МРТ признаки липомы мостомозжечкового угла-внутреннего слухового прохода (ММУ-ВСП)
Добавил пользователь Владимир З. Обновлено: 22.01.2026
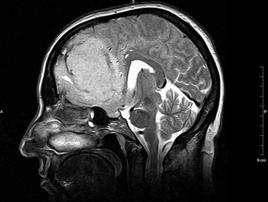
Липома представляет собой жировые клетки под паутинной оболочкой мозга. Липомы формируются в период эмриогенеза в связи с неправильным расположением зачаточных жировых клеток в области мозговых оболочек. остатков примитивной эмбриональной оболочки. Липома может рассматриваться как аномалия развития и как доброкачественные опухоли из группы мезенхимальных опухолей (оболочечные неменинготелиальные). Частота липом составляет не более 1% от кистоподобных образований и еще меньше от опухолей мозга. Липомы чаще всего располагаются по средней линии: в межполушарной щели, в мозолистом теле, воронке гипофиза и гипоталамусе , реже вокруг червя мозжечка и пластины четверохолмия. Однако встречаются внеосевые липомы, например, в мосто-мозжечковом углу. Липомы головного мозга, в отличие от позвоночника, изредка сочетаются с другими аномалиями развития. Липома мозолистого тела часто видна в месте с недоразвитием его задней трети и изредка с переходом жировой ткани на сосудистое сплетение желудочков. При МРТ головного мозга имеет типичные черты: она может иметь любую форму, но резко очерчена, без перифокального отека и не дает масс-эффекта, не разрушает соседние структуры. Внутри липома чаще изредка неоднородная из-за участков кальция и сосудов. Главный признак липомы - она имеет интенсивности сигнала жировой ткани при МРТ, то есть выраженно гиперинтенсивная на Т1-зависимых МРТ головного мозга и немного менее интенсивная по отношению к ликвору на Т2-зависимых МРТ головного мозга. В отличие от близких по виду эпидермоидных и тератоидных кист, МРТ головного мозга с подавлением жира показывает полное исчезновение жирового сигнала.
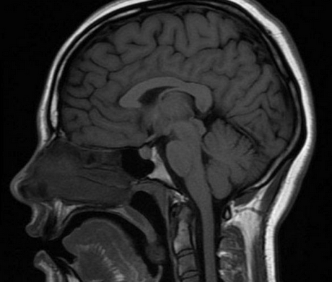
МРТ головного мозга. Сагиттальная Т1-зависимая МРТ. Липома и агенезия мозолистого тела.
МРТ головного мозга. Сагиттальная Т1-зависимая МРТ. Липома гипоталамуса.

МРТ головного мозга. Сагиттальные Т2-зависимые МРТ, без подавления и с подавлением сигнала от жира. Липома в области цистерны четверохолмия.
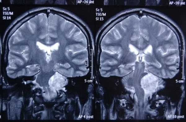
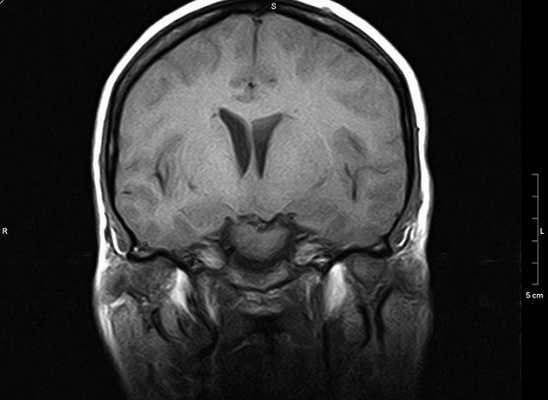
МРТ головного мозга. Корональная Т1-зависимая МРТ. Липома мосто-мозжечкового угла.
При МРТ в СПб мы не видим сложности в диагностике липом ни в высоких полях, ни в низких открытых МРТ, однако, выявление при МРТ головного мозга такой ее локализации как мосто-мозжечковый угол требуют внимания ввиду того, что здесь встречаются другие сходные образования (эпидермоиды, опухоли). Об МРТ головного мозга при других кистах можно читать в специальной статье.
МРТ уха что показывает
Слух является базовым чувством человека, поэтому его снижение может существенно ухудшить качество жизни. Если причина дискомфорта или потери слуха локализована глубже ушной раковины и наружного слухового прохода, диагностика заболевания затрудняется. Визуализировать то, что по сути находится внутри черепной коробки, помогает МРТ уха — современный способ диагностики, результатом которого становится серия снимков. На них помимо структур органа слуха хорошо видны сосуды, нервы, а также часть вещества головного мозга и мягких тканей, прилегающих к исследуемой области. В зависимости от вида процедуры томография покажет врожденные или приобретенные дефекты, воспаления, последствия травм, а также доброкачественные и злокачественные опухоли.
Какие заболевания покажет МРТ уха?
В диагностической практике магнитно-резонансную томографию используют для выявления патологий мягких тканей, в которых содержится много водорода. Только они хорошо визуализируются во время магнитно-ядерного резонанса и отображаются на снимках в виде черно-белых картинок, которые являются срезами обследуемых частей тела. Поэтому в список, что показывает МРТ среднего уха и внутренних отделов органа входят:
наружный и внутренний слуховой проход;
черепно-мозговые нервы и сосуды в области мосто-мозжечкового угла;
мозжечковые углы и частично полушарие головного мозга.
Также на снимках видны контуры костных тканей, но из-за малого содержания в них водорода снимок не показывает точно их структуру. При использовании контраста процедура становится более информативной. На снимках становятся четко видны сосуды и опухоли. Поэтому такой метод исследования используется для выявления следующих патологических процессов:
воспалительные заболевания среднего и внутреннего уха — отит, лабиринтит и другие;
гнойные процессы и кровоизлияния, скопления экссудата в среднем и внутреннем ухе;
гиперплазии и дисплазии костных структур и мягких тканей;
врожденная или приобретенная деформация, разрушение костей в области обследования;
доброкачественные и злокачественные опухоли уха — невриномы, холестеатомы;
доброкачественные новообразования а мостомозжечковом угле в виде полостей, заполненных мертвым эпителием;
механические повреждения лицевого и тройничного нервов;
инородные тела в ушном проходе;
вазоневральные и нейроваскулярные нарушения.

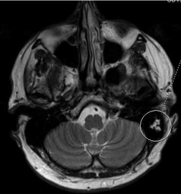
МРТ головного мозга. В аксиальной плоскости отмечается повышение интенсивности МР-сигнала в области ячеек сосцевидного отростка левой височной кости (круг) вследствие ранее перенесенных воспалительных изменений.
Особо ценным это обследование считается при подозрении на опухоли непосредственно в органах слуха, а также находящиеся в отделах головного мозга, отвечающих за анализ и расшифровку звуковых сигналов, или костных структурах височной части черепа. Магнитно-резонансная томография позволяет увидеть даже незначительные изменения, отличить доброкачественные опухоли от злокачественных. Эти данные очень важны для врача, так как они помогают подобрать эффективные схемы лечения.
Показания к МРТ уха
Назначить магнитно-резонансной обследование органов слуха может ЛОР-врач или невролог. Основными показаниями к проведению процедуры считаются состояния, указывающие на нарушение функций структур среднего и внутреннего уха:
устойчивое или периодическое снижение чувствительности слуха;
систематические или постоянно сохраняющиеся шумы в ушах — звон, щелчки, шипение, равномерный низкий гул и т. п.;
постоянная тупая или повторяющаяся регулярно острая боль в ушах или в голове в височной части;
ощущение заполнения уха воздухом или жидкостью (заложенность);
регулярные или периодические головокружения, потеря способности сохранять равновесие при ходьбе или неспособность определить положение тела в пространстве с закрытыми глазами;
выделение из наружного слухового прохода гнойной или кровянистой жидкости.
Также рекомендуется проводить сканирование уха при наличии симптомов, указывающих на повреждения лицевых и слуховых нервов, патологий височно-нижнечелюстного сустава, которые выражаются нарушениями мимики, жевательных функций и речи. Также причиной направления на МРТ могут стать врожденные аномалии развития органов слуха, такие как деформация или отсутствия ушных раковин, отсутствие у ребенка реакции на звуки.
Как проходит МРТ внутреннего и среднего уха?
МРТ внутреннего и среднего уха не требует особой подготовки. Единственная ситуация, когда пациенту потребуется немного изменить режим питания — сканирование с контрастом. В этом случае рекомендуется воздержаться от употребления тяжелой пищи (жирной, долго перевариваемой, плотной) за несколько часов до обследования. Это поможет избежать тошноты во время введения препарата.

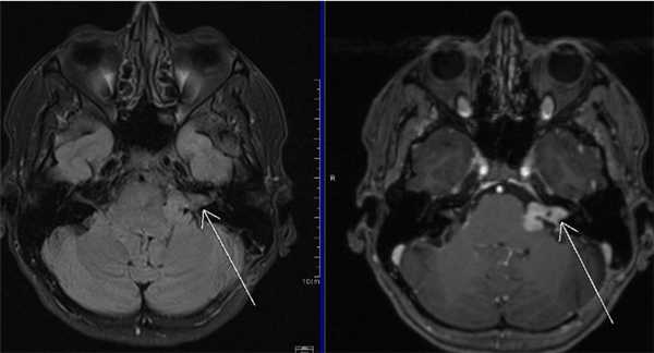
МРТ головного мозга. На мрт в аксиальной плоскости отмечается объемное образование внутреннего слухового прохода слева (стрелка), с четкими и неровными контурами, деформирующее окружающие структуры. После внутривенного введения парамагнитного контрастного вещества отмечается интенсивное и неоднородное его накопление образованием (изображение справа) — невринома.
Перед началом процедуры проводится предварительный опрос пациента, в ходе которого врачом выявляются возможные противопоказания к диагностике таким способом. К ним относятся:
наличие металлических зубных имплантатов;
наличие на кровеносных сосудах головного мозга металлических клипс, установленных для остановки кровотечения;
наличие металлических пластин или скоб, фиксирующих кости черепа;
подозрение на присутствие инородных тел из ферромагнитных металлов внутрь уха.
Перед тем, как делать сканирование, врач попросит пациента снять с тела предметы, которые могут намагничиваться: металлические украшения, аксессуары, одежду с молниями, пуговицами и кнопками из металла, съемные зубные протезы и пирсинг. Также нужно оставить в приемном покое кошелек с банковскими картами, флешки и мобильный телефон, так как они могут выйти из строя под действием магнитного поля. После этого обследуемого укладывают на подвижный стол томографа, его голову помещают в специальную рамку, фиксируют ее валиками и ремнями для исключения случайных движений и смазывания картинки. При необходимости вводят больному внутривенно контрастный препарат.
Для того, чтобы сделать МРТ, врач покидает помещение и наблюдает за процессом из смежной комнаты. Он поддерживает контакт с пациентом через громкую связь. Последний может инициировать прекращение сканирования, если появился дискомфорт. Для этого достаточно нажать кнопку экстренной связи на пульте, который ему дают перед процедурой.
В среднем стандартное без контрастирования сканирование занимает не больше четверти часа. После получения серии снимков пациенту могут ввести контраст и делают повторные снимки. Это удлиняет процедуру МРТ еще на 15-20 минут. По окончании сеанса пациент может сразу покинуть клинику или в течение 1-2 часов подождать результаты обследования.
Расшифровка снимков МРТ внутреннего уха
Расшифровкой того, что показывает МРТ внутреннего уха или его среднего отдела, занимается врач-рентгенолог, проводивший обследование. В заключении он указывает, что именно изображено на снимках, а также делает на них пометки: на цифровых делает метки в виде стрелок, контуров и точек, которые сохраняются и на распечатанных фото. При необходимости, если это указано в направлении, серии снимков сохраняются в формате видео. Иногда, если это необходимо для более точной оценки патологии, с помощью специальной программы создается трехмерная модель отдельных структур среднего и внутреннего уха, которую можно рассматривать под любым углом.
В расшифровках снимка по стандартам указывается:
состояние височной кости, нижнечелюстного сустава, их соответствие нормам, а при наличии аномалий указывается их расположение, степень распространения и природа (перелом, скол, опухоль или метастаз);
состояние слухового прохода, отсутствие или наличие в нем секрета, инородных предметов, признаков воспалений, гнойных полостей и выделений, аномалий строения;
состояние структур внутреннего уха — нервов, кровеносных сосудов и мягких тканей, с указанием их соответствия или несоответствия нормам, при наличии опухолей, воспалений и других аномалий указывается их локализация, степень развития, взаимодействие с окружающими тканями и т. д.
При использовании контраста дополнительно описываются первичные и вторичные злокачественные новообразования, оценивается динамика кровоснабжения этих новообразований и вестибулярного аппарата.
Что лучше МРТ или КТ уха?
Диагностика с помощью МРТ и КТ может показаться одинаковой, однако они отличаются по принципу воздействия на ткани и результатам. В ходе МР-томографии лучше визуализируются нервы, слизистые оболочки, кровеносные сосуды, мозговые ткани, а костные остаются фактически невидимыми. Лучше всего МРТ выявляет злокачественные опухоли. Компьютерная томография, использующая рентгеновское излучение, детально показывает состояние костей, а мягкие ткани на снимках визуализируются недостаточно четко.
В чем отличия КТ и МРТ:
Противопоказания — у КТ их больше, чем у МРТ, так как рентген противопоказан детям, беременным на любом сроке, кормящим женщинам. МРТ не проводят, если в теле пациента есть металлические элементы, в том числе несъемные зубные протезы, кардиостимуляторы или инородные тела, осколки и т. д.
Частота проведения процедур — КТ делают не чаще 2 раз в год, МРТ можно делать без ограничений.
Точность картинки — КТ незаменим для диагностики патологий костной ткани и косточек среднего и внутреннего уха. МРТ более информативен для выявления заболеваний нервов, сосудов, мягких тканей.
Это значит, что оба метода хорошо дополняют, но не заменяют друг друга. Когда врач подозревает, что неприятные симптомы являются следствием изменений нервов или структур, состоящих из мягких тканей, делают МРТ. Если же предварительное обследование указывает на аномалии костной ткани, делают КТ.
Что показывает МРТ мосто-мозжечкового угла
Мостомозжечковый угол — это маленькая область в головном мозге человека, которая ограничивается мостом и продолговатым мозгом. В данной зоне пролегают черепно-мозговые нервные окончания (лицевой и преддверный нерв).
В случае развития у человека ряда патологических процессов (онкологические патологии, воспалительные заболевания и т.п.), в мостомозжечковом угле будут наблюдаться выраженные поражения нервов. Это может стать весомым поводом для обращения к врачу и назначения МРТ мосто мозжечкового угла.
Показания к МРТ мосто мозжечковых углов головного мозга
- Тромбоз артерий.
- Контроль состояния пациента после ранее перенесенного оперативного вмешательства на головном мозге.
- Патологические заболевания головного мозга.
- Инфекционные поражения ЦНС.
- Кровоизлияния в головном мозге.
- Подозрение на онкологические патологии.

- нарушение слуха;
- сильные головные боли;
- тошнота;
- нарушение вкуса;
- повышение температуры;
- нарушение чувствительности мышц лица;
- головокружение.
Особенности подготовки и проведения исследования
МРТ головного мозга не требует от пациента каких-либо серьезных подготовительных мер. Несмотря на это, перед процедурой человеку нужно будет снять все металлические предметы, в том числе украшения. МРТ мосто мозжечкового угла выполняется с помощью мощного томографа. При этом процедура сканирования должна иметь мощность воздействия магнитного поля не менее 1,5-2 Тл. Для получения максимально точной клинической картины, сканирование может выполняться в двух режимах. Общая длительность процедуры составляет 15-30 минут. В том случае, если у человека будут весомые показания, МРТ мосто мозжечковых углов ему может быть проведено с использованием контраста.
Расшифровка результатов
Расшифровкой результатов МРТ головного мозга занимается врач-диагност. При этом, наиболее часто у пациентов обнаруживаются онкологические патологии мостомозжечкового угла и нарушения кровообращения в сосудах. Информация о результатах, а также заключение о проведенном МРТ головного мозга, выдается пациенту спустя полчаса после процедуры. На снимках человек получит изображение структур головного мозга. Лечебная терапия при этом будет подбираться исходя из результатов МРТ. Заниматься самолечением при этом недопустимо.
Преимущества МРТ мосто мозжечковых углов головного мозга
Современное МРТ головного мозга — это один из наиболее информативных методов диагностики онкологических процессов в данной зоне. Главными преимуществами МРТ является максимально высокая точность процедуры, безопасность, а также быстрый результат. В том случае, если человек не имеет возможности выполнить МРТ, в качестве альтернативы данному исследованию ему может быть назначена компьютерная томография. Следует отметить, что диагностика МРТ просто незаменима в современной нейрохирургии, в особенности, при обследовании патологий слуховых органов пациентов и их мосто-мозжечковых областей. С помощью МРТ можно выявить даже малейшие нарушения в структуре слухового прохода, которые не способны диагностировать другие исследования.
МРТ головного мозга с прицельным осмотром мостомозжечкового угла

Диагностику патологических состояний центральной нервной системы (ЦНС) затрудняет расположение церебральных структур внутри позвоночного канала и черепной коробки. Магнитно-резонансная томография является наиболее результативным видом инструментального исследования головного мозга (ГМ). Сканирование проходит без вредной лучевой нагрузки и не требует инвазивных манипуляций, за исключением инъекций контрастного раствора при МРТ с усилением.

МР-сканирование при подозрении на менингиому мостомозжечкового угла, сагиттальная проекция
Метод основан на использовании магнитного поля, под действием которого атомы водорода в молекулах воды начинают резонировать. Колебания заряженных частиц фиксируют специальные датчики, информацию обрабатывают с помощью компьютерной программы и преобразуют в серию послойных фотографий рассматриваемой области.
В диагностике патологических изменений ЦНС в области ствола используют МРТ головного мозга с прицельным осмотром мосто-мозжечкового угла (ММУ). Сканирование необходимо для уточнения состояния данного участка и выявления патологических изменений нервных корешков.
Что показывает МРТ мосто-мозжечкового угла?
В результате магнитно-резонансной томографии получают серию снимков сканируемых срезов с шагом от 1 мм. Исследование проводят в аксиальной, сагиттальной и фронтальной проекциях. С помощью сложных алгоритмов врач может реконструировать трехмерное изображение головного мозга, отражающее топографию структурных элементов, нервных стволов, кровеносных сосудов. 3D-модель показывает малейшие изменения в строении церебрального вещества, позволяет оценить взаимодействие патологического участка и окружающих тканей.

Липома ММУ (указана стрелками) на снимке МРТ головного мозга в аксиальной проекции
Областью мосто-мозжечкового угла называют ограниченное пространство рядом с продолговатым мозгом, открытое кпереди, к основанию черепа и в сторону задней черепной ямки. В нижней части участка располагается паутинная оболочка. Образование заполнено цереброспинальной жидкостью (латеральная цистерна).
Узкое пространство ограничено продолговатым мозгом, мозжечком и Варолиевым мостом. В данной области расположены корешки преддверно-улиткового, лицевого, тройничного и отводящего нервов. Рядом проходят передняя нижняя мозжечковая и лабиринтная артерии, вены, впадающие в верхний каменистый синус.
- состояние церебральных структур, образующих пространство области интереса;
- особенности расположения и строения кровеносных сосудов;
- состояние корешков черепно-мозговых нервов (с V по XI пар);
- воспалительные, неопластические и другие патологические процессы;
- аномалии строения данного участка головного мозга.
Магнитно-резонансная томография отличается большей информативностью в отношении исследования тканей, клетки которых содержат достаточное количество жидкости. При сканировании с прицельным обследованием мосто-мозжечкового угла получают детальные изображения церебральных структур. Для повышения результативности используют МРТ с контрастным усилением.

МР-сканирование головного мозга с прицельным изучением мосто-мозжечкового угла, фронтальный срез
«Окрашивающий» раствор заполняет просвет вен и артерий, межклеточное пространство в исследуемой зоне. На снимках появляется четкий рисунок сети кровеносных сосудов, хорошо видны аномалии строения (петли, анастомозы, аневризмы и пр.), определяется зона компрессии корешка черепно-мозгового нерва при вазоневральном конфликте.
При использовании контраста МРТ визуализирует новообразования, диаметр которых не превышает 3 мм. Ткани опухоли накапливают усиливающий препарат, сосудистая сеть, в зависимости от степени малигнизации (озлокачествления), имеет характерный рисунок. На основании полученных изображений рентгенолог может предположить характер процесса, окончательный диагноз ставит лечащий врач.
Магнитно-резонансная томография показывает кисты, абсцессы, гематомы и другие образования с жидким содержимым. Метод отличается высокой информативностью в отношении очагов демиелинизации нервных волокон.

Признаки арахноидальной кисты (указана стрелками) на томограммах ММУ
Показания к МРТ с прицельным осмотром мосто-мозжечкового угла
Магнитно-резонансную томографию проводят для уточнения диагноза сразу после осмотра пациента невропатологом или нейрохирургом. Прицельное исследование мосто-мозжечкового угла необходимо при подозрении на наличие новообразования. Поводом для МРТ служат следующие признаки:
- головокружение;
- паралич лицевых мышц;
- нарушение координации;
- парестезии кожи лица;
- слезотечение;
- головные боли;
- нарушения вкусовых ощущений;
- тошнота.
Причиной неприятных ощущений служит поражение V-VIII пар черепно-мозговых нервов.
Сканирование зоны мосто-мозжечкового угла позволяет диагностировать:
- злокачественные опухоли головного мозга;
- абсцесс мосто-мозжечковой области;
- аномалии строения головного мозга;
- менингиомы, невриномы;
- арахноидальные и эпидермоидные кисты;
- инфекционные процессы;
- аневризмы мосто-мозжечкового угла;
- тромбоз венозных синусов;
- субарахноидальные и внутримозговые кровоизлияния.
Магнитно-резонансная томография позволяет контролировать течение хронических заболеваний, оценивать результативность консервативного лечения новообразований.

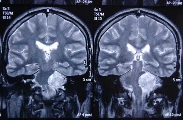
Невринома ММУ на снимках МРТ (нативная и контрастная процедуры)
Перед оперативным вмешательством метод дает возможность уточнить локализацию и размеры патологического участка, в период восстановления помогает своевременно диагностировать осложнения.
Особенности МР томографии мосто-мозжечковых углов головного мозга
Процедура не требует сложной предварительной подготовки. За 2-3 дня до исследования рекомендуют отказаться от спиртного, ограничить курение, избегать переутомления и стрессовых ситуаций.
МРТ головного мозга безопасна при соблюдении ограничений, связанных с применением индуцируемого аппаратом поля. Противопоказаниями к сканированию служат:
- вживленные электромагнитные приборы;
- татуировки, выполненные металлсодержащими красками;
- перенесенная реконструкция груди с помощью имплантатов с магнитными направляющими.
На качество исследования могут влиять металлические эндопротезы. В первом триместре беременности МРТ не назначают, контрастная процедура противопоказана женщинам во время всего периода гестации.
Магнитно-резонансную томографию с контрастом не делают лицам, страдающим заболеваниями печени и почек в терминальной стадии.
Сканирование проводят с помощью сложного устройства, состоящего из подвижного стола и широкого тоннеля. Пациент ложится лицом вверх, его тело фиксируют с помощью специальных валиков. Для защиты от шума используют наушники.

МРТ мосто-мозжечковых углов на закрытом томографе
Во время процедуры медицинский персонал располагается за прозрачной перегородкой. Связь с обследуемым поддерживают через микрофон.
Стол с пациентом закатывают в трубу томографа, внутри которой установлен генератор магнитного поля. Нативное сканирование занимает около четверти часа, при использовании контрастного усиления продолжительность процедуры увеличивается на 10-15 минут. Инъекцию раствора гадолиния осуществляют с помощью катетера, установленного в вену больного и соединенного с автоматическим устройством. Препарат подают с постоянной скоростью, при заполнении контрастом просвета вен и артерий в зоне интереса сканирование продолжают.
МРТ головного мозга с исследованием мосто-мозжечкового угла проводят в Т1 и Т2 режимах. Для визуализации корешков черепно-мозговых нервов используют магнитно-резонансную томографию с подавлением жира.
Расшифровка снимков
Врач-рентгенолог изучает послойные изображения, оценивая однородность сканируемых анатомических структур, границы и размеры морфологических элементов мосто-мозжечкового угла. В протоколе исследования указывают состояние сосудистой системы, особенности кровоснабжения изучаемого участка головного мозга.
При обнаружении патологического очага указывают локализацию, размеры, характер и причины развития процесса. В случае диагностики новообразования уточняют особенности взаимодействия опухоли с окружающими тканями.
Результаты исследования пациент получает на руки через 15-20 минут. Врач предоставляет расшифровку изображений, заключение с предварительным диагнозом, серию послойных фото, записанных на электронный носитель.

Новообразование в области мосто-мозжечкового угла (фронтальная проекция)
МРТ мозжечка что показывает

Изучение церебральных структур, скрытых черепной коробкой, представляет определенные сложности. Применение аппаратных методов исследования облегчает диагностику заболеваний центральной нервной системы (ЦНС).
С целью выявления органических поражений в затылочной области часто назначают МРТ мозжечка, что показывает результативность данного метода исследования.
Сканирование делают при помощи магнитного поля частотой от 2000 Гц. Клетки организма содержат определенное количество жидкости. Атомы водорода в молекулах воды начинают резонировать под действием силового поля, что позволяет получить стабильный сигнал от исследуемых тканей.

МРТ головы и мозжечка, сагиттальная проекция
Интенсивность ответной реакции зависит от насыщенности сканируемых структур влагой. Большей информативностью обладает МРТ рыхлых анатомических образований, в том числе белого и серого церебрального вещества, мозговых оболочек, ликвора, нервных корешков.
Для визуализации онкологических процессов и сосудистых патологий используют контрастное усиление. Раствор хелатов гадолиния при попадании в кровеносное русло «окрашивает» сеть вен и артерий, выделяет новообразования в изучаемой области.
Показания для проведения МРТ мозжечка
Магнитно-резонансную томографию используют с целью первичного выявления патологий ЦНС и для уточнения диагноза при недостаточной эффективности других методов исследования. Сканирование позволяет оценить состояние мозжечка и оболочек головного мозга задней черепной ямки, показывает особенности кровоснабжения рассматриваемой области. С помощью МРТ определяют характер и патогенез заболевания, степень поражения тканей, уточняют локализацию процесса.

Аномалия Арнольда-Киари (II) на снимке МРТ
Мозжечок - отдел центральной нервной системы, расположенный в области задней черепной ямки и отвечающий за координацию движений, мышечный тонус, способность держать равновесие. Орган имеет три пары ножек, с помощью которых получает информацию от ствола и коры больших полушарий, базальных ганглиев, экстрапирамидной системы, спинного мозга.
Патологические изменения структур и проводящих путей мозжечка сопровождаются характерной клинической картиной:
при локализации процесса в одном из полушарий мозжечка, во время ходьбы возможно отклонение в сторону поражения;
снижение мышечного тонуса, утрата двигательной функции;
нарушения мелкой моторики;
шаткая «мозжечковая» походка, схожая с движениями пьяного;
снижение артериального давления;
нарушения памяти, речи.
Наличие перечисленных симптомов служит основанием для назначения МРТ мозжечка. При травмах затылочной части головы процедуру проводят для выявления внутренних повреждений: гематомы, отеки и пр.
Показаниями к магнитно-резонансному сканированию служат подозрения на следующие патологические состояния:
добро- и злокачественные новообразования в области задней черепной ямки;
врожденные аномалии развития (мальформации Арнольда-Киари, Жубера, синдром Денди-Уокера);
ишемический и геморрагический инсульт мозжечка;
абсцесс, гранулематозное воспаление тканей мозжечка;
демиелинизирующие патологии с вовлечением мозжечка.
МРТ показана перед операцией на головном мозге. Сканирование позволяет уточнить расположение и размеры патологического очага. Через 1-3 месяца после вмешательства проводят контрольное обследование для оценки процессов восстановления.
Как проходит диагностика?
МРТ головного мозга проводят с помощью томографов двух типов:
аппаратов с тоннелем (трубой).
Первые оборудованы кушеткой и магнитной рамой. Пациент ложится на спину, голова находится в зоне действия силового поля. Открытые томографы позволяют сделать МРТ людям, страдающим клаустрофобией, и больным с избыточным весом. Минусом исследования является недостаточно высокое разрешение изображений.
Закрытые томографы включают передвижной стол, тоннель, градиентную катушку, программное оборудование и монитор, на который поступает картинка. Пациент ложится лицом вверх, тело и конечности фиксируют валиками и креплениями. Защиту от шума обеспечивают специальные наушники. В руку больному вкладывают тревожную кнопку, с помощью которой можно остановить сеанс.

МРТ головы на закрытом томографе
Присутствие в зоне действия силового поля томографа посторонних электронных устройств может привести к поломке дорогостоящего оборудования, поэтому врач и рентген-лаборант во время процедуры находятся у аппаратуры за прозрачной перегородкой. Связь с обследуемым поддерживают через микрофон.
Над головой больного устанавливают градиентную катушку, которая дает переменный электромагнитный импульс. При перемещении стола с пациентом в тоннель томографа включают генератор постоянного силового поля. Действие градиента обеспечивает выбор среза, повышает скорость сканирования и разрешение фотографий.
Закрытые томографы индуцируют магнитное поле напряженностью от 1,5 Тл. Данной мощности достаточно для детального изучения внутренних органов и структур.
Сканирование проводят в аксиальной, сагиттальной и фронтальной проекциях. Толщину среза при исследовании настраивают индивидуально (от 1 мм). Датчики фиксируют сигнал, компьютерная программа трансформирует информацию в серию черно-белых фотографий на мониторе. При необходимости возможна трехмерная реконструкция модели головного мозга с детальным отображением взаимного расположения церебральных структур, нервов, кровеносных сосудов.
При использовании контраста сканирование приостанавливают после серии нативных снимков. Пациенту через внутривенный катетер вводят раствор гадолиния. Процедуру продолжают после заполнения препаратом сосудистого русла и межклеточного пространства в зоне интереса.

Синдром Арнольда-Киари (смещение миндалины мозжечка ниже границ большого затылочного отверстия)
МР-диагностика занимает до получаса, контрастное усиление увеличивает время сканирования на 10-15 минут.
Расшифровка МРТ мозжечка - норма
Протокол исследования головного мозга содержит информацию о режиме магнитно-резонансной томографии и состоянии церебральных структур. При проведении МРТ с контрастом указывают название препарата.
Описание снимков содержит следующие данные:
форма, размеры, контуры анатомического образования и морфологических элементов;
локализация с обязательным уточнением расположения миндалин мозжечка по отношению к большому затылочному отверстию;
особенности строения, структура органа;
наличие аномалий, патологических очагов, новообразований;
расположение измененных участков, характер взаимодействия пораженных и здоровых тканей;
форма и размеры патологических очагов;
характер кровоснабжения головного мозга и мостомозжечкового угла.
В случае травмы затылочной области врач описывает видимые последствия с указанием локализации (отеки, гематомы, деформации, разрывы кровеносных сосудов).
В норме мозжечок на МРТ головного мозга выглядит как неоднородное анатомическое образование, отделенное поперечной щелью. Контуры органа неровные: видны неглубокие борозды, которые делят на дольки боковые части (полушария) и центральную (червь). Размеры мозжечка в поперечном сечении достигают 9-10 см, в передне-заднем срезе - 4 см.
Структурный анализ томограмм позволяет выделить серое вещество (образующее кору) и белое (мозговое тело). Последнее залегает в центральной части и переходит в 3 пары ножек.
МРТ показывает миндалины мозжечка, расположенные на границе большого затылочного отверстия. У детей в возрасте 5-15 лет возможно каудальное смещение анатомического образования в позвоночный канал (в норме не более 5 мм).
Ядра мозжечка, представляющие скопление серого вещества в толще мозгового тела, на МРТ не определяются.
Результаты исследования записывают на электронный носитель и выдают пациенту с расшифровкой и заключением врача-рентгенолога.

Менингиома намета мозжечка на томограмме
Клиника «Магнит» специализируется на МР-диагностике различных заболеваний. Сканирование головного мозга с осмотром мостомозжечкового угла позволяет выявить врожденные аномалии, различные патологические процессы в данной области. МРТ проводят с помощью закрытого томографа немецкой фирмы Siemens мощностью 1,5 Тл. Записаться на процедуру можно по телефону или на сайте клиники.
Читайте также:
- Споруляция бактерий. Стадии споруляции у бактерий. Расположение спор у бактерий.
- Техника тотального эндопротезирования коленного сустава в условиях варусной деформации
- Веснушки (эфелиды) у ребенка
- Гастроэнтерит. Сальмонеллезный гастроэнтерит. Возбудители сальмонеллезного гастроентерита. Источник заражения сальмонеллезом. Формы сальмонеллезного гастроэнтерита.
- Исследование активных движений в плечевом суставе
