Томография гортани. Томография голосовых складок при нарушениях голоса
Добавил пользователь Евгений Кузнецов Обновлено: 21.11.2025
Парез гортани является болезненным состоянием, при котором снижается двигательная активность гортанных мышц, и, как следствие, нарушается голос и дыхательная функция. Возникновение пареза гортани может быть обусловлено патологией мышц гортани. Кроме того, данное состояние развивается, если у больного поражаются иннервирующие нервы либо возникают нарушения в коре головного мозга.
Больные с парезом гортани жалуются на слабость, осиплость и охриплость голоса, в некоторых случаях - на афонию. Наиболее тяжелым симптомом заболевания является затрудненность дыхания и даже полная асфиксия. В диагностике пареза гортани в Юсуповской больнице Москвы используется мультидисциплинарный подход с привлечением различных узких специалистов: отоларингологов, неврологов, нейрохирургов, эндокринологов, пульмонологов, кардиологов, торакальных хирургов, психологов и психиатров.
Классификация парезов гортани
В соответствии с этиологией выделяют несколько видов парезов гортани:
- миопатический парез гортани - его развитие связано с патологическими изменениями непосредственно в гортанных мышцах;
- нейропатический парез гортани - развитие патологии обусловлено поражением любого из участков нервного аппарата, который обеспечивает иннервацию гортанных мышц. При возникновении патологии блуждающего нерва и его ветвей, которые иннервируют гортань, могут развиваться периферические парезы и параличи гортани. Если повреждается ядро блуждающего нерва в стволе головного мозга - возникает бульбарный парез. Нарушения в проводящих путях и участках коры головного мозга приводят к развитию коркового пареза гортани;
- функциональный парез гортани - возникает вследствие нарушений деятельности коры головного мозга при которых появляется дисбаланс процессов возбуждения и торможения.
Симптомы парезов гортани
Чаще всего пациенты с парезами гортани жалуются на нарушение голоса (дисфония) и нарушение дыхания.
Парез гортани может сопровождаться и следующими симптомами:
снижением звучности голоса (вплоть до полного его отсутствия - афонии)
потерей тембра (индивидуальной окраски) голоса
дребезжанием либо осиплостью голоса
утомляемостью при голосовых нагрузках
При миопатических парезах гортани, которые чаще всего бывают двусторонними, у больных нарушается фонация либо возникают дыхательные нарушения - асфиксия.
При нейропатическом парезе гортани, чаще имеющем односторонний характер, у пациентов постепенно развивается слабость сначала в мышце, отвечающей за расширение голосовой щели, а затем в аддукторах гортани. При двустороннем нейропатическом парезе уже на второй-третий день заболеваний может развиться асфиксия.
Функциональный парез гортани чаще встречается у людей, имеющих лабильную нервную систему, перенесших психоэмоциональную нагрузку либо респираторное заболевание. Нарушения фонации при функциональном парезе гортани имеют приходящий характер. У больных возникают выраженные субъективные ощущения (скрежет, щекотание, боли, першение и др.) в гортани или глотке, головные боли, утомляемость, раздражительность, нарушение сна, чувство тревоги, неуравновешенность.
Диагностика парезов гортани
Диагностика пареза гортани требует консультаций нескольких специалистов: отоларингологов, психоневрологов, неврологов, нейрохирургов, торакальных хирургов, пульмонологов, эндокринологов, психиатров и фониаторов.
В первую очередь лечащий врач собирает анамнез пациента для выявления основного заболевания, которое спровоцировало развитие пареза гортани, а также его склонности к психогенным реакциям.
Для уточнения диагноза специалисты Юсуповской больницы назначают проведение дополнительных исследований, таких как:
- ларингоскопия - для оценки положения голосовых связок, расстояния между ними, наличия воспалительных процессов или кровоизлияний
- МСКТ и рентгенография гортани;
- электромиография и электронейрография - для того, чтобы определить сократительную способность гортани и нейромышечную передачу.
Голосовая функция исследуется с помощью определения времени максимальной фонации, стробоскопии, фонетографии, электроглоттографии.
Периферические парезы и параличи гортани выявляются посредством проведения КТ и обзорной рентгенографии грудной клетки, ультразвукового исследования щитовидной железы, КТ щитовидной железы, ультразвукового исследования сердца, рентгенографии пищевода.
Исключить центральный (бульбарный или корковый) парез гортани позволяет КТ и МРТ головного мозга, спиральная КТ.
Если в результате всестороннего обследования у пациента не выявлены те или иные морфологические изменения, диагностируется функциональный парез гортани. Подтвердить данный диагноз можно с помощью психологического тестирования больного и осмотра психиатром.
Лечение парезов гортани
Терапия пареза гортани непосредственно зависит от его этиологии. Прежде всего необходимо устранить основное заболевание, которое привело к развитию пареза.
Лечение пареза гортани в Юсуповской больнице может проводится как медикаментозным, так и хирургическим способом.
Консервативная терапия проводится с применением следующих лекарственных препаратов:
- при парезах гортани инфекционно-воспалительного происхождения назначается антибактериальная или противовирусная терапия;
- при миопатическом парезе гортани эффективно применение биогенных стимуляторов и стимуляторов мышечной активности;
- при функциональных парезах гортани назначается прием психотропных средств (нейролептиков, антидепрессантов, седативных препаратов, транквилизаторов);
- при парезах, связанных с черепно-мозговыми травмами или инсультами, рекомендуется применение сосудистых препаратов и ноотропов.
Хирургическое лечение при парезе гортани представляет собой оперативные вмешательства, направленные на натяжение голосовых связок, удаление опухолей и дивертикулов пищевода, удаление опухолей средостения, а также тиреоидэктомию либо резекцию щитовидной железы. При возникновении асфиксии проводится экстренная трахеостомия или трахеотомия.
При любых видах парезов гортани в Юсуповской больнице успешно применяются физиотерапевтические методы лечения.
Отличные результаты при лечении нейропатического и миопатического парезов показывает применение электростимуляции, лекарственного электрофореза, магнитотерапии, микроволновой терапии, ДДТ, при терапии функционального пареза гортани - массажа, водолечения, рефлексотерапии, электросна. Кроме того, пациентам с функциональными парезами гортани назначается проведение рациональной психотерапии.
Благодаря комплексному лечению, применению в Юсуповской больнице передовых методик и эффективных терапевтических схем, восстановление голоса при парезах и параличах гортани у наших пациентов происходит в кратчайшие сроки.
Для того, чтобы восстановить голосовую функцию, врачи Центра реабилитации Юсуповской больницы назначают проведение фонопедических занятий, во время которых вырабатываются навыки правильной фонации и фонационного дыхания, повышается работоспособность голосового аппарата.
Записаться на прием к специалисту клиники реабилитации, получить подробную информацию о методах лечения пареза гортани и узнать стоимость предоставляемых услуг можно по телефону Юсуповской больницы или на сайте клиники через форму обратной связи.
Парез голосовых связок
Речь является важным элементом жизни человека. Так как она помогает выражать мысли, эмоции и выстраивать отношения с другими людьми. В образовании голоса и выполнении дыхательной функции принимает участие гортань, которая занимает промежуточное положение между глоткой и трахеей. В гортани расположены голосовые связки, функционирование которых зависит от нервных импульсов. Однако при повреждении или воспалении нервных волокон развивается парез голосовых связок.
В Юсуповской больнице осуществляется лечение пареза голосовых связок и восстановление голоса после болезни. В многопрофильном медицинском учреждении специалисты практикуют индивидуальный подход к каждому пациенту, позволяющий повысить качество терапии.
Парез голосовых связок, лечение которого следует начинать при появлении первых симптомов, характеризуется полным отсутствием колебаний в гортани, что связано с нарушением нервных волокон. Развитие данного патологического состояния происходит при опухолях, сдавливающих органы пищевода, а также при травмах шеи, выпячивании стенок аорты.
В медицине выделяется три вида парезов в зависимости от причин нарушения:
- органические парезы развиваются при повреждении блуждающего нерва. В случае, когда нарушено соотношение между возбуждением и торможением в коре головного мозга, диагностируются функциональные парезы;
- миопатические парезы зачастую возникают у подростков в период полового созревания, после чрезмерного напряжения голосовых связок, а также при кровоизлиянии;
- нейропатические парезы диагностируются у пациентов со слабыми гортанными мышцами в результате повреждения нервных волокон.
Парез связок отражается не только на речи больного, но затрудняет дыхание, что может представлять опасность для жизни. Специалисты Юсуповской больницы оказывают экстренную помощь пациентам с тяжелыми симптомами.
Парез голосовых связок имеет характерные проявления:
- отсутствие голоса;
- охриплость, осиплость голоса;
- одышка;
- сложности при произношении отдельных звуков;
- озвученный вдох;
- нарушение движений языка и губ.
Если у пациента диагностирован парез голосовых связок, лечение будет зависеть от первопричины и степени нарушения. Для выявления причин пациенту назначается консультация специалистов: врача-терапевта, отоларинголога, невролога, эндокринолога, хирурга и психиатра.
Между специалистами различной направленности реализуется междисциплинарное сотрудничество, позволяющее составить провести наиболее полное обследование и составить комплексную программу терапии. На этапе диагностики специалистами используется европейское оборудование для проведения томографии головного мозга, УЗИ щитовой железы и сердца, рентгеновского исследования.
Если у пациента диагностирован парез голосовых связок, причины которого заключаются в нарушении иннервации, проводится медикаментозное или хирургическое лечение. Хирургическое вмешательство используется в исключительных случаях, когда существует опасность для здоровья пациента, например, при опухоли или кровоизлиянии. Для устранения функционального пареза пациенту назначаются успокоительные средства или антидепрессанты.
В центре реабилитации Юсуповской больницы специалисты помогают пациентам восстановить голос и речь. Методы, применяемые на этапе реабилитации, позволяют закрепить результат, полученный при использовании медикаментов.
МРТ горла и гортани что показывает

На фото МР-снимок органов лица, шеи и соответствующего отдела позвоночника
Патологии органов шеи могут проявляться незначительными симптомами или серьезно снижать качество жизни человека. Заболевания горла и гортани требуют точных методов диагностики, поскольку за периодической охриплостью голоса и другими признаками отклонений может стоять онкология. Чтобы получить достоверную информацию о происходящих в данной области процессах проводят магнитно-резонансную томографию. У пациента может возникнуть вопрос, что показывает МРТ горла и гортани. Метод отражает состояние мягких и костных тканей, нервной, сосудистой и лимфатической систем в шейном отделе позвоночника.
МР-томография - достоверный и безопасный способ диагностики заболеваний органов шеи и других областей. Пациент не подвергается лучевой нагрузке при исследовании. Магнитное поле приводит в возбуждение атомы водорода в тканях, датчики фиксируют измененный сигнал. Компьютер обрабатывает информацию и объединяет последовательные снимки в объемное изображение. Врач получает представление о том, как выглядят глотка, горло, гортань, трахея и шейный отдел позвоночника.
Заболевания горла и гортани
Анатомия области шеи является одной из самых сложных в организме человека. Особенностью строения является наличие лимфоэпителиального кольца Пирогова-Вальдейера, основную часть которого образуют миндалины:
- небные (пара);
- глоточная;
- трубные (пара);
- язычная.
В области шеи есть специфические зоны, ограниченные мышцами и фасциями. При распространении воспалительного процесса в полостях может скапливаться гной и развиваться флегмона.
Патологии области горла и гортани классифицируют следующим образом:
- аномалии и пороки развития;
- воспалительные процессы ( тонзиллит, аденоидит, ларингит и т.д.);
- травмы (перелом щитовидного хряща и др.);
- новообразования (рак и доброкачественные опухоли);
Симптомами заболеваний описанной области являются:
- боль в области носоглотки, горла и шеи;
- охриплость голоса;
- ощущение «кома» в горле;
- чувство сдавления горла;
- затруднение дыхания вплоть до удушья;
- нарушение акта глотания;
- воспаление миндалин и др.
МРТ горла и гортани: что можно увидеть?

МР-снимок глотки и гортани
Томография показывает особенности строения и патологические изменения органов и тканей, располагающихся на уровне шейного отдела позвоночника:
- глотки;
- гортани;
- трахеи;
- пищевода;
- кровеносных и лимфатических сосудов;
- мышц и сухожилий;
- позвонков;
- спинного мозга и нервов.
- дефекты органов (ларингоцеле - кисту в области гортани и др.);
- скопление гноя в области шеи (абсцессы и флегмоны);
- изменения слизистой оболочки (отек, изъязвления и др.);
- патологию голосовых связок;
- аномалии кровеносных сосудов (аневризму, артериовенозную мальформацию и пр.);
- сужение просвета трахеи и пищевода;
- наличие инородных тел;
- новообразования (доброкачественные и злокачественные).
Показания к МРТ глотки и гортани
Доктор порекомендует провести магнитно-резонансную томографию при наличии описанных выше симптомов и выявлении:
- отека и припухлости в области шеи;
- объемного образования при пальпации;
- увеличения лимфатических узлов и пр.
Показанием к выполнению МРТ служит недостаточная информативность других методов. Данных ультразвукового исследования или рентгена может не хватить при диагностике заболеваний. В таком случае томография позволяет получить исчерпывающую информацию.
При подозрении на новообразование проведение МРТ с контрастированием дает сведения о размерах опухоли, точном расположении, метастазировании в прилежащие ткани и лимфоузлы. Определить природу очага можно только с помощью биопсии и последующих исследований образца ткани.
МР-томографию назначают, чтобы проконтролировать процесс заживления и восстановления после операций, оценить динамику выявленного ранее патологического состояния.
Противопоказания к МРТ горла

МР-снимок области шеи
Магнитно-резонансное сканирование - безопасный и безболезненный метод. Но процедура имеет некоторые противопоказания. Из-за конструктивных особенностей оборудования МРТ на томографе закрытого типа не выполняют людям с массой тела больше 120 кг. Аппарат не рассчитан на большой вес.
Еще одно ограничение - наличие металлических предметов, имплантированных в тело человека (штифты, стенты и пр.). Если элемент выполнен из титана, последний не исказит сигнал и не повлияет на качество снимка. Нужно сообщить до процедуры об имплантате и предоставить документ с информацией о материале изделия. Противопоказанием к МРТ являются функционирующие устройства: кардиостимуляторы, дефибрилляторы и др.
Стоит сообщить лечащему врачу, если у Вас клаустрофобия. Доктор подберет успокоительные препараты, что позволит без препятствий пройти исследование. Нельзя выполнять сканирование при необходимости использования аппаратов, поддерживающих жизненно важные функции (дыхания, кровообращения и др.).
Запретом для томографии будет беременность в первые 12 недель. Во втором и третьем триместрах сделать МРТ можно, если, по мнению врача, польза превышает риск. При сканировании с контрастом женщинам в период кормления грудью нужно сцедить молоко дважды после обследования, затем разрешено вернуться к прежнему режиму.
Томография с усилением недопустима при беременности на любом сроке, терминальной почечной недостаточности и непереносимости вводимого препарата.
Диагностический центр «Магнит» делает МРТ детям с 5 лет, контрастирование - с 12. Обязательным является наличие направления.
Как проходит МРТ горла и гортани?

Киста шеи (щитоязычного протока) представлена на двух МР-снимках в разных режимах, имеет гиперинтенсивное содержимое на Т2 ВИ, четкий контур
Сканирование не требует подготовки. Разрешается пить и употреблять пищу. Но переедать не стоит, нахождение в замкнутом пространстве аппарата иногда провоцирует тошноту и рвоту. Стоит отдать предпочтение легкому перекусу, особенно при выполнении томографии с контрастом. Прием пищи позволит уменьшить признаки активности вегетативной нервной системы (тошноту, металлический привкус во рту и т.д.).
Перед томографией проводят инструктаж пациента. Необходимо снять все металлические предметы: ремень, заколки, серьги и т.д. Аппарат выглядит как труба. Пациента укладывают на стол устройства, пристегивают специальными ремнями. Во время томографического исследования нужна полная неподвижность, чтобы получить качественные снимки.
Стол с пациентом задвигают в тоннель МР-аппарата. О начале работы устройства свидетельствует появление шума и стука. Звуки сопровождают процесс исследования, беспокоиться не стоит. Чтобы сделать процедуру более комфортной, врач предложит использовать средства защиты (наушники, противошумные вкладыши).
Во время сканирования пациент остается под наблюдением медицинского персонала. Доктор наблюдает за процедурой из смежного помещения и поддерживает контакт с обследуемым с помощью радиопередатчика. В случае выполнения МРТ ребенку один из родителей может остаться рядом во время сканирования.
Если делают томографию с усилителем, сначала получают ряд нативных снимков, затем внутривенно вводят препарат и повторяют исследование. Процедура занимает около 15 минут, контрастирование удвоит время сеанса.
МРТ покажет рак горла?

Объемное образование в области гортани (стрелки): проекция спереди и сбоку
Дыхательные пути, глотка и пищевод подвержены постоянному воздействию повреждающих факторов, среди которых:
- никотин;
- курение электронных сигарет и использование других устройств;
- горячие жидкости и пища;
- частые воспалительные заболевания и пр.
В норме в организме человека на протяжении жизни появляются атипичные клетки (опухолевые), но иммунная система успешно с ними борется. К сожалению, при длительном действии агрессивных факторов, наследственной предрасположенности вероятность возникновения злокачественных процессов возрастает.
МРТ показывает рак гортани и других органов. Томография является предпочтительным методом визуализации новообразований. Чтобы улучшить достоверность и качество снимков, врачи рекомендуют проводить исследование с контрастированием. МРТ покажет:
- размер очага;
- расположение опухоли;
- контур и внутреннюю структуру;
- особенности кровотока;
- состояние лимфатических узлов и др.
При помощи полученных данных доктор сможет установить диагноз, предположить, есть ли у новообразования злокачественный потенциал, определить наличие метастазов и стадию заболевания. Раковая опухоль чаще выглядит как бугристый элемент, прорастает соседние ткани. Биопсия (метод диагностики, дающий информацию о клеточном строении), имеет решающее значение в подтверждении онкологии. Результаты томографии помогут определить тактику лечения, объем операции, сделать прогноз при раке горла, покажут динамику состояния.
Что показывает КТ гортани и области шеи? Что лучше КТ или МРТ?

Компьютерная томография гортани и области шеи - высокоточное современный диагностический метод, который позволяет при помощи рентгеновских лучей получить послойные срезы данной анатомической области. Исследование выявляет множество патологий со стороны анатомических образований, находящихся в области носоглотки и горла. В центре СПб «Магнит» проводят КТ гортани и шеи, при необходимости возможно контрастное усиление, МСКТ. Метод позволяет во время диагностики выявить малейшие изменения и диагностировать заболевания на ранней стадии.
Что покажет КТ гортани и шеи?
Компьютерная томография шеи и гортани позволяет сделать снимки внутренних органов данной анатомической области, подробно рассмотреть все слои мышечных пучков, выявить присутствие инородного тела в просвете верхних дыхательных путей или пищевода.
КТ гортани и шеи позволяет выявить патологические изменения:
Как выглядят на КТ гортани и шеи
Железа в норме должна выглядеть в виде однородного паренхиматозного органа, доли должны быть симметричны.
Компьютерная томография шеи покажет точные размеры эндокринного органа, границы, однородность, патологические узлы и кисты. Лучше делать МСКТ, так как исследование позволяет получить более тонкие срезы (сканирует слои с шагом в 0,5 мм) и снизить лучевую нагрузку на пациента.
В норме расположены вблизи щитовидной железы. В большинстве случаев можно найти за ней в количестве 4 штук, по две с каждой стороны, однородной консистенции, отделенные от нее прослойками капсул (собственная и рядом локализованного органа).
КТ мягких тканей шеи позволяет определить точную локализацию органов, проанализировать внутреннее строение, подтвердить их дистопии (изменения типичного расположения) и формирование аденом желез, кист.
Полый орган, относящийся к верхнему отделу дыхательного тракта, в котором располагаются голосовые связки, снаружи он окружен хрящевыми структурами. Хорошо кровоснабжается и иннервируется.
КТ гортани позволяет выявить патологию строения структур, заболевания голосовых связок, онкологические разрастания.
Визуализируется голосовая щель, связочный аппарат.
Компьютерная томография гортани и шеи показывает аномалии строения, опухоли, папиломатозные разастания, полипы, гранулемы, кисты голосовых связок, возможно исследование во время фонации, когда пациента просят что-то сказать в момент проведения диагностики. Лучше сделать мультиспиральную компьютерную томографию.
На КТ гортани и шеи визуализируется переход горла в трахею, послойные срезы позволяют подробно рассмотреть хрящевые полукольца, находящиеся в данной анатомической области, выявить патологические изменения. Хорошо видно содержимое просвета полого органа.
Послойные аксиальные срезы покажут инородные тела, воспалительное отделяемое, патологическое утолщение хрящевых структур, распространение онкологического процесса.
Компьютерная томография шеи позволяет рассмотреть верхний отдел пищевода.
Исследование показывает состояние стенки пищевода, наличие изъязвлений или опухолевидных разрастаний, инородных тел, дивертикулов.
На КТ носоглотки и гортани насчитывают 17 мышц, каждая из которых окружена собственной оболочкой .
КТ мягких тканей показывает асимметрию мышечных пучков при врожденных аномалиях развития, травматических повреждениях. При воспалении средостения эксссудат может проникать в межфасциальные пространства, что хорошо видно на снимках.
На компьютерной томографии шеи визуализируются артерии и вены, анализ позволяет рассчитать диаметр сосудов.
Компьютерная томография гортани и области шеи с контрастированием позволяет выявить нарушения в кровеносном русле: аневризмы сосудов, аплазии и гипоплазии основных артерий, кровоснабжающих головной мозг, щитовидную железу, гортань и другие анатомические структуры.
На КТ шейного отдела позвоночника хорошо видно строение позвонков, межпозвонковых дисков.
Диагностика показывает признаки остеохондрозного поражения, определяет наличие пролабирования или грыжи дисков, когда они проникают в просвет позвоночного канала, сужение межпозвонковой щели.
Регионарные лимфатические узлы
На КТ шеи и гортани хорошо визуализируются все группы лимфоузлов. При СКТ исследовании можно даже рассмотреть сосуды, которые собирают лимфу от органов шеи, средостения, слюнных желез, носоглотки.
При любом воспалении они увеличиваются в размерах, воспаляются, что будет видно на КТ мягких тканей и органов шеи. При хронических процессах лимфоузлы могут склерозироваться и кальцифицироваться.
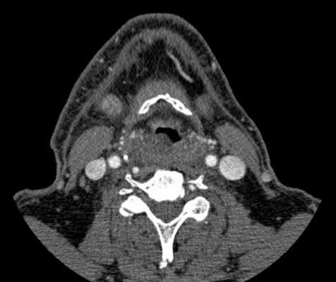
На рисунке показаны послойные аксиальные срезы шеи при КТ исследовании
КТ гортани и шеи с контрастом
Несмотря на то, что цена КТ шеи с контрастом дороже, чем обычное исследование, информации от такой диагностики можно получить намного больше. Компьютерная томография, как рентгеновский метод, рассчитана на визуализацию костных структур, введение контрастного препарат позволяет улучшить изображение мягких тканей и органов шеи на снимке, выявить аномалии сосудов. Целесообразнее делать усиление.
Информативность от КТ гортани и шеи с внутривенным контрастом сопоставима с МРТ. Различается только цена. Стоимость обычного КТ в диагностическом центре СПб «Магнит» - 2450 руб., исследование с ангиографией - 6100 руб., при этом цена контраста включена в стоимость (рассчитана на человека весом до 60 кг - 2 дозы). При необходимости дополнительного введения Ультрависта, он оплачивается отдельно. Время, необходимое для диагностики, также увеличивается.
Врачи-специалисты диагностического центра в СПб «Магнит» представляют консультативные услуги. После исследования пациент сможет узнать исчерпывающую информацию от специалиста по результатам диагностики, которые готовы уже через 2 часа после процедуры. Обратившийся получает бесплатно электронные снимки в записи на диске или по электронной почте. В случае утери результатов можно запросить дубликат, так как все исследования хранятся в памяти аппарата.
КТ мягких тканей шеи и гортани
КТ гортани и шеи необходимо делать не только для диагностики патологии и подтверждения диагноза, но и для определения тактики лечения пациента и прогнозов для жизни и здоровья . Проводят детальный анализ полученных снимков КТ мягких тканей и органов шеи для выявления анатомических дефектов, патологических субстратов.
При мультиспиральной компьютерной томографии можно получить объемную картинку, когда при помощи программ реконструируют 3D-изображение всех анатомических структур. Такую процедуру делают при подготовке к оперативному вмешательству в данной анатомической области. Контрастное усиление позволяет выделить все сосудистые коллатерали - их локализация и количество индивидуально для каждого пациента. Так как сосудистая сеть очень плотная, существует высокий риск возможных повреждений во время операции и развития неконтролируемого кровотечения.
Показания к КТ обследованию гортани и шеи
Проводить КТ диагностику необходимо, когда присутствуют следующие состояния больного:
увеличение щитовидной железы (зоб);
визуальная асимметрия структур в области шеи;
клинические признаки нарушения работы щитовидной железы;
новообразования верхних дыхательных путей (гортани, трахеи);
воспалительная патология носоглотки, гортани;
лимфаденопатия, лимфогранулематоз или другие онкопатологии лимфоидной ткани;
воспалительные заболевания в области шеи (формирование отека, возможное абсцедирование)
опухоли щитовидной железы;
кисты в области шеи;
клинические проявления нарушения функции паращитовидных желез (проявления гипо- или гиперкальциемии);
патология сосудов шеи (гипоплазии и аплазии магистральных артерий, вен, аневризмы, атеросклеротическое поражение);
травматическое повреждение анатомических структур гортани и шеи ;
стридорозное дыхание (шумное, громкое, основная причина формирования которого - обструкция в области голосовой щели или верхних дыхательных путях);
осиплость голоса или афония;
инородные тела в пищеводе или трахее.
Что лучше МРТ или КТ гортани и шеи?
КТ и МРТ - два похожих исследования, тогда как КТ направлено на выявление костной патологии, МРТ лучше визуализирует мягкие ткани и внутренние органы. Важным аспектом при выборе методик являются цели и показания для проведения диагностики, а также стоимость исследования, так как КТ гортани и шеи фактически в два раза дешевле МРТ той же анатомической области. В отличие от МРТ, КТ не противопоказано пациентам с металлическими протезами и металлическими стимуляторами ритма сердца.
КТ настоятельно рекомендуется не назначать беременным, из-за того, что применяется ионизирующее рентгеновское излучение, несмотря на негативно воздействует на активно делящиеся ткани, и может вызвать мутации плода.
КТ гортани с функциональными пробами
Обслуживание на двух языках: русский, английский.
Оставьте свой номер телефона, и мы обязательно перезвоним вам.
Информацию из данного раздела нельзя использовать для самодиагностики и самолечения. В случае боли или иного обострения заболевания диагностические исследования должен назначить только лечащий врач. Для постановки диагноза и правильного назначения лечения следует обращаться к Вашему лечащему врачу.

КТ гортани с функциональными пробами дает возможность просканировать область шеи и получить снимки с трехмерной реконструкцией, осмотреть голосовые связки, область миндалин, корня языка, область носоглотки и заглоточное пространство, мягких тканей шеи и шейный отдел позвоночника.
Компьютерная томография гортани с функциональными пробами необходима при нарушениях работы голосового аппарата, при подозрении на новообразования органов шеи, при воспалениях и иной патологии.
Преимущества
- Быстро и точно устанавливается причина дискомфорта.
- Исследование доступно и без применения контраста, не требует специальной подготовки.
- КТ обеспечивает высокое качество полученных снимков при сниженной лучевой нагрузке.
Возможности метода
При проведении исследования помимо гортани на полученных снимках частично или полностью визуализируются:
- мышцы, фасции и межфасциальные пространства шеи;
- щитовидная и паращитовидные железы;
- глотка;
- трахея;
- пищевод;
- слюнные железы;
- лимфоузлы;
- шейные позвонки;
- сосуды на уровне шеи.
Показания к проведению КТ гортани
- Травма шеи (повреждение позвонков, трахеи, хрящей гортани и прочие);
- увеличение лимфоузлов, в том числи и при наличии в них метастазов;
- болевые ощущения в горле, не проходящие долгое время;
- сдавление пищевода;
- отек гортани;
- аномалии органов шеи;
- нарушение глотания, дыхания;
- проблемы с голосом;
- новообразования органов шеи и мягких тканей;
- воспалительные процессы гортани и глотки;
- сосудистые заболевания (атеросклероз, тромбоз, аневризма, стеноз);
- кистозные образования шеи;
- дивертикулы гортани и пищевода;
- увеличение щитовидной железы (различные виды зоба);
- локализация инородного тела перед хирургическим удалением;
- перед плановой операцией на органах шеи;
- контроль эффективности лечения.
Что выявляет КТ гортани
- Доброкачественные и злокачественные опухоли;
- метастазы;
- стеноз гортани;
- отек гортани
- остеохондроз шейного отдела позвоночника
- увеличение и структурную перестройку лимфоидной ткани глоточного кольца.
Противопоказания
КТ гортани не желательно проводить при беременности и кормлении грудью. Исследование с применением контрастного вещества не проводится лицам с повышенной чувствительностью к йоду и людям с почечной и печеночной недостаточностью.
Как проводится КТ гортани с функциональными пробами
Специальной подготовки при проведении компьютерной томографии гортани не требуется. В случае планируемого КТ с контрастированием пациенту рекомендуется отказаться от приема пищи за часов до исследования.
Исследование занимает при контрастировании — 30 минут.
Пациент, в положении лежа на спине, располагается на столе томографа. Стол перемещают в основную часть прибора, где проходит сканирование шеи.
Проведение функциональных проб во время КТ заключается в проведении исследования в положении покоя и на высоте произношения звука «и».
Снимки пациент получает сразу после исследования. При желании снимки могут быть записаны на флэш-карту или диск.
Заключение предоставляют опытные рентгенологи после обследования и обработки результатов. При выявлении какой-либо патологии рентгенолог рекомендует больному консультацию специалиста.
Цены на услуги Вы можете посмотреть в прайсе или уточнить по телефону, указанному на сайте.
Цены на КТ гортани с функциональными пробами
- Шея
- КТ гортани с функциональными пробами, без контрастирования 7 700 руб.
Внимание! Цены на сайте могут отличаться.
Пожалуйста, уточняйте актуальную стоимость у администраторов по телефону.
КТ гортани
КТ гортани - современный неинвазивный рентгенологический метод исследования гортанных хрящей, голосовых связок и рядом расположенных мягких тканей. Методика позволяет рассмотреть данный участок дыхательных путей со всех сторон и обнаружить любые мельчайшие патологические изменения.
В Москве пройти обследование можно в одной из клиник холдинга «СМ-Клиника». Центр располагает современным диагностическим оборудованием от надежных зарубежных производителей (SOMATOM Scope Power и Siemens SOMATOM Perspective) и имеет в штате высококомпетентных специалистов, регулярно совершенствующих свои навыки.

Компьютерная томография в «СМ-Клиника» это
Цель КТ гортани
Компьютерная томография гортани способна выявить такие нарушения, как:
- опухоли (иногда возможна дифференциальная диагностика между злокачественными и доброкачественными новообразованиями);
- метастазы из других очагов опухолевого роста;
- дивертикулы гортани;
- абсцессы и иные воспалительные процессы в области шеи;
- тромбозы и аневризмы сосудов;
- травматические повреждения гортани мягких тканей;
- отек и стеноз тканей гортани по любой причине;
- сужение просвета гортани;
- поражение голосовых связок;
- любые дегенеративные заболевания позвоночника и межпозвоночных дисков;
- структурные или диффузные изменения лимфоидного глоточного кольца.
КТ гортани также может обнаружить инородные тела, охарактеризовать их расположение и размер, оказывать помощь в составлении плана дальнейших действий.
Показания к КТ гортани
Поводом для изучения состояния гортани на КТ является направление врача. Однако возможно выполнение процедуры и по собственному желанию. Основными показаниями являются:
- травмы шеи, сопровождающиеся повреждением позвоночного столба, трахеи и хрящей гортани;
- увеличение лимфатических узлов в области шеи;
- изменение тембра и тона голоса;
- затрудненное дыхание;
- боль или чувство кома в горле, сохраняющиеся длительное время;
- аномалии и пороки развития гортани и рядом расположенных анатомических образований;
- нарушение глотания;
- инфекционно-воспалительные заболевания шеи;
- подозрение на дивертикулы гортани;
- наличие инородного тела в просвете верхних дыхательных путей.
Компьютерная томография гортани чаще всего выполняется при подозрении на доброкачественные или злокачественные новообразования. Также процедуру проводят перед хирургическими вмешательствами и для оценки эффективности лечения.
Как проходит КТ гортани
Результаты проведения процедуры:
Этапы можно представить следующим образом:
- Удобное размещение пациента на подвижной кушетке.
- Фиксация головы, шеи и конечностей. Данные действия предотвращают случайные движения пациента во время обследования.
- Надевание защитных наушников. Это позволяет избежать дискомфорта и приглушить звуки работы аппаратуры.
- Выполнение исследования.
Сканирование гортани занимает от 5 до 30 минут (в зависимости от характера выявленных патологических изменений). В томографе имеются камера, динамики и микрофон. С помощью данных средств врач тщательно контролирует состояние пациента с целью предупреждения любых рисков для здоровья.
Около руки располагается «красная кнопка». На нее всегда можно нажать, чтобы незамедлительно остановить обследование и пригласить врача.
Оборудование



После окончания процедуры врач проводит детальное изучение серии томограмм, подготавливает заключение и план рекомендаций (от 30 до 90 минут). При необходимости эксперт расскажет простым языком о выявленных нарушениях и ответит на интересующие вопросы, выдаст направление к узким специалистам.
Подготовка к КТ гортани
КТ области гортани не требует специальной подготовки. При выполнении процедуры с введением контрастных веществ проводится тщательное изучение анамнеза (с целью исключения возможных аллергических реакций) и биохимическое исследование крови.
До начала томографии пациента просят снять с себя любые металлические изделия (цепочка, серьги, пирсинг). Они могут исказить конечные результаты. Не следует брать с собой телефон и иные электронные устройства, кредитные карты: рентгеновское излучение приведет их в негодность.

Полезная информация
Принцип метода
Компьютерный томограф - это современный диагностический прибор. Он пропускает через ткани шеи рентгеновские лучи, которые попадают на матрицу регистрирующего датчика. Различные структуры организма поглощают излучение неодинаково, что и позволяет получить на выходе контрастное изображение.
Прибор выполняет послойное сканирование плотных и мягких тканей шеи (с шагом до долей миллиметра) и выводит изображения на монитор в режиме реального времени, их сразу же рассматривает врач. При необходимости специалист может изменить план выполнения КТ гортани или прицельно изучить выявленный патологический очаг.
Томография существенно отличается от обычного рентгенографического исследования, так как исключает наслоение различных анатомических структур друг на друга, обладает значительной чувствительностью, позволяющей максимально снизить лучевую нагрузку.
КТ с высокой точностью определяет нарушения, что особенно эффективно в целях диагностики опухолей.
В процессе исследования можно изучить состояние не только гортани, но и рядом расположенных органов:
- мышц и фасций;
- щитовидной и паращитовидных желез;
- глотки и трахеи;
- пищевода;
- слюнных желез;
- лимфатических образований;
- сосудов;
- шейного отдела позвоночника.
Достоинства томографии
КТ гортани - это современный и неинвазивный метод, исключающий любые риски, возможные при использовании оборудования старого поколения. Основными преимуществами являются:
- высокий уровень комфорта;
- абсолютная безопасность;
- небольшая продолжительность процедуры (от 5 до 30 минут);
- ценовая доступность;
- полная безболезненность;
- получения точных данных об анатомическом расположении здоровых и пораженных тканей;
- возможность записать результаты обследования на диск или флеш-накопитель (для последующего предоставления лечащему врачу или для самостоятельного ознакомления).
Эксперты холдинга «СМ-Клиника» заботятся о комфорте пациентов и всегда прилагают максимальные усилия для обеспечения благоприятной атмосферы и безопасности в ходе обследования.
Томография гортани с функциональными пробами
В некоторых случаях требуется проведение функциональных проб - наблюдение за работой гортани и голосовых связок в динамике (изучение характера их движений). Для этого врач может попросить произносить определенные звуки или совершать небольшие движения.
Обычно КТ с функциональными пробами выполняется при поражении голосовых связок в результате травм, инородными предметами, пролиферативными процессами, а также при таких длительно сохраняющихся симптомах, как охриплость голоса, боли в горле, чувство кома и дискомфорта, трудности с проглатыванием пищи.
Методика выполняется в стандартном режиме и практически не отличается по времени от «стандартной». Специфическая подготовка не нужна.
Противопоказания к компьютерной томографии
Компьютерная томография гортани не может быть проведена при:
- беременности (на любом сроке);
- наличии несъемных металлических предметов в зоне исследования (протезы, спицы и т. п.);
- заболеваниях психиатрического характера с потерей самоконтроля (требуется медикаментозная седация);
- тиреотоксикозе;
- недостаточности функции почек или печени в стадии декомпенсации.
Необходимо сообщить врачу о наличии противопоказаний, если он не в курсе. Пренебрежение данными ограничениями может привести к осложнениям и снизить диагностическую ценность томографии.
Где выполнить томографию гортани в Москве
КТ гортани - безопасная и высокоинформативная процедура, позволяющая обнаружить даже мельчайшие патологические процессы!
Пройти обследование в Москве можно в одной из клиник медицинского холдинга «СМ-Клиника». Сеть медицинских центров уже почти 20 лет предлагает свои услуги, имеет в штате высококомпетентных специалистов узких специальностей и современное лечебно-диагностическое оборудование, соответствующее всем стандартам качества. Сотрудники холдинга имеют множество положительных отзывов довольных клиентов.
Запись на прием осуществляется по телефону, указанному на сайте, или посредством заполнения контактной формы, размещенной там же. Операторы контактного центра ответят на любые вопросы, расскажут о самой процедуре и подскажут наиболее удобный путь до медицинской клиники.
После получения результатов можно посетить врачей узких направлений (онколог, хирург, ортопед, отоларинголог и др.).
Стоимость компьютерной томографии гортани зависит от многих факторов: от географического расположения медицинской клиники до уровня подготовки специалистов. Цена обследования повышается при необходимости использования контрастирующего вещества. Наценка зависит от количества потраченного препарата. Холдинг «СМ-Клиника» гарантирует высокое качество оказания услуг по доступным для каждого ценам!
Запись на КТ гортани
Раннее выявление серьезных заболеваний гортани даст Вам возможность избавиться от недуга в короткие сроки, а во многих случаях - без хирургического вмешательства.
Узнать подробности проведения процедуры, цены КТ гортани и записаться на обследование Вы можете по телефону:
Читайте также:
- Как избавиться от раздражения после бритья ног? Избавляемся от красноты
- Питание недоношенных младенцев. Рекомендации
- Рост бактерий в культуре. Фазы роста бактерий. Лаг фаза роста. Экспоненциальная фаза роста бактерий. Стационарная фаза роста.
- Влияние гипоксии на пинеалоциты. Изменения эпифиза при недостатке кислорода
- Околомозговое скопление жидкости
