Обызвествление при нарушении обмена. Подагра и ее особенности
Добавил пользователь Владимир З. Обновлено: 01.01.2026
Подагра - системное заболевание, характеризующееся нарушением обмена пуринов в организме и отложением кристаллов урата в суставах. Основным проявлением расстройства считаются повторяющиеся приступы артрита с интенсивной болью в суставах и возникновением тофусов - подагрических узелков. Также при этом заболевании возможно накопление солей в почках с развитием мочекаменной болезни и почечной недостаточности.
Распространенность заболевания среди взрослого населения в Европе составляет от 0,9 до 2,5%, а в США достигает 3,9%. Наиболее часто подагру выявляют у мужчин старше 40 лет. Среди женщин патология встречается в 6-7 раз реже.
Причины подагры
Основной причиной развития подагры считается нарушение обмена мочевой кислоты, приводящее к ее избытку в крови - гиперурикемии. Такое состояние возникает при увеличении поступления пуринов с пищей, когда их метаболиты просто не успевают выводиться с мочой, либо при нарушении выделительной функции почек, а также в случае ускоренного разрушения клеток, содержащих в РНК и ДНК нуклеозиды аденин и гуанин, из которых и образуется мочевая кислота в организме человека. При этом соли мочевой кислоты (ураты) накапливаются в мягких тканях различных органов, преимущественно в суставах, провоцируя их воспаление.
Подагра также известна как «болезнь пирующих королей». Такое название она получила из-за того, что основным источником ее возникновения считалась неумеренность в еде и спиртных напитках.
- употребление пищи, богатой пуринами - мяса, жирной рыбы, бобовых, кофеинсодержащих продуктов, субпродуктов (почки, печень, мозг), морепродуктов, а также спиртного в больших количествах;
- употребление газированных, сладких напитков и фруктовых соков;
- ожирение;
- гемолитическая анемия, лейкоз, лимфома;
- генетические дефекты (как правило, у мужчин) и снижение ферментов, участвующих в метаболизме мочевой кислоты;
- применение лекарственных средств, таких как мочегонные препараты, цитостатики, салицилаты.
У женщин подагра развивается обычно в постменопаузу, поэтому прослеживается связь заболевания также и с гормональными изменениями в организме.
Симптомы подагры
С греческого языка подагра переводится как «нога в капкане», так как заболевшего преимущественно беспокоит интенсивная боль в первом плюснефаланговом суставе стопы, колене или голеностопе. Также возможно вовлечение кисти по типу олиго или полиартрита (воспаление двух или многих суставов). При этом сустав становится отечным, кожа над ним приобретает красный оттенок, начинает лосниться. Такая форма заболевания называется острым подагрическим артритом.
Первым клиническим проявлениям патологии может предшествовать длительный бессимптомный период гиперурикемии, когда нарушения выявляются лишь при лабораторном исследовании крови.
Первые приступы боли возникают внезапно, преимущественно ранним утром или ночью, склонны нарастать в первый день и полностью проходят за несколько часов или в течение суток. Во время обострения подагры могут также присутствовать признаки интоксикации - повышение температуры тела, озноб, слабость. После стихания воспаления подагрический артрит возникает вновь, как правило, в срок от полугода до двух лет. По мере прогрессирования заболевания продолжительность периодов его бессимптомного течения сокращается, суставные боли возникают все чаще и переносятся тяжелее.
При переходе в хроническую форму подагрический артрит сопровождается деформацией и ограничением движений в суставах, боль разной интенсивности приобретает постоянный характер. В дальнейшем отложения кристаллов мочевой кислоты становятся видимыми. Под кожей, чаще в области суставов, появляются тофусы - узелки белого или желтого цвета с крошковидным, творожистым содержимым. Над ними возможно образование язв, гнойных ран.
Гиперурикемия сопровождается частыми обострениями сопутствующих заболеваний - ишемической болезни, сахарного диабета, артериальной гипертензии, атеросклероза. В случае развития осложнений подагры присоединяются свойственные им симптомы. Для мочекаменной болезни это тянущая боль в пояснице, периодическое появление крови в моче, учащенное мочеиспускание в ночное время. При продолжительном течении хронической тофусной подагры суставной хрящ разрушается, ограничение подвижности сустава сохраняется вне периодов обострения, возможно полное заращение суставной щели с формированием анкилоза (полной неподвижности сустава). Последствием постоянного болевого синдрома может быть также депрессия.
Диагностика подагры
Постановкой диагноза и лечением подагры занимается врач-ревматолог, терапевт или врач общей практики (семейный врач). Чаще всего пациент обращается не в дебюте заболевания, так как симптомы острого подагрического артрита быстро проходят, что может быть расценено человеком как выздоровление, а во время одного из последующих обострений. Врач проводит беседу с больным, в ходе которой устанавливаются факт острой суставной атаки в прошлом, присутствие характерных жалоб, а также факторов риска развития патологии. Явления бурсита и тофусы - основные объективные проявления подагры - чаще обнаруживаются на ноге. Подтвердить диагноз позволяет комплексное обследование организма с применением лабораторных и инструментальных методов.
- . Во время атаки подагрического артрита возможны ускорение СОЕ, увеличение количества лейкоцитов и сдвиг лейкоцитарной формулы влево.
- Определение уратов в сыворотке крови. Около 70% пациентов при обострении подагры имеют высокий уровень мочевой кислоты - более 0,42 ммоль/л у мужчин и 0,36 ммоль/л у женщин. . Метод используют для оценки риска образования почечных камней. . Проводится с целью диагностики заболеваний мочевыделительной системы, способствующих развитию подагры или являющихся ее осложнением. . Забор биоматериала для анализа осуществляется с помощью пункции пораженного сустава. Наличие кристаллов моноурата натрия в суставной жидкости позволяет подтвердить подагру, а ее стерильность при бакпосеве исключить инфекционные причины артрита.
- Микроскопическое исследование биоптата из тофусов. Ураты при осмотре через поляризационный микроскоп выглядят как кристаллы иглообразной формы с заостренным концом. Этот метод также высокоспецифичен в диагностике подагры, как и предыдущий.
- УЗИ пораженных суставов;
- МРТ и КТ;
- рентгендиагностика.
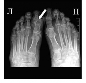
Рентгенография в начале заболевания проводится с целью дифференциальной диагностики с другими артропатиями, специфические же признаки подагры при этом отсутствуют. Только при переходе патологии в хроническую форму на снимках можно увидеть внутрикостные тофусы, краевые эрозии костей.
Ультразвуковое исследование суставов до развития хронической подагры результативно только во время обострений.
МРТ позволяет обнаружить тофусы внутри суставов еще до их появления под кожей, благодаря чему удается раньше начать специфическую терапию гиперурикемии. Метод применяется в дифференциальной диагностике с другими заболеваниями, а также для контроля эффективности лечения. КТ в сравнении с прочими способами визуализации позволяет более точно дифференцировать тофусные массы.
Лечение подагры
Основной принцип лечения заболевания - уменьшение гиперурикемии. Этому способствуют изменение образа жизни пациента и пересмотр рациона питания. Рекомендуются коррекция гиперлипидемии, артериальной гипертензии, гипергликемии, снижение веса и отказ от курения.
- сладких газированных напитков;
- морепродуктов;
- мяса;
- пряной, острой и копченой пищи;
- шоколада, мороженого;
- соленых сыров;
- кофеина, какао, крепкого чая;
- алкоголя.
Эндогенные пурины повышаются при употреблении большого количества белка животного происхождения, поэтому его суточной нормой для больного подагрой считается не более 1,5 г на 1 кг веса тела пациента. Молочные же продукты с невысокой жирностью, такие как кефир, творог, простокваша, способствуют выведению мочевой кислоты из организма. Сходным действием обладают полиненасыщенные жирные кислоты, например, в составе оливкового масла. Также при подагре необходимо соблюдать питьевой режим - не менее 2,5 литров воды в сутки.
- снижение мочевой кислоты до целевого уровня - 0,36 ммоль/л;
- уменьшение очагов накопления уратов в организме;
- снижение размеров тофусов;
- сокращение частоты приступов подагрического артрита.
Препаратом выбора для этого считается Аллопуринол. При его непереносимости возможно применение селективного ингибитора ксантиноксидазы - фебуксостата. Умеренное урикозурическое действие оказывают также Лозартан, Амлодипин и Фенофибрат. Диуретики используются с большой осторожностью, только по жизненным показаниям. Хирургическое удаление тофусов проводится лишь при появлении тяжелых осложнений, например, туннельного синдрома, спинномозговой компрессии.
Подагра
Подагра - хроническое заболевание, которое сопровождается повышением концентрации мочевой кислоты в крови. В результате ее накопления в области суставов начинают откладываться соли ураты. Впоследствии происходит разрушение суставной ткани и нарушение функциональных способностей.
Жирная пища, малоподвижный образ жизни и злоупотребление алкоголем приводят к росту заболеваемости среди населения. В Юсуповской больнице проводится полный курс диагностики и лечения подагры на любой стадии развития. Современные аппараты, профессиональная команда и высокое качество услуг выгодно отличают клинику от других медицинских учреждений.
Согласно статистическим данным мужчины в несколько раза чаще страдают от подагры по сравнению с женщинами. Дебют заболевания приходится на 40 лет. У женщин подагра диагностируется ближе к 60 годам. Это объясняется набором определенных гормонов, которые способствуют выведению из организма лишнего количества мочевой кислоты. В последние годы врачи отмечают «омоложение» заболевания. Подагра может диагностироваться в возрасте 20-30 лет.

Причины развития заболевания
Гиперурикемия - основная причина развития подагры. Это состояние возникает в следующих случаях:
- Ожирение. В рационе больного подагрой присутствовало чрезмерное количество жирной пищи, простых углеводов и калорийных блюд. Кроме того, употребление большого количества мяса повышает риск развития подагры;
- Злоупотребление алкоголем;
- Псориаз и гипертоническая болезнь в анамнезе;
- Наследственная предрасположенность.
Повышение концентрации мочевой кислоты происходит в результате того, что здоровые почки не способны фильтровать ее резко возросшее количество. Патология почек не позволяет им обрабатывать даже нормальное количество мочевой кислоты.

Изменения в суставах
В результате повышенного содержания мочевой кислоты в организме происходит отложение уратов в области суставов. Болевой синдром возникает в результате проникновения кристаллов мочевой кислоты внутрь и выработки веществ, провоцирующих воспаление.
Подагрическая атака - результат раздражающего действия кристаллов. Вырабатываемые в ответ на воспаление иммунные клетки начинают разрушать суставную структуру.

Классификация
В зависимости от характера течения заболевания выделяют первичную подагру - самостоятельное заболевание, возникающее на фоне воздействия провоцирующих факторов, и вторичную форму заболевания, которая развивается на фоне сопутствующей патологии. По распространенности патологического процесса подагру делят на следующие типы:
- Моноартикулярный артрит. Ураты скапливаются в области одного сустава. Характерен для дебюта заболевания. Наиболее распространенной локализацией моноартикулярного артрита является сустав большого пальца ноги;
- Полиартикулярный артрит. Воспаление затрагивает более 2 суставов. Полиартикулярный артрит характерен для хронической подагры. Локализуется в области суставов локтей, запястья, голеней, стоп и рук.

Симптомы у мужчин
На начальных стадиях заболевания клинические признаки подагры у мужчин отсутствуют. Во время профилактических осмотров или обследования по поводу другой патологии в биохимическом анализе крови определяется повышенный уровень мочевой кислоты - гиперурикемия.
Первый признак подагры у мужчин, который заставляет обратиться к врачу, - боль в суставах. Острый подагрический артрит на начальной стадии чаще всего краткосрочный. Приступ развивается внезапно, преимущественно ночью. Болевой синдром интенсивный, постоянный, выраженный. Поражаются суставы-мишени:
- Большого пальца ноги;
- Большого пальца руки;
- Коленные;
- Локтевые;
- Голеностопные.
Кожа над суставом гиперемирована, отечна, на ощупь - горячая. Сустав ограничен в движении, так как любая подвижность провоцирует усиление болевого синдрома. Через несколько дней боль уходит, а пациент возвращается к привычному для него образу жизнь.
Дальнейшее прогрессирование заболевания приводит к более длительному обострению симптомов подагры у мужчин, а периоды затишья постоянно уменьшаются. Со временем периоды ремиссии и вовсе отсутствуют, а боль становится хронической.
В стадии хронического артрита ураты откладываются в соединительной ткани, органах в форме узелков, которые называют тофусами. Отложение уратов в почках - причина мочекаменной болезни. Иногда развивается воспаление почек.
Мнение эксперта

Автор:
Елена Юрьевна Панасюк
Ревматолог, врач высшей категории, член ассоциации ревматологов России
Согласно данным ВОЗ, от патологического скопления кристаллов моноурата натрия страдают 5-20% жителей России. Они находятся в группе риска развития подагры. Заболевание регистрируется у 0,1% населения. Аналогичная статистика в Европе и США свидетельствует о более плачевном состоянии.
С каждым годом растет количество впервые выявленных случаев подагры. Главная роль среди причин раннего дебюта заболевания отводится образу жизни человека. Прогноз для выздоровления и качества жизни после постановки диагноза зависит от стадии, на которой диагностирована патология. Тяжелая форма подагры может стать причиной потери способности к самообслуживанию и утраты привычных навыков. Позднее обращение населения к врачу связано с отсутствием специфической клинической картины заболевания на ранних этапах развития.
Врачи Юсуповской больницы выполняют дифференциальную диагностику, которая позволяет определить диагноз. Индивидуальный подход к каждому пациенту необходим для подбора корректной терапии. К задачам врача относятся купирование симптомов обострения подагры и профилактика рецидивов. Для этого в Юсуповской больнице назначаются современные препараты, прошедшие контроль качества и безопасности.
Диагностика
Комплексная диагностика подагры включает в себя следующие исследования:
- Осмотр суставов. Проводится с целью определения болезненных участков;
- Общий и биохимический анализ крови. Проводятся с целью выявления воспалительного процесса в организме. Об этом свидетельствуют высокие концентрации лейкоцитов и СОЭ. Биохимический анализ показывает уровень мочевой кислоты и креатинина;
- Рентгенография. Исследование пораженных суставов определяет развитие тофусов, а также наличие участков с разрушенной суставной и костной тканями;
- Ультразвуковое исследование почек. На фоне тяжелого течения подагры ураты могут начать откладываться в почках. Ультразвуковая диагностика позволяет определить патологические очаги в органах;
- Исследование синовиальной жидкости. Необходимо для выяснения этиологического фактора возникшего воспаления.
Максимальное воспаление сустава в первый день
Наличие более чем одной атаки острого артрита в анамнезе
Поражение одного сустава
Покраснение кожи над поражённым суставом
Подозрение на тофусы
Одностороннее поражение первого плюснефалангового сустава
Боль и припухание в первом плюснефаланговом суставе
Одностороннее поражение суставов стопы
Асимметричный отёк суставов
Отрицательные результаты при посеве синовиальной жидкости
Субкортикальные кисты без эрозий (при рентгенографии)
Дифференциальная диагностика
Достаточно часто подагру принимают за другие заболевания. Это связано со схожестью клинической картины патологий. Дифференциальную диагностику проводят между подагрой и следующими болезнями:
- Гнойным артритом. Возникает после перенесенного инфекционного заболевания. Для гнойного артрита характерна гипертермия. Диагноз уточнятся с помощью дополнительных исследований;
- Ревматоидным артритом. Встречается чаще у женщин, чем у мужчин. Окончательные причины развития патологии до конца не изучены. В отличие от подагры при ревматоидном артрите не повышается концентрация мочевой кислоты;
- Псориатическим артритом. Возникает на фоне кожных проявлений псориаза;
- Пирофосфатной артропатией. Отличается от подагры характерными изменениями на рентгенограмме и в анализе синовиальной жидкости;
- Остеоартрозом. Заболевание не только имеет схожие симптомы, но и может протекать на фоне подагры.
Отличить заболевания и точно поставить диагноз может только врач. Самолечение может привести к усугублению состояния и развитию нежелательных последствий.
Лечение
Врачи Юсуповской больницы проводят комплексную терапию подагры. Она включает следующие составляющие:
- Лекарственные препараты;
- Диетическое питание;
- Коррекцию образа жизни.
Задачами медикаментозной терапии являются:
- Снижение уровня мочевой кислоты;
- Уменьшение выраженности болевого и воспалительного синдромов.
Выбор препаратов осуществляется лечащим врачом в индивидуальном порядке. Учитываются результаты проведенной диагностики. При подагре назначают следующие лекарственные средства:
- Аллопуринол. Действие препарата направлено на снижение уровня мочевой кислоты в крови. Кроме того, аллопуринол разрушает имеющиеся отложения уратов. Он - востребованное лекарственное средство для лечения подагры;
- Фебуксостат. Растворяет соли мочевой кислоты и снижает риск их повторного образования;
- Пробенецид. Чаще всего используют в период ремиссии подагры. Это связано с отсутствием действия лекарства на процесс образования мочевой кислоты;
- Пеглотиказа. Используется в случаях неэффективности остальных лекарственных средств;
- Колхицин. Препарат препятствует скоплению мочевой кислоты в организме. Из-за большого количества побочных эффектов колхицин используется исключительно в целях купирования острого приступа подагры;
- Нестероидные противовоспалительные средства. Снижают выраженность воспаления и оказывают обезболивающий эффект;
- Глюкокортикостероиды. Назначаются с целью купирования острого приступа подагры. В связи с угнетением иммунитета глюкокортикостероиды используются в ограниченном количестве и по строгим показаниям.
Соблюдение определенного питания - важная часть комплексного лечения подагры. В ежедневном меню могут присутствовать:
- Вегетарианские супы;
- Ограниченное количество мяса курицы или утки;
- Постные сорта рыбы;
- Кисломолочные продукты (кефир, ряженка, простокваша, творог);
- Крупы;
- Макароны;
- Достаточное количество свежих овощей и фруктов;
- Орехи;
- Сухофрукты;
- Мед;
- Пастила;
- Морсы, компоты, соки;
- Некрепкий чай.
Соблюдение диеты необходимо не только в период обострения подагры, но и на протяжении всей жизни. Подобным образом удается минимизировать количество рецидивов заболевания.
Для снижения уровня мочевой кислоты больному назначается медикаментозное лечение. Дозировки препаратов подбираются в зависимости от показателей. С целью динамического наблюдения за эффективностью лечения необходимо регулярно определять уровень мочевой кислоты в крови. Снижение ее концентрации свидетельствует о положительных результатах терапии. Контрольные исследования рекомендуется проводить каждые 2-4 недели, а затем 1 раз в 6 месяцев. Доза препаратов постепенно снижается до достижения поддерживающих значений. Полностью отменить прием лекарств удается крайне редко. Чаще всего это сопровождается обострением подагры.
После снижения уровня мочевой кислоты и исчезновения клинических проявлений заболевания пациент может возвращаться к привычной жизни. Для профилактики повторных обострений врачи рекомендуют придерживаться правильного питания и вести активный образ жизни.
Прогноз
Прогноз для жизни при диагностированной подагре благоприятный. Большинство пациентов с заболеванием доживают до преклонных лет. Качество жизни повышается при соблюдении мер профилактики рецидивов заболевания и прохождении регулярного осмотра у врача.
Пройти обследование для выявления подагры можно в Юсуповской больнице. Клиника располагается в Москве. Оборудование больницы позволяет с высокой точностью определить подагру на начальных этапах развития. После получения результатов исследований опытные врачи разрабатывают индивидуальную тактику лечения. Современная терапия помогает быстро облегчить состояние пациента. Используемые препараты отвечают стандартам качества и безопасности. Чтобы записаться на приём к ревматологу, звоните по телефону контакт-центра Юсуповской больницы круглосуточно в любой день недели.
Подагра ног
Подагра - это болезнь, связанная с нарушением обмена веществ, при которой ураты (соли мочевой кислоты) накапливаются в суставах. Подагру еще во времена Гиппократа называли «болезнью королей», так как неумеренность в еде и спиртном могли позволить себе только знатные люди.

По статистике, в России подагрой болеет каждый 3 человек из 1000. Чаще всего этому заболеванию подвержены мужчины, достигшие 40 лет. Женщины тоже болеют подагрой, но, как правило, после менопаузы. По сути, подагра является одной из разновидностей патологий костно-суставной системы, причиной которой является отложение солей.
Заболевание влияет на все суставы, начиная от суставов пальцев рук до суставов пальцев ног.
Основной причиной возникновения подагры является злоупотребление либо едой (мясом, копченостями, субпродуктами (печенью, почками), бобами, рыбно-соленой пищей, фасолью, шоколадом), либо спиртными напитками. Причиной могут также являться:
- Отягощённая наследственность;
- Характер питания;
- Повышение уровня мочевой кислоты в крови.
К группе риска относятся люди, имеющие:
Заболевание желудочно-кишечного тракта
Люди с малоподвижным образом жизни
Во время течения заболевания происходит накапливание производных мочевой кислоты (кристаллы уратов) в суставах, тканях, органах и других системах организма. Нарушение целостности сустава (частичное или полное разрушение) происходит из-за того, что урат кристаллизуется и откладывается в виде мелких частичек.
Большое содержание мочевой кислоты в организме человека происходит по нескольким причинам:
- Абсолютно здоровые почки не выводят огромное количество мочевой кислоты;
- Мочевая кислота выбрасывается в нормальном количестве, но почки не могут её вывести из организма.
В Юсуповской больнице оказывают современную и эффективную медицинскую помощь пациентам со всеми ревматическими болезнями, в том числе и пациентам с подагрой. В больнице работают квалифицированные ревматологи с многолетним опытом клинической работы. В Юсуповской больнице проводят качественную лабораторную диагностику и инновационные инструментальные методы исследования (ультразвуковая диагностика, магнитно-резонансная томография, компьютерная томография и прочие), которые позволяют распознать развитие ревматических заболевания на ранних стадиях.

Что такое подагра у мужчин на ногах?
Подагра, как правило, имеет хроническое течение, поэтому полностью излечить её практически невозможно. Данное заболевание проявляется чаще на ногах. У мужчин подагра характеризуется следующими симптомами:
- Острая боль в суставах, усиливающаяся в утреннее время;
- Покраснение и отечность первого пальца;
- Скованность в конечностях;
- Ограничение подвижности;
- Подъем артериального давления;
- Повышение температуры тела;
- Чувство жара;
- Потеря аппетита;
- Частая смена настроения.
Первые атаки подагрического артрита (воспаление одного сустава) практически всегда бывают краткосрочными. Начинается такой приступ внезапно, как правило, ночью. Чаще всего воспаляется сустав большого пальца ноги (может один или сразу оба).

Помимо того, что больных беспокоит сильнейшая боль, во время приступа сустав начинает распухать, краснеть, кожа в этой области становится ярко-красной или багряной, теплой или горячей на ощупь. Даже незначительное прикосновение к воспаленному месту или минимальное движение в суставе причиняют невыносимую боль. После нескольких дней мучительной боли (3-4 дня) симптомы резко прекращаются, будто ничего и не было.
Однако спустя определенное количество времени боль также внезапно возобновляется. Причем, если в начале интервалы между приступами были достаточно длительными (от одного месяца до года), а сами атаки подагрического артрита непродолжительные, то со временем клиническая картина меняется в худшую сторону. Атаки становятся более длительными, а интервалы между ними более короткими.
В конце концов, наступает такой момент, когда боль в суставах имеет постоянный характер, а светлые промежутки между приступами практически исчезают. Данное состояние носит название «подагрический статус», или хронический подагрический артрит. При хроническом подагрическом артрите наступает разрушение суставного хряща, а в рядом расположенных костях образуются специфические дефекты — «пробойники», представляющие собой полость, заполненную микрокристаллами урата натрия.

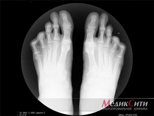
На фото симптом «пробойника» на кости первого пальца ноги
Кристаллы урата натрия могут также накапливаться под кожей, образовывая белесоватые твердые узелки (тофусы), которые заполнены кашицеобразной массой. Такие тофусы часто образуются вокруг пораженного сустава.
Фото: тофусы вокруг суставов пальцев ног
В особенно запущенных ситуациях подагра может дать осложнения на почки, так как в них тоже могут откладываться ураты, что приводит к мочекаменной болезни, а иногда и к пиелонефриту (воспалению почек).
У мужчин подагра встречается гораздо чаще и в более раннем возрасте, по сравнению с женщинами. Мужская половина человечества подвержена этой патологии уже к 40 годам.
Что такое подагра у женщин на ногах?
Под воздействием провоцирующих факторов у женщин нарушаются естественные процессы выделения мочевой кислоты и поступления ее в организм, уровень мочевины в крови при этом значительно повышается. Это объясняется недостаточной выработкой эстрогенов, которая в женском организме начинается в период менопаузы. Поэтому подагрой чаще всего болеют женщины после 50 лет при остром дефиците полового гормона и патологиях эндокринной системы. Основными симптомами являются:
- Образование тофусов (накопление уратов в суставных тканях);
- Нефролитиаз (скопление мочевины в почках с последующим образованием конкрементов);
- Подагрическая (уратная) нефропатия.
Остались вопросы? Мы вам перезвоним
Мы с радостью проконсультируем вас и ответим на все интересующие вопросы.
Как вылечить подагру на ногах в Москве?
Чем лечить подагру на ногах знают врачи-ревматологи Юсуповской больницы. В борьбе с острыми воспалениями суставов врачи Юсуповской больницы применяют сразу несколько фармакологических групп:
- Нестероидные противовоспалительные средства (такие как Ибупрофен, Индометацин, Диклофенак);
- Урикозурические препараты (с целью снижения содержания мочевой кислоты) - Антуран, Бутадион, Кетазон;
- Кортикостероиды (Преднизолон, Дексаметазон, Триамцинолон).
Уколы при подагре на ногах используются для купирования болевого синдрома. Выбор препарата при этом зависит от состояния здоровья пациента и особенности болевого порога человека, который определяет непосредственно врач.
В качестве вспомогательной терапии подагры ревматологи рекомендуют ежедневно на ночь наносить йодную сетку на пораженные участки. Таким образом можно уменьшить очаги воспаления, ускорить процесс ремиссии и ослабить приступ боли. Для усиления эффекта необходимо в йод добавить аспирин, и готовым составом регулярно смазывать пораженные суставы.
В Юсуповской больнице активно применяются физиотерапевтические методы лечения, которые эффективно снимают воспаление, сокращают число атак, предотвращают застойные явления уратов натрия и восстанавливают пораженные ткани суставов. С этой целью в больнице имеется:
- Электрофорез;
- Фонофорез;
- Ультрафонофорез;
- Тепловые процедуры;
- Магнитотерапия;
- Амплипульс;
- Ультразвук.
Врачи Юсуповской больницы подберут индивидуальную программу правильного питания, которая будет исключать продукты, провоцирующие возникновение подагрического приступа. Ревматологи больницы распишут лечебную физкультуру с целью возобновления прежней подвижности суставов, нормализации кровообращения и обменных процессов в организме, а также укрепления мышечного аппарата пациента.
Если у Вас подагра большого пальца ноги и Вы нуждаетесь в лечении, обращайтесь за помощью к специалистам Юсуповской больницы. Врачи проведут полное обследование, которое будет включать в себя:
Общий анализ крови
Общий анализ мочи
Анализ крови на мочевую кислоту
Исследование внутрисуставной жидкости (синовиальной)
Анализ крови на печеночные и почечные пробы, триглицериды, холестерин
Рентген-диагностика воспаленных суставов
Ревматологи Юсуповской больницы на протяжении многих лет успешно занимаются лечением подагры на ногах у жителей России. В больнице имеется современное оборудование и вежливый медперсонал, который обеспечит комфортное пребывание в стационаре. Записаться на прием и консультацию можно по телефону.
Список литературы
- МКБ-10 (Международная классификация болезней)
- Юсуповская больница
- Ревматология. Малая медицинская энциклопедия. — М.: Медицинская энциклопедия. 1991—96 гг..
- Багирова, Г. Г. Избранные лекции по ревматологии / Г.Г. Багирова. - М.: Медицина, 2011. - 256 c.
- Сигидин, Я. А. Биологическая терапия в ревматологии / Я.А. Сигидин, Г.В. Лукина. - М.: Практическая медицина, 2015. - 304 c.
Профильные специалисты
Заместитель главного врача по медицинской части. Врач-терапевт, кардиолог, онколог.
Эта акция - для наших друзей в "Одноклассниках", "ВКонтакте", "Яндекс.Дзене", YouTube и Telegram! Если вы являетесь другом или подписчиком стр.
Житель района
В этом месяце жителям районов Савеловский, Беговой, Аэропорт, Хорошевский предоставляется скидка 5% на ВСЕ медицински.
Гуляев Сергей Викторович
Врач-ревматолог, терапевт, нефролог
Кандидат медицинских наук
Мы в Telegram и "Одноклассниках"
Подагра: диагностика и лечение
Подагра (в переводе с греческого языка - «нога в капкане») - заболевание, возникающее в результате нарушения обмена мочевой кислоты и характеризующееся периодическими атаками острого артрита, чаще всего в области большого пальца стопы. При этой болезни кристаллы мочевой кислоты (моноурат натрия) начинают накапливаться в различных тканях, прежде всего в области суставов, почках и других органах.
Подагра - болезнь достаточно древняя и известна еще со времен Гиппократа, который одним из первых дал подробную характеристику основных симптомов болезни и связал ее развитие с перееданием. В средние века подагра считалась заболеванием королевских особ и аристократии, склонных к обильным застольям.
Сегодня «болезнь аристократии и королей» широко распространена в разных социальных слоях общества, однако всех больных объединяет одно - склонность к чрезмерному употреблению мясных продуктов. По-видимому, это частично объясняет тот факт, что мужчины болеют подагрой в 10 раз чаще, чем женщины. Однако неправильный образ жизни, «перекосы» в питании (в частности увлечение новомодными «белковыми» диетами) делают и современных женщин уязвимыми перед этим заболеванием.



Что такое подагра?
В настоящее время подагра считается системным заболеванием, поскольку помимо суставов поражает практически весь организм.
Нарушение так называемого пуринового обмена приводит к повышению концентрации мочевой кислоты в крови и моче, образованию уратных кристаллов и их отложению в мягких тканях, в том числе в области суставов верхних и нижних конечностей. Со временем отложения кристаллов мочевой кислоты (ураты) формируют узелковые подкожные образования - тофусы, которые хорошо видны невооруженным глазом и позволяют врачу поставить диагноз даже при обычном внешнем осмотре. Однако задолго до образования тофусов болезнь проявляет себя приступообразным, необычно тяжелым воспалением суставов - подагрическим артритом (чаще всего располагающимся в области большого пальца стопы, хотя возможно поражение других суставов, чаще ног).
При подагре поражаются внутренние органы, в частности почки, которые длительное время работают в условиях повышенной нагрузки, связанной с необходимостью выведения мочевой кислоты из крови. Со временем развивается мочекаменная болезнь, усугубляющая негативное действие мочевой кислоты на почечную ткань. Дополнительным повреждающим фактором является частый и как правило бесконтрольный прием обезболивающих средств по поводу болей в суставах. Постепенно функция почек нарушается - формируется почечная недостаточность, которая и определяет окончательный прогноз болезни
Виды подагры
Подагра может быть первичной и вторичной.
Первичная подагра передается по наследству и связана с недостаточной функцией ферментов, участвующих в регуляции уровня мочевой кислоты.
Вторичная подагра развивается на фоне уже имеющегося заболевания, при котором в силу тех или иных причин отмечается повышенное образование мочевой кислоты, например, при заболеваниях крови или хронических болезнях почек. В таких случаях лечение должно быть направлено на лечение болезни, приведшей к развитию вторичной подагры.
Нормальными считаются следующие показатели уровня мочевой кислоты в крови:
- у мужчин моложе 60 лет - 250-450 мкмоль /л; старше 60 лет - 250-480 мкмоль /л;
- у женщин до 60 лет - 240-340 мкмоль /л; в более старшем возрасте - 210-430 мкмоль /л;
- у детей до 12 лет - 120-330 мкмоль /л.
Превышение этих показателей указывает на нарушение обмена мочевой кислоты и повышенный риск развития симптомов, свойственных подагре. В такой ситуации необходимо пройти обследование для уточнения причины такого нарушения, а также своевременного выявления заболеваний, ведущих к повышению уровня мочевой кислоты. Раннее выявление таких фоновых заболеваний в ряде случаев позволяет своевременно начать лечение и избежать опасных для жизни осложнений. При длительном нарушении обмена мочевой кислоты с повышенным выведением ее с мочой неизбежно развивается мочекаменная болезнь и в конечном итоге почечная недостаточность.
Клиническая картина
Классический острый приступ подагры возникает внезапно, как правило, ночью на фоне хорошего общего здоровья. Развитию приступа обычно предшествуют события, предрасполагающие к резкому повышению уровня мочевой кислоты к крови - фуршеты, дни рождения, застолья с обильным употреблением мясных продуктов. Последние, как известно, нередко используются в качестве закуски после приема алкогольных напитков. Сочетание этих факторов крайне неблагоприятно, поскольку алкоголь ухудшает выведение мочевой кислоты с мочой, что быстро приводит к «скачку» мочевой кислоты в крови и созданию необходимых условий для развития подагрического артрита. Еще одним фактором, предрасполагающим к обострению или возникновению приступа суставной подагры, является обезвоживание организма, что нередко случается при обильном потоотделении после посещения бани или сауны. Спровоцировать начало обострения подагры могут также переохлаждение и травма, в том числе незначительная травма, например, ношение тесной обуви. Приступ подагры достаточно однотипен: возникает чрезвычайно интенсивная боль в 1 плюснефланговом суставе (сустав большого пальца), он резко опухает, становится горячим и красным, а затем сине-багрового цвета. Функция сустава нарушается, больной не может даже пошевелить пальцем.
Приступы подагры обычно продолжаются в течение 3-10 дней, затем боли постепенно исчезают, кожа приобретает нормальный цвет, сустав вновь начинает действовать. Следующий приступ подагры может появиться через несколько месяцев или даже лет. Однако со временем «светлые» периоды становятся все короче и короче.
Если подагрический артрит переходит в хроническую форму, то это приводит к деформации суставов и нарушению их функции.
Подагра у женщин
Одно из широко распространенных метаболических заболеваний во всем мире является подагра. Данная патология встречается как среди женщин, так и среди мужчин, но в связи с превалирующим большинством установления диагноза у сильного пола, у женщин врачи общей практики долгое время занимаются лечением только симптомов, не проводя патогенетическую терапию. Подагра характеризуется нарушением обмена мочевой кислоты.
В следствии этого по всему организму в той или иной степени откладываются кристаллы уратов. Оны могут откладываться в форме мочевой кислоты или натрия моноурата. Причинами возникновения данной патологии могут выступать много факторов, которые способствуют усиленной выработке, уменьшенное выведение или излишнее накопление мочевой кислоты. Естественным является факт повышения ее концентрации в крови пациента с подагрой.
В клинической картине ведущими симптомами являются суставной и симптомы, связанные с поражением почек. Проявление заболевания характеризуется постоянно рецидивирующей картиной воспалительного процесса суставов. Специфическим признаком является образование подагрических узелков, так называемых тофусов, но они появляются уже на поздних стадиях.
Вовлечение почек в процесс связано с повышенной концентрации мочевой кислоты в моче, что способствует развитию мочекаменной болезни, воспалительным заболеваниям и т.д.
Диагностика не вызывает особых трудностей. Обязательным являются проведение общих клинических анализов, биохимического исследования крови и рентгенологические методы исследования. Опытный специалист практически сразу заподозрит подагру, в то время как «лекарь» долгое время будет купировать симптомы, подвергая пациента все новым атакам.
Выбор больницы и собственно врача - одно из самых важных решений, поэтому доверится нужно проверенному медицинскому учреждению с профессионалами высокого уровня. Лучшей больницей города Москва является Юсуповская.
В данном медицинском учреждении проводятся профилактические, диагностические, терапевтические и хирургические, реабилитационные мероприятия. Услуги всегда оказываются на наивысшем уровне согласно стандартам Европы и всего мира.
Что такое подагра у женщин, какие ее симптомы, увидеть наглядные фото можно во время индивидуальной консультации со специалистом Юсуповской больницы. Индивидуальная консультация поможет уяснить причины подагры у женщин, выяснить особенности клинической картины, спланировать диагностику и лечение у конкретного пациента. Чем раньше обратитесь, тем раньше поможем. Звоните или пишите прямо сейчас.

Причины подагры у женщин
Поскольку при подагре нарушен белковый обмен, поэтому причины подагры у женщин связанные с особенностями питания. Люди, которые употребляют продукты с высоким уровнем пуриновых оснований, имеют высокий риск развития данного заболевания. К данным пищевым продуктам относят:
Кофе и кофейные напитки
Шоколад и какао
Горох и чечевица
Красное вино и, особенно, пиво (из-за содержания предшественников мочевой кислоты) и т.д
Высокий риск развития подагры при наличии аутоиммунных заболеваний, при медикаментозном лечении злокачественных новообразований и в случаи развития почечной недостаточности.
Фактор наследственной предрасположенности не отрицается, но до конца не выяснен. Одним из факторов, повышающих риск развития подагры, является повышенное артериальное давление и высокий уровень липопротеидов очень низкой и низкой плотности.

Симптомы подагры у женщин
Признаки подагры у женщин долгое время напрочь отсутствуют, хотя в биохимическом анализе крови уже будут отклонения. Даже при отсутствии признаков подагры у женщин, может возникнуть необходимость назначения лечения. Поэтому, если во время профилактического осмотра есть какие-нибудь отклонения, лучше проконсультироваться со специалистом.
Первые признаки подагры у женщин, которые видны клинически, - это боль, припухлость, гиперемия и гипертермия суставов. Наиболее часто подагра манифестирует с поражения сустава большого пальца стопы. Несколько реже поражаются суставы большого пальца кисти, голеностоп, колена и локтя. Симптомы подагры у женщин характеризуется резко выраженным болевым синдромом, резким ограничением подвижности, отеком и покраснением суставов. Боль интенсивная, постоянная, максимальный пик - в первые сутки. Через два-три дня, как правило, в случае первой атаки боль самостоятельно уходит.
После достаточно длительного периода «затишья», на фоне полного здоровья, возникает вторая атака. Со временем атаки будут длиться все дольше, а периоды ремиссии - все короче. Прогрессирование подагры приводит к исчезновению периода между атаками и заболевание приводит к хроническому подагрическому артриту.
На стадии хронизации процесса в клинической картине уже имеют место специфические признаки подагры у женщин подагрические узелки - тофусы. Их излюбленная локализация - ушные раковины, пальцы стоп и кистей и т.д. Также присоединяются симптомы вовлечения мочевыделительной системы. Характерны нефролитиаз, пиелонефриты, циститы и т.д.
При правильно подобранном лечении удается добиться длительных ремиссий, уменьшить количество атак, сделать их менее интенсивными. Качественное лечение позволяет предотвратить почечные симптомы подагры у женщин. От наличия признаков подагры у женщин зависит и выбор метода лечения в дальнейшем.

Диагностика подагры у женщин
Хорошего специалиста высокого уровня не затруднит установить диагноз. После сбора жалоб и анамнеза заподозрить подагрический артрит не представляет труда.
Обязательными являются общий анализ крови, общий анализ мочи, определения уровня мочевой кислоты и других биохимических показателей.
Во время атаки мочевая кислота может быть в норме, а высокий уровень уратов будет в суставной жидкости. Обязательным является определение ее уровня в период ремиссии.
Для постановки диагноза и для проведения дифференциальной диагностики необходимо провести рентгенологическое исследование. Характерным для рентгенологического исследования является:
- наличие крупных кист (тофусов) в субхондральной кости и более глубоко;
- крупные кисты возле сустава и эрозии маленьких размеров на поверхностях сустава, постоянное уплотнение мягких тканей возле сустава, возможно наличие кальцификатов;
- эрозии больших размеров, остеолиз эпифиза, уплотнение тканей, депозиты кальция.
Дифференциальную диагностику следует проводить с псориатическим и ревматоидным артритом, хондрокальцинозом и др.
Лечение подагры у женщин
В период ремиссии больные подагрой должны находится под надсмотром специалиста и принимать препараты, направленные на выведение мочевой кислоты из организма.
В период подагрической атаки необходимо проводить противовоспалительную терапию. Для снятия выраженного болевого синдрома, при отсутствии эффекта от нестероидных противовоспалительных препаратов и колхицина, внутрисуставно вводят глюкокортикостероиды.
Назначать лечение должен специалист. Самолечение может нанести организму непоправимый ущерб.
Специалисты Юсуповской больницы круглосуточно оказывают помощь пациентам на самом высоком уровне. Врачи расскажут об особенностях питания, о профилактике заболевания, ответят на все вопросы. Все что осталось недопонятым об причинах, признаках, диагностики и лечению подагры у женщин, можно обсудить во время приема. Фото пациентов, которым удалось добиться длительной ремиссии, радуют специалистов Юсуповской больницы и помогаю двигаться дальше. Запишитесь на консультацию по телефону или онлайн прямо сейчас.
Читайте также:
