УЗИ анатомия почки в норме
Добавил пользователь Валентин П. Обновлено: 22.01.2026
Ультразвуковое исследование почек в большинстве случаев является полноценным и достаточно информативным методом диагностики с целью определения заболевания и назначения адекватного лечения, а так же исключения патологии при скрининговых обследованиях.
Что показывает УЗИ почек?
При ультразвуковом исследовании почек УЗИ-аппарат позволяет определить следующие основные параметры:
- количество, расположение, контуры и форму почек,
- размеры органа,
- состояние структуры почечной паренхимы,
- наличие доброкачественных или злокачественных новообразований,
- наличие конкрементов в полостях почки,
- признаки воспаления,
- состояние почечного кровотока.
Количество
В норме почки являются парным органом, но встречаются аномалии.
Возможно врожденное отсутствие почки - односторонняя аплазия (агенезия), либо утрата парности в результате хирургического удаления. Встречается врожденное удвоение почки, чаще одностороннее.

Аплазия левой почки

Удвоенная почка без признаков обструкции
Расположение
В норме почки расположены на разных уровнях относительно друг друга: правая (D) почка находится на уровне позвонков 12 грудного и 2 поясничного, левая (L) почка - на уровне позвонков 11 грудного и 1 поясничного.
На УЗИ можно выявить опущение почки (нефроптоз) или нетипичную локализацию органа (дистопия), вплоть до расположения в малом тазу.

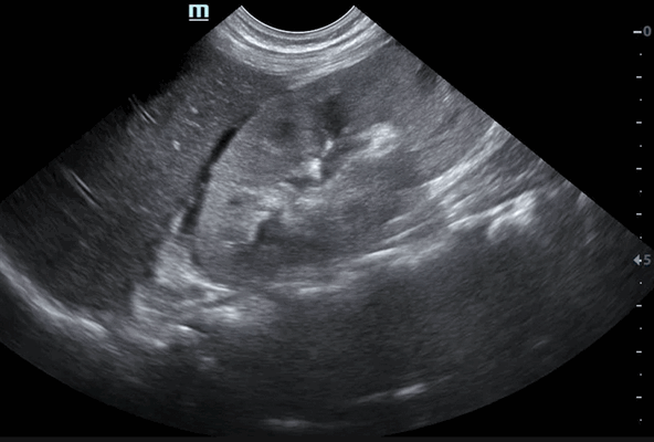
В норме почка имеет бобовидную форму и ровный наружный контур с четкой визуализацией фиброзной капсулы в виде гиперэхогенной линии.
Размеры
Физиологической норме у взрослого человека соответствуют размеры почек:
- длина - 100-120 мм,
- ширина - 50-60 мм,
- толщина - 40-50 мм.
У детей размеры почек зависят от возраста и роста ребенка. При росте до 80 см измеряются только два параметра - длина и ширина органа. У детей ростом 100 см и выше измеряется и толщина паренхимы.
В норме должна четко выявляться граница почечных пирамидок в паренхиматозном слое: эхогенность пирамидок ниже, чем паренхимы. При гидронефрозе дифференциация между ними отсутствует.
Увеличение размеров почки характерно для острого пиело- или гломерулонефрита, а так же если почка утратила парность и испытывает повышенную функциональную нагрузку.
Эхогенность паренхимы
Этот показатель определяет состояние почечной паренхимы, ее структуру. В норме она однородна.
Эхогенность - это степень интенсивности отражения звуковой волны от тканей: чем плотнее ткань, тем интенсивнее отражение и светлее изображение на мониторе. Ткани с низкой плотностью имеют слабую эхогенность и визуализируются темными участками. Жидкости и воздух анэхогенны.
К примеру, полостную кисту, содержащую жидкость, специалист описывает как анэхогенное образование. Гиперэхогенность характерна для склеротических процессов в почке (гломерулонефрит, диабетическая нефропатия, опухоли, амилоидоз).
Состояние полостной системы почек
Полостная система почек или чашечно-лоханочная система (ЧСЛ) выполняет функцию сбора мочи. На УЗИ могут диагностироваться следующие изменения:
- воспалительные уплотнения слизистой лоханок (пиелонефрит),
- расширение ЧЛС: пиелоэктазия - расширение лоханок, каликоэктазия - расширение чашечек (гидронефроз, обструкция мочеточников камнем или опухолью),
- наличие конкрементов (камни, песок).
Ультразвуковое изображение расширения полостных систем обеих почек у плода
В норме ЧЛС анэхогенна и не визуализируется. Камни размером 4-5 мм и более в УЗИ-заключении описываются как эхотень, гиперэхогенное включение, эхогенное образование. Наличие песка обозначается как микрокалькулез почек.
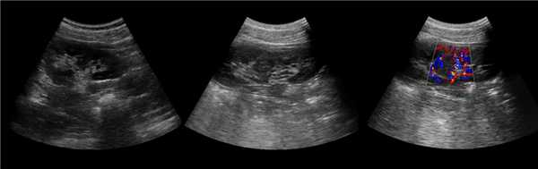
Состояние почечного кровотока
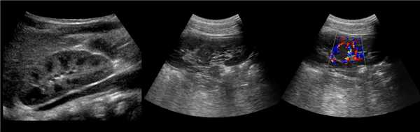
Для визуализации почечных кровеносных сосудов используют дуплексное сканирование (или допплерографию), при котором УЗИ-сканер выдает информацию в виде цветного изображения или спектрального графика. Методика является неинвазивной и безболезненной.
Исследование позволяет определить состояние сосудистой стенки, наличие внутрисосудистых обструкций и стенозов, определить скорость кровотока. В норме скорость может колебаться от 50 до 150 см/сек.
На цветовой схеме нормальными считаются темные тона. Яркий цвет фиксирует ускоренный кровоток и свидетельствует о наличии стеноза, основным признаком которого считается усиление кровотока в почечной артерии больше 200 см/сек.
Определяется индекс сопротивления кровотока или индекс резистентности, который напрямую зависит от возраста пациента: чем старше, тем выше скорость кровотока и выше индекс. В норме индекс сопротивления для почечной артерии - 0,7, для междолевых артерий - 0,34-0,74.
Кто проводит расшифровку результатов?
Расшифровку ультразвукового исследования почек должен проводить врач-уролог. К словесному заключению обычно прилагается фото УЗИ или сонограмма, где стрелками отмечается место выявленных патологических изменений.
При обнаружении опухолей или сосудистых изменений неплохо, если будет прилагаться видео УЗИ.
Какие заболевания выявляет УЗИ почек?
Ультразвуковая диагностика наиболее информативна относительно следующих почечных заболеваний и синдромов:
- нефроптоз,
- сужение мочеточников,
- опухоли, кисты, абсцессы,
- камнеобразования,
- воспалительные процессы (пиелонефрит, гломерулонефрит),
- гидронефроз,
- дистрофия почек,
- амилоидоз,
- поражение почечных сосудов.
Если в заключении УЗИ почек значится «выраженный пневматоз кишечника», это означает неинформативность обследования по причине метеоризма и в этом случае УЗИ придется повторить после подготовки (употребление ветрогонных препаратов).
УЗИ правой почечной артерии (особенность сканирования). Лекция для врачей
Кровоснабжение почек примерно в 20 раз превышает кровоснабжение любого другого органа. Оно осуществляется почечной артерией, отходящей в большинстве случаев от аорты одним стволом и делящейся в области ворот почки на переднюю большую ветвь, питающую более половины поверхности почки, меньшую, расположенную выше, и заднюю ветвь. Правая почечная артерия располагается ниже левой и проходит позади нижней полой вены, правой почечной вены, головки поджелудочной железы и нисходящей части двенадцатиперстной кишки. Левая почечная артерия находится позади левой почечной вены и хвоста поджелудочной железы. Нередко встречаются различные варианты артериального кровоснабжения почек: в 30% случаев имеется более одной артерии, а в 1 из 8 случаев — различные варианты добавочных сосудов, идущих к полюсам почки. Диаметр этих сосудов может быть не меньше, чем диаметр основного сосуда, о чем необходимо помнить во время оперативного вмешательства. Учитывая особенности кровоснабжения почек, их разделяют на 5 сегментов:
• верхний сегмент расположен на медиальной поверхности верхнего полюса почки;
• верхнепередний сегмент лежит на передней поверхности почки и включает верхний полюс и часть центральной зоны;
• нижнепередний сегмент также находится на передней поверхности почки и занимает ее нижнюю центральную часть;
• нижний сегмент формирует нижний полюс почки как спереди, так и сзади;
• задний сегмент включает зону от верхнего сегмента до нижнего по задней поверхности.
Каждый сегмент кровоснабжается собственной ветвью почечной артерии. Передняя ее ветвь кровоснабжает верхний, верхнепередний, нижнепередний и нижний сегменты. Задняя ветвь кровоснабжает задний и в ряде случаев верхний сегменты, что имеет большое значение при выполнении сегментарной резекции почки. При полном удвоении чашечно-лоханочной системы (ЧЛС) и мочеточника обе части почки обычно имеют самостоятельное кровоснабжение. Все ветви почечной артерии представляют собой артерии концевого типа. От сегментарных артерий отходят междолевые артерии, которые проходят в почечных столбах и над основаниями почечных пирамид образуют дуговые артерии. От дуговых артерий отходят междольковые артерии, дающие начало приносящим клубочковым артериолам. Эти артериолы, в свою очередь, образуют клубочки. Из клубочков выходят выносящие клубочковые артериолы, которые идут к почечным канальцам, где формируют капилляры, оплетающие их, и лишь после этого переходят в венулы. Почечная вена постепенно формируется в ствол из капилляров коркового и мозгового вещества и выходит по передней поверхности из ворот почки. С хирургической точки зрения очень важным является тот факт, что на задней поверхности почечной лоханки отсутствуют артериальные и венозные сосуды. Имеются многочисленные анастомозы почечных вен с надпочечниковыми, диафрагмальными, поясничными и яичниковыми венами, а также с непарной, полунепарной венами и венами портальной системы (селезеночной, брыжеечными). При заболеваниях почек эти вены могут быть значительно расширены и образовывать венозные сплетения, а также быть источником распространения метастазов опухолей и гематогенной инфекции. Корковый и мозговой слои почки дренируются лимфатическими сосудами, формирующимися из лимфатических капилляров, которые находятся в тесной взаимосвязи с капсулой почки. Имеется от 4 до 8 лимфатических сплетений, располагающихся по ходу кровеносных сосудов почки.
Иннервация почек осуществляется из почечного сплетения, образованного нервными постганглионарными волокнами верхнего брыжеечного и аортопочечных узлов и волокнами поясничного отдела симпатического ствола, лежащими на аорте непосредственно над почечными артериями. Нервные волокна погружаются в ворота почек вместе с почечной артерией, осуществляя иннервацию внутрипочечной артериальной системы и чашечек. Почечная лоханка может располагаться как внутри, так и вне почки. Чашечная система почки формируется из 6-16 малых чашечек, которые соединяются в 2-3 большие. Большие чашечки открываются в лоханку, емкость которой варьирует от 3 до 6 мл. Тесными топографо-анатомическими взаимоотношениями и общностью иннервации почек и органов брюшной полости обусловлено возникновение при урологических заболеваниях желудочно-кишечных нарушений.
УЗИ почек и надпочечников — качественная диагностика без вреда для здоровья

Это исследование широко применяется для диагностики патологий мочевыделительной системы. В отличие от других методик, например, рентгенографии с контрастом, во время ультразвукового исследования пациенту не вводятся лекарства, а организм не подвергают облучению. УЗИ почек — это безболезненный, эффективный и бескровный метод диагностики почек.
Сделать УЗИ почек на новом оборудовании можно современной в клинике Диана. Обследование и расшифровку УЗИ почек выполнит доктор высшей квалификации. Результаты будут выданы на руки.

Зачем нужно следить за состоянием почек и надпочечников
Нарушение работы почек и надпочечников — причина развития целого ряда опасных патологических состояний. Также заболевания почек частые осложнения при инфекционных заболеваниях, беременности, сахарном диабете и других болезнях.
Ультразвуковое исследование почек выявляет структурные нарушения тканей органов и сбои в функционировании всей мочевыделительной системы. Исследование почек и надпочечников при помощи высокочастотных звуковых волн даёт врачам полную картину с подробной визуализацией в режиме реального времени. Что немаловажно, цена УЗИ почек доступна каждому пациенту.
Клиника Диана предлагает пройти УЗИ почек и надпочечников на новейшем современном ультразвуковом аппарате, генерирующем ультразвуковые волны оптимальной амплитуды и частоты для получения высококачественного цветного изображения. Наши специалисты обладают многолетним опытом работы с ультразвуковой методикой на оборудовании высокого экспертного уровня SonoAce X8. Индивидуальный подход и профессионализм сотрудников клиники позволит минимизировать дискомфорт от посещения медицинского учреждения и сэкономить ваше время.
Показания к проведению УЗИ почек
УЗИ почек назначается при следующих состояниях:
- головных болях, сопровождающихся повышением давления;
- отеках конечностей и лица;
- затруднении мочеиспускания;
- отклонениях в анализах крови и мочи, указывающих на почечные патологии;
- подозрении на нефрит — воспаление почек;
- появлении в моче крови и гнойных «хлопьев»;
- мочекаменной болезни;
- болях в пояснице, сопровождающихся повышением температуры, слабостью и ознобом;
- подозрении на аномалии развития и расположения почек (опущение, удвоение);
- патологиях почечных сосудов;
- подозрении на почечную недостаточность;
- травмах поясничной области;
- болезнях обмена веществ, сопровождающихся поражением почечной ткани;
- подозрении на новообразования и метастазы рака.
Часто УЗИ почек назначается вместе с ультразвуковым исследованием мочевого пузыря и органов малого таза. Для диагностики заболеваний почечных сосудов дополнительно назначается ультразвуковая допплерография (УЗДГ).
Что можно увидеть на УЗИ почек
Список патологических состояний, которые могут быть выявлены в процессе диагностики, — огромен. УЗ-исследование почек четко показывает:
- Дистрофические изменения тканей;
- Воспаление почек;
- Кисты и опухоли, абсцессы, дивертикулы;
- Опущение почки;
- Сужение или расширение мочеточников;
- Наличие конкрементов, песка, воздуха, жидкости;
- Уретроцеле;
- Отторжение трансплантата.
- Нефроптозы, признаки пиелонефритов и гломерулонефритов.
Важно! С точностью по УЗИ могут определяться только небольшие камни размером до 4 мм.
Подготовка к УЗИ почек
Чтобы скопившийся в кишечнике газ не исказил результат, за два дня до обследования из питания исключаются: черный хлеб, бобовые, квашеная капуста, газировка, алкоголь, жирные бульоны. Можно есть нежирную рыбу, сыр, птицу, подсушенный белый хлеб и одно яйцо в сутки. За 8 часов до проведения диагностики нужно воздержаться от еды. Воду и напитки без газа можно пить в неограниченном количестве.
Клизма перед УЗИ почек делается только по указанию врача. Людям, страдающим запорами, нужно накануне выпить слабительное. При повышенном газообразовании показаны активированный уголь, «Эспумизан» или настойка ромашки.
Подготовка к УЗИ почек у беременных
Подготовительный этап перед проведением диагностики почек у беременных практически не отличается от УЗИ остальной группы людей. Во-первых, примерно за 3 дня до предполагаемой даты УЗИ женщине нужно придерживаться определенной диеты и на время отказаться от продуктов, усиливающих газообразование в кишечнике (список продуктов перечислен выше).
Непосредственно за 6 часов до исследования почек необходимо принять обычную дозировку «Эспумизана» или другого препарата с аналогичным действиям. Это нужно для снижения проявления метеоризма и получения более точных результатов.
Мочевой пузырь в процессе исследования должен быть наполнен, поэтому нужно постараться не посещать туалет в течение трех часов до УЗИ. Если нет сил терпеть, можно опорожнить мочевой пузырь, но после этого обязательно выпить стакан негазированной воды.
Как проводится исследование УЗИ почек
Процедура проводится в положении больного лежа на спине, боку или стоя. На зону осмотра наносится гель, улучшающий проводимость ультразвука.
Вначале исследуют мочеточники начиная от мочевого пузыря, а потом — сами почки. На некоторых этапах процедуры больного просят не дышать или, наоборот, надуть живот.
На мониторе появляется картина состояния почек, и врач диагностирует наличие или отсутствие патологий. При необходимости уточнения диагноза больному назначаются дополнительные обследования.
Противопоказания к проведению УЗИ почек
Абсолютных противопоказаний для исследования почек ультразвуком нет. Однако существует ряд факторов, которые снижают информативность диагностики. К ним относятся:
- Непереносимость компонентов геля, который используется для нанесения на кожу и обеспечивает ее контакт с датчиком УЗИ.
- Кожные заболевания. УЗИ — это процедура, при которой врач проводит специальным датчиком по области поясницы. Препятствием к проведению данной процедуры могут стать кожные заболевания и поражения, такие как раны, порезы, глубокие царапины, ожоги, лишай, пиодермия, фурункулез и др.
- Общее состояние здоровья пациента.
Состояние здоровья человека считается относительным противопоказанием. УЗИ проводится в положении лежа на боку, спине и животе. Сложности возникают, когда человек не может находиться в горизонтальном положении в силу различных обстоятельств. На информативность исследования влияет и лишний вес пациента. Изображение в данном случае получается нечетким из-за толщины жировой прослойки.
Кто расшифровывает результаты
Большинство пациентов ожидают, что в процессе УЗИ специалист подробно разъяснит им все параметры визуализации и поставит понятный и окончательный диагноз. Это, безусловно, заблуждение. Делать какие-либо выводы и устанавливать диагноз может только уролог после составления полной картины заболевания на основе изучения симптомов, анамнеза, лабораторных анализов, результатов УЗИ и других методов диагностики.
Врач УЗИ дает пациенту только общую информацию о состоянии органа и направляет к урологу с текстовой распечаткой результатов исследования.
Расшифровка УЗИ почек и надпочечников
Многие пациенты спрашивают на какие показатели следует обратить внимание.
Количество. Как бы странно это ни звучало, количество почек обязательно указывают в итоговом протоколе УЗИ. Дело в том, что существует небольшой процент людей, которые имеют одну почку от рождения или в результате удаления органа. Кроме того, если специалист употребляет термин «гипоплазия», следует подразумевать недоразвитость или функциональную неполноценность органа. Реже встречается удвоение одной или сразу обеих почек, что также должно быть указано в результатах исследования.
Размеры. При появлении тянущих болей в области поясницы и затрудненного мочеиспускания, сопровождающегося болевыми ощущениями (особенно при беременности), очень важно своевременно обратиться к врачу и провести УЗИ. У беременных женщин почки в нормальном состоянии не должны отличаться в размерах от обычных показателей для взрослых.
Зная нормальные размеры почек, можно приблизительно определить наличие или отсутствие патологий. У взрослого человека почки имеют следующие параметры:
Толщина паренхимы (почечной ткани)
У детей размеры почек меняются в зависимости от возраста. С рождения и до достижения 80 см роста толщина почек остается неизменной, меняются лишь показатели ширины и длины. В этом возрасты нормальные характеристики почек выглядят так:
Следует помнить, что размеры любого органа могут иметь индивидуальные особенности у каждого конкретного человека, и если отклонение от нормальных показателей незначительное — это ещё не говорит о наличии заболевания. Например, у тех пациентов, которые имеют всего одну почку, её размеры увеличены даже при нормальном функционировании.
В протоколе могут быть указаны «передне-задние» размеры почки, которые в норме составляют до 15 мм. Почки должны иметь одинаковые размеры или отличаться не более чем на 2 см. Отклонения от нормы встречаются как в сторону уменьшения органа (атрофия ткани), так и в виде его увеличения (кисты и опухоли).
Положение органов
В диагностическом протоколе чаще всего встречается фраза «левая почка незначительно выше правой», что является нормой, так как печень слегка оттесняет правый орган. Термин «нефроптоз» означает опущение одной из почек и обычно характеризуется как лево- или правосторонний.
Дополнительные характеристики здоровья почек у здоровых людей
Форма органа — боб, наружный контур — ровный и четкий, допустимо различие в размерах не больше 2 см. На присутствие патологий указывают такие признаки, как: неровность контуров, повышенная эхогенность. Они говорят о наличии опухоли или камня.
Толщина паренхимы
Паренхимой называют поверхностную ткань почек, структурной единицей которой является нефрон. Именно эта структура выполняет функцию естественного фильтра организма. В норме толщина паренхимы должна составлять 15-25 мм, однако с возрастом она уменьшается вследствие дистрофических процессов, и для 60-летнего пациента даже 11 мм могут считаться вариантом нормы.
Утолщение паренхимы может наблюдаться при остром отечном воспалительном состоянии (острый пиелонефрит), а истончение паренхиматозной ткани говорит о длительных дистрофических процессах: диабетическая нефропатия, почечная гипертензия, хронический пиелонефрит.
Изменения паренхимы
При расшифровки УЗИ почек следует особое внимание уделить такому термину, как «эхогенность». Повышение или понижение эхогенности свидетельствует об изменении плотности ткани паренхимы. Причину этих состояний обычно может обнаружить только уролог, опираясь на весь спектр анализов пациента.
УЗИ почек может выявить кисты органов, что в протоколе обычно описывается следующими терминами и характеристиками: «анэхогенное образование», «однородное образование без внутреннего эхо». Кисты паренхимы — небольшие пузырьки жидкости, которые не лечат, если не наблюдается их патологический рост.
Раковая опухоль на УЗИ описывается как «эхоположительное образование» с неоднородной эхоструктурой и нечетким контуром. Обязательно указывается также форма и размеры новообразования. УЗИ почек — ведущая методика выявления злокачественных опухолей этих органов.
Изменения в лоханках
Здесь опасаться стоит таких словесных форм, как «микрокалькулез» или «конкременты», что будет свидетельствовать о наличии камней или песка в почках. Также может быть диагностирован рак почечной лоханки, однако в расшифровке он будет описан, как и образования в паренхиме, но с указанием локализации.
Расшифровку УЗИ почек следует доверить опытному урологу или нефрологу, с целью постановки правильного диагноза и разработки верной терапевтической стратегии.
Сколько стоит УЗИ почек
В клинике Диана в СПБ УЗИ почек стоит 1000 рублей. Стоимость этого исследования в других клиниках может отличаться в большую сторону. Это связано с политикой частных клиник. Мы не завышаем цены, поэтому сделать УЗИ почек в нашей клинике выгодно.
Где сделать УЗИ почек в СПБ
УЗИ почек в Санкт-Петербурге следует проводить именно в клинике Диана, поскольку высокая квалификация медперсонала позволят получить быстрый и качественный результат. Также наших пациентов устраивает лояльная ценовая политика.
Опухоли почек: первое обследование — УЗИ

Опухоль почки - это патологическое разрастание ее тканей. В зависимости от типа клеток, составляющих опухоль, новообразования делятся на доброкачественные и злокачественные (раковые).
Прием уролога — 1000 руб. Комплексное УЗИ почек — 1000 руб. Прием по результатам анализов — 500 руб. (по желанию)
Новообразования почек встречаются в любом возрасте, диагностируясь даже у детей. Доброкачественные формы развиваются в два раза реже злокачественных, поэтому при подозрении на новообразование нужно срочно посетить врача, сделать УЗИ почек и пройти дополнительные обследования.

Причины опухолей почки
Точные причины возникновения опухолей почек не изучены, но известно, что их провоцируют:
- неблагоприятная наследственность;
- воспалительные процессы;
- конкременты (камни и песок);
- курение и алкоголизм;
- радиационное облучение;
- вредные условия труда, при которых происходит контакт с веществами-канцерогенами;
- сбои в иммунной системе;
- хронические инфекции.
Симптомы опухолей почек
Новообразования долгое время могут не давать симптомов. Проявляются они только при разрастании опухоли до приличных размеров. Крупное образование растягивает капсулу почки, мешает оттоку мочи и пережимает сосуды. Больные жалуются на усиливающуюся боль в пояснице, отдающую в промежность , и бедро. Доброкачественные образования небольшого размера могут вообще не заявлять о себе, выявляясь случайно на УЗИ или МРТ.
В почечной ткани обнаруживаются различные доброкачественные опухоли:
- Кисты — полости, наполненные жидкостью. При множественных кистозных поражениях говорят о поликистозе.
- Аденомы — медленно растущие образования не вызывающие болей и не перерождающиеся в рак.
- Липомы - новообразования из жировой ткани, которые при быстром росте затрудняют работу почек. Не озлокачествляются.
- Фибромы - медленно растущие опухоли, состоящие из фиброзной ткани. Симптомы нарушения почечной функции они вызывают, только разрастаясь до больших размеров.
Злокачественные новообразования (рак и саркома) имеют различную симптоматику, но первым признаком любой почечной онкопатологии является появление крови в моче (гематурия). В дальнейшем у больного развиваются:
- слабость, усталость, утомляемость;
- лихорадка;
- тошнота, рвота, похудение;
- плохоустраняемое повышенное АД;
- задержка мочи;
- боль в пояснице.
Эти симптомы вызваны отравлением организма продуктами обмена опухолевых клеток, разрушением почек и переходом процесса на соседние органы (мочеточники, спинной мозг).
Некоторые опухоли вырабатывают гормон эритропоэтин. У больного развивается полицитемия. Организм вырабатывает огромное количество красных кровяных телец — эритроцитов, вызывающих чрезмерное полнокровие. Наблюдается расширение кожных сосудов, вызванное увеличением и замедлением кровотока. Язык и губы приобретают синеватый оттенок, конъюнктива глаз становится красноватой, а в кончиках пальцев рук возникает сильное жжение, вызванное кровяным застоем.
Симптомы при прогрессировании опухолей почек
Симптомы развития рака почек можно охарактеризовать в подробностях так:
- Больные жалуются на кожный зуд, боль в животе , костях, суставах, приливы к голове, слабость, утомляемость, ухудшение общего состояния. Нарушение работы почек приводит к стойкому повышению АД, неснижаемому стандартными препаратами.
- Распад опухоли почки приводит к появлению крови в моче (гематурии). Урина приобретает кровяной или гнилостный запах. Сгустки крови, закрывая пути оттока мочи, вызывают почечную колику — резкие боли в пояснице, вызванные перерастяжением почечных структур скопившейся мочой.
- Сдавление опухолью вен у мужчин вызывает расширение вен семенного канатика — варикоцеле . Если при отсутствии почечной патологии эта болезнь появляется слева, то при почечных опухолях варикоцеле образуется на стороне пораженной почки, или с обоих. Поэтому поражение вен семенного канатика справа - повод срочно проверить почки на наличие опухолей.
Нарушение почечной функции, вызванное опухолевым процессом, приводит к отекам лица, наиболее выраженным в утреннее время.
Диагностика опухолей почек
Для диагностики применяются УЗИ почек и надпочечников — самый безопасный, дешевый и безболезненный способ, МРТ и нефросцинтиграфия. Эти исследования позволяют выявить новообразования на ранних стадиях. С помощью ангиографии или УЗ-допплерографии определяется злокачественность опухоли и ее размер.
Не всегда опухоль на УЗИ выглядит типично. Чтобы не пропустить онкологический процесс, больным назначают:
- . Обнаружение крови — гематурия - частый симптом рака почек. Нарушение работы органа и присоединение инфекции вызывает появление в моче лейкоцитов и белка; . Увеличение паратгормона, вырабатываемого паращитовидными железами — своеобразный маркер злокачественных опухолей почки. В крови повышается уровень креатинина, мочевины, альфа-2-глобулинов, ЛДГ4, щелочной фосфатазы, кальция. Увеличение печёночных ферментов указывает на метастазирование опухоли в печень. Анализ на онкомаркеры — обязательное обследование и при других опухолях в организме.
- Анализ периферической крови (из пальца) меняется при возникновении опухоли, вырабатывающей гормоны, стимулирующие выработку эритроцитов. В крови обнаруживается большое количество красных кровяных телец. При злокачественных опухолях увеличивается СОЭ.
В спорных случаях берется фрагмент тканей на биопсию. Подтверждение злокачественности или доброкачественности новообразования помогает врачам определиться с тактикой операции.
Если опухоль злокачественная, проводится рентген легких, позвоночника и УЗИ брюшной полости для выявления метастаз.
Нормы УЗИ почек
Норма УЗИ почек - усредненные показатели, подтверждающие, что эти органы здоровы. Отклонения от стандартных цифр и терминов, указанных в протоколе исследования, повод для постановки неблагоприятного диагноза и дальнейшего обследования.
На УЗИ почек устанавливают нормы расположения, формы, структуры и размеров обеих почек.
Передне-задние размеры - до 1,5 см
При аномалиях почек, узист опишет найдены ли аплазия, киста, гипоплазия, губчатая почка, объемные образования, конкременты. Описывается их количество, расположение, диаметр, эхогенность, эхоструктура, наличие акустической тени.
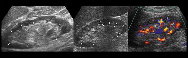
Как выглядят опухоли почек на УЗИ
- Аденокарцинома - раковая опухоль почки, выглядящая на УЗИ, как темное пятно округлой формы, иногда разделённое светлыми перегородками. Стенка новообразования неровная и тонкая. Внутри часто видны светлые участки-кальцинаты, образованные солями кальция. Опухоль быстро растет, что хорошо видно на повторном УЗИ. Поскольку новообразование быстро дает метастазы, больным нужно обследовать и другие органы, в первую очередь — печень и легкие.
- Переходно-клеточная карцинома - рак лоханки почки. В отличие от камня или кровяного сгустка, с которыми его иногда путают, новообразование не смещается при перемене тела больного. Быстро вызывает появление крови в моче. Разрастаясь, приводит к застою урины в почке, сопровождающемуся коликами.
- Нефробластома (эмбриональная аденомиосаркома, опухоль Вильмса) выявляется у детей в возрасте до 8 лет. На УЗИ выглядит, как крупное темное пятно. Быстро растет, увеличиваясь в размерах и давая метастазы. Причины болезни не выяснены, не исключено влияние наследственности. Считается, что зачатки нефробластомы закладываются внутриутробно. При ее обнаружении нужно обследовать весь организм ребенка на возможность метастаз.
- Ангиолипомы и липомы — доброкачественные опухоли почки, состоящие из жировых, сосудистых и мышечных клеток. Это плотное образование небольшого размера на УЗИ выглядит светлым. Растет очень медленно и не даёт симптомов. Однако во время беременности опухоли могут разрастаться, мешая оттоку мочи и сдавливая сосуды.
- Онкоцитома — доброкачественная опухоль, встречающаяся у мужчин пожилого возраста. Из-за невысокой плотности на УЗИ выглядит темной. Опухоль часто перерождается в рак, поэтому от нее рекомендуют избавляться.
- Кисты — опухолевидные образования в почках выглядящие как полости с жидким содержимым. Имеют равномерную плотную оболочку и четкие контуры, отличаясь от раковых опухолей отсутствием перегородок. Могут быть множественными. В этом случае говорят о поликистозе.

Лечение опухолей почек
Чем раньше обнаружено новообразование, особенно злокачественное, тем лучше прогноз и выше выживаемость. Поэтому при первых симптомах поражения почек нужно обращаться к врачу — урологу, который даст направление на УЗИ. Если патология опухоль окажется злокачественной, лечение продолжит онколог.
При выявлении мелких одиночных доброкачественных опухолей, не мешающих работе почек, операцию делают не всегда. Часто больным назначают наблюдение с регулярным прохождением УЗИ и сдачей анализов. Если доброкачественное образование мешает выделению мочи или вызывает боль, производят его резекцию (удаление). Почку стараются сохранить.
При обнаружении крупных или злокачественных новообразований проводится их удаление с максимальным сохранением тканей органа. При раке дополнительно назначается лучевая и химиотерапия.
В запущенных случаях проводится нефрэктомия (орган удаляется полностью). При диагностике метастаз проводят лучевую и химиотерапию.
УЗ-обследование показано больным, когда-то перенесшим рак почек и излечившимся от него. Онкологические патологии могут возвращаться (рецидивировать) через много лет, поэтому больным нужно тщательно следить за своим здоровьем.

Где выявить опухоль почки и пройти лечение у уролога и онколога в СПБ
Лечить опухоль почки любого типа нужно строго обязательно, так как такая патология опасна для жизни. Обратиться по поводу диагностики и лечения опухоли почки можно в частную клинику Диана в Санкт-Петербурге.
Здесь есть новый экспертный аппарат УЗИ с доплером и другое современное медицинское оборудование . Стоимость УЗИ почек и надпочечников — 1000 руб. В клинике можно сдать все все анализы . Прием ведут опытные урологи и онкологи . Стоимость приема врача — 1000 руб. Повторный прием — 500 руб.
УЗИ почек для начинающих (лекция на Диагностере)
Почки расположены забрюшинно в поясничной области на уровне двух последних грудных и двух первых поясничных позвонков. Правая почка, как правило, на 1-2 см ниже левой.
Паренхима почки состоит из коркового слоя и пирамид. Почечные столбы (колонны Бертини) между пирамидами состоят из коркового вещества. Пирамида и покрывающее ее корковое вещество образуют почечную дольку. На вершине пирамиды открываются отверстия сосочковых канальцев.
Почечный синус содержит чашечно-лоханочный комплекс (ЧЛК), сосуды, нервы, соединительную ткань и жир. Маленькая чашечка садится на вершину пирамиды как молокоотсос на сосок. Моча активно поступает в маленькие и большие чашечки → почечную лоханку → мочеточник → мочевой пузырь → уретру.
Нажимайте на картинки, чтобы увеличить.

УЗИ почек
Используют конвексный датчик 2,5-7,5 МГц. При подозрении на патологию исследование проводят с наполненным мочевым пузырем при появлении позыва на мочеиспускание. После мочеиспускания почки осматривают повторно.
Нас интересует расположение, размер, эхогенность, эхоструктура почек, а так же проходимость мочевыводящих путей. Как оценить размер почек у детей и взрослых подробнее смотри здесь.
Мочевой пузырь и дистальный отдел мочеточника на УЗИ
В положении пациента лежа на спине в надлобковой области выводим мочевой пузырь. Оцените наполнение мочевого пузыря и дистальный отдел мочеточников. В норме дистальный отдел мочеточника не видно. Мочеточник более 7 мм в диаметре — мегауретер.
Рисунок. На УЗИ расширенный дистальный отдел мочеточника (1, 2, 3). Про уретероцеле (3) подробнее смотри здесь.

Эхогенность почек
В положении пациента на спине по среднеключичной и переднеподмышечной линии выводим правую почку в соседстве с печенью, а левую почку вблизи селезенки. Оцените эхогенность почек. Корковый слой почки в норме изо- или гипоэхогенный по отношению к печени и гипоэхогенный по отношению к селезенке.
Рисунок. Эхогенность органов сравнивают на одном срезе. На УЗИ нормальная почка по соседству с печенью (1) и селезенкой (2). У детей до 6 месяцев паренхима почек в норме может быть гиперэхогенной по сравнению с печенью (3).

Форма почек на УЗИ
Чтобы увидеть верхний полюс почки, попросите пациента сделать глубокий вдох. Форма почки бобовидная — выпуклая с латеральной и вогнутая с медиальной стороны. Как вариант нормы расценивают эмбрионально-дольчатую почку, а так же горбатую левую почку.
Рисунок. На УЗИ (1) и КТ (2, 3) контур почек волнистый. У эмбриона почка развивается из отдельных долек, которые сливаются по мере их роста. Дольчатое строение почек хорошо видно у плода и новорожденных, в единичных случаях сохраняется у взрослых.

Рисунок. Можно встретить горбатую левую почку — выпуклый неровный наружный контур из-за гипертрофии паренхимы в средней трети почки. Считают, что «горб» формируется у плода под давлением нижнего края селезенки.

Рисунок. Сканирование со стороны передней брюшной стенки позволяет не пропустить перешеек между почками. Перешеек спереди от позвоночника является доказательством сращения почек — подковообразная почка. Варианты анатомии подковообразных почек смотри здесь.

Видео. На УЗИ подковообразная почка
Эхоструктура почек
В нормальной почке пирамиды гипоэхогенные, корковое вещество и колонны Бертини изоэхогенны друг другу. В синусе располагается в норме невидимый ЧЛК, гиперэхогенная соединительная и жировая ткань, гипоэхогенные сосуды и вершины пирамид.
Когда различают пирамиды, корковое вещество, почечные колонны, то эхоструктура паренхимы почки не изменена. Если их не видно, то эхоструктура изменена за счет отсутствия четкой корково-мозговой дифференциации.
Рисунок. На УЗИ почка с неизмененной эхоструктурой: гипоэхогенный по отношению печени корковый слой и колонны Бертини, почти анэхогенные пирамиды, гиперэхогенный синус.

Рисунок. У 37% здоровых новорожденных в первые сутки жизни на УЗИ определяются симптом «белых пирамидок». Преципитация белка Тамма-Хорсфалла и мочевой кислоты вызывает обратимую обструкцию канальцев. К 6 неделям жизни проходит без лечения.

Рисунок. На УЗИ здоровая почка: вдоль основания пирамид (кортикомедуллярный переход) определяются линейные гиперэхогенные структуры с гипоэхогенной дорожкой в центре. Это дугообразные артерии, которые ошибочно расценивать как нефрокальциноз или камни.

Видео. Дугообразные артерии почки на УЗИ
Рисунок. На УЗИ нижний полюс почки отделяет гиперэхогенная фиброзная перемычка; лоханка нижнего сегмента 7 мм. Это вариант нормального строения почки. Почка может быть деформирована, поэтому ее размер и длина немного меньше противоположной. Небольшое расширение лоханки под перемычкой сохраняется пожизненно.

Видео. На УЗИ фиброзная перемычка в почке (вариант строения)
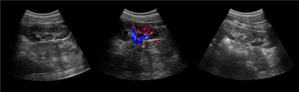
Бывает колонна Бертини врезается в центральную часть почки, разделяя ее полно или неполно на две части. Такая паренхиматозная перемычка — это паренхима полюса одной из эмбриональных долек, которые сливаясь образуют почку; состоит из коры, пирамид, колонн Бертини — все элементы без признаков гипертрофии или дисплазии. Термин гипертрофия колонны Бертини не отражает морфологию структуры, точнее считать данное образование паренхиматозной перемычкой.
Рисунок. На УЗИ округлое образование разделяет почечный синус на два сегмента с общей лоханкой; междолевые артерии огибают образование; эхогенность и интенсивность сосудистого рисунка внутри близка корковой зоне. Заключение: Гипертрофия колонны Бертини или неполная паренхиматозная перемычка. Это вариант нормального строения почки. Термин «неполное удвоение ЧЛК» неверный, т.к. неполная паренхиматозная перемычка не является признаком удвоения ЧЛК.

Рисунок. На УЗИ синус почки разделяет полная паренхиматозная перемычка (1, 2). В таких случаях разграничить удвоение почки от гипертрофии колонны Бертини поможет экскреторная урография. Удвоенная почка покрыта общей фиброзной капсулой. Полное удвоение предполагает наличие двух лоханок, двух мочеточников и двух сосудистых пучков. Неполноудвоенная почка (3) питается одним сосудистым пучком, мочеточник может быть удвоен вверху и впадать в мочевой пузырь одним или двумя устьями. Удвоение ЧЛК и мочеточников — фактор риска развития патологии (пиелонефрита, гидронефроза и др.).

Рисунок. На УЗИ синус почек широкий, неоднородной эхоструктуры (1, 2). На фоне гиперэхогенного жира гипоэхогенный очаг округлой формы (2), при ЦДК междолевые сосуды проходят через гипоэхогенную зону без смещения (3) — это гипоэхогенный жир. При ожирении липоматоз синуса можно ошибочно принять за атрофию паренхимы.

Мочеточник, малые и большие чашечки в норме не видно на УЗИ. Существует три типа расположения лоханок: интра-, экстраренальный и смешанный (частично внутри почки, частично вне ее). При интраренальном строение просвет лоханки в раннем возрасте до 3 мм, в 4-5 лет — до 5 мм, в пубертате и у взрослых — до 7 мм. При экстраренальном и смешанном типе строения — 6, 10 и 14 мм, соответственно. При переполненном мочевом пузыре лоханка может увеличиваться до 18 мм, но через 30 минут после мочеиспускания сокращается.
Рисунок. Независимо от наполнения мочевого пузыря на УЗИ видно лоханку смешанного (1, 2) и экстраренального (3) расположения.

Рисунок. У детей до 1 года на УЗИ синус почки определяется слабо, анэхогенные пирамиды можно ошибочно принять за расширенный ЧЛК (1). На УЗИ в воротах почки линейная гипоэхогенная структура похожа на расширенную лоханку (2); при ЦДК видно, что это сосуды (3).

Аномалии расположения почек на УЗИ
Аномалии расположения почек возникают при нарушении перемещения первичной почки из таза в поясничную область. Почти всегда форма почки изменена, а ворота открыты вперед.
При грудной дистопии почка обычно входит в состав диафрагмальной грыжи. При поясничной дистопии лоханка находится на уровне L4, при подвздошной — L5-S1. Тазовая почка находится позади или чуть выше мочевого пузыря. При перекрестной дистопии мочеточник впадает в мочевой пузырь в обычном месте, а почка смещена контрлатерально.
Рисунок. Дистопия почек по отношению к скелету: грудная справа (1), двусторонняя поясничная (2), тазовая слева (3), поясничная справа и тазовая слева (4), поясничная удвоенной левой почки (5), перекрестная (6).

Рисунок. Дистопия почек по отношению друг к другу и их сращение между собой: сращение верхних концов (1), нижних концов и удвоение левой почки (2), средних частей тазово-дистопированных почек (3), боковых частей тазово-дистопированных почек (4), разных концов (5), под углом (6).

Рисунок. На УЗИ почечное ложе слева пустое (1). Обе почки расположены справа, срастаются полюсами (2, 3). Заключение: Аномалия взаиморасположения почек — I-образная удвоенная правая почка.

Рисунок. На УЗИ в малом тазу (мочевой пузырь — акустическое окно) определяются почки связанные узким перешейком (1, 3); дифференцировка паренхимы сохранена, кровоток прослеживается до капсулы (2, 3). Заключение: Аномалия взаиморасположения почек — сращение нижних полюсов тазово-дистопированных почек.

Подвижность почек на УЗИ
Отметим на коже уровень верхнего полюса почки в положении пациента лежа на животе и стоя. Перед повторным измерением попросите пациента попрыгать.
Как на УЗИ отличить нефроптоз от дистопии? В норме ПА отходит от аорты сразу ниже ВБА, при поясничной дистопии — вблизи бифуркации аорты, при тазовой дистопии — от подвздошной артерии.
Рисунок. При тазовой дистопии на внутривенной урографии в положении лежа мочеточник короткий, почка в тазу (1, 2). При нефроптозе на внутривенной урографии в положении лежа почка определяется в типичном месте (3), в положении стоя почка значительно приспускается (4).
Читайте также:
- Работа в отделении трансфузиологии. Что такое инфузия и трансфузия?
- Генетика реакции организма на лекарства. Гены влияющие на эффективность лекарств
- Обследование уха пациента. Оценка слухового анализатора
- КТ, МРТ, ангиограмма при дуральной фистуле задней черепной ямки с интраспинальным сбросом
- УЗИ, КТ, МРТ при кисте холедоха
