Ретенированный зуб: причины, симптомы и лечение
Добавил пользователь Евгений Кузнецов Обновлено: 11.12.2025
Информацию из данного раздела нельзя использовать для самодиагностики и самолечения. В случае боли или иного обострения заболевания диагностические исследования должен назначать только лечащий врач. Для постановки диагноза и правильного назначения лечения следует обращаться к Вашему лечащему врачу.
Для корректной оценки результатов ваших анализов в динамике предпочтительно делать исследования в одной и той же лаборатории, так как в разных лабораториях для выполнения одноименных анализов могут применяться разные методы исследования и единицы измерения.
Определение
Ретинированным называется зуб, находящийся в толще костной ткани челюсти, полностью сформированный, но не прорезавший десну в предполагаемые сроки.
Причины появления ретинированных зубов
Причины ретенции зубов окончательно не определены, но специалисты предполагают, что это может быть связано со следующими факторами:
- обменные нарушения и перенесенные ранее инфекции, среди которых выделяют эндокринные нарушения (патологию щитовидной и паращитовидной желез), рахит, авитаминозы, специфические инфекции (например, сифилис);
- нехватка места для зубов в челюсти (узкая челюсть);
задержка молочного зуба в лунке, которая создает препятствие для своевременного прорезывания коренного зуба;
- затрудненное прорезывание зуба;
- неправильное положение зуба (смещение, возникшее в результате прорезывания) - дистопированный зуб;
- неполное прорезывание зуба через костную ткань челюсти или слизистую оболочку (полуретинированный зуб);
- задержка прорезывания полностью сформированного зуба через компактную пластинку челюсти (ретинированный зуб).
- ретинированный зуб - находится в толще костной ткани челюсти и не выходит в обычные сроки;
- полуретинированный зуб - не полностью выходит через костную ткань или слизистую оболочку;
- дистопированный зуб - расположен вне зубной дуги, может быть как прорезавшимся, так и ретинированным и полуретинированным.
- вертикальным, когда ось зуба имеет нормальное положение, совпадающее с вертикальной линией;
- горизонтальным, когда ось зуба образует с вертикалью прямой угол; при этом положение зуба может быть поперечным, сагиттальным или косым;
- угловым (ангулярным), когда ось зуба образует с вертикалью угол менее 90°. В зависимости от наклона различают медиально-угловое (с наклоном вперед), дистально-угловое (с наклоном назад), язычно-угловое (с наклоном вовнутрь, в сторону языка) и щечно-угловое (с наклоном кнаружи, в сторону щеки) положение.
Ретинированные и дистопированные зубы могут длительное время находиться в челюсти и не причинять никакого беспокойства. Болезненные ощущения чаще всего вызывают третьи моляры нижней челюсти - так называемые зубы мудрости.
Первым и наиболее частым клиническим проявлением затрудненного прорезывания зубов является перикоронит — воспаление мягких тканей, окружающих коронку прорезывающегося зуба.
При нарушении целостности слизистой оболочки области, покрывающей зуб, в перикоронарное пространство (пространство между коронкой зуба и внутренней поверхностью «капюшона») попадают пищевые остатки, и создаются благоприятные условия для развития различных бактерий.
Дальнейшее течение процесса зависит от следующих условий:
- наличия места в зубной дуге для прорезывания зуба;
- правильности расположения зачатка зуба в челюсти;
наличия хронической травмы слизистой оболочки зубами-антагонистами, которая приводит к изъязвлению, воспалению и рубцеванию.
- повышение температуры тела до субфебрильных значений (37-37,5ºС), снижение аппетита, нарушение сна;
- интенсивная боль в ретромолярной (за зубом) области, отдающая в ухо, ограничивающая открывания рта за счет рефлекторного спазма жевательных мышц;
- боль во время глотания;
- отек и гиперемия, которые могут распространяться на слизистую оболочку заднего отдела полости рта, десну с язычной стороны и переднюю небную дужку;
- из-под «капюшона» зуба выделяется небольшое количество серозной жидкости.
Острый перикоронит может перейти в хроническую форму, когда воспалительный процесс полностью не проходит, а лишь стихает на непродолжительное время и возникает снова.
Определяется увеличенный и слегка болезненный поднижнечелюстной лимфатический узел или узлы.
Диагностика ретинированного зуба
При осмотре слизистая оболочка около ретенированного зуба гиперемирована, отечна в области приподнятого «капюшона». Воспалительные явления распространяются на слизистую оболочку небно-язычной дужки, щеки, мягкого неба. При надавливании инструментом из-под «капюшона» выделяется серозное содержимое, пациент испытывает резкую боль.
Для постановки предварительного диагноза после осмотра врача и изучения симптомов назначаются следующие методы обследования:
- дентальная рентгенография;
- боковая рентгенография нижней челюсти со стороны локализации воспалительного процесса;
- ортопантомография - рентгеновское исследование, которое позволяет получить на одном снимке развернутое изображение верхней и нижней челюстей (панорамный рентгеновский снимок);
- спиральная компьютерная томография черепа.
Обнаружение анаэробной флоры при гнойно-воспалительных процессах. Анаэробные микроорганизмы составляют абсолютное большинство нормальной микрофлоры челов�.
Ретинированные зубы
Диагностическое исследование для оценки состояния костей лицевого отдела черепа.
Ретинированный зуб
Ретинированный зуб - полностью сформированный в челюсти, но не прорезавшийся (или частично прорезавшийся) наружу зуб. В одних случаях ретинированные и полуретинированные зубы никак себя не проявляют; в других вызывают боли, воспалительные процессы (перикоронарит, периодонтит, периостит, абсцесс, флегмону), сочетаются с дистопией. Наличие ретинированных зубов в полости рта выявляется с помощью прицельной рентгенографии и ортопантомографии. В зависимости от клинической ситуации тактика в отношении ретинированных зубов может быть различной (иссечение «капюшона» при перикоронарите, удаление ретинированного зуба, ортодонтическое перемещение и др.).
МКБ-10


Общие сведения
Ретинированный зуб - затруднение полноценного прорезывания зуба, находящегося в челюстной кости или прикрытого десной. Ретенция - часто встречающаяся аномалия прорезывания зубов. По статистике, наиболее часто ретинированными оказываются нижние и верхние третьи моляры (зубы мудрости), клыки верхней челюсти и вторые премоляры нижней челюсти. При этом непрорезавшиеся «восьмерки» встречаются у 35-45% наблюдений. Лечение ретинированных зубов представляет собой сложную и актуальную проблему современной хирургической стоматологии и ортодонтии.

Причины ретенции зубов
Наличие ретинированных зубов может быть обусловлено эмбриологическими особенностями. Зубы могут оставаться ретинированными вследствие чрезмерно толстых стенок зубного мешочка вокруг коронки прорезающегося зуба, плотной ткани десны и слабой ростковой силы. Эти обстоятельства препятствуют полноценному прорезыванию зуба, в результате чего он остается ретинированным или полуретинированным.
К эмбриологическим предпосылкам ретенции также следует отнести неправильное положение оси зубного зачатка, приводящее к его столкновению с соседним, ранее уже прорезавшимся зубом. В этом случае правильнее говорить не о ретинированном, а об импактном зубе - т. е. зубе, прорезывание которого нарушено в связи с препятствием со стороны соседнего зуба, и следствием которого явилась ретенция.
Существует теория, что в процессе эволюционного развития, в связи с сокращением в рационе человека грубой животной и растительной пищи, а, следовательно, и меньшей жевательной нагрузки, отмечается редукция челюстей за счет уменьшения дистального отдела альвеолярной кости. Это обусловливает дефицит пространства для зубов, которые прорезываются позже остальных (в частности, для зубов мудрости), и может служить причиной их ретенции.
Факторы риска
Факторы риска, увеличивающие вероятность появления ретинированных зубов, могут включать в себя:
- генетическую предрасположенность
- раннее выпадение или удаление молочных зубов
- наличие сверхкомплектных зубов
- аномалии развития челюстей
- плохое питание,
- общую инфекционную истощенность и соматическую ослабленность организма и т. д.
Классификация
В зависимости от степени выделяют полную и частичную ретенцию и соответственно ретинированный и полуретинированный зуб. Ретинированный зуб полностью покрыт десной или костной тканью, не виден в полости рта и не доступен для пальпации. Коронковая часть полуретинированного зуба частично прорезана, однако ее большая часть остается прикрытой тканями десны. С учетом глубины залегания различают ретинированные зубы с тканевым погружением (зуб расположен в тканях десны) и костным погружением (зуб расположен в челюстной кости).
Положение корня и коронки ретинированного зуба в десне или кости может быть:
- вертикальным - ось зуба имеет нормальное положение, совпадающее с вертикальной линией;
- горизонтальным - ось зуба образует с вертикалью прямой угол; при этом положение зуба может быть поперечным, сагиттальным или косым;
- угловым (ангулярным) - ось зуба образует с вертикалью угол, меньше 90°. В зависимости от наклона различают медиально-угловое (с наклоном вперед), дистально-угловое (с наклоном назад), язычно-угловое (с наклоном вовнутрь, в сторону языка) и щечно-угловое (с наклоном кнаружи, в сторону щеки) положение.
Крайне редко встречаются обратные ретинированные зубы (обычно это нижние восьмерки), у которых корни повернуты к альвеолярному краю, а коронка - в сторону тела челюсти. Ретенция зубов может быть односторонней либо двусторонней, симметричной. Ретинированным может оказаться как молочный, так и постоянный зуб.
Симптомы ретенции зубов
Полуретинированный зуб заявляет о себе частичным прорезыванием коронки в каком-либо отделе зубного ряда. В результате постоянного травмирования прилегающей к прорезывающейся части коронки слизистой оболочки, она становится отечной и гиперемированной. При воспалении окружающих тканей десны развивается клиника гингивита или перикоронарита.
Ретинированные зубы часто характеризуются бессимптомным течением и являются случайными рентгенологическими находками. Объективным признаком ретенции зуба служит его отсутствие в альвеолярной дуге. Ретинированный зуб с тканевым погружением может определяться в виде выпячивания десны; в этом случае при пальпации определяются его контуры или отдельные части.
При давлении ретинированного зуба на соседние зубы может возникать их смещение и рассасывание корней; субъективные жалобы включают дискомфорт и болезненность при жевании пищи, открывании рта. В месте соприкосновения ретинированного зуба с прорезавшимся зубом нередко развивается пришеечный кариес, пульпит или хронический верхушечный периодонтит. При раздражении нервных волокон и окончаний возникают боли в области непрорезавшегося зуба, парестезии, обусловленные невралгией или невритом тройничного нерва.
В области ретинированных зубов нередко образуются фолликулярные кисты, которые могут подвергаться нагноению, осложняться гнойным периоститом, околокистозным остеомиелитом челюсти, гнойным гайморитом, абсцессом, флегмоной. Воспалительные осложнения сопровождаются повышением температуры тела, общим недомоганием.
Диагностика
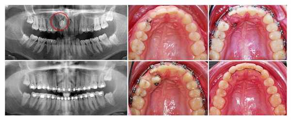
Диагностика полуретинированного зуба незатруднительна: при стоматологическом осмотре над десной выявляется верхушка зуба, контуры зуба определяются при пальпации, коронка обнаруживается при зондировании. Ретинированный зуб может быть достоверно обнаружен только с помощью прицельной рентгенографии или ортопантомографии; в некоторых случаях требуется проведение компьютерной томографии. Полуретинированный зуб с отложениями зубного налета или зубного камня может быть ошибочно принят за корень зуба, пораженный кариесом.

КТ челюстно-лицевой области (3D-реконструкция). Непрорезавшийся ретинированный клык верхней челюсти справа, расположенный под углом в толще альвеолярного отростка.
Лечение ретенции зубов
Решение о тактике в отношении ретинированного зуба должно приниматься взвешенно, исходя из индивидуальной клинической ситуации и рентгенологических данных. Нередко в лечении ретинированных зубов участвуют специалисты различных специализаций - стоматологи-хирурги и ортодонты.
При задержке смены временных зубов и отсутствии физиологической резорбции корней показано их удаление. Если причиной ретенции служат сверхкомплектные зубы, они также подлежат экстракции. В случае развития перикоронарита проводится его хирургическое лечение - иссечение слизистого лоскута («капюшона») в области ретинированного зуба под местной инфильтрационной анестезией.
Хирургическое лечение
- при неправильном расположении (дистопии)
- отсутствии для него места в зубном ряду
- деструкции шейки зуба
- выраженной клинической симптоматике
- развитии осложнений.
Операция удаления ретинированного зуба отличается повышенной травматичностью, поскольку связана с необходимостью отслаивания слизисто-надкостничного лоскута, освобождения зуба от кости при помощи бора и последующего вывихивания щипцами и элеваторами, наложения кетгутовых швов на слизистую оболочку. При обнажении корней соседних зубов требуется обязательная резекция верхушки корня с ретроградным пломбированием. В послеоперационном периоде назначается профилактический прием антибиотиков, антисептические полоскания полости рта. Заживление раны после такого удаления может осложняться альвеолитом
Ортодонтическое лечение
При отсутствии прямых показаний для удаления ретинированного зуба и наличии для него свободного места в зубном ряду первым этапом проводится хирургическое лечение - иссечение десны или части кости, а затем ортодонтическое лечение - перемещение зуба в правильное положение с помощью брекетов или кнопок.
Прогноз и профилактика
Ретинированный зуб является потенциальным источником серьезных осложнений: образования пародонтальной кисты, развития кариеса, пульпита, периодонтита, язвенного стоматита, перикоронарита, периостита, остеомиелита, абсцесса, флегмоны, гнойного лимфаденита, одонтогенного синусита и др. В связи с этим ретинированные зубы требуют обязательного лечения наиболее подходящим способом. Ретинированные зубы могут использоваться в качестве аутотрансплантатов при восстановлении зубного ряда.
На сегодняшний день методы предотвращения ретенции зубов не известны. Общие принципы профилактики включают контроль за правильным развитием челюстей ребенка, сроками прорезывания зубов, своевременное проведение ортодонтического лечения.
Диагностикой и лечением ретинированного зуба занимается врач- стоматолог.
Лечение ретинированных зубов
Лечение проводится амбулаторно и комплексно. Если в зубной дуге достаточно места для прорезывания зуба и зуб расположен правильно, предпочтительным методом лечения является хирургический. Проводится операция перикоронарэктомия — иссечение слизистой оболочки вокруг коронки ретинированного зуба, позволяющее обнажить не только жевательную, но и боковые поверхности коронки. Оперативное лечение проводят под местной анестезией.
При невозможности обнажить коронку проводят другую операцию (перикоронаротомию) — рассечение слизистой оболочки над коронкой зуба, позволяющее обнажить поверхность зуба, расположенную под слизистым «капюшоном».
После хирургического лечения назначают медикаментозную терапию, позволяющую снять воспаление, уменьшить боль и отек:
- антибактериальную терапию;
- нестероидные противовоспалительные препараты;
- антигистаминные препараты.
Показания к удалению ретинированного зуба:
- неправильное расположение зуба и постоянное травмирование слизистой оболочки полости рта;
- кариес коронки зуба с отсутствием возможности ее восстановления;
- периодонтит зубного ряда;
- механическое повреждение зуба (например, перелом корня);
- отсутствие места для ретинированного зуба в челюсти;
- наличие кистозных образований около зачатка зуба.
Среди основных осложнений, которые может вызвать наличие ретинированного зуба, выделяют следующие:
- остеомиелит (воспаление костных структур);
- флегмона и абсцесс мягких тканей лица;
- медиастенит (воспаление средостения);
- тромбоз сосудов лица;
- одонтогенный синусит (воспаление слизистой оболочки верхнечелюстного синуса, вызванное распространением патологического процесса из первичного очага инфекции, локализованного в верхней челюсти и имеющего связь с зубом или периодонтом).
Профилактические меры пока не разработаны, поэтому врачи рекомендуют регулярно (1-2 раза в год) посещать детского стоматолога с целью контроля правильности развития зубного ряда, сроков прорезывания зубов и своевременного ортодонтического лечения.
Что такое ретинированные зубы, отчего они появляются и как их лечить

В практике стоматологов нередко встречаются случаи, когда у пациента полностью формируется, но не прорезывается зуб. Его называют «ретинированным», а проблему лечат специальными методами. Сформированные, но «застрявшие» внутри челюсти зубы могут вызывать воспалительные процессы: перикоронарит, периодонтит, периостит, абсцесс, флегмону и т. д. Лечение проводится различными методами, от удаления до ношения специализированных брекет-систем. Снизить риск появления ретенированного зуба помогает профилактика, например, ношение трейнеров, которые подготавливают челюсть к появлению новых зубов.
Что собой представляет ретенция. Почему развивается патология. Симптомы и диагностика
Ретенция считается одной из самых часто встречающихся аномалий прорезывания зубов. Чаще всего проблемы возникают с нижними и верхними «зубами мудрости», которые вырастают неправильно. С ними обычно сталкиваются взрослые. У детей обычный ретинированный зуб - это клык верхней челюсти. Неприятные сюрпризы нередко преподносят и вторые премоляры нижней челюсти.
Симптомы появления непрорезавшихся зубов зависят от владельца. Проблема может вообще никак себя не проявлять, а может и стать причиной постоянных визитов к стоматологу. Многообразие симптомов и их отсутствие связано с тем, что само по себе неправильное расположение зуба или его неполное прорезывание - явление для человека практически естественное. Примерно 35-45% «восьмерок мудрости» у взрослых людей - это ретинированные зубы. Сложности начинают возникать, когда такой моляр или премоляр вызывает раздражение мягких тканей вокруг. По косвенным признакам - боли или воспалению - врач и выявляет «неправильный» зуб.
Полуретинированные зубы видно сразу при первом же осмотре: они частично вырастают, но не до конца. От таких отчасти прорезавшихся моляров и премоляров проблем намного больше: располагаясь частично в мягких тканях они почти всегда вызывают воспаление. Диагностировать специально их не требуется: почти всегда врач находит такие зубы при обычном осмотре.
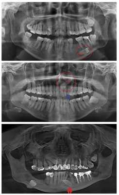
Найти полностью ретинированные зубы - это настоящий квест. Их может быть вообще не видно, потому что они расположились под существующими элементами зубного ряда. В таком случае вариант диагностики только один: необходимо делать полный снимок челюсти, на котором будет отлично видно всю картину. Ниже на картинке - подборка примеров. Ретинированные зубы отмечены красным или стрелками.

Примеры ретинированных зубов на рентгеновском снимке
Виды зубной ретенции
Классификаций зубной ретенции немало. Один из самых популярных способов деления - по степени прорезывания. Так, выделяют полуретинированные зубы, которые частично видны в десне, и полностью скрытые - находящиеся под десной или костной тканью. Последние для пальпации недоступны. Если ретинированный зуб находится в тканях десны, в диагнозе будет написано «с тканевым погружением», если же он располагается в кости - «с костным погружением».
Еще один метод классификации учитывает положение моляра, клыка или премоляра:
- вертикальное,
- горизонтальное,
- угловое.
Горизонтальные зубы также могут быть поперечными, сагиттальными или косыми, а угловые - медиально-, дистально-, язычно- или щечно-угловыми. Редко, но все же встречаются обратные ретинированные зубы - это элементы, которые растут «вверх ногами», т. е. коронка их направлена в сторону челюсти.
Причины появления ретинированных зубов. Можно ли предотвратить ретенцию
Наиболее популярная причина появления ретинированных зубов - это генетическая предрасположенность. Причем передается по наследству не желание клыков и моляров расти «кто в лес, кто по дрова», а строение челюсти. Она может быть узкой, отчего всем необходимым элементам зубного ряда просто не хватает места. Но есть и другие причины:
- неправильный прикус, который сформировался из-за вредных миофункциональных привычек или механических травм;
- ранняя потеря молочных зубов, из-за которой у постоянных нет ориентиров для роста;
- «лишние» зубы - атавизм, носящий название полиодонтия;
- изначально больные зубные зачатки.
В некоторых случаях проблемы с ретенцией можно предупредить. Некоторые ортодонты и детские стоматологи рекомендуют использовать трейнеры, чтобы развить зубную дугу и дать растущим клыкам и молярам ориентир для прорезывания. Если же проблемы наследственного характера, поможет только своевременное лечение.
Чем опасны ретинированные зубы
Несмотря на то, что иногда непрорезавшиеся зубы никак не мешают человеку, нужно понимать, что каждый ретинированный зуб - это потенциальная причина тяжелых и неприятных заболеваний. Они приводят к следующим проблемам:
- воспалительные процессы;
- незаживающие язвы на деснах, щеках;
- постоянное появление кариеса, пульпита;
- появление десневых карманов, из-за которых может развиться пародонтит;
- инфекционные процессы, нередко приводящие к остеомиелиту (гнойное поражение челюстей).
Отсутствие симптомов почти всегда следствие счастливого случая, а не нормальное развитие событий. Поэтому с таким диагнозом очень важно постоянно наблюдаться у врача.
Принципы лечения: можно ли избежать операции
Многие пациенты уверены, что ретинированный дистопированный зуб - это обязательно повод для хирургического вмешательства. Но стоматологи стараются не резать без серьезной на то причины. Поэтому, если ваши лишние зубы не воспалены и не мешают вам жить, вполне можно избежать операции. Еще врач может назначить установку жестких металлических брекетов, которые «вытянут» частично прорезавшийся зуб из тканей десны и впишут в зубной ряд.
Обычно лечение проходит следующим образом:
- Проходит диагностика, которая включает визуальный осмотр и создание панорамного снимка челюсти.
- Врач изучает результаты и принимает решение о том, нужно ли удалять зуб. Если да, то назначается операция.
- Если стоматолог видит другие способы решения проблемы, он предпочитает их. В первую очередь рассматривается установка брекет-системы. Для этого нужно, чтобы в зубном ряду было место, где мог бы разместиться новый элемент.
- Если брекеты не требуются или пока их нельзя поставить, врач пытается помочь зубу прорезаться. Для этого используют медикаменты и хирургическое вмешательство. Помощь в прорезывании часто используется, когда «зуб мудрости» частично остался под десной, но располагается правильно.
В арсенале современных врачей много способов лечения, но все полностью зависит от конкретного случая.

Этапы лечения ретинированного зуба
Когда требуется удалять ретинированный зуб. Зачем удалять ретинированные зубы
Даже опытный врач-хирург скажет, что удаление ретинированного дистопированного зуба - это серьезная и сложная операция, которую не стоит проводить без нужды. Поэтому она показана в следующих случаях:
- появилось воспаление мягких тканей (перикоронит) или челюсти (остеомиелит);
- зуб расположен в фолликулярной кисте или растет горизонтально;
- диагностирована киста или доброкачественное образование;
- обнаружен гной или бактериальное заражение.
Техника удаления
- Выполнение местной анестезии (при сложном положении зуба можно использовать общий наркоз).
- Надрез слизистой оболочки.
- Сверление костной ткани для получения отверстия.
- Изъятие зуба.
- Удаление обломков зуба или кости.
- Обработка раны.
- Наложение швов.
- Снятие швов через неделю после операции.
Нередко врачу приходится сначала дробить, а потом удалять зуб, чтобы не повредить соседние моляры и слизистую.
Противопоказания
Отложить операцию придется по следующим причинам:
- тяжелое состояние пациента из-за болезни любого рода;
- гипертонический криз;
- нервные проблемы или психические нарушения;
- вирусные инфекции;
- болезни крови;
- серьезные проблемы с сердцем.
Женщинам данную операцию не делают за 2-3 дня до начала менструации и после аборта (должно пройти не меньше 2 недель).
Какие осложнения бывают после удаления ретинированных зубов. Как их избежать
Любая операция может дать осложнения, и хирургическое лечение ретинированного зуба - не исключение. Чаще всего последствия проявляются в качестве сильных кровотечений, боли, опухлостей десны или щеки. Если были задеты нервы, может проявиться повышенная чувствительность или нечувствительность рта, лица. Из-за неверных действий врачей больной сталкивается с вывихом челюсти или даже ее переломом.
Избежать проблем после операции пациент может, если он обращается в проверенную клинику (исключение человеческого фактора) и тщательно ухаживает за появившейся во рту ранкой. Сразу после операции пациент должен:
- отказаться от пищи в течение 3-4 часов;
- не курить хотя бы 3 часа;
- отказаться от алкоголя до снятия швов.
Важно обязательно прийти на повторный прием к хирургу или терапевту. Необходимо следить за кровотечением: если оно не останавливается слишком долго или обезболивающие не работают, в стоматологию нужно обратиться сразу же. Своевременная помощь поможет избежать неприятных последствий.
Послеоперационный уход после удаления ретинированного зуба
Врач обязан проконсультировать пациента, как правильно ухаживать за ранкой на десне. Так как удаление ретинированного зуба - это полноценная операция, соблюдать правила ухода обязательно. Пациенту необходимо:
- снизить до минимума физическую активность в течение 2-3 дней после операции;
- отказаться от горячих и холодных блюд и жидкостей;
- сменить зубную щетку на мягкую;
- принимать только теплый душ или ванну, не посещать бани и сауны;
- пить все прописанные врачом препараты (обычно назначается антибактериальная терапия).
Важно не полоскать рот, чтобы не нарушить заживление. Можно делать аккуратные ванночки (в рот набирается жидкость или травяной отвар, держится без полоскания и сплевывается), но все процедуры согласуйте с врачом.
Консервативные способы лечения ретенции
Если зуб расположен в десне правильно и помехи для прорезывания минимальны, врачи стараются не удалять его, а вернуть на предназначенное природой место. Для этого используются разные методы:
- лазерная коррекция;
- токовые импульсы;
- массаж десен;
- электрофорез;
- некоторые лекарственные средства.
Все эти способы лечения направлены на то, чтобы заставить коронку зуба избавиться от десневого капюшона самостоятельно. Частично они имитируют естественный процесс прорезывания клыков и моляров. Но доступность такого лечения зависит от ситуации.
Как стимулировать прорезывание зуба
Стимуляция прорезывания ретинированного зуба - это тоже один из способов лечения проблемы. Врач прописывает специализированные процедуры, если видит, что моляр или клык располагается правильно, но корни его еще не сформировались. Тогда ортодонт рекомендует:
- проведение вакуумного массажа специальным оборудованием;
- легкий пальцевый массаж в месте прорезывания;
- электростимуляцию;
- воздействие ультразвуком, лазером, вибровакуумными аппаратами и т. д.
Подобные методы направлены на восстановление кровообращения, ускорение обменных процессов в десне.
Выводы. Советы специалиста
Ретинированный зуб - это моляр, премоляр или резец, который оказался скрыт в костной или десневой ткани. Если часть зуба видна, его называют полуретинированным. С такой проблемой сталкиваются многие дети и около 40% взрослых, когда у них режутся «восьмерки». Само по себе появление неправильно расположенных зубов может пройти незамеченным - симптомами обладают смежные заболевания. Так, кариес у скрытого в десне зуба почти всегда вызывает воспаление близлежащих тканей.
Считается, что ретинированные дистопированные зубы - это наследственная проблема. Но они могут появиться вследствие неправильного прикуса. Улучшить ретенцию можно с помощью хирургического вмешательства или консервативных способов: массажа, электрофореза и др. Некоторые стоматологи рекомендуют носить трейнеры, которые помогают развить зубную дугу и снизить риск неправильного прорезывания.
Почти всегда ортодонт старается вернуть зуб в зубной ряд, используя брекеты и другие методы воздействия. Если не получается, то врач удаляет инородный элемент. Операция сложная, поэтому важно обращаться к специалисту. Успех во многом зависит не только от врача, но и от пациента: несоблюдение правил послеоперационного ухода приводит к осложнениям.
Что делать, если вы подозреваете у себя подобную проблему? Обратиться к врачу и постоянно наблюдаться у него. Стоматолог пропишет лечение и поможет не допустить осложнений.
Читайте также:
- Факторы влияющие на венозный приток и сердечный выброс. Положительное давление в конце вдоха (ПДКВ)
- Концепция вестибулярного тонуса. Значение вестибулярного тонуса в развитии головокружения
- Эндоскопическая микрохирургическая дискэктомия транспедункулярным доступом. Техника транспедункулярного доступа.
- Комплекс Эйзенменгера у ребенка. Синдром (комплекс) Тауссиг
- Синдром Огучи (Oguchi)
