УЗИ, МРТ при арахноидальной кисте головного мозга у плода
Добавил пользователь Евгений Кузнецов Обновлено: 21.11.2025
Аномалии развития головного мозга — это результат происходящих во внутриутробном периоде нарушений формирования отдельных церебральных структур или головного мозга в целом. Зачастую имеют неспецифическую клиническую симптоматику: преимущественно эпилептический синдром, задержку психического и умственного развития. Тяжесть клиники напрямую коррелирует со степенью поражения головного мозга. Диагностируются антенатально при проведении акушерского УЗИ, после рождения — при помощи ЭЭГ, нейросонографии и МРТ головного мозга. Лечение симптоматическое: противоэпилептическое, дегидратационное, метаболическое, психокоррегирующее.
МКБ-10

Общие сведения
Причины
Наиболее весомой причиной сбоев внутриутробного развития является влияние на организм беременной и на плод, различных вредоносных факторов, обладающих тератогенным действием. Возникновение аномалии в результате моногенного наследования встречается лишь в 1% случаев. Наиболее влиятельной причиной пороков головного мозга считается экзогенный фактор. Тератогенным эффектом обладают многие активные химические соединения, радиоактивное загрязнение, отдельные биологические факторы. Немаловажное значение здесь имеет проблема загрязнения среды обитания людей, обуславливающая поступление в организм беременной токсических химических веществ.
Различные эмбриотоксические воздействия могут быть связаны с образом жизни самой беременной: например, с курением, алкоголизмом, наркоманией. Дисметаболические нарушения у беременной, такие как сахарный диабет, гипертиреоз и пр., могут также стать причиной церебральных аномалий плода. Тератогенным действием обладают и многие медикаменты, которые может принимать женщина в ранние сроки беременность, не подозревая о происходящих в ее организме процессах. Мощный тератогенный эффект оказывают инфекции, перенесенные беременной, или внутриутробные инфекции плода. Наиболее опасны цитомегалия, листериоз, краснуха, токсоплазмоз.
Патогенез
Дифференцировка нейробластов (зародышевых нервных клеток) приводит к образованию нейронов, формирующих серое вещество, и глиальных клеток, составляющих белое вещество. Серое вещество отвечает за высшие процессы нервной деятельности. В белом веществе проходят различные проводящие пути, связывающие церебральные структуры в единый функционирующий механизм. Рожденный в срок новорожденный имеет такое же число нейронов, как и взрослый человек. Но развитие его мозга продолжается, особенно интенсивно в первые 3 мес. жизни. Происходит увеличение глиальных клеток, разветвление нейрональных отростков и их миелинизация.
Сбои могут произойти на различных этапах формирования головного мозга. Если они возникают в первые 6 мес. беременности, то способны приводить к снижению числа сформированных нейронов, различным нарушениям в дифференцировке, гипоплазии различных отделов мозга. В более поздние сроки может возникать поражение и гибель нормально сформировавшегося церебрального вещества.
Виды аномалий мозга
Анэнцефалия — отсутствие головного мозга и акрания (отсутствие костей черепа). Место головного мозга занято соединительнотканными разрастаниями и кистозными полостями. Может быть покрыто кожей или обнажено. Патология несовместима с жизнью.
Энцефалоцеле — пролабирование церебральных тканей и оболочек через дефект костей черепа, обусловленный его незаращением. Как правило, формируется по средней линии, но бывает и асимметричным. Небольшое энцефалоцеле может имитировать кефалогематому. В таких случаях определить диагноз помогает рентгенография черепа. Прогноз зависит от размеров и содержимого энцефалоцеле. При небольших размерах выпячивания и наличии в его полости эктопированной нервной ткани эффективно хирургическое удаление энцефалоцеле.
Микроцефалия — уменьшение объема и массы головного мозга, обусловленное задержкой его развития. Встречается с частотой 1 случай на 5 тыс. новорожденных. Сопровождается уменьшенной окружностью головы и диспропорциональным соотношением лицевого/мозгового черепа с преобладанием первого. На долю микроцефалии приходится около 11% всех случаев олигофрении. При выраженной микроцефалии возможна идиотия. Зачастую наблюдается не только ЗПР, но и отставание в физическом развитии.
Макроцефалия — увеличение объема головного мозга и его массы. Гораздо менее распространена, чем микроцефалия. Макроцефалия обычно сочетается с нарушениями архитектоники мозга, очаговой гетеротопией белого вещества. Основное клиническое проявление — умственная отсталость. Может наблюдаться судорожный синдром. Встречается частичная макроцефалия с увеличением лишь одного из полушарий. Как правило, она сопровождается асимметрией мозгового отдела черепа.
Кистозная церебральная дисплазия — характеризуется множественными кистозными полостями головного мозга, обычно соединенными с желудочковой системой. Кисты могут иметь различный размер. Иногда локализуются только в одном полушарии. Множественные кисты головного мозга проявляются эпилепсией, устойчивой к антиконвульсантной терапии. Единичные кисты в зависимости от размера могут иметь субклиническое течение или сопровождаться внутричерепной гипертензией; зачастую отмечается их постепенное рассасывание.
Голопрозэнцефалия — отсутствие разделения полушарий, в результате чего они представлены единой полусферой. Боковые желудочки сформированы в единую полость. Сопровождается грубыми дисплазиями лицевого черепа и соматическими пороками. Отмечается мертворождение или гибель в первые сутки.
Агирия (гладкий мозг, лиссэнцефалия) — отставание развития извилин и тяжелое нарушение архитектоники коры. Клинически проявляется выраженным расстройством психического и моторного развития, парезами и различными формами судорог (в т. ч. синдромом Веста и синдромом Леннокса-Гасто). Обычно заканчивается летальным исходом на первом году жизни.
Пахигирия — укрупнение основных извилин при отсутствии третичных и вторичных. Сопровождается укорочением и выпрямлением борозд, нарушением архитектоники церебральной коры.
Микрополигирия — поверхность коры мозга представлена множеством мелких извилин. Кора имеет до 4-х слоев, тогда как в норме кора насчитывает 6 слоев. Может быть локальной или диффузной. Последняя, полимикрогирия, характеризуется плегией мимических, жевательных и глоточных мышц, эпилепсией с дебютом на 1-ом году жизни, олигофренией.
Гипоплазия/аплазия мозолистого тела. Часто встречается в виде синдрома Айкарди, описанного только у девочек. Характерны миоклонические пароксизмы и сгибательные спазмы, врожденные офтальмические пороки (колобомы, эктазия склеры, микрофтальм), множественные хориоретинальные дистрофические очаги, обнаруживаемые при офтальмоскопии.
Фокальная корковая дисплазия (ФКД) — наличие в коре головного мозга патологических участков с гигантскими нейронами и аномальными астроцитами. Излюбленное расположение — височные и лобные зоны мозга. Отличительной особенностью эпиприступов при ФКД является наличие кратковременных сложных пароксизмов с быстрой генерализацией, сопровождающихся в своей начальной фазе демонстративными двигательными феноменами в виде жестов, топтания на одном месте и т. п.
Гетеротопии — скопления нейронов, на этапе нейронной миграции задержавшихся на пути своего следования к коре. Гетеротопионы могут быть единичными и множественными, иметь узловую и ленточную форму. Их главное отличие от туберозного склероза — отсутствие способности накапливать контраст. Эти аномалии развития головного мозга проявляются эписиндромом и олигофренией, выраженность которых прямо коррелирует с числом и размером гетеротопионов. При одиночной гетеротопии эпиприступы, как правило, дебютируют после 10-летнего возраста.
Диагностика
Тяжелые аномалии развития головного мозга зачастую могут быть диагностированы при визуальном осмотре. В остальных случаях заподозрить церебральную аномалию позволяет ЗПР, гипотония мышц в неонатальном периоде, возникновение судорожного синдрома у детей первого года жизни. Исключить травматический или гипоксический характер поражения головного мозга можно при отсутствии в анамнезе данных о родовой травме новорожденного, гипоксии плода или асфиксии новорожденного. Пренатальная диагностика пороков развития плода осуществляется путем скринингового УЗИ при беременности. УЗИ в I триместре беременности позволяет предупредить рождение ребенка с тяжелой церебральной аномалией.
Одним из методов выявления пороков головного мозга у грудничков является нейросонография через родничок. Намного более точные данные у детей любого возраста и у взрослых получают при помощи МРТ головного мозга. МРТ позволяет определить характер и локализацию аномалии, размеры кист, гетеротопий и других аномальных участков, провести дифференциальную диагностику с гипоксическими, травматическими, опухолевыми, инфекционными поражениями мозга. Диагностика судорожного синдрома и подбор антиконвульсантной терапии осуществляется при помощи ЭЭГ, а также пролонгированного ЭЭГ-видеомониторинга. При наличии семейных случаев церебральных аномалий может быть полезна консультация генетика с проведением генеалогического исследования и ДНК-анализа. С целью выявления сочетанных аномалий проводится обследование соматических органов: УЗИ сердца, УЗИ брюшной полости, рентгенография органов грудной полости, УЗИ почек и пр.
Лечение аномалий мозга
Терапия пороков развития головного мозга преимущественно симптоматическая, осуществляется детским неврологом, неонатологом, педиатром, эпилептологом. При наличии судорожного синдрома проводится антиконвульсантная терапия (карбамазепин, леветирацетам, вальпроаты, нитразепам, ламотриджин и др.). Поскольку эпилепсия у детей, сопровождающая аномалии развития головного мозга, обычно резистентна к противосудорожной монотерапии, назначают комбинацию из 2 препаратов (например, леветирацетам с ламотриджином). При гидроцефалии осуществляют дегидратационную терапию, по показаниям прибегают к шунтирующим операциям. С целью улучшения метаболизма нормально функционирующих мозговых тканей, в какой-то степени компенсирующих имеющийся врожденный дефект, возможно проведение курсового нейрометаболического лечения с назначением глицина, витаминов гр. В и пр. Ноотропные препараты используются в лечении только при отсутствии эписиндрома.
При умеренных и относительно легких церебральных аномалиях рекомендована нейропсихологическая коррекция, занятия ребенка с психологом, комплексное психологическое сопровождение ребенка, детская арт-терапия, обучение детей старшего возраста в специализированных школах. Указанные методики помогают привить навыки самообслуживания, уменьшить степень выраженности олигофрении и по возможности социально адаптировать детей с церебральными пороками.
Прогноз и профилактика
Прогноз во многом определяется тяжестью церебральной аномалии. Неблагоприятным симптомом выступает ранее начало эпилепсии и ее резистентность к осуществляемой терапии. Осложняет прогноз наличие сочетанной врожденной соматической патологии. Эффективной мерой профилактики служит исключение эмбриотоксических и тератогенных влияний на женщину в период беременности. При планировании беременности будущим родителям следует избавиться от вредных привычек, пройти генетическое консультирование, обследование на наличие хронических инфекций.
Киста головного мозга у ребенка
Киста головного мозга у ребенка — это заполненная жидкостью полость, расположенная в нервной ткани или мозговых оболочках. Она возникает при патологиях внутриутробного развития, как следствие ЧМТ, нейроинфекций, инсультов. Заболевание проявляется общемозговой (головная боль, рвота, нарушение сознания) и очаговой симптоматикой (параличи, снижение чувствительности, расстройства зрения). Для диагностики назначают магнитно-резонансную и компьютерную томографию головного мозга, нейросонографию, ЭЭГ. Лечение кист рекомендовано при их осложненном течении, проводится хирургическим путем с последующей медико-социальной реабилитацией.

Истинную распространенность церебральных кист у детей сложно установить, поскольку образование, как правило, протекает бессимптомно. По наблюдениям зарубежных авторов, патология составляет до 1% среди всех мозговых неоплазий. Мальчики болеют чаще девочек. Это доброкачественное образование, но вызванное им сдавление нервной ткани у ребенка чревато серьезными осложнениями. Несмотря на развитие современной нейрохирургии, диагностика и лечение кист в детской практике затруднены, поэтому проблема не теряет своей актуальности.

У младенцев кисты носят врожденный характер, они формируются в периоде внутриутробного развития. Аномалия возникает под влиянием тератогенных факторов во второй половине срока гестации. Причиной новообразования у ребенка служат гипоксия плода, фетоплацентарная недостаточность, TORCH-инфекции и экстрагенитальные патологии беременной. Этиологическая структура приобретенных кист включает следующие причины:
- Травмы. Поврежденные участки нервной ткани не восстанавливаются, поэтому в процессе восстановления они организуются и инкапсулируются, образуя кисты. Такой же механизм наблюдается при ЧМТ, сопровождающихся небольшим кровоизлиянием, не представляющим угрозы для жизни ребенка.
- Инсульты. Постинсультные новообразования являются одними из самых распространенных, особенно у детей раннего возраста, у которых кровоизлияния и инфаркты мозга возникают с одинаковой частотой со взрослыми. Кисты формируются после обширных инсультов, даже если проводится их корректное лечение.
- Нейроинфекции. В основном опухоль имеет паразитарную этиологию и развивается после проникновения в головной мозг ребенка личинок червей (при эхинококкозе, парагонимозе, тениозе). Возбудитель формирует вокруг себя капсулу, которая сдавливает окружающие мозговые ткани и оболочки.
- Ятрогенные влияния. Изредка новообразования появляются, когда неудачно проведено нейрохирургическое лечение. У ребенка они могут стать результатом коррекции врожденных пороков и церебральных сосудистых аномалий, ликвидации внутричерепных кровоизлияний.
Кисты не способны к инвазивному росту и метастазированию, но их лечение необходимо из-за риска сдавления нервной ткани. Новообразование большого размера механически воздействует на центры головного мозга и препятствует оттоку ликвора. У маленьких детей это частично компенсируется благодаря податливости костей черепа, но со временем киста начинает себя проявлять. В тяжелых случаях возможна дислокация мозга ребенка с нарушением всех его функций.
Классификация
Кистозные новообразования подразделяются на приобретенные и врожденные (коллоидные и дермоидные). По локализации кисты классифицируются на:
- Арахноидальные, расположенные между мозговой тканью и паутинной оболочкой и всегда заполненные ликвором
- Церебральные, находящиеся непосредственно в церебральной ткани.
В отдельную группу выделяют кисты сосудистого сплетения и шишковидной железы.
Симптомы
Клиническая картина зависит от локализации и размеров кисты, поэтому постановка диагноза и лечение зачастую запаздывают. При церебральных образованиях симптоматика обусловлена сдавлением определенной зоны головного мозга. У ребенка могут быть парезы и параличи конечностей, снижение тактильной и температурной чувствительности, нарушение функции органов чувств. Пациенты жалуются на вспышки света и двоение в глазах, бессонницу, шаткость при ходьбе.
Для арахноидальных кист характерно преобладание общемозговых признаков. Ребенок испытывает интенсивную головную боль и головокружения, у него отмечаются многократная рвота, судороги. Заболевание иногда проявляется психическими расстройствами, психомоторным возбуждением, обмороками и комой. У новорожденного ребенка кисты вызывают патологическую сонливость или беспокойство, монотонный крик, рвоту и отказ от кормления.
Осложнения
Крупные кисты провоцируют стойкую мозговую дисфункцию, что без адекватного и своевременного лечения чревато инвалидностью ребенка и олигофренией. При арахноидальных новообразованиях в 20% случаев развивается вторичная гидроцефалия, которая сопровождается гипертензивно-гидроцефальным синдромом, поражением ствола головного мозга. Такое состояние чревато летальным исходом.
При первичном обследовании ребенка детский невролог оценивает очаговую и общемозговую симптоматику, определяет предполагаемую локализацию и объем поражения. Специалист ищет патогномоничные симптомы нейроинфекций, травм и других этиологических факторов кисты. На основании неврологического статуса врач ставит предварительный диагноз, которые необходимо подтвердить инструментальными и лабораторными методами, наиболее информативными из которых являются:
- Нейросонография. У младенцев до закрытия родничков УЗИ является основным диагностическим методом. Во время исследования невролог визуализирует полость, определяет ее размеры и локализацию, выявляет сопутствующие аномалии строения головного мозга.
- МРТ головного мозга. Магнитно-резонансная томография — «золотой стандарт» диагностики внутричерепных новообразований. Ее проводят с контрастированием, поскольку киста не накапливает красящее вещество, в отличие от злокачественной опухоли. Для лучшей визуализации содержимого полости используют КТ головного мозга.
- Электроэнцефалография. Наличие судорожных припадков в клинической симптоматике требует исключения эпилепсии по данным ЭЭГ. При исследовании могут выявляться отдельные очаги эпилептиформной активности, которые соответствуют участку повреждения мозговой ткани.
- Люмбальная пункция. Инвазивную диагностику проводят при подозрении на нейроинфекции. Врача интересует клеточный состав полученной спинномозговой жидкости, ее цвет и консистенция, наличие осадка или пленки на поверхности. При гидроцефалии пункция носит лечебно-диагностический характер.
Лечение
Хирургическое лечение
Консервативные мероприятия неэффективны, ребенку необходима помощь квалифицированного нейрохирурга. Оперативное лечение проводится, если киста имеет клинические проявления, быстро увеличивается в размерах, осложняется кровотечением. При небольших бессимптомных новообразованиях показана выжидательная тактика и динамическое наблюдение у невролога с немедленным началом терапии при ухудшении ситуации.
Приоритетным направлением в детской нейрохирургии является эндоскопическое лечение кист. Метод отличается минимальной травматичностью, быстрым восстановительным периодом. Для ликвидации новообразования назначается кистоперитонеальное шунтирование, вентрикулоцистернотомия, эндоскопическая резекция. Как вариант экстренной терапии кисты, осложненной гидроцефалией, проводится шунтирующая операция путем трепанации черепа.
Реабилитация
После оперативного вмешательства обеспечивается длительное лечение с участием невролога, дефектолога, логопеда. Терапия направлена на восстановление двигательной активности, когнитивных функций, социальных навыков. Для адаптации ребенка к физической активности реабилитацию дополняют нейрометаболическими препаратами, комплексами ЛФК, механотерапией и лечебным массажем.
Небольшие бессимптомные кисты не представляют угрозы здоровью и существуют в течение всей жизни. Прогностически неблагоприятными считаются крупные образования, сочетающиеся с гидроцефалией или дислокацией мозга, но своевременное хирургическое лечение повышает шансы на выздоровление. При комплексной и длительной реабилитации удается минимизировать остаточные неврологические проявления.
Чтобы уменьшить риск врожденных кистозных объемных образований мозга, необходимо рациональное ведение беременности, исключение тератогенных факторов, перинатальная охрана плода. Профилактика приобретенных кист заключается в своевременном и адекватном лечении ЧМТ, инсультов, нейроинфекций в детском возрасте с назначением рассасывающей терапии и ноотропных препаратов.
1. Компьютерная и магнитно-резонансная томография в диагностике острого нарушения мозгового кровообращения у детей. Методические рекомендации/ Н.Н. Володин. — 2019.
3. Малоинвазивный подход в хирургическом лечении коллоидных кист головного мозга/ В.А. Хачатрян, К.А. Самочерных, А.В. Ким, Ю.М. Забродская и др.// Вестник Санкт-Петербургского университета. — 2009.
4. Особенности хирургического лечения арахноидальных кист головного мозга у детей. Автореферат диссертации/ Д.М. Ростовцев. — 2008.
Арахноидальная киста головного мозга
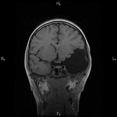
Арахноидальная киста головного мозга — заполненное цереброспинальной жидкостью образование, располагающееся между дупликатурой арахноидальной оболочки. Может иметь врожденную и вторичную природу. Зачастую протекает латентно, без клинических проявлений. При увеличении объема киста дебютирует симптомами внутричерепной гипертензии, судорожными пароксизмами и очаговым неврологическим дефицитом. Диагностируется в основном по данным МРТ головного мозга. При нарастании клинических симптомов требуется хирургическое лечение — дренирование кисты, ее фенестрация, иссечение или шунтирование.


Арахноидальная киста головного мозга представляет собой ограниченное скопление цереброспинальной жидкости (ликвора) в толще покрывающих головной мозг оболочек. Свое название киста получила в связи с локализацией в арахноидальной церебральной оболочке. В месте образования кисты арахноидальная оболочка утолщена и имеет дупликатуру, т. е. разделяется на два листка, между которыми накапливается цереброспинальная жидкость. Как правило, кисты имеют малый объем, но при скоплении в них большого количества ликвора, они оказывают компрессионное воздействие на подлежащую кору головного мозга. Это приводит к манифестации клинических проявлений интракраниального (внутричерепного) объемного образования.
Арахноидальная киста головного мозга может иметь различное месторасположение. Наиболее часто такие кисты находятся в области мостомозжечкового угла, сильвиевой борозды и над турецким седлом (супраселлярно). По имеющимся данным около 4% населения имеют арахноидальные кисты, но далеко не у всех они дают какие-либо клинические проявления. Более подвержены возникновению кист лица мужского пола.
Классификация арахноидальных кист
Этиологическая классификация учитывает происхождение арахноидальных церебральных кист. По своему происхождению они могут быть первичными, или врожденными, и вторичными, или приобретенными. Первичные кисты относятся к аномалиям развития головного мозга, вторичные возникают как следствие травматических повреждений, воспалительных процессов или кровотечений, происходящих в церебральных оболочках.
Морфологически выделяют простые и сложные арахноидальные кисты. В первом случае полость кисты выслана клетками арахноидальной оболочки, имеющими способность продуцировать цереброспинальную жидкость. Во втором случае в структуру кисты входят и другие ткани, например, глиальные элементы. Морфологическая классификация арахноидальных кист не имеет актуального значения в практической неврологии, в то время как этиологическая классификация обязательно учитывается при постановке развернутого диагноза.
Клинически арахноидальные кисты подразделяют на прогрессирующие и замершие. Прогрессирующие кисты отличаются нарастанием неврологической симптоматики, обусловленным увеличением объема кисты. Замершие кисты не увеличиваются в размерах и обычно имеют латентное течение. Определение вида арахноидальной кисты в соответствии с данной классификацией имеет первостепенное значение для выбора адекватной тактики лечения.
Причины возникновения арахноидальной кисты
Врожденные арахноидальные кисты формируются вследствие нарушений в процессе внутриутробного развития головного мозга. К факторам, обуславливающим их образование, относятся различные вредоносные воздействия на плод, происходящие в период беременности. Это могут быть внутриутробные инфекции (токсоплазмоз, краснуха, герпес, цитомегалия и др.), интоксикации (профессиональные вредности, алкоголизм, курение, наркомания, прием фармпрепаратов с тератогенным эффектом), радиоактивное облучение, перегревание (посещение беременной женщиной сауны или бани, избыточная инсоляция, привычка принимать горячие ванны). Кисты, локализующиеся в арахноидальной оболочке, зачастую отмечаются у пациентов с синдромом Марфана и гипогенезией мозолистого тела.
Приобретенные арахноидальные кисты возникают после черепно-мозговых травм (сотрясения головного мозга, ушиба головного мозга), а также могут являться следствием операций на головном мозге. Формирование вторичной кисты возможно после перенесенного менингита, арахноидита или менингоэнцефалита. Образование арахноидальной кисты может наблюдаться после разрешения субарахноидального кровоизлияния или субдуральной гематомы. Факторы, способные спровоцировать формирование арахноидальной кисты, могут также вызвать прогрессирующий рост объема ранее существующего в арахноидальной оболочке небольшого субклинического кистозного образования за счет гиперпродукции и скопления в нем цереброспинальной жидкости.
Симптомы арахноидальной кисты
В большинстве случаев арахноидальная киста головного мозга имеет незначительный объем и никак не проявляет себя клинически. Врожденная киста может быть случайной находкой при выполнении нейросонографии через родничок или МРТ головного мозга в связи с другой интракраниальной патологией. Возможен ее клинический дебют при инфекционном, сосудистом или травматическом поражении головного мозга.
При увеличении количества находящегося внутри кисты ликвора и соответственно размеров самой кисты появляются симптомы повышенного внутричерепного давления и очаговые неврологические проявления, характер которых зависит от места расположения кисты. Пациента беспокоят головные боли (цефалгии), периодическое головокружение, шум в ушах, ощущение «тяжелой головы», иногда — чувство пульсации в голове, неустойчивость ходьбы.
С нарастанием объема кисты происходит усугубление указанной симптоматики. Цефалгия приобретает постоянный и интенсивный характер, сопровождается тошнотой, давлением на глазные яблоки, рвотой. Возможны развитие тугоухости (падения слуха), понижение остроты зрения, двоение или возникновение «пятен» в полях зрения, онемение тех или иных конечностей, вестибулярная атаксия, дизартрия. Могут отмечаться гемипарезы — снижение мышечной силы в руке и ноге одной половины тела. Нередки эпизоды возникновения судорожных приступов и синкопальных состояний (обмороков). В отдельных случаях наблюдается галлюцинаторный синдром. У детей появляется задержка психического развития.
Усугубление неврологической симптоматики свидетельствует о дальнейшем росте размеров арахноидальной кисты и прогрессирующем сдавлении головного мозга. Значительное увеличение объема кисты опасно возможностью ее разрыва, влекущего за собой смерть пациента. Длительное существование церебральной компрессии приводит к необратимым дегенеративным процессам в мозговых тканях с формированием стойкого неврологического дефицита.
Диагностика арахноидальной кисты
Клиника арахноидальной кисты не имеет специфичных проявлений и соответствует клинической картине, общей для большинства объемных образований головного мозга. К последним относятся внутримозговые и оболочечные гематомы, первичные и метастатические опухоли мозга, абсцесс головного мозга, внутримозговая киста. Осмотр невролога и первичное неврологическое обследование (электроэнцефалография, реоэнцефалография и эхо-энцефалография) позволяют установить наличие интракраниального образования с внутричерепной гипертензией и существующую судорожную активность головного мозга. Для уточнения характера объемного образования и его локализации необходимо проведение МРТ, СКТ головного мозга или КТ.

Оптимальным диагностическим методом для распознавания арахноидальных кист выступает МРТ головного мозга с контрастированием. Использование контрастных веществ позволяет отдифференцировать кисту от опухоли головного мозга. Основным критерием арахноидальной кисты, отличающим ее от опухоли, является отсутствие способности накапливать контраст. При помощи МРТ проводится дифференциальная диагностика с субдуральной гематомой, субарахноидальным кровоизлиянием, субдуральной гигромой, абсцессом, инсультом, энцефалитом и др. церебральными заболеваниями.
Лечение арахноидальной кисты
Замершие арахноидальные кисты с субклиническим течением не нуждаются в терапии. Пациентам рекомендовано наблюдение невролога и ежегодное прохождение МРТ для динамического контроля размеров кисты. Прогрессирующие арахноидальные кисты, кисты, сопровождающиеся эпилепсией и/или значительным повышением внутричерепного давления, не купируемым консервативными методами терапии, подлежат хирургическому лечению. Для решения вопроса о целесообразности хирургического лечения арахноидальной кисты и выборе оптимального способа его осуществления проводится консультация нейрохирурга.
При наличии кровоизлияния в область арахноидальной кисты и при ее разрыве показано полное иссечение кисты. Однако такой метод лечения является высоко травматичным и требует длительного восстановительного периода. Поэтому при отсутствии осложнений предпочтение отдается эндоскопическому вмешательству с т. н. фенестрацией кисты. Операция проводится через фрезевое отверстие и заключается в аспирации содержимого кисты с последующим созданием отверстий, соединяющих полость кисты с желудочком мозга и/или субарахноидальным пространством. В некоторых случаях применяют шунтирующую операцию - кистоперитонеальное шунтирование, в результате которой цереброспинальная жидкость из полости кисты оттекает в брюшную полость, где всасывается. Недостатком подобных операций является вероятность нарушения проходимости шунта.
Прогноз
Арахноидальная киста головного мозга может иметь самое различное течение. Во многих случаях она бессимптомно существует на протяжении всей жизни пациента. Опасность представляют прогрессирующие арахноидальные кисты. При запоздалой диагностике они могут служить причиной инвалидизирующего неврологического дефицита и даже летального исхода. Своевременное проведение хирургического лечения кисты, как правило, приводит к выздоровлению. Осложнением может явиться рецидив кисты.
Профилактика
Профилактика врожденных арахноидальных кист, как и предупреждение прочих пороков внутриутробного развития, включает корректное ведение беременности и соблюдение беременной специального охранительного режима, исключающего вредные воздействия на плод. Профилактикой приобретенных арахноидальных кист выступает правильное и своевременное лечение травм, воспалительных и сосудистых церебральных заболеваний.
Арахноидальная киста головного мозга, являющаяся самым распространенным видом кист мозга, имеющееся у 4% населения, представляет собой наполненный ликвором (цереброспинальной, или спинномозговой жидкостью) мешочек, расположенный в арахноидальной оболочке мозга. В месте кисты ткань арахноидальной оболочки разделяется на два слоя с накоплением между ними жидкости.
Сделать МРТ головного мозга в Санкт-Петербурге

Важно помнить, что киста не является опухолью и в большинстве случаев либо протекает бессимптомно или с небольшими проявлениями и очень редко требует оперативного вмешательства.
По происхождению арахноидальные кисты могут подразделяться на:
- Первичные, образовавшиеся в период внутриутробного развития;
- Вторичные, возникшие, возникающие как следствие ранения или травмы, протекающих в мозгу воспалительных процессов или кровотечений.
По динамике развития существуют кисты:
- Прогрессирующие. Для этого типа кист характерно постепенное усиление симптомов, связанных с тем, что увеличивающаяся в объеме киста наращивает свое давление на мозг.
- Замершие. Эти образования отличаются стабильностью и обычно не доставляют беспокойств, часто протекают без симптомов и часть выявляются лишь случайно при проведении томографии мозга, вызванной другими причинами.

Симптоматика арахноидальной кисты
В зависимости от места расположения и размеров кисты могут проявляться один или несколько симптомов:
- Головная боль;
- Тошнота и рвота;
- Вялость, в том числе чрезмерная усталость или нидостаток энергии;
- Приступы;
- Задержки развития;
- Гидроцефалия, вызванная нарушением естественной циркуляции спинномозговой жидкости;
- Проблемы со стороны эндокринной системы, например, ранее начало полового созревания;
- Непроизвольная тряска головой;
- Проблемы со зрением.
Чем больше киста, тем больше симптомов будет проявляться, будет возрастать их частота и сила. При длительном и сильном сдавливании может привести к необратимым изменениям тканей мозга. При чрезмерной компрессии и разрыве оболочек кисты возможно наступление смерти пациента.
Диагностика и лечение арахноидальной кисты
Кисты, протекающие без каких бы то ни было проявлений, могут быть выявлены только случайно. В случае наличия неврологических проявлений врач в первую очередь анализирует жалобы больного. Однако проявления могут говорить только о том, что существуют какие-то сбои в работе головного мозга, но не позволяют классифицировать проблему. Гематомы, опухоли мозга, расположенные внутри мозга кисты имеют такую же симптоматику. Для более точной постановки диагноза врач может назначить электроэнцефалографию, эхоэнцефалографию или реоэнцефалографию. Недостатком этих методов является то, что они не дают информации ни о точном местоположении образования, ни о его природе.

Главной целью любого лечения арахноидальной кисты является отвод жидкости и снижение давления на ткани мозга.
На сегодняшний день наиболее точным методом диагностики, позволяющим с высокой степенью точности отличить арахноидальную кисту от опухоли или гематомы, являются компьютерная томография (КТ) и магнито-резонансная томография (МРТ).

Это может быть достигнуто разными методами, включающими:
- Шунтирование. При этом методе хирург устанавливает в кисту трубку (шунт) по которому жидкость отводится в другие части организма (например, брюшную полость), где она всасывается другими тканями.
- Фенестрация. В этом случае в черепе пациента и стенках кисты создаются отверстия для дренирования и обеспечения нормального потока спинномозговой жидкости.
- Игольная аспирация и соединение при помощи отверстий внутренней части кисты с субарахноидальным пространством для отвода в него жидкости.

МРТ диагностика при арахноидальной кисте
Несмотря на то, что КТ позволяет точно определить размеры и расположение кисты, наиболее точную и полную информацию об образовании дает МРТ. Обычно для диагностики арахноидальной кисты проводится МРТ-сканирование с введением в кровоток пациента контраста. При этом опухоли мозга имеют свойство накапливать контраст, а кисты не впитывают его из кровеносных сосудов, что очень четко видно на МРТ.
Также МРТ-сканирование позволяет отличить кисту от кровоизлияний, гематом, гигром, абсцессов и других заболеваний со сходной симптоматикой. Кроме того, МРТ дает возможность выявить кисту даже в тех случаях, когда у пациента еще нет никаких проявлений, а сама киста имеет размеры всего в несколько миллиметров.

Второе мнение при арахноидальной кисте
Несмотря на то, что МРТ-диагностика с применением контрастного вещества дает врачу необходимую информацию, риск ошибки все же существует. Связан он в первую очередь с отсутствием у врача остаточного опыта интерпретации результатов МРТ и выявления кист. От таких ошибок не застрахован ни один пациент и случаются они как в крупных городах, так и в небольших населенных пунктах. В этой ситуации единственной возможностью исключить ошибку или как минимум в разы снизить ее вероятность является получение второго мнения от высококвалифицированного специалиста
Национальная телерадиологическая сеть (НТРС) предлагает вам возможность получить консультации ведущих специалистов страны в области МРТ-диагностики, имеющих богатый опыт анализа томографических снимков различных заболеваний. Для получения консультации вам достаточно просто загрузить результаты сканирования на наш сервер и уже через сутки вы получите мнение, альтернативное мнению вашего врача.

Возможно оно будет таким же как первое медицинское заключение, возможно будет отличаться от него, но второе мнение совершенно точно позволит вам свести риск ошибочного диагноза и неправильного лечения практически к нулю.
МРТ кист головного мозга

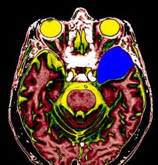
МРТ головного мозга. Арахноидальная киста полюса левой височной доли. Цветовая обработка.
Кисты головного мозга - это аномалии его развития. При МРТ в СПб мы видим задачу в дифференциальной диагностике с кистозными формами опухолей. При МРТ головного мозга некоторые виды кист, особенно дермоидные, сами напоминают опухоль.
Эпидермоидные кисты (эпидермоиды) - доброкачественные врождённые образования. Они происходят из эктопических эпидермальных клеток и развиваются в период закрытия, в 3-5 нед. эмбриогенеза, как следствие неполного разделения нейрональной и покровной эктодермы. Частота составляет около 1% от внутричерепных образований. Обычно диагностируются в возрасте 25 - 45 лет. Локализация эпидермоидов может быть любой, но типичная - мосто-мозжечковый угол (третье по частоте образование этой области), предмостовая цистерна, параселлярная область, четверохолмие и желудочковая система, очень редко в полушариях, спинном мозге и интрадиплоидно. Растут они интра- или экстрадурально, экспансивно, медленно, сдавливая ствол мозга, внутричерепные нервы, но не разрушая кость. Иногда захватывают сосуды и нервы. По характеру роста их можно отнести к опухолевидным образованиям. Вокруг эпидермоидов нередко развивается асептическое воспаление, а при разрыве содержимое (жир, кератин) прорывается в ликворные пространства. Клинические проявления зависят от локализации и масс-эффекта.
При МРТ головного мозга картина неспецифическая и зависит от содержимого кисты. Если она не содержит жира, топри МРТ головного мозга эпидермоидная киста имеет ликворную интенсивность сигнала. В таком случае эпидермоидная киста трудно отличима от арахноидальной, хотя, как правило, не столь однородная. На FLAIR томограммах и диффузионно-взвешенных МРТ головного мозга содержимое эпидермоидов светлее ликворного. Жировое содержимое, такие эпидермоиды еще называют холестеатомой, приводит к высокому сигналу на Т1-зависимых МРТ головного мозга. Видимо, он обусловлен липидами, но не холестеролом. На Т2-взвешенных МРТ головного мозга он менее интенсивен чем ликвор. Контуры эпидермоидов на МРТ всегда четкие. Холестеатомы составляют всего 3-5% от эпидермоидов. В 15-20% случаев встречается кальцификация по переферии кисты. Редко наблюдается усиление стенок кисты при МРТ головного мозга с контрастированием.

МРТ головного мозга. Т2-взвешенная аксиальная МРТ. Эпидермоидная киста в области предмостовой цистерны слева.
Дермоидные кисты встречаются реже эпидермоидных, составляя около 0,3 % от внутричерепных образований. Обычно выявляются в возрасте между 10 и 20 годами. Морфологически от эпидермоидов их отличает наличие эктодермальных элементов - волосяных фолликулов, потовых желёз и т.д. Типично они расположены по средней линии (в отличие от эпидермоидов, которые чаще внеосевые): в супраселлярной цистерне, субфронтально, вокруг моста и, очень редко парапинеально, периорбитально, в IV желудочке, в области конского хвоста и интрадиплоидно. От эпидермоидных кист на МРТ головного мозга их отличает только выраженная неоднородность структуры, кроме того, они всегда яркие на Т1-зависимых МРТ головного мозга за счёт большого содержания липидов. При разрыве и прорыве в субарахноидальное пространство в нём появляется уровень, на Т1-зависимых МРТ головного мозга светлый жир плавает на ликворе.

МРТ головного мозга. Т1-взвешенная аксиальная МРТ. Прорыв дермоидной кисты в субарахноидальное пространство.
Эпендимальные кисты встречаются очень редко. Они представляют собой врождённую отшнуровку внутри желудочков или цистернах. При МРТ головного мозга контур кисты четкий, сигнал ликворной интенсивности или чуть светлее за счет отсутствия пульсации и примеси белка, структура однородная. В отличие от кист прозрачной перегородки при МРТ головного мозга видно, что она не расщеплена, а смещена.

МРТ головного мозга. Т2-взвешенная аксиальная МРТ. Эпендимальная киста.
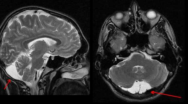
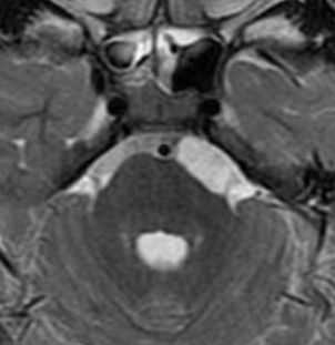
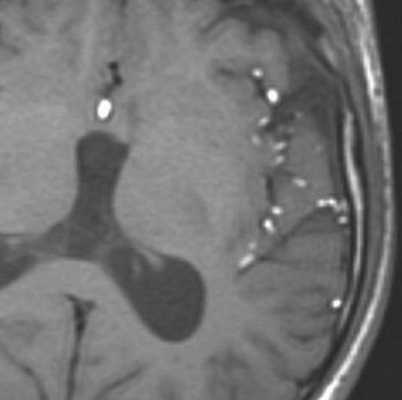
Арахноидальные кисты представляют собой скопление ликвора между листками расщепленной паутинной оболочки. Арахноидальная киста обычно не сопровождается другими мальформациями. Незначительная часть арахноидальных кист имеет приобретенное происхождение - следствие лептоменингита, операции или кровоизлияния. Частота составляет около 1% от внутричерепных образований. Соотношение полов М:Ж, как 4:1. Типичная локализация - средняя черепная ямка (в области Сильвиевой борозды 50%), межполушарная щель, мосто-мозжечковый угол (11%), за скатом или на уровне четверохолмия (10%), в области червя мозжечка (9%), реже в области межножковой и предмостовой цистерн (3%), а также супраселлярной и хиазмальной цистерн. В зависимости от размера предложено делить кисты на 3 типа (Galassi, 2006), что однако, не имеет практического значения. Ретроцеребеллярная арахноидальная киста довольно часто встречаются за мозжечком и отличима от mega cisterna только по неизменённой задней черепной ямке. При МРТ головного мозга содержимое кисты чисто ликворное, стенки гладкие, чётко очерченные, внутри кисты могут быть перегородки. Мелкие арахноидальные кисты очень трудно увидеть при МРТ головного мозга. Меняя ширину окна и его уровень на Т1-зависимых МРТ изображениях можно заметить, что киста чуть светлее ликвора. Дифференциальная диагностика с эпидермальными кистами лучше осуществляется с помощью МРТ последовательности FLAIR. На них при МРТ головного мозга эпидермальные кисты становятся яркими, в отличие от гипоинтенсивных арахноидальных. Вероятно, вариантом арахноидальной кисты является нейроэпителиальная киста, которая при МРТ головного мозга имеет типичное расположение в области хориоидальной щели.

МРТ головного мозга. Т1-взвешенная сагиттальная МРТ. Арахноидальная киста в области большого затылочного отверстия.
Порэнцефалические кисты - врождённые кисты различной этиологии, локализующиеся в паренхиме мозга или в области сосудистого сплетения желудочков.При МРТ головного мозга они обычно округлые, с гладкими стенками. Очень часто такие кисты сочетаются с аномалиями развития: отсутствием прозрачной перегородки и полимикрогирией. Содержимое порэнцефалической кисты при МРТ головного мозга ликворное, иногда с небольшой примесью белка.
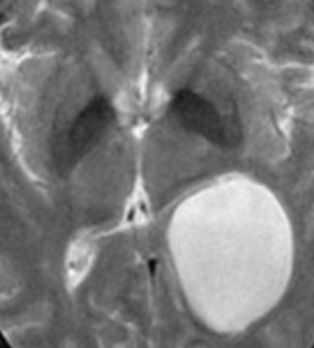
Коллоидная киста - это врождённое нейроэпителиальное образование. Коллоидная киста выстлана эпителием и имеет фиброзную капсулу. Она составляют около 1-2% объемных внутричерепных образований. Обычно диагностируются в возрасте между 30 и 50 годами. Всегда расположена в переднее-верхнем отрезке III желудочка между отверстиями Монро. Контур ее четкий, форма округлая, содержимое бывает неоднородное. Размер от 3 мм до 4 см, при больших размерах она закрывает отверстия Монро и вызывает окклюзионную гидроцефалию. Сигнал зависти от примеси белка к ликвору. При наличии белкового мукоидного содержимого киста гиперинтенсивна на Т1-взвешенных МРТ головного мозга и гипоинтенсивна на Т2-взвешенных МРТ, но встречаются варианты гиперинтенсивные на МРТ головного мозга обоих типов взвешенности кольцевидные или смешанные. При МРТ головного мозга с контрастированием усиления сигнала не наблюдается.
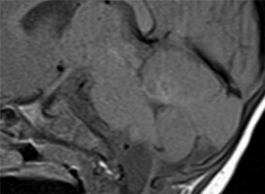
Киста кармана Ратке представляет собой редко встречающееся образование из остатков эмбриональной эктодермы (щель Ратке), расположенное между долями гипофиза. Выявляется в любом возрасте, но чаще в 50-60 лет. Клинические проявления связаны с масс-эффектом. При МРТ головного мозга выявляется небольшая (3-5мм) киста с четким контуром, без отека вокруг, однородная по структуре. Сигнал на МРТ головного мозга зависит от содержимого. При серозном содержимом сигнал типично жидкостный, при мукоидном киста светлая на Т1-взвешенных МРТ головного мозга. В 70-80% случаев внутри кисты выявляется неконирастирующийся узелок («пятно») - признак патогномоничный для кисты кармана Ратке. В редких случаях киста достигает больших размеров и даже выходит за пределы седла. Стенка кисты иногда усиливается при МРТ головного мозга с контрастированием. Дифференциальная диагностика при МРТ головного мозга должна проводиться с арахноидадьной и эпидермоидной кистами, тератомой, кистозной аденомой гипофиза и краниофарингиомой. Иногда при МРТ головного мозга киста кармана Ратке напоминает “пустое” турецкое седло. При маленьких размерах кисты ее на до дифференцировать на МРТ с микроаденомой гипофиза.

МРТ головного мозга. Т1-взвешенная сагиттальная МРТ. Киста кармана Ратке.
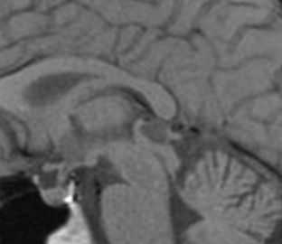
Пинеальная киста расположена в проекции шишковидной железы. Встречается с частотой 4-11%. Размеры обычно не превышают 1 см, но изредка встречаются больших размеров. В таких случаях она вызывает окклюзионную гидроцефалию. При МРТ головного мозга она имеет все признаки кисты с примесью белка в жидкости, то есть немного светлая на Т1-зависимых МРТ. Изредка встречается геморрагическое содержимое. Киста может по усиливаться периферии при МРТ головного мозга с контрастированием.

МРТ головного мозга. Т1-взвешенная сагиттальная МРТ. Пинеальная киста.
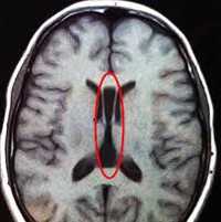
Кисты средней линии - киста прозрачной перегородки (cavum septi pellucidi), полость Верге (cavum Vergae) и киста промежуточного паруса (cavum veli interpositi) - являются нормальными структурами головного мозга плода. В течение 6 месяцев после рождения у большинства людей они запустевают, но могут и сохраниться. По-видимому, эти полости не имеют клинического значения и относятся к случайным находкам при МРТ головного мозга . Киста прозрачной перегородки (еще называют V желудочком) является медиальной стенкой боковых желудочков и ограничена спереди коленом мозолистого тела, сверху мозолистым телом и сзади столбами свода. Полость Верге представляет собой продолжение кисты прозрачной перегородки кзади и расположена между телами желудочков (рис.105). Обычно обе кисты сочетаются. Киста промежуточного паруса расположена в крыше III желудочка (tela choroidea), между треугольниками боковых желудочков на уровне отверстий Монро. Она ограничена сверху мозолистым телом, cзади цистерной четверохолмия и снизу III желудочком.
Читайте также:
- Перспективы генной терапии. Направления развития
- Инфекции кишечных вирусов
- Советы по оценке МРТ артрограммы голеностопного сустава
- Системная терапия диффузного атопического дерматита. Антигистаминные средства
- Техника операции при посттравматической кифотической деформации грудного отдела позвоночника
