Потенцированный наркоз под управляемым дыханием. Обеспечение операции на средостении
Добавил пользователь Евгений Кузнецов Обновлено: 21.01.2026
Представлен опыт лечения 37 больных с тератомами средостения. Клинические проявления тератом носят стертый характер. Решающая роль в диагностике принадлежит КТ, которая выявляет размеры, локализацию и структуру опухоли. Трансторакальная, игловая биопсия была информативной у 18 больных из 37 (46,4%), что объясняется неоднородной структурой опухоли и трудностями в интерпретации биоптата. Выбор оперативного доступа диктовался преимущественно локализацией, а также размерами опухоли. Оперативный доступ - стернотомия был использован у 20 больных, торакотомия - у 17. Опухоль удалена радикально у 34 больных, в 1 случае операция была паллиативной, и у 2 больных выполнены пробные торакотомии. Зрелая тератома была у 32 пациентов, незрелая (злокачественная) - у 5. Послеоперационные осложнения в виде кровотечений случились у 2 (5,4%) больных. Летальных исходов не было. При незрелых тератомах в дальнейшем проводилась лучевая терапия 50-65 Гр и интенсивная химиотерапия на основе платины. Отдаленные результаты прослежены у 16 пациентов. Все пациенты, где были зрелые тератомы, живы. Трое больных, где была малигнизация опухоли, умерли в течение 2 лет, несмотря на адъювантное лечение.
1. Флорикян А.К. Герминогенные опухоли средостения (тератодермоидные новообразования) // Международный медицинский журнал 2009. № 3. C. 74-81.
2. Пикин О.В., Колбанов К.И., Маканин М.А., Казакевич В.И., Рудаков Р.В., Королев А.В. Зрелая тератома передневерхнего средостения, осложненная перфорацией в легкое // Российский онкологический журнал. 2012. № 2. С. 29-31.
4. Miyazawa M., Yoshida K., Komatsu K., Kobayashi N., Haba Y. Mediastinal mature teratoma with rupture into pleural cavity due to blunt trauma. Ann Thorac. Surg. 2012. Vol. 93. N 2. P. 37-40.
5. Ruan Z., Wang S., Wang Z., Ling Y. A rare case of bilateral massive hemothorax from spontaneous rupture of a primary mediastinal mixed germ cell tumor. Ann Thorac. Surg. 2012. Vol. 93. N 6. Р. 62-64.
Тератомы - это своеобразная группа новообразований, состоящих из тканевых и органоподобных элементов. Первое упоминание о тератоме средостения принадлежит Rubino в 1810 году, а в отечественной литературе тератому средостения впервые описал А.П. Буйвид в 1889 году. Тератомы средостения - наиболее частые опухоли, состоящие из герминативных клеток, которые не имеют существенных гендерных различий и могут происходить в любом возрасте, однако наиболее часто возникают в возрасте 20-40 лет, составляя около 15% предсредостенных опухолей у взрослых и 25% предсредостенных опухолей у детей. Тератомы составляют вторую по частоте нозологическую форму новообразований средостения - 15,7-23,1% [1; 2], уступая по частоте только неврогенным опухолям. Тератома средостения возникает в результате спонтанного сосудистого развития некоторых стволовых клеток, оставшихся в средостении во время развития примордиального тимуса на эмбриональной стадии. Тератомы часто встречаются вблизи области тимуса [3]. Обычно данные опухоли в своем составе имеют ткани эктодермы, мезодермы, эндодермы [4]. Тератомы подразделяются на зрелые (доброкачественные) и незрелые (злокачественные), что очень важно для определения тактики лечения и оценки прогноза. По встречаемости зрелые/незрелые тератомы соотносятся 10/1 [5].
Цель настоящей работы - обобщить наш опыт лечения данных опухолей и подчеркнуть основные аспекты данной проблемы.
Материал и методы исследования. В данной работе мы представляем опыт лечения 37 пациентов с тератомами средостения, находившихся на лечении в клиниках торакальной хирургии ГБУЗ СО «ПТД», УНИИФ - филиала ФГБУ «НМИЦ ФПИ» Минздрава России и ГБУЗ СО «СООД». Мужчин было 24, женщин - 13. Возраст больных от 16 до 58 лет. Клинические и анамнестические данные у подавляющего большинства пациентов изначально были неспецифическими: утомляемость и потеря веса у 13 пациентов, одышка у 4, субфебрилитет у 6, боль в груди у 4 и умеренная дисфагия у 1 пациента (у ряда больных эти симптомы сочетались). У 15 пациентов клинических проявлений не было, и заболевание было выявлено при профилактической флюорографии. В 4 случаях пробная торакотомия ранее выполнялась в других больницах. У одного пациента 3 года назад опухоль была удалена не полностью также при торакотомии. У 1 пациентки частичная стернотомия и резекция опухоли выполнены 4 года назад в другом городе. Следовательно, в двух последних случаях речь шла о рецидивах опухоли. При компьютерной томографии (КТ) во всех случаях выявлялось дополнительное солидное образование в переднем средостении, а у 17 больных патологическое образование имело массивные размеры, отклоняло сердце с магистральными сосудами и сдавливало легкие вплоть до полного компрессионного ателектаза. Умеренная компрессия трахеи при трахеобронхоскопии определялась у 2 больных. Морфологическая верификация опухоли имелась у всех больных, перенесших ранее хирургические вмешательства, а у остальных пациентов выполнялась биопсия под рентгеном, КТ- или УЗИ- контролем.
Выбор оперативного доступа диктовался преимущественно локализацией, а также размерами опухоли. Если диаметр опухоли не превышал 10 см и медиальный край ее не достигал срединной линии, то выполняли боковую торакотомию с соответствующей стороны. Стернотомия (полная продольная или частичная продольно-поперечная) выполнялась при больших размерах опухоли и при расположении краев опухоли за срединной линией. Мы выполнили полную продольную стернотомию у 19 пациентов и частичную продольно-поперечную стернотомию - у 1 пациента. У одной пациентки, у которой опухоль рецидивировала после предыдущей резекции, нам пришлось выполнить повторную стернотомию. В 17 была предпринята боковая торакотомия. Для оценки кровопотери на разных этапах операции текущая кровопотеря была измерена у 8 человек на трех этапах: выполнение доступа, мобилизация опухоли в средостении и при отделении опухоли от спаек с грудной стенкой и легким. Для фиксации грудины накладывали обычные проволочные швы. Плевральные полости и средостение дренировали.
Обезболивание. Особых соображений по поводу анестезии не было. Применялась стандартная двулегочная вентиляция легких и внутривенная анестезия.
Дополнительное противоопухолевое лечение не применялось в случаях, когда доброкачественная зрелая тератома была подтверждена при морфологическом исследовании удаленной опухоли. Лучевая терапия 50-65 Гр и интенсивная химиотерапия на основе платины проводились пациентам со злокачественными тератомами.
Результаты исследования и их обсуждение. У 34 пациентов опухоль была удалена полностью. При этом в 2 случаях потребовалось удаление верхней доли левого легкого, а у 4 больных - ограниченные атипичные резекции легких, когда опухоль была тесно спаяна с легочной тканью. В 9 случаях потребовалась резекция перикарда. У одного пациента была проведена субтотальная резекция левой стенки перикарда, после чего мы закрыли дефект широким лоскутом париетальной плевры. Истинная опухолевая инвазия соседних анатомических структур при этом была выявлена при морфологическом исследовании лишь у 3 больных с подтвержденной малигнизацией тератомы. У 1 пациента операция была паллиативной из-за инвазии полой вены и предсердия, а у 2 больных радикальная операция оказалась невозможной по той же причине. Морфологическое исследование также выявило у этих двух пациентов злокачественную трансформацию. Операционная кровопотеря варьировала от 230 до 2530 мл (в среднем = 440 мл) и возникла в основном из-за сильно васкуляризированных спаек между опухолью и грудной стенкой. Наиболее сложным и травматичным этапом хирургического вмешательства оказалось рассечение опухоли от спаек с грудной стенкой. Измерение кровопотери на этапах операции показало, что 83% общей кровопотери произошло во время отделения опухоли от грудной стенки. Во всех этих случаях имели место опухоли больших размеров (более 15 см в наибольшем диаметре). Самая крупная опухоль (зрелая тератома) была массой 3,5 кг. В одном случае опухоль располагалась в переднем косто-диафрагмальном синусе и была изначально трактована как внелегочная секвестрация. При торакотомии оказалось, что это зрелая тератома, исходящая из переднего средостения и спустившаяся на длинной (около 20 см) ножке в передний косто-диафрагмальный синус. Послеоперационные осложнения в виде кровотечений случились у 2 (5,4%) больных, причем у одного пациента, где была удалена гигантская незрелая тератома, это было фибринолизное кровотечение объемом 2530 мл. Летальных исходов не было.
По результатам морфологического исследования зрелая тератома подтверждена у 32 пациентов, незрелая - у 5. Отдаленные (от 2 до 7 лет) результаты прослежены у 16 пациентов. Все пациенты, у которых были зрелые тератомы, живы и здоровы. Трое больных, где была малигнизация опухоли, умерли в течение 2 лет, несмотря на адъювантное лечение.
Приводим следующие наблюдения.
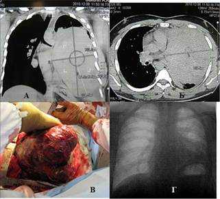
Наблюдение 1. Женщина 18 лет. Студентка. Жалоб не предъявляет. При флюорографии и последующей КТ определяется массивное затемнение, исходящее из переднего средостения, пролабирующее в левую плевральную полость (рис. 1а). Средостение смещено вправо. Структура опухоли неоднородна: видны множественные костно-хрящевые включения и кистозные участки (рис. 1б). Операция: полная продольная стернотомия. Опухоль отделена от грудной стенки. Верхняя доля левого легкого в ателектазе. От легкого опухоль отделена швом аппарата ТА-60. Ножка опухоли исходит из переднего средостения и также пересечена после прошивания ТА-60 (рис. 1в). Продолжительность операции 2 часа 15 минут, кровопотеря 530 мл. Гистологически: зрелая тератома (рис. 1г). Послеоперационный период гладкий. Контрольный осмотр через 2 года - здорова.

Рис. 1. Наблюдение 1: а) обзорная рентгенограмма пациентки, б) компьютерная томограмма той же больной, в) полная продольная стернотомия, отсечение ножки опухоли, г) опухоль на разрезе - зрелая тератома
Наблюдение 2. Мужчина 24 лет. Строитель. В течение 2 недель стал ощущать слабость, боль в груди, Т >38o, одышку. До этого считал себя здоровым, работал. На КТ определяется массивное солидное гомогенное образование, занимающее практически весь левый гемиторакс и смещающее средостение вправо (рис. 2 а, б). При УЗИ левой плевральной полости определяется жидкость. При плевральной пункции удалено около 2,5 л серозного экссудата. Трансторакальная игловая биопсия: опухолевая ткань, наиболее вероятно герминогенной природы с участками некроза. Операция: полная продольная торакотомия. Опухоль с большими техническими трудностями из-за плотных сращений отделена от грудной стенки. Выделение сопровождалось значительным диффузным кровотечением. Легкое в ателектазе, инвазии его нет. Множественные сосудистые ножки, исходящие из переднего средостения, лигированы и пересечены. Опухоль удалена. Масса опухоли 2,8 кг (рис. 2в). Продолжающееся фибринолизное кровотечение в послеоперационном периоде купировано, кровопотеря возмещена. Дальнейший послеоперационный период без осложнений. При выписке левое легкое полностью расправлено (рис. 2г). Морфологически: незрелая тератома. Далее химиотерапия в режиме ВЕР 4 цикла. Смерть от прогрессирования опухолевого процесса 2 года спустя.

Рис. 2. Наблюдение 2: а, б) компьютерные томограммы пациента, в) полная продольная стернотомия, извлечение препарата, г) обзорная рентгенограмма пациента спустя 7 дней после операции
Клиническая проблема заключается в том, что вначале бессимптомные тератомы переднего средостения могут достигать огромных размеров, но даже при этом симптомы часто бывают неспецифичны. Большинство пациентов с тератомой средостения не имеют явных симптомов, опухоль можно обнаружить лишь при рентгенографии грудной клетки или компьютерной томографии грудной клетки.
Клинические проявления симптоматических пациентов в основном включают: 1. Симптомы связаны с компрессией структуры ткани переднего средостения, вызванной эффектом опухолевой массы, включая стеснение в груди, одышку, массу шеи, синдром верхнего средостения, синдром Хорнера. 2. Симптомы вызваны разрывом опухоли, которая может содержать пищеварительные ферменты, поджелудочной железы, слюнной железы и других тканей, которые действуют на окружающие ткани и проникают в соседние органы, что осложняется плевральным выпотом и гемотораксом, которые в результате вызывают одышку, кровохарканье и обструктивную пневмонию, а также перикардиальный выпот и тампонаду перикарда. У одного из наших пациентов была тупая травма грудной клетки, и гигантская тень изначально была интерпретирована как свернувшийся гемоторакс. Отсюда возникает резонный вопрос: где была профилактическая флюорография? Клинические проявления зрелых тератом у взрослых менее выражены, чем у детей.
Решающая роль в диагностике принадлежит КТ, которая выявляет размеры, локализацию и структуру опухоли. Рентгенография грудной клетки и компьютерная томография могут показать круглую или округлую массу в переднем средостении, частичную дольчатую, кальцификацию в опухоли и даже зуб или кость. Зрелые тератомы - это в основном кистозные массы, в то время как незрелые тератомы - это в основном твердые массы. Большинство тератом средостения расположены в переднем средостении, которые легко ошибочно диагностируются как тимома перед операцией и должны быть тщательно идентифицированы. Однако морфологический диагноз до операции удается получить не всегда.
По нашим данным, игловая биопсия оказалась информативной у 18 больных из 37 (46,4%). Частично этот факт можно объяснить тем, что опухоль имела неоднородную структуру и в значительном большинстве случаев в биоптате преобладали бесструктурные массы, что серьезно затрудняло интерпретацию биоптата.
Вторая проблема - хирургическая. Выбор хирургического метода в основном зависит от локализации, размеров и соотношения опухолевого тела и окружающих тканей. Если опухоль затрагивает средостение билатерально, верхнюю полую вену, внутреннюю вену, сосуды головы и шеи, а начальная часть опухоли неясна, целесообразно выбрать срединную торакотомию для хирургической резекции, когда возможна реконструкция сосудов. Для тех опухолей, у которых опухолевое тело выходит через верхнюю апертуру грудной клетки к шее, Т-образный разрез должен быть сделан через грудину в сочетании с разрезом шейного воротника. При необходимости лобэктомии или клиновидной резекции легкого может быть выбрана заднебоковая торакотомия. При необходимости может быть добавлен боковой разрез грудины с передней торакотомией.
Также может быть использована боковая торакотомия на стороне опухоли. Стоит также отметить, что из-за большой опухоли, обширной адгезии, большой раневой поверхности, неполного расширения легких и остаточной полости в грудной полости и других факторов легко вызвать послеоперационное кровотечение. Следует обратить внимание на защиту диафрагмального нерва, возвратного гортанного нерва, блуждающего нерва и нерва плечевого сплетения, когда опухоль плотно прилегает к поверхности средостения, чтобы избежать серьезных осложнений. В случае если опухоль невозможность удалить полностью, опухолевая ткань должна быть удалена как можно больше, а остаточная кистозная стенка должна быть обработана для уменьшения послеоперационной секреции. Небольшая остаточная опухолевая кистозная стенка в стенке кровеносного сосуда не влияет на прогноз. Непростой аспект операции - выделение опухоли из спаек, на что указывал ряд авторов. На данном этапе операции может развиться тяжелое кровотечение, которое трудно остановить.
Мы также столкнулись с такими проблемами, о чем свидетельствуют наши данные, указанные выше: на данном этапе произошло более 80% общей кровопотери. Развитие таких васкуляризированных спаек можно объяснить длительным медленным ростом опухоли в тесном контакте с париетальной плеврой, перифокальным воспалением. Добавим, что причиной невозможности радикальной операции у 4 наших больных, оперированных ранее, были тяжелые сращения с грудной стенкой, имитирующие инвазию опухоли, и сильное кровотечение при попытках выделения опухоли. Следует подчеркнуть, что мы не обнаружили в таких случаях инвазии опухоли в грудную стенку, а только спайки. На этот факт указывали и другие авторы. Наконец, рассуждая о выборе оперативного доступа, мы можем утверждать, что полная срединная стернотомия предпочтительнее прежде всего потому, что этот доступ обеспечивает хорошую визуализацию и удобство манипуляций в средостении вблизи сердца и магистральных сосудов. Такого же мнения придерживаются ряд отечественных и зарубежных авторов [2; 5].
Заключение. Планируя выбор оперативного доступа, авторы считают, что полная срединная стернотомия предпочтительнее прежде всего потому, что этот доступ обеспечивает хорошую визуализацию и удобство манипуляций в средостении вблизи сердца и магистральных сосудов. И, наконец, онкологическая проблема лечения тератом средостения заключается в отсутствии надежных методов адъювантного лечения, позволяющего остановить опухолевую прогрессию при незрелых тератомах даже в случаях радикального удаления опухоли. Имеющиеся в литературе данные и результаты нашего исследования показали, что прогноз в большинстве таких случаев неблагоприятный, несмотря на последующую химиотерапию и облучение. Химиотерапия на основе платины при незрелых тератомах оставляет надежду на благоприятный прогноз. Однако своевременное обнаружение опухоли на ранней стадии является важнейшим фактором, обеспечивающим удовлетворительный исход лечения.
Потенцированный наркоз под управляемым дыханием. Обеспечение операции на средостении
ГБУЗ «Научно-исследовательский институт — Краевая клиническая больница №1 им. проф. С.В. Очаповского» Минздрава Краснодарского края, Краснодар, Россия;
ГБОУ ВПО «Кубанский государственный медицинский университет» Минздрава России, Краснодар, Россия
Институт хирургии им. А.В. Вишневского Минздрава РФ, Москва
ГБУЗ «Научно-исследовательский институт - Краевая клиническая больница №1 им. проф. С.В. Очаповского" Минздрава Краснодарского края, Краснодар, Россия
Опыт выполнения анестезии при проведении видеоассистированных торакоскопических лобэктомий с использованием ларингеального воздуховода и вспомогательной вентиляции легких
Журнал: Хирургия. Журнал им. Н.И. Пирогова. 2016;(11): 12‑17
В статье приводится опыт проведения видеоассистированных торакоскопических операций (ВАТС) — лобэктомий — у больных без интубации трахеи, с сохранением спонтанного дыхания. Представлены результаты интраоперационного мониторинга и лабораторные данные всего периоперационного периода, на основании которых сделано заключение о возможном снижении выраженности стресс-реакции на хирургическую агрессию у данной категории пациентов.
Цель исследования — определить возможности проведения анестезии у пациентов с сохранением спонтанного дыхания при выполнении ВАТС-вмешательств. Разработать тактику ведения больных путем оптимизации метода, который максимально отвечает современным требованиям безопасности, снижению риска развития послеоперационных осложнений и сокращению срока госпитализации пациентов.
Материал и методы
Работа проведена с одобрения локального этического комитета (ЛЭК) НИИ-ККБ № 1 им. проф. С.В. Очаповского. После изучения и анализа зарубежной литературы по данной тематике [1—6] было принято решение о проведении операций, выполненных в условиях спонтанного дыхания, без интубации трахеи. В период с июня по декабрь 2015 г. выполнили 37 ВАТС-лобэктомий по поводу РЛ без интубации со вспомогательной вентиляцией легких через ларингеальный воздуховод. Верификацию патологического процесса в легком осуществляли на дооперационном этапе методом браш-биопсии, либо чрезбронхиальной биопсии паренхимы легкого. Мы исключали пациентов с размером образования более 6 см; с избыточной массой тела (индекс массы тела — ИМТ более 30 кг/м 2 ); ранее оперированных на органах грудной клетки с этой же стороны; с выраженным спаечным процессом в плевральной полости по результатам КТ-исследования и с возможностью «трудных дыхательных путей» (класс по Маллампати выше 2) [7]. Функциональный класс всех пациентов по ASA — III.
На дооперационном этапе все пациенты проходили обследование в следующем объеме:
— общеклиническое обследование (общий анализ крови (ОАК), биохимический анализ крови, группа крови, коагулограмма, общий анализ мочи (ОАМ);
— тредмил-тест (для исключения скрытой ишемии миокарда);
Дополнительно исключали пациентов с низким респираторным резервом (прогнозируемый послеоперационный объем форсированного выдоха за 1-ю секунду ((ppoFEV1) менее 60%). Возрастное и половое распределение пациентов показано в табл. 1.
Таблица 1. Распределение пациентов по полу и возрасту
Возрастная медиана составила 54 года. Самому младшему было 45 лет, старшему — 66. Женщин — 22, мужчин —15. Распространенность Р.Л. для данного вида операции определена как T1a, T1b, T2a стадии [8, 20, 21] (табл. 2).
Таблица 2. Распределение пациентов по виду операций
В предоперационной больным катетеризировали внутреннюю яремную вену со стороны операции, эпидуральное пространство на уровне Th6—Th8. Также катетеризировали лучевую артерию с целью непрерывного мониторинга артериального давления (АД) в режиме реального времени и определения газового состава крови. Больного укладывали на операционный стол, вводили тест-дозу ропивакаина (0,25% — 3,0 мл) с последующей постоянной инфузией 0,2% раствора в эпидуральный катетер со скоростью 8—10 мл/ч.
Индукцию в анестезию проводили пропофолом в дозе 1 мг/кг и фентанилом 0,1 мг. После выполнения адекватной преоксигенации с помощью лицевой маски до достижения концентрации кислорода на выдохе (EtCO2) >80%, устанавливали воздуховод типа i-gel (возможное использование в латеральной позиции пациента), для контроля над дыхательными путями и мониторинга ЕtCO2 и дыхательного объема (рис. 1).
Рис. 1. Вид пациента с установленным ларингеальным воздуховодом.
Укладывали пациента на бок, и после обработки операционного поля хирург дополнительно проводил инфильтрацию места разреза 0,5% — 20 мл раствором новокаина, а после минидоступа в плевральную полость — инфильтрацию блуждающего нерва с целью предотвращения кашлевого рефлекса при тракциях легкого. Для этой цели использовали такой же концентрации раствор новокаина — 20 мл суммарно: справа — на уровне трахеи выше непарной вены; слева — на уровне дуги аорты. Вентиляцию осуществляли наркозно-дыхательным аппаратом DragerPerseusA500 в режиме Pressuresupportc поддержкой давлением 4—7 см вод. ст., триггер по потоку устанавливали на уровне 0,3 л/мин (рис. 2, а, б).
Рис. 2. Параметры вентиляционного контроля венозной крови. а — графический; б — КЩС.
Поддержание анестезии осуществляли пропофолом со скоростью инфузии 4—6 мг .кг -1 .ч -1 . Уровень седации оценивали по шкале Ramsay и поддерживали на уровне 4—5 баллов, то есть больной спит, но реагирует на громкий звук [6]. На травматичные этапы операции (выделение элементов корня легкого, удаление препарата из плевральной полости) дополнительно вводили фентанил в дозе 0,05—0,1 мг. После установки дренажей инфузию пропофола прекращали. По окончании операции пробуждение больного осуществляли через 1—2 мин. В это же время удаляли ларингеальный воздуховод. Больные из операционной транспортировались в отделение интенсивной терапии.
Определяли исходный уровень глюкозы с ее повторным анализом через 15 мин после кожного разреза, после удаления препарата и в конце операции. Контроль параметров СО2 крови и рН осуществляли в те же временные интервалы. Уровень кортизола определяли сразу после удаления препарата. В течение операции проводили непрерывный мониторинг сатурации артериальной крови кислородом методом пульсоксиметрии, а также регистрировали капнометрию (ЕtCO2), АД, частоту сердечных сокращений (ЧСС), частоту дыхательных движений (ЧДД) и центральное венозное давление (ЦВД).
Среднее значение АД, ЧДД и ЧСС фиксировали на момент установки ларингеального воздуховода, кожного разреза, удаления препарата, пробуждения и удаления ларингеального воздуховода и на следующее утро после операции.
В послеоперационном периоде проводили контроль уровня гликемии крови, РaO2, РaCO2, pH через каждые 6 ч. Уровень лейкоцитов контролировали на следующее утро после операции. В послеоперационном периоде фиксировали время активизации и сроки выписки пациента из стационара. Проводили анализ развития респираторных осложнений, количества проведенных санационных фибробронхоскопий (ФБС), процент возникновения болей в месте ранее установленной маски, послеоперационной тошноты и рвоты.
Данные, полученные в результате проведенных исследований, обрабатывали методом описательной статистики с вычислением средней арифметической, ошибки средней арифметической, стандартного отклонения. Расчеты проводили с помощью программы Microsoft Excel 13, Statistica 6.0 с определением t-критерия Стьюдента.
Результаты
Среднее АД, ЧСС и ЧДД в течение операции представлены в табл. 3. Показатели газового состава крови, глюкозы, кортизола и лейкоцитов отображены в табл. 4, 5. ЦВД в течение операции поддерживали у всех пациентов на уровне от 2 до 5 мм рт.ст.
Таблица 3. Средние показатели АД, ЧСС и ЧДД периоперационного периода (M±σ) Примечание. Здесь и в табл. 4, 5: * — р≤0,05 в зависимости от исходного значения.
Таблица 4. Средние показатели газового состава крови в интра- и раннем послеоперационном периодах (M±σ)
Таблица 5. Средние показатели уровня глюкозы, лейкоцитов и кортизола в интра- и раннем послеоперационном периодах (M±σ)
При проведении анестезиологического пособия представленным методом течение всего периоперационного периода было гладким. Достаточный уровень аналгезии подтверждается лабораторными показателями кортизола и глюкозы крови.
У 9 (24%) пациентов потребовалась инфузия адреналина в дозе до 0,05 мкг. кг -1 . мин -1 . Проведение кардиотонической поддержки объясняется относительной гиповолемией и манипуляциями хирурга в структурах средостения, которая корригируется небольшими дозами вазопрессоров, а не инфузионной нагрузкой. Это связано с предотвращением гипергидратации легочного интерстиция и развития послеоперационных легочных осложнений у данной категории пациентов. Торакальные онкопациенты требуют ограничения инфузионной терапии, так как согласно канонам онкологии, за счет расширенной лимфодиссекции нарушается основной противоотечный защитный механизм. Особенностью данных операций является и редукция в той или иной степени легочного кровотока, что также требует ограничения инфузионной терапии. Сохранность темпа диуреза (не менее 0,5 мл. кг -1 . ч -1 ) обеспечивали согласно принципам «ускоренного восстановления после операции» — пациентам запрещался прием жидкости только за 2 ч до индукции и восстанавливали энтеральный прием через 40—60 мин после окончания операции. Брадикардия, по-видимому, связана с контактом воздуховода с глоткой и стимуляцией блуждающего нерва, относительной гиповолемией и симпатической блокадой, вызванной инфузией ропивакаина. У 2 (20%) больных после установки ларингеального воздуховода начиналась икота, в 100% случаев купированная хирургом инфильтрацией диафрагмального нерва. Других побочных эффектов и осложнений в течение операционного периода не наблюдали. Среднее время составило 105,5±4,58 мин (M±σ).
Активизация всех пациентов, c возможностью самостоятельно передвигаться по палате, осуществлялась через 1 ч после операции.
Послеоперационной тошноты и рвоты, болей в горле ни у одного больного не наблюдали. Ни одному пациенту не потребовалось проведения санационной ФБС.
Перевод в профильное отделение осуществляли в день операции у 28 (76%) пациентов, у 9 (24%) — на следующие сутки, 20 (54%) выписаны на 5-е сутки после операции, 11 (30%) — на 6-е сутки, 6 (16%) — на 7-е сутки после операции.
На сегодняшний день выработано достаточно много рекомендаций и алгоритмов анестезиологического ведения пациентов, способствующих обеспечению надежной защиты организма от операционного стресса, сохранность механизмов адаптации и компенсации, а также адекватной вегетативной и метаболической защиты. К такой стратегии относится и стремление минимизировать и предотвратить побочные эффекты ларингоскопии и интубации, механической вентиляции легких, поддержание более физиологичного мышечного, неврологического и кардиореспираторного статуса. Все это будет минимизировать влияние хирургической и анестезиологической агрессии, способствовать раннему восстановлению пациентов, оптимизировать результаты и, возможно, сократить расходы [9, 10]. При торакальных хирургических вмешательствах стандартные методы анестезии и вентиляции достаточно пагубно влияют на вентиляционно-перфузионные отношения, возникающие при «выключении» из вентиляции целого легкого, тем более, легкие при торакальных операциях являются объектом и хирургических, и анестезиологических воздействий [11, 12].
Традиционным при выполнении торакальных операций считается проведение однолегочной механической вентиляции легких с интубацией главного бронха (ГБ) в условиях миоплегии, со своими минусами, присущими искусственной вентиляции легких (ИВЛ) и миорелаксации. Анестезиологическое пособие в торакальной хирургии по праву признается одним из наиболее сложных из-за специфических трудностей, с которыми сталкивается анестезиолог [12]. Главное — легкое на стороне операции по абсолютным либо относительным показаниям должно быть временно выключено из вентиляции и коллабировано. Искусственная однолегочная вентиляция чревата развитием тяжелых расстройств гемодинамики и газообмена (гипоксемия) вследствие резкого увеличения внутрилегочного шунтирования и нарушения вентиляционно-перфузионных отношений, увеличением нагрузки и перегрузкой правого и левого отделов сердца, гипергидратацией легочного интерстиция, гиперкапнией и тяжелыми метаболическими расстройствами в виде дыхательного и метаболического ацидоза и т. д. [13—16]. Развивающиеся при этом патофизиологические процессы, их профилактика и коррекция являются основной проблемой торакальной анестезиологии. Проведение подобных операций с сохранением спонтанной вентиляции не создает особых проблем торакальному хирургу в виде «ограничения свободы действий», так как за счет атмосферного давления при открытии плевральной полости легкое в той или иной степени коллабируется (рис. 3).
Рис. 3. Эндофото. а — вид операционного поля без «выключения» легкого. Под сосуды корня легкого подведен сшивающий аппарат; б — прошивание сосудов. Легкое без признаков ателектаза.
Несмотря на то что интубация трахеи и ГБ остаются «золотым стандартом» в отношении надежности обеспечения проходимости дыхательных путей и достижения адекватной ИВЛ, ее проведение требует от исполнителя наличия опыта и мастерства. Использование эндобронхиальной трубки подразумевает глубокую седацию больного в течение всей анестезии, применение миорелаксантов и наркотических препаратов [17, 18]. Эндобронхиальная трубка может приводить к ряду грозных осложнений как во время операции, так и после нее. К таким осложнениям относятся гипердинамический ответ сердечно-сосудистой системы на ларингоскопию и интубацию, однолегочная вентиляция, нарушение функции реснитчатого эпителия и мукоцилиарного клиренса мокроты, возникновение боли в горле, ларингитов, фарингитов, трахеитов в послеоперационном периоде [2, 18, 19].
Хотелось отметить, что, несмотря на неселективную интубацию после создания открытого пневмоторакса, под действием атмосферного давления легкое спадалось, его структуры хорошо визуализировались, что не мешало работе хирурга.
Использование ларингеального воздуховода у наших пациентов исключило все негативные проявления ларингоскопии, интубации и реакцию пациента на интубационную трубку в посленаркозном периоде. Ни в одном случае в послеоперационном периоде пациентам не выполняли санационную бронхоскопию. Время установки ларингеального воздуховода (типа i-gel) у нас составило 6—8 с. По сравнению с ларингеальной маской первого поколения у воздуховода i-gel, помимо простоты установки, есть ряд преимуществ: лучше герметизирует гортань, снижает вероятность раздувания желудка воздухом, предотвращает повреждение его зубами из-за наличия защитного усиления.
Проведение анестезиологического обеспечения видеоассистированных операций без интубации и с сохранением спонтанного дыхания позволило нам избежать таких негативных влияний интубации, как:
— отсутствие глубокой седации и использования миорелаксантов, соответственно активизация пациентов в более ранние сроки;
— отсутствовала какая-либо гипердинамическая реакция организма на ларингоскопию и интубацию;
— отсутствовала необходимость проведения санационных бронхоскопий и хороший кашлевой рефлекс у всех пациентов, что косвенно может говорить об отсутствии нарушения функции реснитчатого эпителия, вызванного интубацией и механической ИВЛ;
— ни в одном случае не наблюдалась боль в горле после проведения анестезии;
— нормогликемия и отсутствие выраженности лейкоцитоза могут говорить об уменьшении выраженности стресс-реакции организма на операционную травму.
Те осложнения, с которыми мы столкнулись (непроизвольные сокращения диафрагмы), достаточно легко купировались инфильтрацией диафрагмального нерва либо дополнительным введением фентанила.
На наш взгляд, торакальные операции могут и должны проводиться с использованием ларингеального воздуховода и вспомогательной вентиляци легких у определенной категории пациентов.
Циркулярная резекция трахеи относится к разряду сложных торакальных операций. Успех ее выполнения зависит от нескольких факторов: правильно созданного анастомоза между резецированными частями трахеи или бронхов, который будет способствовать надежному заживлению краев анастомоза, и адекватно проведенной анестезии. Именно эти основные причины не позволяли длительное время сделать эту операцию рутинной.
Интерес к реконструктивным операциям на трахее возник в середине XX в. В 1950 г. R. Belsey [1] опубликовал данные о резекции внутригрудной части трахеи, выполненной в 1946 г. J. Mathey в 1951 г. осуществил анастомоз главных бронхов после случайного их пересечения и в том же году им же впервые была выполнена и описана операция по поводу резекции бифуркации трахеи [2, 3]. Развитие анестезии с интубацией трахеи привело к резкому увеличению количества осложнений, сопровождаемых ростом риска развития стеноза трахеи, что, в свою очередь, и привело к буму оперативной активности в этой области хирургии. Большая заслуга в популяризации трахео- и бронхопластических операций, выполняемых при злокачественных опухолях трахеи, принадлежит H. Grillo [4]. В нашей стране в становлении современной трахеальной хирургии неоценима роль М.И. Перельмана [5] и В.П. Харченко, который одним из первых выполнил резекцию бифуркации трахеи при бронхолегочном раке [6]. Частота возникновения рубцовых (постинтубационных, посттрахеостомических) стенозов трахеи, требующая открытых хирургических вмешательств, составляет от 0,2 до 25% [7]. Наиболее полная классификация, позволяющая достаточно четко стандартизировать стенозы по их характеристикам и на основании этого определить показания и объем необходимой резекции, предложена В.Д. Паршиным [8]. Несмотря на наличие целого ряда публикаций о том, что эндоскопическое (бронхоскопическое) лечение может радикально излечить от этой патологии, это в большей мере касается небольших по протяженности стенозов, при которых сохраняется каркасность трахеи [9]. В остальных случаях циркулярная резекция трахеи с созданием прямого, циркулярного анастомоза является единственной операцией, позволяющей полностью избавиться от болезни и навсегда восстановить целостность воздухопроводящих путей. При протяженных стенозах (более 50% длины трахеи), когда невозможно безопасно выполнить ее резекцию, наиболее перспективным направлением является выполнение трансплантации трупной или синтетической трахеи [10]. Еще 20-30 лет назад трахео-бронхопластические операции считались опасным хирургическим вмешательством, с возможным развитием грозных осложнений [11, 12] хирургического и анестезиологического генеза [13, 29]. В настоящее время количество операций на трахее и главных бронхах, включая каринальные резекции, составляет более 2600 в год. Показанием к подобным операциям служат стенозы трахеи различной этиологии, центральный рак легкого с возможностью сохранения функционально полноценной легочной ткани. Согласно современным руководствам, «пациентам, которым можно выполнить радикальную резекцию, органосохраняющая резекция предпочтительнее пневмонэктомии" [14]. Процент выполнения операций на бифуркации трахеи на сегодняшний день составляет до 5% от общего количества резекций легкого 14. Предоперационная подготовка, анестезиологическое обеспечение и послеоперационное ведение больных имеют ключевое значение для улучшения результатов лечения. Полный арсенал современных методов ИВЛ позволяет выбрать для каждого этапа хирургического вмешательства наиболее удобный для хирурга и безопасный для больного способ поддержания газообмена. Представленный в этой работе опыт анестезиологического обеспечения позволяет обсудить и избрать предложенную тактику ведения больных путем выбора и оптимизации метода, который максимально отвечает современным требованиям.
Надо отметить, что команда врачей, которая принимала участие в этой работе, за время наблюдения неоднократно меняла места своей работы: с 1979 по 1988 г. - база Краевого противотуберкулезного диспансера, после этого до 2002 г. - в Краевом торакальном центре 2-й городской клинической больницы Краснодара. С 2002 г. и по настоящее время на базе «Центра грудной хирургии", объединенного в дальнейшем с ГБУЗ ККБ №1, а с 2014 г. - ГБУЗ НИИ - ККБ №1. За это время, включая 2014 г., выполнено
307 каринальных резекций и 153 резекции трахеи, трансплантация синтетической нанокомпозитной трахеи, засеянной собственными стволовыми клетками, - у 6 больных.
Возраст оперированных пациентов находился в пределах от 14 до 68 лет. Особенностью дооперационной диагностики являлось то, что многие больные просто не могли его пройти, как требуют стандарты обследования легочных больных. Их состояние не позволяло применить обычный диагностический алгоритм - наличие декомпенсированного стеноза трахеи сопровождалось крайней степенью дыхательной недостаточности. Обязательным являлось взятие общеклинического и биохимического анализов крови с определением группы и резус-принадлежности. Экстренно, на начальных этапах - рентгенография, с 1989 г. - компьютерная томография (КТ), а с 2005 г. - КТ с 3D-моделированием трахеи давали представление о степени и протяженности стеноза. После лучевой диагностики пациент попадал к бронхологу, который при ригидной бронхоскопии восстанавливал просвет трахеи ее бужированием или стентированием. Появление нормального дыхания у пациента давало возможность более полно обследовать его по всем необходимым стандартам, в том числе при необходимости выполняя ангиографию коронарных, церебральных, шейных сосудов. Определяли показания к оперативному или альтернативному методу лечения.
После индукции и адекватной преоксигенации (EtO2>80%) проводили интубацию через рот, а при наличии у пациента трахеостомы - через трахеостомическое отверстие однопросветной интубационной трубкой N 7-8.
Начинали ИВЛ в протективном режиме: дыхательный объем составлял 4-5 мл/кг должной массы тела, необходимый уровень содержания кислорода на вдохе (FiO2) подбирался с целью поддержания уровня сатурации не ниже 91% и обычно не превышал 60%.

До 2008 г. в 82% случаев основным методом ИВЛ после пересечения трахеи либо главных бронхов было использование системы шунт-дыхание. Его техника заключалась в интубации дистальной части трахеи или одного из главных бронхов после пересечения стерильной дыхательной армированной трубкой (рис. 1 ). С аппаратом ИВЛ трубка соединялась дополнительным стерильным дыхательным контуром, проходящим через накрытое стерильными простынями операционное поле с каудальной стороны. При резекции трахеи, после ее пересечения, при наложении анастомоза необходимо было подтягивать интубационную трубку в ротовую полость - перед этим ее конец в проксимальном отделе трахеи фиксировался крепкой лавсановой нитью длиной около 40 см. После этого интубационную трубку подтягивали в ротовую полость. Эти манипуляции необходимы для того, чтобы после наложения задних и боковых швов на края анастомозируемой трахеи можно было бы подтянуть за нить и провести эту трубку как по проводнику обратно в трахею, избежав тем самым переразгибания шеи и неминуемого в этом случае натяжения по линии анастомоза при последующей переинтубации по завершению наложения анастомоза.
С меньшей частотой использовали инжекционную, высокочастотную (ВЧ) вентиляцию - в 18% случаев поддержание газообмена осуществляли через проведенный в обычную интубационную трубку (которая также подтягивалась в ротовую полость на время формирования анастомоза) силиконовый катетер с внутренним просветом 10 Fr. Он помещался в дистальный отдел трахеи или главного бронха хирургом под контролем зрения. В дальнейшем ВЧ-вентиляцию проводили ручным методом с частотой 60-90 осцилляций в минуту. Такая непопулярность метода была связана с бытовавшим тогда мнением, что он вызывает большее количество случаев развития респираторного дистресс-синдрома и соответственно сопровождается высокой летальностью в послеоперационном периоде [12].

В 2008 г. в клинике начали применять методику ВЧ-вентиляции (рис. 2 ) с возможностью активно контролировать параметры вентиляции. Для поддержания хорошего уровня оксигенации и нормокапнии FiO2 не превышало 60%, частота осцилляций составляла от 120 до 180 в минуту, давление не выше 2,5 атм.
После ушивания задней и боковых стенок анастомоза переинтубация с заведением оротрахеальной трубки в дистальный конец анастомоза проходила без переразгибания трахеи - под контролем бронхоскопа или подтягивания трубки за ранее подвязанную нить. При этом среднее время использования системы шунт-дыхание составляло 45 мин, а использование струйной ВЧ-вентиляции - 20 мин.
С 2012 г. при проведении операции трансплантации синтетической нанокомпозитной трахеи нами стал использоваться метод апнойной оксигенации.

Его методика заключалась в 10-минутной гипервентиляции 100% О2 с частотой дыхания 22-25 в минуту, до достижения рСО2 - 24-26 мм рт.ст. и рO2>300 мм рт.ст. После пересечения трахеи в ее дистальный конец устанавливали такой же по диаметру (10Fr), как и для ВЧ-вентиляции, стерильный катетер (рис. 3 ), предварительно выложенный на операционный стол, удлиненный и выведенный через операционное поле к дополнительному блоку подачи кислорода наркозно-дыхательного аппарата. Через него и проходила низкопотоковая подача О2 со скоростью 6-8 л/мин.
Среднее время апнойной оксигенации составляло 25 мин.
Средний уровень СО2 и pH на разных этапах операции выражен в виде таблиц (табл. 1 , 2 ).
Полученные результаты указывают на увеличение уровня СО2 и развитие метаболического ацидоза крови при проведении вспомогательной вентиляции методом апнойной оксигенации. Уровень кислорода в артериальной крови был сопоставим во всех группах (табл. 3 ). Это обусловлено тем, что альвеолы способны принимать кислород даже без диафрагмальных движений, при полной миорелаксации пациента. У здоровых людей, в идеальных условиях, уровень кислорода в артериальной крови будет поддерживаться выше 100 мм рт. ст. без единого дыхательного движения, только лишь за счет конвекции и диффузии потока кислорода через альвеолы [21, 22]. Статистически достоверных изменений в уровне СО2 и pH при проведении ВЧ-вентиляции и традиционной ИВЛ при правильной методике использования струйной вентиляции 24 не наблюдалось.
Периоперационные гемодинамические показатели у всех пациентов оставались стабильными и отображены в табл. 4 . Достоверных изменений выявлено не было.
У 55 (18,6%) больных, оперированных по поводу центрального рака легкого, при выполнении резекции бифуркации трахеи потребовалась инфузия адреналина в дозе до 0,05 мкг/кг/мин, что мы связывали с относительной гиповолемией и манипуляциями хирурга в структурах средостения, механическим давлением на сердце и крупные артериальные сосуды. Данный вид гемодинамических нарушений должен очень осторожно корригироваться инфузионной терапией, что связано с риском гипергидратации легочного интерстиция и развития послеоперационных легочных осложнений у данной категории больных. У онкологических пациентов при выполнении радикальной операции с расширенной лимфодиссекцией убирается основной противоотечный защитный механизм (лимфоотток), а также происходит редукция легочного кровотока в зависимости от объема резецированной легочной ткани. Все это требует ограничения инфузионной терапии с возможным применением вазопрессорной поддержки. Сохранность диуреза (не менее 0,5 мл/кг/ч) обеспечивалась согласно принципам ускоренного восстановления после операции - пациентам запрещался прием жидкости только за 2 часа до индукции и восстанавливался энтеральный прием через 40-60 мин после окончания операции [27].
Среднее время основного этапа операции отображено в табл. 5 .
Увеличивалось время наложения трахеального анастомоза при использовании метода шунт-дыхание, что, вероятно, связано с неудобством созданной конструкции для хирурга, которая занимает много места и часто мешает наложению анастомоза.
Вывод
В настоящее время хирургические аспекты техники резекции, использования шовного материала стандартизированы и известны каждому хирургу. Анестезиологический аспект проблемы рассматривается многими авторами по-разному. Это связано со сложностью респираторного обеспечения, когда воздухоносные пути являются объектом взаимного интереса и хирурга, и анестезиолога. Выбор метода вентиляции при выполнении резекции трахеи, в том числе и с резекцией бифуркации, должен учитывать и индивидуальные физические особенности каждого пациента для обеспечения абсолютной его безопасности, и пожелания конкретного хирурга - для создания оптимальных условий его работы [11]. Только при соблюдении всех этих составляющих операция будет выполнена с максимальной эффективностью, а согласованная работа всей операционной бригады приведет к успеху и выздоровлению пациента [28].
На сегодняшний день достаточно широко применяемы три основных метода вентиляционного обеспечения: шунт-дыхание, ВЧ-вентиляция и апнойная оксигенация.
Несмотря на кажущуюся простоту, метод шунт-дыхание сопровождался определенными трудностями: значительно удлинялось время операции за счет сужения операционного поля и неудобства при наложении швов анастомоза, необходимостью выполнения дополнительных манипуляций по интубации трахеи и бронхов, периодами апноэ и гиповентиляции. Струйная вентиляция сокращала время операции за счет уменьшения времени наложения анастомоза, не сопровождалась большой травматизацией слизистой трахеи или бронхов (за данный промежуток времени), а тот диапазон используемой частоты и мониторинг параметров вентиляции не приводили к каким-либо респираторным нарушениям. На наш взгляд, именно струйная вентиляция является идеальным вариантом при выполнении реконструктивных операций на дыхательных путях. Апнойная оксигенация имеет свои, достаточно узкие показания и может быть важна в случае серьезных трудностей с оставлением катетера в просвете трахеи во время наложения анастомоза. Этот метод должен рассматриваться только при наличии у анестезиолога уверенности в обеспечении безопасного времени апноэ. Знание и владение этим методом обязательны для подготовки торакального анестезиолога.
Материалы конгрессов и конференций
В современной онкохирургии, наряду с обширными полостными операциями, значительное место занимают неполостные хирургические вмешательства разного масштаба, а также инвазивные диагностические исследования, при выполнении которых не требуется тотальной мышечной релаксации, а, следовательно, интубации трахеи и искусственной вентиляции легких (ИВЛ). Поэтому такие вмешательства могут быть выполнены в условиях анестезии с сохраненным самостоятельным дыханием пациента.
К общей анестезии с самостоятельным дыханием предъявляются высокие требования:
- обеспечение адекватной анестезиологической защиты пациента при сохранении полноценного самостоятельного дыхания;
- хорошая управляемость и безопасность метода анестезии;
- техническая простота и доступная цена;
- быстрая посленаркозная реабилитация;
- отсутствие токсического воздействия на пациента и персонал операционных.
Создание методов анестезии с такими свойствами представляет нелегкую, но очень актуальную для клиники проблему.
Несмотря на широкий арсенал средств, выбор компонентов, пригодных для проведения общей анестезии с сохраненным самостоятельным дыханием пациента, представляет сложную задачу, так как большинство препаратов оказывают угнетающее воздействие на дыхание и другие жизненно важные функции организма.
Использование ингаляционных анестетиков с этой целью мало приемлемо из-за их неизбежной утечки у неинтубированного самостоятельно дышащего пациента, что наносит вред окружающей среде и здоровью персонала операционных.
Недостатки классической нейролептаналгезии (НЛА) и многих внутривенных анестетиков (барбитураты, оксибутират натрия, этомидат и др.) как средств общей анестезии с самостоятельным дыханием освещены в многочисленных публикациях.
При кратковременных мало травматичных вмешательствах (выскабливание полости матки, удаление малых поверхностных образований) на современном этапе развития анестезиологии нет сложностей с обеспечением кратковременной общей анестезии с самостоятельным дыханием пациента благодаря наличию современных гипнотических средств короткого действия (общий анестетик пропофол, бензодиазепиновый транквилизатор мидазолам), применяемых в сочетании с микродозами фентанила или кетамина.
Сложнее обстоит дело с более длительными и травматичными неполостными операциями, широко представленными в разных областях хирургии и онкологии. В онкологии особенно широко распространены радикальные операции на молочной железе и чрезвлагалищные операции по поводу рака шейки матки, которые в большинстве онкологических учреждений выполняются с использованием эндотрахеальной анестезии, хотя не требуют тотальной кураризации пациента и проведения ИВЛ. Это объясняется тем, что эндотрахеальная анестезия с ИВЛ давно стала рутинным, хорошо усвоенным методом анестезиологического пособия, тогда как проведение длительной общей анестезии с самостоятельным дыханием сопряжено с определенными серьезными проблемами, главная из которых - это сложность достижения полноценного уровня анестезиологической защиты пациента без одновременной депрессии дыхания, присущей фактически всем существующим средствам общей анестезии.
Коллективом сотрудников отделения анестезиологии МНИОИ им. П.А. Герцена ранее был разработан и в течение 10 лет успешно применялся метод внутривенной общей анестезии (ВОА) с самостоятельным дыханием (СД) пациентов на основе транквилизатора бензодиазепинового ряда диазепама (реланиума), нейролептика дроперидола в сочетании с микродозами фентанила и калипсола, причем важным и новым достижением была разработка такого баланса доз этих сильнодействующих средств, при котором достигалась полноценная ВОА с сохраненным адекватным самостоятельным дыханием пациента без необходимости ИВЛ. Вместе с тем, метод имел недостатки, заключающиеся, главным образом, в длительной посленаркозной депрессии больных, мышечной слабости, адинамии, которые сохраняются в течение 1-го часа и более после окончания операции и связаны с длительным периодом полувыведения диазепама и его активных метаболитов. Поэтому поиск компонентов и создание на их основе более управляемых, эффективных и безопасных методов анестезии с самостоятельным дыханием пациентов, исключающих центральную посленаркозную депрессию, остается весьма актуальным.
Следующим этапом явилось совершенствование существующего метода ОА с СД на основе диазепама, фентанила, калипсола и дроперидола путем замены плохо управляемого диазепама гипнотиками короткого действия: бензодиазепиновым транквилизатором мидазоламом (дормикум) и гипнотиком пропофолом (диприван).
Мидазолам - новый бензодиазепин короткого действия, который, в отличие от диазепама, обладает в 10 раз меньшим периодом полувыведения и высокой биодоступностью, позволяющими при быстром развитии гипнотического эффекта достигать хорошей управляемости анестезии и раннего пробуждения пациента. Важным свойством мидазолама является его способность потенцировать действие других общих анестетиков и опиоидных анальгетиков, что указывает на целесообразность его использования в комбинации с ними, благодаря чему возможно значительное снижение дозы всех компонентов анестезии и избежать угнетения дыхания и других нежелательных побочных эффектов.
Специального внимания в качестве гипнотического компонента анестезии с самостоятельным дыханием заслуживает небарбитуровый внутривенный анестетик последнего поколения пропофол, отличающийся ультракоротким действием и превосходящий по управляемости эффекта все известные общие анестетики.
Оба препарата в общепринятых дозах имеют определенные побочные эффекты, поэтому мы стремились уменьшить дозы компонентов анестезии за счет взаимного потенцирования, чтобы получить не только полноценную анестезию без депрессии дыхания, но и снизить вероятность побочных эффектов. Нами предпринята попытка разработки оптимальных методов общей анестезии с самостоятельным дыханием пациентов на основе дормикума и дипривана для широко распространенных в онкологии больших неполостных операций (радикальная мастэктомия с лимфаденэктомией и др.).
Для повышения эффективности и снижения доз компонентов общей анестезии использован принцип профилактической анальгезии путем внутримышечного введения за 1 час до начала операции анальгетика периферического действия (АПД) - кетопрофена или баралгина. Исследования, выполненные в МНИОИ им. П.А. Герцена, показали, что применение такой профилактической тактики при больших онкологических операциях позволяет повысить эффективность анестезии, снизить потребность в опиоидном компоненте. Последнее особенно важно при анестезии с самостоятельным дыханием ввиду выраженного депрессивного действия опиатов на дыхание.
Одним из важных аспектов настоящего исследования является определение наиболее рационального (эффективного и безопасного) баланса доз гипнотических (мидазолам, пропофол в сочетанном или моно- вариантах) и центральных анальгетических (фентанил, кетамин) компонентов для получения хорошо управляемой анестезии с адекватным самостоятельным дыханием без существенных побочных эффектов.
Особое внимание уделено оценке качества общей анестезии, важными критериями которой являются сроки посленаркозной реабилитации пациентов, (т.е. время восстановления сознания и речевой функции, способности правильно понимать и отвечать на вопросы, выполнять двигательные тесты, ориентироваться в пространстве и времени) наличие или отсутствие ранних посленаркозных осложнений, таких как головокружение, послеоперационная тошнота, рвота (ПОТР) и продолжительность посленаркозной анальгезии.
Исследование выполнено при участии 447 пациенток общеонкологического и онкогинекологического профиля при выполнении им неполостных операций (радикальная мастэктомия с лимфаденэктомией, радикальная и секторальная резекции молочных желез, ножевая ампутация шейки матки) средней продолжительностью 1,1+0,6 ч. Для оценки состояния больных применяли пульсовую оксиметрию, ЭКГ, динамический контроль АД и ЧСС, КОС и газообмена, уровня глюкозы плазмы как показателя стресса, определение времени восстановления психомоторных функций после окончания анестезии с помощью комплекса простых тестов.
Разработаны, применены и исследованы три метода ВОА с СД. При первом методе (1 группа - 142 чел.) в качестве гипнотического компонента применялся мидазолам (дормикум) в сочетании с фентанилом и калипсолом с предварительным введением АПД; при втором методе (2 группа - 140 чел.) гипнотическим компонентом являлся пропофол (диприван); при третьем методе (3 группа - 165 чел.) использовалось два гипнотика - мидазолам и пропофол (диприван) в сочетании с теми же анальгетическими компонентами.
Преднаркозная подготовка у больных всех трех групп была однотипной. Накануне операции на ночь назначали терапевтическую дозу одного из транквилизаторов бензодиазепинового ряда (тазепам, феназепам) в таблетированной форме. За 2 часа до начала анестезии и операции в/м вводили супрастин в дозе 20 мг, а за 30 мин. до транспортировки в операционную - дормикум 0,07 мг/кг, атропин 0,01 мг/кг и АПД кетопрофен (кетонал) 1,5 мг/кг в/м или баралгин 2-3 мл в/м. АПД назначается с целью превентивной защиты периферических болевых рецепторов, уменьшения реакции на операционную травму, снижения послеоперационного болевого синдрома и уменьшения доз анальгетических компонентов центрального действия. Больные, оперируемые во вторую или третью очередь, получали дормикум для премедикации дважды в общей дозе 0,1 мг/кг. У пациентов старше 70 лет во избежание чрезмерной седации дозу дормикума снижали до 0,05 мг/кг.
Вводную анестезию в 1-ой группе начинали с постепенного (путем титрования) внутривенного введения дормикума до выключения сознания (5-7,5 мг), после чего вводили малые дозы фентанила (0,05-0,1 мг) и калипсола (50-75 мг). С целью профилактики угнетения дыхания все препараты вводятся медленно, в разведении изотоническим раствором натрия хлорида непосредственно перед разрезом кожи. Во 2-ой группе введение в наркоз осуществлялось путем медленного болюсного внутривенного введения субнаркотической дозы дипривана (40-60 мг), после чего вводили небольшие дозы фентанила и калипсола. Индукционная доза дипривана была заведомо снижена для предупреждения возникновения побочных эффектов (брадикардии, гипотензии, депрессии дыхания, миоклоний) и с учетом дополнительного применения фентанила, усиливающего действие дипривана и повышающего вероятность депрессии дыхания. В 3-ей группе дормикум вводили в дозе до 5 мг, по достижении транквилизации средней степени начинали внутривенную инфузию основного гипнотического компонента дипривана с помощью инфузомата (в наших наблюдениях "ВЭДА-2"), либо капельно (200 мг дипривана в 200 мл изотонического раствора хлорида натрия, т.е. 1 мг в 1 мл) со скоростью 60 капель/мин. На этом фоне индукционные дозы фентанила и калипсола уменьшаются примерно вдвое по сравнению с 1-ой группой.
Поддержание анестезии в 1-ой группе осуществляли фракционным введением микродоз компонентов анестезии, учитывая этап операции и клинические критерии ослабления нейровегетативной защиты (увеличение частоты дыхания, мимические реакции), не дожидаясь появления явных признаков недостаточной анестезии (двигательные реакции, повышение АД, увеличение ЧСС). При этом для поддержания сна и обеспечения амнезии до окончания операции, как правило, достаточно общей дозы мидазолама 5 мг (дополнительно к дозам, использованным на этапах премедикации и индукции). Во 2-ой и 3-ей группах поддержание анестезии в большинстве случаев осуществлялось с помощью инфузомата "ВЭДА-2" для медленного непрерывного введения дипривана со скоростью 2-3 мг/кг/ч. Ряд больных 2-ой группы получали диприван болюсно по 20-30 мг каждые 10-15 мин. Поддерживающие микродозы фентанила (0,05 мг) и калипсола (12,5-25 мг) во всех группах вводили каждые 15-20 мин. За 10-15 мин. до окончания операции введение препаратов прекращали. В 3-ей группе на фоне постоянной инфузии дипривана (в среднем 160 мг/ч) отмечается тенденция к снижению дозы фентанила, а доза калипсола достоверно уменьшается почти в 2 раза по сравнению с 1-ой группой (табл. 1).
Таблица 1.
Варианты внутривенной общей анестезии с самостоятельным дыханием пациентов при радикальных неполостных операциях.
Течение ОА с СД во всех трех группах было стабильным. Наилучшие результаты получены при применении 3-го метода с использованием двух гипнотиков в минидозах.
Показатели кровообращения, КОС, глюкозы плазмы оставались в пределах физиологической нормы. Депрессии дыхания и нарушений газообмена не наблюдалось. У 10% пациенток 1-ой группы в возрасте старше 60 лет после пробуждения сохранялись седация и атаксия без нарушений дыхания, которые устранялись введением антагониста бензодиазепиновых рецепторов анексата (0,2 мг в/в). У пациенток 2-ой и 3-ей групп восстановление психомоторных функций происходило спустя 1,8±0,3 и 2,3±0,3 мин. соответственно. Тошноты и рвоты в раннем послеоперационном периоде не было.
Проведенное исследование показало, что разработанные методы эффективны и обеспечивают хороший уровень защиты пациента при выполнении травматичных неполостных онкологических операций. Преимущество следует отдать методу сбалансированной анестезии с использованием двух гипнотиков - мидазолама и пропофола, которые, благодаря взаимному потенцированию, используются в минимальных дозах (значительно ниже общепринятых для каждого из этих компонентов), исключающих возможные побочные эффекты и одновременно сохраняющих их главные полезные свойства (выключение сознания, амнезия, быстрое восстановление психомоторных функций после анестезии). При использовании двух гипнотиков достигается также сокращение до минимума доз центральных антиноцицептивных компонентов (фентанила и калипсола), что практически исключает возможность развития депрессии дыхания. Важным доводом в пользу этого метода является его невысокая стоимость, благодаря небольшому расходу обоих гипнотиков, не превышающему на операцию длительностью 1 ч одну ампулу дормикума (15 мг) и одну ампулу дипривана (200 мг). Наилучший результат достигается именно при использовании комбинации двух гипнотиков.
Читайте также:
- Эффект парциального давления кислорода. Хеморецепторы каротидного узла
- Тактика при переломе соединяющих элементов мостовидных протезов. Рекомендации
- Острые респираторные заболевания. Диагностика причины респираторного заболевания
- Тромбоциты. Структура тромбоцитов. Функции тромбоцитов. Функции гликопротеинов. Зона золя
- Схема катетеризации сердца и сосудов. Пример последовательности катетеризации
