Причины послеоперационной эмпиемы. Пищеводный свищ после операции
Добавил пользователь Владимир З. Обновлено: 21.11.2025
Общие сведения
Желудочный свищ - достаточно редкая патология в абдоминальной хирургии, среди всех наружных (имеющих выход на кожу) свищей пищеварительного тракта встречаются не более чем в 0,5% случаев. Внутренние свищи ранее наблюдались гораздо чаще - в 10-30% случаев всех операций по поводу язвенной болезни желудка и ДПК, однако на фоне совершенствования методик противоязвенной терапии случаи данной патологии стали встречаться гораздо реже.
Несмотря на поиск более совершенной оперативной тактики, летальность при некоторых формах желудочных свищей остается весьма высокой - до 80%. Наиболее неблагоприятное течение имеют свищи, сформировавшиеся на фоне гнойных осложнений у пожилых и истощенных пациентов, при наличии сахарного диабета, проведении лучевой терапии и лечения цитостатиками.
Причины
Чаще всего формирование желудочных свищей связано с той или иной патологией пищеварительного тракта, требующей оперативного лечения. Основные причины образования свищей - гнойно-деструктивный процесс, возникший до или после операции на органах брюшной полости; несостоятельность швов на желудке и коже; частичная непроходимость наложенного анастомоза; инородное тело желудка; травма, ушиб либо гематома желудочной стенки; рак желудка; ишемия и некроз стенки органа.
К возникновению патологии может приводить воздействие радиации, а также ятрогенные причины - ошибки хирургической тактики и послеоперационного ухода за пациентом. Внутренние свищи в подавляющем большинстве наблюдений формируются при наличии пептической язвы желудочно-тонкокишечного анастомоза. В этом случае язва обычно располагается по задней стенке анастомоза, пенетрирует в поперечно-ободочную часть толстого кишечника, в результате чего формируется соустье между желудком и толстым кишечником. Чаще всего такое осложнение встречается после наложения гастроэнтероанастомоза или резекции желудка.
Распад раковой опухоли желудка может приводить к формированию желудочного свища, сообщающегося с окружающими органами - кишечником, желчными путями, поджелудочной железой и т. д. Иногда возможен и обратный механизм образования желудочного свища - при прорыве гнойника из окружающих органов в полость желудка. Причинами образования наружных свищей желудка в 85% случаев являются ятрогенные факторы - расхождение швов после наложения гастроэнтероанастомоза или гастростомы, а также узлов, расположенных в области малой кривизны желудка.
Предрасполагающими к формированию факторами являются присоединение инфекции, травма стенки желудка во время полостных операций, ошибочная хирургическая тактика. Существуют операции, сопряженные с повышенным риском образования свища: релапаротомия на фоне массивного спаечного процесса; операции по поводу травм внутренних органов; пластика грыж передней брюшной стенки; лапароскопия; наложение анастомозов при раке желудка и тонкой кишки, язвенной болезни желудка и ДПК; оперативные вмешательства на желчевыводящих путях.
Классификация
По морфологическому строению свищи могут быть губовидными либо трубчатыми. Губовидный свищ не имеет собственного канала, слизистая желудка спаяна непосредственно с кожей. Такие свищи крайне редко заживают самостоятельно, в большинстве случаев требуют оперативного лечения. Трубчатые свищи имеют хорошо выраженный канал, выстланный эпителием. При прекращении выделения пищевых масс и желудочного сока соустье может закрыться самостоятельно.
Симптомы желудочного свища
Проявления в большой мере зависят от фонового заболевания, обусловившего формирование патологии, а также того, с каким органом сообщается полость желудка. Наружный свищ проявляется мацерацией кожи вокруг свищевого хода, выделением из него пенистого содержимого, недавно съеденной пищи, желудочного сока, повышением температуры тела. В момент созревания свищевого хода клиническая картина может развиваться по типу «острого живота», напоминать клинику перфорации язвы желудка.
Заброс калового содержимого из кишечника по свищевому ходу в желудок вызывает развитие выраженного воспалительного процесса. Характерным для желудочно-кишечных свищей является профузный понос, стеаторея, обусловленные еюнитом и колитом. Кишечная аутоинтоксикация проявляется апатией, головной болью, депрессивными расстройствами. Состояние пациента может оставаться удовлетворительным при малых размерах свища, незначительном забросе калового содержимого в желудок. В этом случае заподозрить свищ бывает тяжело, однако насторожить должно наличие операции на желудке, пептической язвы анастомоза в анамнезе.
Осложнения
К осложнениям относят дерматит, абсцесс, флегмону, гнойные карманы и затеки; энтерит, колит; кровотечение из свищевого хода. Кроме того, свищ желудка может осложняться нарушениями водно-электролитного баланса крови, белкового обмена, недостаточностью функции почек, общим истощением.
Диагностика
Для постановки правильного диагноза абдоминальный хирург может использовать различные методики, но все они направлены на изучение свищевого хода, состояния слизистой желудка и кишечника, взаимоотношений желудка и окружающих его органов, пассажа по пищеварительному тракту. Начинают обследование пациента с клинических и биохимических анализов крови. Для несформированного свища характерны выраженные воспалительные изменения в общем анализе крови: лейкоцитоз, повышение СОЭ, сдвиг лейкоформулы влево.
Сформировавшиеся свищи вызывают биохимические сдвиги: нарушение водно-электролитного состояния и белкового обмена, метаболический алкалоз со значительным снижением уровней хлора и калия, гипопротромбинемию. Для оценки возможности закрытия хода определяется уровень альбумина - достаточным считается показатель альбумина выше 3,5 мг/дл; уровень ниже 2,5 мг/дл в 40% случаев ассоциируется с высокой летальностью.
Большое значение в диагностике придается рентгенологическим методикам. Для оценки состояния моторики ЖКТ, продвижения пищевых масс по тонкому кишечнику проводится рентгенография желудка с контрастированием, рентгенография пассажа бария. В этих же целях применяют динамическую сцинтиграфию пищевода и желудка, статическую сцинтиграфию кишечника.
Основным методом исследования свища является фистулография - введение контрастного вещества в свищевой ход для определения его направления, карманов и затеков. После фистулографии может понадобиться пальцевое исследование широкого свищевого хода. Введение контраста через рот может показать, как выводятся пищевые массы из желудка - преимущественно через желудочный свищ либо через кишечник.
Обязательной является консультация врача-эндоскописта: он должен оценить состояние слизистой оболочки желудка при эзофагогастродуоденоскопии. Во время обследования необходимо найти свищевой ход, определить его размеры, состояние слизистой. Также требуется обязательно осмотреть луковицу двенадцатиперстной кишки для выявления ее перегибов, деформаций, создающих затруднения для продвижения пищи и провоцирующих персистенцию свища. Для определения состояния окружающих желудок органов может потребоваться проведение мультисрезовой спиральной компьютерной томографии - МСКТ брюшной полости.
Дифференциальная диагностика наружных ходов обычно не представляет трудностей при наличии в анамнезе язвенной болезни, рака желудка, операций на органах брюшной полости. Трудности в диагностике могут возникнуть при наличии внутренних соустий. Дифференцировать внутренний желудочный свищ следует с острым холециститом, панкреатитом, перитонитом с наличием межкишечных абсцессов, пептической язвой анастомоза, флегмоной забрюшинной клетчатки, свищами кишечника и других отделов пищеварительного тракта.
Лечение желудочного свища
Лечение проводится в отделении хирургии. При наличии узких эпителизированных свищей возможна консервативная тактика лечения, во всех остальных случаях показана операция. Консультация гастроэнтеролога нужна при значительных потерях белка и жидкости через свищевой ход - специалист произведет расчет необходимых питательных веществ, определит тактику энтерального кормления (частота и объем приемов пищи).
Целью консервативной терапии является попытка закрытия свища или подготовка к оперативному лечению при неэффективности консервативного, перевод несформированного свища в сформированный. Необходимо провести коррекцию водно-электролитных и белковых нарушений, объема циркулирующей крови, антибактериальную терапию. Нужно снизить сброс содержимого желудка по свищевому ходу, произвести санацию слизистой свища, инактивировать желудочный сок и ферменты, попадающие в свищевой ход. Производится защита кожи от агрессивного воздействия желудочного сока.
Большое значение придается организации питания - при значительном сбросе пищи по желудочному свищу возможно даже наложение еюностомы с введением пищи в тонкий кишечник и прекращением кормления больного через рот. Выбор методики операции зависит от общего состояния пациента, длительности функционирования свища, наличия гнойных осложнений, объема выделений по свищевому ходу и его характеристик, эффективности консервативной терапии. Оптимальным сроком иссечения свища является 1,5-2 месяца после его появления, при условии купирования инфекционного процесса, стабилизации состояния пациента.
Прогноз и профилактика
Прогноз достаточно серьезный - смертность при этом заболевании может достигать 20-30%, в зависимости от исходного состояния пациента. Профилактика заключается в своевременном выявлении язвенной болезни и ее лечении. Для предупреждения образования ятрогенных свищей необходимо совершенствовать тактику оперативных вмешательств на желудке.
Трахеопищеводный свищ ( Трахеоэзофагеальная фистула )
Трахеопищеводный свищ - это патологическое соустье, соединяющее просвет дыхательного горла с пищеводом. Может являться аномалией развития или приобретенной патологией. Трахеопищеводный свищ проявляется приступами кашля во время приема пищи, которые сопровождаются удушьем, цианозом, выделением пенистой мокроты с кусочками пищи. Часто развивается аспирационная пневмония. Подтверждающая диагностика проводится с помощью эндоскопических методов (эзофагоскопии, трахеобронхоскопии), рентгенографии пищевода. Лечение исключительно оперативное - закрытие трахеопищеводного свища, нередко с одномоментной трахеопластикой, циркулярной резекцией трахеи, эзофагопластикой.
МКБ-10
Врожденный трахеопищеводный свищ образуется к 4-6-й неделе эмбриогенеза при неполном разделении первичной кишки и дыхательной трубки. При рождении дети с данной аномалией обычно имеют массу тела менее 2500 г.
Природа происхождения приобретенных трахеоэзофагеальных фистул может быть различной. Чаще всего с такой патологией приходится сталкиваться онкологам, а сами свищи возникают в результате далеко зашедшего рака пищевода или трахеи, лимфом, лимфогранулематоза. Второй по распространенности причиной служат травмы пищеварительной и дыхательной трубки (в том числе их ятрогенные повреждения), полученные при проведении эзофагоскопии, бужировании пищевода, перфорации пищевода или трахеи инородными телами, вследствие химических ожогов пищевода, при закрытых и проникающих ранениях шеи и груди. Возможно непреднамеренное повреждение трахеи и пищевода при операционных вмешательствах в этой области.
В анестезиолого-реанимационной практике отмечены случаи образования пролежней от трахеостомической или интубационной трубки, приводящие к формированию трахеопищеводного свища. К числу редких причин относят перфорацию дивертикула пищевода в трахею. Трахеопищеводный свищ может явиться осложнением неспецифической бактериальной инфекции (эмпиемы плевры, абсцесса легкого, гнойного медиастинита) или специфических воспалительных процессов (туберкулеза внутригрудных лимфатических узлов, сифилиса, актиномикоза).
По своему происхождению трахеопищеводные свищи могут быть врожденными или приобретенными в процессе жизни. Различают 5 типов врожденных трахеопищеводных свищей, обозначаемых римскими знаками:
По наличию/отсутствию клапанного механизма трахеопищеводные свищи подразделяются на клапанные и бесклапанные. При единственном дефекте говорят об изолированном свище, при сочетании с другими патологическими процессами трахеи или пищевода - о сочетанном. Клиническое течение трахеопищеводных свищей может быть неосложненным, гладким или осложненным различными состояниями (аспирационной пневмонией, нутритивной недостаточностью и кахексией, бактериальной деструкцией легких, пневмогенным сепсисом и т. д.).
Симптомы трахеопищеводного свища
Клиническая картина, ее выраженность и особенности зависят от времени возникновения, размеров, типа, направления хода свища. Большинство детей с данной аномалией рождаются недоношенными, а доношенные новорожденные имеют признаки внутриутробной гипотрофии. Во время гестации у беременных отмечается многоводие.
Признаки врожденного трахеопищеводного свища с атрезией пищевода появляются уже через несколько часов после рождения. Возникает кашель, приступы удушья, вздутие живота. Во время первого же кормления диагноз становится очевиден. Каждый глоток молока или воды сопровождается приступом кашля, выделением пенистой слизи из носа и рта ребенка. Дыхание затрудняется, развивается резкий цианоз и аритмия, в легких выслушиваются обильные крупнопузырчатые хрипы. Рано присоединяется аспирационная пневмония и ателектазы легких. Состояние ребенка прогрессивно ухудшается.
Наиболее выражены перечисленные признаки при широком и коротком трахеопищеводном свище. При наличии узкого и длинного свищевого хода аномалия долгое время нередко остается нераспознанной. Изредка при кормлении возникает поперхивание и несильный кашель, однако изменение позы кормления избавляет ребенка от приступов, поэтому родители не придает этому факту должного значения. Такие дети страдают частыми пневмониями.
У 40% новорожденных с трахеопищеводным свищом выявляются сопутствующие врожденные пороки сердца, аномалии развития кишечника и мочевыводящих путей. В литературе описан синдром VATER, включающий в себя аномалии развития позвоночника (клиновидные позвонки), атрезию заднего прохода, трахеопищеводный свищ, гипоплазию лучевой кости и дисплазию почек.
Приобретенный трахеопищеводный свищ манифестирует кашлем, удушьем, цианозом, связанными с приемом пищи. В откашливаемом секрете можно обнаружить кусочки еды. При клапанной трахеоэзофагеальной фистуле кашель может отсутствовать. Нередко у больных отмечаются боли в груди и эпигастрии, кровохарканье, рвота с примесью крови, одышка, нарушение фонации, снижение массы тела. Во всех случаях трахеопищеводный свищ сопровождается периодическими подъемами температуры, рецидивирующими легочными инфекциями.
При подозрении на трахеопищеводный свищ пациент нуждается в консультации торакального хирурга, гастроэнтеролога, детского хирурга, эндоскописта, рентгенолога. На первичном этапе используется зондирования пищевода с помощью резинового катетера: если продвижению катетера мешает сопротивление слепого конца пищевода, а при введении в катетер жидкости, окрашенной метиленовым синим, она при кашле выделяется через рот или нос, вероятность трахеопищеводного свища оценивается как очень высокая.
Лучевое исследование включает выполнение рентгеноскопии и рентгенографии легких, эзофагографии, МСКТ грудной клетки. Контрастное исследование пищевода проводят очень осторожно, используя водорастворимые или масляные вещества, которые вводятся через зонд (применение сульфата бария в этих случаях недопустимо). Трахеопищеводный свищ требует проведения тщательной дифференциальной диагностики с изолированной атрезией и стенозом пищевода, гастроэзофагеальным рефлюксом, ахалазией кардии, дисфагией различного генеза.
Эндоскопическая диагностика трахеопищеводного свища остается основной. Для лучшей визуализации патологического соустья и получения максимальной информации о его особенностях, выполняется эзофагоскопия и трахеобронхоскопия. При критическом стенозе трахеи диагностическая трахеоскопия может быть трансформирована в лечебную процедуру путем эндоскопического восстановления просвета трахеи или стентирования стенозированного участка.
Лечение трахеопищеводного свища
Лечение проводится хирургическим путем, консервативная терапия малоперспективна и используется только на этапе подготовки к оперативному вмешательству. С целью удаления скапливающегося секрета производится установка катетера в слепо заканчивающийся конец пищевода, выполняются санационные бронхоскопии. В рамках лечения аспирационной пневмонии назначается оксигенотерапия, антибактериальная и инфузионная терапия, УВЧ на грудную клетку. Для предотвращения попадания пищи в трахеобронхиальное дерево полностью прекращается кормление через рот, осуществляется гастростомия, нутритивная поддержка, витаминотерапия.
Варианты радикального хирургического устранения трахеопищеводного свища могут быть различны. Операция обычно производится из шейного доступа или заднебоковой торакотомии. Длинный свищевой ход выделяют и пересекают между двумя наложенными лигатурами. Дефекты в стенках пищевода и трахеи ушивают погружными швами. При коротком и широком свищевом ходе трахею отсекают от пищевода, после чего на оба дефекта накладывают непрерывный двухрядный шов. Для закрытия дефекта могут использоваться аутоткани (сальник или стенка желудка).
В тех случаях, когда трахеопищеводный свищ сочетается со стенозом трахеи либо атрезией пищевода, производится разобщение свища с одномоментной циркулярной резекцией или пластикой трахеи и/или одномоментной пластикой пищевода. Если имеется большой диастаз между проксимальным и дистальным сегментами пищевода, не позволяющий наложить анастомоз «конец-в конец», верхний отдел пищевода выводят на шею, свищ разобщают и на этом операцию заканчивают.
В межоперационный период питание больного осуществляют через гастростому. На втором этапе производят пластику пищевода желудочным или тонкокишечным трансплантатом. При трахеопищеводных свищах, обусловленных распадом раковой опухоли, ограничиваются паллиативной гастростомией. В послеоперационном периоде продолжается активная противопневмоническая терапия. В первые сутки осуществляется парентеральное питание, затем - кормление через зонд, который оставляют на 7-10 суток.
Прогноз
Из послеоперационных осложнений возможны стенозы в области пищеводных анастомозов, которые подлежат бужированию, и рецидивы свища, требующие повторной операции. Летальность при оперативном лечении трахеопищеводного свища составляет 10-15% и связана, главным образом, с исходно тяжелым состоянием пациента. В то же время при отказе от операции показатели летальности возрастают до 80-90%.
Бронхиальный свищ
Формирование врожденных бронхиальных свищей происходит внутриутробно. Возникновение бронхопищеводных и трахеопищеводных свищей обусловлено неполным разделением дыхательной и пищеварительной систем на определенном этапе эмбриогенеза под влиянием различных факторов, воздействующих на плод (авитаминоза, внутриутробных инфекций, травм, радиации и пр.). В большинстве случаев при таком пороке развития имеется свищевой ход между главным бронхом (обычно правым) и пищеводом. Этиология приобретенных бронхиальных свищей может быть различной:
- Послеоперационные дефекты. Наиболее часто встречаются послеоперационные свищи, обусловленные несостоятельностью культи бронха или ее некрозом, эмпиемой плевры, распространенностью опухолевого процесса по стенке бронха и пр. Как показывают статистические данные, послеоперационные бронхиальные свищи в 2 раза чаще формируются после пневмонэктомий, выполненных по поводу рака легкого, чем после других резекционных вмешательств (лобэктомии, билобэктомии и др.).
- Инфекции легких и бронхов. На втором месте среди причин приобретенных бронхиальных свищей стоят специфические и неспецифические гнойно-деструктивные процессы легких: актиномикоз, туберкулез, абсцесс легкого, бактериальные деструкции легких. Реже к образованию дефекта в стенке бронха приводят спонтанный пневмоторакс, распад раковой опухоли, эхинококкоз легкого, перфорация в бронхиальное дерево дивертикулов пищевода, кисты или абсцесса печени.
- Травматические повреждения. Третья группа факторов, приводящих к формированию бронхиальных свищей, связана с закрытыми травмами грудной клетки, ранением легкого и пр.
Патогенез
Кроме деления на врожденные и приобретенные, бронхиальные свищи подразделяются на единичные (62%) и множественные (38%, в т. ч. «решетчатое легкое»). С учетом этиологического фактора они могут иметь посттравматическое, постинфекционное, послеоперационное происхождение. В зависимости от уровня локализации различают свищи главных, долевых, сегментарных, субсегментарных бронхов и альвеолярные фистулы. В клинической практике наибольшую ценность представляет анатомическая классификация, в рамках которой выделяют:
Наружные (торакобронхиальные) свищи
Внутренние свищи
Симптомы бронхиальных свищей
Критериями, определяющими симптоматику бронхиальных свищей, выступают их анатомические особенности, диаметр, сроки образования дефекта, наличие или отсутствие инфекционного процесса. К числу общих симптомов, сопровождающих развитие патологии, относятся признаки интоксикации (лихорадка с ознобами, слабость, разбитость, головная боль, плохой аппетит) и дыхательной недостаточности (цианоз, одышка, боли в грудной клетке). Кроме этого, для различных видов бронхиальных свищей характерны свои специфические проявления.
Наружные (бронхокожные, бронхоплеврокожные) свищи характеризуются наличием видимого дефекта на коже грудной стенки, из которого периодически отходит слизистое или слизисто-гнойное отделяемое, а при кашле и натуживании может выделяться воздух. Попадание в свищевой ход воды провоцирует возникновение резкого приступообразного кашля и приступа удушья. Иногда снятие окклюзионной повязки вызывает усиление кашля, одышки и цианоза, нарушение голоса вплоть до афонии.
Бронхиальные свищи, сообщающиеся с «сухой» плевральной полостью, проявляются сухим кашлем или откашливанием незначительного количества слизистой мокроты. При бронхоплевральных свищах, развившихся на фоне гнойного плеврита, общее состояние больных отягощается гнойно-резорбтивной лихорадкой, интоксикацией, истощением. Отмечается отхождение большого объема гнойной, зловонной мокроты при кашле, выраженная одышка, выделение воздуха из плеврального дренажа, подкожная эмфизема. Клинику бронхолегочных свищей определяют субфебрилитет, кашель с выделением слизисто-гнойной мокроты, потливость, слабость.
Основным признаком бронхоорганных свищей служит откашливание больным содержимого того органа, с которым сообщается бронх: съеденной пищи, желчи, желудочного или кишечного содержимого. Врожденные трахео- и бронхопищеводные свищи могут быть заподозрены вскоре после рождения ребенка на основании поперхивания при кормлении, вздутия желудка, развития аспирационной пневмонии. Основным проявлением приобретенных свищей служит кашель, связанный с приемом жидкости и пищи, иногда - удушье.
Длительное течение бронхиальных свищей может привести к возникновению пневмонии и хронической эмпиемы плевры. Возможны осложнения в виде кровохарканья или легочного кровотечения, аспирационной пневмонии другого легкого. Системные последствия представлены сепсисом, массивным внутренним кровотечением, висцеральным амилоидозом.
При осмотре пациента с предполагаемым диагнозом «бронхиальный свищ» обращает внимание цианоз кожи и слизистых, одышка, тахикардия, характерная деформация концевых фаланг пальцев («барабанные палочки», «часовые стекла»). Аускультация выявляет рассеянные разнокалиберные хрипы.
Бронхокожные свищи, открывающиеся на поверхности грудной стенки, обнаруживаются визуально. С диагностической целью может быть проведено зондирование свища с введением водного раствора метиленового синего. Возникновение кашля с выделением окрашенной мокроты подтверждает наличие бронхиального свища. Для получения информации о протяженности и конфигурации свищевого хода производится фистулография с контрастными веществами. В ряде случаев уточнить локализацию, количество, размеры свищевых ходов позволяет диагностическая торакоскопия, выполняемая через свищевое отверстие в грудной стенке.
Лечение бронхиальных свищей
В большинстве случаев бронхиальные свищи требуют оперативного лечения. Вместе с тем, в отношении некоторых фистул бронхов может быть применена консервативная тактика. Лечением данной патологии должны заниматься торакальные хирурги, владеющие всем арсеналом методов ведения больных с бронхиальными свищами. Консервативное лечение бронхиальных свищей предполагает проведение мероприятий по санации гнойных полостей: дренирование плевральной полости, промывание антисептическими растворами, введение протеолитических ферментов и антибиотиков, удаление инородных тел, наложение аппарата активной аспирации и т. п. После облитерации остаточных полостей возможно самострельное закрытие небольших бронхиальных свищей.
Имеется положительный опыт ликвидации свищей с помощью химического прижигания или электрокоагуляции фистулы, позволяющих разрушить эпителиальную выстилку и стимулировать рост соединительной ткани в канале. При крупных фистулах может применяться временное эндоскопическое закрытие свищнесущего бронха специальной поролоновой пломбой - такая тактика позволяет осуществить лаваж гнойной полости и создать благоприятные условия для оперативной ликвидации бронхиального свища.
Консервативное лечение бронхиальных свищей оказывается успешным лишь в 10-12% случаев, поэтому большинству пациентов показано оперативное закрытие дефекта. Для оперативного устранения торакобронхиального свища может выполняться его иссечение с последующим ушиванием, мышечная пластика лоскутом на ножке. При послеоперационных свищах показано выполнение реампутации культи бронха. Устранение пищеводно-бронхиальных свищей требует ушивания дефектов со стороны пищевода и бронха, возможно - резекции измененной части легкого. Закрытие бронхоплеврального свища может производиться с помощью интраплевральной торакопластики или декортикации легкого.
Исход и перспективы выздоровления зависят от причины, приведшей к формированию бронхиального свища, полноты, адекватности и своевременности лечебных мероприятий. Наиболее серьезный прогноз и высокая летальность (30-70%) отмечается при послеоперационных свищах, осложненных эмпиемой плевры. При возникновении бронхиального свища выжидательная тактика недопустима; необходимо как можно более раннее начало консервативных мероприятий, проведение хирургического вмешательства после необходимой подготовки. Профилактика приобретенных бронхиальных свищей заключается в соблюдении техники обработки культи бронха, своевременной терапии гнойно-деструктивных заболеваний легких, предупреждении травм грудной клетки.
1. Лечение постпневмонэктомических бронхиальных свищей в торакальной онкохирургии: обзор литературы и собственный опыт/ Душко Н.Е.// Клиническая онкология. - 2015 - №2 (18).
2. Хирургическая тактика при бронхиальных свищах после пневмонэктомии/ Худайбергенов Ш.Н., Ирисов О.Т., Хаялиев Р.Я., Эшонходжаев О.Д.// Клиническая медицина Казахстана. - 2013 - №2 (28).
3. Трахеофибробронхоскопия в лечении бронхиальных свищей/ Худайбергенов Ш.Н., Ирисов О.Т., Хаялиев Р.Я., Эшонходжаев О.Д.// Клиническая медицина Казахстана. - 2013 - №2 (28).
Причины послеоперационной эмпиемы. Пищеводный свищ после операции

Свищ пищевода - это появление соединения между пищеводом и окружающими его органами и тканями. Наиболее часто свищи формируются между пищеводом и трахеей, бронхами (пищеводно-трахеальные и пищеводно-бронхиальные), либо с плеврой и средостением (пищеводно-плевральные и пищеводно-медиастинальные).
Приобретенные свищи пищевода являются тяжелым заболеванием и требуют в своем лечении комплексного и персонифицированного подхода.
Причины появления свищей
Частой причиной развития приобретенных свищей являются гнойно-воспалительные осложнения после операций на пищеводе, легких и средостении.
Другими причинами могут служить:
- прорастание злокачественной опухоли,
- перфорация дивертикула пищевода и пептической язвы пищевода,
- туберкулез,
- абсцесс легкого,
- актиномикоз,
- перфорация при эзофагоскопии и бужировании пищевода,
- открытые и закрытые повреждения шеи, груди и живота.
Известны свищи опухолевого происхождения, травматические, а также свищи, возникающие при специфическом и неспецифическом воспалении.
Наиболее часто образуются свищи при злокачественных опухолях. Как правило, они возникают при распаде раковой опухоли пищевода, прорастающей в трахею и бронхи.
Чем опасны свищи
При формирования свищей пищевода возникает контакт внутренней среды организма с внешней. Бактерии извне проникают внутрь, запуская инфекционный процесс в грудной клетке. Это может приводить к развитию пневмонии, эмпиемы плевры, медиастинита.
Свищи пищевода являются относительно редким заболеванием, и настороженность врачей в плане их выявления снижена, что приводит к поздней диагностике, неправильной тактике лечения, несвоевременной специализированной помощи и нередко - к летальному исходу.
Виды свищей
Свищ пищевода может возникать в любом его отделе. Различают наружные и внутренние свищи пищевода в зависимости от того, куда именно происходит «открытие» свища.
- Наружные свищи открываются непосредственно в окружающую среду, на кожу (например, наружный свищ в шейном отделе).
- Внутренние свищи сообщаются, соответственно, с внутренними органами.
В результате появления «соединения» или канала между пищеводом и внешней или внутренней средой происходит поступление содержимого пищевода (съеденной пищи и слюны) в соответствующий орган или полость.
Наиболее тяжело протекающими являются пищеводно-респираторные свищи, при которых происходит попадание содержимого пищевода в легкие через трахеобронхиальное дерево. Это приводит к развитию хронического аспирационного синдрома и, зачастую, к рецидивирующей аспирационной пневмонии.
Симптомы
Симптоматика свищей пищевода зависит от его локализации, длительности заболевания, характера свища, размера, степени вовлечения окружающих структур.
Клинические проявления свищей пищевода значительно варьируют и во многом зависят от основного заболевания/состояния, которое привело к формированию свища у данного пациента.
К пищеводным симптомам при свищах относятся:
- затруднение при проглатывании пищи (дисфагия),
- боли при проглатывании,
- срыгивание съеденной пищей.
При наружном свище на коже отмечается появление свищевого хода (отверстия), из которого поступает содержимое, обычно, гноевидного характера с развитием воспалительных изменений в области свища.
Более сложным является диагностика внутренних свищей.
У большинства пациентов развиваются гнойно-вопалительные осложнения со стороны респираторной системы:
- гнойный бронхит,
- пневмония,
- бронхообструктивный синдром,
- абсцесс и гангрена легких,
- сепсис.
При отсутствии связи с трахеобронхиальным деревом такой яркой клинической картины может не быть. Заподозрить развитие пищеводного свища возможно по неспецифическим симптомам. К ним относятся:
- повышение температуры тела (от субфебрильных цифр до лихорадки),
- немотивированная слабость,
- одышка,
- снижение массы тела,
- серый или цианотичный оттенок кожных покровов.
Диагностика свищей пищевода должна носить комплексный характер.
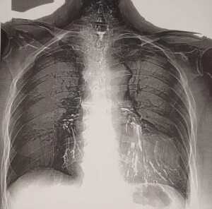
- Обязательным является проведение рентгенографии и рентгеноскопии пищевода с водорастворимым контрастным веществом (барий использовать не рекомендуется, рисунок 1, 2).

Пищеводно-респираторный свищ при рентгенографии/рентгеноскопии пищевода

Остатки бария сульфата в бронхах у пациентки с пищеводно-бронхиальными свищами
- Эзофагогастродуоденоскопия для оценки состояния пищевода и верхних отделов желудочно-кишечного-тракта.
- Фибробронхоскопия для оценки состояния трахеобронхиального дерева и возможной верификации зоны свища.
- Сочетанная фибробронхоскопия и эзофагоскопия в том числе с применением красителей (метиленового синего).
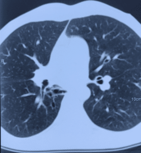
- Мультиспиральная компьютерная томография шеи, органов грудной клетки и/или брюшной полости для обнаружения зоны свища, скоплений жидкости, оценки степени поражения легочной паренхимы, плевральной полости и средостения (рисунок 3).

Вторичные бронхоэктазы и пневмофиброз нижней доли правого легкого у пациента с пищеводно-бронхиальным свищом и тотальной ожоговой стриктурой пищевода.
Лечение свища пищевода
Лечение может быть консервативным и хирургическим.
Первой задачей является исключение поступления пищи и жидкости в пищевод, что достигается за счет отказа от перорального питания (через рот). Для обеспечения питания пациента в этом случае может быть применено:
- парентеральное питание,
- назоинтестинальный зонд с установкой последнего за связку Трейтца,
- формирование гастростомы или энтеростомы.
С целью предотвращения рефлюкса содержимого желудка в пищевод в отдельных случаях может быть рекомендовано проведение фундопликации.
Обязательным является проведение нутритивной поддержки и антибактериальной терапии. В зависимости от тяжести состояния больного и вовлечения органов грудной клетки и брюшной полости в инфекционный процесс может быть проведено дренирование скоплений жидкости в области свища.
При бесперспективности консервативного лечения, прогрессировании признаков инфекционного процесса показано проведение радикального хирургического лечения.
Хирургический доступ зависит от локализации свища (на шее, в грудной клетке, в брюшной полости).
В зависимости от состояния болезни, операция может проводиться с сохранением или удалением пищевода.
При возможности выполнения органосохраняющей операции:
- Свищевой ход выделяют и иссекают.
- Дефекты стенки пищевода и другого органа поочередно ушивают.
- Линию швов дополнительно укрепляют местными тканями (плеврой, перикардом, мышцей, диафрагмой, сальником и т.п.).
В большинстве случаев при запущенных состояниях: хирургическое лечение может закончиться удалением пищевода с формированием эзофагостомы (для дренирования слюны) и гастро-энтеростомы для обеспечения энтерального питания.
После стабилизации состояния пациента, купирования инфекционного процесса, стабилизации массы тела пациенту будет предложено проведение реконструктивного вмешательства на пищеводе, которое включает проведение загрудинной пластики пищевода (рисунок 4).

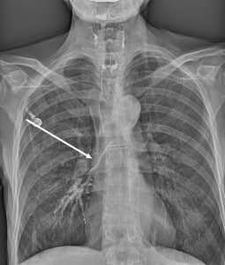
Пациент с этапным лечение пищеводно-бронхиального свища на фоне тотальной ожоговой стриктуры пищевода и ожоговым стенозом желудка. 1-м этапом пациенту была выполнена эзофагогастрэктмоия с формиованием эзофагостомы м энтеростомы для питания, лобэктомия нижней доли правого легкого. Через 3 месяца пациент поступил для проведения реконструктивного вмешательства на пищеводе. Стрелкой указана эзофагостома на шее (согласие пациента на публикацию фото получено).
Лечение в отделении торакоабдоминальной хирургии и онкологии
Приобретенные свищи пищевода являются грозным потенциально жизне-угрожающим заболеванием!
При подозрении на возникновение свища необходимо консультация в специализированном хирургическом отделении, имеющем опыт лечения пациентов со свищами пищевода и реконструктивных вмешательств.
Целесообразным представляется проведение этапного лечения данного заболевания. Положительный результат лечения можно получить при своевременной диагностике этой патологии, правильном планировании лечения и выполнения хирургического вмешательства в высокоспециализированном хирургическом стационаре.
Наше отделение имеет большой опыт лечения пациентов с приобретенными свищами различной локализации, как с проведение консервативного лечения, так и различных вариантов хирургических вмешательств (органосохраняющих, эзофагэктомии с последующим реконструктивным вмешательством и т.д.).
Лечение в отделении проводится по программам ОМС, ДМС, ВМП, а также на коммерческой основе.
Читайте, как попасть на лечение в отделение торакоабдоминальной хирургии и онкологии РНЦХ.
Для записи на консультацию позвоните по телефонам:
Отправьте заявку на консультацию, заполнив форму на нашем сайте и прикрепив необходимые документы.

Лечение заболеваний желудка в РНЦХ им. акад. Б.В. Петровского
В ГНЦ ФГБНУ «РНЦХ им. акад. Б.В. Петровского» хирургия желудочно-кишечного тракта, в том числе желудка, успешно практикуется уже более 50 лет. Лечение в отделении торакоабдоминальной хирургии и онкологии проводится по программам ОМС, ДМС, ВМП, а также на коммерческой основе.

Виды свищей и причины их возникновения
По механизму формирования свищи желудка можно разделить на:
- патологические;
- искусственные, т.е. создаваемые специально.
В последнем случае мы говорим о гастростомии, специальной хирургической процедуре, направленной на создание соединения между внешней средой и полостью желудка для обеспечение питания или удаления патологического содержимого из него (декомпрессии), что будет рассмотрено отдельно.

Гастростома для питания
Свищи желудка, сформированные в результате патологического процесса, наиболее часто связаны с перфорацией язвы желудка либо с развитием осложнений хирургических вмешательств на нем (резекция желудка, формирование желудочно-тонкокишечного анастомоза и т.д.). Более редкими причинами формирования свищей желудка являются травмы, перфорация инородным телом, распад опухоли и другие.
По классификации свищи желудка могут быть:
- наружными и внутренними,
- трубчатыми и губовидными,
- сформировавшимися и несформировавшимися,
- полными и неполными.
- желудочно-толстокишечные (желудочно-ободочные),
- желудочно-тонкокишечные.
Внутренние свищи желудка
Возникновение внутренних свищей желудка связано с прободением язвы желудка в поперечно-ободочную кишку, желчный пузырь, общий желчный проток и прочее.
К примеру, желудочно-ободочный внутренний свищ формируется вследствие пенетрации пептической язвы анастомоза в поперечно-ободочную кишку с последующей перфорацией в просвет последней. Возникновение подобного свища наиболее часто имеет место после гастроэнтеростомии, реже — после резекции желудка.
Наружные свищи желудка
Наружные желудочные свищи встречаются крайне редко и в основной массе случаев (85%) являются ятрогенными. Они могут возникать вследствие несостоятельности швов желудочно-кишечного анастомоза, швов гастостомы, швов, формирующих малую кривизну желудка. Как правило, к формированию наружного желудочного свища приводит повреждение его стенки в результате травмы или незаживающая гастростома.
В случаях, не связанных с оперативным вмешательством, свищи, как правило, являются следствием облучения, злокачественных опухолей, воспаления, травмы стенки желудка и ее ишемии.
Общие причины образования свищей
- воспалительно-деструктивный процесс в брюшной полости, продолжающийся или возникающий после операции;
- несостоятельность швов анастомозов, ушитой раны (язвы), культи кишки или желудка;
- частичная кишечная непроходимость, возникшая в послеоперационном периоде;
- травмы желудка или кишки (ушибы, гематомы, разрывы);
- инородные тела в брюшной полости;
- злокачественные опухоли;
- некротические изменения в стенке желудка и/или кишки вследствие расстройства кровообращения;
- технические и тактические ошибки оперативного вмешательства;
- радиационное воздействие.
Клиническая картина и симптомы
При формирующихся свищах, возникающих как осложнения хирургических вмешательств клиническая картина обычно включает наличие свищевого хода на коже передней поверхности брюшной стенки в проекции желудка (при наружном свище). Либо признаки интоксикации, лейкоцитоза, обусловленные попаданием содержимого желудка во внутренние органы.
При сформировавшихся наружных свищах в клинической картине преобладают местные симптомы:
- промокание повязки выделениями со специфическим запахом,
- истечение через дренажную трубку из контрапертуры или через лапаротомную рану пенистой желчной жидкости с гноем, иногда с непереваренной едой;
- мацерация кожи вокруг раны;
- повышение температуры тела после операций, проведенных на желудке и двенадцатиперстной кишке.
При формировании желудочно-ободочного свища, когда имеется соединение между желудком и толстой кишкой, возможно появление таких симптомов, как:
- каловый запах изо рта,
- каловая отрыжка,
- каловая рвота (степень примеси кала при рвоте зависит от размеров свища),
- понос с содержанием непереваренной пищи в кале,
- быстрое похудание,
- появление отеков вследствие нарушения белкового обмена.
Развитие тяжелого хронического колита обуславливает возникновение характерного профузного поноса, при этом в каловых массах обнаруживают непереваренную пищу. Хронический энтерит также приводит к упорному поносу, обезвоживанию, истощению, безбелковым отекам, анемии, отмечается стеаторея.
- Рентгенологическое исследование желудка с водорастворимым контрастом позволяет выявить попадание контраста за его пределы. Дополнительным методом исследования при наружных свищах является фистулография - введение контрастного вещества через свищевой ход для оценки его протяженности и локализации. При подозрении на желудочно-ободочный свищ полезной может оказаться проведение ирригографии, рентгенологического исследования толстой кишки с контрастом.

Ирригография для исследования толстой кишки

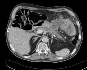
Желудочно-ободочный свищ в результате прорастания и распада опухоли селезёночного изгиба ободочной кишки. МСКТ
Осложнения свищей
К осложнениям желудочных свищей относят:
- Связанные с возникновением свища изменения в организме обусловлены потерей через наружный свищ белков, жиров, углеводов, витаминов, воды, электролитов и ферментов с развитием кахексии, почечной и печеночной недостаточности;
- Мацерация (дерматит) на коже в области свища в связи с агрессивным воздействием желудочного содержимого;
- Возможные местные осложнения (абсцессы, флегмона брюшной стенки, гнойные или каловые (при желудочно-ободочных свищах) затёки, выпадения кишки, парастомальные грыжи, кровотечения из свища).
Лечение свищей
Лечение свищей желудка может быть консервативным и оперативным.
При формирующихся внутренних трубчатых свищах выключение желудка из пищеварения в большинстве случаев позволяют добиться закрытия свища без операции. Для этого используется голод, зондовое питание через зонд, установленный за связку Трейтца либо полное парентеральное питание, патогенетическая (антибактериальная) и симптоматическая терапия.
При сформированных губчатых свищах консервативное лечение обычно неэффективно. Требуется иссечение свища и закрытие, в том числе и с проведением резекционных оперативных вмешательств на желудке и ободочной кишке.
Читайте, как попасть на лечение в отделение торакоабдоминальной хирургии и онкологии РНЦХ.
Читайте также:
