Лучевые признаки метастазов в половых органах женщины
Добавил пользователь Валентин П. Обновлено: 03.11.2025
Онкология — стремительно развивающаяся в XXI столетии отрасль медицины. Современные протоколы лечения опухолей в сочетании с инновационными технологиями позволяют забыть о тех временах, когда диагноз «рак» звучал как приговор. Однако есть немало таких заболеваний, которые требуют повышенного внимания со стороны онкологов. Об одном из таких видов рака мы поговорим в этой статье. Предложенная информация разъяснит особенности рака вульвы и его симптомов, расскажет, как обезопасить себя от формирования этой патологии.
Что нужно знать о раке вульвы?
Рак вульвы — патология, которая атакует половые органы женщины. К ним относятся лобок, большие и малые половые губы, клитор, преддверие влагалища. Опухоль, которая может поразить любое из этих мест, имеет вид язвы, и ее заживление очень длительное, оно сопровождается многими неприятными симптомами. Рак вульвы чаще диагностируется у пожилых женщин старше 60 лет, но в последние годы онкологи отмечают заметно «помолодевшую» динамику развития этой онкопатологии.
Развивается опухоль медленно. Может «дремать» много лет, а после наступления менопаузы дать бурный рост. Процесс начинается с появления патологических предраковых клеток. Они еще не раковые, однако при стечении благоприятных факторов быстро в него перерождаются. Такие клетки называют дисплазией. Своевременная диагностика и лечение этих патологических образований обезопасит от последующего их перерождения в злокачественную опухоль.
Рак вульвы — довольно редкая патология. Чаще всего этот вид опухоли развивается на фоне атрофических поражений кожи и слизистых. Причины его появления до сих пор досконально не изучены. Ученые предполагают, что «первую скрипку» в развитии патологии играют онкогенные вирусы.
Редкими видами рака вульвы важно заниматься профессионалам, которые имеют необходимые наработки и навыки. В Израиле лечением рака вульвы занимаются опытнейшие врачи. Сколько стоит лечение рака за границей, вы сможете узнать на сайте клиники.
Преимущественное большинство видов рака вульвы - кожные, так как вульву выстилают клетки эпителия.
Чаще всего диагностируются:
- плоскоклеточный рак - развивается в 95% случаев. Поражает половые губы, иногда влагалище. Гистологические подтипы:
 - ороговевающий рак вульвы - 60-80% случаев;
 - атипичная бородавка - 20-35% случаев;
 - веррукозная карцинома — медленно развивающаяся бородавка.
 - вульварная меланома — на втором месте по частоте развития рака вульвы. Развивается в 10% случаев. Поражаются клетки-меланоциты, эпидермис вульвы.
 
Онкопатология вульвы имеет и крайне редко диагностируемые формы. К ним относятся:
- аденокарцинома - 1%. Сюда же относится болезнь Педжета;
 - базальноклеточная карцинома - 2%. Поражает нижние слои кожи вульвы;
 - саркома — от 1 до 2%. Поражает подкожные кровяные сосуды. Опухоли очень агрессивны, быстро растут не взирая на возраст, в том числе и у детей.
 
Известные разновидности рака вульвы имеют такие же названия, как и клетки, где начинается патологический процесс.
Каковы симптомы рака вульвы?
В самом зародыше болезнь может протекать бессимптомно. Когда же появляются первые признаки рака, то, как правило, можно говорить уже о запущенном процессе. Симптомы, которые характерны для всех подвидов опухолей, таковы:

- сильный зуд и жжение в половых органах;
 - боль при сексуальном контакте и дискомфорт внизу живота;
 - новообразование на вульве;
 - изменение цвета определенных участков вульвы;
 - родинка на вульве, меняющая со временем цвет и форму;
 - нехарактерные дурнопахнущие выделения, в том числе и кровянистые;
 - увеличение паховых лимфоузлов;
 - язвенные, длительно незаживающие поражения кожи вульвы.
 
При запущенном процессе, когда опухоль поражает уже близлежащие органы, могут быть проблемы с опорожнением мочевого пузыря и кишечника. Для рака на этой стадии характерны быстрая утомляемость, истощение, сильные болевые ощущения в костях.
Если вы намереваетесь пройти лечение рака вульвы за границей, ознакомьтесь со списком ведущих онкоцентров Израиля.
Рассмотрим подробно симптоматику разных подвидов этого вида опухоли.
Симптомы «предраковых» состояний — интраэпительальная неоплазия вульвы (VIN)
В большинстве случаев этот диагноз не дает никакой симптоматики, кромене проходящего зуда. При осмотре участок, пораженный VIN, может выглядеть утолщенным с красноватым или розоватым оттенком кожи. На этой стадии для последующего успешного лечения рака вульвы очень важно доверить диагностику опытным специалистам, так как распознать предраковое состояние довольно сложно.
Симптомы плоскоклеточного рака вульвы
Практически у каждой женщины, которой поставлен этот диагноз, наблюдаются такие симптомы как изменение цвета конкретного участка вульвы, выступ на вульве грубый и утолщенный на ощупь, а также незаживающая длительное время раневая поверхность.
Симптомы вирусной карциномы
Опухоль своим видом напоминает цветную капусту. Может быть похожа на бородавку. Этому подтипу рака присущи также общие симптомы, описанные выше.
Симптомы меланомы вульвы
Цветовая гамма этой опухоли разнообразная - от черного до красного, розового или даже белого цветов. Чаще всего они локализуются в области клитора или больших половых губ. Могут начинаться с родинки и потом резко менять размер и внешний вид, перерождаясь в злокачественную опухоль. Повод обеспокоиться наступает тогда, когда вы замечаете ассиметрию, нечеткость границ, изменение цвета и увеличение роста опухоли.
Симптомы рака вульвы, развившегося в бартолиновых железах
Бартолиновы железы расположены по обе стороны влагалища. Их предназначение — выработка естественной смазки. У больных в области преддверия влагалища появляется характерное шишкообразное уплотнение, что может говорить о карциноме бартолиновой железы. Только своевременная диагностика поможет установить точный диагноз и дать ответ на вопрос о характере этого новообразования.
Симптомы болезни Педжета
Болезнь Педжета вульвы - медленно прогрессирующая злокачественная неоплазия, которая локализируется в области наружных женских половых органов. Причины ее не установлены. Ввиду поверхностного расположения неоплазии ее обнаружение не составляет труда. Основные симптомы - болезненность при пальпации, ощущение сухости и шелушащаяся кожа.
Подходы к лечению рака вульвы за границей разнообразны. Там применяют классическую триаду в лечении онкологии: хирургию, химию и лучевую терапию с учетом типа и стадии опухоли. Кроме того, при назначении протокола лечения онколог учитывает возраст, самочувствие и сопутствующие заболевания женщины.
Факторы риска рака вульвы
Сегодня ученые пока не могут назвать точную причину появления опухоли. Однако они указывают на факторы, которые способствуют либо увеличивают риски этого заболевания у женщин разных возрастных категорий. К ним относятся:
- возраст - 60 лет и старше.
 - папилломавирус - инфекция, которая передается при половом контакте и способствует поражению вульвы и шейки матки;
 - вирус иммунодефицита человека - передается половым путем. Угнетает иммунную систему, что может послужить причиной развития рака вульвы;
 - курение - один из факторов риска развития многих онкологических заболеваний, в том числе и рака вульвы;
 - предраковые состояния вульвы - неоплазия вульвы в анамнезе пациентки может способствовать развитию рака в будущем.
 - изменение кожи вульвы - истончение кожи и непрекращающийся даже после лечения зуд повышает риск развития опухолей вульвы.
 
Часто пациенты задаются вопросом: как лечат рак вульвы в израильских клиниках? Современной и актуальной стратегией прежде всего является профилактика инфекций, которые передаются половым путем. Именно такие инфекции как герпес, папилломавирус и генитальные бородавки изменяют клетки половых органов и приводят впоследствии к патологическим процессам в них.
Как уберечься от рака вульвы?
Для снижения рисков развития рака вульвы достаточно придерживаться определенных правил поведения и предусмотреть в своем распорядке регулярное посещение гинеколога. Итак, что же это за правила?

- обезопасьте свою сексуальную жизнь - всякий раз во время секса используйте презервативы;
 - два раза в год посещайте гинеколога, а при появлении настораживающих признаков увеличьте количество посещений клиники;
 - откажитесь от вредных привычек — табакокурения и алкоголя;
 - посоветуйтесь со своим врачом по поводу вакцинации против ВПЧ;
 - проводите регулярный визуальный осмотр половых органов.
 
Прогноз выживаемости при онкопатологии вульвы
Специальных методов профилактики, способных защитить от рака вульвы, не существует. Однако важно устранить все известные факторы риска, способствующие развитию этой онкопатологии, о которых говорилось выше. Кроме этого, необходимо своевременно обращать внимание на все сопутствующие заболевания, которые могут стать причиной развития любой из форм онкологии.
Если рак вульвы локализирован, то 5-летняя выживаемость составляет 85%.
В случае распространения раковых клеток в соседние ткани и лимфоузлы прогноз сокращается до 54%.
Если же рак успел поразить отдаленные органы, прогноз выживаемости в последующие 5 лет после постановки диагноза составит не больше 16%.
Рассматривая инновации в лечении онкологии за рубежом, важно получить индивидуальный протокол лечения. Это будет влиять в будущем на полноценную жизнь женщины, в том числе и на сексуальную.
Рак вульвы
Вульва — это наружная часть женских половых органов, которая представлена преддверием влагалища, большими и малыми половыми губами, клитором. В этой области могут возникать злокачественные опухоли. Чаще всего они поражают клитор, внутреннюю поверхность больших половых губ и малые половые губы.
Причины и факторы риска рака вульвы
В настоящее время ученым известно два механизма возникновения рака вульвы. У молодых женщин (особенно у курящих) чаще всего встречаются опухоли, связанные с инфицированием вирусом папилломы человека. Вероятно, проникая в клетку, возбудитель может вызывать изменения в генах, которые приводят к производству аномальных белков и, как следствие, бесконтрольному размножению клеток.
У женщин старше 55 лет чаще всего нет инфекции ВПЧ, но у них обнаруживается мутация в гене p53, который играет важную роль в предотвращении онкологических заболеваний.
Помимо папилломавирусной инфекции, известны и другие факторы риска рака вульвы:
- Возраст. На женщин младше 50 лет приходится менее 20% случаев, а на женщин старше 70 лет — более 50%.
 - Курение. Традиционно воздействие табачного дыма принято связывать с повышенным риском рака легких. Но на самом деле курение повышает риск многих онкологических заболеваний.
 - ВИЧ-инфекция. Вирус иммунодефицита ослабляет защитные силы организма и повышает риск инфицирования ВПЧ.
 - Интраэпителиальная неоплазия вульвы. Является предраковым заболеванием. В области вульвы появляются аномальные клетки, поначалу они находятся в поверхностных слоях кожи, но со временем могут трансформироваться в рак.
 - Диагностированный рак шейки матки. При этом имеется повышенный риск рака вульвы.
 
Классификация рака вульвы
Наиболее распространенный тип рака вульвы — плоскоклеточная ороговевающая карцинома. Как правило, она развивается у пожилых женщин (старше 55 лет). Реже встречаются бородавчатые и базалоидные (как правило, у молодых женщин), поверхностные плоскоклеточные карциномы.

В 8% случаев злокачественные опухоли вульвы представлены аденокарциномами, которые происходят из железистых клеток. Как правило, они развиваются в бартолиновых железах. Эти железы расположены в толще больших половых губ, они увлажняют влагалище во время половых актов. Нередко опухоли бартолиновых желез ошибочно принимают за кисты. Иногда аденокарциномы развиваются из клеток потовых желез, которые находятся в области наружных женских половых органов.
В редких случаях в области вульвы встречаются базальноклеточные карциномы (разновидность рака кожи).
В 6% случаев в области вульвы встречаются меланомы — злокачественные опухоли, которые происходят из клеток, продуцирующих пигмент меланин. Такая локализация для меланомы не совсем характерна, чаще она возникает на открытых участках кожи, на которые воздействуют солнечные лучи.
Классификация рака вульвы по стадиям:
- 1 стадия: при 1 стадии опухоль, которая растет в пределах вульвы и не поражает соседние органы, лимфатические узлы.
 - 2 стадия: при 2 стадии опухоль, которая проросла в соседние структуры, такие как мочеиспускательный канал, влагалище, анус.
 - 3 стадия: на 3 стадии опухоль, при которой раковые клетки распространились в лимфатические узлы.
 - 4 стадия: при 4 стадии рака вульвы поражение лимфатических узлов более выраженное по сравнению с 3 стадией, наблюдается прорастание опухоли в верхнюю часть мочеиспускательного канала, влагалища, в мочевой пузырь, прямую кишку, кости таза, наличие отдаленных метастазов.
 
