Лучевая анатомия (рентген, КТ, МРТ анатомия) сердца
Добавил пользователь Евгений Кузнецов Обновлено: 21.10.2025
На рентгенограмме грудной клетки в передней проекции оцениваются положение и размеры сердца. Положение сердца зависит от величины угла наклона, образованного длинником сердца и поперечником грудной клетки. Сердце может занимать косое (угол наклона равен 45°), вертикальное (более 45°) и горизонтальное (менее 45°) положение в зависимости от типа строения грудной клетки и положения диафрагмы. В первые годы жизни сердце у большинства детей занимает горизонтальное положение, к 3 годам оно принимает косое положение, которое сохраняется у большинства взрослых людей. Однако для большого числа подростков и для людей астенического сложения характерно вертикальное положение сердца. У людей гиперстенической конституции положение сердца чаще бывает горизонтальным.
Количественная оценка поперечника сердца проводится с помощью определения сердечно-легочного коэффициента (СЛК) — процентного отношения поперечника сердца к поперечнику грудной клетки, измеренному на уровне правой половины купола диафрагмы.
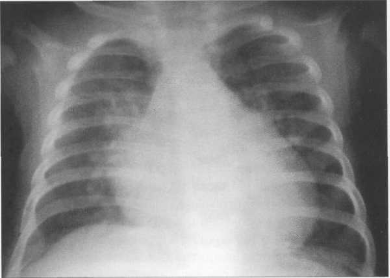
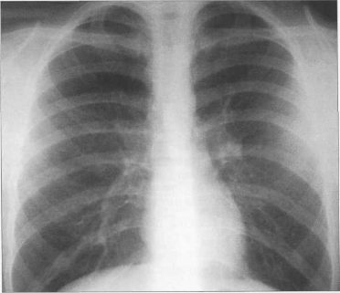
У новорожденных сердце имеет относительно большую величину, СЛК у них может достигать 58% (рис. 9.22). У более старших детей и у взрослых СЛК составляет 44—48%, для большого числа подростков характерны небольшие размеры сердца (СЛКменее 40%) (рис. 9.23),улюдей пожилого возраста поперечные размеры сердца увеличиваются, СЛК у них, как правило, более 50%.

Рис. 9.22. Рентгенограмма грудной клетки ребенка 3 месяцев. Задняя проекция.

Рис. 9.23. Рентгенограмма грудной клетки подростка. Передняя проекция.

Рис. 9.24. Рентгенограмма грудной клетки. Передняя проекция.
1 — восходящая часть аорты; 2 — дуга аорты; 3 — нисходящая часть аорты; 4— верхняя полая вена; 5 — правое предсердие; 6 — легочный ствол; 7 — ушко левого предсердия; 8 — левый желудочек.
Состояние отдельных полостей сердца и крупных сосудов оценивается с помощью анализа краеобразующих дуг сердца (рис. 9.24).
Если сердце занимает косое положение, то ‘/3 его расположена справа, 2 /, — слева; расстояние от правого края позвоночника до наиболее удаленной точки правого контура сердца составляет 15—20 мм.
Правый контур образован двумя дугами: восходящая часть аорты и правое предсердие. Точка их пересечения носит название правого атриовазального угла. Протяженность первой и второй дуг должна быть одинаковой. У новорожденных правый желудочек имеет относительно большие размеры, поэтому протяженность второй дуги больше (см. рис. 9.22).
Левый контур образуют 4 дуги: дуга аорты, легочный ствол, ушко левого предсердия, левый желудочек. В детском возрасте (приблизительно до 7 лет) протяженность дуги легочного ствола преобладает над протяженностью дуги аорты, в дальнейшем протяженность дуг становится одинаковой. У подростков и людей астенического сложения дуга легочного ствола выпрямленная или выпуклая (см. рис. 9.23), у взрослых она, как правило, вогнутая. Левая граница сердца на уровне левого желудочка находится на уровне среднеключичной линии или на 1 см кнутри от нее.

