Случай амбулаторного лечения пациента с двухсторонним переломом нижней челюсти
Добавил пользователь Евгений Кузнецов Обновлено: 11.12.2025
Городская Клиническая больница №1 им. Н.И. Пирогова, Москва, Российская Федерация
Перспективы использования клинического протокола в лечении больных с воспалительными осложнениями переломов нижней челюсти
Гнойно-воспалительные процессы по-прежнему являются наиболее распространенным видом осложнений переломов костей лицевого скелета. В последние годы частота их развития вновь стала увеличиваться. Связано это, прежде всего, с процессами неконтролируемой трудовой миграции, что в наибольшей степени выражено в Московском регионе. Она приводит к тому, что пострадавшие, зачастую, несвоевременно обращаются за медицинской помощью, за ними не осуществляется адекватное амбулаторное наблюдение, а сами они находятся в условиях, не соответствующих санитарным нормам. С другой стороны, возрастание удельного веса сочетанных травм приводит к тому, что пациенты изначально попадают в нейрохирургические и травматологические стационары, где помощь по поводу повреждений челюстно-лицевой области им, нередко, оказывается несвоевременно и не в полном объеме. В связи с этим, поиск путей оптимизации хирургического лечения пострадавших с развитием гнойно-воспалительных осложнений костей лицевого скелета остается актуальным.
В связи с этим, цель исследования — оценка клинической эффективности хирургического протокола лечения пациентов с гнойно-воспалительными осложнениями переломов нижней челюсти.
Материал и методы. Первым этапом данной работы явилось проведение ретроспективного анализа историй болезни 902 пациентов с развившимися воспалительными осложнениями переломов нижней челюсти.
Среди этих пациентов в 62,53% случаях медицинская помощь по поводу переломов нижней челюсти не оказывалась вплоть до развития воспалительных явлений. У 338 (37,43%) больных, т.е. более чем у 1/3 пострадавших, ранее производилась фиксация челюстей. Наиболее часто она ограничивалась двучелюстным шинированием. В основном наблюдались случаи, когда один из отломков был либо полностью беззубым, либо на нем располагались одиночные зубы. Нередко при этом наблюдалась дислокация костных фрагментов, которая врачами расценивалась как незначительная. Однако воспалительный процесс мог развиваться и при правильном положении отломков и при наличии на каждом из них не менее трех устойчивых зубов. Как правило, при этом в линии перелома находились зубы, депульпирование которых было отложено по тем или иным причинам.
Среди оперативных методов лечения воспалительные осложнения чаще всего развивались после использования проволочного шва, который не обеспечивает необходимой стабильности фиксации костных фрагментов. В случае применения накостных пластин чаще всего наблюдалось отступление от требований соответствующих оперативных технологий, что обычно выражалось в игнорировании силовых линий остеосинтеза, применении недостаточного количества пластин или винтов, нестабильности положения винта в костной ткани, повреждении корней зубов или канала нижней челюсти. Воспалительные осложнения развивались также при использовании одной мини-пластины, располагаемой вдоль наружной косой линии при переломах нижней челюсти в области угла. По нашему мнению, подтвержденному результатами медико-технических испытаний, данной фиксации оказывается недостаточно, так как при этом не исключается дислокация костных фрагментов в боковых направлениях под воздействием жевательных мышц. Данные наблюдения коррелируют также с результатами экспериментальных исследований F. Kroon и соавт. (1991). Отмечались также случаи неадекватного выбора фиксатора, например, использования мини-пластин при наличии протяженного дефекта кости в пределах одной или обеих кортикальных пластин нижней челюсти. В отдаленном послеоперационном периоде отмечались переломы реконструктивных пластин под воздействием функциональной нагрузки. Это может происходить как в результате чрезмерного и неоднократного изгибания пластины в процессе ее адаптации к подлежащей костной поверхности, так и в результате технического брака, что требует ужесточения требований медико-технического контроля к изделиям для остеосинтеза, как это принято в мировой клинической практике.
Результаты. На основании изложенных данных, нами разработан рабочий протокол лечения пациентов с воспалительными осложнениями переломов нижней челюсти, основные положения которого состояли в следующем.
Главным условием для заживления костной раны считали необходимость создания стабильного соединения фрагментов нижней челюсти. В связи с этим, наличие сохраняющегося смещения костных фрагментов, недостаточного количества устойчивых зубов на одном из отломков, признаков замедленной консолидации считали показанием к проведению оперативного вмешательства на нижней челюсти, которое осуществляли по возможности в ранние сроки, не дожидаясь появления рентгенологических признаков формирования секвестров. При наличии предшествующего нагноительного процесса в мягких тканях показания к операции определяли по стабилизации температуры в пределах нормальных или субфебрильных цифр, основных лабораторных показателей, очищению раны и появлению грануляций, отсутствию клинических данных за дальнейшее прогрессирование воспалительного процесса в мягких тканях.
Во время оперативного вмешательства обязательно осуществление тщательной ревизии костной раны с удалением секвестров, рубцовой и грануляционной ткани, заполняющих межотломковое пространство, периостальных наслоений, так как в них могут находиться замурованные очаги микроабсцессов (Акжигитов Г.Н., Юдин Я.Б., 1998). Удалялись участки омертвевшей кости по краям отломков до появления признаков кровоточивости, рана промывалась под давлением растворами антисептиков. К жизнеспособной костной ткани, напротив, придерживались максимально щадящей тактики, несмотря на предшествующие воспалительные явления.
Учитывая результаты проведенных нами медико-технических исследований (Панкратов А.С., 2005), свидетельствующих о том, что аппараты внешней фиксации не обеспечивают необходимой стабильности, а также то обстоятельство, что они связаны с образованием невыгодных в косметическом отношении рубцов, их громоздкие массивные конструкции доставляют дополнительные (и весьма значительные) неудобства больным, создают возможность для проникновения инфекции в кость вдоль бранш аппарата и, следовательно, вызывать его разбалтывание, мы полностью отказались от их применения в лечении больных с воспалительными осложнениями переломов нижней челюсти.
Во всех случаях для оперативной фиксации костных фрагментов использовали накостные пластины, конструкцию которых выбирали в зависимости от наличия или отсутствия костного дефекта, его величины и конфигурации. Главным критерием при этом считали параметры создаваемой стабильности фиксации, которые устанавливали по результатам ранее проведенных медико-технических испытаний. В зависимости от них некоторые оперативные технологии были нами модифицированы.
Антибактериальная терапия начиналась непосредственно перед хирургическим вмешательством и продолжалась в послеоперационном периоде.
Перед наложением фиксирующих устройств производилось восстановление окклюзионных взаимоотношений во избежание развития дизокклюзии в послеоперационном периоде.
С начала разработки настоящего протокола в общей сложности наблюдались 384 пациента с воспалительными осложнениями переломов нижней челюсти. Наблюдение за ними после выписки из стационара осуществлялось в кабинете реабилитации поликлинического отделения при больнице. Больных снимали с учета через год при условии отсутствия за это время рецидивов воспалительных явлений, что согласно рекомендациям Европейской рабочей группы антибактериальной терапии соответствует полной эрадикации возбудителя при остеомиелите.
У подавляющего большинства пациентов достигнуто полное выздоровление с гладким течением клинического процесса. У 41 больного экссудативные явления после выполнения операции секвестрэктомии с остеосинтезом нижней челюсти сохранялись до 8—11 сут. У 9 (2,3%) человек наблюдались случаи абсцедирования в отдаленном послеоперационном периоде, которые были купированы. У 4 (1,04%) пациентов выздоровление не было достигнуто. Один из них страдал сахарным диабетом, трое переболели гепатитом C. Среди последних один пациент не отрицал прием наркотических средств в анамнезе. По клиническому течению процесс у него скорее напоминал остеонекроз на фоне развития дизморфиновых препаратов с прогрессированием явлений костной деструкции.
Перспективным оказалось использование для заполнения остеомиелитических дефектов лекарственных композиций гидроксиапатита ультравысокой дисперсности с антибактериальными препаратами, в которых обеспечивался пролонгированный выход последних непосредственно в месте имплантации, в концентрации, превышающей МПД90 для основных видов возбудителей. Данный материал предпочтителен тем, что имеет нетканевое происхождение, а, следовательно, не создает условий для развития микрофлоры, и при этом не формирует жесткого каркаса, препятствующего формированию полноценного регенерата. При значительной величине дефекта пациентам выполнялось костнопластическое замещение дефекта в отдаленном послеоперационном периоде.
Следует оговориться, что в исследуемую группу не включались пациенты, отказывавшиеся от проведения операции секвестрэктомии с остеосинтезом нижней челюсти по различным причинам, в том числе из-за отсутствия средств на приобретение пластин. В настоящее время фонд ОМС не оплачивает их приобретение, и вопросы закупки пластин зависят исключительно от возможностей бюджета той или иной больницы. К этой же категории относятся и иностранные трудовые мигранты, проживающие в стране без страхового полиса. Им оказывается только неотложная медицинская помощь с рекомендацией планового оперативного вмешательства по месту жительства, что они, как правило, не выполняют. В результате такие пациенты неоднократно госпитализируются в клинику в связи с развитием острых воспалительных явлений.
Вывод. Хирургический протокол лечения пациентов с воспалительными осложнениями переломов нижней челюсти, основанный на четком соблюдении требований оперативных технологий и доказательной медицины, доказал свою эффективность на большом клиническом материале и может быть рекомендован к широкому применению. В группе риска остаются пациенты, страдающие заболеваниями печени, сахарным диабетом, принимавшие наркотические препараты, перенесшие облучение. Перед страховыми компаниями следует ставить вопрос об обязательном приобретении накостных пластин и винтов для лечения данного контингента больных.
Перелом нижней челюсти - симптомы и лечение
Что такое перелом нижней челюсти? Причины возникновения, диагностику и методы лечения разберем в статье доктора Козлова Петра Юрьевича, стоматолога со стажем в 7 лет.
Над статьей доктора Козлова Петра Юрьевича работали литературный редактор Маргарита Тихонова , научный редактор Сергей Федосов
Определение болезни. Причины заболевания
Перелом нижней челюсти — это нарушение целостности кости в одном или нескольких отделах.

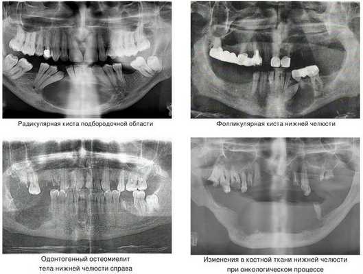
Наиболее частой причиной возникновения перелома нижней челюсти является травматический фактор. В ряде случаев речь может идти о патологическом переломе из-за деструктивных процессов в костной ткани. [1] К таким патологическим процессам относятся:
- кисты челюстей;
- остеомиелит (гнойное воспаление костных тканей);
- онкологический процесс.
Кисты челюстей в основной массе протекают бессимптомно, медленно, но верно разрешая костную ткань. Часто патологический перелом вызвают радикулярные (корневые) и фолликулярные кисты. [2] Первые связаны с изменениями в периапикальных тканях одного или нескольких зубов, вторые являются результатом нарушения прорезывания зубов, чаще нижних зубов мудрости.
При онкологическом процессе нижняя челюсть может быть как первичным очагом, так и местом метастазирования посредством либо прорастания из близлежащих областей, либо распространением с током крови или лимфы. [3] Патологический процесс распространяется до тех пор, пока не разрушит костную ткань нижней челюсти до той стадии, в которой обычное пережевывание пищи может перевести к перелому.

По собственным наблюдениям, считаю, что переломы нижней челюсти можно отнести к сезонным заболеваниям: пик частоты наступает с приходом весны, спад — ближе к зиме. Сезонность объясняется получением травмы в ходе драк, чаще уличных.
Случай амбулаторного лечения пациента с двухсторонним переломом нижней челюсти
Со слов пациента, 02.10.2017 вечером около 21:30 в ходе конфликта с незнакомым получил травму, сознания не терял, тошноту, рвоту не отмечал. Инцидент произошёл неподалёку от места проживания пациента. Заявление в полицию не подавал. Через два часа обратился за медицинской помощью в экстренный приёмный покой клинической больницы Новосибирска: осмотрен челюстно-лицевым хирургом, проведена рентгенограмма черепа, диагностирован двухсторонний перелом нижней челюсти в области тела слева и угла справа. Пациент госпитализирован, проведено шинирование зубных рядов верхней и нижней челюстей, обследование, принимал антибактериальную и симптоматическую терапию. Выписан 07.10.2017 с улучшением на амбулаторное наблюдение в стоматологическую поликлинику по месту жительства, показана явка 09.10.2017. На руках выписка № ХХ ХХХ, рентгенограмма нижней челюсти (ОПТГ), результаты ОАК, ОАМ и цифровой рентгенограммы органов грудной клетки.
Рос и развивался пациент в соответствии с возрастом, сезонными вирусными заболеваниями болел не более двух раз в год. Хронические заболевания, вирусный гепатит, ВИЧ-инфекцию и туберкулёз отрицает. Аллергологический анамнез не отягощён.
Обследование
Лицо относительно симметрично, кожные покровы телесного цвета. Регионарные лимфатические узлы не пальпируются. При пальпации контуров нижней челюсти признаки смешения фрагментов не обнаружены, определяется умеренная болезненность в области тела слева и угла справа. В полости рта: шинирование по Тигерштедту, зубные ряды в прикусе, прикус фиксирован межчелюстными резиновыми тягами, тяги достаточны. Патологическая подвижность фрагментов нижней челюсти не выявлена. Целостность слизистой оболочки полости рта не нарушена, шины со слизистой не контактируют, маргинальная десна бледно-розового цвета, мягкие и твёрдые зубные отложения отсутствуют, гигиена полости рта удовлетворительная.
На рентгенограмме нижней челюсти (ОПТГ) состояние после шинирования зубных рядов: двухсторонний перелом нижней челюсти в области угла справа, между 33 и 34 зубами (нижним левым клыком и премоляром), без смещения фрагментов. 48 зуб (нижний правый зуб мудрости) ретенированный, находится в линии перелома, перелом коронковой части и корней не определяется. Общий анализ крови от 02.10.2017: ⠀• гемоглобин 150 г/л; ⠀• тромбоциты 250*10*9; ⠀• эритроциты 4,7*10*12; ⠀• лейкоциты 7*10*9. Общий анализ мочи от 02.10.2017: ⠀• эритроциты единичные в п/з; ⠀• билирубин, гемоглобин, белок, глюкоза, кетоновые тела отсутствуют; ⠀• рН 5; ⠀• плотность 1020; ⠀• цвет светло-жёлтый. Цифровая рентгенограмма от 02.10.2017: органы грудной клетки без изменений. Антитела к вирусному гепатиту и ВИЧ-инфекции не обнаружены.
Диагноз
Лечение
09.10.2017 проведена антисептическая обработка полости водным 0,05 % раствором хлоргексидина, замена резиновых тяг, тяги достаточны. Назначено УВЧ в область угла справа и тела слева 5-7 раз, приём препаратов кальция. Рекомендации: ⠀• приём пищи в жидком виде; ⠀• гигиена полости рта после каждого приёма пищи; ⠀• исключение переохлаждения в течение месяца; ⠀• явка с целью замены межчелюстных резиновых тяг раз 5-7 дней; ⠀• снятие шин под рентген-контролем консолидации (сращения) перелома через пять недель с момента их наложения.
16.10.2017 пациент жалоб не предъявляет, отмечает отсутствие болей. Прошёл курс УВЧ, принимает препараты кальция. Проведена антисептическая обработка полости водным 0,05 % раствором хлоргексидина и замена резиновых тяг, тяги достаточны. 23.10.2017 и 30.10.2018 жалоб нет. Проведена антисептическая обработка полости водным 0,05 % раствором хлоргексидина и замена резиновых тяг, тяги достаточны. 06.11.2018 жалоб не было. Проведена антисептическая обработка полости водным 0,05 % раствором хлоргексидина. На контрольной ОПТГ: двухсторонний перелом нижней челюсти в области угла справа, между 33 и 34 зубами в стадии консолидации. Признаки деструкции костной ткани не визуализируются. Проведено снятие шин под аппликационной анестезией и повторная антисептическая обработка. Определяется гиперемия, отёчность маргинальной десны. Патологическая подвижность нижней челюсти не определяется. Рекомендовано: ⠀• контрольный осмотр через 6 и 12 месяцев; ⠀• консультация пародонтолога; ⠀• удаление всех зубов мудрости в плановом порядке; ⠀• консультация стоматолога-терапевта с целью решения вопроса о необходимости депульпирования 33 зуба (нижнего левого клыка); ⠀• санация полости рта.
Итог лечения: полное выздоровление, через 12 месяцев линии перелома на рентгенограмме не визуализируются.
Заключение
При переломах нижней челюсти без смещения фрагментов, в том числе двухсторонних, оперативное вмешательство не показано. Проводится иммобилизация нижней челюсти на срок 3-6 недель в зависимости от локализации, консервативное лечение и физиотерапия. Зубы, не препятствующие консолидации перелома, не являющиеся очагами инфекции, поэтому удалению не подлежат. Снятие шин проводится под рентген-контролем консолидации перелома в обязательном порядке. Рекомендовано проведение контрольных осмотров через 6 и 12 месяцев.
Перелом верхней челюсти - симптомы и лечение
Что такое перелом верхней челюсти? Причины возникновения, диагностику и методы лечения разберем в статье доктора Горбань Виталия Валерьевича, челюстно-лицевого хирурга со стажем в 11 лет.
Над статьей доктора Горбань Виталия Валерьевича работали литературный редактор Юлия Липовская , научный редактор Сергей Федосов и шеф-редактор Лада Родчанина
Перелом верхней челюсти — это полное или частичное нарушение анатомической целостности верхней челюсти под действием нагрузки, превышающей её прочность.

Самая частая причина переломов — влияние травмирующих агентов [1] [2] [3] . На второе место следует поставить хирургические переломы верхней челюсти при проведении операций по нормализации прикуса и изменению пропорций лица [4] [5] [9] [10] [11] .
Переломы верхней челюсти не настолько частая патология, как переломы нижней челюсти. Это связано в тем, что верхняя челюсть не самая "легкодоступная" для ударов часть лица. Так, видный травматолог П.З. Аржанцев приводит данные статистики: травмы верхней челюсти составляют 3,3 % случаев от всех травм челюстно-лицевой области [6] [7] [8] . Чаще всего с этой ситуацией сталкиваются молодые мужчины, ведущие активный образ жизни, и спортсмены, занимающиеся контактными единоборствами.
Одной из самых частых причин локализованных переломов верхней челюсти являются бытовые травмы. Основной причиной сочетанных повреждений являются дорожно-транспортные происшествия и катастрофы. Также перелом верхней челюсти может произойти при огнестрельных ранениях, однако в мирное время такие случаи встречаются довольно редко.
При обнаружении схожих симптомов проконсультируйтесь у врача. Не занимайтесь самолечением - это опасно для вашего здоровья!
Симптомы перелома верхней челюсти
Симптомы переломов верхней челюсти определяются характеристиками травмы. Например, возможен отёк и гематомы мягких тканей средней трети лица, боль (в покое и при смыкании зубов), подвижность верхней челюсти и/или верхней челюсти и костей средней зоны лица (зависит от уровня перелома), онемение кожи подглазничных областей, слизистой нёба, слизистой альвеолярного отростка, подкожная эмфизема (скопление воздуха), носовые кровотечения и кровотечения из разрывов слизистой полости рта, деформации средней зоны лица различной выраженности.
В более тяжёлых случаях — симптом "очков" (гематомы вокруг глаз), ликворея (истечение цереброспинальной жидкости из отверстий в твёрдой мозговой оболочке, образовавшихся при переломе основания черепа) [3] . Еще один распространённый симптом — нарушение прикуса: те или иные нарушения прикуса наблюдаются в большинстве случаев переломов верхней челюсти.

Очень часто перелом верхней челюсти сопровождается сотрясением головного мозга. Основными симптомами сотрясения являются: кратковременный эпизод потери сознания, головная боль, головокружение, тошнота, часто возникает рвота, шум в ушах, появляется потливость, нарушается сон. Жизненно важные функции не нарушаются.
Симптомы переломов прогрессируют в первые минуты и часы после травмы. При сочетании перелома верхней челюсти с переломом основания черепа могут отмечаться нарушения обоняния. Ощущение инородного тела в горле — не самый явный симптом — может возникать при значительном смещении верхней челюсти кзади, в сторону носо- и ротоглотки. При таких дислокациях больные чаще жалуются на нарушение проходимости верхних дыхательных путей.
Патогенез перелома верхней челюсти
Чтобы понимать, как ломается верхняя челюсть следует сначала остановиться на её анатомии. Верхняя челюсть (лат. maxilla) — парная кость, которая у взрослого человека представляет собой единую систему. Она имеет две больших полости (верхнечелюстные пазухи) и участвует в формировании ещё трёх полостей — глазницы и полости носа. По своему строению это ажурная, тонкая структура, находящаяся в передне-средней части черепа.
Она соединена с другими костями лицевого скелета и основания черепа: скуловой, лобной, носовой, слёзной, решётчатой, клиновидной, нёбной.

Выделяют так называемые отростки верхней челюсти: скуловой отросток (соединяется со скуловой костью и формирует ширину лица ), лобный отросток (формирует плавность профиля спинки носа и опосредованно участвует в формировании очертаний глазниц), нёбный отросток (формирует твёрдое небо, срастается по средней линии нёбного шва с противоположной верхнечелюстной костью) и альвеолярный отросток (содержит в себе зубы).

Верхняя челюсть представляет собой достаточно прочную структуру, благодаря местам особой прочности — контрфорсам, которые представляют собой костные утолщения. Различают лобно-носовой, альвеолярно-скуловой, крыловидно-нёбный и нёбный контрфорсы. Забегая вперёд, стоит сказать, что при оперативном лечении переломов верхней челюсти эти "линии" используются для надёжной, ригидной фиксации (остеосинтеза) повреждённых костей.

Однако в строении верхней челюсти есть и участки сниженной прочности. Они находятся вдоль швов, соединяющих верхнюю челюсть с другими костями лицевого скелета, а также с костями основания черепа.Таким образом, можно понять, что при чрезмерном механическом воздействии верхняя челюсть чаще всего ломается именно в местах перехода от прочных участков к слабым или просто в слабых местах [4] .
По этой причине линия перелома часто проходит не строго по анатомическим границам верхней челюсти, а смещается на соседние, связанные с ней кости. Это объясняет, почему в практике челюстно-лицевых хирургов встречаются не столько переломы самой верхней челюсти, сколько её "выламывание" с фрагментами других костей лица и основания черепа.
Классификация и стадии развития перелома верхней челюсти
Чаще всего переломы классифицируют по Рене Ле Фору. Этот французский хирург систематизировал и описал формирующиеся повреждения костей средней зоны лица экспериментально: на головы свежих человеческих трупов он оказывал разные по направлению и силе воздействия по типу тупой травмы. Именно так и было обнаружено, что большинство линий переломов проходит по трём типам [1] :
- | тип — нижний, или горизонтальный тип, перелом Герена — Ле Фора. Перелом проходит над альвеолярным отростком и нёбным отростком через боковую и переднюю поверхности верхней челюсти, от крыловидных отростков основной кости к краю грушевидного отверстия.
- || тип — средний, или пирамидальный перелом, суборбитальный перелом. Линия перелома проходит через корень носа, внутреннюю стенку глазницы и далее — через нижнеглазничную щель кпереди по нижней стенке глазницы к месту альвеолярно-скулового контрфорса с переломом крыловидных отростков. Проще говоря, верхняя челюсть единым блоком "отсоединяется" от остальных костей средней зоны лица.
- ||| тип — верхний тип (поперечный, суббазальный, он же черепно-лицевое разъединение). Самый грозный вид перелома верхней челюсти, когда происходит отрыв верхней челюсти вместе со скуловыми костями от мозгового черепа. Как правило сочетается с тяжёлыми повреждениями головного мозга [3] .

Отличительные признаки каждого типа проявляются по уровню подвижности фрагментов, тяжести состояния больного и данным дополнительных методов исследования (компьютерной томографии).
Помимо классификации Ле Фора существует классификация переломов по Вассмунду, которая отличается лишь отсутствием в линии перелома костей носа. Различают также изолированные переломы отростков, поверхностей и частей верхней челюсти. Однако каждый челюстно-лицевой хирург, занимающийся травматологией, знает, что в жизни всё происходит не совсем так, как написано в книгах. Очень часто верхняя челюсть ломается по другим схемам. Поэтому, готовясь оперировать пациента, хирурги сталкиваются с очень трудоёмкой задачей — им необходимо понять, как собрать этот многооскольчатый "конструктор" с максимальным восстановлением анатомии и функции челюсти через минимальные разрезы с минимальным нарушением кровоснабжения и максимальной стабильностью.
Осложнения перелома верхней челюсти
Все осложнения, связанные с переломами верхней челюсти, можно разделить на ранние и отсроченные.
К ранним осложнениям стоит отнести: кровотечения, развитие подкожной эмфиземы, нарушение прикуса, потерю зубов.
Поздние осложнения переломов более многообразны. Во многом развитие поздних осложнений зависит от характера полученной травмы, уровня перелома и своевременности оказанной помощи. Самыми частыми осложнениями являются:
- формирование посттравматических деформаций средней зоны лица;
- нарушения прикуса;
- несращение переломов челюсти;
- развитие хронических верхнечелюстных синуситов из-за нарушения целостности слизистой пазух и нарушения дренажной функции пазух;
- нарушение носового дыхания;
- формирование стойких невритов (воспаления нервов) подглазничных нервов из-за ущемления рубцово-изменёнными отломками сосудисто-нервных пучков. При этом утрачивается чувствительность кожи подглазничной области, слизистой полости рта и зубов в зоне иннервации подглазничного нерва.
Самым грозным осложнением высокого перелома верхней челюсти сочетанного с переломом черепа является ликворея (истечение ц ереброспинальной жидкости ). Кости основания черепа плотно связаны с твёрдой мозговой оболочкой и при нарушении её целостности требуется серьёзное лечение пациента совместно с нейрохирургами. Истечение ликвора из полости черепа может происходить через слуховые проходы, но чаще — через полость носа [3] .
К редким осложнениям следует отнести развитие менингита (воспаления мозговых оболочек) и других внутричерепных воспалительных осложнений.

Однако самыми частыми осложнениями переломов верхней челюсти являются стойкие нарушения прикуса и асимметрии лица — следствие несвоевременного обращения пациентов к врачу и неправильного сращения отломков. Самый эффективный способ борьбы с осложнениями — при получении травмы и особенно при подозрении на перелом верхней челюсти необходимо своевременно обратиться к челюстно-лицевым хирургам или медработникам других специальностей.
Диагностика перелома верхней челюсти
Правильная постановка диагноза базируется на сборе анамнеза, осмотре и рентгенологической картине.
При осмотре может определяться:
- подвижность фрагментов верхней челюсти или всего верхнечелюстного комплекса;
- "ступеньки" из-за смещения костных фрагментов при прощупывании верхней челюсти через кожу;
- нарушение чувствительности кожи подглазничных областей, зубов и слизистой полости рта;
- кровотечение из носа или полости рта;
- нарушения зрения (двоение в глазах);
- нарушения движения глазного яблока;
- "симптом верхнеглазничной щели" при высоких переломах верхней челюсти в сочетании с нарушением целостности глазницы: отсутствие движений глазного яблока, опущение верхнего века, отсутствие чувствительности верхнего века и кожи лба, расширение зрачка;
- экзофтальм (смещение глазного яблока вперёд );
- звуки "потрескивания" в области линии перелома при смыкании зубов;
- нарушение носового дыхания.
Симптоматика переломов костей средней зоны лица многообразна, поэтому для постановки точного диагноза требуется выполнение рентгенологической диагностики. Самым современным и точным методом является компьютерная томография . С её помощью челюстно-лицевой хирург имеет возможность точно определить локализацию линии разъединения костных фрагментов и тип перелома, выбрать наиболее адекватную и малотравматичную тактику лечения [11] .

При подозрении на перелом верхней челюсти обязательна консультация невролога, так как в абсолютном большинстве случаев нарушение целостности костей лицевого скелета сопровождается сотрясением головного мозга. При констатации перелома основания черепа пациента обязательно должен осмотреть нейрохирург, офтальмолог, терапевт и иногда лор-специалист. При сочетанных травмах (например при ДТП) привлекаются общие хирурги, травматологи.
Лечение перелома верхней челюсти
При оказании доврачебной помощи пациенту нужно остановить кровотечение, предупредить аспирацию ( проникновение в дыхательные пути) крови и рвотных масс. Если нижняя челюсть не пострадала и имеется достаточное количество зубов на обеих челюстях, необходимо наложить пращевидную повязку, прижав нижнюю челюсть к верхней или выполнить иммобилизацию (обездвиживание) жёсткой подбородочной пращой [4] .

При рисках нарушения дыхания требуется немедленное введение воздуховода для сохранения проводимости дыхательных путей [1] . Кроме того, необходимо провести обезболивание и быструю транспортировку больного в специализированные медучреждения. Самое важное на этом этапе — сохранить жизнь и здоровье пациента.
Существует множество методов нехирургического лечения переломов верхней челюсти, например, разного типа повязки и наружные фиксации, которые в настоящее время практически не применяются.
Самым частым методом ортопедического лечения переломов является двучелюстное шинирование — наложение на зубные ряды шин-скоб с репозицией отломков и фиксацией прикуса в привычном для больного положении. Этот метод консервативен и малотравматичен, но в ряде случаев не позволяет получить хорошей фиксации фрагментов верхней челюсти, особенно при высоких и сложных переломах. В среднем при переломах верхней челюсти требуется обездвиживание и ограничение жевательной нагрузки на срок 4-5 недель.
Самым современным и адекватным методом лечения на данный момент является остеосинтез (фиксация титановыми накостными конструкциями) переломов верхней челюсти. Это хирургическое вмешательство, выполняемое из внутриротовых разрезов. При таком варианте лечения можно точно сопоставить и зафиксировать фрагменты для создания условий их сращения [7] .

При лечении высоких переломов также используется коронарный доступ, который позволяет создать косметичный и широкий доступ к костям всей средней зоны лица и глазницам [5] . Своевременное выполнение остеосинтеза позволяет предотвратить поздние послеоперационные осложнения, облегчить реабилитацию пациента и ускорить сроки выздоровления.
Переломы с грубыми нарушениями целостности верхней челюсти и значительными смещениями отломков в сторону глотки рекомендуется лечить хирургическими методами. Однозначного мнения относительно других видов переломов нет — тактика диктуется состоянием больного и конкретной клинической ситуацией.
Стоит отметить, что очень важно постоянное ношение межчелюстной фиксации для плотного контакта фрагментов и исключения их подвижности, особенно под действием жевательной нагрузки [9] . Также необходимы качественная гигиена полости рта и наблюдение пациента у челюстно-лицевого хирурга
Восстановление после переломов занимает от четырёх до шести недель, в зависимости от характера перелома, особенностей организма пациента и метода лечения.
Пациенты с переломами верхней челюсти на ранних сроках должны питаться жидкой пищей, на самых поздних сроках — мягкой. Приём жёсткой пищи и активное жевание следует ограничить. Остальные рекомендации даются исходя из общесоматических и неврологических нарушений (постельный режим и т. д.).
Прогноз. Профилактика
Прогноз перелома верхней челюсти — относительно благоприятный. Самыми неприятными из осложнений, бесспорно, являются неврологические. Практически всегда эти осложнения связаны с несвоевременным обращением пациента за медицинской помощью или с отсутствием динамического наблюдения за пациентом.
Правильно подобранное и своевременно оказанное лечение, контроль пациентов в динамике — ключ к минимизации осложнений и благоприятной реабилитации пациентов.
Самая лучшая профилактика любых переломов челюстей — сведение к нулю возможных причин возникновения переломов и своевременность обращения пациента к доктору. Возможные осложнения лечения близки по сути к осложнениям самих переломов.
Рекомендация от хирурга: избегать ударов в область челюсти и пристёгиваться в автомобилях — уже на скорости 40 км/ч ударная сила может привести к перелому верхней челюсти.
Перелом нижней челюсти
Перелом нижней челюсти - это повреждение костных структур нижней челюсти, как правило, вследствие травмы. Возникает, когда действие повреждающего фактора превышает прочность кости или при снижении минеральной плотности костной ткани.

Автор статьи — Врач-лечебник, клинический ординатор
Установка виниров со скидкой
-20%*Акция действительна только при установке от 6 виниров до 30 августа 2022г.
Первичный прием и план лечения*
Бесплатно
*Для всех пациентов, как первичных, так и постоянных, осмотр на первом приеме и составление плана лечения бесплатно. Вы оплачиваете только само лечение, а не консультацию.
Скидки для всей семьи*
до -50%
*Действуют накопительные скидки для всех членов семьи, максимальный размер скидки может составлять до 50%.
Данный материал предназначен для информирования пациентов с диагностированным заболеванием. Не занимайтесь самолечением. При возникновении симптомов болезни обращайтесь к врачу.
Клиника перелома нижней челюсти характеризуется острой болью в месте повреждения, отеком в области челюсти и лица, ограничением жевания, глотания и речи [18]. Несвоевременная терапия приводит к ограничению функций нижней челюсти, присоединению микробной инфекции с развитием гнойного воспаления кости челюсти и окружающих мягких тканей (абсцесс, флегмона) [12].
Какой врач лечит перелом нижней челюсти?
Лечением переломов нижней челюсти занимаются стоматологи-хирурги и терапевты, челюстно-лицевые хирурги, ортопеды. Терапия переломов направлена на устранение боли, репозицию (соединение) и фиксацию отломков кости для восстановления анатомической целостности и функций нижней челюсти [1,20].

Стоимость
В процедуру входит:
- Осмотр зубов и фиксация зубной формулы.
- Осмотр слизистой оболочки.
- Осмотр десен.
- Определение типа прикуса.
- Рекомендации.
В стоимость процедуры включены:
- Консультация врача.
- Проведение панорамной рентгенографии, компьютерной томографии.
- Анестезия.
- Снятие слепков.
- Построение компьютерной модели будущего прикуса.
- Изготовление восстановительных конструкций.
- Примерка протезов.
- Установка.
- Корректировка.
- Смена временных конструкций на постоянные.
- Рекомендации врача.
- Консультация врача.
- Проведение снимков челюстей.
- Анестезия.
- Восстановление зубов выбранным способом.
- Рекомендации врача.
- Консультация врача.
- Проведение снимков челюстей.
- Частичная распломбировка каналов.
- Снятие слепков.
- Изготовление, установка микропротеза.
- Рекомендации врача.
- Консультация врача.
- Проведение снимков.
- Пломбирование корня.
- Снятие слепков челюсти.
- Компьютерное моделирование результатов протезирования.
- Изготовление и установка коронки.
- Рекомендации врача.

Клинические проявления
Повреждение нижней челюсти часто сочетается с другими травмами челюстно-лицевой области и опорно-двигательного аппарата, ушибами и сотрясениями внутренних органов и структур головного мозга [4,6]. В таких случаях пациент находится без сознания и не может указывать на жалобы. При этом ориентируются на внешние признаки повреждения, к которым относят:
- отек мягких тканей;
- кровотечение;
- асимметрию лица;
- нарушение прикуса;
- выступание или западание нижней челюсти;
- кожные кровоподтеки;
- западение языка;
- ухудшение функций глотания, дыхания через рот.
Перелом челюсти с сохранением сознания сопровождается затруднением функций речи и жевания, нарушением глотания слюны [3,17]. Пациент предъявляет жалобы на постоянную, выраженную боль, которая усиливается при попытке движения челюсти или надавливании на прилегающие к месту повреждения мягкие ткани. При ранении слизистой оболочки отмечается кровотечение изо рта, сгустки крови [1,9]. О повреждении нервов свидетельствует снижение болевой и тактильной чувствительности, онемение.
Патогенез
Выделяют следующие механизмы образования переломов нижней челюсти.
Развиваются при повреждении фактором, который по силе или интенсивности воздействия превышает упругие и прочностные свойства кости. Линия перелома возникает в месте ее пониженной плотности, что является “благоприятным” условием для развития перелома [14,19].
Причиной может быть удар в область нижней челюсти, падение с высоты, компрессия (сдавление) челюсти, ее сотрясение, огнестрельное ранение. Воздействие механического фактора приводит к нарушению целостности кости и ее перелому [7].
Травматическим повреждениям в большей степени подвержен подбородок, углы нижней челюсти и суставные отростки (мыщелковый, венечный).
Возникают при снижении плотности костной ткани, нарушении обмена кальция и фосфора, повышенной активности остеокластов (клеток, разрушающих костную ткань), снижении количества остеобластов (стволовые клетки, образующие костную ткань) [10].
Патологический перелом развивается при отсутствии раздражающего фактора или незначительном ударе в нижнюю треть лица[3].
Читайте также:
- Поражение корешка вестибулярного нерва. Поражение вестибулярного пути на стволовом уровне
- Оценка реконструкции латеральных связок голеностопного сустава
- Актинический кератоз и болезнь Боуэна. Причина и диагностика
- Диагностика, прогноз и лечение флегмонозной ангины. Операция при паратонзиллярном абсцессе
- Анестезия при КТ и МРТ. Предоперационная оценка
