Магнитно-резонансная томография височной кости в норме
Добавил пользователь Евгений Кузнецов Обновлено: 02.11.2025
Неотъемлемым компонентом стоматологического и, как следствие, общего здоровья, является нормальная функция височно-нижнечелюстных суставов (ВНЧС). На сегодняшний день распространенность заболеваний ВНЧС в популяции довольно высока.
Наиболее частая причина дисфункции ВНЧС - внутреннее повреждение и нарушение нормальных анатомических соотношений суставного диска и мыщелка нижней челюсти.
Клинически дисфункция проявляется как нарушение открывания рта, хруст при движении нижней челюсти, напряжение мышц головы, шеи, появление «триггерных точек», головная боль (причем боли могут быть такими сильными, что их часто путают с мигренью).
Точная локализация суставного диска очень важна в оценке повреждения ВНЧС и может быть легко определена с помощью метода МРТ.
При этом переднее смещение суставного диска определяется у 34% здоровых добровольцев, а нормальное положение суставного диска только у 16-23%.
На ранней стадии диск сохраняет свою форму. Со временем поврежденный диск деформируется.
Чаще деформация идет в виде утолщения задней зоны и истончения передней и промежуточной.
Каждое выполняемое исследование необходимо делать в 2-х положениях - с закрытым и открытым ртом.
Косо-сагиттальная проекция с закрытым ртом. Нормальный ВНЧС.

Суставной диск не дислоцирован, задняя его часть находится на 12 часах циферблата мыщелка.
Нормальная мобильность диска

Позиция с открытым ртом. Мыщелок сместился вентрально, на уровень суставной ямки. При этом суставной диск сохранил нормальное положение интерпозиции, не давая костным структурам напрямую контактировать друг с другом.
Смещения диска.
Выделяют переднее, передне-латеральное, передне-медиальное, латеральное, медиальное и заднее смещения; наиболее часто диагностируется переднее смещение диска.
Вывихи диска - фиксированный и перемежающийся (подвывих).
При фиксированном вывихе диск смещен кпереди от мыщелка и в положении открытого и при закрытом рте; при перемежающемся вывихе (подвывихе) диск смещен кпереди только при закрытом рте. При открывании рта диск возвращается в нормальное положение интерпозиции между мыщелком и суставным бугорком. При этом слышен характерный щелчок.
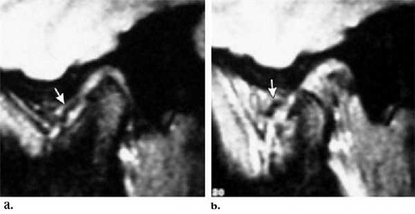
Перемежающийся (вправляемый) вывих /подвывих.

А. Закрытый рот. Переднее смещение диска.
Б. Рот открыт. Диск вернулся в нормальное положение между мыщелком и височной костью.
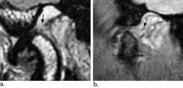
Фиксированный (невправляемый) вывих.

А. Рот закрыт. Переднее смещение диска.
Б. Рот открыт. Диск продолжает оставаться смещенным.
«Застрявший» диск.

«Застрявший» диск. PD sag изображения с открытым (А) и закрытым (Б) ртом - задний край диска (стрелка) остается в нижнечелюстной ямке височной кости. По этой причине открывание рта сильно ограничено. Вероятная причина - образование спаек.
Заднее смещение диска.

Заднее смещение диска (составляет менее 0,01% всех патологий ВНЧС).
А. Положение с закрытым ртом. Суставной диск сместился дорзально.
Б.Положение с открытым ртом. Возвращение суставного диска на уровень мыщелка нижней челюсти. Движения челюсти очень ограничены в данном случае.
Синовит.
Кроме патологии суставного диска, существуют и другие причины дисфункции височно-нижнечелюстного сустава.

Небольшое количество выпота в полости сустава.
Остеоартроз ВНЧС .

Рот закрыт. Определяется уплощение мыщелка нижней челюсти.
Патология позадидисковых тканей.

Оба изображения (разные пациенты) показывают разрыв волокон дорзальных (задних верхней и нижней диско-темпоральных) связок.
Травматические изменения.

Двусторонний перелом мыщелковых отростков, гемартроз, изменения крыловидных мышц.
У пациентов с клиническими проявлениями внутренних нарушений ВНЧС ведущим методом лучевого исследования является функциональная МРТ. Наиболее информативными являются Pd- и Т2*-взвешенные изображения в кососагиттальных плоскостях.
Другие статьи по теме
Что может послужить поводом для МРТ простаты и как подготовиться к этой. О чём расскажет МРТ простаты?
За что в организме человека отвечает поджелудочная железа? Как в диагностике её. МРТ поджелудочной железы: когда она необходима?
Надпочечники — это «фабрика» по производству гормонов. Нарушения в работе надпочечников могут. МРТ надпочечников: кому может понадобиться такая диагностика?
МРТ височных костей
Височная кость человеческого черепа представляет собой сложное костное парное образование. Эта костная структура имеет сложную форму и структуру. Височные кости являются несущими частями черепной коробки, к ним крепятся части слухового аппарата. Они защищают вестибулярный аппарат и внутреннее ухо. Кость служит опорой жевательного аппарата - она сочленена с подвижной частью челюсти. По своему строению она состоит из трех частей, каждая из которых выполняет свои функции и несколько отличается по структуре ткани от соседних. Изнутри к височной кости примыкают артерии и нервные волокна. Роль височной кости очень велика, поэтому ее повреждение неизменно ведет к поражению структур внутреннего уха, вестибулярного аппарата, нарушению слуха, равновесия, головным болям или головокружению.
Любое изменение структуры или формы височной кости влияет на кровеносную систему, питающую мозг, либо на органы слуха и зрения, либо непосредственно на мозг. Такую же опасность несут и воспаления ячеистых структур сосцевидного отростка кости (одной из составляющих частей), новообразования на внутренней части кости, изменения наружного слухового прохода.
Возможность получения большого количества срезов на высокопольном томографе экспертного класса в Медицинском центре «Гарантия» облегчает точную диагностику. Часто болевые ощущения в области височной кости вызываются совершенно разными причинами, которые при обычных методах диагностики очень трудно определить. Часто требуются повторные исследования. В таком случае КТ использовать не рекомендуется - использование рентгеновского излучения, даже столь малой интенсивности, в области мозга очень нежелательно.
МРТ височных костей: показания
МРТ височной кости имеет огромное диагностическое значение.
Исследование должно быть назначено в следующих случаях:
- Боли в области среднего уха.
- Нарушения зрения или слуха по неизвестной причине.
- Гнойные выделения из слухового прохода.
- Нарушения работы челюстного аппарата.
- Травмы в височной области.
- Необходимость подготовки к операции на черепе и последующий контроль результатов операции.
- Отиты и другие заболевания воспалительного характера в области височной кости.
- Абсцессы и инфекции головы.
- Опухоли и подозрение на опухоли.
- Дегенеративные явления органа слуха.
- Проблемы с координацией движения и сохранением равновесия.
- Нарушения работы жевательных мышц.
- Нарушения вкусовых ощущений.
МРТ височных костей - что показывает?
МРТ височных костей позволяет выявить такие заболевания, как острые и хронические отиты, воспаления внутреннего уха, опухоли доброкачественного и злокачественного характера, травмы и переломы височных костей, наличие инфекционного процесса в данной области, отосклероз и другие дегенеративные патологии.
МРТ височных костей: противопоказания
МРТ не следует проводить в следующих случаях:
- Во время беременности и лактации. Беременным МРТ может быть назначена только по строгим показаниям, если польза от диагностики значительно перевешивает возможный риск для плода. При грудном вскармливании можно сделать простое исследование МРТ, не назначается МРТ с контрастированием, или же, в случае острой необходимости, матери следует отказаться от кормления грудью как минимум на сутки после исследования.
- Наличие в организме пациента металлических конструкций или электронных имплантов, в том числе зубных протезов из металла, отличного от титана.
- Почечная недостаточность - является противопоказанием к проведению МРТ с контрастированием, поскольку в этом случае нормальное выведение контраста из организма нарушается, и может наступить интоксикация.
- Вес пациента более 130 кг.
- Аллергия или склонность к аллергическим реакциям (для введения контраста).
Подготовка к МРТ-Исследованию
Специальной подготовки к МРТ височной кости не требуется.
КАК ДЕЛАЮТ?
Пациент укладывается на кушетку, которая затем помещается в цилиндрический тоннель томографа так, чтобы голова пациента находилась внутри тоннеля. Обследование длится около 25 минут. Если проводится контрастирование, то это время увеличивается до 45 минут.
В течение всей процедуры пациент должен сохранять неподвижность, поскольку от этого зависит четкость снимков. При необходимости голову пациента также могут зафиксировать специальными мягкими валиками. В связи со сложностью исследования, результаты обследования с расшифровкой врача обычно выдаются на руки пациенту на следующий день, а по экстренным показаниям - в течение часа. В заключении врач подробно описывает обнаруженные патологии и дает рекомендации. С результатами пациент в дальнейшем может обратиться к своему лечащему врачу, который направил его на МРТ, либо к специалисту, рекомендованному врачом.
Изображения исследования МРТ записывают на компакт-диск и выдают пациенту.
На МРТ височной кости цена зависит от репутации клиники и используемого в ходе обследования оборудования.
ИСПОЛЬЗОВАНИЕ КОНТРАСТНОГО ВЕЩЕСТВА
В тех случаях, когда есть подозрение на наличие опухоли, или необходимо уточнить более четко границы патологии, может быть назначена МРТ с контрастированием. Контраст вводится внутривенно после проведения бесконтрастного сканирования строго по показаниям. Распространяясь с кровотоком и накапливаясь в пораженных тканях, контрастное вещество способствует лучшей визуализации проблемных участков, позволяет косвенно судить о злокачественности опухоли, ее структуре. Контрастное вещество представляет собой препарат на основе редкоземельного металла гадолиния, который не наносит вреда организму и полностью выводится в течение суток естественным путем.
КТ височных костей: когда бывает нужно это исследование?
Компьютерная томография костей черепа - исследование довольно распространённое. Однако при некоторых болезнях могут потребоваться прицельные снимки отдельных костей черепа.
Об особенностях одного из таких исследований - компьютерной томографии височных костей - мы беседуем с врачом-рентгенологом «Клиника Эксперт» Курск Романом Александровичем Строковым.
— Роман Александрович, где расположены височные кости и какова их функция?
— Они расположены в области основания черепа и участвуют в образовании его боковой части. В височных костях находится орган слуха и равновесия. Кроме того, в костных каналах височных костей проходят такие важные нервные структуры, как лицевой и преддверно-улитковый нервы, находится узел тройничного нерва.
— Что может стать поводом для КТ височных костей? При каких заболеваниях эффективна эта диагностика?
— Компьютерная томография височных костей - это методика, которая проводится по специальному протоколу. Это помогает хорошо детализировать все анатомические образования, которые располагаются в височной кости. Поэтому на КТ височных костей врачи направляют пациентов с поражениями органа слуха и равновесия, с черепно-мозговой травмой (ЧМТ), когда, в частности, предполагается перелом основания черепа.
Также исследование рекомендуют больным с неврологической симптоматикой, которая соответствует поражению нервов, расположенных в височных костях. КТ височных костей может быть нужна и при планировании хирургического лечения, например, по поводу такого заболевания, как отосклероз. Это делают, чтобы оценить анатомические особенности височной кости у конкретного пациента и подобрать соответствующий кохлеарный протез (протез улитки внутреннего уха).
Информативна КТ височных костей и при воспалительных процессах уха (острых и хронических отитах), травмах, опухолях этой области.
Читайте материалы по теме:
— Что показывает КТ височных костей?
— На КТ-снимке мы наблюдаем структуры наружного, среднего и внутреннего уха (слуховые косточки, конфигурацию слухового прохода). Кроме того, можно оценить костные элементы, а также воздушные полости височной кости на предмет нарушения их пневматизации (заполнения воздухом). На основании этих данных мы делаем вывод, являются ли выявленные изменения причиной недуга, который беспокоит пациента.
— Роман Александрович, расскажите, пожалуйста, как делают КТ височных костей
— Стандартное исследование височных костей проводится без контрастирования (то есть без использования контрастного препарата). Пациент заходит в кабинет, проходит инструктаж, раздевается, ложится на стол томографа и неподвижно лежит на протяжении всей процедуры. Она обычно занимает несколько минут.
Томограф оборудован средствами связи с персоналом. Если во время исследования у пациента возникают неприятные ощущения или ухудшается самочувствие, он может сообщить об этом сотрудникам.
По окончании сканирования врач-рентгенолог проверяет качество полученных изображений и их информативность. На руки пациент получает снимки на плёнке, диск с записью процедуры и заключение врача.
— Нужно ли готовиться к этой процедуре?
— Специальной подготовки к КТ височных костей не предусмотрено. Единственное условие - пациент должен снять с наружного уха все металлсодержащие украшения.
— Каковы противопоказания к этому методу исследования?
— КТ височных костей, как и компьютерную томографию любой другой зоны, не рекомендуется делать беременным и детям из-за ионизирующего излучения.
— А есть ли случаи, при которых проводить это исследование беременным или детям можно?
— Детям его выполняют по необходимым показаниям и тогда, когда другие методы диагностики и данные клинического осмотра не дают достаточной информации для постановки диагноза. Чаще всего показаниями для того, чтобы сделать КТ височных костей, являются:
- воспалительные заболевания уха, врождённые аномалии его развития;
- черепно-мозговая травма;
- планирование оперативного лечения.
Беременным это исследование проводят строго по показаниям, если имеется угрожающее жизни состояние.
— Нужно ли направление для того, чтобы пройти это исследование?
— Я считаю, что направление на компьютерную томографию желательно иметь всегда, причём не только детям, но и взрослым. Почему? Потому что в направлении лечащий врач (оториноларинголог, сурдолог, терапевт, травматолог) указывает предварительный диагноз, поставленный на основании проведённого обследования. И для подтверждения или опровержения своего мнения направляет на компьютерную томографию. Например, врач подозревает у пациента воспалительный процесс в среднем или внутреннем ухе и указывает это в направлении. То есть перед врачом-рентгенологом ставится вопрос, есть воспаление или нет. Соответственно, врач-рентгенолог должен ответить на этот вопрос, прицельно описывая изменения в интересующих лечащего врача структурах.
К нам в клинику пациенты на КТ височных костей приходят в подавляющем большинстве случаев с направлением. Если же пациент приходит самостоятельно, рентгенологу сложно дать внятный ответ. Часто такое исследование в последующем недостаточно информативно для лечащего врача.
Беседовала Севиля Ибраимова
Записаться на КТ височных костей можно здесь
ВНИМАНИЕ: услуга доступна не во всех городах
Редакция рекомендует:
Для справки:
Строков Роман Александрович
Выпускник лечебного факультета Ташкентской государственной медицинской академии 2011 года
В 2012 году завершил обучение в интернатуре по направлению «Рентгенология»
В настоящее время занимает должность врача-рентгенолога «Клиника Эксперт» Курск Принимает по адресу: ул. Карла Либкнехта, д. 7
Когда необходима КТ головного мозга? Как её проводят? Насколько безопасно такое исследование? Не только МРТ. Что покажет КТ головного мозга?
Доктор направил вас на МСКТ для определения количества кальция в артериях сердца. МСКТ для определения коронарного кальция: что это за исследование?
Компьютерная томография органов грудной клетки (КТ ОГК) - один из современных методов. КТ органов грудной клетки: что покажет и как поможет пациенту?
МРТ костей черепа что показывает

Магнитно-резонансная томография базируется на способности магнитного поля изменять состояние атомов водорода в молекулах воды. Процедура информативна относительно мягких тканей, насыщенных жидкостью. Структуры организма с низким содержанием воды на снимках отражаются плохо. МР-томограф фактически «не видит» костную ткань. По этой причине рутинная диагностика переломов включает рентгенографию и КТ (в экстренных, спорных либо сложных ситуациях). При травмах головы стандартное обследование с помощью Х-лучей нередко сочетают с магнитно-резонансной томографией. В зависимости от того, что показывает МРТ костей черепа, дополняют тактику лечения, основанную на результатах КТ. Процедура дает информацию о состоянии мягких структур и влиянии на последние травм.
Показывает ли МРТ перелом черепа?
В основе метода — явление ядерно-магнитного резонанса, свойственное атомам с непарным количеством протонов. Поле, создаваемое установкой, заставляет микрочастицы вращаться по другой траектории. Затем элементы резко переходят в первоначальное положение. Аппарат улавливает возникающие при этом энергетические импульсы и преобразует последние в картинку. Так томограф делает послойные снимки изучаемой области.

Диагностическая ценность магнитно-резонансной томографии высока при травмах сложных структур организма (черепная коробка, позвоночник, сочленения). По результатам сканирования диагностируют не сам перелом, а сопутствующие повреждения (разрывы связок, мышц, компрессию тканей и пр.).
На вопрос «Показывает ли МРТ перелом черепа?», врачи дают отрицательный ответ. При травмах головы методом выбора является компьютерная томография. По снимкам оценивают состояние костей, обнаруживают малейшие повреждения последних, кровотечения. Компьютерная томография особенно информативна в первые 48 часов после получения травмы. В дальнейшем изменения в мозге контролируют посредством МР-сканирования.
Как делают МРТ черепа?

Гемосинус на МР-снимке головы
Диагностическую процедуру проводят по назначению врача, по предварительной записи. В клинике нужно заполнить бланки, пройти консультацию с рентгенологом, предоставить имеющуюся медицинскую документацию. Перед исследованием важно снять украшения, предметы гардероба и аксессуары с металлическими элементами, оставить в раздевалке электронные устройства и прочие личные вещи.
В диагностическом кабинете пациента укладывают на платформу аппарата. Тело фиксируют, для комфорта используют валики. Важно занять удобное положение, так как во время сканирования нельзя шевелиться.
По завершении приготовлений врач удаляется в соседний кабинет, откуда управляет оборудованием, контролирует процедуру, при необходимости общается с пациентом по громкой связи. Сканирование длится 20-25 минут.
При контрастной МРТ снимки выполняют дважды — перед введением препарата гадолиния и после инъекции. В общей сложности процедура занимает 30-40 минут.
По завершении томографии пациент одевается, забирает личные вещи и ожидает результаты в диагностическом центре или отправляется по своим делам. Заключение и информационный носитель со снимками выдают через 15-60 минут.
Показания и противопоказания к МРТ лицевого черепа
Магнитно-резонансную томографию применяют в травматологии, пластической хирургии, ревматологии, онкологии и пр. Кости лицевого отдела тонкие и хрупкие. При повреждении последних возможны травмы нервов и сосудов, развитие неврологической симптоматики и других осложнений.
Показаниями для проведения МРТ лицевого отдела черепа являются:
- болевой синдром в данной области различной степени выраженности;
- неприятные ощущения или щелчки во время движений челюстью, жевания, разговора;
- нарушение чувствительности в определенных зонах головы;
- изменение подвижности челюстного аппарата;
- спазмы лицевых мышц;
- все виды травм;
- нарушения глотания, дыхания и пр.
Метод применяют для диагностики новообразований, при подозрении на инфекционно-воспалительные процессы, гнойное расплавление тканей. По снимкам МРТ планируют лечебные хирургические вмешательства, пластические операции, вспомогательные процедуры при диагностике различных опухолей (менингиома, остеома, остеобластома и пр.). Основные данные о состоянии костей получают при КТ.

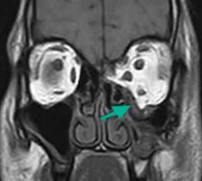
Взрывной перелом орбиты на МРТ (изменения указаны стрелкой)
Противопоказаниями к проведению магнитно-резонансной томографии выступают:
- наличие в теле больного металлических конструкций (штифты, спицы, эндопротезы, сосудистые клипсы и пр.);
- имплантированные электронные устройства (водитель ритма, инсулиновая помпа);
- тяжелое общее состояние пациента или необходимость в проведении реанимационных мероприятий;
- вес более 120 кг и обхват живота свыше 150 см (для закрытого аппарата).
Установленные ортодонтические приспособления (брекеты, ретейнеры и пр.) могут давать артефакты на снимках. Это нужно учитывать и предупреждать врача о наличии стоматологических изделий.
К относительным противопоказаниям причисляют ранние сроки беременности (до 13 недели), острый болевой синдром, боязнь замкнутого пространства, алкогольное опьянение. Контрастное усиление не проводят пациентам с тяжелыми формами почечной и печеночной недостаточности и индивидуальной непереносимостью препаратов гадолиния.
Подготовка к МРТ лицевого черепа
Накануне магнитно-резонансной томографии головы специально ничего делать не надо. Пациентам рекомендуют надеть на процедуру удобные вещи, в которых будет комфортно неподвижно лежать достаточно долгое время. Лучше отказаться от применения декоративной косметики или свести макияж к минимуму. Некоторые средства могут содержать частицы металлов, что неблагоприятно влияет на качество снимков.
При наличии у пациента эндопротеза или других имплантатов, необходимо предоставить документ о совместимости конструкции с магнитным полем. При осуществлении сканирования электроника может выйти из строя, поэтому пациентам с водителями ритма и прочими приборами нельзя делать МРТ. Металлические конструкции из сплавов ферромагнетиков дают на снимках артефакты. Изображения с нечеткими или засвеченными зонами невозможно трактовать объективно. Диагностическая ценность процедуры существенно снижается.
Подготовка к контрастной МРТ подразумевает легкий перекус за 40-45 минут до начала исследования. Пациент может съесть батончик, горсть орехов, небольшой фрукт.
Расшифровка томографии черепа

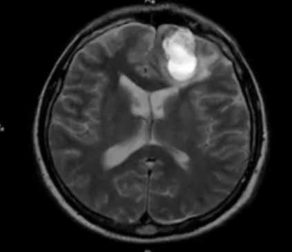
Внутримозговая гематома травматического характера на МР-снимке
В результате МРТ получают множество послойных снимков в трех взаимно-перпендикулярных плоскостях. На изображениях видят контуры тканей, сравнивают показатели с нормой, выявляют отклонения и признаки патологических изменений. Все данные отражают в заключении.
По результатам МРТ лицевого отдела черепа выявляют:
- аномалии развития;
- последствия травм (растяжения и разрывы связок, повреждения суставных элементов, сосудов, мышц, патологическое скопление жидкости и пр.);
- нарушение строения околоносовых пазух (деформации, новообразования и пр.);
- опухоли добро- и злокачественной природы, метастазы (окончательный диагноз — по результатам гистологии);
- изменения воспалительного характера (абсцесс, флегмону и пр.).
Трактовка снимков требует глубоких знаний анатомии и опыта в области МР-диагностики. Человек без специального образования не сможет самостоятельно расшифровать сканы.
Не только МРТ. Что покажет КТ головного мозга?
Для выявления патологий головного мозга применяют разные методы диагностики. Один из них - компьютерная томография (КТ).
Когда необходима КТ головного мозга? Как её проводят? Насколько безопасно такое исследование? На эти и другие вопросы отвечает врач-рентгенолог «Клиника Эксперт» Курск Екатерина Александровна Нехаева.
— При возникновении проблем с головным мозгом один из часто назначаемых методов исследования - МРТ. Екатерина Александровна, а приходят ли к вам пациенты на КТ головного мозга?
— Да, на компьютерную томографию головного мозга пациенты приходят довольно часто.
— Расскажите, в чём суть этого метода исследования
— Компьютерная томография основана на применении рентгеновского излучения. Проходя через ткани, имеющие различную плотность, рентгеновские лучи в разной степени ослабевают. С помощью специальных математических алгоритмов компьютер обрабатывает параметры рентгеновского излучения и формирует графические изображения (срезы) органов человека на экране. После этого доктор интерпретирует полученные изображения.
Подробнее о компьютерной томографии можно узнать здесь: Когда КТ незаменима?
— Получается, что КТ основана на использовании рентгеновских лучей. В связи с этим может возникнуть вопрос, опасно ли проводить КТ головного мозга
— Так как при проведении такой диагностики пациент получает определённую (но не очень большую!) дозу облучения, КТ применяется только при наличии обоснованных медицинских показаний.
— В каких случаях может понадобиться КТ головного мозга?
— При черепно-мозговых травмах (в том числе, при клинически диагностированном сотрясении мозга), при подозрении на наличие опухоли или инородного предмета в тканях мозга. Это исследование могут назначить и при жалобах пациента на постоянные головные боли, головокружение, тошноту, возникших, например, после травм.
К компьютерной томографии головного мозга обращаются и в том случае, если пациенту противопоказана МРТ.
— Какие патологии может увидеть доктор? Что выявляет КТ головного мозга?
— Прежде всего мы можем подтвердить или исключить опухоли головного мозга, кровоизлияния, врождённые аномалии, кисты, некоторые нейродегенеративные процессы и атрофию мозгового вещества. Это, по сути, единственный метод диагностики при черепно-мозговой травме, с помощью которого можно в очень сжатые сроки (5-10 мин) обследовать пациента и получить необходимые сведения о состоянии костей черепа и головного мозга.
Этот метод используют и для динамического наблюдения после хирургических вмешательств на головном мозге.
— Чем КТ отличается от МРТ головного мозга? И можно ли сказать, что из них лучше?
— Компьютерная томография - это более чувствительный метод для оценки костных структур. МРТ, в свою очередь, информативнее для выявления очаговых изменений в белом веществе, ядрах и стволовых структурах мозга, гипофизе. Сказать, какой метод лучше, я бы не взялась, так как каждый имеет свои сильные стороны, оттого эти методы являются не взаимоисключающими, а скорее взаимодополняющими.
— Екатерина Александровна, нужно ли как-то готовиться к КТ головного мозга?
— Специальной подготовки нет, необходимо только снять с себя все металлические предметы, в том числе украшения.
— Расскажите нашим читателям, как делают КТ головного мозга
— Пациент ложится на спину на выдвижной стол томографа. Важный нюанс: во время сканирования необходимо сохранять неподвижность, чтобы изображения получились чёткими, поэтому в большинстве случаев мы фиксируем голову пациента.
Рентген-лаборант вносит в базу данные пациента, выбирает протокол исследования и выполняет сканирование. После завершения сканирования врач-рентгенолог обрабатывает и анализирует полученные изображения и выдаёт заключение.
— Сколько по времени длится КТ головного мозга?
— Вся процедура занимает 5-7 минут.
— А есть ли противопоказания к КТ головного мозга?
— Да, это беременность и период лактации. Для исследования с контрастированием противопоказаниями являются также аллергия на содержащие йод вещества и снижение выделительной функции почек.
— Можно ли с помощью этого метода диагностики обследовать детей?
— Можно, но при этом следует использовать специальные протоколы, в которых предусматривается максимально сниженная лучевая нагрузка на организм ребёнка. Тем не менее, КТ головного мозга выполняют детям только при наличии показаний и направления от лечащего врача.
— А нужно ли направление доктора, чтобы пройти КТ головного мозга взрослому?
— Да, направление от лечащего врача требуется в абсолютном большинстве случаев, как для детей, так и для взрослых.
Записаться на КТ головного мозга можно здесь
ВНИМАНИЕ: услуга доступна не во всех городах
Нехаева Екатерина Александровна
Выпускница лечебного факультета Курского государственного медицинского университета 2013 года.
В 2015 году прошла профессиональную переподготовку по специальности «Рентгенология».
В настоящее время занимает должность врача-рентгенолога в «Клиника Эксперт» Курск. Принимает по адресу: ул. Карла Либкнехта, 7.
Компьютерная томография костей черепа - исследование довольно распространённое. Однако при некоторых болезнях. КТ височных костей: когда бывает нужно это исследование?
Читайте также:
