КТ, МРТ при инородном теле глазницы
Добавил пользователь Евгений Кузнецов Обновлено: 28.01.2026
Отделение микрохирургии №1
Зав. отделением Воронович Т.Ф.,
врачи-офтальмологи Кардаш О.Н. Сивашко А.С.
Сегодня обсудим тему "МРТ КТ в офтальмологии" - когда необходима данная диагностика?
Применение МРТ в наше время постоянно увеличивается. Что же такое МРТ?
Откройте любой медицинский справочник, и ответ будет однозначным. Магнитно-резонансная томография (МРТ) - метод получения диагностических изображений, основанный на использовании явления ядерно-магнитного резонанса. Главное в этом определении то, что этот метод не имеет никакого отношения к заряженным радиоактивным частицам и другим потенциально опасным для здоровья вещам. Поэтому весь мир, пользуется термином МРТ. При МРТ не используются проникающие излучения, вредные для здоровья. И вот почему. Задача во время исследования - создать такие условия, при которых само тело пациента станет источником крайне слабых радиосигналов. Такие радиосигналы существуют без всякой дополнительной аппаратуры и условий, так как это один из индикаторов правильности протекания жизненных процессов в нашем организме. При МРТ мы лишь изолируем одного пациента - один источник - от всех остальных источников радиосигналов, чтобы максимально ослабить влияние помех. Затем с помощью аппаратного обеспечения томографа хаотичные сигналы упорядочиваются так, чтобы принимать их только из определенной области тела. Для этого нужно мощное, но безвредное для человека магнитное поле. Затем, используя очень чувствительные антенны и приемники, радиосигнал, принимается, обрабатывается сверхскоростным компьютером и получается изображение. Оно отражает распределение радиосигналов клеток человеческого тела в различных плоскостях и соотношениях. Такое изображение в медицине принято называть томограммой. Это самый важный этап.
Нормальные клетки органов и тканей, не пораженных болезненным процессом, имеют один уровень сигнала. «Больные» клетки - это всегда другой, измененный сигнал в той или иной степени. На изображении измененные патологическим процессом участки тканей и органов выглядят иначе, чем здоровые. Это и есть основа медицинского диагностического изображения. Распознать детальные изменения - дело опыта врача-исследователя, производное качества аппаратуры. Томограммы, полученные с его помощью, содержат огромный объем информации. Вот только найти и оценить эту информацию томограф не сможет. Это - работа человека, врача.
Итак, Вы - пациент. Как же Вам поступить? Чтобы помочь врачу быть максимально полезным, Вам стоит придерживаться простых и понятных правил:
1. Сначала пройдите первичный осмотр Вашего лечащего врача, консультации назначенных им специалистов, анализы и т.д. Дайте Вашему лечащему врачу оценить полученную на этом этапе информацию, «сузить» круг дальнейшего поиска.
2. Если Вам назначена МРТ, это еще не говорит о каких-то глобальных проблемах в Вашем здоровье. Возможно, МРТ - один из немногих способов получить информацию о состоянии Вашего заболевания, либо просто его исключить.
3. Строго и точно выполняйте требования и рекомендации специалистов МРТ. Они выработаны длительным опытом напряженной работы множества людей, объединенных единственной целью - помочь Вам.
Томограммы содержат огромный объем информации о строении органов и тканей в определенной анатомической зоне. Структура, взаимоотношение органов между собой, их размеры, конфигурация - вот те основные моменты, которые мы оцениваем в ходе исследования. Магнитно-резонансный томограф устроен таким образом, что в ходе одного сеанса невозможно обследовать все зоны интереса. Значит, одной из важнейших задач для врача, направляющего своего пациента на МРТ, является точное указание той анатомической области, в которой предстоит выполнить исследование. Кроме этого, существует большое разнообразие специальных программ и методик исследований. Каждая из таких программ подготовлена для выявления характерных признаков определенной группы патологических изменений. Поэтому провести МР-исследование по всем программам сразу - крайне длительная и очень дорогостоящая процедура. Как и другие медицинские исследования, МРТ служит для выявления тех заболеваний, которые невозможно выявить иным способом. Либо другой способ неприемлем в силу, например, противопоказаний. Значит, лечащий доктор, направляющий пациента на МРТ, должен формулировать конкретную цель такого направления. Возможности современной магнитно-резонансной томографии позволяют диагностировать заболевания даже таких сложных и тонких систем, как глаза.
МРТ глазных орбит и зрительных нервов производится при наличии ряда показаний, основными из которых являются:
- воспалительные заболевания глаза, глазницы и окружающих структур, целлюлит , абсцесс орбиты;
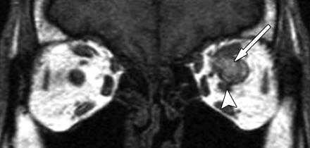
- инородные тела и травмы, попадание инородных тел в глаз или ретробульбарное пространство
- патология формы глазного яблока
- подозрения на наличие опухолей: опухоли глаза (меланома глаза и др.), слезных желез, опухоли глазницы: менингиомы, глиома зрительного нерва, отдаленные метастазы в глазницу, доброкачественные ретробульбарные опухоли (дермоиды); идиопатическая воспалительная псевдоопухоль
- атрофия зрительного нерва или иные заболевания дегенеративного характера (при застойных дисках зрительных нервов);(демиелинизирующее заболевание)
- кровоизлияния или закупорка кровеносных сосудов; сосудистые заболевания; каротидно-кавернозные соустья (ККС), тромбоз верхней глазничной вены, варикоз глазницы, артерии и вены глазницы
- отслойка сетчатки
- поражение стенок глазниц: мукоцеле, костный гиперостоз и бластные повреждения
- тиреоидная орбитопатия;
Что можно увидеть на снимках МРТ глаза
Методика МРТ глазных орбит отличается максимальной информативностью при минимальной нагрузке на организм. От иных методов диагностики она отличается отсутствием какой-либо лучевой или ионизирующей нагрузки. Это особенно важно, учитывая не только сложность структуры глаза, но и близость головного мозга. Кроме того, это исследование не требует никакого инвазивного вмешательства.
При МРТ орбит и зрительного нерва не используются никакие катетеры, зонды и прочие механические приспособления. Исследование заключается в помещении пациента в камеру магнитно-резонансного томографа и пребывание там, в неподвижном состоянии на протяжении от 30 (обычное) до 60 (контрастное исследование) минут. Для проведения МРТ глазных орбит и зрительных нервов никакой предварительной подготовки пациента не требуется.
Единственным исключением является контрастная МРТ. В этом случае перед началом диагностики в вену вводится специальное вещество, которое усиливает четкость изображения кровеносной сети. Контраст применяется при подозрениях на наличие опухолей или исследованиях состояния сосудов.
Для опухолей это актуально потому, что в зоне новообразований образуется очень разветвленная сосудистая структура, отличающаяся от кровеносной сети окружающих областей. Даже опухоли очень маленького размера четко визуализируются на начальных этапах возникновения.
Особенность МРТ орбиты глаза состоит в том, что при исследовании можно увидеть в различных проекциях или объемном моделировании все содержимое, находящееся в глазнице. Отдельно выделяются глазные яблоки, зрительные нервы, мышцы глаз и зона ретробульбарного пространства.
В этой зоне находятся многочисленные сосуды, нервы, мышцы и жировая клетчатка. При исследовании выявляется степень целостности этих образований, воспалительные процессы, наличие опухолей различного характера, повреждения сосудов вследствие аневризм, тромбозов, разрывов, дегенеративные изменения.
Очень информативна магнитно-резонансная томография глазного нерва при травматических или химических поражениях зоны глаза. Главный зрительный нерв является основным и единственным путем передачи информации от глаза к головному мозгу. Его повреждения вызывают перебои в передаче этих данных и значительное ухудшение зрения при здоровых глазах. Значение своевременного обнаружения невритов или атрофии зрительного нерва нельзя преувеличить.
Своевременное обнаружение начала заболевания при МРТ зрительного нерва позволяет начать эффективное лечение, которое не только остановит патологический процесс, но может и в значительной степени восстановить зрение. Зрительный нерв - это сложнейшее образование, состоящее более чем из миллиона нервных волокон. Нарушение состояния даже небольшой части из них приводит к возникновению лавинообразного процесса ухудшения зрения.
В каких же ситуациях МРТ может быть максимально эффективным методом диагностики? Это головной и спинной мозг. До самого последнего времени исследования структуры и функции головного и спинного мозга были наименее разработанной частью медицинской диагностики. Только в начале 70-х годов ХХ века с изобретением рентгеновской компьютерной томографии (КТ) эта задача получила свое первое решение. Говоря о МРТ диагностике нельзя обойти стороной КТ исследование, которое довольно широко применяется в офтальмологии.
КТ орбиты глаза и глазного нерва
Компьютерная томография орбиты глаза, как правило, назначается для визуализации состояния костных систем в случаях подозрения на онкологические заболевания. Но стоит отметить, что при КТ орбит глаза отлично визуализируются различные изменения, происходящие в мягких тканях. Основная разница исследований КТ и МРТ заключается в том, что метод МР-томографии позволяет гораздо лучше визуализировать обогащенные водой и водными растворами мягкие ткани, кровеносные сосуды, лимфотоки и нервные ткани, хрящевидные образования. А костные структуры видны на МРТ хуже, чем на КТ.
Компьютерная же томография глазницы отлично диагностирует наличие новых кровоизлияний или кровотечений при травмах. Выявление новообразований, их измерение и определение расположения, проникновения опухолей в область глаза, диагностика КТ глаза и глазного яблока стоит наравне с МРТ, в особенности при диагностике с применением контрастирующего вещества.
Методом компьютерной томографии сетчатки глаза можно отлично исследовать всевозможные отслоения в сетчатке глаза, любое проникновение жидкости в область соединения сетчатки и сосудистой оболочки. Чем раньше пациент сможет обнаружить такие отклонения, что предоставляет исследование КТ, тем своевременнее и эффективней будет лечение, которое также даст возможность предотвратить появление необратимых процессов гибели элементов сетчатой оболочки.
КТ по цене немного дешевле, чем МРТ, но ее основное отличие — это то, что там присутствует рентген-облучение, пусть и не в значительной степени, что не позволяет ее проводить слишком часто. В любом случае выбор диагностики должен сделать ваш лечащий врач.
Примечание: какая-либо специальная подготовка больных для проведения рентгеновской компьютерной томографии и магнитно-резонансной томографии головного мозга не требуется.
Показания и противопоказания (ограничения) к проведению рентгеновской компьютерной и магнитно-резонансной томографий
Данный перечень не является исчерпывающим. Абсолютность показаний и противопоказаний в любом случае определяется врачом, проводящим исследование и врачом, направляющим на исследование.
I. Ограничения к проведению исследований рентгеновской компьютерной томографии и магнитно-резонансной томографии
1. ОБЩИЕ
- Масса тела больше 150 кг для КТ и 110 кг для МРТ;
- Неадекватное поведение больного;
- Кардиостимуляторы;
- Импланты внутреннего и среднего уха
- Металлические (намагничиваемые) клипсы и стенты
- Металлические инородные тела, импланты и послеоперационные конструкции
- Первый и третий триместры беременности
- Клаустрофобия
- Беременность
- Непереносимость препаратов содержащих йод (для исследований с контрастным усилением);
Для оптимизации МРТ и КТ диагностики НЕОБХОДИМО направление офтальмолога с предварительным диагнозом, целью и задачами исследования.
При обращении для оценки динамики ранее выявленного заболевания, либо для уточнения данных других методов диагностики (УЗИ, КТ, МРТ, ангиография, сцинтиография, ПЭТ и др) НЕОБХОДИМО принести с собой результаты (снимки, заключения, CD) вышеперечисленных методик. Крайне желательно ПРИНЕСТИ имеющиеся клинические выписки (амбулаторная карта).
Вы прочитали очень краткий обзор, посвященный огромной отрасли современной диагностики - магнитно-резонансной томографии. Информация, изложенная здесь, поверхностно касается различных аспектов применения МРТ. Как и у каждого диагностического метода, у МРТ существуют свои показания к применению, а также строго оговоренные противопоказания. МРТ не может разрешить все диагностические проблемы. Этот метод в чем-то несовершенен, малоизучен. Но уже сейчас мы можем сказать о нем самое главное: МРТ наиболее информативна и безопасна во многих сложных случаях.
Своевременное обнаружение начала заболевания при МРТ диагностике позволяет начать эффективное лечение, которое может не только остановить патологический процесс, но в значительной степени восстановить зрение.
Применение МРТ при заболеваниях глаз
Нарушения зрения развиваются медленно или стремительно. Длительное медленно прогрессирующее развитие нарушений зрения характерно для близорукости и дальнозоркости, а резкое - для нарушения проходимости центральной артерии сетчатки, гемофтальма, приступа глаукомы. Внезапные нарушения зрения зачастую оказываются необратимыми, поэтому требуют обязательной доскональной диагностики и срочного вмешательства. Рассмотрим на примере, как визуализируются изменения орбит при МРТ-диагностике.
1. Отслойка сетчатки.
Наиболее частые причины отслойки сетчатки - травма, её истончение (у людей с сильной близорукостью), офтальмологическая операция в анамнезе (к примеру, экстракция катаракты), образования сосудистой оболочки глаза, дегенерация стекловидного тела и диабетическая ретинопатия.
2. Синдром Толоза-Ханта (болезненная офтальмоплегия, синдром верхней глазничной щели)
Характеризуется вовлечением в процесс всех структур, проходящих через верхнюю глазничную щель (артерия, вена, отводящий нерв, блоковый нерв и глазодвигательный нерв, первая ветвь тройничного нерва), и прилегающего к ней кавернозного синуса. Субъективные проявления cиндрома Толоза-Ханта: болезненность в области орбиты, двоение в глазах, экзофтальм и хемоз.

Тот же пациент, исследование в динамике через 4,5 года

Исследование в 2008 году Исследование в 2013 году
3. Миозит.
Возникновение данного заболевания, зачастую, связано с простудным фактором. Проявляется острой болью в глазах и глазницах, особенно при тех движениях глазного яблока, в которых участвуют пораженные мышцы. Далее развивается экзофтальм, диплопия.

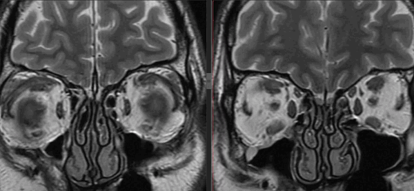
Для более детального изучения выявляемой патологии возможно проведение внутривенного контрастирования (введения контрастного вещества):

На изображении слева-снимок без контрастного препарата, на изображении справа - с контрастированием.
4. Дакриоаденит.
Это острое, либо хроническое заболевание слезной железы воспалительного характера. Инфекции чаще приводят к острому дакриоадениту. Лимфолейкозы и алейкемические лимфаденозы, туберкулезная и, реже, сифилитическая инфекции могут вызывать хронический дакриоаденит.

5. Объемные образования орбит.
В орбитах с обеих сторон, более выражено справа, определяются множественные дополнительные образования. Образования интимно прилежат к стенкам глазниц, мышцам глаза. Часть из них - расположены изолированно в орбитальной клетчатке без достоверных признаков прилежания к структурам глазниц.

6. Опухоль слезного мешка.

7. Ретинит, вызванный цитомегаловирусом.
Аксиальное Т1-взвешенное изображение с контрастным усилением: асимметричное утолщение сосудистой оболочки глаза справа (стрелка) по сравнению с левой стороной.

8. Каротидная кавернозная фистула.
На аксиальной Т1-взвешенной МР-томограмме визуализируется расширение правой и левой верхних глазничных вен (стрелки).
9. Тромбоз верхней глазничной вены.
Корональная Т1-взвешенная МР-томограмма демонстрирует гиперинтенсивный сигнал в проекции расширенной левой верхней глазничной вены (стрелка), свидетельствующий о тромбозе. Маленькая стрелка указывает на смещенный влево зрительный нерв.

МРТ-диагностика, зачастую, незаменима в диагностике патологии орбит благодаря превосходной дифференцировке тканей.
Понимание изменений, выявляемых при диагностике нетравмированных орбит, таких как воспаление, инфекции сетчатки и сосудистой оболочки имеет решающее значение для постановки диагноза и выбора оптимального метода лечения, чтобы избежать потери зрения и других потенциально разрушительных последствий.
Что выявляет МРТ глазных орбит?
Глаза - это окно в мир. Большинство людей могут лишь отдаленно представить себе, что значит быть в постоянной темноте.
О глазе, его «вместилище»- глазных орбитах - и обнаружении их патологии с помощью магнитно-резонансной томографии мы беседуем сегодня с врачом-рентгенологом «МРТ Эксперт Липецк» Чеботаревой Галиной Николаевной.
- Галина Николаевна, скажите, пожалуйста, что такое МРТ органов зрения и в каких случаях оно показано?
Это исследование включает в себя диагностику глазниц (орбит), в которых, помимо глаза, располагаются зрительный нерв, жировая клетчатка, мышцы глаза и некоторые другие анатомические образования.
МРТ глаза рекомендовано при любых жалобах со стороны органов зрения: его ухудшении, ограничении полей зрения, ощущении инородного тела или давления в области глаза.
- Что выявляет магнитно-резонансная томография глаза и глазных орбит?
Диагностика оценивает состояние передней камеры глаза, хрусталика, стекловидного тела, оболочек и мышц глазного яблока, жировой клетчатки, зрительного нерва, слезных желез. На МРТ определяются их размеры, взаимное расположение, наличие воспалительных изменений, новообразований, атрофии, структурных дефектов, инородных тел.
- Чем отличается МРТ глазных орбит и КТ?
При большей части патологических изменений МРТ орбит глаз является методом выбора, поскольку она лучше «покажет» мягкие ткани. КТ более предпочтительна при подозрении на инородные тела глазницы, особенно металлические, когда МРТ может быть противопоказано. Кроме того, компьютерная томография лучше выявляет патологию костных структур (т.е. собственно глазницы - например, при травме), кальцификаты (в частности, при ретинобластоме).
- МРТ глаза проводится с контрастом или без?
Процедура выполняется как с контрастным усилением, так и без него.
- Необходима ли подготовка к проведению МРТ глаза?
Девушкам не рекомендуется использование косметики на глазах (туши, теней), поскольку при выполнении снимков могут появляться артефакты, мешающие интерпретации снимков. Перед проведением диагностики обязательно уточняется наличие противопоказаний к магнитно-резонансной томографии.
- Как проводится магнитно-резонансная томография глазных орбит и сколько времени занимает процедура?
Во время обследования рекомендуется зафиксировать взгляд, и до его завершения стараться смотреть в эту точку (в том числе и при закрытых глазах). В процессе исследования делаются мелкие компьютерные «срезы» орбиты и ее структур в трех проекциях. Продолжительность процедуры составляет 10-12 минут. Если она дополняется контрастным усилением, время немного увеличивается.
- Галина Николаевна, возможно ли сделать МРТ глазных орбит в центрах «МРТ Эксперт»? Необходимо ли направление от врача для записи?
Это исследование относится к стандартным и проводится во всех центрах «МРТ Эксперт». Направление от доктора необязательно, однако при его наличии врач-рентгенолог может целенаправленно ответить на какие-то вопросы, поставленные лечащим врачом, возможно, подозревающим какое-то конкретное заболевание. Вообще же исследование проводится в полном объеме вне зависимости от ситуации.
- Предположим, МРТ глазных орбит и глазных нервов выявило патологию. Что делать дальше? К какому врачу обращаться?
Это зависит от того, какую патологию мы выявили. Это может быть офтальмолог, эндокринолог, невролог, онколог, нейрохирург. В заключении мы всегда указываем, консультация врача какой специальности необходима.
Чеботарева Галина Николаевна
Выпускница Курского государственного медицинского университета 2005 года, специальность «Лечебное дело».
В 2006 году закончила интернатуру по специальности «Неврология», в 2012 году - по специальности «Рентгенология».
В настоящее время занимает должность врача-рентгенолога в «МРТ Эксперт Липецк».
Подробнее о Галине Чеботаревой можно прочитать здесь, в наших социальных сетях.
Что показывает МРТ глазных орбит и зрительного нерва
МРТ глаза — процедура, которая позволит вам вовремя выявить какие-либо заболевания глазных обрит и своевременно их пресечь.
Сегодня современная медицина располагает большим количеством методов диагностики патологии глаза. Среди них - ультразвуковое исследование, компьютерная томография, рентгенография и другие. Однако в случае с рядом заболеваний ни один из этих методов не способен в полной мере провести комплексную диагностику и выявить причину возникших симптомов. Некоторые патологии возможно выявить только с помощью МРТ глазных орбит и зрительных нервов.
Преимущество этого вида исследования заключается в возможности увидеть орган в нескольких проекциях, и с помощью специального программного обеспечения сформировать трехмерное изображение исследуемой зоны. Это делает МРТ самым современным и высокотехнологичным методом. Ранее ни один и способов обследования не позволял в таком объеме и с таким высоким качеством визуализации выявлять различные заболевания, в том числе сложнейшие патологии.

Глазницы - это полости, ограниченные костями черепа. В них расположены глазные яблоки. Полость глазных впадин сообщается с расположенными рядом носовыми, черепными и другими полостями с помощью нервов и сосудов. Именно поэтому глазные заболевания зачастую сопровождаются воспалительными процессами в других зонах, расположенных в непосредственной близости к глазным.
По этой же причине травмы и воспаления этого участка наиболее опасны, так как расположены достаточно близко к мозговым оболочкам и венам. Отсюда можно сделать вывод, что своевременная МРТ орбиты глаз позволяет не только выявить возможные патологии структур глазницы, но и предотвратить начало заболевания в других органах, расположенных на голове человека.
Для чего делают МРТ глазных орбит?
Глазница представляет собой соединение различных структур, среди которых и сосуды, и нервы, и мышцы, а также другие составляющие. Благодаря МР-диагностике возможно оценить однородность и целостность этих структур, выявить опухоли, структурные нарушения тканей, травмы, тромбозы, разрывы, аневризмы и любые воспалительные процессы.
- глазного яблока
- зрительных нервов
- слезных желез
- глазных мышц
- жировой клетчатки
- ретробульбарной зоны

Малейшие нарушения в функционировании зрительного нерва, чаще всего, приводят к резкому падению зрения. В этом случае требуется максимально оперативная и наиболее точная диагностика, которая позволит быстро выявить причину, принять срочные меры для лечения заболевания и прекращения снижения зрения. В большинстве случаев от того, насколько быстро будет выявлена природа заболевания, зависит эффективность лечения и возможность полного восстановления зрения.
МРТ орбиты глаза позволяет наиболее быстро получить точные данные о состоянии глазницы и ее составляющих, определить наличие заболеваний, патологий, масштаб и степень распространения. Процедура проводится быстро, без облучения и какого-либо дискомфорта для пациента.
МР-томография может проводиться как по инициативе пациента, так и по назначению лечащего врача. При необходимости перед проведением сеанса вам будет предоставлена бесплатная консультация врача-рентгенолога с целью наиболее точного определения зоны и методики исследования.
Показания к проведению МРТ глаза
Магнитно-резонансная томография орбит глаза делается в первую очередь при подозрении на наличие новообразование. Обследование позволяет точно определить их местонахождение, а также спланировать хирургическое вмешательство, если это необходимо.
МРТ зрительного нерва - что показывает:
- воспаление орбит и придаточных пазух носа;
- нарушения зрительного пути;
- воспаление зрительных нервов;
- травмы глаза;
- подозрение на наличие инородного тела;
- демиелинизирующие заболевания (рассеянный склероз, поперечный миелит, болезнь Девика, миелинолиз среднего моста);
- повышенное внутричерепное давление;
- нарушение кровотока
- тиреоид-ассоциированная орбитопатия;
- некоторые случаи глаукомы;
- подтверждение результатов, полученных с помощью других методов диагностики.
Для получения максимально точного изображения диагностируемой области, важно перед началом обследования отказаться от макияжа, использования лака для волос, так как некоторые виды косметики содержат частицы металла, которые могут исказить результат. Дополнительно в некоторых случаях МРТ глазниц делается с использованием контрастного вещества, что позволяет получить более качественные и детальные снимки.

Как проводится МРТ глазных орбит и зрительного нерва?
МРТ глаза - абсолютно безболезненная и безопасная процедура, которая не требует предварительной подготовки и осуществляется в течение 20-30 минут. Результаты этого обследования врач-рентгенолог сразу в процессе диагностики. В некоторых случаях в процессе МР-томографии специалистом, осуществляющим диагностику, может быть принято решение о проведении дополнительного исследования для наиболее точной постановки диагноза, например, МРТ с контрастом. Контрастное вещество подсвечивает систему сосудов, что позволяет наиболее четче визуализировать обследуемую зону. Продолжительность сеанса МРТ с контрастом увеличивается до 60-90 минут.
Нередко при определенных показаниях проводится обследование одновременно нескольких зон - это позволяет уменьшить количество дополнительных обследований и наиболее быстро выявить имеющуюся патологию. Такой процедурой является МРТ головного мозга и глазных орбит. Назначается она при наличии головных болей неясного характера, резком снижении зрения, полученных травмах, подозрениях на тромбозы, аневризмы и новообразования. После завершения томографии уже в течение часа вы получите результаты с экспертным заключением и рекомендациями, которые лягут в основу для постановки диагноза вашим лечащим врачом. Результаты могут быть получены как в распечатанном, так и электронном виде, и на диске. В случае если у вас нет возможности ожидать результаты в течение часа, они могут быть направлены вам по электронной почте.
Что выбрать: КТ или МРТ глаз
Помимо МРТ глазных орбит, для диагностики органов зрения часто делают компьютерную томографию. КТ - это метод рентгеновского исследования, при котором пучок рентгеновских лучей проходит через ткани тела в разных направлениях постепенно. Компьютерно-томографический метод исследования покажет многослойные срезы в аксиальной, коронарной, сагиттальной проекции.
При диагностике орбиты глаза толщина слоев колеблются от менее 1 мм до 3 мм. Современное диагностическое КТ оборудование покажет диагностируемую область в трех измерениях. Компьютерная томография проводится быстро - процедура занимает всего несколько секунд. Возможно использование контрастного вещества для получения более детального изображения.
МРТ глазных орбит, что показывает - и что используется при диагностике орбит глаза, как дополнение к УЗИ и КТ. По сравнению с компьютерной томографией, МРТ дает более широкие возможности дифференциации тканей и делается во всех плоскостях. В то же время данный метод обследования безвреден, что очень важно. При его проведении не используется вредное рентгеновское излучение. Поэтому магнитно-резонансная томография может назначаться детям и беременным женщинам при отсутствии противопоказаний. МРТ глаза занимает примерно 20 минут или больше, в зависимости от типа проверки.
Если говорить об эффективности диагностического метода, то процедура МРТ орбит - это более безопасное обследование, которое эффективнее, чем КТ, при оценке костных стенок и кальцификатов. Важная область применения МРТ - нейроофтальмология. Данный метод исследования можно использовать для визуализации, например, демиелинизирующих изменений в головном мозге и нервных окончаниях, также он покажет другие повреждения зрительного пути, включая гиперпластические изменения.
Современные технологии позволяют расширить возможности диагностики с помощью ангиографии и функционального МРТ исследования. Это дает возможность с помощью томографа выявить практически любую патологию зрительных органов быстро, безопасно, с высокой точностью.
Противопоказания к магнитно-резонансной томографии
Метод МР-диагностики современен, уникален и высокотехнологичен, однако и у него есть некоторые противопоказания, большая часть которых связана с взаимодействием металлов и магнита. Главным и абсолютным противопоказанием является наличие металлических элементов, как на теле человека, так и внутри его организма.
Пациенты с кардиостимуляторами, кровоостанавливающими клипсами, встроенными слуховыми аппаратами, инсулиновыми помпами, имплантами, протезами, пластинами, брекетами, зубными коронками и другими металлическими деталями не допускаются в процедуре. Однако есть некоторые металлы, например, титан, которые не нагреваются при взаимодействии с магнитами, поэтому при наличии титановых металлических элементов, пациенты допускаются к томографии.

В любом случае, если у вас есть какие-либо металлосодержащие элементы, прежде всего, вам необходимо проконсультироваться с врачом. Также к особой группе пациентов, которым необходим предварительный допуск к процедуре, являются люди с наличием татуировок на теле. На протяжении многих лет для изготовления татуировок во многих салонах использовались краски с мелкими частицами металла. Если вы относитесь к такой категории, очень важно предварительно уточнить состав краски на вашем теле, и только в случае отсутствия металла в ней записаться на прохождение МРТ глаза.
Также МР-диагностика противопоказана беременным в первом триместре и женщинам в период лактации. На остальных сроках беременности проведение МРТ орбит и зрительного нерва возможно при наличии соответствующих показаний врача. Исключением является только введение контрастного вещества - эта процедура запрещена на всех сроках.
Особенно внимательно необходимо отнестись к диагностике пациентов, страдающих психическими заболеваниями, болеющих клаустрофобией и тех, кто в силу своего тяжелого диагноза не может долгое время находиться в неподвижном состоянии.
Противопоказания к МРТ

Магнитно-резонансная томография в клинической практике используется более 30 лет, и за этот срок апробации не было выявленного ни одного случая негативного воздействия МРТ на здоровье человека. Также, как и УЗИ, этот метод считается абсолютно безопасным, но для данного вида диагностики существует ряд абсолютных (выполнять исследование нельзя) и относительных (исследование возможно, если польза превосходит риск) противопоказаний. Весь список противопоказаний условно можно разделить на противопоказания, связанные с физикой работы магнитно-резонансного томографа, и ограничениями, связанными с введением контрастного препарата.
ЗАПИСЬ НА ПРИЕМ
Абсолютные противопоказания
Абсолютные противопоказания к томографии определяются особенностями получения изображений на МРТ аппарате. Принцип работы томографической установки строится на явлении ядерного магнитного резонанса. Когда тело пациента попадает внутрь сканера, вокруг него образуется сильное магнитное поле и радиочастотные волны. Под этим воздействием атомы водорода в клетках организма начинают совершать колебательные движения. Этот резонанс улавливает компьютер установки, оцифровывает сигналы и переводит их в трёхмерные изображения. Следует помнить, что магнитно-резонансный томограф - это очень сильный магнит. Как и любой магнит, он имеет свойство притягивать металл и выводить из строя любые электронные устройства. Поэтому абсолютные противопоказания к МРТ включают в себя:
- вживленные в тело металлические импланты (стальные пластины, протезы, скобы, скрепы). Под действием магнитного поля томографа металл нагревается, может произойти расширение и движение, что приведет к внутреннему кровотечению или ожогу.
- внедренные в тело стимуляторы (кардиостимулятор, ушной имплант, инсулиновая помпы). Под воздействием магнитного поля электроустройства могут выйти из строя и сломаться.
Однако не любые импланты станут абсолютным противопоказанием к МРТ. В первую очередь, важно узнать, из какого металла они изготовлены. Если металл имеет ферромагнитные свойства, проводить МРТ обследование нельзя. В современной медицине уже практически не используются магнито-чувствительные компоненты. Большинство имплантов сделаны из титана или медицинского пластика, и проходить томографию с ними можно.
Если у пациента есть в теле осколки, пули или другие металлические инклюзии, и он не знает, из какого металла они сделаны, чтобы решить вопрос о возможности проведения МРТ, нужно будет сделать обычную рентгенографию. Рентген четко покажет наличие металла в составе инородных объектов в организме.
Ещё 10 лет назад наличие кардиостимулятора было абсолютным противопоказанием к МРТ. На данный момент в медицине используются сердечные водители ритма, которые совместимы с магнитным полем. Поэтому, чтобы уточнить, можно ли с вашим водителем ритма сделать МРТ, врач попросит предъявить паспорт изделия. Если в нём стоит отметка о совместимость с МРТ, делать томографию можно.
Относительные противопоказания
Относительные противопоказания к МРТ включают в себя следующие случаи:
- полные и габаритные пациенты. Большая часть аппаратов производится с ограничением по весу 120 кг и максимальным обхватом окружности тела 120 см. В Санкт-Петербурге есть ряд клиник, оборудованных установками с грузоподъемностью 200 кг и максимальным обхватом 140 см. Пациентам с большими объемами в качестве альтернативы могут быть предложены УЗИ или рентген.
- на кожных покровах пациента присутствуют татуировки с металлическими вкраплениями. В этих местах на высокопольных аппарата мощностью 1.5 Тесла и выше может происходит нагрев тела, что может привести к ожогу.
- клаустрофобия. Для лиц, страдающих паническими атаками в замкнутом пространстве, есть возможность пройти исследование на открытом томографе, либо можно сделать МРТ под наркозом или седацией.
МРТ с контрастом - противопоказания
Если вам назначили сделать томографию с контрастом, следует учесть дополнительное ограничение. При введении контраста противопоказанием является:
- беременность на всем сроке вынашивания;
- почечная недостаточность;
- наличие аллергии на препараты гадолиния.
При томографии с контрастом пациенту дополнительно вводится контрастный состав на базе солей гадолиния. Это вещество быстрого распада. Оно выводится мочевыделительной системой в течение 10-24 часов. Но при процедуре контрастирования возникает дополнительная нагрузка на почки. Они могут не выдержать ее, если пациент страдает почечной недостаточностью. Поэтому таких больных попросят сдать анализ крови на креатинин, чтобы оценить риск развития нефропатии.
Кормление грудью не является противопоказания к МРТ с контрастом. Женщине просто необходимо воздержаться от кормления грудью на двое суток. За это время контрастный состав полностью выйдет из организма, и не будет угрозы попадание его остатков через молоко матери в организм младенца.
Противопоказания к МРТ головного мозга
Когда назначают сделать МРТ головного мозга, обычно у пациентов возникает вопрос о возможных дополнительных противопоказаний, например:
- наличие брекетов, зубных имплантов, штифтов и коронок;
- наличие сосудистых клипс на сосудах головного мозга.
Делать томографию головы с зубными имплантами можно. В современной стоматологии уже давно используются композитные материалы, у которых нет металломагнитных сплавов в свойстве. Ваши зубные коронки и штифты не могут повредить сканированию. Само магнитное поле никакого негативного воздействия на них тоже не оказывает.
Ситуация с брекетами более сложная. В большинстве случаев пройти МРТ головного мозга, когда у пациента во рту есть несъемные брекет-системы, можно. Однако некоторые брекеты могут давать артефакты засвета на снимках, тем самым ухудшает качество изображения. Если эти артефакты будут слишком сильными, рентгенолог остановит диагностику и предложит альтернативные методы сканирования.
Сосудистые клипсы, которые были установлены в ходе аневризма-корректирующей операции является противопоказанием к МРТ в первые шесть месяцев после хирургического вмешательства. По истечении этого срока осуществлять магнитно-резонансную томографию можно, однако о наличии сосудистых клипсов нужно обязательно предупредить врачам и принести с собой на диагностику описание модели сосудистой клеммы.



Противопоказания к МРТ позвоночника
Основная сложность при проведении МРТ позвоночника заключается в необходимости соблюдать полную неподвижность в ходе обследования на протяжении 15-20 минут. Иногда болевой синдром в спине не позволяет пациенту вылежать сессию сканирования. Поэтому, при сильно выраженных болям в позвоночнике, томографию лучше всего сделать после того, как вы примете обезболивающие, или вам проведут процедуру медикаментозной блокады.
Противопоказания к МРТ суставов
Большинство суставных протезов совместимы с МРТ, например, титановые эндопротезы тазобедренных суставов. Исключения составляют лишь стальные протезы, которые были на вооружении у советских медиков 30-40 лет назад. Если в состав вашего импланта входит стальной сплав, делать МРТ нельзя. Альтернативным методам обследования в такой ситуации станет КТ и ультразвуковая диагностика на аппарате экспертного класса.
Противопоказания после МРТ
Магнитно-резонансная томография не имеет противопоказаний после процедуры. Пациент может вернуться к обычному образу жизни сразу после диагностики. Никакого реабилитационного периода не предполагается. Исключение составляют лишь редкие случаи, когда томографию проводили под наркозом. Из-за остаточного действия седации после МРТ под наркозом нельзя в течение суток управлять транспортным средством.
Противопоказания к МРТ брюшной полости
МРТ брюшной полости иногда трудно сделать пациентам с сердечными проблемами и хроническими заболеваниями легких. Дело в том, что в ходе томографии брюшной полости пациенту нужно будет несколько раз на 20 секунд задерживать дыхание. Это сложная задача для больных с нарушениями сердечного ритма, астмой и легочной недостаточностью.
Ещё одним ограничением к томографии органов брюшной полости может быть плохая подготовка пациента. Если больной не выполнил требования по диете перед обследованием, излишнее газообразование в кишечнике может привести к тому, что снимки будут низкого качества, и рентгенолог не сможет сделать качественное описание результатов диагностики.
Противопоказания к МРТ органов малого таза
При проведении МРТ малого таза у женщин противопоказанием является менструация. В период месячных делать томографию нецелесообразно, поскольку рентгенолог не сможет увидеть состояние яичников. Беременность не является противопоказанием к МРТ, однако это сканирование проводится беременным женщинам по направлению врача.
Противопоказания при МРТ ребенку
Магнитно-резонансную томографию можно делать детям любого возраста, включая новорожденных и грудничков. Сложность диагностики маленьких пациентов заключается в том, что от них трудно добиться полной неподвижности. Поэтому детям до 3 лет томографию проводит под наркозом. Введение анестезиологического пособия накладывает дополнительные ограничения на процедуру. Чтобы врач мог убедиться, что сердце и легкие ребёнка выдержат фармакологического нагрузку, необходимо будет сдать ряд анализов мочи и крови, сделать ЭКГ и принести заключение невролога.
Частые вопросы от пациентов

Являются ли противопоказанием при МРТ зубные импланты
Зубные импланты не является противопоказанием к МРТ, даже если они сделаны из золота или стальных сплавов. Однако об их присутствии в ротовой полости нужно обязательно предупредить врача, если вы делаете МРТ головного мозга, МРТ гипофиза, МРТ сосудов головного мозга и МРТ височно-нижнечелюстного сустава. Стальные импланты и коронки могут давать сильный артефакт засвета на томограммах. Чтобы врач по ошибке не принял их за признаки патологии, он должен знать обо всех имплантах во рту. Кроме того, зная о зубных протезах, оператор МРТ может выстроить программу таким образом, чтобы подавить негативные эффекты от металл-артефактов и максимально улучшить качество снимков.
Являются ли противопоказанием при МРТ зубные коронки и штифты
Зубные коронки, протезы и штифты не являются противопоказанием к магнитно-резонансной томографии, но о них нужно предупредить врача, если вы собрались делать томографию головы. Тогда врач сможет выставить специальную артефакт-подавляющую программу и максимально улучшить качество изображения. Магнитное поле томографа никоим образом не влияет на состояние ваших зубных имплантов. Они не могут никуда сдвинуться, поломаться или получить дефект покрытия.
Является ли МРТ противопоказанием для беременности
Беременность не является абсолютным противопоказанием к МРТ. Более того, современные пренатальные диагностики активно использует томографию для того, чтобы выявить патологии центральной нервной системы у плода на этапе вынашивания. На информационных сайтах о медицине можно встретить фразу о том, что МРТ не проводится женщинам в первый триместр беременности. Связано такое ограничение с тем, что врачи хотят перестраховаться и оградить женский организм от легкого теплового воздействия, когда тело пациентки находится внутри аппарата. Начиная со второго триместра беременности МРТ, как и УЗИ, считается безопасным методом диагностики. Однако большинство медцентров беременным женщинам делает сканирование по направлению врача.
МРТ с контрастом не проводится беременным женщинам на протяжении всего срока вынашивания. Дело в том, что действие гадолиний-содержащего препарата на формирование и развитие центральной нервной системы ребенка до конца не изучены. Поэтому томографию с контрастом во время беременности делают в крайнем случае, когда стоит вопрос угрозы жизни матери.
Читайте также:
- Синдром Дебре-Семеленя (Debre-Semelaigne)
- Операция Beck-Carrel-Jianu. Техника и методика гастростомии по Beck-Carrel-Jianu.
- Влияние содержимого кишечника на гены эпителиальных клеток кишечника
- Гранулема инородного тела кисти: атлас фотографий
- Методика удаления эпиретинальных мембран. Принципы пилинга ЭРМ
