Клиника кожного лейшманиоза. Описание лейшманиом
Добавил пользователь Евгений Кузнецов Обновлено: 01.01.2026
ГБУ РД "Республиканский кожно-венерологический диспансер", Махачкала
Дагестанская государственная медицинская академия, Махачкала
ФГБОУ ВО «Дагестанский государственный медицинский университет» Минздрава России, Махачкала, Россия, 127994
ГБОУ ВПО «Дагестанская государственная медицинская академия» Минздрава России, Махачкала, Россия, 367000
Случай глубокого бластомикоза кожи
Журнал: Клиническая дерматология и венерология. 2018;17(2): 42‑45
Представлен анализ данных литературы о бластомикозе кожи, а также собственное наблюдение авторов. В обзоре литературы указаны клинические формы бластомикоза (североамериканский, южноамериканский, келоидный, европейский), при этом подробно рассмотрен североамериканский бластомикоз, возбудителем которого является Blastomyces dermatitidis. Отмечен двухфазный характер манифестации данного возбудителя, что позволяет дифференцировать его с другими патогенными грибами. Указан патогномоничный клинический признак болезни Джилкриста — периферический приподнятый ободок синюшно-бордового или фиолетового цвета, на котором видны мелкие желтоватые точки. В работе приведено наблюдение клинического случая бластомикоза североамериканского у мужчины 51 года. Приведенный клинический случай кожной формы бластомикоза должен напомнить дерматологам клинические особенности, методы микробиологической идентификации возбудителя и помочь в дифференциальной диагностике этой редкой патологии кожи.
В доступной нам литературе описание бластомикоза датируется вплоть до 50-х годов. Мы постараемся напомнить дерматовенерологам особенности этого заболевания и представить случай бластомикоза кожи.
Всю группу больных глубокими микозами объединяют способы заражения (воздушно-пылевой, вследствие травмы), клиническое сходство с различными формами хронических пиодермий, гранулематозных поражений (туберкулез, лепра, третичный сифилис), тяжесть течения и резистентность к терапии.
Бластомикоз встречается в различных клинических формах:
а) бластомикоз североамериканский (болезнь Джилкриста, Гилкриста);
б) бластомикоз южноамериканский (паракокцидиоидоз, паракокцидиоидомикоз, бластомикоз бразильский, болезнь Лутца—Сплендоре—Альмейда);
в) бластомикоз келоидный (болезнь Лобо, бластомикоз Лобо, гленоспороз амазонский);
г) бластомикоз европейский (криптококкоз, торулез, болезнь Буссе—Бушке) [1, 2].
Мы напоминаем о североамериканском бластомикозе, возбудителем которого является Blastomyces dermatitidis. Заболевание впервые было описано Gilchrist в 1894 г., а в 1898 г. была выделена культура гриба [3].
Возбудитель бластомикоза существует в двух формах: дрожжевой (при t 37 °C) и мицелиальной (при t 25 °С). В зависимости от температуры инкубации, по данным C. Arthur [3], форма микроорганизма изменяется. Этот двухфазный характер манифестации гриба позволяет дифференцировать его с другими патогенными грибами (Coccidioidеs immitis, Cryptococcus neoformans), которые в культуре растут только в одной форме.
О форме Blastomyces dermatitidis в тканях и культуре встречаются разноречивые мнения. Так, A. Бушке предполагал, что патогенные бластомицеты размножаются в тканях исключительно почкованием. В то же время А.В. Ильина [4] наблюдала обратное: в культуре имелись лишь типичные бластомицетные клетки в виде круглых или овальных форм, размножавшихся почкованием, тогда как в органах зафиксировано развитие мицелия. Процесс кожного бластомикоза существенно отличался от процесса в органах. В дерме быстро нарастала клеточная реакция, воспалительные явления были резко выражены, а грибы существовали только в виде округлых образований, почкующихся форм, иногда отмечали мицелий или мицелий со спорами.
Мицелиальная форма в культуре имеет толщину мицелия 3—5 мкм с круглыми, овальными, грушевидными кондиями, соединенными с мицелием тонкой ножкой. В старых культурах образуются хламидоспоры [1]. При микробиологической диагностике бластомикоза необходимо учитывать, что довольно часто бластомикоз не дает роста культур [5].
Пути инфицирования человека и источник заражения по настоящее время не установлены. Однако чаще инфицируются работники сельского хозяйства. Заболевание развивается на месте и после травмы кожного покрова, возможен и эндогенный путь поражения кожи при первичном заболевании легких (возбудитель попадает в легкие ингаляторно) [1, 6]. Инкубационный период длится от 1 нед до 4 мес [2]. Поражение кожи начинается с папуло-пустул или подкожных узлов красного цвета и умеренной плотности на открытых участках кожи (лицо, кисти), а также голенях и ягодицах. В течение 2—3 мес медленно увеличиваясь в размерах, первичная эффлоресценция превращается в бляшку диаметром 3—6 см и более. Центр ее представляет собой папилломатозные разрастания, усеянные микроабсцессами желтоватого цвета, богато васкуляризованные, не склонные к ороговению. Неправильные, довольно глубокие щели между сосочками заполнены серозно-гнойным отделяемым [1, 2, 6]. Характерной особенностью является периферический приподнятый и четко отграниченный от нормальной кожи ободок синюшно-бордового или фиолетового цвета, на котором видны мелкие желтоватые точки. Они представляют собой внутриэпидермальные или подэпидермальные микроабсцессы, которые просвечивают через еще неповрежденный роговой слой [6]. При проколе выделяется вязкая кровяная или кровянисто-гнойная жидкость.
Дальнейшая эволюция элементов состоит в их росте по периферии, и одновременно с этим в центре уплощаются вегетации: вместо них появляется влажно-красная гранулирующая и постепенно рубцующаяся поверхность (рубцы мягкие и тонкие) [6]. В таком виде очаг может существовать месяцами и годами. В результате развиваются огромные бляшки (с ладонь и более), рубцующиеся в центре и непрерывно растущие по периферии.
Прогноз при кожной форме бластомикоза благоприятный. Общее состояние организма обычно не нарушено. Больные обычно жалуются на ощущение зуда и жжения в бляшках, чувствительность при надавливании на них. При метастазах во внутренние органы, что наблюдается очень редко, появляются слабость, похудание, лихорадка, кахексия с летальным исходом.
Дифференцируют североамериканский бластомикоз от бородавчатого туберкулеза кожи, лейшманиоза, язвенных и нагноительных заболеваний кожи и подкожной клетчатки, других глубоких микозов (кокцидиоидоз, криптококкоз, хромомикоз, гистоплазмоз).
От веррукозного туберкулеза бластомикоз типа Джилкриста отличается множественностью очагов и наличием изолированных желтоватых микроабсцессов на синюшно-багровом периферическом венчике (последний критерий позволяет исключить и другие глубокие микозы) [6].
Для лейшманиоза кожи, в отличие от бластомикоза, характерно наличие тяжей воспаленных лимфатических сосудов тестоватой консистенции с «четками» вторичных лейшманиом [1]. Точкой опоры служит пребывание в странах эндемичного распространения лейшманиоза и исследование мазков с идентификацией типичных возбудителей лейшмании.
В то же время не нужно отождествлять идентичную бластомикозу клинику с кокцидиоидозом sui generis. Так как 10-летнее изучение этих случаев кокцидиоидоза Т.Г. Сутеевым и соавт. [7] в нашей стране позволило им сделать обоснованный вывод: во всех случаях заболевания, обозначенного как кокцидиоидоз sui generis, Coccidioides immitis не является возбудителем воспалительного процесса в коже. Все эти случаи следует обозначать как гнойный гидраденит. Необходимо учитывать, что возбудитель кокцидиоидоза Coccidioides immitis распространен лишь в эндемичных зонах: в пустынных районах США (Калифорния, Аризона, Техас), в Аргентине, Мексике, Парагвае, странах Африки [1].
В диагностике бластомикоза учитывают клиническую картину, обнаружение возбудителя в мазке и культуре [1].
Для лечения бластомикоза используют амфотерицин В, низорал, орунгал, нистатин, этилйодид; местно — фунгицидные средства; иногда — хирургическое иссечение очагов [1].
Клинический случай
Пациент в возрасте 51 года поступил в кожную клинику ГБУ Републики Дагестан РКВД с жалобами на распространенный очаг поражения и болезненность при надавливании на ягодичную область.
Из анамнеза стало известно, что мужчина болен более 10 лет. Из-за локализации эффлоресценций в интимном месте к врачам не обращался. Лечился самостоятельно, процесс прогрессировал по периферии. В последние годы периодически отмечает общую слабость, недомогание.
Объективно: состояние удовлетворительное. Пациент правильного телосложения, удовлетворительного питания. На коже ягодичной области (cлева и справа) резко выраженный инфильтрат с массивными вегетациями и корочками размером 10×15 см с каждой стороны (рис. 1). Рис. 1. Мощный инфильтрат с вегетациями в области ягодиц. При давлении в положении сидя отмечается болезненность в этой области. В центре выявлены мягкие папилломатозные разрастания с глубокими щелями между сосочками, которые наполнены серозно-гнойным отделяемым (рис. 2). Рис. 2. Папилломатозные разрастания с серозно-гнойным отделяемым из межсосочковых щелей. По периферии очага расположен фиолетовый ободок с мелкими желтыми точками (микроабсцессы). Такие же изолированные элементы наблюдаются и на некоторых сосочках (рис. 3). Рис. 3. Микроабсцессы желтого цвета по периферии и на сосочках очага. За исключением центральной части, вся поверхность бляшки покрыта мягкими тонкими рубцами (рис. 4). Рис. 4. Мягкие тонкие рубцы на поверхности бляшки. Проведена дифференциальная диагностика со следующими заболеваниями — хроническая язвенная пиодермия, глубокие микозы (кокцидиоидоз, бластомикоз), веррукозный туберкулез кожи.
Лабораторные данные. В общем анализе крови — гемоглобин 106 г/л, эритроциты 3,7·10 12 /л, лейкоциты 8,9·10 9 /л (палочкоядерные 0%, сегментоядерные 53%), эозинофилы 3%, базофилы 0%, лимфоциты 39%, моноциты 5%. Общий анализ мочи в пределах нормы. Биохимический анализ крови: глюкоза 5,7 ммоль/л, аланинаминотрансфераза и аспартатаминотрансфераза в норме, тимоловая проба 2,0 ЕД, билирубин общий 8,55 мкммоль/л.
Из отделяемого очага поражения кожи ягодичной области приготовлен препарат, окрашенный по Граму (рис. 5). Рис. 5. Нити мицелия (1) в препарате, приготовленном из отделяемого очага поражения и окрашенном по Граму. В препарате видны нити мицелия, дрожжевые клетки отсутствуют. Проведен также посев гнойного отделяемого на агар Сабуро, который инкубирован при температуре 37 °C. В нем дали рост колонии, которые представляют собой мицелий с круглыми и овальными кондиями на конце нитей. В этой же культуре встречаются единичные дрожжевые формы гриба (рис. 6). Рис. 6. Мицелий (1) с кондиями на конце (2) и дрожжевая клетка (3).
Рентгенография грудной клетки без особенностей. На основании клиники, лабораторных данных и анамнеза был поставлен диагноз бластомикоз кожи (болезнь Джилкриста). Больному проведена терапия, которая еще в стационаре вызвала положительную динамику: аутогемотерапия (№ 8), карсил по 0,35 г 3 раза в день (№ 45), аевит по 1 капсуле 1 раз день (№ 15), доксициклин по 1 капсуле (0,1 г) 2 раза в день (№ 20), нистатин по 0,5 (1 таблетка) 3 раза в день (№ 30), тербинафин по 250 мг 2 раза в день (№ 20), диазолин по 1 таблетке 2 раза в день; местно — смазывание элементов раствором фукорцина.

На фоне лечения выступающие участки несколько запали, отделяемое сохраняется (рис. 7). Рис. 7. Очаг поражения на фоне лечения. Пациент выписан под наблюдение районного дерматолога, на длительный период назначен ламизил по 1 таблетке ежедневно.
В представленном нами случае американского бластомикоза кожи надо отметить, что и в соскобе, и в посеве на агар Сабуро (инкубация при t 37 °C с выделением чистой культуры возбудителя) идентифицирован именно мицелий гриба, а не его дрожжеподобная форма.
Описание подобного наблюдения глубокого микоза — это казуистически редкое явление, которое должно наглядно продемонстрировать дерматовенерологам, врачам общей практики и инфекционистам клинические особенности, методы микробиологической идентификации возбудителя, с целью помочь в дифференциальной диагностике этой редкой патологии кожи.
Лейшманиозы
Лейшманиоз представляет собой протозойную инфекцию с трансмиссивным механизмом распространения, характеризующуюся поражением кожных покровов или внутренних органов внутриклеточными паразитами - лейшманиями. Лейшманиозы подразделяют на висциральные, протекающие с поражением легких, печени, селезенки, сердца, и кожные, проявляющиеся трансформирующимися в очаги изъязвления папулами. Диагностика лейшманиоза осуществляется путем выявления лейшманий в крови пациента (при висцеральной форме) или в отделяемом кожных элементов (при кожной форме).
Общие сведения
Лейшманиоз представляет собой протозойную инфекцию с трансмиссивным механизмом распространения, характеризующуюся поражением кожных покровов или внутренних органов внутриклеточными паразитами - лейшманиями.
Характеристика возбудителя
Лейшманиоз вызываются семнадцатью из более чем двадцати видов простейших паразитов рода Leishmania. Лейшмании развиваются внутри клеток хозяина (преимущественно в макрофагах и элементах ретикулоэндотелиальной системы). В течение своего жизненного цикла им необходимо сменить двух хозяев. В организме позвоночных животных лейшмании находятся в безжгутиковой форме, развиваясь в жгутиковую форму в теле членистоногого. Лейшмании отличаются резистентностью к антибиотикам, и чувствительны к препаратам пятивалентной сурьмы.
Подавляющее большинство лейшманиозов - зоонозы (резервуаром и источником инфекции являются животные), только два вида - антропонозы. Виды животных, участвующих в распространении лейшманиоза, довольно ограничены, поэтому инфекция является природно-очаговой, распространяется в пределах обитания соответствующей фауны: грызунов песчаниковых видов, псовых (лисы, собаки, шакалы), а также переносчиков - москитов. Преимущественно очаги лейшманиоза располагаются в странах Африки и Южной Америки. Большинство из них - развивающиеся, среди 69 стран, где распространен лейшманиоз, 13 являются беднейшими странами мира.
Человек является источником инфекции в случае поражения кожной формой лейшмании, при этом москиты получают возбудителя с отделяемым кожных язв. Висцеральная лейшмания в подавляющем большинстве случаев является зоонозной, москиты заражаются от больных животных. Заразность москитов отсчитывается с пятого дня попадания лейшманий в желудок насекомого и сохраняется пожизненно. Человек и животные контагиозны в течение всего срока пребывания возбудителя в организме.
Лейшманиоз передается исключительно с помощью трансмиссивного механизма, переносчики - москиты, получают инфекцию, питаясь кровью больных животных, и переносят здоровым особям и людям. Человек обладает высокой восприимчивостью к инфекции, после перенесения кожного лейшманиоза сохраняется продолжительный стойкий иммунитет, висцеральная форма такового не формирует.
Патогенез
Возбудитель проникает в толщу кожи человека при укусе москита, формируя в области входных ворот лейшманиозную гранулему. Впоследствии, при висцеральной форме инфекции гранулема рассасывается, а при кожной - прогрессирует в язву. Лейшмании разносятся по организму с током лимфы, поражая регионарные лимфатические узлы. Вдоль лимфатического сосуда паразиты могут формировать лейшманиомы - ряд последовательно располагающихся специфических язв.
В Южной Америке отмечаются формы лейшмании, протекающие с поражением слизистых оболочек ротовой полости, носоглотки и верхних дыхательных путей с грубой деформацией глубоких тканей и развитием полипозных образований. Висцеральная форма лейшманиоза развивается в результате рассеивания возбудителя по организму и попадания в печень, селезенку, костный мозг. Реже - в кишечную стенку, легкие, почки и надпочечники.
Возникающий иммунный ответ подавляет инфекцию, при этом заболевание протекает латентно, либо с маловыраженной симптоматикой. При иммунодефиците, сниженных защитных свойствах лейшманиоз прогрессирует, протекает с выраженной клиникой интоксикационного синдрома, лихорадкой. Размножение паразитов в печени способствуют замещению гепатоцитов фиброзной тканью, в селезенке отмечают атрофию пульпы с участками инфарктов и некротизации. Вследствие поражения костного мозга развивается анемия. В целом висцеральный лейшманиоз, прогрессируя, вызывает общую кахексию.
Классификация
Лейшманиозы подразделяются на висцеральные и кожные формы, каждая форма, в свою очередь, разделяется на антропонозы и зоонозы (в зависимости от резервуара инфекции). Висцеральные зоонозные лейшманиозы: детский кала-азар (средиземноморско-среднеазиатский), лихорадка дум-дум (распространена в восточной Африке), носоглоточный лейшманиоз (кожно-слизистый, лейшманиоз Нового Света).
Индийский кала-азар является висцеральным антропонозом. Кожные формы лейшманиоза представлены болезнью Боровского (городской антропонозный тип и сельский зооноз), пендинской, ашхабадской язвами, багдадским фурункулом, эфиопским кожным лейшманиозом.
Симптомы лейшманиоза
Висцеральный средиземноморско-азиатский лейшманиоз
Инкубационный период этой формы лейшманиоза составляет от 20 дней до нескольких (3-5) месяцев. Иногда (довольно редко) затягивается до года. У детей раннего возраста в этот период может отмечаться первичная папула в месте внедрения возбудителя (у взрослых встречается в редких случаях). Инфекция протекает в острой, подострой и хронической формах. Острая форма обычно отмечается у детей, характеризуется бурным течением и без должной медицинской помощи заканчивается летально.
Чаще всего встречается подострая форма заболевания. В начальном периоде отмечается постепенное нарастание общей слабости, разбитости, повышенной утомляемости. Отмечается снижение аппетита, побледнение кожи. В этом периоде при пальпации можно выявить некоторое увеличение размеров селезенки. Температура тела может подниматься до субфебрильных цифр.
Подъем температуры до высоких значений говорит о вступлении заболевания в период разгара. Лихорадка имеет неправильный или волнообразный характер, продолжается в течение нескольких дней. Приступы лихорадки могут сменяться периодами нормализации температуры или снижения до субфебрильных значений. Такое течение обычно продолжается 2-3 месяца. Лимфатические узлы увеличены, отмечается гепато- и, в особенности, спленомегалия. Печень и селезенка при пальпации умеренно болезненны. При развитии бронхоаденита отмечается кашель. При такой форме нередко присоединяется вторичная инфекция дыхательной системы и развивается пневмония.
С прогрессированием заболевания отмечается усугубление тяжести состояния больного, развивается кахексия, анемия, геморрагический синдром. На слизистых оболочках ротовой полости возникают некротизированные участки. Ввиду значительного увеличения селезенки происходит смещение сердца вправо, тоны его глухие, ритм сокращений ускорен. Отмечается склонность к падению периферического артериального давления. С прогрессированием инфекции формируется сердечная недостаточность. В терминальном периоде больные кахексичны, кожные покровы бледные и истонченные, отмечаются отеки, выражена анемия.
Хронический лейшманиоз протекает латентно, либо с незначительной симптоматикой. Антропонозный висцеральный лейшманиоз может сопровождаться (в 10% случаев) появлением на коже лейшманоидов - мелких папиллом, узелков или пятен (иногда просто участки со сниженной пигментацией), содержащих возбудителя. Лейшманоиды могут существовать годами и десятилетиями.
Кожный зоонозный лейшманиоз (болезнь Боровского)
Распространен в тропическом и субтропическом климате. Инкубационный период его составляет 10-20 дней, может сокращаться до недели и удлиняться до полутора месяцев. В области внедрения возбудителя при этой форме инфекции обычно формируется первичная лейшманиома, первоначально имеющая вид розовой гладкой папулы около 2-3 см в диаметре, в дальнейшем прогрессирующей в безболезненный или малоболезненный при надавливании фурункул. Спустя 1-2 недели в лейшманиоме формируется некротический очаг, и вскоре образуется безболезненное изъязвление с подрытыми краями, окруженное валиком инфильтрированной кожи с обильным отделяемым серозно-гнойного или геморрагического характера.
Вокруг первичной лейшманиомы развиваются вторичные «бугорки обсеменения», прогрессирующие в новые язвы и сливающиеся в единое изъязвленное поле (последовательная лейшманиома). Обычно лейшманиомы появляются на открытых участках кожных покровов, их количество может колебаться от единичной язвы до десятков. Нередко лейшманиомы сопровождаются увеличением регионарных лимфоузлов и лимфангитом (обычно безболезненным). Спустя 2-6 месяцев язвы заживают, оставляя рубцы. В целом заболевание, как правило, длиться около полугода.
Диффузно-инфильтрирующий лейшманиоз
Отличается значительной распространенной инфильтрацией кожи. Со временем инфильтрат регрессирует, не оставляя последствий. В исключительных случаях отмечаются мелкие язвы, заживающие без заметных рубцов. Такая форма лейшманиоза достаточно редка, обычно отмечается у пожилых лиц.
Туберкулоидный кожный лейшманиоз
Наблюдается в основном у детей и молодых людей. При этой форме вокруг послеязвенных рубцов или на них появляются мелкие бугорки, могущие увеличиваться в размерах и сливаться друг с другом. Изъязвляются такие бугорки редко. Язвы при этой форме инфекции оставляют значительные рубцы.
Антропонозная форма кожного лейшманиоза
Характеризуется продолжительным инкубационным периодом, который может достигать нескольких месяцев и лет, а также медленным развитием и умеренной интенсивностью кожных поражений.
Осложнения лейшманиоза
Длительно протекающий лейшманиоз прогрессирует с развитием пневмонии, нефритов, агранулоцитоза, геморрагического диатеза, а также может осложняться гнойно-некротическими воспалениями.
Диагностика лейшманиоза
Общий анализ крови при лейшманиозе показывает признаки гипохромной анемии, нейтропении и анэозинофилии при относительном лимфоцитозе, а также пониженную концентрацию тромбоцитов. СОЭ повышена. Биохимический анализ крови может показать гипергаммаглобулинемию. Выделение возбудителя кожного лейшманиоза возможно из бугорков и язв, при висцеральном - лейшмании обнаруживаются в посеве крови на стерильность. При необходимости для выделения возбудителя производят биопсию лимфоузлов, селезенки, печени.
В качестве специфической диагностики осуществляют микроскопическое исследование, бакпосев на питательной среде NNN, биопробы на лабораторных животных. Серологическая диагностика лейшманиоза проводится с применением РСК, ИФА, РНИФ, РЛА. В периоде реконвалесценции отмечается позитивная реакция Монтенегро (кожная проба с лейшманином). Производится при эпидемиологических исследованиях.
Лечение лейшманиоза
Этиологическое лечение лейшманиоза заключается в применении препаратов пятивалентной сурьмы. При висцеральной форме их назначают внутривенно с нарастанием дозировки на 7-10 дней. В случае недостаточной эффективности терапию дополняют амфотерицином В, вводимым с 5% раствором глюкозы внутривенно медленно. На ранних стадиях кожного лейшманиоза бугорки обкалывают мономицином, сульфатом берберина или уротропином, а также назначают эти препараты в виде мазей и примочек.
Сформировавшиеся язвы являются показанием к назначению мирамистина внутримышечно. Для ускорения заживления язв эффективна лазерная терапия. Препаратами резерва при лейшманиозе являются амфотерицин В и пентамидин, их назначают в случаях рецидивирования инфекции и при резистентности лейшманий к традиционным средствам. Для повышения эффективности терапии можно добавить человеческий рекомбинантный гаммаинтерферон. В некоторых случаях бывает необходимо хирургическое удаление селезенки.
Прогноз и профилактика лейшманиоза
При легко протекающем лейшманиозе возможно самостоятельное выздоровление. Благоприятен прогноз при своевременном выявлении и должных медицинских мерах. Тяжелые формы, инфицирование лиц с ослабленными защитными свойствами, отсутствие лечения значительно ухудшают прогноз. Кожные проявления лейшманиоза оставляют косметические дефекты.
Профилактика лейшманиоза включает меры по благоустройству населенных пунктов, ликвидацию мест расселения москитов (свалок и пустырей, затопленных подвальных помещений), дезинсекцию жилых помещений. Индивидуальная профилактика заключается в использовании репеллентов, других средств защиты от укусов москитов. При обнаружении больного производят химиопрофилактику пириметамином в коллективе. Специфическая иммунная профилактика (вакцинация) производится лицам, планирующим посещение эпидемически опасных районов, а также неимунному населению очагов инфекции.
Кожный лейшманиоз ( Болезнь Боровского )
Кожный лейшманиоз - это инфекционная болезнь, вызываемая простейшими и сопровождающаяся поражением кожных покровов, реже слизистых оболочек. Характерным признаком являются язвы на месте внедрения возбудителя. Температурная реакция организма варьируется в широких пределах, другие признаки заболевания выявляются очень редко. Диагностика базируется на обнаружении возбудителя и антител к нему. Лечение проводится с помощью этиотропных препаратов и симптоматических мероприятий. В некоторых случаях необходимо хирургическое вмешательство, криодеструкция или лазеротерапия.
МКБ-10
Кожный лейшманиоз (болезнь Боровского) представляет собой инфекцию, передающуюся преимущественно трансмиссивным путем. Эта болезнь известна с древности, впервые была описана английским врачом Пококом в 1745 году. Более полную клиническую характеристику нозологии дал русский хирург Боровский в 1898 году. Сам возбудитель - лейшмания - обязан своим названием английскому патологу Лейшману, который в 1903 году описал этого простейшего практически параллельно с итальянским исследователем Донованом. Патология распространена в тропических странах, сезонность связана с активностью переносчиков - с мая по ноябрь.
Причины
Возбудитель инфекции - паразит Leishmania, относящийся к простейшим. Самыми распространенными видами являются L. tropica, L. major, L. aethiopica, L. infantum, L. mexicana, L. amazonensis, L. braziliensis. Резервуарами паразитов в природе служат москиты, енотовидные собаки, ленивцы, грызуны, лисы и дикобразы. Основным способом заражения является трансмиссивный путь, реализуемый с помощью переносчиков - москитов, реже песчаных мух.
Микроорганизм нуждается в смене двух хозяев для размножения, при этом безжгутиковая фаза развития проходит в организме людей либо животных, а жгутиковая - в пищеварительном тракте самки москита. При укусе переносчик срыгивает в ранку лейшманий, которые внедряются в толщу кожи. Другие пути инфицирования (вертикальный, при гемотрансфузиях и оперативных вмешательствах) встречаются редко. Группами риска по кожному лейшманиозу являются дети, сельские жители, путешественники, ВИЧ-инфицированные лица и онкологические больные. Чаще всего заболевают молодые мужчины и пожилые женщины.
После проникновения в толщу дермы лейшмании поглощаются макрофагами, внутри которых могут размножаться. Для контроля репликации возбудителя в организме CD8 + Т-лимфоциты в большом количестве продуцируют фактор некроза опухоли и интерферон гамма, с помощью которых пораженные клетки кожи и макрофаги начинают индуцировать производство собственных микробицидных эффекторов, способных уничтожать лейшманий. CD8 + -лимфоциты играют значительную роль в патогенезе болезни - они активно уничтожают пораженные клетки, но не действуют на самих внутриклеточных паразитов.
Роль В-лимфоцитов изучается; ряд исследований показали возможность длительной персистенции заболевания из-за стимуляции В-лимфоцитами CD4 + -клеток и возникновения избыточной продукции как провоспалительных, так и регуляторных цитокинов. При гистологическом исследовании обнаруживаются воспалительные инфильтраты переменной интенсивности с диффузным или очаговым распределением, характеризующиеся преобладанием лимфоцитов, гистиоцитов и плазматических клеток с зонами спонгиоза, паракератоза и псевдоэпителиоматозной гиперплазии. В области поражения определяются язвы, очаговая зона некроза и хорошо организованные гранулемы.
Кожный лейшманиоз может быть распространенным (диффузным) либо локализованным. Реже встречается кожно-слизистая форма болезни (эспундия), при которой происходит поражение слизистых оболочек рта и носоглотки. В отдельных случаях в процесс вовлекаются дыхательные пути, в частности - гортань. При этом варианте течения возникает обезображивание и деформация лица, возможна гибель от дыхательной недостаточности. Сохраняется деление болезни на городской и сельский лейшманиоз - считается, что при первом типе течение язвенного процесса медленнее, чем при втором, а заражение происходит из-за больных собак и грызунов соответственно.
Симптомы кожного лейшманиоза
Инкубационный период городской формы патологии длится от 10 суток до года, чаще - 3-5 месяцев; для сельского варианта время инкубации может сокращаться до 1-8 недель. Начало болезни постепенное, с лихорадкой до 38°C. Острый дебют характерен для маленьких детей и ВИЧ-позитивных пациентов, часто приводит к кожно-висцеральному поражению и гибели. На месте укуса москита появляется бурого цвета бугорок, который постепенно вырастает до 2-х и более сантиметров, покрывается мелкими чешуйками (лейшманиома). Затем образование продолжает свой рост и через полгода изъязвляется с появлением характерного слизисто-гнойного отделяемого. Заживление язвы завершается образованием рубца.
Сельская форма болезни протекает гораздо быстрее и агрессивнее: лейшманиомы практически сразу переходят в язвенную стадию с формированием дочерних бугорков, через 2-4 месяца дно язвы начинает напоминать рыбью икру и центробежно заживать с появлением рубцового дефекта. Лимфатические сосуды воспаляются, пальпируются в виде твердых узлов-бусин, часть из которых вскрывается. После перенесенного городского кожного варианта в редких случаях отмечается хроническое течение процесса с образованием небольших бугорков около рубца, которые не изъязвляются и могут персистировать всю жизнь человека.
Осложнения
Наиболее частыми осложнениями несвоевременно диагностированного кожного лейшманиоза являются участки гиперпигментации и рубцы на месте лейшманиом. Помимо косметического дефекта рубцовые изменения могут приводить к инвалидности (особенно при расположении на слизистых). Реже встречаются кровотечения, вызванные расплавлением сосуда на дне язвы, и вторичные гнойные процессы. При длительном течении, обширном поражении, коморбидной патологии возможно формирование хронической венозной недостаточности, лимфостаза и рецидивирующей рожи. При вовлечении надгортанника может наблюдаться ложный круп.
Диагностика
Диагноз кожной формы лейшманиоза верифицируется инфекционистом, по показаниям назначаются консультации других специалистов. Обязательным является тщательный сбор эпидемиологического анамнеза на предмет пребывания в тропических зонах. В ходе диагностического поиска применяются следующие инструментальные и лабораторные методики:
- Физикальное исследование. Поражение кожи при лейшманиозе визуализируется как язвенный дефект с приподнятыми краями, краевыми «карманами» и гнойно-серозным отделяемым. Дно образования может быть зернистым, форма - неправильная. Иногда видны дочерние папулы. Пальпируются воспаленные лимфатические сосуды в форме плотных узловатых тяжей. Регионарные лимфоузлы увеличиваются редко.
- Лабораторные исследования. В общеклиническом анализе крови маркеры кожного лейшманиоза отсутствуют. При присоединении вторичной инфекции возможен лейкоцитоз, при переходе в висцеральную форму - анемия, тромбоцитопения. Биохимические показатели обычно находятся в пределах нормы. Изменения в общем анализе мочи нехарактерны.
- Выявление инфекционных агентов. ПЦР-исследование отпечатков кожных язв и гистологических материалов папул позволяет обнаружить лейшманий. Для определения возбудителя проводится микроскопия, посев биологических препаратов, биопробы. ИФА крови свидетельствует о наличии антител к возбудителю. Внутрикожная проба Монтенегро является косвенным методом подтверждения диагноза, используется в период выздоровления.
- Инструментальные методики. Рентгенография или КТ органов грудной клетки показана пациентам с подозрением на туберкулезное поражение. УЗИ лимфатических сосудов и узлов выполняется с целью дифференциальной диагностики, сонография мягких тканей рекомендована при выраженном отеке. УЗИ органов брюшной полости необходимо при подозрении на сочетание с висцеральной формой болезни.
Дифференциальную диагностику кожного лейшманиоза проводят с сибирской язвой, дермальной формой чумы, туберкулеза и туляремии. Эти заболевания имеют проявления в виде язвенных дефектов: болезненные (чума), с некротическими зонами (сибиреязвенные), шелушащимися краями (туляремия). Сифилитический шанкр обычно располагается на половых органах и слизистых, безболезненный, твердый. Псориатические бляшки представляют собой участки воспаленной кожи с серебристым шелушением. Системная красная волчанка классически манифестирует в виде макулопапулезной «бабочки» на лице, реже в виде красных дисков с шелушением.
Лечение кожного лейшманиоза
Пациенты с кожными формами болезни не нуждаются в стационарном лечении. Постельный режим показан при выраженной лихорадке, болевом синдроме и гнойных осложнениях. Специальная диета не разработана, из-за возможных лекарственных побочных эффектов рекомендуется отказаться от приема алкоголя, наркотических средств и никотина, исключить на время лечения трудноперевариваемую пищу (жирное, жареное, маринады). Показана местная антисептическая обработка язв, полоскание рта и промывание носовых ходов при расположении очагов на слизистых, применение стерильных повязок с ежедневной сменой.
Специфическое антипротозойное лечение осуществляется с учетом вида возбудителя преимущественно препаратами пятивалентной сурьмы (натрия стибоглюконата). Возможно использование милтефозина, пентакарината, липосомального амфотерицина В. Системное применение этих средств сопряжено с риском развития побочных эффектов, поэтому в настоящее время ведется изучение местных медикаментов (кремы, мази) в качестве дополнения к основной терапии. Симптоматическое лечение подразумевает прием жаропонижающих, обезболивающих, дезинтоксикационных и других препаратов. При резистентности лейшманиоза проводится спленэктомия.
Местное лечение лейшманиозных кожных язв неразрывно связано с тепловым воздействием, поскольку возбудители крайне чувствительны к высоким температурам. Среди подобных методов терапии распространена радиочастотная, преимущество которой заключается в отсутствии повреждения здоровой кожи в процессе применения. Используется фотодинамическая и прямая электрическая терапия, инфракрасная стимуляция, лазеролечение. Существуют описания единичных случаев полного излечения от кожного лейшманиоза с помощью местных методик как монотерапии нозологии у ВИЧ-позитивных и иных иммуносупрессивных пациентов.
Прогноз и профилактика
Прогноз при кожном лейшманиозе при отсутствии осложнений обычно благоприятный. До 85% случаев болезни заканчиваются выздоровлением; для заболевания характерно циклическое течение и естественная реконвалесценция. Летальных случаев лейшманиоза данного вида не зафиксировано. Среди ВИЧ-инфицированных и других лиц с иммунным дефицитом даже слабопатогенные штаммы лейшманий могут вызывать висцеральную патологию. Продолжительность неосложненного сельского типа лейшманиоза кожи составляет не более 3-6 месяцев, городского - до 2 лет. Лечение продолжается в течение 20-30 дней, допускается проведение терапии сроком до двух месяцев.
Специфическая профилактика показана всем выезжающим в эндемичные зоны, рекомендуется проводить вакцинацию в зимне-осенний сезон и не позднее 3-х месяцев до планируемой поездки. Главным средством неспецифической профилактики является борьба с переносчиками: осушение подвалов и овощехранилищ, инсектицидная обработка, использование репеллентов. Важна своевременная диагностика, изоляция и лечение больных, установка в палатах противомоскитных сеток. Рекомендуется плановая вакцинация домашних собак, борьба с городскими свалками, дератизация и отстрел больных диких животных.
1. Борьба с лейшманиозом. Доклад на заседании комитета экспертов ВОЗ по борьбе с лейшманиозом/ Серия технических докладов ВОЗ №949 - 2010.
3. Cutaneous Manifestations of Human and Murine Leishmaniasis / Breanna M. Scorza, Edgar M. Carvalho, Mary E. Wilson / International Journal Molecular Sciences - 2017 - №18.
4. Diagnosis, Treatment and Clinical Features of Cutaneous Leishmaniasis in Saudi Arabia / Yousry A. Hawash, Khadiga A. Ismail, Maha M. Abdel-Wahab, Mahmoud Khalifa // The Korean Journal of Parasitology.
Висцеральный лейшманиоз ( Кала-азар , Лихорадка дум-дум , Черная лихорадка )
Висцеральный лейшманиоз - это хроническое инфекционное протозойное заболевание с поражением печени и селезенки, развитием анемии и кахексии. Другими симптомами являются лихорадка, увеличение лимфоузлов, кожные проявления. Диагностика включает выявление возбудителя из крови и биоптатов внутренних органов, реже путем биопроб на грызунах, поиск антител к возбудителю. Лечение состоит из курса этиотропных препаратов (преимущественно пятивалентной сурьмы) и коррекции органных дисфункций в качестве симптоматической терапии. В некоторых случаях показаны гемотрансфузии.
Висцеральный лейшманиоз (лихорадка дум-дум, кала-азар, черная лихорадка) принадлежит к трансмиссивным инфекциям, вызываемым простейшими. В 1903 году английский патолог Лейшман совместно с итальянским ученым Донованом описал морфологию органных поражений и выделил возбудителя. В честь исследователей инфекционный агент получил своё название Leishmania donovani. Болезнь наиболее распространена в тропических и субтропических странах, сезонный рост заболеваемости зависит от особенностей жизненного цикла переносчика и приходится на период с мая по ноябрь.
Возбудитель инфекции - простейший паразитический микроорганизм лейшмания. Источниками и резервуарами инфекции служат теплокровные дикие и домашние животные (грызуны, ленивцы, лисы, собаки), люди. Путь инфицирования преимущественно трансмиссивный, переносчики - самки москитов рода Phlebotomus. Имеются данные о единичных случаях заражения при переливаниях крови, передачи лейшманий от матери плоду, при использовании нестерильного медицинского инструментария и игл во время внутривенного введения наркотических средств.
В своем развитии лейшманиям необходимо пройти две стадии: безжгутиковую и жгутиковую в организме человека либо животного и переносчика соответственно. Амастиготы обитают внутри клеток, лишены способности к перемещению, промастиготы имеют жгутики для активных движений в пространстве. Находясь внутри самки москита, лейшмании активно размножаются в пищеварительном канале насекомого, после чего перемещаются к хоботку. Наиболее подвержены заражению дети до 5 лет, молодые мужчины, сельскохозяйственные работники, туристы, пациенты с ВИЧ-инфекцией, онкопатологиями.
В месте укуса переносчика формируется первичный аффект в виде гранулемы, которая состоит из макрофагов с размножающимися внутри лейшманиями, ретикулоцитов, эпителиоцитов и гигантских клеток. Через некоторое время гранулема подвергается обратному развитию, реже рубцеванию, а находящиеся в макрофагах возбудители с током лимфы и крови попадают во внутренние органы. При нормальном состоянии иммунной системы происходит разрушение пораженных клеток. В случае иммунодефицита лейшмании размножаются с увеличенной скоростью, поражают паренхиматозные органы.
Это приводит к возникновению воспалительных изменений, активному фиброзированию и увеличению размеров органов. В печеночной ткани при патогистологическом исследовании обнаруживаются участки интерлобулярного фиброза и дистрофия гепатоцитов, в лимфатических узлах - дистрофические изменения зародышевого центра и аплазия костного мозга, в селезенке - атрофия пульпы, зоны инфарктов, некроза и геморрагических инфильтратов. При длительном течении висцерального лейшманиоза возникает амилоидоз внутренних органов.
Разделение висцерального лейшманиоза на сельский и городской виды подразумевает разные источники инфекции (домашние и дикие животные), а также тяжесть течения патологии - считается, что при городском типе болезнь протекает доброкачественнее. Выделяют острый, подострый и хронический варианты органного лейшманиоза. Наиболее благоприятным течением отличается хроническая форма, острый тип данной протозойной инфекции чаще всего встречается у детей, характеризуется бурным развитием симптомов и нередкими летальными исходами. Для подострого варианта типично наличие осложнений.
Симптомы висцерального лейшманиоза
Инкубационный период составляет от 20 дней до 1 года, чаще 3-5 месяцев. Для манифестации болезни характерно постепенное начало, появление кожной папулы бледно-розового цвета на месте внедрения возбудителя, сменяющейся участком депигментации (лейшманоид). Отмечается слабость, беспричинная усталость, снижение аппетита, похудание. В дальнейшем присоединяется лихорадка до 39-40° C, которая протекает с чередованием высокой и нормальной температуры тела на продолжении нескольких месяцев.
Наблюдается безболезненное увеличение всех групп лимфатических узлов, изменение их консистенции до плотно-эластической. Пациенты с висцеральным лейшманиозом почти всегда отмечают тяжесть и дискомфорт в подреберьях. При прогрессировании болезни наблюдается гепатоспленомегалия с появлением отеков и увеличением живота. Снижается количество выделяемой мочи. В связи с развитием гиперспленизма и поражения костного мозга возникают кровотечения. Обнаруживается одышка, язвенно-некротические поражения ротовой полости, бледность кожи, нарушения дефекации.
Наиболее частые осложнения (тромбогеморрагический синдром, гранулоцитопения, агранулоцитоз) связаны с поражением кроветворной системы, следствием чего является некроз миндалин, слизистой рта и десен (нома). Отечно-асцитический синдром при висцеральном лейшманиозе возникает из-за вовлечения печени, сопровождается хронической сердечной недостаточностью, нарушениями в работе ЖКТ (энтероколитом), нефритом, снижением либидо, олиго- и аменореей. Характерны случаи бактериальной пневмонии ввиду высокого стояния диафрагмы и снижения дыхательной емкости легких. К редким осложнениям относят разрывы селезенки, геморрагический шок, ДВС-синдром.
Определение висцеральной формы лейшманиоза требует осмотра инфекциониста, по показаниям назначаются консультации других специалистов. Важно уточнить у пациента факт пребывания в эндемичных зонах земного шара в течение предшествующих пяти лет, наличие вакцинации от лейшманиоза, род профессиональных занятий. Лабораторные и инструментальные методы верификации болезни включают в себя:
- Физикальное исследование. Во время объективного осмотра обращает на себя внимание бледность, сухость, истончение кожи, наличие язв в полости рта. Лимфоузлы плотные, увеличенные, безболезненные. При аускультации тоны сердца приглушены, выслушивается тахикардия, шумы, в легких могут определяться участки ослабленного дыхания. Пальпация живота безболезненна, размеры селезенки и печени резко увеличены. Часто обнаруживаются периферические отеки, асцит.
- Лабораторные исследования. Признаками лейшманиоза в общем анализе крови служат анемия, пойкилоцитоз, анизоцитоз, лейкопения, нейтропения, анэозинофилия, тромбоцитопения, резкое ускорение СОЭ. Биохимические параметры изменены в сторону повышения АЛТ, АСТ, СРБ, креатинина и мочевины, гипоальбуминемии. Наблюдается увеличение времени свертывания крови. В общеклиническом анализе мочи отмечается повышение плотности мочевого осадка, протеинурия, гематурия.
- Выявление инфекционных агентов. Для обнаружения лейшманий проводится микроскопия, посев биологических препаратов и крови, реже биопробы на хомячках. Серологическая диагностика (ИФА) направлена на выявление противолейшманиозных антител. Использование внутрикожной пробы Монтенегро является косвенным методом подтверждения диагноза в период реконвалесценции, применяется при эпидемиологических исследованиях в популяции.
- Инструментальные методики. Рентгенография ОГК выполняется для исключения пневмонии, туберкулезного поражения. Сонография брюшной полости визуализирует увеличение размеров печени, селезенки, признаки портальной гипертензии, наличие асцита. УЗИ и биопсию лимфатических узлов, стернальную пункцию, трепанобиопсию костного мозга, диагностическую торакоскопию и лапароскопию осуществляют по показаниям.
Дифференциальную диагностику лейшманиоза внутренних органов проводят с малярией, для которой характерна желтуха и триада «озноб-жар-пот»; бруцеллезом с его патогномоничными поражениями опорно-двигательного аппарата, нервной, репродуктивной, сердечно-сосудистой систем и кожи; брюшным тифом, клиническими особенностями которого являются тифозный статус, относительная брадикардия и парез кишечника. Для гриппа характерно острое начало и присоединение симптомов поражения верхних отделов респираторного тракта, а также сезонность в холодное время года.
Туберкулез проявляется длительным субфебрилитетом, редко сухим кашлем и симптомами дисфункции вовлеченных в патологический процесс органов; часто диагноз верифицируется только лабораторно-инструментальными методиками. Схожесть клинических симптомов заболевания наблюдается с такими патологиями, как лейкоз и лимфогранулематоз, при данных патологиях диагностическими критериями становятся данные анализов крови и биопсии костного мозга. Сепсис клинически протекает схоже, но обычно имеет первичный очаг поражения (рана, гнойное образование и др.).
Лечение висцерального лейшманиоза
Пациенты с данным заболеванием госпитализируются в стационар. В обязательном порядке необходимо ограничить возможность контакта с москитами, поэтому над кроватями и в оконных проемах устанавливают противомоскитные сетки. Постельный режим показан до устойчивых нормальных цифр температуры тела в течение 3-5 дней, из-за риска разрыва селезенки при её значительном увеличении не рекомендуются резкие наклоны, повороты, поднятие тяжестей более 10 кг. Режим питания предусматривает высококалорийную, богатую белками пищу, водная нагрузка подбирается индивидуально.
Этиотропная терапия висцерального лейшманиоза должна включать препараты сурьмы (натрия стибоглюконат) либо пентамидин, милтефозин, липосомальный амфотерицин В. Некоторые исследования показали эффективность терапевтического приема производных пятивалентной сурьмы в сочетании с сульфатом паромомицина, при этом сокращается длительность курса лечения. Пациентам с осложнениями, ВИЧ-инфекцией, тяжелыми сопутствующими болезнями рекомендовано курсовое введение амфотерицина В как первой линии лечения висцерального лейшманиоза.
Выраженная анемия является показанием для эритроцитарных гемотрансфузий, реже требуется введение тромбомассы и донорских лейкоцитов. Коррекция анемии заключается в длительном приеме препаратов железа, по показаниям - колониестимулирующих факторов. Симптоматическое лечение предполагает дезинтоксикацию, прием жаропонижающих средств (аспирин - с осторожностью), антибиотиков в случае присоединения вторичных инфекций. Важной составляющей лечения является борьба с отеками, в числе прочего в план терапии включаются мочегонные средства и растворы альбумина.
Прогноз при ранней диагностике благоприятный за исключением случаев болезни у ВИЧ-инфицированных пациентов - у данной категории больных даже слабопатогенные штаммы лейшманий вызывают органные поражения. Продолжительность лечения составляет 14-30 дней, наблюдение за реконвалесцентами занимает 4-6 месяцев из-за возможных рецидивов лейшманиоза. У 17% пролеченных пациентов в течение 5 лет после выздоровления могут обнаруживаться симптомы посткала-азарного дермального лейшманиоза, протоколы диагностики и лечения для которого окончательно не разработаны.
Специфическая профилактика заключается в плановом введении живой вакцины, рекомендована лицам, проживающим или планирующим длительное либо кратковременное пребывание на эндемичных территориях, туристам. Введение препарата необходимо осуществлять зимой или осенью минимум за три месяца до поездки. Неспецифические меры предотвращения висцерального лейшманиоза включают своевременное выявление, изоляцию и лечение больных, использование противомоскитных сеток, вакцинацию собак, устранение свалок, меры дезинсекции и дератизации. Борьба с москитами заключается, в том числе, в осушении болот, подвалов и овощехранилищ.
4. A Treatment outcomes of visceral leishmaniasis in Ethiopia from 2001 to 2017: a systematic review and meta-analysis / Eyob Alemayehu Gebreyohannes, Akshaya Srikanth Bhagvathula, Tadesse Melaku Abegaz// Infect Dis Poverty - 2018 - №7.
Клиника кожного лейшманиоза. Описание лейшманиом
Лейшманиоз — протозойная инфекция, передаваемая при укусе москитов, вызывающая клинический спектр проявлений, начиная от бессимптомной формы и заканчивая язвенными поражениями кожи, слизистой оболочки и поражением внутренних органов.
По данным ВОЗ, лейшманиоз является эндемическим заболеванием для 97 стран, в том числе для некоторых регионов Африки, Ближнего Востока, Южной Азии, Южной Европы, северной части Южной и Центральной Америки [1]. Эндемичность в РФ не установлена, тем не менее ежегодно поступают сведения о новых случаях заболевания [2].
Кожный лейшманиоз — наиболее распространенная форма лейшманиоза, которая вызывает повреждения кожи на открытых участках тела.
Для российского туриста риск заражения лейшманиозом существует при посещении не только стран дальнего, но и ближнего зарубежья: Азербайджана, Армении, Грузии, Кыргызстана, Таджикистана, Узбекистана в пик активности переносчиков возбудителя с мая по сентябрь [4].
Классификация лейшманиоза
Существует 3 основных типа лейшманиоза: кожный, висцеральный, слизисто-кожный. Клиническая эпидемиология выделяет две отдельные группы — болезни Старого и Нового Света — в зависимости от географии передачи.
Лейшманиоз Старого Света эндемичен в странах Азии, Африки, Ближнего Востока и Средиземноморья, вызывается главным образом Leishmania tropica, Leishmania major и Leishmania infantum. Переносчиком являются кровососущие москиты р. Phlebotomus. Среди кожного лейшманиоза Старого Света выделяют зоонозный (рано изъязвляющийся лейшманиоз) с инкубационным периодом 2-4 нед, причиной которого является L. Major, и антропонозный (поздно изъязвляющийся) с инкубационным периодом 2-8 мес, причиной которого является L. tropica. Источником возбудителей зоонозного лейшманиоза являются мелкие млекопитающие (песчанки), собаки, волки, лисы. Источником антропонозного кожного лейшманиоза служит больной человек.
Лейшманиоз Нового Света распространен в странах Южной Америки и некоторых регионах США. Возбудителями кожного лейшманиоза Нового Света являются Leishmania braziliensis, Leishmania guyanensis, Leishmania panamensis, Leishmania peruviana, Leishmania mexicana и Leishmania amazonensis. Переносчик — муха Lutzomyia.
Клинически и патогенетически лейшманиоз Старого и Нового Света почти не различаются, только при лейшманиозе Нового Света чаще поражаются еще и слизистые оболочки [2, 5].
Кожный лейшманиоз может проявляться локализованной, хронической рецидивирующей, диффузной и острой формами. Локализованная форма кожного лейшманиоза проявляется папулами или узлами, которые возникают на месте укусов, чаще всего это лицо и открытые участки тела. Со временем папулы/узлы превращаются в хорошо очерченные безболезненные язвы с фиолетовым венчиком. Цвет венчика объясняется разрушением эпидермиса и просвечиванием сосудов дермы. Заживают язвы с формированием втянутых рубцов. Возможны лимфаденопатия и наличие сателлитов. Острая форма лейшманиоза Старого Света клинически напоминает фурункул.
Повреждения кожи могут сопровождаться регионарной лимфаденопатией (в 12-30% случаев без лимфангита), которая иногда сохраняется после заживления поражений и узловым лимфангитом (споротрихоидоподобные подкожные узелки) — симптом четок. Также сообщалось о периферической невропатии. Много случаев кожного лейшманиоза остаются локализованными; тем не менее иногда вторичные поражения появляются на коже или на слизистых оболочках в других частях тела. Когда паразиты «путешествуют» через лимфатическую систему, а не через кровь, презентация может напоминать споротрихоз. Диффузный кожный лейшманиоз является редкой формой кожного заболевания, чаще всего вызывается L. Amazonensis и L. Mexicana.
Поражения лейшманиоза Старого Света и L. Mexicana имеют тенденцию к самопроизвольному заживлению в течение нескольких месяцев, но для заживления лейшманиоза, вызванного L. Braziliensis, могут потребоваться годы. После заживления остается рубец, обычно округлой формы.
Некоторыми авторами описаны атипичные формы кожного лейшманиоза: эритематозная вулканическая язва, волчанка, экзематозная, рожистое воспаление, сухая, зостерообразная, паронихиальная, споротрихоидная, шанкриформная и кольцевидная [5]. В определенных случаях клиническая картина может имитировать такие заболевания, как подкожный и глубокий микоз, кожные лимфомы, псевдолимфомы, базально-плоскоклеточный рак. Сообщалось о поражениях в области лица, щек, ушей, носа, век, конечностей, туловища, ягодиц, а также в области ладоней и гениталий. Причина клинического плеоморфизма кожного лейшманиозного неясна, но иммуносупрессия, по-видимому, играет важную роль в некоторых случаях (в том числе недоедание и ВИЧ-инфекция) [6]. Не существует установленных руководящих принципов для лечения атипичного кожного лейшманиоза. Тем не менее препараты пятивалентной сурьмы остаются первой линией лечения всех форм лейшманиоза, даже у ВИЧ-инфицированных пациентов и при атипичных формах.
Кроме того, есть данные о туберкулоидной форме, которая описана И.И. Гительзоном в 1932 г. и первоначально названа им металейшманиозом. Туберкулоидная форма развивается через несколько месяцев, а иногда и через несколько лет вокруг рубца от бывших лейшманиом. Этот процесс имеет длительное течение (многие годы), при этом характерен медленный периферический рост. Описаны лепроматоидная и промежуточная формы лейшманиоза. Диффузно-инфильтрирующая лейшманиома практически не встречается. Ассоциация микробной флоры осложняет течение лейшманиоза и задерживает выздоровление.
Возбудитель передается самками москитов, в организме которого паразиты находятся в жгутиковой форме (промастиготы). Промастиготная форма лейшманий представляет собой подвижную форму с передним жгутиком. Форма промастиготы развивается в метациклическую инфекционную форму в течение приблизительно 10 дней. Паразит попадает в организм человека с укусом москита и проникает в макрофаги. Лейшмании способны выжить в кислой среде лизосомы и стать амастиготными формами. Эти формы являются облигатными, внутриклеточными, неподвижными диаметром около 2,5-7 мкм. Именно эта форма амастиготы вызывает заболевание у людей и влияет на клеточный иммунитет. В конце концов другой москит при укусе больного человека инфицируется этой формой и лейшмания трансформируется в форму промастиготы у насекомого [7].
Известно, что выраженный ответ Th1 с выработкой IL-2 и IFN-γ приводит к быстрому разрешению инфекции. При слабом Th1-ответе или реакции Th2 с выработкой IL-4 и IL-10 инфекция продолжает развиваться, что наблюдается при диффузном кожном лейшманиозе. После перенесенного заболевания развивается стойкий иммунитет именно к этому виду лейшмании.
Без лечения лейшманиоз Старого Света редуцирует через 2-4 мес, если вызван L. major, или через 6-15 мес, если вызван L. tropica. Кожный лейшманиоз Нового Света, вызванный L. mexicana, редуцирует через 3 мес более чем в 75% случаев, вызванный L. braziliensis и L. Panamensis, — менее чем в 10% случаев [2].
Диагноз основывается на одном из следующих методов:
— обнаружение амастиготов лейшмании при цитологическом исследовании из участка поражения с окраской по Романовскому—Гимзе (при зоонозном лейшманиозе в язвах обнаруживают мало лейшманий, что требует более настойчивого поиска в биоптатах и соскобах материала);
— гистологическое исследование биопсии кожи, в том числе с использованием специфических методов иммуногистохимии;
— посев на двухфазные среды, такие как Novy-MacNeal-Nicolle с последующим микроскопическим исследованием для выявления промастиготов возбудителя через 1-4 нед после посева [7];
— молекулярная диагностика методом ПЦР для выявления ДНК кинопласта (kinoplast DNA) лейшмании, позволяет определить род Leishmania.
Тактика лечения пациентов
Тактика лечения зависит от формы и стадии заболевания, общего состояния пациента, вида возбудителя. В настоящее время не существует идеальной или универсально применимой терапии для кожного лейшманиоза. Некоторые схемы лечения кажутся высокоэффективными только в отношении определенных видов/штаммов Leishmania в определенных регионах мира. Следует учитывать как виды паразитов, так и факторы хозяина (например, сопутствующие заболевания и иммунный статус). Из-за выраженных побочных эффектов препаратов системное лечение кожного лейшманиоза показано в следующих случаях:
— локализация поражений имеет важное эстетическое или функциональное значение или размер поражения 4 см и более;
— поражения располагаются в участках, которые затруднительны для местного лечения, например вокруг глаз;
— количество высыпаний (3 активных поражения и более);
— поражения кожи приводят к функциональным расстройствам;
— наружное лечение неэффективно;
— иммуносупрессия у пациента;
— поражения присутствуют более 6 мес [8].
Лекарственными средствами первой линии терапии для кожного лейшманиоза являются препараты пятивалентной сурьмы: стибоглюконат натрия 20 мг/кг/день внутривенно или внутримышечно, антимонат меглюмина 20 мг/кг/день 20 дней и милтефозин 2,5 мг/кг/день перорально (не более 150 мг) в течение 28 дней. Вторая линия терапии включает топический паромомицин 2 раза в день 10-20 дней, пентамидин 2-3 мг внутривенно или внутримышечно ежедневно или через день, 4-7 доз, флуконазол 200 мг/день или 6-8 мг/кг/день внутрь в течение 6 нед или другие азолы: кетоконазол 600 мг/день или 10 мг/кг/день 4 нед (в некоторых странах кетоконазол из-за побочных действий не применяют), итраконазол 7 мг/кг/день 3 нед, липосомальный амфотерицин В 3 мг/кг 1-5 дней, 14 дней и 21 день, дезоксихолат амфотерицина В 10 мг/кг однократно или 1 мг/кг через день 15 внутривенных вливаний, аллопуринол 300 мг/сут 3 мес (L. tropica), или 300 мг 3 раза в день 6 нед (L. mexicana), или 100 мг 4 раза в сутки (L. panamensis), или 1,5-2,5 мг/кг/день 28 дней (L. donovani). В 2014 г. FDA одобрило лечение кожного лейшманиоза противоопухолевым препаратом: милтефозин в дозе 2,5 мг/кг/день (до 150 мг/день) в течение 28 дней per os [9]. Местное лечение включает применение комбинированной мази с содержанием 15% паромомицина и 12% хлорида метилбензэтония (кожный лейшманиоз Нового Света), паромомицин/гентамицин (кожный лейшманиоз Старого Света), имиквимод. Внутриочаговое введение стибоглюконата натрия 0,2-0,4 мл внутрикожно 3 раза в неделю 2 мес эффективно при лечении лейшманиоза Старого Света. Физиотерапия включает применение криотерапии, кюретажа, радиочастотной терапии, CO2-лазера. Однако доступность и официальные рекомендации для применения этих методов терапии различны в каждой стране. Лечение с помощью сурьмы быстрее излечит поражения и предотвратит рецидив, местное распространение, заболевание слизистой оболочки (обычно) и передачу. Считается, что пятивалентная сурьма работает путем ингибирования синтеза аденозинтрифосфата [10, 11].
Опыт лечения кожного лейшманиоза в России описывает применение: доксициклин 100 мг 2 раза в сутки, хлорохин по 200 мг 2 раза в сутки 10-дневными курсами с 5-дневным перерывом. Рифампицин 600 мг/сут в течение 6 мес, иногда до 1 года. Возможен более короткий прием рифампицина по 600 мг/сут — от 3 нед до 3 мес (иногда дольше) в сочетании с дапсоном в дозе 2 мг/сут на 1 кг массы тела в течение 3 нед. Кетоконазол в дозе 400 мг/сут в течение 3 мес или 600 мг/сут на протяжении 28 дней. В последнее время используют итраконазол в дозе 200 мг/сут (4 мг/сут на 1 кг массы тела) в течение 1-3 мес. Описано также применение аллопуринола, метронидазола, гризеофульвина, однако опубликованный клинический опыт лечения этими препаратами ограничен [12].
Наружная терапия — мази с антибиотиками (0,1% гентамициновая, 3% тетрациклиновая), эпителизирующие средства (метилурациловая мазь, мазь, содержащая хлорамфеникол и метилурацил, пируанский бальзам); коагуляция элементов эрбиевым лазером [13, 14].
Варианты лечения детей ограничены и могут потребовать приема плохо переносимых лекарств. Несмотря на различия в ответах на эти препараты, схемы лечения детей основаны на экстраполяции данных об эффективности их применения у взрослых. Дети — особая популяция для лечения лейшманиоза. Наблюдательные исследования и клинические испытания показали более высокую долю неудачного лечения препаратами первого ряда кожного лейшманиоза у детей, особенно в младших возрастных группах (
Клинический случай
В консультативно-диагностическое отделение (КДО) филиала «Коломенский» к дерматологу для уточнения диагноза обратились родители детей Д., 8 лет, и М., 7 лет. Со слов отца, у Д. в сентябре 2017 г. впервые появились высыпания на коже левой кисти, предплечья и с марта 2018 г. на лице. У М. впервые очаг появился на коже левой височной области в январе 2018 г. Летом 2017 и 2018 гг. семья находилась в Баку (Азербайджан). Родители обратились к дерматологу по месту жительства. Назначены топические стероиды, комбинированные топические стероиды и азелаиновая кислота — без положительного эффекта. В октябре 2018 г. пациентка (Д.) находилась на лечении в ДХО в ОДКБ «Им. Дмитриевой» (Рязань), с диагнозом «нагноившаяся атерома левой щеки? Воспалительный инфильтрат левой щеки». Проведена ревизия инфильтрата. Данных, свидетельствующих о наличии атеромы не выявлено, взят посев. Проводилось лечение в виде дренирования раны и повязок с мазью. В ноябре 2018 г. дерматолог по месту жительства с предположительным диагнозом «кожный миаз? Доброкачественная порома?» для уточнения диагноза направил Д. в КДЦ филиала «Коломенский». Status localis на момент первичного обращения в КДО филиала «Коломенский»: патологический кожный процесс носит воспалительный, распространенный характер. Локализуется на коже левой щеки, левого предплечья и тыла кисти II, IV пальцев. На коже левой щеки патологический кожный процесс представлен инфильтрированным очагом округлых очертаний, с четкими границами, диаметром до 2 см, ярко-розового цвета, с крупными чешуйками на поверхности. На коже пальцев кисти и предплечья очаги диаметром до 1 см округ-лой формы, с четкими границами, ярко-розового цвета. Дермографизм смешанный (рис. 1-3). В ноябре 2018 г. консультирована консилиумом, выставлен предварительный диагноз: «глубокая пиодермия? Эозинофильная гранулема? Доброкачественная лимфоплазия?», назначены внутрь суспензия цефиксим (супракс) 8 мг/кг по 7 мл 2 раза в день, 14 дней, наружно крем фуцидин Г, 5% ихтиоловый крем (лицо) и 10% ихтиоловый крем (рука). В связи с отсутствием положительной динамики от проводимого лечения в декабре 2018 г. повторно консультирована консилиумом, выставлены диагнозы: «лейшманиоз? Ювенильная ксантогранулема? Доброкачественная лимфоплазия?» и рекомендована госпитализация в ДВО филиала «Коломенский» для проведения диагностической биопсии кожи и уточнения диагноза.

Рис. 1. Очаг кожного лейшманиоза на левом предплечье.

Рис. 2. Пациентка Д., 8 лет, очаг кожного лейшманиоза на тыле кисти II, IV пальцев.

Рис. 3. Пациентка Д., 8 лет, очаг кожного лейшманиоза на щеке.
Данные клинико-лабораторного обследования: ОАК в пределах референсных значений. Бактериологическое исследование биоматериала на условно-патогенную микрофлору: рост микрофлоры отсутствует. ИФА на определение АТ к Borrelia burgdorferi: IgG и IgM отрицательные. Исследование методом микроскопии: акантолитические клетки не обнаружены. Для подсчета эозинофилов нет материала. Исследование патогенных грибов методом микроскопии (с кожи лица): грибковые элементы не обнаружены. ИФА к антигенам гельминтов: IgG к описторхис, трихинелла, токсокара, эхинококк, аскариды отрицательный.
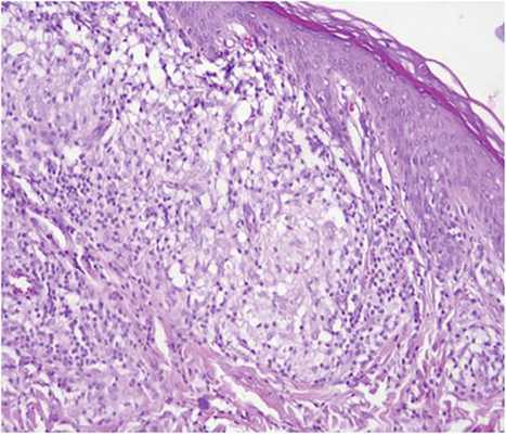
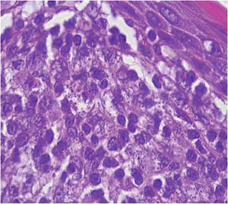
Во время биопсии взят материал для цитологического исследовании с окраской по Романовскому—Гимзе для обнаружения амастигот лейшмании: результат отрицательный. Диагностическая биопсия кожи левого предплечья: в дерме гистиоцитарная инфильтрация из эпителиоидных клеток со слабоэозинофильной цитоплазмой с формированием некротизирующихся гранулем, окруженных лимфоцитами, плазматическими клетками и единичными нейтрофилами. В цитоплазме субэпидермально расположенных гистиоцитов определяются немногочисленные мелкие базофильные структуры с округ-лыми очертаниями. Заключение: гистологические изменения более всего соответствуют лейшманиозу кожи. Менее вероятна болезнь Розаи — Дорфмана. Для уточнения диагноза рекомендуется обследование пациента в специализированном учреждении (рис. 4, 5).

Рис. 4. Гистология биоптата из очага.
Окраска гематоксилином и эозином, ×50.

Рис. 5. Гистология биоптата из очага.
Окраска гематоксилином и эозином, ×1000 (иммерсия).
После получения данных диагностической биопсии пациентка направлена в Институт паразитологии и тропической медицины, где на основании проведенных клинико-лабораторных, цитологического исследований, данных биопсии подтвержден диагноз кожного лейшманиоза.
Лечение пациенты получили в Азербайджане (Баку) антимониатом меглумина (глюкантим) с положительным эффектом. Патологические очаги стали менее инфильтрированными, уменьшились в размерах, побледнели. Лейшманиомы у обоих детей располагались на открытых участках тела (в том числе на лице), что при длительном характере течения заболевания и тенденцией к рубцеванию при отсутствии лечения в дальнейшем могло бы привести к стигматизации и психоэмоциональной дезадаптации.
Заключение
Читайте также:
- Укладка при рентгенограмме черепа и нижней челюсти в аксиальной ПЗ проекции по методу Тауна
- Диагностика нарушений бронхиальной проходимости.
- Результаты лечения генетических болезней. Исходы
- Синдром Риги-Феде (Riga-Fede)
- Влияние соматостатина на секрецию поджелудочной железы. Регуляция уровня глюкозы