Рис. 9.25. Рентгенограмма грудной клетки. Левая боковая проекция.
1 — правый желудочек; 2 — левое предсердие; 3 — левый желудочек; 4 — нижняя полая вена; 5 — пищевод.
В левой боковой проекции (рис. 9.25) передний контур сердца образован правым желудочком. Задний контур сердца в верхнем отделе образован левым предсердием, которое вплотную прилежит к пищеводу, в нижнем отделе — левым желудочком, кзади от которого виден контур нижней полой вены. Правый желудочек образует с передней грудной стенкой угол, вершина которого находится на уровне наибольшего глубинного диаметра сердца. Протяженность прилегания правого желудочка к передней грудной стенке и левого желудочка к диафрагме должны быть одинаковыми.
КТ АНАТОМИЯ СЕРДЦА
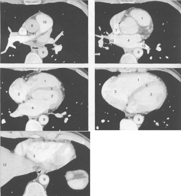
КТ-исследование позволяет получать поперечные (аксиальные) сечения сердца. Стандартная пошаговая КТ и даже спиральная КТ не получили распространения для исследования морфологии и функции сердца. Более тщательный анализ внутрисердечных структур возможен с помощью многослойной спиральной КТ (МСКТ) в условиях внутривенного контрастирования. КТ-изображения сердца и сосудов на различных уровнях представлены на рис. 9.34.

Рис. 9.34. КТ сердца и сосудов.
1 — правый желудочек; 2 — левый желудочек; 3 — правое предсердие; 4 — левое предсердие; 5 — межжелудочковая перегородка; 6 — межпредсердная перегородка; 7 — верхняя полая вена; 8 — восходящая часть аорты; 9 — нисходящая часть аорты; 10 — легочный ствол; 11 — правая легочная артерия; 12 — диафрагма; 13 — легочные вены.
МСКТ в условиях внутривенного болюсного контрастирования позволяет визуализировать коронарные артерии (МСКТ-коронарография). Анализ состояния коронарных артерий выполняется сначала на аксиальных срезах (рис. 9.35). В постпроцессинговой обработке изображений используются различные виды реконструкций: многоплоскостные реформации (MPR), проекция максимальной интенсивности (MIP), трехмерные (VRT) (рис. 9.36).
Наиболее распространенным методом оценки состояния сосудов сердца является селективная катетерная коронарография. Метод заключается в пункции под местной анестезией крупной артерии (чаще всего, бедренной или лучевой), подведении специально сформированного катетера к устью коронарной артерии и селективного болюсного введения контрастирующего вещества последовательно в левую, а затем в правую коронарную артерии.

Рис. 9.35. МСКТ-коронарограммы. Поперечные срезы.
Здесь и на рис. 9.36:
LM — ствол левой коронарной артерии, LAD — левая передняя нисходящая артерия, LCX — левая огибающая артерия, RCA — правая коронарная артерия.

Рис. 9.36. МСКТ-коронарограммы.
а, б — VRT-реконструкции; в — проекция максимальной интенсивности; г — многоплоскостная реформация.

Рис. 9.37. Левая коронарная артерия. Правая косая проекция.
Здесь и на рис. 9.38—9.46:
1 — левая коронарная артерия; 2 — проксимальная треть передней нисходящей артерии; 3 — первая диагональная ветвь передней нисходящей артерии; 4 — дистальная часть передней нисходящей артерии; 5 — септальная ветвь передней нисходящей артерии; 6 — проксимальная часть огибающей артерии; 7 — первая маргинальная ветвь огибающей артерии; 8 — промежуточная артерия; 9 — дистальная часть огибающей артерии; 10 — проксимальная часть правой коронарной артерии; 11 — ветвь синусного узла правой коронарной артерии; 12 — ветвь острого края правой коронарной артерии; 13 — бифуркация правой коронарной артерии; 14 — правая левожелудочковая ветвь правой коронарной артерии; 15 — задняя нисходящая ветвь правой коронарной артерии.

Фиксация изображения коронарных артерий производится последовательно в нескольких плоскостях.
На рис. 9.37—9.41 изображены левая и правая коронарные артерии и их ветви при равномерном типе коронарного кровообращения в обычной последовательности проекций.
На следующих рисунках представлены два типа коронарного кровообращения — правый и левый и характеризующиеся неравномерным развитием правой коронарной и огибающей (ветвь левой коронарной артерии) артерий. При левом типе отмечается выраженная периферия огибающей артерии при значительной гипоплазии правой коронарной артерии. При правом типе чаще всего хорошо развита маргинальная ветвь и гипоплазирована основная ветвь огибающей артерии. Периферия правой коронарной и, в особенности, правая левожелудочковая ветвь значительно выражены и превосходят огибающую по размерам зоны кровоснабжения.
Рис. 9.42-9.44 — левый тип коронарного кровообращения.
Рис. 9.45 и 9.46 — правый тип коронарного кровообращения.

Рис. 9.42. Левая коронарная артерия. Правая косая проекция.
Рис. 9.43. Левая коронарная артерия. Проекция «паук».
Рис. 9.44. Правая коронарная артерия. Левая косая проекция.
Рис. 9.45. Левая коронарная артерия в правой косой проекции.

Рис. 9.46. Правая коронарная артерия в переднезадней проекции.
МРТ АНАТОМИЯ СЕРДЦА
МРТ позволяет получать изображения сердца в поперечной (аксиальной), фронтальной (корональной) и сагиттальной плоскостях (ортогональные сечения). Поскольку анатомические оси сердца и магистральных сосудов (за исключением аорты в нисходящем отделе и полых вен) не совпадают со стандартными ортогональными плоскостями исследования, общепринятыми при исследованиях других органов и систем организма, для МРТ-исследования сердечно-сосудистой системы разработаны дополнительные наклонные срезы (двухкамерное сечение, четырехкамерное сечение, сечение по короткой оси левого желудочка).

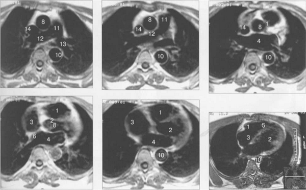
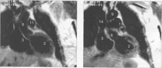
Рис. 9.47. МРТ сердца. Аксиальная плоскость.
Здесь и на рис. 9.48—9.52:
I — правый желудочек, 2 — левый желудочек, 3 — правое предсердие, 4 — левое предсердие, 5 — межжелудочковая перегородка, 6 — межпредсердная перегородка, 7 — задняя стенка левого желудочка, 8 — восходящая часть аорты, 9 — дуга аорты, 10 — нисходящая часть аорты, 11 — легочный ствол, 12 — правая легочная артерия. 13 — левая легочная артерия, 14 — верхняя полая вена, 15 — нижняя полая вена, 16 — трахея.


Рис. 9.48. MPT сердца. Сагиттальная плоскость.

Рис. 9.49. МРТ сердца. Двухкамерные сечения.

Рис. 9.50. МРТ сердца. Фронтальные сечения.

Рис. 9.51. МРТ сердца. Сечения по короткой оси левого желудочка.

Рис. 9.52. МРТ сердца. Четырехкамерные сечения.
На рис. 9.47—9.52 представлены Т1-ВИ наиболее часто используемых МР-сечений сердца.
Артерии и вены сердца (ангиография, КТ).

Представлены коронарные артерии в латеральной проекции.
- Левая главная или левая коронарная артерия (ЛКА)
- Левая передняя нисходящая артерия (ЛПН)
- диагональные ветви (D1, D2)
- септальные ветви
- краевые ветви (M1,M2)
- Ветвь острого края (ОК)
- Ветвь АВ-узла
- Задняя нисходящая артерия (ЗНА).
![]()
Анатомия коронарных артерий используемая при ангиографии.
![]()
![]()
![]()
В зависимости от преобладания в системе кровоснабжения сердца правых или левых ветвей коронарных артерий выделяют три типа кровообращения:
- Левостороннее (10%) - Для этого типа кровообращения характерен малый диаметр и непротяженный ход правой коронарной артерии, увеличение диаметра ОА и ПНА, отхождение ЛЖВ от ЛКА
- Правостороннее (70%) - Для этого типа кровообращения характерен малый диаметр и непротяженный ход левой коронарной артерии, увеличение диаметра БОКС и ЗНА, отхождение ЛЖВ от ПКА
- Смешанное (20%) - Диаметр коронарных артерий составляет: ЛКА 4.5±0.5 мм [4], ПНА 3.8±0.3 мм вначале, 1.7±0.4 мм - терминальные ветви, ЗНА 2.0-2.5 мм.
Точно диаметр терминальных ветвей венечных артерий в норме измерить невозможно из-за малого размера и ограниченного разрешения при их визуализации. Фокальное увеличение диаметра просвета сосуда более, чем в 1,5 раза относительно близлежащего не измененного участка называется аневризмой, а если расширение имеет диффузный характер, то оно называется эктазией.
![]()
Вены сердца
Вены сердца открываются не в полые вены, а непосредственно в полость сердца. Они начинаются в виде сетей, располагающихся в различных слоях его стенки. Венозное русло значительно преобладает над артериальным.
Венозный отток идет по трем путям: в венечный синус, sinus coronarius; в передние вены сердца; в малые вены Тебезия [Thebesian], впадающие непосредственно в правый отдел сердца.
Венечный синус, sinus coronarius лежит сзади, в венечной борозде, и открывается в правое предсердие несколько ниже ствола нижней полой вены.
В венечный синус приносят кровь большая вена сердца, v. cordis magna, которая собирает кровь от передней поверхности обоих желудочков. Сначала она располагается в передней межжелудоч-ковой борозде, рядом с ramus interventricularis anterior левой венечной артерии, затем уходит под левое ушко и переходит на заднюю поверхность, где впадает (продолжается) в венечный синус.
Средняя вена сердца, v. cordis media, из задней межжелудочковой борозды переходит в венечную борозду и впадает в венечный синус справа. Кроме этих крупных вен, в венечный синус впадают малая вена сердца, v. cordis parva, задняя вена левого желудочка, v. posterior ventriculi sinistri, и косая вена левого предсердия, v. obliqua atrii sinistra [Marshall].
Передние вены сердца, vv. cordis anteriores, несут кровь от верхнего отдела передней стенки правого желудочка и впадают в правое предсердие.
Малые вены, vv. cordis minimae, собирают кровь в глубине стенок сердца и через множество отверстий впадают непосредственно в правое предсердие.
Анатомия сердца
Особая мышечная стенка — сердечная перегородка — делит сердце на левую и правую половины. В каждой из них находится 2 камеры: верхние — предсердия, а нижние — желудочки.
Правое и левое предсердия разделены межпредсердной перегородкой, а правый и левый желудочки — межжелудочковой перегородкой. С каждой стороны сердца предсердие и желудочек соединяются предсердно-желудочковым отверстием. В этом отверстии располагается предсердно-желудочковый клапан. Левый предсердно-желудочковый клапан называется двухстворчатым (или митральным), а правый — трехстворчатым.
В правое предсердие поступает вся венозная кровь с низким содержанием кислорода, возвращающаяся из верхних и нижних отделов организма. Затем правое предсердие через трехстворчатый клапан перекачивает венозную кровь в правый желудочек, который через полулунный клапан легочного ствола нагнетает ее к легким.
![Клапаны сердца]()
Рисунок 1. Клапаны сердца
Обогащенная кислородом кровь поступает из легких в левое предсердие, которое через митральный клапан перекачивает ее в левый желудочек. Отсюда кровь через полулунный аортальный клапан поступает в аорту и далее ко всем органам 1 .
1. Butchart EG et al. Recommendations for the management of patients after heart valve surgery. European Heart Journal. 2005: 26(22); 2465-2471.
Затем венозная кровь возвращается в правое предсердие и начинается новый цикл: правое предсердие — правый желудочек — левое предсердие — левый желудочек.
Клапаны между камерами сердца служат для предотвращения движения крови в обратном направлении.
Топография и рентгеноанатомия сердца
![Fact-checked]()
Весь контент iLive проверяется медицинскими экспертами, чтобы обеспечить максимально возможную точность и соответствие фактам.
У нас есть строгие правила по выбору источников информации и мы ссылаемся только на авторитетные сайты, академические исследовательские институты и, по возможности, доказанные медицинские исследования. Обратите внимание, что цифры в скобках ([1], [2] и т. д.) являются интерактивными ссылками на такие исследования.
Если вы считаете, что какой-либо из наших материалов является неточным, устаревшим или иным образом сомнительным, выберите его и нажмите Ctrl + Enter.
Сердце с окружающей его оболочкой - перикардом - расположено в грудной полости. Две три сердца располагаются слева от срединной плоскости, а одна треть - справа. С боков и частично спереди большая часть сердца покрыта заключенными в плевральные мешки легкими. Значительно меньшая часть сердца спереди прилежит к грудине и к реберным хрящам.
Верхняя граница сердца проходит по линии, соединяющей верхние края хрящей правого и левого третьих ребер. Правая граница спускается от уровня верхнего края хряша III правого ребра вертикально вниз до хряща V правого ребра (на 1-2 см справа от края грудины). Нижнюю границу проводят по линии, которая идет от хряша V правого ребра до верхушки сердца. Эта линия проецируется в левом пятом межреберье на 1,0-1,5 см кнутри от среднеклгочичной линии. Левая граница сердца простирается от верхнего края хряша III левого ребра, начинаясь на уровне середины расстояния между левым краем грудины и левой сред неключичной линией, и продолжается к верхушке сердца. Правое и левое предсердно-желудочковые отверстия проецируются на переднюю грудную стенку по косой линии, следующей от грудинного конца хряща III левого ребра к хрящу VI правого ребра. Левое предсердно-желудочковое отверстие находится на этой линии на уровне хряща III левого ребра, правое - над местом прикрепления хряща V правого ребра к грудине. Отверстие аорты лежит позади левого края грудины на уровне третьего реберного промежутка, отверстие легочного ствола - над местом прикрепления хряша III левого ребра к грудине
У взрослых людей в зависимости от типа телосложения сердце имеет различную форму. Так, у людей долихоморфного типа телосложения ось сердца ориентирована вертикально и сердце по форме напоминает висящую каплю («капельное сердце»). У людей брахиморфного типа телосложения, у которых диафрагма расположена относительно высоко, а угол между длинной осью сердца и срединной плоскостью тела близок к прямому, сердце занимает горизонтальное положение (так называемое поперечное, или лежачее сердце). Горизонтальное положение сердца у женщин встречается чаще, чем у мужчин. У людей мезоморфного типа телосложения сердце занимает косое положение (угол между длинной осью сердца и срединной плоскостью тела равен 43-48°).
При исследовании с помощью рентгеновских лучей, направленных сзади наперед (передний обзорный снимок), сердце живого человека представляется в виде интенсивной тени, расположенной между светлыми легочными полями. Эта тень имеет форму неправильного треугольника, основание которого обращено к диафрагме. На тень сердца, его крупных сосудов накладываются также тени органов, расположенных впереди и позади сердца (грудина, органы заднего средостения и грудного отдела позвоночного столба). Контуры тени сердца имеют ряд выпуклостей, называемых дугами. На правом контуре сердца отчетливо видны сглаженная верхняя дуга, верхний отдел которой соответствует верхней полой вене, а нижний - выпуклости восходящей части аорты, и нижняя дуга, образованная правым предсердием. Над верхней дугой есть еще одна небольшая дуга (выпуклость), сформированная наружным контуром правой плечеголовной вены. Левый контур сердца образует 4 дуги:
- нижнюю - самую большую, проходящую по краю левого желудочка;
- дугу выступающего ушка левого предсердия;
- дугу легочного ствола и
- верхнюю дугу, соответствующую дуге аорты и началу ее нисходящей части.
В области дуг, образованных левым желудочком и левым ушком, контур сердца имеет вдавление (перехват), называемое талией сердца, отделяющей его от крупных сосудов.
У взрослого человека сердце в норме может иметь на рентгенограмме три разных положения:
КТ сердца
![]()
МСКТ сердца является не инвазивным методом получения информации о наличии, расположении и степени кальцификации атеросклеротических бляшек коронарных артерий. «Количество кальция» (индекс кальция) выявленное при КТ сердца является объективным прогностическим показателем для общей оценки степени поражения сосудов сердца атеросклеротическими бляшками. При этом индекс кальция определяется для каждого коронарного сосуда в отдельности.
Показания:
- высокий уровень холестерина в крови;
- отягощенная наследственность;
- наличие у пациента диабета;
- высокое артериальное давление (гипертоническая болезнь);
- длительное курение;
- избыточный вес или ожирение;
- недостаточная физическая активность.
Мультиспиральная компьютерная томография (МСКТ) коронарных артерий («КТ коронарография», «КТ ангиография сердца»)
МСКТ коронарография с контрастным усилением, построением объемных (3D) реконструкций и определением коронарного кальциноза - является не инвазивным методом визуализации артерий сердца. При этом с высокой точностью определяются степень проходимости артерии сердца (коронарные артерии) и их анатомические особенности, также оценивается общий уровень кровоснабжения сердечной мышцы (миокарда). Мультиспиральная компьютерная томография (МСКТ) коронарных артерий может служить альтернативой рентгеновской ангио-коронарографии.
- выявленные очагов обызвествления (кальцификации) клапанного аппарата сердца, сердечной мышцы (миокард) или серозной оболочки сердца (перикард) при выполнении компьютерной томографии грудной клетки;
- старые постинфарктные рубцы, аневризмы магистральных сосудов или подозрение на наличие тромбов в полостях сердца;
- высокие показатели индекса кальция при оценке коронарного кальциноза (КТ«кальций скоринг»);
- подозрение на аномалию развития сосудов сердца или недостаточность клапанов сердца , например при выполнении эхокардиографии;
- боль в груди неясной этиологии, атипичные боли;
- появление первичных или повторных симптомов стенокардии;
- отклонение от нормальных показателей электрокардиографии, стресс-тестов, лабораторных анализов;
- необходимость оценки кровоснабжения сердечной мышцы (миокарда) после перенесенных оперативных вмешательств (аорто-коронарного шунтирование, стентирование коронарных артерий).
![кальций скоринг]()
Высокая распространенность сердечно-сосудистых заболеваний и первое место среди причин смертности населения развитых стран, придает исключительную важность профилактическим мероприятиям и ранней диагностике заболеваний сердца. МСКТ коронарных артерий может быть выполнена в качестве скрининга при профилактическом (диспансерном) обследовании человека.
Атеросклероз коронарных артерий является основной причиной развития ИБС (ишемической болезни сердца) и инфаркта миокарда. Современная медицина располагает большим набором диагностических возможностей. А с появлением высокоскоростных мультиспиральных компьютерных томографов (МСКТ), появилась абсолютно новая, уникальная возможность неинвазивной оценки состояния коронарных артерий, не требующая госпитализации больного в стационар для проведения сложной и небезопасной хирургической процедуры (ангиографии).
МСКТ исследование занимает всего несколько минут, не требует дополнительной подготовки, не вызывает болезненных ощущений и эмоционального беспокойства. Помимо оценки состояния сосудов сердца (коронарного "дерева"), МСКТ коронарных артерий дает врачу дополнительную не менее важную информацию, что позволяет оценить состояние сердца в целом, выработать тактику дальнейшего обследования и лечения.
МСКТ позволяет оценить морфологическую структуру атеросклеротической бляшки, изучить клапанные структуры сердца (кальциноз створок, аномалии развития клапанов), выявить поражения миокарда (гипертрофии, рубцы), оценить состояние полостей сердца и перикарда. Ценную информацию дает определение функции миокарда левого желудочка с выявлением зон нарушенной сократимости.
Подготовка
Подготовка к КТ сердца
- На обследование необходимо явиться натощак.
- За 3 дня до исследования исключить прием препаратов Сиалис, Виагра и Левитра.
- Лечащий врач или Дежурный врач Клиники перед исследованием, при наличии показаний, может назначить бета-блокаторы - лекарственные препараты, которые урежают пульс (частоту сердечных сокращений) .
ВАЖНО! При наличии нарушений ритма сердца (частой экстрасистолии или мерцательной аритмии) исследование не проводится.
Общие требования для КТ с контрастированием:
Для выполнения исследования необходимо иметь при себе результат анализа крови
на креатинин, срок давности не более 30-го дня со дня сдачи биоматериала.
Обязательно сообщите врачу-рентгенологу перед обследованием с контрастом:
- есть ли у вас аллергия на йод, лекарства и продукты питания
- страдаете ли вы диабетом, астмой, заболеваниями сердца или щитовидной железы
Преимущества и риски КТ
Преимущества
Результаты компьютерной томографии позволяют врачам поставить максимально точный, правильный диагноз и своевременно назначить лечение. Компьютерная томография является неинвазивным, безболезненным методом диагностики. Проведение КТ очень часто сокращает необходимое количество исследований до минимума и исключает целесообразность применения инвазивных методик.
- позволяет послойно изучить состояние костной структуры, мягких тканей, кровеносных сосудов и отдельных органов;
- часто применяется в экстренных ситуациях, при посттравматических нарушениях, при подозрении на повреждение внутренних органов, кровотечение;
- может быть использована при наличии у пациента имплантированных медицинских устройств любого рода;
- используется для контроля при проведении биопсии органов и патологических участков тела человека.
Рентгеновское излучение при компьютерной томографии не имеет непосредственного побочного эффекта.Предполагаемые риски и противопоказания
Эффективная доза облучения при компьютерной томографии минимальная, однако, она всегда присутствует. Доза облучения, как правило, указывается в протоколе исследования. В интересах точной диагностики, особенно в острых случаях, данный риск нивелируется.
Женщины обязаны проинформировать направляющего врача и врача радиолога о возможной беременности. Из-за потенциального риска для ребенка компьютерная томография не рекомендуется беременным женщинам, если нет особых медицинских показаний.
Крайне редко, но все-таки возникают аллергические реакции на контрастное вещество, которое содержит йод. В таких случаях ПАТЕРО КЛИНИК располагает всеми необходимыми средствами для купирования подобных реакций.Производители внутривенного контрастного вещества не рекомендуют матерям кормить грудью в течение 24-48 часов после приема или введения контрастного вещества.
Как выполняется КТ
Исследование обычно проводится лежа на спине, редко - лежа на боку или на животе. Чтобы поддержать правильное или неподвижное положение тела при обследовании, под тело могут подложить подушки или попросить поднять руки над головой.
При необходимости использования контрастного вещества, оно применяется либо перорально (через рот - поглатывается), либо вводится внутривенно в зависимости от вида проводимого исследования.
Вас могут попросить задержать дыхание во время сканирования. Любое самое малое движение тела, может привести к возникновению артефактов на снимках.
После завершения исследования Вас могут попросить немного подождать, пока врач-рентгенолог не проверит качество изображения.Как правило, компьютерная томография занимает около 30 минут. Введение контрастного вещества во время исследования длиться от 10 до 30 секунд.
Какие ощущения возникают во время исследования.
Компьютерная томография безболезненная и быстрая процедура, которая легко переносится пациентом.Хотя само сканирование не вызывает боли, может быть некоторый дискомфорт от того, что приходится оставаться неподвижным в течение нескольких минут. Если у Вас есть болевой синдром и Вам трудно лежать неподвижно, врач может предложить Вам обезболивающие лекарства. При введении контрастного вещества внутривенно Вы почувствуете прилив тепла и незначительный металлический привкус во рту. Указанные ощущения длятся не более двух минут.
Контрастное вещество бывает неприятным на вкус при применении перорально, однако почти все пациенты легко переносят эту процедуру.
После компьютерной томографии пациент может сразу вернуться к своему обычному режиму.
Как получить заключение
Врач-рентгенолог (радиолог), имеющий соответствующий опыт, проанализирует результаты исследования и составит подробное заключение. Заключение и снимки могут быть направлены лечащему врачу, направившему пациента на компьютерную томографию. Пациент также получит снимки и копию заключения врача-рентгенолога. Рекомендовано изучение результатов исследования совместно с лечащим врачом.
Читайте также:
- Левая передняя нисходящая артерия (ЛПН)









