Уход после операции ревизии несвязанного эндопротеза плечевого сустава
Добавил пользователь Skiper Обновлено: 03.11.2025
Эндопротезирование плечевого сустава — достаточно длительная и сложная операция. Поэтому она, как и все другие виды хирургического вмешательства, требует длительного восстановления. Реабилитация после замены плечевого сустава длится несколько месяцев и обязательно требует контроля профессионального врача восстановительной медицины.

Начало реабилитации
Начать необходимо с того, что физиотерапевтические процедуры начинаются на следующие сутки после хирургического вмешательства. Очень важно вовремя начать восстановление функций сустава для полного возобновления его «работы».
Обратите внимание, что первые месяц или полтора придется обязательно фиксировать конечность. Обычно это делают либо с помощью более «традиционной» косыночной повязки или используя более современные способы.
В целом, за 10-15 дней у большинства прооперированных пациентов наблюдается восстановление наиболее необходимых навыков: надевание и снимание одежды, прием пищи, гигиенические процедуры, простые дела по дому и т.д.
Если говорить про общий срок реабилитации, то он длится от 3-х месяцев до полугода.
Важные факты о восстановлении после эндопротезирования
- Физиотерапевтические процедуры назначаются только специалистом!
 - Лечебную гимнастику необходимо проводить до 5 раз в день от месяца и более.
 - Первые 6 недель запрещены серьезные нагрузки на сустав: вытягивание руки назад и в стороны, поднятие предметов тяжелее пол-литровой бутылки с водой, вставание с сидений припомощи опоры на на них больной рукой, вождение автомобиля и т. д.
 - После операции запрещены контактные виды спорта, а также любые поднятия тяжестей.
 
Реабилитация после эндопротезирования плечевого сустава в цифрах и сроках
- Необходимость стационарного лечения в клинике — до 5 дней;
 - Ношение бандажа для поддержки руки круглосуточно — не менее месяца;
 - Использование бандажа для фиксации конечности по ночам — 2 недели и более;
 - Продолжительность нетрудоспособности — до 6 недель.
 
Обратите внимание, что в зависимости от поврежденной руки, объемов проведенной операции, точности и четкости соблюдения предписаний врача-реабилитолога, срок нетрудоспособности может изменяться как в меньшую, так и в большую стороны. Работники умственного труда могут вернуться к работе гораздо ранее, чем те, чья профессия подразумевает физические нагрузки.
Когда стоит бить тревогу?
Если вы заметили у себя один из ниже перечисленных симптомов, обязательно обратитесь к своему хирургу! Помните, что самолечение может быть опасно для вашего здоровья:
- Гнойные или другой природы выделения из швов;
 - Неприятный запах от раны;
 - Продолжительное (два дня и более) повышение температуры до 38 градусов Цельсия и выше;
 - Увеличение отека;
 - Усиление боли.
 
Фазы реабилитационного периода
В целом, врачи восстановительной медицины выделяют три основных фазы реабилитации после замены плечевого сустава:
- Растяжка
 - Восстановление силы мышц
 - Выздоровление.
 
Растяжка
Этот период длится до двух месяцев. Основная его задача — растяжение мышц, легкое их напряжение и приведение в тонус, а также пассивное напряжение руки для предотвращения потери подвижности протеза. Основные упражнения, которые необходимы для растяжки: маятник; сгибание, вытяжение и отведение конечности, хождение по перекладине, вытягивание мышц с зацеплением за опору и другие).
Восстановление силы мышц
Вторая фаза начинается где-то через полтора-три месяца после хирургического вмешательства. Точное время вам сможет сказать только ваш реабилитолог, оценив состояние сустава.
На этом этапе реабилитации главное — вернуть мышцам прежнюю подвижность и силу. Конечно, полностью восстановить функцию плечевого сустава не получится, и сильные нагрузки будут запрещены постоянно, однако хотя бы частично вернуть прежние умения возможно.
Для этой фазы наиболее важные физические упражнения — отведение и приведение, сгибание и разгибание плеча, отталкивание от стены, легкие отжимания от коленей, пожатие плеч и прочие. Однако не стоит забывать и о тех нагрузках, которые рекомендовались для предыдущей стадии.
Полное возвращение к привычному ритму жизни возможно через 3-6 месяцев.
Через этот срок уже можно заниматься всеми обычными видами деятельности, заниматься плаванием, йогой, играть в гольф и т. д.
Помните, что весь период восстановления после эндопротезирования плечевого сустава должен сопровождаться профессиональным врачом восстановительной медицины. Это залог стопроцентного возвращения к привычному ритму жизни и быстрого выздоровления после болезни.
Доверьте восстановление суставов специалистам клиники Март! У нас только современные методики и более 25 видов физиотерапевтических процедур для быстрой реабилитации пациентов.
Замена плечевого сустава: цена операции и имплантата
Плечо - самый подвижный сустав. Утрата нормального диапазона движений вследствие болезни или травмы сильно ухудшает качество жизни человека, а иногда даже ставит ее под угрозу.
Диагностика
При травме достаточно рентгеновского снимка, чтобы понять, насколько серьезно повреждение и какие меры необходимо принимать. Но иногда точно понять причину болей и нарушения подвижности по снимкам не представляется возможным, и не всегда проблема кроется в патологических процессах непосредственно в суставе.

Например, такое опухолевое образование как энходрома (доброкачественная опухоль из хрящевой ткани), может подобраться к нему, развиваясь в плечевой кости. Если причиной боли является сильно разросшаяся энходрома - операция плечевого сустава неизбежна.
В таких случаях в качестве диагностического метода назначается артроскопия - малоинвазивное вмешательство (разрез всего 4 мм). Во время процедуры врач может досконально рассмотреть состояние хрящей, связок, мышц, сухожилий, костной поверхности.При помощи артроскопии можно удалить поврежденные части хряща, воспаленные и поврежденные мягкие ткани, а также свободные тела в суставной жидкости.
Виды доступных для проведения данным методом операций:
- фиксация связок плеча при их повреждении;
 - фиксация и сращивание сухожилий при защемлении;
 - реконструкция вращательной манжеты;
 - восстановление и совмещение костных образований в области суставной сумки при их смещении;
 - лечение врожденных патологий у детей;
 - удаление осколков при переломе;
 - шлифовка и придание формы хрящевой прокладке при ее деформации;
 - при бурситах: удаление утолщений из полости сумки и промывание антисептиком.
 

После процедуры заживление и реабилитация происходит в течение 2-х недель. Подобные виды малоинвазивного вмешательства доступны во всех регионах страны, поскольку аппарат не относится к категории сверхдорогих, а результат во многом определяется грамотностью хирурга. 
Например, проводятся следующие артроскопические операции в Челябинске на плечо:
- тугоподвижность (адгезивный или слипчивый капсулит);
 - устранение импинджмент-синдрома;
 - восстановление вращательной манжеты;
 - устранение нестабильности.
 
Эндопротезирование плечевого сустава
Современная медицина обладает большим арсеналом средств для лечения различного рода травматических повреждений плечевого сустава. Но иногда необходима его тотальная или частичная замена.
- остеонекроз - отмирание клеток головки кости;
 - многооскольчатые сложные переломы и раскол головки;
 - плохо сросшиеся старые переломы без возможности восстановления нормальной анатомии сустава;
 - артрит;
 - необратимые патологии вращательной манжеты;
 - опухолевые заболевания.
 

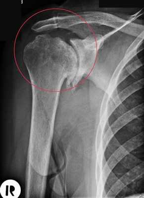
Артроз плечевого сустава на рентгене.
Виды протезирования
В зависимости от степени повреждения выделяют следующие виды эндопротезирования плеча:
- Поверхностное. Применяется, когда минимальны повреждения головки кости пациента и много костной ткани можно сохранить. Головка обтачивается специальным инструментом, на нее «сажается» имплантат, замещающий собой поверхность сустава.
 - Однополюсное. Производится имплантация либо лопаточной впадины, либо костной головки.
 - Полное. При этом меняются все соприкасающиеся части: и головка, и впадина. Причем возможны два варианта замены: имплантируются только суставные элементы или производится установка протезов на стержне с креплением в костной полости.
 - Ревизионное. Выполняется в случае необходимости замены изношенного имплантата или его отдельных элементов. Также проводятся ревизионные вмешательства при развитии осложнений в виде отторжения, воспалений, нагноений.
 

На эндопротезирование плечевого сустава цена зависит от перечня услуг, оказываемых клиникой в рамках операции, способа оперативного вмешательства, метода фиксации протеза.
Виды эндопротезов и цены
Имплантаты на ножке по своему строению могут быть анатомическими и обратными. Анатомический состоит из трех частей: головка, ножка и впадина. Назван так, поскольку полностью повторяет структуру человеческого плеча и по биомеханике, и по форме.
Установка такого протеза возможна только в том случае, если вращательная манжета не повреждена. При замене используется продукция таких мировых производителей как DePuy, Zimmer, Smith&Nephew, Biomet, Aesculap — B. Braun.

Обратный или реверсивный используется, когда вращательная манжета не функционирует и нарушена стабильность. Тогда головка крепится к суставной впадине (гленоидальному компоненту), а вогнутый имплантат впадины на ножке фиксируется на плечевой кости.

Для однополюсного эндопротезирования используются гемипротезы, то есть заменяющие только одну часть сустава. По способу установки делятся на поверхностные и штыревые (внедряются в кость).
Также имплантаты могут быть цельными или сборными (модульными). Модульные позволяют за счет подбора различных размеров элементов корректировать при необходимости положение плеча. Существуют следующие способы крепления протезов к кости:
- бесцементный. Фиксация производится «вколачиванием». Подходит для имплантации в плотную костную ткань, способную надежно удерживать ножку;
 - цементный. Ножка закрепляется с помощью специального раствора. Используется при недостатке или плохом качестве собственной костной ткани.
 
Ревизионное эндопротезирование в случае обширного поражения тканей, замены эндопротеза или сильного разрушения кости требует специального имплантата, который частично компенсировал бы функциональную недостаточность мышц. Например, Delta XTEND производства компании DePuy. Центр ротации у него смещен вниз и кнаружи, что увеличивает диапазон движений, сохраняя при этом стабильность сустава.
Цена на лечение
На протезы плечевого сустава цена достаточно высокая, начинается от 140 000 рублей. Плюс стоимость пребывания в стационаре, анализы, анестезия, имплантация и реабилитация. В таких случаях государство предусматривает бесплатное лечение по квотам. Квоту на проведение имплантации можно получить по месту постоянной прописки, имея полис ОМС.
Получение квоты
- Обратиться в свою клинику по месту жительства с целью получения направления в лечебное учреждение, предоставляющее услуги по эндопротезированию. Врач оформляет пакет документов для получения квотного талона.
 - Эти документы предоставляются пациентом в местный территориальный орган здравоохранения, где при положительном решении выдается талон на бесплатное оказание высокотехнологичных видов помощи.
 
Из минусов бесплатного лечения: срок ожидания очереди может затянуться на год. Также замена плечевого сустава по квоте не предполагает выбора фирмы-производителя имплантата.
Что касается ревизионных операций, то бесплатное или платное удаление плечевого эндопротеза определяется степенью срочности вмешательства. Иногда нет времени на улаживание формальностей по сбору документов. Такая процедура обычно стоит дешевле первичного эндопротезирования.
Реабилитация после эндопротезирования плечевого сустава: упражнения и ЛФК
Высокоэффективная операция избавляет от инвалидности, дает возможность вновь возобновить нормальную силу, ритмичность, скоординированность, стабильность движений верхней конечности, что подтверждено многочисленными клиническими исследованиями. Благодаря эндопротезированию плечевого сустава становится доступным сгибание и разгибание соответствующей части опорно-двигательного аппарата, отведение и приведение, ротация внутрь и кнаружи. При этом, что особенно важно, движения во всех плоскостях осуществляются безболезненно и в полном объеме.

Рентген после эндопротезирования плечевого сустава
Если ранее человеку стоило больших трудов и страданий, к примеру, завести руку за голову или спину, отвести ее в сторону, поднять вверх или удержать даже самый легковесный предмет, то после установки эндопротеза обо всех этих трудностях реально забыть. Однако произвести исключительно замену сочленения недостаточно, пациенту необходимо после нее упорно работать над своим восстановлением, чтобы однозначно получить отличный положительный эффект от пройденного хирургического мероприятия.

Шрам после реверсивного эндопротезирования плечевого сустава
Максимальному возвращению двигательного потенциала способствует реабилитация после эндопротезирования плечевого сустава, которой отведена не менее значимая роль, чем самой операции. Только пройдя качественно весь путь послеоперационной реабилитации, человек может рассчитывать на благоприятный прогноз - восстановление функциональности прооперированного отдела на 95 %-100 %. Конечно, при условии, что и протезирование было выполнено без изъянов - на высшем профессиональном уровне.
Что касается качества непосредственно самой процедуры, вам его обеспечат, если вы оперируетесь в хорошей ортопедической клинике за границей, там весь процесс хирургии отработан и отточен до мелочей. Поэтому принципиально значимо, чтобы идеальное во всех смыслах этого слова эндопротезирование не было сделано зря, заниматься непрерывной разработкой нового плечевого сустава по всем правилам и нормам. Постоперационное лечение выполняется поэтапно по специально составленной схеме, занимает оно не меньше 3 месяцев.
Напутствие для пациента: обязательно к прочтению
Восстановительный режим соблюдается независимо от того, была ли использована тотальная замена всех рабочих элементов сустава, частичная, поверхностная или ревизионная имплантация. Общепринятая программа реабилитации после эндопротезирования плечевых суставов начинает выполняться с первых суток. С каждым пройденным днем, неделей и месяцем, прилежно исполняя медицинские рекомендации, вы будете замечать существенные сдвиги в восполнении утраченных функций подвижности. А все благодаря тому, что многочисленные мышцы, управляющие эндопротезом, стали приходить в состояние нормы.
Вы должны понимать, что вживленное устройство начинает действовать после того, как будут приведены в порядок мышечные ткани руки, в первую очередь те, которые «запускают» локомоторный механизм данного сочленения, а их достаточно большое количество. Плечелопаточный сегмент образуют такие мышцы, как:
- дельтовидная в ключичной, акромиальной, остистой части - отвечает за сгибание, отведение и разгибание плеча;
 - широчайшая и большая круглая - обеспечивают внутреннюю ротацию;
 - надостная, подостная, подлопаточная - обуславливают наружную ротацию.
 

Чтобы усовершенствовать перечисленные группы мышц, которые подверглись существенным дегенерациям на фоне суставного заболевания, вам необходимо будет выполнять специальный комплекс лечебной физкультуры по периодам и ходить на физиотерапевтические процедуры. Все мероприятия должны проходить под пристальным присмотром методиста по лечебной гимнастике, реабилитолога, физиотерапевта и врача-ортопеда!

Из положения лежа отведение руки за голову при помощи здоровой руки.
Упражнения ЛФК в самом начале назначаются пассивного типа с ассистенцией, то есть, когда вы здоровой рукой будете помогать эндопротезированной конечности выполнять ту или иную задачу. Если вам будет сложно это делать, специалист или ваш близкий родственник поначалу позаботятся о правильном исполнении требуемых нагрузок.

Движения рукой в наклоне сначала малой, а потом большей амплитуды.
Учтите и тот факт, что протезирование плечевого сустава не исключает постоперационные осложнения. Последствия способны развиться на любом из реабилитационных этапов, они проявляются преимущественно в виде:
- местного инфекционного абсцесса;
 - нестабильности (расшатывания) имплантата;
 - парапротезного вывиха;
 - легочной пневмонии;
 - ригидности, контрактуры плечевого пояса;
 - образования кровяных сгустков в глубоких венах;
 - хронического болевого синдрома.
 
Негативные реакции возникают нечасто, как правило, при неадекватно распланированной и примененной системе лечебно-восстановительных мероприятий, длительном пребывании в состоянии малой подвижности, а также при форсированных физнагрузках. Для предупреждения вышеперечисленных неблагополучных явлений еще в стационаре после протезирования плечевого сустава обеспечивается их грамотная профилактика:
- введение антибиотиков, антисептическая обработка операционной раны против активизации инфекции;
 - терапия противотромбозными препаратами от формирования тромбов в сосудах;
 - оптимальная иммобилизация конечности при помощи повязки-косынки с клиновидной подушкой, установленной в подмышечной впадине, бандажа или ортеза для благополучной регенерации мягких структур и репарации костных тканей;
 - назначение с первых часов дыхательной гимнастики от легочного застоя и развития пневмонии;
 - использование высокоэффективных тренировок строго по этапам, которые дозировано нагружают руку и не угрожают нарушением целостности искусственной конструкции;
 - применение процедур физиотерапии, способствующих улучшению трофики околосуставных тканей, стимуляции кровообращения, устранению гематом, снятию отеков и болезненных признаков, избавлению от гипотонуса мышц и пр.
 
Реабилитационный цикл протекает гораздо легче, чем после суставного протезирования ног, поскольку он не сопряжен такими трудностями при ходьбе, принятии положения сидя и т. п. Но над замененным плечевым суставом, его мышечно-связочной системой работать в любом случае нужно, ведь именно эти функциональные зоны первые в ответе за двигательную состоятельность, стабилизацию верхних конечностей в целом. А руки, как известно, - это основной орган труда. Более того, они не последнюю роль занимают в контроле над регуляцией баланса тела в вертикальном положении.
Настройтесь на долгую и непрерывную работу, если хотите, чтобы протезированной руке вернулась здоровая работоспособность. Поверьте, другого пути нет! Реабилитация после такой сложной реконструктивной операции, как эндопротезирование плечевого сустава, крайне необходима. Первостепенно важно следовать тому графику физической активности, что порекомендовал вам лечащий врач, при этом помните о принципе постоянства и постепенности. А при всяких замеченных отклонениях, не являющихся нормой (усиление боли, уплотнение и покраснение кожи на плече, повышение температуры и др.), срочно сигнализируйте об этом доктору!
Ранняя восстановительная фаза
Начиная с первых суток и примерно до конца второй недели, физическая реабилитация обновленного плечевого сустава после эндопротезирования носит облегченный характер. Это означает то, что минимум на протяжении данного отрезка времени осуществляется очень бережная и щадящая разработка руки, так как кости, сухожилия, связки, мышцы находятся пока еще в процессе начальной регенерации. Сперва, как было сказано ранее, помогать выполнению определенных движений прооперированной конечностью нужно будет посредством противоположной руки. Основная доля занятий приходится на произведение несложных движений предплечьем, запястьем, пальцами руки.

Сжимание мячика или любого подходящего предмета кистью.
Примерно на 3-4 сутки уже включается пассивная механотерапия. Занятия проводятся на специализированном автоматическом тренажере, в который фиксируют проблемную конечность. Зарядка происходит по заданной программе, установленной с учетом допустимого диапазона движений в плечелопаточном суставе, положенного темпа и времени нагрузки. Тренажерный аппарат позволяет использовать встроенные программы на отведение/приведение, внутреннюю и внешнюю ротацию. Он также имеет встроенную функцию глубокой осцилляции. Данный способ заключается в локальном воздействии на травмированные участки электростатическими импульсами, что способствует:
- глубокой трофостимуляции;
 - активизации тканевого метаболизма и кровоснабжения;
 - обезболиванию и устранению отечности;
 - повышению эластичности связочно-мышечных структур;
 - улучшению подвижности проблемной области.
 
Стоит отметить, что это не единственная физиотерапевтическая тактика, оказывающая подобное терапевтическое действие. Пациенту также прописывают посещение процедур электромиостимуляции, лазеротерапии, УВЧ или других способов физиолечения, которые оказывают примерно аналогичное воздействие.

Шрам после поверхностной операции.
Ранняя реабилитация, эндопротезирование плечевого сустава всегда в послеоперационный период вызывает боль, после заметного сокращения болевого синдрома включает простые упражнения на растяжку. Как правило, их выполняют на специальной системе, снабженной подвесным тросом. Лечебный стретчинг в начальном периоде необходимо производить исключительно под контролем тренера по ЛФК.
Поздняя стадия восстановления
В зависимости от состояния больного, по истечении двух- или трехнедельного срока переходят к реализации программы позднего восстановления, которая базируется на более интенсивных занятиях. На предшествующем этапе вы уже достигли частичной коррекции функций руки и подготовили ее к продуктивным тренировкам. Обучение основным приемам активной разработки плечевого сустава рекомендуется, если протезирование, повторим, было проведено 2-3 недели назад.

Встать боком к стене и отводит руку в сторону.
Вам будет предложен комплекс активных физических упражнений, выполняемый сначала с небольшой нагрузкой, но ее постепенно нужно будет увеличивать. Все движения должны быть плавными и медленными. Вспомогательными тренажерами служат эластичная лента-эспандер, гимнастическая палка, турник, снаряды-утяжелители и другие спортивно-реабилитационные приспособления.

Встать спиной к стене и давить локтем в стену. Повторить 5-10 раз.
Ношение плечевого бандажа или фиксирующей косыночной повязки полностью отменяют спустя 3-4 недели. Также назначаются курсы традиционного массажа плеча и надплечья, гидромассажа, аквагимнастики, дополнительно рекомендуют плавание в бассейне.
Ни в коем случае нельзя назначать самостоятельно себе какие-либо виды тренировок на любом из этапов, предварительно не проконсультировавшись с компетентным специалистом и не получив от него детальных рекомендаций по методике их выполнения. Неразумные движения и безграмотный подход практически всегда становятся причиной преждевременного выхода из строя эндопротеза, в частности его вывиха и подвывиха. Тогда вам придется досрочно прекратить реабилитацию, а эндопротезирование плечевого сустава, вероятнее всего, пройти повторно.

Работа с эспандером.
Поздний реабилитационный этап, если вести отсчет со дня проделанной имплантации, заканчивается через 12-13 недель. Именно на этих сроках достигаются окончательно прочная фиксация протеза и полноценные двигательные возможности верхней конечности в соответствии с физиологическими стандартами. Однако и в дальнейшем рекомендуется продолжать заниматься ЛФК не менее 3 раз в неделю, чтобы не допустить ослабления костно-мышечного корсета. Осторожность, неспешность, мягкость и плавность движений в плече при спортивных нагрузках - основные требования, которые остаются неизменными в течение всей жизни.
Главные рекомендации после восстановления
Недопустимо перенагружать искусственный сустав длительными нагрузками, совершать интенсивные махи и вращения, производить резкие и сильные толчковые движения рукой, поднимать и переносить тяжелые предметы, тем более на плече. Вам нужно также научиться предвидеть и не допускать травмоопасных ситуаций. Если говорить о спортивных тренировках, которые безопасны и даже полезны, вам стоит предпочесть следующие виды спорта:
- плавание;
 - скандинавскую ходьбу;
 - спокойный бег;
 - велоспорт с умеренной нагрузкой.
 
Следующий серьезный момент, который касается всех, у кого вместо родного сустава плеча стоит имплантат: если у вас возникло какое-либо инфекционное заболевание (простуда, кариес, пиелонефрит и пр.), немедленно обращайтесь к врачу соответствующей специализации! Обязательно сообщите о том, что вы прошли в прошлом протезирование плечевого сустава, и вам будет проведена экстренная антибактериальная терапия (употребление или уколы антибиотика). Почему пациент нуждается в безотлагательной помощи?
- Любая патогенная микрофлора, развившаяся в том или ином органе, способна стремительно вместе с током крови переместиться на околосуставные участки, где размещен имплантат.
 - Заражение близлежащих структур бактериями, инфекциями, вирусными антигенами вызывает гнойно-воспалительный очаг с локализацией, как нетрудно догадаться, в совсем неподходящем месте.
 - Если своевременно не предпринять адекватных мер по ликвидации патогенеза, прочность крепления протеза будет нарушена, устройство расшатается и уже не сможет функционировать нормально.
 - Подобное осложнение лечится слишком тяжело, зачастую вообще не поддается терапевтическому воздействию, что становится вынужденной необходимостью снимать имплантат. Следующая замена возможна только после основательного искоренения возбудителя и отменной регенерации поврежденных тканей.
 
Также пациент должен приходить к лечащему врачу на плановые обследования каждые 5 недель в течение полугода. Затем визиты в больницу с целью медицинского осмотра, аппаратно-инструментальной диагностики прооперированного плеча и сдачи лабораторных тестов назначаются с периодичностью 1 раз в год.
- Аппаратные методы в отдаленные сроки предназначены для наблюдения за правильностью положения, глубиной посадки, целостностью протезной конструкции. Они основаны на применении способов рентгенографии.
 - При помощи специальных угломеров, ощупывания и тестирования движений периодически выполняется оценка двигательного потенциала во всех физиологических направлениях исследуемой зоны.
 - Целью лабораторных исследований преимущественно являются определение показателей кальциево-фосфорного обмена в человеческом организме, чтобы иметь достоверное представление о состоянии костей, о качестве процессов минерализации костной ткани. Как известно, эндопротез погружен именно в суставные кости, а их даже малейшие разрушения, деформации, трещины создают критическую ситуацию, связанную с расшатыванием и дестабилизацией компонентов аналога-сустава.
 
Если будут зафиксированы признаки остеопороза, прописывается прием лекарственных средств, улучшающих плотность костных структур, а также постоянная поддерживающая (профилактическая) терапия, проводимая курсами с определенными интервалами. Исследуемыми биологическими материалами для определения остеопороза являются кровь и моча. Возможно проведение рентгенологической денситометрии.
Чем раньше остеопорозные признаки обнаружатся, тем больше шансов проходить с новым суставом нормальное количество лет. Поэтому не пропускайте необходимые визиты к врачу и ежегодное прохождение важных анализов.
Заключение
Вы так долго мечтали, чтобы ваше качество жизни было таким же, как у здоровых людей и, наконец, вам предоставили хирурги такой уникальный шанс. Но, как вы поняли из нашей статьи, что не только умелая операция целиком и полностью решает данную медицинскую проблему, но и качественная реабилитация после эндопротезирования плечевого сустава, причем, пройденная от начала и до самого конца.
Отсюда вывод: проходить функционально-восстановительное лечение лучше в специализированных реабилитационных центрах, где вам организуют его на высочайшем профессиональном уровне, что позволит в дальнейшем безболезненно и в полном объеме лет 20 пользоваться новым сочленением.
Будьте ответственны и терпимы, не нарушайте послеоперационные правила, продиктованные квалифицированным медработником, идите без остановки к поставленной цели, внимательно следите за своим самочувствием - тогда все будет в абсолютном порядке.
Реабилитация после замены плечевого сустава

Осложнения в раннем послеоперационном периоде после реверсивного эндопротезирования плечевого сустава

Актуальность. Частота осложнений в раннем послеоперационном периоде после реверсивного эндопротезирования плечевого сустава остается достаточно высокой и, по данным различных авторов, колеблется от 4,7 до 38 %. Изучение ранних осложнений после реверсивного эндопротезирования плечевого сустава, а также поиски путей их профилактики являются актуальными проблемами в современной действительности. Цель данного исследования: изучение основных причин ранних послеоперационных осложнений при реверсивном эндопротезировании плечевого сустава, а также методы их профилактики. Материалы и методы. В нашем исследовании использованы клинические данные 23 пациентов, которым было выполнено первичное реверсивное эндопротезирование плечевого сустава. В качестве сравнительного материала использовались данные регистров зарубежных стран, а также современные сведения иностранной и отечественной литературы.
Результаты. У группы прооперированных нами пациентов ранние осложнения отмечены у 5 человек (21,7 %). В двух случаях (8,7 %) выявлен перипротезный перелом. У 3 пациентов (13,2 %) произошел вывих эндопротеза. Выявлены причины их появления. Сформулированы правила профилактических мер.
Выводы. 1. Основными ранними послеоперационными осложнениями являются вывих эндопротеза, перипротезный перелом диафиза плечевой кости. 2. Данные виды осложнений возникают вследствие нарушенного баланса мягких тканей, неадекватного подбора размеров эндопротеза, интерпозиции мягкими тканями, а также неадекватных сроков нагрузок на прооперированную конечность. 3. Снижение количества этих осложнений может быть достигнуто путем соблюдения профилактических мер на всех этапах лечения.
Ключевые слова
Полный текст
ВВЕДЕНИЕ
Дегенеративные заболевания плечевого сустава различной этиологии, а также травматические его повреждения зачастую приводят к нарушению функции верхней конечности [1].
В наше время эндопротезирование является оптимальной операцией при тяжелых повреждениях плечевого сустава.
На сегодняшний день в различных странах выполняется до 7000 эндопротезирований плечевого сустава за год, из них около 2500 реверсивных 2.
В клинической практике наиболее актуальным становится модель реверсивного эндопротеза, после установки которого, помимо исчезновения болевого синдрома, также исчезает необходимость сращения бугорков для нормальной функции конечности [6].
Главное отличие реверсивного эндопротеза плечевого сустава от других моделей заключается в изменении (медиализации) центра ротации за счет его конструкции. При этой особенности увеличивается объем функции дельтовидной мышцы при отведении и сгибании в плечевом суставе [7].
Как и другие оперативные вмешательства, эта методика имеет определенные риски послеоперационных осложнений. Ранние осложнения при реверсивном эндопротезировании плечевого сустава схожи с осложнениями при тотальном классическом эндопротезировании этого сустава, но имеют свои специфические особенности. Примерами таких осложнений могут быть: расшатывание компонентов, вывих эндопротеза, перипротезные переломы, инфекция.
Частота осложнений в раннем послеоперационном периоде после реверсивного эндопротезирования плечевого сустава остается достаточно высокой и, по данным различных авторов, колеблется от 4,7 до 38 % 9.
Таким образом, изучение ранних осложнений после реверсивного эндопротезирования плечевого сустава, а также поиски путей их профилактики являются актуальными проблемами в современной действительности.
Целью данного исследования является изучение основных причин ранних послеоперационных осложнений при реверсивном эндопротезировании плечевого сустава, а также методы их профилактики.
МАТЕРИАЛЫ И МЕТОДЫ
В нашем исследовании использованы клинические данные первичного реверсивного эндопротезирования плечевого сустава на базах ФГБУ «НМИЦ ТО им. Н.Н. Приорова» и УКБ № 1 ФГАОУ ВО ПМГМУ им. И.М. Сеченова МЗ РФ (Сеченовский Университет). Обследовано 23 пациента (12 женщин — 52 % и 11 мужчин — 48 %), которым нами было выполнено первичное реверсивное эндопротезирование в 2018-2020 гг. Средний возраст пациентов составил 64 года.
Основными клиническими диагнозами выступали деформирующий и посттравматический артроз плечевого сустава, у двух пациентов основным диагнозом являлся многофрагментарный перелом проксимального отдела плечевой кости (трех- и четырехфрагментарный перелом по классификации Neer).
При эндопротезировании использовали 2 вида оперативного доступа: верхне-латеральный, выполнен 5 пациентам, дельто-пекторальный — 18.
Всех пациентов оперировали по стандартной методике установки компонентов эндопротеза. 16 пациентам был установлен бесцементный реверсивный эндопротез Anatomical Shoulder System Inverse/Reverse фирмы Zimmer, а 7 пациентам — бесцементный реверсивный эндопротез Unic компании Evolutis.
В качестве сравнительного материала использовали данные регистров зарубежных стран, а также современные сведения иностранной и отечественной литературы.
РЕЗУЛЬТАТЫ
При ретроспективном исследовании проанализированы результаты регистров таких стран, как США, Великобритания, Италия и Австралия.
В США изучены результаты 940 реверсивных эндопротезов плечевого сустава, в Великобритании — 7753 операций, по данным клиник Италии представлена информация о 2855 случаях по установке данного вида протеза, а в Австралии анализу подверглись 9682 случая реверсивного эндопротеза плечевого сустава 3.
Наиболее распространенными ранними осложнениями, по данным регистров, являлись: 1) нестабильность (асептическая нестабильность и вывих компонентов эндопротеза); 2) перипротезный перелом диафиза плечевой кости; 3) инфекция 5 (см. таблицу).
Процентное отношение основных ранних послеоперационных осложнений ко всем осложнениям при реверсивном эндопротезировании плечевого сустава по данным мировых регистров
Percentage ratio between common early postoperative complications and other complications in reverse total shoulder arthroplasty (data from world registers)
Читайте также:
- Диагностика и лечение рифт-валли лихорадки. Крымская-Конго геморрагическая лихорадка
 - Смешанно-клеточный вариант лимфомы Ходжкина
 - Техника местной анестезии при паховой грыже
 - ОНМК. Нарушения артериального кровообращения головного мозга. Острая гипертензивная энцефалопатия.
 - Абсцесс полости рта: причины, симптомы и лечение
 