Стадия опухоли определяет подходы к лечению и дальнейший прогноз.
Как кодируется рак вульвы в МКБ 10?
В Международной Классификации Болезней для рака вульвы предусмотрены следующие коды:
D07.1 — «рак на месте». 
C51 — злокачественные новообразования вульвы: 
C51.0 — рак большой половой губы. 
C51.1 — рак малой половой губы. 
C51.2 — рак клитора. 
C51.8 — рак вульвы, который выходит за границы вышеперечисленных структур. 
C51.9 — рак вульвы неуточненной локализации.
Симптомы рака вульвы
Предраковые изменения и ранние стадии рака вульвы могут не иметь симптомов. Когда опухоль прорастает глубже, и раковые клетки начинают распространяться в лимфатические узлы, практически у всех женщин возникают некоторые проявления:
- Участок кожи в области вульвы, который отличается от окружающей здоровой ткани: он может быть светлее или темнее, иметь красноватый или розовый цвет.
 - На коже появляется уплотнение, бляшка, бородавка, язвочка.
 - Возникает зуд, жжение, боли.
 - Многих женщин беспокоят кровотечения из влагалища вне месячных.
 
Чаще всего эти симптомы вызваны не онкологическим заболеванием. Но всегда есть небольшая вероятность того, что это рак.
Аденокарцинома, которая развивается из бартолиновой железы, выглядит как образование в области половых губ, которое можно прощупать. Аналогичными симптомами проявляется киста.
Диагностика рака вульвы
Основной метод диагностики рака вульвы — биопсия. Изучение образца тканей под микроскопом помогает с высокой точностью отличить доброкачественное образование от злокачественного. Для того чтобы понять, из какого места брать ткани, врач осматривает вульву с помощью кольпоскопа, обрабатывает кожу раствором уксусной кислоты или толуидинового синего: в результате патологические очаги становятся более заметны.

По показаниям (если опухоль большая, и есть подозрение, что она распространилась за пределы вульвы) назначают другие методы диагностики:
- Эндоскопическое исследование мочевого пузыря и прямой кишки.
 - КТ и МРТ помогают обнаружить очаги опухолевого роста в лимфатических узлах, различных органах.
 - Рентгенографию грудной клетки проводят для поиска метастазов в грудной клетке.
 - ПЭТ-сканирование — эффективный метод поиска отдаленных метастазов.
 

Лечение рака вульвы
При раке вульвы прибегают к классической триаде лечения в онкологии: хирургии, химиотерапии и лучевой терапии. Основным фактором, определяющим лечебную тактику, является тип и стадия опухоли. При облучении рака вульвы врач принимает во внимание возраст женщины, ее общее состояние здоровья и сопутствующие заболевания.
Хирургическое лечение рака вульвы
Хирургия — основной метод лечения рака вульвы. Во время операции врач старается полностью удалить опухолевую ткань, при этом сохранив эстетичный внешний вид половых органов, нормальную эвакуацию мочи и стула (это особенно важно, когда опухоль находится близко к мочеиспускательному каналу и анусу). В зависимости от стадии, прибегают к одному из следующих вариантов хирургических вмешательств:
- Локальное иссечение опухоли. Возможно на ранних стадиях. Хирург иссекает опухоль и примерно 1,3 см окружающих тканей, подкожной жировой клетчатки. Удаленную ткань отправляют в лабораторию для микроскопии. На краях разреза не должно быть обнаружено опухолевых клеток (отрицательный край резекции) — это будет говорить о том, что опухоль удалена полностью, и в организме, скорее всего, больше не осталось раковых клеток.
 - Вульвэктомия. Хирург удаляет всю вульву или ее большую часть. Существуют разные варианты вульвэктомии. В одних случаях после операции удается сохранить нормальный внешний вид половых органов, у некоторых женщин впоследствии приходится прибегать к реконструктивно-пластической хирургии.
 - Эвисцерация (экзентерация) таза — наиболее сложная и травматичная операция, ее проводят, если рак распространился на тазовые органы. Удаляют мочевой пузырь, нижнюю часть толстой и прямую кишку, матку вместе с шейкой и влагалищем. Объем вмешательства зависит от того, куда успела прорасти опухоль.
 - Удаление лимфатических узлов. Раньше оно проводилось всегда — на всякий случай, так как хирург не мог точно знать, распространились ли опухолевые клетки в ближайшие лимфатические узлы. В настоящее время есть возможность проводить сентинель-биопсию — исследование лимфатического узла, который находится первым на пути оттока лимфы от опухоли. Если в нем нет раковых клеток, то не имеет смысла удалять остальные лимфоузлы.
 
Иногда, если после операции высок риск рецидива, хирургическое лечение сочетают с курсом лучевой терапии и химиотерапии.
Химиотерапия при раке вульвы
В настоящее время не существует четких однозначных схем химиотерапии при раке вульвы. Тем не менее, противоопухолевые препараты могут принести пользу в следующих случаях:
- До операции химиотерапию применяют в сочетании с лучевой терапией. Вместе они помогают уменьшить опухоль и облегчить ее удаление.
 - Химиопрепараты назначают при рецидивах рака вульвы после хирургического лечения.
 
Лучевая терапия при раке вульвы
Лучевую терапию применяют при раке вульвы в следующих случаях:
- До операции в сочетании с химиотерапией. Это помогает уменьшить опухоль, перевести неоперабельный рак в операбельный.
 - После операции для профилактики рецидива.
 - Лучевую терапию можно использовать в качестве единственного метода лечения при поражении паховых и тазовых лимфоузлов.
 - Ее применяют отдельно или в сочетании с химиотерапией для лечения женщин, которым противопоказано хирургическое вмешательство.
 

Прогноз при раке вульвы
Сколько живут при раке вульвы? Даже если лечение проведено успешно, и наступила ремиссия, в будущем у женщины сохраняется риск рецидива рака. Поэтому все пациентки нуждаются в длительном, в течение нескольких лет, наблюдении. Прогноз оценивают по пятилетней выживаемости — показателю, который демонстрирует процент выживших женщин в течение 5 лет после того, как был установлен диагноз. Этот показатель зависит от стадии рака и от того, насколько он распространился за пределы вульвы:
- При местном раке, который находится в пределах вульвы (соответствует стадии I и II), 5-летняя выживаемость составляет 86%.
 - При региональном раке, когда опухолевые клетки распространились в лимфоузлы и соседние органы (соответствует стадиям III и IVA) — 54%.
 - При распространенном раке, когда имеются отдаленные метастазы (соответствует стадии IVB) — 16%.
 
Можно ли предотвратить рак вульвы?
Основные меры профилактики рака вульвы сводятся к предотвращению инфицирования вирусом папилломы человека. Нужно ограничить количество половых партнеров (в идеале он должен быть один), пользоваться презервативами. От опасных штаммов ВПЧ эффективно защищает вакцина.
Так как рак вульвы чаще встречается среди курящих женщин, эффективной мерой профилактики является отказ от вредной привычки.
Даже если женщина ведет абсолютно «правильный» образ жизни, это еще не гарантирует того, что она не заболеет. Поэтому важна ранняя диагностика, нужно регулярно посещать гинеколога.
Цены на лечение рака вульвы в «Евроонко»
Стоимость лечения рака вульвы зависит от стадии опухоли, объема хирургического вмешательства, от того, нужно ли его дополнить химиотерапией, лучевой терапией, другими видами лечения. В «Евроонко» можно получить помощь на уровне ведущих западных онкологических центров, но по более низкой цене.
Прием онколога-гинеколога — 6 900 р. 
Фотодинамическая терапия — от 170 т.р (рассчитывается в зависимости от веса пациента).
Лечение метастазов при раке матки
Рак матки с метастазами — это рак 4 стадии. Но не всякий рак матки 4 стадии — это рак с отдаленными метастазами. Выделяют две подстадии, в зависимости от того, насколько сильно опухоль успела распространиться в организме:

- IVA: опухоль проросла в мочевой пузырь или прямую кишку.
 - IVB: раковые клетки распространились в лимфатические узлы, которые находятся далеко от матки, имеются отдаленные метастазы, чаще всего в сальнике, костях, легких, печени.
 
Почему метастазирует рак матки?
Зачастую рак матки диагностируют, пока еще он находится в пределах органа, то есть процесс носит локальный характер. При этом прогноз относительно хороший, можно рассчитывать на ремиссию. Но у некоторых женщин опухоль диагностируют изначально на 4 стадии. Опухоль может рецидивировать в виде метастазов спустя некоторое время после того, как проведено лечение.

Процесс метастазирования достаточно сложен и не до конца изучен. Некоторые опухолевые клетки отрываются от первичного очага и проникают в кровеносный или лимфатический сосуд. В дальнейшем они мигрируют по организму с током лимфы или крови. Попадая в мелкий сосуд какого-либо органа, раковая клетка буквально застревает в нем и проникает в окружающие ткани. Там она может долго находиться в «спящем» состоянии, а затем, когда наступают благоприятные условия, начинает активно размножаться и дает начало вторичному очагу.
Многие онкологические пациенты погибают именно от метастазов. Проблема в том, что зачастую вторичных очагов много, многие из них настолько малы, что их не удается обнаружить. Уничтожить их очень сложно. Поэтому на поздних стадиях лечение носит преимущественно паллиативный характер. Врач старается замедлить рост опухоли, улучшить состояние пациента и продлить его жизнь.
Какими симптомами проявляется рак матки с метастазами?
Основные симптомы рака матки: аномальные выделения из влагалища, зачастую кровянистого характера, влагалищные кровотечения, не связанные с месячными, в постменопаузе, боль в низу живота и в области таза, болезненность во время мочеиспусканий и половых актов.
На стадии IVA присоединяются симптомы, связанные с поражением прямой кишки и мочевого пузыря: примеси крови в моче, частые, болезненные, затрудненные мочеиспускания, диарея, запоры, примесь крови в стуле, черный дегтеобразный стул.
На стадии IVB появляются симптомы, связанные с метастазами:
- При поражении костей: боли в костях, патологические переломы (возникают от небольшого воздействия).
 - При поражении легких: упорный хронический кашель, одышка, боли в грудной клетке, примесь крови в мокроте.
 - При поражении печени: желтуха, кожный зуд, боль под правым ребром.
 
Нарастает слабость, повышенная утомляемость, снижение аппетита, женщина сильно теряет вес. У некоторых больных из-за поражения печени развивается асцит — в брюшной полости скапливается жидкость.
Методы диагностики
Для того чтобы обнаружить метастазы при раке тела матки, применяют следующие методы диагностики:
- Рентгенография грудной клетки. Быстрое, несложное и информативное исследование, которое помогает обнаружить вторичные очаги в легких.
 - Компьютерная томография. Не используется для диагностики самого рака матки, но помогает выявить вторичные очаги в других органах, диагностировать рецидив.
 - Магнитно-резонансная томография. Этот метод диагностики особенно полезен при поиске метастазов в головном и спинном мозге, лимфатических узлах.
 - ПЭТ-сканирование. Во время этого исследования в организм вводят радиофармпрепарат, который накапливается в опухолевых клетках и делает их видимыми на снимках, выполненных специальным аппаратом.
 - Цистоскопия и ректоскопия — эндоскопические исследования мочевого пузыря и прямой кишки. Их назначают, когда есть подозрение, что опухоль распространилась на эти органы.
 
Лечение рака матки с метастазами
Лечение зависит от того, как много метастазов, где они находятся, насколько велики, от симптомов, общего состояния женщины, сопутствующих заболеваний, возраста. С пациенткой работает команда врачей-специалистов, в которую могут входить: онколог-хирург, онколог-гинеколог, химиотерапевт, врач лучевой терапии, психоонколог и др.
Хирургическое лечение
Наиболее благоприятной считается ситуация, когда обнаружены метастазы только в лимфатических узлах брюшной полости. Такой рак можно попробовать удалить. В большинстве же случаев при раке матки 4 стадии радикальная операция невозможна. Но иногда целесообразно паллиативное вмешательство, во время которого хирург старается удалить как можно больше опухолевой ткани. В дальнейшем это помогает повысить эффективность химиотерапии и лучевой терапии. Исследования показали, что есть связь между объемом удаленной опухоли и показателями выживаемости женщин после операции. Кроме того, операция помогает предотвратить сильные кровотечения из-за опухоли.

Однако хирургическое вмешательство при раке матки 4 стадии достаточно сложное и несет риск серьезных осложнений, его могут перенести не все женщины. Поэтому врач должен взвесить все за и против, оценить возможные преимущества и риски.
Лучевая терапия
Лучевая терапия помогает уменьшить симптомы и повысить выживаемость. Используют разные виды облучения:
- Из внешнего источника. Это классическая лучевая терапия.
 - Брахитерапия, когда источник излучения помещают прямо в матку. Существуют два вида брахитерапии при раке матки:
 - LDR: источник излучения помещают в матку на 1-4 дня. Все это время женщина должна находиться в неподвижном положении, чтобы пучок лучей не смещался и точно попадал на опухоль.
 - HDR: используют излучение более высокой интенсивности, но его источник помещают в матку примерно на час. Процедуру повторяют, как минимум, три раза, еженедельно или ежедневно.
 

Гормональная терапия
Гормональная терапия эффективна лишь в случаях, когда на поверхности раковых клеток есть рецепторы к гормонам — эстрогенам и прогестерону. Она действует лучше всего при небольшом количестве метастазов, если не поражены легкие и печень. Применяют прогестины, тамоксифен, изучается эффективность ингибиторов ароматазы. Гормональная терапия эффективна при запущенном, рецидивировавшем раке матки.
Химиотерапия
Обычно при раке матки с метастазами применяют химиопрепарат доксорубицин в сочетании с паклитакселом или препаратами платины (цисплатин, карбоплатин).
 
Иногда используют комбинации цисплатина, ифосфамида и паклитаксела. В настоящее время продолжаются клинические исследования, направленные на поиск оптимальных сочетаний препаратов в тех или иных случаях.
Поддерживающая терапия
Прогноз выживаемости
Пятилетняя выживаемость при раке матки на стадии IVA составляет 17%, при стадии IVB — 15%. В настоящее время методы лечения продолжают совершенствоваться, и, возможно, в будущем эти показатели удастся улучшить.
Рак влагалища
Влагалище — орган женской репродуктивной системы, который представляет собой канал, соединяющий шейку матки с вульвой (наружными женскими половыми органами). Его стенка состоит из мышц, снаружи покрыта оболочкой из соединительной ткани, изнутри выстлана слизистой оболочкой. В среднем длина влагалища у взрослых женщин по передней стенке составляет 7,5 см, по задней — 9 см. Спереди к влагалищу примыкает мочеиспускательный канал и мочевой пузырь, сзади — прямая кишка.

Рак стенки влагалища — довольно редкая злокачественная опухоль.
Виды и стадии рака влагалища
В зависимости от гистологического строения, выделяют два типа рака влагалища:
- Чаще всего встречается плоскоклеточный рак влагалища. Он получил свое название за то, что развивается из плоскоклеточного эпителия, выстилающего орган изнутри. Такие злокачественные опухоли обычно растут медленно, редко прорастают в соседние органы и дают отдаленные метастазы.
 - Реже встречаются более агрессивные аденокарциномы. Они происходят из железистых клеток, которые вырабатывают слизь. Аденокарциномы чаще, чем плоскоклеточный рак влагалища, прорастают в соседние органы, распространяются в лимфатические узлы и дают метастазы.
 
Стадии рака влагалища:
- На 1 стадии опухоль имеет диаметр до 2 см (IA) или больше (IB), но не прорастает за пределы влагалища.
 - На 2 стадии опухоль имеет диаметр до 2 см (IIA) или больше (IIB) и прорастает в соседние ткани.
 - На 3 стадии опухоль сильнее прорастает в соседние ткани и распространяется в регионарные лимфоузлы.
 - Рак влагалища 4 стадии характеризуется прорастанием в прямую кишку, мочевой пузырь, либо за пределы таза (IVA), или наличием отдаленных метастазов (IVB).
 
Причины рака влагалища
До 75% случаев рака влагалища и шейки матки связаны с инфекцией вирусом папилломы человека (ВПЧ). Существуют разные типы вирусов, они могут вызывать бородавки на руках и ногах, губах, языке, кондиломы в области половых органов. Некоторые типы возбудителей способны приводить к злокачественной трансформации клеток.
Другие факторы риска рака влагалища у женщин:
- Возраст. В 85% случаев плоскоклеточные карциномы развиваются у женщин старше 40 лет. Почти половина случаев приходится на женщин старше 70 лет.
 - Вагинальный аденоз — состояние, при котором в слизистой оболочке влагалища появляются участки, выстланные железистыми клетками, характерными для шейки матки, матки и фаллопиевых труб. Риск рака при этом повышен незначительно, и все же такие женщины нуждаются в повышенном внимании со стороны врачей-гинекологов. По статистике вагинальный аденоз встречается у 40% женщин.
 - Рак и предраковые изменения шейки матки повышают риск плоскоклеточного рака влагалища. По мнению большинства исследователей, это связано с тем, что рак влагалища и шейки матки имеют схожие факторы риска. Иногда рак влагалища возникает после рака матки.
 - Курение вредит не только легким. Она повышает риск рака влагалища в два раза.
 - Употребление алкоголя. Одно из недавних исследований показало, что самый низкий риск рака влагалища отмечается среди женщин, которые вообще не употребляют спиртное.
 - ВИЧ-инфекция. Согласно данным некоторых исследований, вирус иммунодефицита также повышает риски.
 - Существует такое состояние, как пролапс матки: при этом матка опускается и выпадает во влагалище. Патологию можно лечить хирургическим путем или с помощью колец-пессариев. Есть некоторые данные о том, что длительное ношение пессария может приводить к хроническому раздражению влагалища, которое, в свою очередь, повышает риск рака. Эти данные не имеют достоверных подтверждений.
 

Наличие какого-либо фактора риска или даже сочетания разных факторов еще не гарантирует того, что у женщины обязательно возникнет рак. В то же время, иногда онкологические заболевания возникают у женщин, у которых нет вообще ни одного фактора риска из этого списка.
Симптомы рака влагалища
На ранних стадиях симптомы обычно отсутствуют. Зачастую первым проявлением становятся вагинальные кровотечения, не связанные с месячными. Однако, этот симптом неспецифичен, он встречается и при других патологиях, например, при подслизистых миомах — доброкачественных образованиях в мышечном слое стенки матки.
Другие признаки рака влагалища также неспецифичны и встречаются при других патологиях:
- Чувство дискомфорта и боль во время полового акта.
 - Выделения из влагалища.
 - Уплотнение, узел, образование во влагалище.
 - Боли в области таза.
 - Болезненные мочеиспускания.
 - Запоры.
 
Последние три симптома из списка, как правило, встречаются на поздних стадиях, когда опухоль распространилась за пределы влагалища.
Возникновение любых вышеупомянутых проявлений — не повод для паники, но однозначно повод обратиться к врачу в самое ближайшее время. Скорее всего, это не рак. Но вы не узнаете точно, пока не пройдете обследование.
Обследование начинается с осмотра гинеколога и PAP-теста (другие названия — мазок Папаниколау, мазок на цитологию). Если врач обнаружил патологически измененные участки, а анализ выявил атипичные клетки, назначают кольпоскопию. Во время процедуры во влагалище вводят зеркала и осматривают его с помощью специального аппарата, — кольпоскопа — который увеличивает изображение с помощью линз. Для того чтобы лучше рассмотреть и оценить патологически измененные участки, гинеколог наносит на слизистую оболочку влагалища раствор уксусной кислоты или йода.

Кольпоскоп не вводят во влагалище, во время осмотра он находится на некотором расстоянии. Это безопасное исследование, его можно проводить даже во время беременности.
При необходимости проводят другие исследования:
- Рентгенография грудной клетки помогает обнаружить метастазы в легких.
 - Компьютернаятомография помогает четко оценить форму, положение, размер опухоли, поражение лимфоузлов и соседних органов. Иногда во время КТ применяют контраст: раствор дают выпить или вводят внутривенно. Если обнаружено подозрительное образование, под контролем компьютерной томографии в него можно ввести иглу и выполнить биопсию.
 - Магнитно-резонанснаятомография также помогает оценить степень распространения рака. Это более сложное и трудоемкое исследование по сравнению с КТ, но иногда оно имеет преимущества.
 - Позитронно-эмиссионнаятомография применяется для поиска метастазов. В организм вводят специальное вещество с радиоактивной меткой и выполняют снимки специальным аппаратом. Раковые клетки накапливают это вещество, и все очаги становятся видны на снимках.
 - Ректороманоскопия — эндоскопическое исследование прямой и толстой кишки. Показано при большой и/или расположенной близко к кишке опухоли влагалища. Во время него может быть проведена биопсия.
 
Как лечат рак влагалища?
На I-II стадиях опухоль может быть удалена хирургическим путем, на III-IV стадиях основными методами лечения рака влагалища становятся химиотерапия и лучевая терапия. С женщиной работает команда врачей-специалистов: гинеколог, онкогинеколог, химиотерапевт, радиотерапевт и др.
Хирургическое лечение
В зависимости от того, где находится опухоль, и насколько сильно она распространилась за пределы органа, при раке влагалища применяют разные варианты операций:
- Иногда при небольших опухолях I стадии удается выполнить локальную резекцию. Влагалище сохраняют, а новообразование удаляют с участком окружающей здоровой ткани.
 - Вагинэктомия — удаление влагалища. Она бывает частичной (когда удаляют часть органа), полной и радикальной (когда влагалище удаляют с окружающими тканями).
 - Трахелэктомия — удаление влагалища вместе с шейкой матки. К такому хирургическому вмешательству прибегают в редких случаях, когда опухоль находится в верхней части влагалища.
 - Гистерэктомия — удаление влагалища вместе с маткой. Часто при этом также удаляют часть окружающих тканей, маточные трубы и яичники. Операция может быть выполнена через влагалище или через разрез (или, в случае с лапароскопическим вмешательством, — через прокол) на животе.
 - Эвисцерациятаза — наиболее радикальная и серьезная операция, когда вместе с влагалищем, маткой и придатками матки удаляют прямую и часть толстой кишки, мочевой пузырь.
 
Зачастую вместе с влагалищем удаляют близлежащие (регионарные) лимфатические узлы.
Химиотерапия
Химиотерапию при раке влагалища назначают до операции, чтобы уменьшить размеры опухоли, в сочетании с лучевой терапией, чтобы усилить ее эффект. Применяют разные препараты: цисплатин, карбоплатин, 5-фторурацил, доцетаксел, паклитаксел. Зачастую сложно сказать, какая схема химиотерапии будет наиболее эффективна, так как рак влагалища встречается редко, и на данный момент проведено не так много исследований.

Лучевая терапия
Лучевую терапию применяют перед хирургическим вмешательством вместе с химиотерапией, либо, если опухоль распространилась на соседние органы и лимфоузлы, в качестве самостоятельного вида лечения. Облучение при раке влагалища можно проводить разными способами:
- Из внешнего источника. Женщину помещают рядом со специальным аппаратом и облучают область влагалища.
 - Брахитерапия — облучение опухоли из миниатюрного источника, помещенного внутрь влагалища.
 
Зачастую внешнее облучение при раке влагалища сочетают с брахитерапией.
Прогноз выживаемости. Бывают ли после лечения рака влагалища рецидивы?
Для оценки прогноза при онкологических заболеваниях существует показатель пятилетней выживаемости. Он обозначает процент пациентов, которые остались в живых спустя 5 лет после того, как был установлен диагноз. При раке влагалища этот показатель довольно оптимистичен:
- На I стадии — 84%.
 - На II стадии — 75%.
 - На III и IV стадии — 57%.
 
Прогноз наименее благоприятен при раке влагалища с метастазами. Но он встречается относительно нечасто, так как такие опухоли растут и распространяются медленно.
Реабилитация после лечения рака влагалища
После лечения может возникать рецидив рака влагалища, иногда развиваются злокачественные опухоли в других органах. У женщин, которые прошли лечение по поводу рака влагалища, повышен риск развития злокачественных опухолей вульвы, мочеточника, пищевода, легкого, мочевого пузыря. Поэтому после наступления ремиссии нужно регулярно являться на осмотры к гинекологу.
Осложнения после лечения рака влагалища
Основное осложнение, с которым сталкиваются женщины после лечения рака влагалища — преждевременный климакс и бесплодие. Зачастую это приводит к психологическим комплексам, депрессии.
Если женщина планирует в будущем иметь ребенка, нужно заранее обсудить этот вопрос с врачом. Возможно, доктор порекомендует криоконсервацию яйцеклеток.
Сексуальная жизнь после лечения
Для того чтобы женщина могла вести после хирургического лечения и удаления влагалища половую жизнь, прибегают к помощи реконструктивно-пластической хирургии. Влагалище можно восстановить, например, с помощью участка кишки.
Обычно после реконструктивной операции оргазм становится невозможен. Но, если удается сохранить клитор, женщина сохраняет способность испытывать клиторальный оргазм.
Профилактика и ранняя диагностика
Меры профилактики рака влагалища сводятся к предотвращению папилломавирусной инфекции и отказу от вредных привычек:
- Избегайте беспорядочных половых связей.
 - Занимайтесь сексом с презервативами: это снижает риск инфицирования ВПЧ, хотя и не защищает полностью.
 - Регулярно посещайте гинеколога и сдавайте мазки на цитологию — это поможет вовремя обнаружить предраковые изменения и принять меры.
 - Если вы курите — откажитесь от вредной привычки.
 - От папилломавирусной инфекции защищает вакцина Гардасил.
 
Вовремя диагностировать опухоль помогают регулярные осмотры гинеколога и мазки Папаниколау. Если вас начали беспокоить те или иные симптомы, не стоит откладывать визит к врачу.
Стоимость лечения рака влагалища
Стоимость лечения зависит от ряда факторов: стадии опухоли, программы лечения, продолжительности пребывания в стационаре, ценовой политики клиники. В «Евроонко» можно получить медицинскую помощь на уровне ведущих западных онкологических центров, но по более низкой цене. У нас есть все необходимые оригинальные препараты, превосходно оснащенная операционная, в которой проводятся хирургические вмешательства любой степени сложности.
Рак вульвы - симптомы и лечение
Что такое рак вульвы? Причины возникновения, диагностику и методы лечения разберем в статье доктора Ильина Антона Алексеевича, онколога-гинеколога со стажем в 13 лет.
Над статьей доктора Ильина Антона Алексеевича работали литературный редактор Вера Васина , научный редактор Сергей Федосов и шеф-редактор Маргарита Тихонова

Определение болезни. Причины заболевания
Рак вульвы — это злокачественная опухоль, которая поражает женские наружные половые органы: большие и малые половые губы, клитор и преддверие влагалища.

Заболевание развивается медленно: от предрака (дисплазии) до рака вульвы проходит несколько лет. К первым симптомам относятся зуд и боли, реже кровянистые выделения. Если своевременно обратиться к врачу, то зачастую прогноз благоприятен.
Распространённость
Рак женских наружных половых органов — заболевание пожилого и старческого возраста. В основном им страдают женщины старше 65 лет. С увеличением продолжительности жизни становится больше пожилых людей и, как следствие, растёт уровень заболеваемости раком.
Факторы риска
В 2017 году пик заболеваемости раком вульвы приходился на 75-79 лет. За последние 30 лет болезнь стала вдвое чаще встречаться среди молодых женщин. Причиной этого послужило распространение вируса папилломы человека (ВПЧ). Папилломавирус передаётся половым путём и является одним из основных факторов, запускающих развитие болезни.
Выявлено более 200 видов ВПЧ, но по-настоящему опасны лишь 16, 18 и 33 типы. Риск развития дисплазии вульвы зависит от типа ВПЧ:
- 16 тип — риск составляет 77,3 %;
 - 33 тип — 10,6 %;
 - 18 — 2,5 % [2] .
 
Прочие факторы риска:
- ;  
 - иммунодефицитные состояния;
 - дисплазия и склероатрофический лишай, или крауроз (истончение и сухость кожи вульвы с зудом и болями);
 - генетические мутации.
 

При обнаружении схожих симптомов проконсультируйтесь у врача. Не занимайтесь самолечением - это опасно для вашего здоровья!
При раке вульвы развивается опухоль, которую пациентки часто выявляют самостоятельно при ощупывании.

С развитием заболевания возникают следующие симптомы:
- продолжительные зуд и/или жжение в области вульвы;
 - кровотечения, не связанные с менструацией;
 - изменение цвета участка вульвы — побледнение, покраснение или потемнение;
 - изменение рельефа кожи — сыпь, узелки, бородавки, язвы и истончение;
 - боль, которая появляется или усиливается при половом акте и мочеиспускании;
 - при метастазах опухоли в паховые лимфоузлы — боль в этих областях [3] .
 
Вышеперечисленные признаки — основание для визита к врачу. Однако на ранних стадиях, в первые несколько лет, симптомы могут отсутствовать или быть незначительными.
Патогенез рака вульвы
Изменения, предшествующие развитию рака вульвы, схожи с таковыми при раке шейки матки. Злокачественная опухоль развивается постепенно, проходя стадии от предрака (дисплазии) до инвазивного рака.
Дисплазия — собирательное понятие. Для каждого органа оно имеет специфическую терминологию. Для вульвы — это "вульварная интраэпителтальная неоплазия".

Выделяют два патогенетических пути развития рака вульвы:
- ВПЧ-опосредованный. После внедрения ДНК папилломавируса в клетку человека начинают выделяться онкобелки Е6 и Е7. Они подавляют белок p53, который в норме запускает механизм запрограммированной клеточной гибели и препятствует развитию злокачественных опухолей.
 - Генетический. У пациентов с опухолями часто встречаются мутации в генах ТР53, PTEN и ADKN2A. Предполагается, что эти нарушения играют важную роль в развитии рака [4] .
 
На последних стадиях рака вульвы появляются метастазы — вторичные очаги злокачественной опухоли. Рак вульвы чаще всего метастазирует по лимфатическим каналам, поражая лимфатические узлы. Сперва страдают пахово-бедренные лимфоузлы, затем тазовые и парааортальные (находящиеся рядом с аортой). Такая последовательность объясняется направлением тока лимфатической жидкости — снизу вверх.

Однако метастазы возникают не сразу. Реже других метастазируют опухоли размером менее 2 см и/или расположенные вне клитора [5] .
Классификация и стадии развития рака вульвы
Гистологически, то есть по виду клеток, выделяют следующие виды рак вульвы:
- Эпителиальные опухоли вульвы:
 - плоскоклеточный рак;
 - аденокарцинома, включая болезнь Педжета;
 - базальноклеточная карцинома;
 - карцинома Меркеля.
 - Неэпителиальные опухоли:
 - саркома; .
 
Чаще всего врачи сталкиваются с плоскоклеточным раком вульвы, его доля составляет более 90 % [7] . Причина высокой распространённости связана с тем, что именно плоский эпителий покрывает вульву.
Для болезни Педжета характерно менее агрессивное течение и относительно благоприятный прогноз. Опухоль развивается из железистых клеток и чаще проявляется изменённым рельефом кожи с включением белых пятнышек на фоне покраснения.

Стадии заболевания
Стадия рака — основной фактор для выбора тактики лечения. Первая классификация была разработана в 1932 году и с тех пор неоднократно менялась.
Онкологи применяют две системы стадирования рака:
Чтобы установить стадию, в обеих системах рассматриваются следующие признаки:
- размер опухоли (tumor);
 - наличие или отсутствие опухоли в лимфатических узлах (node);
 - наличие или отсутствие метастазов опухоли (metastasis).
 
Исходя из сочетания этих факторов, выделяют четыре стадии. Чем она меньше, тем лучше прогноз.
Сейчас онкогинекологи применяют классификацию рака вульвы восьмого пересмотра. Она может показаться усложнённой, но такое подробное деление основано на эпидемиологических исследованиях.
Стадирование рака вульвы
Рак обычно стадируется дважды. Первый раз — до лечения, такое стадирование называют клиническим. Повторно стадию рака определяют после операции — патологоанатомическое исследование. Оно считается окончательным и более точным. Со временем опухоль может расти или распространятся на органы, в которых её раньше не было, а также появиться повторно после полного излечения. В этом случае однажды установленная стадия уже не будет меняться.
Осложнения рака вульвы
Осложнения рака вульвы зачастую возникают на поздних стадиях. Основное из них — кровотечение из опухоли. Сильные кровянистые выделения — повод незамедлительно обратиться за медицинской помощью, самостоятельно они останавливаются крайне редко.
Следующая группа осложнений связана с распространением опухоли. Рак растёт бесконтрольно и со временем выходит за пределы вульвы: прорастает во влагалище, уретру и прямую кишку, т. е. метастазирует. Это может приводить к нарушению стула и мочеиспускания.

При распаде опухоли к заболеванию может присоединиться инфекция, поскольку соблюдать стерильность вблизи влагалища и прямой кишки затруднительно из-за анатомических особенностей [7] . Присоединение инфекции приводит к развитию воспаления, требующего санации и назначения антибактериальной терапии. Без лечения может развиться сепсис — проникновение в кровь различных микроорганизмов и их токсинов.
Сбор анамнеза и осмотр
На приёме доктор уточнит наличие факторов риска, спросит о симптомах и их длительности. Далее врач проведёт гинекологический осмотр и проверит состояние наружных и внутренних половых органов.
При больших размерах опухоли осмотр зеркалом может причинять боль. С одной стороны, он необходим для осмотра шейки матки, взятия мазков на онкоцитологию и ВПЧ — встречаются случаи сочетания рака вульвы и патологии шейки матки. С другой стороны, от осмотра в зеркалах можно отказаться, если это вызывает сильный дискомфорт: данный этап не критичен для назначения лечения.
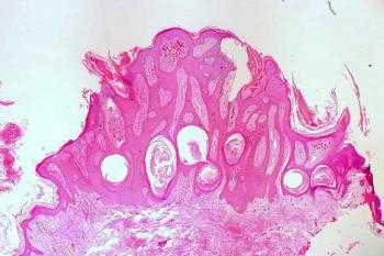
Биопсия
Единственным способом, позволяющим достоверно поставить диагноз "рак вульвы", является биопсия — забор фрагмента опухоли (4-5 мм) для гистологического исследования. Биопсию проводят методами радиоволновой хирургии, электрохирургии или специальным инструментом — конхотомом.

Чтобы установить стадию заболевания и выбрать тактику лечения при подтверждённом диагнозе, потребуются дополнительные тесты.
МРТ и КТ
Магнитно-резонансная томография (МРТ) — это самый точный метод исследования органов малого таза. МРТ позволяет оценить размер и локализацию опухоли, а также определить состояние лимфатических узлов. Для диагностики органов брюшной полости и грудной клетки применяют компьютерную томографию (КТ).
УЗИ лимфоузлов
При диагностике важно уточнить состояние лимфатических узлов: метастазы в них значительно снижают выживаемость и влияют на тактику лечения [8] [9] .
Рецидивы в паховых областях по сравнению с локальными имеют худший прогноз и плохо лечатся, смертность достигает 75 % [10] . Состояние пахово-бедренных лимфоузов оценивают с помощью ультразвукового исследования (УЗИ). Метод безопасен, и его точность составляет 95 % [11] .

Дифференциальная диагностика
Рак вульвы следует отличать от крауроза, дисплазии и доброкачественных образований, таких как бородавки и кондиломы. С постановкой диагноза сложностей обычно не возникает — осмотр онкогинеколога и биопсия позволяют сделать это безошибочно.
Рак вульвы лечат хирургически, лучевой терапией и химиотерапией, а также комбинацией этих методов. В большинстве случаев от момента постановки диагноза до начала лечения проходит около 2-4 недель.
Операция при раке вульвы — это основной и самый эффективный метод. В начале ХХ века большинство женщин с установленным диагнозом "рака вульвы" погибали. Выживаемость после хирургического иссечения опухоли составляла менее 25 %. Первые попытки увеличить продолжительность жизни за счёт более радикальной операции были предприняты в 1912 году [12] .
Новая методика включала удаление вульвы, паховых и тазовых лимфатических узлов и позволила увеличить пятилетнюю выживаемость до 74 %. Однако подобные операции часто сопровождались осложнениями, у выживших значительно ухудшалось качество жизни и снижалась сексуальная функция.
Сегодня при планировании лечения учитываются многие факторы. В некоторых случаях пахово-бедренные лимфоузлы можно не удалять: опухоли на начальных стадиях лечат, выполняя широкое иссечение, или гемивульвэктомию. При операции разрез проходит по здоровой коже на расстоянии не менее 10 мм от опухоли, вместе с которой удаляется и подлежащая жировая клетчатка.
При более обширном распространении опухолевого процесса выполняют вульвэктомию — полное удаление вульвы вместе с подлежащей жировой клетчаткой. Чтобы закрыть образовавшийся дефект, окружающие ткани сшивают и проводят пластику. При удалении больших опухолей может потребоваться вмешательство пластического хирурга. Для пластики используется фрагмент кожи с подлежащей жировой клетчаткой, взятый, например, с бедра.
При опухолях размером от 2 см и инвазии более 1 мм паховые лимфатические узлы удаляются. Это необходимо из-за высокого риска их метастатического поражения, а УЗИ и МРТ не способны показать микроскопические метастазы в них. Такая операция называется лимфодиссекцией. Она позволяет определить тактику дальнейшего лечения, но значительно увеличивает риск послеоперационных осложнений.
Чтобы уточнить, необходима ли лимфодиссекция, применяют метод определения сигнальных лимфатических узлов. Сигнальным называют лимфоузел, стоящий первым на пути тока лимфы от опухоли. Для его поиска перед операцией тонкой иглой в область вокруг опухоли вводится радиоактивный препарат. Его дозировка очень маленькая и не вредит организму. При операции сигнальный лимфоузел обнаруживают специальным аппаратом, улавливающим радиоактивное излучение.

Обнаруженные сигнальные лимфоузлы удаляются и отправляются на срочное гистологическое исследование. Если опухолевые клетки в них отсутствуют, то операция завершается, если нет, то пахово-бедренные лимфоузлы придётся удалить.
Осложнения после операции
Самые распространённые осложнения после хирургического лечения рака вульвы:
- несостоятельность и/или инфицирование послеоперационной раны;
 - лимфорея — истечение лимфатической жидкости в операционную рану, может приводить к образованию кист и расхождению раны;
 - лимфостаз — застой лимфатической жидкости в тканях ног.
 
Частота таких осложнений достигает 30-70 % [14] [15] [16] .
Лучевая терапия и химиотерапия менее эффективны, чем хирургическое лечение. Их применяют, когда нельзя провести операцию.
Прогноз. Профилактика
Для оценки прогноза в онкологии применяется термин "пятилетняя выживаемость". С его помощью пациентов с конкретной стадией заболевания сравнивают с людьми из общей популяции. Например, пятилетняя выживаемость 90 % означает, что у таких пациентов шанс прожить пять лет составляет 90 % по сравнению со здоровыми людьми.
Показатели пятилетней выживаемости при раке вульвы:
- локализованная форма — 86 %;
 - метастазы в пахово-бедренные лимфоузлы — 53 %;
 - метастазы за пределы пахово-бедренных лимфоузлов — 19 % [16] .
 
Профилактика
Предотвратить развитие рака вульвы поможет вакцинация против вируса папилломы человека. Регулярное посещение гинеколога позволит выявить заболевание на ранней стадии.

При появлении первых симптомов следует немедленно обратиться к доктору — только он сможет поставить точный диагноз и назначить правильное лечение.
Без специализированной терапии рак вульвы неизбежно прогрессирует и со временем приведёт к гибели пациентки.
Читайте также:
