Липобластома и липобластоматоз мягких тканей - лучевая диагностика
Добавил пользователь Владимир З. Обновлено: 21.11.2025
Липома (жировик, липобластома, жировая опухоль) - доброкачественное новообразование (опухоль), развивающееся из жировой ткани.
Лечение липом
Лечение липомы только хирургическое. Имеются следующие показания к оперативному лечению липом:
1. Быстро прогрессирующее увеличение размеров липомы;
2. Большой размер липомы;
3. Функциональные расстройства, проявляющиеся сдавлением окружающих органов и тканей; болезненность липомы, нарушение функции органа;
4. Косметический дефект.
При небольших по размеру опухолях с доступным расположением оперативное вмешательство проводят под местной анестезией в амбулаторных (поликлинических) условиях. При больших размерах липомы, а также липомах, локализованных в сложных анатомических областях (например, липомы шеи, подмышечной ямки), пациенты госпитализируются, и оперативное лечение проводится в условиях хирургического стационара.
При липомах возможны три варианта хирургического пособия:
1. Иссечение липомы вместе с капсулой - представляет собой наиболее радикальный метод хирургического лечения. Под местным обезболиванием широким кожным разрезом липома вылущивается и удаляется вместе с капсулой, после этого накладываются швы на подкожную жировую клетчатку и кожу. В случае больших размеров новообразования на один или два дня ставится дренаж в ложе удалённой липомы. Преимуществом этой хирургической методики является высокая радикальность и отсутствие рецидивов новообразования, а недостатком - неудовлетворительный косметический эффект.
2. Миниинвазивное (эндоскопическое) удаление липомы: через небольшой разрез кожи длиной до 1 см производится разрушение липомы и удаление её внутри капсулы, контроль полноты удаления производится при помощи миниэндоскопа (оптического прибора, используемого для исследования полых анатомических образований). Такое хирургическое вмешательство позволяет достичь хорошего косметического эффекта, однако является недостаточно радикальной.
Эндоскопическое удаление липомы: 1 - липома; 2 - капсула липомы; 3 - оптическая трубка; 4 - видеокамера; 5 - рабочий инструмент; 6 - световод.
3. Липосакция липомы: через разрез кожи не более 5 мм в длину липома удаляется внутри капсулы с использованием липоаспиратора без последующей проверки полноты её удаления. Несмотря на лучший косметический эффект, эта хирургическая методика чревата большой вероятностью рецидива липомы.
Липосакция липомы: 1 - липома; 2 - капсула липомы; 3 - глублежащие ткани; 4 - кожа; 5 - подкожная клетчатка; 6 - трубка отсоса.
Диагностическое обследование
Вы можете записаться на консультацию к специализированному хирургу, он оценит Ваше состояние и определит необходимость и срочность операции (возможно, она не нужна и есть альтернативы; возможно, необходима экстернная операция); индивидуально подберет метод операции, определит необходимость использования и вид сетчатого импланта.
Стоимость услуг
| Прием врача хирурга первичный/вторичный | 1950/1500 руб. |
| Прием врача хирурга воскресенье | 1100 руб. |
Причины возникновения липомы
Причиной возникновения атеромы могут быть нарушения процессов обмена веществ, приводящие к изменению характера секрета (выделений) сальных желёз, что приводит закупорке их протоков. Атеромы достаточно часто появляются при повышенной потливости, что особо выражено в случае имеющихся гормональных сдвигов, проявляющихся жирной себорей и угревой сыпью и создающих неблагоприятный фон для возникновения кист желёз. К предрасполагающим к развитию атером факторам принято относить неблагоприятные условия внешней среды и хроническую травматизацию кожи.
Симптомы липомы
При осмотре подкожная липома представляет собой округлое, подвижное, не спаянное с окружающими тканями и кожей, безболезненное образование. При растягивании кожи над липомой появляются втяжения за счёт дольчатого строения этой опухоли. Располагается липома там, где присутствует жировая ткань, чаще всего под кожей. Характерные места локализации подкожных липом - спина, верхние и нижние конечности, голова (её волосистая часть и лицо). Довольно часто липома бывает множественной.
Размеры липомы могут варьировать от величины горошины до головы ребёнка, но обычно составляют от 15 до 50 мм. Встречаются также гигантские липомы: у таких пациентов опухоль отвисает, образуя в месте своего основания тонкую ножку из кожи, что может приводить к застою крови, отёку, омертвению и изъязвлению. Иногда размер опухоли обусловлен массой тела пациента: при увеличении веса больного увеличивается в размерах и жировая опухоль, однако чаще её рост происходит бесконтрольно, независимо от изменений массы тела.
Обычно образование имеет мягкую, мягко-эластическую консистенцию, а при выраженном развитии в ней соединительной ткани происходит её уплотнение. В большинстве случаев липомы бессимптомны, однако иногда могут быть болезненными, причинять чувство дискомфорта, а также сдавливать близлежащие органы. Пациенты в основном предъявляют жалобы на косметический дефект, тем более, что с возрастом происходит увеличение размера липом.
Липома шеи
Липомы забрюшинного пространства могут достигать довольно больших размеров. Их клинические проявления обусловлены смещением или компрессией (сдавлением) близлежащих органов.
Инфильтрирующая, или интрамуральная, липома локализуется в толще мышц, при этом не имея чётких границ.
Множественные мелкие липомы, располагающиеся по ходу крупных нервов, иногда бывают болезненными вследствие оказания давления на соответствующий нерв. Диагноз при глубоко лежащих липомах достаточно затруднителен, установить его возможно, как правило, только при гистологическом исследовании.
Обследование при липоме
Диагностика поверхно расположенных липом сравнительно проста и основывается на их местоположении, мягкоэластической консистенции, подвижности по отношению к окружающим тканям, безболезненности при ощупывании и образовании характерных втяжений при растягивании кожи над этим новообразованием.
В тех случаях, когда липома находится в недоступных для прощупывания местах (внутри грудной клетки, сустава, в спинномозговом канале), необходимо использование дополнительных методов исследования: рентгенографии и ультразвукового исследования (УЗИ).
1. Рентгенологическая диагностика жировиков мягких тканей основывается на использовании длинноволнового («мягкого») рентгеновского излучения, которое позволяет произвести оценку структуры мягких тканей организма. При рентгенографии липом, залегающих глубоко, например, в мышечной ткани, необходимо увеличение «жёсткости» пучка рентгеновского излучения. На полученных рентгенограммах липома имеет вид просветления с гладкими очертаниями, обычно правильной формы. Такое образуемое липомой просветление, как правило, однородное, но изредка в нём могут встречаться мелкие участки обызвествления (отложения в ткани солей кальция). Форма такого просветления зависит от плотности органов, между которыми заключён жировик.
При расположении липомы в брюшной полости, забрюшинном пространстве или грудной клетке рентгенологическое исследование осуществляется с использованием искусственного контрастирования газом (создание пневмомедиастинума, пневморетроперитонеума и др.).
2. Наиболее достоверным методом диагностики глубоколежащих липом является рентгеновская компьютерная томография (КТ), позволяющая чётко отличить жировую ткань, которая характеризуется низким показателем поглощения рентгеновского излучения, от более плотных мягкотканных структур.
3. При ультразвуковом исследовании (УЗИ) липомы имеют вид гипоэхогенных образований с тонкой капсулой, располагающихся в толще жировой ткани.
4. При возникновении сомнений в доброкачественном характере опухоли прибегают к пункционной (тонкоигольной) аспирационной биопсии с последующим цитологическим исследованием: при помощи тонкой иглы забирают фрагмент новообразования, а затем исследуют полученный биологический материал под микроскопом.
Лабораторное обследование:
Лабораторное обследование при липоме не имеет самостоятельной ценности для постановки диагноза. В случае госпитализации для выполнения планового хирургического вмешательства по поводу липомы проводится общеклиническое лабораторное обследование (общий анализ крови (ОАК), общий анализ мочи (ОАМ), биохимический анализ крови (БАК), глюкоза крови, исследование на ВИЧ, сифилис, гепатиты), позволяющее исключить противопоказания к оперативному вмешательству.
В сомнительных случаях для исключения других заболеваний производится цитологическое исследование материала, полученного при пункционной биопсии. С этой целью полученный при пункции материал наносят на предметные стёкла, которые затем окрашивают по методу Романовского - Гимзы. Готовые прпараты врач-цитолог исследует под микроскопом. При липоме в мазке обнаруживаются обычные жировые клетки (адипоциты), между которыми обнаруживаются группы клеток, содержащие несколько жировых вакуолей.
Липобластома и липобластоматоз мягких тканей - лучевая диагностика
Редкое заболевание, локализуется чаще в коже. Встречается у людей с нарушенным липидным обменом, обычно множественное. Локализуется также в сухожилиях. Представлено мелкими узелками, частью типа ксантелазм.
Юношеская ксантогранулема
Небольшой узелок в толще дермы или подкожной клетчатке. Исчезает спонтанно.
Фиброзная гистиоцитома
Чаще встречается в среднем возрасте, локализуется преимущественно на нижних конечностях. Обычно имеет форму плотного узла до 10см, растет медленно. После хирургического удаления рецидивы редки.
ДОБРОКАЧЕСТВЕННЫЕ ОПУХОЛИ ЖИРОВОЙ ТКАНИ
Липома
Одна из самых частых доброкачественных опухолей (30—40%). Может возникнуть всюду, где есть жировая ткань. При локализации в дерме обычно инкапсулированная, в других участках тела слабо отграничена. Озлокачествляться могут опухоли, локализованные в забрюшинном пространстве, другие локализации практически не озлокачествляются. Липомы нередко бывают множественными, иногда развиваются симметрично. Рост их не связан с общим состоянием организма. Опухоль имеет форму узла дольчатого строения. При длительном существовании в липоме могут развиваться дистрофические изменения, обызвествление, оссификация.
Существуют многочисленные варианты зрелых жировых опухолей, которые отличаются от классической липомы как клиническими проявлениями, так и некоторыми морфологическими особенностями.
Миелолипома
Редкая опухоль, чаще встречается в забрюшинном пространстве, клетчатке малого таза, надпочечниках. Не озлокачествляется.
Подкожная ангиолипома
Многочисленные болезненные узлы. Встречается чаще в молодом возрасте у мужчин на передней стенке живота, на предплечье.
Веретеноклеточная липома
Наблюдается чаще у взрослых мужчин (90%). Узел округлой формы, плотный, медленно растущий, чаще локализован в области плечевого сустава, спины. Рецидивы и метастазы после иссечения не описаны, несмотря на тот факт, что опухоль может инфильтрировать окружающие ткани.
В хондро- и остеолипомах выявляют метапластические участки костной и хрящевой ткани.
Доброкачественный липобластоматоз
Подразделяется на узловатую (добр. липобластома) и диффузную (добр. липобластоматоз) формы. Болеют чаще мальчики до 7 лет (88%). Опухоль локализуется на нижней конечности, в области ягодиц и на верхней конечности — надплечье и кисть. Описаны также поражение шеи, средостения, туловища. Опухолевый узел инкапсулированный, дольчатый, шаровидной формы, может достичь 14 см. После хирургического лечения возможны рецидивы, иногда повторные. Метастазы не описаны.
Гебернома (фетальная липома)
Липома из липобластов, псевдолипома — исключительно редкая опухоль, локализуется в местах, где имеется бурый жир (шея, аксилярная область, сина, средостение). Представлен дольчатым узлом обычно маленького размера. Не рецидивирует и не метастазирует.
ДОБРОКАЧЕСТВЕННЫЕ ОПУХОЛИ МЫШЕЧНОЙ ТКАНИ
Опухоли мышечной ткани делят на опухоли гладких мышц — лейомиомы, и поперечно полосатых — рабдомиомы. Опухоли встречаются достаточно редко.
Лейомиома
Зрелая доброкачественная опухоль. Возникает в любом возрасте у лиц обоих полов. Нередко бывает множественной. Опухоль может озлокачествляться. Лечение хирургическое.
Лейомиома, развивающаяся из мышечной стенки мелких сосудов — небольшие, часто множественные нечетко отграниченные и медленно растущие узлы, часто с изъязвленной кожей, клинически очень напоминает саркому Капоши.
Генитальная лейомиома образуется из мышечной оболочки мошонки, больших половых губ, промежности, сосков молочной железы. Может быть множественной. В опухоли нередко отмечается клеточный полиморфизм. Гормонозависимая. Лечение хирургическое.
Ангиолейомиома из замыкающих артерий
Клинически резко болезненная опухоль, которая при внешних воздействиях или эмоциях может менять размеры. Размеры обычно маленькие, чаще встречается у пожилых людей, на конечностях, вблизи суставов. Характеризуется медленным ростом и доброкачественным течением.
Рабдомиома
Редкая зрелая доброкачественная опухоль, имеет в своей основе поперечно полосатую мышечную ткань. Поражает сердце и мягкие ткани. Представляет собой умеренно плотный узел с четкими границами, инкапсулированная. Метастазов рабдомиомы не описано. Рецидивы крайне редки. Микроскопически различают 3 субтипа — миксоидный, феталный клеточный и взрослый. Выделяют также рабдомиому женских гениталий. Рецидивирует в основном взрослый тип.
ДОБРОКАЧЕСТВЕННЫЕ ОПУХОЛИ КРОВЕНОСНЫХ И ЛИМФАТИЧЕСКИХ СОСУДОВ
Эти поражения включают в себя различные процессы, значительное число из них рассматриваются в дерматологии. Часть из них относится к порокам развития сосудистой системы опухолевидного характера, часть к истинным опухолям.
Капиллярная ангиома
Истинное новообразование с пролиферацией эндотелиальных клеток.
Доброкачественная гемангиоэндотелиома
Врожденная патология, встречается у новорожденных и грудных детей, чаще у девочек, с локализацией в области головы.
Капиллярная гемангиома
После липомы наиболее частая опухоль мягких тканей, часто бывает множественной, максимальной величины достигает к 6 месячному возрасту, при множественном поражении возможны локализации во внутренних органах
Кавернозная гемангиома
Образование, состоящее из причудливых полостей типа синусоид различной величины. Локализуется в коже, мышцах, внутренних органах. Имеет доброкачественное течение.
Старческая гемангиома
Истинная опухоль, характеризуется пролиферацией капилляров с последующей их кавернизацией с вторичными изменениями.
Гемангиома
Зрелая доброкачественная опухоль сосудистого происхождения, встречается часто. Поражает чаще людей среднего возраста, локализуется на слизистой оболочке носа, губы, на коже лица, конечностей, в молочной железе. Представляет собой четко отграниченный узел серовато-розового цвета 2—3 см. Опухоль нередко может озлокачествляться и перейти в ангиосаркому.
Артериальная ангиома
Конгломерат порочно развитых сосудов, не имеет признаков опухоли.
Гломангиома (гломусная опухоль, опухоль Барре—Массона)
Встречается в виде изолированной опухоли или в виде множественной диссеминированной семейной гломусангиомы. Опухоль доброкачественная, встречается у пожилых людей, в кистях и стопах, чаще в зоне ногтевого ложа. Может поражать кожу голени, бедра, лица, туловища. В единичных наблюдениях отмечена в почках, влагалище, костях. При локализации в коже опухоль резко болезненная. Не рецидивирует и не метастазирует.
Гемангиоперицитома
Встречается редко, может возникнуть в любом возрасте. Локализуется в коже, реже в толще мягких тканей. Имеет вид отграниченного плотного узла красного цвета. Опухоль может озлокачествляться — давая рецидивы и метастазы, считается потенциально злокачественным процессом. Озлокачествление до 20% случаев описано у взрослых. Процесс у детей имеет доброкачественный характер.
Лимфангиома
Наблюдается чаще у детей как порок развития лимфатических сосудов, однако может встречаться в любом возрасте. Чаще локализуется на шее, слизистой полости рта.
ДОБРОКАЧЕСТВЕННЫЕ ОПУХОЛИ И ОПУХОЛЕПОДОБНЫЕ ЗАБОЛЕВАНИЯ СИНОВИАЛЬНОЙ ТКАНИ (СУСТАВОВ)
Доброкачественная синовиома без гигантских клеток
Существование доброкачественных синовиом обсуждается. Большинство авторов склоняется к тому, что все синовиомы являются злокачественными независимо от степени зрелости. Опухоль поражает главным образом коленный сустав, в виде небольших плотных узлов. Лечение хирургическое, однако больные должны наблюдаться в течение 5—9 лет. Болезнь может дать рецидивы и метастазы.
Доброкачественная гигантоклеточная синовиома (нодулярный тендосиновиит)
Псевдоопухолевый процесс, встречается достаточно часто. В 15% процесс возникает в области синовиальной оболочки суставов, в 80% — в сухожильных влагалищах, в 5% — в слизистых сумках. Представляет собой узловатое образование, чаще локализованное на пальцах кистей, реже стоп и еще реже в области крупных суставов. Излюбленная локализация — межфаланговые суставы. Чаще встречается у женщин 30—60 лет. При длительном существовании может вызвать атрофию окружающих тканей, в том числе и кости. Процесс часто рецидивиреут, большая часть рецидивов связана с неполным удалением. Метастазов не дает.
Пигментный виллонодулярный синовит
Располагается внутри оболочки суставов, чаще в зоне коленного локтевого и плечевого суставов. Встречается в среднем возрасте. Этиология не ясна.
ДОБРОКАЧЕСТВЕННЫЕ ОПУХОЛИ ПЕРИФЕРИЧЕСКИХ НЕРВОВ
Травматическая или ампутационная неврома
Возникает как результат посттравматической гиперрегенерации нерва. Представляет собой небольшой болезненный узел.
Нейрофиброма
Одиночная, медленно растущая доброкачественная опухоль мезенхимальной оболочки нервного ствола любой локализации, но чаще всего развивается на седалищном нерве и межреберных нервах. Возникает у людей любого возраста. Клинически определяется в виде небольших размеров плотно-эластической консистенции с гладкой поверхностью опухолевого узла, при пальпации которого боль иррадирует по ходу нерва. Некоторые опухоли могут достигать больших размеров. Рост опухоли может происходить как к периферии от нерва, так и в толще нервного ствола, что выявляется при ее морфологическом исследовании.
Лечение хирургическое. Прогноз хороший. Особое заболевание — множественный нейрофиброматоз (болезнь Реклингхаузена), которое относится к группе диспластических процессов. Описаны случаи озлокачествления одной из множественных нейрофибром при этом заболевании.
Неврилеммома (невринома, шваннома)
Доброкачественная опухоль шванновской оболочки. Образуется по ходу нервных стволов. Бывает одиночной. Прогноз благоприятный.
Федеральный научно-клинический центр детской гематологии, онкологии и иммунологии им. Дмитрия Рогачева, Москва
Отдел хирургии детей и подростков ФНКЦ детской гематологии, онкологии и иммунологии им. Д. Рогачева, Москва
Липобластома шеи: обзор литературы и собственное клиническое наблюдение
Цель работы - представить современные взгляды на эпидемиологию и клиническую картину редкого доброкачественного новообразования детского возраста - липобластому, демонстрация собственного клинического наблюдения и обсуждение особенностей хирургического лечения при редком расположении опухоли в области шеи с вовлечением жизненно важных анатомических структур. У ребенка 20 мес был верифицирован диагноз липобластомы с достаточно редкой локализацией в области шеи. Обоснованы необходимость дифференциального диагноза липобластомы и других, в том числе злокачественных, новообразований шеи, подходы к лечению и особенности оперативного пособия при столь сложной анатомической локализации опухоли. Доброкачественный характер липобластомы определяет высокую степень полного излечения. Однако при вовлечении в опухолевый процесс жизненно важных анатомических структур существует риск неполного иссечения опухоли и рецидива заболевания.
В структуре новообразований органов головы и шеи у детей преобладают доброкачественные формы [1, 2]. Однако учитывая сложные топографические особенности данной локализации, малый размер анатомических структур и близкое расположение магистральных сосудов, удаление данных опухолей часто связано с высоким риском интра- и постоперационных осложнений, а также невозможностью их радикального иссечения.
У детей в области шеи встречается большое количество доброкачественных образований (гемангиома, гигрома, дермоидная киста, липома, фиброма, липофиброма, нейрофиброма и прочие), а также некоторые злокачественные опухоли (лимфома, рабдомиосаркома, нейробластома и липосаркома) [3, 4]. Данные виды новообразований относятся к часто встречающимся [5], но существуют и более редкие опухоли, в том числе липобластома, дифференциальный диагноз которой необходимо проводить со всеми вышеописанными заболеваниями. Среди всех мягкотканных новообразований у детей опухоли жировой ткани составляют 6% (94% липомы, 4,7% липобластомы, 1,3% липосаркомы) [6].
Липобластома представляет собой редкую доброкачественную опухоль, развивающуюся из эмбрионального белого жира, чаще всего встречающуюся у детей в возрасте до 3 лет, преимущественно мужского пола [7]. Однако описаны и спорадические случаи заболевания у пациентов более старшего возраста [8]. Эта опухоль характеризуется быстрым ростом и рецидивным течением (до 25% случаев) [9]. Впервые липобластома была описана у детей еще в 1858 г., однако сам термин гораздо позже, в 1926 г., предложил R. Jaffe [10]. В 1973 г. E. Chung и F. Enzinger [11] предложили использовать термин «липобластома» для поражения солидного характера и термин «липобластоматоз» при диффузном распространении процесса.
В мировой практике описано менеe 200 случаев липобластомы и липобластоматоза различных локализаций.
В 65% случаев образование локализуется на конечностях [8]. В свою очередь расположение образования на шее встречается не более чем в 10—15% от общего количества описанных клинических наблюдений [12]. Наиболее часто при поражении шеи процесс занимает одну из ее половин (7 случаев) и реже всего локализуется на задней поверхности (всего 3 случая) [5]. Анализ статистических данных американских авторов от 2011 г. представляет следующее распределение локализаций опухолевого процесса: нижние конечности — 40%, верхние — 26%, голова и шея — 14%, туловище — 14%, забрюшинное пространство — 4%, средостение — 2% [8].
Эти данные имели свое подтверждение в работе M. Сollins и J. Chatter [13], которые опубликовали результаты наблюдений 25 детей, страдавших липобластомой/липобластоматозом и находившихся на лечении в детском госпитале Филадельфии (США) (1958—1997 гг.). Большая часть пациентов были мужского пола (М/Ж — 79%/21%). У 20 пациентов заболевание было диагностировано в возрасте до 5 лет. Всем больным проводили радикальное иссечение новообразования. Рецидив опухоли был отмечен у 2 пациентов через 4 года и через 7 лет в виде фибролипомы. Авторы пришли к выводу, что липобластома, являясь доброкачественным образованием, может располагаться как в поверхностных слоях, так и в глубоких отделах, достигать крупных размеров, рецидивировать и ассоциироваться с другими мягкотканными доброкачественными опухолями.
В свою очередь Y. Chun и соавт. [14] в 2001 г. описали результаты лечения липобластом различных локализаций за период с 1979 по 1997 г. Всего были пролечены 9 детей (6 мальчиков, 3 девочки), 4 из них с поражением спины и по одному случаю с поражением шеи, мошонки, ретроперитонеальной, параректальной и бедренных областей. Радикальное иссечение опухоли было выполнено у 8 пациентов, в 25% случаев наблюдали рецидив заболевания.
Морфология. В современной классификации выделяют два морфологических типа липобластомы: солидная опухоль, располагающаяся в поверхностных мягких тканях, и диффузное распространение опухоли (липобластоматоз) с инфильтративным ростом и высоким риском рецидива [12]. Липобластома более бледного цвета, чем стандартная липома, поверхность студенистая с прослойками плотной волокнистой ткани [8]; большинство опухолей размером 2—5 см, однако описаны казуистические случаи, когда опухоль имела массу 1 кг [15]. Гистологически опухоль представлена хаотично расположенными дольками жировых клеток различной степени дифференцировки и лучистых мезенхимальных клеток, разделенными соединительнотканными перегородками вариабельной толщины, а также участками миксоидного (полисахаридного) матрикса и выраженной сосудистой сетью [16]. Степень дифференцировки жировых клеток может быть одинаковой во всей опухолевой массе или может быть представлена различными стадиями пролиферации. Также характерно отсутствие ядерной атипии и патологического митоза. При выраженном миксоматозе можно обнаружить плексиформные сосуды, что требует проводить дифференциальный диагноз с миксоидной липосаркомой. Иногда в липобластомах развивается экстрамедуллярный гемопоэз. В соединительнотканных перегородках обнаруживают примитивные мезенхимальные клетки, что требует исключения инфантильного липофиброматоза, для которого не характерны дольчатое строение и большое количество миксоматозных зон. Липобластоматоз является диффузным или многоочаговым поражением более глубокой локализации, с меньшим количеством долек и наличием резидуальных мышечных волокон в соединительнотканных септах.
Учитывая высокое сродство клеток липобластомы с клетками эмбрионального и фетального жира, исследователи предположили, что именно цитогенетические нарушения образования жировой ткани являются патогенетическим механизмом опухолевого роста [8]. В настоящее время известно, что основным цитогенетическим механизмом является наличие различных альтераций 8q11-13 хромосомы, реализующихся через ген PLAG1, что не характерно для других жировых новообразований, включая липомы и липосаркомы [17]. Также установлены сцепленные гены, участвующие в патогенезе заболевания: ген HAS2 (8q24) и ген COL1A2 (7q22) [18]. Необходимо отметить, что изменения гена PLAG1 характерны для всех стадий дифференцировки жировых клеток опухолевой массы. Именно это определяет необходимость обязательного цитогенетического исследования в протоколе обследования этих больных.
Диагностика. Используется большое количество методов визуализации опухоли, например рентгенография, УЗИ, КТ, однако разрешающая способность этих методик достаточно невысока, позволяет только определить жировую плотность образования и оценить вовлечение окружающих анатомических структур. В настоящее время наиболее высокоинформативным методом визуализации принято считать МРТ с контрастированием [5]. Однако «золотым стандартом» верификации диагноза является гистологическое исследование с последующим цитогенетическим анализом.
Клиническое наблюдение
Пациентка К., 20 мес, госпитализирована в отделение хирургии детей и подростков по поводу наличия новообразования шеи справа.
Из анамнеза заболевания известно, что в возрасте 15 мес в области шеи, в надключичной области было выявлено округлое образование. Ребенок госпитализирован по месту жительства, где проведена пункция образования шеи, данных за атипичный рост не получено; проведена открытая биопсия, гистологически — ангиофиброма. С апреля 2012 г. отмечено резкое увеличение образования, госпитализирована с целью определения тактики лечения.
Из анамнеза: вес при рождении 3300 г, рост 53 см. Прививки и развитие по возрасту. Аллергологический анамнез отягощен: на нурофен (сироп) — крапивница, на виферон — тошнота, на шоколад — диатез. Контактов с инфекционными больными не было.
Объективно: на переднебоковой поверхности шеи справа визуализируется безболезненное, тугоэластической консистенции образование 4,5×6,0×5,0 см, не спаянное с кожей, кожа над ним не гиперемирована, образование прилежит к грудиноключично-сосцевидной мышце, однако не спаянно с ней.
УЗИ: в области мягких тканей шеи справа визуализируется неоднородной структуры образование размером 53×42×30 мм, с нечеткими контурами, с участками повышенной и пониженной эхогенности, с незначительным кровотоком, внутренняя яремная вена не визуализируется (вероятно, сдавлена образованием), внутренняя сонная артерия визуализируется фрагментами, образование сдавливает правую долю щитовидной железы.

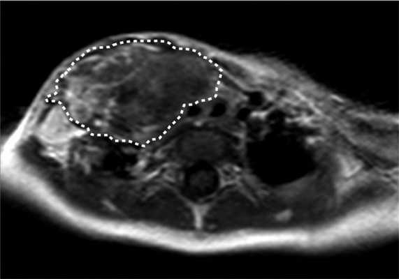
МРТ головы, шеи, грудной полости с контрастированием(рис. 1): Рисунок 1. МРТ области шеи (сагиттальная проекция). Пунктирной линией выделено новообразование шеи со сдавлением сосудистого пучка и смещением трахеи. в мягких тканях шеи и надключичной области справа определяется новообразование повышенного МР-сигнала на Т2 и Stir, гипоинтенсивное на Т1, с неровными и четкими контурами, неоднородной внутренней структуры, интенсивно и неоднородно накапливающее контрастный препарат преимущественно по периферии, размером 70×55×33 мм; опухоль тесно прилежит к телам позвонков С6—Th2, не прорастая в просвет позвоночного канала, оттесняет правую общую сонную артерию медиально, оттесняет влево трахею и пищевод, деформирует верхушку правого легкого (нельзя исключить прорастание). Лимфаденопатии, костно-деструктивных изменений нет, спинной мозг интактен.
Пересмотр гистологических препаратов с места жительства: ткань с резко миксоидной стромой, в которой располагаются неплотно залегающие по отношению друг к другу веретеновидные, звездчатые или полигональные клетки; встречаются элементы с обильной крупнозернистой цитоплазмой, клетки со смещенным к периферии некрупным уплощенным ядром и оптически пустой цитоплазмой; образование богато васкуляризировано, митотическая активность не представлена. Иммуногистохимически исключена эмбриональная рабдомиосаркома. Пролиферативная активность по экспрессии Ki67 5%. Заключение: липобластома.
Таким образом, на основании проведенного дообследования у пациентки верифицировано наличие мягкотканного образования в области шеи справа с компрессией жизненно важных анатомических структур (смещение органов верхнего средостения, общей сонной артерии, верхушки легкого). Гистологическая картина наиболее вероятно соответствовала липобластоме, что не подтверждало первичный диагноз — ангиофиброма. С учетом быстрого роста опухолевидного образования и вследствие этого высокого риска нарушения дыхательной и глотательной функции, нарушения вентиляции легких, окклюзии общей сонной артерии, невозможности консервативного лечения и окончательного верифицирования диагноза принято решение об удалении новообразования.
10.07.12 больной К. проведена операция: удаление липобластомы шеи, подключичной и загрудинной областей справа.
Выполнен Г-образный разрез на шее справа с иссечением старого послеоперационного рубца и продлением разреза по кивательной мышце вниз. Мобилизованы мягкие ткани и мышцы над опухолью. Последняя состоит из многочисленных мягкоэластичных, бугристых, эллипсовидных образований (узлы) размером 7,5×7,0×5,0 см. Опухоль отделена от наружной яремной вены, от сосудисто-нервного пучка шеи. При отделении опухоли от подключичной артерии произошло ранение последней, дефект 1,5×1 см ушит. Опухоль отделена от основания (подключичной области и загрудинного пространства без проникновения в средостение) и макроскопически удалена в пределах здоровых тканей. Установлен дренаж. Рана послойно ушита. Кровопотеря 100 мл.
Морфологическое исследование удаленного образования шеи. Макропрепарат: бугристое образование в капсуле светло-желтого цвета, размером 6,5×5,5×4,5 см, на разрезе однородное, солидное, волокнистой структуры (рис. 2). Рисунок 2. Липобластома шеи (макропрепарат). Гистология: в доставленном материале определяются фрагменты солидной опухоли дольчатого строения с выраженным миксоматозом стромы; дольки разделены фиброзными перегородками различной толщины и протяженности; клеточный состав образования представлен полигональными, звездчатыми и неправильной формы клетками, не формирующими никаких гистологических структур; в опухоли диффузно встречаются липобласты различной степени дифференцировки без анаплазии ядер; митотическая активность не определяется; прослеживается большое количество ветвящихся тонкостенных кровеносных капилляров (рис. 3). Рисунок 3. Гистологическая картина липобластомы. Окраска гематоксилином и эозином. Ув. 400. Заключение: липобластома.
За время наблюдения (2 мес) рецидива новообразования не отмечено, пациентка находится на диспансерном наблюдении.
Заключение
Липобластома — редкое доброкачественное новообразование у детей. Локализация его на шее встречается не более чем в 10—15% случаев (в отечественной и зарубежной литературе описано всего 11 наблюдений), преимущественно слева и преобладает среди лиц мужского пола. Несмотря на доброкачественный характер роста опухоли, частое вовлечение в процесс жизненно важных анатомических структур определяет сложности хирургического вмешательства. Представлено наблюдение липобластомы шеи и подключичной области справа у девочки 20 мес с вовлечением магистральных сосудов (общая сонная и подключичная артерии) и возможностью его радикального хирургического удаления.
Опухоли мягких тканей

Саркомы мягких тканей являются злокачественными опухолями, развивающимися из жировой, мышечной, нервной тканей, кровеносных и лимфатических сосудов, тканей суставов. Они могут возникнуть в любой части тела. 50% из них выявляются на верхних и нижних конечностях, остальные — на туловище, в области головы и шеи, во внутренних органах и забрюшинном пространстве (задних отделах живота).
Существует много разновидностей опухолей мягких тканей и не все они относятся к злокачественным.
Опухоли из жировой ткани
Липомы являются наиболее частыми доброкачественными опухолями из жировой ткани. Большинство из них располагаются под кожей. Липобластомы и гиберномы также относятся к доброкачественным опухолям жировой ткани.
Липосаркомы — злокачественные опухоли жировой ткани. Наиболее часто обнаруживаются на бедре и в забрюшинном пространстве у лиц в возрасте 50-65 лет. Некоторые липосаркомы растут очень медленно, другие — отличаются быстрым ростом.
Опухоли из мышечной ткани
Различают два типа мышц: гладкие и поперечно-полосатые. Гладкие мышцы находятся во внутренних органах (желудке, кишках, кровеносных сосудах, матке) и сокращаются непроизвольно, вне зависимости от нашего желания и мы не может контролировать их деятельность. Поперечно-полосатые (скелетные) мышцы позволяют осуществлять движения руками, ногами и другими частями тела. Эти движения зависят от нашего желания.
Лейомиомы являются доброкачественными опухолями гладких мышц и наиболее часто выявляются у женщин в матке.
Лейомиосаркомы — злокачественные опухоли гладких мышц, которые могут развиваться в любой части тела, однако наиболее часто локализуются в забрюшинном пространстве и внутренних органах. Редко их обнаруживают в мышцах рук и ног.
Рабдомиомы относятся к доброкачественным опухолям поперечно-полосатых мышц.
Рабдомиосаркомы — злокачественные опухоли поперечно-полосатых мышц. Чаще всего развиваются на верхних и нижних конечностях, но могут выявляться также в области головы и шеи, мочевом пузыре и влагалище. Заболевание чаще всего диагностируется у детей.
Опухоли из периферических нервов
Нейрофибромы, шванномы и невромы являются доброкачественными опухолями нервов.
Злокачественные шванномы, нейрофибросаркомы (нейрогенные саркомы) относятся к злокачественным формам заболевания.
Опухоли группы Юинга включают костную саркому Юинга, внекостную саркому Юинга и примитивную нейроэктодермальную опухоль (ПНЕТ). Все эти опухоли имеют некоторые общие черты нервной ткани. Они часто встречаются у детей и редко у взрослых.
Опухоли из тканей суставов
Суставы окружены синовиальной тканью, которая вырабатывает специальную жидкость, снижающую трение при движении суставных поверхностей. Синовиальная оболочка может быть источником опухолей.
Узловой тендосиновит (тендовагинит) является доброкачественной опухолью суставной ткани. Наиболее часто возникает на кистях, причем обычно у женщин.
Синовиальная саркома — злокачественная опухоль, развивающаяся чаще всего в коленном суставе у молодых взрослых.
Опухоли из кровеносных и лимфатических сосудов
Гемангиомы относятся к доброкачественным опухолям кровеносных сосудов. Они встречаются довольно часто и нередко обнаруживаются при рождении ребенка. Могут располагаться как на коже, так и во внутренних органах. Иногда проходят самостоятельно без лечения.
Лимфангиомы — доброкачественные опухоли из лимфатических сосудов.
Ангиосаркомы могут развиваться как из кровеносных (гемангиосаркомы), так и лимфатических (лимфангиосаркомы) сосудов. Иногда эти опухоли возникают в частях тела, подвергнутых ранее лучевой терапии. Саркома Капоши развивается из клеток, напоминающих эпителий (выстилающие клетки) кровеносных и лимфатических сосудов. Наиболее часто эта опухоль возникает при выраженном угнетении иммунитета, например, у больных СПИДом или у людей, перенесших трансплантацию органа.
Гемангиоэндотелиома — злокачественная опухоль кровеносных сосудов низкой степени злокачественности. Она менее агрессивна, чем гемангиосаркома, но может разрушать близлежащие ткани и метастазировать (распространяться) в отдаленные органы (печень, легкие).
Опухоли из тканей, окружающих сосуды
Гломусные опухоли обычно возникают под кожей пальцев и протекают доброкачественно.
Гемангиоперицитома — злокачественная опухоль, развивающаяся чаще всего у взрослых на нижних конечностях, в тазу и забрюшинном пространстве.
Опухоли из фиброзной ткани
Сухожилия и связки относятся к фиброзной ткани и могут стать источниками возникновения различных опухолей.
Фибромы, эластофибромы, поверхностный фиброматоз и фиброзные гистиоцитомы являются доброкачественными опухолями фиброзной ткани.
Фибросаркома — злокачественная опухоль, которая чаще всего выявляется в возрасте 30-55 лет на верхних и нижних конечностях, туловище.
Десмоидная опухоль (агрессивный фиброматоз) имеет черты доброкачественной и злокачественной опухоли. Она не распространяется в отдаленные органы, но может распространяться местно, приводя к смерти.
Дерматофибросаркома - опухоль низкой степени злокачественности, возникающая под кожей конечностей и туловища. Поражает близлежащие к опухоли ткани, но редко метастазирует.
Злокачественная фиброзная гистиоцитома — наиболее частая опухоль мягких тканей конечностей у пожилых людей. Реже она выявляется в забрюшинном пространстве.
Другие опухоли из мягких тканей неуточненного происхождения
Миксома является доброкачественной опухолью, обычно возникает в мышцах, но развивается не из мышечных клеток. Клетки миксомы вырабатывают вещество, напоминающее слизь.
Злокачественная мезенхимома — редкая опухоль, имеющая черты нескольких типов сарком.
Альвеолярная мягкотканая саркома встречается редко у молодых взрослых и располагается обычно на нижних конечностях.
Эпителиоидная саркома чаще всего развивается под кожей верхних и нижних конечностей у подростков и молодых взрослых.
Светлоклеточная саркома — редкая опухоль, возникает в области сухожилий и чем-то напоминает меланому (злокачественную пигментную опухоль).
Десмопластическая мелкоклеточная опухоль является редким вариантом саркомы у подростков и молодых взрослых и, как правило, обнаруживается в животе.
Опухолеподобные заболевания мягких тканей
Воспаление и травма могут приводить к образованию под кожей и в мышцах узлов, напоминающих истинную опухоль. К таким состояниям относятся узловой фасциит и оссифицирующий миозит.
ФАКТОРЫ РИСКА ВОЗНИКНОВЕНИЯ САРКОМ МЯГКИХ ТКАНЕЙ
В настоящее время выявлены некоторые факторы, повышающие риск развития сарком мягких тканей.
Ионизирующая радиация ответственна за возникновение 5% сарком мягких тканей, в результате ранее проведенного облучения по поводу других опухолей(например, рака молочной железы или лимфомы). Средний период между воздействием радиации и выявлением саркомы мягких тканей составляет 10 лет.
Заболевания в семье. Выяснено, что некоторые наследственные заболевания повышают риск развития сарком мягких тканей. К ним относятся:
Нейрофиброматоз, который характеризуется наличием под кожей множественных нейрофибром (доброкачественных опухолей). У 5% больных нейрофиброматозом отмечается перерождение нейрофибромы в злокачественную опухоль.
Синдром Гарднера приводит к образованию доброкачественных полипов и рака в кишечнике. Кроме того, этот синдром является причиной образования десмоидных опухолей (фибросарком низкой степени злокачественности) в животе и доброкачественных опухолей костей.
Синдром Ли-Фраумени повышает риск развития рака молочной железы, опухолей головного мозга, лейкоза и рака надпочечников. Кроме того, у больных с этим синдромом повышен риск возникновения сарком мягких тканей и костей.
Ретинобластома (злокачественная опухоль глаза) может быть наследственной. У детей с такой формой ретинобластомы повышен риск возникновения сарком кости и мягких тканей.
Единственным способом предотвращения развития сарком мягких тканей является (по возможности) исключение известных факторов риска.
ДИАГНОСТИКА САРКОМ МЯГКИХ ТКАНЕЙ
Признаки и симптомы заболевания
Опухоль может быть легко обнаружена, если она возникла на верхних или нижних конечностях и при этом увеличилась в размерах в течение нескольких недель или месяцев. Как правило, опухоль мягких тканей не вызывает боль.
В случае развития саркомы мягких тканей в животе появляются симптомы, характерные не только для опухолевого заболевания. В 30-35% случаев больные отмечают боль в животе. Иногда опухоль сдавливает желудок и кишки или вызывает кровотечение. Если опухоль достигла больших размеров, то ее можно прощупать в животе.
Только в 50% случаев удается выявить заболевание на ранних стадиях, так как симптомы у больных саркомами мягких тканей появляются лишь при достижении опухолью значительных размеров.
Методы исследования
Рентгенологическое исследование грудной клетки выполняется для выявления распространения сарком мягких тканей в легкие.
Ультразвуковое исследование (УЗИ) позволяет обследовать внутренние органы и опухолевые образования. Компьютерная томография (КТ) дает возможность определить объем местного распространения опухоли, а также выявить поражение печени и других органов. Кроме того, КТ используется при пункции опухоли.
Магнитно-резонансная томография (МРТ) может дать более детальную информацию об опухоли и состоянии внутренних органов по сравнению с КТ. Этот метод особенно оправдан при обследовании головного и спинного мозга.
Позитронная эмиссионная томография (ПЭТ) помогает уточнить распространенность опухолевого процесса в организме. Для исследования используется радиоактивная глюкоза, которая активно поглощается опухолевыми клетками. Биопсия (взятие кусочка подозрительной на опухоль ткани для исследования). на данные разнообразных исследований, единственным достоверным методом установления диагноза саркомы мягких тканей является изучение опухоли под микроскопом. При этом уточняется вид саркомы и степень злокачественности (низкая, промежуточная или высокая).
ЛЕЧЕНИЕ САРКОМ МЯГКИХ ТКАНЕЙ
Хирургическое лечение
Операция у больных саркомами мягких тканей заключается в удалении опухоли в пределах здоровых тканей. Если опухоль расположена на конечностях или туловище, то она удаляется с захватом 2-3 см здоровой ткани. При нахождении саркомы в животе такое удаление опухоли может быть невозможно из-за близкого расположения жизненно важных структур.
Ранее у 50% больных саркомами мягких тканей верхних и нижних конечностей выполнялась ампутация (удаление части или всей конечности). В настоящее время такие операции проводятся лишь у 5% больных. В остальных случаях выполняются операции с сохранением конечности в сочетании с облучением. При этом выживаемость больных не ухудшилась.
Ампутация конечности рекомендуется только в случае вовлечения в опухолевый процесс основных нервов или артерий.
Ампутация не рекомендуется больным в случаях поражения отдаленных органов, например, легких, когда удаление основной опухоли и метастазов невозможно.
В этом случае целесообразно назначение химиотерапии и облучения для сокращения размеров опухоли, а затем уже попытаться выполнить операцию. Такую же тактику следует соблюдать у больных саркомами высокой степени злокачественности, когда вероятность появления метастазов повышена.
Если у больного имеются отдаленные метастазы, то, как правило, излечить его с помощью только операции невозможно. Однако при изолированном поражении легкого существует возможность удаления метастазов хирургическим путем. У таких больных 5-летняя выживаемость составляет 20-30%.
Лучевая терапия
У больных саркомами мягких тканей применяется наружное облучение и брахитерапия (введение радиоактивного материала непосредственно в опухоль). Брахитерапию можно использовать отдельно или в сочетании с наружным облучением.
У некоторых больных, которые не могут перенести операцию по состоянию здоровья, лучевой метод применяется в качестве первичного лечения.
После оперативного вмешательства облучение используется для уничтожения оставшейся части опухоли, которую нельзя было удалить хирургическим путем.
Лучевая терапия может быть применена для уменьшения симптомов заболевания.
Во время проведения облучения могут возникнуть изменения кожи и повышенная утомляемость. Эти явления проходят после прекращения лечения.
Облучение может усилить побочные эффекты, связанные с проведенной химиотерапией. При лучевой терапии области живота возможно появление тошноты, рвоты и жидкого стула (диареи). Облучение легких может привести к их повреждению и одышке. Лучевая терапия больших объемов на конечностях может сопровождаться отеком, болью и слабостью.
В редких случаях после облучения конечностей может произойти перелом кости. Побочные эффекты со стороны головного мозга при его облучении по поводу метастазов могут появиться через 1-2 года в виде головной боли и ухудшения мышления.
Химиотерапия
Химиотерапия (лекарственное лечение) у больных саркомами мягких тканей может быть применена в качестве основного или вспомогательного лечения (в сочетании с операцией) в зависимости от степени распространения опухоли. Как правило, химиотерапия заключается в назначении комбинации противоопухолевых препаратов.
Наиболее часто применяется комбинация ифосфамида и доксорубицина, однако могут использоваться и другие препараты: дакарбазин, метотрексат, винкристин, цисплатин и др. Для профилактики осложнений со стороны мочевого пузыря при применении ифосфамида используется препарат месна.
В процессе химиотерапии уничтожаются опухолевые клетки, но при этом повреждаются и нормальные клетки организма, что приводит к временным побочным эффектам в виде тошноты, рвоты, потери аппетита, облысения, образования язв во рту.
Подавление кроветворения может сопровождаться повышенной восприимчивостью к инфекции и кровотечению.
Из наиболее серьезных осложнений химиотерапии следует указать на повреждение сердечной мышцы, в связи с применением доксорубицина и бесплодия из-за нарушения функций яичников и яичек.
Рецидив (возврат) сарком мягких тканей
В случае рецидива саркомы в области первичного очага можно использовать оперативное вмешательство.
Другим методом лечения может быть лучевая терапия, особенно в тех случаях, когда ранее облучение не применялось. Если же больной уже получал наружное облучение, то можно рекомендовать брахитерапию.
Лучевая терапия может быть назначена для облегчения боли при рецидиве саркомы.
У больных с отдаленными метастазами назначают химиотерапию, а при единичных метастазах может быть рекомендована операция.
ЧТО ПРОИСХОДИТ ПОСЛЕ ЗАВЕРШЕНИЯ ЛЕЧЕНИЯ?
После окончания всей программы лечения больной должен находиться под регулярным врачебным наблюдением. Кроме того, по мере необходимости проводится обследование.
Для ускорения выздоровления и уменьшения симптомов побочных явлений противоопухолевого лечения необходимо по возможности изменить образ жизни.
Так, если Вы курили, то нужно оставить эту вредную привычку. Этот шаг улучшит Ваше общее состояние. Если Вы злоупотребляли алкоголем, что необходимо значительно сократить потребление спиртного.
Качественное и сбалансированное питание с включением достаточного количества овощей и фруктов поможет Вашему восстановлению. Особая диета может потребоваться больным, перенесшим облучение живота, нужные советы можно получить у диетолога.
При появлении у Вас новых или необъяснимых симптомов необходимо срочно обратиться к врачу.
Липосаркома
Липоскаркома - злокачественная опухоль жировой ткани. Может поражать любые участки тела, но чаще локализуется в проксимальных отделах нижних конечностей, в забрюшинной клетчатке или в области плеча. Представляет собой одиночный узел неправильной формы с неравномерной плотностью. При прорастании костей и сдавливании нервов вызывает резкие боли. Может провоцировать тромбозы, парезы, параличи, отек и ишемию конечности. В запущенных случаях возникают лихорадка, истощение, анемия и симптомы общей интоксикации. Диагноз выставляется на основании осмотра, МРТ, биопсии и других исследований. Лечение - операция, радиотерапия, химиотерапия.
Общие сведения
Липосаркома - злокачественное новообразование из группы мезенхимальных опухолей. Развивается из липобластов (юных жировых клеток), обычно располагается межмышечном пространстве, реже - в подкожной жировой клетчатке. Липосаркома является второй по распространенности злокачественной опухолью мягких тканей после фибросаркомы. Очень редко диагностируется у детей. Частота развития увеличивается с возрастом и достигает максимума к 50-60 годам. Женщины страдают реже мужчин. Эндемичность отсутствует.
Уровень злокачественности различается в зависимости от степени дифференцировки липосаркомы. Высокодифференцированные опухоли растут медленно и протекают относительно благоприятно. Для низкодифференцированных форм липосаркомы характерен быстрый рост, гематогенное (в 35-40% случаев) и лимфогенное (в 6-9% случаев) метастазирование. Рецидивы возникают у 45-75% пациентов. Лечение осуществляют специалисты в области онкологии, ортопедии, неврологии и флебологии.
Причины липосаркомы
Этиология заболевания пока окончательно не выяснена. Установлено, что липосаркома может развиваться из липомы, однако такие случаи исключительно редки. Иногда злокачественные опухоли жировой ткани возникают вблизи нейрофибром, что позволяет предположить наличие определенной связи между липосаркомой и нейрофиброматозом. Многие исследователи в числе факторов риска указывают механические травмы, облучение или контакт с канцерогенными веществами.
Липосаркома представляет собой одиночный узел либо диффузный инфильтрат неправильной формы. Чаще возникает в межмышечном пространстве, реже формируется в подкожной жировой клетчатке. Обычно располагается в проксимальных отделах нижних конечностей. Второе место по распространенности занимают липосаркомы забрюшинного пространства, далее в порядке убывания располагаются опухоли паховой области, ягодичной области и коленных суставов. Очень редко поражаются молочная железа, голова, шея, область семенного канатика, стопы, кисти и большие половые губы. Как правило, новообразование одиночное, реже встречаются множественные липосаркомы.
Поверхность опухоли желтоватая либо белая с сероватым оттенком. На разрезе видна серовато-розовая полупросвечивающая ткань с характерными участками «рыбьего мяса». В ходе микроскопического исследования липосаркомы обнаруживаются как зрелые жировые клетки, так и атипичные липобласты с звездчатыми или веретенообразными ядрами. Клеточная цитоплазма содержит вкрапления жира, выявляющиеся при окрашивании суданом.
Классификация липосаркомы
С учетом особенностей строения и клинического течения различают следующие виды липосаркомы:
- Высокодифференцированная липосаркома. Отличается медленным ростом. Не метастазирует. По строению напоминает липому.
- Склерозирующая высокодифференцированная липосаркома. Состоит из скоплений зрелых жировых клеток, разделенных фиброзными прослойками, в которых располагаются атипичные клетки.
- Воспалительная высокодифференцированная липосаркома. По строению напоминает один из предыдущих типов опухоли, но отличается от них наличием выраженной лимфоплазмоцитарной инфильтрации.
- Миксоидная липосаркома. Часто рецидивирует, не склонна к метастазированию. Содержит зрелые жировые клетки, круглые и веретенообразные липобласты. Имеет мукоидную строму с большим количеством мелких сосудов. Иногда в ткани новообразования выявляются участки с более низким уровнем дифференцировки клеток, что рассматривается как прогностически неблагоприятный вариант.
- Круглоклеточная липосаркома. Представляет собой низкодифференцированный вариант миксоидной опухоли. При микроскопическом исследовании новообразования выявляются участки примитивных круглых клеток. Количество сосудов в таких участках меньше, чем в областях с высоким уровнем дифференцировки клеток.
- Плеоморфная липосаркома. Содержит гиганские плеоморфные липобласты и небольшое количество мелких веретенообразных или округлых липобластов.
- Недифференцированная липосаркома. Состоит из участков с высокой степенью дифференцировки и областей низкодифференцированных клеток, напоминающих плеоморфную фибросаркому или злокачественную фиброзную гистиоцитому.
Симптомы липосаркомы
Высокодифференцированные липосаркомы обычно протекают бессимптомно и становятся случайной находкой при возникновении локальной деформации или проведении обследования в связи с другими заболеваниями и травмами. Для начальных стадий низкодифференцированных липосарком также характерно бессимптомное течение. В последующем клинические проявления определяются поражением близлежащих анатомических структур. При сдавлении нервов возникают интенсивные боли, возможны нарушения чувствительности, парезы и параличи.
Сдавление сосудов осложняется отеком и нарушением питания конечности. При сдавлении венозных стволов могут развиваться флебиты и тромбозы глубоких вен. При сдавлении артерий наблюдается ишемия конечности. Поражение костей при липосаркоме выявляется очень редко, сопровождается развитием болевого синдрома. При прогрессировании процесса возникают симптомы общей интоксикации, лихорадка, истощение и анемия. В отдельных случаях липосаркома метастазирует в легкие, печень, почки, сердце, яичники и костный мозг. Метастазы в лимфатические узлы выявляются очень редко.
При пальпации определяется мягкоэластичная или плотная опухоль неправильной формы с неровными контурами. Диаметр узла может достигать 20 сантиметров. Некоторые новообразования имеют дольчатое строение. На начальных этапах липосаркома смещается в поперечном направлении, при прорастании кости узел становится неподвижным. Обычно опухоль достаточно четко отграничена от окружающих тканей, что в сочетании с экспансивным ростом создает впечатление доброкачественности новообразования. При этом на самом деле липосаркома распространяется по межмышечным пространствам.
Диагностика липосаркомы
Диагноз устанавливают на основании анамнеза, жалоб, данных внешнего осмотра и результатов инструментальных исследований. Проводят МРТ пораженного сегмента, выполняют биопсию с последующим гистологическим исследованием образца. Для исключения метастазов больного с липосаркомой направляют на УЗИ внутренних органов, рентгенографию грудной клетки, рентгенографию и сканирование костей конечностей. При поражении крупных сосудов осуществляют ангиографию.
Окончательный диагноз выставляют с учетом результатов морфологического исследования. Липосаркому дифференцируют с липомой, рабдомиомой, внутримышечной миксомой, миксоидной хондросаркомой, миксоидной злокачественной фиброзной гистиоцитомой, плеоморфной злокачественной фиброзной гистиоцитомой, лимфомой, нейробластомой, внекостной саркомой Юинга, овсяноклеточным раком и некоторыми другими злокачественными новообразованиями мягких тканей.
Лечение и прогноз при липосаркоме
Лечение хирургическое. Выполняют широкое иссечение опухоли с окружающими неизмененными тканями. Липосаркому удаляют вместе с группой мышц, между которыми расположено новообразование. При опухоли, плохо отграниченной от окружающих тканей и распространяющейся по межмышечным пространствам, проводят ампутацию или экзартикуляцию конечности. В послеоперационном периоде назначают лучевую терапию. Кроме того, радиотерапию применяют при отдаленных метастазах и местных рецидивах. При крупных быстрорастущих липосаркомах и при метастазировании опухоли хирургическое вмешательство и лучевую терапию дополняют химиотерапией.
Местные рецидивы выявляются у 45-75% пациентов. Вероятность рецидивирования определяется локализацией и видом липосаркомы. Высокодифференцированные опухоли подкожной жировой клетчатки не рецидивируют. При расположении таких же новообразований в межмышечных пространствах рецидивы возникают в 29% случаев, при локализации в забрюшинной клетчатке - в 37% случаев. Реже всего рецидивирование наблюдается при миксоидных липосаркомах. В большинстве случаев рецидивные опухоли менее дифференцированы по сравнению с первичными.
Отдаленное местастазирование выявляется в 15-45% случаев. Чаще всего метастазируют круглоклеточные липосаркомы, затем, в порядке убывания - плеоморфные, миксоидные и высокодифференцированные липосаркомы. Продолжительность жизни определяется видом и локализацией новообразования. Наиболее благоприятными считаются миксоидные и высокодифференцированные липосаркомы. Пятилетняя выживаемость при таких опухолях колеблется от 45 до 65%. Полное выздоровление наблюдается в 30-40% случаев. У детей прогноз более благоприятен, в детском возрасте пятилетняя выживаемость при липосаркоме составляет 80-90%.
Читайте также:
