Рентгенограмма, КТ, МРТ, УЗИ при склерозирующей эпителиоидной фибросаркоме
Добавил пользователь Алексей Ф. Обновлено: 03.11.2025
1 ФГБОУ ВО «Рязанский государственный медицинский университет им. акад. И.П. Павлова» Минздрава России
В основу статьи положен большой клинический опыт применения компьютерной томографии (КТ) у пациентов с саркоидозом органов дыхания. Саркоидоз - это системное доброкачественное заболевание, относящееся к группе гранулематозов, являющееся сегодня актуальной медико-социальной проблемой из-за высокой распространенности во всем мире. Диагностика саркоидоза - это процесс, требующий исключения ряда других заболеваний со сходной симптоматикой. И неотъемлемой частью этого процесса, наряду с клинико-лабораторными исследованиями, является рентгеновская компьютерная томография. Метод обладает высокой разрешающей способностью и позволяет отчетливо визуализировать легочную ткань и органы средостения. В статье мы продемонстрировали многообразие лучевых проявлений саркоидоза респираторной системы, обратив внимание на наиболее часто встречающиеся находки при КТ органов грудной полости: это внутригрудная лимфоаденопатия, симптом «матового стекла», единичные фокусы консолидации в легких, симптом диссеминации, интерстициальные и буллезные изменения, а также поражение листков плевры и др. Выявленные на КТ изменения позволяют определить распространенность, стадию патологического процесса, осложнения, выявить сопутствующие заболевания органов грудной клетки, прогнозировать дальнейшее течение саркоидоза и оказывать влияние на выбор лечебных мероприятий.

2. Maged A. H. Shouker, MD. Maged M. Ghanem, MD. Abdelsalam A. Elashry et al. Thoracic Manifestations of Sarcoidosis Using Multi-Slice CT. IOSR Journal of Dental and Medical Sciences. 2015. V. 14. Is. 9. Ver. II. P. 63-68.
4. Wasfi Y., Rose C., Murphy J., Silveira L., Grutters J., Inoue Yoshikazu, Judson М., Maier L. A new tool to assess sarcoidosis severity. Chest. 2010. V. 129. P. 1234-1245.
5. Борисов С.Е. Дифференциальная диагностика саркоидоза // Вестн. НИИ фтизиопульмонологии. 1999. №1. С.34-45.
6. Kargi A.B., Süslü H., Ünsal Ç., Boztepe O.F., Koç Y. The differential diagnostic role of PET-CT in sarcoidosis and lymphoma. Current Thoracic Surgery. 2018. V. 3. no. 1. P. 1-6.
Интерес к этому загадочному заболеванию велик: в 1987 году создана Всемирная ассоциация по саркоидозу и гранулематозам. На различных форумах пульмонологов работают отдельные секции по саркоидозу и другим гранулематозам. Ежегодно публикуется ряд статей, издаются монографии [1].
Однако многие вопросы остаются нерешёнными. До конца не изучена этиология заболевания. Клинические проявления весьма различны и не патогномоничны. Нередко преобладают симптомы внелегочных форм саркоидоза, например иридоциклит, увеличение шейных, подмышечных и надлобковых лимфатических узлов, поражения кожи по типу волчанки, артралгии, лихорадка и др. В половине случаев клинические признаки заболевания отсутствуют. Все вышесказанное значительно затрудняет раннюю диагностику саркоидоза [1; 3; 4].
Долгое время больные саркоидозом наблюдались в противотуберкулёзных стационарах, и это было весьма нецелесообразно из-за длительного наблюдения за пациентами и возможности их заражения туберкулёзом. В настоящее время и в России, и за рубежом диспансерное наблюдение за больными саркоидозом передано с общую лечебную сеть врачам-пульмонологам, хотя у них и нет достаточного опыта работы с этими пациентами.
Саркоидоз до сих пор остаётся заболеванием с неясной этиологией. В настоящее время существует ряд гипотез, пытающихся объяснить причины развития саркоидоза: связь с инфекционными факторами, экзогенное воздействие окружающей среды (вдыхание пыли, дыма и прочее), курение, наследственность и другие.
Основу патоморфогенеза саркоидоза составляет эпителиоидная гранулёма, состоящая из эпителиоидных клеток, гигантских клеток Лангханса, кальцинированных тел Шауманна и «звездчатых тел». Саркоидная гранулема не подвергается казеозному некрозу, в отличие от туберкулеза [1; 3].
Выделяют 3 патогенетические стадии саркоидоза лёгких:
1. Негранулематозная (альвеолит) - на этой стадии наблюдается утолщение альвеолярных перегородок, скопление макрофагов и лимфоцитов. Типичным является увеличение лимфатических узлов.
2. Гранулематозная - на этой стадии образуются саркоидные гранулёмы без некроза. Исход гранулёмы: рассасывание либо гиалиновая фибротизация.
3. Фиброзная - при хроническом течении заболевания фиброз развивается у 10-20% пациентов и имеет распространённый характер. В лёгких образуются кистозные полости, грубые ретикулярные изменения и лёгочная ткань напоминает «медовые соты». Кисты возникают в результате растяжения альвеолярной ткани и образования бронхиолоэктазов. Одновременно развивается выраженная эмфизема, стенозы бронхов, за счёт поражения их стенок. Чаще изменения носят двусторонний характер [1].
Саркоидоз, являясь системным заболеванием, поражает разные органы и системы, помимо респираторной системы: кожа (27%), периферические лимфатические узлы (22%), глаза (15%), селезенка (6%), центральная нервная система (4%), паращитовидные железы (4%), кости (3%). Однако известно, что 90% больных саркоидозом имеют изменения в органах грудной полости. Таким образом, клинические симптомы многообразны, зависят от ряда факторов, в том числе от этнической принадлежности пациента, формы, давности болезни, фазы, локализации и распространённости процесса, а также его активности. Среди клинических симптомов выделяют общие, т.е. неспецифические, такие как лихорадка, слабость и др., а также клинические проявления, вызванные поражением различных органов [5; 6].
Диагностика саркоидоза включает клинико-лабораторные исследования, лучевую визуализацию (рентгенологические методы, в т.ч. компьютерную томографию) и морфологическую верификацию.
Цель исследования: продемонстрировать многообразие компьютерно-томографических признаков и оценить диагностические возможности мультиспиральной компьютерной томографии при саркоидозе органов грудной полости.
Материал и методы исследования. Мы располагаем большим консультативным материалом - данные компьютерной томографии более 300 пациентов с саркоидозом органов грудной полости в период с 2011 по 2018 год. Преимущественный возраст больных варьировал от 25 до 45 лет, что соответствует данным литературы. Соотношение мужчин и женщин было примерно одинаковым. Лучевое исследование проводилось всем больным и включало рентгенографию органов грудной клетки в прямой и боковой проекциях и мультиспиральную компьютерную томографию. Последняя выполнялась на компьютерном томографе Somatom Emotion-6 Simens (6-срезовый МСКТ) и аппарате Aquillion-TSX-101 (64-срезовый МСКТ) по стандартной методике с толщиной среза около 1,5 мм и реконструкцией изображений в режимах легочного и медиастинального окна.
Результаты исследования и их обсуждение
Важнейшая роль в выявлении и установлении диагноза принадлежит рентгенологическому методу исследования, включающему обзорную рентгенографию органов грудной полости в прямой и боковой проекциях, а также компьютерной томографии. Примерно в половине (50%) наших случаев патологические изменения выявлены при проверочной флюорографии органов грудной клетки. Рентгенография и КТ позволили детализировать и уточнить характер патологических изменений, а также наблюдать за динамикой на фоне лечения саркоидоза.
Основу КТ-симптомокомплекса саркоидоза составили: 1) преимущественно двустороннее увеличение средостенных лимфатических узлов, 2) диссеминированные легочные гранулёмы, 3) фиброз, рубцевание, в некоторых случаях образование полостей в легочной ткани.

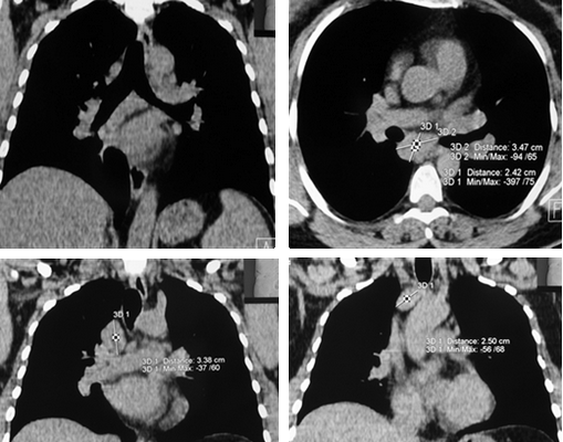
Рис. 1. РК-томограммы (медиастинальное окно) пациентки Е., 39 лет. Отмечается увеличение ВГЛУ паратрахеальной, бифуркационной и бронхопульмональной групп
Внутригрудная лимфоаденопатия визуализировалась в 70-80% случаев. Наблюдалось преимущественно двустороннее увеличение внутригрудных лимфатических узлов (ВГЛУ). Причем паратрахеальные лимфоузлы увеличивались как симметрично с обеих сторон, так и односторонне, чаще справа. Левостороннее увеличение демонстрировали лимфоузлы аортопульмонального окна. В некоторых случаях отмечалось обызвествление ВГЛУ в виде пунктира, по типу «скорлупы ореха» или аморфное. Симптом внутригрудной лимфоаденопатии наблюдался как изолированно, так и в сочетании с изменениями в легочной ткани. На компьютерных томограммах в режиме медиастинального окна увеличенные узлы средостения визуализировались достаточно хорошо (рис. 1).
Симптоматика изменений в лёгких при саркоидозе сводилась к появлению признаков в виде симптома «матового стекла», диссеминации, очаговых теней, пневмофиброза, буллёзно-дистрофических изменений и др. Относительно редко наблюдался плевральный выпот и симптом кольцевидной тени (образование полостей) в легких. У некоторых пациентов отмечалось изолированное поражение легких без лимфоаденопатии.
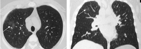
Симптом «матового стекла» (36%) визуализировался в виде небольших, ограниченных участков снижения прозрачности лёгочной ткани (рис. 2).

Рис. 2. РК-томограммы (режим лёгочного окна) пациента Г., 28 лет, с саркоидозом легких и ВГЛУ. Стрелкой указаны участки «матового стекла»
На ранних стадиях заболевания симптом «матового стекла» мог быть единственным, либо сочетаться с увеличением ВГЛУ.
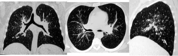
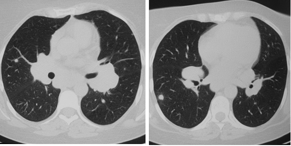
Одним из наиболее часто наблюдаемых нами при КТ признаков саркоидоза являлся симптом диссеминации (70-80% случаев). При этом превалировала картина интерстициальных изменений с ретикуло-нодулярными фокусами размерами около 1-2 мм. Распределение теней было, главным образом, перилимфатическим с локализацией в средних и верхних легочных зонах (рис. 3). Реже визуализировались гроздевидные очаги округлой или неправильной формы до 6 мм в диаметре, с преимущественно субплевральной локализацией.

Рис. 3. На РК-томограммах больной Ж., 49 лет, определяется двухсторонняя диссеминация с преимущественной локализацией в среднем легочном поясе
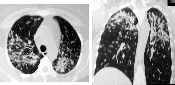
Еще одним относительно частым (20-30%) проявлением легочного саркоидоза являлся симптом локальной тени, в виде ограниченных фокусов консолидации. Как правило, изменения носили двусторонний характер с локализацией в средних и верхних легочных зонах. Контуры очагов имели преимущественно нечеткие неровные контуры, за счет инфильтрации вокруг. Нередко фокусы консолидации содержали включения воздуха. Очаги консолидации при саркоидозе отражают слияние множества мелких узелков (рис. 4, 5).

Рис. 4. РК-томограммы пациентки Г., 62 лет. Визуализируются участки альвеолярной инфильтрации округлой формы с неровными, лучистыми контурами (саркоидомы), расположенные перибронхиально

Рис. 5. РК-томограммы пациентки М., 42 лет. Субплеврально и перибронхиально с обеих сторон определяются относительно крупные очаговые тени (саркоидомы)
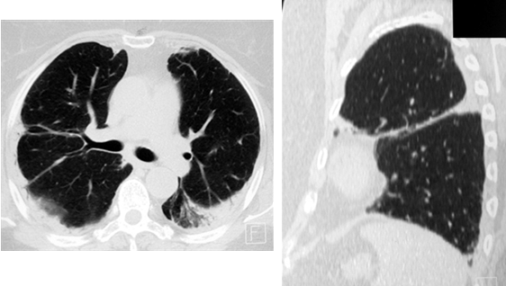
Картина фиброзных изменений при саркоидозе может достигать различной степени выраженности (от минимальной до грубой деформации легочного рисунка) и формируется постепенно. При хронически текущем саркоидозе, в случаях его позднего выявления, фиброз нередко оказывается первым признаком по данным лучевой визуализации и симулирует силикоз или туберкулёз. При формировании фиброза при саркоидозе часто происходит смещение главных бронхов, образование буллезных «сот», главным образом на периферии, и диффузное распространение линейных теней в легочной ткани (рис. 6).

Рис. 6. РК-томограммы больной Ч., 53 лет. Распространённый пневмофиброз с элементами буллёзной эмфиземы
Довольно часто при саркоидозе в процесс вовлекается плевра, в виде её утолщения от нерезко выраженного до массивного, иногда с элементами обызвествления (рис. 7).

Рис. 7. РК-томограммы пациентки Ф., 59 лет. Определяются участки уплотнения лёгочной ткани субплевральной локализации с вовлечением в процесс костальной и междолевой плевры
Заключение. С внедрением высокоразрешающей КТ в клиническую практику существенно возросли возможности лучевой диагностики в распознавании саркоидоза респираторной системы. Эта технология позволила детально оценить локализацию патологических изменений, распространенность поражения лёгочной ткани, отдифференцировать зоны инфильтрации и диссеминации, визуализировать участки снижения прозрачности легочной ткани по типу «матового стекла», скоплением гранулём в стенках альвеол и периваскулярно, определять состояние внутригрудных лимфатических узлов и бронхиального дерева в целом. Таким образом, КТ-картина патологических изменений в органах дыхания у больных саркоидозом весьма разнообразна и многолика. Выявленные КТ-симптомы позволяют определить стадию и распространенность патологического процесса, выявить осложнения и сопутствующие изменения в органах грудной клетки, а также оценить прогноз заболевания.
Остеосаркома
Остеосаркома — истинная высокозлокачественная, рано метастазирующая опухоль, клетки которой продуцируют опухолевый остеоид, костную, фиброзную и хрящевую ткань. По-видимому, это вторая по частоте (после плазмоцитомы) саркома — на нее прихолится около 20 % злокачественных новообразований скелета. Существуют первичные и вторичные разновидности.
Эпидемиология 
Большинство первичных остеосарком встречаются во втором-третьем десятилетиях жизни.
Патология
Они могут развиваться в любом месте скелета, однако самая типичная локализация — метафизы длинных костей, составляющих коленный сустав. Диафизарное расположение — не редкость. У молодых пациентов преимущественно поражаются трубчатые, у взрослых — одинаково часто трубчатые и плоские, у лиц старше 50 лет — в основном плоские кости.
Локализация:
- Бедро 40% (дистальная часть).
 - Берцовая кость 16% (проксимальная часть)
 - Плечевая кость 15%
 - Редкие локализации
 - Малая берцовая кость
 - Тазовая кость
 - Нижняя и верхняя челюсть
 - Позвонок
 
Клиника
Клинически остеосаркомы характеризуются коротким анамнезом (месяцы и недели), нарастающими болями, усиливающимися по ночам, увеличивающейся припухлостью, местной гипертермией, ограничением функции ближайшего сустава.
Радиологические находки
Рентгенологически условно различают:
2) остеолитическую и
3) смешанную разновидности остеосаркомы.
При остеобластическом типе превалирует склерозирование патологического очага, не распространяющееся через ростковую зону. Наблюдается раннее разрушение кортикального слоя, образование периостального «козырька», спикул, мягкотканного компонента, в структуре которого обнаруживаются участки патологического костеобразования. Примерно в каждом четвертом случае возникают т. н. «прыгающие» метастазы — очаги остеобластического роста в других отделах той же кости.
Остеолитические формы отличаются преобладанием деструкции без склеротической реакции. На ранних этапах единственным проявлением саркомы может служить нежная периостальная реакция с подлежащим участком разрежения костной структуры. Деструктивный очаг (центральный или эксцентричный) быстро распространяется вдоль и поперек кости в виде сливающихся мелких очагов («изъеденность молью»), разрушается кортикальный слой. Наряду с многослойной линейной реакцией, периостальным «козырьком» можно наблюдать спикулы различной длины и толщины, исходящие как бы из одного центра (в отличие от костномозговых сарком). Примерно в 20 % случаев, в основном у детей, наблюдается патологический перелом.
В смешанных разновидностях остеолиз и остеосклероз сосуществуют в той или иной пропорции. Опухоли диафизарной локализации могут быть любого из трех указанных типов. 
Особенность их изображения — выраженность периостальной реакции, в частности значительная длина спикул, что обусловлено развитием в зоне активной надкостницы. В отличие от костномозговых, остеосаркомы растут преимущественно не вдоль, а из кости.
Наряду с центральными и эксцентричными опухолями встречаются остеосаркомы преимущественно субпериостальной локализации, у которых мягкотканный компонент существенно доминирует над размерами костной деструкции. Мультицентричные остеосаркомы синхронно поражают две кости или более при отсутствии легочных метастазов, могут быть одного и разных рентгенологических типов. У детей и подростков порой наблюдаются симметричные остеобластические очаги в метафизах парных костей. 
Метахронные остеолитические очаги различной величины обнаруживаются у подростков и взрослых в разных костях, причем дифференцировать множественные первичные новообразования от метастазов довольно трудно. 
К редкой разновидности остеолитической саркомы относится телеангиэктатическоя, отличающаяся богатством сосудов, наличием обширных аневризматических полостей и очагов некроза в структуре. Данная опухоль характеризуется весьма быстрым ростом, коротким анамнезом, выраженными клиническими симптомами, крайне неблагоприятным прогнозом.
В рентгенологической картине преобладают очень большие размеры деструкции, вздутие кости, истончение и разрушение кортикального слоя, отсутствие патологического костеобразования. На ангиограммах имеются выраженные морфологические и функциональные признаки злокачественности.
КТ, МРТ, УЗИ, рентген - обзор методов исследования

В медицинских центрах СПб в арсенале у врачей есть несколько методов высокотехнологического обследования. Их принято разделять на инвазивные (с проникновением внутрь организма или подкожного покрова) и неинвазивные. КТ, МРТ, УЗИ, рентген относятся к основным неинвазивным видам диагностики. Однако принцип визуализации и физика процесса у каждого из этих способов сканирования разная, поэтому и зоны их приоритетного применения отличаются.
Что покажет рентген

Рентген - это самый широко доступный тип обследования. В Санкт-Петербурге его можно сделать быстро на платной или бесплатной основе как в частных, так и в государственных клиниках и больницах. Основная задача рентгенографии - дать общее представление об изменении структуры органов и костной ткани. С помощью рентген-аппарата врач может хорошо визуализировать:
- инородные тела;
 - переломы;
 - воспаление легких;
 - рак молочной железы;
 - туберкулез.
 
Основное преимущество рентгенографии заключается в том, что это быстрый и дешевый метод сканирования. Однако по точности и диагностической ценности он безусловно уступает как УЗИ, так и таким высокотехнологичным методам исследования, как МРТ и КТ.
В основе физики работы рентген-аппарата лежат просвечивающие способности рентгеновских лучей. Получение плоского двухмерного изображения основано на ослаблении рентгеновского излучения при его прохождении через различные ткани. При рентген-сканировании пучок излучения, проходя через ткани организма, которые обладают различной плотностью, рассеивается и тормозится. Таким образом, на пленке возникают изображения разной степени интенсивности. Лучевая нагрузка при рентгенографии небольшая, но она всегда есть и может составлять от 0,1 до 1 мЗв. Поэтому рентгенография запрещена для беременных женщин, а здоровому человеку рентген можно делать 1- 2 раза в год.
Кроме дозы облучения у рентгеновского сканирования есть один существенный диагностический недостаток - плоская картинка. Поскольку рентген изображения - это тень ткани на пленке, объемно оценить органы и структуры человеческого тела с помощью рентгена не получается.

ЗАПИСЬ НА ПРИЕМ
Что покажет компьютерная томография
КТ или компьютерная томография - это еще одно рентгенографическое обследование, но его диагностические способности существенно выше обычного рентгена. Достигается это за счет того, что датчик, излучающий рентген лучи, движется вокруг области обследования по 360-градусной траектории. Так получаются многочисленные снимки, которые компьютер томографа выстраивает в трехмерные изображения - томограммы обследуемой области. КТ хорошо показывает:
- опухоли;
 - все костные ткани - кости, череп;
 - лор-заболевания;
 - причину почечной колики;
 - инородные тела;
 - повреждения органов из-за внешних травм;
 - внутренние кровотечения;
 - причины “острого живота”.
 
С помощью компьютерной томографии в медицинских центрах СПб проводят скрининг рака легких у курильщиков. Такая томография позволяет выявить в 2 раза больше опухолей на ранней стадии. Простая флюорография (на базе рентгена) рак легких не показывает, поскольку плоскостное изображение не видит маленькие очаги опухоли, а вот на КТ можно визуализировать новообразование до 1 мм величиной.
С появлением на рынке низкодозных компьютерных томографов стало возможным проводить пан-КТ- или КТ всего тела. Такое тотальное сканирование человека от макушки до пяток позволяет врачам сразу найти патологические области, особенно после автотравмы и множественных повреждений.
Основной недостаток КТ - это высокая лучевая нагрузка, которая при некоторых обследованиях может доходить до 15 мЗв. Поэтому, в отличие от МРТ и УЗИ, КТ следует делать только по показаниям и направлению врача. Здоровым пациентам компьютерную томографию не рекомендуется делать чаще, чем 1 раз в год. Его нельзя проводить беременным женщинам, а детям малого возраста по возможности КТ следует заменять безопасными УЗИ и МРТ.
 
Что показывает МРТ
Магнитно-резонансная томография или МРТ - это сфокусированный метод, который проводит очень детальное обследование. Диагностическая точность МРТ превышает УЗИ и во многих случаях КТ, за исключением сканирования полых органов (легких, желудка, кишечника) и костей. МРТ является золотым стандартом диагностики:
- заболеваний головного и спинного мозга;
 - патологий суставов;
 - межпозвоночных дисков;
 - сердца и сосудов;
 - болезней гинекологического, проктологического и урологического характера.
 
В отличие от быстрого КТ и УЗИ, магнитно-резонансное обследование требует времени - в среднем пациенту нужно лежать в томографе и соблюдать неподвижность 30-60 минут.
Принцип работы МРТ основан на эффекте ядерного магнитного резонанса. МР томограф в своей конструкции имеет мощный магнит, который создает магнитное поле, и датчик, который подает радиочастотные сигналы. В такой ситуации протоны атомов водорода начинают колебательные движения, выделяя при этом импульсы. Их улавливает компьютер томографа и преобразовывает в трехмерные изображения. Чем больше воды содержится в клетках ткани, тем детальней получается ее изображение. Поэтому на МРТ хорошо отображаются органы с большим содержанием воды: МРТ головного мозга, МРТ спинного мозга, МРТ глазных орбит, МРТ органов малого таза, МРТ позвоночника, МРТ суставов, и плохо визуализируются органы с большим содержанием воздуха МРТ органов грудной клетки или кости.
Основы преимуществом МРТ перед КТ и рентгеном является отсутствие в ходе сканирования какого-либо излучения. А вот недостатком этого метода диагностики будет ряд ограничений - наличие ферромагнитного металла в теле пациента и имплантированных в организм водителей ритма, несовместимых с МРТ.



Что покажет УЗИ
Ультразвуковое исследование или УЗИ - это широко распространенный вид обследования, активно применяемый в диагностических центрах СПб. В ходе данной процедуры диагностика проводится с помощью ультразвуковых волн. Проходя через границы тканей различной плотности, ультразвук по-разному отражается от них. Ультразвуковая установка имеет датчик, который посылает ультразвуковой сигнал, а затем фиксирует ответ и переводит его в графическое изображение. Таким способом врачи могут хорошо обследовать:
- органы малого таза;
 - органы брюшной полости;
 - лимфоузлы и молочные железы;
 - мягкие ткани;
 - сосудистую систему.
 
К сожалению, серьезным препятствием для ультразвука являются кости, через которые сигнал пробиться не может. Поэтому малоинформативным является
- УЗИ головного мозга
 - УЗИ сердца
 - УЗИ органов средостения
 - УЗИ позвоночника.
 
Основным достоинством УЗИ является отсутствие каких-либо противопоказаний и ценовая доступность. По диагностической ценности и точности УЗИ безусловно уступает МРТ и КТ, однако является приоритетным профилактическим и скрининговым методом обследования для многих заболеваний, включая патологии мочеполовой системы у мужчин и женщин, рака молочных желез и органов брюшной полости, воспалений мягких тканей.
Можно ли делать МРТ и рентген в один день
МРТ и КТ, а также МРТ и рентген в один день делать можно. Магнитно-резонансная томография не несет в себе никакой лучевой нагрузки, поэтому ее можно совмещать с любым видом обследования, будь то рентгенография или ультразвуковое сканирование. Однако нельзя в один и тот же день делать несколько КТ или КТ и рентген. Каждый из этих видов обследования имеет лучевую нагрузку от 0,1 до 10 мЗв, которая суммируется как превышающая доза радиации при многократном исследовании.
Пациентам: КТ, МРТ, УЗИ, рентген. Что проверяют сканированиями?

Работать с заболеваниями внутренних органов особенно трудно, поскольку их нельзя увидеть. Раньше врачам приходилось лечить пациентов в прямом смысле “вслепую”, поскольку исследовать внутренние органы человека можно было только в процессе хирургического вмешательства. Сейчас врачам не обязательно брать в руки скальпель, провести диагностику помогают различные виды сканирований. Правда, пациенты относятся к такого рода обследованиям с опаской. Дело и в высокой стоимости некоторых процедур, и в страхе перед облучением. Давайте попробуем разобраться, в чём заключаются особенности тех или иных сканирований и когда к ним стоит прибегать.
Рентген
Наиболее старый и привычный метод визуализации человеческого тела. Применяют рентген повсеместно, от хирургии до стоматологии. Метод прост и понятен: человека облучают особыми лучами, которые легко проходят сквозь мягкие ткани и задерживаются в твёрдых. Благодаря этому принципу, на фотоплёнку или датчик, расположенные на противоположной от источника лучей стороне, передаётся изображение, а в распоряжение врача попадает рентгенография или рентгеноскопия.
Главные плюсы такого обследования: быстрота и стоимость. Рентгеновскими аппаратами оснащены практически все больницы, процедура проходит быстро и стоит недорого.
Главные минусы: облучение и качество изображения. При проведении рентгенографии пациент облучается, а картинка получается двумерной. Врач с трудом может разглядеть внутренние органы по отдельности, поскольку их тени перекрывают друг друга. Также невозможно детально разглядеть хрящевую ткань и мозг. Хрящи практически не задерживает лучи, мозг надёжно закрыт черепной коробкой. Для их исследования рентгенография не подойдёт.
Наиболее эффективно будет проводить рентгенографию при повреждениях костей, суставов и зубов.

Флюорография
Ещё один тип обследования, которому регулярно все жители нашей страны. Флюорографию “изобрели” почти сто лет назад. Это своего рода ускоренная рентгенография. Учёные предложили фотографировать экран с изображением, полученным при рентгенографии. Это позволило сделать процедуру более быстрой и массовой. Скрининг-тесты начали делать всем, чтобы выявлять скрыто протекающий туберкулёз лёгких.
Главный плюс процедуры — быстрота, главный минус — качество изображения. Пациент также получает дозу облучения, а врач довольно размытую картинку, поэтому флюорографию рекомендуется дополнять анкетированием и лабораторными тестами на наличие туберкулёза.

Маммография
Отдельный вид рентгенографии, разработанный для диагностики заболеваний молочной железы, поэтому проходят маммографию женщины. О рекомендуемом возрасте для проведения процедуры единого мнения нет. Маммография помогает убедиться в отсутствии злокачественной опухоли с точностью до 89%. Считается, что женщины должны проходить обследования регулярно, начиная с 39 лет, хотя некоторые онкологические сообщества рекомендуют обследоваться с более молодого возраста.
Маммографию назначают для диагностики рака молочной железы, процедура проходит быстро, это плюс, но пациентку облучают, а риск неверного диагноза остаётся, это минус. Маммография может быть цифровой и плёночной, цифровая маммография обеспечивает получение более чёткого снимка.

Компьютерная томография (КТ)
Компьютерная томография тоже осуществляется по принципу рентгенографии, но в результате врач получает не плоскую двухмерную картинку, а трёхмерное изображение. Это достигается путём одновременного создания большого числа снимков, которые собираются в единое изображение. Датчики компьютерного томографа обладают высокой чувствительностью и различают огромное количество оттенков, поэтому врач может детально рассмотреть все кости и органы пациента. Дополнительно повысить качество изображения можно, если ввести пациенту специальное вещество, так называемый “контраст”. Контраст помогает отличить здоровые ткани от изменённых и обнаружить аномальные структуры в организме, а также даёт возможность детально изучить состояние сосудов. КТ с контрастом назначают не в каждом случае, часто достаточно простой компьютерной томографии.
КТ делается быстро, с его помощью проводить скрининг на рак лёгких. Также можно использовать компьютерную томографию непосредственно во время проведения хирургических операций.
Недостатками КТ можно считать высокую лучевую нагрузку на пациента. Поэтому КТ не назначают беременным женщинам, детям и пациентам с избыточным весом (более 200 килограмм).

Ультразвуковое исследование (УЗИ)
Главное преимущество такого способа исследования — безопасность. УЗИ можно делать даже беременным женщинам, кроме того, приборы УЗИ-приборы мобильны, их легко можно поставить в палате пациента, чтобы наблюдать за состоянием органов и кровотока в режиме реального времени.
Однако УЗИ не может обеспечить картинку высокой чёткости, поэтому использование этого метода исследование ограничено, например, при помощи УЗИ нельзя диагностировать заболевания ЖКТ.

Магнитно-резонансная томография (МРТ)
Принцип МРТ основывается на свойстве ядер атомов реагировать на сильное магнитное поле. Расчёт идёт на реакцию ядер водорода, которых много в составе молекул воды, а тело человека, как известно, на 60% состоит из воды. Попадая в магнитное поле, ядра атомов ориентируются вдоль него, их можно возбуждать и фиксировать энергию, которые они будут отдавать при ослаблении воздействия, т.е. “расслаблении”. Компьютерный анализ позволяет преобразовать полученную информацию и определить расположение, плотность и структуру тканей в организме.
МРТ позволяет “разглядеть” хрящи, мягкие ткани и мозг человека, при этом не оказывая вредного воздействия, поэтому процедуру можно проводить всем и сколько угодно раз. Однако исследование занимает много времени, кроме того, томографы закрытого типа могут вызывать приступы клаустрофобии. Правда, есть аппараты открытого типа. Нельзя проводить процедуру МРТ людям, у которых в тело вживлены электроприборы (например, кардиостимуляторы) или металлические имплантаты.
МРТ будет эффективно при исследовании опухолей, мозга и аномалиях развития сосудов.

Сцинтиграфия, ОФЭКТ, ПЭТ
Пожалуй, это одни из самых редких процедур нашего списка. Эти методы обследований основаны на лучевой диагностике, только используется она наоборот. Пациента не облучают снаружи, а вводят ему специальный радиоактивный препарат, чтобы заставить “светиться изнутри”. Сначала учёными была придумана и опробована сцинтиграфия. С её помощью удавалось получить двухмерные изображения. Затем исследования пошли дальше и была изобретена однофотонная эмиссионная компьютерная томография (ОФЭКТ), а вслед за ней и позитронно-эмиссионная томография (ПЭТ). Разница между этими методами скорее техническая, в них используются разные радиофармпрепараты и разные типы детекторов, которые фиксируют излучение из тела пациента.
Возникает вопрос: “Зачем такие сложности?”. Дело в том, что благодаря этим процедурам на снимках можно увидеть образования, которые не видны на снимках, полученных путём внешнего облучения. Метастазы и опухоли могут появляться внутри костей или органов и долгое время не проявляться. Радиофармпрепарат вводится внутрь организма и накапливается в тканях, что позволяет “подсветить” определённые участки.
Основной минус этого метода обследования — стоимость. Радиофармпрепарат разрабатывается индивидуально для каждого пациента, кроме того, пациент получает лучевую нагрузку, да и сама процедура более сложная, нежели те, которые мы описывали ранее. Однако в некоторых случаях без неё не обойтись, например, при онкологических и неврологических заболеваниях, диагностике болезней сердца и щитовидной железы.

Гибридные методы визуализации
Наверное, наука не была бы наукой, если бы постоянно не двигалась вперёд и не пыталась создавать новое из старого. Так, врачи начали объединять различные методы сканирования, чтобы получить ещё более подробное и качественное изображение. ПЭТ и ОФЭКТ объединяют с КТ, МРТ дополняют ПЭТ. Такие эксперименты стоят недёшево, но иногда могут помочь принять решение о дальнейшем лечении пациента.
Лучевая диагностика гепатоцеллюлярного рака

Гепатоцеллюлярный рак является наиболее распространённой первично злокачественной опухолью печени. Он чаще всего возникает на фоне цирроза как алкогольной, так и вирусной этиологии. ГЦР является пятым по распространённости злокачественным новообразованием в мире и третьей по частоте причиной смерти от рака (после рака лёгких и желудка). Заболеваемость ГЦР растет, что в значительной степени объясняется повышением уровня инфицированности гепатитом С.
К факторам риска относятся:
- инфицированность гепатитом B (HBV): 10% 5-летний кумулятивный риск;
 - инфицированность гепатитом С (HCV): 30% 5-летний совокупный риск;
 - алкоголизм: 8% 5-летний кумулятивный риск;
 - билиарный цирроз: 5% 5-летний кумулятивный риск;
 - врождённая атрезия желчных путей;
 - контакт с некоторыми токсическими веществами (афлотоксины), а также потребление лекарственных средств (метилдофа, изониазид, цитостатики и т. д.);
 - врождённые нарушения обмена веществ:
 
- гемохроматоз: 20% 5-летний кумулятивный риск,
 - дефицит альфа-1-антитрипсина,
 - дефицит галактозо-1-фосфат-уридилтрансферазы,
 - болезни накопления гликогена типа 1,
 - болезнь Вильсона,
 - тирозинемия типа I;
 
ГЦР обычно диагностируется в среднем возрасте или у пожилых (в среднем 65 лет) и чаще встречается у мужчин (в 75% случаев). Однако опухоль также может встречаться в педиатрической практике; это вторая по распространённости у детей первично-злокачественная опухоль печени после гепатобластомы. Так как ГЦР чаще всего проявляется на фоне цирроза, не лишним будет описать типичную КТ/МРТ картину этого заболевания.
Общими для всех методов признаками являются:
- гетерогенность структуры по типу мелко-/крупноочаговой нодуллярности (за счёт присутствия регенераторных узлов) или септальной перестройки;
 - сегментарная гипертрофия/атрофия:
 
- гипертрофия хвостатой доли и боковых сегментов левой доли (сегменты II и III),
 - атрофия задних сегментов (VI и VII) правой доли;
 
При КТ:
- регенераторные узлы (большинство) изоденсны остальной ткани печени;
 - сидерические узлы (меньшинство) гиперденсы вследствие накопления в них железа;
 - может определяться неровность края печени;
 - признаки портальной гипертензии:
 
- расширение портальной вены;
 - портальный венозный тромбоз.
 
При МРТ:
- на T1 обычно изоинтенсивны, иногда слегка гиперинтенсивны, не наблюдается артериального накопления и «вымывания»;
 - на T2 : обычно изоинтенсивны, гипоинтенсивные сидерические узлы;
 
- узлы низкой степени дисплазии будут напоминать регенераторные узлы;
 - узлы высокой степени дисплазии очень схожи с высокодифференцированым ГЦР небольших размеров — отличить их бывает невозможно даже при гистологическом исследовании.
 

На фоне нерезко выраженых цирротических изменений в виде гетерогенности структуры и неровности контуров печени визуализуется крупное (более 2 см) образование, изоденсное в нативную фазу. В артериальную фазу оно демонстрирует гетерогенное накопление контраста (выше чем паренхима печени). Структура мозаичная, в центре образования участок пониженной плотности - вероятно, центральный некроз. Вокруг образования гиперденсный ободок, выраженый в портовенозную фазу. В отсроченной фазу образование гиподенсно по отношению к окружающей паренхиме печени. 
Морфологически ГЦР может быть представлен очаговой, многоочаговой и диффузной формами. В большинстве случаев он не проявляется какими-либо симптомами на фоне уже имеющихся симптомов цирроза. Поэтому важно скрининговое наблюдение для пациентов с циррозом и гепатитами С и В — оно позволяет выявлять ГЦР на ранней стадии.
Радиологами часто используется система LI-RADS (Liver Imaging Reporting and Data System), которая содержит стандартную терминологию и специально разработана для определения рисков ГЦР и дифференциальной диагностики ГЦР с другими злокачественными образованиями (в частности, с внутрипечёночной холангиокарциномой) у пациентов с циррозом печени. В LI-RADS выделяют основные и дополнительные критерии. Основные критерии:
гиперинтенсивность (накопление) в артериальную фазу, или изо- или гипоинтенсивность в артериальную фазу;
надпороговое увеличение диаметра.
Как их правильно определять?
Накопление контрастного вещества в артериальную фазу подразумевает, что образование в артериальную фазу контрастирования становится гиперденсным (КТ) или гиперинтенсивным (МРТ) по отношению к остальной паренхиме печени в эту же фазу. Если образование в артериальную фазу становится гиперинтенсивным по сравнению с тем же образованием в нативную фазу, это не считается накоплением. Накопление контрастного вещества отслеживают в позднюю артериальную фазу, т.е. когда контрастирована брюшная аорта, ветви печёночной артерии и ветви портальной вены; ветви печёночной вены не контрастированы. Трудности с измерением диаметра могут возникнуть, если образование мозаичной структуры, структуры «узел-в-узле» или «узлы-в-узле», и при наличии «капсулы».

Симптом «вымывания» означает, что в портовенозную (во время наиболее выраженного контрастирования портальной вены; пикового контрастного накопления паренхимой печени и начального контрастирования ветвей печёночной вены) или отсроченную (в которой умеренно контрастированы вены печени и её паренхима) фазы образование становится гипоинтенсивным на фоне окружающей паренхимы печени. Здесь действует то же правило: если образование стало менее интенсивно по сравнению с собой в артериальную фазу, но не по отношению к паренхиме — это не симптом «вымывания».
Если образование накопило контраст в артериальную фазу, а в более поздние фазы выглядит изоинтенсивно паренхиме печени, это называют симтомом «выцветания» (fade). Термин «капсула» при визуализации соотносится с наличием как капсулы, так и псевдокапсулы у опухоли. «Капсула» визуализируется как ровный гладкий ободок по периферии образования, который усиливается в портовенозной или отсроченной фазе и является более толстым или более заметным, чем у ободки фоновых цирротических узелков.

Надпороговое увеличение диаметра означает:
увеличение диаметра ≥50% менее чем за 6 месяцев,
увеличение ≥100% более чем за 6 месяцев,
появление нового образования размером 10 мм и более,
критерий увеличения выше пороговых значений не применим к диффузному поражению,
при сравнении измерения должны проводиться в одинаковых последовательностях/фазах, например, сравнивать Т2 только с другим Т2.

указывающие на ГЦР:
- умеренная гиперинтенсивность на Т2,
 - на диффузно-взвешенных изображениях гипоинтенсивность при низких и высоких значениях b-value, гипоинтенсивность на картах ИКД (истинного коэффициента диффузии),
 - корона усиления,
 - мозаичная структура,
 - структура «узла-в-узле»,
 - признаки жирового отложения в образовании,
 - признаки отложения железа менее выражены в образовании,
 - признаки жирового гепатоза менее выражены в образовании,
 - признаки кровотечения,
 - увеличение диаметра образования, но меньше пороговых значений;
 
указывающие на доброкачественное образование:
- выраженная гомогенная гиперинтенсивность в Т2,
 - выраженная гомогенная гипоинтенсивность в T2 или T2,
 - неизменённые сосуды печени,
 - образование накапливает контраст параллельно остальной паренхиме печени,
 - уменьшение диаметра образования,
 - стабильность диаметра на протяжении двух лет и более.
 

Корона усиления (corona enhancement) обозначает чаще усиление неровных, нечётких контуров вокруг образования, которое проявляется в позднюю артериальную фазу и становится изоденсным в портовенозную или отсроченную фазу. Этот симптом считается отображением раннего вымывания контрастного вещества из образования. Его редко наблюдают во время обычного четырёхфазного сканирования, чаще — при серии сканов в артериальную фазу. Если ободок усиления остается гиперинтенсивным в поздние фазы, его считают капсулой. Корону усиления при ГЦР следует дифференцировать с нарушением перфузии, асоциированном с быстро накапливающей контраст гемангиомой. Если КТ/МРТ картина более типична для гемангиомы, этот симптом не учитывается.
Система классификации
Основные критерии часто приводят непосредственно к присвоению балльной оценки LI-RADS. Если остаются сомнения,картину могут прояснить дополнительные критерии.

Дополнительные критерии, указывающие на ГЦР, могут быть использованы для повышения степени на одну или несколько LR-категорий, но не для присвоения LR5 категории. Это правило введено для того, чтобы сохранить соответствие между классификациями LI-RADS и OPTN (Organ Procurement and Transplantation Network). С помощью дополнительных критериев, указывающих на доброкачественный процесс, можно понизить степень на одну и больше категорий от LR5 до LR1. Эти критерии радиолог использует на свое усмотрение, исходя из общей лучевой и клинической картин.
Категории LI-RADS включают в себя: LR1-LR5, LR5V («опухоль-в-вене»), LR5 TREATED (после лечения) и LR OM (другое злокачественное образование). LR1 (100% вероятность доброкачественного образования) ставится, когда радиолог видит картину, типичную для (например):
сливного фиброза печени;
или другого доброкачественного образования.
Категория LR1 не включает в себя такие доброкачественные образования как фокальная нодуллярная гиперплазия (из-за сложностей её дифференциальной диагностики с ГЦР) и гепатоцелюлярная аденома (так как она крайне редко встречается при циррозе). Образование, которое редуцировалось само по себе в отсутствии лечения, тоже определяется как LR1.
К категории LR2 (вероятно доброкачественное) относятся образования, имеющие несколько нетипичный для доброкачественных вид, но все же не выглядящие злокачественными, например киста с перегородкой. Также категория LR2 присваивается цирроз-ассоциированным узлам печени, которые отвечают всем следующим критериям:
Изоинтенсивный другим фоновым узелкам во всех фазах.
Отличается от фоновых узелов по одному или нескольким из признаков:
отчетливо больше, чем другие фоновые узелки;
умеренно гиперденсны на КТ;
умеренно гиперинтенсивны на Т1;
умеренно гипоинтенсивны на Т2 или Т2* или умеренно или выраженно гиперинтенсивны на T2 или T2.
Узелки, которые не соответствуют всем этим критериям, классифицируются как LR3 или выше.
Категория LR5V используется для образования, проросшего в просвет вены. Радиологически оно проявляется как (см. схему):
Оклюзия и расширение вены, гипер- изо- или гиподенсное в артериальную фазу;
Гипо- или изоденсное в портовенозную и отсроченную;
Может присутствовать мягкотканное образование, ассоциированное с окклюзией, но его присутствие необязательно;
Могут определяться гиперденсные полосы в артериальную фазу (симптом “thread-and-streak”).

Опухолевую инвазию следует отличать от не-опухолевого тромбоза, при котором вена не будет выглядеть расширенной и не будет демонстрировать контрастного накопления ни в одну из фаз.
Категория LR5TREATED присваивают в случае:
Подтвержденного ГЦР после эмболизации или абляции, вне зависимости от успешности лечения;
Категория LR5TRAETED не присваивается:
Образованиям категории LR4 и ниже после эмболизации или абляции;
Подтвержденному ГЦР после системной терапии или
Категория OM и дифференциальная диагностика
ГЦР - наиболее распространенное злокачественное образование, возникающее на фоне цирроза. Однако, выявленные изменения следует дифференцировать со следующими злокачественными образованиями:
Посттранплантационная лимфопролиферативная болезнь.
Факторы риска развития холангиокарциномы мало отличаются от таковых для ГЦР. Биохимические маркеры ХГЦ: СА 19-9 (углеводный антиген 19-9) и CEA (карциноидоэмбриональный антиген). При визуализации для ХГЦ характерны:
Только кольцевидное усиление в артериальную фазу;
Усиление в портовенозную и отсроченную фазы;
Нерезко выраженные рестриктивные изменения в DWI;
«Втяжение» ткани печени к образованию;
Билиарная обструкция, при чем степень обструкции не соответствует размерам образования.
Первичные лимфомы печени крайне редки. Чаще встречаются вторичные поражения при системном процессе. Следует помнить, что лимфомы чаще возникают на фоне иммуносупрессии. Увеличение абдоминальных лимфоузлов может навести на правильный диагноз.
Посттранплантационная лимфопролиферативная болезнь - одно из наиболее частых злокачественных новообразований у пациентов с трансплантацией в анамнезе. Ее развитие ассоциировано с иммуносупрессией и инфицированием вирусом Эпштейн-Барра. Печень - наиболее частая локализация экстранодального поражения. Метастазы редко встречаются на фоне цирротического изменения. Необходимо указать первичную опухоль. При визуализации более вероятны следующие признаки:
Усиление в портовенозную/отсроченную фазы;
Частичное или кольцевидное усиление в артериальную фазу;
Центральный некроз или ишемия;
Нерезко выраженные рестриктивные изменения в DWI.
В зависимости от присвоенной категории, ACR рекомендовано:
LR1: продолжать скрининг в обычном режиме;
LR2: продолжать скрининг в обычном режиме;
LR3: тщательное наблюдение: отслеживать изменения размера, стабильности и клинических проявлений;
LR4: тщательное наблюдение, дополнительная визуализация, биопсия или лечение;
LR5: лечение без биопсии, радиологическое ТNM-стадирование.
Применяя LI-RADS в МРТ, следует помнить, что эта классификация разработана для использования внутриклеточных гадолиний-содержащих контрастных веществ (например, Гадавист). Использование гепатобилиарного контраста (Эовист, Примовист) изменит интерпретацию МРТ-картины.
Ведение пациентов выявленными объемными поражениями на фоне цирроза
Гайдлайны EASL-EORTC (European Association for the Study of the Liver - European Organisation for Research and Treatment of Cancer) рекомендуют следующую тактику в случае, если УЗИ выявило очаговое поражение у пациента с циррозом:
если найденный узел менее 1 см диаметром, наблюдение каждые 4 месяца на протяжении первого года; затем - каждые 6 месяцев;
при узле 1-2 см диаметром диагноз базируется на неинвазивных методах визуализации или данных биопсии. Если последние оказались неубедительны или паттерн контрастного накопления при КТ/МРТ изменился за время исследования, рекомендована вторая биопсия;
при узле более 2 см диаметром диагностика должна базироваться на неинвазивных методах. Биопсия проводится в случае неубедительных или нетипичных данных КТ/МРТ.
EASL-EORTC называет типичные паттерны, наличия которых при визуализации достаточно для постановки диагноза: образование гиперваскулярно в артериальную фазу и демонстрирует симптом «вымывания» в портовенозную и/или отсроченную фазы. УЗИ с контрастным усилением не рекомендовано для диагностики ГЦР из-за иных характеристик контрастных веществ - они не покидают сосудистое русло. Определение уровня альфа-фетопротеина было исключено из протокола диагностики, так как он редко возрастает на ранней стадии ГЦР.
Источники
Читайте также:
