Методы исследования мягких тканей шеи
Добавил пользователь Евгений Кузнецов Обновлено: 01.01.2026
Боли в шее, её припухлость, асимметрия, изменения голоса - такие симптомы могут свидетельствовать о патологии органов и тканей, расположенных в области шеи. Одним из методов, который поможет установить причины таких проявлений, является МРТ.
О том, что показывает МРТ шеи, о разнице между КТ и МРТ и многом другом мы поговорили с врачом-рентгенологом, исполнительным директором «МРТ Эксперт» Липецк Владимиром Владимировичем Тулиновым.
- Владимир Владимирович, часто ли в ваш центр обращаются пациенты с вопросом о том, выполняется ли у вас МРТ шеи?
- Да, сравнительно часто. МРТ мягких тканей шеи довольно актуальное обследование. Но всё же не такое частое, как, например, исследование головного мозга или каких-то отделов позвоночника (в частности, шейного, грудного, поясничного).
- МРТ шеи и МРТ шейного отдела позвоночника - это одно и то же? Если нет, то в чём разница?
- Это немного разные вещи. МРТ шейного отдела позвоночника - узконаправленное обследование. При выполнении данной процедуры видны только позвоночник и спинной мозг. МРТ мягких тканей шеи - обследование более расширенное. При его проведении просматриваются и оцениваются мышцы, слюнные железы (подъязычная, нижнечелюстная, околоушная), щитовидная железа, пищевод, гортань, а также межфасциальные пространства. Просматривается также корень языка, грушевидные синусы, лимфоузлы, парафарингеальные (окологлоточные) области. Позвоночник и спинной мозг на МРТ шеи тоже видны, но не так детально, как на МРТ шейного отдела позвоночника.
Необходима МРТ шейного отдела позвоночника? На это исследование можно записаться здесь
ВНИМАНИЕ: услуга доступна не во всех городах
- Какие симптомы могут указывать на то, что в шее есть проблемы?
- припухлость в области шеи, которая видна невооружённым глазом, асимметрия;
- покраснение на шее;
- Какую патологию может обнаружить МРТ шеи? В диагностике каких заболеваний она может помочь врачу?
- Как и при любом МРТ-обследовании это могут быть доброкачественные и злокачественные новообразования (например, различные типы кист шеи), воспалительные изменения. Причём данные образования могут находиться как в мягких тканях и мышцах шеи, так и в железах, пищеводе.
Конкременты (камни) лучше видны на КТ, но если в слюнных железах есть камень, то, соответственно, на МРТ мы увидим последствия: расширение слюнных протоков и т.д. Абсцессы, признаки инфекции также будут визуализироваться.
Хотите больше узнать об МРТ слюнных желез? Читайте здесь
- Как делается МРТ шеи?
- Пациент ложится на стол томографа и ему выполняется сканирование в трёх проекциях. Специалист в это время управляет аппаратом из соседней комнаты и по необходимости связывается с пациентом посредством двусторонней связи. Данные передаются на монитор, и врач оценивает состояние органов по полученным изображениям. Результаты отражаются в заключении. При необходимости данные могут быть записаны на электронный носитель, который пациент забирает с собой.
- Сколько длится процедура?
- МРТ шеи без контрастирования занимает около 20 - 30 минут, с контрастированием - примерно час.
- Нужна ли специальная подготовка, чтобы сделать МРТ шеи?
- Имеются ли противопоказания к МРТ шеи?
- Они такие же, как и к обычной МРТ: наличие в организме пациента кардиостимулятора, ферромагнитного металла и ряд других.
Подробнее о противопоказаниях к МРТ можно узнать из нашей статьи
- Как часто можно проходить МРТ шеи?
- Как и все другие МРТ-обследования. Если это необходимо, то можно каждый день.
- В каких ситуациях требуется проведение МРТ шеи с контрастом? Есть ли ограничения для применения контрастного препарата?
- Если в процессе обследования, например, мы находим какое-либо образование, то определить его характер (доброкачественный или злокачественный) можно по характеру накопления контрастного вещества.
Ограничения стандартные для всех МРТ. Это почечная недостаточность, первый триместр беременности, лактация, индивидуальная непереносимость препарата.
Читайте материал по теме: Для чего нужен контраст при МРТ?
- В каких случаях может понадобиться КТ шеи? И чем она отличается от МРТ?
- В основе этих методов - разные физические феномены. МРТ - обследование на основе магнитного резонанса, помещение человека в магнитное поле. КТ действует на основе ионизирующего рентгеновского излучения. Но это методы взаимодополняющие. В идеале, если есть показания, надо делать и то, и другое.
Какая-то патология лучше видна на КТ. Допустим, сиалоаденит (камни в протоках слюнных желез, с последующим воспалением). Хорошо заметны такие органы, как гортань, её хрящи. Окружающие пространства лучше видны на МРТ.
Когда КТ незаменима? Подробнее о компьютерной томографии можно узнать здесь
- К какому доктору следует обратиться, чтобы получить направление на МРТ шеи?
- Для того, чтобы сделать МРТ шеи, направление не обязательно. Можно обратиться в наш центр и пройти МРТ с целью профилактики, если что-то беспокоит. В зависимости от выявленной патологии доктор, который делал МРТ, подскажет и обязательно отметит в заключении, к какому специалисту пациенту стоит обратиться. Но если пациент хочет пойти сначала именно к врачу-клиницисту, то это может быть невролог, оториноларинголог (ЛОР-врач), онколог.
Записаться на МРТ мягких тканей шеи можно здесь
Беседовала Марина Воловик
Редакция рекомендует:
Тулинов Владимир Владимирович
Выпускник Рязанского государственного медицинского университета 2010 года
С 2010 по 2011 год проходил интернатуру по рентгенологии в Курском государственном медицинском университете.
В настоящее время - исполнительный директор «МРТ Эксперт» Липецк и «МРТ Эксперт» Липецк 2, заведующий кабинетом МРТ в г. Елец.
Другие статьи по теме
Что может послужить поводом для МРТ простаты и как подготовиться к этой. О чём расскажет МРТ простаты?
За что в организме человека отвечает поджелудочная железа? Как в диагностике её. МРТ поджелудочной железы: когда она необходима?
Надпочечники — это «фабрика» по производству гормонов. Нарушения в работе надпочечников могут. МРТ надпочечников: кому может понадобиться такая диагностика?
УЗИ мягких тканей
Ультразвуковое исследование мягких тканей - это обобщенное название, которое может включать в себя диагностику различных частей тела. С помощью обследования удается оценить состояние подкожной клетчатки, суставов, мышц и сухожилий. В ходе процедуры можно определить их размеры, структуру, точную локализацию и наличие патологических процессов.
Разновидности УЗИ мягких тканей
Диагностику мягких тканей условно можно классифицировать на несколько видов:
- УЗИ шеи. Исследование осуществляют с целью определения патологических процессов. Обычно производится оценка функционирования кровотока, исключаются злокачественные новообразования и другие патологические процессы;
- УЗИ лица. Специалисты рекомендуют проводить диагностику лица в случае, если пациента мучают постоянные гнойные образования, необъяснимая боль или же гематомы, которые появляются без видимых причин.
- УЗИ живота. В данном случае речь идет о диагностике внутренних органов. Проверяют почки, печень, селезенку и т.д.
- УЗИ бедра. Проводится для оценки функционирования подколенных сухожилий, седалищного нерва, ягодичных мышц. Позволяет следить за динамикой терапии.
- УЗИ голени. Чаще всего такую процедуру осуществляют при травмах данной области. УЗИ необходимо для исключения серьезных повреждений.
- УЗИ рук. При помощи ультразвука можно изучить состояние тканей, лимфатических узлов, жировых клеток, сосудов.
В каких случаях назначают УЗИ мягких тканей
В большинстве случаев исследование мягких тканей рекомендовано при наличии хотя бы одного из ряда тревожных симптомов, которые могут сигнализировать о патологии. К этому списку относятся следующие случаи:
- Наличие новообразований, расположенных в мягких тканях (липомы, гигромы и атеромы);
- Регулярное возникновение гнойничковых образований на мягких тканях;
- Болевые ощущения в суставах, подозрение на разрыв мышц или связок;
- Ревматоидные заболевания;
- Беспричинное увеличение лимфатических узлов;
- Предстоящее хирургическое вмешательство на мягких тканях;
- Контроль динамики лечения.
Основные преимущества УЗИ мягких тканей
Данное обследование имеет несколько весомых плюсов. УЗИ безвредно для организма и может проводиться неограниченное количество раз (по назначению доктора). Также данный вид инструментальной диагностики признан одним из самых доступных и информативных. УЗИ не доставляет ни боли, ни дискомфорта, а потому может проводиться даже маленьким детям. Процедура дает возможность определить патологические процессы даже на ранней стадии развития. Вы можете провести ее не только по назначению доктора, но и в профилактических целях.
Как правильно подготовиться к исследованию
Подготовка к УЗИ мягких тканей может различаться в зависимости от того, что вы собираетесь обследовать. Как правило, на достоверность результатов исследования сухожилий, мышц, жировой клетчатки и т.д. не влияют сторонние факторы, поэтому особенной подготовки не требуется.
Если предстоит ультразвуковое исследование живота - необходимо явиться на процедуру натощак, с утра перед процедурой нельзя пить. Подробнее о подготовке вы можете узнать у своего лечащего врача.
Как осуществляется обследование
Пациент должен снять одежду и украшения. Затем нужно лечь на кушетку. Врач УЗИ подскажет вам, какую позу нужно принять. Специалист обработает исследуемую зону специальным гелем, улучшающим контакт датчика с тканями. Нажимая и поворачивая датчик, специалист исследует нужную область. В общей сложности диагностика может занимать от 15 до 40 минут. По окончании манипуляции пациенту выдают результаты исследования и, при необходимости, снимки.
Расшифровка результатов
В ходе данной процедуры специалист обращает внимание на размеры, диаметр и функционирование суставов, состояние мышц, подкожной клетчатки, размеры и строение обнаруженного новообразования, если таковое имеется, скорость и характер кровотока.
Если найдено патологическое новообразование - потребуется пройти магнитно-резонансную томографию и биопсию.
Сложно назвать конкретные цифры и данные, которые принято считать нормой - это зависит от исследуемой области, возраста и анамнеза пациента. Интерпретировать результат может только лечащий врач.
Какие патологии можно выявить?
УЗИ мягких тканей позволяет выявить очень много недугов. Согласно статистике, при проведении ультразвукового исследования мягких тканей чаще всего обнаруживают следующие патологии.
- Липома. Это доброкачественная опухоль, состоящая из жировой ткани. На УЗИ определяется по наличию участков с плохой эхогенностью, и однородной структурой.
- Гигрома. Это более плотное, по сравнению с липомой, образование с жидкостью внутри. Чаще всего локализуется в суставах.
- Гематома. Чаще образуется в мышцах при незначительных травмах.
- Хондрома. Доброкачественная опухоль, находящаяся в хрящевой ткани.
- Гемангиома. Это доброкачественное новообразование, образующееся из кровеносных сосудов. Определяется по нечетким контурам и неоднородной структуре.
- Атерома. Доброкачественное новообразование, которое образуется из-за закупорки протока сальной железы
- Травмы сухожилий.
- Осложнения после оперативного вмешательства.
- Болезни соединительной ткани.
Несмотря на тот факт, что УЗИ не является самым информативным методом, с его помощью можно диагностировать сотни патологических процессов, даже если речь идет о начальной стадии. Этот метод принято считать одним из самых доступных, а главное - безопасных. При необходимости исследование назначается беременным девушкам и даже маленьким детям.
Ни в коем случае не игнорируйте рекомендации доктора, если врач настаивает на проведении ультразвуковой диагностики. Помните о том, что любой недуг намного проще вылечить на начальной стадии.
УЗИ мягких тканей шеи
Ультразвуковое исследование мягких тканей шеи - это информативная диагностическая методика, позволяющая выявить массу патологических процессов за короткий промежуток времени. Любые аномальные отклонения можно определить даже на начальной стадии, при этом пациент совершенно не испытывает дискомфорта. Назначить данное исследование могут хирурги или невропатологи при подозрении на то или иное заболевание.
Кому показано УЗИ мягких тканей шеи
Ультразвуковое исследование обладает отличной способностью четко визуализировать структуры мягких тканей, мышц, жировой клетчатки и сосудов. Данный вид диагностики позволяет рассмотреть шею в различных проекциях и выявить возможные отклонения. Исследование назначается в таких случаях:
- При пальпации или визуально определяются уплотнения в шее;
- Увеличение лимфатических узлов;
- Подозрение на наличие абсцесса;
- Болевые ощущения при ощупывании шеи;
- Травма шеи;
- Частые головные боли и головокружение;
- Беспокоят шумы в ушах;
- Наблюдается высокая температура в комплексе с одним из перечисленных симптомов.
Также данный вид диагностического исследования может использоваться для контроля при заборе биологического материала (биопсия), пункции лимфатических узлов, эндоскопии. Дополнительно может использоваться насадка с доплером, если есть подозрения на патологию сосудов в области шеи.
Плюсы и минусы
Большая часть специалистов уверяют, что данная технология исследования позволяет выявить десятки патологических процессов, что говорит о высокой информативности. Еще одним весомым преимуществом является отсутствие боли при проведении исследования. Пациент может морально расслабиться, что значительно повысит достоверность полученных данных. В некоторых случаях, когда необходимо более детально рассмотреть орган, могут быть назначены иные диагностические процедуры. Например, компьютерная томография и МРТ считаются более информативными. Однако эти методы существенно дороже и имеют противопоказания, поэтому прибегать к ним стоит только в случае, если врач считает это необходимым. Результат исследования можно получить сразу после диагностики.
Противопоказания к УЗИ мягких тканей
Ультразвуковое исследование мягких тканей - это неинвазивная процедура, которая не требует использования медикаментозных средств и никак не влияет на работу организма. По этой причине диагностическая манипуляция доступна практически каждому, не зависимо от возраста или же наличия заболеваний.
УЗИ диагностику могут на некоторое время перенести или назначить иные методики исследования, если у пациента значительно травмирована кожа в исследуемом месте. Например, это может случиться при ожогах или же остром течении кожных заболеваний, в основном при псориазе. При наличии индивидуальной непереносимости геля, используемого во время проведения УЗИ, нужно сообщить об этом своему лечащему врачу.
Как правильно подготовиться
Исследование мягких тканей шеи не требует подготовки. Если предполагается диагностика с оценкой состояния сосудов и скорости кровотока, рекомендуется соблюдать простые правила: за 48 часов до УЗИ отказаться от алкоголя, за 24 часа - от кофе и крепкого чая, за 5 часов - от курения.
Перед походом в медицинское учреждение заранее снимите украшения с шеи. Перед заходом в кабинет желательно собрать длинные волосы, чтобы они не пачкались и не мешали исследованию. В случае, если ранее вы уже осуществляли обследование мягких тканей шеи - возьмите с собой протоколы предыдущей диагностики.
Алгоритм УЗИ мягких тканей шеи
Ультразвуковое исследование мягких тканей шеи осуществляет врач ультразвуковой диагностики. Пациенту нужно освободить шею для исследования. На кожный покров обследуемого участка наносят небольшое количество контактного геля. При необходимости специалист просит повернуть или наклонить голову, напрячь шею или выполнить другие просьбы. По завершении стандартного исследования специалист может дополнительно использовать доплер, чтобы оценить состояние кровотока и сосудов. Обычно процедура осуществляется за 15-20 минут. Далее человеку на руки выдают результаты УЗИ с расшифровкой, и он отправляется к своему доктору для получения пояснений и назначения терапии при необходимости.
Интерпретация результатов
Интерпретацией результатов занимается лечащий врач, который направил пациента на ультразвуковое исследование. Чаще всего исследование осуществляют в тех случаях, когда есть подозрение на онкологическое заболевание. В таком случае доктор обращает внимание на подробности расположения опухолевидного новообразования, оценивает структуру, локализацию и точные размеры. Также с помощью данной технологии возможно подробно оценить состояние лимфатических узлов. Стоит помнить, что УЗИ является лишь частью диагностики - если врач заподозрил заболевание, он может назначить другие диагностические процедуры для того, чтобы подтвердить или опровергнуть диагноз.
Обратите внимание, что организм каждого человека сугубо индивидуален, дать точные показатели для сравнения не информативно. Не пытайтесь самостоятельно расшифровать результаты, доверьтесь доктору и следуйте его рекомендациям.
Какие заболевания можно обнаружить
Рассмотрим несколько патологических процессов, которые можно выявить в ходе диагностики посредством ультразвука:
- Отклонения со стороны сосудистой системы;
- Наличие тромбов или атеросклеротических бляшек;
- Обширные кровоподтеки в мягких тканях;
- Аневризма;
- Онкологические заболевания;
Если врач подозревает один из вышеперечисленных диагнозов - это не страшно, в большинстве случаев такие патологии с успехом поддаются терапии. В серьезных случаях для устранения недуга может потребоваться хирургическое вмешательство.
МРТ мягких тканей шеи что показывает

Воспалительные заболевания и объемные образования шеи часто встречаются в хирургической практике. Дифференциация патологий вызывает трудности из-за сложной анатомии рассматриваемой области и схожести клинических проявлений. МРТ позволяет получить подробные изображения мягкотканных и костных структур, опираясь на принцип магнитного резонанса. Компьютерная программа преобразует данные в серию срезов и формирует объемную картинку, которую можно увеличивать и рассматривать в любой плоскости. Толщину среза устанавливает врач в зависимости от предполагаемого диагноза, целей и задач исследования.
Для улучшения возможностей визуализации используют внутривенное введение контраста на основе хелатов редкоземельного металла гадолиния.

Магнитно-резонансная томография указанной области, вариант нормы
Что показывает МРТ мягких тканей шеи? На снимках видны:
добро- и злокачественные опухоли;
сосудистые мальформации, стеноз/дилатация артерий и вен, тромбообразование, отложение атеросклеротических бляшек;
лимфаденопатии при метастазах и воспалительной патологии;
ущемление нервных стволов;
послеоперационные осложнения и пр.
МР-сканирование при высокой информативности результатов абсолютно безопасно для человеческого организма: воздействие магнитного поля на клетки не вызывает биохимических реакций, все явления полностью обратимы. Отсутствие ионизирующей лучевой нагрузки позволяет обследовать беременных с 13 недели и детей, достигших месячного возраста.
Что входит в МРТ мягких тканей шеи?

При пальпируемом новообразовании, увеличении лимфоузлов, слабости, уменьшении массы тела необходима консультация врача
Патологический процесс в указанной области может затрагивать:
жировую и соединительнотканную клетчатку;
поверхностные и глубокие лимфатические узлы;
гортань, надгортанник, щитовидную железу, пищевод, трахею;
часть позвоночного столба со спинным мозгом и пр.
В норме МРТ мягких тканей шейного отдела не визуализирует паращитовидные железы, если последние присутствуют на МР-сканах, речь идет об аденоме.
Показания к МРТ включают:
необходимость диагностики при наличии симптомов патологии:
одышки; затруднения дыхания;
дисфагии (расстройстве акта глотания);
припухлости и деформации шеи;
неоднозначные данные компьютерного сканирования, рентгенографии мягких тканей шеи, пищевода (с контрастированием), ультразвуковой сонографии (УЗИ);
предоперационную оценку анатомических особенностей;
динамическое наблюдение в процессе лечения.
Анатомия шеи

Внутренние структуры зоны интереса
Анатомическая область включает межфасциальные пространства:
пред- и позадиорганное;
Наибольший интерес представляет висцеральное пространство, включающее органы шеи:
глотку с верхней частью пищевода;
гортань и трахею;
пара- и щитовидную железы;
возвратный гортанный нерв.
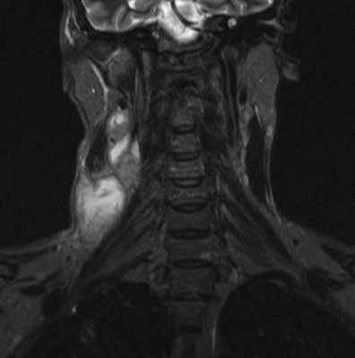
Заболевания мягких тканей шеи

А - лимфаденопатия, В - зоб щитовидной железы
Магнитно-резонансная томография позволяет получить подробные характеристики пальпируемого образования шеи. По результатам диагностики врач дифференцирует:
Воспалительный процесс в шейных узлах инициируют чужеродные агенты - вирусы, бактерии, грибы, проникающие с током лимфы, крови или при непосредственном повреждении ткани. Усиленная выработка иммунных клеток приводит к увеличению данных структур. Симптомы острого лимфаденита прогрессируют быстро, без лечения может произойти расплавление узла с развитием аденофлегмоны или ограниченного гнойника. Для хронической формы типично затяжное течение. Под лимфаденит могут маскироваться болезнь Ходжкина и вторичные метастатические поражения, что требует расширенной диагностики с оценкой легких, клетчатки средостения и пр.
Гнойное воспаление клетчатки развивается на фоне травмы или распространения патогенных микроорганизмов из близко расположенного болезненного очага. Симптомы представлены:
болью при глотании;
реакцией шейных и затылочных лимфоузлов.
МРТ шеи показывает локализацию и степень выраженности воспаления, в запущенных случаях на основании снимков выполняют хирургическое вскрытие и дренирование абсцесса. Патология встречается чаще в детском возрасте, чему способствуют:
К факторам риска у взрослых относят:
хронические стоматологические и ЛОР-заболевания;
иммуносупрессивный статус (ВИЧ, гепатиты В и С, сахарный диабет, состояние после лучевой- и химиотерапии, длительная интоксикация, раны шеи и головы и пр.).
Воспалительный процесс в клетчатке средостения вызывает ряд заболеваний, включая инфекционные патологии гортани, пищевода, глотки и др. МРТ шеи выполняют для поиска первичного очага при жалобах, подозрительных на поражение перечисленных органов. Для получения полной картины проводят два вида сканирования: магнитно-резонансное и компьютерное с оценкой средостения.
Интенсивность клинических проявлений зависит от формы процесса - острой или хронической, симптомы включают:
боль в шее с иррадиацией за грудину;
лихорадку с ознобом, потливость;
дисфагию, одышку, кашель;
выраженную слабость, сердцебиение и пр.
Новообразования мягких тканей шеи могут иметь добро- и злокачественный характер. К первым относят:
МРТ мягких тканей что показывает

Клетки тела человека содержат определенное количество жидкости. Рыхлые структуры (мышцы, подкожно-жировая клетчатка, головной, спинной мозг и др.) в большей степени насыщены влагой, чем твердые образования.
Метод МР-диагностики основан на явлении резонанса атомов водорода в диполях воды под действием силового поля. Интенсивность ответной реакции напрямую зависит от насыщенности сканируемых органов жидкостью.
Магнитно-резонансная томография мягких тканей позволяет визуализировать состояние внутренних структур без инвазивных манипуляций. Преимуществами МРТ являются высокая информативность и отсутствие вредной лучевой нагрузки на организм пациента.

Результат МР-сканирования мягких тканей шеи
Для изучения строения кровеносной системы и диагностики онкологических патологий применяют магнитно-резонансную томографию с контрастным усилением. В качестве «окрашивающего» препарата используют раствор хелатов гадолиния. Вещество характеризуется низкой токсичностью и гипоаллергенностью. Контраст выводится из организма печенью и почками, время полного очищения составляет 24-72 часа.
Показания к МРТ мягких тканей
Магнитно-резонансную томографию проводят при недостаточной результативности других видов инструментальной диагностики. В некоторых случаях сканирование могут назначить при первичном обращении в лечебное учреждение. МРТ мягких тканей показывает малейшие структурные изменения, что облегчает диагностику патологических процессов.
Поводом для обследования служат:
болевой синдром без явных причин;
отеки, деформации мягких тканей в зоне интереса;
лимфаденопатия (увеличение узлов);
признаки онкологического процесса.
Клиническая картина поражения рыхлых структур зависит от локализации патологических явлений.

Магнитно-резонансная томография тазового пояса
МРТ мягких тканей шеи назначают при наличии следующих симптомов:
дисфункция слюнных желез;
нарушения мозгового кровообращения;
признаки заболеваний щитовидной железы;
гипертония неясной этиологии и пр.
Исследование рыхлых структур конечностей проводят в случае:
нарушений двигательной функции;
болевого синдрома неясной этиологии;
нарушения чувствительности, слабости в руках и ногах;
абсцессов, флегмон, других воспалительных процессов в области конечностей;
Мягкие ткани лица сканируют при следующих жалобах пациента:
боли в зоне интереса;
нарушение иннервации лицевых мышц;
нарушения процесса жевания, открывания рта.
Рыхлые структуры ягодичной области исследуют при возникновении:
выраженных болей в нижней части спины;
парестезии в зоне поясницы, крестца, ног;
застойных явлений, нарушений кровообращения в области малого таза и ягодиц.
МРТ мягких тканей используют в диагностике:
добро- и злокачественных новообразований;
дистрофических и дегенеративных заболеваний;
травматических повреждений мышц, связок;
ишемических, некротических явлений;
врожденных аномалий развития.
Метод позволяет уточнить расположение и размеры патологического очага, определить характер операции в случае хирургического лечения заболевания. В период реабилитации томографию назначают для контроля процессов восстановления.
Как делают МРТ мягких тканей?
Обследование проводят с помощью специального оборудования. Различают томографы двух типов:
открытые - состоят из кушетки и магнитной рамы;
тоннельные - представляют собой конструкцию из передвижного стола и трубы.
Сканирование на открытом устройстве повышает комфортность процедуры и подходит пациентам с выраженной клаустрофобией, избыточным весом, нестабильным психо-эмоциональным фоном. Минусом подобных аппаратов является малая мощность и недостаточно высокое разрешение изображений.

Процедура МРТ на тоннельном томографе Siemens
Закрытые устройства генерируют электромагнитный импульс напряженностью от 1,5 Тл, что позволяет получить четкие фотографии. Сканирование на высокопольных томографах дает возможность детального изучения анатомических структур.
Пациент ложится на стол лицом вверх, тело фиксируют валиками и специальными креплениями. Во время сеанса больному необходимо избегать случайных движений. Изменение положения тела спровоцирует появление артефактов на снимках. Для защиты от шума используют наушники.
Связь с обследуемым поддерживают с помощью переговорного устройства. Медицинский персонал во время МРТ находится в соседнем помещении, наблюдая за процедурой через прозрачную перегородку. Данная мера предупреждает случайное воздействие посторонних электромагнитных импульсов на силовое поле томографа.
Стол с пациентом перемещается в тоннель. Сканирование проводят в боковой, прямой и поперечной проекциях. При необходимости реконструируют 3D-модель изучаемой зоны.
Нативное сканирование занимает около 20 минут. Продолжительность МРТ с контрастом увеличивается до получаса. Процедуру с усилением проводят в два этапа: сначала делают несколько простых снимков, затем вводят раствор гадолиния. Для инъекции используют внутривенный катетер, соединенный с автоматическим устройством.
Сканирование продолжают после заполнения контрастным препаратом кровеносного русла и межклеточного пространства мягких тканей.
Нужна ли подготовка?
Перед МРТ мягких тканей необходимо предупредить врача о возможных противопоказаниях и сопутствующих заболеваниях. Следует сообщить о наличии кардиостимулятора, инсулиновой помпы, сосудистых клипс и других изделий медицинского назначения.

Саркома мягких тканей бедра на МРТ
Женщинам, предполагающим беременность, проводят дополнительное обследование с целью уточнения состояния. Нативная процедура противопоказана в первом триместре, контрастную МРТ в период гестации не назначают.
Кормящие мамы перед томографией с усилением сцеживают молоко для ребенка. После введения контраста в течение 6-12 часов запрещено прикладывать малыша к груди.
МРТ мягких тканей не требует соблюдения специальной диеты. Пациенту рекомендуют придерживаться обычного рациона. Ограничения распространяются на употребление алкогольных напитков: за 2-3 дня до процедуры спиртное исключают.
За час до контрастной МРТ нужно легко перекусить. Перед сканированием пациент снимает украшения, аксессуары, пирсинг из металла.
Что лучше: МРТ, КТ или УЗИ мягких тканей?
Аппаратная диагностика отличается высокой информативностью при изучении состояния внутренних структур
Особенности МРТ, КТ и УЗИ мягких тканей:
высокая информативность при отображении рыхлых образований;
возможность трехмерной реконструкции изучаемого участка;
визуализация состояния нервной ткани;
отсутствие вредного воздействия на здоровье пациента
наличие противопоказаний, связанных с физическими свойствами магнитного поля;
искажение картины исследования при случайных движениях больного
информативность в диагностике воспалительных процессов, новообразований, сосудистых заболеваний;
доступна для обследования пациентов с металлическими эндопротезами и вживленными электромагнитными устройствами;
возможность трехмерной реконструкции изучаемой области
наличие ионизирующей лучевой нагрузки;
информативность в отношении мягких тканей;
риск появления дефектов при сканировании глубоко расположенных структур;
ограничение области исследования ввиду неспособности костной тканипропускать ультразвуковые волны
Выбор диагностического метода зависит от зоны изучения, клинической картины, особенностей здоровья пациента. Лечащий врач учитывает результаты предыдущих обследований, анализов, наличие противопоказаний. В сложных случаях используют комплексный подход, что позволяет своевременно определить характер заболевания.

Туберкулезный лимфаденит на снимке МРТ
Читайте также:
- Техника, этапы операции артроскопической стабилизации по поводу разнонаправленной нестабильности плечевого сустава
- Лейомиосаркомы и фибросаркомы у детей. Фиброматозы детей и плода
- Синдром Симмерса (Symmers)
- Нарушения зрения у детей
- Преимущества ингибиторов ароматазы перед кломифеном. Сочетание с гонадотропинами
