Синдром Штиды-Пеллегрини (Stieda-Pellegrini) - синонимы, авторы, клиника
Добавил пользователь Евгений Кузнецов Обновлено: 01.01.2026
Medicine: Pellegrini disease (очаги гетеротопического костеобразования в околосуставных тканях области медиального надмыщелка бедренной кости вследствие перенесенной ранее травмы) , Pellegrini-Stieda disease (очаги гетеротопического костеобразования в околосуставных тканях области медиального надмыщелка бедренной кости вследствие перенесенной ранее травмы)
Универсальный русско-английский словарь . Академик.ру . 2011 .
Смотреть что такое "болезнь Пеллегрини" в других словарях:
Пеллегрини — Штиды болезнь — I (A. Pellegrini, итал. хирург; A. Stieda, нем. хирург, 1869 1945; синоним: синдром Пеллегрини Штиды, обызвествляющий периартрит области коленного сустава) заболевание, характеризующееся очагами гетеротопического костеобразования в околосуставных … Медицинская энциклопедия
Пеллегрини-Штиды болезнь — (A. Pellegrini, совр. итал. хирург: A. Stieda, 1869 1945, нем. хирург) см. Пеллегрини Штиды синдром … Большой медицинский словарь
Пеллегрини-Штиды синдром — (A. Pellegrini; A. Stieda; син. Пеллегрини Штиды болезнь) обызвествление мягких тканей в области внутреннего мыщелка бедренной кости, развивающееся после травмы этой области, проявляющееся отеком коленного сустава и болезненностью в нем при… … Большой медицинский словарь
Связки — I Связки (ligamenta) фиброзные пластины или тяжи, соединяющие кости между собой (фиброзные соединения, синдесмозы) и входящие в состав укрепляющего аппарата суставов. С. располагаются вокруг суставов (Суставы) в фиброзной мембране суставной… … Медицинская энциклопедия
Фернандес де Киршнер, Кристина — В Википедии есть статьи о других людях с такой фамилией, см. Фернандес. Кристина Элизабет Фернандес де Киршнер Cristina Elisabet Fernández de Kirchner … Википедия
Аргентина (страна) — Аргентина (Argentina), Аргентинская Республика (República Argentina). I. Общие сведения А. ‒ второе (после Бразилии) по размерам территории и населению государство Юж. Америки. Занимает юго восточную часть материка Юж. Америки, восточную часть о … Большая советская энциклопедия
Аргентина — I Аргентина (Argentina) Аргентинская Республика (República Argentina). I. Общие сведения А. второе (после Бразилии) по размерам территории и населению государство Юж. Америки. Занимает юго восточную часть материка Юж.… … Большая советская энциклопедия
Пеллегри́ни — Шти́ды синдро́м — (A. Pellegrini; A. Stieda: син. Пеллегрини Штиды болезнь) обызвествление мягких тканей в области внутреннего мыщелка бедренной кости, развивающееся после травмы этой области, проявляющееся отеком коленного сустава и болезненностью в нем при… … Медицинская энциклопедия
Маятник Фуко (роман) — О математическом маятнике см. Маятник Фуко. Маятник Фуко Il pendolo di Foucault … Википедия
Лушембурго, Вандерлей — У этого термина существуют и другие значения, см. Вандерлей (значения). Вандерлей Лушембурго … Википедия
Болезнь Пеллегрини-Штида
Болезнь Пеллегрини - Штида развивается в результате травм коленных сочленений. Данный синдром характеризуется формированием оссификатов костей. На начальных стадиях редко проявляются симптомы, что приводит к поздней диагностике и лечению и, как следствие, рискам осложнений.
Предрасположенность к данному синдрому отмечают у представителей мужского пола в возрастной категории от двадцати пяти до сорока пяти лет, ведущих деятельность в сферах тяжелых физических работ, либо же в спортивных сферах.
Причины возникновения болезни Пеллегрини-Штида
Основным фактором формирования синдрома служит механическое травмирование прямого типа области центрального надмыщелка бедренной области, либо же резкое отведение голени, а также резкие сокращения тканей большой приводящей мышцы зоны бедра. Отмечают ряд состояний патологического характера, обусловливающих возникновение синдрома:
- процессы кровоизлияния в коленной области;
- проявление некротических процессов в прилегающих тканях;
- длительная и большая отечность в зоне колена;
- наличие факторов наследственного характера.
При травмировании колена может проявляться кровотечение внутреннего типа.
Симптомы заболевания и диагностика
Специалисты отмечают ряд наиболее распространенных симптомов болезни Пеллегрини-Штида:
- болевые ощущения в зоне формирования оссификата;
- иррадиация болевых ощущений на переднюю область голени;
- проявление усиленных болевых ощущений в ночной период;
- нарушение функций разгибательного типа и сгибательного типа коленного сустава;
- проявление отеков на прилегающих структурах мягкого типа;
- локальное повышение температуры кожи;
- нарушения чувствительности поврежденной зоны;
- наличие атрофии каркаса мышечного типа поврежденной конечности.
При диагностике заболевания необходимо внимательно собрать анамнез и провести осмотр больного с пальпацией. Также используют рентгенологические методики обследования. На ранних этапах симптомы совпадают с симптоматикой ушибов различного характера, поэтому необходимо проведение тщательной процедуры диагностического характера.
По прошествии четырех недель с момента получения травмы рентгенологическая диагностика позволяет обнаружить оссификат неправильной формы, нередко в виде своеобразного серпа либо скобы. При этом кость бедра отделяется небольшим просветом.
Болезнь Пеллегрини-Штида - лечение в Санкт-Петербурге (СПб)
На сегодняшний день врачи травматологи-ортопеды клиники "АндроМеда" применяют консервативное лечения болезни Пеллегрини-Штида и методики хирургического характера.
Консервативный метод лечения включает в себя медикаментозный и физиотерапевтический методы. Назначается курс инъекций новокаина либо другого обезболивающего с гидрокортизоном в зону образования костного типа. При этом в комплексе проводится терапия ультразвукового типа, электрофорез, процедуры диатермии и курс других видов терапии в зависимости от особенностей заболевания.
Оперативное вмешательство необходимо при неэффективности терапии консервативного типа на протяжении трех месяцев, а также определение положения оссификата очень близко к стволам нервного типа и его врастание в полость сустава и рисках других осложнений.
Очень важным фактором является грамотное проведение послеоперационной терапии, так как существуют прямые риски рецидива. В процессе реабилитации используют электрофорез, гидрокинезотерапию и гимнастику лечебного характера.
В случаях своевременного обращения к специалистам и правильном назначении терапии прогноз в большинстве случаев благоприятный и наблюдается полное выздоровление пациента.
Болезнь Пеллегрини-Штида — цены в Санкт-Петербурге (СПб) лечения
Узнать цены, сколько стоит лечение болезни Пеллегрини-Штида в СПб, во сколько обойдутся все расходы на хирургическую операцию лечения болезни Пеллегрини-Штида — можно по телефонам клиники или на первом приеме у врача-специалиста нашей клиники.
| Лечение болезни Пеллегрини-Штида, цена | 2 000-10 000 руб. |
| Консультация врача-специалиста по лечению болезни Пеллегрини-Штида, цена | 600-1 600 руб. |
Как записаться
Записаться на лечение болезни Пеллегрини-Штида в СПб онлайн можно прямо сейчас на сайте, заполнив «Записаться на прием» или по телефону клиники
Пеллегрини — Штиды болезнь
заболевание, характеризующееся очагами гетеротопического костеобразования в околосуставных тканях области медиального надмыщелка бедренной кости вследствие перенесенной ранее травмы. Впервые клинико-рентгенологическую и патоморфологическую картину заболевания описал А. Пеллегрини (1905), полагая, что для него характерно обызвествление большеберцовой коллатеральной связки коленного сустава. А. Штида (1907) считал образование оссификата следствием отрывного перелома надмыщелка бедренной кости, возникающего в результате прямой травмы или резкого сокращения большой приводящей мыщцы бедра. Современные морфологические и гистохимические исследования показали, что в основе заболевания лежит извращенная реакция регенерации в ответ на повреждение. Считают, что в возникновении этой метаплазии помимо травмы, кровоизлияния, некроза, длительного отека тканей большую роль играет индивидуальная предрасположенность организма.
Заболевание развивается чаще у мужчин в возрасте 25—45 лет, преимущественно среди занимающихся физическим трудом или спортом. Пусковым механизмом обычно служит прямой удар в область медиального надмыщелка бедренной кости, форсированное отведение голени или резкое некоординированное сокращение большой приводящей мышцы бедра. В результате наступают кровоизлияния в месте прикрепления большеберцовой коллатеральной связки и сухожилия большой приводящей мышцы бедра к надмыщелку и асептический некроз тканей в зоне повреждения.
Основным симптомом болезни Пеллегрини — Штиды является боль, которая всегда соответствует месту расположения оссификата, может распространяться по ходу запирательного нерва или поднадколенниковой ветви подкожного нерва на переднюю поверхность голени. У 1 /3 больных боли усиливаются в ночное время и носят жгучий сверлящий характер. Кроме того, отмечают ограничение движений в коленном суставе, как сгибания, так и разгибания, которые обычно сочетаются с отеком мягких тканей коленного сустава, местной гипертермией, гиперестезией или гипостезией в зоне отека, а также атрофией мышц бедра и голени.
В раннем периоде после травмы, когда клиническая картина идентична ушибу или дисторсии коленного сустава, а также при сочетании с внутренними повреждениями его диагностика затруднена. Через 3—4 недели после травмы на рентгенограммах коленного сустава определяют оссификат (рис.), имеющий вид скобки, серпа или неправильную форму, который отделен от надмыщелка бедренной кости полоской просветления. При отрицательных рентгенологических данных, но при наличии пальпируемого оссификата необходимо произвести рентгеновские снимки с внутренней или наружной ротацией конечности на 20° для устранения наслоения оссификата на контур мыщелка бедра. Информацию о степени зрелости оссификата может дать радионуклидное исследование. Дифференциальный диагноз проводят с отрывным переломом медиального надмыщелка бедренной кости, который выявляется на рентгенограмме сразу после травмы. Кроме того, краевой дефект надмыщелка по форме и размерам соответствует оторванному фрагменту кости. Похожую рентгенологическую картину можно наблюдать при перестроенном процессе в надмыщелке тракционного генеза, возникающем в результате многократных форсированных напряжений большой приводящей мышцы бедра, например у футболистов. Однако постепенное развитие этого заболевания, более молодой возраст, связь с занятиями спортом помогают уточнить диагноз.
Лечение чаще консервативное. Физиотерапевтические методы нередко малоэффективны, т.к. дают только временное улучшение. Применение ультразвуковой терапии в сочетании с электрофорезом раствора новокаина или 10% раствора хлорида натрия эффективно только в первые 3 месяца после травмы. Стойкий положительный эффект обычно дают инъекции в очаг оссификации гидрокортизона с новокаином.
Оперативные вмешательства выполняют при отсутствии эффекта от консервативных мероприятий, но не ранее чем через 3 месяца после травмы при наличии признаков зрелости оссификата. Для этого определяют на рентгенограммах плотность, структуру оссификата, четкость склеротической каймы. Используют также данные радионуклидного исследования. При сочетании П. — Ш. б. с внутренними повреждениями коленного сустава, особенно если оссификат расположен около нервных стволов или при внедрении его в полость сустава, лечение только хирургическое. Для предупреждения рецидива оссификации после операции тщательно удаляют окружающие оссификат рубцы, т.к. они сохраняют потенциальную возможность метаплазии в костную ткань. Обязательно ликвидируют полость в мягких тканях после иссечения оссификата (ушивают ткани или заполняют частью медиальной головки четырехглавой мышцы бедра). Операцию завершают тщательным гемостазом. В послеоперационном периоде в первые 2 недели назначают электрофорез лидазы. В течение 1 1 /2 месяцев больные принимают индометацин, занимаются лечебной гимнастикой и гидрокинезотерапией.
Прогноз благоприятный, т.к. при своевременном лечении функция конечности восстанавливается полностью. Профилактика состоит в предупреждении повреждений коленного сустава и своевременном их лечении.

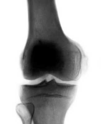
оссификация в области прикрепления большой приводящей мышцы бедра и медиальной коллатеральной связки коленного сустава к медиальному мыщелку бедра, а также по ходу связки">
Рентгенограмма коленного сустава (прямая проекция) при болезни Пеллегрини — Штиды: оссификация в области прикрепления большой приводящей мышцы бедра и медиальной коллатеральной связки коленного сустава к медиальному мыщелку бедра, а также по ходу связки.
II Пеллегри́ни — Шти́ды боле́знь (A. Pellegrini, совр. итал. хирург: A. Slieda, 1869—1945, нем. хирург)
1. Малая медицинская энциклопедия. — М.: Медицинская энциклопедия. 1991—96 гг. 2. Первая медицинская помощь. — М.: Большая Российская Энциклопедия. 1994 г. 3. Энциклопедический словарь медицинских терминов. — М.: Советская энциклопедия. — 1982—1984 гг .
ШТИДЫ - ПЕЛЛЕГРИНИ СИНДРОМ
КСС. Пеллегрини - Штида болезнь. +
Для этого заболевания характерна боль в различных местах коленного сустава, периодические блокады коленного сустава, сопровождающиеся упорными, рецидивирующими выпотами (перемежающаяся водянка коленного сустава).
Нередко больные прощупывают суставную мышь в верхнем, боковых заворотах. При обызвествлении суставная мышь хорошо видна на обзорной рентгенограмме, чем облегчается диагностика. При этом необходимо дифференцировать сесамовидную косточку в головке икроножной мышцы (fabella) от суставной мыши.
Болезнь Пеллегрини — Штида проявляется обызвествлением мягких тканей в области внутреннего мыщелка бедра, что рентгенологически наблюдается в виде различных размеров теней. Клинически картина заболевания довольно неясная. После травмы появляются боли, чаще с внутренней стороны сустава. Сгибание ограничено. Пальпацией определяются болевые точки в области внутренного надмыщелка бедра выше уровня суставной щели. На фасной рентгенограмме коленного сустава обнаруживается костная тень в виде небольшого полулуния или скобки, расположенная на типичном месте у верхнего края внутреннего мыщелка бедра, параллельно его корковому слою, отделенная от него светлым промежутком. Этот костный участок является не отломком поверхностной пластинки коркового слоя, а обызвествлением или даже окостенением в сухожилии большой приводящей мышцы бедра. Киста мениска коленного сустава может располагаться как во внутреннем, так и наружном мениске. Последнее наблюдается гораздо чаще. Характерным является болезненность по соответствующей суставной щели, усиливающаяся при движении и нагрузке. Здесь же иногда видна припухлость, размер которой может варьировать.
Синдром Stieda-Pellegrini, morbus Stieda, fractura Stieda, morbus Pellegrini-Stieda, morbus Kohler-Pellegrini-Stieda.
Синдром Pellegrini - Stieda представляет собой посттравматическую оссификацию параартикулярных тканей, возникающую в области внутреннего мыщелка бедра. Заболевание обычно наблюдается у мужчин молодого возраста, перенесших травматическое повреждение коленного сустава. Повреждение может быть легким или тяжелым, прямым или непрямым. После исчезновения острых симптомов повреждения может наступить период улучшения, но полного восстановления коленного сустава не происходит - разгибание в коленном суставе остается ограниченным. Иногда над внутренним мыщелком прощупывается болезненное уплотнение.
Пеллегрини - Штиды болезнь (A. Pellegrini, итал. хирург; A. Stieda, нем. хирург, 1869-1945; синоним: синдром Пеллегрини - Штиды, обызвествляющий периартрит области коленного сустава) - заболевание, характеризующееся очагами гетеротопического костеобразования в околосуставных тканях области медиального надмыщелка бедренной кости вследствие перенесенной ранее травмы. Впервые клинико-рентгенологическую и патоморфологическую картину заболевания описал А. Пеллегрини (1905), полагая, что для него характерно обызвествление большеберцовой коллатеральной связки коленного сустава. А. Штида (1907) считал образование оссификата следствием отрывного перелома надмыщелка бедренной кости, возникающего в результате прямой травмы или резкого сокращения большой приводящей мыщцы бедра. Современные морфологические и гистохимические исследования показали, что в основе заболевания лежит извращенная реакция регенерации в ответ на повреждение. Считают, что в возникновении этой метаплазии помимо травмы, кровоизлияния, некроза, длительного отека тканей большую роль играет индивидуальная предрасположенность организма.
Заболевание развивается чаще у мужчин в возрасте 25-45 лет, преимущественно среди занимающихся физическим трудом или спортом. Пусковым механизмом обычно служит прямой удар в область медиального надмыщелка бедренной кости, форсированное отведение голени или резкое некоординированное сокращение большой приводящей мышцы бедра. В результате наступают кровоизлияния в месте прикрепления большеберцовой коллатеральной связки и сухожилия большой приводящей мышцы бедра к надмыщелку и асептический некроз тканей в зоне повреждения.
Основным симптомом болезни Пеллегрини - Штиды является боль, которая всегда соответствует месту расположения оссификата, может распространяться по ходу запирательного нерва или поднадколенниковой ветви подкожного нерва на переднюю поверхность голени. У 1/3 больных боли усиливаются в ночное время и носят жгучий сверлящий характер. Кроме того, отмечают ограничение движений в коленном суставе, как сгибания, так и разгибания, которые обычно сочетаются с отеком мягких тканей коленного сустава, местной гипертермией, гиперестезией или гипостезией в зоне отека, а также атрофией мышц бедра и голени.
В раннем периоде после травмы, когда клиническая картина идентична ушибу или дисторсии коленного сустава, а также при сочетании с внутренними повреждениями его диагностика затруднена. Через 3-4 недели после травмы на рентгенограммах коленного сустава определяют оссификат (рис.), имеющий вид скобки, серпа или неправильную форму, который отделен от надмыщелка бедренной кости полоской просветления. При отрицательных рентгенологических данных, но при наличии пальпируемого оссификата необходимо произвести рентгеновские снимки с внутренней или наружной ротацией конечности на 20° для устранения наслоения оссификата на контур мыщелка бедра. Информацию о степени зрелости оссификата может дать радионуклидное исследование. Дифференциальный диагноз проводят с отрывным переломом медиального надмыщелка бедренной кости, который выявляется на рентгенограмме сразу после травмы. Кроме того, краевой дефект надмыщелка по форме и размерам соответствует оторванному фрагменту кости. Похожую рентгенологическую картину можно наблюдать при перестроенном процессе в надмыщелке тракционного генеза, возникающем в результате многократных форсированных напряжений большой приводящей мышцы бедра, например у футболистов. Однако постепенное развитие этого заболевания, более молодой возраст, связь с занятиями спортом помогают уточнить диагноз.
Читайте также:
- Как гармонично воспитывать ребенка? Наказание в воспитании детей
- Клиника интоксикации внутреннего уха. Частота поражения уха стрептомицином
- Диагностика подострого инфаркта головного мозга по КТ, МРТ
- Пример акупунктуры при белой горячке. Эффективность акупунктуры при делирии
- Техника операции при незначительном повреждении наковальне-стременного сустава
