Рентгеновский снимок с консолидацией легочной ткани в язычковых сегментах: описание, заключение
Добавил пользователь Евгений Кузнецов Обновлено: 22.01.2026
Сегменты легкого (бронхолегочные сегменты) — принятое в медицине условное разделение внутреннего органа на отдельные участки, необходимое для корректного заключения. Согласно единой классификации, принятой на Международном конгрессе анатомов в 1955 году в Париже, легкие состоят из 19 сегментов — 10 в правом и 9 в левом. Сегменты группируются в доли: 3 в правом легком (верхняя, средняя, нижняя) и 2 в левом легком (верхняя и нижняя).
Каждый легочный сегмент включает часть бронхиального дерева, артерии и вены, а по форме напоминает неправильную трапецию, меньшая сторона которой расположена ближе к корням и средостению, а основание — на периферии, внешней стороне легких.
Сегменты легких разделены таким образом не произвольно, но анатомически. Сегментарные границы можно определить по междолевым щелям во время хирургической операции, внутренние границы — только при их механическом разделении.
Доли и сегменты легких
Правое легкое
Верхняя доля
Верхушечный сегмент, S1 — расположен за вторым ребром грудной клетки. К сегменту 1 легкого относятся дыхательные пути общей протяженностью около 2 см. Сегмент соединен дыхательными путями с S2.
Задний сегмент, S2 — по отношению к верхушечному, сегмент 2 расположен дорсально (ниже, к спине) на уровне 2-4-го ребра. Сегмент соединен дыхательными путями с S1, по сосудистой ветви с S3 и с легочной артерией.
Передний сегмент, S3 — расположен фронтально между 2-м и 4-м ребром. Сегмент 3 легкого включает верхнее ответвление легочной артерии.
Именно с поражения верхних долей легких начинается большинство инфекционно-воспалительных заболеваний легких, например пневмония, туберкулез, гранулематоз. Поскольку соседние сегменты легких — артерия и бронх — взаимосвязаны, важно своевременно определить тип инфекционного возбудителя и начать лечение, чтобы предотвратить дальнейшее распространение болезни.
Также здесь локализуются буллы (воздушные полости) при эмфиземе.
Латеральный сегмент, S4 —расположен в передней части подмышечной впадины между 4-м и 6-м ребрами.
Медиальный сегмент, S5 —расположен в передней части грудной клетки на уровне 4-го и 6-го ребра.
Таким образом, сегменты 4 и 5легкого расположены в серединно-фронтальной части легкого на одном уровне, пронизаны трубчатыми ветвями бронхов и сосудами. На этом уровне чаще чем в верхних долях легких обнаруживаются новообразования и метастазы.
Нижняя доля
Верхний сегмент, S6 —проецируется на нижнюю половину лопатки: от центра до угла, на уровне 3-7 ребра. Кровоснабжение в сегменте 6 правого легкого осуществляется через артерию — продолжение нижней легочной.
Медиальный базальный сегмент, S7 —также называется «сердечным» сегментом, поскольку он расположен ближе к диафрагме со внутренней стороны, ближе к правому предсердию. Рядом проходит ветвь полой вены. Компьютерная томография высокого разрешения — единственный метод исследования, на котором сегмент 7 легкого просматривается хорошо.
Латеральный базальный сегмент, S9 —расположен между 7-м и 9-м ребром в проекции к задней части подмышечной впадины.
Задний базальный сегмент, S10 —расположен между 7-м и 10-м ребром и прилегает к позвоночнику.
Левое легкое
Верхушечно-задний сегмент, S1-S2 — структурно и функционально практически не отличается от сегментов 1 и 2 правого легкого. Верхушечный и задний сегменты с левой стороны часто объединяют из-за общего бронха. Таким образом, это самый крупный сегмент.
Передний сегмент, S3 —расположен между 2-м и 4-м ребром ближе к грудине.
Верхний язычковый сегмент, S4 —расположен в серединно-передней части грудной клетки на уровне 3-6-го ребра в проекции к центру подмышечной впадины. Это также один из самых больших сегментов.
Нижний язычковый сегмент, S5 —расположен под сегментом 4 левого легкого. Отделен от сегмента 4 междолевой щелью.
Верхний сегмент, S6 —по локализации и структурно-функциональным свойствам совпадает с сегментом 6 справа.
Базально-медиальный, сердечный сегмент, S7 —по локализации и структурно-функциональным свойствам совпадает с сегментом 7 легкого справа.
Передний базальный сегмент, S8 —по локализации и структурно-функциональным свойствам совпадает с сегментом 8 легкого справа.
Латеральный базальный сегмент, S9 — по локализации и структурно-функциональным свойствам совпадает с сегментом 9 легкого справа.
Задний базальный сегмент, S10 —по локализации и структурно-функциональным свойствам совпадает с сегментом 10 легкого справа.
Размеры и формы легочных сегментов зависят от индивидуальных особенностей организма пациента и могут отличаться.
Многие заболевания легких, такие как пневмония, туберкулез, абсцессы, начинаются с небольшого очага в одном сегменте легких. По их локализации и специфическому паттерну заболевания, который визуализируется на томограммах.
Изучая изображения на посрезовых сканах и 3D-реконструкциях, врач-рентгенолог может дать первичное заключение по выявленным на КТ изменениям. Дифференциальная КТ-диагностика означает, что доктор в большинстве случаев сможет безошибочно отличить туберкулез от гранулематоза легких, а «матовое стекло» при пневмонии от опухолевого инфильтрата.
Что показывает КТ легких?
Исследования показывают, что доли легких, как и сегменты, не определяются достоверно на рентгене, даже если исследование проведено на цифровом аппарате с дополнительным контрастным усилением снимков.
КТ легких позволяет исследовать орган как бы «изнутри», последовательно просматривая сканы каждого среза (размер шага — до 1 мм) в высоком разрешении. Таким образом врач-рентгенолог может определить границы долей и корректно сформулировать заключение для лечащего врача — пульмонолога, терапевта или ЛОРа, — за которым остается последнее слова в постановке диагноза и назначении терапии.
Компьютерная томография (КТ, МСКТ) легких показывает:
- Сегментарное строение дыхательного органа и малейшие патологические изменения;
- Целостность и проходимость дыхательных путей;
- Состояние интерстициальных перегородок, воспалительный процесс;
- Нарушение кровотока, тромбоз, стеноз сосудов (КТ с контрастом);
- Увеличение лимфоузлов;
- Очаги инфекционно-воспалительного процесса;
- Опухоли;
- Метастазы;
- Механические повреждения.
В рамках алгоритма обследования легких на КТ врач-рентгенолог оценивает анатомические компоненты:
Анатомия легких: сегменты на рентгенограмме и КТ, ход бронхов.
Сегмент S1 (апикальный или верхушечный) правого лёгкого. Относится к верхней доле правого лёгкого. Топографически проецируется на грудную клетку по передней поверхности 2 ребра, через верхушку лёгкого до ости лопаточной кости.
Сегмент S2 (задний) правого лёгкого. Относится к верхней доле правого лёгкого. Топографически проецируется на грудную клетку по задней поверхности паравертебрально от верхнего края лопатки до её середины.
Сегмент S3 (передний) правого лёгкого. Относится к верхней доле правого лёгкого. Топографически проецируется на грудную клетку спереди от 2 до 4 рёбер.
Сегмент S4 (латеральный) правого лёгкого. Относится к средней доле правого лёгкого. Топографически проецируется на грудную клетку в передней подмышечной области между 4 и 6 рёбрами.
Сегмент S5 (медиальный) правого лёгкого. Относится к средней доле правого лёгкого. Топографически проецируется на грудную клетку жду 4 и 6 рёбрами ближе к грудине.
Сегмент S6 (верхний базальный) правого лёгкого. Относится к нижней доле правого лёгкого. Топографически проецируется на грудную клетку в паравертебральной области от середины лопатки до её нижнего угла.
Сегмент S7 правого лёгкого. Топографически локализуется с внутренней поверхности правого легкого, располагается ниже корня правого лёгкого. Проецируется на грудную клетку от 6 ребра до диафрагмы между грудинной и срединноключичной линиями.
Сегмент S8 (передний базальный) правого лёгкого. Относится к нижней доле правого лёгкого. Топографически отграничен спереди главной междолевой бороздой, снизу диафрагмой, сзади — задней подмышечной линией.
Сегмент S9 (латеральный базальный) правого лёгкого. Относится к нижней доле правого лёгкого. Топографически проецируется на грудную клетку между лопаточной и задней подмышечной линиями от середины лопаточной кости до диафрагмы.
Сегмент S10 (задний базальный) правого лёгкого. Относится к нижней доле правого лёгкого. Топографически проецируется на грудную клетку от нижнего угла лопатки до диафрагмы, по бокам отграничен околопозвоночной и лопаточной линиями.
Сегмент S1+2 (верхушечно-задний) левого лёгкого. Представляет комбинацию из С1 и С2 сегментов, что обусловлено наличием общего бронха. Относится к верхней доле левого лёгкого. Топографически проецируется на грудную клетку по передней поверхности от 2 ребра и вверх, через верхушку до середины лопаточной кости.
Сегмент S3 (передний) левого лёгкого. Относится к верхней доле левого лёгкого. Топографически проецируется на грудную клетку спереди от 2 до 4 ребра.
Сегмент S4 (верхний язычковый) левого лёгкого. Относится к верхней доле левого лёгкого. Топографически проецируется на грудную клетку по передней поверхности от 4 до 5 ребра.
Сегмент S5 (нижний язычковый) левого лёгкого. Относится к верхней доле левого лёгкого. Топографически проецируется на грудную клетку по передней поверхности от 5 ребра до диафрагмы.
Сегмент S6 (верхний базальный) левого лёгкого. Относится к нижней доле левого лёгкого. Топографически проецируется на грудную клетку в паравертебральной области от середины лопатки до её нижнего угла.
Сегмент S8 (передний базальный) левого лёгкого. Относится к нижней доле левого лёгкого. Топографически отграничен спереди главной междолевой бороздой, снизу диафрагмой, сзади — задней подмышечной линией.
Сегмент S9 (латеральный базальный) левого лёгкого. Относится к нижней доле левого лёгкого. Топографически проецируется на грудную клетку между лопаточной и задней подмышечной линиями от середины лопаточной кости до диафрагмы.
Сегмент S10 (задний базальный) левого лёгкого. Относится к нижней доле левого лёгкого. Топографически проецируется на грудную клетку от нижнего угла лопатки до диафрагмы, по бокам отграничен околопозвоночной и лопаточной линиями.
Представлена рентгенограмма правого лёгкого в боковой проекции с указанием топографии междолевых щелей.
Лёгкие располагаются в грудной клетке, занимая большую ее часть, и отделены друг от друга средостением. Размеры лёгких неодинаковые вследствие более высокого положения правого купола диафрагмы и положения сердца, смещенного влево.
В каждом лёгком различают доли, разделенные глубокими щелями. Правое лёгкое состоит из трёх долей, левое — из двух. На правую верхнюю долю приходится 20% лёгочной ткани, на среднюю — 8%, правую нижнюю — 25%, левую верхнюю — 23%, левую нижнюю — 24%.

Главные междолевые щели проецируются справа и слева одинаково — от уровня остистого отростка 3 грудного позвонка они направляются косо вниз и вперед и пересекают 6 ребро у места перехода его костной части в хрящевую.
Дополнительная междолевая щель правого лёгкого проецируется на грудную клетку по ходу 4 ребра от средней подмышечной линии до грудины.
На рисунке обозначены: Upper Lobe — верхняя доля, Middle Lobe — средняя доля, Lower Lobe — нижняя доля


Левый бронх
Left main bronchus — левый главный бронх
Left upper lobe bronchus — левый верхнедолевой бронх
Сегмент S1+2 (верхушечно-задний) левого лёгкого. Представляет комбинацию из С1 и С2 сегментов, что обусловлено наличием общего бронха. Относится к верхней доле левого лёгкого. Топографически проецируется на грудную клетку по передней поверхности от 2 ребра и вверх, через верхушку до середины лопаточной кости.
Сегмент S3 (передний) левого лёгкого. Относится к верхней доле левого лёгкого. Топографически проецируется на грудную клетку спереди от 2 до 4 ребра.
Сегмент S4 (верхний язычковый) левого лёгкого. Относится к верхней доле левого лёгкого. Топографически проецируется на грудную клетку по передней поверхности от 4 до 5 ребра.
Сегмент S5 (нижний язычковый) левого лёгкого. Относится к верхней доле левого лёгкого. Топографически проецируется на грудную клетку по передней поверхности от 5 ребра до диафрагмы.Left lower lobar bronchus — левый нижнедолевой бронх
Сегмент S6 (верхний базальный) левого лёгкого. Относится к нижней доле левого лёгкого. Топографически проецируется на грудную клетку в паравертебральной области от середины лопатки до её нижнего угла.
Сегмент S8 (передний базальный) левого лёгкого. Относится к нижней доле левого лёгкого. Топографически отграничен спереди главной междолевой бороздой, снизу диафрагмой, сзади — задней подмышечной линией.
Сегмент S9 (латеральный базальный) левого лёгкого. Относится к нижней доле левого лёгкого. Топографически проецируется на грудную клетку между лопаточной и задней подмышечной линиями от середины лопаточной кости до диафрагмы.
Сегмент S10 (задний базальный) левого лёгкого. Относится к нижней доле левого лёгкого. Топографически проецируется на грудную клетку от нижнего угла лопатки до диафрагмы, по бокам отграничен околопозвоночной и лопаточной линиями.
Правый бронх
Right main bronchus — правый главный бронх
Intermediate bronchus — средний бронхRight upper lobar bronchus — правый верхнедолевой бронх
Сегмент S1 (апикальный или верхушечный) правого лёгкого. Относится к верхней доле правого лёгкого. Топографически проецируется на грудную клетку по передней поверхности 2 ребра, через верхушку лёгкого до ости лопаточной кости.
Сегмент S2 (задний) правого лёгкого. Относится к верхней доле правого лёгкого. Топографически проецируется на грудную клетку по задней поверхности паравертебрально от верхнего края лопатки до её середины.
Сегмент S3 (передний) правого лёгкого. Относится к верхней доле правого лёгкого. Топографически проецируется на грудную клетку спереди от 2 до 4 рёбер.Right middl lobar bronchus — правый среднедолевой бронх
Сегмент S4 (латеральный) правого лёгкого. Относится к средней доле правого лёгкого. Топографически проецируется на грудную клетку в передней подмышечной области между 4 и 6 рёбрами.
Сегмент S5 (медиальный) правого лёгкого. Относится к средней доле правого лёгкого. Топографически проецируется на грудную клетку жду 4 и 6 рёбрами ближе к грудине.Right lower lobar bronchus — правый нижнедолевой бронх
Сегмент S6 (верхний базальный) правого лёгкого. Относится к нижней доле правого лёгкого. Топографически проецируется на грудную клетку в паравертебральной области от середины лопатки до её нижнего угла.
Сегмент S7 правого лёгкого. Топографически локализуется с внутренней поверхности правого легкого, располагается ниже корня правого лёгкого. Проецируется на грудную клетку от 6 ребра до диафрагмы между грудинной и срединноключичной линиями.
Сегмент S8 (передний базальный) правого лёгкого. Относится к нижней доле правого лёгкого. Топографически отграничен спереди главной междолевой бороздой, снизу диафрагмой, сзади — задней подмышечной линией.
Сегмент S9 (латеральный базальный) правого лёгкого. Относится к нижней доле правого лёгкого. Топографически проецируется на грудную клетку между лопаточной и задней подмышечной линиями от середины лопаточной кости до диафрагмы.
Сегмент S10 (задний базальный) правого лёгкого. Относится к нижней доле правого лёгкого. Топографически проецируется на грудную клетку от нижнего угла лопатки до диафрагмы, по бокам отграничен околопозвоночной и лопаточной линиями.
Фиброз легких

Заболевание, при котором происходит замещение легочной ткани соединительной, носит название фиброз легких. Этот недуг вызывает серьезные сбои дыхательной функции. При этом у больного происходит растяжение легочных тканей, из-за чего снижается их эластичность. Заболевание вызывает необратимые патологические изменения, которые сильно влияют на качество жизни человека. Полностью избавиться от проблемы невозможно, так как соединительная фиброзная ткань не регенерируется в обычную. Однако можно приостановить развитие заболевания, что выполняется с помощью современных методик вполне успешно.
Фиброз делят по степени распространенности патологических изменений на несколько стадий:
- Пневмофиброз. При этой форме заболевания соединительная ткань в умеренной степени чередуется с неизмененной легочной.
- Пневмосклероз. При этой форме патологическим изменениям подвергается большая часть легочной ткани.
- Цирроз легких. Об этой стадии говорят, когда происходит полное замещение тканей. При этом также повреждаются сосуды легкого.
Заболевание может быть как одно-, так и двусторонним. Недуг нельзя оставлять без внимания, ведь в запущенной стадии он может спровоцировать серьезные осложнения.

Информацию из данного раздела нельзя использовать для самодиагностики и самолечения. В случае боли или иного обострения заболевания диагностические исследования должен назначать только лечащий врач. Для постановки диагноза и правильного назначения лечения следует обратиться к профильному специалисту.

Причины фиброза легких
Заболевание делят на два основных типа: интерстициальный и идиопатический. Вызывают их различные причины. Идиопатический фиброз легких считается самой загадочной формой болезни. Ученые до сих пор не могут выяснить, что его провоцирует. Есть предположение, что он вызывается недостатком полноценного здорового сна. Интерстициальная же форма недуга возникает из-за следующих основных причин:
- хронические воспалительные заболевания;
- аллергии, не подающиеся лечению;
- длительное вдыхание пыли и загрязненного воздуха;
- облучение организма;
- гранулематозные болезни легких;
- туберкулез;
- пневмония.
Какой врач лечит фиброз легких?

- Когда появились первые симптомы?
- Были ли у него воспалительные заболевания легких?
- Есть ли аллергия на лекарственные препараты?
- Чем болел человек последний раз?
Лечение фиброза легких
Терапию выбирают в зависимости от стадии развития заболевания и его сложности. Как правило, на первых этапах развития фиброза легких его лечение может быть ограничено немедикаментозными методами. Главным из них считают кислородную терапию. Ингаляции проводятся с помощью специальных аппаратов. Метод помогает:
Медикаментозная терапия включает в себя прием глюкокортикостероидов, антифиброзных препаратов и цитостатиков. Лечение лекарственными средствами достаточно длительное. Оно может занимать как 12 недель, так и 6 месяцев. Однако такой продолжительный прием препаратов способен не лучшим образом сказаться на здоровье человека. Например, после полного курса глюкокортикостероидов у человека могут возникнуть проблемы с давлением, обменом кальция или обострение язвенной болезни желудка.
В более сложных случаях остановить развитие заболевания можно только хирургическим путем. Оперативное лечение выполняется при тотальном фиброзе, когда изменениям подвергается вся легочная ткань. Удаление пораженного легкого или трансплантация органа назначается при:
- тяжелой дыхательной недостаточности;
- снижения объема легких;
- развитии гипоксии;
- снижении более чем в 2 раза диффузной способности легких.
Каждые 3 месяца должен проходить осмотр у пульмонолога пациент с таким диагнозом. При фиброзе легких лечение сегодня проходит достаточно успешно, однако больному придется строго следовать всем указаниям специалиста.
Что если не лечить фиброз легких?
Заболевание может протекать как в острой, так и в хронической форме. Многие интересуются: что если не лечить фиброз легких? Стоит отметить, что заболевание достаточно серьезное, оно может привести даже к летальному исходу. Поэтому лечить его нужно как можно раньше. Фиброз может стать причиной развития таких серьезных осложнений как:
- экссудативный плеврит;
- гипоксемическая кома;
- пневмоторакс;
- тяжелая дыхательная недостаточность.
Самой опасной считается острая форма фиброза. Заболевание развивается очень стремительно, и уже через 2 месяца человек может умереть. Лечение в домашних условиях неприемлемо.
Продолжительность жизни при фиброзе легких
Согласно статистическим исследованиям, страдают от этого недуга преимущественно мужчины. Лишь у 2 из 10 больных диагностируют острую форму фиброза легких, при которой продолжительность жизни составляет только 1 год. При этом состояние человека резко ухудшается. У него появляется сильная одышка, он резко теряет вес (до 15 кг за 5 месяцев), а также испытывает тяжелую дыхательную недостаточность.
Персистирующий фиброз, как правило, развивается не столь стремительно. Симптомы его также выражены менее ярко. При таком диагнозе человек может прожить около 5 лет. Наиболее благоприятной формой считается медленно прогрессирующий фиброз легких, при котором продолжительность жизни человека составляет до 10 лет.
Метод КТ-диагностики для выявления фиброза легких
Когда заживление протекает неправильно, могут возникать рубцовые изменения, приводящие к тому, что орган не может функционировать в полном объеме.
Соответственно, фиброз легких представляет собой рубцовые изменения ткани легких. Количество клеток, способных насыщать кровь кислородом, уменьшается. Следовательно, снижается дыхательная эффективность — развивается дыхательная недостаточность, приводящая к интоксикации, сначала при нагрузке, при усугублении течения заболевания — в покое, а далее — даже во сне. Рубцовая ткань в легких не только обладает пониженными функциональными свойствами, но и служит прекрасной средой для развития присоединенных инфекций, например, таких как бактериальная (пневмококковая или стафилококковая) пневмония.
Фиброз легких — это исход воспаления тканей во время интерстициального (то есть с поражением межклеточной соединительной ткани) заболевания легких. К причинам развития подобного заболевания могут относиться травмы легких, высокая загрязненность окружающей среды, курение, вдыхание наркотических веществ, плесени, органической, асбестовой, кварцевой и угольной пыли, инфекционные, аутоиммунные, вирусные заболевания и их осложнения — бронхит, туберкулез, пневмония, COVID-19 и многое другое.
Еще недавно синонимом самих интерстициальных заболеваний был пневмофиброз, но, к счастью, было установлено, что не все варианты таких заболеваний легких являются фиброзирующими.
Самый сложный и практически не поддающийся лечению — первичный, или идиопатический фиброз легких — быстро прогрессирующее фиброзирующее заболевание легких, причина которого неизвестна.
Симптомы фиброза легких
Легочный фиброз характеризуется симптомами одышки и сухого кашля (редко продуктивного — с мокротой) при физической нагрузке, непрекращающейся болью в области грудной клетки, быстрой утомляемостью на фоне затрудненного дыхания, похудением без изменения диеты. При аускультации легких (выслушивании с помощью фонендоскопа) выявляются ранние (в фазе вдоха) инспираторные, то есть дыхательные хрипы, чаще всего локализующиеся в нижних задних зонах легких.
Фиброз может развиваться как в одном легком, так и в двух одновременно. Также возможны очаговая и тотальная формы фиброза. При тотальной форме зачастую требуется оперативное вмешательство, так как поражена большая часть легких. При очаговой форме изменения носят локальный характер.
КТ-диагностика фиброза легких
Золотой стандарт диагностики фиброза легких — компьютерная томография высокого разрешения. КТ-диагностика легочного фиброза позволяет достоверно выявить степень поражения легких, определить локализацию рубцовой ткани. Этот метод диагностики признан одним из самых чувствительных неинвазивных методов выявления легочного фиброза. Так, проведенные сравнительные исследования уже в 1990 году показали, что фиброз легких с помощью компьютерной томографии в режиме высокого разрешения (КТВР) был обнаружен в 91% случаев и только в 39% — с использованием рентгенографии органов грудной клетки.
При наличии фиброза легких в серьезной стадии на КТ виден паттерн (термин, принятый для обозначения патологических признаков в медицине) так называемого «сотового» легкого — это состояние видно на сканах как однотипные, расположенные в несколько рядов кисты, содержащие воздух, в пораженных частях одного или обоих легких. На ранних стадиях легочного фиброза подобная картина не наблюдается, поэтому потребовался поиск признаков на КТ, позволяющих выявить болезнь в ее начале. Одним из таких признаков оказалось наличие на снимках картины «матового стекла» — очагов незначительного уплотнения легочной ткани. Также специфические признаки фиброза у пациента можно обнаружить при проведении КТ легких с функциональными пробами. Так, один из признаков — субплевральное усиление периферического легочного интерстиция — ранее считался признаком отсутствия патологии. Подобные изменения практически невозможно отследить при помощи других методов аппаратной диагностики.
На данный момент точность методов КТ-диагностики растет благодаря введению новых протоколов исследований и тщательного изучения результатов многочисленных исследований. При этом ведущая роль в диагностическом процессе отводится врачу-рентгенологу, который трактует видимые изменения как легочный фиброз или его отсутствие. Поиск ранних лучевых признаков фиброзирующей болезни легких — ключевой момент для своевременного назначения противофибротической терапии.
Также именно мультисрезовая КТ при поставленном диагнозе используется для оценки скорости прогрессирования заболевания, выявления благоприятного и неблагоприятного типов фиброзных изменений, успеха лечения и правильности подбора терапевтический препаратов.
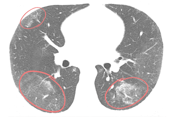
Поражение легких по типу матового стекла на КТ

Благодаря мультиспиральной компьютерной томографии грудной клетки, или МСКТ, которая считается наиболее информативным методом обследования легких, врачи могут диагностировать инфекционно-воспалительные и онкологические заболевания на ранних стадиях.
«Матовые стекла» характерны для пневмонии, туберкулеза, рака легких и других опасных состояний. Какие именно и по каким признакам их различают? Рассмотрим подробнее в этой статье.
Что такое «матовое стекло»?
«Матовые стекла» — это участки уплотнения легочной ткани, которые хуже пропускают X-Ray лучи. По-другому их называют очагами уплотнения ткани легких. На томограммах такие области напоминают светлые пятна или мутноватый налет. Очаги по типу «матового стекла» свидетельствуют о том, что альвеолы легких заполнены жидкостью (транссудатом, кровью), а не воздухом. Также они могут свидетельствовать о снижении пневматизации легких из-за фиброзных изменений. Альвеолы участвуют в газообмене, снабжают клетки кислородом и выводят углекислый газ, поэтому заполнение их полости жидким веществом или клетками соединительной ткани недопустимо.
Если общая площадь «матовых стекол» увеличивается, это свидетельствует о прогрессирующем инфекционно-воспалительном заболевании. Пациента начинает беспокоить нехватка воздуха, одышка, кашель.
При каких заболеваниях «матовое стекло» проявляется на томограммах?
По данным кафедры лучевой диагностики ММА им. Сеченова, картину «матовости» чаще всего дают пневмонии (вирусные, бактериальные, грибковые), однако инфильтрация легких характерна и для других патологических состояний. Вот только некоторые из них:
- Альвеолярный протеиноз;
- Пневмонит;
- Кровоизлияние;
- Гранулематозы;
- Альвеолярный отек;
- Аллергический альвеолит;
- Туберкулез;
- Медикаментозное поражение легких;
- Инфаркт легкого;
- Вирусная инфекция;
- Дерматомиозит;
- Опухоли;
- Ревматоидный артериит;
- Респираторный бронхиолит с ИЗЛ;
- Синдром Съегрена;
- Синдром Гудпасчера;
- Склеродермия.
Оценивая данные КТ легких, врач-рентгенолог дифференцирует заболевания по специфической картине «матовых стекол»: их количеству, локализации, наличию других признаков, по которым возможно определить причину патологических изменений ткани легких. Например, для двусторонней вирусной пневмонии характерно наличие «матовых стекол», расположенных периферически в нижних и задних отделах легких. В более поздней стадии наблюдается консолидация очагов инфильтрации с утолщением перегородок альвеол.
«Матовые стекла» при туберкулезе могут быть расположены рядом с бронхами или диссеминированы — в этом случае наблюдается множество маленьких светлых участков (инфильтратов), хаотично расположенных во всей полости легких. Также при туберкулезе на КТ легких можно обнаружить характерные фиброзные тяжи, ведущие к корню легкого — это перибронхиальное воспаление, признаки лимфостаза с увеличением лимфатических узлов. Единичные участки «матового стекла» малого размера без четкого паттерна какого-либо заболевания могут указывать на новообразование, развивающийся фиброз, аденокарциному (рак) легких.
Иногда «матовые стекла» указывают на сосудистые патологии, которые приводят к сдавливанию альвеолярного пространства. У пациентов с ожирением могут появится в гравитационно-зависимых (нижних) областях легких под воздействием лишнего веса. У здоровых пациентов эффект «матового стекла» может проявиться на томограммах в случае, если сканирование грудной клетки проведено на выдохе (правильно — на глубоком вдохе).
Не принимая в расчет эти погрешности и говоря об истинном синдроме «матового стекла» на КТ легких, отметим, что это признак нефункциональных участков легких. В норме уплотнений и препятствий для дыхания быть не должно, а легочная ткань представлена на томограммах однородным темным цветом. Очень редко «матовые стекла» указывают на индивидуальные особенности организма пациента, например, на нетипичное расположение диафрагмы у новорожденных. Но это единичные случаи, поэтому давайте рассмотрим наиболее распространенные паттерны заболеваний, при которых на томографии встречаются «матовые стекла».
«Матовые стекла» на КТ при пневмонии
Чаще всего «матовое стекло» на КТ проявляется при воспалении легких, причем это может быть абсолютно любая пневмония: вирусная, бактериальная, с атипичным развитием симптомокомплекса, очень редкая интерстициальная и так далее. Поскольку спектр возбудителей пневмонии чрезвычайно широк, а дифференцировать заболевания легких по одному эффекту «матового стекла» не всегда представляется возможным, пациенту рекомендуется лабораторная диагностика — анализ крови или отделяемого из дыхательных путей на предмет микоплазм, пневмококков, коронавируса и других возбудителей.
Общим признаком острых пневмоний на КТ является наличие инфильтратов («матовых стекол») разной формы и протяженности. «Матовые стекла» расположены вокруг очагов или диффузно, как при туберкулезе. Однако в отличие от туберкулеза, их размер обычно больше, есть тенденция к консолидации инфильтратов и образованию рисунка по типу «булыжной мостовой». В отдельных случаях визуализируются просветы бронхов, содержащих газ. Это называется синдромом «воздушной бронхографии». В сочетании с эффектом «матового стекла», он также относится к явным признакам пневмонии.
Для пневмонии, вызванной коронавирусом COVID-19, характерно периферическое расположение очагов поражения под плеврой. Наиболее уязвимы билатеральные нижние доли и задние отделы легких. Отмечается тенденция к консолидации «матовых стекол» и утолщению перегородок альвеол, иногда — признаки фиброза легких.
Тяжелым формам коронавирусной пневмонии сопутствует острый респираторный дистресс-синдром. ОРДС — это обширное двухстороннее воспаление, при котором наблюдается множество инфильтратов и отек легких. На томограммах фрагментарные участки «матового стекла» кортикальной формы присутствуют с двух сторон и имеют вид «лоскутного одеяла».
При пневмоцистной пневмонии, вызванной дрожжеподобным грибом Pneumocystis Jirovecii, наблюдается несколько иная картина. Участки уплотнения легких по типу «матового стекла» обычно расположены с двух сторон симметрично (но иногда диффузно и неравномерно). Уплотнения преобладают в прикорневых областях легких, а диффузные изменения — в верхних и нижних отделах. Для пневмоцистной пневмонии, как и для вирусной, ассоциированной с COVID-19, характерны эффект консолидации и симптом «лоскутного одеяла», но на томограммах легких видны и другие признаки: воздушные кисты, пневмоторакс.
Отдельную группу заболеваний представляют идиопатические интерстициальные пневмонии, причину которых не удается установить. Помимо «матового стекла» на сканах КТ легких можно обнаружить симптом «сотового легкого», бронхоэктазы, ретикулярные изменения. Идиопатические пневмонии требуют гистологического обследования.
На основании данных компьютерной томографии легких и анамнеза пациента врач-рентгенолог сможет определить поражение легких, характерное для пневмонии. В рамках дифференциальной диагностики учитывается плотность и форма «матовых стекол», их количество, в целом оценивается рисунок. Однако определить возбудителя пневмонии и тактику лечения можно после дополнительной лабораторной диагностики.
«Матовое стекло» на КТ при туберкулезе
Очаги инфильтрации по типу «матового стекла» встречаются и при туберкулезе. Его вызывает бактерия Mycobacterium tuberculosis. Считается, что все взрослые люди, достигшие возраста 30 лет, являются носителями микобактерии в «спящем» виде. Когда иммунитет подавлен, бактерии туберкулеза могут активизироваться, и человек заболеет.
При туберкулезе на КТ легких обычно видны множественные мелкие (милиарные) очаги, диссеминированные по легким. Возможна их концентрация в определенной доле. Часто присутствует инфильтрат в форме «дорожки», ведущей к корню легкого. Отмечается увеличение лимфатических узлов. Окончательно отличить туберкулез от пневмонии возможно по результатам ПЦР-диагностики — анализа крови на предмет возбудителя инфекционного воспаления легких.
«Матовое стекло» на КТ при отеке легких
Отёк легких — это осложнение массивного воспаления, сепсиса, токсического отравления. Отек часто возникает как осложнение хронических и острых заболеваний легких, следствие коронарной ишемии, сердечной недостаточности, патологических сбоев в работе других органов и их систем.
При кардиогенном отеке легких наряду с «матовыми стеклами» наблюдается утолщение междолевой плевры, сетчатая деформация легочного рисунка, а контуры корней легких расширенные и нечеткие.
К дополнительным признакам отека легких на КТ относится увеличение диаметра легочных сосудов, расширение камер сердца и жидкость в плевральной полости.
«Матовое стекло» при аденокарциноме (раке) легкого
По эффекту «матового стекла» на КТ легких определяют злокачественные новообразования — рак легких. Аденокарцинома — самый распространенный вид опухоли; существенным «спусковым механизмом» для ее образования является курение, наследственность, возраст (старше 40 лет).
Опухоль аденокарцинома формируется из клеток железистого эпителия. На томограмме представлена единичным обычно небольшим (от 2 мм) участком уплотнения по типу «матового стекла». В отдельных случаях у пациента наблюдается несколько «матовых стекол» диффузного или диффузно-мозаичного типа. Аденокарцинома представлена различными морфологическими подтипами и требует динамического наблюдения.
Не пытайтесь самостоятельно интерпретировать изображения. Выявить «матовые стекла» и дать им дифференцированную оценку может только профильный врач специалист, прошедший обучение и имеющий соответствующий сертификат.
Текст подготовил
Котов Максим Анатольевич, главный врач центра КТ «Ами», кандидат медицинских наук, доцент. Стаж 20 лет
- Iranmanesh A.M., Washington L. Pulmonary Sarcoidosis: A Pictorial Review / Semin Ultrasound CT MR, 2019.
- Felix J., Herth F., Kirby M., Sieren J., Herth J., Schirm J., Wood S., Schuhmann M. The Modern Art of Reading Computed Tomography Images of the Lungs: Quantitative CT / Respiration, 2018.
- Soussan M., Brillet P.-Y., Mekinian A., Khafagy A., Nicolas P., Vessieres A., Brauner M. Patterns of pulmonary tuberculosis on CT / Eur J Radiol, 2012.
- Bushong S. Computed Tomography / McGraw Hill Professional - 2000. - 162 p.
- Boyd D.P, Computed tomography: physics and instrumentation / Acad Radiol - 1995.
- Котов М.А. Опыт применения компьютерной томографии в диагностике заболеваний органов дыхания у детей / Материалы X Невского радиологического Форума (НРФ-2018). - СПб., 2018, Лучевая диагностика и терапия. 2018. № 1 (9). — С. 149.
- Карнаушкина М.А., Аверьянов А.В., Лесняк В.Н. Синдром «матового стекла» при оценке КТ-изображений органов грудной клетки в практике клинициста: патогенез, значение, дифференциальный диагноз / Архивъ внутренней медицины - М., 2018. — С. 165-175.
- Прокоп М., Галански М. Спиральная и многослойная компьютерная томография / Т.1,2 под ред. А.В.Зубарева, Ш.Ш.Шотемора — М., 2011 — 712 с.
Мы перезвоним, подберём удобное для записи время и ответим на вопросы.
Оператор обрабатывает входящие заявки с 8:00 до 22:00
Нажимая на кнопку, вы даете согласие на обработку персональных данных в соответствии с Федеральным законом от 27.07.2006 г. № 152-ФЗ «О персональных данных».
Если вы оставили ее с 8:00 до 22:00, мы перезвоним вам для уточнения деталей в течение 15 минут.
Читайте также:
