МРТ плеча в аксиальной проекции норма
Добавил пользователь Евгений Кузнецов Обновлено: 21.11.2025
Нередко пациентов интересует, можно ли самостоятельно расшифровать фото МРТ, что означают темные и светлые участки на снимках, где посмотреть примеры изображений здорового головного мозга. На эти вопросы ответим в нашей статье.
Магнитно-резонансная томография - один из наиболее информативных методов диагностики. Технология является неинвазивной и абсолютно безопасной для людей любого возраста. Лечащий врач назначает процедуру при подозрении на опухоли или при наличии в анамнезе пациента патологий сосудов (особенно важна диагностика после инсультов), гормональных нарушений, эпилептических припадков. Расшифровка МРТ головного мозга помогает выявить причины:
- тошноты и рвоты по утрам;
- стойкого повышения артериального/внутричерепного давления;
- регулярных головных болей (у людей старше 50 лет данный симптом может указывать на предынсультное состояние);
- внезапного ухудшения зрения;
- судорожных приступов;
- резкого изменения поведения;
- шума в ушах, головокружений;
- частых потерь сознания и других симптомов поражения органа.
МРТ необходима в случае подозрения на новообразования (диагностика покажет степень инвазии опухоли в здоровые ткани), для отслеживания динамики патологического процесса, контроля результатов лечения, в том числе хирургического.
Детям сканирование на магнитно-резонансном томографе делают для определения причин отставания в развитии, приступов судорог, при выраженной гидроцефалии (один из признаков аномалии - увеличение размеров головы) и пр. Применение контраста расширяет возможности исследования: дополнительные средства визуализации позволяют выявить болезни церебральных сосудов, онкологические и другие процессы.
Как выглядит фото снимок МРТ головного мозга?
Магнитно-резонансная томография помогает диагностировать целый ряд заболеваний. Заключение МРТ головного мозга отражает:
- врожденные пороки развития органа;
- патологии сосудистой системы;
- острые нарушения кровообращения (ишемический и геморрагический инсульты на разных стадиях);
- наличие кист, опухолей (расшифровка МРТ головного мозга не является окончательным диагнозом, для верификации характера новообразования проводится биопсия);
- демиелинизирующие процессы (рассеянный склероз и др.);
- инфекционно-воспалительные заболевания;
- последствия черепно-мозговых травм;
- нарушение обмена веществ в головном мозге;
- нейродегенеративные расстройства и др.
МР-снимок церебральных структур в режиме Т2 (аксиальная проекция)
Анализ результатов МРТ головного мозга заключается в расшифровке снимков, выполненных в трех плоскостях (аксиальной, сагиттальной и коронарной) с шагом среза от 1 мм. Сканирование области интереса проводят в разных режимах. Основными являются Т1 и Т2 ВИ. Отличие режимов друг от друга состоит в отображении структур, содержащих жидкость. Ткань с большим количеством воды в режиме Т1 имеет на фото темную окраску, в Т2 - светлую. По-разному выглядит серое вещество головного мозга. В последовательности Т2 субстанция визуализируется в светлом оттенке.
МР-снимок головного мозга в режиме Т1 (аксиальная проекция)
Для сканирования церебральных структур применяют и другие режимы - с целью снижения интенсивности сигнала от жира, изучения распределения протонов водорода в мозговой ткани и т.д.
При описании фотографий врач сравнивает полученные показатели с образцами нормы. Для правильной интерпретации снимков МРТ специалист должен разбираться в строении головного мозга человека. Нужно знать размеры каждой структуры, понимать, что значат отклонения от нормальных параметров, хорошо ориентироваться в вопросах физиологии и патологической анатомии.
Норма МРТ головного мозга
Нормальное состояние ткани мозга на МР-снимке головы (сагиттальная проекция)
Формирование заключения при расшифровке МРТ головного мозга - сложный многоэтапный процесс. Изучение картины начинают с полушарий. Контуры должны быть четкими, округлой формы. В норме на изображениях полушарий нет грубых вдавливаний и выпячиваний. Далее исследуют структуру вещества головного мозга. При отсутствии патологий очаговые и диффузные изменения на фото не наблюдаются. Третий этап изучения снимков - оценка желудочковой системы. Любое уменьшение или увеличение размера последней или ее отдельных частей считают отклонением. При МРТ с усилением у здорового человека контрастное вещество быстро покидает сосудистое русло и концентрируется в области патологических изменений.
Как читать результаты МРТ головного мозга?
В заключении врач описывает состояние рассматриваемых структур. При обнаружении в результатах магнитно-резонансной томографии патологического очага специалист оценивает следующие параметры:
- положение - локализация помогает определить, какие отделы головного мозга поражены и прогнозировать последствия;
- форму, размер зоны поражения;
- контуры;
- оттенок - по изменению тона серого цвета на томографических снимках (участки затемнения, просветления) врач может сделать вывод о природе патологического процесса;
- специфические характеристики, свойственные тому или иному заболеванию.
Результаты МРТ мозга с контрастом показывают наличие опухоли (пораженная часть выделена красным): патологический очаг, в отличие от здоровой ткани, интенсивно накапливает усилитель, четкие границы и связь с твердой оболочкой дают возможность предположить доброкачественное образование
Томограммы должен расшифровывать специалист. Прочитать снимки самостоятельно можно лишь приблизительно. Профессионал увидит на фото:
- опухоли - для доброкачественных образований характерны ровность краев и наличие капсулы, опасные патологии, как правило, отличаются нечеткими границами, имеют собственную сосудистую сеть и внедряются в окружающие структуры; множественные очаги на картине могут указывать на метастазы;
- болезни сосудов:
- стеноз - сужение стенок артерий и вен;
- мальформации - неправильное соединение сосудов;
- аневризмы - выпячивание стенки артерий (просвет может быть расширен более, чем в два раза);
- признаки тромбоза - в описании МРТ мозга с контрастом указывают, что имеется окклюзия (прекращение кровотока) или дефект наполнения сосуда;
- атеросклеротические бляшки и т.д.
- гидроцефалию - на патологическое скопление ликвора указывает расширение полости желудочков и/или субарахноидальных пространств;
- инсульт - область, пострадавшая от гипоксии,;
- рассеянный склероз - в разных областях белого вещества появляются мелкие очаги демиелинизации;
- возрастные изменения - МРТ-картина головного мозга показывает истончение коры, сокращение гиппокампа, расширение извилин и др.

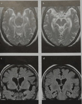
Атрофия головного мозга при болезни Альцгеймера на снимках МРТ: а, b - Т2 ВИ в аксиальной проекции, с, d - режим FLAIR в коронарной плоскости. Визуализируются истончение коры теменной и височной долей, особенно в области гиппокампа. Височные рога боковых желудочков расширены
При врожденных пороках МР-снимки патологии головного мозга детально сравнивают с нормой. Некоторые аномалии не представляют опасности для жизни и не требуют лечения.
После обследования во многих клиниках предусмотрена консультация с врачом лучевой диагностики. Доктор дает пояснения по поводу обнаруженных изменений. Для пациента расшифровывается, какие структуры головного мозга затронуло поражение, с чем связан патологический процесс, обсуждаются вероятные последствия. В некоторых ситуациях требуется многократное магнитно-резонансное сканирование для наблюдения динамики и определения скорости прогрессирования заболевания.
Точно расшифровать МРТ головного мозга без помощи специалиста нельзя. Человек без медицинского образования не сумеет различить нормальные показатели и отклонения, понять значение изменения цвета и т.д. Чтобы читать снимки, надо знать множество нюансов. Одинаковые патологии могут по-разному выглядеть в зависимости от возраста человека. Поставить правильный диагноз прио расшифровке МРТ головного мозга способен лишь опытный врач.
Что покажет магнитно-резонансного томография плечевого сустава

МРТ плечевого сустава (МРТ плеча) в большинстве случаев делается для того, чтобы выявить изменения в структуре тканей организма обследуемого. Магнитно-резонансная томография хорошо оказывает инфекционные заболевания, воспалительные процессы, опухоли и повреждения сустава, костей и мягких тканей. Томографическая диагностика плеча в медицинских клиниках СПб осуществляется по направлению врача. Также человек может пройти обследование, записавшись на диагностику суставов по своей инициативе. Такая возможность представлена в связи с тем, что исследование при помощи МР томографа является безопасной диагностической процедурой, в ходе которой организм человека не испытывает никакой лучевой нагрузки, и направление от врача на МРТ плечевого сустава не носит обязательный характер.
Запись в день обращения
Что такое МРТ плечевого сустава
В основе метода МРТ лежит использование особого аппарата - томографа, создающего сильное магнитное поле и использующего сигналы радиоволн, чтобы сделать снимки исследуемой области. Это позволяет производить диагностику в трех плоскостных срезах, что обеспечивает объемность и точность результатов. МРТ плечевого сустава - это оптимальный способ обследовать связки, мышцы и хрящи, причем полученная в результате диагностики информация будет куда более полной, нежели после ультразвукового, рентгеновского или компьютерно-томографического исследования. Для проведения обследования МРТ плеча не применяются рентгеновские лучи, поэтому данный вид диагностики является совершенно безвредным для пациента.
Что видно на МРТ плечевого сустава
В ходе МРТ плечевого сустава врач оценит все основные структуры области плеча: сустав, акромиально-ключичное сочленение, ротаторную манжетку, мышцы и сухожилия. Особое внимание диагност будет обращать на:
- Каковы взаимоотношения в суставе - изменена ли форма и положение головки плечевой кости, однородность ее структуры.
- Суставная щель равномерна и не расширена, смежные суставные поверхности имеют четкие и ровные контуры.
- Хрящевое покрытие равномерно по толщине и интенсивности сигнала.
- Субхондральные костные структуры не изменены.
- В полости плечевого сустава, преимущественно в полости аксиллярного кармана, определяется выпот, синовиальная оболочка не утолщена.
- Отмечается скопление жидкости в полости субакромиальной и субдельтовидной синовиальных сумок.
- Хрящевая губа прослеживается отчетливо и структура ее однородна.
- Плечелопаточные связки не деформированы.
- Щель акромиально-ключичного сочленения равномерна и не расширена.
- Клювовидно-акромиальная и клювовидно-ключичные связки хорошо дифференцируются. Сухожилия подлопаточной мышцы утолщены и разволокнены и не деформированы. Структура тканей мышц не имеет признаков фиброзно-жировой дегенерации.
- Сухожилие длинной головки бицепса равномерно по толщине и интенсивности сигнала, располагается в межбугорковой борозде, определяется на всем протяжении.
ЗАПИСЬ НА ПРИЕМ
Показания
Проведение процедуры МРТ плечевого сустава показано в следующих случаях:
- Наличие сильных продолжительных болевых ощущений;
- При подозрении на появление новообразований;
- В случае травм - как спортивного, так и бытового характера;
- Для диагностики патологии развития суставной сумки;
- При подозрении на артрит, остеоартроз, полиартрит;
- В случае растяжения связок или вывиха сустава;
- При болезнях мышц, сухожилий и связок.



Процедура томографии плечевого сустава
МРТ плечевого сустава может осуществляться на любом из двух типов томографов - закрытом и открытом. Во многих медицинских клиниках Санкт-Петербурга и Лен. области используется закрытая модель устройства, которая представляет собой цилиндрическую трубу, куда на подвижной платформе помещается пациент. МРТ плечевого сустава на аппарате открытого типа осуществляется на томографе, который открыт с боков: это позволяет диагностировать в комфортных условиях детей, а также пациентов, кто страдает клаустрофобией или избыточным весом.
Магнитно-резонансная томография является совершенно безболезненной процедурой. Пациент не испытывает никаких болезненных ощущений, в крайнем случае он может чувствовать некоторое тепло в диагностируемой зоне, но такая реакция является совершенно нормальным следствием воздействия магнитного поля на ткани и структуры человеческого тела. Во время обследования пациент должен находиться в неподвижном положении, не разговаривать и не кашлять. Диагностика МРТ плечевого сустава занимает в среднем около 30-40 минут.
Подготовка
МРТ плечевого сустава не требует особой подготовки. Однако если врач медицинского центра СПб назначил МРТ плеча с использованием контрастного вещества, то перед помещением в аппарат пациенту его введут внутривенно. В этом случае за 2 часа до процедуры обследуемому необходимо прекратить употребление пищи и жидкости. Если обследование проводится пациенту, страдающему от клаустрофобии, врачи рекомендуют проводить диагностику в аппарате МРТ открытого типа или принимать легкие седативные препараты. Перед МР сканированием пациента попросят снять с себя одежду с металлическими элементами, украшения, очки, часы, предложат оставить за пределами МРТ кабинета все электронные приборы.
Как сделать МРТ в СПб недорого
- МРТ в ночное время - это возможность сэкономить до 35% от стоимости на диагностику. Ночные цены в клиниках СПб стартуют с 23.00 и действуют до 8.00.
- Акции и скидки выходного дня или в праздничные и предпраздничные дни. Самые выгодные предложения на МРТ можно найти в медицинских центрах Санкт-Петербурга в декабре-январе и августе.
- Выбор правильного томографа и качественная подготовка к обследованию, чтобы не пришлось переделывать сканирование.
- Эксклюзивные скидки Службы бесплатной записи на МРТ!
Сколько стоит МРТ плеча
Стоимость МРТ плеча в клиниках СПб зависит от трех основных факторов: срезовой мощности томографа, протокола сканирования и наличия акций и скидок. Обычно в цену уже включено само сканирование, рентгенологическое заключение и распечатка томограмм на пленочный или электронный носитель по выбору диагностического центра. При необходимости получить оба вида носителя потребуется небольшая доплата.
МРТ сакроилеальных сочленений
Основная стоимость МРТ плечевого сустава определяется мощностью томографа, которая зависит от силы индукции его магнита, измеряемой в Тесла. Чем она выше, тем дороже обойдется услуга диагностики. Чтобы пройти МРТ плеча максимально недорого, можно выбирать аппараты с мощностью 0,2-0,5 Тесла открытого типа. Это самый выгодный и комфортный вариант исследования, но он менее информативный, чем томография на установка 1,5-3 Тесла. Самый точный способ сделать МРТ плечевого сустава - это пройти сканирование на сверхвысокопольном томографе 3 Тесла. Однако стоимость МРТ на 3 Тесла будет достаточно высокой, так как для ее проведения применяется дорогой и высокотехнологичный аппарат.
Расшифровка МРТ плечевого сустава
После завершения обследования врач предоставляет пациенту результаты в течение около получаса. Помимо письменного заключения в большинстве диагностических центров СПб обследуемому выдается диск с записью всех изображений исследуемой области. В случае необходимости МРТ снимки Вам смогут распечатать за небольшую плату.
Пример МРТ заключения плечевого сустава
Плоскость сканирования: аксиальная, корональная, сагиттальная
Вид исследования: левый плечевой сустав
На серии МР томограмм взвешенных по Т1 и Т2 в трех проекциях получено изображение плечевого сустава. Контуры суставных поверхностей ровные, чёткие, не деформированы краевыми костными разрастаниями. Суставная щель не сужена, признаков подвывиха головки плечевой кости не выявлено. Мелкие кисты до 2-Змм в головке плечевой кости.
Фиброзно-хрящевая губа гленоида обычно расположена, форма её не изменена, целостность не нарушена.
Количество жидкости в полости плечевого сустава физиологическое. Небольшое количество жидкости в подклювовидной сумке. Определяется незначительное количество жидкости по ходу сухожилия длинной головки бицепса.
Субакромиальное расстояние - 6,5мм. Жидкости в подакромиальной сумке не определяется.
Дельтовидная мышца без особенностей.
Акромиально-ключичное сочленение - смежные поверхности акромиона и ключицы не деформированы.
Суставная ямка лопатки с ровными чёткими контрами, краевыми костными разрастаниями не деформирована. Гиалиновый хрящ не истончен.
Подклювовидный бурсит, незначительное количество жидкости по ходу сухожилия длинной головки бицепса.
Противопоказания
К противопоказаниям для проведения томографии плечевого сустава относят:
- наличие у пациента инсулинового насоса, нервных стимуляторов и неферромагнитных имплантатов, протезов внутреннего уха с металлическими составляющими, к примеру - наличие протеза, позволяющего компенсировать потерю слуха некоторым пациентам с выраженной или тяжелой степенью нейросенсорной (сенсоневральной) тугоухости;
- наличие протезов клапанов сердца и декомпенсированная сердечная недостаточность;
- клаустрофобия в сильной форме с приступами панических атак.
Наличие на теле пациента татуировок, выполненные с помощью металлосодержащих красок, за исключением титаносодержащих красок, также может стать противопоказанием к проведению МРТ исследования плеча.
Относительным противопоказанием к МРТ является потребность в физиологическом мониторинге.
МРТ плечевого сустава, что показывает?

МРТ плечевого сустава
Для диагностики заболеваний опорно-двигательного аппарата обычно используют рентген. В случае поражения мягкотканных элементов сочленений применяют ультразвуковую диагностику. Однако перечисленные методы не позволяют четко визуализировать все структуры сустава. При низкой информативности рентгенографии и УЗИ врач назначает магнитно-резонансную томографию. Это безопасная и высокоинформативная диагностическая процедура, которая отражает состояние всех элементов сочленения, позволяя выявить большинство заболеваний. От того, что показывает МРТ плечевого сустава, зависит тактика лечения. Преимуществом метода является его информативность даже при самых ранних патологических изменениях.
Заболевания плечевого сустава
Сочленение функционирует полноценно, если здоровы все его элементы:
- кости;
- хрящи;
- синовиальная оболочка;
- кровеносные сосуды;
- нервы;
- мышцы;
- сухожильный аппарат.
Явление магнитно-ядерного резонанса позволяет получить послойные изображения исследуемой зоны (срезы). По результатам МР-сканирования сложно выявить костные или сосудистые патологии, однако можно детально рассмотреть мягкие ткани и обнаружить следующие повреждения:
- поражения стабилизаторов плечевого сустава (губ, капсул, связок и т.п.);
- растяжения и разрывы мышц (двуглавой, трапециевидной, дельтовидной, ромбовидной и др.);
- перелом Хилла-Сакса (изменение формы наружной части головки плечевой кости);
- разрыв сухожилий ротаторной манжеты;
- (не)полные вывихи плечевой кости;
- артроз (деструктивно-дистрофические процессы);
- сращение суставных поверхностей сочленения;
- артрит (воспалительные процессы инфекционной, аутоиммунной или иной природы в сочленении);
- патологические характеристики (наличие крови, гноя) и изменение объема синовиальной жидкости;
- воспаление суставной сумки, мышц;
- остеохондропатии (нарушения трофики костей и хрящей, которые приводят к их некрозу);
- гнойные процессы (абсцесс, флегмона, остеомиелит);
- аномалии развития;
- нейропатии, поражения плечевого сплетения;
- дистрофию сухожилий;
- склеро- или некротические изменения элементов сочленения;
- новообразования.

МРТ плечевого сустава
Нативное МРТ досконально отражает анатомию плечевого сустава. Исследование с контрастированием позволяет выявить мельчайшие очаги воспаления, опухоли и нарушения кровообращения.
Процедуру проводят для оценки последствий травм или постановки диагноза. МРТ плечевого сустава используют с целью наблюдения за динамикой развития заболеваний и эффективностью назначенного лечения. Исследование не несет лучевой нагрузки и полностью безопасно для здоровья.
МРТ при боли в плечевом суставе
Диагностическую процедуру чаще назначает врач-травматолог или ортопед. Основным показанием для проведения МРТ являются боли в плечевом суставе. Исследование позволяет выявить причины дискомфортных ощущений. Другими поводами для МР-сканирования являются:
- щелчки, хруст в сочленении и др.;
- отек в области сустава;
- тугоподвижность, ограниченность хода сочленения или его гипермобильность;
- покраснение кожи;
- локальная гипертермия;
- деформация сочленения;
- укорочение или удлинение руки на стороне поражения и др.
МР-исследование плеча с контрастированием проводят при подозрении на воспалительную или опухолевую природу патологии, при признаках дистрофии. Магнитно-резонансную томографию назначают при травмах, если лучевые методы диагностики противопоказаны или повреждение застарелое.
Периодически проходить МРТ рекомендуют лицам с системными аутоиммунными заболеваниями, спортсменам, а также людям, плечевые суставы которых подвергаются повышенным нагрузкам в силу профессиональной деятельности. Исследование проводят на этапе планирования хирургического вмешательства для определения объема и вида операции.
Как проходит МРТ плечевого сустава?
В диагностическом центре «Магнит» процедуру проводят по предварительной записи. Во время регистрации необходимо уведомить медперсонал о наличии металлических конструкций в организме (эндопротезов, штифтов, пластин и пр.). Для МРТ есть четкие противопоказания, связанные именно с перечисленным. Вам потребуется предоставить официальный документ о том, из какого материала выполнена конструкция. Сертификат можно взять в клинике, где проводили операцию по установке последней.
Процедура МРТ плечевого сустава не требует от пациента специфических действий для подготовки. Нужно прийти в клинику за 10-15 минут до назначенного времени, чтобы заполнить документы и пройти инструктаж. Если планируется контрастирование, стоит слегка перекусить за 45 минут до процедуры, чтобы снизить вегетативные реакции на препарат. Женщинам в период грудного вскармливания следует сделать запас молока на 2 кормления, которые придется пропустить в случае, если будет вводиться контрастное вещество.

Перед исследованием пациент должен снять все украшения и предметы одежды с металлическими элементами. За пределами диагностического кабинета нужно оставить электронные устройства (часы, телефон, слуховой аппарат и т.п.). Порядок проведения МРТ плечевого сустава следующий:
- Пациент заходит в кабинет томографии, укладывается на передвижную платформу аппарата. Транспортер перемещается так, чтобы исследуемая область оказалась в центре рамки устройства.
- Чтобы стабилизировать положение сустава, лаборант фиксирует тело и руку пациента ремнями или валиками. В свободную конечность дает кнопку для экстренной связи. При беспокойстве или возникновении каких-либо неприятных ощущений можно ей воспользоваться и процедура будет приостановлена. Томограф работает довольно шумно, поэтому пациенту предлагают прослушивание расслабляющей музыки через наушники. Также можно воспользоваться обычными берушами.
- Рентген-техник выходит в соседний кабинет, откуда наблюдает за пациентом через стекло, проверяет исправность громкой связи, дает указание лежать спокойно и включает аппаратуру. Полная неподвижность нужна для получения четких снимков.
- По завершении диагностики пациенту отдают его личные вещи и предлагают подождать результатов.
МРТ плечевого сустава противопоказано женщинам в первом триместре беременности, а также лицам, у которых стоит кардиостимулятор или инсулиновая помпа. Для контрастных исследований используют безопасные препараты на основе хелатов гадолиния, которые не оказывают негативного влияния на организм. Однако беременным женщинам МРТ с контрастированием противопоказано на любом сроке.
Пациентам с клаустрофобией исследование проводят на аппаратах открытого типа. Они считаются менее точными, но не требуют помещения в камеру. Людям с острой болью, гиперкинезами или иными неврологическими расстройствами предлагают обследоваться под седацией в условиях стационара.
МРТ плечевого сустава, сколько по времени длится?
На заполнение документов, опрос и подготовку пациента уходит примерно 10-15 минут. Магнитно-резонансное сканирование занимает около 15-20. Контрастирование продляет время проведения процедуры до получаса. Подготовка результатов врачом-рентгенологом занимает от 15 до 60 минут. Чтобы пройти МРТ плечевого сустава, пациенту придется провести в клинике от 1 до 2 часов, что определяется сугубо в индивидуальном порядке.

МРТ плеча
Расшифровка фото снимков МРТ плечевого сустава
Результатом МР-сканирования являются послойные изображения исследуемой области в трех, взаимноперпендикулярных проекциях. Анализом фото занимается врач-рентгенолог, который фиксирует и описывает любые отклонения структуры сустава от нормы.
Пациент получает заключение в виде документа и полного набора снимков на информационном носителе. Рентгенолог может дать пояснения относительно изменений, выявленных при исследовании, посоветовать, к какому врачу обратиться, однако он не ставит диагноз, не назначает лечение и не дает прогнозов. В расшифровке результатов МРТ плечевого сустава указывают:
- характеристики основных структур (размеры, однородность и пр.);
- наличие признаков воспаления, дегенерации тканей, опухолей;
- изменения хрящей;
- последствия травм;
- признаки обызвествления в структурах сустава;
- наличие очагов некроза, рубцевания;
- аномалии суставной щели;
- патологическое скопление жидкости.
По данным заключения и снимкам врач может обнаружить признаки таких заболеваний:
- пери-, артрит;
- артроз;
- остеомиелит;
- подагру;
- остеоартроз;
- плексит (воспаление нервных стволов плечевого сплетения);
- бурсит, синовит;
- нейропатии;
- опухоли и др.
Копии описания могут быть отправлены на электронную почту, если Вы указали ее адрес во время заполнения документов. За оригиналом разрешается прийти в любой другой день, однако в данном случае получить пояснения рентгенолога невозможно.
При необходимости можно воспользоваться услугой «второе мнение», которая подразумевает расшифровку полученных данных еще одним специалистом. Опция особенно полезна при атипичном течении заболевания, длительном анамнезе.
Что лучше УЗИ, КТ или МРТ плечевого сустава?
Врач назначает процедуру исходя из особенностей клинического случая. УЗИ применяют с целью экспресс-диагностики. Изображения, полученные с помощью ультразвука, недостаточно четкие, чтобы поставить точный диагноз. Метод малоинформативен на ранних этапах развития дегенеративно-дистрофических заболеваний. УЗИ плечевого сустава целесообразно при необходимости быстро оценить последствия травмы или исключить осложнения, или в случае противопоказаний у пациента к другим методам диагностики.

УЗИ плеча
Компьютерная томография является быстрым и информативным исследованием. Однако эта диагностическая процедура предпочтительна при подозрениях на переломы, гематомы и кровоизлияния. По фото, полученным при КТ, можно оценить контуры и плотность костной ткани, а вот более рыхлые структуры невозможно разглядеть в достаточной для постановки диагноза мере. Метод применяют с целью быстрой диагностики переломов или е если пациент страдает от острой боли, поскольку исследование длится всего несколько минут.
МРТ считают особенно информативной процедурой при суставных патологиях. Методика безопасна (имеет минимум противопоказаний и не несет лучевой нагрузки), занимает мало времени. При помощи МРТ можно выявить заболевания плечевого сустава на самых ранних этапах их развития.
Для исследования сосудов сочленения КТ более информативна, чем МР-ангиография. Однако первый метод базируется на ионизирующем облучении, а потому не применяется для пациентов, которым недавно делали аналогичные обследования или рентген, или при наличии противопоказаний.
Расшифровка МРТ позвоночника

Гемангиомы на магнитно-резонансной томографии грудного отдела позвоночника (сагиттальная проекция, Т2 взвешенная последовательность)
МРТ позвоночника - высокоинформативный метод диагностики, использующий для построения детальных изображений структур области интереса свойства магнитного поля, радиоволны и компьютерную обработку. По показаниям исследование выполняют с контрастным усилением: в вену вводят препарат, содержащий хелаты гадолиния.
После прохождения МР-сканирования в большинстве медицинских центров на руки пациенту выдают заключение и электронный носитель (диск или флеш-карту) с записью результатов процедуры. Фотографии, наиболее наглядно демонстрирующие патологический процесс, за отдельную плату можно распечатать на пленку.
Диск содержит несколько сотен послойных срезов. Самостоятельно расшифровать результаты магнитно-резонансного сканирования нельзя, но общее представление о структурах позвоночного столба получить можно. Не стоит делать преждевременных выводов: окончательный диагноз - прерогатива лечащего врача.
Как выглядит фото-снимок МРТ позвоночника

МРТ грудного отдела позвоночника (сагиттальная проекция, Т1 ВИ)
Магнитно-резонансные томограммы отображают внутренние структуры зоны интереса в трех плоскостях. Каждый снимок представляет собой один срез, на распечатанном фото МРТ их несколько.
В норме позвонки гладкие, повреждения отсутствуют. Фиброзно-хрящевые диски, выполняющие роль амортизаторов, не выпячиваются, имеют стандартную высоту, без признаков дегенерации. Спинной мозг выглядит на фото как белый шнур без видимых перекосов и других изменений.
Позвоночный столб включает: шейный, грудной, поясничный, крестцовый отделы и копчик. Патологический процесс может развиваться в любой области или вызвать тотальное поражение.
МРТ позвоночника проводят для постановки диагноза, в рамках динамического наблюдения за болезнью, в качестве предоперационной оценки анатомических особенностей и пр. Магнитно-резонансное исследование имеет преимущества по сравнению с КТ при выявлении изменений в мягкотканных структурах: связках, синовии (внутренней выстилке суставной оболочки), хрящах, нервных стволах, мышцах.

МРТ позвоночного столба: грыжа диска L4-L5 (сагиттальная плоскость, Т2 ВИ)
При патологических процессах снимки могут демонстрировать:
- искривления позвоночного столба - сколиоз, лордоз, кифоз;
- злокачественные и доброкачественные новообразования (для верификации опухоли выполняют биопсию);
- метастазирование в позвонки;
- кистозные полости;
- смещения и переломы позвонков, растяжения связок, отдаленные последствия травмы;
- протрузии, дегенеративные изменения (спондилодисцит, остеохондроз и др.), грыжи, признаки вовлечения в патологический процесс спинномозговых корешков;
- поражение замыкательных пластинок;
- миелоишемию;
- участки сужения позвоночного канала, компрессию или повреждение спинного мозга и пр.

Магнитно-резонансное сканирование пояснично-крестцового отдела позвоночника: множественные гемангиомы (сагиттальная плоскость, Т1 ВИ)
Расшифровка результатов МРТ включает оценку:
- очагов с патологическим МР-сигналом (на участках субхондрального склерозирования, при пролапсах дисков, сужении межпозвонковых отверстий, поражении нервных корешков, в области отека, воспаления и др.);
- плотности задней продольной связки;
- конфигурации тел визуализируемых позвонков:- высота, структура, поверхность (отсутствие остеофитов - костных разрастаний, грыж Шморля), состояние опорных площадок и пр.;
- дурального мешка (защитной оболочки спинного мозга);
- оси позвоночника на исследуемом уровне;

МРТ: межпозвонковая грыжа диска L4-5 (аксиальная проекция, Т2 ВИ)
- размеров спинномозгового канала;
- щелей дугоотросчатых суставов;
- структуры, контуров, диаметра спинного мозга;
- состояния паравертебральных мягких тканей, связочного аппарата;
- кровоснабжения спинного мозга и пр.
При расшифровке результатов МРТ позвоночника в поле зрения могут попасть изменения в соседних органах, врач обязательно отразит данную информацию в протоколе исследования.
Какой программой открыть МРТ снимки?

МРТ: перелом зубовидного отростка второго шейного позвонка (сагиттальная плоскость, Т2 ВИ)
Чтобы открыть МР-снимки, понадобится специальная программа (DICOM Viewer, RadiAnt и пр.), скачать которые можно в интернете. Иногда на электронном носителе есть файл для установки приложения: запустите его, следуя инструкции.
Необходимо вставить CD в дисковод или карту памяти в соответствующий слот компьютера. С последней может возникнуть проблема из-за отсутствия подходящего разъема, в такой ситуации потребуются дополнительные комплектующие - картридер и USB-провод.
После подключения электронного носителя нужно подождать некоторое время - операционная система должна обнаружить диск или карту и установить драйвер. На экране возникнет программа автозапуска, в которой следует открыть папку для просмотра файлов. Если этого не произошло, зайдите в меню “Пуск”, выберите “Мой компьютер”, после появления окна найдите “Устройства со съемными носителями” и щелкните по нему левой клавишей мышки.
Посмотреть фото МР-процедуры можно в виде отдельных изображений или серии кадров.
Как читать результаты МРТ позвоночника?

МРТ шейного отдела позвоночника: полулунные отростки (стрелка) в коронарной плоскости (Т2, STIR)
Выявить болезнь на ранней стадии - задача сложная даже для врача, но МРТ остается лучшим диагностическим инструментом для обнаружения мельчайших изменений в структуре позвоночника. Выпячивание диска на 1 мм свидетельствует о начавшемся патологическом процессе - протрузии. Если по мере прогрессирования заболевания нарушается целостность фиброзного кольца, говорят о грыже.
Дистрофические изменения, снижение высоты тел позвонков диагностируют преимущественно у возрастных пациентов, страдающих остеохондрозом. Малоподвижный образ жизни, чрезмерные физические нагрузки, ожирение, врожденные аномалии - основные предпосылки развития заболеваний опорного аппарата. Во время МР-сканирования позвоночного столба обследуют шейный, грудной, пояснично-крестцовый отделы. Врач определяет зону интереса на основании клинической картины.
Шейный и поясничный отделы у человека максимально подвижны, поэтому большинство патологических процессов локализуется в данных областях. МР-снимок визуализирует позвоночник в трех плоскостях: аксиальной, коронарной (фронтальной) и сагиттальной. Одна из них, в зависимости от характера подозреваемой патологии, основная, две другие - уточняющие. Возможность разносторонней оценки множества срезов толщиной от 1 мм позволяет выявить болезнь на стадии формирования. Если при расшифровке результатов МРТ позвоночника нет пороков развития, суставы и диски расположены на своем анатомическом месте, имеют нормальную структуру без костных разрастаний, нарушение кровоснабжения спинного мозга отсутствует - все в порядке.
УЗИ или МРТ плечевого сустава - что лучше

УЗИ и МРТ плечевого сустава - это два аппаратных метода диагностики структур плеча, а что из них лучше и в чем разница, давайте разбираться.

Диагностика, расшифровка снимков, письменное заключение рентгенолога, запись томограмм на CD + бесплатная консультация невролога или ортопеда после МРТ позвоночника или сустава

УЗИ или МРТ плечевого сустава - что лучше выбрать?
- Во-первых, ультразвуковое сканирование дает возможность оценить состояние сосудистой системы.
- Во-вторых, диагностику плеча пациента на УЗИ можно провести в движении, что в принципе недоступно для МРТ сустава, так как она требует полной неподвижности пациента.
- В-третьих, ультразвук не имеет никаких противопоказаний, и, в отличие от МРТ плеча, его можно проводить людям с металлом и электронными имплантами в теле, а также клаустрофобам.
Разница в стоимости
Доступная цена УЗИ суставов позволяет пройти обследование всем пациентам. Нужно просто записаться на сканирование в удобное для вас время. МРТ плечевого сустава - более дорогостоящее исследование. Однако информативность МРТ суставов, безусловно, выше ультразвукового исследования. Поэтому в случае обнаружения тревожных признаков воспаления пациента ортопеды чаще направляют на магнитно-резонансное обследование, нежели на ультразвук.
Читайте также:
- Случай своевременной диагностики при раке предстательной железы
- Исследование общего желчного протока. Методы исследования без холедохотомии.
- Энцефалиты у детей. Полисезонные энцефалиты
- Двигательный контроль мозжечка. Мозжечковый контроль баллистических движений
- Образование губчатой кости у эмбриона. Возникновение эндохондральной кости плода
