, лобковой и седалищной костями).
Подвывих тазобедренного сустава — его несостоявшийся вывих. Мощные связки и суставная капсула не позволяют головке сместиться полностью из впадины, но при слабости и разболтанности не могут ее полностью удержать — возникает неполное смещение.
Эта патология имеет сугубо механический характер. Но при смещении головки могут быть повреждены сосудистые и нервные структуры в районе бедренного сустава, что в последствие влияет на трофику тканей.
Симптомы подвывиха тазобедренного сустава у взрослого человека
Клиническая картина подвывиха тазобедренного сустав состоит из таких симптомов, как:
- болевой синдром;
- отек;
- нарушение движений.
Выраженность клиники зависит от степени смещения головки бедренной кости.
Характеристики болей следующие:
- по локализации — в области тазобедренного сустава;
- по распространению — никуда не распространяются;
- по характеру — ноющие;
- по выраженности — зачастую средней интенсивности, но терпимые;
- по возникновению — беспокоят в момент травмирования, далее стихают, могут нарастать при попытке сделать движение в суставе.
У пациентов с массивными мягкими тканями в районе тазобедренного сустава отечность тканей при подвывихе может быть незаметной.
При подвывихе данного сустава пациент не может выполнять в нем движения из-за того, что головка бедренной кости, выйдя за пределы вертлужной впадины, уже не скользит, ее движения блокируются. Помимо этого, пациент старается из-за болевого синдрома сознательно ограничить движения в поврежденном сочленении.
Диагноз подвывиха тазобедренного сочленения ставят, основываясь на жалобах пострадавшего, деталях анамнеза (истории) повреждения, результатах дополнительных методов обследования.
Из анамнеза уточняется следующее:
- при каких обстоятельствах возникло повреждение;
- болел ли пациент ранее патологиями, которые могли бы привести к уменьшению прочности связочного аппарата и суставной капсулы тазобедренного сустава.
Результаты физикального обследования будут такими:
- при осмотре — может визуализироваться отечность тканей в области сустава. Пострадавший стоит или сидит боком, отклонившись в сторону, противоположную пораженному суставу, чтобы исключить любую нагрузку на него;
- при пальпации (прощупывании) — в области сустава определяются невыраженные опухлость и болевые ощущения.
Также во время физикального обследования отмечается затруднение при выполнении пациентом движений в поврежденном тазобедренном суставе — активных и пассивных. Нарушение активных движений выявляется, когда врач просит пациента сделать сгибание, разгибание и другие движения в сочленении. Проверка амплитуды пассивных движений выявляется следующим образом: врач охватывает пальцами бедро пострадавшей нижней конечности и аккуратно пытается выполнить движения в тазобедренном суставе. При болях проведения такого тестирования следует избегать.
Какие инструментальные методы исследования привлекаются в диагностике подвывиха тазобедренного сустава? Прикладной является рентгенография сустава в двух проекциях. На рентгенологических снимках выявляют смещение головки плечевой кости из вертлужной впадины. Этого метода достаточно, чтобы выявить нарушение и определиться с нюансами врачебной тактики.
Другие методы исследования могут понадобиться при изучении патологий, которые спровоцировали нарушение соединительной ткани, что привело к слабости связок, укрепляющих данное сочленение, и суставной капсулы. При сосудистых и неврологических нарушениях, возникших при подвывихе тазобедренного сустава, могут понадобиться дополнительные методы обследования — их после консультации назначают сосудистый хирург и нейрохирург (или невропатолог).
Лабораторные методы исследования не являются решающими в диагностике подвывиха тазобедренного сустава. Они могут понадобиться для выявления патологии, провоцирующей слабость соединительной ткани с последующим нарушением со стороны связочного аппарата сочленения и его капсулы.
Дифференциальную (отличительную) диагностику описываемого травматического нарушения проводят с такими патологиями, как:
- вывих тазобедренного сустава — полное смещение головки бедренной кости из вертлужной впадины;
- перелом головки бедренной кости — нарушение ее целостности;
- перелом шейки плечевой кости.
В сравнении с вывихом или переломом тазобедренного сустава осложнения его подвывиха наблюдаются довольно редко. Это могут быть:
- контрактура — уменьшение амплитуды (размаха) движений в сочленении;
- нарушение чувствительности при повреждении нервных окончаний — онемение, чувство «бегания мурашек», покалывание.
Подвывих тазобедренного сустава лечат консервативно. Первым делом проводят вправление головки бедренной кости в вертлужную впадину. Дальнейшие рекомендации следующие:
- функциональный покой;
- анальгетики — в случае, если болевой синдром после вправления не купируется. Назначаются, как правило, пациентам, у которых из-за особенностей нервной системы отмечается низкий болевой порог;
- купирование заболеваний и патологических состояний, которые спровоцировали слабость связочного аппарата и суставной капсулы тазобедренного сустава, что и поспособствовало возникновению его подвывиха.
Если подвывих тазобедренного сустава диагностирован повторно, то после его вправления рекомендуется иммобилизация сочленения. Повторно возникшая травма заостряет внимание на том, что необходимо провести обследование на предмет патологии соединительной ткани и ее коррекцию.

После истечения сроков иммобилизации (их определяет лечащий врач) проводятся реабилитационные мероприятия, чтобы восстановить подвижность в тазобедренном суставе. Основными назначениями являются комплекс лечебных упражнений, который назначает и выполнение которого контролирует врач ЛФК, и массаж.
Подвывих тазобедренного сустава лечится без каких-либо особенностей, и после реабилитационного периода разрешаются физические нагрузки, но с определенным ограничением.
Профилактика подвывиха тазобедренного сустава
Возникновение подвывиха тазобедренного сустава можно предупредить, если соблюдать такие рекомендации, как:
- соблюдение элементарных правил техники безопасности в бытовых, производственных и других условиях, избегание любых ситуаций, которые чреваты травмированием тазобедренного сустава;
- при невозможности избежать риска травмирования — использование средств индивидуальной защиты;
- профилактика, выявление и лечение заболеваний соединительной ткани, которые способствуют ослаблению связочного аппарата тазобедренного сустава и его суставной капсулы;
- регулярные занятия физкультурой с целью укрепления тазобедренного сочленения;
- профилактические осмотры с целью профилактики нарушений со стороны соединительной ткани (в том числе, связок и суставной капсулы тазобедренного сочленения, которые из нее состоят).
Прогноз
Прогноз при подвывихе тазобедренного сустава довольно оптимистичный. Благодаря своевременным распознаванию и вправлению, выполнению назначений врача и грамотному проведению реабилитационных мероприятий наступает полное выздоровление.
Прогноз ухудшается при таких обстоятельствах, как:
Тазобедренный сустав: функциональные нарушения и лечение

Человеческое тело может регулировать свой центр тяжести во время любой деятельности благодаря противоположным силам агонистических и антагонистических мышц. Это помогает обеспечить функциональную стабилизацию суставов через динамическую стабильность (Page, 2010), и позволяет людям сохранять равновесие и выполнять энергоэффективные движения (Pizones, 2020). Время и активация динамических стабилизаторов являются наиболее важными факторами в достижении функциональной стабильности.
Когда тело нарушает равновесие, мышцы реагируют на это, противодействуя смещению центра тяжести. Однако если дисбаланс сохраняется, выполнение каждого движения требует больше энергии, что приводит к усталости, боли и мышечной слабости (Pizones, 2020). Термин «глобальные эффекты» относится к тому, что вся двигательная система компенсирует локальный недостаток стабилизации изменением паттернов движения (Page, 2010). Физические терапевты должны уметь определять, какие мышцы бедра задействованы в патологическом процессе и разрабатывать эффективные лечения для решения этих проблем (Mendis, 2020).
Мышцы бедра играют важную роль во время ходьбы и выполнения функциональных задач в положении стоя. Дисбаланс, слабость или атрофия определенных мышц бедра могут влиять на функцию тазобедренного сустава во время выполнения этих видов деятельности и привести к развитию глобальных последствий. Одно исследование показало, что слабость мышц проксимального отдела бедра вызывала боль в передней части колена (Ireland, 2003), и была связана с функциональной нестабильностью голеностопного сустава (Friel, 2006). Кроме того, мышцы с атрофией обеспечивают сниженную проприоцептивную обратную связь, что приводит к хронической боли и нарушению постуральной стабильности, а также к развитию компенсаторных движений (McPartland, 1997).
Роль врачей, лечащих пациентов с патологией тазобедренного сустава, заключается в назначении упражнений, направленных на эти дисфункциональные мышцы (Mendis, 2020).
«Я просто стараюсь придерживаться самых простых принципов. То, что я говорю своим пациентам, это то, что мы должны укрепить то, что ослаблено, и ослабить то, что напряжено. Потому что мы не хотим, чтобы другие мышцы работали сверхурочно». Rina Pandya.
Значение постуры
Постура — это относительное положение головы, плечевого пояса, позвоночника, таза, тазобедренных, коленных и голеностопных суставов относительно друг друга.
Для того, чтобы человек мог поддерживать вертикальное положение, каждый компонент его мышечно-скелетной системы должен быть идеально сбалансирован, требуя наименьшего количества усилий со стороны мышц. Человек может стоять на месте и ходить благодаря поясничному и шейному лордозу, грудному кифозу, правильному положению плечевого и тазового пояса, нижних конечностей.
Когда это не удается, неправильное положение элементов тела может привести к выраженным нарушениям равновесия и ходьбы (Hasegawa, 2017). Изменение постуры может быть вызвано мышечным напряжением или мышечной слабостью, например, изменения длины-натяжение сгибателей бедра и хамстрингов повлияет на положение таза. По словам Janda, «мышечный дисбаланс — это нарушение взаимосвязи между мышцами, склонными к напряжению или укорочению, и мышцами, склонными к ингибиции» (Page, 2010).
Плоскости движения

Движения тазобедренного сустава в различных плоскостях
Движения в тазобедренном суставе происходят в трех плоскостях:
- сгибание/разгибание в сагиттальной плоскости;
- отведение/приведение во фронтальной плоскости;
- наружная/внутренняя ротация в поперечной (горизонтальной) плоскости.
Сагиттальная плоскость
- Движение бедра при разгибании и сгибании можно оценить с помощью модифицированного теста Томаса и подъема прямой ноги (Rose-Dulcina, 2022).
- Тест подъема прямой ноги позволяет врачу оценить гибкость и эластичность хамстрингов.
- Модифицированноый тест Томаса является достоверным показателем флексионной контрактуры бедра, правда только в том случае, если во время тестирования контролируется движение пояснично-тазовой области (Vigotsky, 2016).
Фронтальная плоскость
- Функциональная роль мышц-абдукторов бедра заключается в обеспечении стабильности бедра во фронтальной плоскости во время фазы опоры на одну конечность в цикле ходьбы.
- Задняя головка большой приводящей мышцы помогает хамстрингам при разгибании бедра, в то время как другие приводящие мышцы помогают при сгибании бедра (Neumann, 2010).
Поперечная (горизонтальная) плоскость
- Когда тазобедренный сустав находится во флексии, следующие наружные ротаторы становятся внутренними ротаторами бедра: грушевидная мышца, задние волокна малой ягодичной мышцы, передние волокна большой ягодичной мышцы.
- Диапазон вращения бедра во время ходьбы варьируется от 2.8 до 11.8 градусов и имеет тенденцию быть наибольшим во время опоры на ногу (фаза середина опоры). Наименьший диапазон вращения бедра наблюдается в конце фазы опоры (Uemura, 2018).
- Внутренняя ротация бедра необходима для разгибания бедра в конце цикла ходьбы (Dawson, 2022).
Мышечный дисбаланс и нарушения постуры и ходьбы
Эффективная ходьба зависит от времени рекрутирования мышц и баланса (Page, 2010). Клиническая картина пациента позволяет определить, какая группа мышц слабая, напряженная или перенапряженная (Pandya, 2022). Однако для определения конкретных ограничений тазобедренного сустава требуется углубленная оценка амплитуды движения, силы, длины и координации мышц (Heino, 1990).
Чрезмерное сгибание бедра может быть вызвано контрактурой флексоров бедра и илеотибиального тракта, спастичностью флексоров бедра, компенсацией сгибания колена и дорсифлексии лодыжки, болью в тазобедренном суставе или компенсацией чрезмерной плантарной флексии в середине цикла ходьбы. Такие пациенты демонстрируют компенсаторное сгибание в сторону чрезмерного сгибания, чтобы сбалансировать смещенный центр тяжести («кренящаяся походка»). Во время фазы опоры пациент наклоняет туловище вперед или компенсирует это чрезмерным поясничным лордозом и передним наклоном таза (Pandya, 2022).
Ограниченный диапазон движения сгибания или разгибания бедра приводит к чрезмерному поясничному лордозу и ненормальному соотношению длины и напряжения между мышцами, выпрямляющими позвоночник и мышцами живота. Это приводит к «растяжени и слабости» мышц нижней части живота (Heino, 1990). Если есть подозрение на укорочение сгибателей бедра, клиницисты не должны разрабатывать упражнения на растяжение сгибателей бедра или укрепление мышц живота, основываясь только на наблюдении за постуральными отклонениями. По данным Heino (1990) не существует корреляции между амплитудой разгибания бедра, наклоном таза в положении стоя, поясничным лордозом в положении стоя и результатом тестирования мышц живота при опускании ног. Вместо этого для назначения наиболее подходящей программы упражнений требуется оценка подвижности суставов, длины мышц, силы и координации.
В тазобедренном суставе, пораженном остеоартритом, наблюдается уменьшение сгибания бедра в фазе переноса и разгибания бедра в фазе опоры, что вызывает чрезмерные движения в противоположной конечности (подъем бедра на здоровой стороне или «хождение на цыпочках» на пораженной стороне) (Malanga, 2022).
Слабые разгибатели бедра могут привести к увеличению бокового вращения бедра во время отталкивания в цикле ходьбы. Человек стремится сделать меньший шаг, чтобы уменьшить сгибание бедра, необходимое для первоначального контакта. Это уменьшает силу сокращения, необходимую для разгибателей. Походка становится более медленной, чтобы дать время для стабилизации конечностей, а компенсаторное избыточное заднее позиционирование туловища поможет сохранить положение таза по отношению к туловищу (Pandya, 2022). У пациентов может наблюдаться «кренящаяся походка» из-за слабости большой ягодичной мышцы (Page, 2010).
Дисбаланс или ригидность разгибателей бедра приводит к увеличению разгибания поясницы, и такой пациент будет демонстрировать передний наклон таза (Page, 2010). Тестирование ходьбы назад может помочь дифференцировать торможение или слабость большой ягодичной мышцы. Увеличение поясничного лордоза или переднего наклона таза указывает на недостаток разгибания бедра из-за слабости этих мышц.
Слабые сгибатели бедра могут привести к уменьшению длины шага. Походка, скорее всего, будет медленнее, что приведет к уменьшению расстояния между пальцами стоп и полом (Pandya, 2022), а также скольжению ими по полу в фазе переноса. Кроме того, туловище смещается в сторону переносимой ноги, а таз поднимается на стороне опорной ноги, и происходит циркумдукция ноги во время фазы переноса (Schafer, 2022).
Анталгическая походка характеризуется сокращением фаз опоры и переноса на пораженной стороне. Туловище быстро подается вперед с поднятием противоположного плеча в попытке выровнять распределение веса на конечность и уменьшить нагрузку на больную сторону (Pandya, 2022).
Слабость абдукторов бедра приводит к тому, что таз опускается на стороне переносимой ноги (на противоположной от опорной ноги стороне) или к чрезмерной ротации таза (Page, 2010). Это явление также известно как походка Тренделенбурга (Pandya, 2022).
Контрактура аддукторов бедра приводит к ножничной походке, которая характеризуется экстремальным приведением бедер с ударом коленями и бедрами или их перекрещиванием во время ходьбы. Антагонистические мышцы (абдукторы) в этом случае являются очень слабыми.
Слабость аддукторов бедра можно заметить по абдукции бедра во время касания пола пяткой в цикле ходьбы, а также по увеличению наружной ротации бедра в фазе середины опоры (Schafer, 2022).
Тугие или болезненные тазобедренные суставы могут проявляться ограниченным вращением бедра. В таких случаях походка становится асимметричной. Во время фазы переноса база расширяется, а фаза опоры сокращается на пораженной стороне. Чтобы уменьшить нагрузку на сустав, бедро удерживают во флексии, абдукции и наружной ротации. Имеет место компенсаторное сгибание колена и голеностопа.
Ограничение наружной ротации бедра приводит к его большей внутренней ротации во время ходьбы (Alves, 2021).
Увеличение внутренней ротации и аддукции бедра перегружает тазобедренный и коленный суставы и создает динамический вальгус колена (Alves, 2021).
Ограниченная внутренняя ротация уменьшает движение таза вперед во время фазы переноса, что укорачивает шаг. Наиболее распространенными компенсациями являются: гиперпронация стопы, вальгусная девиация колена, уменьшение длины шага, внешнее вращение стопы в конце фазы опоры и увеличение разгибания поясницы и колена (Dawson, 2022). При ограниченной внутренней ротации компенсаторное чрезмерное разгибание поясницы и гиперэкстензия колена могут привести к уменьшению разгибания бедра.
Функциональные тесты ходьбы
Можно выделить несколько инструментов оценки, направленных на оценку ходьбы, равновесия и трансферов. Нарушения в передвижении могут иметь физические, когнитивные и социальные последствия (Soubra, 2019). Физические терапевты должны выбрать наиболее подходящий инструмент оценки, который позволит им разработать план лечения и контролировать прогресс пациентов (VanSwearingen, 2001). Ниже приведены примеры функциональных тестов.
10-метровый тест ходьбы
Данный тест широко используется для оценки скорости ходьбы, общего состояния здоровья и функциональных способностей при многих заболеваниях, включая здоровых взрослых, детей с нервно-мышечными заболеваниями, гериатрических пациентов, пациентов с переломом бедра, черепно-мозговой травмой, болезнью Паркинсона (Lindholm, 2018) и некоторыми другими заболеваниями. В клинических и исследовательских условиях описаны различные методы проведения данного теста, включая старт из положения стоя, старт во время ходьбы, самостоятельно выбранный темп и быстрый темп.
6-минутный тест ходьбы
Это модифицированный тест для оценки физической работоспособности и мобильности в гериатрической популяции (Soubra, 2019). Данный тест изначально был представлен как тест на выносливость, но исследования показывают, что он также дает информацию о функциональной способности человека передвигаться (Harada, 1999). Также этот тест используется для оценки состояния сердечно-сосудистой и легочной систем, периферического кровообращения и реакции мышц на физическую нагрузку.
2-минутный тест ходьбы
Данный тест используется для оценки общей выносливости пациентов с респираторными заболеваниями, рассеянным склерозом, ампутацией нижних конечностей, муковисцидозом, черепно-мозговой травмой и другими неврологическими заболеваниями (Pandya, 2022). Он подходит пациентам со сниженной выносливостью.
Динамический индекс ходьбы
Tinetti
Оценка мобильности, ориентированная на производительность Tinetti (Tinetti-POMA), также известна как тест мобильности Tinetti. Это клинический тест для оценки равновесия и ходьбы у пожилых людей, как измерение нарушений подвижности и последствий терапевтических вмешательств (Soubra, 2019).
Тест «встань и иди»
Этот тест является показателем равновесия и способности ходить в гериатрической популяции. Он состоит из оценки ежедневных задач, включая стояние, ходьбу и повороты, поэтому часто используется в клинической оценке (Soubra, 2019). Было установлено, что он хорошо коррелирует с показателем баланса Berg, скоростью ходьбы и индексом Barthel.
Протоколы физической терапии, основанные на доказательствах
Научно-обоснованный обзор нейромышечных упражнений для бедер, направленных на устранение динамического вальгуса нижних конечностей (Ford, 2015).
- Момент абдукции колена непосредственно способствует динамическому вальгусу нижней конечности.
- Вальгус колена сам по себе может быть высоким предиктором травм передней крестообразной связки (ПКС).
- Момент наружной ротации бедра предсказывает риск повреждения ПКС у молодых спортсменов, вернувшихся в спорт после реконструктивной операции и реабилитации.
- Высокий момент абдукции колена был предиктивным как для пателлофеморальной боли, так и для повреждения ПКС у молодых спортсменок.
- После операции на ПКС важно обратить внимание на стабильность тазобедренного сустава.
Что лучше после операции по поводу перелома бедра, упражнения с отягощением, упражнения без отягощения или отсутствие упражнений (McCarthy, 2018)?
- Тип упражнений: Шаговые упражнения с отягощением и упражнения без отягощения, включая абдукцию, сгибание и разгибание в положении лежа (Pandya, 2022).
- Показатели результата: физическая работоспособность и подвижность.
- По истечении двух недель не было разницы в силе, ходьбе или функции между людьми, которые занимались в группе с отягощением и группе без отягощения.
- Через четыре месяца, при выполнении упражнений с отягощениями дома, наблюдалось улучшение в тестах на равновесие и способность ходить более самостоятельно, чем в группе без отягощений, но значительного снижения силы или функции отмечено не было.
Прогрессивная реабилитация после тотальной артропластики тазобедренного сустава: пилотное и технико-экономическое исследование (Madara, 2019).
Осмотр пациента с проблемой тазобедренного сустава

Тазобедренный сустав — это шаровидный многоосный сустав с большой амплитудой движения в различных направлениях, который образован вертлужной впадиной тазовой кости и головкой бедренной кости. Головка бедренной кости помещается в вертлужной впадине тазовой кости и надежно удерживается там посредством связок и окружающих мышц, которые обеспечивают огромную стабильность сустава.
Друзья, этот и другие вопросы будут подробно разбираться на семинаре «Диагностика и терапия проблем суставов нижних конечностей». Узнать подробнее…
Тазобедренный сустав имеет три оси вращения, в соответствии с чем может осуществлять сгибание и разгибание, отведение и приведение, ротацию внутрь и кнаружи, а также круговое вращение. Эти движения возможны благодаря различным компонентам сустава, повреждение каждого из которых может негативно повлиять на амплитуду движения сустава и его способность выполнять свою функцию.
Субъективное обследование
Первым шагом во время обследования является расспрос пациента, в ходе которого врач получает от человека информацию об имеющихся у него симптомах. Сбор анамнеза и анализ жалоб пациента являются очень важным компонентом субъективного обследования, поскольку это позволяет клиницисту построить гипотезу, объясняющую механизм травмы, тип поврежденных структур, степень повреждения и т.д. Здесь важно все: локализация боли, характера боли, как она меняется в течение суток, активность, провоцирующая боль, факторы, способствующие ее уменьшению.
История болезни пациента, а также его социальная/семейная история также важны, поскольку это помогает клиницисту исключить наследственные заболевания. Любые хирургические вмешательства, которые специфичны в отношении тазобедренного сустава, также важны, например, пациент, который перенес операцию по замене тазобедренного сустава и в настоящее время жалуется на боль в этой области. Имеют значение сопутствующие заболевания и принимаемые в настоящий момент лекарства.
Что должно настораживать?
- Травмы в анамнезе.
- Внезапный приступ боли.
- Наличие отека или деформации.
- Невозможность опираться на ногу.
- Опухоль или пульсация в паху; опухоль яичек.
- Гематурия.
- Запор, рвота или лихорадка.
- Ночная потливость, необъяснимая потеря веса, потеря аппетита.
- Ночные боли.
- Онкология в анамнезе.
- Неврологические симптомы нижних конечностей — слабость, онемение или покалывание.
- Использование стероидов.
Также важно учитывать другие (отсутствие мотивации, наличие депрессии, плохой сон и т.д.) признаки, поскольку они могут препятствовать физиотерапевтическим процедурам.
Объективное обследование
По завершении беседы с пациентом врач приступает к объективному обследованию.
Осмотр
- Анализ ходьбы. Существует несколько патологических вариантов походки, которые наблюдаются у пациентов с поражением тазобедренного сустава: анталгическая походка, походка Тренделенбурга, «артрогенная» походка, шаткая походка.
- Весовая нагрузка.
- Баланс и постура.
- В положении стоя: поясничный отдел, уровень гребней подвздошных костей.
- В положении лежа: длина ноги, положение (наружная ротация).
- Изменение цвета, кровоподтеки, воспаление, сыпь.
- Отеки, рубцы, изменения кожи.
- Атрофия мышц, тонус мышц, мышечная масса.
Пальпация
Во время пальпации специалист оценивает:
- Сосудистая система — пульс, капиллярный кровоток.
- Температура — воспаление/инфекционный процесс.
- Отек — суставной выпот.
- Болезненность — поясничный отдел позвоночника, структуры таза, большой вертел, паховая связка, бедренный треугольник, коленный сустав.
Неврологическая оценка
- Мышечное тестирование. Специалист определяет силу мышц, окружающих тазобедренный сустав, а именно разгибателей и сгибателей бедра, приводящих и отводящих мышц, наружных и внутренних ротаторов.
- Тестирование чувствительности.
- Тест «подъем прямой ноги» — выявление поясничной радикулопатии.
Тестирование движений
Амплитуда движений в тазобедренном суставе (активные и пассивные) измеряется с помощью гониометра и документируется. Эти измерения являются базовыми и помогают определить, насколько эффективна программа лечения.
Специальные тесты
- Тест Томаса — оценка на предмет укорочения флексоров бедра и сгибательной контрактуры тазобедренного сустава.
- Тест Эла — оценка на предмет укорочения прямой мышцы бедра.
- Тест Тренделенбурга — оценка силы абдукторов бедра.
- FABER тест — оценка амплитуды движений в тазобедренном суставе.
- FADDIR — оценка на предмет фемороацетабулярного импинджмента.
- Тест Обера — оценка состояния илиотибиального тракта.
Инструментальная диагностика
Методом выбора является рентгенография тазобедренного сустава в прямой и боковой проекциях. Это позволяет исключить переломы. Однако, в некоторых случаях, даже если рентгенологическая картина в норме, требуется проведение дополнительных исследований, например, КТ или МРТ тазобедренного сустава, с целью исключения скрытых переломов или повреждения мягких тканей.
В сложных случаях КТ может быть полезна для получения дополнительной информации, которая необходима при планировании операции. Также стоит учитывать, что интерпретация рентгеновского снимка будет осложнена у пожилых людей наличием других состояний, например, дегенеративных процессов.
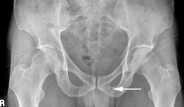
Исследование активных движений в тазобедренном суставе
Рентген ТБС — диагностический метод исследования, который помогает выявить патологические изменения тазобедренного сустава, выполняющего ведущую роль в выполнении движений нижней конечности. Наиболее уязвимо сочленение в периоде новорождённости, так как выявляется множество аномалий развития и в возрастном периоде, на фоне остеопорозных изменений.

Эндопротезирование тазобедренного сустава
Рентгенограмма как метод исследования рассчитана на визуализацию костных структур. При диагностике хорошо просматриваются:
- Кости таза. Видны анатомические дефекты, переломы, трещины, асимметрия.
- Сустав. Выявляют вывихи, подвывихи, расширение суставной щели, сужение или сращение с формированием анкилозов.
- Головка бедренной кости. Просматривается вертел, шейка бедра, выявляются трещины, переломы, аномалии развития и строения, остеомиелитные и остеопорозные изменения.

Перелом лонной кости
Рентген тазобедренных суставов проводится как в раннем детском возрасте, так и более зрелом.
У детей рентгенограмма необходима при ограничении или асимметрии разведения ножек ребёнка в позе «лягушки» (малыш лежит на спине, ноги согнуты в коленях и разводятся в стороны), укорочение конечностей по отношению друг к другу, отсутствии упора на ножки у малыша.

Остеомиелит
Во взрослом возрасте рентген тазобедренного сустава может потребоваться при подозрении на перелом или воспаление в области тазобедренного сустава или остеомиелит бедренной кости. В таком случае общими для всех жалобами являются: выраженная болезненность в данном анатомическом участке, наличие отёка, изменение цвета кожных покровов, локальной температуры в области сустава, резкое ограничение движения, хромота и шаткость при ходьбе, изменение длины конечности.
При подозрении на остеомиелит и другие воспалительные процессы в тазобедренной области (гнойное воспаление костного мозга бедренной кости) к вышеописанным симптомам присоединяется интоксикационный в виде нарушения аппетита, слабости, вялости, апатии и в обязательном порядке — с лихорадкой.

Патологии, которые можно рассмотреть на рентгене, это:

- Дисплазия тазобедренного сустава. Выявляется в раннем детском возрасте и проявляется в виде отставания окостенения ядер, подвывиха бедренной кости (головка находится не в полости суставной впадины).
- Переломы и трещины. На рентгене можно рассмотреть локализацию травмы, наличие смещения и количество отломков и осколков, степень смещения костных структур.
- Вывихи. Визуализируется выход большого вертела бедренной кости из суставной поверхности вертлужной впадины.
- Остеоартроз. Дегенеративное заболевание хрящевой ткани сустава, которое на рентгенограмме выглядит как сужение суставной щели, формирование костных наростов на суставных поверхностях (остеофитов).
- Артрит тазобедренного сустава. Возникает в результате аутоиммунных реактивных изменений мягких тканей сустава, сопровождается выраженной болью, отёчностью, возможно появление выпота в полости. На рентгенограмме выявляют уплотнение мягких тканей, расширение суставной щели, при необходимости проводят контрастное исследование с внутривенным введением йодсодержащего вещества, наблюдают усиление сосудистого рисунка в месте воспаления.
- Некротические изменения. Возникают при нарушении кровообращения в полости сустава при переломе шейки бедра, так как нарушается трофика головки бедренной кости и она отмирает.
- Остеопороз. Дегенерация костной ткани, связанная с возрастными изменениями и гормональным дисбалансом. Характеризуется вымыванием кальция из костей. На рентген-снимке выглядит как снижение плотности костных структур, повышение их прозрачности.
- Болезнь Бехтерева. Стойкие изменения суставов, которые проявляются в виде окостенения, отсутствия движений. На рентгенограмме формирование стойких анкилозов, отсутствие суставной щели, костная мозоль в месте сочленения.
- Остеомиелит. Воспалительное заболевание костного мозга, возникающее при попадании инфекции гематогенным путём или в результате травматического повреждения. При этом происходит лизис костной ткани, что на рентгене выглядит как размытость контуров, просветление в центре кости, гипертрофия надкостницы над местом очага поражения. Возможно проведение исследования с контрастированием.
- Онкологические заболевания костей. Доброкачественные или злокачественные опухолевые разрастания внутри костей, метастатические отсевы. Выглядят как патологические очаги (затемнения при «плюс-ткани» и просветления при появлении кист, секвестр, полостей) с размытыми нечёткими контурами, неправильной формы. Артрит

Дисплазия
Так как рентгеновский диагностический метод относится к ионизирующим, его применение имеет некоторые ограничения. Это связано с патогенным воздействием лучей на клетки с образованием свободных радикалов, действующих повреждающее на здоровые ткани.
Основным противопоказанием является беременность. Для защиты здоровых тканей во время проведения диагностики остальные участки тела закрываются свинцовым фартуком, необходимым для снижения общей дозы облучения. Современные аппараты позволяют снизить дозу максимально без потери качества снимка, но развивающийся плод находится рядом с исследуемой областью и существует вероятность формирования мутаций и аномалий развития.
Относительным противопоказанием является детский возраст. Однако, при подозрении на дисплазию именно рентгенография является основным диагностическим методом исследования. Для снижения общей дозы облучения чётко следят за кратностью проведения методики.
При введении контрастного йодсодержащего вещества («Ультравист», «Урографин» и другие) противопоказания значительно расширяются. Нельзя проводить исследование следующим категориям больных:


- с аллергической реакцией на контраст;
- с почечной недостаточностью (так как контраст выводится почками);
- с сердечно-сосудистой недостаточностью в тяжёлой степени;
- с туберкулёзом в активной стадии;
- в крайне тяжёлом состоянии пациента.
Иногда для диагностики патологии сустава используют ультразвуковой метод. Исследования диаметрально противоположные, так как рентгенография помогает выявить костные патологии, тогда как УЗИ — заболевания мягких тканей.
При рентгенографии смотрят анатомическое строение, тогда как УЗИ выявляет функциональный дефицит, например, недостаточное или чрезмерное количество внутрисуставной жидкости. Часто, для наиболее полной картины заболевания, требуется совместное назначение исследований.
Томографическое исследование — относительно новый, в сравнении с обычным рентгеном метод, который намного информативнее. Основным преимуществом рентгена в сравнении с МРТ является его общедоступность, так как аппараты присутствуют в каждой больнице, и дешевизна, так как МРТ стоит намного дороже.

МРТ
Специальной подготовки рентгенография тазобедренных суставов не требует. При проведении диагностики у грудничков требуется присутствие обоих родителей, так как они должны держать малыша в необходимой позиции во время исследования.

Перед рентгенографией пациент обязан снять с себя верхнюю одежду, металлические предметы (бляшка ремня) и прилечь на кушетку. Тяжёлых неходячих больных укладывают санитары.
Рентген тазобедренных суставов проводится в двух проекциях, которые помогают расширить визуализируемую анатомическую область и точно определить объем поражения:
- Передняя проекция. Пациента укладывают на спину, ноги разводят максимально в стороны, что позволяет раскрыть сустав и увеличить площадь диагностики.
- Боковая проекция. Пациент ложится на бок, вытягивает ноги вперёд.
Тщательный контроль дозы облучения ведётся у маленьких детей, так как рентгенографическое исследование может привести к таким неблагоприятным последствиям, как угнетение функции костного мозга. Осложнениями могут стать заболевания: лейкемия, анемия, тромбоцитопения. Начинают исследование с трёхмесячного возраста. Даже на современных аппаратах обследование у детей до трёх лет проводится не чаще, чем 1 раз в 4 месяца.
Взрослые менее восприимчивы к воздействию ионизирующего облучения, к тому же цифровая современная аппаратура максимально снижает облучение.
Для каждого пациента в зависимости от его массы подбирается своя доза. Плёночный аппарат облучает дозой 0,5-0,9 мЗВ, тогда как цифровой — 0,1-0,3 мЗВ. В месяц не рекомендовано больше 10 исследований на цифровом аппарате, проведение регламентируется строгими показаниями. Воспользуйтесь «Полная версия Дозиметра» в конце статьи для получения информации о лучевой нагрузки.

Расшифровывают результаты исследования врачи-рентгенологи. Компьютерная аппаратура выводит изображение на экран и помогает в анализе результатов. При помощи программного обеспечения можно повысить контрастность и чёткость изображения, приблизить его и отдалить, а также измерить плотность участков костной ткани.

Результаты возвращаются лечащему врачу, который направил на исследование. После анализа результатов и сопоставления с клинической картиной назначается или корректируется терапия.
Проводят процедуру в каждом рентгенологическом кабинете больницы: поликлиники, стационара, травмпункта и так далее. Проводится как в плановом, так и в экстренном порядке при наличии травматического повреждения.
В среднем стоимость процедуры — 500-600 рублей на аппарате с рентген-плёнкой и около 1000 рублей на современной цифровой аппаратуре. В государственных больницах стоимость на 30% ниже, чем в частных клиниках и медицинских центрах.
При наличии направления врача и страхового полиса в бюджетных лечебных учреждениях возможно бесплатное проведение процедуры. При необходимости введения контрастного вещества, цена возрастает вдвое.
При подозрении на перелом шейки бедра пожилые пациенты не транспортабельны. Возможен вызов травматолога на дом. Диагноз устанавливается по клиническим признакам.
Рентгенография на дому проводится только в крупных городах частными медицинскими центрами. Специалисты выезжают к пациенту в течение часа с поступления заявки. Стоимость услуги от 5000 рублей.
Рентгенография тазобедренного сустава проводится для исследования состояния костных структур, сустава. Назначает диагностику чаще ортопед, врач-травматолог или ревматолог. Исследование назначается в качестве первичной диагностики, затем для подтверждения диагноза и коррекции тактики терапии могут потребоваться другие диагностические методики: УЗИ, МРТ.

Тазобедренный сустав образован верхней частью бедренной кости и вертлужной впадиной таза. Этот мощный сустав несет на себе основную нагрузку при любой физической активности, обеспечивая нормальную жизнедеятельность. Выполняя ключевую роль в двигательной активности человека, тазобедренный сустав особенно подвержен повреждениям и заболеваниям.
Наиболее точным и информативным инструментальным методом диагностики состояния таза является МРТ. Действие основано на прохождении электромагнитного излучения и радиочастотных волн через организм человека. В результате взаимодействия с протонами, содержащимися в тканях исследуемой области, образуется сигнал, который улавливают датчики аппарата МРТ. Полученная информация преобразуется в послойные изображения, которые дают возможность построения объемной 3D модели суставных частей таза.
Исследование дает информацию о малейших изменениях, происходящих в суставных тканях, позволяет установить точный диагноз уже имеющихся заболеваний. На снимках можно детально рассмотреть и оценить состояние хрящевого покрытия суставных поверхностей, капсулы сустава, связок и сухожилий, мышечного аппарата. Метод выявляет воспалительные, дегенеративные, онкологические процессы, позволяет уточнить диагноз в более чем 95% случаев.
МРТ тазобедренного сустава с контрастом
Для диагностики некоторых групп заболеваний необходимо более детальное изображение патологических структур. В таких случаях по решению врача во время проведения исследования в вену пациента вводится контрастное вещество, основным действующим компонентом которого является металл гадолиний. Обладая парамагнитными свойствами, препараты усиливают сигнал от исследуемых тканей, в результате получается изображение с более высоким разрешением.
Контрастное усиление проводится при подозрении на онкологический процесс, воспалительные заболевания, абсцесс, а также при сосудистых патологиях области таза.
Исследование проводится после выполнения более простых и доступных методов — УЗИ, рентген. МРТ бедра позволяет установить точный диагноз в сложных случаях, определить причину симптомов, не поддающихся лечению, дифференцировать заболевания. Кроме того, МРТ активно используют в хирургии перед оперативным вмешательством. Информация о внутреннем расположении анатомических структур и болезненных очагов необходима для определения этапов и плана операции.

Как правило, МРТ тазобедренного сустава назначают при наличии у пациента следующих патологий:
- длительные боли в тазовой области, причину которых сложно установить при помощи других методов исследования;
- острая боль, возникающая при движении;
- травмы — вывих бедра, ушиб, перелом, разрыв мышц, связок;
- отек околосуставной области, скованность движений, хруст, снижение подвижности;
- врожденные заболевания — дисплазия, вывих тазобедренного сустава, аномалии развития скелета;
- подозрение на онкологический процесс;
- контроль течения хронических ревматических, дегенеративных, воспалительных заболеваний.
При возникновении необычных, болезненных симптомов в тазовой области следует обратиться к врачу или пройти диагностику самостоятельно. МРТ тазобедренного сустава позволяет обнаружить заболевания в начале их развития, что определяет успех лечения.
Какие заболевания выявляет исследование таза
В большинстве случаев после выполнения МРТ можно поставить диагноз с определением стадии патологического процесса. С помощью МРТ бедра выявляют следующие заболевания:
- остеоартроз таза (коксартроз);
- аутоиммунные болезни с вовлечением суставов — системная красная волчанка, системная склеродермия, болезнь Бехтерева, острая ревматическая лихорадка, ревматоидный артрит;
- поражение суставных структур инфекцией — туберкулез, сифилис, лайм-боррелиоз, бруцеллез, гонорея;
- псориатический артрит таза;
- воспалительные заболевания — остеомиелит, артрит, синовит, тендинит, абсцессы;
- асептический некроз головки бедренной кости;
- доброкачественные опухоли — остеома, остеобластома, хондрома;
- злокачественные опухоли — остеосаркома, хондросаркома, синовиальная саркома, саркома Юинга;
- метастазы в тазовой области при раке легкого, молочной, предстательной, щитовидной железы, почки, кишечника;
- травматические повреждения суставной капсулы, гемартроз, травмы костей, мышц, связок, окружающих сустав.
В послеоперационный период, в том числе после эндопротезирования суставной части таза, показан периодический контроль состояния тканей и протеза методом МРТ. Полученные данные важны для формирования прогноза и определения дальнейшей тактики ведения пациента.

Заболевание представляет собой разрушение хрящевого покрытия суставных поверхностей, разрастание костной ткани, снижение функции сустава. На начальных этапах симптомы не сильно беспокоят человека: периодическая слабая боль, особенно после физической нагрузки, хруст при движении. На поздних стадиях тазобедренный сустав претерпевает значительную деформацию, и пациента беспокоит скованность движений, хромота, нарастающие боли. Болезнь приводит к полной утрате функции сустава с установлением инвалидности.
Точная причина возникновения коксартроза не выяснена. Развитию заболевания способствуют следующие факторы:
- изнашивание хряща;
- чрезмерная нагрузка на тазобедренный сустав у спортсменов, военнослужащих;
- травматические повреждения (особенно хронические), избыточная масса тела;
- врожденная предрасположенность — нарушение обменных процессов, слабость связочного аппарата;
- воспалительные заболевания — артрит, синовит;
- остеопороз.
Для коксартроза на МРТ характерно изменение глубины вертлужной впадины, деформация суставной поверхности головки бедренной кости, разрушение хрящевой пластины, остеофиты, синовит, тендиноз, бурсит. В бедренной кости наблюдается отек костного мозга, кистевидные изменения костной ткани. Признаки остеоартроза заметны на снимках МРТ в самом начале развития заболевания, что дает возможность начать терапию и замедлить его прогрессирование.

Заболевание опасно тем, что имеет прогрессирующий характер и необратимые последствия. Предрасполагающими факторами могут быть перенесенные инфекции, токсические вещества, аллергены, в ответ на которые развивается неадекватная реакция организма и формируется аутоиммунное заболевание. Важную роль играет наследственная предрасположенность и гормональные нарушения.
Обострение характеризуется повышением температуры тела, отек и боль в области таза. Характерный симптом — скованность суставов по утрам после пробуждения, частичная или полная обездвиженность. Симптомы всегда симметричны.
У детей встречается ювенильный ревматоидный артрит. Это заболевание имеет благоприятный прогноз, однако у трети пациентов после длительного периода ремиссии наблюдается возвращение болезни.
МРТ тазобедренного сустава обнаруживает заболевание на этапе, когда терапия способна замедлить его прогрессирование и привести к стойкой ремиссии. Характерным признаком на снимках является синовит — воспаление синовиальной оболочки, сопровождающееся накоплением выпота в суставной полости. Далее присоединяется отек костного мозга, деструкция хрящевой ткани суставных поверхностей, воспаление сухожилий.
Заболевание встречается чаще у мужчин среднего возраста. Причина омертвения костной ткани — нарушение питания вследствие тромбоза сосудов, эмболии, сосудистых заболеваний, сдавления капилляров кости, микротравм.

Изначально боли носят нерегулярный характер, начинаются в паховой области, распространяются к колену. Со временем боли усиливаются, тазобедренный сустав теряет подвижность. Очаг некроза распространяется на всю головку бедренной кости, в месте поражения разрастается соединительная ткань, сустав теряет свою функцию, требуется эндопротезирование.
МРТ бедра показывает отек костного мозга, участки некроза под суставным хрящом с образованием серповидной полоски. На третьей-четвертой стадии отмечаются признаки импрессионного перелома, сужение суставной щели, костные разрастания, склероз и кисты в головке бедра. Изменения сустава необратимы — формируется грибовидная форма головки, деформация шейки, сглаживание суставных поверхностей.
Выбирая метод исследования тазовой области, следует обратить внимание на безопасность, информативность и противопоказания.
В основе компьютерной томографии лежит прохождение через тело пациента рентгеновского излучения, что делает невозможным исследование беременных женщин на любом сроке. Кроме того, ионизирующее излучение следует строго дозировать, не превышая годовой лимит. МРТ, ввиду безопасности электромагнитного излучения для человека, можно проводить неограниченное количество раз.
Методику выбирает лечащий врач в зависимости от характера заболевания пациента — рентген наиболее подходит для диагностики травматических повреждений костных структур. Магнитно-резонансная томография более информативна в диагностике патологий мягких тканей — суставной капсулы, связочного аппарата, онкологических заболеваний.

Исследование не усугубляет течение имеющихся хронических заболеваний пациентов, однако подходит далеко не всем. Следует обратить внимание, что процедура МРТ тазобедренного сустава не проводится в следующих случаях:
- имплантированные в тело устройства и водители ритма — кардиостимуляторы, миостимуляторы, нейростимуляторы;
- электронные импланты среднего и внутреннего уха, дозаторы лекарственных средств;
- наличие в организме сосудистых клипс, искусственных клапанов сердца, а также инородных тел и осколков;
- эндопротезы, пластины, штифты из металлов-ферромагнетиков — железо, нержавеющая сталь, никель, кобальт.
Возможность выполнения МРТ бедра при наличии эндопротеза бедренной кости определяется составом импланта. Если в составе протеза преобладает титан, хром, процедуру можно выполнять. Эти металлы являются парамагнетиками — в магнитном поле они не нагреваются и не смещаются. Наличие примесей кобальта, никеля, железа требуют анализа состава, размера и формы протеза, поскольку эти материалы реагируют на магнитное поле, создаваемое томографом.
Современные контрастирующие препараты обычно хорошо переносятся, аллергические реакции встречаются крайне редко. Перед проведением процедуры обязательно выполняется проба с небольшим количеством препарата.
МРТ с контрастом нельзя проводить в следующих случаях:
- тяжелые формы почечной и печеночной недостаточности;
- беременность;
- аллергическая реакция на контрастное вещество, зафиксированная во время прошлых исследований.
Кормящим женщинам можно проводить исследование с контрастными веществами, однако следует прекратить кормление на период двух суток после введения препарата.

Существуют некоторые состояния пациента, которые не являются абсолютными противопоказаниями, но накладывают определенные ограничения на возможность проведения процедуры. К таким состояниям относят:
- первый триместр беременности;
- эпилепсия, клаустрофобия, судорожный синдром, психические заболевания;
- сильные боли, препятствующие неподвижному положению тела;
- тяжелое состояние пациента;
- детям до 7 лет МРТ бедра выполняется под общей анестезией;
- наличие обширных татуировок в области таза может вызвать значительное нагревание кожи.
В случае умеренной клаустрофобии или нервного возбуждения перед выполнением процедуры принимают седативные средства. Во многих центрах исследование проводится на томографах с открытым типом корпуса.
Подготовка к прохождению магнитно-резонансной томографии
Для успешного проведения МРТ тазобедренного сустава не требуется специальной подготовки. Необходимо взять с собой направление врача, а также все медицинские документы и результаты предыдущих инструментальных исследований.
Если МРТ бедра проводится с контрастированием, следует за 6 часов до исследования прекратить прием пищи и жидкости. Врач должен быть уверен в отсутствии почечной недостаточности и беременности пациента, поэтому следует заранее сдать анализ крови на показатели работы почек и получить заключение гинеколога.

Перед тем как перейти к выполнению процедуры, необходимо снять украшения, часы, ремень, одежду, содержащую металлические детали. Клиники предоставляют пациентам одноразовую сменную одежду. Пластиковые карты, электронные устройства, мобильный телефон, металлические предметы оставляют за пределами кабинета.
После подготовки пациент располагается на столе томографа, который перемещается в корпус аппарата. МРТ тазобедренного сустава без контрастирования продолжается 20-30 минут. Введение контрастного препарата происходит после первого сканирования, сразу после этого процедура повторяется.
Во время работы томографа можно услышать необычные звуки, почувствовать тепло в исследуемой области. Корпус томографа оснащен системой вентиляции и освещения. При возникновении дискомфорта можно связаться с врачом через переговорное устройство. В крайнем случае можно остановить исследование.
Результат обследования на томографе
Результат выполнения магнитно-резонансной томографии тазовой области — серия послойных снимков, их описание и заключение врача-рентгенолога. Снимки можно записать на любой носитель (CD, USB-накопитель, пленка, бумага). Сроки готовности результата зависят от клиники — от двух часов до суток.

В заключении врача подробно описывается тазобедренный сустав, окружающие его ткани и область малого таза. В случае обнаружения патологического очага или новообразования дается его характеристика — локализация, размеры, структура, степень выраженности. Данные, полученные при проведении МРТ, использует лечащий врач как основу для постановки точного диагноза.
Если предварительная консультация не проводилась, и пациент прошел исследование самостоятельно, при обнаружении признаков заболеваний следует обратиться к травматологу, ревматологу, неврологу или онкологу, в зависимости от характера патологии.
Выбрать клинико-диагностический центр для прохождения магнитно-резонансной томографии суставов таза можно с помощью нашего сайта. Мы собрали максимально свежую и нужную информацию о десятках клиник, включая низкие цены и скидки на первый прием. По телефону можно совершенно бесплатно проконсультироваться по любым вопросам, связанным с работой клиники и аппаратурой, используемой для сканирования.
Читайте также:
