Рентгенография верхней, нижней глазничной щели и канала зрительного нерва
Добавил пользователь Владимир З. Обновлено: 19.12.2025
Зрительный нерв — структура системы зрения, которая сформирована нервными волокнами ганглиозных клеток сетчатой оболочки глаза. Нервные волокна из центральной части сетчатки образуют центральные пучки зрительного нерва, из периферической части сетчатки — латеральные (боковые). Это учитывается при диагностике и определении качества повреждения зрительного нерва.
Актуальность
Многие нарушения зрения развиваются вследствие поражения проводящих нервных путей, а не органических повреждений структур глаза.
Нормальное зрение обеспечивается путем четкого функционирования 3 составляющих зрительной системы:
- Анатомические структуры зрительного анализатора (глаза);
- Проводящие нервные пути (по которым импульсы от сетчатой оболочки достигают зрительных центров коры больших полушарий);
- Участки коры головного мозга (зрительные центры больших полушарий, преимущественно шпорная борозда).
Врожденные или приобретенные патологии со стороны проводящих нервных волокон являются частой причиной ухудшения зрения вплоть до полной слепоты. Медики разделяют патологии такого характера в зависимости от их возникновения:
- Первичные (возникли впервые);
- Вторичные (развились на фоне других заболеваний зрительной системы или патологи системного характера).
Поражения проводящих путей зрительной системы не всегда проявляются в начальные периоды развития заболевания.
Но от своевременно и рационально подобранной лечебной тактики зависит скорость их прогрессирования, восстановление качества зрения и улучшения качества жизни человека.
Строение

Зрительный нерв — структура системы зрения, которая сформирована нервными волокнами ганглиозных клеток сетчатой оболочки глаза. Нервные волокна из центральной части сетчатки образуют центральные пучки зрительного нерва, из периферической части сетчатки — латеральные (боковые). Это учитывается при диагностике и определении качества повреждения зрительного нерва.
Кровоснабжается преимущественно ветвями глазничной артерии. Зрительный нерв состоит более чем из миллиона нервных волокон, в длину составляет от 35 до 55 мм в зависимости от строения черепа. Помимо нервных волокон в гистологическом строении зрительного нерва принимает участие нейроглия, которая выполняет поддерживающую и питательную функции.
Левый и правый зрительные нервы образуют перекрест — хиазму. Здесь происходит перекрест 75% нервных волокон двух зрительных нервов. 25% остаются не перекрещенными. При этом волокна, расположенные ближе к центру зрительного нерва, перекрещиваются, а расположенные по периферии — нет.
Патологии
В зависимости от характера поражения и патологической симптоматике все заболеваний зрительного нерва офтальмологи подразделяют на группы:
- Воспалительного характера (невриты);
- Сосудистые (ишемическое поражение зрительного нерва);
- Специфического характера (сифилитические, туберкулезные поражения);
- Опухолевые;
- Заболевания, связанные с механическим повреждением зрительного нерва;
- Патологии, связанные с нарушением циркуляции ликвора в межоболочечных пространствах зрительного нерва;
- Токсические;
- Аномалии развития.
Для диагностики этих заболеваний офтальмологи оценивают жалобы пациента во время опроса, обращают внимание на динамику клинических проявлений, интенсивность и скорость прогрессирования патологических симптомов.
Нередко производится осмотр глазного дна посредством использования фармакологических препаратов, которые временно вызывают мидриаз (расширение зрачка).
Во время исследования тщательно изучают состояние ЗН.
Определение остроты центрального и периферического зрения во время комплексной диагностики часто позволяет офтальмологам выявить характер поражающих процессов. Например, при воспалительных или дегенеративных реакциях, которые затрагивают только наружные слои ЗН, сначала ухудшается острота зрения по периферии, сужаются границы периферического зрения.
К инструментальным методам обследования патология ЗН и хиазмы относятся клинические, рентгенологические и электрофизиологические методики.
- Клинические: офтальмохромоскопия, диагностика светочувствительности, цветоощущений, УЗ обследование глазного яблока и орбиты, допплерография сосудов, питающих ЗН.
- Рентгенологические: Обзорная рентгенография черепа и глазниц в различных плоскостях, компьютерная томография.
- Электрофизиологические: исследование электрической чувствительности и лабильности зрительного нерва, запись вызванных потенциалов.
Для проведения диагностики наша клиника предлагает своим пациентам целый комплекс современных аппаратов и методик, позволяющих гарантированно в кратчайшие сроки добиться наилучших результатов.
Наиболее часто диагностируемые патологии зрительного нерва и хиазмы
Застой зрительного нерва
Зрительный нерв окружен несколькими оболочками. Межоболочечное пространство заполнено спинномозговой жидкостью. Эта жидкость, или ликвор, постоянно находится в движении и направленна к III желудочку (полая структура, которая относится к среднему мозгу, локализируется в промежутке между зрительными буграми).
Застойные явления и венозный стаз — главные патологические процессы этого заболевания. Они являются результатом накопления ликвора в пространствах между оболочками вследствие нарушения его оттока из полости III желудочка. Патологические изменения четко визуализируются во время исследования офтальмологом глазного дна.
Частая причина нарушения оттока ликвора из III желудочка - выраженная внутричерепная гипертензия, которая развивается вследствие:
- Появления и роста опухолевидного новообразования в полости черепа;
- Обширное кровоизлияние головного мозга;
- Закрытые черепно-мозговые травмы;
- Менингит и др.
В офтальмологии выделяют 5 стадий тяжести застоя зрительного нерва, которые зависят от степени проявления патологических процессов:
- Начальная;
- Выраженная;
- Резко выраженная;
- Застой с переходом в атрофию;
- Атрофия зрительного нерва.
Продолжительный застой и отечность зрительного нерва способствуют прогрессированию ухудшения зрения, снижения остроты, появлению размытых пятен в поле зрения.
После установки диагноза может потребоваться проведение дополнительных методов обследования для определения причины застоя ликвора в межоболочечных пространствах (МРТ, КТ, ангиография сосудов головного мозга и др.).
Лечебные мероприятия должны быть направлены на устранение причины застойных явлений и снижение внутричерепного давления.
Воспаления зрительного нерва
Воспаление зрительного нерва может появиться как осложнение уже имеющегося воспаления в организме. К воспалительным процессам, провоцирующим развитие неврита, относятся:
- Воспаление оболочек головного мозга (менингиты);
- Воспалительные процессы в носовых пазухах (синуситы (гайморит, фронтит));
- Персистирующие инфекционные патологии, возбудителем которых является вирус (грипп, парагрипп).
Воспалительный процесс может переходить на зрительный нерв, как через окружающие ткани, так и гематогенно (через кровеносное русло).
В зависимости от локализации воспалительного процесса на определенном участке зрительного нерва заболевания такого характера подразделяют:
- Неврит или папиллит. Воспаление локализируется в интраокулярной области. Поражается диск зрительного нерва, что отчетливо визуализируется при обследовании глазного дна. Появляется постепенно, часто пациенты не предъявляют никаких жалоб, заболевание протекает бессимптомно, скрыто, общее состояние не страдает. Единственным признаком может быть ухудшение зрительных функций.
Иногда к жалобам на ухудшение зрения могут добавляться ощущения дискомфорта или боли в области глазницы.
Легкие формы заболевания при своевременной и правильно подобранной лечебной тактикой быстро лечатся, качество зрения полностью восстанавливается, а патологическая симптоматика нивелирует.
В тяжелых случаях полного восстановления зрения не происходит, может развиться атрофия зрительного нерва.
- Ретробульбарный неврит. Воспаление располагается за пределами глазного яблока и не затрагивает диск зрительного нерва. При этом никаких патологических проявлений на глазном дне в начальном периоде заболевания не обнаруживается. Со временем при прогрессировании и появлении атрофии ЗН может определяться побледнение ДЗН.
Лечение невритов происходит в стационаре. Применяются фармакологические препараты из группы стероидных и нестероидных противовоспалительных средств, витамины группы В и С, десенсибилизирующая и дезинтоксикационная терапия.
При условии, что достоверно определена причина неврита, проводят этиотропное лечение.
Атрофия зрительного нерва
Зачастую данная патология не является самостоятельной и возникает ка результат уже имеющихся заболеваний. Атрофия тканей ЗН появляется вследствие продолжительного сдавления, отека, существенного нарушения трофики из-за поражения сосудов.
- Невриты;
- Застой ДЗН;
- Выраженный атеросклероз сосудов, питающих ЗН;
- Гипертоническая болезнь;
- Токсические отравления (напр. хинином).
Зачастую атрофия ЗН — вторичная патология, возникающая на фоне уже имеющихся отклонений. Однако существует и первичная атрофия ЗН — наследственная, сцепленная с полом.
Лечение этой патологии подразумевает под собой употребление фармакологических препаратов из групп:
- Вазодилататоров (препараты, расширяющие сосуды и улучшающие трофику тканей ЗН);
- Ангиопротекторов (средства, улучшающие состояние сосудистой стенки);
- Антиоксидантов;
- Нейротрофических препаратов.
Также используется электро- и магнитостимуляция.
Врач-офтальмолог «Московской глазной клиники» Миронова Ирина Сергеевна рассказывает что такое атрофия зрительного нерва или оптическая нейропатия. Объясняет классификацию, причины, клинику, диагностику и лечение заболевания.

Опухолевидные новообразования
Наиболее опасным и относительное часто встречаемым злокачественным новообразованием является ретинобластома. Ее диагностируют у детей в первые месяцы/годы жизни. Лечение хирургическое.
Опухолевидные новообразования ЗН — редкие патологии.
Менингиомы — опухоли, которые формируются и растут из эндотелия, расположенного между твердой и паутинной оболочками ЗН. При прогрессирующем росте часто выходят за пределы твердой оболочки.
Глиомы — доброкачественного характера, развиваются из клеток глии, не метастазируют, однако могут интенсивно расти, распространяться за пределы хиазмы, поражать одновременно 2 ЗН и приводить к полной слепоте.
Наиболее характерными первыми проявлениями роста опухоли являются снижение остроты зрения, уменьшение полей зрения. Выпячивание глазного яблока наружу (экзофтальм) — также характерный симптом роста опухолевидного новообразования, однако появляется и прогрессирует медленно, не всегда ярко выражен, а подвижность глазного яблока сохраняется в полном объеме.
Лечение — хирургическое удаление опухоли, в тяжелых случаях требуется удаление глазного яблока.
Аномалии развития зрительного нерва
Наиболее распространенная — гипоплазия ЗН. Характеризуется уменьшением диаметра ДЗН. Это происходит из-за снижения количества аксонов, формирующих зрительный нерв. Опорная ткань развита в пределах нормы. Встречается односторонняя и двухсторонняя гипоплазия.
Острота зрения значительно варьирует и зависит от степени поражения ЗН. Показатели колеблются от 1,0 до отсутствия светочувствительности и полной слепоты. При исследовании остроты зрения диагностируются различные скотомы — выпадения участков зрения в центральной части или по периферии.
Часто сопровождает такие заболевания, как врожденная катаракта, микрофтальм, аметропия.
Наиболее показательным тестом, который позволяет достоверно выставить диагноз гипоплазия ЗН у детей является регистрация вызванных зрительных потенциалов.
Наши цены
Стоимость лечения зависит от выбранного метода (аппаратное или хирургическое), количества рекомендованных процедур и т.д. Комплексное обследование в нашей клинике от 4 000 руб. С ценами на все виды диагностических исследований, процедур на аппаратах и хирургические вмешательства можно посмотреть здесь.
Рентгенография глазницы
Рентгенография глазницы позволяет оценить состояние как самой костной полости, в которой расположены глаз и слезные железы, так и кровеносных сосудов, нервов, мышц и жировой клетчатки. Из-за склонности тонких костей глазницы к переломам данное диагностическое исследование обычно назначают при челюстно-лицевой травме. Специальные рентгенологические методы позволяют обнаружить инородные тела, не видимые офтальмоскопом. В некоторых случаях, требующих детализации, рентгенографию как ценный метод диагностики заболеваний глаза и глазницы сочетают с КТ и УЗИ.
- Облегчить диагностику переломов и заболеваний глазницы.
- Облегчить выявление инородных тел глазницы и глазного яблока.
Подготовка
- Следует объяснить пациенту, что для оценки состояния глазницы ему выполнят несколько снимков.
- Пациенту объясняют суть исследования и сообщают, кто и где будет проводить исследование.
- Следует успокоить пациента, заверив, что исследование обычно безболезненное, но может причинить неудобства при укладке в случае травмы лица и что во время исследования его попросят повернуть голову в одну и другую сторону, а также согнуть и разогнуть шею.
- Перед исследованием пациента просят снять все украшения и металлические предметы.
Процедура и последующий уход
- Пациента укладывают на рентгеновский стол или усаживают в кресло и просят не двигаться, пока делаются снимки.
- Обычно делают серию снимков в следующих проекциях: боковой, переднезадней, подбородочно-вертикальной (для визуализации основания черепа), стереоскопической по Уотеру (билатеральная), по Тауну (полуосевая) и зрительного канала. При подозрении на расширение верхней глазничной щели делают снимки верхушки глазницы.
- Пациент не должен покидать рентгеновское отделение до окончания проявки и осмотра снимков.
Нормальная картина
Глазница ограничена верхней, нижней, медиальной и латеральной стенками. Кости верхней и нижней стенок очень тонкие (толщина нижней может составлять менее 1 мм). Параллельные друг другу медиальные стенки несколько толще, за исключением части, образованной решетчатой костью. Самой толстой частью глазницы и наиболее прочным местом глазницы является латеральная стенка. Сзади между наружной и верхней стенками расположена верхняя глазничная щель. Фактически это промежуток между большим и малым крыльями клиновидной кости. На верхушке глазницы в малом крыле клиновидной кости находится зрительный канал, через который выходят зрительный нерв и глазная артерия.
Отклонение от нормы
При челюстно-лицевой травме чаще происходят переломы самых тонких структур глазницы - ее нижней стенки и решетчатой кости. Повреждения обнаруживаются при сравнении размера и формы обеих глазниц. Увеличение глазницы обычно указывает на патологию, вызывающую повышение внутриглазничного давления и проптоз (экзофтальм), и наблюдается при новообразованиях этой области. Расширение верхней глазничной щели бывает связано с менин-гиомой глазницы, внутричерепной патологией (например, опухоль гипофиза) или, что более типично, сосудистыми аномалиями. Расширение зрительного канала может говорить об экстрануклеарном распространении ретинобластомы, а у детей - о глиоме зрительного нерва. Увеличение глазницы у взрослых вызывается только длительно существующей патологией, однако в детском возрасте из-за незавершенного развития костей глазницы оно встречается даже при быстро развивающемся заболевании. Глазница может уменьшиться в размерах после энуклеации глаза в детском возрасте или при таком заболевании, как врожденная микрофтальмия.
Разрушение стенок глазницы может указывать на злокачественную опухоль или инфекцию. При доброкачественном новообразовании или кисте наблюдается локальная четкая зубчатость стенки глазницы. Рентгенологические изменения, обусловленные увеличением и эрозией глазницы, встречаются и при поражении прилежащих к ней структур. Плотность костной ткани может повышаться при метастазах остеобластомы, менингиоме гребня клиновидной кости, болезни Педжета. Однако для подтверждения патологии глазницы рентгенографию следует дополнить другими исследованиями.
Рентгенологическое исследование лицевого скелета включает рентгенографию глазницы и ее содержимого, придаточных пазух носа, прицельные снимки отдельных костей лицевого скелета и снимки зубочелюстного аппарата. Большинство анатомических образований лицевого скелета достаточно четко видно на обзорных снимках черепа в прямой передней и задней проекциях, на снимках в носоподбородочной, подбородочной, носолобной, лобной, боковой и аксиальной проекциях.
Однако для более четкого их выявления, по возможности с минимальной суперпозицией изображения других анатомических структур черепа, предложен ряд специальных прицельных снимков.
С целью детального изучения стенок глазниц и придаточных пазух носа широко используют томографическое исследование.
РЕНТГЕНОГРАФИЯ КОСТНЫХ СТЕНОК ГЛАЗНИЦЫ
Верхняя и наружная стенки глазницы прослеживаются на снимке черепа в боковой проекции.
Для более детального изучения стенок глазницы предложен ряд прицельных снимков.
УКЛАДКИ СНИМОК ГЛАЗНИЦЫ В НОСОПОДБОРОДОЧНОЙ ПРОЕКЦИИ
Назначение снимка. Изучение состояния костей, образующих вход в глазницу, костной структуры верхней и наружной ее стенок.
Укладка больного для выполнения снимка сходна с укладкой для выполнения обзорного снимка в этой же проекции. В данном случае используюткассету размером 13X18 см, располагая ее в кассетодержателе в поперечном положении. Больной прилежит к столу подбородком и кончиком носа,переносье соответствует центру кассеты. Центральный пучок излучениянаправляют на центр кассеты. Фокусное расстояние—100 см.
В этой же укладке может быть выполнен снимок одной (правой или левой) глазницы. В таких случаях центр снимаемой глазницы соответствует центру кассеты, и на него отвесно направляют пучок излучения, используя тубус или диафрагмирование пучка излучения с помощью щелевой диафрагмы. Фокусное расстояние—100 см (рис. 88).
Информативность снимка. На снимке хорошо видны вход в глазницу, структура ее стенок, иногда малое и большое крыло клиновидной кости (рис. 89). На снимке в этой проекции могут быть выявлены деструктивные изменения стенок глазницы и инородные тела в ее полости (рис. 90, 91). Для выявления изменений в области верхней стенки глазницы (например, при
диагностике переломов) снимок целесообразно выполнять не в носоподбородочной, а в подбородочной проекции.
На таких снимках верхняя стенка глазницы проекционно искажается в меньшей степени, и все изменения в ее области видны более отчетливо (см. рис. 54, 55).
На прицельном снимке каждой из глазниц в этой же проекции, как правило, небольшие изменения структуры стенок, а также мелкие инородные тела глаза видны лучше. Такие снимки широко используют в офтальмологической практике (рис. 92).
Критерии правильности технических условий съемки и правильности укладки основываются на четкости выявления костной структуры и симметричности изображения глазниц.
Наиболее частые ошибки при выполнении снимка сводятся к асимметрии положения головы.



СНИМОК ГЛАЗНИЦЫ В НОСОЛОБНОЙ ПРОЕКЦИИ
Назначение снимка — изучение контуров костей, образующих вход в глазницу, структуры верхней и наружной ее стенок, ширины и контуров верхних глазничных щелей, а также выявление инородных тел в полости глазницы.

Укладка больного для выполнения снимка, информативность снимка, критерии правильности технических условий съемки и правильности укладки те же, что для снимка крыльев клиновидной кости и верхних глазничных щелей.
В качестве примера информативности снимка глазниц в носолобной проекции для выявления инородных тел глаза и деструктивных изменений стенок приводим два наблюдения.
Одно из них — случай ранения глаза металлической стружкой (рис. 93), другое — случай деструкции верхненаружного края глазницы при доброкачественной опухоли слезной железы (рис. 94).
СНИМОК ГЛАЗНИЦЫ В БОКОВОЙ ПРОЕКЦИИ
Назначение снимка — отображение наружного края, верхней и нижней стенок глазницы, а также выявления инородных тел, находящихся в ее полости.
Укладка больного для выполнения снимка такая же, как для выполнения снимка черепа в боковой проекции (рис. 95).
Кассету размером 13X18 см устанавливают в кассетодержателе в поперечном положении. Наружный край глазницы соответствует центру кассеты, и на него направляют пучок излучения.
Информативность снимка. На снимке хорошо видна наружная стенка глазницы. Для выявления небольших участков измененной костной структуры других стенок информативность снимка, как правило, невысокая из-за суперпозиции анатомических образований противолежащей стороны лицевого скелета. Хорошо видны на снимке в данной проекции инородные тела (рис. 96).
Критерии правильности технических условий съемки и правильности укладки. Правильность подбора физико-технических условий съемки определяется резкостью изображения контуров костей и четкостью костной структуры.
При правильной укладке контуры верхней и нижней стенки правой и левой глазницы совпадают.
Наиболее частые ошибки при выполнении снимка сводятся к неправильному подбору физико-технических условий съемки.


СНИМОК ГЛАЗНИЦЫ В КОСОЙ ПЕРЕДНЕЙ ПРОЕКЦИИ (СНИМОК ЗРИТЕЛЬНОГО КАНАЛА ПО РЕЗЕ)
Назначение снимка. Основное назначение снимка — получение изображения зрительного канала, Как правило, для оценки ширины и формы канала прибегают к последовательной съемке правой и левой глазницы.
Голову поворачивают в сторону и укладывают таким образом, чтобы к экспонируемой половине кассеты прилегали надбровная дуга, скуловая кость и кончик носа, а в центре ее находилась исследуемая глазница. Срединная сагиттальная плоскость головы образует с плоскостью стола угол в 40—50°, открытый кзади. Кассета размером 18Х 24 см располагается на столе в поперечном положении.
Поочередно экспонируют правую и левую половину кассеты, перекрывая неиспользуемую половину листом просвинцованной резины. На кассету накладывают неподвижную отсеивающую решетку.
Пучок излучения направляют отвесно на наружный угол глаза исследуемой стороны (рис. 97).
Информативность снимка. На снимке отображается зрительный канал, имеющий обычно неправильно-округлую форму с четкими резкими контурами. Видны также вход в глазницу, решетчатые ячейки (рис. 98, а, б). Расширение зрительного канала, возникающее при опухолях зрительного нерва, как правило, может быть достоверно выявлено только путем сравнительного анализа снимков правой и левой глазницы (рис. 99, а, б). Поэтому снимки глазниц в косой проекции по Резе всегда следует производить с обеих сторон.

Критерии правильности технических условий съемки и правильности укладки. На снимке должна быть четко видна структура костей.
Изображение зрительного канала при правильной укладке проецируется вблизи наружной стенки глазницы в виде четкой кольцевидной тени.

Наиболее частые ошибки при выполнении снимка. При неправильном угле наклона головы и неправильной центрации пучка излучения отображение зрительного канала нечеткое. При грубом нарушении правил укладки зрительный канал на снимке неразличим.
РЕНТГЕНОЛОГИЧЕСКОЕ ИССЛЕДОВАНИЕ ГЛАЗА СНИМКИ ГЛАЗА С ПРОТЕЗОМ КОМЬЕРГА- -БАЛТИНА
Назначение снимков — локализация инородных тел в глазу и полости глазницы.
Методика выполнения рентгенограмм глазницы с протезом Комбурга — Балтина. Осуществляют анестезию глаза больного путем закапывания в конъюнктивальный мешок 2% раствора дикаина. Протез Комберга — Балтина соответствующего размера после дезинфекции спиртом вводят под веки исследуемого глаза и устанавливают таким образом, чтобы в его отверстии был виден зрачок, а свинцовые метки по краям протеза соответствовали концам вертикального и горизонтального меридианов глаза («12—6 и 3—9 часов»). Снимок исследуемой глазницы производят в носоподбородочной проекции при фиксации взора вниз на кассету. Затем, не меняя положения протеза, выполняют снимок глазницы в боковой проекции с центрацией пучка излучения на пленку через плоскость лимба глаза. При этом больной фиксирует взор на точке, находящейся прямо перед глазами.
Информативность снимка. При правильно проведенном исследовании(правильное наложение протеза, правильная фиксация взора, технически правильное выполнение снимков) после соответствующих расчетов удается точно локализовать рентгеноконтрастные инородные тела, расположенные в глазу и полости глазницы (рис. 101, а, б).

Критерии правильности технических условий съемки и правильности укладки. На снимке должны быть хорошо видны структура стенок глазницы, наложенный на глазное яблоко протез и свинцовые метки на нем. При правильно наложенном протезе метки, соответствующие концам горизонтального меридиана, на снимке в боковой проекции должны совпадать друг с другом .
Наиболее частые ошибки при выполнении снимка — неправильное наложение протеза и смещение взора во время съемки.
БЕССКЕЛЕТНЫЕ СНИМКИ ПЕРЕДНЕГО ОТДЕЛА ГЛАЗА (ПО ФОГТУ)
Назначение снимков — выявление мелких инородных тел в переднем отделе глазного яблока.
Методика выполнения бесскелетных снимков переднего отделе глаза.
После анестезии глаза 2 % раствором дикаина две овальные, вместе сложенные, специально вырезанные по трафарету рентгенографические пленки размером 4X6 см, завернутые в черную бумагу и вложенные в оболочку из тонкой резины, заводят как можно глубже в конъюнктивальный мешок с носовой стороны и придерживают в этом положении (это делает сам больной).
Иногда пленки фиксируют специальным держателем (рис. 102). Рентгеновскую трубку располагают с височной стороны снимаемого глаза. Пучок рентгеновского излучения направляют кпереди от наружной стенки глазницы на передний отдел глазного яблока перпендикулярно пленке.
Для выполнения снимка в аксиальной проекции пленки вводят под глазное яблоко. Рентгеновская трубка находится над больным. Пучок излучения направляют кпереди от верхнего края глазницы через передний отдел глазного яблока перпендикулярно пленке. Во время съемки взор больного направлен прямо вперед. Для маркировки верхнего и нижнего края пленки при выполнении бокового снимка, а также наружного и внутреннего краяпри выполнении аксиального снимка соответственно к нижнему или к наружному краю пленки прикрепляют металлическую скрепку.
Информативность снимка. На бесскелетном снимке, произведенном в боковой проекции (рис. 103, а) видны верхнее и нижнее веко, роговица и передний отдел глазного яблока. На бесскелетном снимке, выполненном в аксиальной проекции, также определяются роговица и передний отдел глазного яблока и, кроме того, ткань верхнего века (рис. 103, б). Бесскелетные снимки весьма информативны для выявления мелких и мельчайших инородных тел, локализующихся в переднем отделе глаза. Их информативность во много раз превосходит обычные снимки, так как при этом исключена суперпозиция костных стенок глазницы.
С целью определения возможных артефактов на рентгенографической пленке, которые могут симулировать инородные тела глаза, снимки производят одновременно на двух, сложенных вместе пленках. Противопоказаниями к выполнению бесскелетных снимков глаза являются свежие прободные ранения рговицы и склеры.

Снимки следует производить с большой осторожностью при недостаточно окрепших рубцах роговицы.
Критерии правильности технических условий съемки и правильности укладки. При правильно подобранных условиях съемки отчетливо виден контур переднего отдела глазного яблока. Информативность переэкспонированных и перепроявленных снимков резко снижается. Снимки следует производить с минимальной выдержкой с целью исключения динамической
нерезкости.
Наиболее частые ошибки при выполнении снимков — завышение технических параметров съемки, динамическая нерезкость изображения, обусловленная недостаточной фиксацией взора, а также и длительной выдержкой.
КОНТРАСТНЫЕ ИССЛЕДОВАНИЯ ГЛАЗНИЦЫ
К контрастным исследованиям глазницы прибегают в основном при диагностике опухолей и других объемных процессов в ее полости. Наиболее информативными являются флебография орбиты — контрастирование венозной ее системы — и орбитография — контрастирование ретробульбарного (тенонова) пространства.
При подозрении на сосудистую опухоль в полости глазницы применяют артериографию.
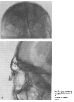
УКЛАДКИ ФЛЕБОГРАФИЯ ОРБИТЫ
Назначение исследования — определение объемного процесса в полости глазницы на основании изменения топографии венозной сети, главным образом верхней глазничной вены.
Методика исследования. Под местной анестезией производят пункцию лобной или лицевой вены. Через иглу вводят полихлорвиниловый катетер с наружным диаметром 0,8—0,9 мм. Катетер фиксируют. Широкой резиновой лентой сдавливают мягкие ткани лба с целью закрытия просвета лобных вен.

Поперечную вену носа и лицевую вену сдавливают с помощью ватных подушечек. После введения 1—2 мл 0,5 % раствора новокаина максимально быстро—за 1—1,5 с—вливают 3—4 мл 50% раствора гипака и производят серию рентгенограмм в задней обзорной и боковой проекциях. Для этого используют специальный ангиографический комплекс, включающий две рентгеновские трубки и две приставки для быстрой смены кассет. При отсутствии такого комплекса после введения контрастного вещества поочередно выполняют прямой и боковой снимки.
Информативность исследования. Топография верхней глазничной вены постоянна. В норме на флебограмме орбиты в боковой проекции верхняя глазничная вена выявляется под верхней ее стенкой. Она имеет плавные изгибы. Часто видны коллатеральные вены, соединяющие ее с нижней глазничной веной, менее постоянной в своей топографии. На флебограмме
орбиты в прямой задней проекции верхняя глазничная вена отображается в форме ромба (рис. 104, а, 6). Отклонение в пробеге верхней глазничной вены, оттеснение ее, а также обрыв, как правило, связаны с объемным процессом в полости глазницы.
ОРБИТОГРАФИЯ
Назначение исследования — выявление объемного процесса в орбите путем контрастирования заглазничного пространства.
Методика исследования. Под местной анестезией вводят иглу через нижнее веко параллельно нижней стенке глазницы на глубину 1,5—2 см, и через нее вливают в теноново пространство 2—3 мл 0,5 % раствора новокаина, а затем 4—5 мл 20 % раствора гипака. Рентгенограммы выполняют через 1 и 10 мин после введения контрастного вещества в прямой (задней) и боковой проекциях.
Информативность исследования. Контрастное вещество равномерно распределяется в жировой клетчатке заглазничного пространства и на снимках в норме имеет типичную конфигурацию: на прямом снимке — форму прямоугольника с закругленными краями и округлым дефектом наполнения в центре в месте прохождения зрительного нерва (рис. 105), а на боковом снимке — конусовидную форму с полусферическим вдавлением в области основания, соответственно заднему полюсу глазного яблока.

При опухолях или других объемных процессах распределение контрастногоещества неравномерное, с наличием дефектов наполнения (рис. 106).
Глазница
Ее составляют четыре стенки: верхняя, нижняя, внутренняя и наружная, которые прочно между собой соединены. Каждая из стенок наделена своими особенностями. Так, наружная стенка считается особенно прочной, внутренняя же, напротив, способна разрушиться даже при тупой травме. Особенность верхней и нижней внутренних стенок заключена в воздушных пазухах присутствующих в составе формирующих костей: лобной сверху, внутреннего решетчатого лабиринта, гайморовой пазухи снизу. Подобное соседство довольно часто обуславливает распространение воспалительных либо опухолевых процессов в полость глазницы из пазух. Сама глазница, посредством многочисленные отверстий и щелей соединяется с полостью черепа. Это потенциально опасно при распространении воспалительного процесса со стороны глазницы к головному мозгу.
Строение глазницы
Своей формой глазница напоминает четырехгранную усеченную пирамиду с вершиной, которая имеет глубину до 5,5 см, высоту примерно 3,5 см, а ширину входа 4,0 см. Наружную ее стенку формируют клиновидная, скуловая и лобная кости. Она отграничивает содержимое глазницы и височную ямку, являясь самой прочной стенкой, крайне редко повреждаясь при травмах.
Верхнюю стенку формирует лобная кость, с расположенной в ее толще лобной пазухой, поэтому воспалительные или опухолевые заболевания лобной пазухи, часто распространяются в глазницу. Вплотную к скуловому отростку лобной кости локализована ямка, в которой размещается слезная железа. Недалеко от внутреннего края лежит костное отверстие надглазничной вырезки, место откуда выходят надглазничные артерии и нерв. У надглазничной вырезки находится маленькое углубление - блоковая ямка, рядом с которой лежит блоковый шип, к которому прикреплен сухожильный блок - часть верхней косой мышцы, затем мышца меняет направление хода. Верхняя глазничная стенка ограничена передней черепной ямкой.
Внутреннюю стенку глазницы, формирует тонкая структура решетчатой кости. Передние и задние слезные гребни решетчатой кости создают углубление - слезную ямку, в которой расположен слезный мешок. Книзу данная ямка трансформируется в носослезный канал. Прочность внутренней стенки глазницы совсем невелика, и она повреждается даже при небольших тупых травмах, после чего, в ткани века либо самой глазницы зачастую поступает воздух и развивается эмфизема. При эмфиземе объем тканей увеличивается, при ощупывании определяется их мягкость и появление характерного хруста - так перемещается под пальцами воздух. При воспалительных процессах решетчатой пазухи, они довольно легко распространяются в глазничную полость. При этом, если формируется ограниченный гнойник, его определяют, как абсцесс, распространенный гнойный процесс именуется флегмоной. Воспаления из глазницы способны распространяться к головному мозгу, что опасно для жизни. Нижнюю стенку формируют кости верхней челюсти. Задний край нижней стенки дает начало подглазничной борозде, переходящей далее в подглазничный канал.
Границей для нижней стенки глазницы служит верхняя стенка гайморовой пазухи. При травмах, достаточно часто в нижней стенке глазницы возникают переломы, которые сопряжены с опущением глазного яблока, а также ущемлением нижней косой мышцы. Это вызывает ограничение подвижности яблока кнаружи и кверху. При воспалениях либо опухолях пазухи верхней челюсти, процесс достаточно легко переходит в глазницу.
В стенках глазницы находится множество отверстий, которые пропускают сосуды крови и нервы, обеспечивающие функции глаза. Решетчатые отверстия расположены между верхней и внутренней стенками, по ним идут одноименные нервы - ответвления носоресничного нерва, вены и артерии.
В глубине глазницы можно видеть нижнюю глазничную щель, которая закрыта соединительнотканной перегородкой и является барьером, препятствующим проникновению воспалительных процессов глазницы к крылонебной ямке и наоборот. Сквозь эту щель, из глазницы выходит нижняя глазная вена, которая затем вливается в глубокую лицевую вену в крыловидном венозном сплетении. Через нее же в глазницу входят нижнеглазничные нерв и артерия, скуловой нерв, веточки крылонебного нервного узла.
Верхнюю глазничную щель затягивает тонкая соединительнотканная пленка, проходя сквозь нее, в глазницу приходят 3 ответвления глазного нерва - слезный, носоресничный, лобный, а еще блоковый, глазодвигательный, отводящий. И выходит назад верхняя глазная вена. Верхняя глазничная щель соединяет непосредственно глазницу со средней черепной ямкой. При повреждениях верхней глазничной щели, в результате травм или опухолей, как правило, возникает характерный симптомокомплекс - полная обездвиженность яблока глаза, птоз, мидриаз, невыраженный экзофтальм, небольшое снижение чувствительности кожи в верхней половине лица, развивающиеся при повреждении нервов, проходящих через щель. Может возникать и расширение вен глаза, как следствие нарушения оттока крови в верхней глазной вене.
Зрительным каналом принято называть костный канал, который соединяет полость глазницы и среднюю черепную ямку. Через него проходит глазная артерия, а выходит зрительный нерв. Круглое отверстие служит проходом для второй ветви тройничного нерва - верхнечелюстного, от которого в крылонебной ямке отходит подглазничный нерв, и скуловой нерв - в нижневисочной. Круглое отверстие является связующим звеном средней черепной и крылонебной ямок.
Рядом с круглым локализовано овальное отверстие, которое соединяет подвисочную и среднюю черепную ямки. Сквозь него пролегает третья из ветвей тройничного нерва - нижнечелюстной нерв, правда в иннервации структур глаза, она участия не принимает.
Нервы глаза
Нервы глаза принято подразделять на три группы: двигательные, секреторные и чувствительные.
Чувствительные нервы отвечают за регулирование обменных процессов, а также обеспечивают защиту, предупреждая о любых внешних воздействиях. К примеру, попадании в глаз инородного тела или возникновении воспалительного процесса внутри глаза.
Задача двигательных нервов - обеспечение движения глазным яблоком посредством согласованного напряжения двигательных мышц глаза. Они отвечают за функционирование дилататора и сфинктера зрачка, регулируют ширину глазной щели. Двигательные мышцы глаза в своей работе по обеспечению глубины и объема зрения, находятся под контролем глазодвигательного, отводящего и блокового нервов. Ширина глазной щели контролируется лицевым нервом.
Мышцы самого зрачка контролируются волокнами нервов вегетативной нервной системе.
Находящиеся в составе лицевого нерва секреторные волокна, регулируют функции слезной железы органа зрения.
Иннервация глазного яблока
Все нервы, занятые в обеспечении функционирования глаза, берут начало в группах нервных клеток, локализованных в головном мозге и нервных узлах. Задача нервной системы глаза - регуляция работы мышц, обеспечение чувствительности глазного яблока, вспомогательного аппарата глаза. Кроме того, она регулирует реакции обмена веществ и тонус кровеносных сосудов.
В иннервации глаза участвуют 5 пар из 12 имеющихся черепно-мозговых нервов: глазодвигательный, лицевой, тройничный, а также отводящий и блоковый.
Глазодвигательный нерв берет начало от нервных клеток в головном мозге и имеет тесную связь с нервными клетками отводящего и блокового нервов, а также слухового, лицевого нервов. Кроме того, существует его связь и со спинным мозгом, обеспечивающая согласованную реакцию глаз, туловища и головы в ответ на слуховые и зрительные раздражители либо изменения положения туловища.
Глазодвигательный нерв заходит в глазницу через отверстие верхней глазничной щели. Его роль - поднятие верхнего века, с обеспечением работы внутренней, верхней, нижней прямых мышц, а также нижней косой мышцы. Также, к глазодвигательному нерву относятся веточки, регулирующие деятельность цилиарной мышцы, работу сфинктера зрачка.
Вместе с глазодвигательным, в глазницу через отверстие верхней глазничной щели входят еще 2 нерва: блоковый и отводящий. Их задача - иннервация, соответственно, верхней косой и наружной прямой мышц.
Лицевому нерву принадлежат двигательные нервные волокна, а также веточки, регулирующие деятельность слезной железы. Он регулирует мимические движения мышц лица, работу круговой мышцы глаза.
Функция тройничного нерва смешанная, он регулирует работу мышц, отвечает за чувствительность и включает вегетативные нервные волокна. В соответствии с названием, тройничный нерв, распадается на три крупные ветки.
Первой магистральной ветвью тройничного нерва выступает глазной нерв. Проходя в глазницу через отверстие верхней глазничной щели, глазной нерв дает начало трем основным нервам: носоресничному, лобному и слезному.
В мышечной воронке проходит носослезный нерв, в свою очередь делясь на решетчатые (передние и задние), длинные цилиарные, а также носовые ветви. Также он отдает соединительную ветку ресничному узлу.
Решетчатые нервы участвуют в обеспечении чувствительности клеток в решетчатом лабиринте, носовой полости, кожных покровов кончика носа и его крыльев.
Длинные цилиарные нервы пролегают в склере в зоне зрительного нерва. Далее их путь продолжается в надсосудистом пространстве в направлении переднего отрезка глаза, где они и короткие цилиарные нервы, отходящие от ресничного узла, создают нервное сплетение окружности роговицы и цилиарного тела. Это нервное сплетение регулирует обменные процессы и обеспечивает чувствительность переднего отрезка глаза. Также, длинные цилиарные нервы включают симпатические нервные волокна, которые ответвляются от нервного сплетения, принадлежащего внутренней сонной артерии. Они регулируют деятельность дилататора зрачка.
Начало коротких цилиарных нервов приходится на область ресничного узла, они пролегают через склеру, окружая зрительный нерв. Роль их - это обеспечение нервного регулирования сосудистой оболочки. Ресничный, также называемый цилиарным, нервный узел является объединением нервных клеток, принимающих участие в чувствительной (с помощью носоресничного корешка), двигательной (посредством глазодвигательного корешка), а также вегетативной (за счет симпатических нервных волокон), непосредственной иннервации глаза. Локализуется цилиарный узел на расстоянии 7мм кзади от яблока глаза снизу наружной прямой мышцы, соприкасаясь со зрительным нервом. При этом, цилиарные нервы, совместно регулируют деятельность зрачковых сфинктера и дилятатора, обеспечивают особую чувствительность роговицы, радужной оболочки, цилиарного тела. Они поддерживают тонус кровеносных сосудов, регулируют обменные процессы. Подблоковый нерв, считается последней ветвью носоресничного нерва, он участвует в осуществлении чувствительной иннервации кожных покровов корня носа, а также внутреннего угла век, части, конъюнктивы глаза.
Слезный нерв, при входе в глазницу, распадается на две ветки - верхнюю и нижнюю. При этом, верхняя ветвь отвечает за нервную регуляцию деятельности слезной железы, а также чувствительность конъюнктивы. Вместе с тем она обеспечивает иннервацию кожного покрова наружного угла глаза, захватывая участок верхнего века. Нижняя ветвь объединяется со скуловисочным нервом - ответвлением скулового нерва и обеспечивает чувствительность кожи скулы.
Вторая ветвь, становится верхнечелюстным нервом и делится на две основные магистрали - подглазничную и скуловую. Они иннервируют вспомогательные органы глаза: середину нижнего века, нижнюю половину слезного мешка, верхнюю половину слезоносового протока, кожу лба и скуловой области.
Последняя, третья ветвь, отделившись от тройничного нерва, в иннервации глаза, участие не принимает.
Читайте также:
