КТ, МРТ преходящих различий плотности и интенсивности печени (ПРПП, ПРИП)
Добавил пользователь Владимир З. Обновлено: 21.11.2025
Основные отличия магнитно-резонансной и компьютерной томографии заключаются в способе получения диагностических изображений и других показателях. В первом случае используются безопасные для организма электромагнитные волны, во втором - ионизирующее рентгеновское излучение. Визуализация печени часто требуется при диагностике онкологических, воспалительных и инфекционных заболеваний органа. КТ и МРТ — эффективные методы визуального исследования.
Чувствительность и специфичность КТ при обследовании печени составляет 57% и 91%, бесконтрастного МР-сканирования - 74-96% и 90-94%, с применением контрастного препарата 100% и 97% соответственно. Поэтому, выбирая, что информативнее, КТ или МРТ, лучше отдать предпочтение магнитно-резонансной томографии. Однако в отдельных клинических ситуациях и при наличии возможных противопоказаний к исследованию окончательное решение принимает лечащий врач.
Когда выбрать МРТ
МР-сканирование в первую очередь отличается отсутствием лучевой нагрузки и большей длительностью процедуры. Этот метод подходит для обнаружения опухолей, кист, патологий кровеносных сосудов и внутрипеченочных желчных протоков. МРТ при визуальном обследовании этого органа по точности сравнима с КТ с контрастным усилением. Недостаток — малоинформативные результаты при изучении очагов меньше 1 см.
Когда выбрать КТ
Результаты КТ укажут на атрофию тканей, фиброз, диффузные изменения и ранние стадии развития злокачественного новообразования.
МРТ печени: за и против
Всемирная организация здравоохранения определила для рака печени восьмое место в статистике смертности. Коварство серьёзных заболеваний печени, среди которых - рак и цирроз, в том, что часто они развиваются бессимптомно. О своей болезни человек может узнать случайно или тогда, когда уже поздно.
Что делать, чтобы печень не болела? Каковы симптомы заболеваний печени? Как проводится диагностика печёночных заболеваний и какую роль в ней играет МРТ? С этими и другими вопросами мы обратились к исполнительному директору и главному врачу ООО «МРТ Эксперт Липецк» Оксане Егоровне Волковой.
- С чего начинаются заболевания печени?
Как правило, всё начинается с воспалительного процесса в печени, пусковым фактором для которого могут стать самые разные причины, среди них - гепатит C или B, злоупотребление алкоголем, врождённые заболевания, неправильное питание и целый ряд других факторов.
Изменения в печени происходят в несколько этапов. Всё начинается со стеатоза, при котором в печени накапливается повышенное содержание жировых клеток. Стеатоз и может привести к гепатиту (воспалению тканей печени). Затем следует стадия фиброза - печень «зарастает» соединительной тканью. Если на этом этапе не применено лечение, у пациента развивается цирроз печени - необратимое заболевание.
- Какими симптомами печень сигнализирует о своём неблагополучии?
Печень - очень большой и крайне ответственный орган пищеварительной системы, недаром древние знахари называли её «вместилищем души человека». Каждую минуту в печени происходит около 20 млн химических реакций. У неё огромное количество самых различных функций, до пятисот. Среди последних - синтез белка и желчной кислоты, накопление и распад глюкозы, обезвреживание токсинов, опасных для человека. Поэтому при поражении печени страдает весь организм.
Один из признаков заболевания печени - внезапно появляющиеся синяки на теле больного. При этом происхождение этих синяков не связано с внешними повреждающими факторами.
Среди других симптомов - горечь во рту по утрам, пожелтение языка, склер глаз и/или кожных покровов, красный цвет ладоней (пальмарная эритема), неприятный запах изо рта, кожный зуд, сбои со стороны органов пищеварения (снижение аппетита, поносы или запоры, тошнота, обесцвечивание стула, потемнение мочи).
Поскольку сама по себе печень болеть не может по причине отсутствия в этом органе болевых рецепторов, дискомфорт и боли в правом подреберье также могут свидетельствовать о заболеваниях печени. Такой болевой синдром с большой вероятностью указывает на то, что печень увеличена, что повлекло за собой растягивание капсулы, в которой она расположена.
- Оксана Егоровна, расскажите о методах диагностики печени
На УЗИ о печени можно узнать не всё, но многое - размер, структуру тканей, состояние сосудов, т.е. всё то, что касается физиологических изменений органа. А о функциональных нарушениях печени расскажет биохимический анализ крови.
Среди других методов диагностики печени - позитронно-эмиссионная томография (ПЭТ) и магнитно-резонансная томография.
Метод ПЭТ является передовым в ядерной медицине. Он позволяет с высокой степенью вероятности выявить разные новообразования в органах. Перед проведением диагностики пациенту внутривенно вводится радиофармпрепарат, быстро распределяемый по организму. Во время сканирования раковые клетки выдадут себя ярким свечением.
Что касается МРТ печени, то данная диагностика позволяет подтвердить то, что выявлено при УЗИ-исследовании, а также найти патологию печени, не обнаруженную во время проведения УЗИ. Отмечу, что в центры «МРТ Эксперт» в последнее время всё чаще приходят пациенты, которым назначена магнитно-резонансная томография печени как самостоятельная диагностика, в качестве альтернативы УЗИ. И подобные назначения врачей имеют основания.
Так, не так давно в центре «МРТ Эксперт Липецк» произошёл случай, когда пациент, у которого при УЗИ-исследовании была выявлена опухоль печени, ушёл от нас абсолютно здоровым и счастливым. МРТ-диагностика позволила опровергнуть диагноз. Почему так произошло? Одна из петель кишечника была принята врачом УЗИ за опухоль печени пациента. Это произошло потому, что УЗИ, в отличии от МРТ, не позволяет «разложить» органы по слоям.
- Какие заболевания позволяет выявить МРТ печени?
Во время проведения МРТ печени мы видим крайне широкий спектр патологий: доброкачественные и злокачественные образования, даже самые мелкие (от 2-3 мм), гемангиомы, аденомы печени, гиперплазии, застойные явления при портальной гипертензии, травматические и цирротические изменения, паразитарные болезни (среди которых эхинококкоз, альвеококкоз), гемохроматоз (пигментный цирроз), а также заболевания желчного пузыря и его протоков. Также МРТ хорошо визуализирует вторичные метастатические изменения печени.
МРТ позволяет выявить следы жидкости вокруг печени, что потенциально указывает на воспалительные заболевания по типу холангита или гепатита. Если жидкость видна во всей брюшной полости, то делается вывод о наличии асцита, свидетельствующего о первичной онкологии печени или её вторичных изменениях в виде метастазов из других органов. Асцит встречается и на фоне сердечно-сосудистой патологии.
Как правило, увидев следы жидкости при проведении МРТ печени, врач-рентгенолог отправит пациента на необходимые дообследования.
- МРТ печени проводится с контрастом или без него?
Проведение МРТ печени без контраста является малоинформативным. Любые образования печени требуют подтверждения, для чего и проводится динамическое контрастирование. Каждое из образований накапливает контраст специфично, что позволяет дифференцировать гемангиому, аденому, фокальную узловую гиперплазию, метастазы, кисту и иные патологии.
- Требуется ли специальная подготовка перед проведением МРТ печени?
Да, подготовка необходима. За 4 часа до исследования нельзя принимать пищу.
Поскольку редкие пациенты приходят на диагностику только МРТ печени, а не всей брюшной полости, для того, чтобы снизить перистальтику кишечника, за час до исследования рекомендуется приём пары таблеток но-шпы и 2-3 таблеток «Эспумизана».
- МРТ печени является отдельным исследованием или входит в комплексную диагностику МРТ брюшной полости?
Иногда МРТ печени проводится как отдельная диагностика. Но поскольку печень влияет на работу других органов, крайне желательно провести исследование всей брюшной полости. Так, в медицинской практике нередко встречаются холицестогенные панкреатиты на фоне нарушения деятельности желчно-выделительной системы.
- Если заболевание печени уже выявлено, как часто необходимо проходить МРТ для динамического наблюдения?
Это зависит от выявленной патологии, поэтому в заключении врачи-диагносты «МРТ Эксперт» пишут рекомендации, среди которых - дата повторения обследования. Как правило, динамика необходима через 3 или 6 месяцев, реже - через год.
- Как лечат заболевания печени?
Ещё недавно у больных с серьёзными заболеваниями печени было два пути: либо умереть, либо дождаться трансплантации. Теперь всё изменилось. Есть лекарства нового поколения. Но и хирургические методы лечения применяются широко. Печень - весьма регераторный орган, способный через 1,5-2 месяца после резекции восстановить объём резецированной ткани. Функционально она восстанавливается чуть дольше.
Но всё же важно помнить - если вовремя обнаружить изменения в печени хотя бы на стадии фиброза, то шансы вернуть здоровье высоки. Впрочем, и при циррозе можно жить долго.
МРТ в диагностике цирроза печени
Слабость, тошнота, апатия, потеря аппетита, боли в правом подреберье, зуд кожи тела, отеки и пожелтение кожных покровов - все это неспецифические симптомы такого тяжелого заболевания, как цирроз печени. Самым грозным его осложнением является внутреннее кровотечение.
При циррозе здоровая ткань печени замещается патологической, с формированием регенераторных узелков и выраженными фиброзными изменениями. Это может происходить после ряда предшествующих заболеваний - алкогольного и инфекционного гепатита, а также токсических, аутоиммунных, врожденных заболеваний печени и других заболеваний.
О болезни Боткина (гепатите А) можно прочитать здесь
Цифры неумолимой статистики говорят о том, что сегодня цирроз печени является одной из шести причин смерти людей в возрасте от 35 до 60 лет в развитых странах. Каждый год в мире из-за этой болезни умирает 40 млн. человек. В России цирроз печени возникает у 20-35 человек из 100 000 населения, чаще всего от него страдают мужчины в возрасте старше 40 лет.
О гепатитах B, C, D и Е читайте здесь
Как можно узнать о состоянии печени? Диагностика цирроза печени включает в себя ряд исследований, среди которых исследование крови, УЗИ и МРТ печени, при необходимости выполняют биопсию.
Подробнее о том, когда назначается и как проводится МРТ печени рассказывает исполнительный директор и главный врач «МРТ Эксперт Липецк» Оксана Егоровна Волкова
Магнитно-резонансная томография печени позволяет оценить анатомические изменения органа, распространенность патологического процесса и наличие осложнений. На начальных стадиях при МРТ диагностике видны такие признаки цирроза, как увеличение перипортального пространства в области ворот, начальные проявления атрофии 4 сегмента и правой доли печени с компенсаторной гипертрофией 1 сегмента. На поздних стадиях заболевания МРТ является важным инструментом по решению вопроса о трансплантации печени для предотвращения летального исхода, т.к. терапия на данном этапе помогает редко.
Как проводится лечение при циррозе печени? При циррозе в качестве лечения назначается поддерживающая терапия в виде строгой диеты, гепатопротекторов, а так же симптоматическая терапия и лечение основного заболевания. При поздних стадиях проводят трансплантацию печени.
Сравнение КТ и МРТ

Компьютерная томография (КТ, МСКТ, РКТ) — диагностический метод, позволяющий посредством рентгеновского излучения получить послойное изображение внутреннего строения организма в аксиальной плоскости с последующей возможной многоплоскостной (мультипланарной) обработкой изображения.
Магнитная резонансная томография (МРТ, ЯМРТ) — диагностический метод, основанный на явлении ядерного магнитного резонанса, позволяющий получить послойное изображение внутреннего строения организма в различных плоскостях.
Этот пост рассчитывается как маленькая шпаргалка в помощь. Громадный объем работы, используемых знаний и навыков не всегда позволяет лечащему врачу запомнить все диагностические нюансы. Как врачу рентгенологу, мне неоднократно приходилось и приходится сталкиваться с необоснованным назначением врачом-клиницистом того или иного вида исследования, что в последующем также приводит к непониманию происходящего пациентом. Внешне аппараты и получаемые изображения выглядят схожими, а области исследования зачастую одни и те же.
Начнем, пожалуй, с основ — с физики.
Рентгеновское излучение — вид электромагнитных волн, находящихся в волновом спектре между ультрафиолетом и гамма-излучением.
В компьютерном томографе существует кольцевая часть — гентри, в которой расположена рентгеновская трубка и напротив нее несколько рядов детекторов. Стол с пациентом продвигается через апертуру гентри, где вращаются трубка и детекторы. Поскольку движение стола непрерывное поступательное, воображаемый рисунок движения рентгеновского луча формирует спираль, а несколько рядов детекторов — много спиралей (мультиспиральная КТ, МСКТ). Проходя через высокоплотные структуры, рентгеновское излучение задерживается тканями, и чем более плотная структура, тем меньше остаточного излучения достигнет детектора. Полученные данные о «долетевших» до детекторов фотонах обрабатываются компьютером, и строится изображение в аксиальной плоскости. Эти изображения далее анализирует рентгенолог: измеряет плотность интересующих структур (в единицах Хаунсфилда, Hounsfield unit, HU), строит различные реконструкции изображений в специализированном вьюере (просмотрщике, viewer), на основе них структурирует описание и делает заключение.
Ядерный магнитный резонанс — физическое явление, отображающее переориентацию магнитных моментов ядер вещества в магнитном поле, эта возможность энергетического перехода с одного уровня на другой и составляет основу ядерного магнитного резонанса.
В томографе генерируется постоянное магнитное поле, однако величина его намеренно изменяется использованием градиентных катушек для различных частей тела. Катушка транслирует радиоволны различной частоты и принимает сигналы, полученные в ответ.
При исследовании пациент помещается на столе томографа в постоянном магнитном поле. Атомы водорода в организме реагируют на магнитное поле и выравнивают свой магнитный момент. Во время сканирования через катушки транслируются радиоволны различной частоты. Подаваемые радиоимпульсы заставляют вращаться протоны с определенной частотой. При прекращении подачи радиоимпульса атомы водорода высвобождают накопленную энергию. Детекторы на катушке измеряют эту энергию, полученные данные уже анализирует компьютер и строит МР-изображения.
Поскольку организм человека в большей степени состоит из воды, резонна калибровка аппарата на атомы водорода (их наибольшее число в природе), соответственно органы и ткани, содержащие в своей структуре больше жидкости, визуализируются отчетливей (мягкие ткани), а дифференцировка и детализация содержащих мало жидкости костей при МРТ снижена, что замечательно компенсируется КТ.
Исходя из физических основ методов и формируются отличия. КТ — менее затратный технически метод, техническое обслуживание магнитного томографа требует больше физических и финансовых затрат, отсюда и разница в стоимости исследования.
КТ, вследствие воздействия ионизирующего излучения, не рекомендуется проходить часто, а во избежание отрицательных эффектов и вовсе противопоказана при беременности.
МРТ для организма не имеет отрицательных последствий, и ее часто назначают в акушерской практике, но пациентам, содержащим в своем теле металлические фрагменты (шовный материал, металлоконструкции на основе парамагнетиков), а также искусственные водители ритма, выполнение МРТ строго противопоказано. Также нежелательно выполнение МРТ при боязни закрытого пространства, ведь необходимо достаточно длительное время без движения находиться в закрытом контуре магнита.
Также оба метода позволяют проводить сканирование с использованием контрастных средств, вводимых внутривенно. Это дает возможность оценить характер имеющихся объемных образований (по динамике изменения плотности или интенсивности сигнала), сосудистое русло, просветы желчевыводящих протоков (при магнитно-резонансной холангиопанкреатографии, МР-ХПГ).
Назначать контрастирование необходимо с осторожностью, учитывая риски возникновения аллергических реакций, а в случае с йодсодержащими контрастными веществами — возможность развития у пациента почечной недостаточности и тиреотоксического криза в случае имеющейся гиперфункции щитовидной железы.

Таблица 1 | Сравнительные характеристики КТ и МРТ
В финале хотелось бы пожелать своим коллегам взвешенно принимать решение о назначении каждого из видов диагностики, ведь это здорово сэкономит силы и время вам, вашему пациенту и диагносту.
Лучевая диагностика гепатоцеллюлярного рака

Гепатоцеллюлярный рак является наиболее распространённой первично злокачественной опухолью печени. Он чаще всего возникает на фоне цирроза как алкогольной, так и вирусной этиологии. ГЦР является пятым по распространённости злокачественным новообразованием в мире и третьей по частоте причиной смерти от рака (после рака лёгких и желудка). Заболеваемость ГЦР растет, что в значительной степени объясняется повышением уровня инфицированности гепатитом С.
К факторам риска относятся:
- инфицированность гепатитом B (HBV): 10% 5-летний кумулятивный риск;
- инфицированность гепатитом С (HCV): 30% 5-летний совокупный риск;
- алкоголизм: 8% 5-летний кумулятивный риск;
- билиарный цирроз: 5% 5-летний кумулятивный риск;
- врождённая атрезия желчных путей;
- контакт с некоторыми токсическими веществами (афлотоксины), а также потребление лекарственных средств (метилдофа, изониазид, цитостатики и т. д.);
- врождённые нарушения обмена веществ:
- гемохроматоз: 20% 5-летний кумулятивный риск,
- дефицит альфа-1-антитрипсина,
- дефицит галактозо-1-фосфат-уридилтрансферазы,
- болезни накопления гликогена типа 1,
- болезнь Вильсона,
- тирозинемия типа I;
ГЦР обычно диагностируется в среднем возрасте или у пожилых (в среднем 65 лет) и чаще встречается у мужчин (в 75% случаев). Однако опухоль также может встречаться в педиатрической практике; это вторая по распространённости у детей первично-злокачественная опухоль печени после гепатобластомы. Так как ГЦР чаще всего проявляется на фоне цирроза, не лишним будет описать типичную КТ/МРТ картину этого заболевания.
Общими для всех методов признаками являются:
- гетерогенность структуры по типу мелко-/крупноочаговой нодуллярности (за счёт присутствия регенераторных узлов) или септальной перестройки;
- сегментарная гипертрофия/атрофия:
- гипертрофия хвостатой доли и боковых сегментов левой доли (сегменты II и III),
- атрофия задних сегментов (VI и VII) правой доли;
При КТ:
- регенераторные узлы (большинство) изоденсны остальной ткани печени;
- сидерические узлы (меньшинство) гиперденсы вследствие накопления в них железа;
- может определяться неровность края печени;
- признаки портальной гипертензии:
- расширение портальной вены;
- портальный венозный тромбоз.
При МРТ:
- на T1 обычно изоинтенсивны, иногда слегка гиперинтенсивны, не наблюдается артериального накопления и «вымывания»;
- на T2 : обычно изоинтенсивны, гипоинтенсивные сидерические узлы;
- узлы низкой степени дисплазии будут напоминать регенераторные узлы;
- узлы высокой степени дисплазии очень схожи с высокодифференцированым ГЦР небольших размеров — отличить их бывает невозможно даже при гистологическом исследовании.

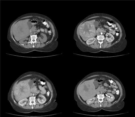
На фоне нерезко выраженых цирротических изменений в виде гетерогенности структуры и неровности контуров печени визуализуется крупное (более 2 см) образование, изоденсное в нативную фазу. В артериальную фазу оно демонстрирует гетерогенное накопление контраста (выше чем паренхима печени). Структура мозаичная, в центре образования участок пониженной плотности - вероятно, центральный некроз. Вокруг образования гиперденсный ободок, выраженый в портовенозную фазу. В отсроченной фазу образование гиподенсно по отношению к окружающей паренхиме печени.
Морфологически ГЦР может быть представлен очаговой, многоочаговой и диффузной формами. В большинстве случаев он не проявляется какими-либо симптомами на фоне уже имеющихся симптомов цирроза. Поэтому важно скрининговое наблюдение для пациентов с циррозом и гепатитами С и В — оно позволяет выявлять ГЦР на ранней стадии.
Радиологами часто используется система LI-RADS (Liver Imaging Reporting and Data System), которая содержит стандартную терминологию и специально разработана для определения рисков ГЦР и дифференциальной диагностики ГЦР с другими злокачественными образованиями (в частности, с внутрипечёночной холангиокарциномой) у пациентов с циррозом печени. В LI-RADS выделяют основные и дополнительные критерии. Основные критерии:
гиперинтенсивность (накопление) в артериальную фазу, или изо- или гипоинтенсивность в артериальную фазу;
надпороговое увеличение диаметра.
Как их правильно определять?
Накопление контрастного вещества в артериальную фазу подразумевает, что образование в артериальную фазу контрастирования становится гиперденсным (КТ) или гиперинтенсивным (МРТ) по отношению к остальной паренхиме печени в эту же фазу. Если образование в артериальную фазу становится гиперинтенсивным по сравнению с тем же образованием в нативную фазу, это не считается накоплением. Накопление контрастного вещества отслеживают в позднюю артериальную фазу, т.е. когда контрастирована брюшная аорта, ветви печёночной артерии и ветви портальной вены; ветви печёночной вены не контрастированы. Трудности с измерением диаметра могут возникнуть, если образование мозаичной структуры, структуры «узел-в-узле» или «узлы-в-узле», и при наличии «капсулы».

Симптом «вымывания» означает, что в портовенозную (во время наиболее выраженного контрастирования портальной вены; пикового контрастного накопления паренхимой печени и начального контрастирования ветвей печёночной вены) или отсроченную (в которой умеренно контрастированы вены печени и её паренхима) фазы образование становится гипоинтенсивным на фоне окружающей паренхимы печени. Здесь действует то же правило: если образование стало менее интенсивно по сравнению с собой в артериальную фазу, но не по отношению к паренхиме — это не симптом «вымывания».
Если образование накопило контраст в артериальную фазу, а в более поздние фазы выглядит изоинтенсивно паренхиме печени, это называют симтомом «выцветания» (fade). Термин «капсула» при визуализации соотносится с наличием как капсулы, так и псевдокапсулы у опухоли. «Капсула» визуализируется как ровный гладкий ободок по периферии образования, который усиливается в портовенозной или отсроченной фазе и является более толстым или более заметным, чем у ободки фоновых цирротических узелков.

Надпороговое увеличение диаметра означает:
увеличение диаметра ≥50% менее чем за 6 месяцев,
увеличение ≥100% более чем за 6 месяцев,
появление нового образования размером 10 мм и более,
критерий увеличения выше пороговых значений не применим к диффузному поражению,
при сравнении измерения должны проводиться в одинаковых последовательностях/фазах, например, сравнивать Т2 только с другим Т2.

указывающие на ГЦР:
- умеренная гиперинтенсивность на Т2,
- на диффузно-взвешенных изображениях гипоинтенсивность при низких и высоких значениях b-value, гипоинтенсивность на картах ИКД (истинного коэффициента диффузии),
- корона усиления,
- мозаичная структура,
- структура «узла-в-узле»,
- признаки жирового отложения в образовании,
- признаки отложения железа менее выражены в образовании,
- признаки жирового гепатоза менее выражены в образовании,
- признаки кровотечения,
- увеличение диаметра образования, но меньше пороговых значений;
указывающие на доброкачественное образование:
- выраженная гомогенная гиперинтенсивность в Т2,
- выраженная гомогенная гипоинтенсивность в T2 или T2,
- неизменённые сосуды печени,
- образование накапливает контраст параллельно остальной паренхиме печени,
- уменьшение диаметра образования,
- стабильность диаметра на протяжении двух лет и более.

Корона усиления (corona enhancement) обозначает чаще усиление неровных, нечётких контуров вокруг образования, которое проявляется в позднюю артериальную фазу и становится изоденсным в портовенозную или отсроченную фазу. Этот симптом считается отображением раннего вымывания контрастного вещества из образования. Его редко наблюдают во время обычного четырёхфазного сканирования, чаще — при серии сканов в артериальную фазу. Если ободок усиления остается гиперинтенсивным в поздние фазы, его считают капсулой. Корону усиления при ГЦР следует дифференцировать с нарушением перфузии, асоциированном с быстро накапливающей контраст гемангиомой. Если КТ/МРТ картина более типична для гемангиомы, этот симптом не учитывается.
Система классификации
Основные критерии часто приводят непосредственно к присвоению балльной оценки LI-RADS. Если остаются сомнения,картину могут прояснить дополнительные критерии.

Дополнительные критерии, указывающие на ГЦР, могут быть использованы для повышения степени на одну или несколько LR-категорий, но не для присвоения LR5 категории. Это правило введено для того, чтобы сохранить соответствие между классификациями LI-RADS и OPTN (Organ Procurement and Transplantation Network). С помощью дополнительных критериев, указывающих на доброкачественный процесс, можно понизить степень на одну и больше категорий от LR5 до LR1. Эти критерии радиолог использует на свое усмотрение, исходя из общей лучевой и клинической картин.
Категории LI-RADS включают в себя: LR1-LR5, LR5V («опухоль-в-вене»), LR5 TREATED (после лечения) и LR OM (другое злокачественное образование). LR1 (100% вероятность доброкачественного образования) ставится, когда радиолог видит картину, типичную для (например):
сливного фиброза печени;
или другого доброкачественного образования.
Категория LR1 не включает в себя такие доброкачественные образования как фокальная нодуллярная гиперплазия (из-за сложностей её дифференциальной диагностики с ГЦР) и гепатоцелюлярная аденома (так как она крайне редко встречается при циррозе). Образование, которое редуцировалось само по себе в отсутствии лечения, тоже определяется как LR1.
К категории LR2 (вероятно доброкачественное) относятся образования, имеющие несколько нетипичный для доброкачественных вид, но все же не выглядящие злокачественными, например киста с перегородкой. Также категория LR2 присваивается цирроз-ассоциированным узлам печени, которые отвечают всем следующим критериям:
Изоинтенсивный другим фоновым узелкам во всех фазах.
Отличается от фоновых узелов по одному или нескольким из признаков:
отчетливо больше, чем другие фоновые узелки;
умеренно гиперденсны на КТ;
умеренно гиперинтенсивны на Т1;
умеренно гипоинтенсивны на Т2 или Т2* или умеренно или выраженно гиперинтенсивны на T2 или T2.
Узелки, которые не соответствуют всем этим критериям, классифицируются как LR3 или выше.
Категория LR5V используется для образования, проросшего в просвет вены. Радиологически оно проявляется как (см. схему):
Оклюзия и расширение вены, гипер- изо- или гиподенсное в артериальную фазу;
Гипо- или изоденсное в портовенозную и отсроченную;
Может присутствовать мягкотканное образование, ассоциированное с окклюзией, но его присутствие необязательно;
Могут определяться гиперденсные полосы в артериальную фазу (симптом “thread-and-streak”).

Опухолевую инвазию следует отличать от не-опухолевого тромбоза, при котором вена не будет выглядеть расширенной и не будет демонстрировать контрастного накопления ни в одну из фаз.
Категория LR5TREATED присваивают в случае:
Подтвержденного ГЦР после эмболизации или абляции, вне зависимости от успешности лечения;
Категория LR5TRAETED не присваивается:
Образованиям категории LR4 и ниже после эмболизации или абляции;
Подтвержденному ГЦР после системной терапии или
Категория OM и дифференциальная диагностика
ГЦР - наиболее распространенное злокачественное образование, возникающее на фоне цирроза. Однако, выявленные изменения следует дифференцировать со следующими злокачественными образованиями:
Посттранплантационная лимфопролиферативная болезнь.
Факторы риска развития холангиокарциномы мало отличаются от таковых для ГЦР. Биохимические маркеры ХГЦ: СА 19-9 (углеводный антиген 19-9) и CEA (карциноидоэмбриональный антиген). При визуализации для ХГЦ характерны:
Только кольцевидное усиление в артериальную фазу;
Усиление в портовенозную и отсроченную фазы;
Нерезко выраженные рестриктивные изменения в DWI;
«Втяжение» ткани печени к образованию;
Билиарная обструкция, при чем степень обструкции не соответствует размерам образования.
Первичные лимфомы печени крайне редки. Чаще встречаются вторичные поражения при системном процессе. Следует помнить, что лимфомы чаще возникают на фоне иммуносупрессии. Увеличение абдоминальных лимфоузлов может навести на правильный диагноз.
Посттранплантационная лимфопролиферативная болезнь - одно из наиболее частых злокачественных новообразований у пациентов с трансплантацией в анамнезе. Ее развитие ассоциировано с иммуносупрессией и инфицированием вирусом Эпштейн-Барра. Печень - наиболее частая локализация экстранодального поражения. Метастазы редко встречаются на фоне цирротического изменения. Необходимо указать первичную опухоль. При визуализации более вероятны следующие признаки:
Усиление в портовенозную/отсроченную фазы;
Частичное или кольцевидное усиление в артериальную фазу;
Центральный некроз или ишемия;
Нерезко выраженные рестриктивные изменения в DWI.
В зависимости от присвоенной категории, ACR рекомендовано:
LR1: продолжать скрининг в обычном режиме;
LR2: продолжать скрининг в обычном режиме;
LR3: тщательное наблюдение: отслеживать изменения размера, стабильности и клинических проявлений;
LR4: тщательное наблюдение, дополнительная визуализация, биопсия или лечение;
LR5: лечение без биопсии, радиологическое ТNM-стадирование.
Применяя LI-RADS в МРТ, следует помнить, что эта классификация разработана для использования внутриклеточных гадолиний-содержащих контрастных веществ (например, Гадавист). Использование гепатобилиарного контраста (Эовист, Примовист) изменит интерпретацию МРТ-картины.
Ведение пациентов выявленными объемными поражениями на фоне цирроза
Гайдлайны EASL-EORTC (European Association for the Study of the Liver - European Organisation for Research and Treatment of Cancer) рекомендуют следующую тактику в случае, если УЗИ выявило очаговое поражение у пациента с циррозом:
если найденный узел менее 1 см диаметром, наблюдение каждые 4 месяца на протяжении первого года; затем - каждые 6 месяцев;
при узле 1-2 см диаметром диагноз базируется на неинвазивных методах визуализации или данных биопсии. Если последние оказались неубедительны или паттерн контрастного накопления при КТ/МРТ изменился за время исследования, рекомендована вторая биопсия;
при узле более 2 см диаметром диагностика должна базироваться на неинвазивных методах. Биопсия проводится в случае неубедительных или нетипичных данных КТ/МРТ.
EASL-EORTC называет типичные паттерны, наличия которых при визуализации достаточно для постановки диагноза: образование гиперваскулярно в артериальную фазу и демонстрирует симптом «вымывания» в портовенозную и/или отсроченную фазы. УЗИ с контрастным усилением не рекомендовано для диагностики ГЦР из-за иных характеристик контрастных веществ - они не покидают сосудистое русло. Определение уровня альфа-фетопротеина было исключено из протокола диагностики, так как он редко возрастает на ранней стадии ГЦР.
Источники
Читайте также:
- Приготовление и применение обогащенной тромбоцитами плазмы при реконструкции вращательной манжеты плечевого сустава
- Инфекции мочевыводящих путей : Введение
- Восстановление культей дистальных зубов. Рекомендации
- Баротравма легких при декомпрессии. Патогенез баротравмы легких
- Синдром Вестфаля (Westphal)
